Симптомы перелома костей лица и их лечение
Добавил пользователь Евгений Кузнецов Обновлено: 21.11.2025
Что такое перелом верхней челюсти? Причины возникновения, диагностику и методы лечения разберем в статье доктора Горбань Виталия Валерьевича, челюстно-лицевого хирурга со стажем в 11 лет.
Над статьей доктора Горбань Виталия Валерьевича работали литературный редактор Юлия Липовская , научный редактор Сергей Федосов и шеф-редактор Лада Родчанина

Определение болезни. Причины заболевания
Перелом верхней челюсти — это полное или частичное нарушение анатомической целостности верхней челюсти под действием нагрузки, превышающей её прочность.

Самая частая причина переломов — влияние травмирующих агентов [1] [2] [3] . На второе место следует поставить хирургические переломы верхней челюсти при проведении операций по нормализации прикуса и изменению пропорций лица [4] [5] [9] [10] [11] .
Переломы верхней челюсти не настолько частая патология, как переломы нижней челюсти. Это связано в тем, что верхняя челюсть не самая "легкодоступная" для ударов часть лица. Так, видный травматолог П.З. Аржанцев приводит данные статистики: травмы верхней челюсти составляют 3,3 % случаев от всех травм челюстно-лицевой области [6] [7] [8] . Чаще всего с этой ситуацией сталкиваются молодые мужчины, ведущие активный образ жизни, и спортсмены, занимающиеся контактными единоборствами.
Одной из самых частых причин локализованных переломов верхней челюсти являются бытовые травмы. Основной причиной сочетанных повреждений являются дорожно-транспортные происшествия и катастрофы. Также перелом верхней челюсти может произойти при огнестрельных ранениях, однако в мирное время такие случаи встречаются довольно редко.
При обнаружении схожих симптомов проконсультируйтесь у врача. Не занимайтесь самолечением - это опасно для вашего здоровья!
Симптомы перелома верхней челюсти
Симптомы переломов верхней челюсти определяются характеристиками травмы. Например, возможен отёк и гематомы мягких тканей средней трети лица, боль (в покое и при смыкании зубов), подвижность верхней челюсти и/или верхней челюсти и костей средней зоны лица (зависит от уровня перелома), онемение кожи подглазничных областей, слизистой нёба, слизистой альвеолярного отростка, подкожная эмфизема (скопление воздуха), носовые кровотечения и кровотечения из разрывов слизистой полости рта, деформации средней зоны лица различной выраженности.
В более тяжёлых случаях — симптом "очков" (гематомы вокруг глаз), ликворея (истечение цереброспинальной жидкости из отверстий в твёрдой мозговой оболочке, образовавшихся при переломе основания черепа) [3] . Еще один распространённый симптом — нарушение прикуса: те или иные нарушения прикуса наблюдаются в большинстве случаев переломов верхней челюсти.

Очень часто перелом верхней челюсти сопровождается сотрясением головного мозга. Основными симптомами сотрясения являются: кратковременный эпизод потери сознания, головная боль, головокружение, тошнота, часто возникает рвота, шум в ушах, появляется потливость, нарушается сон. Жизненно важные функции не нарушаются.
Симптомы переломов прогрессируют в первые минуты и часы после травмы. При сочетании перелома верхней челюсти с переломом основания черепа могут отмечаться нарушения обоняния. Ощущение инородного тела в горле — не самый явный симптом — может возникать при значительном смещении верхней челюсти кзади, в сторону носо- и ротоглотки. При таких дислокациях больные чаще жалуются на нарушение проходимости верхних дыхательных путей.
Патогенез перелома верхней челюсти
Чтобы понимать, как ломается верхняя челюсть следует сначала остановиться на её анатомии. Верхняя челюсть (лат. maxilla) — парная кость, которая у взрослого человека представляет собой единую систему. Она имеет две больших полости (верхнечелюстные пазухи) и участвует в формировании ещё трёх полостей — глазницы и полости носа. По своему строению это ажурная, тонкая структура, находящаяся в передне-средней части черепа.
Она соединена с другими костями лицевого скелета и основания черепа: скуловой, лобной, носовой, слёзной, решётчатой, клиновидной, нёбной.

Выделяют так называемые отростки верхней челюсти: скуловой отросток (соединяется со скуловой костью и формирует ширину лица ), лобный отросток (формирует плавность профиля спинки носа и опосредованно участвует в формировании очертаний глазниц), нёбный отросток (формирует твёрдое небо, срастается по средней линии нёбного шва с противоположной верхнечелюстной костью) и альвеолярный отросток (содержит в себе зубы).

Верхняя челюсть представляет собой достаточно прочную структуру, благодаря местам особой прочности — контрфорсам, которые представляют собой костные утолщения. Различают лобно-носовой, альвеолярно-скуловой, крыловидно-нёбный и нёбный контрфорсы. Забегая вперёд, стоит сказать, что при оперативном лечении переломов верхней челюсти эти "линии" используются для надёжной, ригидной фиксации (остеосинтеза) повреждённых костей.

Однако в строении верхней челюсти есть и участки сниженной прочности. Они находятся вдоль швов, соединяющих верхнюю челюсть с другими костями лицевого скелета, а также с костями основания черепа.Таким образом, можно понять, что при чрезмерном механическом воздействии верхняя челюсть чаще всего ломается именно в местах перехода от прочных участков к слабым или просто в слабых местах [4] .
По этой причине линия перелома часто проходит не строго по анатомическим границам верхней челюсти, а смещается на соседние, связанные с ней кости. Это объясняет, почему в практике челюстно-лицевых хирургов встречаются не столько переломы самой верхней челюсти, сколько её "выламывание" с фрагментами других костей лица и основания черепа.
Классификация и стадии развития перелома верхней челюсти
Чаще всего переломы классифицируют по Рене Ле Фору. Этот французский хирург систематизировал и описал формирующиеся повреждения костей средней зоны лица экспериментально: на головы свежих человеческих трупов он оказывал разные по направлению и силе воздействия по типу тупой травмы. Именно так и было обнаружено, что большинство линий переломов проходит по трём типам [1] :
- | тип — нижний, или горизонтальный тип, перелом Герена — Ле Фора. Перелом проходит над альвеолярным отростком и нёбным отростком через боковую и переднюю поверхности верхней челюсти, от крыловидных отростков основной кости к краю грушевидного отверстия.
- || тип — средний, или пирамидальный перелом, суборбитальный перелом. Линия перелома проходит через корень носа, внутреннюю стенку глазницы и далее — через нижнеглазничную щель кпереди по нижней стенке глазницы к месту альвеолярно-скулового контрфорса с переломом крыловидных отростков. Проще говоря, верхняя челюсть единым блоком "отсоединяется" от остальных костей средней зоны лица.
- ||| тип — верхний тип (поперечный, суббазальный, он же черепно-лицевое разъединение). Самый грозный вид перелома верхней челюсти, когда происходит отрыв верхней челюсти вместе со скуловыми костями от мозгового черепа. Как правило сочетается с тяжёлыми повреждениями головного мозга [3] .

Отличительные признаки каждого типа проявляются по уровню подвижности фрагментов, тяжести состояния больного и данным дополнительных методов исследования (компьютерной томографии).
Помимо классификации Ле Фора существует классификация переломов по Вассмунду, которая отличается лишь отсутствием в линии перелома костей носа. Различают также изолированные переломы отростков, поверхностей и частей верхней челюсти. Однако каждый челюстно-лицевой хирург, занимающийся травматологией, знает, что в жизни всё происходит не совсем так, как написано в книгах. Очень часто верхняя челюсть ломается по другим схемам. Поэтому, готовясь оперировать пациента, хирурги сталкиваются с очень трудоёмкой задачей — им необходимо понять, как собрать этот многооскольчатый "конструктор" с максимальным восстановлением анатомии и функции челюсти через минимальные разрезы с минимальным нарушением кровоснабжения и максимальной стабильностью.
Осложнения перелома верхней челюсти
Все осложнения, связанные с переломами верхней челюсти, можно разделить на ранние и отсроченные.
К ранним осложнениям стоит отнести: кровотечения, развитие подкожной эмфиземы, нарушение прикуса, потерю зубов.
Поздние осложнения переломов более многообразны. Во многом развитие поздних осложнений зависит от характера полученной травмы, уровня перелома и своевременности оказанной помощи. Самыми частыми осложнениями являются:
- формирование посттравматических деформаций средней зоны лица;
- нарушения прикуса;
- несращение переломов челюсти;
- развитие хронических верхнечелюстных синуситов из-за нарушения целостности слизистой пазух и нарушения дренажной функции пазух;
- нарушение носового дыхания;
- формирование стойких невритов (воспаления нервов) подглазничных нервов из-за ущемления рубцово-изменёнными отломками сосудисто-нервных пучков. При этом утрачивается чувствительность кожи подглазничной области, слизистой полости рта и зубов в зоне иннервации подглазничного нерва.
Самым грозным осложнением высокого перелома верхней челюсти сочетанного с переломом черепа является ликворея (истечение ц ереброспинальной жидкости ). Кости основания черепа плотно связаны с твёрдой мозговой оболочкой и при нарушении её целостности требуется серьёзное лечение пациента совместно с нейрохирургами. Истечение ликвора из полости черепа может происходить через слуховые проходы, но чаще — через полость носа [3] .
К редким осложнениям следует отнести развитие менингита (воспаления мозговых оболочек) и других внутричерепных воспалительных осложнений.

Однако самыми частыми осложнениями переломов верхней челюсти являются стойкие нарушения прикуса и асимметрии лица — следствие несвоевременного обращения пациентов к врачу и неправильного сращения отломков. Самый эффективный способ борьбы с осложнениями — при получении травмы и особенно при подозрении на перелом верхней челюсти необходимо своевременно обратиться к челюстно-лицевым хирургам или медработникам других специальностей.
Диагностика перелома верхней челюсти
Правильная постановка диагноза базируется на сборе анамнеза, осмотре и рентгенологической картине.
При осмотре может определяться:
- подвижность фрагментов верхней челюсти или всего верхнечелюстного комплекса;
- "ступеньки" из-за смещения костных фрагментов при прощупывании верхней челюсти через кожу;
- нарушение чувствительности кожи подглазничных областей, зубов и слизистой полости рта;
- кровотечение из носа или полости рта;
- нарушения зрения (двоение в глазах);
- нарушения движения глазного яблока;
- "симптом верхнеглазничной щели" при высоких переломах верхней челюсти в сочетании с нарушением целостности глазницы: отсутствие движений глазного яблока, опущение верхнего века, отсутствие чувствительности верхнего века и кожи лба, расширение зрачка;
- экзофтальм (смещение глазного яблока вперёд );
- звуки "потрескивания" в области линии перелома при смыкании зубов;
- нарушение носового дыхания.
Симптоматика переломов костей средней зоны лица многообразна, поэтому для постановки точного диагноза требуется выполнение рентгенологической диагностики. Самым современным и точным методом является компьютерная томография . С её помощью челюстно-лицевой хирург имеет возможность точно определить локализацию линии разъединения костных фрагментов и тип перелома, выбрать наиболее адекватную и малотравматичную тактику лечения [11] .

При подозрении на перелом верхней челюсти обязательна консультация невролога, так как в абсолютном большинстве случаев нарушение целостности костей лицевого скелета сопровождается сотрясением головного мозга. При констатации перелома основания черепа пациента обязательно должен осмотреть нейрохирург, офтальмолог, терапевт и иногда лор-специалист. При сочетанных травмах (например при ДТП) привлекаются общие хирурги, травматологи.
Лечение перелома верхней челюсти
При оказании доврачебной помощи пациенту нужно остановить кровотечение, предупредить аспирацию ( проникновение в дыхательные пути) крови и рвотных масс. Если нижняя челюсть не пострадала и имеется достаточное количество зубов на обеих челюстях, необходимо наложить пращевидную повязку, прижав нижнюю челюсть к верхней или выполнить иммобилизацию (обездвиживание) жёсткой подбородочной пращой [4] .

При рисках нарушения дыхания требуется немедленное введение воздуховода для сохранения проводимости дыхательных путей [1] . Кроме того, необходимо провести обезболивание и быструю транспортировку больного в специализированные медучреждения. Самое важное на этом этапе — сохранить жизнь и здоровье пациента.
Существует множество методов нехирургического лечения переломов верхней челюсти, например, разного типа повязки и наружные фиксации, которые в настоящее время практически не применяются.
Самым частым методом ортопедического лечения переломов является двучелюстное шинирование — наложение на зубные ряды шин-скоб с репозицией отломков и фиксацией прикуса в привычном для больного положении. Этот метод консервативен и малотравматичен, но в ряде случаев не позволяет получить хорошей фиксации фрагментов верхней челюсти, особенно при высоких и сложных переломах. В среднем при переломах верхней челюсти требуется обездвиживание и ограничение жевательной нагрузки на срок 4-5 недель.
Самым современным и адекватным методом лечения на данный момент является остеосинтез (фиксация титановыми накостными конструкциями) переломов верхней челюсти. Это хирургическое вмешательство, выполняемое из внутриротовых разрезов. При таком варианте лечения можно точно сопоставить и зафиксировать фрагменты для создания условий их сращения [7] .

При лечении высоких переломов также используется коронарный доступ, который позволяет создать косметичный и широкий доступ к костям всей средней зоны лица и глазницам [5] . Своевременное выполнение остеосинтеза позволяет предотвратить поздние послеоперационные осложнения, облегчить реабилитацию пациента и ускорить сроки выздоровления.
Переломы с грубыми нарушениями целостности верхней челюсти и значительными смещениями отломков в сторону глотки рекомендуется лечить хирургическими методами. Однозначного мнения относительно других видов переломов нет — тактика диктуется состоянием больного и конкретной клинической ситуацией.
Стоит отметить, что очень важно постоянное ношение межчелюстной фиксации для плотного контакта фрагментов и исключения их подвижности, особенно под действием жевательной нагрузки [9] . Также необходимы качественная гигиена полости рта и наблюдение пациента у челюстно-лицевого хирурга
Восстановление после переломов занимает от четырёх до шести недель, в зависимости от характера перелома, особенностей организма пациента и метода лечения.
Пациенты с переломами верхней челюсти на ранних сроках должны питаться жидкой пищей, на самых поздних сроках — мягкой. Приём жёсткой пищи и активное жевание следует ограничить. Остальные рекомендации даются исходя из общесоматических и неврологических нарушений (постельный режим и т. д.).
Прогноз. Профилактика
Прогноз перелома верхней челюсти — относительно благоприятный. Самыми неприятными из осложнений, бесспорно, являются неврологические. Практически всегда эти осложнения связаны с несвоевременным обращением пациента за медицинской помощью или с отсутствием динамического наблюдения за пациентом.
Правильно подобранное и своевременно оказанное лечение, контроль пациентов в динамике — ключ к минимизации осложнений и благоприятной реабилитации пациентов.
Самая лучшая профилактика любых переломов челюстей — сведение к нулю возможных причин возникновения переломов и своевременность обращения пациента к доктору. Возможные осложнения лечения близки по сути к осложнениям самих переломов.
Рекомендация от хирурга: избегать ударов в область челюсти и пристёгиваться в автомобилях — уже на скорости 40 км/ч ударная сила может привести к перелому верхней челюсти.
Перелом нижней челюсти - симптомы и лечение
Что такое перелом нижней челюсти? Причины возникновения, диагностику и методы лечения разберем в статье доктора Козлова Петра Юрьевича, стоматолога со стажем в 7 лет.
Над статьей доктора Козлова Петра Юрьевича работали литературный редактор Маргарита Тихонова , научный редактор Сергей Федосов

Перелом нижней челюсти — это нарушение целостности кости в одном или нескольких отделах.

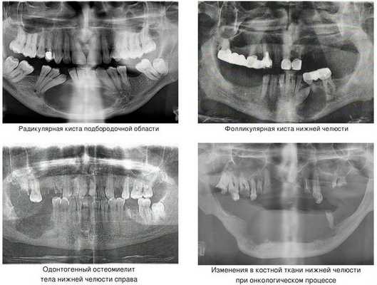
Наиболее частой причиной возникновения перелома нижней челюсти является травматический фактор. В ряде случаев речь может идти о патологическом переломе из-за деструктивных процессов в костной ткани. [1] К таким патологическим процессам относятся:
- кисты челюстей;
- остеомиелит (гнойное воспаление костных тканей);
- онкологический процесс.
Кисты челюстей в основной массе протекают бессимптомно, медленно, но верно разрешая костную ткань. Часто патологический перелом вызвают радикулярные (корневые) и фолликулярные кисты. [2] Первые связаны с изменениями в периапикальных тканях одного или нескольких зубов, вторые являются результатом нарушения прорезывания зубов, чаще нижних зубов мудрости.
При онкологическом процессе нижняя челюсть может быть как первичным очагом, так и местом метастазирования посредством либо прорастания из близлежащих областей, либо распространением с током крови или лимфы. [3] Патологический процесс распространяется до тех пор, пока не разрушит костную ткань нижней челюсти до той стадии, в которой обычное пережевывание пищи может перевести к перелому.

По собственным наблюдениям, считаю, что переломы нижней челюсти можно отнести к сезонным заболеваниям: пик частоты наступает с приходом весны, спад — ближе к зиме. Сезонность объясняется получением травмы в ходе драк, чаще уличных.
Перелом черепа ( Перелом костей черепа )
Перелом черепа - это нарушение целостности костей черепа. Чаще его причиной становится тяжелая прямая травма. Патология сопровождается локальной болью в месте повреждения. Остальные симптомы зависят от тяжести травмы, поражения мозговых структур и развития осложнений. Диагностика базируется на жалобах, данных анамнеза и объективного осмотра, результатах рентгенографии, КТ, МРТ и других исследований. Лечение определяется видом перелома и тяжестью черепно-мозговой травмы, может быть как консервативным, так и оперативным.
МКБ-10



Общие сведения
Перелом черепа - травматическое нарушение целостности черепа. Обычно сопровождается повреждением мозга и его оболочек, поэтому относится к группе состояний, представляющих опасность для жизни. Тактика лечения зависит от вида перелома черепа и особенностей повреждения мозговых структур и может быть как консервативной, так и оперативной.
Переломы черепа составляют около 10% от всех переломов и около 30% от общего количества тяжелых черепно-мозговых травм и чаще наблюдаются либо у активных людей молодого и среднего возраста, либо у социально неблагополучных граждан (алкоголиков, наркоманов и т. д.). Высокая частота подобных повреждений у первой группы пациентов объясняется их активностью (травмы на производстве, поездки на автомобилях, занятия спортом, в том числе - экстремальным и т. д.). Травмы представителей второй группы чаще связаны с криминалом, либо с несчастными случаями в состоянии алкогольного или наркотического опьянения.

Причины
Как правило, перелом черепа возникает в результате тяжелых травм: падений с большой высоты, автомобильных аварий, ударов по голове твердым массивным предметом и пр. Выделяют два механизма перелома черепа:
- Прямой. В этом случае кость ломается непосредственно в месте приложения силы,
- Непрямой. Действие удара передается на поврежденную кость с других отделов черепа или других костей скелета.
Переломы свода черепа обычно формируются в результате прямой травмы. При этом кости черепа прогибаются внутрь, а первой повреждается внутренняя пластинка черепной кости. Однако, возможны и непрямые переломы свода черепа, при которых поврежденная кость выпячивается кнаружи.
Переломы основания черепа чаще развиваются вследствие непрямой травмы, например, в результате падения с высоты на ноги и таз (в этом случае травматическое воздействие передается через позвоночник) или в результате падения на голову (при этом удар передается с костей свода на кости основания черепа).
Классификация
Выделяют переломы мозгового и лицевого черепа. Изучение и лечение переломов лицевого черепа представляет собой отдельный раздел медицины, находящийся в ведении челюстно-лицевых хирургов. Лечением переломов мозгового черепа занимаются врачи-нейрохирурги, а в деревнях и небольших городах, не имеющих собственных нейрохирургических отделений - травматологи или хирурги.
Все переломы мозгового черепа подразделяются на две большие группы: переломы свода и основания. Переломы основания в травматологии и ортопедии встречаются относительно редко и составляют около 4% от общего количества черепно-мозговых травм. По своему характеру переломы свода, в свою очередь, делятся на:
- Линейные переломы. Повреждение кости напоминает тонкую линию. Смещение костных фрагментов отсутствует. Такие переломы сами по себе наименее опасны, однако они могут становиться причиной повреждения оболочечных артерий и образования эпидуральных гематом.
- Вдавленные переломы. Кость вдавливается в черепную коробку. Из-за этого может повреждаться твердая мозговая оболочка, сосуды и мозговое вещество, следствием чего становятся ушибы и размозжения мозга, внутримозговые и субдуральные гематомы.
- Оскольчатые переломы. При повреждении образуется несколько осколков, которые могут повреждать мозг и мозговые оболочки, вызывая те же последствия, что при вдавленных переломах.
Переломы основания черепа подразделяются на переломы передней, средней и задней черепной ямки. Возможно также сочетание переломов свода и основания черепа.

КТ головы (3D-реконструкция). Перелом лицевого черепа (скуловой дуги) и перелом в области лобно-скулового шва.
Симптомы перелома черепа
Перелом свода черепа
При повреждениях свода черепа обнаруживается рана или гематома волосистой части головы. В области перелома могут иметься видимые или выявляемые при ощупывании вдавления. Следует учитывать, что при линейных переломах такие вдавления отсутствуют. Общие симптомы зависят от тяжести травмы и степени повреждения мозговых структур. Возможны любые нарушения сознания, от его кратковременной потери в момент травмы до комы. При поражении мозга и черепных нервов возникают нарушения чувствительности, парезы и параличи. Может развиваться отек мозга, сопровождающийся тошнотой, рвотой, распирающими головными болями, нарушением сознания и появлением очаговой симптоматики. При сдавлении ствола мозга отмечаются нарушения дыхания и кровообращения, а также угнетение реакции зрачков.
Обычно выявляется закономерность: чем тяжелее черепно-мозговая травма, тем сильнее выражено нарушение сознания. Однако из этого правила есть исключение - внутричерепная гематома, для которой характерен период просветления, сменяющийся потерей сознания. Поэтому удовлетворительное состояние больного не стоит расценивать, как свидетельство отсутствия или незначительной тяжести травмы.
Еще один фактор, который необходимо принимать во внимание - пациенты с переломом черепа нередко находятся в состоянии алкогольного опьянения, которое может затруднять диагностику. Поэтому объективные подтверждения травмы головы (ушибы, раны, гематомы) и свидетельства очевидцев в таких случаях должны становиться поводом для направления больного на немедленное обследование в специализированное отделение.
Перелом основания черепа
При переломах основания черепа симптоматика зависит от сопутствующего повреждения мозга. Кроме того, выявляются признаки, характерные для повреждения определенной черепной ямки. О переломе передней черепной ямки свидетельствует симптом «очков» - кровоизлияния в клетчатку вокруг глаз и истечение спинномозговой жидкости с примесью крови из носа. Иногда наблюдается экзофтальм (выпучивание глаз вследствие кровоизлияния в клетчатку, расположенную позади глаза). При повреждении воздухоносных полостей может выявляться подкожная эмфизема.
Перелом средней черепной ямки сопровождается истечением спинномозговой жидкости из слуховых проходов и образованием кровоподтека на задней стенке глотки. Для перелома задней черепной ямки характерны тяжелые расстройства дыхания и кровообращения (свидетельство повреждения ствола мозга) и кровоподтеки в области сосцевидного отростка (костного выступа за ухом). Следует учесть, что симптом «очков» и кровоподтеки в область сосцевидного отростка появляются не сразу, а через 12-24 часов после травмы.
Диагностика
Перелом черепа положено исключать у всех пациентов с черепно-мозговой травмой. Врач опрашивает больного, выясняя обстоятельства травмы, оценивает его общее состояние, проводит неврологическое обследование (оценивает чувствительность и силу мышц, проверяет рефлексы и т. д.). В ходе осмотра он проверяет состояние зрачков (реакция на свет, равномерность, ширина), наличие или отсутствие отклонения языка от средней линии и равномерность оскала зубов, а также измеряет пульс, чтобы выявить брадикардию, характерную для черепно-мозговой травмы.
Обязательно выполняется обзорная рентгенограмма черепа в двух проекциях, а при необходимости - и в специальных укладках. Назначается компьютерная томография черепа и магнитно-резонансная томография (МРТ головного мозга).

Существует ряд объективных обстоятельств, затрудняющих диагностику переломов черепа, в том числе - тяжелое состояние больного, из-за которого невозможно провести ряд исследований, особенности строения черепа из-за которых на обзорных снимках повреждение костей основания выявляется менее чем у 10% пострадавших и т. д. Поэтому диагноз перелома черепа в ряде случаев выставляется на основании клинической картины и в последующем, после улучшения состояния больного, подтверждается данными объективных исследований.
Лечение перелома черепа
Первая помощь
Всех пациентов с черепно-мозговой травмой необходимо немедленно доставлять в стационар. На этапе первой помощи больного укладывают в горизонтальное положение. Если пострадавший находится в сознании, его кладут на спину. Пациентов в бессознательном состоянии укладывают вполоборота. Для создания такого положения под спину с одной стороны можно подложить небольшие подушки или верхнюю одежду. Голову больного поворачивают в сторону, чтобы при рвоте он не захлебнулся рвотными массами.
Голове создают покой, используя подручные средства: одежду, подушки или валики. Останавливают кровотечение, накладывая на рану давящую повязку. К месту травмы прикладывают холод. Проверяют проходимость дыхательных путей, при необходимости устраняют западение языка, освобождают дыхательные пути от рвотных масс и т. д. По показаниям вводят аналептики (цитизин, диэтиламид никотиновой кислоты) и сердечные гликозиды.
Консервативная терапия
На этапе стационара лечение переломов черепа чаще консервативное, операции проводят по строгим показаниям. Консервативную терапию назначают пациентам с переломами основания черепа, закрытыми переломами свода черепа, субарахноидальными кровоизлияниями, сотрясением и ушибом головного мозга. Всем больным показан постельный режим, длительность которого зависит от тяжести травмы, и гипотермия головы (используются пузыри со льдом). Проводится дегидратационная терапия, назначаются антибиотики и обезболивающие. При переломах основания черепа выполняются повторные люмбальные пункции либо накладывается люмбальный дренаж.
Тактика лечения в каждом конкретном случае определяется тяжестью и особенностями черепно-мозговой травмы. Так, при сотрясениях головного мозга пациентам назначают вазотропные и ноотропные препараты. При ушибах мозга спектр лечебных мероприятий расширяется и включает в себя не только средства для улучшения мозгового кровотока и энергообеспечения мозга, но и метаболическую и противовоспалительную терапию и т. д. В восстановительном периоде применяют ноотропные препараты и лекарственные средства для улучшения мозговой микроциркуляции (циннаризин, винпоцетин).
Хирургическое лечение
Хирургическое лечение может потребоваться при тяжелых переломах черепа, особенно - вдавленных. Под общим наркозом выполняется трепанация, в ходе которой врач создает отверстие в черепе, удаляет из мозга внедрившиеся осколки, инородные тела и разрушенные ткани. Образование внутричерепных гематом в подавляющем большинстве случаев является показанием для срочной операции, в процессе которой хирург удаляет скопившуюся кровь, промывает полость, выявляет и устраняет источник кровотечения.
Показанием к хирургическому вмешательству при переломах основания черепа в остром периоде может стать повреждение лицевого или зрительного нерва, а в отдаленном - продолжающееся истечение спинномозговой жидкости из ушных проходов или носовых ходов. Прогноз при переломах черепа зависит от тяжести черепно-мозговой травмы. Возможно как полное восстановление, так и тяжелые последствия, становящиеся причиной инвалидности больного.
Переломы костей лицевого скелета
Нарушение целостности костной ткани костей лицевого скелета в результате травмы. Сочетанная травма - повреждение не менее двух анатомических областей одним и более повреждающими факторами.
Примечание. Данный протокол включает все подпункты пункта S02 за исключением подпунктов S02.1, S02.3.
Период протекания
Длительность лечения: 11 дней.

Автоматизация клиники: быстро и недорого!
- Подключено 300 клиник из 4 стран
- 800 RUB / 4500 KZT / 27 BYN - 1 рабочее место в месяц

Автоматизация клиники: быстро и недорого!
- Подключено 300 клиник из 4 стран
- 1 место - 800 RUB / 4500 KZT / 27 BYN в месяц
Мне интересно! Свяжитесь со мной
- перелом скуловой кости и верхней челюсти;
- перелом зуба;
- перелом нижней челюсти;
- множественные переломы костей черепа и лицевых костей.
Факторы и группы риска
Критерии диагностики
Переломы нижней челюсти
1. Статистические данные - наиболее типичны переломы угла нижней челюсти (обычно левосторонние).
2. Обследование - пальпация нижней челюсти. Обычно линию перелома удается пропальпировать до развития отека. Необходимо также обследовать полость рта. Наличие гематомы дна полости рта почти всегда свидетельствует о переломе. Следует обратить внимание на кровотечение из десны при сгибании нижней челюсти. Следует осмотреть зубы. "Ступенька" на линии зубов - достоверный признак перелома. Необходимо оценить прикус. Обычно больной сам замечает изменение прикуса. Оценивают чувствительность в области нижней челюсти. Ее изменение или потеря указывают на перелом со смещением и возможную необходимость операции.
3. Переломы ветви нижней челюсти могут сочетаться с разрывами слухового канала и кровотечением из наружного слухового прохода, не связанным с переломом основания черепа.
Латеральные переломы костей лицевого черепа
Обследование: необходимо обратить внимание на расположение скулы и ограничение объема движений нижней челюсти. Потеря чувствительности в области крыла носа, верхней губы или скулы характерна для перелома со смещением, в таких случаях необходимо оперативное лечение. Необходимо выяснить, наличие диплопии. Иногда травма приводит к потере зрения. Обычно обнаруживают выступающую гематому сбоку от глаза (кровоподтек) и гематому вокруг глаза.
Перелом Лефора II: обнаруживают отек в области средней трети лица и под глазницей, кровоподтеки с обеих сторон, носовое кровотечение (очень часто). Больной иногда отмечает диплопию.
Перелом Лефора III: кроме перечисленных выше признаков, обнаруживают патологическую подвижность всей средней трети лица. Возможна потеря чувствительности в области скулы и верхней челюсти. Необходимо обратить внимание на возможное истечение ликвора. При травмах, возникающих в результате воздействия значительной силы, вся средняя треть лица вклинивается назад и возникают выраженные нарушения прикуса.
Лечение
Основные принципы лечения переломов нижней челюсти
1. Консервативное лечение (установка арочной планки, поддержка зубного ряда) показано при стабильности перелома, нормальном прикусе и сохранности чувствительности нижней губы.
2. В течение месяца рекомендуют питание мягкой пищей и исключение нагрузок на челюсть.
3. Следует повторно посетить врача через неделю. В это время перелом гораздо легче увидеть на рентгенограмме.
4. Нечувствительность нижней челюсти указывает на дислокацию и необходимость оперативного лечения. Если при переломе со смещением не удается сопоставить линии отломков иным способом, то необходимо операционное вмешательство: операция - репозиция и фиксация отломков челюстей ортопедическим методом.
5. Обычно перелом необходимо репонировать и зафиксировать на 4-5 недель.
6. Может быть применен остеосинтез минипластинкой, фиксаторами с памятью формы в комбинации со стабильной фиксацией. Фиксация методом проволочного остеосинтеза недостаточно стабильна, поэтому ее надо дополнять межчелюстным шинированием сроком на 4-5 недель.
При переломе венечного отростка необходимости в остеосинтезе обычно не возникает.
Осложнения:
- примерно 6% случаев переломов нижней челюсти осложнены более или менее выраженными нарушениями чувствительности нижней губы;
- в области поврежденного нерва возможны невралгические боли, трудно поддающиеся лечению;
- для восстановления чувствительности в области скуловой кости наиболее целесообразна операция сшивания подглазничного нерва (ее можно провести даже через 6 месяцев после травмы).
Методы восстановления нормального положения скуловой кости: вправление с помощью крючка Лимберга. Если скуловую кость в репонированном положении удержать не удается, для ее закрепления используют пластинки, проволоку или наружные фиксаторы (металл с памятью формы).
Перелом Лефора II. Перелом Лефора III
Кости средней трети лица фиксируют непосредственно к черепу или к нижней челюсти. Необходимо попытаться восстановить прикус. Часто приходится проводить остеосинтез с помощью минипластинки, фиксаторами с памятью формы, спицами, костным швом.
Осложнения:
- истечение ликвора из носа (обычно прекращается самопроизвольно через несколько дней);
- иногда верхняя челюсть остается смещенной назад, что приводит к уменьшению размеров лица и нарушению прикуса.
Переломы костей, образующих стенки глазницы
Оперативное лечение проводят в течение первой (самое позднее, второй) недели после травмы. Наиболее важна коррекция диплопии, однако важен и косметический эффект. Если зрение утрачено, оперативное вмешательство проводят с косметической целью, а также для восстановления чувствительности кожных покровов лица.
Методы: нижнюю стенку глазницы можно укрепить со стороны верхнечелюстной пазухи с помощью тампона или баллона. В настоящее время коррекцию производят прямым обследованием и приподниманием отломков кости. При необходимости нижнюю стенку глазницы укрепляют с помощью синтетических материалов, костных или хрящевых аутотрансплантатов. Восстановление чувствительности может продолжаться в течение 6 месяцев. Умеренная диплопия обычно постепенно проходит после операции (вероятно, вследствие включения компенсаторных механизмов одного или обоих глаз).
Осложнения: вследствие изменений объема глазницы может возникнуть энофтальм, также возможна диплопия. С профилактической целью необходимо назначить антибиотики.
Перечень основных медикаментов:
1. *Метронидазол таблетка 250 мг, раствор для инфузий 0,5 во флаконе 100 мл
2. *Цефтриаксон порошок для приготовления инъекционного раствора 250 мг, 500 мг, 1000 мг во флаконе
3. *Цефуроксим порошок для приготовления инъекционного раствора во флаконе 750 мг
4. *Этанол раствор 70% (денатурированный)
5. *Дифенгидрамин раствор для инъекций 1% 1 мл
6. *Прокаинамид 0,25 г табл
7. *Фурацилин 1:5000 фл
8. *Эпинефрин раствор для инъекций в ампуле 0,18% 1 мл
Перечень дополнительных медикаментов: нет
Критерии перевода на следующий этап: фиксация отломков, восстановление прикуса.
* - препараты, входящие в список основных (жизненно важных) лекарственных средств
Симптомы перелома костей лица и их лечение

13.12.2014
Перелом костей лица
К переломам лицевых костей могут привести многие ситуации. В большинстве случаев их причинами являются автомобильные аварии, спортивная травма, падение и физическое насилие.
Причины переломов костей лица
К переломам лицевых костей могут привести многие ситуации. В большинстве случаев их причинами являются автомобильные аварии, спортивная травма, падение и физическое насилие. Впрочем, такие переломы происходят также при участии огнестрельных ран или ранений холодным оружием.
Переломы лицевых костей практически всегда сопровождаются другими травмами. В частности, если человек получил лицевые травмы в автомобильной катастрофе, у него могут быть и другие повреждения.
Симптомы переломов лица
Хотя некоторые симптомы специфичны для перелома именно костей лица, остальные признаки являются общими для любого костного перелома. Помните, что данные симптомы могут указывать и на повреждение мягких тканей (без сломанных костей). Это:
Симптомы перелома носа
- Опухоль;
- Болезненность;
- Деформация;
- Кровотечение из носа (если оно присутствуют, то как правило, незначительное);
- Значительная травма переносицы может привести к перелому кости в носа (решетчатой кости);
- Перелом этих костей может привести к тому, что мозг соединяется с внешней средой;
- Возможные симптомы включают в себя постоянное кровотечение из носа и/или выделения из носа.
Симптомы перелома челюсти
- Боль в челюсти;
- Болезненность при прикосновении;
- Неспособность свести зубы вместе должным образом (неправильный прикус);
- Синяки под языком почти всегда указывают на перелом челюсти.
Симптомы перелома средней зоны лица (верхней челюсти), если пациент находится в сознании
- Неспособность свести зубы в правильное положение;
- Проблемы со зрением;
- Прозрачные выделения из носа;
- Ушиб может присутствовать вокруг глаз, и средняя зона лица может быть смещена;
- Эти переломы обычно не являются незаметными и часто являются результатом высокой скорости при дорожно-транспортных происшествиях. В результате могут быть тяжелые травмы в других районах кроме лица;
- Многие из пострадавших будут иметь затрудненное дыхание и требуют трубки для размещения в их горле, чтобы помочь им дышать.
Симптомы перелома скул
- Несимметричность щек;
- Измененная чувствительность под глазом на пораженной стороне;
- Жалобы на зрение;
- Боль при движении челюстей;
- Иногда присутствует кровь в глазном яблоке на пораженной стороне.
Симптомы перелома глазницы (орбитальной кости)
- Провалившийся глаз (энофтальм);
- Измененные ощущения под пораженным глазом;
- Дублированная направленность глаз, в частности, взгляд вверх;
- Это включает в себя разрушение костей глазницы;
- Травма обычно происходит, когда тупой предмет попадает в глаз, такой как кулак или шар.
Симптомы перелома височно-нижнечелюстного сустава
- Отвисание челюсти;
- Неспособность закрыть рот;
- Вывих височно-нижнечелюстного сустава (место, где челюсть соединяется с височной костью, в передней части уха) может произойти по причине закрытой травмы, судороги, или чрезмерного открытия рта.
Когда обращаться за медицинской помощью
Все люди с травмами лица и любыми, даже незначительными, повреждениями должны быть обследованы врачом. Пострадавший может либо обратиться к врачу, либо обратиться в отделение неотложной помощи.
В случае серьезной травмы неотложная помощь должна быть вызвана на дом.
Если человек испытывает нижеперечисленные симптомы, следует немедленно обратиться к врачу:
- Прозрачные выделения из носа;
- Кровотечение из носа;
- Потеря сознания;
- Любые нарушения зрения, такие как двоящееся изображение или нечеткое зрение;
- Любые проблемы со слухом;
- Неспособность свести зубы верхней и нижней челюстей вместе;
- Боль при движении челюстей;
- Измененные ощущения на лице;
- Лицо неравномерное (асимметричное);
- Открытые раны с видимыми костями.
Диагностика переломов лица
Переломы носа
- Даже если у человека есть перелом носа, необходимо рентгеновское обследование, чтобы начать лечение. Начальное лечение переломов носовой кости не изменится, даже если пациент имеет трещины.
- Если подозревается перелом костей, расположенных высоко в носу (решетчатой кости), врач может назначить компьютерную томографию.
Перелом нижней челюсти
Если у пациента есть возможный перелом челюсти, врач может назначить рентген. Иногда может быть использован специальный стоматологический рентгеновский аппарат, чтобы помочь в диагностике. Но не все больницы имеют это оборудование.
Перелом средней зоны лица (верхняя челюсть)
- Так как такие переломы чаще всего появляются при дорожно-транспортных происшествиях, переломы средней зоны лица часто связаны с другими существенными, потенциально опасными для жизни травмами. Таким образом, диагностика переломов лица часто не самая важная часть первичного лечения пациента.
- После того, как состояние пациента стабилизируется, КТ лица является наиболее эффективной для диагностики перелома средней зоны лица.
Перелом скул
- Если пациент обратился к врачу сразу же, врач может диагностировать его состояние при обычном медицинском обследовании. Процесс усложняется со временем из-за распространяющегося отека.
- Специальный рентгеновский снимок скуловой кости часто становится решающим. Если пациент имеет серьезные разрушения с участием других костей лица, врач может также назначить компьютерную томографию, чтобы получить больше информации.
Перелом глазницы
- Рентгеновское обследование может оказаться полезным в постановке первоначального диагноза.
- Если перелом глазницы обнаружен на рентгене, пациенту, возможно, придется пройти КТ, чтобы получить больше информации.
Смещение височно-нижнечелюстного сустава
- Если дислокация сустава является результатом травмы, будет сделан рентгеновский снимок, чтобы исключить перелом челюсти.
- Пациент не нуждается в рентгеновском обследовании, если подобные смещения у него наблюдаются спонтанно или носят рецидивирующий характер.
Лечение переломов лица
Лечение в домашних условиях
Уход на дому ограничен до тех пор, пока врач не осмотрит потерпевшего
Медицинское лечение
Перелом носа
- Во-первых, врач будет контролировать кровотечение из носа (если у пациента есть кровотечение). Если кровь в носу скапливается, образуя так называемую септальную гематому, врач, посредством небольшого надреза, сделает возможным удаление крови наружу.
- Так как нос пациента будет очень распухшим на начальном этапе, сломанный нос не сразу вправляется на место. Даже после того, как отек уменьшится, вправление сломанного носом необходимо только в том случае, если пациента ожидает косметический дефект или затруднено дыхание. Если это необходимо, специалист выполнит процедуру при последующем приеме пациента. К этому времени опухоль обычно уходит, и кости могут быть возвращены на место более точно.
- Переломы костей внутри носа (переломы решетчатой кости) требуют госпитализации.
- Сломанные кости, которые видны через кожу или в полости рта и называемые открытыми переломами, требуют госпитализации и назначения антибиотиков.
- В основном, если у пациента закрытый перелом челюсти, он будет направлен для лечения к стоматологу.
- Время и необходимость восстановления перелома глазницы является спорным.
- Некоторые специалисты считают, что хирургическое вмешательство необходимо только в том случае, если пациент имеет постоянное раздвоение в глазах или глаз углубляется в глазницу.
- Другие специалисты используют компьютерную томографию, которая может помочь им принять решение. Пациент должен принять решение о проведении операции вместе со специалистом.
Эта травма, как правило, подлежит восстановлению в отделении неотложной помощи. Может быть использована местная анестезия не только для обезболивания, но также в качестве лекарства для расслабления мышц челюсти.
Предупреждения переломов костей лица
Эти травмы часто связаны с употреблением алкоголя и насильственных действий, дорожно-транспортных происшествий, а также занятия спортом.
Всегда застегивайте ремень безопасности во время вождения и используйте надлежащие средства защиты при занятиях спортом.
Прогнозы при переломах костей лица
Носовые переломы
- Пациент требует последующего ухода в течение 5-7 дней для повторной оценки после того, как опухоль спала.
- Если нос пациента нуждается в восстановлении, как правило, это делается во время последующего визита.
- Прогноз, как правило, благоприятный.
Прогноз, как правило, благоприятный.
Перелом средней зоны лица
- Люди с переломами средней зоны лица имеют неблагоприятный прогноз, потому как их состояние усугубляется другими травмами в результате аварии, которая вызвала этот перелом.
- Тяжелый уровень слепоты возникает при определенных типах перелома верхней челюсти.
Как самостоятельное повреждение, это обычно представляет собой только косметическую проблему.
Будьте осторожны, чтобы не открывать рот широко после того, как челюсть вставлена на место, потому что возникает риск повторного вывиха сустава.
Теги:
234567 Начало активности (дата): 13.12.2014 15:33:00
234567 Кем создан (ID): 645
234567 Ключевые слова: перелом,лицо,кости
12354567899
Читайте также:
