Шваннома орбиты глаза: причины, диагностика, лечение
Добавил пользователь Евгений Кузнецов Обновлено: 06.11.2025
КТ — компьютерная томография
МРТ — магнитно-резонансная томография
МРТ-АГ — магнитно-резонансная ангиография
ПЭТ — позитронно-эмиссионная томография
СКТ — спиральная компьютерная томография
СКТ-АГ — спирально-компьтютерная ангиография
Невриномы (шванномы) глазодвигательного нерва — это типичные доброкачественные опухоли, растущие из шванновских клеток. Первое описание шванномы глазодвигательного нерва было сделано W. Kovacs в 1927 г. [1] на основании аутопсии. С тех пор вплоть до 2016 г. в литературе было представлено 63 наблюдения с невриномами глазодвигательного нерва. Самая большая серия, состоящая из 3 пациентов, принадлежит A. Huber [2]. Остальные публикации в подавляющем большинстве представляют описание лишь единичных клинических наблюдений.
P. Celli и соавт., основываясь на классификации по топографии неврином тройничного нерва, принадлежащей G. Jefferson, предложил разделять опухоли глазодвигательного нерва на три группы: 1) цистернальные (опухоль образуется из цистернального сегмента нерва); 2) цистернально-кавернозные (опухоль располагается как в межножковой цистерне, так и в полости кавернозного синуса); 3) кавернозные (опухоль образуется из участка нерва, проходящего в стенке кавернозного синуса, и располагается в медиальных отделах средней черепной ямки) [3, 4]. Позднее были выделены орбитально-кавернозная (опухоль преимущественно располагается в орбите с небольшим распространением в кавернозный синус через верхнюю глазничную щель) и орбитальная группы [5]. В зависимости от размера выделяют маленькие (30 мм) невриномы [6].
Чаще всего невриномы III черепного нерва проявляются глазодвигательными нарушениями, птозом, нарушением фотореакции. Однако есть публикации, в которых у пациентов с опухолями глазодвигательного нерва не отмечено симптомов его поражения [7].
В нашей работе представлены клинические наблюдения двух пациентов с невриномами глазодвигательного нерва и проведен анализ литературы по данной проблеме.
Материал и методы

В НМИЦ нейрохирургии им. акад. Н.Н. Бурденко под наблюдением находились 2 пациента с невриномами глазодвигательного нерва. Их характеристика представлена в таблице. Данные о пациентах с невриномами глазодвигательного нерва
По клинико-рентгенологическим данным у первой пациентки (клинический случай 1) предполагалось наличие невриномы тройничного нерва. До операции признаков недостаточности глазодвигательного нерва не было. Пациентке проведена операция — микрохирургическое удаление опухоли из ретросигмовидного доступа.
У второго пациента (клинический случай 2) были выявлены две опухоли, расположенные симметрично и поражающие цистернальные сегменты обоих глазодвигательных нервов. От предложенной операции по удалению опухолей пациент отказался.
Клинический случай 1

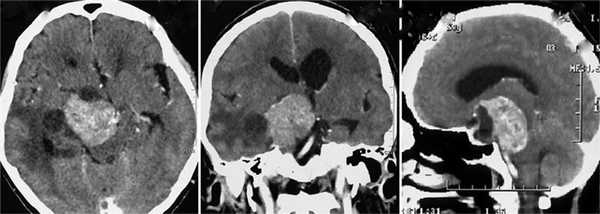
Пациентка Л., 66 лет. Заболевание проявилось генерализованным судорожным приступом в 2012 г. Обследована в НМИЦ нейрохирургии им. Н.Н. Бурденко (от предложенной операции отказалась). Повторно госпитализирована в 2015 г. На СКТ головного мозга (МРТ противопоказана в связи с установленным кардиостимулятором) выявлена большая опухоль в медиальных отделах средней черепной ямки справа и межножковой цистерне, грубо компремирующая ствол головного мозга (рис. 1). Рис. 1. Клинический случай 1. СКТ головного мозга с контрастным усилением в аксиальной, фронтальной и сагиттальной проекциях. Выявляется опухоль медиальных отделов средней черепной ямки справа, межножковой цистерны. Опухоль значительно увеличилась в размерах (старые снимки не сохранились). В неврологическом статусе имелись мнестические расстройства (фиксационная амнезия, снижение критики), гипестезия в зоне иннервации тройничного нерва справа, спонтанный горизонтальный нистагм, мозжечковые нарушения. Глазодвигательных нарушений не было. Учитывая клиническую картину заболевания и данные СКТ головного мозга, была предположена невринома тройничного нерва.
Пациентка прооперирована 10.08.15. Удаление опухоли проводилось из правостороннего ретросигмовидного доступа. Интраоперационно обнаружено, что тройничный нерв на всем протяжении был сохранен и смещен опухолью кзади. Кпереди от него располагалась опухоль желтого цвета, умеренной плотности, без выраженной капсулы. Она формировала очень крупный узел, который располагался в медиальных отделах средней черепной ямки и спускался вниз на скат. Удаление опухоли осуществлялось с помощью ультразвукового отсоса после широкого рассечения намета мозжечка. Последовательно выполнено удаление центральных и латеральных отделов опухоли. Поверхность опухоли отделена от ствола головного мозга (ее медиальные отделы очень плотно прилегали к стволу головного мозга и с большим трудом отделялись от него). При мобилизации переднего полюса опухоли обнаружен парастволовый участок глазодвигательного нерва, который далее терялся в толще опухоли. Опухоль латерально распространялась в дупликатуру твердой мозговой оболочки (место входа глазодвигательного нерва в кавернозный синус) и врастала в кавернозный синус. Таким образом, местом исходного роста опухоли был правый глазодвигательный нерв в цистернальной части в месте входа его в кавернозный синус. Опухоль удалена тотально.

На контрольной КТ головного мозга: опухоль удалена тотально. Явных геморрагических или ишемических осложнений нет (рис. 2). Рис. 2. Клинический случай 1. КТ головного мозга после операции (аксиальная проекция). Опухоль удалена тотально. Явных геморрагических и ишемических осложнений нет.
После операции появились паралич правого глазодвигательного нерва, а также гемипарез слева до 1 балла, нарушение глотания (вероятнее всего, в связи с отделением плотно прилегавшей части опухоли от ствола головного мозга). На фоне проводимой консервативной и реабилитационной терапии регрессировали нарушения глотания и возрос объем движений в левых конечностях до 3—4 баллов, сохранился стойкий паралич глазодвигательного нерва. Пациентка была выписана в относительно удовлетворительном состоянии на 46-е сутки после операции для продолжения реабилитационных мероприятий по месту жительства.

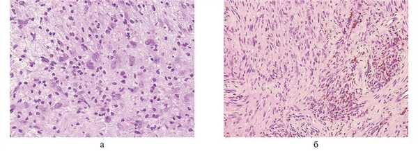
При микроскопическом исследовании выявлена типичная морфологическая картина невриномы с преобладанием веретеноклеточных компактных очагов Antoni A участков рыхло расположенных клеток с фокусами липоидоза (Antoni B), явлениями ангиоматоза с гиалинозом стенок сосудов и следами старых кровоизлияний в виде отложений гемосидерина. Кроме того, выявлялись единичные фокусы выраженного ядерного полиморфизма. Фигур митотического деления, очагов некротических изменений не обнаружено (рис. 3). Рис. 3. Клинический случай 1. Гистологический препарат, окраска гематоксилином и эозином (фото). Морфологическая картина невриномы. а — очаг ядерного полиморфизма среди рыхло расположенных шванновских клеток — Antoni B (увеличение ×400); б — глыбчатые отложения гемосидерина вокруг сосудов в зоне компактно расположенных вытянутых клеток — Antoni, А (увеличение ×200).
Клинический случай 2
Пациент Х., 62 лет. Начиная с 2002 г. отмечал постепенное развитие птоза с двух сторон, нарастание двоения предметов перед глазами. В 2009 г. при амбулаторном обследовании в НМИЦ нейрохирургии им. Н.Н. Бурденко выявлено двустороннее поражение глазодвигательных нервов: справа резко выраженный полуптоз — ширина глазной щели не более 5 мм; слева почти полный птоз — ширина глазной щели не более 2—3 мм; резко выраженное паралитическое расходящееся косоглазие, движения глаз отсутствуют во всех направлениях, анизокория; справа зрачок средней ширины, реакция на свет отсутствует, слева умеренный мидриаз, фотореакция отсутствуют, кератит слева (рис. 4). Рис. 4. Клинический случай 2. Глазодвигательные нарушения у больного с двусторонней невриномой глазодвигательного нерва. Внешний вид больного: двусторонний выраженный полуптоз (а); расходящееся паралитическое косоглазие, левосторонний кератит (б). По данным МРТ головного мозга выявляются два узла опухоли неправильной округлой формы в области цистернальных сегментов обоих глазодвигательных нервов (рис. 5). Рис. 5. МРТ головного мозга пациента Х. (режим Т1 с контрастным усилением, фронтальная и аксиальная проекции): определяются 2 узла опухоли цистернальных сегментов обоих глазодвигательных нервов. Клинических проявлений болезни Реклингаузена не было. От предложенного хирургического лечения пациент отказался. Его дальнейшая судьба неизвестна.
Интракраниальные невриномы составляют 7—8% от всех внутричерепных образований [3]. Как правило, это доброкачественные опухоли, источником роста которых являются оболочки вестибулокохлеарного и реже — тройничного нервов [8]. Шванномы нервных стволов, обеспечивающих иннервацию мышц глаза, в том числе III пары черепных нервов, при отсутствии нейрофиброматоза II типа — это крайне редкая патология. Как правый, так и левый глазодвигательный нерв с одинаковой вероятностью могут стать источником роста шванномы. В проанализированной нами литературе из 63 случаев описано 3 (5%) случая злокачественной невриномы III черепного нерва, 2 из которых зафиксированы у пациентов детского возраста [9—11].
Невринома глазодвигательного нерва характеризуется медленным темпом роста, что обусловливает продолжительный анамнез заболевания (в среднем 29 мес). При анализе данных литературы (63 описанных случая) мы выявили, что наблюдается зависимость продолжительности анамнеза от локализации опухоли. Так, медленнее всего прогрессируют цистернальные невриномы (время от появления первых симптомов до обращения за медицинской помощью составило 71,6 мес), на втором месте кавернозные (26), орбитальные (13), цистернально-кавернозные (11,7) и наконец орбитально-кавернозные (2,8).
Клиническая картина заболевания зависит от локализации опухоли. Самой частой первичной жалобой для пациентов с кавернозной, цистернально-кавернозной, орбитально-кавернозной и орбитальной локализацией опухоли была диплопия. Птоз верхнего века наблюдался приблизительно у ¼ пациентов в группах с цистернальным и цистернально-кавернозным расположением опухоли [6, 9, 13—15]. Для больных с орбитально-кавернозным и орбитальным расположением невриномы характерным начальным симптомом был экзофтальм [16—19]. Нарушение функций V и VI черепных нервов наблюдалось у пациентов с кавернозными, цистернально-кавернозными и орбитально-кавернозными опухолями [8, 13, 20].
Второе место среди жалоб занимают головные боли, которые в качестве начального симптома встречались среди пациентов всех групп с интракраниальными невриномами (исключая орбитально-кавернозную и орбитальную локализацию). Эта жалоба чаще встречалась у пациентов с опухолями цистернальной локализации [21, 22].
Изолированно для неврином цистернальной локализации болезнь протекала по типу офтальмоплегической мигрени [23—26]. В данной группе пациентов отмечался продолжительный анамнез и ундулирующая симптоматика в виде головных болей, сопровождающихся преходящим парезом или параличом глазодвигательного нерва. У всех пациентов, имеющих распространение опухоли в орбиту, было снижение остроты зрения.
Невриномы III черепного нерва редко протекают без глазодвигательных нарушений. В литературе описано только 4 наблюдения, в которых его функция оставалась сохранной [7, 27—29]. Отсутствие симптоматики со стороны глазодвигательного нерва значительно осложняет постановку диагноза. В данных наблюдениях источник роста опухоли был установлен интраоперационно, кроме одного случая [7]. В нашем первом клиническом наблюдении опухоль также не вызывала каких-либо глазодвигательных нарушений и клинически проявлялась скорее как опухоль тройничного нерва. Однако интраоперационно тройничный нерв обнаружен сохранным, в то время как глазодвигательный нерв терялся в опухоли в области его входа в кавернозный синус, что позволило сделать заключение о невриноме глазодвигательного нерва. Развившийся после операции стойкий паралич III черепного нерва также может указывать на то, что источником роста опухоли был именно он.
Выраженность неврологического дефицита во многом зависела от размера объемного образования. У пациентов с большими опухолями (более 30 мм) клинические проявления включали в себя сочетание поражения глазодвигательного нерва и другой неврологической симптоматики. Среди неврином среднего размера (11—30 мм) такая клиническая картина наблюдалась реже. В группе пациентов с образованиями маленького размера (меньше 10 мм) чаще встречались только нарушения функции глазодвигательного нерва, а в некоторых случаях симптоматика отсутствовала вовсе и опухоль была случайно выявлена при МРТ-обследовании [7, 29]. У 2 пациентов отмечался судорожный синдром [6, 30].
Основываясь на анализе публикаций, можно сделать вывод, что МРТ стала основным методом нейровизуализации для данной категории опухолей. Внешний вид опухоли на МР-томограммах зависит от наличия кистозного компонента, некрозов и жировых включений. Как правило, сóлидные объемные образования гиподенсивны в Т1-режиме, изоденсивны белому веществу в Т2-режиме и равномерно накапливают контраст. Дифференциальный диагноз необходимо проводить с невриномами рядом расположенных черепных нервов: IV, V, VI. Учитывая сложность дифференциального диагноза, можно ожидать, что потребуется проведение визуализации высокотехнологичными методами: СКТ, ПЭТ, СКТ-АГ, МРТ-АГ или прямой ангиографии.
Исходя из данных литературы, можно сделать заключение, что хирургическое лечение неврином глазодвигательного нерва является методом выбора. Однако часть авторов ставят под сомнение необходимость проведения операции, отдавая предпочтение выжидательной тактике и лучевой терапии. Такая позиция обусловлена тем, что при удалении опухоли часто приходится жертвовать целостностью III черепного нерва, что приводит к появлению глазодвигательных нарушений [5, 6, 20, 21, 27, 31—34]. Одномоментная аутопластика икроножным нервом, проведенная у одного пациента, привела лишь к частичному восстановлению функции III черепного нерва [33]. Несмотря на сохранение анатомической целостности данного нерва, у большинства пациентов наступал стойкий дефицит его функций. Немаловажным является тот факт, что у пациентов с развернутой клинической картиной заболевания (головные боли, пирамидная и мозжечковая симптоматика, нарушение функций II, IV, V, VI нервов, экзофтальм, эпилептические приступы) после удаления опухоли неврологический дефицит, как правило, был обратим, за исключением дисфункции III нерва [35]. Улучшение функции последнего наблюдалось лишь в отдельных случаях, иногда спустя значительное время после операции [13, 17].
Как правило, даже при субтотальном удалении размеры остатка опухоли оставались стабильными. Продолженный рост опухоли, потребовавший повторного оперативного вмешательства, описан только в одном случае [36]. Лучевая терапия в составе комбинированного лечения или как самостоятельный метод также может быть эффективна у пациентов с невриномами глазодвигательного нерва, однако наблюдений, которые могли бы это подтвердить, крайне мало [37].
Заключение
Таким образом, невринома глазодвигательного нерва — это преимущественно доброкачественная опухоль, крайне редко встречающаяся при отсутствии нейрофиброматоза II типа. Основным клиническим проявлением заболевания является нарушение функции глазодвигательного нерва разной степени выраженности. Однако увеличение размера опухоли может вызывать развитие общемозговой, мозжечковой, пирамидной симптоматики и парез проходящих рядом черепных нервов. Дифференциальный диагноз требует комплексной оценки анамнеза, клинической картины, данных нейровизуализации и интраоперационных данных. Хирургическое лечение в большинстве случаев позволяет достичь длительного безрецидивного периода и регресса симптомов, развивавшихся за счет масс-эффекта опухоли, но обычно приводит к стойкому нарушению функции глазодвигательного нерва.
Авторы заявляют об отсутствии конфликта интересов.
Комментарий
Невринома глазодвигательного нерва — в основном доброкачественная опухоль, которая редко встречается при отсутствии нейрофиброматоза II типа. Она характеризуется медленным темпом роста. Основным клиническим проявлением являются различные глазодвигательные нарушения. Степень неврологического дефицита зависит от локализации и размеров опухоли. В позднем периоде заболевания присоединяются головные боли. В единичных наблюдениях (4 из 63 описанных в литературе) функция III пары черепных нервов оставалась сохранной. Основной метод нейровизуализации — МРТ. Хирургическое лечение является методом выбора для этой группы пациентов. Авторы в статье подробно проанализировали доступные литературные источники, посвященные данной редкой патологии. Представлена классификация опухоли в зависимости от локализации и размера объемного образования. Оба клинических наблюдения еще раз подчеркивают сложность дифференциальной диагностики с другими невриномами черепно-мозговых нервов. Второй случай интересен тем, что это единственное клиническое наблюдение с двусторонним поражением глазодвигательных нервов у пациентов, не страдающих нейрофиброматозом. Работа интересна для практикующих нейрохирургов.
Г.Г. Шагинян (Москва)
Работа очень интересная и уникальная для русскоязычной нейрохирургической печати. Действительно, шванномы III нерва встречаются крайне редко. Хочется начать с конца и отметить большое количество представленных в библиографическом списке источников литературы. Причем литературные источники охватывают значительный временной период — с 1927 г., когда впервые была описана опухоль III нерва, до последних лет. В описании первого клинического случая, на мой взгляд, упущен факт развития в послеоперационном периоде стволового ишемического инсульта, по всей видимости, в результате повреждения ветвей ВМА или ПНМА. На это указывают развитие бульбарных нарушений, хотя опухоль расположена гораздо выше нижних краниальных нервов, развитие контрлатерального глубокого гемипареза, а также длительный срок — 46 дней — госпитализации. Опять-таки, это только мое предположение, так как представленные контрольные снимки не отражают динамики состояния верхних отделов ствола. Также было бы крайне интересно проследить катамнез второго пациента с двусторонними интрацистернальными шванномами, который отказался от предложенного лечения. Было бы также интересно узнать точку зрения авторов о целесообразности проведения этому пациенту лучевого лечения. В общем и целом статья вызовет интерес у нейрохирургов, занимающихся хирургией внемозговых опухолей.
Глиома зрительного нерва
Глиома зрительного нерва — опухоль, возникающая из глиальных элементов зрительного нерва. Глиома зрительного нерва может иметь интраорбитальную или интракраниальную локализацию. Она характеризуется малосимптомным началом и постепенным развитием, приводящим к прогрессирующему понижению зрения и экзофтальму, первичной или вторичной атрофии зрительного нерва. Диагностируется глиома зрительного нерва при помощи офтальмологического обследования (периметрии, визиометрии, офтальмоскопии), рентгенографии черепа и КТ головного мозга. Лечение проводится преимущественно сочетанием лучевой терапии и хирургического удаления пораженного участка зрительного нерва.
МКБ-10

Общие сведения
Глиома зрительного нерва по разным данным составляет до 35% всех опухолей глазницы. Она может локализоваться на любом участке по всей протяженности зрительного нерва. Глиома зрительного нерва, локализующаяся в пределах глазницы, носит название интраорбитальной и относится к клинической офтальмологии. Глиома, расположенная в черепной части зрительного нерва, называется интракраниальной. Ее диагностикой и лечением занимаются специалисты в области неврологии и нейрохирургии. При расположении опухоли в области зрительного перекреста говорят о глиоме хиазмы, при ее прорастании в ткани головного мозга — о внутримозговой опухоли.
Глиома зрительного нерва возникает в основном в детском возрасте, наиболее часто — в первые годы жизни ребенка. Однако в последнее время все чаще стали описываться случаи ее возникновения у лиц старше 20 лет. В некоторых случаях глиома зрительного нерва возникает совместно с нейрофиброматозом Реклингхаузена.
Патогенез глиомы зрительного нерва
Зрительный нерв состоит из аксонов, окруженных глиальной тканью, клетки которой осуществляют синтез миелина, обеспечивают метаболизм и несут поддерживающую функцию. Именно из глиальных клеток берет свое начало глиома зрительного нерва. Чаще всего она развивается из астроцитов (астроцитома), реже из олигодендроглиоцитов (олигодендроглиома). Кроме истинных глиом, характеризующихся разрастанием глиальной ткани и инфильтративным ростом, различают так называемый глиоматоз — гиперплазию (увеличение размеров) клеток глии. Некоторые авторы считают, что глиоматоз представляет собой начальную стадию глиомы зрительного нерва.
Начинаясь из клеток глии, глиома зрительного нерва прорастает межвлагалищные пространства и окружающие нерв оболочки. Ее распространение происходит преимущественно вдоль нервного ствола. По мере роста глиома зрительного нерва может достигнуть размеров куриного яйца и привести к полному разрушению нерва. Внутри опухоли могут образовываться кисты, имеющие слизистое или жидкое содержимое.
Симптомы глиомы зрительного нерва
В начальной стадии своего развития глиома зрительного нерва практически не имеет клинических проявлений. Наиболее ранним признаком ее возникновения является прогрессирующее снижение остроты зрения, возникающее вследствие сдавления, а позднее разрушения нервных волокон увеличивающейся в размерах опухолью. Однако зачастую у маленьких детей нарушение зрения остаются незамеченными, а у детей старшего возраста они требуют дифференцировки от развивающейся близорукости. По мере роста глиомы зрительного нерва в поле зрения возникают участки выпадения (скотомы), отмечается прогрессирующее угасание зрительной функции вплоть до полной слепоты.
К более поздним клиническим проявлениям глиомы зрительного нерва относится экзофтальм. Обычно он характеризуется постепенным увеличением степени выстояния глазного яблока и отсутствием его бокового смещения. Появление смещения глаза в сторону, как правило, возникает при наличии опухолевой кисты или эксцентричном росте глиомы. Именно экзофтальм часто является причиной обращения к врачу у детей с глиомой зрительного нерва. При выраженном экзофтальме возникает ограничение подвижности глазного яблока и неполное смыкание глазной щели, приводящее к высыханию роговицы с развитием кератита и язв роговицы. Дальнейшее развитие патологических процессов в роговице может привести к ее истончению и прободению, влекущему за собой потерю глаза.
Интракраниальная глиома зрительного нерва не сопровождается экзофтальмом. Если она распространяется на ткани мозга, возникает клиника, характерная для глиомы головного мозга (симптомы гидроцефалии, вестибулярная атаксия, двигательные и чувствительные нарушения и пр.). Экзофтальм может наблюдаться на поздних стадиях интракраниальной глиомы зрительного нерва, когда она прорастает в глазницу.
Диагностика глиомы зрительного нерва
Диагноз опухоли зрительного нерва устанавливается на основании клинических данных, результатов исследования зрительной функции и глазного дна, данных рентгенологического исследования и компьютерной томографии.
Зачастую первым врачом, к которому обращаются пациенты с глиомой зрительного нерва является офтальмолог. Проводя проверку остроты зрения, он выявляет ее снижение, в ходе периметрии и компьютерной периметрии в поле зрения могут обнаруживаться отдельные скотомы. Осмотр глазного дна (офтальмоскопия) в ранних стадиях развития глиомы зрительного нерва может не выявить наличия каких-либо изменений. Позже определяется застойный диск зрительного нерва и картина, характерная для вторичной атрофии зрительного нерва. Может отмечаться тромбоз центральной вены сетчатки. В случаях, когда глиома зрительного нерва прорастает диск зрительного нерва, при офтальмоскопии определяется овальное или округлое образование желтовато-розовой или белой окраски, которое может иметь как бугристую, так и гладкую поверхность. При интракраниальной глиоме наблюдается первичная атрофия зрительного нерва.
Наиболее достоверно глиома зрительного нерва диагностируется при помощи КТ головного мозга, которое позволяет визуализировать утолщенный зрительный нерв, определить границы разрастания опухоли и ее прорастание в полость черепа. При невозможности проведения КТ, используют прицельную рентгенографию черепа и рентгенографию орбиты, которые при интраорбитальной локализации глиомы выявляют одностороннее расширение полости орбиты и канала зрительного нерва, их затемнение, истончение стенок глазницы.
Глиому зрительного нерва необходимо дифференцировать от менингиомы зрительного нерва, которая в отличие от глиомы чаще встречается у людей старшего возраста. При наличие экзофтальма следует исключить гипертиреоз. Дифференциальная диагностика проводится также с ангиомой, невриномой, ретинобластомой, кровоизлиянием в глазницу.
Лечение глиомы зрительного нерва
Учитывая высокую радиочувствительность глиом, лечение глиомы зрительного нерва может проводиться путем ее облучения. Зачастую лучевая терапия приводит к остановке роста опухоли и даже к улучшению зрительной функции. В случае быстро прогрессирующего ухудшения зрения показано хирургическое лечение.
Удалением интраорбитальной глиомы зрительного нерва занимаются офтальмоонкологи и хирурги-офтальмологи. Объем операции зависит от степени разрастания опухоли. Удаление глиом небольшого размера возможно путем орбитотомии и резекции пораженного участка зрительного нерва. Прорастание глиомы до склерального кольца является показанием к энуклеации глазного яблока. Наиболее приемлемой методикой в этом случае является энуклеация с формированием опорной культи для последующего протезирования глаза. Если глиома зрительного нерва прорастает в полость черепа, то вопрос о возможности хирургического лечения решает нейрохирург. Операция проводится в соответствии с общими принципами удаления глиальных опухолей головного мозга.
Прогноз глиомы зрительного нерва
К сожалению, глиома зрительного нерва в 100% случаев ведет к полной потери зрения. При интраорбитальных глиомах важным вопросом является сохранение глаза и в случае адекватно проведенного лечения прогноз для жизни, как правило, благоприятный. При интракраниальных глиомах прогноз для жизни зависит от распространенности опухолевого процесса и своевременности проведенного лечения. По некоторым данным в ситуациях, когда глиома зрительного нерва распространяется до области зрительного перекреста, погибает до 50% пациентов.
Шваннома орбиты глаза: причины, диагностика, лечение
ФГБУ «Московский НИИ глазных болезней им. Гельмгольца» Минздрава России, Москва
ФГБУ "Московский НИИ глазных болезней им. Гельмгольца" Минздрава России
Внутриглазная шваннома: клинико-патоморфологический анализ случая
Журнал: Вестник офтальмологии. 2014;130(2): 54‑58
Саакян С.В., Амирян А.Г., Цыганков А.Ю., Жильцова М.Г., Захарова Г.П., Андреева Л.Д. Внутриглазная шваннома: клинико-патоморфологический анализ случая. Вестник офтальмологии. 2014;130(2):54‑58.
Saakian SV, Amirian AG, Tsygankov AIu, Zhil'tsova MG, Zakharova GP, Andreeva LD. Intraocular schwannoma case report: clinical and pathomorphological analysis. Vestnik Oftalmologii. 2014;130(2):54‑58. (In Russ.).
В статье представлено полное клиническое, инструментальное, патогистологическое, иммуногистохимическое, цитологическое и молекулярно-генетическое исследование внутриглазной шванномы у 13-летней девочки.
Увеальная шваннома (неврилеммома) - крайне редкая доброкачественная опухоль, растущая из шванновских клеток, которые образуют миелиновую оболочку нервов. Частота возникновения данной опухоли не превышает 0,03-0,05% среди всех внутриглазных новообразований [1], что значительно реже аналогичного показателя для шванномы орбиты (0,5-1%) [2, 3]. Опухоль встречается в любом возрасте и несколько чаще у женщин. Шваннома, будучи беспигментной опухолью, требует дифференциальной диагностики с другими беспигментными внутриглазными новообразованиями, такими как беспигментная увеальная меланома, метастатические опухоли хориоидеи, медуллоэпителиома. Зачастую диагноз шванномы устанавливают только на основании патогистологического исследования глаз, удаленных по поводу беспигментной увеальной меланомы 6.
Цель нашего исследования - представление полного описания клинических, инструментальных, морфологических, цитологических и генетических особенностей данной опухоли на примере клинического случая.
Проведено стандартное офтальмологическое обследование, включающее визометрию, тонометрию, биомикроскопию и офтальмоскопию, а также ультразвуковое допплеровское сканирование (УЗДС) и компьютерную томографию (КТ). Метод лечения - энуклеация с пластикой культи. Удаленный глаз был подвергнут тщательному патогистологическому, иммуногистохимическому, цитологическому и молекулярно-генетическому исследованию.
Результаты и обсуждение

После проведения операции удаленный материал (глаз) был направлен на патогистологическое и цитологическое исследование. При вскрытии глазное яблоко было несколько увеличено в объеме, угол передней камеры прикрыт корнем радужки, межтрабекулярные щели сужены, просвет шлеммова канала открыт, в роговице отек слоя базальных клеток (рис. 3). Рисунок 3. Рис. 3. Удаленный глаз с опухолью на разрезе (макропрепарат). В сетчатке - признаки глиоза, диск зрительного нерва был отечен, васкуляризирован, сосуды хориоидеи расширены, полнокровны (особенно в центральной зоне). Центральный отдел полости глаза выполнен опухолевым узлом, состоящим из веретеновидных овальных клеток, формирующих пучковые структуры. Опухоль имела собственную васкуляризацию с наличием кровоизлияний в строме и формированием кровяных кист. Клетки формировали структуры - тельца Верокаи, умеренно выраженный ядерный полиморфизм (рис. 4). Рисунок 4. Рис. 4а. Гистологическая картина шванномы. Окраска гематоксилином и эозином. Фрагмент шванномы, высокая клеточность, обилие полнокровных сосудов. Ув. 5. Рисунок 4. Рис. 4б. Гистологическая картина шванномы. Окраска гематоксилином и эозином. Вихревые и ритмичные структуры новообразования. Ув. 10. Рисунок 4. Рис. 4в. Гистологическая картина шванномы. Окраска гематоксилином и эозином. Клеточно-ядерный полиморфизм с формированием многоядерных клеток. Ув. 40. Рисунок 4. Рис. 4г. Гистологическая картина шванномы. Окраска гематоксилином и эозином. Очаги разрастания ксантомных клеток. Ув. 40. Рисунок 4. Рис. 4д. Гистологическая картина шванномы. Окраска гематоксилином и эозином. Палисадные структуры. Ув. 40. В цитограммах на фоне эритроцитов определяли крупные тканевые фрагменты - солидные «клочки» из опухолевых клеток, окруженные оксифильным внеклеточным матриксом (рис. 5, а). Рисунок 5. Рис. 5а. Цитологическая картина шванномы. Окраска по Паппенгейму. Опухолевые клетки овальной и вытянутой формы в оксифильном межуточном веществе, формирующие «параллельные ряды». Ув. 20. Межклеточные связи были неразличимы. Ядра клеток имели округло-овальную и вытянутую форму. Характерным явилось расположение ядер продольно параллельными рядами, реже - циркулярно по отношению к оксифильной волокнистой субстанции. Тельца Верокаи в цитологических препаратах встречались редко (см. рис. 5, б). Рисунок 5. Рис. 5б. Цитологическая картина шванномы. Окраска по Паппенгейму. Множественные «тканевые» фрагменты опухолевых клеток во внеклеточном оксифильном матриксе. Ув. 40.
При иммуногистохимическом исследовании выявили выраженную положительную реакцию на виментин и нейронспецифическую энолазу, умеренно положительную реакцию на S-100 и отрицательную реакцию на HMB-45 (Human melanoma black), мелан А, десмин и актин HHF-35HHF-35 (мышечный актин), в связи с чем было высказано предположение о нейрогенном гистогенезе новообразования. На основании данных комплексного морфологического исследования была подтверждена внутриглазная шваннома типа Верокаи с высокой клеточностью.
Генетическое исследование (по образцу опухолевой ткани) проводили методом метилчувствительного рестрикционного анализа. При анализе генетического материала с использованием панели из 17 маркеров была обнаружена делеция в области 3p25.3-p21.31 по маркерам D3S1317-D3S2409. Потерь гетерозиготности по 1 и 8 парам хромосом, которые могут наблюдаться при увеальной меланоме, а также изменений в гене RB1, которые могут иметь место при ретинобластоме, выявлено не было.
В настоящее время, спустя год после энуклеации, состояние ребенка удовлетворительное, признаков рецидива опухоли нет.
Как было отмечено, внутриглазные шванномы представляют собой крайне редкие, доброкачественные опухоли периферических нервов, чаще всего коротких цилиарных нервов. Опухоль выглядит как солидный беспигментный очаг в цилиарном теле или хориоидее. Несмотря на то что цитологически шванномы являются доброкачественными опухолями, они могут прогрессировать до уровней дифференцировки, характерных для увеальных меланом [8]. Офтальмоскопические, томографические и эхографические признаки не всегда позволяют с уверенностью провести дифференциальный диагноз между шванномой и увеальной меланомой [9].
Наиболее часто диагноз шванномы устанавливают на основании изучения материала, полученного после энуклеации по поводу предполагаемой меланомы [10, 11]. В некоторых случаях удавалось установить диагноз после биопсии новообразования в передней камере глаза с дальнейшим морфологическим исследованием полученной ткани [9]. Описана также верификация опухоли после проведения локальной блокэксцизии опухоли цилиарного тела [1, 12].
Несмотря на определенные сложности прижизненной (до проведения энуклеации) диагностики внутриглазной шванномы, с нашей точки зрения, особый интерес могут представлять данные таких методов исследования, как комплексное ультразвуковое сканирование (включающее как серошкальное сканирование, так и допплеровские режимы) и аспирационная биопсия с последующим цитологическим и цитогенетическим исследованием. Неоднородная структура опухоли, определяемая эхографически, скорее всего является результатом наличия в ткани шванномы множественных кровоизлияний и кровяных кист, что подтверждено морфологическими исследованиями. Следует отметить, что эхографически удалось выявить лишь единичные собственные сосуды в толще опухоли, в то время как морфологически описывается обильная ее васкуляризация. Для увеальной меланомы означенных размеров характерно большее число сосудов, определяемых эхографически, что может свидетельствовать о присутствии в ткани меланомы большего числа относительно «крупных» сосудов с высокими линейными характеристиками кровотока (что и удается регистрировать с помощью ультразвуковых методов визуализации). И, наоборот, в шванноме присутствует более мелкая, капиллярная сеть, эхографическая детекция кровотока в которых лежит за рамками возможностей используемой аппаратуры. Отсутствие кальцификатов в ткани опухоли, определяемое по УЗДС и КТ, также косвенно может свидетельствовать не в пользу ретинобластомы.
Безусловно, больший интерес представляют гистологические, иммуногистохимические и генетические методы исследования, позволяющие более точно установить диагноз.
Отдельный интерес представляет молекулярно-генетический анализ. В нашем случае данные молекулярно-генетические изменения представляются нетипичными ни для увеальной меланомы, ни для ретинобластомы (а именно делеция в области 3p25.3-p21.31 по маркерам D3S1317-D3S2409).
В то же время данных о патогномоничных генетических нарушениях при внутриглазной шванноме в доступной литературе нам не удалось найти.
Использование комплекса клинических и современных высокотехнологичных инструментальных методов исследования, а также тонкоигольной аспирационной биопсии с возможностью цитологического и цитогенетического анализа биоптата позволят установить правильный диагноз и при отсутствии вторичных изменений в глазу (например, вторичная неоваскулярная глаукома и др.) избежать энуклеации или, по крайней мере, отсрочить ее проведение. Тем не менее выбор метода лечения - органосохраняющие мероприятия или энуклеация - будет в данном конкретном случае определяться размерами опухоли и наличием вторичных осложнений, обусловленных опухолевым ростом в глазу. Правильная постановка диагноза, несмотря на проведенную энуклеацию, чрезвычайно важна, поскольку позволяет делать определенные витальные прогнозы.
Лимфома орбиты
Лимфома орбиты - это злокачественная Т- или В-клеточная опухоль, которая располагается в зоне глазного яблока и окружающих его тканей. Развитию заболевания способствуют вирусные инфекции, дизиммунные процессы, генетические факторы и токсические влияния. Патология проявляется экзофтальмом, затруднениями при движении глазом, опущением верхнего века. Для диагностики опухоли используют УЗИ глазного яблока, КТ и МРТ орбиты, биопсию с цитологическим и иммунологическим исследованием. Лечение первичных форм проводится методом лучевой терапии, при диссеминированных вариантах используют полихимиотерапию.



Орбитальные лимфомы в основном имеют неходжкинское происхождение и составляют до 4% всех экстранодулярных новообразований этого типа. Первичное поражение тканей орбиты встречается в 3 раза чаще, чем вовлечение глазницы при диссеминированной форме. К группе риска принадлежат люди старше 60 лет. Крайне редко поражение периорбитальных тканей вызвано лимфомой Ходжкина. Орбитальная лимфома распространена в современной офтальмологии, однако при ее ранней диагностике и подборе адекватной терапии могут возникать трудности, решение которых требует мультидисциплинарного подхода.

Причины
Этиологическая структура лимфомы орбиты аналогична другим вариантам злокачественных лимфопролиферативных заболеваний. Точные причины развития болезни пока не установлены. Предполагается, что для начала опухолевого процесса необходима комбинация эндогенных и экзогенных факторов риска. Наиболее значимые этиологические факторы лимфомы орбиты:
- Иммунные нарушения. Лимфопролиферативные процессы характерны для людей с первичными синдромами иммунодефицита, нелеченой ВИЧ-инфекцией. Более высокий риск заболевания среди пациентов, которые получают иммуносупрессивную терапию, перенесли операцию по трансплантации костного мозга или внутренних органов.
- Инфекции. Развитие неходжкинской лимфомы орбиты связывают с заражением вирусом Эпштейна-Барр, Т-лимфотропным вирусом 1 типа, герпесвирусом 8 типа. К группе вероятных провоцирующих факторов относят возбудителей вирусных гепатитов В и С. Большое значение имеет хроническая хламидийная инфекция органа зрения.
- Токсические воздействия. Провоцирующим фактором лимфомы могут выступать некоторые гербициды и инсектициды, промышленные отравляющие вещества. Вероятность болезни коррелирует с частотой и длительностью интоксикации, поэтому в группе риска находятся люди с профессиональными заболеваниями.
- Отягощенная наследственность. Риск злокачественной опухоли орбиты повышается у пациентов, которые имеют в геноме однонуклеотидные полиморфизмы. Предрасполагающим фактором является наличие родственников первой линии, болеющих ходжкинской или неходжкинской лимфомой.
Патогенез
В 90% случаев первичный клон опухолевых клеток развивается из нормальных В-лимфоцитов, в которых под действием разных факторов нарушаются процессы деления, и начинается неограниченный рост. Образование лимфомы связывают с рядом нарушений клеточного апоптоза, утратой контроля над дифференцировкой лимфоцитов, активацией онкогенов. Опухоль увеличивается в размерах, вытесняя здоровые ткани и вызывая компрессию структур орбиты.
Классификация
При постановке диагноза орбитальной лимфомы применяются стандартные подходы к систематизации заболевания. Неходжкинские лимфопролиферативные опухоли подразделяются на В-клеточные и Т-клеточные, что зависит от клеток-предшественников новообразования. В орбите зачастую определяются MALT-лимфомы, которые принадлежат к индолентным (вялотекущим) формам и ассоциированы со слизистыми оболочками.

Симптомы лимфомы орбиты
Большинство случаев новообразования имеют односторонний характер. Поскольку патология сопровождается разрастанием лимфоидной ткани, глазное яблоко на стороне поражения смещается наружу - возникает экзофтальм. Если лимфома орбиты расположена пристеночно, возникает боковой экзофтальм, глаз сдвигается в противоположную от очага сторону. При локализации опухоли в зоне мышечной воронки, экзофтальм имеет осевой характер.
Для лимфомы орбиты характерно постепенное нарастание экзофтальма и его умеренный характер (выступание глазного яблока в среднем на 5-6 мм). По мере роста опухоли пациенты предъявляют жалобы на затруднения при повороте глаза, невозможность полностью сомкнуть веки, сухость и чувство «песка» в глазах из-за недостаточного увлажнения конъюнктивы. Зрительная функция не страдает, однако возможно двоение в глазах и ограничение полей зрения из-за птоза века.
Изредка орбитальная лимфома имеет быстропрогрессирующее течение. В таком случае экзофтальм стремительно увеличивается, сопровождается повышением внутриглазного давления и болями в пораженном глазу. Несмыкание век вызывает кератопатию. В редких случаях наблюдается вовлечение мышц и других тканей орбиты. Такие проявления характерны для длительно существующей нелеченой лимфомы, иммунокомпрометированных групп пациентов.
Осложнения
Первичная лимфома орбиты, которая является наиболее частой формой болезни, без лечения может переходить в системное лимфопролиферативное заболевание. Спустя 10 лет от манифестации локальной лимфомы более 30% людей сталкиваются с другими формами экстранодулярного поражения. Иммуносупрессия на фоне лимфопролиферативных состояний обуславливает предрасположенность пациента к инфекционным заболеваниям, которые нередко становятся причиной смерти.
Диагностика
Пациенты с характерными жалобами первично обращаются к врачу-офтальмологу. При подозрении на лимфопролиферативный процесс к обследованию привлекают онколога или онкогематолога. Данные физикального осмотра при лимфоме орбиты малоинформативны: определяется экзофтальм, отек периорбитальных тканей, покраснение конъюнктивы глаза. Чтобы поставить точный диагноз, используют ряд инструментальных и лабораторных методов:
- УЗИ глаза. Эхосонография проводится на этапе первичной диагностики, чтобы определить наличие объемного новообразования, исключить другие причины внешних глазных симптомов. УЗИ не дает возможности дифференцировать разные виды опухолей, поэтому обязательно дополняется другими видами диагностики.
- КТ орбиты. На КТ-снимках лимфома орбиты имеет вид объемного образования неоднородной структуры. Опухоли бывают единичными или множественными, контуры новообразования имеют нечеткие границы. При запущенной форме болезни по данным КТ определяется разрушение костной стенки глазницы.
- МРТ орбиты. На МРТ-снимках определяются объемные новообразования неправильной формы, которые изоинтенсивны по отношению к мышцам орбиты и гиперинтенсивны относительно жировой клетчатки. Изредка визуализируется утолщение и инфильтрация глазных мышц.
- Тонкоигольная аспирационная биопсия. При цитологической диагностике биоптатов опухоли определяются атипические клетки с патологией клеточных мембран. Большинство опухолей орбиты имеют В-клеточное происхождение. Для установления типа лимфомы и выбора тактики лечения назначается иммунологическое исследование биоптатов.
- Лабораторная диагностика. Пациентам рекомендованы анализы на ВИЧ-инфекцию, вирусные гепатиты и герпесвирусы, чтобы исключить ассоциированную патологию. Всем больным лимфомами проводятся клинический и биохимический анализы крови, коагулограмма, иммунограмма.
Дифференциальная диагностика
Лимфому орбиты необходимо дифференцировать с кавернозной гемангиомой, опухолями оболочек зрительного нерва, гемангиоперицитомой, метастазами в периорбитальную зону. Обязательно исключают редкие опухоли глазницы: невриному, рабдомиосаркому. Большие трудности для практической онкологии представляет дифференциальная диагностика между лимфомой и доброкачественной гиперплазией лимфоидной ткани орбиты.

Лечение лимфомы орбиты
Консервативная терапия
Основным методом лечения является наружное облучение орбиты. Это самый результативный способ уничтожения злокачественной опухоли, который показан большинству пациентов, независимо от стадии и гистологического типа заболевания. При своевременном начале лучевой терапии удается достичь регресса симптоматики, частичного или полного восстановления подвижности глазного яблока.
В случае диссеминированной неходжкинской лимфомы, протекающей с вовлечением тканей орбиты, радиотерапию дополняют полихимиотерапией. Комбинированное высокодозное лечение признано оптимальным вариантом для достижения длительной ремиссии и улучшения отдаленного прогноза для пациента. Конкретные наименования и сочетания цитостатиков подбираются врачом-онкологом по результатам полной диагностики опухоли.
Хирургическое лечение
При единичной лимфоме небольшого размера операцией выбора является иссечение опухоли в пределах здоровых тканей. Благодаря микрохирургической технике операции во многих случаях удается сохранить зрительную функцию и эстетичный внешний вид пациента. Гигантские опухоли, занимающие большую часть глазницы, являются показанием к радикальной операции - экзентерации орбиты. Учитывая калечащий характер вмешательства, его проводят достаточно редко.
Прогноз и профилактика
При первичной лимфоме средняя 5-летняя выживаемость составляет более 83%, что является хорошим показателем для лимфопролиферативных состояний. В этом случае прогноз для жизни и сохранности зрительной функции благоприятный. Менее оптимистичный прогноз при диссеминированных вариантах болезни. Учитывая сложность и многогранность этиопатогенеза заболевания, результативные меры профилактики пока не разработаны.
1. Особенности клинической картины злокачественной лимфомы орбиты/ А.Ф. Бровкина// Вестник офтальмологии. - 2019. - №5.
4. Злокачественные лимфомы органа зрения. Проблемы и перспективы (взгляд офтальмолога)/ Е.Е. Гришина// Современная онкология. - 2006. - №4.
Невринома ( Неврилеммома , Нейринома , Шванноглиома , Шваннома )
Невринома — это доброкачественное новообразование, возникающее из миелиновой оболочки нервного ствола. Становится причиной раздражения и дисфункции поражённого нерва, компрессии прилегающих тканей. Клинические проявления соответствуют расположению опухоли. Наиболее часто встречаются невриномы слухового нерва. Диагностика осуществляется комплексно по результатам неврологического осмотра, УЗИ, МРТ, КТ поражённой области, электронейромиографии, гистологического исследования. Лечение хирургическое, по показаниям проводится открытое или радиохирургическое удаление новообразования.



Причины невриномы
Шваннома образуется вследствие чрезмерного размножения шванновских клеток в неврилемме. Причины процесса усиленного деления остаются неизвестными. Значимыми факторами считаются:
- ионизирующая радиация
- плохая экологическая обстановка
- воздействие канцерогенов, поступающих в организм с пищевыми продуктами, вдыхаемым воздухом.
Предполагают наследственную детерминированность развития неврином. Склонность к их образованию отмечается у пациентов с нейрофиброматозом. Возникновение неврином глотки обусловлено хроническим вредоносным воздействием различных химических агентов, пыли, частых и длительных воспалительных процессов при хроническом тонзиллите, фарингите, назофарингите.
Макроскопически невринома является заключённым в капсулу, отграниченным округлым образованием с бугристой поверхностью. На разрезе опухоль имеет светло-серый или буро-коричневый цвет, определяются многочисленные фиброзированные участки, заполненные бурой жидкостью кисты. По мере роста неоплазия начинает сдавливать нервные волокна и окружающие нерв ткани, что вызывает возникновение основных клинических проявлений - нарушения функции нерва и прилегающих к нему структур. Выраженность симптоматики определяется локализацией шванномы. При расположении в узких рамках мосто-мозжечкового угла, костно-мышечного канала симптомы появляются рано, даже при небольших размерах образования.
Микроскопически невринома представляет собой параллельные ряды клеток с палочкообразными ядрами, перемежающиеся с волокнистыми структурами. Периферические участки опухоли окружены сосудистой сетью, центральные бедны сосудами. Вследствие недостаточного кровоснабжения в центральных отделах происходят дистрофические изменения. В результате последних невринома претерпевает различные морфологические трансформации, соответственно которым выделяют три основных гистологических типа неоплазии: эпителиоидный, ангиоматозный, ксантоматозный. Клинического значения указанная классификация не имеет.
Симптомы невриномы
Шваннома отличается медленным развитием симптоматики, может долго оставаться незамеченной. Признаки неоплазии зависят от ее месторасположения, включают две основные составляющие - симптомы расстройства функции поражённого нерва и проявления, обусловленные компрессией близлежащих тканей. При невриноме слухового нерва отмечается прогрессирующее снижение слуха. Поскольку опухоль односторонняя, пациент не сразу замечает развитие тугоухости. При вовлечении вестибулярной порции появляются головокружения с тошнотой и рвотой, вестибулярная атаксия.
Невринома тройничного нерва манифестирует прозопалгией, гипестезией половины лица, иногда - вкусовыми галлюцинациями. Поражение лицевого нерва характеризуется слабостью мимической мускулатуры. В ряде случаев тригеминальная и фациальная симптоматика провоцируются компрессией корешков соответствующих черепных нервов увеличивающейся вестибуло-кохлеарной шванномой.
Невринома спинального корешка протекает с классическим корешковым синдромом: болью, расстройством чувствительности, мышечной гипотонией, слабостью, атрофией в зоне иннервации поражённого корешка. Невринома периферического нерва проявляется аналогичными нарушениями в иннервируемой области. Со временем в денервированных тканях развиваются трофические расстройства. Невринома глотки вызывает чувство дискомфорта, обуславливает дисфагию, затруднение носового дыхания.
Неуклонно увеличивающаяся невринома мосто-мозжечкового угла может приводить к полной потере слуха, стойкому гемипарезу лица, внутричерепной гипертензии, сдавлению стволовых структур с развитием бульбарного синдрома, включающего нарушения глотания, речи, появление двоения в глазах. Компрессия мозжечка обуславливает возникновение мозжечковой атаксии: шаткость ходьбы, дискоординацию, крупноразмашистые движения, скандированную речь, нистагм. Спинальная невринома осложняется сдавлением спинного мозга с развитием компрессионной миелопатии, проявляющейся сенсомоторными нарушениями ниже очага поражения, расстройствами тазовых функций. Осложнением шванномы ветвей блуждающего нерва является нейропатический парез гортани.
Клиническая картина невриномы во многом сходна с поражением нервного ствола воспалительной, компрессионной, дисметаболической этиологии. Клиническая симптоматика, осмотр невролога позволяют определить уровень поражения. Последующая инструментальная диагностика направлена на уточнение морфологического субстрата, явившегося причиной поражения нервного ствола. Перечень необходимых обследований определяется расположением неоплазии, включает:
- Церебральную нейровизуализацию. Применяется при новообразованиях черепных нервов. Контрастная КТ головного мозга способна выявить невриномы размером более 1 см. Церебральная МРТ обладает большей информативностью, лучше визуализирует состояние окружающих опухоль тканей.
- МРТ. Проводится изолированная МРТ поражённого отдела позвоночника. Исследование позволяет обнаружить невриномы спинномозговых корешков, определить степень спинальной компрессии.
- Аудиометрия. Наряду с консультацией оториноларинголога и сурдолога, аудиометрия показана пациентам с понижением слуха. Обследование проводится для оценки степени тугоухости, исключения прочих возможных причин ухудшения слуха.
- КТ или МРТ гортани и глотки. Назначается при подозрении на невриному глотки. Выполняется после фарингоскопии для уточнения диагноза, локализации и размеров неоплазии.
- Сонография. УЗИ периферических нервов целесообразно при поражении нервных стволов конечностей. Дает возможность определить наличие локального утолщения неврилеммы. Более точно визуализировать образование помогает местная МРТ мягких тканей конечности.
- Электронейромиография. ЭНМГ необходима для анализа функционального состояния поражённого шванномой нервного ствола. В послеоперационном периоде применяется для контроля восстановления.
- Гистологическое исследование. Указанные выше обследования позволяют определить наличие опухолевого образования, предположить его доброкачественный характер. Точная верификация неоплазии возможна лишь по результатам исследования строения её тканей. Как правило, биопсия не назначается, проводится гистология операционного материала.
Дифференциальная диагностика шванном производится с другими опухолевыми образованиями. Невринома мосто-мозжечковой локализации требует дифференцировки от менингиомы, астроцитомы, опухоли мозжечка, спинальная шваннома — от иных экстрамедуллярных опухолей. Невриномы периферических нервов дифференцируют от компрессионно-ишемической, воспалительной невропатии.

Лечение невриномы
Единственным эффективным способом лечения шванном является их удаление. Выбор лечебной тактики осуществляется нейрохирургом, зависит от локализации неоплазии, возраста и состояния здоровья пациента. Применяются две основные методики:
- Хирургическое иссечение. Требует высвобождения нервных волокон от опухолевых тканей, что сопряжено с высоким риском травмирования, вероятностью сохранения отдельных опухолевых частиц, которые в последующем могут стать причиной рецидива. Для снижения риска указанных осложнений используется микрохирургическая техника. При интракраниальной локализации операция проводится путём трепанации черепа, при спинальной — с ламинэктомией.
- Радиохирургическое удаление. Выполняется при внутричерепной и спинальной локализации шванномы. Направленное лучевое воздействие вызывает гибель части опухолевых клеток, оставшиеся клетки утрачивают способность к размножению. Радикальная радиохирургическая операция возможна при размере неоплазии менее 30 мм, в остальных случаях радиохирургический метод применяется в качестве паллиативного лечения с целью уменьшения размеров новообразования у больных, имеющих противопоказания к открытой операции.
Исход заболевания зависит от расположения опухоли, своевременности диагностики и лечения. В большинстве случаев радикальное удаление обеспечивает благоприятный результат. В отдельных случаях наблюдается рецидив новообразования. Отсутствие лечения приводит к необратимой потере функции поражённого нервного ствола, возникновению осложнений. Специфическая профилактика не разработана, общие профилактические меры сводятся к предупреждению воздействия онкогенных факторов, повышению противоопухолевого иммунитета.
1. Магнитно-резонансная томография в нейрохирургии/ Коновалов А.Н., Корниенко В.Н., Пронин И.Н. - 1997.
3. Невриномы нервных стволов конечностей: клиника, диагностика и лечение/ Цымбалюк В.И., Третяк И.Б., Тончев М.Д.// Украинский нейрохирургический журнал. - 2008.
Читайте также:
