Рентгенограмма, КТ, МРТ при импинджмент-синдроме тазобедренного сустава (ИСТБС) и развивающейся дисплазии тазобедренного сустава взрослых (РДТБС)
Добавил пользователь Евгений Кузнецов Обновлено: 21.11.2025
Тазобедренный сустав является самым крупным сочленением в организме человека и, соответственно, именно он испытывает максимальную осевую нагрузку. Любые патологические процессы в нем часто приводят к значительному нарушению функции ходьбы, затрудняют самообслуживание и даже могут стать причиной инвалидности. КТ тазобедренного сустава позволяет выявить заболевание на ранней стадии развития и начать своевременную терапию. Это во многом определяет результативность лечебных мероприятий и прогноз для пациента.
Что покажет КТ тазобедренного сустава
Компьютерная томография − это рентгенологический метод исследования. Однако, в отличие от обычного рентгена, она дает возможность получать послойные изображения тазобедренного сустава с толщиной среза в несколько миллиметров. Мультиспиральные томографы делают это за считанные секунды, к тому же, оснащенные современными компьютерными программами, они позволяют создавать объемные модели исследуемой зоны.
На полученных снимках можно рассмотреть мельчайшие структуры тазобедренного сустава, выявить патологические изменения на начальных стадиях развития. На КТ-изображениях отчетливо видны следующие структуры:
кости таза, участвующие в формировании сочленения;
головка и проксимальный отдел бедренной кости;
суставная капсула, хрящевые поверхности костей;
окружающие мышцы и связки, подкожно-жировая клетчатка;
крупные сосуды, нервы.
Лучше всего компьютерная томография тазобедренного сустава визуализирует костные ткани. Во время анализа снимков удается определить точные размеры головки бедра, расстояние до вертлужной впадины, конгруэнтность суставных поверхностей.
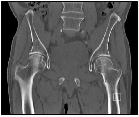
На КТ-снимке тазобедренных суставов виден перелом бедра слева
В травматологии и ортопедии очень важны такие параметры, как плотность и структура костной ткани. Эти показатели необходимы перед установкой искусственного сустава, от них зависит выбор типа имплантата, способ его крепления на кости.
Мультиспиральные томографы и прилагаемые к ним программы также позволяют получать 3D-реконструкции тазобедренных суставов. Такие данные оказывают большую помощь хирургу, помогают провести все манипуляции с максимальной точностью.
С помощью КТ тазобедренного сустава выявляют следующие патологии:
воспалительные процессы: остеомиелиты, артриты, бурситы;
дегенеративно-дистрофические изменения (остеоартроз);
объемные новообразования (злокачественные и доброкачественные опухоли), кисты;
наличие жидкости в суставе гнойного, серозного или геморрагического характера;
травматические изменения в костях, суставной капсуле, связках и мышцах (переломы, гематомы, разрывы и пр.);
врожденные аномалии (дисплазия).
Кроме того, томография помогает определить состояние уже установленных ортопедических конструкций (искусственного сустава, штифтов). Учитывая, что КТ тазобедренного сустава оказывает относительно небольшую лучевую нагрузку, ее можно использовать для контроля за проводимым терапевтическим лечением, в послеоперационном периоде.
Иногда для лучшей визуализации анатомических структур или сосудистой сети тазобедренного сустава необходимо дополнительное введение контрастирующего вещества на основе йода. Процедура контрастирования необходима для повышения четкости мягких тканей, правильного разграничения опухолевого и воспалительного процессов. В случае новообразования именно фармакологическое усиление дает максимум информации о размерах, расположении и степени инвазивности опухоли.
В диагностическом центре «Магнит» контрастирование делают с использованием качественного немецкого фармпрепарата Ультравист. Его количество рассчитывается исходя из массы тела больного, он практически не вызывает побочных эффектов и аллергических реакций.
Показания для КТ тазобедренного сустава
Врач может дать направление на КТ тазобедренного сустава при любых симптомах, свидетельствующих о наличии патологии:
длительном болевом синдроме;
ограничении движений в нижней конечности;
отеке, гиперемии в области тазобедренного сустава;
неприятном хрусте или щелчках в суставе при ходьбе;
косвенных признаках опухолевого процесса в сочленении;
после перенесенной травмы, для исключения скрытых повреждений.
Основанием для проведения томографии могут стать патологические изменения, выявленные во время УЗИ или артроскопии. Травматологи и ортопеды часто рекомендуют КТ перед хирургическим вмешательством. Данное обследование может проводиться планово перед операцией эндопротезирования, в качестве контроля за состоянием имплантата.
КТ тазобедренного сустава больного, которому уже была проведена ранее установка имплантата
Что нужно взять с собой для обследования КТ
Если ваш лечащий врач дал направление на КТ тазобедренного сустава, то, прежде всего, необходимо позвонить в диагностический центр «Магнит» и согласовать время диагностики. Одновременно сотрудник центр ответит на любые вопросы касательно особенностей и стоимости процедуры.
Специально готовиться перед томографией суставов не нужно, можно питаться как обычно и придерживаться привычного ритма жизни. Лучше надеть на диагностику одежду посвободнее, она позволит более комфортно расположиться на столе томографа.
Потребуется взять с собой имеющиеся медицинские документы:
направление от врача;
результаты лабораторных исследований;
заключения УЗИ, артроскопии;
Перед КТ тазобедренного сустава с контрастированием дополнительно нужно будет сдать анализ на креатинин (по месту жительства или непосредственно в медцентре).
Как проходит обследование КТ
Сама процедура компьютерной томографии тазобедренного сустава безболезненна и не причиняет существенного дискомфорта. Томограф находится в специальном помещении, отделенном стеклом от персонала центра. Во время небольшого предварительного инструктажа специалист расскажет вам, как делают обследование КТ, затем предложит занять удобное положение на выдвижном столе аппарата. При необходимости нижнюю конечность зафиксируют специальными ремнями.
Процедура сканирования безболезненна, однако во время ее проведения важно сохранять неподвижное положение тела
Во время процедуры сканирования стол будет плавно перемещаться в кольце аппарата. Важно лежать неподвижно и не совершать даже малейших движений. Длительность сканирования не превышает 1-2 минут.
Если выполняется КТ тазобедренного сустава с контрастом, то время исследования будет составлять от 15 до 20 минут. Это связано с необходимостью выполнения нативных снимков, введения контрастирующего вещества и повторного сканирования.
Полученные во время сканирования изображения-срезы подвергаются компьютерной обработке и реконструкции. После этого их анализирует врач-рентгенолог диагностического центра «Магнит». Специалисты нашего медучреждения имеют большой опыт в интерпретации результатов КТ тазобедренного сустава, к их мнению прислушиваются коллеги-рентгенологи и врачи других специальностей.
Результаты томографии отдают, в среднем, через полтора-два часа. На руки пациент получает распечатанное заключение, диск с протоколом сканирования. При возникновении вопросов касательно результатов КТ в центре «Магнит» проводят бесплатную консультацию врача. Вы сможете получить ответы на все интересующие вопросы и разъяснения касательно выявленной патологии.
Врач-рентгенолог анализирует полученные данные и составляет свое экспертное заключение
Безопасность процедуры КТ для беременных и детей
Компьютерная томография тазобедренного сустава является рентгенологическим методом диагностики. Известно, что ионизирующее излучение крайне негативно влияет на интенсивно растущие ткани человеческого организма. По этой причине КТ противопоказана беременным женщинам. Она повышает риск возникновения внутриутробных патологий у плода. Особенно опасно рентгеновское излучение в первом триместре вынашивания плода. Любая женщина, идя на обследование, должна убедиться в отсутствии беременности.
Детям КТ тазобедренного сустава может быть назначена, но только по строгим показаниям. Это связано с негативным влиянием рентгена на растущий организм. В медцентре «Магнит» компьютерную томографию выполняют пациентам начиная с пятилетнего возраста, обследование с контрастированием - с 12 лет.
Противопоказания для КТ тазобедренного сустава
В диагностическом центре «Магнит» компьютерную томографию не выполняют следующим категориям пациентов:
лицам, чей вес больше 150 кг;
детям до пяти лет.
КТ тазобедренного сустава с дополнительным введением контрастирующего вещества противопоказана при таких состояниях:
индивидуальной непереносимости йода;
почечной или печеночной недостаточности;
гиперпродукции тиреоидных гормонов.
Кормящим женщинам контрастное вещество вводят лишь в случае крайней необходимости. Контрастирующий фармпрепарат проникает в грудное молоко и может негативно сказаться на здоровье ребенка. После обследования женщина должна будет еще два-три раза пропустить кормление и сцедить молоко.
Преимущества КТ тазобедренного сустава
На сегодняшний день компьютерная томография является одним из самых востребованных способов диагностики. Это объясняется рядом преимуществ данного метода:
возможностью получения послойных изображений сустава;
неинвазивностью и, соответственно, безболезненностью для пациента;
безопасностью для здоровья;
большой скоростью сканирования;
относительно невысокой стоимостью.
Аналогичным компьютерной томографии методом является МРТ. Она также позволяет получать послойные изображения сустава и окружающих его тканей. Преимущество компьютерной томографии тазобедренного сустава заключается в более контрастной визуализации костных тканей, их травматических повреждений, новообразований, участков деструкции. КТ лучше выявляет свежие кровоизлияния, гематомы, однако уступает по информативности при обследовании мягких тканей.

“Скрытый” перелом бедра, определяемый на КТ-снимках
Стоимость КТ тазобедренного сустава
В диагностическом центре «Магнит» КТ тазобедренного сустава можно сделать за 2450 руб. Нередко врач назначает обследование сразу двух тазобедренных суставов. Это необходимо для сравнения патологически измененного и здорового сочленения. КТ тазобедренного сустава с введением контраста обходится дороже обычного исследования, поскольку нужно доплачивать за количество использованного Ультрависта.
Импиджмент тазобедренного сустава. Синдром соударения.

Импинджмент тазобедренного сустава — один из распространенных недугов, сопровождаемый образованием так называемых костных разрастаний в соответствующей области. Наличие данного недуга ведет к серьезному патологическому изменению формы костей и их соударению в процессе движения, что, в свою очередь, травмирует сустав, вызывая его частичную блокировку, а также болевые и дискомфортные ощущения.
Анатомические особенности сустава
Визуально тазобедренный сустав имеет шаровидную форму. Верхний конец образующей его бедренной кости (головка бедра), а также вертлужная впадина тазовой кости покрыты суставной хрящевой тканью, обеспечивающей их нормальное скольжение при совершении движений.
Кроме того, вертлужная впадина обрамлена так называемой суставной губой (фиброзно-хрящевым кольцом), обеспечивающей дополнительную стабильность и устойчивость сустава.

В норме форма вертлужной впадины абсолютно идентична форме бедренной головки.
Разновидности импиджмента
Как было сказано выше, при импиджменте наблюдается разрастание костных образований (остеофитов), локализующихся вокруг вертлужной впадины, либо бедренной головки. Существенно ограничивая движение этих суставных элементов, остеофиты могут травмировать хрящевую ткань и фиброзное кольцо.
Типология импинджмента
В настоящий момент специалистами различаются 5 типовых разновидности импинджмента:
Пинсер-импинджмент. Пинсер-импинджмент характеризуется сдавливанием суставной губы между бедренной головкой и суставными разрастаниями.
Кэм-импинджмент. Кэм-импинджмент опасен тем, что бедренная головка, ввиду серьезного изменения своей изначальной формы, перестает осуществлять нормальные вращательные движения, а стабильно увеличивающиеся остеофиты разрушают хрящевую ткань вертлужной впадины
Комбинированный импинджмент. Комбинированный импинджмент сочетает в себе симптомы и последствия обоих вышеназванных типов.

На рис. 2 показаны типы суставного импинджмента
Фемороацетабулярный (ФАИ) - возникает вследствие патологического контакта между проксимальным отделом и вертлужной впадиной и, в перспективе, ведет к развитию серьезных дегенеративных изменений в тазобедренном суставе. Основными симптомами этого типа заболевания являются суставная нестабильность или блокировка, болевые ощущения в паховой или бедренной частях, а также в области ягодиц и спины при совершении определенных движений или занятии некоторых видов положений, ограниченность и скованность двигательной амплитуды, зацепление и посторонние звуки (например, щелчки).
Ишиофеморальный - сопровождается серьезными болевыми ощущениями и нарушением биомеханики сустава, что вызвано, главным образом, ущемлением квадратной бедренной мышцы, а также иных видов мягких тканей, расположенных между малым вертелом бедра и седалищной бугристостью.

На снимке показан пример ишиофеморального импинджмента в хронической форме. Пациент - женщина в возрасте 60 лет. Жалобы - постоянные болевые ощущения в тазобедренных суставах, наиболее проявляющиеся в правом.
Гипертрофия седалищных бугристостей, ведущая к значительному сужению ишиофеморальных пространств; наблюдается деформация, отеки, несущественные скопления жидкости в квадратных бедренных мышцах (максимально заметные справа), неравномерная атрофические изменения с характерной жировой инфильтрацией.
Основные причины появления недуга
Наиболее распространенной причиной, влияющей на появление и развитие заболевания, являются некоторые виды нарушений развития формирующих сустав костей еще в детстве.
Несмотря на достаточную изученность импиджмента, назвать точное количество пациентов, имеющих этот недуг, весьма сложно. Дело в том, что многие люди живут с таким заболеванием, не испытывая вообще каких-либо проблем.
Единственное, что можно сказать точно - у спортсменов, при наличии импиджмента, появление болевых ощущений может начаться гораздо раньше, нежели у тех, кто не занимается чрезмерной физически активной деятельностью.
Симптоматика недуга
Самыми распространенными симптомами заболевания, являются:
- болевые и дискомфортные ощущения;
- хромота;
- ограничение, а также скованность двигательных функций в районе тазобедренного сустава.
Если говорить о боли, которая может быть, как острой, так и ноющей, то ее локализация, как правило, наблюдается в паховой части, либо снаружи бедра. Неприятные ощущения могут возникать при совершении приседаний, поворотах тела и пр.
В случае появления симптомов недуга впервые, лечащий специалист пытается определить основную причину, которая может быть тесно связана с тем или иным видом активной деятельности. Если таковое имеет место быть, достаточно лишь прекратить, либо ограничить такие действия, а также обеспечить конечностям максимальный покой. В дополнение ко всему, больному могут назначаться лекарственные препараты противовоспалительной группы (например, напроксен).
Если же симптоматика заболевания продолжает доставлять неудобства, необходимо как можно раньше обратиться к специалистам для точного диагностирования и назначения соответствующего профессионального лечения.
Особенности диагностирования заболевания
На первичной консультации врач обсуждает с пациентом его общее самочувствие, а также индивидуальные ощущения в районе тазобедренного сустава. После выяснения всех нюансов состояния здоровья больного, специалист выполняет тщательное визуальное и физикальное обследование.
Импинджмент-тест
Зачастую, при проведении обследования, врач использует так называемый импинджмент-тест, суть которого заключается в сгибании больной нижней конечности в колене и тазобедренном суставе. При наличии болевых ощущений результат тестирования является положительным.

Лучевая диагностика
С целью диагностирования заболевания пациенту необходимо пройти диагностические процедуры на основе следующих видов лучевых методик.
- Рентгенография. Данная методика обеспечивает весьма отчетливую визуализацию не только костных изменений, но и ряда иных недугов (например, остеоартрита).
- Компьютерная томография. КТ позволяет получить еще более четкие фотографические изображения костей и, благодаря этому, сделать максимально точную оценку их формы.
- Магнитно-резонансная томография. МРТ - лучшая методика для изучения состояния мягких тканей и, главным образом, травмированной хрящевой ткани сустава, а также суставной губы.
- Анестезирующие препараты местного действия. Для диагностики недуга специалист вводит в область тазобедренного сустава пациента анестезирующий препарат местного типа действия. Если после этого болевые ощущения уходят, можно сделать вывод о наличие импиджмента.
Особенности лечения заболевания
Консервативное лечение
Для начала, специалист рекомендует больному уменьшить интенсивность физической деятельности. В ряде случаев соблюдение таких рекомендаций приносит положительные результаты.
Если снижение физических нагрузок не помогает, пациенту назначается прием нестероидных лекарственных препаратов противовоспалительного действия.
При более серьезных формах развития заболевания, а также, если предыдущие действия не принесли нужного результата, врач назначает специальные физиотерапевтические упражнения, направленные на укрепление мышц, увеличение объемов движения и пр.
Хирургическое лечение
Хирургические методики лечения назначаются врачом при отсутствии положительной динамики от консервативного лечения, либо в особо тяжелых случаях.

На изображении слева показан расположенный на бедренной головке кэм-остеофит. На изображении справа - рентгеновский снимок после удаления остеофита хирургическим путем.
Артроскопические операции
Малоинвазивные артроскопические хирургические вмешательства актуальны при лечении большинства типов импиджмента. Операция выполняется через предварительно устроенные проколы с использованием миниатюрного инструментария и специальной камеры.
В ходе процедуры специалист удаляет разрушенные элементы хрящевой ткани и суставной губы, иссекая разрастания вертлужной впадины и бедренной головки.
При этом, в ряде особо тяжелых ситуаций, пациенту требуется открытое операционное вмешательство.

На фотоизображении слева показано, как специалист через миниатюрный канал вводит артроскопическую камеру. На рисунке справа специалист, также через небольшие разрезы, помещает в сустав операционный инструментарий.
Итоговые результаты
В большинстве случаев хирургическое вмешательство гарантирует отличные результаты, позволяя остановить развитие недуга. Однако, если операция была сделана поздно, либо та или иная суставная часть в значительной мере разрушена - операция может оказаться не столь эффективной. Как бы то ни было, хирургические методики, на сегодняшний момент, являются единственным вариантом полного устранения данной проблемы.
Особенности современных операционных методик
Применяемые при устранении импиджмента операционные методики постоянно совершенствуются и развиваются. По этой причине специалисты все чаще рекомендуют больным именно хирургическое вмешательство, как наиболее результативный способ вернуть утраченное здоровье.
Фемороацетабулярный импинджмент синдром

Одной из типичных причин боли в бедре является ишиофеморальный импинджмент синдром в тазобедренном суставе. Патологическое состояние, обусловленное нарушением биомеханики тазобедренного сустава, приводит к аномальному контакту шейки бедренной кости и края вертлужной впадины. При отсутствии своевременной и качественной медицинской помощи эта дисфункция может повлечь за собой повреждение хряща, развитие деформирующего артроза и необходимость эндопротезирования.
Рассказывает специалист ЦМРТ
Дата публикации: 09 Июня 2021 года
Дата проверки: 30 Ноября 2021 года
Содержание статьи
Причины ишиофеморального импинджмент-синдрома
Основополагающим фактором развития болевого синдрома является ущемление квадратной бедренной мышцы и, как следствие, сужение ишиофеморального расстояния между седалищной костью и малым вертелом шейки бедра от 1,4 до 0,5 мм. В случае увеличения расстояния на 0,93-6,35 мм диагностируется фемороацетабулярный импинджмент. Спровоцировать патологическое нарушение могут:
- травматические повреждения вертлужной впадины
- врожденные аномалии развития
- дисплазия ТБС
- болезнь Легга-Кальве-Пертеса (остеохондропатия бедренной кости)
- эпифизеолиз (эндокринное и/ или посттравматическое ослабление или разрушение ростковой зоны эпифизарного хряща головки бедра)
- стрессовые переломы у гимнастов и танцоров, связанные с высокой нагрузкой
- асептический некроз костной ткани
С медицинской точки зрения формулировка «ишиофеморальный импинджмент-синдром в тазобедренном суставе» является не совсем корректной. На самом деле ИФИ - внесуставной седалищно-бедренный импинджмент, связанный с увеличением углов шейки бедра и седалищной кости.
Симптомы ишиофеморального импинджмент-синдрома
Патологическое состояние развивается постепенно. Вначале появляется болезненность в паховой и ягодичной области. Постепенно боль распространяется сверху вниз, от внутренней части бедра к колену. Часто наблюдаются характерные щелкающие звуки, возможны периодические блокировки в суставе. Как правило, болевые ощущения возникают при внешней ротации, разгибании или приведении бедра.
Диагностика
Чтобы дифференцировать ИФИ или фемороацетабулярный импинджмент тазобедренного сустава с другими заболеваниями опорно-двигательного аппарата, проводится
- обзорная рентгенография в двух проекциях
- компьютерная томография;
- УЗИ
- МРТ
«Золотым стандартом» диагностики болевых синдромов тазобедренной области является магнитно-резонансная томография. Ишиофеморальный и фемороацетабулярный импинджмент на МРТ - не просто определение точного расстояния между седалищной костью и малым вертелом. Информативная технология визуализации позволяет оценить состояние костного мозга, исключить или подтвердить стрессовый перелом. С её помощью обнаруживаются изменения структуры квадратной мышцы бедра и мышечно-сухожильного соединения (диагностический признак ИФИ), и характерная для ФАИ деформация тазобедренного сустава.
К какому врачу обратиться
Ведением пациентов с ишиофеморальным и феромоацетабулярным импинджмент-синдромом занимаются ортопеды-травматологи. Подходы к лечению обсуждаются с мультидисциплинарной командой, включающей неврологов, реабилитологов, эндокринологов, артрологов, специалистов спортивной медицины
Импинджмент - синдром (синдром соударения)

Импинджмент - синдром тазобедренного сустава (синдром соударения бедра с вертлужной впадиной)

Импинджмент - синдром тазобедренного сустава (FEMORAL ACETABULAR IMPINGEMENT - FAI) - это явление, при котором происходит соударение шейки бедренной кости с краем вертлужной впадине по причине чрезмерного патологического разрастания костной ткани.
Подробно о нормальной анатомии тазобедренного сустава можно посмотреть здесь.
Варианты развития импинджмент - синдрома:
(как показано на рисунке):
Cam - импинджмент (Кэм - импинджмент - на рисунке показан вверху справа, вверху слева для сравнения - нормальный тазобедренный сустав) - происходит патологическое разрастание костной ткани на шейке бедренной кости.
Pincer - импинджмент (Пинсер - импинджмент - на рисунке показан внизу справа) - патологическое разрастание костной ткани в области края вертлужной впадины.
Mixed - импинджмент (Смешанный импинджмент - на рисунке показан внизу слева) - сочетание обоих видов импинджмента.
Почему развивается импинджмент - синдром?
В крайних положениях бедренной кости происходит ограничение движения бедренной кости относительно вертлужной впадины, через место соударения, как через блок, происходит патологическое воздействие на вертлужную впадину. Это движение не физиологичное, поэтому возрастает воздействие на хрящ как головки бедренной кости, так и вертлужной впадины. Это способствует ускорению развития коксартроза. Кроме того, происходит ущемление мягких тканей тазобедренного сустава (суставная губа, синовиальная оболочка, капсула и связки тазобедренного сустава). Мягкие ткани гипертрофируются (увеличиваются в размере), что приводит к их еще большему ущемлению или возникновению соударения при меньшем движении. Развивается порочный круг. Причем, не каждое разрастание костной ткани приводит к развитию к импинджмент - синдрома. Патологическое разрастание костной ткани должно быть значительного размера и обязательно должно осуществляться движение в направлении разрастания костной ткани. Поэтому, как правило, синдром соударения (импиджмент - синдром) в тазобедренном суставе встречается в молодом и зрелом возрасте. В пожилом возрасте двигательная активность ниже, поэтому даже при наличии разрастания костной ткани на шейке бедренной кости или на краю вертлужной впадины синдром соударения может не возникнуть.
Наглядно, как происходит движение в тазобедренном суставе при импинджмент - синдроме, можно посмотреть на видео.
Жалобы при импинджмент-синдроме
В основном пациенты предъявляют жалобы при импиджмент - синдроме на острую боль при определенном крайнем положении бедра, хотя боль может быть и в паху, и по наружной поверхности бедра. Характер боли при импинджмент - синдроме очень вариабельный. Поэтому дифференциальная диагностика с другими заболеваниями является не всегда простой.
Иногда для постановки диагноза достаточно только осмотра пациента и качественно выполненных рентгенограмм тазобедренного сустава в прямой и аксиальной проекциях. Для уточнения диагноза необходимо выполнить магнитно-резонансную томографию (МРТ) тазобедренного сустава.
Лечение импинджмент-синдрома
Консервативное лечение импиджмент - синдрома - изменение двигательной активности, уменьшение объема движений в тазобедренном суставе до того уровня, при котором не происходит соударения. Кроме изменения двигательного режима необходимо физиотерапевтическое лечение и прием нестероидных противовоспалительных препаратов. Цель консервативной терапии - снять отек с ущемленных мягких тканей, уменьшить асептическое воспаление области соударения, уменьшить болевой синдром. Сама по себе консервативная терапия не уменьшает величину костного разрастания.
Если консервативная терапия не приводит к желаемому результату, если у пациента большие запросы на спортивную деятельность необходимо оперативное лечение. Целью оперативного лечения импиджмент - синдрома является удаление патологического разрастания костной ткани (экзостоза), ревизия и санация тазобедренного сустава.
Данная операция выполняется артроскопическим способом - через небольшие разрезы по 1 см, в одном проходит камера для осмотра сустава, в другом - инструменты для удаления экзостоза.
МРТ тазобедренного сустава что показывает

Магнитно-резонансная томография - метод диагностики, позволяющий получить подробное представление о характере патологических изменений в любой области человеческого тела.

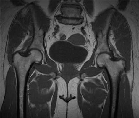
МР-скан коксофеморальных сочленений, вариант нормы
В ортопедической практике МРТ тазобедренного сустава чаще проводят для уточнения причин коксалгии - болевого синдрома в сочленении. Способ исследования не подразумевает использования ионизирующего излучения, что особенно актуально для детей и беременных женщин. Процесс создания четких снимков, которые можно увеличивать, рассматривать в объемном виде, базируется на использовании магнитного резонанса и компьютерных технологий. Для улучшения возможностей визуализации применяют контрастирование. Диагностическая ценность фото, полученных после введения гадолиния, сопоставима с результатами артроскопии - инвазивного исследования с проникновением в полость сочленения хирургических инструментов.
Как делают МРТ тазобедренного сустава? Сканирование проводят на аппаратах с разной напряженностью магнитного поля. Врач может самостоятельно выбирать программы в зависимости от клинических задач. Это актуально, если первоначально неясно, что вызывает болевой синдром: патология органов малого таза или сустава. В стандартных ситуациях используют мультипараметрические последовательности.
Заболевания тазобедренного сустава на МРТ

Импиджмент синдром на МР-фото
Магнитно-резонансное сканирование проводят для диагностики ряда патологических состояний. Что показывает МРТ тазобедренного сустава? На снимках визуализируются:
К механическому конфликту между бедренной головкой/шейкой и краем вертлужной впадины приводят одно- или двусторонние дефекты костей врожденного или приобретенного генеза. Видоизмененные компоненты сочленения вызывают дисфункцию конечности за счет соударения во время движения. Патологическое трение костей способствует разрастанию остеофитов на фоне постоянной травматизации вертлужной губы. Если своевременно не диагностировать заболевание и не начать лечение, последняя с течением времени разорвется., Хрящевая ткань сочленяющих костей будет разрушена. Подобный механический конфликт часто способствует формированию коксартроза и сопровождается прогрессирующим болевым синдромом.

МРТ: выраженный эпифизеолиз слева - дистрофическое состояние зоны роста, симптом соскальзывания головки в области шейки бедренной кости
МРТ тазобедренного сустава при феморо-ацетабулярном импинджмет-синдроме показывает возможные причины заболевания:
врожденные пороки развития;
осложнения после травм и оперативных вмешательств;
сопутствующий аваскулярный некроз головки бедра;
воспалительные процессы в синовиальной сумке;
остеохондропатию (болезнь Пертерса);
эпифизеолиз (перелом Салтера-Харриса);
атрофированные мышцы вокруг сочленения и пр.
При тяжелой форме сахарного диабета с нарушением кровообращения, регулярных физических перегрузках, сопутствующих заболеваниях опорно-двигательного аппарата и соединительной ткани (артриты, подагра, системная красная волчанка и пр.) обнаруживают деструкцию костных и хрящевых структур.
Остеоартроз. Длительно существующий патологический процесс приводит к полной утрате функции тазобедренного сочленения за счет разрушения всех компонентов сустава. Изменения в костной ткани, связках, кровеносных сосудах, хрящах и окружающих мышцах можно увидеть на МРТ с контрастированием. Вовлечение нервных пучков вызывает стойкую боль в бедре. К предрасполагающим факторам относят:
занятия тяжелыми видами спорта;
сопутствующий артрит, артроз и пр.
У болезни выделяют три степени тяжести. МРТ тазобедренного сустава показывает изменения на ранней стадии, когда предотвратить/замедлить прогрессирование патологии можно с помощью медикаментозной терапии.
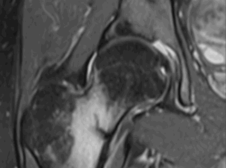
Аваскулярный некроз головки бедра.

Вид указанной патологии на МРТ, изменения соответствуют 2 стадии
К развитию аваскулярного некроза приводит длительное нарушение питания тазобедренного сустава на фоне загустевания крови, тромбообразования, сдавления, скручивания сосудов. В костной ткани при ишемии создаются пустоты, приводящие к деформации, отслойке хряща. Клинические проявления неспецифичны, что вызывает трудности в постановке диагноза. Провоцирующих факторов множество:
воздействие ионизирующего облучения и пр.
Ранние изменения не видны при рентгенографии, ультразвуковом исследовании. МРТ тазобедренного сустава - один из эффективных способов определить болезнь на начальной стадии.

Подострый остеомиелит на МР-скане и обычной рентгенограмме: отслойка надкостницы (наконечник), гнойный очаг (стрелки)
Ревматоидный, септический, псориатический, реактивный, юношеский артриты, остеомиелит приводят к видоизменению тазобедренного сустава и синовиальной оболочки (синовиту). Определение генеза, кроме процедур МРТ и КТ, подразумевает выполнение лабораторных тестов для оценки:
уровня мочевой кислоты;
HLA B27 антигена;
антител к циклическому цитруллинированному пептиду и пр.
Артрит тазобедренного сочленения (коксит) может быть проявлением болезни Бехтерева, костно-суставного туберкулеза, ряда обменных нарушений в организме человека. Выделяют четыре стадии прогрессирования болезни:
I - стирание сухожилий, уменьшение пространства между костями, незначительное депонирование жидкости, усиление боли при нагрузке;
II - развитие эрозий и мышечной атрофии;
III - образование остеофитов, нарастание отека, деструкция хряща;
IV - видоизменение всех структур сочленения.
Синовиальные поражения. Болезни внутреннего слоя суставной сумки или костно-фиброзного канала регистрируют редко. Пигментно-нодуллярный синовит - опухолеподобная патология сочленения с неизвестным генезом. Для болезни характерны гиперплазия (избыточное разрастание) оболочки и отложение гемосидерина. По фото МРТ видны сформированные во внутреннем слое капсулы хрящевые тела при синовиальном хондроматозе.

МРТ: метастаз в шейку бедра с формированием стресс-перелома (обведено)
В тазобедренном суставе могут развиваться добро- и злокачественные новообразования. Фото МРТ показывает предположительный характер опухоли. Верификация диагноза требует биопсии. Боль отмечают при сдавливании нервных окончаний, пограничных тканей, сосудов, что бывает при любой опухоли, поэтому отсутствие симптома не должно откладывать проведение магнитно-резонансной томографии. Первичные новообразования костей лучше диагностировать с помощью КТ, для демонстрации изменений мягких тканей больше подходит МРТ.
Дисплазия тазобедренного сустава. Для определения врожденного недоразвития сочленения, сопровождающегося подвывихом, ультразвуковой сонографии часто недостаточно. МРТ можно делать маленьким детям без вреда для здоровья, начиная с месячного возраста.

Стресс-перелом шейки бедра на МРТ
Патологию чаще диагностируют у пожилых людей, что связано с возрастными нарушениями минерального обмена. При опухоли и инфекции возникает так называемый патологический перелом костной ткани. Фото МРТ показывает:
вывихи, растяжения и разрывы (полные и частичные) связок;
ушибы с внутренним кровоизлиянием;
МРТ тазобедренного сустава: показания и противопоказания

Эндопротез может вызвать дефекты на изображениях, поэтому предпочтительнее рентгеновские способы диагностики
МР-томографию выполняют при неоднозначных результатах компьютерного сканирования, рентгенографии, УЗИ. Способ подходит для динамического наблюдения: по медицинским показаниям нет ограничений по количеству в проведении МРТ. Клинические проявления при ряде патологических процессов схожи, и для точного определения генеза симптомов необходима расширенная диагностика. Показания к МРТ тазобедренного сустава включают:
длительный болевой синдром, необъяснимую хромоту, дискомфорт во время ходьбы и/или в покое, ограничение амплитуды движений в сочленении;
отсутствие эффекта/краткосрочное улучшение на фоне терапии;
оценку посттравматических осложнений - в экстренной ситуации поиск начинают с КТ;
первичное выявление заболевания - воспаления, деструкции, опухолевой патологии, врожденных аномалий развития, инфекционного поражения, дегенеративно-дистрофических процессов и пр.;
обследование перед операцией и после хирургического вмешательства - эндопротезирования и др.;
При болях, связанных с невралгией, МРТ тазобедренных суставов показывает норму, исследование выполняют для дифференциации процессов.
Противопоказания к МР-сканированию:
наличие в теле имплантированных устройств - мио-, нейро-, кардиостимулятора, дефибриллятора, инсулиновой помпы, постоянного слухового протеза, сосудистых клипс из металла с парамагнетическими свойствами, аппарата Илизарова и пр.;
беременность в первом триместре;
детский возраст до месяца;
ожирение с массой тела выше 120 кг (для сканеров с закрытым контуром);
тяжелое самочувствие пациента, обусловленное острым состоянием: болевым синдромом на фоне травмы, инфарктом, инсультом и пр.;
невозможность длительного нахождения в положении на спине;
некоторые психические и неврологические патологии - алкогольный делирий, эпилепсия, клаустрофобия, болезнь Паркинсона, Альцгеймера (МРТ сделают в условиях стационара под седативными препаратами).
Исследование с контрастом недоступно для пациентов с аллергической реакцией на гадолиний в анамнезе, почечной недостаточностью терминальной стадии, беременным на любом сроке. Постоянные зубные конструкции - виниры, штифты, брекеты, эндопротезы из титана не препятствуют выполнению магнитно-резонансного сканирования
Как делают МРТ тазобедренного сустава?

Для улучшения соотношения сигнал-шум нужно, чтобы проблемная область находилась как можно ближе к центру стола
Магнитно-резонансное сканирование указанного сочленения выполняют на разных аппаратах. Снимки, полученные на оборудовании с замкнутым контуром, более информативны. Оптимальный вариант - сделать МРТ на закрытом сканере с напряженностью магнитного поля от 1.5 Тесла. Маломощные установки используют для скрининговой диагностики спортсменов, в отсутствие жалоб.
За 20 минут до исследования пациент прибывает в клинику. После оформления документов и сдачи на хранение предметов, содержащих металл, рентгенолаборант укладывает больного на стол томографа.
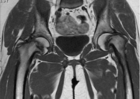
Во время диагностической процедуры можно посмотреть один или два тазобедренных сустава, что зависит от показаний: системные заболевания подразумевают комплексное исследование нескольких зон.
Пациента укладывают на спину, большие пальцы ступней сводят вместе для обеспечения ротации тазобедренных суставов. Для предотвращения случайных движений используют подколенный валик и мягкую фиксацию конечностей ремнями. Над областью интереса располагают катушку. При запланированном контрастировании в локтевую вену устанавливают катетер и подсоединяют автоматический инъектор: в заданное время в организм будет поступать препарат-усилитель.
После оценки прицельных снимков рентгенолог выбирает нужные последовательности МРТ. За ходом диагностики медперсонал наблюдает через окно из соседнего помещения, общение осуществляют по громкой связи. При ухудшении самочувствия больного сканирование может быть приостановлено, под рукой у пациента есть специальная кнопка. После завершения сканирования стандартно на руки выдают заключение, диск с записью диагностической процедуры. Видео можно открыть с помощью программы, поддерживающей формат dicom.
Как подготовиться к МРТ тазобедренного сустава?

Перед записью на процедуру все вопросы можно обсудить с лечащим врачом
Особых мер не требуется, достаточно убрать металлические предметы (ключи, монеты и др.), платежные карты, снять украшения, часы, надеть свободную одежду без молний и заклепок. Возьмите с собой пакет документов: паспорт, описания результатов предыдущей диагностики, направление врача, медицинский полис (если оплата будет проходить через страховую компанию).
Для женщин в период лактации подготовка к МРТ тазобедренного сустава с контрастированием подразумевает запас молока на несколько кормлений. Усиленный питьевой режим после диагностической процедуры будет способствовать более быстрому избавлению от хелатов гадолиния.
Как проводится МРТ тазобедренных суставов, если нужно посмотреть еще и внутренние органы? При подозрении на возможную патологию матки, придатков, простаты, семенных пузырьков, поддерживающих болевой синдром, подготовка к исследованию подразумевает очистку кишечника и устранение метеоризма. Мочевой пузырь оценивают в наполненном состоянии.
Расшифровка МРТ тазобедренных суставов
Интерпретацией изображений занимается врач-рентгенолог. В норме на серии томограмм травматических изменений не определяется:
структура костной ткани однородна, без дистрофических признаков;
субхондрального склероза суставных поверхностей нет;
капсула сочленений не утолщена, в полости присутствует небольшое количество синовиальной жидкости с однородным МР-сигналом;
костные крыши вертлужных впадин сформированы правильно, суставные щели равномерные, конгруэнтность (сопоставимость, согласованность) поверхностей сохранена;
целостность связочного аппарата не нарушена;
сигнал хрящевого компонента без особенностей, областей истончения нет;
краевые заострения суставных поверхностей вертлужных впадин отсутствуют;
окружающие мягкие ткани без видимой патологии;
бедренные и тазовые кости в зоне сканирования без очаговых изменений.
Анатомия тазобедренного сустава

Обеспечение указанным сочленением обширного объема движений в нескольких плоскостях и значительные физические нагрузки приводят к развитию различных заболеваний
Коксофеморальный сустав сформирован проксимальным концом (головкой) бедренной кости и вертлужной впадиной. Последняя состоит из подвздошной, седалищной и лобковой костей, имеет округлую форму. В вертлужной впадине различают суставную поверхность, ацетабулярную ямку или углубление. Капсулу сочленения формируют множественные связки. Головка бедренной кости, как и вертлужная впадина, частично покрыта гиалиновым хрящом, остальное приходится на синовиальную оболочку, вырабатывающую жидкость для уменьшения трения. Связки и суставная капсула служат для ограничения амплитуды движений (предотвращения вывихов, переразгибаний конечности).
Сколько длится МРТ тазобедренного сустава?
Продолжительность диагностической процедуры связана с мощностью аппаратуры, типом исследования (нативное или с усилением). Длительность МРТ тазобедренного сустава примерно 25-35 минут, результат можно забрать через полчаса. При заказе услуги “Второе мнение” сроки готовности заключения оговаривают отдельно. С учетом заполнения медицинской документации, проведения инструктажа, укладки пациента и сканирования временные затраты займут около часа.
Что лучше: КТ, МРТ или рентген тазобедренного сустава?

Эпифизеолиз бедер на МРТ
Магнитно-резонансная томография и компьютерное сканирование являются дополняющими способами диагностики, так как часто необходимо оценить и мягкотканные структуры и кости, формирующие сустав. В экстренных ситуациях преимущество у КТ, позволяющей получить результат в течение нескольких минут. Отдаленные последствия травм, опухоли, аваскулярный некроз лучше демонстрирует МРТ. Рентгенографию в современной травматологии используют для поиска грубых повреждений или запущенных процессов, исходящих из костной ткани, при возможности выбора лучше сделать мультиспиральное компьютерное сканирование. Из перечисленных способов визуализации наиболее безопасна МР-томография, так как рентгеновская диагностика подразумевает лучевое воздействие на организм.
Читайте также:
