Результаты лечения гамма-ножом вестибулярной шванномы и прогноз
Добавил пользователь Владимир З. Обновлено: 09.01.2026
Гамма-нож (Leksell Gamma Knife) - радиохирургическая установка производства шведской фирмы Elekta, использующая множественные конвергирующие пучки от 196 источников Co60, создающие одну высокую дозу радиации в точно определенном целевом объёме головного мозга.
Лечение на Гамма-ноже: технология и процедура
В ноябре 2008 года в Санкт-Петербурге состоялось открытие клиники радиохирургии, стереотаксической радиотерапии и общей онкологии Медицинского Института имени Березина Сергея (до 2015 года ЛДЦ МИБС).
Клиника была оснащена радиохирургической установкой Гамма-нож (Leksell Gamma Knife Perfexion) производства шведской компании Elekta.
В марте 2011 года Клиника радиохирургии МИБС была отмечена специальным сертификатом шведской компании Elekta, знаменующим проведение 1000 радиохирургических операций на аппарате Гамма-нож (Leksell Gamma Knife).
Сегодня, спустя более 13 лет, специалистами Клиники выполнено почти 14 000 нейрохирургических (радиохирургических) вмешательств только на установке Гамма нож, а сама Клиника с 2014 года признается самым активно оперирующим отделением Гамма-нож в мире, с количеством операций более 1600 ежегодно.


В Клинике имеются все возможности по оказанию современной высококвалифицированной радиохирургической помощи пациентам с опухолями головного мозга, сосудистыми мальформациями и функциональной патологией. В ее составе имеются дневной стационар на 50 мест для размещения иногородних пациентов, кабинеты компьютерной томографии и магнитно-резонансной томографии. Персонал Клиники прошел длительное обучение в ведущих мировых центрах Гамма-нож.
Узнать
Показания к лечению на Гамма-ноже
Основными показаниями к радиохирургическому лечению на аппарате Гамма-нож являются доброкачественные и злокачественные опухоли, расположенные в полости черепа, метастазы в головной мозг, сосудистые мальформации, невралгия тройничного нерва, меланома сосудистой оболочки глаза и другие заболевания.
Лечение на Гамма-ноже НЕ показано в следующих случаях:
- Тяжелое декомпенсированное состояние больного
- Наличие «острых» симптомов сдавления головного мозга
- Повышенное внутричерепное давление
Опухоли головного мозга
- Рецидивы глиальных опухолей, либо остаточные опухоли после хирургического удаления, лучевой и химиотерапии
- Гамартома гипоталамуса
Сосудистые заболевания головного мозга
Функциональные заболевания головного мозга
- Многоочаговая эпилепсия
- Болевой синдром при таламическом синдроме
- Болевой синдром при множественном метастатическом поражении костей осевого скелета
Заболевания глаз
- Прогрессирующая глаукома
- Меланома сосудистой оболочки глаза
Что такое Гамма-нож?

Гамма-нож (Leksell Gamma Knife Perfexion) - это радиохирургическая установка производства шведской компании Elekta, предназначенная для лечения патологических образований (доброкачественных и злокачественных опухолей и сосудистых мальформаций) в полости черепа. Гамма-нож использует радиоактивное излучение от 196 источников кобальта-60, пучки которого собираются вместе и действуют подобно неинвазивному хирургическому ножу.
Современный Гамма-нож - это высокотехнологичное компьютеризированное устройство в котором используются самые новейшие достижения медицинской радиологии, нейрохирургии и робототехники.
Подобно нейрохирургической операции, процедура лечения проводится однократно, однако при этом отсуствуют разрезы кожи и нет необходимости проводить трепанацию черепа.
Излучение от 196 источников Со60 проходит через отверстия в коллиматорных шлемах к выбранной целевой точке. При этом излучение каждого отдельного пучка не оказывает повреждающего действия на мозг, но сходясь в изоцентре, они создают высокую суммарную дозу, достаточную для гибели опухоли или облитерации сосудистой мальформации. Точность наведения составляет менее 0,5 мм, что полностью исключает облучение здоровых тканей мозга и всего тела.


Под действием высокой дозы облучения происходит разрушение ДНК опухолевых клеток, которые теряют способность к делению и постепенно погибают. Некоторые опухоли полностью "рассасываются" и исчезают, некоторые остаются в прежних размерах, либо уменьшаются и больше никогда не растут.
При лечении сосудистых мальформаций происходит облитерация патологических сосудов и прекращение по ним кровотока. При этом тотальное выключении мальформации из кровотока приводит к полному избавлению больного от этого заболевания.
Радиохирургия считается самым значимым достижением в развитии нейрохирургии за последние 20 лет. Благодаря своей надежности, точности и эффективности Гамма-нож считается «золотым стандартом» в радиохирургии.
Первая операция на Гамма-ноже была проведена в 1968 году, за прошедшее время пролечено около миллиона пациентов. На сегодняшний день существует более 300 отделений Гамма-нож во всех развитых странах мира.
Эффективность и безопасность
Эффективность и безопасность лечения подтверждены длительными периодами наблюдений (более 50 лет) и отражены более чем в 2000 публикаций.
Благодаря своей надежности, точности и эффективности Гамма-нож признан «золотым стандартом» в радиохирургии. Наведение на целевую структуру происходит с точностью 0,5 мм в автоматическом режиме, что полностью исключает риск ошибок.всего тела.
Механизм действия Гамма-ножа заключается в поражении опухолевой ДНК, что приводит к гибели опухолевых клеток.
При лечении сосудистых артерио-венозных мальформаций происходит облитерация сосудов с последующим тромбозом и выключением их из кровотока.
Лечение на гама-ноже
Лечение осуществляется за одну процедуру и занимает обычно несколько часов.
Лечение на Гамма-ноже является абсолютно безболезненным и не требует проведения общей анестезии. Отсутствуют разрезы кожи, в большинстве случаев пациенты возвращаются к своей повседневной деятельности на следующий день после операции.
Лечению доступны любые локализации, в том числе расположенные на основании черепа и в глубоких структурах мозга.
Преимущества Гамма-ножа
- Лечение проводится за один день
- Госпитализация не требуется
- Отсутствие риска общей анестезии
- Нет необходимости в длительном восстановительном периоде
- Отсутствие риска кровотечения и инфицирования
- Возможно лечение множественных образований
- Возможность безопасного лечения образований, расположенных в глубоких структурах мозга и на основании черепа
- Возможность лечения рецидивов опухолей после проведенной операции и лучевой терапии
Вопросы пациентов
препараты после радиохирургического лечения
Добрый день! Мне 65 лет. В ноябре 2017 года у вас проводили радиохирургическое лечение на аппарате Гамма нож. По месту жительства наблюдаюсь у невролога, Мне рекомендованы препараты: спитомин и феназепам.Можно ли их применять? И еще. Может и бестактно .
Возможные лекарственные препараты после удаления менингиомы на установке гамма-нож
Здравствуйте. В октябре 2018 года в вашем центре мне удалили менингиому на установке Гамма-нож. Скажите, пожалуйста, какие лекарственные препараты мне запрещены? Кардиолог мне прописал Стимол и Магнерот. Мне их можно принимать? А ещё меня интересует .
Болезнь Паркинсона
Здравствуйте! На этапе одобрения процедуры лечения болезни Паркинсона на "Гамма-ноже" состоялся телефонный разговор с доктором вашего центра из которого стало понятно, что в нашем случае одним из фактов, который может повлиять на эффективность лечения .
Здравствуйте! Моей маме (полных лет 73) в вашем центе на сентябрь одобрено лечение на аппарате "Гамма-нож" (лечение болезни Паркинсона). Подскажите, пожалуйста, существует ли вероятность отмены лечения по причине высокого показателя СОЭ в анализе крови ( .
Лечение после оперции гамма-нож
В ноябре 2017г. было проведено радиохирургическое лечение по поводу менингиомы в области правой гемисферы мозжечка. Для лечения хронического бронхита и ларингита мне назначено лечение: ингаляции (лазолван+ физраствор ) , мирамистин, Гексорал- аэрозоль. И .
Результаты лечения гамма-ножом вестибулярной шванномы и прогноз
Телефон регистратуры поликлиники:
Телефон регистратуры лучевой диагностики:
Гамма-нож
![]() |
Вестибулярная шваннома (невринома VIII нерва, акустическая невринома) представляет собой доброкачественное новообразование, возникающее из шванновских клеток вестибулярной порции VIII нерва.
Заболеваемость невриномами слухового нерва составляет примерно 1 случай на 100000 населения в год. Каждый год в Российской Федерации появляется 1500 новых случаев неврином слухового нерва. Среди первичных интракраниальных опухолей вестибулярные шванномы вестибулярные шванномы занимают 4-е место (после глиом, менингиом и аденом гипофиза), составляя до 6-10% всех верифицированных опухолей мозга и поражая преимущественно лиц работоспособного возраста (30-60 лет), на который приходится более 80% случаев. Вестибулярные шванномы составляют около 30% опухолей задней черепной ямки и до 90% новообразований мосто-мозжечкового угла. Несколько чаще встречаются у женщин, чем у мужчин, примерное соотношение 3:2.
Клиническая картина зависит от размеров опухоли. При небольших размерах симптоматики может не быть вовсе. По мере увеличения опухоли в размерах появляется симптоматика, зависящая от того, какие структуры сдавливает опухоль:
- Поражения нервов.
- Нарушение слуховой и вестибулярной функции.
- Расстройства функции вкуса на передней 2/3 языка и слюноотделения (XIII нерв).
- Расстройства функций каудальной группы нервов.
- Расстройства функции мимической мускулатуры.
- Глазодвигательные нарушения.
- Симптомы раздражении/компрессии ствола головного мозга.
- Различные виды нистагма.
- Пирамидная симптоматика.
- Мозжечковая симптоматика.
- Гипертензионно-дислокационный синдром.
Диагностика
Наиболее информативным методом выявления вестибулярных шванном является МРТ головного мозга с контрастным усилением в режиме Т1 и Т2. Это исследование позволяет определить размеры опухоли, наличие перитуморозного отека, наличие признаков окклюзионной гидроцефалии, которая может быть следствием сдавления опухолью IV желудочка. Кроме этого МРТ позволяет провести дифференциальную диагностику с другими опухолями схожей локализации (чаще с менингиомой задней грани пирамиды височной кости). Еще одним стандартом диагностики является КТ в костном режиме. Независимо от снижения слуха стандартом является проведение аппаратной аудиографии.
Классификация KOOS
I стадия: опухоль находится в пределах внутреннего слухового прохода, диаметр экстраканальной части составляет 1-10 мм.
II стадия: опухоль вызывает расширение канала внутреннего слухового прохода, и выходит в мостомозжечковый угол, ее диаметр составляет, 11-20 мм.
III стадия: опухоль распространяется до ствола головного мозга без его компрессии, диаметр составляет 21 - 30 мм.
IV стадия: опухоль вызывает компрессию ствола головного мозга, ее диаметр более 30 мм.
Классификация M. Samii
Т1 - интрамеатальная опухоль.
Т2 - интра-экстрамеатальная опухоль.
Т3а - опухоль заполняет мостомозжечковую цистерну.
Т3b - опухоль распространяется до ствола головного мозга.
Т4а - опухоль вызывает компрессию ствола.
Т4b - опухоль грубо деформирует ствол мозга и IV желудочек.
Тактика лечения
В зависимости от размеров опухоли, клинической симптоматики, возраста больного, тяжести его состояния, наличия сопутствующей патологии возможны 3 варианта тактики лечения:
- динамическое наблюдение;
- хирургическое лечение;
- стереотаксическая радиохирургия.
Динамическое наблюдение
Учитывая, что вестибулярная шваннома является доброкачественной опухолью с невысокими темпами роста, при небольших ее размерах, отсутствии или минимальном неврологическом дефиците возможен выбор выжидательной тактики. Особенно такой подход оправдан у пожилых людей, или у пациентов с выраженной декомпенсированной соматической патологией. Однако, в большинстве случаев, учитывая риски, связанные с возможным ростом опухоли, более оправданным считается выбор активной тактики.
Хирургическое лечение
Наличие у пациента вестибулярной шванномы является показанием к хирургическому лечению. Большие и гигантские размеры опухоли (более 3,5 см.) являются абсолютным показанием к хирургическому лечению. При меньших размерах возможно проведение радиохирургического лечения.
Для удаления вестибулярных шванном в настоящее время используются три основных доступа: транслабиринтный, ретросигмовидный (наиболее часто используемый) и доступ через среднюю черепную ямку. Каждый из них обладает своими преимуществами и своими же недостатками. В последние годы в связи с развитием микрохирургической техники результаты хирургического лечения пациентов значительно улучшились. Летальность после удаления вестибулярных шванном колеблется в пределах (0-3%), рецидивы опухоли наблюдаются в 5-10%.
В настоящее время превалирующим фактором результативности хирургического лечения считается качество жизни пациента, поэтому интраоперационная тактика в большей степени должна быть нацелена на достижение именно этой цели. Такие послеоперационные осложнения как паралич лицевого нерва (до 25%), нарушения глотания, глазодвигательные нарушения, несут существенную угрозу инвалидизации, поэтому проведение таких операций диктуют высокие требования к профессиональной подготовке оперирующего нейрохирурга. Из послеоперационных осложнений также следует отметить ликворею у 2-20% пациентов, которая иногда может потребовать проведение повторной операции для закрытия ликворного свища; кровоизлияние в ложе операции (1-2%); отек мозжечка и ствола мозга; гемипарез; менингит (1,2%); раневую инфекцию (1,2%); парез VI черепного нерва (1-2%) и парезы других, ниже расположенных черепных нервов; подкожную гематому (3%).
Стереотаксическая радиохирургия
Целью радиохирургического метода является контроль роста опухоли. Стабилизация процесса и даже уменьшение размеров наблюдается в 85-94% случаев, что соответствует мировым данным. Другим критерием эффективности лучевой терапии является высокий (до 98%) показатель отсутствия операции после проведения облучения. Важным также является сохранение функции улиткового и других черепных нервов в случаях, когда это возможно, а также улучшение неврологического статуса пациента. Эффективность применения Гамма-ножа при лечении больных с вестибулярными шванномами создало реальную альтернативу хирургическому лечению при опухолях, размеры которых не превышают 3,5 см, при этом метод радиохирургии лишен недостатков хирургического метода лечения.
После облучения опухоли гамма-ножом возможно как уменьшение ее размеров, так и временное их увеличение. Третьим возможным вариантом развития событий может быть продолженный рост опухоли, однако, это происходит нечасто (от 0 до 7% в течение 10 лет).
Версия для слабовидящих Карта сайта
Перед лечением врач проинформирует Вас о всей процедуре. Процедура лечения на гамма-ноже не требуют стрижки или бритья волос.
Точность крепления
Ключевым компонентом радиохирургии на гамма-ноже является применение Стереотаксической рамы. Это легкий каркас, который фиксируется на голове четырьмя винтами. Рама гарантирует точность подведения дозы облучения к опухоли, а также препятствует движению головы во время процедур визуализации и лечения. При проведении процедуры фиксации рамы винтами применяется местная анестезия.
Локализация мишени
Следующим шагом после установки стереотаксической рамы, является получение серии изображений, на магнитно-резонансном (МРТ) томографе, иногда (дополнительно) компьютерном томографе (КТ), в некоторых случаях требуется проведение процедуры ангиографии. Данные исследования необходимы для определения точного размера, формы и положения опухоли. Во время получения серии диагностических изображений на стереотаксическую рамку помещается специальный координатный блок для определения контрольных точек, с целью создания плана лечения в специальной компьютерной программе. После КТ и МРТ процедур координатный блок снимается с рамы.
Создание лечебного плана пациента
Как только снимки будут сделаны, пациент может отдохнуть. В это время лечащий врач совместно с медицинским физиком разработают индивидуальный лечебный план для пациента. Создание плана проходит в специальной компьютерной программе, в которой можно оценить дозовое распределение в объеме головного мозга, а также дозовые нагрузки на окружающие ткани.
Лечение
Как только план лечения будет готов, можно начинать лечение. Пациент укладывается на специальную кушетку, к которой будет прикреплена стереотаксическая рама. После начала лечения, кушетка будет перемещаться в куполообразную секцию устройства. Во время процедуры пациент бодрствует и может общаться с оператором гамма-ножа по аудио каналу (связи). Лечение бесшумное и безболезненное. Во время лечения возможно прослушивание музыки. Все время лечения пациент находится под постоянным видео- и аудио-контролем. Лечение может продлиться от нескольких минут до часа и более, в зависимости от объема поражения, а также размера и формы каждой мишени.
После лечения
Как только лечение будет завершено, врач снимет стереотаксическую раму с головы. У некоторых пациентов на местах крепления рамы могут наблюдаться небольшие отеки мягких тканей. Также возможна незначительная головная боль. Лечащий врач сообщит, нужно ли Вам оставаться на ночь для наблюдения или Вы сразу можете пойти домой. В любом случае Вы сможете вернуться к вашим обычным делам через день, два.
Что будет дальше?
Эффект от лечения появится со временем. Воздействие радиации на опухоль вызывает прекращение ее дальнейшего роста, а это означает, что эффект будет заметен в течение нескольких недель или месяцев. Для контроля эффективности лечения, с целью оценки его результатов через определенное время (в зависимости от вида патологии), потребуется проведение таких исследований как МРТ, КТ или ангиография.
Где я могу найти дополнительную информацию?
Обсудите с Вашим лечащим врачом, подходит ли для Вас лечение на гамма-ноже. Также спросите своего врача о дополнительных веб сайтах с интересующей Вас информацией. Всегда консультируйтесь со своим врачом.
Радиохирургия на гамма ноже.
Процедура на гамма-ноже не требует разрезов. Пациентам даже не нужно брить голову перед лечением.
На установке гамма-нож множество отдельных лучей высокой интенсивности точно фокусируются в заданном объеме. Даже на самую маленькую опухоль система нацелена с точностью 0,5 миллиметров. Каждый пучок имеет относительно низкую энергию, поэтому излучение практически не влияет на здоровую ткань головного мозга. Однако в фокусе все лучи сходятся, чтобы доставить высокую дозу радиации, которая убивает раковые клетки, даже в глубоких опухолях с нерегулярными формами.
Радиохирургия на гамма-ноже может использоваться в качестве метода первичного лечения или как дополнительная процедура к другим методам лечения, такие как облучение всего головного мозга или хирургия.
В чем отличие радиохирургии от лучевой терапии?
Часто для пациентов с метастазами в головной мозг, проводится лучевая терапия, называемая Облучение всего объема головного мозга (WBRT).
Этот метод позволяет лечить как видимую опухолевую ткань так и предполагаемые присутствующие опухолевые распространения, которые настолько малы, что их невозможно обнаружить с помощью чувствительных МРТ-сканов.
WBRT поставляется в виде серии сеансов (радиационных фракций). Обычно лечение требует нескольких недель, в течение которых пациент вынужден каждый день ходить в больницу.
Радиохирургия проводится за один сеанс и является предпочтительнее для головного мозга. Для лучевой терапии требуется многократное облучение т.к. за одну фракцию (процедуру лечения ) подводится небольшая разовая доза.
Многие ведущие врачи считают, что мозг требует более целенаправленного подхода, чем WBRT, т.к. при таком методе лечения в зону облучения входит весь объем головного мозга, включая и здоровые ткани, которые повреждаются.
Гамма-нож способен целенаправленно подводить высокие дозы радиации к отдельным опухолям и метастазам, при этом максимально снижая риск повреждения здоровой ткани головного мозга.
Существует несколько различных систем, которые разработаны специально для радиохирургии, но гамма-нож единственная система, разработанная специально для радиохирургии головного мозга, долгое время считается золотым стандартом для внутричерепной радиохирургии.
Невриномы слухового нерва
Ежегодно невринома слухового нерва выявляется примерно у одного из 100 тысяч человек. На долю этого заболевания приходится 11 - 12 % всех опухолей головного мозга. Болезнь может развиться как у молодых, так и у пожилых людей, но чаще всего обнаруживается в возрасте от 30 до 50 лет. У детей опухоли этого типа не встречаются вовсе. Женщины страдают данным недугом втрое чаще, чем мужчины. В последние годы количество диагностированных случаев невриномы слухового нерва увеличивается. Впрочем, не в последнюю очередь это объясняется количественным и качественным ростом МРТ-диагностики.
Что такое невринома слухового нерва?
Невринома слухового нерва - это доброкачественная (нераковая) опухоль. Несмотря на название, она не затрагивает собственно слуховой нерв, который состоит из двух корешков с разными функциями: улитковый отвечает за проведение слуховых импульсов в головной мозг, а вестибулярный связан с равновесием. Невриномы образуются в вестибулярном корешке, а именно - в его шванновских (оболочковых) клетках. Отсюда их второе название неврином - шванномы.
Внешне невринома слухового нерва (вестибулярная шваннома, акустическая невринома, акустическая шваннома) выглядит как плотный узел округлой, овальной или неправильной формы с бугристой поверхностью. В ее ткань нередко вкраплены кисты различных размеров, заполненные жидкостью. Опухоли обычно растут медленно и не распространяются на другие органы. Однако нередко ухудшают качество жизни человека: он теряет слух, возможность держать равновесие, поражаются лицевые нервы. Хотя невринома слухового нерва не является раком, она может быть опасна: вырастая до большого размера, новообразование начинает давить на головной мозг или его ствол, что приводит к постоянным головным болям, в редких случаях - к нарушению ясности сознания.
Типы невриномы слухового нерва
Невриномы слухового нерва бывают двух видов
- односторонние. Возникают спорадически, не наследуются и не связаны с другими новообразованиями центральной нервной системы;
- двусторонние. Встречаются у больных с нейрофиброматозом второго типа, который является генетической патологией и передается от родителей детям. У страдающих данным заболеванием людей, помимо шванном, как правило, развиваются также другие опухоли внутри головы и в позвоночнике.
Причины и группы риска
Причина развития невриномы слухового нерва на сегодня неизвестна. Также не выявлены какие-либо факторы риска развития невриномы, помимо предрасположенности к их возникновению в связи с генетически наследуемым заболеванием
Симптомы
Данное заболевание развивается по разным сценариям. В одних случаях новообразование остается небольшим, до полутора сантиметров в диаметре, никак себя не проявляет и не мешает жизни человека. Такая невринома не требует оперативного вмешательства, достаточно будет наблюдать за ее состоянием, посещая врача раз в год.
В других случаях опухоль разрастается и начинает давить на улитковый корешок слухового нерва, а при особо больших размерах - на ствол головного мозга. В связи с этим возникают следующие симптомы:
- постепенно развивающаяся или внезапная потеря слуха на одно ухо;
- тиннитус (звон в ухе). Он отмечается у 60 % пациентов;
- ощущение заложенности уха;
- проблемы с равновесием, головокружение и неустойчивость при резких поворотах головы или наклонах. Встречается у 60% заболевших;
- рвота, тошнота, вызванные нарушениями в работе вестибулярного аппарата. Встречаются крайне редко;
- онемение, чувство покалывания на пораженной опухолью стороне лица. В запущенных случаях болезнь приводит к парезу (ослаблению или параличу) лицевого и отводящего нервов;
- тупые, ноющие боли в голове, возникающие из-за сдавливания невриномой ствола головного мозга. Возникают на поздних стадиях;
- к симптомам поздней стадии относятся также расстройство зрения, трудности с жеванием и глотанием.
Симптомы невриномы слухового нерва нарастают медленно и часто ошибочно принимаются за нормальные возрастные изменения. Надо быть внимательным: если звон в ухе длится более двух месяцев, вам следует обратиться к врачу.
Заболевание выявляется в результате проверки слуха и последующей инструментальной диагностики. Как правило, врач проводит ряд исследований:
- проверка слуха. Во время обычного осмотра врач-отоларинголог может заметить снижение слуха у пациента. В этом случае будет назначен специальный тест, который называется аудиограмма для оценки слуха в обоих ушах;
- слуховой тест на ответную реакцию ствола мозга. В ходе этого исследования измеряется скорость электрических импульсов, проходящих от внутреннего уха к мозгу. Замедление или отсутствии импульса почти всегда указывает на наличие шванномы;
- электронистагмография. Тест, который позволяет выявить наличие проблемы по нистагму - непроизвольному движению глазных яблок. В ушной канал вводятся холодная и теплая вода, а специальный прибор фиксирует и анализирует движение глаз;
- Магнитно-резонансная томография (МРТ).
Если предыдущие исследования с большой долей вероятности указывают на шванному, наиболее информативным инструментальным методом визуализации считается МРТ. Это современное высокоточное неинвазивное исследование, которое позволяет определить размер и локализацию опухоли, а также увидеть состояние окружающих ее органов и тканей. Магнитно-резонансная томография проводится по назначению лечащего врача или по желанию пациента при наличии головных болей, головокружений, при подозрении на опухоль (ухудшение зрения, слуха, нарушение речи, чувствительности и движений в конечностях).
После проведения основной МР томографии может понадобиться уточняющее исследование для постановки дифференциального диагноза, уточнения размеров опухолевого процесса и степени вовлечения окружающих органов и структур. В таком случае назначается МРТ с контрастным усилением, в ходе которого в вену пациента вводится контрастное вещество. Изображения, полученные с применением контраста, дают не только точное представление о размере и границах невриномы, но позволяют оценить функциональные нарушения в органах.
Стадии заболевания
- 1-я стадия. Размеры опухоли не превышает 2,5 см. Отмечаются симптомы поражения слуха и вестибулярного аппарата, например, глухота на одно ухо. Возможны также частичное нарушение вкуса, легкий парез лицевого нерва;
- 2-я стадия. Невринома выросла до 2,5- 3,5 см. Симптомы усиливаются: возникает неконтролируемое движение глазных яблок, нарушается равновесие и координация движений;
- 3-я стадия. Размеры опухоли превысили 4 см. Она уже сильно давит на головной мозг, вследствие чего нистагм становится более заметным, возможны нарушения зрения. Скапливание жидкости в желудочках головного мозга (гидроцефалия) может привести к изменению сознания и нарушению психики пациента.
Лечение невриномы слухового нерва
На данный момент существует три основных вида лечения - выжидательная тактика (наблюдение), хирургическая операция и лучевая терапия. Выбор метода зависит от параметров конкретного случая. Врач определит оптимальное лечение, ориентируясь на следующие показатели:
- размер и место опухоли;
- возраст пациента;
- общее состояние здоровья;
- уровень слуха;
- предпочтение больного.
Выжидательная тактика. Показана в тех случаях, когда опухоль мала, расположена таким образом, что не сдавливает близлежащие нервы. Либо, несмотря на достаточно крупный размер, ничем себя не проявляет и не беспокоит пациента. Наблюдение также выбирается в качестве метода, если пациенту противопоказано оперативное вмешательство в силу пожилого возраста или ослабленности организма.
Врач порекомендует наблюдать за развитием процесса, ежегодно делать МР исследование и приходить на консультацию;
Хирургическая операция. Хирургия невриномы слухового нерва - очень сложная и тонкая операция. Показана людям молодого возраста в тех случаях, когда опухоль растет, симптомы усиливаются, а радиохирургия не дает ожидаемого результата. Проводится для сохранения зрения, слуха, лицевого нерва. Хирургическая операция может быть проведена через различные доступы: сосцевидный отросток (транслабиринтный доступ); за ухом (ретросигмоидный доступ); над ухом (средняя ямка).
Операция идет под анестезией, предполагает трепанацию черепа. Восстановительный период длиться от полгода до года.
Лучевая терапия
Гамма-нож
Операции на установке Гамма-нож представляют собой неинвазивный (бескровный) метод лечения неврином слухового нерва, по своей эффективности не уступающий открытой хирургии и значительно снижающим риск послеоперационных осложнений. На сегодняшний день в мире известно более чем о 28 тысяч пациентов с невриномами слухового нерва, пролеченных с помощью Гамма-ножа, и их количество продолжает возрастать.
Целью радиохирургического лечения является предотвращение дальнейшего роста опухоли с минимизацией риска осложнений со стороны прилегающих невральных структур. Биолологические эффекты радиохирургического лечения неврином слухового нерва связаны с разрушением опухолевой ДНК и тромбозом сосудов, питающих опухоль.
Операции на Гамма-ноже показаны больным, у которых наибольший размер опухоли не превышает 3 см. А также - пациентам с остаточными и рецидивирующими опухолями после проведенного микрохирургического удаления.
До начала радиохирургического лечения проводится обследование, позволяющее определить точное положение опухоли и прилегающих нервных образований. Выполняется трехмерная реконструкция, отображающая детальную микрохирургическую анатомию этой области. Для этой цели с помощью МРТ получают четкую визуализацию опухоли и нервов во внутреннем слуховом проходе и области мосто-мозжечкового угла.
С помощью планирующей системы Gamma Planи автоматической позиционирующей системывозможно проводить очень точное облучение опухоли (точность 0,5 мм), избегаяповреждения черепных нервов и других важных отделов мозга.

Преимуществами лечения на Гамма-ноже являются высокая степень сохранения функции лицевого нерва (в 98%) и слуха (в 80%). Полностью отсутствуют осложнения, связанные с открытой операцией (менингит, ликворея). Лечение проводится за один день. Госпитализации и послеоперационного восстановительного периода не требуется. Большинство пациентов возвращаются к своему обычному образу жизни на следующий деньпосле операции.

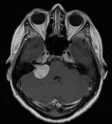
Слева - МРТпациентки М., 65 лет. Обратилась в радиохирургический центр МИБС с диагнозом-невринома правого VIII нерва. Проведено радиохирургическое лечение, доза по краю невриномы составила 13 Грей, в изоцентре опухоли 21,7 Грей.
Справа - контрольное МРТ через 1,5 года после операции. Отмечается уменьшение объёма опухоли на 47%.
Кибер-нож
Роботизированная радиохирургическая система Кибер-нож, предназначенная для лечения доброкачественных и злокачественных опухолей. В отличие от Гамма-ножа, не имеет ограничений, связанных с размером новообразования. Принцип воздействия радиации на невриному, а также преимущества перед хирургическом вмешательством аналогичны описанным выше, а разделе о Гамма-ноже.
Отдаленные результаты радиохирургического лечения хорошо изучены на протяжении более 50 лет. Уровень контроля за опухолью (отсутствие роста после радиохирургического лечения) составляет 95%. Безопасность лечения и отсутствие побочных эффектов подтверждены длительными периодами наблюдения. На МРТ исследовании, выполненном через 6-12 месяцев после операции, видно, что контраст перестает накапливаться в центре опухоли. После чего новообразование начинает замещаться соединительной тканью. радиационный ответ обычно проявляется через 6-12 месяцев ввидепотери контрастного усиления в центре опухоли, после чего опухоль начинает замещаться соединительной тканью.
Читайте также:

