Рекомендации по анализу рентгенограммы запястья в косой ЗП проекции (наружной ротации)
Добавил пользователь Евгений Кузнецов Обновлено: 01.11.2025
Укладки больного для выполнения снимков. Предложен ряд укладок как для рентгенографии запястья в целом, так и для изучения отдельных костей. К типичным укладкам относят рентгенографию запястья в прямой, боковой проекции, косой ульнарной и косой радиальной проекциях; к специальным — укладки для рентгенографии ладьевидной, трехгранной, гороховидной кости и канала запястья. При съемке можно использовать либо кассеты размером 13Х 18 см для каждого снимка, либо кассеты большего размера (18X24 или 24X30 см), перекрывая поочередно неэкспонируемые участки листами просвинцованной резины.
Снимок запястья в прямой проекции может быть выполнен как при ладонном, так и при тыльном прилежании кисти к кассете. Больной сидит боком к столу. Рука согнута в локтевом суставе, лежит на столе.
Кисть в положении пронации или супинации укладывают на горизонтально расположенную кассету.
Пучок рентгеновского излучения направляют перпендикулярно к кассете на середину запястья (рис. 349).

На рентгенограмме хорошо дифференцируются все кости запястья, за исключением гороховидной, которая проекционно наслаивается на трехгранную кость. В проксимальном ряду запястья определяются ладьевидная, полулунная и трехгранная кости, в дистальном ряду — кость-трапеция, трапециевидная, головчатая и крючковатая кости. Между этими двумя рядами костей выявляется щель межзапястного сустава. Между дистальным рядом костей запястья и основаниями пястных костей прослеживаются запястно-пястные суставы (рис. 350).
Снимок запястья в боковой проекции — выполняется при том же положении больного и кассеты. Кисть укладывают на кассету медиальным (ульнарным) краем строго боком. I палец отводят вперед.
Пучок рентгеновского излучения центрируют на ладьевидную кость (рис.351).

На рентгенограмме запястья в боковой проекции кости запястья проекционно наслаиваются друг на друга. Однако можно проследить контуры костей, зная их анатомическое расположение (рис. 352).
Снимок запястья в косой тыльной ( ульнарной ) проекции . Исследуемая конечность прилежит к кассете ульнарным краем.
Пучок рентгеновского излучения направляют на локтевое возвышение запястья (рис. 353).

На рентгенограмме наиболее четко выявляются гороховидная, трехгранная кость и крючок крючковатой кости, а также основание и тело I пястной кости. При необходимости получить неискаженное изображение V пястной кости применяют именно эту укладку, но пучок рентгеновского
излучения центрируют дистальнее на проекцию тела V пястной кости (рис. 354).
Снимок в косой лодоной( ульнарной ) проекции. Кисть прилежит к кассете ульнарным краем, отклонена кпереди; ладонная ее поверхность образует с поверхностью кассеты угол в 45°.
Пучок рентгеновского излучения направлен на проекцию межзапястного сустава (рис. 355).

На рентгенограмме хорошо прослеживаются кость-трапеция, ладьевидная и трапециевидная кости (рис. 356).
Специальные укладки для выявления отдельных костей запястья.
Для выявления ладьевидной кости применяют два варианта укладок:
1) кисть лежит ладонью на кассете, отведена в локтевую сторону Пальцы выпрямлены или согнуты. Пучок рентгеновского излучения направлен на проекцию ладьевидной кости (рис. 357, 358); 2) кисть примыкает ульнарным краем к кассете, находится в положении максимального тыльного сгибания.
Пальцы согнуты в кулак. Пучок рентгеновского излучения направлен на проекцию ладьевидной кости (рис. 359, 360).
Для выявления гороховидной кости. Кисть прилежит к кассете ульнарным краем, отклонена кзади так, что тыльная ее поверхность образует с плоскостью кассеты угол в 60°. Пучок рентгеновского излучения центрируют на проекцию гороховидной кости (рис.361, 362).
Для выявления трехгранной кости. Кисть прилежит к кассете ульнарным краем, наклонена вперед так, что ладонная ее поверхность образует с плоскостью кассеты угол в 60° и согнута в лучезапястном суставе под углом 45°. Пучок рентгеновского излучения направляют на проекцию трехгранной кости (рис. 363, 364).
Снимок передней поверхности костей запястья (канала запястья) осуществляют следующим образом: предплечье передней поверхностью прилежит к поверхности стола. Область лучезапястного сустава соответствует средней линии кассеты. Кисть максимально отогнута кзади так, что плоскость ладони находится под углом 90° к плоскости кассеты. Пучок рентгеновского излучения направляют под углом 45° к плоскости ладони, центрируя на проекцию межзапястного сустава (рис. 365, 366).

СНИМКИ КИСТИ В ПРЯМОЙ ЛАДОННОЙ ПРОЕКЦИИ
Назначение снимка — изучение скелета кисти в целом, включая запястье, пястье и фаланги.
Укладка больного для выполнения снимка. Больной сидит боком к краю стола. Рука отведена, согнута в локтевом суставе; кисть находится в положении пронации. Пальцы выпрямлены и сомкнуты.
Кассета размером 18Х 24 см расположена в плоскости стола. Ладонь плотно прилежит к кассете.
Средней поперечной линии кассеты соответствует проекция головок пястных костей.
Пучок рентгеновского излучения направлен отвесно на головку III пястной кости (рис. 367).
Информативность снимка. На снимке выявляются дистальные метаэпифизы костей предплечья, рентгеновская суставная щель лучезапястного сустава, запястье, пястные кости и фаланги. Хорошо видны рентгеновские суставные щели мелких суставов кисти.
При правильно подобранных физико-технических параметрах съемки четко видна губчатая структура костей запястья, концов пястных костей и фаланг. В телах коротких трубчатых костей определяются мозговые полости и корковое вещество (рис. 368).

СНИМОК КИСТИ В БОКОВОЙ ПРОЕКЦИИ
Назначение снимка. Снимок кисти в боковой проекции сравнительно мало информативен, так как II—V пястные кости и фаланги II—V пальцев проекционно наслаиваются друг на друга; изолированно видны лишь I пястная кость и фаланги I пальца. Поэтому в практической работе боковой снимок кисти часто заменяют снимком кисти в косой проекции.
Укладка больного для выполнения снимка. Кисть прилежит к кассете ульнарным краем. Пальцы выпрямлены и сомкнуты.
Плоскость ладони перпендикулярна плоскости кассеты. Пучок рентгеновского излучения направлен в проекции головок пястных костей в центр кассеты (рис. 369).
Информативность снимка. Снимок используют в травматологии как дополнительный снимок для определения смещения отломков пястных костей (рис. 370).

СНИМОК КИСТИ В КОСОЙ УЛЬНАРНОЙ ПРОЕКЦИИ
Назначение снимка. Снимок кисти в косой проекции значительно более информативен, чем снимок кисти в боковой проекции, и именно его чаще всего вместе со снимком в прямой проекции выполняют при исследовании кисти.
Укладка больного для выполнения снимка. Кисть прилежит к кассете ульнарным краем и отклонена вперед таким образом, что плоскость ладони образует с плоскостью стола угол в 45°. Пальцы слегка согнуты и веерообразно раздвинуты, концы пальцев прилежат к кассете. Пучок рентгеновского излучения направляют на проекцию головки 111 пястной кости (рис.371).
Информативность снимка. На снимке видны дистальные метаэпифизы костей предплечья, рентгеновская суставная щель лучезапястного сустава.
Из костей запястья лучше всего прослеживаются кость-трапеция, трапециевидная и ладьевидная кости. Пястные кости и фаланги отображены изолированно, доступны анализу их тыльная и ладонная поверхности. На снимке хорошо видны структура костей, рентгеновские суставные щели мелких суставов кисти (рис. 372).

СНИМКИ ПАЛЬЦЕВ КИСТИ
Назначение снимков. Снимки пальцев выполняют при травме и при воспалительных заболеваниях (костный панариций, артриты и др-).
Укладки при выполнении снимков. Снимки пальцев производят в прямой и боковой проекциях.
Укладки при рентгенографии I пальца и II —V пальцев имеют ряд отличий.
Снимок I пальцакисти в прямой тыльной проекции.
I палец прилежит к кассете тыльной поверхностью. Кисть и предплечье максимально ротированы кнутри. Для фиксации кисти в заданном положении больной удерживает ее здоровой рукой.
Используют кассету размером 13X1 8 см, перекрывая ее поперек листом просвинцованной резины.
Пучок рентгеновского излучения направляют отвесно на проекцию пястно-фалангового сустава (рис. 373).
На рентгенограмме видны фаланги и частично I пястная кость, их медиальные и латеральные поверхности, рентгеновские суставные щели пястно-фалангового и межфалангового суставов, бугристость дистальной фаланги (рис. 374).

Снимок I пальца в боковой проекции. I палец прилежит к кассете лучвым (наружным) краем.
Остальные пальцы слегка согнуты, опираются концами на перекрытую листом просвинцованно резины уже проэкспонированную половину кассеты.
Пучок рентгеновского излучения направлен на проекцию пястно-фалангового сустава (рис. 375).
На рентгенограмме выявляются тыльная и ладонная поверхности фаланг и частично I пястной кости.
Видны наслаивающиеся друг на друга сесамовидные кости рядом с головкой I пястной кости (рис. 376). Снимки необходимо выполнять в двух взаимно перпендикулярных проекциях (рис. 377, а, б).


Снимки 11—V пальцев в прямой ладонной проекции .
Исследуемый палец укладывают ладонной поверхностью на неперекрытую половину кассеты размером 13X18 см. Пучок рентгеновского излучения направляют на проекцию проксимального межфалангового сустава (рис. 378).

На рентгенограмме видны фаланги и может быть частично видна I пястная кость, их медиальные и латеральные края, щели межфаланговых суставов (рис. 379).
Снимки 11—V пальцев в боковой проекции. Исследуемый палец укладывают на свободную половину кассеты размером 13X18 см ульнарным или радиальным краем (как удобнее для данного пальца).
Остальные пальцы отгибают, для фиксации удерживают противоположной кистью.
Пучок рентгеновского излучения направляют отвесно на проекцию проксимального межфалангового сустава (рис. 380).
На рентгенограмме видны фаланги пальцев, их тыльная и ладонная поверхности, бугристость дистальной фаланги, рентгеновские суставные щели межфаланговых суставов (рис.381).

Теги: кисть
234567 Описание для анонса:
234567 Начало активности (дата): 25.12.2019 15:00:00
234567 Кем создан (ID): 989
234567 Ключевые слова: гороховидная кость, кисть, прямая проекция, боковая проекция, ладонь, пальцы
12354567899
Рентген кисти
Рентген кисти — метод диагностики положения костей, травм, патологий, состояния суставов в области кисти руки человека. Метод рентгенодиагностики используют при подозрениях на артроз и ревматические болезни, в случае, когда пациент жалуется на болевые ощущения в суставах рук, при вывихах, переломах, подозрениях на трещину и других видах травм. Делают рентген кисти и для контроля над эффективностью лечения заболеваний суставов и костей.
Рентгенография остаётся самым простым, доступным и достоверным способом изучения состояния суставов, связок и костей кисти для оценки их анатомических изменений. Это возможность быстро и правильно поставить диагноз при травмах кисти. Оперативность, простота и удобство применения - это передвижной рентгенодиагностический аппарат, активно применяемый в столичном медицинском центре «Клиника К+31». Говоря простым языком - метод рентгенодиагностики - это фотографирование определённой части тела с помощью рентгеновского аппарата и излучаемых им лучей. На полученном снимке будет видно состояние суставов и костей.
- Преимущества рентгена кисти перед остальными методами
- Показания
- Противопоказания
- Подготовка к рентгенографии кисти
- Методика исследования
Преимущества рентгена кисти перед остальными методами
Рентген кисти при травмах этой части руки - единственный метод точно узнать, что с кистью - перелом, вывих или растяжение суставов. Прощупывание или даже компьютерная томография не дадут такого результата, как даст рентген. Магнитно-резонансная томография при травме кисти тоже неуместна, этот вид исследования показан при исследовании скорее сосудов, чем суставов и костей. Рентгенодиагностика - это доступный, недорогой вид обследования. Этот информативный и простой метод диагностики состояния кисти предпочитают в своей практике применять опытные травматологи и другие специалисты.
Современный рентген аппарат Luminos RF Classic в медицинском центре «Клиника К+31» снижает лучевую нагрузку по сравнению с традиционным рентген аппаратом в 2 раза. Для больше безопасности на пациентов центра перед процедурой рентгена надевают специальные фартуки, в составе которых есть свинец - защищающий от негативного воздействия рентгеновских лучей. То есть при рентгене кисти облучение (в допустимой норме) получит только та часть руки, которая фотографируется, а не вся рука и тем более - не всё тело.
Показания
Если вы ощущаете боль в кисти, когда рука находится в покое или во время движений кистью, если вы видите отёк кисти и вам трудно ею двигать, если вы ощущаете немоту в области кисти или просто слабость, невозможность ею двинуть, запишитесь на рентген кисти.
Показаниями к проведению рентгенографии кисти также служат:
- жалобы пациента на ноющую или острую боль в руке;
- травмы руки и кисти;
- инородные тела, попавшие в область кисти (колющие и режущие инструменты);
- артрозы и артриты кистевых суставов;
- новообразования костей кисти - прощупываемые и визуально видимые.
Показаниями к рентгену кисти служат также и системные заболевания:
- Склеродермия;
- Деформирующий остеоартроз;
- Псориатический артрит;
- Системная красная волчанка;
- Ревматоидный артрит.
Стали последнего заболевания устанавливаются только с помощью рентгена.
Противопоказания
Критическим показанием к рентгену кисти служит беременность пациентки. Еще одно противопоказание касается пациентов, страдающих хроническим артрозом. Регулярное прохождение ими рентгенографии способствует развитию этого заболевания и снижает иммунитет больного. Противопоказан рентген и женщинам, кормящим своих детей грудным молоком из-за возможного гормонального сбоя и как следствие - пропажи молока. Нельзя делать рентген и тем, у кого в просматриваемой области скелета, а именно - руки, есть металлические элементы. Тяжело больным пациентам, которым противопоказаны любые движения, тоже нельзя делать рентгеновские снимки. Так как вреда от такого рентгена будет больше, чем пользы.
Подготовка к рентгенографии кисти
Подготовка к рентгену кисти заключается в том, что пациент должен снять все металлические украшения с кисти рук (если они есть): браслеты, кольца, часы. На пациента надевается фартук, в составе которого есть свинец, дабы избежать попадания рентгеновских лучей на неподвергающуюся обследованию часть скелета пациента.
Методика исследования
Процесс диагностики заболеваний кисти, предусматривающий процедуру рентгена, происходит таким образом: пациент надевает защитный фартук; усаживается за стул; кладёт ладонью вниз больную руку (пальцы по возможности выпрямлены и сомкнуты) на специальный стол; кисть снимается в одной (иногда в двух) проекциях, пальцы и каждый палец по отдельности снимаются в двух проекциях. Процесс рентгенодиагностики занимает примерно 10 - 15 минут. Лаборант делает снимок в течение нескольких секунд - в это время нужно постараться не двигать рукой.
Уникальный ультрасовременный аппарат Luminos RF Classic, которым квалифицированные специалисты пользуются в медицинском центре «Клиника К+31» позволяет делать рентген кисти в разных проекциях, без изменения положения пациента. Это удобно не только медицинскому персоналу, но и для больного (минимум болевых ощущений).
Данный аппарат обеспечивает минимальную лучевую нагрузку благодаря большой степени чувствительности применяемых в медицинском центре кассет. Это снижает облучение практически в два раза по сравнению с традиционной рентгенографией в ближайшей поликлинике. Защита свинцово содержащего фартука еще больше снижает уровень облучения.
Рентген руки — что это и что включает в себя обследование
Рентген руки чаще всего делают в случае травмы этой области. Рентген — безболезненное и быстрое обследование. Боль, скованность и заметно более низкая подвижность суставов также могут быть показаниями для рентгена руки. В каких случаях мне следует отказаться от рентгена руки, сколько стоит обследование и нужно ли для его проведения направление к врачу? Это быстрое, легкодоступное и неинвазивное обследование, благодаря которому можно в дальнейшем диагностировать пациента на возможные заболевания костно-суставной системы. Рентген руки также можно использовать в качестве контрольного исследования из-за его повторяемости.
Рентген руки — что это и что включает в себя обследование
Рентген руки — одно из основных обследований, на которое направляют пациента с жалобами на боль и припухлость в этой области. С помощью ионизирующего излучения специалист может увидеть на фото нарушения в строении костей и суставов, а также нарушения их целостности (например, перелом). Чаще всего тест проводится на цифровых камерах, что означает, что фотография отправляется прямо из кабинета визуализации на консоль врача, а затем обследуемый получает ее на CD / DVD. Стандартные фотографии делаются в передне-задней проекции, в косой проекции и (гораздо реже) в боковой проекции . Рентген можно делать индивидуально (на правую или левую руку) или сравнительно с тем и другим. На правильно сделанных фотографиях будут видны кости пальцев, пястные кости и кости запястья.
Рентген руки — показания к обследованию
Наиболее частым показанием к рентгенографии руки является исключение воспалительных и посттравматических изменений (например, синяков, переломов) и осмотр костей после травмы. Пациента с подозрением на наличие инородного тела в мягких тканях руки также направят на рентген. Кроме того, рентгеновские лучи используются для обнаружения ревматоидных изменений в суставах, например, ревматоидный артрит — РА и остеопороз (потеря костной массы). Врач также направит пациента на рентген, если он подозревает некроз кости или новообразование.
С другой стороны, в случае нарушения роста у детей, например задержка роста, будет сделан рентген для определения его костного возраста. Это метод определения так называемых биологический возраст ребенка на основе оценки созревания его костной системы. Пациенты, которые в основном испытывают боль, скованность и ограниченную подвижность суставов, будут направлены на обследование.
Рентген руки — противопоказания к обследованию
Единственное противопоказание к обследованию — беременность. В этом случае следует выполнить другие, более безопасные методы визуализации, например, УЗИ или магнитно-резонансная томография. Однако беременность является относительным противопоказанием, а это означает, что, если тест абсолютно необходим для диагностики пациента, он будет выполнен. Перед обследованием пациентка должна сообщить рентгенологу, беременна ли она. Если она не уверена, ей следует отказаться от теста и сделать тест на беременность.
Рентген руки — как выглядит обследование
Пациенту не нужно готовиться к рентгену руки. Если у него есть предыдущие результаты анализов на исследуемой территории, он должен взять их с собой. Перед обследованием снимите с руки и запястья все предметы (включая кольца, часы, браслеты). Во время рентгена пациент сидит, вытянув перед собой руку, помещенную на детектор (устройство, обрабатывающее ионизирующее излучение). Рука находится на уровне плеча обследуемого, а рентгеновская трубка помещается над исследуемой частью тела. Общая продолжительность исследования от 5 до 10 минут.
Рентген руки — наиболее распространенные диагностические термины в описаниях тестов
При описании рентгенологического исследования кисти специалист использует названия отдельных пальцев, начиная с большого пальца ( 1-й палец ) и заканчивая мизинцем ( V-палец ). Одна из самых частых патологий — дегенеративные изменения. Остеоартроз рук (артроз) поражает в основном последние суставы пальцев (дистальные межфаланговые суставы) и сустав у основания большого пальца. Их также можно охарактеризовать как изменения перегрузки и увидеть на фото, например, как сужение суставной щели и обострение костей. Если наблюдается видимая потеря костной массы, специалист диагностирует остеопороз. К сожалению, ранние стадии этого заболевания на рентгеновском снимке не видны. При обнаружении перелома радиолог будет использовать такие термины, как « разрыв трещины».»,« Полный союз »или« ядро окостенения ». Это определение прогресса сращения кости после перелома.
На рентгеновском снимке руки пациент должен иметь направление на исследование, оплачиваемое Национальным фондом здравоохранения и проводимое в частном порядке. Это связано с воздействием ионизирующего излучения, которое используется во время рентгеновских лучей. Направление можно получить у терапевта (первичной медико-санитарной помощи) или у врача-специалиста. Цена теста зависит от количества сделанных фотографий и диагностической лаборатории, в которой пациент хочет их сделать.
Рекомендации по анализу рентгенограммы запястья в косой ЗП проекции (наружной ротации)
Лента новостей → Мнение ревматолога о рентгенодиагностике суставных болезней

Актуальные вопросы рентгенологической диагностики болезней суставов. Взгляд ревматолога
Наиболее часто встречаемые ошибки, совершаемых при проведении рентгеновского обследования при ревматических заболеваниях. Часто встречаемые рентгенологические признаки поражения суставов и их интерпретации. Анализ опыта работы на консультативном ревматологическом приеме в областной клинической больнице.

Триполка Светлана Анатольевна, к.м.н., доцент кафедры терапии, ревматологии и клинической фармакологии ХМАПО, КУОЗ «ОКБ ЦЭМП и МК»
Общие сведения
В подавляющем большинстве случаев после анализа жалоб, анамнеза и данных осмотра больному поставлен тот или иной предварительный диагноз заболевания суставов и позвоночника. Однако, в последующем, он нуждается в подтверждении диагноза с помощью дополнительных методов исследования: инструментальных, лабораторных, реже морфологических. Золотым стандартом диагностики суставной патологии остается рентгенологическое исследование. Рентгенография представляет собой важный инструмент не только для диагностики того или иного артрита или артроза, но и для оценки прогрессирования заболевания и эффективности терапии.
Значительной части из обратившихся в областную больницу больных рентгенографическое исследование уже было проведено в лечебных учреждениях районов области и требовало интерпретации в условиях областной больницы. Необходимо отметить, что врачи терапевтической практики нередко руководствуются описательными составляющими рентгеновских снимков (протоколами), предоставляемыми им рентгенологами, и самостоятельно не оценивают те или иные рентгенологические изменения.
И хорошо, если эти протоколы готовит рентгенолог, подготовленный по вопросам артрологии и вертебрологии, но, исходя из собственного клинического опыта, зачастую в описании рентгенограмм рентгенологи не детализируют тех специфических изменений, которые позволяют ревматологу или терапевту провести дифференциальную диагностику изменений в суставах. В заключении рентгенолога достаточно частой является формулировка «признаки артрозаартрита», однако, для каждого вида артритов согласно данным литературы можно выделить свои специфичные признаки, позволяющие определить его нозологическую принадлежность.
Поэтому в данной статье хотелось бы остановиться на наиболее часто встречаемых ошибках, совершаемых при проведении рентгеновского обследования при ревматических заболеваниях и некоторых наиболее важных и часто встречаемых рентгенологических признаках поражения суставов и их интерпретации.
Самые частые ошибки рентгенолога
Анализируя опыт работы на консультативном ревматологическом приеме в областной клинической больнице, среди наиболее часто встречаемых ошибок при использовании рентгеновского метода диагностики хотелось бы выделить следующие:
- Неправильно выбранный объем обследования
- Неправильная укладка пациента при выполнении рентгенологического обследования
- Неправильная трактовка полученных результатов
Первым этапом рентгенологического обследования для врача общей практики должен бытьправильный выбор области исследования для ее проведения, а именно такой, рентгенологические изменения в которой наиболее информативны для диагностики того или иного заболевания.
К примеру, при повторных атаках подагрического артрита клиническая симптоматика в виде боли и отечности может быть наиболее выражена в голеностопных суставах, а плюсне-фаланговые суставы могут оставаться интактными, и частой ошибкой является проведение больному рентгенографии голеностопных суставов, которая в данной ситуации малоинформативна. Аналогичная тактика и в ситуации с подозрением на реактивный спондилоартрит или периферическую форму анкилозирующего спондилоартрита с поражением голеностопных суставов. Патогномоничные рентгенологические изменения необходимо выявлять в крестцово-подвздошных сочленениях и позвоночном столбе, а рентгенологических изменений в периферических суставах, особенно в начальной стадии болезни, может не быть.
Нужно отметить, что в целом проведение рентгенографии голеностопных суставов из-за ее крайне низкой информативности нужно проводить редко и по строгим показаниям в случаях изолированного поражения одного голеностопного сустава и подозрении на специфическую (туберкулезную, гонококковую) природу артрита. Этот дефект влечет за собой необоснованную лучевую нагрузку и дополнительные материальные затраты для больного при проведении повторных необходимых для уточнения диагноза исследований.
Чтобы помочь врачу терапевту правильно определиться с выбором зоны исследования, в качестве примера может помочь следующая таблица (Смирнов А.В., 2005 г.).
Таблица
Необходимый минимум рентгенологических обследований при ревматических болезнях

Зона обследования
Также хотелось обратить внимание на неправильно выбираемую зону обследования. Например, зачастую при наличии односторонних клинических изменений в одном пястно-фаланговом или плюсне-фаланговом суставе врачи ограничиваются рентгенографией исключительно этой области. Однако, именно характер патологических изменений в обеих кистях, их локализация и распространённость, анализ того какие группы суставов изменяются в самом начале заболевания должны обязательно учитываться при оценке рентгенограмм для того, чтобы правильно интерпретировать полученные данные и провести дифференциальный диагноз между различными ревматическими заболеваниями. Поэтому в ревматологической практике для уточнения диагноза необходимо проводить по показаниям либо прямую сравнительную рентгенограмму кистей с захватом лучезапястных суставов либо прямую сравнительную рентгенограмму стоп.
Исходя из нашего опыта, результаты рентгенографии нередко могут зависеть от техники и правильного позиционирования объекта съемки. В настоящее время требованием всех протоколов исследований является соблюдение максимально унифицированных условий проведения рентгенограмм кистей и стоп. Так для общей оценки поражения суставов необходимо снимать обе кисти или стопы на одной пленке, обязателен захват лучезапястного сустава. Требования к расположению пациента при рентгенографии кистей и стоп изложены в соответствующих руководствах по рентгенологии. Врачу общей практики при направлении к рентгенологу обязательно необходимо указывать, что больной направляется на сравнительную рентгенограмму кистей в прямой проекции с захватом лучезапястных суставов или на прямую сравнительную рентгенограмму стоп.
Наконец важным моментом является трактовка полученных результатов. О наиболее часто встречающихся в практике терапевта суставных синдромах и наиболее характерных рентгенологических изменениях, присущих им, в продолжении данной статьи.
Рентген мелких суставных кистей
Наиболее информативным и обязательным практически при всех проявлениях суставного синдрома является проведение рентгенологического обследования мелких суставов кистей и стоп, поэтому хотелось бы остановиться на патогномоничных изменениях, характерных для того иного проявления артрита, происходящих именно в кистях или стопах.
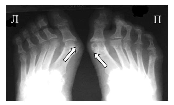
Для подагрического артрита характерно преимущественное поражение дистальных отделов стоп с преобладанием изменений в области I плюсне-фаланговых сочленений, реже изменения выявляются в мелких суставах кистей. При остром подагрическом артрите рентгенологические изменения, как правило, отсутствуют. Поэтому речь идет об изменениях, характеризующих хроническую стадию болезни. Типичным для хронического подагрического артрита является обнаружение узловых образований (тофусов) в костях в виде кистовидных просветлений и участков повышения плотности мягких тканей в области фаланг пальцев кистей и стоп. Деструкция костной ткани в виде эрозий, часто выявляемая при хроническом течении подагры, локализуется в основном на краях эпифизов костей и в дальнейшем распространяется на центральные отделы суставов.

Эрозии при подагрическом артрите имеют округлую или овальную форму, часто со склеротическим ободком. Склеротический ободок вокруг внутрисуставного тофуса создает типичный для подагрического артрита симптом «пробойника» (см. рис. 1).
В отличие от ревматоидного артрита и полиостеоартроза ширина суставной щели при подагре обычно сохраняется в норме даже в поздних стадиях заболевания. Также для хронической стадии, в отличие от ревматоидного артрита, не характерен остеопороз. Таким образом, I плюснефаланговый сустав наиболее характерная локализация при подагрическом артрите.

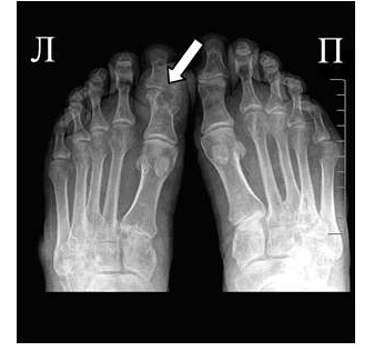
Рис. 2 Симптом «пробойника» в головках плюсневых костей обеих стоп в сочетании с вальгусной девиацией I плюсне-фаланговых суставов
Эрозии часто обнаруживаются в верхней и медиальной части плюсневой головки и часто в сочетании с вальгусной девиацией суставов. Типичным является асимметричность изменений (рис. 2).
Одним из главных отличительных признаков ревматоидного артрита (РА) от других заболеваний является симметричность изменений мелких суставах кистей и стоп, которые становятся суставами-«мишенями» в первую очередь и поэтому именно эти области изучаются для определения стадии заболевания. Наиболее часто используемой в повседневной практике рентгенологической классификацией является деление ревматоидного артрита на стадии по Steinbrocker в различных модификациях.
Основные симптомы
Основными рентгенологическими симптомами РА являются следующие: остеопороз, кистовидные просветления костной ткани (кисты), сужение суставной щели, эрозии суставов, костные анкилозы, деформации костей, остеолиз, вывихи, подвывихи и сгибательные контрактуры суставов. Рентгенологическая диагностика развернутых стадий РА, исходя из нашей практики, как правило, затруднений не вызывают.

Рис. 3 Сочетание ревматоидного артрита и остеоартроза
Большинство ошибок встречаются при начальных стадиях, особенно при начале РА в пожилом возрасте и сочетании его с остеоартрозом (см. рис. 3). В этом случае для подтверждения диагноза РА и предупреждению случаев его гипердиагностики служит выявление симметричных эрозий в типичных для ревматоидного артрита суставах (запястья, плюснефаланговые, пястно-фаланговые).

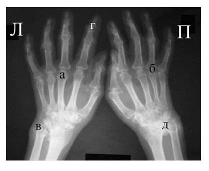
Рис. 4. Изменения кистей при ревматоидном артрите (а остеопороз, бсужение суставных щелей, в кистовидные просветвления, г костные эрозии, д анкилозирование)
Необходимо также помнить, что, как правило, при РА эрозии не предшествуют околосуставному остеопорозу, кистам и сужению суставных щелей. Имеет место последовательность развития стадий РА (см. рис. 4), в отличие от эрозивных артритов другого генеза (псориатического, серонегативного)
Костные анкилозы выявляются только в суставах запястий и во 2-5-м запястно-пястном суставах, редко в лучезапястных и суставах предплюсны. Никогда анкилозы не формируются в межфаланговых суставах кистей и стоп, в первых запястно-пястных и плюснефаланговых суставах. Анализируя сроки появления основных рентгенологических проявлений наиболее типичным по нашим данным и по данным других авторов [LandeweR.] является появление первых симптомов РА (околосуставного остеопороза и кистовидных просветлений) через несколько месяцев (до года) от начала заболевания, эрозии выявляют на 2-3 год от начала заболевания.
Какое значение для врача клинициста имеет скорость рентгенологической прогрессии у конкретного пациента? Выраженность деструкции в мелких суставах кистей и стоп является наиболее объективным маркером прогрессирования РА и/или недостаточной эффективности терапии, а появление эрозий в мелких суставах конечностей в первый год заболевания является предиктором неблагоприятного варианта развития болезни. Связь между скоростью нарастания деструкции и выраженностью и стойкостью воспалительной активности РА показана во многих исследованиях. Необходимо отметить, что у конкретного больного динамика рентгенологических изменений представляет собой не линейный процесс, а включает в себя эпизоды замедления и ускорения, связанные в том числе, и с активностью заболевания.
Для псориатического артрита, также поражающего мелкие суставы кистей, отличительным признаком от РА является отсутствие стадийности, поражение суставов, как правило, несимметрично, частые проявления артрита без околосуставного остеопороза, являющегося патогномоничным для РА. Изолированное поражение дистальных межфаланговых суставов кистей при отсутствии изменений в других мелких суставах кистей, осевое поражение 3-х суставов одного пальца.

Рис. 5 Множественный остеолиз и деструкции эпифизов костей с разнонаправленными деформациями суставов при псориатическом артрите.
При развернутой картине болезни деструкция концевых фаланг (акроостеолиз) и чашеобразная деформация проксимальной части фаланг пальцев кистей вместе с концевым сужением дистальных эпифизов симптом «карандаш в колпачке» (рис. 5), множественный остеолиз и деструкции эпифизов костей с разнонаправленными деформациями суставов (мутилирующий артрит).
Часто при псориазе рентгенологические проявления в мелких суставах кистей и стоп сочетаются с воспалительными изменениями крестцово-подвздошных сочленений сакроилиитами, обычно двусторонними асимметричными или односторонними.

Рис. 6 Сужение суставной щели, остеофиты и субхондральный остеосклероз, кистовидные просветления костной ткани, костные дефекты (псевдоэрозии), деформации эпифизов костей при остеоартрозе.
Среди обязательных диагностических критериев для верификации остеоартроза необходимо выделить сужение суставной щели, наличие остеофитов и субхондрального остеосклероза, вспомогательными являются кистовидные просветления костной ткани, костные дефекты (псевдоэрозии), деформации эпифизов костей (рис. 6), подвывихи и вывихи суставов, синовиты и обызвествленные хондромы.
Оценка рентгенологических стадий остеоартроза проводится по критериям, предложенным J.Kellgren, J. Lawrence в 1957 году.
Для серонегативных спондилоартритов более типичным является наличие эрозий суставных поверхностей в дистальных отделах стоп.

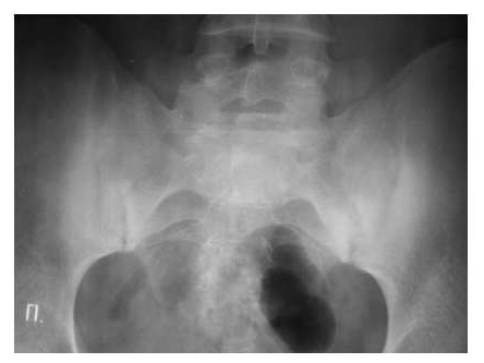
Рис. 7. Двусторонний сакроилиит у больного серонегативным спондилоартритом.
Околосуставной остеопороз в отличие от РА выявляется только в острую стадию артрита. Одна из основных локализаций, где развиваются костные пролиферации - это краевые отделы крестца и подвздошных костей (рис. 7).
Наиболее частыми проявлениями болезни Рейтера являются асимметричные артриты проксимальных межфаланговых суставов кистей (чаще 1 пальца), плюснефаланговых и проксимальных межфаланговых суставов, в отличие от псориатического артрита, поражающего дистальные межфаланговые суставы. Изолированные выраженные изменения в межфаланговом суставе 1-го пальца стопы предполагают в первую очередь диагноз реактивного спондилоартрита (болезни Рейтера) или псориатического артрита. Поражения пяточных костей обнаруживаются у 25-50%. Ахиллобурсит с наличием жидкости в слизистой сумке проявляется на боковой рентгенограмме пяточной кости затемнением, расположенным между верхней частью пяточной кости и ахилловым сухожилием. Таким образом, для диагностики и дифференциальной диагностики артритов принципиальное значение имеет раннее выявление патологических изменений в костях (кисты, эрозии). Выбор зоны для первичного обследования должен быть индивидуален, но рентгенография кистей или стоп является наиболее обоснованной, потому что позволяет наиболее рано и достоверно отличить изменения, характерные для того или иного заболевания суставов.
Рентген лучезапястного сустава (запястья)
Лучезапястный сустав играет важную роль в движении руки, являясь одним из самых подвижных сочленений человеческого тела. Лучезапястный сустав - это опорно-связочный аппарат, соединяющий кости кисти и предплечья и отвечающий за движение, моторику кисти, ее вращение, сгибание-разгибание руки. Лучезапястный сустав состоит из большого количества мелких костей, что делает его довольно эластичным, но при этом подвергающимся частым травмам и заболеваниям. Любое нарушение и повреждение этого участка верхней конечности негативно сказывается на общем состоянии человека и ограничивает активность.
Врачи-специалисты
В настоящее время на сайте ведутся работы по изменению прайс-листа, актуальную информацию уточняйте по тел: 640-55-25 или оставьте заявку, с Вами свяжется оператор.
Цены на услуги
- Рентгенография лучезапястного сустава в прямой ладонной проекции 990 a
- Рентгенография лучезапястного сустава в боковой ульнарной проекции 990 a
- Рентгенография лучезапястного сустава в косой ладонной проекции 990 a
Наши клиники в Санкт-Петербурге

- Автово
- Проспект Ветеранов
- Ленинский проспект
- Девяткино
- Гражданский проспект
- Академическая
Рентгенография, как одно из самых информативных и наглядных диагностических исследований, помогает выявить различного рода повреждения, патологии развития, травмы, воспалительные процессы лучезапястного сустава, состояние костей, хрящей, мягких тканей нижней части предплечья, запястья. Самыми распространенными заболеваниями этой области верхней конечности являются артрит, артроз, тендинит, некроз, туннельный синдром, травмы, остеохондропатии.
Причины травм и заболеваний лучезапястного сустава
Падая, как правило, человек выставляет вперед руки для защиты тела и лица от удара, поэтому лучезапястный сустав травмируется чаще всего при падении на вытянутую руку с упором на ладонь и кисть. От механического воздействия и нагрузки массы тела кости легко подвергаются травмированию. В результате неудачных падений, падений с высоты, аварий и других несчастных случаев человек получает травмы различной степен тяжести, в том числе повреждения лучезапястного сустава.
Кроме того, переломам лучезапястного сустава подвержены пациенты, страдающие остеопорозом. Это заболевание вызывает повышенную хрупкость костей и снижение их плотности, что приводит к частым травмам.
Помимо механических повреждений причинами заболеваний лучезапястного сустава могут быть неправильные занятия спортом, старение организма, плохое питание, чрезмерные мышечные нагрузки, гиподинамия и т.д.
Быстрое и качественное рентгенологическое исследование лучезапястного сустава в Петербурге Вы можете сделать в травматологическом отделении сети клиник «Медицентр». Травмпункт «Медицентра» оборудован новейшим итальянским цифровым аппаратом Clinomat, многорежимным и практически безопасным, позволяющим производить полную рентгенологическую диагностику тела человека в кратчайшие сроки. Аппарат дает возможность специалистам «Медицентра» исследовать снимки в различных режимах обработки, быстро и точно устанавливать диагноз и назначать грамотное и эффективное лечение.
Показания к рентгенологическому исследованию лучезапястного сустава:
- переломы лучевой кости, перелом Галеацци, костей запястья;
- вывихи запястья;
- ушибы, трещины;
- острая боль;
- отек, гематомы;
- опухолевые, дегенеративно-воспалительные процессы;
- аномалии развития лучезапястного сустава и т.д.
Кроме того, рентгенографию лучезапястного сустава назначают при жалобах пациента на скованность движения кисти, хруст, боль и другие неприятные симптомы. Рентгенография лучезапястного сустава необходима и в период лечения для контроля его эффективности, либо перед проведением операции.
Противопоказания к рентгенологическому исследованию лучезапястного сустава
При назначении рентгенологического обследования каждый случай рассматривается индивидуально. Как правило, врачи стараются избегать рентгенографии лучезапястного сустава в случае беременности пациентки, общего тяжелого состояния больного. В этих случаях рентген рекомендуется заменять такими методами диагностики как УЗИ и МРТ.
Рентгенография или МРТ лучезапястного сустава?
Рентгенография является быстрым, доступным и достаточно точным диагностическим методом. Такой способ позволяет увидеть костную структуру, проанализировать ее состояние, обнаружить патологии и травмы, смещения и нарушения.
Но в случаях, когда надо оценить состояние мягких тканей, мышц и связок могут назначить МРТ. СКТ или МРТ лучезапястного сустава назначают при подозрениях на некоторые заболевания, такие как: туннельный синдром, онкологические болезни, аномалии развития кисти и т.д. Как правило, лечащий врач самостоятельно решает вопрос о необходимости назначения того или иного метода диагностического обследования пациента, учитывая характер заболевания, травмы и нарушения, особенности организма пациента, его возраст, состояние и другие индивидуальные особенности.
Подготовка к проведению рентгенологического исследования лучезапястного сустава
Перед рентгенографией лучезапястного сустава нужно снять металлические предметы с руки и ювелирные украшения, пластырь, масляные и йодные повязки. При наличии гипса, необходимо уточнить у врача, требуется ли его удаление.
Процедура проведения рентгенологического исследования лучезапястного сустава
Рентгенография лучезапястного сустава проводится в двух проекциях. На самом снимке должны быть одновременно видны нижние трети костей предплечья, кости запястья, область лучезапястного сустава, отделы пястных костей, т.к. часто повреждение лучезапястного сустава путают с повреждением запястья.
Вся процедура занимает около 5 минут, а доза излучения очень мала. После окончания рентгенологического обследования пациент получает снимок и его описание и направляется на консультацию и дальнейшее лечение к соответствующему специалисту.
Читайте также:
