Рекомендации по анализу рентгенограммы локтевого сустава в боковой проекции (латеромедиальной)
Добавил пользователь Владимир З. Обновлено: 27.01.2026
1. Больной сидит боком к столу. Рука отведена в плечевом суставе, максимально разогнута в локтевом суставе и расположена на столе или на подставках. Кисть находится в положении супинации. Кассету размером 18Х 24 или 24Х 30 см укладывают под заднюю поверхность локтевого сустава.
Суставная щель, находящаяся на 3 см дистальнее медиального надмыщелка, легко прощупываемого под кожей, соответствует средней линии кассеты. На нее отвесно и направляют пучок рентгеновского излучения (рис. 329).
2. Снимок может быть выполнен и в положении больного лежа на спине. Рука максимально разогнута в локтевом суставе, кисть — в положении супинации. Положение кассеты и центрация пучка рентгеновского излучения те же (рис. 330).
3. Укладка при выполнении снимка локтевого сустава в прямой проекции в случаях сгибательной контрактуры в суставе имеет некоторые особенности. Для получения изображения суставной щели необходимо уложить руку так, чтобы к кассете, расположенной на снимочном столе, прилегала задняя поверхность предплечья. Ладонь при этом обращена вверх. Плечо располагается под углом к кассете. В зависимости от выраженности сгибательной контрактуры больной либо сидит на высокой скамейке у края стола, либо стоит. Пучок рентгеновского излучения направляют отвесно на середину локтевой ямки (рис. 331). При угле сгибания больше 90° изображение суставной щели получается искаженным.
Информативность снимка. На рентгенограмме выявляются дистальный конец плечевой кости, ее суставная поверхность, образованная головкой и блоком, рентгеновские суставные щели плечелучевого, плечелоктевого и проксимального лучелоктевого суставов, головка лучевой кости, локтевой и венечный отростки локтевой кости и проксимальные отделы диафизов лучевой и локтевой костей (рис. 332).
Критерием правильности укладки является отображение рентгеновских суставных щелей плечелоктевого и плечелучевого суставов в виде лентовидной извилистой полосы просветления.


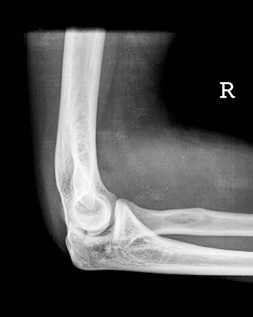
СНИМОК ЛОКТЕВОГО СУСТАВА В БОКОВОЙ ПРОЕКЦИИ
Назначение снимка. Снимок в боковой проекции является обязательным при исследовании локтевого сустава, так как только при рентгенографии в двух взаимно перпендикулярных проекциях могут быть правильно оценены изменения и в самом суставе, и в смежных отделах костей.
Укладка больного для выполнения снимка. Больной сидит боком к столу.
Рука отведена в плечевом суставе и согнута под прямым углом в локтевом суставе. Кисть находится в положении пронации.
Плоскость, соединяющая надмыщелки плечевой кости, должна быть перпендикулярна к плоскости кассеты. Для этого длинная ось плечевой кости должна находиться в горизонтальной плоскости, дистальный конец предплечья слегка приподнят (на 10—15°).
Кассета размером 18X24 см размещена на столе, область локтевого сустава примыкает к ней внутренней поверхностью. Пучок рентгеновского излучения направлен отвесно на суставную щель в центр кассеты (рис. 333),

Информативность снимка. На снимке определяются дистальный отдел плечевой кости и проксимальные отделы костей предплечья. Хорошо видны локтевой и венечный отростки локтевой кости, головка и шейка лучевой кости.
Блок и головка плечевой кости проекционно наслаиваются друг на друга и определяются на снимке в виде концентрических кругов, что и служит показателем правильности укладки (рис. 334).

СНИМОК ЛОКТЕВОГО СУСТАВА В АКСИАЛЬНОЙ ПРОЕКЦИИ
Назначение снимка. Снимок предназначен для изучения локтевого отростка и заднего отдела суставной поверхности блока плечевой кости.
Укладка больного для выполнения снимка. Больной сидит боком или лицом к столу. Рука максимально согнута в локтевом суставе и прилегает задней поверхностью плеча к плоскости стола. Кисть ладонью прилежит к области плечевого сустава. Кассету размером 13X18 см укладывают под область локтевого сустава.
Пучок рентгеновского излучения направляют на выступающий локтевой отросток перпендикулярно к кассете (рис. 335).

Информативность снимка. На снимке видны локтевой отросток локтевой кости, блок плечевой кости, медиальный и латеральный надмыщелки плечевой кости, головка лучевой кости, рентгеновская суставная щель плечелоктевого сустава (рис. 336).
Теги: локоть
234567 Начало активности (дата): 23.12.2019 20:11:00
234567 Кем создан (ID): 989
234567 Ключевые слова: локтевой сустав, плечелоктевой сустав,рентген, укладка, прямая проекция
12354567899
Рентген локтевого сустава: что показывает и как правильно сделать?
Рентген локтевого сустава является одним из самых популярных и эффективных методов диагностики при подозрении на развитие какой-либо суставной патологии. На рентгеновских снимках можно увидеть:
- разрастание костной ткани по краям хряща локтевого сустава;
- нарушение структуры поверхности костной ткани сустава;
- локализацию отложений кальция.
Перелом
На рентгеновских снимках такая патология, как перелом локтевого сустава, будет видна достаточно чётко. Снимок поможет определить сложность перелома, его локализацию и вид.
Сами кости локтевого сустава на снимках отображаются в виде белых продолговатых образований. Переломы - это затемнённые линии на кости. Их ход (направление) определяет вид перелома - косой, поперечный, винтообразный. При множественных переломах или оскольчатых таких линий будет несколько.
Вывих
Вывих локтевого сустава представляет собой смещение костей предплечья из места, где соединяются их окончания с нижней частью плечевой кости. На снимке, соответственно, именно это и визуализируется. Различают два вида вывиха - наружу и внутрь.
Трещины
Аналогично перелому,трещина локтя визуализируется на снимке рентгена как темная линия. При этом она не пересекает кость полностью. Чтобы точно определить наличие трещины и её локализацию, нужно делать прицельный снимок или выполнять его в нескольких проекциях, так как мелкие трещины так явно могут быть и не видны.
Артрозы и артриты
Артрозом локтевого сустава называют разрушение в нём хрящевой ткани, вследствие чего локоть теряет подвижность и амортизирующие функции. На рентгеновском снимке при артрозе практически незаметно межсуставной щели, кости предплечья и плеча в некоторых местах имеют плотное прилегание.
При артрите локтевого сустава может наблюдаться отёк и воспаление синовиальной мембраны, выстилающей полость сустава. Также имеет место нарушение структуры костной ткани. На рентгеновском снимке можно заметить изменение структуры и патологию соединения костей сустава.
Синовит
Синовит - это заболевание, при котором воспаляются внутренние оболочки локтевого сустава, а в его полости скапливается жидкость. Такую патологию можно заметить чисто визуально - в области локтя образуется припухлость, мягкая на ощупь. Для уточнения делают рентген локтя, чтобы убедится, что припухлость образуется именно из-за скопления жидкости.
Врожденные аномалии
К наиболее часто встречающейся врождённой аномалии относится вывих головки лучевой кости. На рентгеновском снимке при такой патологии можно увидеть, что головка лучевой кости не лежит в лучевой вырезке локтевой кости.
Термин «врождённая аномалия» не означает, что уже в первые месяцы после рождения ребёнка она чётко проявляется. Не всегда родители или даже врачи могут обратить внимание на некоторое ограничение движений локтей ребенка. Для подтверждения диагноза нужна точная диагностика, это рентген либо МРТ или КТ.
Обменные нарушения
Нарушение обмена веществ, ввиду которого образуются скопления излишков кальция в области локтевого сустава, на рентгене будут заметны. В этом случае локтевые и лучевые кости будут иметь форму, отличную от нормы (то есть в отдельных частях костей могут наблюдаться выпуклости или другие отклонения от нормальной формы).
В каких случаях назначают рентген локтя?
Рентген локтевого сустава - это не просто фото костей руки. Это процедура, которая делается только по назначению врача, при наличии определённых показаний и имеет ограничение по количеству проведений (так как рентгеновские лучи могут оказать негативное влияние на организм человека).
Болевой синдром в этой области
Практически в 100% случаев рентген локтевого сустава назначают, когда пациент жалуется на боль в этой области. Боль может ощущаться при движении руки или в состоянии покоя, иметь различную интенсивность, быть колющей, ноющей или любой другой. Если боль в локте имеет место, всегда есть смысл сделать рентген для уточнения диагноза. Все вышеперечисленные патологии локтевого сустава могут иметь болевой синдром.
Отечность тканей
Ярко выявленный отёк тканей локтя может стать следствием удара, травмы, перелома или различных болезней суставов. Также возможно, что костная ткань тут не причём,а проблема кроется в мягких тканях. Рентген в этом случае поможет точно выявить причину отёка.
Изменение цвета (покраснение, синюшность)
Исследование с помощью рентгена может назначаться, когда в области локтевого сустава наблюдается покраснение или синюшность. Возможно, это следствие удара или ушиба. Если пациент не может вспомнить таких случаев, проблема может скрываться гораздо глубже.
Высокая температура (как общая, так и местная)
Воспалительные процессы, протекающие в локтевом суставе, могут провоцировать повышение температуры: как общей, так и местной (когда область локтя заметно горячее, чем остальные участки тела). Рентген поможет выявить, с чем связано повышение температуры.
Ограничение подвижности
Сложное сгибание и разгибание локтя - одно из показаний для рентгена. Причин ограничения подвижности много: артрит, артроз, врождённая патология и так далее.
Особенности проведения рентгена детям
Развивающийся детский организм в силу несовершенства более подвержен негативному влиянию ионизирующих лучейрентгеновского аппарата, чем взрослый. Опасность рентгена для детей заключается в высокой вероятности злокачественного перерождения клеток, попадающих в зону облучения. Чем меньше возраст ребёнка, тем больше опасность и тем чаще могут наблюдаться осложнения.
Рентген локтевого сустава (локтя) у детей в норме может производиться после исполнения ребёнку 14 лет. Для более раннего проведения рентгена должны быть серьезные показания, например, травма или падение, вследствие которых локтевой сустав раздробился или деформировался.
Как проходит процедура рентгена локтя?
Рентген локтя взрослого человека или ребёнка (если для диагностики эта процедура неизбежна) не требует предварительной подготовки. Он безболезнен и делается буквально за несколько секунд.
Пациента усаживают возле стола рентгеновского аппарата. Затем кладут его руку на стол, сгибая её в локте, и делают снимок. Далее может быть выполнено ещё несколько снимков в других проекциях (например, при выпрямленной руке).
При сканировании рукой нельзя шевелить. Это навредит качеству снимка.
Для защиты от лишнего облучения на пациента надевается специальный свинцовый жилет.
Кому нельзя делать рентген?
Рентген противопоказано делать беременным женщинам, пациентам в тяжёлом состоянии, страдающим шизофренией, ожирением.

Наши медицинские центры
- Взрослое отделение
- Диагностика
- Консультации
- Центр лечения боли
- Центр здоровья сердца
- Центр здоровья женщины
- Центр эндокринологии
- Детское отделение
- Массаж
- Нефрология
- Оториноларингология
- Офтальмология
- Эндокринология
Запись по ОМС на МРТ и КТ
Включить версию для слабовидящих?
Настоящим я даю своё согласие ООО «Диагностический центр «Энерго» (далее - Общество) (ИНН: 7810812758, юридический адрес - 196084, город Санкт-Петербург, ул. Киевская, д. 5 к. 4, помещ. 20-н), далее - «Оператор», и третьим лицам, осуществляющим обработку моих персональных данных по поручению Оператора, на обработку указанных сведений обо мне, в целях содействия в трудоустройстве.
Я соглашаюсь на сбор, запись, систематизацию, накопление, хранение, уточнение (обновление, изменение), извлечение, использование, передачу (предоставление, доступ), блокирование, удаление, уничтожение моих персональных данных, а также на осуществление любых других действий, предусмотренных действующим законодательством Российской Федерации, совершаемых с использованием средств автоматизации или без использования таких средств.
Настоящее согласие дано мною лично и добровольно. Настоящее согласие действует до момента его отзыва при отсутствии у Оператора других законных оснований для обработки персональных данных и может быть отозвано мной в любой момент в письменной форме путем направления уведомления Оператору по адресу, указанному выше.
Мы используем cookie-файлы, IP-адреса и данные об устройствах для аналитики, чтобы Ваше посещение сайта было удобным и персонализированным. Вы можете отключить cookie-файлы в настройках вашего браузера. Продолжая пользоваться нашим сайтом, Вы даете согласие на обработку перечисленных данных и принимаете условия Политики обработки и обеспечения безопасности ПДн.
Рентген локтевого сустава
Рентген локтя назначается пациентам, чтобы быстро и объективно оценить состояние костей, выявить признаки травмы или хронического заболевания. Рентгенография на современных аппаратах обладает высокой информативностью, поэтому зачастую по результатам диагностики врачу сразу же удается поставить точный диагноз.
Для удобства пациентов рентгенографию можно пройти в «СМ-Клиника» по предварительной записи без ожидания в очереди. Исследование проводится на оборудовании экспертного класса, а готовые снимки выдаются на руки в течение 20-30 минут.
Рентгенография в «СМ-Клиника» это
Цели рентгенодиагностики
Сделать рентген локтевого сустава - самый быстрый и доступный способ оценить состояние костных структур. Такая диагностика не требует дополнительного введения контрастного вещества, поскольку плотная костная ткань задерживает рентгеновские лучи и хорошо визуализируется.
Рентгенограммы помогают подтвердить/исключить наличие таких патологических изменений:
- признаки неправильно сросшегося перелома;
- вывих или подвывих локтя - смещение суставных поверхностей относительно друг друга;
- воспалительные процессы, которые могут указывать на артрит, остеомиелит;
- дегенеративно-дистрофические изменения структур локтевого сустава, которые типичны для артроза, остеопороза, ревматических болезней;
- объемные образования костной ткани, которые свидетельствуют о доброкачественной или злокачественной опухоли.
Исследование помогает врачу-травматологу быстро определить характер перелома после травмы: сильного удара, падения на локоть, сильного выкручивания или загиба руки. В таком случае при проведении рентгена локтевого сустава на снимках удается обнаружить надмыщелковый или чрезмыщелковый перелом плеча, перелом отростков локтевой кости, перелом Монтеджи (перелом локтевой кости в области локтевого сустава с одновременным вывихом лучевой кости) и другие варианты повреждения костей.
Показания
Чаще всего на рентгенологическое обследование пациента направляет травматолог-ортопед, ревматолог или хирург. На снимках врач может рассмотреть состояние всех 3-х костей, образующих локоть: плечевой, локтевой и лучевой, а также оценить их взаиморасположение, конфигурацию сустава, косвенные признаки патологии мышечной или хрящевой ткани.
Диагностика проводится при наличии характерных жалоб:
- боли в области локтя во время движений или в покое;
- уменьшение подвижности в локтевом суставе, неприятные «щелчки» при сгибании-разгибании руки;
- покраснение и отечность кожи вокруг локтя;
- повышение температуры кожи над локтевым суставом;
- деформация и/или неестественное положение руки.
Цена рентгена локтевого сустава невысока, данное исследование назначают не только на этапе первичной диагностики, но и для контроля динамики заболевания, подготовки к оперативному вмешательству, подтверждения полного выздоровления.
Исследование также может применяться при симптомах поражения нервов верхней конечности: онемении пальцев, покалывании и чувстве ползания «мурашек» по коже, слабости кистей рук, нарушениях мелкой моторики. Рентгенодиагностика позволяет выявить костные изменения, которые могли стать причиной сдавливания нервных стволов.

Рентген локтевого сустава - это метод визуализации с использованием рентгеновских лучей для получения изображения структур этой области. Рентгенологическое исследование локтевого сустава предоставляет информацию для диагностики различных патологий, включая травмы и позволяет определить тактику лечения. Локтевой сустав представляет собой сочленение между дистальной частью плечевой кости и костями предплечья.
Ограничения
Рентген локтевого сустава достаточно информативный метод диагностики, если речь о необходимости диагностики различных повреждений костей и структур локтевого сустава. Однако, если происходят изменения в морфологической структуре мягких тканей (мышцы, связки или сухожилия), то возможности рентгена не очень высокие и предпочтительнее использовать другие методы медицинской визуализации, такие как МРТ. Кроме того, для диагностики инфекций или опухолей может потребоваться такой метод, как ПЭТ.
Интерпретация результатов
Рентгеновские снимки просматривает врач- рентгенолог. Врач-радиолог — это специалист у которого есть навыки сравнительного анализа изображений нормальных структур локтевого сустава и обнаруживать патологические изменения в структуре сустава. На основе визуального анализа врач-рентгенолог выдает письменное заключение о наличие морфологических изменений в локтевом суставе и передает описание снимков лечащему врачу.
Рентгеновские снимки локтевого сустава показаны при различных состояниях, включая:
- травмы
- болезненность в области сустава
- подозрение на перелом проксимального отдела лучевой и локтевой кости
- подозрение на перелом дистальной части плечевой кости
- вывихи радиальной головки
- при наличии явной деформации сустава
- выявление накопления жидкости в суставе (остеоартроз)
- инфекционное поражение структур сустава
- опухоли
Целью рентгеновского исследования локтевого сустава может быть диагностика заболеваний или мониторинг прогрессирования заболевания.
Риски
Риск при проведении рентгена локтевого сустава очень низкий. За последние годы, с появлением цифровых рентгеновских аппаратов и новых протоколов обследований, дозу облучения удалось значительно снизить и уменьшить риск воздействия ионизирующей радиации на организм человека.
В целом, двумя основными факторами риска для рентгена локтевого сустава являются: 1) возможность развития рака вследствие чрезмерного облучения; 2) вред для плода и / или репродуктивных органов.
Риск возникновения рака из-за рентгеновской визуализации возрастает при повторном, многократном воздействии рентгеновских лучей или воздействии большой дозы рентгеновских лучей. Как правило, проведение нескольких рентгеновских снимков локтевого сустава недостаточно, чтобы провоцировать развитие рака.
При наличии беременности или даже подозрения на ее наличие необходимо информировать об этом лечащего врача и специалиста -радиолога, прежде чем проводить рентген локтевого сустава. Но риск опасного действия рентгена особенно высок при воздействии на область живота. Поэтому, если есть клиническая необходимость для проведения рентгена локтевого сустава, то это исследование можно провести с использованием специального свинцового фартука, который позволяет защитить область живота и репродуктивные органы от рассеянного рентгеновского излучения.
Преимущества
Рентгенография - это быстрый, безболезненный и недорогой метод медицинской визуализации, позволяющий диагностировать причину болей в локте или нарушения амплитуды движений. При подозрении на перелом или вывих кости рентген позволяет быстро определить повреждение и подобрать адекватную тактику лечения.
Проекции рентгена локтевого сустава
- Как правило, при проведении рентгена локтевого сустава используются снимки в двух проекциях: переднезадняя и боковая.
- В зависимости от предполагаемой патологии или травмы локтя, рентгенолог может изменить угол среза снимка или положение локтя.
- Рентгенолог также может провести снимки локтевого сустава в согнутом или разогнутом состоянии, в зависимости от целей диагностики.
Что можно увидеть на рентгеновском снимке локтевого сустава?
Как правило, при сканировании локтевого сустава с помощью рентгеновской визуализации можно получить информации о костных структурах этой области.
Но если требуется визуализация мягких тканей этой области, то рекомендуется проведение МРТ -исследования.
Рентген локтевого сустава (локтя)
Локтевой сустав - довольно уязвимое место, подвергаемое частым нагрузкам, травмам и нарушениям. Он имеет сложное анатомическое строение и состоит из плечелучевого, плечелоктевого и лучелоктевого суставов, соединенных в одной капсуле.
К травматологу в основном обращаются с вывихами, ушибами, переломами локтевого сустава и с неприятными симптомами, могущими быть предвестниками заболеваний и патологий. Для определения характера и степени повреждения и для постановки точного диагноза врач назначает рентгенографию локтевого сустава.
Врачи-специалисты
В настоящее время на сайте ведутся работы по изменению прайс-листа, актуальную информацию уточняйте по тел: 640-55-25 или оставьте заявку, с Вами свяжется оператор.
Цены на услуги
- Рентгенография предплечья локтевой кости и лучевой кости в прямой задней проекции 990 a
- Рентгенография локтевого сустава в прямой задней проекции 990 a
- Рентгенография локтевого сустава в аксиальной проекции 990 a
- Рентгенография локтевого сустава в боковой проекции 990 a
- Рентгенография предплечья локтевой кости и лучевой кости в боковой проекции 1485 a
Наши клиники в Санкт-Петербурге

- Автово
- Проспект Ветеранов
- Ленинский проспект
- Девяткино
- Гражданский проспект
- Академическая
Рентгенография локтевого сустава позволяет обнаружить воспаления, опухоли, различные изменения суставной щели и прилегающих тканях, исследовать смежные области локтевого сустава, определить характер повреждения.
Вы можете максимально быстро и эффективно сделать рентгенографию локтевого сустава на новейшем итальянском оборудовании в сети клиник «Медицентр». В клиниках открыто травматологическое отделение, где опытные и компетентные специалисты окажут Вам необходимую первую помощь при травмах и повреждениях, сделают рентгенографию локтевого сустава, выявят при наличии патологии и заболевания и назначат грамотное эффективное лечение.
Виды заболеваний локтевого сустава
К основным видам заболеваний, выявляемым при рентгенографии локтевого сустава, относятся остеоартроз, остеопороз, ревматоидный артрит, подагра, остеофит, «локоть теннисиста» (латеральный эпикондилит), тендинит и т.д.
Показания и противопоказания к рентгену локтевого сустава
Рентгенография локтевого сустава показана при болях в области локтя, косорукости (отклонение кисти от продольной оси локтевой и лучевой кости), нарушении подвижности, опухолевых процессах, воспалительно-дегенеративных патологиях, травмах, таких как вывихи, переломы, ушибы, подвывихи, при подозрении на различные рода патологии и заболевания и т.д.
Противопоказаниями к рентгенологическому исследованию локтевого сустава являются беременность, критическое состояние пациента, наличие психических и неврологических заболеваний, не позволяющих оставаться в состоянии покоя. Детям до 15 лет любое рентгенологическое исследование проводится строго по показаниям при наличии направления лечащего врача
Подготовка к проведению рентгенографии локтевого сустава
Специальной подготовки исследование не требует, оно может выполняться в экстренных неотложных ситуациях. При плановом проведении рентгенографии локтевого сустава желательно снять металлические предметы с исследуемой области, а также с прилегающих к ней участков тела.
Процедура проведения рентгенографии локтевого сустава
Рентген - снимок локтя делается в трех проекциях: прямой, боковой и аксиальной. При рентгенографии локтевого сустава пациент сидит, а его рука располагается на столе. В некоторых случаях пациента кладут на спину или на бок или делают снимок в положении стоя.
После получения снимков и их описания пациент направляется в зависимости от выявленной травмы, заболевания, патологии к врачу травматологу, ортопеду, хирургу, ревматологу или более узким специалистам, таким как онколог, эндокринолог и т.д.
Читайте также:
- Исследование и диагностика рака поджелудочной железы
- Влияние препаратов на сердечные аритмии. Автоматические аритмии
- Хирургическая анатомия желудка. Формы, стенки и кривизна желудка.
- Техника восстановления общего желчного протока. Операции по восстановлению общего желчного протока.
- Формы нарушения AV проводимости. Неполная AV блокада
