Рентгенограмма, МРТ, УЗИ при импиджмент-синдроме переднего отдела голеностопного сустава
Добавил пользователь Евгений Кузнецов Обновлено: 21.11.2025
Рис.1. Графическое изображение голеностопного сустава демонстрирует разрастание фиброзных мягкотканных масс в переднелатеральном отделе.
Анатомический препарат поврежденной, утолщенной и фиброзированной связки Бассета.
Патогенез
Рис. 2. Патогенез передне-латерального импинджмент-синдрома ГСС
Рис. 3. МРТ ГСС, аксиальные сканы: 2 типа передне-латерального импинджмент-синдрома - фибриллярный и нодулярный.
Визуализация
МРТ, КТ, УЗИ, рентгенография.
Лучевая диагностика
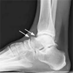
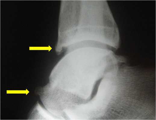
Рентгенография, КТ позволяют визуализировать краевые остеофиты и свободные внутрисуставные костные фрагменты.
УЗИ-семиотика: мягкотканные фиброзные массы в переднелатеральном пространстве голеностопного сустава - образование неоднородной эхогенности с бугристыми контурами, утолщение и неоднородный сигнал от передней таранно-малоберцовой связки
МРТ-семиотика
Т1-ВИ: скопление жидкости в переднелатеральном пространстве, фиброзная ткань выглядят гипоинтенсивными, свободные костные тела гиперинтенсивны;
Т2-ВИ, PD-FS: скопление жидкости в переднелатеральном пространстве выглядит гиперинтенсивным, фиброзная ткань изогипоинтенсивна; утолщение, разволокнение передней таранно-малоберцовой связки и/или связки Бассета - изогипоинтенсивный на PD-FS.
Импинджмент голеностопного сустава
Область голеностопа - важная часть опорно-двигательного аппарата. С помощью голеностопного сустава рационально распределяется по стопе вес тела при передвижении в вертикальном положении, обеспечивается высокая маневренность при ходьбе и беге, становятся возможными многие движения.
Различные поражения голеностопа значительно снижают уровень жизни человека, вредят его работоспособности и могут даже приводить к инвалидизации.
Одно из таких патологических состояний - импинджмент.

Импинджмент голеностопного сустава - что это
В образовании голеностопного сустава участвует сразу три костные структуры: больше- и малоберцовая кости, таранная кость. При их адекватном взаимодействии между собой пациент не замечает сбоев в работе сустава. Однако бывает и так, что край таранной кости начинает ударяться о край большеберцовой кости. Происходит это в состоянии крайнего сгибания или разгибания, и также помогает развитию этой патологии травма сочленения.
Подобное состояние в медицинской практике называют импинджмент голеностопного сустава.


Причины недуга
Ущемление капсулы сустава вместе с синовиальной оболочкой в области голеностопа, приводит к развитию импинджмента. В местах, где происходит сдавливание, начинают разрастаться остеофиты (иначе их называют костными шипами), развивается активный воспалительный процесс.
Наличие остеофитов приводит к еще большему уменьшению естественного пространства между таранной и большеберцовой костями. Как следствие, капсула сустава и синовиальная оболочка страдают еще сильнее, выраженность воспалительного процесса возрастает, усиливается болевой синдром.
Выделяют три основные причины, которые способствуют развитию патологического состояния:
- наличие врожденной предрасположенности у пациентов;
- перенесенные и неправильно пролеченные травмы голеностопного сустава;
- наличие хронического воспалительного процесса, спровоцированного другими факторами.
Любая из причин может способствовать негативным изменения в суставе. Как следствие, человек столкнется с симптомами заболевания, и будет значительно страдать.
Типы и степени импинджмента
Выделяют два основных типа импинджмент-синдрома: передний и задний.
Передний импинджмент - это в основном следствие травматического повреждения связочного аппарата голеностопа. Любая нестабильность сочленения, даже если она выражена совсем слабо, помогает его травматизации в положении крайнего разгибания.
По статистике, от переднего импинджмента в основном страдают атлеты. У них недуг спровоцирован частой высокой нагрузкой на переднюю часть сустава, что вызывает постоянные его повреждения. В первую очередь при данном недуге уменьшается амплитуда разгибания сочленения.

Задний импинджмент часто связно с анатомическими особенностями строения голеностопа и травмами. Задний тип импинджмента характерен в основном для балетных танцоров. Ведь во время этого танца человек вынужден много ходить на кончиках пальцев, что приводит к сильному сгибанию голеностопного сустава в задней части и, как следствие, к травматизации.
О существовании заднего импинджмента часто забывается, хотя на самом деле заболевание может привести к серьезным нарушениям функции сочленения.
Недуг можно также разделить на несколько степеней:
- I степень - характеризуется наличием шпоры размером до 3 мм на большеберцовой кости, носит название синовиальной степени;
- II степень - остеохондральная, размер шпоры превышает отметку в 3 мм;
- III степень - можно определить экзостозы с фрагментацией или без нее, шпора появляется также на таранной кости;
- IV степень - развиваются изменения, характеризующие артрозы.


Симптоматика
Ранняя стадия заболевания всегда характеризуется болевым синдромом. Боль характеризуется пациентами, как тупая, возникающая в основном при попытках совершить определенные движения. По мере прогрессирования патологии можно отметить также наличие следующих симптомов:
- ограничение подвижности сустава;
- изменения в походке пациента и нарушение опороспособности конечности, которые вызваны в основном болевым синдромом;
- постепенное уменьшение тонуса конечности;
- отечность вокруг поврежденного сустава;
- деформация сустава в последних стадиях.
Симптоматика обычно выражена довольно сильно. В зависимости от типа болезни, боль могут усиливать просьбы согнуть или разогнуть конечность резко до предела.
Диагностика
При подозрении у пациента импинджмента голеностопного сустава, всегда врач начинает с осмотра пораженной зоны. В первую очередь он может попросить больного совершить сгибательные и разгибательные движения в суставе, чтобы оценить подвижность сочленения. При этом обязательно будет уточнено, испытывает ли пациент боли при подобных движениях. Нередко выполняется стресс-тест, при котором пациента просят сесть на корточки и спрашивают, появились ли боли. Если есть подозрение на задний тип болезни, то вместо просьбы присесть на корточки, можно услышать просьбу встать на носочки.
Пациенту обязательно назначают рентгенограмму. На рентгенологическом снимке доктор легко увидит остеофиты - костные разрастания, появившиеся из-за воспалительного процесса. Дополнительно выполняется снимок в стрессовом положении. На нем доктор определит, есть ли соударение костей.
МРТ для диагностики недуга не является обязательным исследованием. Его выполнение рекомендуется, если необходимо провести дифференциальную диагностику с другими патологиями либо в начальных стадиях патологии.
Особенности лечения
Консервативные методы
Терапию стоит начинать, как только появятся первые же симптомы патологических изменений в сочленении. Именно раннее начало лечения, уберегает от необходимости решать проблему хирургически!
В консервативную терапию включают:
Оперативное вмешательство
Сегодня можно выполнять операции при импинджменте артроскопически. Подобный подход характеризуется меньшей травматичностью и, как следствие, более быстрым восстановлением после операции.
В ходе артроскопической операции доктор выполняет удаление остеофитов, ущемляющийся мягкие ткани, которые только сильнее воспаляют поврежденный сустав. Также обрабатываются вовлеченные в патологический процесс хрящи, вымываются уже отмершие поврежденные ткани, освобождаются вовлеченные в процесс сухожилия.
Хоть артроскопия - операция, отличающаяся малой травматичностью в сравнении с открытыми операциями на суставах, но лучше обратиться к врачу с первыми же симптомами болезни и пройти консервативную терапию, чем ложиться на операционный стол!
Послеоперационная реабилитация
Реабилитация после операции влияет на то, как произойдет восстановление, и насколько эффективным окажется вмешательство в целом. В нашей клинике пациенты могут получить полный курс лечения (от обследования и операции, до реабилитации и полного восстановления). Врач берет под контроль реабилитационный процесс, и пациент, если он соблюдает все рекомендации, может не волноваться о том, что что-то пойдет не так.
Пациент получает рекомендации по лечебной физкультуре, которая поможет быстрее восстановить нормальную амплитуду движений в суставе и вернуться к активной жизни. Наиболее активная реабилитация под присмотром доктора начинается после того, как будет снята фиксирующая повязка (ортез)!
Импинджмент голеностопного сустава - не важно, передний он или задний - заболевание, которое может значительно снизить качество жизни человека.
Мы рекомендуем обращаться к травматологу-ортопеду при первых же симптомах недуга, чтобы сразу взять болезнь под контроль!
Если патологию запустить, лечение окажется сложным и долгим.
Синовит голеностопного сустава
Голеностопный сустав или, как его еще называют в народе, голеностоп - сочленение, являющееся важным элементом опорно-двигательного аппарата. Во многом благодаря этому суставу люди могут полноценно и прямо ходить, совершать различные маневры, которых требует ситуация. За счет голеностопного сустава обеспечивается правильное и рациональное распределение нагрузки на область стопы. Благодаря этому она выдерживает вес всего человеческого тела.

Что такое синовит голеностопного сустава
В образовании голеностопного сустава участвует сразу несколько анатомических образований. Из-за этого сочленение принято относить к категории сложных. В формировании участвуют:
- три кости - мало (латеральная лодыжка) — и большеберцовая (медиальная лодыжка), таранная;
- суставные связки, обеспечивающие стабильность, капсула, синовиальная оболочка.
Естественно, только гармоничная работа всех составляющих частей анатомического образования обеспечивает правильное выполнение его функций. Однако в некоторых случаях функциональность сильно нарушается. Происходит это, например, при развитии синовита голеностопного сустава.
Синовит голеностопного сустава - это воспалительный процесс в суставе, который в первую очередь затрагивает синовиальную оболочку.


Далеко не все пациенты понимают, что представляет собой воспаление синовиальной оболочки. На самом деле все довольно просто! Синовиальная оболочка покрывает сустав в норме с внутренних сторон. Благодаря ней обеспечивается нормальный обмен веществ в хрящах, которые лишены собственных сосудов. Также синовиальная оболочка выделяет специальную жидкость, которая известна, как синовиальная. Жидкость играет роль амортизатора, снижая урон, получаемый анатомическими образованиями из-за трения.
Как только синовиальная оболочка воспаляется, жидкость начинает продуцироваться в больших, чем это нужно, объемах. В результате сочленение увеличивается в размерах из-за отека, начинает болеть, пациент испытывает выраженное ограничение в подвижности сустава.
Причины
Поражение синовиальной оболочки воспалительным процессом - проблема, с которой в течение жизни сталкиваются далеко не все люди. Врачи выделяют ряд факторов, которые способствуют развитию болезни.
Травмы
Среди основных причин развития болезни называют травматизацию. Чаще всего к синовиту приводят растяжения и разрывы связок, переломы в области голеностопного сустава.
Врожденные дефекты
Нередко в практике травматолога-ортопеда встречаются врожденные дефекты, способствующие развитию болезни. Это может быть, например, вальгусная деформация стопы или плоскостопие. В этом случае происходит неверное распределение нагрузки, что и ведет к воспалению.
Заболевания
Остеохондропатия таранной кости. В результате деформируются суставные поверхности, может образоваться свободный костно-хрящевой суставной фрагмент. Вышеперечисленные факторы становятся причиной синовита.
Обувь
Способствовать развитию симптомов синовита способна неверно подобранная обуви. По этой причине от болезни страдают женщины, вынужденные носить обувь на высоком каблуке, из-за которой нагрузка на область голеностопного сустава очень высока.
Высокие физические нагрузки
Еще один немаловажный фактор, это интенсивные физические нагрузки. Сустав не обладает бесконечным запасом прочности, и рано или поздно его функциональные возможности начинают снижаться, что ведет к появлению неприятных симптомов.
Виды синовита голеностопного сустава
Как и любой другой недуг, воспалительный процесс в голеностопном суставе делится на несколько разновидностей.
Первая классификация основана на выраженности симптомов и скорости накопления жидкости. Различают острую и хроническую патологию. В первом случае жидкость накапливается вследствие какого-либо негативного воздействия в короткий промежуток времени. Симптомы в этом случае выражены ярко, их сложно игнорировать.
Во втором случае жидкость в полости сустава скапливается медленно. В результате симптомы могут быть или вовсе выражены слабо, или развиваться по нарастающей. Хронический недуг протекает волнообразно: периоды ремиссии сменяются обострениями с довольно выраженной симптоматикой.
Вторая классификация, базируется на причине, которая послужила толчком для развития воспалительного процесса. Выделяют:
- инфекционную форму, которая развивается из-за попадания в суставную полость патологических микроорганизмов и сопровождается симптомами общей интоксикации, недомоганием, разбитостью;
- трофическую форму, которая в основном встречается у пациентов, которые в течение длительного времени страдают от декомпенсированного сахарного диабета, не беря болезнь под контроль, характеризуется в первую очередь нарушением кровоснабжения с последующим развитием воспаления;
- травматическую (посттравматическую) форму, которая развивается из-за неправильного лечения травмы сочленения (давность получения травмы для развития синовита не имеет решающего значения, сустав страдает, даже если травма была годы назад);
- аутоиммунная форма, которая является следствием агрессии собственного иммунитета человека на суставные ткани (в области голеностопа встречается нечасто, но исключать ее нельзя) и др.
Дополнительно для классификации недуга используют оценку состава суставной жидкости. Болезнь бывает фибринозной, серозной, гнойной или геморрагической.
Симптомы
Признаки болезни, независимо от ее происхождения, одинаковы. Правда, появляться они могут в разные временные промежутки. Симптомы, характерные для синовита - это:
- повышенная утомляемость при нагрузках, с которыми ранее человек легко справлялся;
- чувство дискомфорта в проблемной зоне;
- боль, локализующаяся в области голеностопа, способная затрагивать окружающие ткани при выраженном отеке;
- покраснение и отечность области, вовлеченной в патологический процесс;
- возможно повышение температуры и появление симптомов общей интоксикации (при инфекционной форме).
Выраженность симптомов зависит от стадии болезни. Первым тревожным звоночком всегда выступает боль, первоначально появляющаяся только при совершении вращательных движений. Постепенно боль нарастает настолько, что сопровождает пациента даже в покое, нарушая сон и нормальную жизнедеятельность в целом.
Синовит голеностопного сустава не начинают лечить до тех пор, пока диагноз не будет подтвержден. Используются следующие методы диагностики в комплексе, что позволяет поставить точный диагноз и исключить ошибки:
Визуальная оценка
Осмотр сочленения - обязательный этап диагностического поиска. Причем оно оценивается не только в состоянии покоя, но и в движении. Например, при ходьбе или выполнении каких-либо простых действий.


Инструментальные методики
Порой припухлость окружающих тканей настолько сильная, что оценить сустав становится сложно. В этом случае в качестве вспомогательных мер используются УЗИ, МРТ, рентгенография.


МРТ голеностопного сустава
Выполнение пункции
Метод получения внутрисуставной жидкости носит не только диагностический, но и лечебный характер. С одной стороны, доктор может оценить бактериальный состав синовиальной жидкости, выявить инфекционный агент, если он есть. С другой стороны, из полости сустава удаляют излишки жидкости, которые мешают нормальному функционированию, что облегчает симптомы болезни.
Только после того, как врач будет уверен в диагнозе, он приступит к выбору оптимального лечения.
Консервативная терапия
В лечении синовита голеностопного сустава сначала необходима попытаться купировать патологическое состояние с помощью консервативных методик. Для этого:
- пациента учат правильно фиксировать пораженный сустав, чтобы уменьшить нагрузку;
- проводят физиотерапевтические мероприятия, которые помогут снять воспаление и улучшат процессы регенерации;
- подбирают лекарственные препараты, которые смогут купировать болевой синдром и устранить отечность пораженной области;
- после наступления устойчивой ремиссии рекомендуют курсы лечебной физкультуры, чтобы улучшить подвижность сустава, предотвратить рецидивы болезни.
Частью консервативной терапии может выступать также пункция суставной жидкости. С помощью удаления излишков жидкости удается улучшить функциональность сустава. Однако пункция - мера, дающая лишь временный результат. Лечение в любом случае должно быть направлено на устранение причин патологии. Например, может потребоваться устранение инфекции с помощью антибиотиков или борьба с аутоиммунным процессом.
В ходе вмешательства больному удаляют из сустава синовиальную оболочку, пораженную воспалительным процессом. Если причина синовита посттравматические изменения, в ходе операции устраняются эти причины. Операция считается сложной, а на восстановление после нее требуется до полугода. Из-за этого хирургия - крайняя мера решения проблемы.
Только своевременное посещение компетентного травматолога-ортопеда, гарантирует снижение риска развития осложнений.
Синовит поддается лечению!
Главное - не пропустить симптомы развития болезни.
Импинджемент-синдром голеностопного сустава: общая информация
Импинджмент-синдром (impingement syndrome, Neer С.S., 1972) - патологический процесс, развивающийся вследствие стрессовых нагрузок, морфологически обусловленный гипертрофией мягкотканных и/или костных структур, проявляющийся хроническим болевым синдромом и ограничением объема движений в голеностопном суставе.
Классификация
По анатомической локализации патологически измененных структур выделяют следующие варианты импинджмент-синдрома голеностопного сустава:
Патогенез и патоморфология
Соударение, компрессия и микротравматизация уже поврежденных мягкотканных и костных структур вызывает их реактивное воспаление и гипертрофию с формированием фиброзных мягкотканных масс в полости сустава. Фиброзные массы и патологически измененные связки при определенных движениях сдавливаются рядом расположенными костями голеностопного сустава, вызывая болевой синдром. Нередко происходит формирование краевых остеофитов и свободных костно-хрящевых тел в зоне патологических изменений, как результат повторяющейся микротравматизации сочленяющихся суставных поверхностей костей и хронического воспалительного процесса, что приводит к ограничению движений в суставе. Пусковым механизмом в развитии этого синдрома является хроническая перегрузка или травма голеностопного сустава. В ряде случаев причиной развития импинджмент-синдрома голеностопного сустава является повреждение дополнительных связок или сверхкомплектных костей.
УЗИ, рентгенография, КТ, МРТ, артроскопия
Клинические проявления
Клинически передний и передне-латеральный импинджмент-синдром проявляется болевым синдромом, отечностью переднего и передне-латерального отдела сустава, ограничением тыльного сгибания при переднем импинджмент-синдроме. Задний импинджмент-синдром проявляется в виде отечности сустава, ограничения движений, особенно подошвенного сгибания стопы, постоянными болями, усиливающимися при физических нагрузках, как правило, в заднемедиальном отделе сустава.
Импиджмент-синдром ( Субакромиальный синдром )
Импиджмент-синдром (субакромиальный синдром) - это патологическое состояние, при котором сухожилия вращательной манжеты плеча и двуглавой мышцы во время движений ущемляются между акромионом и головкой плечевой кости. Заболевание проявляется усиливающимися болями, нарастающим ограничением движений, снижением силы мышц плеча. Из-за травматизации сухожилий со временем происходит их дегенерация, которая становится причиной разрыва. Патология диагностируется на основании опроса, осмотра, результатов рентгенографии, МРТ и КТ. При первых проявлениях показано ограничение нагрузок, блокады, физиотерапия. В посл едующем требуются операции - субакромиальная декомпрессия и акромиопластика.
МКБ-10



Общие сведения
Импиджмент-синдром, или субакромиальный синдром, является одной из наиболее распространенных причин развития болей в области плечевого сустава у взрослых людей. Клинически значимые формы чаще диагностируются у мужчин старше 40 лет, занятых тяжелым физическим трудом. В молодом возрасте патология иногда встречается у спортсменов. Из-за постепенного начала и незначительной выраженности болевого синдрома на начальных стадиях пациенты нередко обращаются за помощью только после развития грубых комплексных изменений сустава, что негативно влияет на результаты лечения.

Импиджмент-синдром - полиэтиологическое заболевание. Основными причинами развития патологии являются:
- врожденные особенности расположения и формы акромиона;
- наличие остеофитов в области акромиально-ключичного сустава;
- утолщение мышцы, расположенной по переднему краю акромиона;
- посттравматическая деформация костей надплечья;
- артроз, поражающий акромиально-ключичный сустав;
- хронический бурсит;
- воспалительный процесс в области вращательной манжеты;
- оссификация сухожилий мышц, входящих в состав ротаторной манжеты;
- нестабильность плечевого сустава.
Из-за врожденных или приобретенных анатомических особенностей уменьшается подакромиальное пространство либо сужается выходное отверстие, через которое проходит надостная мышца. В результате при движениях головка плеча сталкивается с акромионом, что приводит к ущемлению сухожилий. Постоянная травматизация обуславливает воспаление и развитие дегенеративных изменений. В процесс вовлекаются окружающие структуры, патология приобретает комплексный характер.

С учетом изменений ротаторной манжеты плеча выделяют 3 стадии импиджмент-синдрома:
- 1 стадия. В тканях формируются кровоизлияния, возникает локальный отек тканей при сохранении целостности сухожилий.
- 2 стадия. При морфологическом исследовании сухожилий обнаруживаются признаки хронического воспаления, фиброзных изменений. Возможны надрывы.
- 3 стадия. В области окружающих костных структур образуются остеофиты. Мягкие ткани дегенеративно изменены. Незначительная или умеренная нагрузка может стать причиной разрыва сухожилия.
Симптомы импиджмент-синдрома
Вначале пациенты отмечают дискомфорт в плечевом суставе на фоне интенсивных физических нагрузок. После отдыха неприятные ощущения исчезают. В последующем дискомфорт сменяется болью, появляющейся преимущественно при вращении и отведении плеча. У спортсменов болезненность в плече наблюдается при броске мяча, жиме штанги в положении лежа.
Болевой синдром сначала развивается после умеренной нагрузки, потом отмечается при попытке поднять руку выше головы, затем начинает беспокоить при любых движениях, существенно ограничивает трудоспособность. На завершающем этапе возможны ночные боли. Движения сопровождаются хрустом и щелчками. Передняя часть сустава отекает. Снижается сила мышц. Формируется тугоподвижность.
Осложнения
Постоянные боли и уменьшение объема движений приводят к ухудшению качества жизни и снижению трудоспособности. На заключительных стадиях болезни пациенты испытывают затруднения при самообслуживании. Из-за постоянной травматизации и хронического воспалительного процесса страдают окружающие анатомические структуры. Развиваются бурситы и тендовагиниты, возможны разрывы дегенеративно измененных сухожилий, развитие артроза.
Постановку диагноза импиджмент-синдрома осуществляет травматолог-ортопед. Специалист опрашивает больного для изучения анамнеза заболевания, выясняет, когда и при каких обстоятельствах впервые появились боли, как часто они беспокоят, сколько продолжаются. Уточняет, были ли у пациента травмы плечевого сустава, страдает ли он заболеваниями этой анатомической зоны. Затем врач проводит внешний осмотр, оценивает подвижность плеча, выявляет болевые точки, выполняет нагрузочные тесты. Для подтверждения диагноза применяют следующие методики:
- Рентгенография плечевого сустава. Базовое исследование с достаточно низкой информативностью. Позволяет исключить некоторые патологии, установить размер субакромиального пространства, обнаружить остеофиты и участки кальцификации в мягких тканях.
- КТ плечевого сустава. Дает возможность детализировать информацию, полученную при проведении рентгенографии. Специалист моделирует объемное изображение пораженной области и изучает его со всех сторон. В ходе исследования выявляется деформация акромиона, оценивается объем субакромиального пространства.
- МРТ плечевого сустава. Назначается для подробного изучения мягкотканных структур: вращательной манжеты, сухожилия двуглавой мышцы, суставной губы. Обнаруживает даже незначительные дефекты (надрывы) признаки дегенерации и воспалительного процесса.

Лечение импиджмент-синдрома
На начальной стадии субакромиального синдрома показано консервативное лечение, включающее следующие мероприятия:
- Охранительный режим. При возникновении болей рекомендован покой. Следует ограничить нагрузку на конечность, избегать движений, во время которых происходит сдавление вращательной манжеты.
- НПВС. Пациенту назначают противовоспалительное медикаментозное лечение. При болевом синдроме препараты принимают перорально курсом. В последующем советуют использовать средства местного действия.
- Блокады. При упорном болевом синдроме, резистентном к консервативной терапии, выполняют блокады субакромиального пространства с глюкокортикостероидами. Иногда вводят обогащенную тромбоцитами плазму для стимуляции регенерации.
- ЛФК. Лечебная физкультура показана в период реабилитации после исчезновения болей. Обеспечивает улучшение функции мышц, сохранение подвижности сустава. Проводится с постепенным увеличением нагрузки.
- Физиотерапия. В зависимости от фазы болезни назначают электрофорез, лазеротерапию, магнитотерапию, ударно-волновую терапию, электромиостимуляцию.
Хирургическое лечение
Оперативные вмешательства показаны на 2 и 3 стадиях импиджмент-синдрома. Осуществляются с использованием артроскопического оборудования. Могут применяться следующие методики:
- 2 стадия. Чаще производят переднюю акромиопластику и субакромиальную декомпрессию с пересечением клювовидно-акромиальной связки.
- 3 стадия. Перед восстановлением объема субакромиального пространства выполняют удаление костных разрастаний, пластику измененных сухожилий.
При наличии бурсита дополнительно иссекают воспаленную сумку. В послеоперационном периоде назначают анальгетики, антибиотики. После уменьшения отека начинают восстановительные мероприятия. Применяют ЛФК, массаж, физиотерапию, кинезиотейпирование.
Прогноз
При адекватном выборе метода лечения с учетом тяжести субакромиального синдрома прогноз благоприятный. На ранних стадиях прогрессирование заболевания можно существенно замедлить, однако, консервативная терапия не устраняет причину импиджмент-синдрома, поэтому полное выздоровление невозможно. Результаты операций при данной патологии хорошие, устранение болевого синдрома и увеличение объема движений отмечается у 85% больных.
Профилактика
Первичная профилактика включает точное восстановление положения отломков при переломах костей надплечья и верхних отделов плечевой кости, своевременное адекватное лечение повреждений мягких тканей. Пациентам с установленным диагнозом импиджмент-синдрома следует соблюдать рекомендации врача, получать назначенное лечение.
Читайте также:
