Рентгенограмма, КТ, МРТ, УЗИ при травме четырехглавой мышцы
Добавил пользователь Алексей Ф. Обновлено: 14.12.2025
Рентген суставов и костей - один из ведущих методов диагностики нарушений костно-суставного аппарата. Он широко применяется в ортопедии и травматологии для диагностики патологий этих структур и является одним из самых быстрых и информативных методов обследования.
Расшифровку снимков проводит врач-рентгенолог. Он изучает картину и составляет письменное заключение, которое впоследствии направляется лечащему врачу.
Рентгенографию применяют при подозрении на дегенеративные, воспалительные заболевания, а также при оценке последствий перенесённых травм. Снимки помогают врачу-травматологу поставить пациенту точный диагноз, провести дифференциальную диагностику, выявить осложнения или вторичные проявления заболеваний других органов и систем, определиться с тактикой оперативного или консервативного лечения, а впоследствии - и проконтролировать эффективность назначенного лечения.
Цена рентгена тазобедренных суставов и костей доступнее, чем стоимость проведения более сложных исследований (КТ, МРТ и др.), при этом данный метод исследования позволяет получить точную информацию о состоянии тканей в весьма короткие сроки.
Показания и противопоказания
Рентген костей и суставов назначается врачом при подозрении на следующие заболевания и последствия травм:
Заподозрить заболевания костной ткани и суставов специалист может на основании таких симптомов, как боль, покраснение и отёк, ограничение подвижности сустава, местное повышение температуры. Полученная травма также является поводом сделать рентген — важно оценить состояние костной ткани, исключить серьёзные повреждения и вовремя принять меры при их обнаружении.
Относительное противопоказание к рентгенографии — беременность, но бывают случаи, когда выполнение такой диагностической процедуры оправданно.
Чтобы получить достоверную информацию об исследуемых структурах, необходимо соблюдать неподвижность. Врач сообщит, в какой момент нужно «замереть». Поэтому ещё одним противопоказанием к проведению рентгена может выступать психическое заболевание, при котором пациент не может сохранять неподвижное положение тела.
Виды рентгена в травматологии
Вид рентгенологического исследования костей и суставов выбирается в зависимости от клинических симптомов и диагностических потребностей и может включать изолированное исследование одного сустава или одной кости:
- Рентген локтевого, лучезапястного, коленного и тазобедренного суставов;
- Рентген кисти и стопы, пальцев;
- Рентген грудины, ключицы;
- Рентген костей таза;
- Рентген крестцово-подвздошных сочленений;
- Рентген трубчатых костей (бедренной кости, плечевой кости и т.д.).
В первую очередь, рентген костей и суставов позволяет проводить диагностику переломов, трещин костей, вывиха и подвывиха суставов, травм связочного аппарата. А также заболеваний суставов и костей, вторичных костно-суставных нарушений, профессиональных изменений, отклонений, связанных с нарушением питания.
Не всегда рентген костей и суставов показывает патологические изменения. Существует так называемый рентгенонегативный период, в котором поражение затрагивает только мягкие ткани опорно-двигательного аппарата, которые не обнаруживаются на рентгенограмме. В этом случае на помощь обычному рентгенологическому исследованию приходят более точные методы: компьютерная томография (КТ), магнитно-резонансная томография (МРТ).
Височно-нижнечелюстной сустав. Рентгенография этого сустава часто применяется в стоматологической практике и челюстно-лицевой хирургии. Она позволяет диагностировать заболевания суставов и травмы. Полученные данные также используются врачом при выявлении нарушений прикуса. Снимок челюстей позволяет сделать выводы об объёме, структуре костных тканей, эта информация необходима при планировании ортопедического лечения и имплантации зубов.
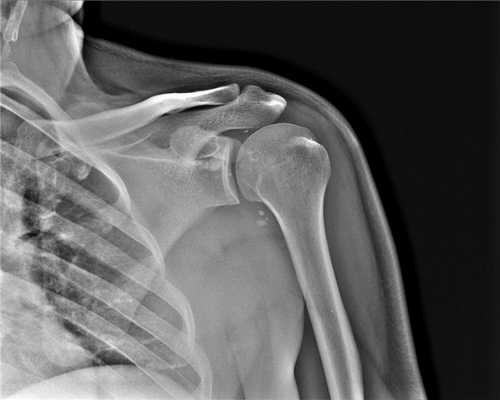
Плечевой сустав. Рентгеновский снимок может потребоваться при подозрении на плечелопаточный периартрит, а также опухолях, воспалительных и дегенеративных процессах, переломах и вывихах. Снимок позволяет также визуализировать ключицу и лопатку.
Локтевой сустав. Травмы этого сустава происходят достаточно часто, особенно они распространены у спортсменов. Могут возникать переломы плеча, лучевых костей, отростков локтевой кости, вывихи костей предплечья. Нередко встречаются случаи бурсита — воспаления синовиальной сумки.
Тазобедренные суставы - одни из самых крупных и сложно устроенных суставов в организме человека. Заболевания в этой области многочисленны и встречаются в любом возрасте.
Показания к рентгену тазобедренного сустава:
• Боль в суставах, их деформация;
• Дискомфорт при движении, ограничение подвижности сустава;
• Контроль за эффективностью лечения ;
• Травматические повреждения - переломы, вывихи и др.
Рентген тазобедренного сустава выявляет следующие заболевания:
• Врождённая патология: вывих, дисплазия в области тазобедренных суставов;
• Приобретённые вывихи и переломы (чаще случаются в пожилом возрасте);
• Первичные опухоли в области сустава, а также метастазы рака другой локализации;
• Остеопороз, некроз головки тазобедренной кости;
• Воспалительные поражения в суставе;
• Артроз тазобедренного сустава (коксартроз).
Рентген коленного сустава - является самым простым, быстрым и доступным методом диагностики патологических состояний коленного сустава. Коленные суставы испытывают немалую нагрузку из-за большого объема движений, поэтому болезни и травмы в области колена очень распространены и встречаются очень часто. Показаниями к проведению рентгенографии коленного сустава могут быть любые повреждения и травмы, болезненность колена в покое и при движении, припухлость сустава, изменение цвета кожи над коленом, ограничение подвижности, деформация колена.
Рентген колена имеет большую диагностическую ценность, прежде всего при травматических повреждениях, среди которых:
• Трещины костей;
• Переломы, подвывихи и вывихи сустава;
• Травмы связочного аппарата;
• Кровоизлияния в коленный сустав;
• Переломы мыщелков, травмы менисков и надколенника и др.
Также рентгенографическое исследование совместно с другими методами диагностики позволяет выявить ряд серьезных заболеваний, таких как:
• Артроз коленного сустава (гонартроз), ревматоидный артрит;
• Вторичные поражения суставов (например при туберкулезе);
• Опухоли в области колена.
Голеностопный сустав. Этот сустав испытывает колоссальные нагрузки, поэтому подвержен заболеваниям. Наиболее частыми патологиями выступают травмы, артроз, воспалительные заболевания сустава и суставной сумки. Для постановки диагноза снимок выполняется в трёх проекциях.
Рентген стопы - это часто применяемый метод диагностики в травматологии и ортопедии, который проводится для выявления заболеваний и травм. Рентгенография стопы может выполняться в нескольких проекциях, в зависимости от диагностических потребностей и симптомов, наблюдаемых у пациента, без нагрузки или с нагрузкой. Это позволяет составить более точное представление о структуре, функции всех её костно-суставных образований, поставить диагноз, провести дифференциальную диагностику, выявить вторичные нарушения, определиться с тактикой лечения и осуществить контроль его эффективности.
С помощью рентгенологического исследования стопы можно диагностировать:
• травмы, подвывихи, вывихи, переломы, трещины;
• артриты, артрозы, подагру, синовиты;
• дегенеративные изменения;
• врождённые нарушения костно-суставных структур;
• пяточные шпоры (остеофиты), плоскостопие;
• обменные нарушения, вторичные нарушения.
Боковой снимок стопы
Выполняется без нагрузки или с нагрузкой. Выполнение снимка с нагрузкой осуществляется при положении тела на одной ноге, которая подлежит исследованию. Сравнение снимка без нагрузки со снимком с нагрузкой даёт представление о функциональных возможностях стоп, например, при диагностике плоскостопия, а также о строении голеностопного сустава.
Косой снимок стопы
Стопа и голень устанавливаются на кассету рентгенаппарата в положении отклонения на 45 градусов во внутреннюю сторону. Возможно также проведение исследования под углом любой величины.
Рентген пяточной кости
Проводят для выявления переломов пяточной кости, пяточной шпоры.
Подготовка и порядок проведения
Специальной подготовки к исследованию не требуется. Пациент располагается на специальном столе, область паха защищают с помощью свинцового фартука. Для детей используется дополнительная защита для щитовидной железы и глаз, грудничка прикрывают фартуком полностью, оставляя открытой только конечность.
Снимок сустава или кости может проводиться в одной или нескольких проекциях. Чтобы получить точные данные, важно сохранять неподвижность. Исследование занимает считанные минуты. Состояние тканей врач видит сразу, заключение с расшифровкой выдается после процедуры.
Помехой может стать избыточная масса тела — жировые клетки искажают рентгеновские лучи. Это приводит к тому, что снимок получается недостаточно четким. В таком случае лечащий врач предложит альтернативные обследования. Иногда удается решить проблему снимками с нескольких проекций. Некоторые заболевания и травмы требуют выполнения только прямой проекции, другие — в боковой, с обеих сторон. Изредка прибегают к комбинированию нескольких вариантов. Это позволяет получить максимально точную картину состояния костной ткани.
Пациенты, которым необходимо сделать рентген суставов, часто задают вопрос о вредности процедуры. Вред облучения при такой диагностике минимален, если речь идет о применении современного оборудования. В клинике ВиТерра используется передовое рентгенологическое оборудование с минимальным излучением. Снимок выполняется быстро, что снижает нагрузку на организм. Например, при рентгене коленного сустава доза облучения составляет 0,001 мЗв — почти столько же человек получает ежесуточно в процессе своей жизнедеятельности. Поэтому повторять снимок можно уже спустя 2-4 недели, чтобы оценить эффективность назначенного лечения или динамику заживления тканей.
МРТ или КТ плечевого сустава
МРТ и КТ плечевого сустава являются двумя основными высокоинформативными способами диагностировать патологии в области плеча. У многих пациентов возникает вопрос, в чем же отличия между МРТ и КТ (МСКТ) плеча
МРТ и КТ плечевого сустава являются двумя основными высокоинформативными способами диагностировать патологии в области плеча. У многих пациентов возникает вопрос, в чем же отличия между МРТ и КТ (МСКТ) плеча, и что лучше: сделать МРТ плечевого сустава или КТ. Давайте разбираться вместе.
Методы диагностики плечевого сустава
Для диагностики повреждений плечевого сустава используют различные методы визуализации, включая:
- рентгенологические исследование;
- компьютерную томографию (МСКТ);
- ультразвуковое исследование (УЗИ);
- магнитно-резонансную томографию (МРТ).
У каждого способа обследования имеются свои преимущества и недостатки. На сегодняшний день ведущую роль в визуализации вне- и внутрисуставных структур плечевого сустава играет МРТ, которая позволяет выявлять мягкотканные и костные повреждения в суставах. Она может осуществляться по двум базовым протоколам - бесконтрастная томография и МРТ плечевого сустава с применением парамагнитных контрастных веществ (она же МР артрография). Лидирующую роль в оценке состояния костей плеча играет спиральная компьютерная томография.

Сведение об исследовании
- Продолжительность: 30-40 минут
- Требование к подготовке: Нет
- Назначение врача: Не требуется
- Применение контраста: По назначению врача
- Противопоказания и ограничения: Есть
- Рекомендуемая мощность аппарата: Любая
- Время выдачи результатов: 30-40 минут
- Что входит в стоимость: Заключение + запись снимков

- Продолжительность: 3-7 минут
- Требование к подготовке: Нет
- Назначение врача: Не требуется
- Применение контраста: По назначению врача
- Противопоказания и ограничения: Есть
- Минимальная мощность аппарата: Любая
- Время выдачи результатов: 30-40 минут
- Что входит в стоимость: Заключение + запись снимков
КТ и МРТ плечевого сустава - в чем разница
В принципе действия компьютерной и магнитной томографии существует серьезная разница. При проведении КТ (МСКТ) плечевого сустав рентгеновские лучи воздействуют на исследуемую область человеческого организма. В ходе магнитно-резонансной томографии никакой дозы облучения нет. Изображения получаются от эффекта ядерного магнитно резонанса - то есть, колебания атомов водорода в клетках ткани при воздействии на них сильным магнитным полем и радиочастотными импульсами.
Когда МРТ плечевого сустава лучше, чем КТ плеча
В медицинских центрах СПб обследование плечевого сустава с помощью магнитного резонанса является профилирующим диагностическим исследованием патологий суставных тканей. Именно МРТ плечевого сустава дает возможность получить данные о состоянии суставов, мягких тканей и хрящей. Томография плеча хорошо покажет:
- причины непонятной боли в плече, хруста в плече;
- последствия травмы в области плечевого сустава, перелома;
- место разрыва связок, периодических вывихов;
- причины припухлости в области плеча;
- ущемление нервов, сухожилий.
МРТ также позволяет отличить здоровые ткани от поврежденных при предположении на опухоль или раковые метастазы, помогает оценить картину травм и их месторасположение.
В отличие от КТ плеча, МРТ может многократно применяться при исследовании состояния здоровья детей и беременных женщин. По времени для проведения МРТ плечевого сустава может понадобиться от десяти до двадцати минут нахождения пациента в неподвижном состоянии в условиях замкнутого пространства камеры МРТ. КТ плечевого сустава занимает всего до десяти секунд, что по времени проведения исследования предпочтительно для людей, страдающих клаустрофобией или боязнью замкнутых пространств.
Магнитно-резонансное исследование имеет ряд абсолютных противопоказаний, к которым в настоящее время относятся: наличие у человека кардиостимулятора, электронных или ферромагнитных имплантатов среднего уха, больших металлических имплантатов и ферромагнитные осколков, а также наличие больших кровоостанавливающих клипс сосудов головного мозга.
Когда КТ плечевого сустава лучше, чем МРТ плеча
Компьютерное рентгеновское исследование плеча больше рекомендовано при проведении диагностики костной составляющей человеческого организма, а именно: травматических повреждений костей плеча человека; неправильно сросшиеся кости, наличие костных шпор; поражений костей опухолевой природы как первичных, так и вторичных; атеросклеротических изменений сосудов.
Противопоказаниями для проведения МСКТ могут являться беременность и кормление ребенка грудью. Также метод компьютерной томографии не рекомендован маленьким детям без серьезных медицинских показаний из-за лучевой нагрузки.
Сухожилия четырехглавой мышцы бедра (прямой мышцы бедра)

Четырехглавая мышца бедра (квадрицепс) относится к передней мышечной группе бедра, мышца-разгибатель, которая отвечает за разгибание ноги в коленном суставе. Квадрицепс включает в себя четыре мышечных пучка (головки): прямая мышца бедра, латеральная (внешняя) широкая мышца бедра, медиальная (внутренняя) широкая мышца бедра и промежуточная широкая мышца бедра. Наиболее длинной является прямая мышца бедра, она берет свое начало на тазовой кости. Вместе эти мышечные головки образуют единое сухожилие, которое прикрепляется к надколеннику. Сухожилие представляет собой достаточно прочное и эластичное образование. Более уязвимыми к повреждениям являются области перехода сухожилия в мышцу или места прикрепления сухожилия к кости.

Виды травм и повреждений.
К наиболее распространённым повреждениям сухожилий можно отнести:
- Тендинит - это заболевание, при котором происходит воспаление и дистрофия ткани сухожилия. Заболеванию подвержены чаще всего те сухожилия, которые регулярно и с частым повторениемиспытывают постоянную физическую нагрузку.
- Растяжения - наиболее распространенная травма, при которой происходит повреждение сухожилий и мышечных волокон вследствие физического воздействия, но при этом целостность их не нарушается
- Частичный разрыв сухожилия, целостность мягких тканей сохраняется частично
- Полный разрыв сухожилия
Основные причины травматизации.
- Часто повторяющиеся физические нагрузки на одну и ту же группу мышц
- Возраст старше 40-45 лет
- Бытовые травмы, падения
- Слабость сухожилий, которой способствуют ряд факторов: тендинит, хронические заболевания (ревматоидный артрит, подагра, сахарный диабет, инфекции и пр.), длительная обездвиженность, прием стероидных гормонов и др.
Симптомы травматизации.
Характерный и первостепенный симптом для всех видов повреждений сухожилий это появление внезапной сильной боли. К нему добавляются следующие признаки:
- покраснение и отечность в области повреждения
- обостренная чувствительность в месте травмы
- мышечные судороги
- кровоизлияние
- характерный хруст в момент травмы
- ограниченность в движениях повреждённой конечности
- для полных разрывов характерно появление провалов при ходьбе
Диагностика.
Диагностика данных видов травм включает:
- первоначальный осмотр и сбор жалоб врачом-травматологом
- назначение рентгенологического обследования (рентгенограмма в боковой и прямой проекциях)
- ультразвуковое исследование (для выявления частичных или полных разрывов)
- КТ и МРТ

Записаться на консультацию и обследование в Москве Вы можете обратиться к следующим специалистам ЦКБ РАН:
Лечение и восстановление.
В зависимости от степени повреждения сухожилия лечащий врач назначает лечение: консервативное (возможно при частичных разрывах и на начальных стадиях тендинита) или хирургическое (при полных разрывах).
Консервативное лечение включает:
- Соблюдение покоя и обездвиживание для травмированной конечности
- Противовоспалительную медикаментозную терапию
- Иммобилизацию (наложение шины или гипсовой повязки на ногу)
- Физиотерапевтические процедуры (лазеролечение, ультразвук, магнитотерапия, электрофорез и пр.)
- Лечебную восстановительную гимнастику
- Массаж
В травматологическом отделении проводится операция по сшиванию разорванных сухожилий. Дальнейшее восстановление аналогично тому, которое проводится при консервативном способе лечения.
Срок восстановления трудоспособности зависит от тяжести полученной травмы и в среднем составляет 4-6 месяцев.
За квалифицированной врачебной помощью в Москве Вы можете обратиться в ЦКБ РАН.
Повреждения сухожилий четырехглавой мышцы бедра
Нога человека сгибается в колене благодаря наличию мышцы-разгибателя, расположенной на передней части бедра. Она называется четырехглавой мышцей - состоит из четырех пучков мышечных волокон, каждый из которых имеет свое название. Все составляющие квадрицепс-мышцы имеют общее сухожилие, прикрепленное к надколеннику. Оно достаточно эластично и обладает высокой прочностью. А вот места перехода мышцы в сухожилие и крепления сухожилия к кости являются точками уязвимости квадрицепса при различных травматических воздействиях.
Чаще всего сухожилия четырехглавой мышцы бедра подвержены растяжению, частичному или полному разрыву, а также тендиниту - воспалительному процессу ткани сухожилия.
Найти врача по направлению Повреждения сухожилий четырехглавой мышцы бедра




Симптомы повреждений сухожилий четырехглавой мышцы бедра
Момент повреждения сухожилий четырехглавой мышцы бедра сложно не заметить. При травмировании происходит щелчок или хлопок, и человек теряет способность к передвижению, хоть в некоторых случаях и не полностью. При полном разрыве сухожилия выпрямить колено невозможно. Нарастает отек, сохраняется острая боль, в месте разрыва можно нащупать образовавшийся дефект. Ткани чуть выше коленной чашечки выглядят запавшими, возможны судорожные спазмы мышц бедра. Наколенник опускается ниже положенного, но из-за отека это может быть сложно рассмотреть.
Если разрыв сухожилия происходит постепенно, вследствие дегенеративных процессов в тканях, то установить диагноз бывает сложно. Жалобы и данные осмотра говорят о растяжении связок, что затрудняет постановку правильного диагноза и начало лечения.
Помимо острой и внезапной боли повреждения сухожилий четырехглавой мышцы бедра дают о себе знать следующими симптомами:
- отеком и покраснением тканей;
- повышенной чувствительностью к прикосновениям, движениям;
- судорожными сокращениями мышц;
- подкожным кровоподтеком;
- хрустом, хлопком, щелчком в момент травмы;
- ограничением подвижности конечности;
- полными провалами при ходьбе в случае разрыва сухожилия.
Причины повреждений сухожилий четырехглавой мышцы бедра
Большая часть повреждений случается из-за слабости сухожилия. Достаточно стечения обстоятельств и наличия одного или нескольких провоцирующих факторов, чтобы вероятность травмирования сухожилий многократно возросла. Причиной разрыва или растяжения сухожилий может быть:
- сильная физическая нагрузка на данную группу мышц, отсутствие отдыха и времени на восстановление мышечной ткани;
- падение, травма;
- возраст старше 45 лет;
- слабость сухожилий по причине наличия различных заболеваний - ревматоидного артрита, диабета, подагры;
- прием стероидных гормонов.
Если у человека нарушено кровоснабжение сухожилия вследствие болезни, малоподвижного образа жизни, приема лекарственных средств, то его ткани ослабевают и становятся уязвимы к травмированию. В перечне заболеваний, ведущих к поражению сухожилий квадрицепса, находятся:
- почечная недостаточность;
- красная волчанка;
- лейкемия;
- сахарный диабет;
- ожирение;
- метаболические расстройства.
Диагностика повреждений сухожилий четырехглавой мышцы бедра в клинике
О наличии повреждений сухожилий четырехглавой мышцы бедра говорят трудности с ходьбой, своеобразная походка с низкой вовлеченностью в процесс колена, "провалы" колен. Просьбу поднять прямую ногу пациент выполнить не может. Чем серьезнее травма, тем менее подвижно колено. Врач осматривает обычно не только поврежденное колено, но и здоровое, чтобы исключить его поражение.
Методы визуализации при диагностике повреждений сухожилий четырехглавой мышцы бедра являются вспомогательными и не имеют особой диагностической ценности. Их используют для уточнения характера дефекта и степени повреждений.
Способы обследования
При обследовании врач проводит опрос жалоб, выполняет первичный осмотр. Может быть назначено также:
Лечение повреждений сухожилий четырехглавой мышцы бедра в клинике
Сразу после травмы нужно обеспечить покой поврежденному бедру, приложить лед, наложить давящую повязку и немного приподнять ногу вверх.
Если разрыв сухожилий не полный, а частичный, необходимо обездвижить бедро на срок от 3 до 6 недель. В этот период необходимо:
- соблюдение покоя;
- отсутствие движений пораженной конечностью;
- прием противовоспалительных средств;
- наложение гипса или шины на бедро;
- комплекс физиотерапевтических процедур - электрофорез, магнитотерапия и другие;
- выполнение лечебной физкультуры;
- проведение сеансов массажной терапии.
При полном разрыве сухожилий в большинстве случаев требуется оперативное вмешательство, и чем раньше оно будет проведено, тем лучше. У врачей есть всего 72 часа, чтобы заново прикрепить сухожилие к надколеннику. Послеоперационный период предполагает обездвиживание бедра на 4-6 недель. На начальных стадиях тендинита применяют также консервативную терапию.
Обязательным этапом является мобилизация, позволяющая добиться полного объема движений. Наращивать нагрузку следует постепенно, следуя рекомендациям своего реабилитолога.
Профилактика повреждений сухожилий четырехглавой мышцы бедра и врачебные рекомендации
Самая безопасная работа мышц происходит в их разогретом состоянии. Поэтому очень важно перед занятиями в тренажерном зале, физическими нагрузками, переносом или подъемом тяжестей сделать легкую разминку.
По окончании физической активности следует также растянуть мышцы, и обязательно дать им время на восстановление.
При соблюдении врачебных рекомендация даже при полном разрыве сухожилий возможен благоприятный исход. На выздоровление не влияют такие факторы, как место повреждения, тип разрыва или растяжения, длительность реабилитационного периода. Большинство пациентов восстанавливают движения в полном объеме через 4-6 месяцев после травмы. Спортсмены могут вернуться к своим нагрузкам, соблюдая при этом повышенную осторожность. Однако возможен также и другой исход - с сохранением ограничений подвижности.
Советы врачей - МРТ или КТ коленного сустава что лучше выбрать?

МРТ или КТ коленного сустава - это два высокоэффективных метода диагностики организма человека, а вот какой из них и в чем лучше, давайте попробуем разобраться. В зону колена входят ткани разного характера:
- костные ткани - бедренная кость, малая и большая берцовая кость, хрящи суставной поверхности, мениски;
- мягкие ткани - связки, мышцы сухожилия, сосудисто-нервные пучки, жировое тело.
Из-за физики получения изображения кость лучше всего визуализируется на компьютерном томографе, а вот мягкие ткани и хрящевые образования лучше смотреть с помощью магнитно-резонансного аппарата.
Когда КТ коленного сустава лучше, чем МРТ?
КТ - это сокращение от компьютерной томографии. Это исследование проводится с помощью рентгеновских лучей и в результате сопровождается облучением пациента до 10 мЗв за одно сканирование. Компьютерное обследование гораздо информативнее обычной рентгенографии. Рентген дает врачам двухмерное изображение, а при компьютерной диагностике производится череда рентгеновских снимков. Они выполняются в разных проекциях, накладываются друг на друга, и в итоге рентгенолог получает реконструированное трёхмерное изображение коленной области.
На компьютерной томографии лучше, чем на МРТ, диагностируются:
- трабекулярные переломы;
- косточки внутри сустава (внутрисуставная мышь);
- микротрещины в костях;
- костные наросты и опухоли;
- суставные вывихи.
МРТ плечевого сплетения (МРТ шейный отдел позвоночника и плечевого сустава)
Как делают КТ колена?
Круглая область аппарата (кольцо гентри), куда помещают пациента, - это рентгеновская трубка, которая, вращаясь вокруг человека, просвечивает организм лучами. В это время компьютер на базе данных от датчиков создает объемную картину зоны диагностики. Стол, на котором лежит пациент, постоянно двигается, смещая точку сканирования. Именно поэтому получаются разноплоскостные изображения колена в течение очень короткого времени (5-7 минут). В зависимости от мощности КТ установки толщина (от 16 до 124 срезов) среза может доходить до 0.5 мм.
Предлагаем Вам запись на МРТ с бесплатной консультацией невролога или ортопеда
Преимущества КТ колена
КТ колена очень хорошо отображает все костные структуры этой зоны, а также с ее помощью за одно сканирование можно быстро получить данные о всей ноге от бедра до стопы, что играет важную роль при диагностике пациента с множественными травмами и переломами. Огромное диагностическое значение имеет тот факт, что у специалистов есть возможность посмотреть каждый из снимков отдельно или в виде 3D реконструкции.
| Исследование | Цена | Скидки |
|---|---|---|
| КТ одного сустава (коленный сустав, локтевой сустав, плечевой сустав, тазобедренные суставы, голеностоп, кисть и лучезапястный сустав, стопа) | от 2500 руб. | Ночью |
| КТ височно-нижнечелюстного сустава и челюсти | от 3100 руб. | Ночью |
| КТ костей одна зона (височные кости, кости лица, кости ключицы, лопатки, кости предплечья, кости таза, бедренные кости, берцовые кости, пяточные кости, ребра) | от 3100 руб. | Ночью |
| КТ черепа | от 3100 руб. | Ночью |
Когда МРТ коленного сустава лучше, чем КТ?
МРТ коленного сустава также дает возможность получить трехмерную визуализацию колена и череду снимков, которые возможно посмотреть в отдельности, но здесь, в отличие от КТ, не используются рентгеновские лучи, и пациент не получает никакой дозы облучения. Для диагностического сканирования используется действие электромагнитных волн. В трубе томографа находятся большие магниты. Внутрь трубы помещается человек. Когда магниты включаются, создается электромагнитное поле. Частички организма пациента с содержанием воды начинают колебаться и излучать энергию. Эту энергию улавливает специальный компьютер. Таким образом магнитно-резонансный томограф рисует всю картину состояния мягких тканей и хрящей колена. Визуализация снимков на МРТ разносторонняя. Это необходимо для наиболее полного и точного осмотра коленного сустава и соседних структур.
Посредством магнитно-резонансной томографии лучше, чем с помощью КТ, видны мышцы, сухожилия, мениски, сосудистое русло и нервные окончания. МРТ коленного сустава будет приоритетным методом обследования, если есть подозрения на:
- отрыв, разрыв, надрыв тканей;
- поражение мениска;
- воспаление суставных поверхностей;
- кисты и опухолевые образования в суставной сумке;
- инфекционные поражения мягких тканей, нагноения, абсцессы.
Магнитно-резонансная томография является методом выбора в вопросах диагностики кисты подколенной области или кисты Бейкера. Она позволяет достоверно выявлять характер сопутствующих внутрисуставных патологических изменений в коленном суставе, проводить дифференциальную диагностику, уточнять особенности анатомического строения и расположения кисты в подколенной ямке, а также локализацию ее соустья. Магнитно-резонансная томография при травмах коленного сустава позволяет с точностью до 90% оценить степень повреждения, сократить сроки постановки диагноза и тем самым увеличить эффективность лечения травматических повреждений коленного сустава.
МРТ или КТ суставов - что лучше?
Разница в работе КТ и МРТ аппаратов дает врачу возможность в зависимости от фокуса диагностики подобрать наиболее эффективный метод визуализации патологии. Самому пациенту выбирать, что лучше сделать, не стоит. Всегда лучше получить рекомендации травматолога или ортопеда, чтобы не платить за обследование дважды. Во-первых, как уже было сказано ранее, врач скажет, какой метод исследования колена необходим именно в вашем случае. А, во-вторых, есть противопоказания как к одному, так и ко второму виду томографии. Например, беременность - это ограничение для КТ, а наличие каких-либо металлосодержащих компонентов в вашем организме может стать противопоказанием к магнитно-резонансному обследованию. Есть конечно же и еще одна разница между МРТ и КТ коленного сустава - это цена. Метод МРТ исследования колена будет более комплексным, поэтому дорогим, по сравнению с компьютерной томографией.

Специализация: Терапевт
Где ведет прием: МРТ центр и клиника РИОРИТ
Астапенко М.Г. Дифференциальная диагностика артритов и артрозов.// Клинич. медицина. -1984. -Т.62, №9.
Абдуразаков А.У. Магнитно-резонансная томография в диагностике повреждений менисков и крестообразных связок коленного сустава // Вестник травматологии и ортопедии им. H.H. Приорова. 2007. №1.
Последние статьи о диагностике

Что показывает МРТ коленного сустава
МРТ коленного сустава (МРТ колена) считается одним из самых надежных медицинских исследований, позволяющих оперативно выявить большинство проблем с коленными структурами. Коленный сустав часто

МРТ при беременности
Так как с каждым днем технологии МРТ дают врачам медицинских центров СПб все больший спектр диагностических возможностей, её начинают активно применять в педиатрии, пренатальной диагностике у беременных женщин и онкологии. Как только женщина узнаёт, что станет матерью, у неё сразу возникает вопрос, какие процедуры ей можно делать, а какие противопоказаны. Почти все беременные женщины знают, что им категорически запрещается делать рентген и можно проходить УЗИ.

Противопоказания к МРТ
Магнитно-резонансная томография - это безопасное обследование без лучевой нагрузки, но и она имеет ряд противопоказаний в зависимости от модели томографа и протокола обследования - с контрастом или без. Томография нашла широкое применение в нейрохирургической, онкологической, ортопедической и неврологической практике для исследования позвоночника, головного мозга, сосудов, суставов, внутренних органов и мягких тканей.

Где сделать МРТ в СПб?
Чтобы пройти МРТ в медицинских центрах Санкт-Петербурга, необходимо записаться на диагностику. Адреса и цены на услугу томографии в различных клиниках вам подскажут в нашем центре записи. В базе данных у нас есть информация о более 80 диагностических клиник СПб и Ленинградской области.
Читайте также:
