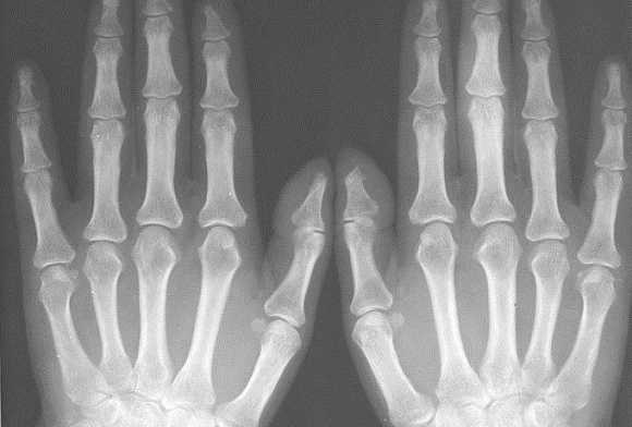
Рекомендации по анализу рентгенограммы пальца кисти в боковой проекции
Добавил пользователь Валентин П. Обновлено: 11.12.2025
Кисти рук выполняют большой объем движений и часто подвергаются травматизации, что вынуждает пациента обращаться к врачу. Для информативной диагностики состояния костей используется рентгенография пальцев рук. С помощью этого метода удается получить детализированные снимки, показывающие состояние костей и суставных сочленений, косвенные признаки повреждения окружающих мягких тканей.
В «СМ-Клиника» в Москве пациенты могут сделать рентген пальцев рук на современном аппарате: доступные цены, быстрота выполнения и высокая информативность делают это исследование незаменимым в ортопедии и травматологии.
Рентгенография в «СМ-Клиника» это
Зачем нужно сделать рентген пальца руки
Принцип работы рентгеновского аппарата заключается в сканировании тела лучами с определенной длиной волны, которые не поглощаются мягкими тканями, но задерживаются в плотных костных структурах. Благодаря этому на снимках определяются контуры и структура костей, а также удается оценить конфигурацию и структуру суставов.
Рентгенография помогает в диагностике таких заболеваний:
- различные виды травм пальцев - переломы, вывихи;
- ревматоидный артрит, псориатический артрит;
- деформирующий остеоартроз кистей;
- системная склеродермия и другие виды соединительнотканных патологий;
- остеомиелит фаланг пальца;
- доброкачественные и злокачественные новообразования костной и хрящевой ткани;
- врожденные аномалии развития кисти и пальцев рук.
Чаще всего направление на исследование пациенту выдает травматолог-ортопед. Результаты диагностики могут потребоваться также хирургу, онкологу, ревматологу.
С учетом жалоб и клинической картины врач порекомендует сделать рентген одного пальца руки или провести обзорное исследование всех отделов кисти. Иногда после получения рентгенограммы необходимо уточнить диагноз с помощью КТ кистей рук, УЗИ, МРТ пальцев, электронейромиографии (ЭНМГ).
Показания
Обратиться к врачу для проведения рентгенографии и комплексной диагностики рекомендуется при появлении таких жалоб:
- тугоподвижность пальцев;
- боли в пальцах или кистях рук;
- сложности при выполнении работы, требующей мелкой моторики (шитье, набор текста, работа на станках);
- снижение силы кистевого захвата;
- хруст и щелчки при движениях пальцами;
- припухлость, покраснение и болезненность межфаланговых суставов руки;
- деформации пальцев руки;
- онемение и побледнение кожи пальцев на холоде, при стрессах.
Рентген пальца на руке обязательно проводится после механической травмы (удар, защемление дверью), чтобы проверить целостность костей.
В первые часы после повреждения на фоне сильного отека сложно обнаружить признаки перелома без смещения, а рентгенография помогает травматологу-ортопеду быстро поставить правильный диагноз.
Исследование кистей и пальцев руки нередко назначается людям с хроническими заболеваниями соединительной ткани, поскольку при этих патологиях существует высокий риск поражения мелких суставов и костей верхней конечности.
Как проходит рентген пальцев кисти руки
Результаты проведения процедуры:
снимки и подробное заключение врача-диагноста с описанием состояния пальцев руки
Для получения достоверной информации о состоянии фаланг пальцев и пястных костей обычно требуются рентгенограммы в двух проекциях - прямой и боковой. Для выполнения снимков пациент находится в положении сидя и кладет исследуемую руку на стол ладонью вниз. Чтобы придать кисти нужное положение, могут использоваться специальные кассеты.
Во время исследования необходимо будет сидеть неподвижно. Рентгеновская трубка цифрового аппарата вращается вокруг стола и сканирует кисть руки под разными углами. Снимки сразу же появляются на подключенном к аппарату компьютерном мониторе. Проведение рентгена пальцев руки в Москве занимает не более 10 минут.

Цифровая рентгенография обеспечивает быстроту получения снимков. Изображения пальцев рук в нескольких проекциях будут готовы спустя 20-30 минут после завершения процедуры. Опытный рентгенолог центра «СМ-Клиника» изучает снимки и выявляет патологические изменения, на основании чего составляет врачебное заключение. Рентгенограммы выдаются на пленке или в цифровом формате (запись на диске).
С готовыми снимками и их описанием пациенту необходимо будет повторно посетить врача-клинициста для постановки диагноза и подбора лечения.
Подготовка
Еще одним преимуществом рентгена пальца руки, помимо его доступной цены, является простота проведения. Исследование не требует подготовки, поэтому при необходимости выполняется сразу же в день обращения пациента к врачу. Перед началом диагностики нужно будет немного закатать рукав одежды и снять с пальцев украшения. Наличие лака или гель-лака на ногтях у женщин не является преградой к обследованию.

Полезная информация
Противопоказания
Рентгенография имеет ряд ограничений, но благодаря разработке современных аппаратов со сниженной лучевой нагрузкой их число заметно снизилось. На сегодня исследование можно проводить даже маленьким детям и беременным женщинам, если врач не может получить важную диагностическую информацию другим способом.
Другими относительными противопоказаниями являются:
- общее тяжелое состояние пациента;
- наличие открытого кровотечения;
- высокая доза рентгеновского облучения, полученная за последние 12 месяцев.
Цены рентгенографии
Рентгенография - недорогой метод диагностики, поэтому практически всегда назначается при первичном обследовании пациента в ортопедии. Сколько стоит рентген пальцев руки, зависит от количества проекций, типа снимков: прицельное сканирование одного-двух пальцев или обзорная рентгенограмма. Посмотреть цены рентгенологического исследования в «СМ-Клиника» можно в таблице на этой странице.
Для записи на рентгенологическое исследование оставьте заявку через форму обратной связи на сайте или позвоните нам по телефону.
Цены на рентген пальцев кисти






















© 2002-2022 ООО «СМ-Клиника»
Все материалы данного сайта являются объектами авторского права (в том числе дизайн). Запрещается копирование, распространение (в том числе путем копирования на другие сайты и ресурсы в Интернете) или любое иное использование информации и объектов без предварительного письменного согласия правообладателя. Указание ссылки на источник информации является обязательным.
Лицензия № ЛО-77-01-018779 от 19 сентября 2019 г.
Рентген кисти
Рентген руки помогает детально оценить состояние костных структур кисти, а также обзорно изучить строение рядом расположенных мягких тканей. Исследование безболезненно, неинвазивно и информативно. Метод широко используется для выявления травматических повреждений, воспалительных и дегенеративно-дистрофических процессов.
В Москве в «СМ-Клиника» рентгенологическое обследование проводится в плановом и экстренном режиме. Полученные данные помогают лечащему врачу установить правильный диагноз и назначить целенаправленное лечение.
Преимущества прохождения рентген-диагностики в «СМ-Клиника»
Цель рентгенографии кистей рук
Рентген запястья руки, пястья и пальцев помогает провести первичную диагностику, определить стадию патологического процесса, степень выраженности изменений и по возможности оценить наиболее вероятную причину заболевания. С помощью рентгенографии удается выявить следующие состояния:
- травматические повреждения (переломы, трещины, вывихи и подвывихи);
- артрит - воспалительное поражение суставных тканей;
- остеомиелит - воспаление костномозговых структур;
- аномалии развития кисти;
- артроз и остеоартроз средних суставов, связанный с разрушением хрящевой пластинки;
- первичные и вторичные опухоли, которые могут поражать костные и мягкотканные структуры кисти.
Рентгенография кисти используется не только для постановки первичного диагноза, но и для отслеживания динамики патологического процесса. Рентгенсканирование может проводиться как в рамках предоперационной диагностики, так и после выполнения хирургической коррекции, помогая наглядно оценить эффективность операции.
Сделать рентген кисти врач может рекомендовать в следующих случаях:
- боли, которые возникают в покое или при физической нагрузке;
- отечность тканей кисти и области лучезапястного сустава;
- покраснение кожи, особенно в сочетании с болевым синдромом;
- бледность кожи, сочетающаяся с зябкостью кистей рук;
- появление деформаций;
- ограничение подвижности в суставах пальцев кисти или в лучезапястном суставе;
- полученная травма, которая может либо сопровождаться нарушением целостности кожи, либо нет;
- планируемое травматологическое или ортопедическое вмешательство;
- послеоперационный период;
- необходимость определения костного возраста пациента для его сопоставления с биологическим возрастом (широко используется в эндокринологии);
- необходимость оценки адекватности фосфорно-кальциевого обмена в организме.
Показания для рентгенографии кистей рук определяет лечащий врач. Специалист использует полученные данные для определения тактики ведения пациента, которая может заключаться в наблюдении, проведении консервативной терапии, выполнении малоинвазивных вмешательств или открытой операции.
Рентген кисти руки: подготовка к проведению, расшифровка и нормальные показатели

Рентген кисти рук - довольно распространённая диагностическая процедура, которую назначают для оценки состояния костей, выявления их патологий, повреждений и других отклонений. Рентген кисти - процедура неинвазивная, потому и безболезненная. Для её выполнения понадобится несколько минут. Лучевая нагрузка на организм человека при съёмке кисти минимальна, поэтому такое исследование допускается проводить несколько раз в год, если это необходимо.
Показания для проведения
В основном показаниями к рентгену кисти рук являются травмы, патологические процессы, которые влияют на функционирование руки и её форму (отклонение формы от нормы может быть видно невооруженным взглядом). Также рентген рекомендовано назначать в следующих случаях:
- болевые ощущения в кистях рук при движении и в состоянии покоя;
- деформации суставов;
- переломы, ушибы костей кисти;
- воспалительные заболевания костей кисти;
- доброкачественные и злокачественные новообразования;
- аномалии сустава, передающиеся наследственным путем.
Заболевания и травмы рук
Рентген кистей поможет выявить следующие заболевания рук:
- синовит - скопление жидкости в кистевых суставах;
- кальцификаты - первый признак артрита;
- тендинит и теносиновит - уплотнения и утолщения запястья, вызванные воспалением;
- остеопороз - истончение кортикального слоя диафиза короткотрубчатых костей;
- кисты - новообразования округлой формы, расположенные в центральном или субхондральном отделах костного эпифиза;
- остеофиты - костное разрастание края поверхности сустава в виде острого шипа.
Что покажет рентген костей кисти?
Травматические повреждения
В структуре кисти - довольно много мелкоразмерных костей. Потому и видов переломов кисти существует тоже много:
- открытый и закрытый;
- абсолютный разлом или трещина;
- множественный или изолированный;
- диафизарный (линия перелома располагается на теле кости), околосуставной (линия перелома - между концом кости и ее телом) и внесуставной (линия надлома - на конце кости);
- первичный (появляется при первичном травмировании в момент воздействия силы) и вторичный (смещение случается позже, в результате воздействия прикрепленных к сломанным костям мышц);
- стабильный (отломки остаются на прежнем месте) и нестабильный (случается вторичное смещение отломков).
Ревматические поражения
Рентген кистей рук при ревматоидном артрите - важная диагностическая процедура, которая позволяет точно выявить стадию развития заболевания. Главными рентген-признаками данной патологии являются припухлости мягких тканей сустава. Также об артрите свидетельствует незначительное сужение межсуставной щели и визуализируемый остеопороз. На более поздних стадиях развития патологии будут видны эрозии костей, которые имеют вид некрупных краевых дефектов в суставных концах костей. В эпифизах костей фаланг пальцев могут виднеться округлые просветления.
При проведении рентгена кистей рук с функцией увеличения изображения можно выявить нарушение целостности замыкающих пластинок уже на первых стадиях развития ревматоидного артрита. По мере прогрессирования заболевания будет наблюдаться ухудшение картины - сустав будет становиться всё уже, появятся очаги эрозии, станет ярче выраженность остеопороза. В результате разрушения суставных концов кости могут появиться подвывихи.
Подготовка к рентгену

Чтобы сделать рентген правой и левой кистей рук, предварительная подготовка не нужна. Перед процедурой надо снять кольца, браслеты, часы и расположить руки (или руку) на рабочем столе рентгеновского аппарата так, как скажет специалист-рентгенолог.
Для защиты от влияния ионизирующего излучения тех частей тела пациента, которые не участвуют в исследовании, используются специальные свинцовые фартуки или жилеты.
Как проходит обследование?
Для проведения рентгеновской съёмки пациента усаживают на стул рядом со столом рентгеновского аппарата. Руку нужно согнуть в локте, а кисть положить на стол. От того, насколько правильна будет произведена укладка кисти, зависит информативность получаемого снимка. На практике используется несколько вариантов укладки:
- Прямая проекция. Для такой съёмки кисть укладывается горизонтально, на стол - тыльной стороной или ладонью. Лучи рентгена будут проходить через кисть перпендикулярно кассете с плёнкой. На таком снимке будут определяться все кости запястья, за исключением гороховидной. Также будут видны лучезапястный сустав, пястные кости, запястно-пястные суставы, межзапястный сустав и фаланги пальцев.
- Боковая проекция. Для такой съёмки нужно расположить ладонь ульнарным краем на кассете. Большой палец при этом нужно слегка отвести вперёд. На таком снимке будут хорошо видны контуры костей запястья, пястные кости, фаланги. Такая проекция оказывается наиболее полезной в травматологии, когда нужно выявить смещения пястных костей.
- Косая тыльная проекция. Кисть нужно расположить так, чтобы её тыльная поверхность образовывала угол 45° с кассетой. Такой снимок покажет состояние трёхгранной кости, гороховидной, крючковатой, а также первой и пятой пястных костей.
- Косая ладонная проекция. Кисть располагается так, чтобы ладонная поверхность образовывала угол 45° с кассетой. На этом снимке будет видно ладьевидную, трапециевидную кости и кость-трапецию.
Расшифровка результатов

Расшифровку рентгена кистей рук делает специалист-рентгенолог сразу после завершения съёмки. Он оценивает взаимное расположение костей кисти, их соединение между собой, целостность. Также уделяется внимание оценке структуры и плотности костей.
Нормальные показатели
В норме кости кистей рук должны иметь однородную структуру. На снимках не должно быть затемнений на белых участках. Между костями должна присутствовать щель.
Если повреждению подверглась только одна кисть, для более точного диагностирования патологии могут сделать рентген и здоровой конечности. Так будет легче провести сравнение и выявить отклонения.
Противопоказания для проведения
Особых противопоказаний для рентгенографии кистей рук нет. С осторожностью стоит назначать данную процедуру беременным женщинам, а лучше перенести её на послеродовой период или заменить на МРТ.
Также не рекомендуется делать рентген детям в возрасте до 15 лет, если к тому нет серьезных показаний.
Рентгенографию запястья в прямой, боковой, косых и некоторых специальных проекциях применяют главным образом в травматологии с целью определения перелома и направления смещения отломков.
Укладки больного для выполнения снимков. Предложен ряд укладок как для рентгенографии запястья в целом, так и для изучения отдельных костей. К типичным укладкам относят рентгенографию запястья в прямой, боковой проекции, косой ульнарной и косой радиальной проекциях; к специальным — укладки для рентгенографии ладьевидной, трехгранной, гороховидной кости и канала запястья. При съемке можно использовать либо кассеты размером 13Х 18 см для каждого снимка, либо кассеты большего размера (18X24 или 24X30 см), перекрывая поочередно неэкспонируемые участки листами просвинцованной резины.
Снимок запястья в прямой проекции может быть выполнен как при ладонном, так и при тыльном прилежании кисти к кассете. Больной сидит боком к столу. Рука согнута в локтевом суставе, лежит на столе.
Кисть в положении пронации или супинации укладывают на горизонтально расположенную кассету.
Пучок рентгеновского излучения направляют перпендикулярно к кассете на середину запястья (рис. 349).

На рентгенограмме хорошо дифференцируются все кости запястья, за исключением гороховидной, которая проекционно наслаивается на трехгранную кость. В проксимальном ряду запястья определяются ладьевидная, полулунная и трехгранная кости, в дистальном ряду — кость-трапеция, трапециевидная, головчатая и крючковатая кости. Между этими двумя рядами костей выявляется щель межзапястного сустава. Между дистальным рядом костей запястья и основаниями пястных костей прослеживаются запястно-пястные суставы (рис. 350).
Снимок запястья в боковой проекции — выполняется при том же положении больного и кассеты. Кисть укладывают на кассету медиальным (ульнарным) краем строго боком. I палец отводят вперед.
Пучок рентгеновского излучения центрируют на ладьевидную кость (рис.351).

На рентгенограмме запястья в боковой проекции кости запястья проекционно наслаиваются друг на друга. Однако можно проследить контуры костей, зная их анатомическое расположение (рис. 352).
Снимок запястья в косой тыльной ( ульнарной ) проекции . Исследуемая конечность прилежит к кассете ульнарным краем.
Пучок рентгеновского излучения направляют на локтевое возвышение запястья (рис. 353).

На рентгенограмме наиболее четко выявляются гороховидная, трехгранная кость и крючок крючковатой кости, а также основание и тело I пястной кости. При необходимости получить неискаженное изображение V пястной кости применяют именно эту укладку, но пучок рентгеновского
излучения центрируют дистальнее на проекцию тела V пястной кости (рис. 354).
Снимок в косой лодоной( ульнарной ) проекции. Кисть прилежит к кассете ульнарным краем, отклонена кпереди; ладонная ее поверхность образует с поверхностью кассеты угол в 45°.
Пучок рентгеновского излучения направлен на проекцию межзапястного сустава (рис. 355).

На рентгенограмме хорошо прослеживаются кость-трапеция, ладьевидная и трапециевидная кости (рис. 356).
Специальные укладки для выявления отдельных костей запястья.
Для выявления ладьевидной кости применяют два варианта укладок:
1) кисть лежит ладонью на кассете, отведена в локтевую сторону Пальцы выпрямлены или согнуты. Пучок рентгеновского излучения направлен на проекцию ладьевидной кости (рис. 357, 358); 2) кисть примыкает ульнарным краем к кассете, находится в положении максимального тыльного сгибания.
Пальцы согнуты в кулак. Пучок рентгеновского излучения направлен на проекцию ладьевидной кости (рис. 359, 360).
Для выявления гороховидной кости. Кисть прилежит к кассете ульнарным краем, отклонена кзади так, что тыльная ее поверхность образует с плоскостью кассеты угол в 60°. Пучок рентгеновского излучения центрируют на проекцию гороховидной кости (рис.361, 362).
Для выявления трехгранной кости. Кисть прилежит к кассете ульнарным краем, наклонена вперед так, что ладонная ее поверхность образует с плоскостью кассеты угол в 60° и согнута в лучезапястном суставе под углом 45°. Пучок рентгеновского излучения направляют на проекцию трехгранной кости (рис. 363, 364).
Снимок передней поверхности костей запястья (канала запястья) осуществляют следующим образом: предплечье передней поверхностью прилежит к поверхности стола. Область лучезапястного сустава соответствует средней линии кассеты. Кисть максимально отогнута кзади так, что плоскость ладони находится под углом 90° к плоскости кассеты. Пучок рентгеновского излучения направляют под углом 45° к плоскости ладони, центрируя на проекцию межзапястного сустава (рис. 365, 366).

СНИМКИ КИСТИ В ПРЯМОЙ ЛАДОННОЙ ПРОЕКЦИИ
Назначение снимка — изучение скелета кисти в целом, включая запястье, пястье и фаланги.
Укладка больного для выполнения снимка. Больной сидит боком к краю стола. Рука отведена, согнута в локтевом суставе; кисть находится в положении пронации. Пальцы выпрямлены и сомкнуты.
Кассета размером 18Х 24 см расположена в плоскости стола. Ладонь плотно прилежит к кассете.
Средней поперечной линии кассеты соответствует проекция головок пястных костей.
Пучок рентгеновского излучения направлен отвесно на головку III пястной кости (рис. 367).
Информативность снимка. На снимке выявляются дистальные метаэпифизы костей предплечья, рентгеновская суставная щель лучезапястного сустава, запястье, пястные кости и фаланги. Хорошо видны рентгеновские суставные щели мелких суставов кисти.
При правильно подобранных физико-технических параметрах съемки четко видна губчатая структура костей запястья, концов пястных костей и фаланг. В телах коротких трубчатых костей определяются мозговые полости и корковое вещество (рис. 368).

СНИМОК КИСТИ В БОКОВОЙ ПРОЕКЦИИ
Назначение снимка. Снимок кисти в боковой проекции сравнительно мало информативен, так как II—V пястные кости и фаланги II—V пальцев проекционно наслаиваются друг на друга; изолированно видны лишь I пястная кость и фаланги I пальца. Поэтому в практической работе боковой снимок кисти часто заменяют снимком кисти в косой проекции.
Укладка больного для выполнения снимка. Кисть прилежит к кассете ульнарным краем. Пальцы выпрямлены и сомкнуты.
Плоскость ладони перпендикулярна плоскости кассеты. Пучок рентгеновского излучения направлен в проекции головок пястных костей в центр кассеты (рис. 369).
Информативность снимка. Снимок используют в травматологии как дополнительный снимок для определения смещения отломков пястных костей (рис. 370).

СНИМОК КИСТИ В КОСОЙ УЛЬНАРНОЙ ПРОЕКЦИИ
Назначение снимка. Снимок кисти в косой проекции значительно более информативен, чем снимок кисти в боковой проекции, и именно его чаще всего вместе со снимком в прямой проекции выполняют при исследовании кисти.
Укладка больного для выполнения снимка. Кисть прилежит к кассете ульнарным краем и отклонена вперед таким образом, что плоскость ладони образует с плоскостью стола угол в 45°. Пальцы слегка согнуты и веерообразно раздвинуты, концы пальцев прилежат к кассете. Пучок рентгеновского излучения направляют на проекцию головки 111 пястной кости (рис.371).
Информативность снимка. На снимке видны дистальные метаэпифизы костей предплечья, рентгеновская суставная щель лучезапястного сустава.
Из костей запястья лучше всего прослеживаются кость-трапеция, трапециевидная и ладьевидная кости. Пястные кости и фаланги отображены изолированно, доступны анализу их тыльная и ладонная поверхности. На снимке хорошо видны структура костей, рентгеновские суставные щели мелких суставов кисти (рис. 372).

СНИМКИ ПАЛЬЦЕВ КИСТИ
Назначение снимков. Снимки пальцев выполняют при травме и при воспалительных заболеваниях (костный панариций, артриты и др-).
Укладки при выполнении снимков. Снимки пальцев производят в прямой и боковой проекциях.
Укладки при рентгенографии I пальца и II —V пальцев имеют ряд отличий.
Снимок I пальцакисти в прямой тыльной проекции.
I палец прилежит к кассете тыльной поверхностью. Кисть и предплечье максимально ротированы кнутри. Для фиксации кисти в заданном положении больной удерживает ее здоровой рукой.
Используют кассету размером 13X1 8 см, перекрывая ее поперек листом просвинцованной резины.
Пучок рентгеновского излучения направляют отвесно на проекцию пястно-фалангового сустава (рис. 373).
На рентгенограмме видны фаланги и частично I пястная кость, их медиальные и латеральные поверхности, рентгеновские суставные щели пястно-фалангового и межфалангового суставов, бугристость дистальной фаланги (рис. 374).

Снимок I пальца в боковой проекции. I палец прилежит к кассете лучвым (наружным) краем.
Остальные пальцы слегка согнуты, опираются концами на перекрытую листом просвинцованно резины уже проэкспонированную половину кассеты.
Пучок рентгеновского излучения направлен на проекцию пястно-фалангового сустава (рис. 375).
На рентгенограмме выявляются тыльная и ладонная поверхности фаланг и частично I пястной кости.
Видны наслаивающиеся друг на друга сесамовидные кости рядом с головкой I пястной кости (рис. 376). Снимки необходимо выполнять в двух взаимно перпендикулярных проекциях (рис. 377, а, б).


Снимки 11—V пальцев в прямой ладонной проекции .
Исследуемый палец укладывают ладонной поверхностью на неперекрытую половину кассеты размером 13X18 см. Пучок рентгеновского излучения направляют на проекцию проксимального межфалангового сустава (рис. 378).

На рентгенограмме видны фаланги и может быть частично видна I пястная кость, их медиальные и латеральные края, щели межфаланговых суставов (рис. 379).
Снимки 11—V пальцев в боковой проекции. Исследуемый палец укладывают на свободную половину кассеты размером 13X18 см ульнарным или радиальным краем (как удобнее для данного пальца).
Остальные пальцы отгибают, для фиксации удерживают противоположной кистью.
Пучок рентгеновского излучения направляют отвесно на проекцию проксимального межфалангового сустава (рис. 380).
На рентгенограмме видны фаланги пальцев, их тыльная и ладонная поверхности, бугристость дистальной фаланги, рентгеновские суставные щели межфаланговых суставов (рис.381).

Теги: кисть
234567 Описание для анонса:
234567 Начало активности (дата): 25.12.2019 15:00:00
234567 Кем создан (ID): 989
234567 Ключевые слова: гороховидная кость, кисть, прямая проекция, боковая проекция, ладонь, пальцы
12354567899
Рентген пальца - большого, указательного: что показывает при переломе?

При каких-либо повреждениях пальцев рук или ног (неважно, вызваны они травмой или патологическими изменениями структуры костной ткани) самым эффективным способом диагностики является рентгенография. Такой метод исследования позволяет получать достаточно информативные снимки, на которых изображаются кости конечностей в разных проекциях. Чаще всего рентген пальцев используется в таких областях медицины, как травматология, хирургия, ортопедия.
Что такое рентген пальца?
Рентген пальцев - это диагностический метод, который имеет достаточное количество преимуществ:
- Доступность. Рентген можно пройти практически в любой поликлинике, больнице, травмпункте, частной клинике.
- Информативность. На снимке чётко отображаются кости пальцев рук и ног, а также визуализируются очаги воспалительных заболеваний, переломы и другие патологии.
- Безопасность. Во время съёмки организм человека получает небольшую лучевую нагрузку, благодаря чему рентгенографию разрешено проводить несколько раз в год, если это необходимо.
Рентген пальца на руках или ногах могут назначать в следующих ситуациях:
- При сжимании, разжимании кистей рук пациент ощущает боль или дискомфорт. Ему сложно брать предметы, писать и так далее. Что касается ног, то здесь поводом для рентгена станет боль в ступнях и именно в пальцах при движениях ими, долгой ходьбе, физической нагрузке.
- Ощущение хруста в пальцах рук и ног при движениях ими.
- Заметная деформация пальцев рук, ног.
- Механические травмы конечностей, которые могут быть причинами переломов пальцев рук и ног.
- Воспалительные заболевания костной ткани (артрит, артроз, остеомиелит и другие).
Что покажет рентген пальца?
Рентген поможет выявить:
- травматические повреждения - переломы разных видов, трещины, вывихи;
- ревматические повреждения (артроз, артрит);
- очаги воспалительных заболеваний (например, остеомиелита);
- новообразования злокачественного и доброкачественного характера;
- врождённые патологии строения костей пальцев.
Подготовка к рентгенографии
Чтобы сделать рентген фаланг большого, указательного пальцев рук или снимок пальцев ног, не требуется предварительной подготовки. Нужно только снять всевозможные металлические украшения и аксессуары, которые могут попасть в зону съёмки.
Для защиты других частей тела от рентгеновского излучения на пациента надевают свинцовый фартук или жилет. Область щитовидной железы могут закрыть специальной накладкой.
Как проводится обследование?

На рабочий стол рентгеновского аппарата кладется подготовленная кассета. На нее укладывается предназначенная для исследования конечность, пальцы по возможности выпрямляются и смыкаются.
При сложных повреждениях делают снимки в двух проекциях (прямой и косой, под углом в 45 градусов). Возможны снимки в нетипичных проекциях, чтобы получить ясный результат. Для изучения мелких структур (фаланг пальцев) делаются снимки с небольшим фокусным расстоянием (близкофокусная рентгенография, или плезиография).
Рентген большого пальца руки
Травмы большого пальца руки - довольно частое явление. Для правильной оценки повреждения рекомендуется делать не просто общий снимок кисти и пальцев рук, а прицельный снимок большого пальца. Для этого ладонь укладывается на специальный стол или подставку, большой палец максимально отводится в сторону. Кроме прямой проекции, могут применять ещё и боковую или аксиальную.
Если для съёмки используется цифровое рентгеновское оборудование, прицельный снимок большого пальца могут и не делать, так как есть возможность увеличения ранее сделанного общего.
Рентген пальца ноги
Требуемая для исследования конечность - нога - обнажается и ставится на специальную подставку. В некоторых случаях снимок делается с нагрузкой. Для этого пациент поднимает здоровую ногу вверх, сгибая ее в колене, чтобы вес тела приходился на исследуемую ногу.
Рентген пальцев ног или стопы часто проводится в нескольких проекциях, это позволит врачу получить максимальное количество информации о характере повреждения или течении патологического процесса.
Симптомы перелома
Главным симптомом перелома пальцев является боль в месте повреждения костной ткани. При пальпации зоны повреждения боль усиливается. Также утрачивается полноценная функция руки или ноги. Возникший отёк или гематома на месте повреждения - ещё один симптом перелома.
Для подтверждения перелома пальцев рук или ног делают рентген. На снимке повреждение будет визуализировано как небольшое затемнение с неровными контурами. Если перелом сложный, оскольчатый, снимок покажет, как смещены осколки.
Рентген пальцев не рекомендуется делать беременным женщинам (особенно в 1 и 3 триместрах). По возможности эту диагностическую процедуру лучше перенести на послеродовой период.
Также редко назначают рентген пациентам в тяжёлом состоянии, не транспортабельным больным.
С осторожностью стоит выдавать направление на рентген детям в возрасте до 15 лет. Рентген назначается только тогда, когда потенциальный вред от неверно поставленного диагноза значительно превышает вред от влияния ионизирующего излучения.
Читайте также:
- Случай успешного органосохраняющего лечения послеродовой атонии матки, осложненной массивной жизнеугрожающей кровопотерей
- Полиневритический синдром
- Причины полипоза толстой кишки. Этиология полипов прямой кишки.
- Инфекции вызванные Pseudomonas aeruginosa: диагностика, лечение, профилактика
- Контроль клеточного цикла как основа химиотерапии. Динамика Гомперца
