Рентгенограмма, КТ при сверхкомплектных корнях зуба
Добавил пользователь Владимир З. Обновлено: 18.12.2025
Полиодонтия — это аномалия развития зубочелюстной системы, характеризующаяся появлением множества молочных или постоянных зубов. Сверхкомплектные зубы чаще вырастают на верхней челюсти. Они могут иметь небольшой размер и конусообразную форму. Встречаются также дополнительные зубы каплевидной, долотообразной форм.
Даже один сверхкомплектный зуб может доставлять немало неудобств, и не только эстетических: его появление может привести к дефектам прикуса, существенно увеличивает вероятность развития множественного кариеса из-за скученности и проблем с гигиеной.
Присутствие нескольких лишних зубных единиц усугубляет проблему. Такое явление приводит к невозможности нормально пережевывать пищу. Неправильное распределение жевательной нагрузки, может выступать причиной недостаточно долгой службы нормальных, комплектных зубов. К тому же из-за большего числа зубов часто наблюдаются дефекты речи — произносить некоторые звуки становится просто невозможно. Поэтому с такой проблемой важно обратиться к стоматологу.
Причины гипердонтии
Исследователи не выяснили точные причины появления лишних зубов. Но существует несколько гипотез, объясняющих патологию. В норме молочный прикус включает 20 зубов, а постоянный — 28−32 зуба. Наличие одного дополнительного зуба может свидетельствовать о дефекте определенного гена, который еще не выявлен.
Антропологи утверждают, что у наших предков было больше резцов на верхней и нижней челюсти. Сверхкомплектные зубы сейчас могут выступать своеобразным атавизмом.
Влияние патогенных факторов при беременности также может служить причиной увеличения числа зубов в комплекте. Наследственная мутация состоит в том, что из зубной пластинки при эмбриональном развитии формируется больше зубов — она расщепляется на большее количество зубных зачатков.
Важно знать, что причин увеличения числа зубов бывает много. Такое явление наблюдается при некоторых врожденных синдромах:
- клейдокраниальная дисплазия;
- синдром Ротмунда - Томсона;
- аденоматозный полипоз толстого кишечника.
Поэтому иногда такой симптом является поводом для обращения не только к стоматологу, но и к специалистам другого профиля, например, генетику или гастроэнтерологу.
Симптомы гипердонтии
Полиодонтия обычно проявляет себя в один из следующих возрастных периодов:
- Новорожденность. Патология обнаруживается при первом же осмотре ребенка, неонатолог может обнаружить в полости рта прорезавшийся зуб или заподозрить аномалию развития челюсти.
- От 4−7 месяцев до трех лет, в период формирования молочного прикуса.
- От 5−7 до 18−25 лет во время формирования постоянного прикуса.
Лишний зуб обычно располагается по средней линии лица, между центральными зубами. Для него характерны небольшой размер, укороченная корневая система и коронка конической формы, сужающаяся ближе к режущему краю. Однако в некоторых случаях размеры и форма коронки являются абсолютно нормальными.
Второй по распространенности вариант — лишний четвертый моляр. Он может соответствовать нормальным размерам обычного жевательного зуба или быть меньше.
Дополнительная единица зубного ряда может прорезаться в любом месте или оставаться в толще костной ткани в виде зачатка. В области таких непрорезавшихся зубов нередко формируются кисты. Такой процесс не характеризуется выраженными симптомами, поэтому патологию обнаруживают случайно, в рамках диагностики, проводимой по другому поводу. Лучшим способом постановки диагноза в этом случае является рентгенография.
Снижение местных защитных сил может приводить к обострению периодонтита, отеку десны, покраснению мягких тканей, формированию свищевых ходов с выделяющимся содержимым кисты. Это одно из распространенных осложнений при непрорезавшихся сверхкомплектных зубах.
Существуют и другие возможные последствия аномалии:
- ретенции и дистопии — невозможность прорезывания нормального зуба, изменение его нормального положения (прорезывание под наклоном, поворот резца по оси и пр.);
- диастемы, тремы: щербинки между зубами, центральными резцами;
- аномалии положения зубов, в том числе их расположение в области неба, смещение в сторону щек;
- несоответствие размеров зубного ряда и челюсти, что приводит к скученности, дефектам прикуса.
К отдаленным последствиям такого явления относят разрушение зубов в связи с кариесом или избыточным давлением ввиду нехватки места в челюсти.
Разновидности полиодонтии
Выделяют несколько форм полиодонтии у человека:
- Атипичная. Лишние единицы вырастают не в альвеолярной лунке и даже не в пределах зубного ряда. Например, зачаток зуба может сформироваться в теле небной кости.
- Типичная. Сверхкомплектный зуб растет в пределах зубного ряда. Чаще это бывает при небольших размерах зубной единицы, когда ей хватает места в ряду.
- Ложная. Задержка темпов смены молочного прикуса. Зачатки постоянных зубов прорезываются тогда, когда молочные еще не выпали. Они могут прорезаться позади, впереди и даже вне зубного ряда.
- Истинная. Формирование зачатков сверхкомплекнтых зубов, при котором расположение зуба может не ограничиваться зубным рядом.
Отдельной категорией выступают генетические заболевания, при которых нередко формируются сверхкомплектные зубы. К ним относят клейдокраниальную дисплазию, когда наблюдаются дефекты развития костей черепа, полное или частичное отсутствие ключиц. Провоцирует зубные аномалии и аденоматозный полипоз толстой кишки — появление множественных полипов в толстом кишечнике. Синдром Ротмунда - Томсона также характеризуется множественными патологиями, в том числе кожи, ногтей и зубов.
Возможные осложнения при полиодонтии
Самым частым последствием полиодонтии является неэстетичность улыбки, диспропорции лица, а также нарушения дикции, обычно шепелявость. В особо тяжелых случаях лишние зубы заметны даже в покое, когда рот закрыт. Могут неестественно оттопыриваться губы или неправильно смыкаться челюсти.
Дополнительные зубы давят на комплектные, занимают место в зубном ряду. Зубы могут смещаться, поворачиваться по оси, располагаться вне ряда — на нёбе, под языком и пр. Сверхкомплектные единицы ряда вызывают скученность зубов. Это затрудняет гигиену, провоцирует скопление налета, формирование зубного камня, множественный кариес и осложнения в виде пульпита и периодонтита.
При скученности ткани вокруг зубов формируются неправильно. К тому же неверно распределяется и жевательная нагрузка. Это может стать причиной болезней тканей пародонта — гингивита, пародонтита, пародонтоза, при котором формируются глубокие зубодесневые карманы, наблюдается подвижность зубов и дальнейшая их потеря. При скученности практически невозможно нормальное протезирование без предварительного ортодонтического лечения.
Такое заболевание приводит к функциональным нарушениям, косметическому дефекту, а значит, является одной из причин неуверенности в себе и мешает нормальной коммуникации и адаптации в социуме.
Диагностика и лечение
Качественная и своевременная диагностика позволяет предупредить возможные осложнения и вовремя принять меры по устранению проблемы. Чаще всего лишние зубы располагаются в переднем отделе верхней челюсти. Чем точнее будет определено положение единиц, тем более качественным будет хирургическое лечение.
У детей удаление сверхкомплектных зубов осуществляется максимально осторожно во избежание повреждения зон роста комплектных зубов и образования дефектов кости альвеолярного отростка. Поэтому проводится рентгенография — она позволяет определить положение зубов, особенности корневой системы, оценить взаиморасположение единиц в толще кости челюсти.
Используют следующие методы диагностики:
- КТ;
- Ортопантомография (ОПГ);
- прицельный снимок — внутриротовая рентгенография (при оценке состояния одного-двух зубов);
- МРТ.
КТ позволяет получить послойное изображение костных структур за считаные минуты. Метод актуален тогда, когда требуется получить изображение зуба в разных плоскостях. Доза облучения в этом случае будет безопасной, а процедура легко переносится большинством пациентов и не требует никакой подготовки.
Ортопантомография (ОПГ) — метод, который предусматривает выполнение панорамного снимка всей челюсти, а также прилегающих тканей и структур лицевого скелета. Может проводиться у пациентов с трех лет. Это быстрый, простой и очень информативный способ, который помогает получить общее представление о состоянии зубочелюстной системы. При подозрении на множественные сверхкомплектные зубы, а также при планировании ортодонтического лечения он особенно актуален.
Внутриротовая рентгенография представляет собой самый простой и популярный инструмент диагностики. На снимке можно получить изображение 1−4 зубов в зависимости от их размеров, а также прилегающих к ним структур. При выявлении множества лишних зубов такой метод будет менее эффективным, но может использоваться при невозможности использовать другие.
Также его применяют в рамках планирования хирургического лечения, если сверхкомплектные зубы удаляют по одному. Точное определение взаимоотношения дополнительной единицы с корневыми системами и зачатками нормальных зубов осуществляется с помощью внутриротовой рентгенограммы перед операцией и через некоторое время после нее. С помощью такого метода удается определить степень изменений положения ретинированного зуба, состояние корней комплектных зубов, структуру и состояние кости в исследуемой области.
Лечение полиодонтии
Если гиподонтия — меньшее количество зубов, чем в норме — требует восстановления отсутствующих единиц, то при сверхкомплектных зубах подход может быть обратным. Существуют стандартные протоколы оказания помощи в каждом случае. Единственно верным подходом является комплексное лечение, а тактику хирургического, ортопедического, ортодонтического лечения определяют индивидуально. Учитываются не только количество и взаиморасположение лишних зубов, но и темпы роста челюсти, развития зубочелюстной системы.
Лечение возможно только при коллегиальном подходе, им занимается целая команда: стоматолог-хирург, ортодонт, стоматолог-ортопед. У детей к разработке программы лечения подключаются педиатр или неонатолог. Иногда требуется помощь челюстно-лицевого хирурга.
Выделяют два основополагающих направления лечения: хирургическое и ортодонтическое. Оперативное вмешательство показано во всех случаях, когда лишний зуб влияет на формирование прикуса. Удаление может осложняться тем, что он не прорезывается полностью, располагается близко к корневым системам комплектных зубов или к зачаткам, гайморовой пазухе верхней челюсти или нижнечелюстному нерву нижней. Поэтому после удаления у детей важно наблюдать за состоянием маленького пациента еще в течение года.
Удалять дополнительные зубы рекомендовано с 8 лет, в период смены фронтальной группы зубов. Это позволит предупредить деформации зубного ряда, нарушения прикуса. Только при высоких рисках повреждения зачатка нормального зуба при близком расположении операцию врач порекомендует отложить.
При ложной полиодонтии удаление молочных зубов обычно не доставляет проблем. Корневые системы таких зубов уже рассасываются в большинстве случаев, а риск осложнений крайне мал.
Вид операции определяется расположением зуба, степенью его прилегания к комплектным зубам, глубиной залегания в костной ткани, возрастными особенностями и другими факторами.
Ортодонтическое лечение также определяется конкретной ситуацией. Обычно оно применяется после хирургического этапа, если дополнительный зуб уже оказал определенное влияние на прикус. В качестве метода коррекции могут быть выбраны функциональные аппараты: пластины, каппы, а также брекеты.
Прогноз и профилактика
Специфической профилактики гипердонтии не существует, поскольку неизвестны точные причины появления дополнительных единиц зубного ряда. Предупредить можно только последствия ложной гипердонтии — важно следить за темпами смены молочного прикуса и принимать меры в том случае, если молочный зуб не выпадает в положенные сроки.
Чаще всего прогноз лечения благоприятный. Современные возможности позволят восстановить эстетику улыбки и функцию зубов. Основной тактикой лечения является удаление лишних единиц ряда и последующая коррекция положения остальных зубов. В детском возрасте обычно удается обойтись съемными ортодонтическими аппаратами. Взрослым чаще всего показано ношение брекет-систем и следующий за этим ретенционный период (ношение ретейнеров).
Сохранять сверхкомплектные зубы целесообразно только в случае, если они способны нести нагрузку при планируемом ортопедическом и ортодонтическом лечении, могут быть полноценной единицей зубного ряда, замещать комплектные зубы, которые невозможно восстановить ввиду их сильного разрушения травмой или кариесом. Решение о методе лечения принимает команда стоматологов разных направлений.
Получить квалифицированную помощь стоматологов-хирургов, ортодонтов и ортопедов при гипердонтии вы можете в клинике «СТОМА». Чтобы записаться на консультацию, позвоните по указанному номеру или заполните специальную форму на сайте.
Алгоритм внутриротового лучевого исследования и описания снимков зубов
До недавнего времени лучевая диагностика в стоматологии рассматривалась как дополнительный метод обследования, то есть необязательный, без которого в принципе можно провести полноценное лечение. Однако в XXI веке ситуация кардинально изменилась, появились новые технологии, новые специальности и новые требования к обследованию и лечению пациентов. В настоящее время ни один цивилизованный стоматологический прием не обходится без детального радиодиагностического обследования пациента, и можно утверждать, что лучевая диагностика в стоматологии сейчас является одним из основных и наиболее востребованных методов исследования.
Главное отличие цифровой радиографии (радиовизиографии) от традиционной заключается в том, что в данном случае вместо пленки приемником изображения является сенсор, воспринимающий излучение и передающий информацию на компьютер. Оборудование, необходимое для радиовизиографии, последовательно состоит из источника излучения, устройства для считывания информации, устройства для оцифровывания информации и устройства для воспроизведения и обработки изображения.
В качестве источника излучения используются современные малодозовые генераторы с минимальным значением таймера, рассчитанные на работу в составе визиографического комплекса. Собственно визиограф состоит из сенсора, представляющего собой датчик на основе CCD- или CIMOS-матрицы, аналогово-цифрового преобразователя и компьютерной программы, предназначенной для оптимизации и хранения снимков.
Исходные цифровые снимки на первый взгляд могут несколько отличаться от привычных пленочных, поэтому нуждаются в обработке с использованием опций программного обеспечения. Наиболее качественным является тот снимок, который по визуальному восприятию наиболее близок к аналоговому, поэтому, даже несмотря на самые высокие технические характеристики визиографа, качество конечного изображения во многом зависит от возможностей программы и умения специалиста с ней работать.
Популярные методы лучевой диагностики
На сегодняшний день самым распространенным и востребованным в амбулаторной практике методом лучевого исследования является интраоральная радиография зубов, или внутриротовой снимок зуба. Иногда внутриротовые снимки зубов называют прицельными, что неправильно. Прицельным называется снимок, выполненный вне стандартной укладки, а стандартизированные исследования именуются соответственно методу позиционирования.
На терапевтическом приеме в процессе эндодонтического лечения должно быть сделано не менее трех внутриротовых снимков каждого исследуемого зуба:
- диагностический снимок необходим для оценки состояния тканей периодонта на момент обследования, постановки диагноза, определения количества и формы корней, направления каналов, выбора тактики лечения.
- измерительный снимок — снимок зуба на этапе лечения с введенными в каналы эндодонтическими инструментами с фиксированной стоппером длиной рабочей части или верификаторами после инструментальной обработки каналов. Если ортогональная проекция выполнена корректно, при условии точной калибровки программы визиографа и отсутствии проекционного искажения для резцов и премоляров некоторые измерения могут быть проведены по диагностической радиограмме. Для многокорневых зубов предпочтительно измерение длины каналов с помощью эндодонтических инструментов (рис. 1) , апекслокатора или по трехмерному снимку.
- контрольный снимок делается непосредственно после окончания эндодонтического лечения с целью определить, насколько качественно запломбированы корневые каналы, а также через определенное заданное время, дабы удостовериться в отсутствии или выявить наличие осложнений (рис. 2) . При исследовании многокорневых зубов и в случаях, когда имеется дополнительный канал, на снимке, выполненном с орторадиальным направлением луча (прямая проекция), корневые каналы часто накладываются друг на друга, что значительно затрудняет диагностику и может привести к ошибке в процессе лечения. Для получения раздельного изображения корневых каналов используется радиография с косым (эксцентрическим) направлением центрального луча (рис. 1) . Применительно к каждому конкретному случаю выбирается мезиальный или дистальный наклон (ангуляция) тубуса в горизонтальной плоскости (подробнее см.: Рогацкин Д. В., Гинали Н. В. Искусство рентгенографии зубов, 2007).
В идеале максимум информации о топографии корней и состоянии тканей периодонта может быть получен при проведении полипозиционной радиографии. В данном случае с диагностической целью делается три снимка — один в прямой, с орторадиальным направлением луча, и два в косой проекции — с дистально-эксцентрическим (рис. 1) и мезиально-эксцентрическим направлением луча (соответственно, прямая, задняя косая и передняя косая проекции).
Важнейшими аспектами успешной внутриротовой радиографии являются стандартизация и последовательная коррекция манипуляций. Под стандартизацией манипуляций подразумевается способность специалиста, проводящего лучевое исследование, выбрать оптимальный для каждого случая метод и сделать серию идентичных снимков вне зависимости от положения, состояния пациента и времени, отделяющего одно исследование от другого. То есть, если диагностический или измерительный снимок признан качественным, каждый последующий уточняющий и контрольный должны быть сделаны с теми же пространственными и техническими установками и каждое последующее изображение должно быть идентично предыдущему (рис. 1, 2) .
Рис. 1. Диагностический и измерительный снимки зуба 36, выполненные в прямой (а) и дистально-эксцентрической проекции (б). 36 — хронический апикальный периодонтит (К04.5) с характерными изменениями на мезиальном корне.
Рис. 2. Контрольный снимок непосредственно после лечения зубов 21, 22 (хронический периапикальный абсцесс в состоянии нагноения) (а) и отсроченный контрольный снимок через 5 месяцев после пломбирования канала (б), состояние репарации на этапе лечения.
Описание внутриротовых снимков
Во всем мире производством и описанием внутриротовых снимков зубов занимаются непосредственно сами врачи-стоматологи, поэтому каждый квалифицированный специалист обязан не только владеть основами техники позиционирования, но и знать алгоритм описания интраоральной радиограммы зуба (ИРЗ, IO dental radiograf). К сожалению, практикующие врачи не всегда логично интерпретируют изображение и используют некорректные обозначения. Например, такое расхожее выражение, как «разрежение костной ткани с четкими границами», уже содержит в себе три ошибки.
Во-первых, термин «разрежение», или рарефикация (от rare — редкий), подразумевает снижение плотности ткани за счет уменьшения количества твердой составляющей (декальцинации), но без разрушения основной структуры костной ткани. В классическом варианте рарефикация — это признак или характеристика остеопороза. В процессе развития, например, радикулярной кисты, да и в любых других периапикальных процессах кость в периапексе не сохраняется, она полностью разрушается, и, таким образом, термин «разрежение» абсолютно неверно характеризует имеющийся в периапексе патологический процесс.
Во-вторых, для описания формы двухмерной фигуры на рисунке следует использовать определение «контур», а не «граница». В-третьих, квалифицированное чтение снимка состоит из трех этапов — констатации, интерпретации и заключения. Под констатацией подразумевается фактическое описание двухмерного рисунка в режиме негативного изображения, полученного при исследовании. Интерпретация — это сопоставление полученных графических данных с клиническим опытом специалиста, на основе чего делается заключение, то есть ставится радиологический диагноз. Таким образом, определение «разрежение костной ткани с четкими контурами» подразумевает констатацию визуального обнаружения очага радиопросветления (радиолюценции) с четким контуром, что клинически соответствует деструкции костной ткани при наличии апикальной гранулемы или радикулярной кисты. Точно так же некорректным, например, является использование в описании определения «периодонтальная щель», поскольку такого анатомического образования не существует. Правильное название видимой на снимке структуры, окружающей корень, — пространство периодонтальной связки (periodontal ligamentum).
Кроме того, стоматологи традиционно «видят» только зону деструкции и совершенно не обращают внимания на зону интоксикации, представленную перифокальным остеосклерозом. Данный элемент изображения, представленный зоной уплотнения костной ткани по краю деструкции, указывает на наличие хронической интоксикации и очерчивает истинную протяженность патологического очага (рис. 3) . Перифокальный остеосклероз соответствует состоянию хронического абсцедирования и не встречается в случае наличия стерильных деструктивных процессов (доброкачественные опухоли, кисты различного генеза (рис. 4) , апикальных гранулем вне состояния нагноения (экзацербации).
Рис. 3. Внутриротовой снимок зуба 24, хронический периапикальный абсцесс (К04.6), визуально определяется зона деструкции костной ткани с характерным перифокальным склерозом.
Рис. 4. Внутриротовой снимок зуба 44, радикулярная киста (К04.7), воспалительная ремоделяция перифокальной костной ткани отсутствует (пояснение в тексте).
Подобных нюансов существует еще много, но если обобщить все вышесказанное и учесть определенные традиции описания снимка зуба, в качестве схемы можно рекомендовать следующие алгоритмы.
1. Пульпит.
1.1. На внутриротовом периапикальном снимке (как вариант, ИРЗ, интраоральная радиограмма зуба) зуба N патологические изменения костной ткани в области верхушки корня визуально не определяются (вариант: видимых патологических изменений нет).
1.2. Определяется расширение пространства периодонтальной связки в периапикальной области.
1.3. Расширение пространства периодонтальной связки с фрагментарной деструкцией (ремоделяцией, деформацией), замыкающей пластинки стенки альвеолы
в периапикальной области.
1.2.1. Тень пломбировочного материала в канале не прослеживается.
2. Острый и хронический апикальный периодонтит (К04.4; К04.5).
2.1. На внутриротовом периапикальном снимке зуба N патологические изменения костной ткани в области верхушки корня визуально не определяются.
2.2 . Определяется расширение пространства периодонтальной связки в периапикальной области.
2.3 . Расширение пространства периодонтальной связки на всем протяжении.
2.4 . Расширение пространства периодонтальной связки на всем протяжении, деструкция твердой пластинки альвеолы (lamina dura) в периапикальной области.
2.5. В периапикальной области определяется усиление плотности костного рисунка в виде перифокального остеосклероза без четких контуров, клинически соответствующее состоянию после эндодонтического лечения с остаточной интоксикацией.
2.6.1. В периапикальной области визуально определяется тень, соответствующая по плотности и конфигурации пломбировочному материалу.
2.6.2. Тень пломбировочного материала определяется в виде нескольких фрагментов (конгломерата), располагающихся в непосредственной близости к апексу (на удалении N мм).
2.6.3. Определяется в виде непрерывной линейной структуры, соответствующей по плотности и конфигурации фрагменту гуттаперчевого штифта (протяженность указывается).
2.7.1. Тень пломбировочного материала в канале не прослеживается.
2.7.2. Прослеживается на всем протяжении.
2.7.3. Прослеживается фрагментарно, радиологически апекс обтурирован.
2.7.4. Прослеживается фрагментарно, располагается пристеночно, тень пломбировочного материала неоднородна (другое), апекс не обтурирован.
2.7.5. Прослеживается от устья на протяжении ½ длины корня, просвет корневого канала в апикальной части корня визуально не определяется (не прослеживается).
2.7.6. Просвет корневого канала не прослеживается на всем протяжении корня.
2.7.7. В области средней трети корня визуально определяется тень металлической плотности, по конфигурации соответствующая фрагменту эндодонтического инструмента (каналонаполнитель? другое, протяженность фрагмента указывается).
3. Периапикальный абсцесс (К04.6-7), апикальная гранулема, радикулярная киста (К04.8).
3.1. В области верхушки корня визуально определяется деструкция (рациолюценция, радиопросветление) костной ткани без четких контуров, в виде участка сниженной плотности, с частичным сохранением характерного костного рисунка (протяженность указывается).
3.2.1. Определяется радиопросветление, соответствующее деструкции костной ткани, распространяющейся (например) от средней трети дистальной поверхности корня N на область межальвеолярной перегородки.
3.2.2. В области (например) средней трети корня определяется линейное снижение плотности рисунка с поперечной протяженностью, клинически соответствующее нарушению целостности твердых тканей корня (фрактура) без смещения фрагментов.
3.3. В области верхушки корня визуально определяется радиопросветление, соответствующее деструкции костной ткани, с четкими контурами округлой формы (протяженность указывается).
3.4. Очаг деструкции костной ткани с четкими контурами округлой формы (протяженность указывается), по контуру очага на всем протяжении определяется усиление плотности костного рисунка окружающей ткани в виде перифокального остеосклероза без четких контуров.
3.5. В просвете очага деструкции определяется тень, соответствующая по плотности и конфигурации фрагменту пломбировочного материала (гуттаперчевого штифта, фрагмента эндодонтического инструмента).
3.6. С четкими контурами округлой формы, с тенденцией распространения процесса в сторону периапикальной области такого-то зуба (указывается соседний зуб).
3.7. Распространяющееся на область межкорневой перегородки.
3.8. Визуально определяемая область просветления (деструкции) костной ткани частично (в полном объеме) проецируется на область альвеолярной бухты верхнечелюстного синуса (нижнечелюстного канала, грушевидного отверстия, другое).
3.9. Кортикальная пластинка нижней стенки верхнечелюстного синуса в области проекции радиопросветления сохранена на всем протяжении (прослеживается фрагментарно, не прослеживается).
3.10. Кортикальная пластинка нижней стенки верхнечелюстного синуса в области проекции деструкции сохранена на всем протяжении, отмечается изменение ее конфигурации и усиление плотности рисунка окружающих тканей, определяющееся как образование округлой формы, выступающее в просвет синуса.
Сведения об авторе
Рогацкин Дмитрий Васильевич, врач-рентгенолог ООО «Ортос», Россия, г. Смоленск
Rogatskin D. V., radiologist, LLC Ortos, Russia, Smolensk
Аннотация. Лучевая диагностика в стоматологии является одним из основных и наиболее востребованных методов исследования. В статье описываются популярные методы лучевой диагностики, приводится описание внутриротовых снимков а так же алгоритмов при конкретных клинических ситуациях.
Algorithm for intraoral radiation research and description of dental images
Annotation. Radiation diagnostics in dentistry is one of the main and most popular research methods. The article describes the popular methods of radiation diagnostics, provides a description of intraoral images as well as algorithms in specific clinical situations.
Ключевые слова: лучевая диагностика; радиовизиография; внутриротовой снимок.
Key words: radiation diagnostics; radiovisiography; intraoral image.
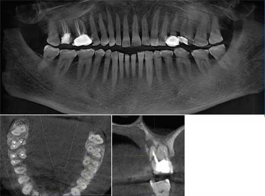
Сверхкомплектный моляр: обзор редкого случая
Сверхкомплектные зубы или гипердонтия - это стоматологическая аномалия, которая определяется как присутствие зуба или любой ткани зуба сверх набора 20 молочных и 32 постоянных зубов. Сверхкомплектные зубы могут возникать единично, группами, односторонне, двусторонне, они могут прорезываться или быть импактными на одной или обеих челюстях, как в молочном, так и в постоянном прикусе. Частота встречаемости в молочном прикусе варьирует от 0,1% до 3,8% и от 0,3% до 0,6%. В постоянном прикусе аномалия чаще встречается у мужчин, чем у женщин в соотношении 2:1. Однако данная диспропорция по полу не наблюдается в молочном прикусе. Также есть данные, что азиатская популяция более подвержена аномалии. Единичные сверхкомплектные зубы встречаются в 76-86% случаев, двойные в 12-23% и множественные - менее 1%. Множественная гиперодонтия редко встречается у людей без каких либо других сопутствующих заболеваний и синдромов. Обычно такая аномалия является частью системных расстройств, таких как расщелина губы и неба, клейдокраниальный синдром, синдром Гарднера, синдром Фабри-Андерсона, хондроэктодермальная дисплазия, синдром Эйлера-Данлоса и трихо-рино-фалангеальный синдром.

Сверхкомплектные зубы могут быть найдены практически в любой зоне зубной дуги. Локализация на верхней челюсти встречается гораздо чаще, чем на нижней, особенно в передней области (80%). Несколько реже сверхкомплектные зубы могут располагаться в дистомолярной зоне, нижних и верхних премоляров, в зоне верхних клыков и нижних резцов.
Коронки аномальных зубов имеют обычный вид или же атипичную форму, также корни сформированы полностью или частично.
Позиция в зубной дуге варьирует: мезиоденс, парамолярно, дистомолярно и парапремолярно. Мезиоденс - наиболее типичная локализация между центральными резцами на верхней челюсти, парамолярное положение - это добавочный моляр обычно рудиментарный, малых размеров и расположен с щечной или небной стороны по отношению к одному из моляров на верхней челюсти. Наиболее часто встречается в межзубном промежутке второго и третьего моляров с щечной стороны; дистомолярное положение- это четвертый постоянный моляр; парапремолярная локализация в основном встречается в межзубном промежутке с щечной стороны между первым и вторым премолярами на верхней челюсти. Вариации морфологической формы заключаются в различном коническом типе, количестве бугорков, одонтом. Сверхкомплектные зубы могут быть маленькие, конические с нормальным корнем; зубы с множественными бугорками, как правило, короткие, с бочковидной коронкой и инвагинированным рудиментарным корнем. Еще один вариант сверхкомплектного зуба - дополнительный- напоминает один из существующих и располагается за ним. Большинство сверхкомплектных зубов в молочном прикусе относятся к типу дополнительных зубов.
Одонтомами называются любые опухоли, развивающиеся из тканей зуба. Многие авторы склоняются к мнению, что одонтомы представляют собой гамартому или мальформацию, нежели неоплазм. Сложные одонтомы и составные являются двумя различными описанными типами. Сложные одонтомы характеризуются диффузной тканью дентина, которая полностью дезорганизована, в то время как составная - это мальформация, имеющая поверхностное анотомическое сходство с нормальным зубом.
Согласно форме сверхкомплектные зубы классифицируются на дополнительные (эуморфные) и рудиментарные (дисморфные). Если сверхкомплектные зубы имеют нормальную морфологию, их относят к "дополнительным", если же морфология аномальна - зубы относят к рудиментарным. Позиция сверхкомплектных зубов может быть между центральными резцами, перекрывающая, а ориентация описывается как вертикальная, инвертированая или трансверзальная.
Данная статья представляет клинический случай присутствия дополнительного моляра у соматически здорового пациента. Также представлен обзор литературы, касающейся частоты встречаемости, классификации, этиологии, осложнений, диагностики и стратегий лечения данной патологии.
Описание клинического случая
На кафедру консервативной стоматологии и эндодонтии обратился 22-летний мужчина с жалобами на болезненность в заднем сегменте верхней челюсти слева. Наследственный анамнез и история заболевания без особенностей, никаких признаков системных заболеваний и синдромов не выявлено.
Внутриротовой осмотр выявил Класс I смыкания и отсутствие патологии расположения зубов. В дополнение к полному набору постоянных зубов обнаружен один сверхкомплектный зуб, расположенный с небной стороны между верхним первым и вторым моляром слева (Фото 1).
Фото 1: Внутриротовая фотография, показывающая парамолярное расположение сверхкомплектного зуба между верхнем первым и вторым моляром слева.

Сверхкомплектный зуб определен как парамоляр. Коронка парамоляра имела два бугорка и весьма сильно напоминала строение постоянного премоляра. Зуб повернут по оси, с расположением щечной поверхности дистально и мезиальной поверхности щечно. На мезиальной стороне парамоляра обнаружено кариозное поражение (Фото 2). Осмотр мягких тканей выявил воспаление пародонта между первым и вторым молярами и парамоляром. Сделаны рентгеновские снимки: панорамный, прицельный и окклюзионный. Чтение панорамного снимка было затруднено из-за небного расположения зуба. На прицельном и окклюзионных снимках обнаружено, что сверхкомплектный зуб поражен кариесом и имеет один корень (Фото 3 и 4).
Фото 3: Прицельный рентгеновский снимок, показывающий парамоляр с полностью сформованным зубом (указан стрелкой).

Фото 4: Окклюзионная рентгенограмма верхней челюсти, показывающая сверхкомплектный зуб (стрелка).

Пациент был проинформирован о существующей ситуации. Рекомендовано удаление парамоляра в виду его неудобного расположения для гигиены, возможной задержки пищи, рецидива кариеса и повреждения тканей пародонта. Пациент направлен на кафедру челюстно-лицевой хирургии для удаления парамоляра.
Удаленный зуб очищен, дезинфицирован и проанализирован. Морфология зуба нормальная. Длина корня соответствует размерам коронки. Апекс корня полностью развит. Рентгенологическое исследование выявило I тип конфигурации канала (Vertucci). Фактические размеры зуба: мезиодистальная и щечно-небная ширина коронки 6 и 10 мм соответственно, длина коронки 6,5 мм, длина корня 12 мм. Морфометричечкие измерения показали высокую схожесть сверхкомплектного зуба с премоляром (Фото 2).
Фото 2: Фотографии удаленного зуба: (a) окклюзионный вид, (b) мезиальный, (с) дистальный, (d) щечный, (e) небный.

Появление парамоляров - достаточно редкое явление. Этиология данной аномалии является до конца не выясненной. Было предложено несколько теорий: филогенетическая, дихотомическая, теория гиперактивности зубной пластинки и комбинация генетических факторов и условий окружающей среды.
Филогенетическая теория относится к процессу атавизма (эволюционный возврат). Атавизм является возвратом к более ранней морфологии или типу. В прошлых веках третий моляр практически всегда присутствовал в постоянном прикусе, он был сравним по размерам со вторым моляром. Более того, довольно часто встречался и четвертый моляр. Однако в результате эволюции филогенеза размер зубных дуг постепенно уменьшался, что привело к сокращению как численности, так и размеров зубов человека. Это был один из этапов преимущественного развития мозгового черепа над лицевым. Таким образом, появление дополнительных парамоляров может считаться примером атавизма, генетической памяти о четвертом моляре в предыдущих поколениях. Стоит сказать, что данная теория была отвергнута многими авторами.
Дихотомическая теория объясняет появление сверхкомплектных зубов расщеплением зубного зачатка. Зачаток расщепляется на две равные или неравные части, из которых в дальнейшем развиваются морфологически нормальные самостоятельные зубы.
Теория гиперактивности зубной пластинки является наиболее принимаемой теорией. Она объясняет появление парамоляров результатом локальной, независимой, обусловленной особой стимуляцией повышенной активностью зубной пластинки. Согласно теории, лингвальное расширение зачатка дополнительного зуба приводит к развитию морфологически неизменного зуба, а рудиментарные формы возникают из-за пролиферации эпителиальных остатков пластинки, которая индуцируется давлением постоянных зубов. Другие склонны полагать, что гиперодонтия связана с мультифакториальными причинами, в своей основе все же имеющими гиперактивность зубной пластинки. Остатки зубной пластинки могут оставаться в челюстях в виде эпителиальных жемчужин или островков. При воздействии индуцирующих факторов из дополнительных зачатков могут развиваться сверхкомплектные зубы или одонтомы. Наиболее подтвержденной гипотезой является то, что развитие сверхкомплектных зубов связано с комплексом генетических причин и факторов окружающей среды. Это подтверждается наличием похожих аномалий у близких родственников. Однако, несмотря на данные литературы, у родственников описанного пациента схожей патологии не обнаружено.
Тщательный анализ литературы обнаружил весьма мало сведений о появлении парамоляров. Парамоляры несколько реже встречаются на верхней челюсти, весьма редко двусторонне и практически никогда во временном прикусе. Обычно они рудиментарные, локализуются щечно между вторым и третьим молярами, хотя в некоторых случаях могут располагаться между первым и вторым молярами. Слияние парамоляров с нормальными зубами также невероятно редко. В литературе описан единственный случай эндодонтического лечения слившегося второго левого моляра на нижней челюсти и парамоляра с расщепленной коронкой.
При диагностировании также необходимо дифференцировать другие структуры, которые могут появляться в области моляров, например дополнительный бугорок или слившийся сверхкомплектный зуб. Bolk в 1916 впервые описал дополнительный бугорок на щечной поверхности верхних и нижних постоянных моляров, которые он назвал парамолярным бугорком. Dahlberg в 1945 предложил термин парамолярный бугорок для обозначения любого аномального бугорка, сверхкомплектного включения или возвышения на щечной поверхности как верхних, так и нижних премоляров и моляров. Он представил палеонтологическую номенклатуру, в которой отнес данные структуры к «протостилиду», если они находятся на нижней челюсти и к «парастилиду», если на верхней. Повсеместно принятым сегодня является то, такие образования берут начало из пришеечной области зуба и вариабельны по внешнему виду. Часто эти структуры появляются на щечной поверхности мезиобуккального бугорка и достаточно редко на дистобуккальном бугорке. Считается, что парамолярные бугорки могут брать начало из остатков собственного эпителия или же являться генетическим остатком от млекопитающих и низших приматов.
Сверхкомплектные зубы могут прорезываться нормально, оставаться импактными, появляться повернутыми по оси или с другими аномалиями. Сверхкомплектные зубы с нормальным положением в кости обычно прорезываются. Однако только 13-34% сверхомплектных зубов из постоянного прикуса прорезываются нормально, по сравнению с 73% в молочном прикусе. Остальные могут оставаться ретенированными и вызывать осложнения.
Развитие осложнений может вызывать задержку прорезывания ассоциированных постоянных зубов, ретенцию, эктопическое прорезывание, диспозицию, ротацию рядом стоящих зубов, скученность из-за недостаточного места для прорезывания, малокклюзию из-за уменьшения места в зубной дуге при прорезывании парамоляров, тремы в области моляров, травмирующий прикус и изъязвление слизистой щеки при буккальном расположении парамоляров, трудности при ортодонтическом лечении, патологическое развитие корня ассоциированных постоянных зубов, формирование фолликулярных кист из фолликулярного мешка сверхкомплектного зуба, невралгию тройничного нерва из-за компрессии, некроз пульпы и резорбцию корней из-за излишнего давления парамоляра, кариес по причине скопления зубного налета, воспаление десны и локализованный пародонтит. Как видно из описанного случая, из-за ретенции зубного налета произошло кариозное поражение парамоляра и воспаление окружающего пародонта.
Большинство сверхкомплектных зубов импактные и обычно обнаруживаются случайно при рентгенологическом исследовании. Однако если пациент обращается с осложнениями, которые часто связаны с наличием сверхкомплектного зуба, стоматолог должен учитывать данную аномалию в дифференциальном диагнозе и настоять на соответствующем рентгенологическом исследовании.
Наиболее ценным рентгенографическим исследованием является ОПГ с дополнительными прицельными снимками и снимками верхней и нижней челюсти в окклюзионной плоскости. Для четкой локализации непрорезавшегося зуба используют технику вертикального или горизонтального параллакса. Параллакс - это изменение обзора объекта на определенном фоне, основанное на перемещении обозревателя. Данная техника может быть осуществлена путем изготовления снимков одной зоны, но с разных углов двумя разными аппаратами. При использовании этого метода, как правило, точкой отсчета является корень примыкающего зуба. Вдобавок возможно использование конусно-лучевого КТ. Эта технология дает трехмерное изображение структур указанной зоны и является невероятно информативной при описываемой аномалии.
Клиническое ведение пациентов с парамолярами зависит от позиции зуба и его влияния на окружающие ткани и важные анатомические структуры. Лечение предлагает две опции: удаление или наблюдение. Наблюдение не включает в себя никаких манипуляций кроме клинического и рентгенологического мониторинга пациента. Такой способ является преимущественным, если наличие парамоляра бессимптомно и не вызывает никаких неудобств. Если же возникают какие-либо осложнения, желательным является удаление зуба. В описанном случае мы прибегли к экстракции зуба с целью поддержания должного уровня гигиены, предотвращения кариозного процесса и для сохранения окружающего пародонта.
Заключение
Стоматологу необходимо знать о различных типах сверхкомплектных зубов для правильной диагностики и своевременного обнаружения данной аномалии. Каждый такой случай нуждается в тщательном диагностировании и последующем подходящем лечении, которое вызывает минимальные осложнения.
Авторы: Gurudutt Nayak, Shashit Shetty, Inderpreet Singh, Deepti Pitalia
Кафедра консервативной стоматологии и эндодонтии, Kanti Devi Dental College and Hospital, Mathura, Uttar Pradesh, India
Компьютерная томография в эндодонтии: образец современного лечения
Рентгенография является важным аспектом успешной диагностики одонтогенной и неодонтогенной патологии, лечении пульповой камеры и корневых каналов через коронковый доступ, биомеханической обработки корневых каналов, окончательной обтурации каналов и оценки проведенного лечения. Изображения требуются на протяжении всего эндодонтического лечения. Получение снимка до вмешательства требуется для правильной оценки твердых тканей зуба и альвеолярного отростка, а также степени патологического повреждения и постановки верного диагноза. Далее получение изображений на протяжении всего лечения также является необходимым. Изготовление снимка по окончанию лечения позволяет оценить проведенные манипуляции. Kells впервые сообщил об использование токопроводящего проводника в корневом канале в «радиограмме» в 1899 году.

С тех пор радиология всегда играла ключевую роль в эндодонтии. Теперь, столетие спустя, на основе первых попыток были изобретены компьютерная томография (КТ) и микро-КТ, а презентация в 1996 конусно-лучевой компьютерной томографии (КЛКТ) позволила получать 3D изображения, так необходимые в стоматологической практике.
Эта новая возможность получения изображения в трехмерном измерении значительно повысила уровень терапии в стоматологии по всему миру. КЛКТ постепенно становится золотым стандартом в обеспечении точной постановки диагноза, составления плана лечения и проведения лечения. Конусно-лучевая техника на настоящий момент имеет множество областей применения в стоматологии, это и планирование имплантации, хирургическая оценка патологии, оценка ВНЧС, выявление роста и развития для ортодонтических целей, дооперативная, оперативная и послеоперативная оценка при краниофациальной травме, краниофациальная реконструкция и хирургия полости рта. Вдобавок, КЛКТ используется для выявления точной локализации инородного тела в мягких тканях, выявлении расщепленной губы и неба, а также глубины кариозного поражения. КЛКТ становится типичным инструментом в деятельности хирурга, особенно имплантолога.
Ограниченность двухмерных изображений
Изображение, полученное на обычном радиографе представляет собой двухмерную (2D) интерпретацию трехмерного (3D) объекта. Характеристики трехмерного объекта, такие как сложная дентальная анатомия и строение окружающих тканей, могут быть трудно различимы в качестве «теней» 2D снимка, что может привести к неправильному эндодонтическому лечению. При анализе 2D снимка все изображения весьма вольно интерпретируются, внося аспект субъективности. Ограниченность дентальной рентгенографии также может быть обусловлена ошибкой рентгенолога. Любые неточности в получении изображения, начиная от неправильной ангуляции и заканчивая неверной конфигурацией зуба по отношению к сенсору, могут приводить к ошибкам при интерпретации снимков. Такие изображения плохого качества имеют артефакты и способствуют неправильной постановке диагноза. Многие исследователи, в том числе Goldman, подтвердили низкую корреляцию (47%) среди всех специалистов, проводивших лечение периапикальной патологии, прибегая к дентальной рентгенографии.
Конусно-лучевая компьютерная томография
КЛКТ используется в стоматологии начиная с 1981 года. В отличие от обычного КТ, которое создает изображение на разных слоях, КЛКТ создает изображение в 3D пикселях называемых воксель. Так как эти воксели являются изотропичными, объект тщательно измеряется в различных направлениях. Это позволяет визуализировать геометрически неискаженное изображение челюстно-лицевой области, которое возможно просматривать при разных углах. Вдобавок для обеспечения высокого разрешения изображения, КЛКТ доступно для просмотра с разных точек (FOV) для применения в различных ситуациях. В эндодонтии аппарат с ограниченным FOV обычно является достаточным. Обычно, чем меньше объем скана, чем выше пространственное разрешение изображения. Так как ранний симптом периапикальной патологии это прерывистость твердой пластинки и расширение периодонтальной щели, оптимальным разрешением при получении КЛКТ изображения, применяемом в эндодонтии, не должно превышать 200 нм - средняя ширина периодонтального пространства. 3D Accuitomo (K Morita, Corporation, Kyoto, Japan) - первая из малых FOV систем - обеспечивает разрешение в 0,125 мм. Orthophos XG3D (Sirons Germany) также обеспечивает получение FOV 5*5 специально для эндодонтических целей.
КЛКТ дает гораздо меньшую радиационную нагрузку, чем обычный КТ. Экспозиционная доза при проведении цифровой радиографии сравнима с получение обычных диагностических панорамных или прицельных снимков. Получение изображений для всей полости рта облучает примерно на 150 usv. Очевидно, что скан КЛКТ одного зуба с высоким разрешением, примененный в диагностическом процессе, заменяет 3 прицельных снимка. Трудно представить, что экспозиционная доза может быть более важным моментом, чем получение КЛКТ в благоразумной манере для получения информации, которая просто недоступно при работе с другими приборами.
КЛКТ в эндодонтии
1. Оценка морфологии корневого канала
Успех эндодонтического лечения зависит от обнаружения всех корневых каналов, а затем их оценки, очистки, обработке и обтурации. Частота встречаемости второго мезиобуккального канала (MB2) в верхних первых молярах варьирует от 69% до 93% в зависимости от выбранного метода исследования. Эта вариабельность возникает в букколингвальной плоскости, где наложение анатомических структур препятствует определению структур с малой разницей в плотности тени. Обычная рентгенография в самом лучшем случае может выявить только 55% этих конфигураций.
Ramamurthy и Matherene описывают ограниченность 2D изображений для определения MB2 каналов (Фото 1).
Фото 1: изображение MB2 в обоих первых молярах

Исследование, проведенное Neelkantan среди индийской популяции, обнаружило, что MB2 канал наиболее типичен для первого верхнего моляра по сравнению со вторым. Также IV анатомический тип канала встречается чаще, чем в монголоидной популяции.
Baratto Filho исследовали внутреннюю морфологию удаленных первых моляров верхней челюсти, сравнивая с данными, полученными при осмотре в микроскоп и при получении изображений КЛКТ ex vivo. Отчеты показали наличие 4-х каналов в 67,14% зубов и дополнительные корневые каналы в 92,85 % случаев в мезиобуккальном корне. Клиническая оценка показала слегка сниженный общий показатель (53,26%), но повышенный показатель выявления MB2 (95,63%), в то время как применение КЛКТ показало 37,05%. Ученые сделали вывод, что КЛКТ является хорошим методом для начальной оценки внутренней морфологии первого верхнего моляр, но для выявления устьев самым оптимальным способом является применение микроскопа. КЛКТ также применялся для выявления высокой встречаемости дистолингвального канала у Тайванцев, выявления аномалий в системе корневых каналов нижних премоляров, и помощи в выявлении искривлении корня (Фото 2).
Фото 2: Аксиальное изображение каналов C-формы во вторых молярах

С изобретением нового программного обеспечения для КЛКТ Orthophps CG3D/Galelios (Sirona, Germany) рабочая длина каналов также стала осуществляема. Но точность этих данных в клинической работе еще должна быть подтверждена (Фото 3).
Фото 3: Инструмент для измерения длинны корневого канала

2. Патологии в периапикальных тканях
Наиболее частым патологическим состоянием, затрагивающим зубы является воспалительные процессы пульпы и периапикальных областей. Технология КЛКТ теперь предоставляет клиницисту возможность обозревать нужную зону в трех различных плоскостях, тем самым получая 3D информацию. Поражения, заключенные в губчатом веществе кости с малым количеством или отсутствием кортикальной пластинки, на обычной пленке могут быть диагностированы с большим трудом. Lofthag-Hansen, Stavropoulos и Wenzel сравнили точность получаемых данных при КЛКТ с ограниченным FOV и обычными снимками.
Ученые сообщили, что КЛКТ предоставляет более точные диагностические данные (61%) по сравнения с цифровыми (39%) и обычными (44%) рентгенограммами. Но, несмотря на то, что данные КЛКТ являются более точными, исследователи не призывают к полному вытеснению обычной внутриротовой рентгенографии для выявления периапикальных изменений в обычной клинической практике из-за финансовой и вредностной составляющих. Estrela и коллеги предложили использовать периапикальные индексы, основанные на КЛКТ, для идентификации патологий (Фото 4-6).
Фото 4: Периапикальная киста в переднем сегменте нижней челюсти
А: 3D изображение, показывающее большую кистозную полость
B: Изображение секционного распила, показывающее утрату кортикальной пластинки
C: Аксиальный вид, демонстрирующий утрату кортикальной пластинки с лабиальной стороны и интактную пластинку с лингвальной.

Фото 5: Хронические периапикальные абсцессы около первого правого нижнего моляра

Фото 6: Поражение периодонтальных тканей около левого верхнего второго моляра

Система индексов КЛКТ состоит из 6 ступеней (0-5), исходящих из определения самого большого размера повреждения в каком либо из измерений, и принятие в расчет расширение и разрушение кортикальной кости.
Применяя данный индекс, Low пришел к выводу, что в обнаружение периапикальных патологий лучше использовать КЛКТ недели обычную рентгенографию.
КЛКТ с градиентом теней может оказать помощь в дифференциальном диагнозе кисты и гранулемы. В целом способность выявлять патологии у КЛКТ так же высока, как и у простой КТ. Этот способ может стать важным для пациентов, обращающихся с болевым синдромом или с неточно локализованными жалобами в области ранее леченных или не леченных зубов, на обычном рентгене которых патология не выявляется.
3. Переломы корня
Достаточно тщательно изучена польза и важность КЛКТ в процессе постановки диагноза и ведения зубоальвеолярной травмы, особенно переломах корня, люксации, смещения и переломе альвеолярного отростка.
КЛКТ найдено применение конкретно при диагностике перелома корня зубов.
(Фото 7,8) Высокая важность КЛКТ в определении вертикальных и горизонтальных переломов корня были также описаны в литературе. Элиминация наложения анатомических структур позволяет клиницисту четко анализировать перелом. Вдобавок, 3D реконструкция может быть осуществлена как зубочелюстной системы, так и альвеолярной кости.
Фото 7: Перелом корня в эндодонтически леченом верхнем правом втором моляре
А: ОПГ, показывающая ранее леченые каналы верхнего правого первого моляра
B: Аксиальное изображение, демонстрирующее линию перелома по небному корню
С: Секционный снимок, показывающий косую линию перелома небного корня

Фото 8: горизонтальный перелом правого верхнего центрального моляра
А: 3D изображение, демонстрирующее линию перелома у соединения средней и апикальной трети корня
B: Аксиальный снимок, показывающий горизонтальную линию перелома в передней части верхнего правого центрального резца
С: Косая линия отлома, распространяющаяся от мезиального каря центрального резца на секционном снимке.

4. Резорбция корня
Резорбция корня это утрата твердых тканей зуба в результате активности остеокластов. Это может происходить в рамках физиологического или патологического процесса. Корневая резорбция может быть классифицирована на внешнюю и внутреннюю, в зависимости от локализации процесса относительно поверхности корня. Первые данные о внутренней резорбции получены в 1830. В сравнении с внешней резорбцией внутренняя является весьма редким процессом, этиология которого до конца не изучена. Точность КЛКТ при определении дефектов поверхности хоть и является более высокой по сравнению со стандартной техникой, но, все же, не идеальна и повышается при повышении разрешения вокселей снимка. КЛКТ также показала свою состоятельность при оценке постортодонтической апикальной резорбции, в частности корней латеральных резцов верхней челюсти при импактных клыках.
На КЛКТ внешняя резорбция проявляется как неравномерная рентгенопрозрачность и интактный канал зуба, внутренняя же резорбция выглядит как четкий очаг без прослеживания корневого канала.
КЛКТ с успехом применяется для определения внутренней резорбции и дифференциации ее от внешней. Обычная рентгенография часто не может выявить верный объем распространения, локализации и источник резорбтивного процесса. КЛКТ помогает в определении с тактикой лечения, а также предлагает составить верный прогноз на основе активности и распространенности поражения. И лечение, и результат лечения таким образом становятся более предсказуемыми.
5. Послеоперационная оценка
Мониторинг заживляющего процесса апикальных поражений является важным аспектом в послеоперационном этапе эндодонтии. Также адекватная обтурация корневого канала - это важная детерминанта эндодонтического успеха. Можно заявить, что КЛКТ весьма полезна как при начале лечения, так и при отслеживании последующего состояния зуба. Sogur сообщает, что изображения, полученные при обычном рентгенологическом исследовании в послеоперационном периоде являются более информативными, чем КЛКТ. Этот факт ученый объясняет наличием большого количества артефактов на снимках КЛКТ, обусловленных присутствием гуттаперчи и силлера в каналах (Фото 9).
Фото 9: Артефакты обтурированных корневых каналов

Применение КЛКТ в определение точного места перфорации и ее роли в дальнейшем плане лечения проиллюстрировал Young (Фото 10).
Фото 10: Перфорация корня, хорошо заметная на аксиальном снимке

Преоперативная оценка периапикальных тканей является важным этапом для предотвращения осложнений. Близкое расположение апекса к нижнечелюстному каналу, ментальному отверстию и гайморовой пазухе может быть оценено именно на снимках КЛКТ. Rigolone был первым, кто описал важность КЛКТ для планирования эндодонтического вмешательства.
Важность КЛКТ для апикальной хирургии зубов, близко прилежащих к верхнечелюстной пазухе, последовательно была показана Nakata, который продемонстрировал клинический случай локализации перирадикулярной патологии у конкретного корня. Tsurumachi и Honda описали применение КЛКТ в локализации отломка эндодонтического инструмента, прошедшего в верхнечелюстную пазуху.
Несмотря на очевидные преимущества технологии КЛКТ в стоматологии, можно также отметить и некоторые недостатки и ограничения. Технология КЛКТ на настоящий момент не является широко доступной. Постепенно с внедрением и осваиванием специалистами КЛКТ станет более распространенным способом диагностики. Хотя эта техника находится на рынке уже несколько лет, она продолжает оставаться дорогостоящей. Для большинства эндодонтических манипуляций достаточно только малое FOV 4*4 мм.
Лимитирование FOV позволяет не только сократить дозу облучения, время сканирования и артефакты, но также сфокусироваться на структурах, знакомых стоматологам. Что же ожидается в будущем касательно эндодонтии к КЛКТ? Захотят ли стоматологи сами приобретать аппарат или получать снимки специального радиолога из центра, не известно. Совершенно ясно только одно: все больше и больше стоматологов внедряют в свою практику применение КЛКТ.
Автор: Sushma Prashant Jaju, BDS, MDS
Operative Dentistry and Endodontics, Dentocare multispeciality Dental Clinic, Nashik, Maharashtra, India
Читайте также:
