Кардиостимуляция верхушки правого желудочка как причина сердечной недостаточности
Добавил пользователь Евгений Кузнецов Обновлено: 21.01.2026
Недостаточность митрального клапана - состояние, которое сопровождается переполнением кровью левого предсердия и постепенно приводит к значительному нарушению гемодинамики. Причина - неполное смыкание его створок. Начальный этап болезни может протекать бессимптомно, поэтому митральная недостаточность 1 степени не вызывает беспокойства у пациента, при этом неуклонное прогрессирование заболевания заканчивается тяжелыми осложнениями и гибелью.
Что это такое
Порок митрального клапана с обратным током крови (регургитацией) из левого желудочка в предсердие в результате неполного смыкания створок носит название митральной недостаточности. В самостоятельном виде приобретенное заболевание встречается нечасто и долгое время носит доброкачественный характер. Но в составе комбинированных и сочетанных дефектов оно выявляется в половине всех случаев кардиальных пороков и быстро приводит к серьезным осложнениям.
В норме левый желудочек в систолу выбрасывает содержимое в аорту, которая разветвляется, образуя большой круг кровообращения. Таким способом осуществляется перенос питательных веществ и кислорода в органы, в том числе и миокард. Под давлением двустворчатый клапан закрывается и не допускает обратного движения. При наличии отверстия во время сокращения возникает регургитация, и часть крови возвращается обратно, растягивая левое предсердие. По мере прогрессирования состояния происходит устойчивое увеличение объема полостей сердца, повышение давления, застой в сосудах легких.
Механизм формирования порока можно рассмотреть на рисунке:

Причины возникновения
Формирование порока может происходить во внутриутробном периоде, и в этом случае он считается врожденным. Причинами такой патологии могут быть:
- алкоголизм, прием наркотиков и курение матери во время беременности;
- ионизирующее облучение;
- отравление и прием некоторых препаратов (антибиотики, нестероидные противовоспалительные);
- системные и инфекционные заболевания.
Этиологическими факторами приобретенного отклонения обычно выступают:
- стрептококковые и стафилококковые инфекции с развитием септического эндокардита;
- аутоиммунные заболевания (волчанка, рассеянный склероз);
- поражение миокарда в результате инфаркта;
- пролапс митрального клапана;
- синдром Марфана;
- травмы грудной клетки с разрывом створок или волокон, которые их удерживают.
Относительная недостаточность митрального клапана наблюдается при выраженном увеличении левого желудочка. Причиной этого состояния могут быть дилатационная кардиомиопатия, аортальный порок, миокардит и гипертоническая болезнь.
Симптоматика
На начальной стадии болезни клинических признаков нет. Выявить проблему получается только во время инструментального обследования сердца. Прогноз зависит от величины отверстия, через которое кровь возвращается в левое предсердие. У тех, кому не везет, возникает застой в легочных сосудах, и появляются признаки ишемии миокарда и других органов. Такой больной обычно предъявляет следующие жалобы:
- нехватка воздуха при нагрузке, а потом и в покое;
- сердечная астма;
- утомляемость при выполнении обычных действий;
- кашель, который усиливается в положении лежа;
- появление мокроты с кровью;
- пастозность или отек голеней;
- боли с левой стороны в грудной клетке;
- учащение пульса, мерцательная аритмия;
- осиплость голоса (в результате сдавления гортанного нерва расширенным легочным стволом или левым предсердием);
- тяжесть в правом подреберье из-за увеличения печени.
При осмотре такого пациента я стараюсь отметить наличие таких признаков митральной недостаточности:
- акроцианоз (посинение конечностей и кончика носа, ушей) на фоне общей бледности;
- выбухание вен на шее;
- дрожание грудной клетки при пальпации, определение сердечного толчка и пульсация в эпигастрии;
- при перкуссии отмечается увеличение границ сердечной тупости;
- при аускультации - ослабление первого, усиление и расщепление второго тона, шум во время систолы.
Степени недостаточности
Степени митральной недостаточности:
- Первая (I). Обратный ток крови не превышает 25 %, состояние человека характеризуется как удовлетворительное. Наблюдается гипертрофия сердечной мышцы (левых отделов), что помогает временно скомпенсировать недостаточность. На некоторое время этот механизм позволяет сдерживать повышение давления в малом круге. Симптоматика отсутствует.
- Вторая (субкомпенсированная, II). Заброс составляет 50 %, развивается застой в легких. Появляются первые признаки заболевания.
- Третья (декомпенсированная, III). Возврат крови увеличивается до 60 - 90 % от общего объема. Высокая нагрузка на правый желудочек приводит к его дилатации. Острая недостаточность митрального клапана 3 степени может стать причиной появления отека легких.
Диагностика
Выявить проблему можно следующими методами:
- ЭКГ. На ней будут признаки гипертрофии левых отделов миокарда, а позднее - правого желудочка. Иногда есть возможность зафиксировать тахикардию и нарушение ритма.
- Обзорная рентгенография грудной клетки. На ней можно увидеть увеличение левых отделов, смещение пищевода, на более поздних стадиях - гипертрофию правого желудочка. Застойные явления в легких проявляются расширением сосудов и нечеткостью их очертаний.
- Фонокардиограмма. Очень информативное обследование, при котором есть возможность определить все шумы, производимые сердечной мышцей. Признаком заболевания будет снижение звука сокращения желудочков, систолический шум, щелчок закрытия створок.
- Нарушение подтверждается на ЭхоКГ. Ультразвуковой метод выявляет увеличение камер сердца и неполное закрытие митрального отверстия.
Методы лечения
Лечение недостаточности митрального клапана на стадии компенсации заключается в постоянном наблюдении за пациентом, снижении физических нагрузок и применении средств для предупреждения прогресса болезни. Если появляются осложнения, и нет возможности решения проблемы хирургическим путем, применяется симптоматическая терапия:
- сердечные гликозиды;
- диуретики;
- бета-блокаторы;
- антагонисты кальция;
- ингибиторы АПФ;
- антикоагулянты и дезагреганты.
Никакие препараты не могут излечить заболевание. Консервативные методы помогают только на время отсрочить ухудшение и улучшить качество жизни. Единственным способом устранения проблемы является проведение операции.
Оперативные вмешательства: показания и техники
Показанием к хирургическому лечению является грубое нарушение строения створок, приводящее к выраженному отклонению гемодинамики. Восстановление клапана или его замена требуются в следующем случае:
- эндокардит в анамнезе;
- первые проявления сердечной недостаточности (одышка, отеки);
- нарушения ритма;
- частые сильные боли в грудной клетке, признаки застоя в легочной системе.
Нельзя оперировать в следующих случаях:
- начало острого заболевания или обострение хронического;
- инсульт или инфаркт;
- высокая температура;
- крайняя степень сердечной недостаточности.
Основными видами вмешательств считаются полная замена или пластика клапанов. Второй вариант проводится такими способами:
- аннулопластика с помощью мягких или жестких колец;
- резекция створки;
- замена хорд искусственными материалами;
- методика «край в край».
Виды и особенности митральных протезов
Кардиохирурги используют три вида протезов:
- Механические, которые вначале делались в форме шара, немного позднее - в виде шарниров. На них часто образовываются сгустки крови, и установка может осложниться эмболией. Пациенту приходится постоянно принимать антиагреганты. Самыми современными считаются изделия, которые обрабатываются биологически интактным сплавом титана.
- Биологические. Создаются из перикарда или других натуральных собственных тканей. Не имеют свойства образовывать тромбы.
- Аллографты берутся у трупа и подвергаются криоконсервации, а потом вживляются подходящему донору.

Случай из практики: запущенная митральная недостаточность
Хочу привести в пример клинический случай, в котором отсутствие своевременного лечения привело к такому диагнозу - митральная недостаточность 3 степени. В стационар поступил пациент с жалобами на сильную одышку в покое, усиливающуюся при физической нагрузке, кашель с мокротой, в которой иногда обнаруживаются прожилки крови, слабость, отеки.
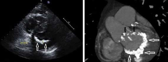
Считает себя нездоровым много лет, часто болел ангинами, беспокоили суставы. Ухудшение наступило после перенесенного ОРВИ. В легких при прослушивании выявляются мелкопузырчатые хрипы, наблюдаются ослабление верхушечного толчка, щелчок открытия митрального клапана, систолический шум. Печень увеличена, нижний край определяется на 5 см ниже подреберья. На ЭхоКГ - утолщение створок клапана, кальциноз, расширение левого предсердия, регургитация митрального клапана III степени.
Пациенту назначена операция по протезированию, выполнив которую, он сможет спастись. Лечитесь вовремя!
Как жить с митральной недостаточностью
На начальной стадии, когда нет нарушений кровообращения, пациент может просто вести обычный здоровый образ жизни. Ему противопоказаны сильные психоэмоциональные потрясения и тяжелый физический труд в неблагоприятных условиях. Когда развиваются первые признаки отклонения, мы рекомендуем:
- переход на более легкую работу;
- для молодых людей - обучение новой профессии;
- умственная деятельность не ограничивается;
- служба в армии определяется комиссией, чаще всего призывника отправляют в отделения связи, радиотехники.
При отеках, увеличении печени, асците, выраженной одышке и аритмии человек должен пройти комиссию, где ему могут присвоить инвалидность с возможностью частичного труда или полного освобождения от него. Призывник в таком случае считается негодным для несения службы.
Как проводится профилактика осложнений
Для предупреждения осложнений, которые могут возникать при митральной недостаточности (в том числе для тех, кто проходит реабилитацию после операции на клапане), рекомендуется:
- Постепенное расширение физической активности, регулярные занятия лечебной физкультурой, ходьба, прогулки на свежем воздухе - это самое важное.
- Применение препаратов, прописанных врачом (антикоагулянты, статины, мочегонные, антигипертензивные средства).
Советы врача тем, кто решается на операцию:
- пройти все обследования (ЭКГ, УЗИ сердца, рентгенография) и пообщаться с кардиохирургом;
- получить полную подготовку согласно перечню, предоставленному узким оперирующим специалистом;
- после вмешательства принять курс антибиотиков и антикоагулянтов для предупреждения инфекции и образования тромбов.
До скорой встречи на страницах нашего портала!
Для подготовки материала использовались следующие источники информации.
Правожелудочковая сердечная недостаточность
Правожелудочковая сердечная недостаточность - это сложный клинический синдром, который развивается при дисфункции правого желудочка. Патология возникает остро на фоне ТЭЛА и органического повреждения миокарда, хронические формы зачастую связаны с левожелудочковой недостаточностью. Болезнь проявляется симптомами нарушений гемодинамики в большом круге кровообращения: отеками, увеличением печени, постоянной слабостью. Для диагностики проводится ЭКГ и ЭхоКГ, катетеризация сердца, расширенный биохимический анализ крови. Лечение ПЖСН предполагает прием диуретиков, инотропных препаратов и антикоагулянтов, в тяжелых случаях проводятся кардиохирургические операции.
МКБ-10



Общие сведения
Доля правожелудочковой сердечной недостаточности (ПЖСН) составляет около 15-20% среди всех форм кардиоваскулярной недостаточности. Среди пациентов с кардиологическими проблемами, которые поступают в реанимационное отделение, острая ПЖСН определяется в 3-9% случаев. Истинную частоту патологии сложно оценить из-за ее длительного малосимптомного течения, частого сочетания с поражением левого желудочка. Поэтому усилия современной кардиологии направлены на улучшение процессов диагностики и лечения таких состояний.

Причины
Развитие заболевания связывают с анатомическими особенностями правого желудочка (ПЖ): он имеет тонкие стенки и малую мышечную массу, поэтому плохо справляется с перегрузками. Компенсаторные механизмы работы ПЖ недостаточно развиты, из-за чего под действием неблагоприятных факторов быстро нарушается механика работы сердца. Наиболее распространенные причины правожелудочковой сердечной недостаточности:
- Легочная гипертензия. Патология вызывает повышение сосудистого сопротивления в легочной ткани, на фоне которого развивается компенсаторная гипертрофия миокарда. По мере истощения адаптационных резервов сердца возникает хроническая форма правожелудочковой недостаточности.
- Острое возрастание постнагрузки.Тромбоэмболия легочной артерии является основной причиной острой недостаточности правой половины сердца. ПЖСН возникает у 25-30% пациентов с респираторным дистресс-синдромом, у четверти больных в раннем послеоперационном периоде после трансплантации сердца.
- Поражение миокарда ПЖ. Острая недостаточность сердца проявляется на фоне вирусных или бактериальных миокардитов, инфаркта стенки правого желудочка, посткардиотомического шока. Причиной хронических нарушений кровообращения выступают аритмогенные кардиомиопатии.
- Патологии клапанов. Причиной ПЖСН являются заболевания клапанного аппарата сердца, такие как недостаточность трикуспидального клапана, стеноз клапана легочной артерии. Они сопровождаются перегрузкой ПЖ и постепенным угнетением его сократительной способности.
Патогенез
Острая правожелудочковая недостаточность возникает при резком увеличении постнагрузки на ПЖ, в результате чего снижается ударный объем сердца и незначительно увеличивается систолическое давление. Происходит быстрое расширение полости правого желудочка, вследствие чего наблюдается регургитация крови через трикуспидальный клапан. При этом происходит смещение межжелудочковой перегородки, левый желудочек принимает D-образную форму.
При острой ПЖСН наблюдается повышенное давление в правых отделах сердца и застой в коронарном синусе, из-за чего развивается прогрессирующая ишемия. Увеличенное системное венозное давление приводит к нарушениям кровотока в органах брюшной полости, ухудшению функций печени и почек, застою жидкости. Прогрессирование таких нарушений в сочетании с усугубляющейся дисфункцией левого желудочка угрожает жизни пациента.
Хроническая правожелудочковая сердечная недостаточность (хПЖСН) выступает закономерным результатом постоянной перегрузки левой половины сердца. При длительно существующей левожелудочковой сердечной недостаточности сначала происходит компенсаторная гипертрофия и ремоделирование миокарда ПЖ, затем наблюдается декомпенсация заболевания. На позднем этапе хПЖСН происходит гибель кардиомиоцитов и замещение их фиброзной тканью.

Классификация
В практической кардиологии используется несколько вариантов систематизации заболевания, что обусловлено его сложным патогенезом и многообразием клинических вариантов. По скорости развития симптоматики выделяют острую и хроническую форму патологии. Для постановки диагноза при хронической ПЖСН используется классификация Василенко-Стражеско, которая включает 3 стадии:
- Iстадия. Признаки нарушения функции правого желудочка возникают только при физической нагрузке. Отсутствует поражение внутренних органов.
- IIстадия. Характеризуется стойкими нарушениями гемодинамики и застойными явлениями в большом и малом кругах кровообращения. При стадии IIA наблюдается изолированная правожелудочковая недостаточность, на стадии IIB вовлекается вся кардиоваскулярная система.
- IIIстадия. На этом этапе имеющиеся расстройства кровообращения вызывают необратимые патологические изменения внутренних органов. Первыми при ПЖСН страдают почки, печень, легкие.
Симптомы правожелудочковой сердечной недостаточности
При острой форме заболевания развиваются признаки синдрома малого сердечного выброса: бледная кожа с мраморным оттенком, холодные конечности, слабый пульс. У больного резко снижается артериальное давление, уменьшается количество выделяемой мочи. На поражение ПЖ указывает расширение яремных вен, увеличение окружности живота вследствие асцита, массивные отеки голеней. При острой декомпенсации хронической ПЖСН возникает анасарка.
При хроническом варианте правожелудочковой недостаточности симптоматика развивается постепенно и отражает основной патологический процесс, негативно влияющий на работу ПЖ. Пациенты испытывают постоянную слабость, ухудшение работоспособности, снижение переносимости физических нагрузок. Возникает распирание и дискомфорт в животе, боли в области сердца, отеки на ногах. Во время активности наблюдается одышка, головокружение.
Поскольку хроническая форма болезни часто сопровождается недостаточностью ЛЖ, характерны симптомы застоя в малом круге. Пациенты жалуются на сильную одышку, приступы удушья и кашля, которые в основном возникают по ночам. Для облегчения самочувствия человек вынужден сидеть, слегка склонившись и опираясь на вытянутые руки. При кашле возможно выделение вязкой слизистой или кровянистой мокроты.
Осложнения
Обследование пациента у врача-кардиолога начинается с физикального осмотра. На вероятную ПЖСН указывает перкуторная гипертрофия правых камер сердца, усиление второго тона над клапаном легочного ствола, шум Грехема-Стилла. Визуально определяется пульсация шейных вен, отеки нижних конечностей, асцит. Для детального изучения функции сердца и подтверждения диагноза назначается:
- ЭКГ. По результатам электрокардиограммы определяется расширение комплексов QRS, увеличение высоты зубца Р, блокада правой ножки пучка Гиса. Характерны наджелудочковые аритмии в виде экстрасистол, эпизодов фибрилляции предсердий.
- ЭхоКГ. При УЗИ сердца обнаруживается гипертрофия стенок и расширение полости правого желудочка, наличие трикуспидальной регургитации, снижение показателя систолической экскурсии трикуспидального кольца (TASPE). Для уточнения данных выполняется трехмерная эхокардиография в режиме реального времени (RT3DE).
- Рентгенодиагностика. При рентгенографии органов грудной клетки определяется увеличение размеров и деформация контуров сердца, повышение прозрачности периферических отделов легких, выпячивание ствола легочной артерии. Для более точной визуализации внутрисердечных структур применяется КТ.
- Катетеризация сердца. Инвазивная диагностика назначается для измерения давления внутри ПЖ, оценки параметров заклинивания легочной артерии. Дополнительно проводится тест на вазореактивность для оценки степени тяжести легочной артериальной гипертензии.
- Анализы крови. Для подтверждения правожелудочковой сердечной недостаточности показано исследование уровня натрийуретических пептидов, кардиоспецифических тропонинов. Характерно повышение печеночных показателей (трансаминаз, билирубина), признаки почечной дисфункции (возрастание мочевины и креатинина).
При выявлении характерного симптомокомплекса и лабораторно-инструментальных данных диагноз ПЖСН не оставляет сомнений. Дифференциальная диагностика требуется на первой стадии болезни, когда выраженные органические признаки отсутствуют. Поскольку недостаточность правых сердечных камер зачастую связана с хроническими патологиями дыхательной системы, пациенту может потребоваться консультация пульмонолога.

Лечение правожелудочковой сердечной недостаточности
Консервативная терапия
Тактика ведения пациента зависит от формы заболевания. При острой сердечной недостаточности необходимо начинать лечебные мероприятия в кратчайшие сроки, чтобы поддержать функцию ПЖ, облегчить субъективные симптомы и предупредить жизнеугрожающие осложнения. Лечение проводится в отделении интенсивной терапии, включает следующие направления:
- Диуретики. В остром периоде всем пациентам назначаются петлевые мочегонные препараты для быстрого устранения перегрузки правого желудочка. При резистентных отеках терапию усиливают тиазидоподобными и калийсберегающими диуретиками.
- Вазопрессоры. Лекарства применяются для стабилизации показателей артериального давления, повышения сердечного выброса, нормализации межжелудочкового взаимодействия.
- Антикоагулянты. Препараты используются при ТЭЛА, тромбозах глубоких вен нижних конечностей и других тромбоэмболических процессах, возникающих на фоне правожелудочковой сердечной недостаточности.
- Оксигенотерапия. При гипоксемии назначается неинвазивная вентиляция легких для пациентов с сохраненной функцией самостоятельного дыхания. В случае критического состояния показано проведение эндотрахеальной интубации.
- Механическая поддержка кровообращения. Методика используется при отсутствии эффекта от фармакотерапии, Она включает экстракорпоральные системы поддержания жизнеобеспечения, имплантацию устройств вспомогательного кровообращения для правого желудочка.
Для коррекции хронического варианта болезни пациентам подбирается индивидуальная схема терапии. Чаще всего используются диуретики, бета-адреноблокаторы, ингибиторы АПФ и блокаторы рецепторов ангиотензина. При развитии хронического легочного сердца назначаются вазодилататоры из группы антагонистов эндотелиновых рецепторов, аналогов простациклина. Пациентам необходимо контролировать водный баланс, ограничить потребление поваренной соли.
Хирургическое лечение
Помощь сосудистых хирургов требуется при острой ПЖСН на фоне ТЭЛА. При отсутствии эффекта от тромболизиза или наличии противопоказаний к его проведению пациентам назначается оперативная легочная эмболэктомия для нормализации кровообращения в малом круге. После стабилизации состояния пациента рассматривается вопрос о проведении аортокоронарного шунтирования, если ПЖСН существует вторично на фоне левожелудочковой недостаточности.
Прогноз и профилактика
Вероятность полного выздоровления при острой ПЖСН зависит от причины ее возникновения и своевременности оказания медицинской помощи. Современные программы лечения хронической сердечно-сосудистой недостаточности увеличивают ожидаемую продолжительность жизни больных на 30-35%. Профилактика заболевания заключается в раннем выявлении и коррекции кардиоваскулярной и пульмонологической патологии.
2. Острая правожелудочковая недостаточность/ А.Е. Баутин, В.В. Островских // Вестник анестезиологии и реаниматологии. - 2018. - №5.
4. Современное ведение пациентов с острой правожелудочковой недостаточностью/ Н.Т. Ватутин, А.С. Смирнова, Г.Г. Тарадин// Практическая ангиология. - 2016. - №3.
Аритмогенная правожелудочковая кардиомиопатия
Аритмогенная правожелудочковая кардиомиопатия - это заболевание предположительно генетической природы, характеризующееся структурными изменениями правого желудочка и развитием аритмии. Варианты течения варьируются от бессимптомных форм до форм с выраженной тахиаритмией, экстрасистолией, кардиалгией и сердечной недостаточностью. Диагностика осуществляется при помощи эхокардиографических, электрокардиографических, магнитно-резонансных исследований, а также биопсии миокарда. Специфическое лечение отсутствует, терапия сводится к устранению аритмии и застойной сердечной недостаточности. При отсутствии эффекта медикаментозной терапии применяют имплантацию кардиовертер-дефибриллятора.



Аритмогенная правожелудочковая кардиомиопатия (аритмогенная дисплазия правого желудочка, аритмогенная болезнь правого желудочка, АП КМП) - заболевание, поражающее стенку правого желудочка, при котором в толще миокарда формируются патологические очаги жировой и фибринозной инфильтрации, иногда с присоединением воспаления (миокардит). Патология была описана под названием «аритмогенная дисплазия правого желудочка» в 1977 году G. Fontaine, после этого исследования продолжил F. I. Marcus, который в 1982 году дал заболеванию современное название.
Встречаемость в различных регионах колеблется в пределах 1-6:10000 жителей; среди обнаруженных больных подавляющее большинство составляют мужчины младше 40 лет, половое распределение - 4:1. Имеет тенденцию к наследственной передаче, поэтому в настоящее время большинство форм АП КМП определяют как аутосомно-доминантное заболевание с неполной пенетрантностью. Интерес к заболеванию резко возрос в связи с выявлением его роли в развитии внезапной сердечной смерти. Так, гистологические исследования миокарда у детей и подростков до 20 лет, причиной смерти которых явилась сердечно-сосудистая патология, показали, что изменения, ассоциированные с АП КМП, были обнаружены в 26% случаев.

В настоящий момент общепризнанной точки зрения на причины развития АП КМП нет ввиду гетерогенности проявлений заболевания. Возможно, АП КМП объединяет в себе несколько схожих по проявлениям патологий с различной этиологией. Но единственной документально подтвержденной теорией на сегодняшний день является наследственная, объясняющая возникновение аритмогенной правожелудочковой кардиомиопатии генетической мутацией.
В некоторых случаях вместо очаговой жировой инфильтрации стенок правого желудочка наблюдается фибринозная, имеющая воспалительный характер и в целом напоминающая картину при вирусном миокардите, вызванном вирусом Коксаки и др. Такая форма имеет тенденцию к распространению на левый желудочек и характеризуется тяжелым течением, часто приводящим к смерти больного. С точки зрения наследственной теории развития АП КМП, считается, что мутации генов повышают предрасположенность миокарда к поражению вирусами.
Большинство мутаций наследуются по аутосомно-доминантному типу с пенетрантностью 30-50%. Одна крайне редкая форма аритмогенной правожелудочковой кардиомиопатии (болезнь Наксоса - описано всего 25 случаев) имеет аутосомно-рецессивный характер и высокую пенетрантность - более 90%. Гомозиготы по мутантному гену страдают от злокачественной желудочковой аритмии и часто умирают в детстве или подростковом возрасте.

Ввиду выраженной гетерогенности клинических форм АП КМП неоднократно принимались попытки систематизировать и классифицировать виды этого заболевания. В настоящее время выделяют следующие типы аритмогенной правожелудочковой кардиомиопатии:
- Чистая, или эталонная, форма.
- Болезнь Наксоса, характеризующая аутосомно-рецессивным наследованием и злокачественными желудочковыми аритмиями.
- Венецианская кардиомиопатия - нередко распространяется на стенку левого желудочка, имеет выраженный наследственный характер (пенетрантность около 50%), больные могут умереть в детском возрасте.
- Болезнь Покури - форма АП КМП, выявленная в Японии, служит причиной внезапной сердечной смерти подростков.
- Тахикардия, вызванная очагом возбуждения в правом желудочке без экстрасистол или проявлений сердечной недостаточности.
- Редкие желудочковые экстрасистолы, источник которых - очаг возбуждения в стенке правого желудочка, ассоциируемый с участком воспаления. Такая форма АП КМП может осложняться миокардитом с летальным исходом.
- Аномалия Уля - редкая форма АП КМП, характеризующая нарастанием сердечной недостаточности и смертью. При гистологическом исследовании сердца обнаруживается полное замещение кардиомиоцитов жировой и фибринозной тканью.
- Неаритмогенная форма - в большинстве случаев ничем себя не проявляет, именно с ней ассоциируют бессимптомные случаи внезапной сердечной смерти.
Симптомы аритмогенной кардиомиопатии
Клинические формы АП КМП разделяются на четыре основные группы. При бессимптомной форме патология никак не проявляет себя при жизни больного, в том числе и при электрокардиографических исследованиях. Аритмическая форма характеризуется развитием тахиаритмии, желудочковой экстрасистолии и появлением других электрокардиографических признаков. Субъективные симптомы, как правило, отсутствуют. При развитии выраженной клинической формы на фоне тахиаритмий возникают кардиалгии, приступы сердцебиения, головокружения. Наиболее тяжелым типом клинических проявлений АП КМП является развитие сердечной недостаточности по правожелудочковому типу с характерным симптомокомплексом - венозным застоем, отеками, асцитом. При этом сердечная недостаточность может протекать как на фоне нарушения ритма сердца, так и без него.
В некоторых случаях эти группы отражают стадийность развития нарушений, обусловленных аритмогенной правожелудочковой кардиомиопатией. Однако у одних больных развитие патологии может длиться годами, тогда как у других от бессимптомной формы до сердечной недостаточности может пройти менее месяца. Кроме того, при любой из форм или любом этапе АП КМП возможен летальный исход из-за фибрилляции желудочков, аномалии Уля или молниеносного вирусного миокардита.
Для диагностики АП КМП в практической кардиологии используется весь спектр современных методик исследования функции сердца:
- УЗИ сердца. На ЭхоКГ определяется конечный диастолический размер (КДР) и конечный систолический размер (КСР) желудочков, после чего эти данные сравниваются между собой. Если отношение КДР правого желудочка к КДР левого составляет 0,5 и более, это свидетельствует в пользу наличия АП КМП.
- ЭКГ. К ЭКГ-признакам аритмогенной правожелудочковой кардиомиопатии относятся удлинение желудочкового комплекса свыше 110 мс на отведении V1, эпсилон-волна на сегменте ST в отведениях V1-V3, инверсия зубца Т в грудных отведениях из-за замедления деполяризации правого желудочка, а также наличие тахиаритмии и желудочковых экстрасистол.
- Рентген. На рентгеноконтрастной вентрикулографии можно определить дилятацию правого желудочка, причем в ряде случаев прямо визуализируется выпячивание (аневризма) в области очага фибролипозной дисплазии миокарда. В последние годы для специфической диагностики АП КМП применяется магнитно-резонансная томография с гадолиниевым контрастированием, позволяющая не только получить трехмерное изображение сердца, но и дифференцировать жировые и фибринозные очаги от неизмененного миокарда.
- Биопсия миокарда. Для уточнения диагноза практикуют биопсию миокарда с последующим гистологическим изучением тканей - при АП КМП будет наблюдаться жировая инфильтрация, изменение цвета и формы десмосом, а также уменьшение их количества.
Важным признаком является семейный характер симптомов или наличие у больного родственников, скончавшихся от внезапной сердечной смерти или фибрилляции желудочков. В этом случае диагноз подтверждается с помощью генодиагностики. Дифференциальную диагностику производят с идиопатическими формами желудочковых тахиаритмий.

Лечение
Медикаментозное лечение АП КМП включает в себя антиаритмические препараты. Снижение выраженности тахиаритмий играет важную роль в сохранении жизни пациента, контроль эффективности препаратов врач-кардиолог производит при помощи холтеровского мониторинга. В тех случаях, когда медикаментозная терапия малоэффективна, прибегают к имплантации кардиовертер-дефибриллятора или кардиостимулятора. При развитии сердечной недостаточности используют ингибиторы АПФ, бета-адреноблокаторы.
Разрабатываются техники хирургического лечения аритмогенной правожелудочковой кардиомиопатии (вентрикулотомия), которые сводятся к удалению патологических очагов с ушиванием миокарда. Первые результаты таких операций оптимистичны, однако рецидивы возникают в 30-40% случаев. При выраженной сердечной недостаточности эффективным методом лечения будет трансплантация сердца.
Прогноз неопределенный по причине высокой вариабельности проявлений АП КМП. Фибрилляция желудочков с летальным исходом может развиться в любой момент, особенно при отсутствии лечения. При регулярной антиаритмической терапии риск летального исхода снижается примерно на треть. Наилучшие результаты показывает сочетание кардиостимуляторов и медикаментозной терапии, которое снижает риск возникновения летальной фибрилляции практически до нуля. При развитии сердечной недостаточности прогноз, как правило, неблагоприятный.
1. Аритмогенная дисплазия/кардиомиопатия правого желудочка/ Л.А. Бокерия, О.Л. Бокерия, А.Ш. Темирбулатова// Анналы аритмологии. - 2010. - №3.
3. Аритмогенная дисплазия правого желудочка/ Бокерия Л.А., Тетвадзе И.В., Сергеев А.В., Колоскова Н.Н.// Анналы аритмологии. - 2012.
Недостаточность митрального клапана - симптомы и лечение
Что такое недостаточность митрального клапана? Причины возникновения, диагностику и методы лечения разберем в статье доктора Верещагиной Натальи Валентиновны, терапевта со стажем в 29 лет.
Над статьей доктора Верещагиной Натальи Валентиновны работали литературный редактор Вера Васина , научный редактор Сергей Федосов и шеф-редактор Лада Родчанина
Определение болезни. Причины заболевания
Недостаточность митрального клапана — порок, при котором из-за неполного смыкания створок клапана возникает обратный ток крови (регургитация) из левого желудочка в левое предсердие [8] .

Патология проявляется слабостью, головокружением, ощущением нехватки кислорода и утомлением, так как при заболевании нарушается кровоснабжение головного мозга. Без лечения тяжёлая регургитация митрального клапана может стать причиной сердечной недостаточности и нарушений сердечного ритма (аритмии).
Причины митральной недостаточности:
- ;
- бактериальный эндокардит;
- отложение солей кальция в тканях клапана;
- заболевания соединительной ткани — ревматоидный артрит, системная красная волчанка, склеродермия, синдромы Марфана и Элерса-Данло;
- травматический отрыв створок клапана при тяжёлой физической нагрузке;
- травмы при хирургических операциях на клапане;
- утолщение створок клапана;
- опухоли предсердия;
- лучевая терапия [8] .
Митральная недостаточность находится на первом месте среди всех приобретённых клапанных пороков сердца. Патология редко встречается изолированно, зачастую она сочетается с митральным стенозом и с пороками аортального клапана. Распространённость недостаточности митрального клапана в сочетании с пролапсом митрального клапана среди населения составляет 2-6 % [15] .
При обнаружении схожих симптомов проконсультируйтесь у врача. Не занимайтесь самолечением - это опасно для вашего здоровья!
Симптомы недостаточности митрального клапана
Симптомы заболевания:
- общая слабость и головокружение;
- учащённое сердцебиение;
- одышка, возникающая даже при незначительных нагрузках;
- ноющие, давящие и колющие боли в сердце, которые могут отдавать в левое плечо и руку;
- "неудовлетворённость вдохом" — больной делает один вдох за другим, но ощущает нехватку воздуха и впадает в панику;
- частые простудные заболевания;
- кровотечения из носа и дёсен, длительные менструации у женщин;
- ухудшение памяти, панические атаки, тревога, мнительность (это связано с нехваткой снабжения головного мозга кислорода, нарушением обменных процессов и замедлением передачи импульсов между нейронами);
- дрожь в теле;
- частое появление синяков;
- дискомфорт при нахождении в закрытом и душном помещении, возможны обмороки;
Постоянная тревога часто приводит пациента на консультацию к психиатру или неврологу. Очень важно не допустить таких больных в профессиональный спорт, так как чрезмерные нагрузки могут вызвать смерть на тренировках и соревнованиях.
У пациенток с митральной недостаточностью во время беременности возможны перебои в работе сердца, особенно нежелательные при родах, но в основном беременность протекает без осложнений [3] [4] .
Патогенез недостаточности митрального клапана
Сердце человека состоит из четырёх камер: правое и левое предсердия, правый и левый желудочки. Между предсердиями и желудочками расположены входные клапаны — трикуспидальный и митральный. На выходе из желудочков находятся похожие по строению выходные клапаны — лёгочный и аортальный.

Клапаны имеют створки, которые открываются и закрываются во время сердечных сокращений. Иногда клапаны не открываются или не закрываются должным образом, при этом нарушается ток крови.
Митральный клапан состоит из двух створок и открывается, позволяя крови течь в левый желудочек. Затем клапан закрывается, чтобы кровь не текла обратно в левое предсердие. При митральной недостаточности этот клапан закрывается неплотно, в результате чего кровь попадает обратно в левое предсердие.
В патогенезе первичной или врождённой недостаточности митрального клапана важную роль играет хронический дефицит ионов магния. Нехватка магния приводит к тому, что фибробласты вырабатывают неполноценные эластин, коллаген и фибронектин, а также к нарушению свойств ферментов, регулирующих обмен коллагена. В результате нарушается строение и функции соединительных тканей сердца [14] .
Вторичная форма митральной недостаточности возникает в результате перенесённых заболеваний и травм. При патологии происходит расширение полости левого желудочка, прогибание створок митрального клапана, дисфункция сосочков мышц и разрыв сухожильных хорд, соединяющих клапаны с сосочковыми мышцами. Иногда причиной развития вторичной недостаточности митрального клапана становится кальциноз клапанного фиброзного кольца. Кальциноз митрального кольца — это хронический дегенеративный процесс, при котором происходит отложение кальция в кольце клапана. Митральное кольцо при кальцификации становится утолщённым и менее гибким. Хотя изначально кальциноз митрального клапана считался возрастным дегенеративным процессом, накапливаются данные о том, что его развитию способствуют атеросклероз и генетически обусловленные нарушения кальций-фосфорного обмена [16] .

Классификация и стадии развития недостаточности митрального клапана
В течении заболевания выделяют три периода:
- Компенсация дефекта клапана усиленной работой левого предсердия и левого желудочка. Это продолжительный период хорошего самочувствия, но уже на этой стадии начинают появляться первые характерные симптомы: слабость, головокружение, частые простудные заболевания, чувство нехватки воздуха, перебои в работе сердца, одышка.
- Развитие венозной митральной недостаточности. Больные жалуются на одышку и учащённое сердцебиение. При интенсивной физической нагрузке наблюдаются приступы сильной одышки и кровохарканье.
- Одышка уменьшается, но пациент ощущает тяжесть в правом подреберье. Появляются отёки, уменьшается количество мочи, набухают шейные вены. Кровохарканье усиливается, развивается отёк лёгких, возникают нарушения сердечного ритма (мерцательная аритмия и наджелудочковая экстрасистолия) и тромбоэмболические осложнения.
С учётом выраженности обратного тока крови выделяют четыре степени митральной недостаточности: с незначительной митральной регургитацией, с умеренной, выраженной и тяжёлой.
Стадии митральной недостаточности:
- Митральный возврат крови составляет 20-25 %. На этой стадии пациент здоров.
- Митральный возврат крови в пределах 25-50 % от систолического объёма крови. Развивается застой крови в лёгких второй степени. Появляются кашель, одышка, перебои в работе сердца.
- Выраженная недостаточность митрального клапана. Возврат крови в левое предсердие составляет 50-90 %. Возникают кашель, кровохарканье, приступы удушья, увеличивается печень, появляются отёки [8] .
Осложнения недостаточности митрального клапана
Осложнения порока:
- Кровохарканье и отёк лёгких. Проявляется одышкой, затруднённым вдохом, влажным кашлем. В мокроте появляется кровь. Температура тела повышается до субфебрильных ( 37-38 °C ) и фебрильных ( 38-39 °C ) значений. Необходима срочная госпитализация в отделение реанимации.
- Нарушения сердечного ритма в виде мерцательной аритмии и наджелудочковой экстрасистолии. Проявляются перебоями в работе сердца, головокружением, слабостью, обмороками. Требуется госпитализация в отделение кардиологии.
- Тромбоэмболические осложнения (тромбоз левого предсердия, сосудов кишечника, почек, головного мозга). Последствия будут зависеть от локализации тромба. При тромбозе сосудов головного мозга возможен инсульт. Если тромб находится в почках и сосудах кишечника, то пациент испытывает острые боли в животе. Необходима госпитализация в отделение реанимации [8][9] .

Диагностика недостаточности митрального клапана
При сборе анамнеза кардиолог уточняет:
- ощущает ли пациент нехватку воздуха при вдохе;
- беспокоят ли перебои в работе сердца;
- возникает ли одышка при незначительных физических нагрузках;
- мучает ли тревога, страх смерти, панические атаки.
При аускультации ("выслушивании" сердца) выявляется систолический шум у верхушки и над основанием сердца. Важное значение для диагностики митральной недостаточности имеет фонокардиография (ФКГ). ФКГ - это метод исследования работы сердечной мышцы, который основан на регистрации и последующем анализе звуков, возникающих во время работы сердца .
Другой важный инструментальный метод диагностики — эхокардиография (Эхо-КГ) . Эхо-КГ — это безболезненное ультразвуковое исследование, которое позволяет исследовать работу сердца в реальном времени. Эхокардиография покажет уменьшение эластичности клапана, его повреждение, размер отверстия митрального клапана и расстояние между его створками. Также при исследовании можно увидеть разрыв папиллярной мышцы и провисание клапанных створок в полость левого предсердия [4] [8] [9] .

Лечение недостаточности митрального клапана
При обострении заболевания необходим постельный режим. Также следует принимать препараты, содержащие магний и B6 по две таблетки три раза в день (например, "Магнелис").
Обязательно следует проводить лечение и профилактику осложнений. Для предупреждения тромбоэмболии пациентам старше 30-40 лет назначают препарат "Тромбо АСС", препятствующий тромбообразованию .
Если беспокоит частый пульс (более 80 ударов в минуту), то назначаются бета-адреноблокаторы, диуретики, антикоагулянты, нитроглицерин.
Если пациент страдает от приступов тревоги, то в качестве симптоматической терапии можно рекомендовать короткий курс феназепама на ночь.
Если развивается сердечная недостаточность и нарушается сердечный ритм, то проводят лечение бета-адреноблокаторами, диуретиками, ингибиторами ангиотензинпревращающего фермента, антикоагулянтами, блокаторами кальциевых каналов.
При значительной недостаточности митрального клапана показано оперативное лечение.
Основные хирургические методы коррекции митральной недостаточности:
- пластика митрального клапана;
- протезирование с частичным или полным сохранением хордального аппарата;
- протезирование без сохранения хордального аппарата.
Своевременное хирургическое вмешательство позволяет достичь хороших результатов и не допустить развитие осложнений.

Прогноз. Профилактика
При соблюдении рекомендаций врача прогноз благоприятный.
Для профилактики осложнений следует:
- ежегодно проходить осмотр у терапевта и кардиолога и проводить эхокардиографию сердца (Эхо-КГ);
- принимать препараты магния, а для предупреждения тромбоэмболии — антикоагулянты;
- исключить тяжёлые физические нагрузки, переохлаждение и перегрев;
- снизить эмоциональные перегрузки;
- отдыхать в дневные часы;
- при тревожных расстройствах принимать успокоительные препараты, освоить методы аутотренинга и расслабления мышц;
- проходить санаторно-курортное лечение [4] .
При ревматизме и после перенесённой ангины для профилактики недостаточности митрального клапана назначают антибиотик "Бициллин-3". Препарат подавляет развитие стрептококковой и стафилококковой инфекций.
После 40 лет всем пациентам, страдающим недостаточностью митрального клапана, необходимо контролировать уровни фибриногена, РФМК (растворимых фибринмономерных комплексов), D-димера (продукта распада фибрина). Эти анализы нужны для предотвращения тромбоэмболии лёгочной артерии и артерий внутренних органов. При повышении вышеуказанных показателей назначают антикоагулянты.
Если недостаточность митрального клапана обнаружена у ребёнка и его беспокоит слабость, головокружение, расстройство внимания, то рекомендуется временно перейти на домашнее обучение. Таким детям следует избегать чрезмерных физических нагрузок, им разрешена только лечебная физкультура.
Если при проведении Эхо-КГ обнаружено сильное прогибание створок клапана, то необходима консультация у кардиохирурга. Восстановление клапана или его замена могут потребоваться при эндокардите, сердечной недостаточности, нарушениях ритма, сильных болях в грудной клетке, признаках застоя в лёгочной системе (одышке, уменьшении объёма вдоха и ощущении нехватки воздуха).
Левожелудочковая недостаточность: острая, хроническая - причины, симптомы, лечение
Левый желудочек в сердце человека выполняет большую работу по осуществлению насосной функции сердца как органа в целом, так как изгоняет кровь в один из крупных магистральных сосудов - в аорту. В левый желудочек, в свою очередь, кровь попадает из левого предсердия, а в предсердие - из легочной вены. Это следует знать для того, чтобы понимать, к каким последствиям приводит неспособность левого желудочка нормально сокращаться.
Именно снижение сократимости миокарда левого желудочка приводит к развитию сердечной недостаточности, а затем к застою крови в легочных сосудах. А вот в зависимости от того, сколько по времени длятся данные процессы, и различают остро возникшее состояние, требующее экстренной помощи, и постепенно развивающуюся, или хроническую левожелудочковую недостаточность.

левожелудочковая сердечная недостаточность
Какой бывает левожелудочковая недостаточность?
Левожелудочковая недостаточность бывает острой или хронической.
Острая форма является неотложным состоянием, так как у пациента внезапно в силу различных причин возникает застой крови в легких, которая пропотевает сквозь тончайшие капилляры и попадает вначале в соединительную ткань легких (интерстиций), а затем в легочные альвеолы, которые в норме наполнены воздухом. При попадании в них жидкой части крови альвеолы не способны к нормальному газообмену, и пациент может попросту задохнуться. Другими словами, при острой левожелудочковой недостаточности (ОЛЖН) развивается сначала интерстициальный, а затем и альвеолярный отек легких.
Хроническая левожелудочковая недостаточность развивается постепенно, может наблюдаться у пациента десятилетиями, и проявляется не так ярко и бурно, как острая, но часто вызывает приступы сердечной астмы, которая также может привести к отеку легких. Поэтому хроническая сердечная недостаточность (ХСН) тоже опасна для человека, и без лечения может привести к неблагоприятному исходу. Это обусловлено тем, что, к сожалению, без поддерживающей пожизненной терапии при ХСН сердце человека рано или поздно перестанет выполнять свои функции.
Что может привести к острой левожелудочковой недостаточности?
Острая недостаточность левого желудочка может развиться в любом возрасте, если у пациента имеется патология сердечно-сосудистой системы, но чаще встречается у мужчин старше 50 лет, страдающих ишемической болезнью сердца. Относительно причин данного состояния необходимо отметить, что снижение сократительной функции левого желудочка может быть обусловлено как развитием патологического процесса в миокарде самого желудочка, так и влиянием на сердце некоторых факторов извне.

К кардиологическим причинам левожелудочковой недостаточности относятся следующие заболевания:
- Некроз сердечной мышцы при остром инфаркте миокарда (кардиогенный отек легких) - обычно развивается при обширных, трансмуральных инфарктах, сопровождается общим тяжелым состоянием пациента, а прогноз при этом зависит от степени выраженности инфаркта и от скорости обращения за медицинской помощью.
- Острые воспалительные процессы в сердечной мышце - миокардиты различной природы.
- Нарушения архитектоники сердца в результате врожденных или приобретенных пороков.
- Нарушения сердечного ритма (мерцательная аритмия, желудочковые тахиаритмии).
- Кризовое течение артериальной гипертонии с высокими цифрами артериального давления.
Из заболеваний других органов и систем спровоцировать острую недостаточность левого желудочка могут:
- Тромбоэмболия легочной артерии, при которой формируется острое “легочное” сердце, особенно с массивным поражением артерий;
- Пневмонии,
- Острые отравления,
- Тяжелая анемия,
- Электротравма,
- Асфиксия (удушье),
- Тяжелые травмы грудной клетки,
- Тяжелые заболевания почек и печени в терминальных стадиях.
Отдельно следует отметить провоцирующие факторы, способные вызвать острую левожелудочковую недостаточность у пациентов с имеющейся патологией сердца или других органов, а именно - избыточная физическая нагрузка, посещение жаркой бани или сауны, психоэмоциональная перегрузка, чрезмерное употребление алкоголя и другие неблагоприятные ситуации. Именно в связи с этим таким пациентам следует беречь свое сердце и постараться ограничить себя от подобных ситуаций - чтобы не допустить возникновения острой сердечной недостаточности.
Каковы симптомы левожелудочковой недостаточности?

проявления острой левожелудочковой недостаточности
Острая левожелудочковая недостаточность имеет довольно характерную клиническую картину.
Как правило, начало у ОЛЖН внезапное, бурное. После того, как появились симптомы основного заболевания (перебои в сердце, боли в грудной клетке по типу инфарктных, тошнота, рвота и головная боль при гипертоническом кризе и др), пациент начинает испытывать нехватку воздуха и резкую одышку. При этом на начальной стадии отека (интерстициальный отек) пациент чувствует сухие свисты в бронхах при дыхании, а по мере проникновения жидкости в альвеолы отмечаются влажные, булькающие хрипы и клокочащее дыхание. Пациент надсадно кашляет, образуется розовая пенистая мокрота. Частота дыхательных движений возрастает (от 30-40 и более в минуту при норме до 20).
В большинстве случаев отек легких сопровождается нестабильной гемодинамикой и низким артериальным давлением (исключение составляет гипертонический криз с очень высокими цифрами АД). Больной при этом бледен, с синюшностью кончиков пальцев, носогубного треугольника (акроцианоз), отмечается липкий холодный пот, резкая общая слабость, иногда имеет место потеря сознания.
При возникновении описанных признаков пациент как можно скорее должен получить медицинскую помощь, иначе он начнет задыхаться и может погибнуть, так как отек легких часто является причиной смерти у пациентов с тяжелой сердечной патологией.
Диагностика и дифференциальный диагноз
Диагноз острой левожелудочковой недостаточности устанавливается при первичном осмотре пациента медицинским работником. В связи с тем, что это состояние является жизнеугрожающим, диагноз и оказание неотложной помощи не должны вызывать затруднений как у врача, так и у медработников со средним образованием (фельдшер, медсестра).

Кроме сбора жалоб и анамнеза, врач проводит аускультацию - выслушивание грудной клетки. При этом по всем легочным полям или только в нижних отделах выслушиваются сухие и влажные хрипы. Если у пациента выслушиваются только сухие хрипы, можно ошибочно принять такое состояние за бронхообструктивный синдром или приступ бронхиальной астмы, что чревато неточностью в лечении. Ключевым моментом здесь являются анамнестические данные. В пользу отека легких говорят наличие у пациента предшествующей кардиологической патологии, прием сердечных препаратов, отсутствие приступов бронхиальной астмы в анамнезе, а также сухие и свистящие хрипы на выдохе, слышимые аускультативно или на расстоянии. В теории характер одышки различается - при бронхиальной астме затрудненный тяжелый выдох (экспираторная одышка), при отеке легких тяжело вдохнуть (инспираторная одышка). Но на практике у большинства больных одышка все же смешанного характера (затруднены и вдох, и выдох), поэтому опираться следует не только на данные аускультации, но и на анамнез.
После аускультации, подсчета пульса (отмечается тахикардия) и измерения артериального давления врач определяет содержание кислорода в крови, или сатурацию, с помощью пульсоксиметра. Это небольшой прибор, который надевают на указательный или безымянный палец. Обычно сатурация снижается и составляет менее 95%. Показатели менее 80-85% уже являются показанием для госпитализации пациента в отделение кардиореанимации.
Также обязательным является проведение электрокардиограммы. На ЭКГ отмечаются признаки перегрузки правого желудочка, нарушения ритма сердца или признаки ишемии и некроза миокарда при остром инфаркте. Сама по себе ЭКГ не покажет отек легких, но она поможет выявить причину кардиогенного отека легких, а в результате правильного лечения эта причина будет устранена. Кроме ЭКГ, экстренно выполняется рентгенография легких, которая помогает установить диагноз.
Как оказать помощь больному с острой левожелудочковой недостаточностью?
Неотложная помощь должна быть начата еще до осмотра больного медицинским работником. Для облегчения дыхания пациенту следует расстегнуть воротник, и обеспечить доступ к свежему воздуху, открыв окно. Необходимо принять сидячее или хотя бы полусидячее положении, опустив ноги вниз. Также следует принять лекарство, которое обычно принимает пациент. Например, каптоприл при высоком давлении под язык, нитроглицерин при болях в сердце, или бета-блокатор при тахиаритмии (конкор, эгилок, анаприлин).

После приезда скорой помощи пациенту подается увлажненный кислород через маску, также успешно применяется подача кислорода, пропущенного через этиловый спирт (в качестве пеногасителя). Осуществляется внутривенное введение антиаритмиков (новокаинамид, кордарон), нитратов, гипотензивных средств (энап), фуросемида. Для подавления дыхательного центра и уменьшения одышки вводится дроперидол (2.5% - 2-4 мл).
Терапию ОЛЖН на догоспитальном и госпитальном этапах условно можно подразделить на этиотропную и патогенетическую. Первое понятие означает правильное и своевременное лечение основного заболевания, приведшего к ОЛЖН. Так, например, применение тромболитиков, нитратов и наркотических анальгетиков позволяют значительно уменьшить зону некроза при остром инфаркте и стабилизировать гемодинамику. Соответственно, при нарушениях ритма должны быть назначены антиаритмики, при кризе - гипотензивные препараты, при миокардите - нестероидные противовоспалительные препараты или глюкокортикостероиды и т. д.
Патогенетическая терапия должна помочь «разгрузить» малый круг кровообращения, то есть убрать из легочных сосудов лишнюю жидкость. Конечно, это осуществимо с помощью мочегонных препаратов. Обычно используется фуросемид (лазикс) внутривенно струйно или капельно с другими растворами в дозировке 60-120 мг. Чтобы не допустить «наводнения» легких, объем вводимых в вену растворов должен быть рассчитан по минимуму. Для функциональной разгрузки миокарда левого желудочка используется прием таблетки нитроглицерина (или одного впрыскивания нитроминта, нитроспрея) под язык. Через 10-15 минут можно повторить, если давление не сильно снизилось.
После купирования отека легких назначается лечение основного заболевания, спровоцировавшего его развитие.
Что вызывает хроническую левожелудочковую недостаточность?
Основными причинами хронической сердечной недостаточности (ХСН) являются те же самые заболевания, которые могут привести и к ОЛЖН. Но чаще всего ХСН развивается вследствие постинфарктного кардиосклероза, пороков сердца и частых нарушений ритма сердца (особенно постоянной формы мерцательной аритмии). В отличие от острой левожелудочковой, хроническая недостаточность протекает длительно, годами и десятилетиями, и неуклонно прогрессирует. Хроническая левожелудочковая сердечная недостаточность может протекать по типу систолической или диастолической дисфункции ЛЖ. В первом случае нарушены процессы сокращения миокарда, во втором - миокард ЛЖ не способен полноценно расслабиться, чтобы вместить необходимое количество крови.

типы дисфункции левого желудочка, приводящие к его хронической недостаточности
Какие симптомы отмечаются при хронической левожелудочковой недостаточности?
Клиника при ХСН заметно отличается от ОЛЖН. При хронической недостаточности основной симптом - это одышка при физической нагрузке, а на поздних стадиях - и в покое.

Особенно одышка усиливается в положении лежа, поэтому пациент спит ночью полусидя. Часто врач оценивает эффективность лечения по тому, как спит пациент - сидя или лежа. Если лежа он перестал задыхаться, значит, терапия оказалась эффективной. В зависимости от характера одышки, выделяют четыре функциональных класса хронической левожелудочковой недостаточности. Чем выше функциональный класс, тем меньшую нагрузку способен выполнить пациент без одышки. При 4 ФК пациент не может передвигаться по дому, завязывать шнурки, готовить еду, то есть полностью нарушается способность к самообслуживанию.
Кроме одышки, пациент отмечает сухой кашель, вызванный венозным застоем в легких, особенно в ночное время и в положении лежа. Без постоянного лечения такой застой может привести к отеку легких, и тогда диагноз у пациента будет звучать, как хроническая сердечная недостаточность с приступами ОЛЖН.
По мере прогрессирования левожелудочковой недостаточности отмечается снижение функции и правого желудочка, что проявляется наличием отеков голеней, стоп, на тяжелых стадиях - кожи живота и скоплением жидкости во всех внутренних органах.
Диагностика хронической сердечной недостаточности
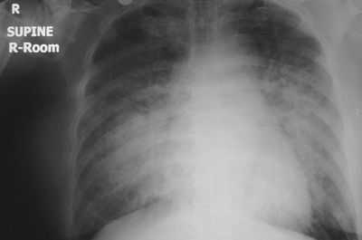
Диагноз ХСН врач может установить исходя из жалоб и осмотра больного. Для подтверждения диагноза используются ЭКГ, УЗИ сердца и рентгенография легких. На кардиограмме отмечаются признаки перегрузки правого желудочка, постоянная форма мерцательной аритмии, изменение электрической оси сердца (ЭОС), постинфарктного кардиосклероза или постинфарктной аневризмы ЛЖ. Рентгенограмма выявляет венозное полнокровие в легких, а при тяжелых стадиях - гидроторакс (скопление жидкости в плевральной полости, иногда требующей хирургической пункции).

изменения на рентгеновском снимке при левожелудочковой недостаточности
Эхокардиоскопия (УЗИ сердца) наиболее точно отражает параметры сократительной функции и размеры ЛЖ. Снижение фракции выброса менее 50-55% - прогностически неблагоприятный показатель, полученный при УЗИ.
Возможно ли вылечить хроническую левожелудочковую недостаточность навсегда?
Полное восстановление функций левого желудочка возможно только в том случае, если основное заболевание может быть излечено, а недостаточность еще не достигла тяжелых стадий.
Так, например, при пороках сердца хирургическая их коррекция в большинстве случаев приводит к тому, что пациент перестает испытывать неприятные симптомы, а показатели УИ сердца постепенно возвращаются к нормальным. Также успешное своевременное лечение острого миокардита заканчивается восстановлением ЛЖ.

Однако, при хронических сердечных заболеваниях не всегда возможно удержать функции ЛЖ на должном уровне. Например, после перенесенного инфаркта, при гипертонической болезни, при постоянной форме мерцательной аритмии пациенту необходимо постоянно принимать лекарства, чтобы не допустить прогрессирования ХСН. Если же недостаточность все-таки начала проявляться клинически, необходимо постоянно или длительными курсами принимать мочегонные препараты (индапамид 1.5-2.5 мг утром, гипотиазид 12.5-25 мг, верошпирон 25-50 мг, фуросемид (лазикс) 40-80 мг).
Именно благодаря постоянному приему мочегонных препаратов малый круг кровообращения разгружается, а жидкость не застаивается в легких, что приводит к значительному улучшению качества жизни пациента и достоверному увеличению ее продолжительности.
Читайте также:
- Комбинированные показания к применению коронок. Рекомендации
- Механизмы действия стволовых клеток на сердце. Неоваскуляризация миокарда
- Уход после модифицированной операции Брострома при латеральной нестабильности голеностопного сустава
- Гистохимия зубов. Минерализация зубных тканей
- Вам объявили бойкот. Ваши действия
