Схема обследования ЖКТ при раке. Дифференциация первично множественного рака ЖКТ
Добавил пользователь Валентин П. Обновлено: 21.11.2025
Медицинский радиологический научный центр РАМН, Обнинск
Медицинский радиологический научный центр им. А.Ф. Цыба — филиал ФГБУ «Национальный медицинский исследовательский центр радиологии» Минздрава России, Обнинск, Россия
ФГБУ "Медицинский радиологический научный центр" Минздрава РФ, Обнинск
Первично-множественные злокачественные опухоли трех и более локализаций у больных раком желудка и толстой кишки
Журнал: Онкология. Журнал им. П.А. Герцена. 2012;1(3): 16‑21
Скоропад В.Ю., Бердов Б.А., Рухадзе Г.О., Евдокимов Л.В. Первично-множественные злокачественные опухоли трех и более локализаций у больных раком желудка и толстой кишки. Онкология. Журнал им. П.А. Герцена. 2012;1(3):16‑21.
Skoropad VIu, Berdov BA, Rukhadze GO, Evdokimov LV. Polyneoplasias of three or more sites in patients with cancer of the stomach and large intestine. P.A. Herzen Journal of Oncology. 2012;1(3):16‑21. (In Russ.).
Проанализирован опыт лечения и наблюдения за 26 больными, имевшими три и более первично-множественные злокачественные опухоли с локализацией одной из них в желудке или толстой кишке. У 4 больных имело место поражение желудка, у 20 - толстой кишки, у 2 - обоих органов. Опухоли трех локализаций были выявлены у 21 больного, четырех локализаций - у 4 больных, шести локализаций - у 1 больного; 26 опухолей были синхронными и 59 - метахронными. Радикальное лечение осуществлено в 65 (76%) случаях. Наиболее часто применяли хирургическое и комбинированное лечение. При диспансерном наблюдении за пациентами, ранее пролеченными по поводу злокачественных новообразований, необходимо уделять особое внимание диагностике метахронных опухолей, которые более вероятны для предыдущих локализаций с учетом выявленных нами и другими исследователями закономерностей. Авторы заключили, что развитие первично-множественных опухолей - нередкая и постоянно возрастающая тенденция; их наличие не является противопоказанием к радикальному, в том числе комбинированному, лечению каждого из новообразований; выявление опухолей на ранних стадиях и успешное их лечение требует тщательной диспансеризации больных в специализированных медицинских учреждениях с учетом данных о преимущественных локализациях вторых опухолей; эта категория больных требует проведения генетических исследований с целью исключения наследственных синдромов.
Частота первично-множественных злокачественных опухолей (ПМЗО), по данным разных авторов, существенно варьирует. В России доля ПМЗО среди больных с впервые в жизни установленным диагнозом злокачественного новообразования в 2010 г. составила 2,8% (в 2000 г. — 1,9%) [1]. Таким образом, за 10 лет был отмечен отчетливый рост числа больных с полинеоплазиями. Тем не менее эти цифры не отражают истинного состояния проблемы в связи с недостаточно полным обследованием больных в неспециализированных медицинских учреждениях, трудностью дифференциальной диагностики ПМЗО с метастазами, крайне низким количеством аутопсий. Как правило, в литературе сообщается о ПМЗО двух локализаций, среди них лидируют новообразования желудочно-кишечного тракта [2—4]. Публикации о ПМЗО трех и более локализаций до настоящего времени остаются достаточно редкими и, как правило, являются предметом описания отдельных клинических наблюдений [5, 6]. Тем не менее имеются данные о постоянном росте числа больных с ПМЗО трех и более локализаций. Так, в Японии они составили 0,81% по отношению ко всем произведенным аутопсиям [5].
Целью работы явился анализ клинико-морфологических характеристик, вариантов лечения и его результатов у больных, имевших три и более ПМЗО с локализацией одной из них в желудке и/или толстой кишке.
Материалы и методы
При анализе больных с ПМЗО мы использовали критерии, сформулированные S. Warren, O. Gates [7]: злокачественный характер каждой опухоли должен быть подтвержден морфологически; опухоли должны быть расположены раздельно; возможность того, что вторая опухоль является метастазом первой, должна быть исключена. Следует подчеркнуть, что во всех без исключения случаях было получено морфологическое подтверждение каждого из новообразований, что позволило подтвердить первичную множественность опухолей и исключить их метастатический характер. Синхронными считали те опухоли, интервал между выявлением которых не превышал 6 мес. Все остальные вторые опухоли относили к метахронным.
Распространенность и морфологическое строение злокачественных опухолей оценивали в соответствии с 7-й редакцией классификации TNM [10].
Результаты и обсуждение
Мы располагаем уникальным опытом лечения и наблюдения за 26 больными, имевшими три и более ПМЗО с локализацией одной из них в желудке и/или толстой кишке. У 4 больных имело место поражение желудка, у 20 — толстой кишки, у 2 — обоих органов. О значительно большей частоте выявления трех и более новообразований у больных раком толстой кишки по сравнению с другими отделами желудочно-кишечного тракта сообщают и другие авторы. По данным В.И. Чиссова и соавт. [2], основанным на анализе более 5000 больных раком желудка и более 1700 больных раком толстой кишки, опухоли трех и более локализаций имели место в 8 (0,16%) и 10 (0,6%) случаях соответственно. H. Cheng и соавт. [9] описали 129 случаев полинеоплазий у больных с опухолями желудочно-кишечного тракта. Три опухоли выявлены у 9 (7%) больных, преобладающей локализацией были различные отделы толстой кишки. Рак желудка имел место у 2 больных, у которых он был первым новообразованием и в последующем сочетался с метахронным раком ободочной кишки. M. Dinis-Ribeiro и соавт. [8] ретроспективно проанализировали 2668 больных раком желудка. ПМЗО выявлены у 78 (3,4%) больных, в том числе опухоли трех и более локализаций у 17 (у 13 больных было три опухоли, у 3 — четыре, у 1 — семь). По отношению ко всей группе больных раком желудка эти цифры в целом соответствуют предыдущим исследованиям (0,6%), однако их доля в структуре полинеоплазий значительно превышает данные других авторов (22%).
В нашем исследовании опухоли трех локализаций были выявлены у 21 больного, четырех локализаций — у 4, шести локализаций — у одного (табл. 1). Общее количество опухолей составило 85, из них 26 были синхронными и 59 — метахронными. Опухолей желудочно-кишечного тракта было 44, в том числе 17 синхронных и 27 — метахронных. По данным большинства авторов [2, 9], у больных, имевших 3 и более ПМЗО, при раке желудка синхронное опухолевое поражение практически не встречалось, в то же время при раке толстой кишки синхронные полинеоплазии имели место весьма часто, в том числе и в различных отделах органа.
У больных раком желудка среди вторых опухолей преобладали новообразования урогенитальной области (6 опухолей: рак почки — 3, рак предстательной железы — 2, рак мочевого пузыря — 1); рак ободочной кишки, молочной железы и кожи имел место в двух случаях каждый. Рак толстой кишки чаще сочетался с опухолями других локализаций в этом же органе (15 случаев), новообразованиями кожи (9), раком молочной железы (8), опухолями мочевой системы (6), раком шейки и тела матки (5) (см. табл. 1).
Среди 26 больных с ПМЗО было 14 мужчин и 12 женщин. Возраст больных на момент диагностики первой опухоли варьировал от 27 до 76 лет (в среднем — 52 года). Интервал времени между выявлением первой и второй опухоли составил в среднем 8,7 лет, между второй и третьей — 10,8 лет, между третьей и четвертой — 5,3 года.
У больной, имевшей шесть злокачественных новообразований, интервал между первой и последней опухолью составил 18 лет, ее возраст был 31 год и 49 лет соответственно. H. Cheng и соавт. [9] приводят следующие данные — 7,2 года (между первой и второй опухолью) и 5,2 года (между второй и третьей опухолью).
Из 85 опухолей радикальное лечение было осуществлено в 65 (76%) случаях. Наиболее часто применяли хирургическое — 33 случая и комбинированное лечение (оперативное вмешательство с различными вариантами лучевой и/или химиотерапии) — 34. Радикальное лечение по поводу новообразований желудочно-кишечного тракта было проведено в 31 случае (23 — хирургический метод, 8 — комбинированный), что составило 71% от числа опухолей пищеварительной системы; паллиативное лечение — в 12 (27%) случаях (табл. 2).
В целом из 26 больных с ПМЗО трех и более локализаций у 11 (42%) были радикально пролечены все опухоли, при этом у 7 больных имели место ПМЗО трех локализаций, у 3 — четырех и у 1 — шести локализаций. Абсолютному большинству из них было проведено хирургическое или комбинированное лечение. Более 5 лет после лечения последней опухоли без прогрессирования предыдущих и развития новых наблюдаются 8 больных, более 3 лет — 1, и более 1 года — 2 больных.
Клиническое наблюдение
Больная Е., 1960 года рождения, впервые была госпитализирована в МРНЦ 31 мая 1991 г. с диагнозом: рак тела матки IB стадии. До поступления в стационар на протяжении 4 мес отмечала межменструальные кровянистые выделения. При фракционном выскабливании была выявлена аденокарцинома G2. 14 июня 1991 г. выполнена экстирпация матки с придатками. Гистологическое исследование: умереннодифференцированная аденокарцинома, врастающая в миометрий, регионарные лимфатические узлы без признаков опухоли. В послеоперационном периоде был проведен курс сочетанной лучевой терапии: двухосевая гамма-терапия в СОД 50 Гр + эндовагинальная гамма-терапия в СОД 21 Гр.
В декабре 2000 г. при плановом амбулаторном обследовании была обнаружена опухоль щитовидной железы. Больная была госпитализирована, выполнена тиреоидэктомия с удалением паратрахеальной клетчатки слева. Гистологическое исследование: неинкапсулированный папиллярный рак без прорастания в капсулу, регионарные лимфатические узлы без признаков опухоли (II стадия, T2N0M0).
В августе 2002 г. пациентка на плановом визите предъявила жалобы на примесь крови в кале на протяжении последнего месяца. При колоноскопии был выявлен рак сигмовидной кишки. 25 сентября 2002 г. выполнена резекция сигмовидной кишки. Гистологическое исследование: умереннодифференцированная аденокарцинома с прорастанием в мышечный слой стенки сигмовидной кишки, регионарные лимфатические узлы без признаков опухоли (I стадия, T2N0M0G2).
При проведении очередной плановой колоноскопии 7 марта 2008 г. были выявлены две синхронные опухоли в прямой и сигмовидной кишке. Непосредственно во время исследования была удалена опухоль прямой кишки. Гистологическое исследование: пролиферирующая тубулярная аденома с малигнизацией эпителия желез на верхушке сосочков, TisN0M0. В последующем была выполнена левосторонняя гемиколэктомия. Гистологическое исследование: высокодифференцированная аденокарцинома на уровне слизистого слоя (I стадия, T1N0M0G1).
При проведении очередной плановой колоноскопии 18 марта 2009 г. была выявлена опухоль поперечной ободочной кишки. 21 апреля 2009 г. выполнена резекция поперечной ободочной кишки. Гистологическое исследование: аденокарцинома на уровне слизистого слоя толстой кишки, регионарные лимфатические узлы без признаков опухоли (I стадия, T1N0M0).
С учетом развития ПМЗО пациентке было проведено молекулярно-генетическое исследование, которое выявило мутацию гена MSH6, что характерно для наследственного неполипозного колоректального рака (синдрома Линча).
К настоящему времени больная жива без признаков рецидива и развития новых опухолей (более 20 лет от момента выявления и лечения первой опухоли).
Стадия опухоли достоверно неизвестна у 4 больных (лечение проводилось в других учреждениях, подробные выписки отсутствуют). Среди 81 опухоли 33 имели I стадию (в том числе 15 — желудочно-кишечного тракта).
При диспансерном наблюдении за пациентами, ранее пролеченными по поводу злокачественных новообразований, необходимо уделять особое внимание диагностике потенциальных метахронных опухолей, которые более вероятны для предыдущих локализаций с учетом выявленных нами и другими исследователями закономерностей [2, 9, 11]. Так, для опухолей желудочно-кишечного тракта это прежде всего исследование пищеварительной системы, молочных желез, органов урогенитальной сферы, ЛОР-органов, легких. Также целесообразно проведение медико-генетического консультирования для определения наследственных синдромов и мутаций.
Таким образом, развитие первично-множественных опухолей — нередкое и постоянно возрастающее по частоте явление; наличие ПМЗО не является противопоказанием к радикальному, в том числе комбинированному, лечению каждого из новообразований; выявление опухолей на ранних стадиях и успешное их лечение требуют тщательной диспансеризации больных в специализированных медицинских учреждениях с учетом данных о преимущественных локализациях вторых опухолей; больные с ПМЗО требуют проведения генетических исследований с целью исключения наследственных синдромов.
Онкологические заболевания органов ЖКТ
Онкологические заболевания пищеварительного тракта - это общий термин для целой группы раковых поражений органов желудочно-кишечного тракта. В структуре заболеваемости онкология ЖКТ занимают лидирующие позиции, одинаково часто болеют как мужчины, так и женщины, преимущественно среднего и преклонного возраста.
Акции
Полное обследование на онкологические заболевания для мужчин и женщин.
Онкоконсилиум может потребоваться как при лечении в «СМ-Клиника», так и пациентам других медицинских учреждений с целью получения альтернативного мнения.
«СМ-Клиника» предоставляет своим пациентам предоперационное обследование со скидкой до 72%!
Консультация врача-хирурга по поводу операции бесплатно!
- Рак слюнных желез
- Рак фатерова сосочка
- Рак толстой (ободочной) кишки
- Рак желчного пузыря
- Рак желчных протоков
- Рак пищевода
- Рак кишечника
- Рак двенадцатиперстной кишки
- Рак языка
- Рак гортани
- Рак поджелудочной железы
- Рак прямой кишки
- Рак анального канала
- Первичный рак печени
- Метастазы рака в печень
- Гастроинтестинальная стромальная опухоль ЖКТ
- Рак желудка
Содержание статьи:
Рак пищеварительной системы включает в себя опухолевые образования:
- пищевода;
- поражения желудка (одни из самых частых);
- поджелудочной железы;
- тонкой и толстой кишки;
- поражения прямой кишки и области ануса;
- опухоли печени и желчного пузыря.
В эту группу также относятся стромальные и эндокринно-активные (гормональные) опухоли тканей, образующих пищеварительную систему.
Общие сведения
Рак пищеварительной системы - это злокачественные поражения пищеварительной трубки, а также желез, участвующих в процессе переваривания пищи. Этот вид онкологии опасен тем, что длительное время может никак себя не проявлять, повреждает большой объем тканей и способен к метастазированию в соседние и отдаленные органы. Раковые опухоли имеют разные размеры и локализацию, гистологический тип и форму, но приводят к нарушению работы ЖКТ и формированию осложнений.
В сравнении с другими типами рака выживаемость в течение 5 лет при поражениях ЖКТ ниже. Если это опухоли желудка, она составляет до 30%, для поражений кишечника - около 68%. При раке поджелудочной железы после установления диагноза только 9% людей живут более 5 лет. Летальность от рака пищеварительной системы вдвое превышает гибель от рака молочной железы и простаты вместе взятых Источник:
Е.М. Аксель
Статистика злокачественных
новообразований желудочно-кишечного тракта //
Сибирский онкологический журнал, 2017, №16(3), с.5-11 .
Проблема еще и в лечении данного типа рака. Обычно требуется комбинированный подход с удалением опухоли, а также лучевыми и химиотерапевтическими методами. Это достаточно тяжело для организма, поэтому нужно подбирать терапию индивидуально и тщательно, с учетом стадии и локализации рака.
Причины рака ЖКТ
Опухоли пищеварительной системы - достаточно разнородна группа рака. На сегодняшний день не выявлено единой конкретной причины, которая бы провоцировала рост злокачественных онкологических заболеваний желудочно-кишечного тракта. Выделяют влияние негативных внешних факторов в сочетании с генетической предрасположенностью человека к развитию раковых опухолей. Эти сочетания провоцируют трансформацию здоровых клеток пищеварительной системы в неопластические, которые дают начало раковой опухоли.
Общие факторы риска рака ЖКТ актуальны для большинства опухолей. К ним относятся:
- вредные привычки - курение, вейпинг и прием алкоголя в неумеренных дозах;
- старение организма;
- питание с высоким содержанием жиров, красителей, консервантов, химических соединений, канцерогенов;
- хронические воспалительные поражения органов (колиты, панкреатиты, гастрит);
- избыточный вес, ожирение, метаболический синдром;
- длительный и нерациональный прием некоторых лекарственных препаратов.
Для некоторых видов рака типичны и свои дополнительные провоцирующие факторы. Например, для рака желудка типично присутствие в слизистой органа Helicobacter pylori, кислотоустойчивых бактерий, повреждающих клетки. Для рака пищевода одним из провоцирующих факторов становится рефлюксная болезнь - постоянный заброс кислоты из желудка приводит к метаплазии эпителия и инициации рака. Для рака кишечника типичны длительные эпизоды интоксикаций на производстве и в быту. Также провокаторами рака толстой кишки могут стать язвенный колит и полипоз кишечника, пернициозная анемия.
Первые признаки, клинические симптомы
Для многих видов онкологии желудочно-кишечного тракта имеется рад специфичных признаков, отражающий нарушение функции. Общими характеристиками всех видов рака пищеварительных органов является их длительное, бессимптомное течение, на ранних стадиях пациенты не имеют жалоб, или жалобы носят общий характер. Серьезные проявления возникают, когда опухоли достигают больших размеров, разрушают стенку кишки, прорастают в соседние ткани, сдавливают протоки желез. Среди общих признаков выделяют:
- ощущение давления в области грудной клетки, брюшной полости, боль в спине;
- нарушение прохождения пищи по пищеводу, расстройство желчеотделения или выведения панкреатических ферментов;
- нарушения пищеварения с вздутием живота, спазмами, частицами непереваренной пищи в стуле;
- появление крови в стуле или изменения его окраски.
Обычно симптомы онкологических заболеваний ЖКТ возникают при наличии раковых опухолей большого размера, если они давят на кишку, печень или соседние органы брюшной полости. Возникает:
При поражении желудка типична кровавая рвота, анемия, черный стул. При поражении печени - желтуха, кожный зуд, обесцвечивание кала, чередование поносов и запоров, метеоризм.
Виды рака ЖКТ
Раковые опухоли ЖКТ дифференцируют в зависимости от локализации. К ним относятся опухолевые поражения:
- и глотки; ;
- разные виды рака желудка;
- поражения поджелудочной железы; и метастатические поражения печени, желчных протоков;
- тонкокишечный рак;
- поражения толстого кишечника; и анального отверстия;
- разные локализации гастроинтестинальных стромальных опухолей.
По форме раковой опухоли, с учетом ее внешнего вида, роста и состава клеток, выделяют несколько типов поражений:
- Язвенный. Опухоль прорастает в просвет органов, постепенно перекрывая его.
- Полипозный. Образуются узлы разного размера, выпирающие в просвет органа и перекрывающие его.
- Диффузный. Второе название - инфильтративный. Образуется под слизистой оболочкой, поражает все слои органа и растет в стороны от первичного очага. На поверхности пораженного участка могут образовываться язвы Источник:
Nathan M Krah , L Charles Murtaugh
Differentiation and Inflammation: 'Best Enemies' in
Gastrointestinal Carcinogenesis //
Trends Cancer . 2016 Dec;2(12):723-735.
doi: 10.1016/j.trecan.2016.11.005 .
По строению клеток, образующих раковые опухоли, выделяется несколько вариантов онкологии. На основе этих данных врач определяет агрессивность течения и прогнозы заболевания.
- Высокодифференцированная опухоль - раковые клетки очень похожи на здоровые, опухолевый рост медленный, метастазы возможны только в терминальных стадиях.
- Умеренно дифференцированная опухоль - клетки рака отличаются от здоровых, опухоль растет относительно медленно, метастазы возможны уже на 3 стадии процесса.
- Низкодифференцированная опухоль - клетки существенно отличаются от нормальных, типично быстрое увеличение размеров рака, метастазы поражают соседние ткани, лимфоузлы и отдаленные органы.
- Недифференцированная опухоль - клетки незрелые, появляются из слизистой, течение агрессивное со стремительным ростом образования, метастазы возможны на ранних стадиях, прогноз для жизни неблагоприятный.
- Хронический атрофический гастрит. На его фоне развивается до 60% всех случаев рака желудка. При локализации атрофического процесса в теле желудка, риск увеличивается в 3-5 раз, в антральной его части — в 18 раз, а если поражен весь желудок — в 90 раз.
- Нарушение питания — употребление большого количества острых и соленых продуктов, маринадов, копченостей, вяленого мяса, а также жиров, особенно подвергшихся термической обработке. Имеет значение характер приема пищи. Переедание, недостаточно тщательное пережевывание пищи может привести к хронической травматизации стенки желудка и на этом фоне — к злокачественному перерождению клеток.
- Инфицирование бактерией Хеликобактер пилори увеличивает риски в 3-4 раза.
- Курение и злоупотребление алкоголем.
- Наличие в анамнезе операций на желудке. Риск развития рака увеличивается в 4 раза.
- Пернициозная анемия — злокачественная анемия, связанная с невозможностью усвоения витамина В12. На этом фоне происходит снижение иммунитета, что в 10% случаев приводит к развитию рака.
- Иммунодефицитные состояния, в том числе СПИД.
- Наследственная предрасположенность по данным разных авторов увеличивает риск на 5-20%. В научной литературе описаны случаи наследования аденокарциномы желудка.
- Работа с вредными производственными факторами (никель, асбест).
- Язва желудка. При ее расположении в теле желудка, риски малигнизации увеличиваются в 2 раза, а при поражении антрального отдела данной закономерности не отмечается.
- Папиллярная — визуально напоминает полип.
- Тубулярная. Произрастает из клеток кубического или цилиндрического эпителия.
- Муцинозная. Произрастает из слизисто-продуцирующих клеток.
- Высокодифференцированная аденокарцинома желудка (G1). Клетки опухоли имеют высокий уровень дифференцировки и «напоминают» здоровую ткань. Характеризуется медленным ростом и, при своевременной диагностике, хорошо поддается излечению. Главная проблема заключается в том, что в самом начале данную опухоль сложно обнаружить, даже при эндоскопическом обследовании, а ее выявление на поздних стадиях не позволяет достичь желаемого результата.
- Умеренно дифференцированная аденокарцинома желудка (G2). Клетки этой опухоли сложно идентифицировать с тканью, из которой она произрастает. Характеризуется умеренной злокачественностью и скоростью роста.
- Низкодифференцированная аденокарцинома желудка ( малодифференцированная аденокарцинома желудка , аденокарцинома G3 желудка ). Клетки данной опухоли невозможно идентифицировать с определенной тканью. Это наиболее злокачественный тип рака желудка. Характеризуется быстрым ростом и метастазированием.
- Потеря аппетита.
- Явления диспепсии — вздутие живота, тошнота, отрыжка, чувство тяжести. Если опухоль имеет большие размеры, она может перекрывать просвет желудка, что вызывает рвоту при приеме пищи, но это происходит уже на последних стадиях.
- Слабость и апатия.
- Боль. Как правило, она возникает не сразу, а преимущественно на распространенных стадиях. В это время она носит постоянный характер и не зависит от приема пищи. Возникает без видимых причин и часто усиливается после еды. На последних стадиях она настолько сильная, что не купируется привычными анальгетиками.
- 0 стадия или рак in situ. Злокачественные клетки не распространяются на пределы эпителиального слоя.
- 1 стадия. Опухоль прорастает эпителий и распространяется на другие слои стенки желудка, но не выходит за ее пределы.
- 2 стадия. Опухоль увеличивается в размерах и дает метастазы в регионарные лимфатические узлы.
- 3 стадия. Аденокарцинома прорастает в соседние органы (поджелудочная железа, печень) и/или дает метастазы в несколько групп лимфатических узлов.
- На четвертой стадии, аденокарцинома дает метастазы в отдаленно расположенные органы и лимфатические узлы.
- ФГДС — обследование, которое осуществляется с использованием специального прибора — гибкого эндоскопа. С его помощью производится визуальный осмотр слизистой оболочки желудка, причем прибор транслирует увеличенное изображение исследуемого участка на монитор, что позволяет обнаружить незначительные изменения слизистой. Во-вторых, эндоскоп оснащен специальной манипуляционной системой, с помощью которой можно взять кусочек ткани на гистологический анализ и точно определить вид опухоли и степень дифференцировки ее клеток.
- УЗИ. Этот метод исследования позволяет уточнить размер опухоли, ее соотношение с соседними органами, наличие метастазов в регионарные лимфатические узлы.
- КТ и МРТ также помогают верифицировать размеры злокачественного новообразования и его врастание в окружающие ткани, но главной целью является поиск метастазов в лимфоузлы и отдаленные органы (например, легкие).
- ПЭТ-КТ (позитронно-эмиссионная компьютерная томография) позволяет обнаружить отдаленные метастазы размером до 1 мм.
- Определение онкомаркеров РЭА, СА72-4, СА19-9. При раке желудка эти маркеры не имеют диагностического значения как такового, но при исходном повышении нормы, их можно использовать в качестве контроля лечения и возникновения рецидива. После операции уровень онкомаркеров должен снизиться, он может достичь нормы. При возникновении рецидива или прогрессирования заболевания, он будет опять нарастать.
- Поражение узлов левой надключичной области — метастазы Вирхова.
- Поражение параректальных ЛУ — метастазы Шницлера.
- Поражение подмышечных ЛУ — метастазы Айриша.
- При первой стадии пятилетняя выживаемость достигает 80%. Причем высоки шансы на полное выздоровление. К сожалению, на этой стадии рак желудка выявляется очень редко, как правило, случайно.
- На второй стадии пятилетняя выживаемость приближается к 55%. Половина из этих людей имеет шансы на полное излечение. Согласно данным литературы, менее 10% злокачественных опухолей желудка выявляются на второй стадии.
- При третьей стадии пятилетняя выживаемость находится на уровне менее 40%, а при четвертой — не превышает 5%. К сожалению, до 75% аденокарцином выявляется именно на четвертой стадии.
- наличие близких родственников с раком желудка в анамнезе;
- полипы желудка или аденоматозный полипоз;
- язвенная болезнь и хронический гастрит;
- повышенный уровень Helicobacter Pilory;
- дуодено-гастральный рефлюкс;
- кишечная метаплазия - замещение желудочного эпителия кишечным;
- неправильное питание - большое количество соленой, острой и копченой пищи, животных жиров, низкое содержание овощей и фруктов;
- недостаток витамина С;
- употребление низкокачественных и просроченных продуктов; и избыточное потребление алкоголя;
- возраст старше 60 лет, особенно у мужчин;
- срок 5-10 лет после операции на желудке.
- изжога;
- тошнота;
- снижение аппетита;
- ощущение вздутия после еды;
- дискомфорт в верней части живота;
- повышенная утомляемость, слабость.
- рвота;
- кал черного цвета;
- отрыжка;
- чувство переполненного желудка;
- боли в животе;
- желтуха;
- асцит - увеличение объема живота из-за скопления жидкости;
- потеря веса.
- Тубулярная - состоит из тубулярных структур, находящихся в фиброзной строме. В просветах желез вырабатывается слизь, развиваются кистозные полости.
- Папиллярная (сосочковая) - новообразование представлено ворсинками с фиброзной основой.
- Муцинозая (слизистый рак). Более чем наполовину состоит из муцина - основного компонента секрета желудочных желез. Клетки расположены хаотично или выстроены в цепочку, вокруг которой имеется скопление слизи.
- Перстневидноклеточная. Более половины новообразования занимают клетки с муцином в цитоплазме. Он сдвигает ядро клетки в сторону, из-за чего она принимает перстневидную форму. В некоторых классификациях перстневидноклеточные опухоли относят к фиброзным, так как они имеют склонность к диффузной инфильтрации, однако функционально они часто имеют примесь железистого компонента и поэтому являются железистыми.
- Коллоидный (слизистый) рак. Новообразование, сформированное в виде пластов из клеток, содержащих слизь. Располагается чаще всего в подслизистом слое либо между слоями мышечной оболочки.
- Фиброзный рак (скирр, скиррозный). Содержит гипертрофированную соединительную ткань с содержанием, иногда - весьма незначительным, малигнизированных клеток в форме куба, которые образуют тяжи и ячейки.
- Солидный (мозговой) рак. Ткань опухоли анаплазирована, в ней определяется большое количество мелких злокачественных клеток полигональной формы. Соединительнотканная строма присутствует в минимальном количестве.
- Мелкоклеточный рак. На его долю приходится лишь около 0,6 % от всех видов рака желудка. Из мелких клеток, по форме напоминающих лимфоциты, формируются пласты или солидные структуры. Во многих клетках присутствуют нейроэндокринные гранулы.
- Плоскоклеточный рак. Развивается очень редко. Опухоль происходит из метаплазированного железистого эпителия. Может быть поверхностным - поражение наружных слоев слизистой оболочки, и инвазивным - проникает в глубокие слои органа.
- Смешанные формы.
- 0 - единичные атипичные клетки обнаруживают только в верхнем слое слизистой желудка;
- I - клетки опухоли поражают слизистый и подслизистый слои желудочной стенки.
- I А - поражен только подслизистый слой;
- I В - поражен также мышечный слой желудка, выявлены метастазы в 1-2 близлежащих лимфоузлах.
- II A - опухоль распространяется:
- на подслизистый или мышечный слои желудочной стенки, в 1-2 близлежащих лимфоузлах выявлены метастазы;
- подслизистый слой с метастазами в 3-6 близлежащих лимфоузлах.
- на внешний слой желудочной стенки;
- субсерозный слой ткани под внешней оболочкой с метастазами в 1-2 близлежащих лимфоузлах;
- мышечный слой желудочной стенки с метастазами в 3-6 близлежащих лимфоузлах;
- подслизистый слой желудочной стенки с метастазами в 7 или более близлежащих лимфоузлах.
III стадия делится на подстадии:
- III A - опухоль распространяется:
- на внешний слой желудочной стенки с метастазами в1-2 близлежащих лимфоузлах;
- серозный слой ткани под внешней оболочкой с метастазами в 3-6 близлежащих лимфоузлах;
- мышечный слой желудочной стенки с метастазами в 7 или более близлежащих лимфоузлах.
- в близлежащие органы - селезенку, печень, диафрагму, почку, надпочечник, поджелудочную железу, поперечно-ободочную или тонкую кишку с метастазами в 1-2 близлежащих лимфоузла;
- во внешний слой желудочной стенки с метастазамив 3-6 близлежащих лимфоузлах.
- в близлежащие органы - селезенку, печень, диафрагму, почку, надпочечник, поджелудочную железу, поперечно-ободочную или тонкую кишку с метастазами в 3 и более лимфоузла;
- во внешний слой желудочной стенки с метастазами в 7 и более близлежащих лимфоузла.
IV стадия - опухоль за счет метастазирования распространяется в отдаленные органы и ткани - печень, яичники, надключичные лимфоузлы и т.п.
Метастазы при раке желудка
Существуют имплантационный, лимфогенный и гематогенный пути метастазирования рака желудка.
При имплантационном пути метастазирования злокачественный процесс разрушает капсулу органа, и раковые клетки обсеменяют ту или иную полость организма. Такие метастазы рака желудка часто представлены канцероматозом брюшины, сальника, диафрагмы, перикарда, плевры.
При лимфогенном пути метастазы рака желудка выявляются в регионарных лимфоузлах 1-го и 2-го этапа лимфооттока - располагающихся по ходу желудочных и желудочно-сальниковых артерий, селезеночной артерии, и в более отдаленных л/узлах.
Выделяют специфические для рака желудка лимфогенные метастазы:
- Вирхова, или Вирховские узлы - в л/узлы слева над ключицей, между ножками грудино-ключично-сосцевидной мышцы;
- Шницлера - в лимфатические узлы параректальной зоны;
- Айриша - поражение подмышечных лимфоузлов;
- сестры Марии Джозеф (встречается редко) - в пупок по ходу круглой связки печени;
- Крукенберга - в яичники.
Метастазы в лимфоузлах - одна из главных причин неудовлетворительных результатов оперативного лечения рака желудка. Злокачественный процесс редко диагностируется на ранних стадиях, в 64,2 % случаев его обнаруживают на III-IV ст., при этом у 83 % таких пациентов уже имеются метастазы в регионарных лимфоузлах. Кроме того, лимфогенные метастазы находят у 70 % пациентов, оперированных по поводу рака желудка. Чаще выявляется поражение от 2 до 5 узлов. Особенностью метастазирования при этом типе рака являются «прыгающие» метастазы - поражающие узлы 2-го этапа лимфооттока, не затрагивая при этом лимфоузлы 1-го этапа. Частота лимфогенного метастазирования напрямую связана с глубиной проникновения злокачественного новообразования в стенку желудка.
При гематогенном пути метастазирования чаще всего поражается печень, куда раковые клетки попадают с током крови по воротной вене. Не исключены метастазы рака желудка в легкие, мозг, почки, кости. Реже встречается метастазирование в поджелудочную железу и надпочечники.
Диагностика онкологии желудка
Чтобы поставить диагноз, проводят эндоскопическое исследование желудка ЭГДС. Через рот и пищевод вводят зонд с миниатюрной видеокамерой и источником света. Процедура позволяет выявлять местоположение опухоли. В ходе ее выполнения также делают биопсию - забор образца тканей для гистологического анализа. Диагноз подтверждают только после исследования тканей опухоли под микроскопом.
Для определения точных размеров новообразования проводят КТ, иногда - с контрастным усилением. Для оценки распространенности процессов, состояния лимфоузлов и выявления метастазов назначают УЗИ. Для уточнения специфических характеристик опухоли делают рентгенографию с препаратами бария.
Уточняющая диагностика помогает выбирать наиболее эффективную лечебную тактику. Так, исследование крови на мутацию гена HER2/neu помогает подобрать наиболее эффективные противоопухолевые препараты.Кроме этого, назначают:
- анализы на онкомаркеры РЭА и СА-19,9;
- внутрижелудочное УЗИ;
позитронно-эмиссионную томографию (ПЭТ).
Умеренно дифференцированная аденокарцинома желудка с подслизистой инвазией
Методы лечения рака желудка
Основной метод лечения рака желудка - хирургический. Лучевую и химиотерапию проводят дополнительно для повышения эффективности лечения Источник:
Комбинированное лечение рака желудка. Афанасьев С.Г., Тузиков С.А., Давыдов И.М.: Сибирский онкологический журнал, 2015 г. . В качестве монометодик при раке желудка они малоэффективны и назначаются, если операция противопоказана.Хирургическое лечение
Хирургическое лечение проводят на всех стадиях рака желудка: на ранних для радикального удаления опухоли и полного восстановления пациента, на поздних -чтобы улучшить качество жизни больного и уменьшать выраженность симптоматики.Объем операции зависит от злокачественности и распространенности новообразования, возраста и состояния здоровья пациента Источник:
Хирургическое лечение рака желудка. Рахов С.Б.:Вестник Казахского Национального медицинского университета, 2012 г. .Гастрэктомия - удаление всего желудка с опухолью, окружающей жировой клетчаткой и регионарными лимфоузлами. В ходе вмешательство возможна частичная либо полная резекция пораженных соседних органов. После иссечения формируют искусственное соустье - аностомоз - между пищеводом и тонким кишечником.
Резекция желудка дистальная либо проксимальная - удаление пораженной верхней либо нижней части с клетчаткой и регионарными лимфоузлами.
Эндоскопическая резекция желудочной слизистой - удаление пораженного участка слизистой через проколы без разрезов. Эффективна на начальной стадии онкопроцесса, а также у пожилых и ослабленных больных, которым из-за состояния противопоказана полноценная операция.
Химиотерапия
Лечение с помощью лекарственных препаратов, разрушающих раковые клетки либо блокирующих их деление. Введение одновременно нескольких таких медикаментов - полихимиотерапия - позволяет снизить дозировки каждого их них и негативные побочные эффекты лечения, повысить его эффективность. Назначается перед хирургической операцией либо после нее.
Макроскопические данные эндоскопии верхних отделов желудочно-кишечного тракта. (a) В передней стенке тела желудка выявлена опухоль 3-го типа размером 95*75 мм в диаметре. (b) После трех курсов химиотерапии наблюдалось заметное уменьшение размеров опухоли.
Лучевая терапия
Использование рентгеновских лучей для разрушения клеток опухоли или замедления ее роста. Показано до или после операции, при метастазах в лимфоузлах, на поздних стадиях и при невозможности хирургического лечения. Для точной фокусировки (чтобы убивать опухоль, не воздействуя на близлежащие ткани)используют КТ-разметку.
Прогнозы при раке желудка
Прогноз зависит от стадии онкопроцесса - насколько обширно и глубоко поражена желудочная стенка, поражены ли лимфоузлы и есть ли метастазы, а также от возраста и общего состояния здоровья пациента. При ранней диагностике и качественном лечении шанс на полное выздоровление значительно выше.
- у пациентов с 1-й стадией - 80%, из них 70% полностью выздоравливают;
- у больных со 2-й стадией - 56%, из них полностью выздоравливает 50 %;
- у пациентов с 3-й стадией - 38%, из них полностью выздоравливает 25 %;
- у больных с 4-й стадией - 5%, из них полностью выздоравливают 1,4 %.
Если пациент прожил 5 лет после окончания лечения рака желудка, дальнейший прогноз улучшается. Риск рецидива зависит от стадии и обширности метастаз. Он выше через 2 года и снижается после 5-летней ремиссии.
Профилактика заболевания
- Сбалансированный рацион с преобладанием фруктов и овощей.
- Отказ от курения и злоупотребления алкоголем.
- Современное лечение болезней желудка - в частности HelicobacterPilory - с последующим врачебным наблюдением.
Важны также регулярные профилактические осмотры и скриниг людей с генетической и наследственной предрасположенностью к заболеванию.
Источники:
- Бессимптомное течение рака желудка. Шут.С.А., Платошкин Э.Н., Дорогокупец А.Ю.: Проблемы здоровья и экологии, 2019 г.
- Комбинированное лечение рака желудка. Афанасьев С.Г., Тузиков С.А., Давыдов И.М.: Сибирский онкологический журнал, 2015 г.
- Хирургическое лечение рака желудка. Рахов С.Б.:Вестник Казахского Национального медицинского университета, 2012 г.
- Иммунотерапия рака желудка. Мансорунов Д.Ж., Алимов А.А., Апанович Н.В., Кузеванова А.Ю., Богуш Т.А., Стилиди И.С., Карпухин А.В.: Российский биотерапевтический журнал, 2019 г.
Читайте также:
- Рожистое воспаление верхних дыхательных путей. Тиф верхних дыхательных путей
- Показания, этапы, техника гемиколэктомии справа
- Разговорно-центрированные формы психотерапии
- Диагностика эпидуральной атипичной гематомы на КТ
- Как отличить депрессию от плохого настроения? Какие привычки вызывают депрессию?
Методы диагностики
Для выявления рака пищеварительного тракта используются лабораторные тесты и инструментальная диагностика. Во многом план обследования зависит от локализации, размеров и типа рака. У большинства опухолей ЖКТ не имеется специфических онкомаркеров, выявляющих рак на ранней стадии, поэтому врач учитывает первые признаки у взрослых, типичные жалобы и данные, полученные при визуализации.
Обычно опухоли впервые обнаруживают при эндоскопическом исследовании (фиброгастроскопия, колоноскопия, ректороманоскопия), дополняя исследование забором биопсии подозрительного участка с проведением гистологических, генетических и гистохимических тестов.
Лечение опухолей ЖКТ
Ведущий метод терапии при раке желудочно-кишечного тракта - это хирургическое удаление опухоли или ее части. Если рак выявлен в поздней стадии, определяются метастазы в отдаленные органы или прорастание в соседние ткани, опухоль неоперабельная или состояние пациента не дает возможности на радикальное вмешательство, применяют другие методики, включая паллиативную и симптоматическую терапию.
При операции хирурги удаляют все пораженные раком ткани с захватом некоторых здоровых участков, если есть метастазы, удаляют также близлежащие лимфоузлы. Это важно для предотвращения рецидивов. После операции проводится реабилитация, могут быть назначены дополнительные курсы терапии.
Лучевая терапия может быть дополнительным методом, проводится до операции с целью уменьшения размеров опухоли, или после нее - для подавления роста оставшихся клеток Источник:
В.Ю. Скоропад, Б.А. Бердов, Л.В. Евдокимов, Л.Н. Титова
Интраоперационная лучевая терапия — инновационная
технология в комбинированном лечении опухолей
желудочно-кишечного тракта //
Поволжский онкологический вестник, 2013, №1, с.4-10 .
Может применяться химиотерапия (введение препаратов, подавляющих рост рака) для уничтожения раковых клеток до и после операции, а при неоперабельном раке в качестве паллиативного лечения.
Прогнозы при раке ЖКТ
Во многом прогнозы для жизни и здоровья зависят от типа опухолевых клеток, стадии выявления и особенностей лечения, возраста пациента и имеющихся у него сопутствующих патологий.
Самый неблагоприятный прогноз - при раке поджелудочной железы, самый оптимистичный - для нейроэндокринных опухолей кишечной стенки. Процент выживаемости в течение 5 лет колеблется от 5 до 90% в зависимости от вида рака. На начальных стадиях, когда нет метастазов, шансы на успех достигают 80-90%, в терминальных стадиях не превышают 10%.
Михайлов Алексей Геннадьевич оперирующий онколог, врач высшей квалификационной категории, к.м.н. стаж: 21 год
Информация в статье предоставлена в справочных целях и не заменяет консультации квалифицированного специалиста. Не занимайтесь самолечением! При первых признаках заболевания необходимо обратиться к врачу.
Аденокарцинома желудка
Аденокарцинома желудка — это одна из наиболее часто встречающихся разновидностей рака данной локализации. На ее долю приходится до 95% всех злокачественных новообразований желудка. Заболевание коварно тем, что на начальных стадиях никак себя не проявляет, затем возникают боли, тошнота, потеря аппетита, на фоне этих симптомов нарастает слабость и потеря веса. Единственный на сегодняшний день радикальный метод лечения аденокарциномы это хирургическая операция. Лучевая терапия и химиотерапия назначаются в качестве дополнительного лечения или при невозможности хирургического вмешательства.

Причины развития
Причина злокачественной трансформации клеток слизистой оболочки до конца не выявлены, но ученые определили несколько факторов, которые достоверно повышают такую вероятность:

Виды аденокарциномы желудка
Согласно современной классификации выделяют следующие виды аденокарцином, поражающих желудок:
По степени дифференцировки выделяют следующие формы:
Также часто используют бинарную систему классификации. В соответствии с ней выделяется аденокарцинома желудка high grade (высокая степень дифференцировки) и low grade (низкая степень дифференцировки).
Симптомы
При аденокарциноме желудка симптомы могут быть следующими:
Как мы видим, эти симптомы неспецифичны, и человек может долгое время пытаться купировать их самостоятельно.

Диагностика аденокарциномы желудка
Своевременная диагностика рака желудка имеет важнейшее значение, поскольку прогноз на ранних стадиях заболевания куда более благоприятен, чем при распространенном опухолевом процессе. Но аденокарцинома на начальных стадиях характеризуется либо бессимптомным течением, либо ее симптомы воспринимаются как признаки другого заболевания, например, гастрита, язвы, желчнокаменной болезни, панкреатита. В результате пациенты не обращаются к врачу, купируя симптомы самостоятельно с помощью препаратов, купленных в аптеке.
Стадии аденокарциномы
Важно понимать! Стадия и степень дифференцировки злокачественного новообразования - не одно и то же. Например, если диагностирована аденокарцинома желудка G3 , это еще не означает того, что заболевание находится на поздней стадии.
Диагностика
Диагностика аденокарциномы желудка носит комплексный характер и включает ряд обследований, которые не только помогают определить тип опухоли, но и стадию заболевания:

Доктор М.С. Бурдюков проводит диагностическое обследование желудка - ФГДС
Метастазирование аденокарциномы желудка
Для аденокарциномы характерно лимфогенное, гематогенное и имплантационное метастазирование.
Имплантационное метастазирование предполагает распространение клеток посредством контакта опухоли с воспринимающей поверхностью. В случае рака желудка такой поверхностью может быть брюшина, плевра, перикард, диафрагма. На четвертой стадии часто обнаруживается канцероматоз (массивное метастазирование в различные ткани).
Лимфогенное метастазирование подразумевает распространение опухоли по лимфатическим сосудам. Сначала поражаются близлежащие лимфатические узлы, а потом и более отдаленные. При раке желудка существуют специфические формы лимфогенных метастазов:
Гематогенное метастазирование предполагает перенос раковых клеток по кровеносным сосудам. Чаще всего поражается печень в результате миграции клеток по воротной вене. Также возможно поражение легких, почек, головного мозга, костного мозга.

Лечение аденокарциномы желудка
Лечение аденокарциномы зависит от стадии заболевания и гистологического типа опухоли. Как правило, при аденокарциноме желудка лечение носит комплексный характер и предполагает сочетание хирургической операции с химио- или лучевой терапией. Хирургический компонент здесь является ключевым фактором.
Хирургическое лечение аденокарциномы желудка может предусматривать удаление всего органа (гастрэктомия), или его части (резекция желудка). Одновременно удаляются ткани, пораженные злокачественными клетками — регионарные лимфатические узлы, части органов, куда проросла опухоль (печень, тонкая кишка, брюшина и др).
Химиотерапия и лучевая терапия могут применяться в дооперационном (неоадъювантный режим) и послеоперационном периоде (адъювантный режим). В первом случае их целью является уменьшение размеров опухоли, чтобы ее можно было удалить с наименьшим объемом тканей, а во втором — уничтожение оставшихся раковых клеток. Кроме того, применение химиотерапии и лучевой терапии может уменьшить выраженность болевого синдрома.
Если радикальное удаление образования невозможно, проводится паллиативное лечение. В этом случае оно направлено на устранение осложнений, вызванных аденокарциномой, и улучшение качества жизни больного. Например, если опухоль перекрыла просвет желудка, накладываются обходные анастомозы или выводится гастростома, благодаря чему пациент сможет питаться.
Прогноз аденокарциномы желудка
Прогноз при аденокарциноме зависит от стадии заболевания. Чем раньше начать лечение, тем более эффективным оно будет:

Профилактика
Профилактика рака желудка направлена на предотвращение или снижение воздействия факторов риска, приводящих к развитию данного заболевания:
Рак желудка
Рак желудка - злокачественная опухоль, формирующаяся из клеток внутреннего слизистого слоя желудочной стенки. По мере увеличения она прорастает в средний мышечный и внешний серозный слои, соседние и отдаленные органы. Чаще возникает у мужчин. Средний возраст больных - 38 лет.
Рак желудка - злокачественная опухоль, формирующаяся из клеток внутреннего слизистого слоя желудочной стенки. По мере увеличения она прорастает в средний мышечный и внешний серозный слои, соседние и отдаленные органы. Чаще возникает у мужчин. Средний возраст больных - 38 лет.
Патология занимает 3 место в мире по уровню смертности от онкозаболеваний: ежегодно от нее умирает 800 000 человек. По статистике выздоравливают 30 % пациентов с раком желудка. Метастазы выявляют у 80-90 % больных. При ранней диагностике 6-месячная выживаемость - 65 %, при поздней - 15 %. На практике чаще выявляется на 4-й стадии. У 1 из 50 больных с диспепсией диагностируют рак желудка.
Причины и факторы риска рака желудка
На вероятность возникновения заболевания влияют:
Наличие факторов риска не означает, что вы точно заболеете. Отсутствие факторов риска не означает, что вы точно не заболеете.
Основные симптомы онкологии желудка
Первые признаки заболевания - дискомфорт и боль в области желудка, диспепсия. Кроме них на ранних стадиях возникают Источник:
Бессимптомное течение рака желудка. Шут С.А., Платошкин Э.Н., Дорогокупец А.Ю.: Проблемы здоровья и экологии, 2019 г. :
На более поздних стадиях симптомы рака желудка:
Без лечения возможны осложнения рака желудка - кровотечения, перфорация опухоли, желудочная непроходимость, флегмона.
Виды рака желудка
В большинстве случаев (более 90 %) рак желудка развивается в виде аденокарциномы. Это злокачественное поражение железистого эпителия. Аденокарцинома подразделяется на следующие виды:
По степени дифференцировки аденокарцинома может быть высоко-, средне- или низкодифференцированной.
Гораздо реже диагностируются другие виды рака желудка. Среди них:
Отдельно можно выделить недифференцированный рак, когда невозможно определить происхождение клеток опухоли. Он развивается в эпителиальных тканях, быстро достигает значительного размера, располагается в проксимальном отделе желудка или заполняет его полностью. Эпителий при этой форме рака деформируется, приобретает рыхлую и пористую структуру.
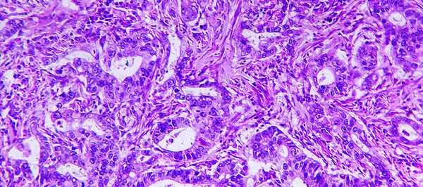
Аденокарцинома желудка (гистология)
Стадии рака желудка
По степени злокачественности и распространенности процесса различают стадии заболевания:
Эндоскопические признаки раннего рака желудка поверхностного депрессивного (0 IIc) типа в теле желудка
I стадия делится на подстадии:
II стадия делится на подстадии:
