Синдром Бирмера (Biermer) - синонимы, авторы, клиника
Добавил пользователь Владимир З. Обновлено: 08.01.2026
Анемия Бирмера (анемия Аддисона-Бирмера, бирмеровская анемия) - хроническое заболевание аутоимунной природы, являющееся наследственной формой мегалобластных анемий. Протекает циклически - рецидив сменяется ремиссией.
Раньше это заболевание называли прогрессивным злокачественным малокровием, поскольку оно всегда приводило к летальному исходу, но теперь благодаря лечению этого не случается, поэтому анемию называют по имени ее исследователей. А после того, как доказали роль витамина В12 в ее возникновении, бирмеровскую анемию называют одной из форм (пернициозной) В12-дефицитной анемии, при которой поражаются кроветворная функция, пищеварительная и нервная системы. Обычно болеют женщины в возрасте 50-60 лет.
Признаки
Анемия начинается постепенно и очень незаметно. Появляются жалобы на быструю утомляемость, слабость, головные боли, головокружение, сердцебиение и одышку при движениях. Иногда основными признаками являются диспептические явления (понос, отрыжка, тошнота, жжение в кончике языка). Иногда появляются такие нарушения нервной системы, как парестезии (спонтанно возникающие неприятные ощущения «мурашек», онемения, покалывания), похолодание конечностей, шаткость походки.
Цвет кожи - бледный с лимонным оттенком, склеры немного желтушны, лицо одутловато, иногда отечны голени и стопы. Грудина болезненна при поколачивании. Температура субфебрильная (чуть выше 37), но в период рецидива повышается до 38—39°.
При изменениях в пищеварительном тракте появляется глоссит Гентера (появление на языке красноватых неправильно очерченных, зудящих пятен). Язык иногда болит и жжется, постепенно становится гладким (полированным). У половины больных увеличивается печень и у пятой части - селезенка.
При поражении сердечно-сосудистой системы появляются тахикардия (учащенный пульс), гипотония (пониженное давление), увеличение размеров сердца, глухость тонов и т.д.
Со стороны нервной системы и психики — адинамия (резкий упадок сил).
Описание
Доказано, что природа болезни Аддисона-Бирмера - аутоиммунная. Она бывает у больных такими аутоиммунными заболеваниями, как диффузный токсический зоб, первичная надпочечниковая недостаточность, хронический лимфоцитарный тиреоидит (эутиреоидный или гипотиреоидный), витилиго и гипопаратиреоз.
Важную роль играет также наследственность - родственники людей с бирмеровской анемией чаще страдают этим заболеванием
Бирмеровская анемия может быть связана с атрофией слизистой оболочки желудка. Причина этой анемии - нарушение выработки желудком особого белка - гастромукопротеина (внутренний фактор Касла), который обеспечивает всасывание в кишечнике витамина B12. Такие дефицитные анемии возникают при сифилисе, полипозе, раке, лимфогранулематозе и других патологических процессах в желудке, а также при его удалении. Они возможны при глистных заражениях широким лентецом, спру, после удаления тонкой кишки, при лечении некоторыми лекарственными препаратами, а также при беременности.
Прием глюкокортикоидов вызывает ремиссию - временное ослабление или исчезновение признаков заболевания.
Диагностика
Диагностировать заболевание можно по клиническим признакам дефицита витамина В12. Кроме того, проводятся морфологические исследования крови, костного мозга и определяется кислотность желудочного сока.
Лечение
Лечение наследственных форм мегалобластных анемий проводится после установления диагноза и специального обследования больного в специализированных гематологических клиниках. Наиболее эффективным средством лечения является витамин В12. Его правильное применение полностью и навсегда устраняет нарушения, вызванные дефицитом витамина В12, если до лечения не возникли необратимые изменения в нервной ткани. Но больные остаются уязвимыми к появлению аденоматозных полипов желудка и раза в два чаще болеют раком желудка. Им показано наблюдение, включающее регулярное проведение специальной пробы, а также, если нужно, дополнительных исследований.
В случаях пернициозно-анемической комы немедленно переливается кровь (не более 150—200 мл) или (что лучше) эритроцитарная масса (иногда повторная) вместе с ударными дозами витамина B12.
Если причиной бирмеровской анемии является широкий лентец, то вылечивают ее дегельментизацией.
Если причиной стал сифилис, назначается специфическое лечение.
Больные анемией Бирмера в период ремиссии находятся на диспансерном учете. Им систематически проводятся ежемесячный анализ периферической крови и периодические исследования нервной системы, а также рентгеноскопия желудка для исключения рака, который возможен при бирмеровской анемии.
Профилактика
Анемия Аддисона-Бирмера занимает 2-е место по важности и частоте в группе дефицитных анемий. Для ее профилактики необходимо вовремя:
- лечить гастриты (с повышенной и пониженной кислотностью);
- лечить паразитарные заболевания (глистные и т.д.);
- применять витамин В12 после резекций желудка, при хронических поносах, воспалительных заболеваниях или пороках развития тонкого кишечника;
- лечить алкоголизм;
- контролировать функцию печени;
- при имеющейся наследственности или аутоиммунных заболеваниях принимать препараты или поливитамины, содержащие витамин В12.
- не использовать длительное время препараты, уменьшающие кислотность желудка.
С целью профилактики рецидивов больным систематически вводят витамин B12 (1-2 раза в месяц) или камполон (2 раза в месяц). В весенне-осенние месяцы, когда рецидивы учащаются, инъекции делают 1 раз в неделю. Больные анемией должны понимать, что ремиссия - это не выздоровление, и поэтому все рекомендации врача нужно строго выполнять.
Болезнь Бирмера
Перницио́зная анеми́я (от лат. perniciosus — гибельный, опасный) или B12-дефицитная анемия или мегалобластная анемия или болезнь Аддисона-Бирмера или (устаревшее название) злока́чественное малокро́вие — заболевание, обусловленное нарушением кроветворения из-за недостатка в организме витамина B12 . Особенно чувствительны к дефициту этого витамина костный мозг и ткани нервной системы.
Содержание
Основные сведения
Это синдром, связанный с недостатком витамина B12 и фолиевой кислоты в организме. Характеризуется наличием в костном мозге большого количества крупных незрелых предшественников эритроцитов (мегалобластов).
Витамин B12 всасывается в основном в нижней части подвздошной кишки. Анемия может быть вызвана недостаточным потреблением витамина B12 в пищу, недостаточной выработкой внутреннего фактора Кастла в париетальных клетках желудка, патологическими процессами в подвздошной кишке с нарушением всасывания или конкуренцией за витамин B12 со стороны ленточных червей или бактерий.
При дефиците витамина B12 на фоне анемической клинической картины (или без неё) могут возникнуть и неврологические расстройства из-за связанного с дефицитом витамина B12 нарушения синтез жирных кислот. Может наблюдаться демиелинизация и необратимая гибель нервных клеток. Симптомами такой патологии являются онемение или покалывание конечностей и атаксия.
Проявления
- Ярко-красный, а затем «лакированный» язык
- Желудочная ахилия с наличием патологических эритроцитов
- Поражение нервной системы.
- Образование в костном мозге аномальных крупных клеток вместо эритроцитов.
Причины
- Недостаток витамина B12 в питании
- Расстройство кишечника
- Долгое использование медицинских препаратов, приводящих к уменьшению кислотности в желудке
Осложнения
В отсутствие лечения развиваются анемия и дегенерация нервов, так как костный мозг и ткани нервной системы особенно чувствительны к дефициту витамина B12.
Историческая справка
В 1855 году английский врач Томас Аддисон, а затем в 1872 году более подробно немецкий врач Антон Бирмер описали болезнь, которую назвали злокачественной (пернициозной) анемией. Вскоре французский врач Арман Труссо предложил называть эти болезни аддисоновой анемией и болезнью Аддисона.
В 1926 году Дж. Уипл, Дж. Майнот и У.Мёрфи сообщили, что пернициозная анемия лечится введением в рацион питания сырой печени и что в основе заболевания лежит врожденная неспособность желудка секретировать вещество, необходимое для всасывания витамина В12 в кишечнике. За это открытие они в 1934 году получили Нобелевскую премию.
См. также
Ссылки
Wikimedia Foundation . 2010 .
Полезное
Смотреть что такое "Болезнь Бирмера" в других словарях:
Болезнь Аддисона-Бирмера — Основная статья: Анемия Пернициозная анемия (от лат. perniciosus гибельный, опасный) или B12 дефицитная анемия или мегалобластная анемия или болезнь Аддисона Бирмера или (устаревшее название) злокачественное малокровие заболевание,… … Википедия
Болезнь Адиссона — Основная статья: Анемия Пернициозная анемия (от лат. perniciosus гибельный, опасный) или B12 дефицитная анемия или мегалобластная анемия или болезнь Аддисона Бирмера или (устаревшее название) злокачественное малокровие заболевание,… … Википедия
Бирмера болезнь — (a. Biermer, 1827 1892, нем. врач) см. Анемия пернициозная … Большой медицинский словарь
Аддисона-Бирмера болезнь — (Th. Addison, 1793 1860, англ. врач; A. Biermer, 1827 1892, швейц. терапевт) см. Анемия пернициозная … Большой медицинский словарь
Бирмер (Biermer) Антон — (18271892), немецкий терапевт. Дал классическое описание злокачественной (пернициозной) анемии (болезнь Бирмера), что сыграло важную роль в становлении гематологии. Описал изменение перкуторного (при постукивании) звука при… … Большой Энциклопедический словарь
АНЕМИЯ — АНЕМИЯ. Содержание: I. Местное малокровие. 702 II. Общее малокровие: Острая анемия. 704 Хроническая анемия. 705 III. Анемия злокачественная. 708 ІV. Хлороз. 715 V. Анемия в детском… … Большая медицинская энциклопедия
ЦИАНОКОБАЛАМИН — Действующее вещество ›› Цианокобаламин* (Cyanocobalamin*) Латинское название Cyanocobalamin АТХ: ›› B03BA01 Цианокобаламин Фармакологические группы: Стимуляторы гемопоэза ›› Витамины и витаминоподобные средства Нозологическая классификация (МКБ… … Словарь медицинских препаратов
анемия — и; ж. [от греч. an не , без и haima кровь]. Мед. Малокровие. ◁ Анемический, ая, ое. А ое состояние. * * * анемия (от греч. an отрицательная приставка и háima кровь) (малокровие), группа заболеваний, характеризующихся уменьшением количества… … Энциклопедический словарь
Цианокобаламин (Витамин B12) — Действующее вещество ›› Цианокобаламин* (Cyanocobalamin*) Латинское название Cyanocobalamin (Vitamin B12) АТХ: ›› B03BA01 Цианокобаламин Фармакологические группы: Стимуляторы гемопоэза ›› Витамины и витаминоподобные средства Нозологическая… … Словарь медицинских препаратов
Цианокобаламина раствор для инъекций — Действующее вещество ›› Цианокобаламин* (Cyanocobalamin*) Латинское название Solutio Cyanocobalamini pro injectionibus АТХ: ›› B03BA01 Цианокобаламин Фармакологические группы: Стимуляторы гемопоэза ›› Витамины и витаминоподобные средства… … Словарь медицинских препаратов
Пернициозная анемия ( Болезнь Аддисона-Бирмера , В12-дефицитная анемия )
Пернициозная анемия - нарушение красного ростка кроветворения, обусловленное недостатком в организме цианокобаламина (витамина В12). При В12-дефицитной анемии развивается циркуляторно-гипоксический (бледность, тахикардия, одышка), гастроэнтерологический (глоссит, стоматит, гепатомегалия, гастроэнтероколит) и неврологический синдромы (нарушение чувствительности, полиневриты, атаксия). Подтверждение пернициозной анемии производится по результатам лабораторных исследований (клинического и биохимического анализа крови, пунктата костного мозга). Лечение пернициозной анемии включает сбалансированную диету, внутримышечное введение цианокобаламина.
МКБ-10



Общие сведения
Пернициозная анемия - разновидность мегалобластной дефицитной анемии, развивающаяся при недостаточном эндогенном поступлении или усвоении в организме витамина В12. «Пернициозная» в переводе с латинского означает «опасная, гибельная»; в отечественной традиции такая анемия раньше называлась «злокачественным малокровием». В современной гематологии синонимами пернициозной анемии также служат В12-дефицитная анемия, болезнь Аддисона-Бирмера. Заболевание чаще возникает у лиц старше 40-50 лет, несколько чаще у женщин. Распространенность пернициозной анемии составляет 1%; вместе с тем, дефицитом витамина В12 страдает около 10% пожилых людей в возрасте старше 70 лет.

Причины пернициозной анемии
Ежесуточная потребность человека в витамине B12 равняется 1-5 мкг. Она удовлетворяется за счет поступления витамина с пищей (мясом, кисломолочными продуктами). В желудке под действием ферментов витамин В12 отделяется от пищевого белка, однако для усвоения и всасывания в кровь он должен соединиться с гликопротеином (фактором Касла) или другими связывающими факторами. Всасывание цианокобаламина в кровоток происходит в средней и нижней части подвздошной кишки. Последующий транспорт витамина В12 к тканям и гемопоэтическим клеткам осуществляется белками плазмы крови - транскобаламинами 1, 2, 3.
Развитие В12-дефицитной анемии может быть связано с двумя группами факторов: алиментарными и эндогенными. Алиментарные причины обусловлены недостаточным поступлением витамина В12 с пищей. Это может происходить при голодании, вегетарианстве и диетах с исключением животного белка.
Под эндогенными причинами подразумевается нарушение усвоения цианокобаламина вследствие дефицита внутреннего фактора Касла при его достаточном поступлении из вне. Такой механизм развития пернициозной анемии встречается при атрофическом гастрите, состоянии после гастрэктомии, образовании антител к внутреннему фактору Касла или париетальным клеткам желудка, врожденном отсутствии фактора.
Нарушение абсорбции цианокобаламина в кишечнике может отмечаться при энтерите, хроническом панкреатите, целиакии, болезни Крона, дивертикулах тонкого кишечника, опухолях тощей кишки (карциноме, лимфоме). Повышенное расходование цианокобаламина может быть связано с гельминтозами, в частности, дифиллоботриозом. Существуют генетические формы пернициозной анемии.
Всасывание витамина В12 нарушено у пациентов, перенесших резекцию тонкой кишки с наложением желудочно-кишечного анастомоза. Пернициозная анемия может быть ассоциирована с хроническим алкоголизмом, применением некоторых лекарственных средств (колхицина, неомицина, пероральных контрацептивов и др.). Поскольку в печени содержится достаточный резерв цианкобаламина (2,0-5,0 мг), пернициозная анемия развивается, как правило, только лишь спустя 4-6 лет после нарушения поступления или усвоения витамина В12.
В условиях недостаточности витамина В12 возникает дефицит его коферментных форм - метилкобаламина (участвует в нормальном протекании процессов эритропоэза) и 5-дезоксиаденозилкобаламина (участвует в метаболических процессах, протекающих в ЦНС и периферической нервной системе). Недостаток метилкобаламина нарушает синтез незаменимых аминокислот и нуклеиновых кислот, что приводит к расстройству образования и созревания эритроцитов (мегалобластному типу кроветворения). Они принимают форму мегалобластов и мегалоцитов, которые не выполняют кислородтранспортную функцию и быстро разрушаются. В связи с этим количество эритроцитов в периферической крови существенно сокращается, что приводит к развитию анемического синдрома.
С другой стороны, при дефиците кофермента 5-дезоксиаденозилкобаламина нарушается обмен жирных кислот, в результате чего накапливаются токсичные метилмалоновая и пропионовая кислоты, оказывающие непосредственное повреждающее действие на нейроны головного и спинного мозга. Кроме этого, нарушается синтез миелина, что сопровождается дегенерацией миелинового слоя нервных волокон - этим обусловлено поражение нервной системы при пернициозной анемии.
Симптомы пернициозной анемии
Тяжесть течения пернициозной анемии определяется выраженностью циркуляторно-гипоксического (анемического), гастроэнтерологического, неврологического и гематологического синдромов. Признаки анемического синдрома неспецифичны и являются отражением нарушения кислородтранспортной функции эритроцитов. Они представлены слабостью, снижением выносливости, тахикардией и ощущением сердцебиения, головокружением и одышкой при движении, субфебрилитетом. При аускультации сердца может выслушиваться шум «волчка» или систолические (анемические) шумы. Внешне отмечается бледность кожи с субиктеричным оттенком, одутловатость лица. Длительный «стаж» пернициозной анемии может приводить к развитию миокардиодистрофии и сердечной недостаточности.
Гастроэнтерологическими проявлениями В12-дефицитной анемии служат пониженный аппетит, неустойчивость стула, гепатомегалия (жировая дистрофия печени). Классический симптом, выявляемый при пернициозной анемии - «лакированный» язык малинового цвета. Характерны явления ангулярного стоматита и глоссита, жжение и болевые ощущения в языке. При проведении гастроскопии обнаруживаются атрофические изменения слизистой желудка, которые подтверждаются эндоскопической биопсией. Желудочная секреция резко снижается.
Неврологические проявления пернициозной анемии обусловлены поражением нейронов и проводящих путей. Больные указывают на онемение и скованность конечностей, мышечную слабость, нарушение походки. Возможно недержание мочи и кала, возникновение стойкого парапареза нижних конечностей. Осмотр невролога выявляет нарушение чувствительности (болевой, тактильной, вибрационной), повышение сухожильных рефлексов, симптомы Ромберга и Бабинского, признаки периферической полиневропатии и фуникулярного миелоза. При В12-дефицитной анемии могут развиваться психические нарушения - бессонница, депрессия, психозы, галлюцинации, деменция.

Диагностика пернициозной анемии
Кроме гематолога, к диагностике пернициозной анемии должны быть привлечены гастроэнтеролог и невролог. Дефицит витамина В12 (менее 100 пг/мл при норме 160-950 пг/мл) устанавливается при проведении биохимического исследования крови; возможно обнаружение Ат к париетальным клеткам желудка и к внутреннему фактору Касла. Для общего анализа крови типична панцитопения (лейкопения, анемия, тромбоцитопения). При микроскопии мазка периферической крови обнаруживаются мегалоциты, тельца Жолли и Кэбота. Исследование кала (копрограмма, анализ на яйца глистов) могут выявлять стеаторею, фрагменты или яйца широкого лентеца при дифиллоботриозе.
Проба Шиллинга позволяет определить нарушение всасывания цианокобаламина (по экскреции с мочой меченного радиоактивным изотопом витамина В12, принятого внутрь). Пункция костного мозга и результаты миелограммы отражают характерное для пернициозной анемии увеличение числа мегалобластов.
Для определения причин нарушения абсорбции витамина В12 в ЖКТ проводится ФГДС, рентгенография желудка, ирригография. В диагностике сопутствующих нарушений информативны ЭКГ, УЗИ органов брюшной полости, электроэнцефалография, МРТ головного мозга и др. В12-дефицитную анемию необходимо отличать от фолиеводефицитной, гемолитической и железодефицитной анемии.
Лечение пернициозной анемии
Установление диагноза пернициозной анемии означает, что пациент будет нуждаться в пожизненном патогенетическом лечении витамином В12. Кроме этого, показано регулярное (каждые 5 лет) проведение гастроскопии для исключения развития рака желудка.
С целью восполнения дефицита цианокобаламина назначаются внутримышечные инъекции витамина В12. Требуется коррекция состояний, приведших к В12-дефицитной анемии (дегельминтизация, прием ферментных препаратов, хирургическое лечение), а при алиментарном характере заболевания - диета с повышенным содержанием животного белка. При нарушении выработки внутреннего фактора Касла назначаются глюкокортикоиды. К гемотрансфузиям прибегают только при анемии тяжелой степени или признаках анемической комы.
На фоне терапии пернициозной анемии показатели крови обычно нормализуются через 1,5-2 месяца. Дольше всего (до 6 мес.) сохраняются неврологические проявления, а при поздно начатом лечении они становятся необратимыми.

Профилактика
Первым шагом на пути предотвращения пернициозной анемии должно стать полноценное питание, обеспечивающее достаточное поступление в организм витамина В12 (употребление мяса, яиц, печени, рыбы, молочных продуктов, сои). Необходима своевременная терапия патологий ЖКТ, нарушающих усвоение витамина. После хирургических вмешательств (резекции желудка или кишечника) необходимо проведение поддерживающих курсов витаминотерапии.
Больные с В12-дефицитной анемией входят в группу риска по развитию диффузного токсического зоба и микседемы, а также рака желудка, поэтому нуждаются в наблюдении эндокринолога и гастроэнтеролога.
В12-дефицитная анемия: причины, симптомы, лечение
Раньше B12-дефицитную анемию (болезнь Аддисона - Бирмера) называли злокачественным малокровием или пернициозной анемией. Первым, кто заявил о существовании такой болезни и описал данный вариант, был врач из Англии Томас Аддисон, и произошло это еще в 1855 году. Позже немец Антон Бирмер сообщил о заболевании в более подробной форме, но случилось это лишь 17 лет спустя (1872). Однако ученый мир признал первенство за Аддисоном, поэтому по предложению французского врача Армана Труссо, патология стала называться именем автора, то есть, болезнью Аддисона.
Прорыв в изучении этого тяжелого недуга случился уже в 20 годах прошлого века, когда американские врачи Джордж Уипл, Уильям Мёрфи и Джордж Майнот на основе своих исследований заявили, что недуг поддается лечению, если в рационе больного будет присутствовать сырая печень. Они доказали, что В12-дефицитная анемия - врожденная несостоятельность желудка в выделении веществ, обеспечивающих всасывание витамина B12, за что в 1934 году были награждены Нобелевской премией по физиологии и медицине.
В настоящее время мегалобластную анемию, связанную с недостатком цианокобаламина (витамина В12), мы знаем, как В12-дефицитную анемию, а комбинированную форму, обусловленную дефицитом и витамина B12, и фолиевой кислоты (витамина B9), как В12-фолиеводефицитную анемию.
В чем сходство и в чем отличие
Как отмечено выше, В12-дефицитная и В12-фолиеводефицитная анемии входят в группу мегалобластных анемий, для которых характерно снижение продукции ДНК, что, в свою очередь, влечет нарушение пролиферации клеток, способных к быстрому делению. Это - клетки:
- Костного мозга;
- Кожных покровов;
- Слизистых оболочек;
- Желудочно-кишечного тракта.
Среди всех быстропролиферирующих клеток, гемопоэтические (кроветворные) проявляют наибольшую склонность к ускоренному размножению, поэтому симптомы малокровия стоят в числе первых клинических проявлений данных мегалобластных анемий. Нередки случаи, когда, помимо анемии (снижение уровня эритроцитов и гемоглобина), наблюдаются другие признаки гематологической патологии, например, уменьшение количества кровяных пластинок - тромбоцитов (тромбоцитопения), нейтрофильных лейкоцитов (нейтропения, агранулоцитоз), а также моноцитов и ретикулоцитов.

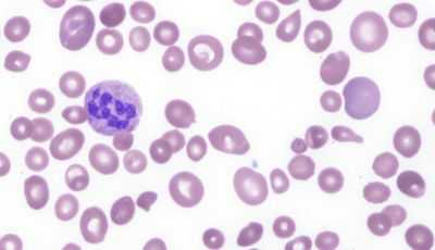
кровь при B12-дефицитной анемии
Почему эти варианты малокровия так взаимосвязаны и в чем их разница? Дело в том, что:
- Присутствие и непосредственное участие витамина В12 весьма необходимо для образования активной формы фолиевой кислоты, которая, в свою очередь, очень нужна для продукции тимидина - важного компонента ДНК. Данное биохимическое взаимодействие при участии всех необходимых факторов позволяет в полной мере обеспечить нормальное образование клеток крови и клеток ЖКТ (желудочно-кишечный тракт);
- На витамин В12 возложены и другие задачи - при его участии распадаются и синтезируются отдельные жирные кислоты (ЖК). При недостаточном содержании цианокобаламина данный процесс нарушается, и в организме начинает накапливаться вредная, убивающая нейроны, метилмалоновая кислота, а вместе с этим снижается продукция миелина - вещества, которое образует миелиновую оболочку, несущую электроизолирующую функцию для нервных клеток.
Что касается фолиевой кислоты, то распад ЖК в ее участии не нуждается и при ее недостатке нервная система не страдает. Мало того - если пациенту, имеющему дефицит В12 в качестве лечения прописать фолиевую кислоту, то непродолжительное время она будет стимулировать эритропоэз, но лишь до тех пор, пока она не окажется в избытке. Излишнее количество препарата заставит работать весь присутствующий в организме В12, то есть, даже тот, который был предназначен для обеспечения распада ЖК. Безусловно, к добру такая ситуация не приводит - еще больше поражаются нервные ткани, развиваются глубокие дегенеративные изменения спинного мозга с потерей двигательных и чувствительных функций (комбинированный склероз, фуникулярный миелоз).
Таким образом, недостаток витамина В12, наряду с нарушением пролиферации кроветворных клеток и развитием анемии, оказывает негативное воздействие на нервную систему (НС), в то время, как дефицит фолиевой кислоты влияет лишь на деление гемопоэтических клеток, но на здоровье нервной системы не отражается.
Значимость внутреннего фактора
Цианокобаламин из продуктов питания, попавших в ЖКТ, всасывается с помощью так называемого, внутреннего фактора (ВФ). Вот как это происходит:

Очевидно, почему такое большое значение уделяется внутреннему фактору, ведь если с ним все в порядке, то почти весь цианокобаламин, поступивший с пищей, благополучно попадет по месту назначения. В противном случае (при отсутствии ВФ) - только 1% витамина В12 методом диффузии просочиться сквозь кишечную стенку и тогда человек не получит нужного ему количества такого важного витамина.
Суточная потребность организма в цианокобаламине составляет от 3 до 5 мкг, а в запасе его находится от 4 до 5 граммов, стало быть, можно подсчитать, что, если полностью исключить поступление витамина В12 (например, при гастрэктомии), то запасы иссякнут через 3-4 года. А вообще, запас витамина B12 рассчитан на 4-6 лет, в то время как фолиевая кислота при отсутствии поступления исчезнет через 3-4 месяца. Отсюда можно сделать вывод, что дефицит В12 при беременности не грозит, если до того его уровень был в норме, а вот фолиевая кислота, если женщина не употребляла сырых фруктов и овощей, вполне способна упасть ниже допустимого предела и создать дефицитное состояние (развитие фолиеводефицитной анемии).
Витамин В12 содержится в продуктах животного происхождения, фолиевая кислота - почти во всех продуктах питания, однако цианокобаламин замечательно переносит термическую обработку в течение длительного времени и сохраняется для поступления в организм, чего нельзя сказать о фолиевой кислоте - после 15-минутного кипячения от этого витамина не останется и следа…
В чем причина дефицита этих витаминов?

Недостаток цианокобаламина может быть вызван следующими причинами:
- Низким поступлением с пищей витамина В12 (когда человек по собственной инициативе или в силу других причин недополучает продукты, несущие организму цианокобаламин: мясо, печень, яйца, молочные продукты), либо полным переходом на вегетарианство (в пище растительного происхождения витамин В12 трудно найти);
- Нарушением секреции внутреннего фактора, обусловленным атрофией слизистой, которая формируется по причине наследственной предрасположенности, воздействия токсических веществ, влияния антител и развития атрофического гастрита в результате этого. Подобные последствия подстерегают пациента в случае полного удаления желудка (гастрэктомия), в то время как потеря только части органа оставляет секрецию нетронутой;
- Отсутствием рецепторов, в которых нуждается внутренний фактор с целью своего связывания, что происходит при поражающей все отделы ЖКТ болезни Крона, дивертикулах и опухолях тонкой кишки, туберкулезе и резекции подвздошной кишки, кишечном инфантилизме (целиакии), хроническом энтерите;
- Конкурентным поглощением цианокобаламина в ЖКТ гельминтами или микроорганизмами, которые интенсивно размножаются после наложения анастомозов;
- Расстройством внешнесекреторной функции поджелудочной железы и следствием этого - нарушением расщепления протеина-R, что препятствует связыванию витамина В12 с внутренним фактором;
- Довольно редкой, полученной по наследству, аномалией - понижением уровня транскобаламина и нарушением перемещения цианокобаламина в костный мозг.
С витамином В9 все намного проще: он содержится почти во всех продуктах, замечательно всасывается в здоровом кишечнике и не испытывает нужды ни в каком внутреннем факторе. А проблемы возникают, если:
- Рацион в силу разных обстоятельств пациента крайне скуден;
- Человек, страдающий нервной анорексией, преднамеренно отказывается от еды;
- Возраст пациента расценивается, как пожилой;
- Алкоголик «трясется» от абстинентного синдрома при длительном запое (не до полноценной еды - она не лезет);
- Имеет место синдром нарушенного кишечного всасывания (заболевания ЖКТ: болезнь Крона, целиакия, опухоли кишечника и др.) - основная причина В12-фолиеводефицитной анемии;
- Увеличивается потребность в фолиевой кислоте, что бывает при беременности, некоторых кожных заболеваниях (псориаз, дерматит), нарушении утилизации (алкоголизм, врожденные болезни обмена фолатов).
Кстати, недостаток витамина В9 не так уж редко наблюдается у людей, которые вынуждены длительно принимать противосудорожные препараты, в том числе, фенобарбитал, поэтому данный факт следует учитывать при назначении подобной терапии.
Как проявляются В12- и В9-дефицитные состояния?

Коль описываемые состояния относят к анемиям, то, само собой разумеется, что для них будут характерны все симптомы малокровия:

- Быстрое наступление усталости даже при минимальной физической активности, слабость, снижение работоспособности;
- Эпизоды потемнения в глазах;
- Склонность к гипотонии (снижение артериального давления);
- Нарушение дыхания (желание ускорить шаг или другие движения вызывают одышку);
- Периодические головные боли, часто кружится голова;
- Нередко отмечается нарушение ритма (тахикардия);
- Кожные покровы бледные, отдают легкой желтизной (субиктеричность);
- В полости рта развиваются проблемы с характерными для глоссита признаками: сосочки атрофированы, поверхность языка - лакированная, язык распухает и болит;
- Возможно увеличение печени и селезенки;
- Отечность нижних конечностей;
- Частый стул, который, впрочем, может чередоваться с запорами;
- Заметное снижение аппетита и, соответственно, веса.
Ввиду того, что при недостатке цианокобаламина имеет место триада синдромов (поражения крови, ЖКТ и нервной системы), а при дефиците фолиевой кислоты страдания нервной системы не отмечаются, следующие симптомы, свидетельствующие о вовлечении в патологический процесс нервной системы, будет относиться только к В12-дефицитному состоянию:
- Фуникулярный миелоз (дегенеративная патология спинного мозга), который по выраженности не коррелирует с клиническими проявлениями анемии;
- Периферическая полинейропатия с мышечной слабостью, расстройством чувствительности и снижением сухожильных рефлексов;
- В иных случаях на почве анемии наблюдаются депрессивные состояния, нарушение памяти, редко - психические расстройства.
Следует отметить, что В12- и фолиеводефицитные состояния быстро прогрессирующим течением не отличаются и на симптомы не особо богаты. Заболевания до недавнего времени были отнесены к патологии преклонного возраста, правда, в последние годы наметилась тенденция к «омоложению» - такого рода анемии стали встречаться у молодых людей.
Диагностика
Первый этап лабораторных исследований заставляет заподозрить мегалобластную анемию:

- Общий анализ крови (ОАК) - типичный для подобных состояний: пониженный уровень эритроцитов и гемоглобина, тромбоцитопения, нейтропения с полисегментированностью, ЦП обычно выше 1, макроцитоз, пойкилоцитоз, анизоцитоз, в эритроцитах - тельца Жолли, кольца Кебота;
- Повышенные значения билирубина за счет несвязанной фракции в биохимическом анализе крови (БАК).
Учитывая, что похожую картину периферической крови может давать другая гематологическая патология (гипопластические и апластические состояния, гемолитическая анемия, лейкоз), больному в обязательном порядке назначают пункцию спинного мозга, в котором находят мегалобласты (характерный признак В12-дефицитной анемии), гигантских размеров мегакариоциты и клетки гранулоцитарного ряда.
Как правило, после лабораторных тестов (или параллельно с ними) пациента ждет «страшная процедура» - фиброгастроскопия (ФГС), по данным которой видно, что слизистая оболочка желудка атрофирована.
Между тем, дальнейшая диагностика В12-дефицитной анемии требует ее отмежевания от малокровия, связанного с недостатком витамина В9. Очень важно тщательно собрать анамнез пациента: изучить его образ жизни и питания, досконально выявить симптомы, исследовать состояние сердечно-сосудистой и нервной системы, но уточнение диагноза все же требует лабораторных исследований. И здесь следует отметить, что в любом случае дифференциальная диагностика этих двух анемий сложна для обычных лабораторий, ведь создается необходимость определения количественных значений витаминов, однако:
- Микробиологический метод далек от совершенства и дает только приблизительные результаты;
- Радиоиммунологические исследования недоступны жителям деревень и маленьких городов, поскольку проведение анализа требует участия современного оборудования и высокочувствительных реагентов, которые являются привилегией больших городов.
В таком случае для дифференциальной диагностики был бы полезен анализ мочи, определяющий в ней количество метилмалоновой кислоты: при В12-дефицитной анемии ее содержание заметно увеличивается, тогда как при фолиеводефицитном состоянии уровень остается неизменным.
Лечение
Лечение недостатка фолиевой кислоты преимущественно ограничивается назначением таблетированных форм витамина В9 в дозе 5-15 мг/сутки. Правда, если диагноз фолиеводефицитной анемии все же остается под вопросом, то целесообразно начать лечение с внутримышечного введения цианокобаламина. Однако наоборот - нельзя, ведь при В12-дефицитной анемии применение фолиевой кислоты еще больше усугубит ситуацию.

Что касается лечения В12-дефицитной анемии, то оно основано на трех принципах:
- В полной мере насытить организм цианокобаламином, чтобы и на выполнение функциональных обязанностей хватило и в запас отложилось;
- За счет поддерживающих доз постоянно пополнять запасы;
- По возможности стараться не допустить развития анемического состояния.
Само собой разумеется, что главным в лечении недостатка В12 будет назначение цианокобаламина с учетом изменений со стороны крови и выраженности неврологической симптоматики, если она имеет место.
Таким образом:
- Обычно лечение начинается с внутримышечного введения цианокобаламина в дозе 500 мкг каждый день и оксикобаламина - 1000 мкг через день;
- Если имеет место выраженные симптомы поражения нервной системы (фуникулярный миелоз), то доза В12 увеличивается до 1000 мкг (каждый день), а, кроме этого, добавляется по 500 мкг аденозилкобаламина в таблетках, который в обмене участие принимает, но на кроветворение не влияет;
- Появление в анализе крови гипохромии красных клеток крови на фоне лечебных мероприятий или в случае смешанных форм болезни (В12- + железодефицитная анемия) является основанием для назначения препаратов железа;
- К переливанию эритроцитной массы прибегают в особых случаях: если явно обозначились признаки кислородного голодания головного мозга и симптомы анемической энцефалопатии, имеет место прогрессирующая сердечная недостаточность и при подозрении на развитие анемической комы - очень опасного для жизни пациента состояния;
- Одновременно назначается терапевтическое воздействие на факторы, которые, возможно, стали причиной дефицита витамина В12, с такой целью проводится: дегельминтизация (препараты и дозы зависят от вида гельминтов), лечение заболеваний желудочно-кишечного тракта, хирургическая операция при раке желудка, нормализация кишечной флоры, разрабатывается диета, предусматривающая достаточное поступление витамина B12 в организм.
Буквально через несколько дней от начала терапии производится контрольный подсчет ретикулоцитов - ретикулоцитарный криз будет свидетельством, что тактика лечения выбрана правильно.
После того, как состояние крови будет признано нормальным, пациента переводят на поддерживающую терапию: сначала каждую неделю, а потом каждый месяц больному вводят 500 мкг В12, а, кроме этого, раз в полгода назначают 2-3 недельный курс витаминотерапии (поддерживающее лечение витамином В12).
Болезнь Аддисона

Болезнь Аддисона-Бирмера или бронзовая болезнь - хроническое заболевание надпочечников при котором гормоны (кортизол, альдостерон и половые гормоны) синтезируются в недостаточном количестве. Заболевание чаще встречается у представителей возрастной группы 20-40 лет обоих полов. Болезнь может иметь острую и хроническую форму. В острой форме разрушение коры надпочечников происходит быстро - чаще всего причиной подобного состояния становятся травмы, кровоизлияния. Хроническая форма - результат аутоиммунного поражения.
Болезнь Аддисона - этиология, патофизиология, симптомы, лечение
Наиболее распространенными причинами Аддисонового заболевания являются генетические патологии, аутоиммунные поражения, опухоли, ВИЧ, туберкулез. Болезнь Аддисона у ребенка, взрослого имеет специфические проявления - среди главных признаков:
- потеря эластичности кожи, истончение, бледность слизистых оболочек, также может появляться пигментация на кожных покровах;
- прекращение менструального цикла, импотенция у мужчин;
- нарушение сердечного ритма, гипотония, уменьшение силы, частоты сокращений сердца;
- гастрит, рвота, тошнота, диарея, также могут появляться язвы в желудке, двенадцатиперстной кишке.
Основной причиной гиперпигментации при болезни Аддисона-Бирмера (бронзового заболевания) является адренокортикотропный гормон, который схож строением с меланостимулирующим гормоном, отвечающим за пигментацию. При нормальном функционировании организма адренокортикотропный гормон стимулирует надпочечники. Надпочечники отвечают за выработку половых гормонов, поэтому при их неправильном функционировании у пациентов наблюдаются гипотиреоз, нарушения со стороны половой системы, поэтому при болезни Аддисона беременность может не наступить. Болезнь Аддисона приводит к обезвоживанию организма, так как за регуляцию водно-солевого обмена отвечает альдостерон - при нехватке этого гормона уровень калия повышается, а хлор, натрий выводятся с жидкостью, что приводит к понижению артериального давления, сухости кожи, невротическим и прочим нарушениям. Таким образом, заболевание негативно влияет практически на все органы и системы.
Так как надпочечники отвечают за выработку всех важных гормонов, лечение направлено на подбор оптимальной заместительной терапии. Пациент принимает минералокортикоиды, глюкокортикоиды синтетического происхождения в индивидуально подобранной дозировке. Чаще всего терапия начинается с минимальных доз препаратов - постепенно увеличивая дозировку, состояние пациента стабилизируется, органы и системы начинают функционировать нормально. Так, при правильно подобранной дозе, количество синтетических гормонов доводится до уровня физиологической нормы. Также, чтобы нормализовать электролитный баланс, восполнить объем жидкости, может вводиться физраствор внутривенно. В процессе лечения осуществляется контроль за массой тела, артериальным давлением. Такое заболевание, как болезнь Аддисона, требует своевременного определения и получения грамотной терапии - профилактика патологии невозможна. Если вы заметили у себя, детей, близких признаки заболевания (гиперпигментация, повышенный калий и прочие), то не стоит сразу связывать их с болезнью Аддисона. Причины разного рода нарушений могут иметь другую этиологию, поэтому стоит обратиться к специалисту, сдать анализы. Если вам нужна хорошая клиника в Киеве, то стоит обратиться в Verum.
Дифференциальная диагностика болезни Аддисона
Специалисты дифференцируют заболевание Аддисона с другими заболеваниями, среди которых гиперплазия надпочечников, вторичная надпочечниковая недостаточность, адренолейкодистрофия, полиэндокринный синдром 1 и 2 типов. При подозрении на болезнь Аддисона осуществляется лабораторная диагностика - пациенту необходимо сдать общий анализ, биохимию крови, анализ мочи. Чаще всего наблюдается повышенный гематокрит, калия, сниженный уровень натрия, кетостероидов, оксикетостероидов. Также для постановки диагноза могут быть назначены такие виды исследований, как КТ, МРТ, рентген. Качественная диагностика и эффективное лечение болезни Аддисона осуществляется в клинике Verum (Киев). Основная причина тяжелых осложнений - несвоевременное лечение, поэтому важно регулярно проходить чекап организма.
Читайте также:
- Назначение диагностических тестов. Скринирующие тесты
- Лучевая диагностика последовательности Пьера Робена (ППР)
- Синдром беспокойных ног: причины, симптомы и лечение
- Статистический принцип в диагностике сердечных пороков. Распространенность шумов сердца
- Развитие отечественной бронхоскопии. Литература для изучения бронхоскопии
