Рентгенограмма, МРТ, УЗИ при травме сухожилия разгибателя кисти и пальцев
Добавил пользователь Евгений Кузнецов Обновлено: 11.12.2025
Все виды повреждения кисти можно разделить на несколько групп.
Начнем с МР-диагностики травматических повреждений кисти и лучезапястного сустава.
При клиническом обследовании больных с ушибами лучезапястного сустава и кисти, как правило, определяются болезненность при пальпации, увеличение объема окружающих мягких тканей, а объективно и рентгенологически изменения отсутствуют. Наиболее часто встречаются ушибы метаэпифиза лучевой и локтевой костей, а также полулунной и ладьевидной костей. Ушибы (контузионные поражения) кисти определяются только при МРТ-исследовании, особенно хорошо видно на программах с подавлением сигнала от жира. Морфологически ушиб кости проявляется нарушением целостности трабекул костной ткани с кровоизлиянием и отеком костного мозга. Однако, несмотря на повреждение трабекул костной ткани, рентгенологические исследования, включая КТ, не позволяют обнаружить патологические изменения.
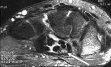
Клинические проявления у пациента: боль и ограничение движений после падения на вытянутую руку 4 месяца назад.
Перелом ладьевидной кости с явлениями асептического некроза проксимального полюса и, связанного с ним, остеоартрита. Ладьевидный перелом обычно происходит из-за падения на вытянутую руку, которое приводит к гиперэкстензии лучезапястного сустава.

Аваскулярный (асептический) некроз нередко сопутствует переломам проксимальной части ладьевидной и переломам полулунной кости, а также неадекватно репонированным и иммобилизированным переломам этих костей. Основная причина - нарушение трофики участка кости при повреждении питающих артерий.
Методом выбора в диагностике и стадировании остеонекроза костей кисти является МРТ.
Скрытые переломы
Этот термин применяется для обозначения переломов, которые первично не были выявлены рентгенологически, а обнаружены только методом МРТ. Только через 5-10 дней после травмы на отсроченных рентгенограммах появляется линия перелома. Через 1,5-2 мес. после травмы ретгенография и СКТ у пациентов со скрытыми переломами позволяют визуализировать незначительные облаковидные остеосклеротические изменения по ходу линии перелома, как проявление репаративного процесса.

Синдром повреждения связочного аппарата
Лучевая диагностика повреждений связочного аппарата лучезапястного сустава и кисти представляет наибольшие трудности в связи со сложностью анатомии и малыми размерами данной области. Возможности рентгенографии и КТ в диагностике повреждений связок ограничены. О них судят по наличию косвенных признаков. Вследствие относительно малых размеров связок, УЗИ затруднительно. Методом выбора при исследовании связочного аппарата является МРТ.
Клинически: Острая боль. В анамнезе нет травмы или чрезмерной нагрузки. Увеличение диаметра и повышение МР-сигнала в проекции сухожилия разгибателя.

МРТ показывает веретенообразное расширение нерва, которое вызвано утолщением нервных пучков и жировой и фиброзной пролиферацией. МРТ характеристики фибролипоматозной гамартомы являются патогномоничным, что исключает необходимость в биопсии для диагностики.

Кистозное образование в проекции тыльных межзапястной и лучезапястной связок; незначительный синовит.
Синдром повреждения сухожилий
Синдром повреждения сухожилий включают частичные и полные их разрывы, проявления теносиновита и посттравматического тендиноза. Основную долю составляют теносиновиты, возникающие изолированно или на фоне повреждения костей и связок. Морфологически теносиновиты характеризуются скоплением синовиальной жидкости под оболочками сухожилия. Рентгенодиагностика в диагностике теносиновитов неинформативна. Наиболее информативны в диагностике теносиновита УЗИ и МРТ.

Теносиновит сухожилий глубокого сгибателя пальцев кисти и длинного сгибателя большого пальца.
Липома сухожилия
Клинически: Отек левой руки, сохраняющийся длительное время, в настоящий момент пациент начал жаловаться на нарушение чувствительности боковых трех пальцев.

Капсулированная масса прикреплена к сухожилиям поверхностного и глубокого сгибателей указательного пальца. Липома из сухожилия (гистологически доказано).
Синдром повреждения суставов
Большинство травм лучезапястного сустава и кисти сопровождается симптомами сопутствующего экссудативного синовита; его выраженность зависит от тяжести травм. На МРТ выявляется суставной выпот. Кроме того, иногда определяется отек костного мозга в субхондральных отделах эпифизов костей, отек периартикулярных мягких тканей.


Ревматоидный артрит. Субхондральные эрозии, гипертрофия синовиальной оболочки.

Ревматоидный артрит. Анкилозирование костей запястья, деструкция эпифизов лучевой и локтевой костей.
Остеомиелит костей

Хронический остеомиелит ладьевидной кости.
Кистевой /карпальный/ туннельный синдром
Этиология
Кистевой туннельный синдром может быть спровоцирован целым рядом причин. Существует два механизма формирования данного синдрома. Первый - уменьшение в размерах самого карпального канала. Сюда относят такие причины, как артроз, травмы, акромегалия, и чрезмерное механическое воздействие. Второй механизм - увеличение в размерах содержимого карпального канала. Например, при ганглиевых кистах, опухолях нерва, отложение веществ (например, амилоида), или синовиальной гипертрофии при ревматоидном артрите. Также некоторые индивидуальные факторы, такие как размер и форма запястья и форма срединного нерва, могут способствовать развитию синдрома запястного канала.
Клиническая картина
Клинически проявляется болью и нарушениями чувствительности. Типичным является брахиалгия, парастезии, или ночные восходящие боли, исходящие из запястья. Кроме того, определяется слабость в руке. Слабость, чаще всего, является поздним симптомом.

На основании всего вышеизложенного, можно сделать вывод, что магнитно-резонансная томография кисти - высокоинформативное исследование, позволяющее оценить изменения самого различного характера и происхождения.
Повреждение сухожилий разгибателей пальцев и кисти

Повреждения сухожилий разгибателей (сухожилий экстензоров) возникают при порезах или разрывах одного из его сухожилий. В результате этой травмы теряется способность полностью и с усилием разгибать кисть и/или пальцы.
Клинически значимая анатомия

Анатомия сухожилий разгибателей пальцев
Сухожилия экстензоров находятся в дорсальном отделе кисти и пальцев. Функция этих сухожилий заключается в разгибании запястья и пальцев. Согласно Кляйнерту и Вердану (1983) существует восемь анатомических зон, на которые делится разгибательный механизм:
- Зона I: дистальный межфаланговый сустав;
- Зона II: средняя фаланга;
- Зона III: проксимальный межфаланговый сустав;
- Зона IV: проксимальная фаланга;
- Зона V: пястно-фаланговый сустав;
- Зона VI: пястные кости;
- Зона VII: запястье (удерживатель сухожилий экстензоров);
- Зона VIII: дистальная треть предплечья.

Анатомические зоны кисти
Эпидемиология/Этиология
Сухожилия экстензоров находятся на поверхности, поэтому они очень восприимчивы к повреждениям. Другая причина их чувствительности заключается в малой толщине подкожно-жирового слоя между сухожилиями и покрывающей их кожей. Травмы могут быть вызваны глубокими порезами, ожогами, тупыми травмами, рваными ранами, размозжением, авульсией или интенсивным трением. Закрытые травмы обычно возникают при экстремальных нагрузках. Это приводит к отрыву сухожилий от мест их прикрепления к кости.
Про повреждение сухожилий сгибателей можно почитать здесь.
Характеристика/Клиническая картина
Ниже приведены характеристики травм сухожилий в зависимости от повреждённой зоны:
- Зона I: молоткообразный палец;
- Зона II: частичное повреждение сухожилий без полного разрыва;
- Зона III: разрушения места прикрепления сухожилий экстензоров в области основания средней фаланги пальца, известное также как контрактура Вайнштейна (характеризуется согнутым положением проксимального межфалангового сустава, экстензией или гиперэкстензией дистального межфалангового сустава);
- Зона IV: повреждения зачастую частичны с/без потери экстензии проксимального межфалангового сустава;
- Зона V: открытые раны или тупые травмы (возможным эффектом таких повреждений может быть разрыв сагиттального пучка, сопровождающийся смещением сухожилий, что вызывает трудности при попытках выпрямить согнутый пястно-фаланговый сустав);
- Зона VI: пястно-фаланговый сустав всё ещё может быть разогнут межсухожильными соединениями;
- Зона VII: физические повреждения удерживателя разгибателей.
Дифференциальная диагностика
- Молоткообразный палец характеризуется свисающим концевым суставом пальца. Это случается, когда сухожилие отрезано или оторвано от кости. Часто этот отрыв возникает при ударе кончика пальца каким-либо объектом (например, баскетбольным мячом) и при насильственном его сгибании.
- Контрактура Вайнштейна описывает согнутое положение срединного сустава пальца. Контрактура может возникнуть при разрыве или порезе экстензорного сухожилия.
- Порезы на тыльной стороне кисти могут повредить сухожилия. Это может вызвать трудности при разгибании пальца.
- Синдром щёлкающего пальца (пассивное движение невозможно).
- Синдром заднего межкостного нерва предплечья: присутствует тенодез, разрыв отсутствует.
Диагностика
Рекомендуется проводить рентгенографическое исследование, поскольку часто встречаются травмы окружающих сухожилие структур. Например, возможен отрыв фрагмента кости вместе с сухожилием. Сухожилие является мягкой тканью, поэтому его разрыв не будет виден на рентгенограмме.
Оценка клинического исхода
- Опросник на предмет дисфункции плеча, предплечья и кисти (Disability of Arm, Shoulder, and Hand questionnaire (DASH)).
- Краткий опросник на предмет дисфункции плеча, предплечья и кисти (Quick DASH). Этот способ оценки является сокращённой версией DASH и используется для определения физического состояния и симптомов пациента.
- Шкала Гартлэнда и Уэрли. Наиболее широко распространённый в клинической практике метод оценки функции запястья и кисти.
Обследование
Исследование травм сухожилий разгибателей представляет интерес с различных точек зрения. Во-первых, следует оценить характеристики травмы, например, размер и местоположение, чтобы дать физиотерапевту представление о том, какие структуры могли быть повреждены. Далее функция пальцев и запястья проверяется тремя способами: пассивно, активно и затем с сопротивлением. Важно, чтобы каждый палец тестировался отдельно, потому что межсухожильные соединения между сухожилиями разгибателя пальцев могут маскировать дисфункцию. Кроме того, должны быть в полной мере выполнены и нейроваскулярные обследования. Специально для зоны III может быть проведён тест Элсона.
Лечение
Пациентов с повреждением сухожилий экстензоров можно лечить двумя способами: хирургически или консервативно (а именно шинированием). Выбор лечения зависит от степени повреждения. В целом, открытые травмы и целые разрывы требуют хирургического лечения. Закрытые травмы и частичные разрывы сухожилий требуют шинирования. Практикуют как статическое, так и динамическое шинирование. Действие динамической шины основано на оттягивании эластичными элементами пальцев кисти для закрепления их в определённом положении. Статические же шины не оказывают нагрузок на суставы пальцев.
Физическая терапия
Задача физиотерапевта состоит в восстановлении предшествовавшей травме функциональности кисти. Оно достигается постепенным увеличением объёма движений кисти. Для достижения наилучшего эффекта следует разрабатывать индивидуальную программу реабилитации.
Друзья, совсем скоро состоится семинар Анны Овсянниковой «Реабилитация кисти после перелома дистального отдела лучевой кости (перелом «луча в типичном месте») и переломов пястных костей». Узнать подробнее…
Наиболее распространены три метода постоперативного ухода: иммобилизация, ранняя контролируемая мобилизация и ранняя активная мобилизация.
Иммобилизация
В течение первых трёх недель проводится шинирование запястья с его экстензией под углом 21-45 градусов, при этом пястно-фаланговый сустав согнут под углом от 0 до 20 градусов, а межфаланговый сустав находится в нейтральном положении. За этим периодом иммобилизации следует фаза пассивного или активного движения травмированной зоны.
Достоинство метода заключается снижение риска разрыва сухожилий, поскольку они не подвергаются никакой нагрузке.
Недостаток метода состоит в возникновении возможных осложнений во время реабилитации ввиду замедленного разгибания, скованности движений и прочих факторов, вызываемых иммобилизацией.
Ранняя контролируемая мобилизация
Здесь применяют динамические шины, вызывающие пассивное движение кисти/пальцев с помощью её эластичных элементов. Помимо этого необходимо также проводить пассивные физические упражнения.
Достоинства: поддержка пассивного движения восстановленных сухожилий, защита от чрезмерных нагрузок.
Недостатки: дискомфорт при ношении, дороговизна шины.
Ранняя активная мобилизация
Пока пациент носит статическую шину, он должен выполнять активные упражнения, такие как сгибание и разгибание суставов.
Достоинства: стимуляция подвижности сухожилий, снижение риска окостенения.
Сравнение методов
В короткие сроки ранняя контролируемая мобилизация показывает лучшие результаты в отношении общего активного движения и силы хвата по сравнению с иммобилизацией. Тем не менее, в течение более длительного периода времени оба метода дают схожие результаты (Mowlavi и др. 2005). В этом исследовании рассматриваются только последствия травм в зонах V и VI. Аналогичные эффекты были обнаружены в зонах I и II (Soni и др. 2009).
Более того, раннее активное движение дает те же результаты, что и раннее пассивное движение. Выбор метода основан на содействии пациента и прогнозе. В тех случаях, когда пациент заинтересован в завершении терапии и когда необходимо более быстрое выздоровление, предпочтительной является динамическая мобилизация.
Важно знать, что существует мало высокоуровневых доказательств относительно лечения травм сухожилий экстензоров. В результате объективное измерение результатов невозможно, что обуславливает необходимость дальнейших исследований в данном направлении.
Повреждение сухожилий кисти
Повреждения сухожилий кисти - распространенная травма, обычно возникающая в результате открытого повреждения (резаной раны, попадания кисти и пальцев в движущиеся механизмы и т. д.). Гораздо реже повреждение сухожилий кисти (разгибателей) возникает в результате закрытой травмы. При любом повреждении сухожилий кисти основной задачей врача становится полное и адекватное восстановление функции пальцев. Чистая рана и ранее обращение пациента к травматологу (до 24ч с момента травы) позволяют наложить на сухожилие первичный шов. Позднее обращение, множественные повреждения тканей кисти и значительное загрязнение раны требуют выполнения отсроченного шва сухожилия.
МКБ-10
Общие сведения
Повреждения сухожилий кисти - распространенная травма, обычно возникающая в результате открытого повреждения (резаной раны, попадания кисти и пальцев в движущиеся механизмы и т. д.). Гораздо реже повреждение сухожилий кисти (разгибателей) возникает в результате закрытой травмы. При любом повреждении сухожилий кисти основной задачей врача становится полное и адекватное восстановление функции пальцев.
Анатомия
Сухожилия - плотная неэластичная часть мышцы, посредством которой мышца прикрепляется к кости. При сокращении мышцы сухожилие «тянет» за собой кость, и обеспечивает движение. Нарушение целостности сухожилия приводит к выпадению той или иной двигательной функции (сгибания или разгибания сегмента конечности).
Движения пальцев кисти обеспечиваются двумя группами сухожилий: сгибателями, расположенными по ладонной поверхности и разгибателями, которые находятся на тыле пальцев. Повреждение сухожилий сгибателей встречается чаще и труднее поддается лечению. Сгибание каждого пальца осуществляется двумя сгибателями (поверхностным и глубоким). Глубокий сгибатель крепится к ногтевой фаланге и отвечает за ее сгибание. Поверхностный сгибатель прикрепляется к средней фаланге, образуя две ножки, между которыми проходит сухожилие глубокого сгибателя.
Сухожилия сгибателей находятся в состоянии значительного натяжения. При нарушении целостности сгибателя его проксимальный (расположенный ближе к центру) конец подтягивается мышцей, и может обнаруживаться на значительном удалении от места повреждения. Трудности при поиске проксимального конца сухожилия и натяжение поврежденных концов сгибателя обуславливает сложность оперативного вмешательства и возможную несостоятельность сухожилий сгибателей в послеоперационном периоде. Сухожилие разгибателя при разрыве смещается мало, и его проксимальный конец, как правило, обнаруживается вблизи от места повреждения.
Симптомы и лечение
Клинические проявления и тактика лечения при повреждении сухожилий кисти зависят от локализации раны, ее загрязненности и степени повреждения мягких тканей. При чистой, ровной (обычно - резаной) ране и хорошем питании мягких тканей кисти (отсутствии сопутствующего повреждения артерий) выполняют первичный шов сухожилия. Чем раньше проведена операция, тем выше шансы на хорошее заживление раны и восстановление функции сухожилия. Оптимальное время для операции - в течение первых 6 часов после травмы. Крайний срок, в течение которого возможен первичный шов сухожилия - 24 часа с момента повреждения.
В травматологии восстановление функции пальцев при повреждении сухожилий кисти - сложное хирургическое вмешательство, которое нередко требует применения микрохирургических техник. Операцию выполняют под жгутом, с минимальной травматизацией тканей, под местной или проводниковой анестезией (чтобы пациент мог по команде сгибать пальцы во время проверки восстановления сухожилий). В послеоперационном периоде руку обязательно фиксируют гипсовой повязкой.
При обширных повреждениях мягких тканей (рваные раны, разможжение и т. д.), значительном загрязнении раны и позднем обращении к травматологу при повреждении сухожилий кисти выполняют отсроченный вторичный шов сухожилия. Операцию проводят в как можно более ранние сроки после полного заживления раны.
Изолированное повреждение сухожилия глубокого сгибателя. Возникает только при ранении в области ногтевой фаланги. Пациент не может согнуть сустав, расположенный между ногтевой и средней фалангами. Если в ходе операции удается обнаружить проксимальный конец глубокого сгибателя, сухожилие сшивают. В случае, когда проксимальный конец найти не удается, периферический конец сгибателя подшивают к кости средней фаланги.
Изолированное повреждение сухожилия поверхностного сгибателя. Возможно при ранении пальцев (за исключением ногтевой фаланги), повреждении ладонной поверхности кисти на любом уровне и ранении нижней трети предплечья. Больной не может согнуть сустав, расположенный между средней и основной фалангами. В ходе операции находят проксимальный конец сухожилия. При необходимости делают дополнительный разрез на ладони, через который центральный конец сухожилия с помощью проводника выводят в периферическую рану.
Если концы сухожилия разможжены или разволокнены, их иссекают. Для того, чтобы предотвратить послеоперационную сгибательную контрактуру, выполняют операции по удлинению сухожилия в сухожильно-мышечной части или его Z-образному удлинению проксимальнее области повреждения. При ранах в области средней и основной фаланг пальцев, а, особенно часто - при ране в области ладони наблюдается одновременное повреждение глубокого и поверхностного сгибателей.
Повреждение сухожилий обеих сгибателей. Отсутствует сгибание в проксимальном и дистальном межфаланговом суставе. Восстанавливают только сухожилия глубокого сгибателя. Концы сухожилий поверхностных сгибателей иссекают. При ранениях нижней трети предплечья повреждение сухожилий сгибателей нередко сочетается с нарушением целостности вен, локтевого и срединного нервов, локтевой и лучевой артерии, сухожилий лучевого и локтевого сгибателей кисти.
Повреждение сухожилий разгибателей. Если нарушение целостности сухожилия разгибателей наступило в результате открытой травмы (ранения), концы сухожилия сшивают. При подкожном разрыве разгибателя в течение первых трех недель после травмы оперативное вмешательство не требуется. Палец выводят в положение переразгибания и фиксируют гипсовой лонгетой на 6 недель.
Тендовагинит кисти
Тендовагинит кисти - это воспаление, поражающее внутреннюю оболочку влагалищ сухожилий сгибателей и разгибателей пальцев и кисти. Возникает вследствие травм, постоянного перенапряжения мышц, дегенеративных изменений, ревматических заболеваний и инфекционных поражений. Может быть острым или хроническим, инфекционным или асептическим. Проявляется болью, отеком и ограничением движений. При стенозирующем тендовагините наблюдается синдром «щелкающего пальца» - ощущение препятствия и щелчок при сгибании или разгибании. Диагноз выставляют на основании клинической картины, лечение обычно консервативное.
Тендовагинит кисти - острый или хронический воспалительный процесс в области влагалищ сухожилий мышц кисти и пальцев. Чаще развивается в результате постоянной перегрузки кисти при совершении повторяющихся движений. Обычно возникает в средней части сухожильных влагалищ, в острой фазе превалирует воспаление, при хроническом течении постепенно развиваются дегенеративные изменения. Процесс может распространяться на соседние ткани: сухожильные каналы и ткань сухожилий. Лечение данной патологии осуществляют хирурги и ортопеды-травматологи.
Причины
В зависимости от причины развития в травматологии и ортопедии выделяют:
- Профессиональный асептический тендовагинит кисти. Самая распространенная форма заболевания. Возникает вследствие перегрузки тех или иных сухожилий. Вначале протекает остро, часто переходит в хроническую форму. Поражает людей, которые в силу профессии или бытовых обязанностей выполняют повторяющиеся движения кистью. В группе риска находятся музыканты, машинистки, операторы ПК, плотники, слесари, столяры, токари, кузнецы, гладильщики, шлифовщики, доярки ручного доения, полировщики.
- Реактивный асептический тендовагинит кисти. Является реакцией организма на неблагоприятное воздействие. Вначале также протекает остро, при неблагоприятных условиях склонен к переходу в хроническую форму. Возникает при нарушениях местного кровоснабжения, ревматических заболеваниях и т. д.
- Неспецифический инфекционный тендовагинит кисти. Развивается при контактном, гематогенном или лимфогенном заносе инфекции. Протекает остро. Может возникать при рваных, колотых и резаных ранах, ссадинах и гнойничковых поражениях кожи в области сухожилия, а также при наличии очагов инфекции в удаленных органах.
- Специфический инфекционный тендовагинит кисти. Наблюдается при специфических инфекциях: туберкулезе, гонорее, сифилисе и бруцеллезе. Встречается редко, может протекать как остро, так и хронически. Клинические проявления зависят от вида возбудителя.
Классификация
Различают асептическую и инфекционную форму заболевания. Асептический тендовагинит кисти развивается вследствие раздражения или повреждения внутренней оболочки сухожильного влагалища, воспаление носит серозный характер и протекает без участия микроорганизмов. Инфекционный тендовагинит возникает при проникновении микробов в сухожильное влагалище, воспаление чаще гнойное, характер воспалительного процесса зависит от вида возбудителя. Инфекционный тендовагинит может быть специфическим или неспецифическим. Неспецифический обычно вызывается пневмококками, стафилококками или стрептококками, специфический - возбудителями туберкулеза, гонореи, сифилиса и т. д.
Симптомы тендовагинита кисти
Асептический тендовагинит развивается остро, в анамнезе обычно выявляется перегрузка кисти (например, длительная работа за компьютером). Пациент жалуется на тянущую боль, усиливающуюся при движениях. Область поражения отечна, движения ограничены. Иногда выявляется незначительная локальная гиперемия и гипертермия. В подостром периоде больные могут предъявлять жалобы на неприятное ощущение сведенной кисти. При переходе в хроническую форму боли становятся менее интенсивными и возникают только при движениях и пальпации области сухожилия. Отек отсутствует, при движениях может быть слышен мягкий хруст.
Особой формой хронического асептического тендовагинита кисти является стенозирующий тендовагинит, обычно поражающий женщин в возрасте 40-50 лет. При этой форме заболевания наблюдается отек, локальное утолщение тканей, дискомфорт или боли после нагрузки. Со временем возникает затруднение сгибания или разгибания пальца - на определенном участке чувствуется препятствие, при его преодолении слышится щелчок (синдром «щелкающего пальца»). В тяжелых случаях преодоление препятствия становится невозможным, формируются контрактуры.
Для острого неспецифического инфекционного тендовагинита характерен интенсивный болевой синдром на фоне выраженного отека, местной гиперемии и гипертермии. Наблюдаются признаки общей интоксикации: слабость, разбитость, повышение температуры тела, ознобы, головная боль. При нагноении боли становятся дергающими, распирающими, могут нарушать ночной сон. Движения кисти резко ограничены. Специфические инфекционные тендовагиниты обычно протекают практически так же, как и неспецифические, но возникают на фоне основного заболевания.
Диагноз выставляют на основании клинической симптоматики. Для дифференцировки инфекционного тендовагинита с артритом и остеомиелитом назначают рентгенографию кисти и рентгенографию лучезапястного сустава. В сомнительных случаях используют КТ кости или МРТ. Больных с подозрением на специфический процесс направляют на консультацию к фтизиатру, венерологу или инфекционисту; пациентов с подозрением на ревматическое заболевание - на консультацию к ревматологу.
Лечение тендовагинита кисти
При остром асептическом процессе накладывают гипсовую лонгету, рекомендуют придавать конечности возвышенное положение. Назначают НПВС (индометацин, бутадион и т. д.) и УВЧ; после стихания острых воспалительных явлений пациента направляют на электрофорез с гидрокортизоном и новокаином, микроволновую терапию, ультрафиолетовые лучи и ультразвук. Наиболее эффективным способом предотвращения перехода острого процесса в хронический является уменьшение нагрузки на сухожилия. Пациенту советуют изменить технику выполнения действий, создающих избыточную нагрузку на кисть, либо, если это невозможно, рекомендуют сменить специальность.
При обострениях хронического асептического тендовагинита проводят иммобилизацию конечности, назначают обезболивающие, противовоспалительные препараты, массаж, ЛФК, аппликации озокерита и электрофорез с лидазой. При стенозирующем тендовагините выполняют блокады с кортикостероидными препаратами, в тяжелых случаях может потребоваться хирургическое вмешательство - рассечение или иссечение сухожильного влагалища.
При остром неспецифическом инфекционном тендовагините назначают обезболивающие, антибактериальные препараты (обычно - антибиотики широкого спектра действия) и средства для повышения иммунитета. При нагноении производят вскрытие сухожильного влагалища с последующим дренированием. У пациентов со специфическими процессами проводят лечение основной патологии: при туберкулезе назначают противотуберкулезные препараты, при гонорее - препараты из группы пенициллинов, фторхинолонов, тетрациклинов, а также цефалоспорины, аминогликозиды, макролиды и азалиды.
1. Повреждения и заболевания мышц, сухожилий и связок / Гиршин С.Г., Лазишвили Г.Д., Дубров В.Э. - 2013
Травмы/разрывы сухожилий сгибателей и разгибателей пальцев
Для правильного функционирования кисти необходима слаженная работа сухожилий сгибателей и разгибателей пальцев кисти. В пальцах отсутствуют мышцы, поэтому их сгибание и разгибание реализовывается за счёт сухожилий мышц, которые расположены на предплечье. Располагаются сухожилия сгибателей на ладонной поверхности кисти, разгибателей - на тыльной стороне прямо под кожей. У каждого пальца имеется по два сухожилия-сгибателя, поверхностный и глубокий. Глубокий сгибатель прикрепляется к ногтевым фалангам пальцев и отвечает за их сгибание, а поверхностный - к средним фалангам. Повреждения сгибателей и разгибателей пальцев кисти рук встречаются довольно часто по причине преимущественно поверхностного расположения сухожилий. При травмировании сгибателей пальцев кисти происходит подтягивание конца сухожилия, расположенного проксимально, из-за этого очень сложно найти концы сухожилия при обрыве. При ранении разгибателей, сухожилие практически не сдвигается, следовательно, легче поддается лечению.
Виды повреждений
- Разрывы и отрывы сухожилий
Травмы сгибателей и разгибателей пальцев кисти сопровождаются нарушением их целостности при прямом или непрямом воздействии. При повреждении возможен разрыв и полный отрыв сухожилия от его места прикрепления к костному фрагменту.
- Открыты и закрытые - в зависимости от нарушения целостности кожного покрова
- Частичные и полные - в зависимости от степени поражения
- Свежие, несвежие и застарелые - в зависимости от срока давности травмы
- Сочетанные, изолированные, и множественные - в зависимости от количества областей поражения
- Тендовагинит кисти - острое или хроническое воспаление, происходящее в синовиальных оболочках фиброзных влагалищ сухожилий мышц кисти и пальцев. Тендовагинит сопровождается хрустом при движениях, небольшой припухлостью по ходу пораженного сухожильного влагалища
- Теносиновит (или болезнь де Кервена) - это заболевание, при котором происходит воспаление сухожилий большого пальца руки. Связанная с этим недугом боль, возникает от трения отекших сухожилий о стенки тоннеля, предназначенного для их движения, в области основания большого пальца и под ним, а также по краю лучезапястного сустава. Проявляется ноющей болью в районе запястья.
- Болезнь Нотта (щелкающий палец, пружинящий палец) - заболевание сухожилий сгибателей пальцев и окружающих их связок, характерной особенностью которого является щелканье, возникающее при движении пальцев. По мере протекания данной болезни разгибание пальца становится практически невозможно.
Симптоматика
При разрывах или отрывах наблюдаются следующие симптомы:
- При повреждении сухожилий на ладонной поверхности кисти или пальцев наблюдается нарушение функции сгибания, из-за чего пальцы находятся в переразогнутом состоянии
- При травмах тыльной поверхности кисти повреждается функция разгибания одного или нескольких пальцев
- Онемение пальцев и другие нарушения чувствительности (при повреждении нервов)
- Деформация пальцев
- Отек
- Кровоизлияние
- Нарушение целостности сухожилий
- Видимое повреждение мягких тканей (открытая форма травмы)

К какому врачу обращаться
- Детальный осмотр врачом-травматологом места повреждения, проведение диагностических тестов (сгибание-разгибание пальцев рук в той или иной последовательности)
При повреждении разгибателей возможно два варианта лечения: консервативный и хирургический. Повреждения на уровне пальцев можно вылечить и без операции, но при условии длительного ношения гипса или пластиковой шины. Во всех остальных случаях, также как и при травмах сухожилий сгибателей показано оперативное лечение. Операция представляет собой сложное хирургическое вмешательство, зачастую с применением микрохирургических техник. Она заключается в рассечении кожных покровов и сшивании концов разорванного сухожилия под местной или проводниковой анестезией. В послеоперационном периоде руку в обязательном порядке фиксируют гипсовой повязкой.
При разможжении или разволокнении концов сухожилий их иссекают. Во избежание послеоперационной сгибательной контрактуры, проводят операции по удлинению сухожилия в сухожильно-мышечной части или его Z-образному удлинению проксимальнее области повреждения.
В некоторых случаях при застарелых повреждениях сухожилий сгибателей пальцев (наличие дефектов сухожилия длиной 2 и более сантиметров) пациенту показана пластика сухожилий, либо пластика с предварительным формированием сухожильного канала при помощи временного эндопротезирования сухожилия силиконовым эндопротезом. Чаще всего пластика проводится совместно с другими оперативными вмешательствами (ревизия сухожилий, тенолиз и т. д.).

После любого метода лечения повреждений разгибателей и сгибателей пальцев кисти руки необходима реабилитация. За 3-5 недель сухожилия срастаются достаточно прочно, после этого можно снимать гипсовую повязку и под присмотром врача начинать восстановительные процедуры.
Восстановление всех необходимых функций пальцев рук включает: лечебную физкультуру по разработке руки, физиотерапевтические процедуры, массаж, солевые ванны и другие процедуры по назначению врача.
В Москве записаться на прием к квалифицированным специалистам Вы можете в клинике ЦКБ РАН. Ждем Вас.
Читайте также:
