Синдром гиперэозинофилии - синонимы, авторы, клиника
Добавил пользователь Евгений Кузнецов Обновлено: 28.11.2025
Гиперэозинофильный синдром является состоянием, которое характеризуется эозинофилией периферической крови с проявлениями поражения или дисфункции систем органов, обусловленных непосредственно эозинофилией у пациентов без паразитарных, аллергических или других вторичных причин эозинофилии Важные расстройства и методы лечения, связанные с эозинофилией . Симптомы разнообразны и зависят от того, дисфункция каких органов имеет место. Диагноз включает исключение других причин эозинофилии и дополнительно - исследование костного мозга и цитогенетические анализы. Лечение может включать в себя преднизолон и иногда иматиниб, однако его схема зависит от конкретного подтипа гиперэозинофильного синдрома.
Гиперэозинофильный синдром ранее считался идиопатическим, молекулярное исследование показало, что во многих случаях наблюдаются специфические клональные нарушения. Одним ограничением традиционного определения является то, что оно не включает пациентов с наличием некоторых аналогичных патологий (например, хромосомных дефектов), которые являются широко известными причинами гиперэозинофильного синдрома, но не соответствуют его традиционным диагностическим критериям относительно степени или продолжительности эозинофилии. Еще одним ограничением является то, что некоторым больным с эозинофилией и повреждениями органов, которые характеризуют гиперэозинофильный синдром, необходимо начинать лечение ранее 6 месяцев, необходимых для подтверждения традиционных диагностических критериев. Эозинофилия любой этиологии может вызывать такие же виды повреждения тканей.
Клональные гиперэозинофильные синдромы
Выделяют два основных подтипа клонального гиперэозинофильного синдрома (см. таблицу Клональные гиперэозинофильные синдромы Подтипы гиперэозинофильного синдрома ):
Миелопролиферативный вариант часто связан с небольшой интерстициальной делецией хромосомы 4 на участке CHIC2 которое вызывает связанный с FIP1L1/PDGFRA гибридный ген (имеющий тирозинкиназную активность, которая способна трансформировать гематопоэтические клетки). У больных часто наблюдается:
Повышенный уровень витамина B12
Гипогранулярные или вакуолизированные эозинофилы
У пациентов с миелопролиферативным подтипом часто развивается эндомиокардиальный фиброз и редко возникает острая миелоидная лейкемия Острый миелолейкоз (ОМЛ) При остром миелолейкозе (ОМЛ) злокачественная трансформация и неконтролируемая пролиферация аномально дифференцированных, долго живущих клеток-предшественниц миелоидного ряда вызывает появление. Прочитайте дополнительные сведения . Пациенты, имеющие связанный с FIP1L1/PDGFRA гибридный ген, чаще являются мужчинами и могут быть восприимчивы к приему низких доз иматиниба (ингибитор тирозинокназы).
Небольшая часть пациентов с миелопролиферативным вариантом гиперэозинофильного синдрома имеет цитогенетические изменения, которые затрагивают бета-рецептор тромбоцитарного фактор роста (PDGFRB) и может также отвечать на применение ингибиторов тирозин-киназы, таких как иматиниб (1 Общие справочные материалы Гиперэозинофильный синдром является состоянием, которое характеризуется эозинофилией периферической крови с проявлениями поражения или дисфункции систем органов, обусловленных непосредственно. Прочитайте дополнительные сведения ). К другим цитогенетическим аномалиям относится реаранжировка гена рецепторов 1 фактора роста фибробластов (FGFR1) или гена янус-киназы-2 (PCM1-JAK2).
У некоторых пациентов наблюдается хронический эозинофильный лейкоз, когда количество бластных клеток при исследовании костного мозга увеличено, но не более чем на 20%.
Лимфопролиферативный вариант связан c клональной популяцией Т-клеток с аберрантным фенотипом. Метод полимеразной цепной реакции (ПЦР) показывает клональную перестановку генов рецепторов Т-клеток. У больных часто наблюдаются:
Ангионевротический отек, кожные нарушения, или оба признака
Циркулирующие иммунные комплексы (иногда с сывороточной болезни)
Гипергаммаглобулинемия (особенно высокие IgE)
Пациенты с лимфопролиферативным подтипом также восприимчивы к кортикостероидам, а иногда у них развивается Т-клеточная лимфома.
Гиперлейкоцитоз может возникать у пациентов с эозинофилическим лейкозом и большим количеством эозинофилов (например, > 100 000 клеток/мкл [> 100 × 10 9 /л]). Эозинофилы могут образовывать агрегаты, которые закупоривают мелкие кровеносные сосуды, что приводит к ишемии тканей и микроинфарктам. Общие проявления включают гипоксию мозга или легких (например, энцефалопатия, одышка или дыхательная недостаточность).
Идиопатическийдиопатический гиперэозинофильный синдром
Идиопатический гиперэозинофильный синдром встречается редко, имеет неизвестную частоту распространения и чаще всего поражает людей в возрасте от 20 до 50 лет. Только у некоторых больных с длительной эозинофилией Эозинофилия Эозинофилия - это увеличение числа эозинофилов в периферической крови >500/мкл (> 0,5 × 10 9 /л). Причины и сопутствующие заболевания являются многочисленными, но часто представляют. Прочитайте дополнительные сведенияОбщие справочные материалы
1. Apperley JF, Gardembas M, Melo JV, et al: Response to imatinib mesylate in patients with chronic myeloproliferative diseases with rearrangements of the platelet-derived growth factor receptor beta. N Engl J Med 347:481-487, 2002.
2. Shomali W, Gotlib J : World Health Organization-defined eosinophilic disorders: 2022 update on diagnosis, risk stratification, and management. Am J Hematol 97:129-148, 2022.
Симптомы и признаки гиперэозинофильного синдрома
Симптомы различаются и зависят от того, в каком органе возникло нарушение (см. таблицу Патологии у пациентов с гиперэозинофильным синдромом [Abnormalities in Patients With Hypereosinophilic Syndrome] Аномалии у больных с гиперэозинофильным синдромом ).
Иногда у больных с тяжелой формой эозинофилии (например, количеством эозинофилов > 100 000/мкл [> 100 × 10 9 /л]) развиваются такие осложнения гиперлейкоцитоза, как проявления гипоксии мозга или легких (например, энцефалопатия, одышка, дыхательная недостаточность). Также могут возникать и другие тромботические проявления (например, пристеночные тромбы сердца).
Диагностика гиперэозинофильного синдрома
Исключение вторичной эозинофилии
Тесты на определение поврежденного органа
Исследование костного мозга с цитогенетическим тестированием, если вторичные причины эозинофилии не выявлены
Обследование для выявления гиперэозинофильного синдрома должно быть проведено в случае, если уровень эозинофилов в периферической крови пациента > 1500/мкл (> 1,5 × 10 9 /л) больше чем в одном необъяснимом случае, особенно когда есть симптомы поражения органов. Должно быть проведено исследование для исключения заболеваний, вызывающих эозинофилию Обследование Эозинофилия - это увеличение числа эозинофилов в периферической крови >500/мкл (> 0,5 × 10 9 /л). Причины и сопутствующие заболевания являются многочисленными, но часто представляют. Прочитайте дополнительные сведенияОценка поражения органов должна включать биохимические анализы крови (включая уровень ферментов печени, креатинкиназы, определение почечной функции и уровня тропонина); ЭКГ; эхокардиографию; исследование функции легких и КТ органов грудной клетки, брюшной полости, и таза. Для выявления FIP1L1/PDGFRA-ассоциированного гибридного гена или других распространенных гибридных транскриптов и для оценки клональности Т-клеточного рецептора для исключения лимфоцитарного варианта гиперэозинофильного синдрома и других возможных причин эозинофилии выполняют аспирацию костного мозга и биопсию с проточной цитометрией, цитогенетическим тестированием и полимеразной цепной реакцией с обратной транскриптазой (отПЦР) или флуоресцентной гибридизацией in situ (FISH).
Прогноз при гиперэозинофильном синдроме
К смерти обычно приводят нарушения в органах, особенно в сердце. Поражение сердца не предсказывается степенью или длительностью эозинофилии. Прогноз варьируется в зависимости от реакции на терапию. Реакция на иматиниб дает лучший прогноз течения болезни среди пациентов со связанным с FIP1L1/PDGFRA гибридным геном и другими восприимчивыми гибридными генами.
Лечение гиперэозинофильного синдрома
Кортикостероиды для гиперэозинофилии и для продолжения лечения повреждений органов
Иматиниб для пациентов со связанным с FIP1L1/PDGFRA гибридным геном или другими сходными гибридными генами
Иногда применение препаратов для контроля содержание эозинофилов (например, гидроксимочевина, интерферон альфа, этопозид, кладрибин)
Лечение включает немедленную терапию, радикальную терапию (лечение, направленное на устранение самого заболевания) и поддерживающую терапию (1 Справочные материалы по лечению Гиперэозинофильный синдром является состоянием, которое характеризуется эозинофилией периферической крови с проявлениями поражения или дисфункции систем органов, обусловленных непосредственно. Прочитайте дополнительные сведения ). Не существует установленного уровня повышения количества эозинофилов, при котором происходит повреждение органа или когда должно быть начато лечение, однако большинство экспертов рекомендуют начинать лечение при абсолютном количестве эозинофилов от 1500 до 2000 эозинофилов/мкл (1,5-2 × 10 9 /L).
Немедленная терапия
Больным с очень тяжелой эозинофилией, осложнениями гиперлейкоцитоза или при обоих случаях одновременно (как правило, у пациентов с эозинофильным лейкозом) как можно скорее должны быть назначены высокие дозы кортикостероидов (например, преднизолон 1 мг/кг или его аналог). Если содержание эозинофилов намного ниже (например, на ≥ 50%) по истечении 24 часов, дозу кортикостероида можно повторять ежедневно. В противном случае начинают альтернативное лечение (например, гидроксимочвиной). Как только число эозинофилов начинает уменьшаться и лучше поддаваться контролю, можно начинать прием дополнительных препаратов.
Радикальная терапия
Пациентам без связанного с FIP1L1/PDGFRA гибридного гена, даже при бессимптомном течении, часто назначают одну дозу преднизона 60 мг (или 1 мг/кг) перорально, для определения восприимчивости к кортикостероидам (т.е., уменьшение уровня эозинофилов). У больных с симптомами или повреждениями органа, такую же дозу преднизолона продолжают давать один раз в день в течение 2 недель, после чего постепенно уменьшают дозу. Пациенты без симптомов и повреждения органов находятся под наблюдением в течение по крайней мере 6 месяцев для контроля за возможными осложнениями. Если употребление кортикостероидов не может быть легко снижено, то могут быть использованы кортикостероидо-щадящие препараты (например, гидроксимочевина, интерферон альфа).
Поддерживающая терапия
Поддерживающая лекарственная терапия и операция могут потребоваться при симптомах нарушений сердца (например, инфильтративная кардиомиопатия Обзор кардиомиопатий (Overview of Cardiomyopathies) Кардиомиопатии - это первичные заболевания сердечной мышцы. Их надо отличать от структурных заболеваний сердца, таких как ишемическая болезнь сердца, патология клапанного аппарата, врожденные. Прочитайте дополнительные сведения , поражения клапанов сердца Обзор нарушений клапанов сердца Патология любого клапана сердца может характеризоваться развитием стеноза или недостаточности (также называемой регургитацией или несостоятельностью), которые вызывают гемодинамические изменения. Прочитайте дополнительные сведения , сердечная недостаточность Сердечная недостаточность (СН) Сердечная недостаточность (СН) - синдром дисфункции желудочков сердца. Левожелудочковая недостаточность приводит к развитию одышки и быстрой утомляемости, правожелудочковая недостаточность -. Прочитайте дополнительные сведенияЭкспериментальные терапиии
Реслизумаб, моноклональное антитело к ИЛ5, которое применяется в лечении тяжелой бронхиальной астмы, проходит исследования при гиперэозинофилии, как и берализумаб, другое антитело к рецептору ИЛ5. В этой редкой популяции пациентов с гиперэозинофилией изучаются и новые ингибиторы FGFR1 (рецептора 1 фактора роста фибробластов). Ингибиторы JAK2 исследуются у пациентов с JAK2 перестройками.
Справочные материалы по лечению
1. Ogbogu PU, Bochener BS, Butterfield HJ, et al: Hypereosinophilic syndromes: A multicenter, retrospective analysis of clinical characteristics and response to therapy. J Allergy Clin Immunol 124:1319-1325, 2009.
2. Cortes J, Ault P, Koller C, et al: Efficacy of imatinib mesylate in the treatment of idiopathic hypereosinophilic syndrome. Blood 101:4714-4716, 2003.
3. Roufosse F, Kahn JE, Rothenberg FE, et al: Efficacy and safety of mepolizumab in hypereosinophilic syndrome: a phase III, randomized, placebo-controlled trial. J Allergy Clin Immunol 146: 1397-1405, 2020. doi: 10.1016/j.jaci.2020.08.037
4. Rothenberg ME, Klion AD, Roufosse FE, et al: Treatment of patients with the hypereosinophilic syndrome with mepolizumab . N Engl J Med 358:1215-28, 2008.
Основные положения
Гиперэозинофильный синдром является эозинофилией периферической крови ( > 1500/мкл [> 1,5 × 10 9 /л]) не вызванный паразитными, аллергическими, или другими вторичными причинами эозинофилии, которая длится ≥ 6 месяцев и вызывает или дисфункцию поражение органов.
По-видимому, гиперэозинофильный синдром является проявлением большого числа гематопоэтических нарушений, некоторые из которых имеют генетические причины.
Может быть поражен любой орган, но как правило, поражаются сердце, легкие, селезенка, кожа, и нервная система; поражение сердца может вызвать значительную заболеваемость и летальность.
Проводят анализы на вовлечение органов, включая ферменты печени; креатинкиназу и уровни креатинина и тропонина; ЭКГ и эхокардиографию; исследования функции легких; и КТ груди, брюшной полости, и таза.
Для выявления причины выполняют исследование костного мозга с цитогенетическим анализом.
При тяжелой эозинофилии и/или повреждения органаов назначают кортикостероиды. Ингибиторы тирозинкиназы, такие как низкие дозы иматиниба, могут оказывать благоприятное действие при подтипах, связанных с явными хромосомными расстройствами.
Авторское право © 2022 Merck & Co., Inc., Rahway, NJ, США и ее аффилированные лица. Все права сохранены.
Синдром гиперэозинофилии - синонимы, авторы, клиника
Гиперэозинофильный синдром (ГЭС) - болезнь, при которой в крови увеличивается количество клеток-эозинофилов, в той или иной степени повреждающих внутренние органы. На медицинском языке небольшое повышение эозинофилов называется «эозинофилия», а значительное - «гиперэозинофилия».
Здоровые эозинофилы (эозинофильные гранулоциты) - одна из иммунных, то есть защитных, сил организма. Они играют особенную роль в борьбе человека с болезнями, с паразитами, а также при аллергии, участвуют в общем управлении и связи всех звеньев иммунной системы. Свое название они получили, потому что хорошо окрашиваются краской-эозином. При большом увеличении в этих клетках можно увидеть мелкие гранулы, в которых эозинофилы «хранят» запас очень активных химических веществ.
Эозинофилия, которая возникает как ответ организма на некоторые инфекции, болезни крови, болезни суставов, называется вторичной, или реактивной. При такой реакции организма повышение эозинофилов в крови безопасно в отличии от гиперэозинофильного синдрома. Гиперэозинофильный синдром отличается от реактивных (вторичных) эозинофилий тем, что при этом заболевании в кровь постоянно поступает слишком много химических защитных веществ, и поэтому страдают внутренние органы: кишечник, сердце, легкие и другие. Бывает, что больные ГЭС жалуются на случаи «странной» нехватки воздуха, диарею, отеки, необъяснимую слабость, потливость, сыпь. Пациенты могут ощущать тяжесть в подреберьях, потому что увеличены печень или селезенка, в которых оседают опухолевые клетки. Со временем ГЭС может переходить в лимфому или острый лейкоз.
Диагноз
Диагноз «ГЭС» ставят, если у пациента длительно повышены эозинофилы крови и поражены внутренние органы. Очень важно при постановке диагноза исключить другие причины, которые могут привести к похожим изменениям крови (астму, более частые миелопролиферативные болезни крови и другие), поэтому пациента всесторонне обследуют: делают гистологическое, цитологическое и цитогенетическое исследования костного мозга. Могут потребоваться компьютерная томография и другие специальные анализы. Как правило, при ГЭС типичных изменений в генах не выявляют, хотя при выполнении цитогенетического исследования могут быть найдены некоторые поломки. Обнаружить изменения тех или иных генов очень трудно, но если их находят, то это влияет на выбор лечения.
Лечение
В настоящее время общепринятым методом лечения ГЭС является назначение лекарств, постоянный прием которых останавливает размножение больных клеток, и такие лекарства оказывают минимальное нежелательное побочное действие. Самочувствие пациента улучшается. Если со временем болезнь переходит в лимфому или острый лейкоз, то их лечат по схемам острых лейкозов или лимфом. Молодых пациентов врачи стараются вылечить с помощью пересадки стволовых (материнских) клеток крови.
Эозинофильная пневмония ( Легочная эозинофилия , Пневмония Лёффлера , Синдром Лера-Киндберга , Эозинофильный летучий инфильтрат легкого )
Эозинофильная пневмония - это аллерго-воспалительное поражение легочной ткани, сопровождающееся образованием неустойчивых мигрирующих инфильтратов эозинофильной природы и развитием гиперэозинофилии. Заболевание обычно протекает с недомоганием, субфебрилитетом, небольшим сухим кашлем, иногда со скудной мокротой; при острой форме - с болью в груди, миалгией, развитием острой дыхательной недостаточности. Установить эозинофильную пневмонию позволяют данные рентгенографии и КТ легких, общего анализа крови, бронхоальвеолярного лаважа, аллергопроб, серодиагностики. Основу лечения составляют специфическая гипосенсибилизация и гормональная терапия.
МКБ-10

Общие сведения
Эозинофильная пневмония (эозинофильный «летучий» инфильтрат легкого) - респираторное заболевание, связанное с патологическим накоплением эозинофилов в альвеолах и повышением их уровня в крови и мокроте. Эозинофильная пневмония чаще диагностируется у населения и туристов в странах с тропическим климатом (Индонезии, Индии, Малайзии, тропической Африке, Ю. Америке).
Эозинофильная пневмония протекает по типу долевой пневмонии или бронхопневмонии, затрагивает обычно верхние отделы легких. Отмечается очаговое или диффузное воспаление альвеол, интерстициальной ткани, сосудов, бронхиол с их обильной инфильтрацией эозинофилами. Типичен преходящий характер инфильтратов с полным регрессом без вторичных рубцовых и склеротических изменений тканей.
Выделяют 3 формы легочной эозинофилии - простую (пневмония Лёффлера), острую и хроническую (синдром Лера-Киндберга). На хронизацию процесса указывают длительное (>4 недель) сохранение и рецидивирование эозинофильных инфильтратов. Эозинофильной пневмонией одинаково часто болеют лица обоего пола, преимущественно в 16-40-летнем возрасте; хроническая форма чаще развивается у женщин, страдающих бронхиальной астмой.
Причины
Эозинофильное поражение легочной ткани инициируют патогены инфекционно-аллергической и аллергической природы, вызывающие сенсибилизацию организма пациента. В качестве них могут выступать:
- Паразитарная (глистная) инвазия. В 1932 г Лёффлер впервые определил роль гельминтов в этиологии эозинофильной пневмонии, возникающей при транзиторном повреждении легочной ткани в процессе миграции личинок паразитов через легкие. К появлению пневмонии Лёффлера может привести практически любой гельминтоз - аскаридоз, стронгилоидоз, шистосомоз, анкилостоматоз, парагонимоз, токсокароз, трихинеллез и др. Довольно часто при легочной эозинофилии выявляются нематоды Toxocara cati и T. canis, аскариды собак и кошек. Личинки и яйца глистов могут попадать в ткань легких с током крови, взрослые паразиты (Paragonimus westermani) - через кишечную стенку, диафрагму и плевру, вызывая эозинофильное воспаление с образованием инфильтратов.
- Ингаляционные и лекарственные аллергены. Эозинофильная пневмония может быть результатом аллергической реакции на прием медикаментов (пенициллина, ацетилсалициловой кислоты, сульфаниламидов, нитрофуранов, изониазида, гормональных и рентгенконтрастных препаратов, соединений золота), на контакт с химическими агентами на производстве (солями никеля), цветочной пыльцой (ландыша, лилии, липы). Пневмония Леффлера может быть проявлением сывороточной болезни, иметь связь с аллергией на туберкулин.
- Грибковая инфекция. Атопическая сенсибилизация дыхательного тракта к спорам грибов (особенно, рода Aspergillus) также способствует развитию эозинофильных легочных инфильтратов.
Патогенез
Развитие эозинофильной пневмонии опосредовано реакциями гиперчувствительности немедленного типа. Помимо гиперэозинофилии в крови пациентов часто выявляется повышенный уровень IgE (гипериммуноглобулинемия). За образование аллерго-воспалительных очагов в легочной ткани ответственны тучные клетки, активированные иммунными (IgE) и неиммунными (гистамином, системой комплемента) механизмами и продуцирующие медиаторы аллергии (главным образом, эозинофильный хемотаксический фактор анафилаксии). В ряде случаев эозинофильная пневмония развивается за счет выработки преципитирующих антител к антигенам (реакции по типу феномена Артюса).
Симптомы эозинофильной пневмонии
Клиническая картина бывает весьма вариабельной. Аллергическое воспаление легких может иметь бессимптомное течение с отсутствием или очень скудной выраженностью жалоб и определяться только рентгенологическим и клинико-лабораторным методом. Часто пневмония Лёффлера протекает с минимальными проявлениями, манифестируя симптомами катарального ринофарингита. Больные ощущают легкое недомогание, слабость, повышение температуры до субфебрильной, небольшой кашель, чаще сухой, иногда с незначительной вязкой или кровянистой мокротой, болезненность в области трахеи.
При массивном гематогенном распространении яиц и личинок глистов в организме присоединяется сыпь на коже, зуд, одышка с астматическим компонентом. Эозинофильная инфильтрация других органов сопровождается легкими, быстро исчезающими признаками их поражения - гепатомегалией, симптомами гастрита, панкреатита, энцефалита, моно- и полиневропатией.
Острая эозинофильная пневмония протекает тяжело, с интоксикацией, фебрилитетом, болью в груди, миалгией, быстрым (в течение 1-5 суток) развитием острой дыхательной недостаточности, респираторного дистресc-синдрома. Для хронической формы типично подострое течение с потливостью, потерей массы тела, нарастанием одышки, развитием плеврального выпота.
Эозинофильная пневмония обычно длится от нескольких дней до 2-4 недель. Выздоровление может наступать спонтанно. При хронической форме продолжительное существование инфильтратов и рецидивы способствуют постепенному прогрессированию заболевания, развитию легочного фиброза и дыхательной недостаточности.
Диагностика
Диагностика эозинофильной пневмонии включает проведение рентгенографии и КТ легких, общего анализа крови, анализа кала на яйца глист, бронхоальвеолярного лаважа, аллергопроб, серологических (РП, РСК, ИФА) и клеточных тестов (реакции дегрануляции базофилов и тучных клеток). Пациенты с эозинофильной пневмонией, как правило, имеют предшествующий аллергологический анамнез. Аускультация определяет небольшое количество влажных мелкопузырчатых хрипов или крепитацию. При обширных инфильтратах заметно укорочение легочного звука при перкуссии. Инструментально-лабораторный комплекс:
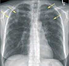
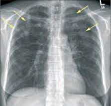
- Рентгенография легких. На снимках видны субплеврально расположенные одиночные (реже множественные, двусторонние) нечеткие затемнения средней интенсивности неправильной формы размером до 3-4 см. В окружении инфильтрата легочный рисунок усилен, тень корня легкого слегка расширена. Характерна быстрая динамика инфильтратов с миграцией по легочным полям и исчезновением не позднее 1-2 недель после обнаружения (чаще через 1-3 дня) без остаточной рубцовой деформации. При длительно поддерживающемся инфильтративном воспалении в ткани легких могут образоваться фиброзные очаги и кистозные полости.
- Лабораторные данные. В периферической крови на начальной стадии заболевания регистрируется лейкоцитоз, гиперэозинофилия (10-25%), при хронизации процесса уровень эозинофилов близок к норме. Часто выявляется высокое содержание в крови IgE (до 1000 МЕ/мл). В анализе лаважной жидкости также появляются эозинофилы (при острой форме - до 40% и более) и кристаллы Шарко-Лейдена. Анализ кала, проводимый с учетом цикла развития паразитов, при некоторых гельминтозах позволяет обнаружить яйца глист. По данным биопсии в альвеолах и интерстиции определяются эозинофилы, лимфоциты и макрофаги, гранулемы, поражение мелких сосудов.
- Аллергопробы. Этиологическая диагностика эозинофильной пневмонии включает провокационные назальные и ингаляционные тесты, кожные пробы с аллергенами пыльцы, гельминтов, спор грибов, серологические анализы. «Никелевая» эозинофильная пневмония обычно сочетается с аллергическим контактным дерматитом и подтверждается положительным компрессным (аппликационным) тестом с никелем.
- ФВД. Бронхиальную проходимость оценивают при проведении спирометрии, бронхомоторных тестов.
Дифференцировать эозинофильную пневмонию необходимо с пневмониями бактериального и вирусного генеза, туберкулезом, синдромом Вайнгартена, альвеолитом, десквамативным интерстициальным фиброзом. При атопической отягощенности показана консультация аллерголога, при респираторном рините - отоларинголога.
Лечение эозинофильной пневмонии
Основным в лечении является устранение действия этиологически значимого фактора: контакта с аллергенами (аэроаллергенами, лекарствами), проведение дегельминтизации. Назначаются антигистаминные препараты, противопаразитарные средства. Имеются случаи спонтанного выздоровления без фармакотерапии. В случае тяжелой глистной инвазии с обезвоживанием организма или невозможности полного изъятия аллергена из окружающей среды лечение проводится стационарно, в отделении пульмонологии.
При острой форме эозинофильной пневмонии применяются глюкокортикоиды, на фоне которых происходит быстрая (в течение 48 часов) регрессия воспаления. Дозу ГК подбирают индивидуально и снижают постепенно во избежание обострения. В тяжелых случаях требуются ИВЛ, длительная гормональная терапия. При бронхообструкции показаны ингаляционные ГК, бета-адреномиметики. Для лучшего отхождения мокроты используются отхаркивающие средства, дыхательная гимнастика. Проводится лечение сопутствующей бронхиальной астмы.
Прогноз и профилактика
Прогноз эозинофильной пневмонии в целом благоприятный, возможно самопроизвольное разрешение инфильтратов. Правильное лечение и наблюдение пульмонолога позволяет избежать хронизации процесса и рецидивов. Профилактика эозинофильной пневмонии сводится к мерам гигиены, предотвращающим заражение организма гельминтами, контролю за приемом медикаментов, ограничению контакта с аэроаллергенами, проведению специфической гипосенсибилизации. При необходимости рекомендуется смена места работы.
2. Легочные эозинофилии: диагностика, подходы к терапии/ Э.Х.Анаев, А.Г.Чучалин// Пульмонология. - 2012 -№ 4.
3. Эозинофильная пневмония в практике врача-терапевта: трудности диагностики/ Болдырева Л.Н., Пантелеева Е.Н.//Справочник поликлинического врача. - 2011 - №9.
4. Трудности этиологической диагностики легочной эозинофилии/ Николаева С.С., Растомпахова Т.А.// Сибирский медицинский журнал. - 2011.
Синдром эозинофилии-миалгии
Синдром эозинофилии-миалгии - редкое состояние, обусловленное приемом некоторых препаратов с содержанием аминокислоты триптофана и характеризующееся выраженными системными поражениями (легких, мышечной системы, суставов и фасций). Симптомами являются кашель, затрудненное дыхание, повышенная утомляемость, боли в мышцах, неврологические нарушения и воспаления суставов. Диагностика проводится посредством лабораторных анализов (общий анализ крови), рентгенологических методик и изучения анамнеза больного. Лечение заключается в отмене приема провоцирующего лекарства и проведении симптоматической терапии.

Синдром эозинофилии-миалгии был впервые диагностирован и выделен как отдельная нозологическая единица в середине 80-х годов XX века. В те годы возникла вспышка данной патологии, обусловленная широким распространением препарата на основе триптофана, выпускаемого одним из японских фармацевтических предприятий. В настоящее время средства с содержанием такой аминокислоты в мире практически не выпускаются, однако случаи заболевания все равно встречаются. Обычно его причиной становится использование фальсификатов некоторых продуктов (рапсового масла) и лекарственных средств, содержащих в своем составе вредные примеси. Синдром с равной долей вероятности поражает как мужчин, так и женщин, представляет потенциальную опасность для жизни.

Расследование, проведенное вскоре после обнаружения патологии, показало, что ее причиной является не сам триптофан (жизненно важная аминокислота), а некоторые примеси в лекарственном средстве. Они попадали в препарат в процессе химического синтеза основных компонентов и считались условно безопасными по причине ничтожной концентрации. Предположительно эти примеси запускали необычные аллергические процессы, приводящие к поражению легких, резкому увеличению количества эозинофилов в крови, болезненности мышц и другим нарушениям. Развитие синдрома послужило основным поводом для запрета таких лекарственных препаратов.
Существует также предположение, что основной причиной развития патологии являлись метаболиты триптофана - соединения под условными названиями ЕВТ и МТСА. Еще несколько веществ подозреваются в участии в патогенезе синдрома. Однако исследования, проведенные с чистыми вариантами данных соединений, имели неоднозначные результаты, поэтому их роль в этиологии заболевания оспаривается некоторыми учеными. Помимо них в тех партиях лекарственных средств, использование которых связывают с патологическим состоянием, было найдено еще более 60 примесей. Ряд исследователей считают, что возникновение нарушений обусловлено сочетанным действием сразу множества веществ.
Существует мнение, что и сам L-триптофан при попадании в организм в повышенных дозах мог спровоцировать развитие эозинофилии, миалгии и иных нарушений. Установлено, что это аминокислота в чистом виде способна замедлять деградацию гистаминоподобных соединений, участвующих во многих воспалительных и аллергических реакциях. Лишь у некоторых больных, принимающих триптофан, развитие синдрома объясняется наличием особенностей реактивности или других механизмов предрасположенности. В тоже время, такая точка зрения не объясняет, из-за чего возникает патология при употреблении иных продуктов или лекарств (например, схожую симптоматику имеет синдром токсического масла).
Патогенетические процессы при синдроме эозинофилии-миалгии изучены еще хуже, чем его этиология, поскольку достоверно не определено соединение, провоцирующее заболевание. На основании клинических данных можно предположить, что определенный фактор провоцирует увеличение образования или замедление распада стимуляторов воспаления - гистамина, некоторых интерлейкинов и простагландинов. Это вызывает иммунную воспалительную реакцию в легких, фасциях мышц, суставах и нервах. Пораженные ткани инфильтрируются макрофагами и лимфоцитами, что еще больше усугубляет патологический процесс. Развитие эозинофилии, согласно данной гипотезе, связано с увеличением концентрации гистамина - эозинофилы играют центральную роль в процессах его распада.
Согласно другой теории патогенеза болезни, первопричиной, напротив, является именно активация эозинофилов, которые начинают проникать в ткани и способствовать накоплению в них токсических продуктов. Это, в свою очередь, провоцирует возникновение воспаления с вовлечением иных иммунокомпетентных клеток и развитием лимфоцитарной инфильтрации. Но, как и в предыдущей гипотезе, пусковой фактор заболевания остается неизвестным. Данные гистохимических исследований могут интерпретироваться в качестве доказательств как первого, так и второго предположения, поэтому изучение синдрома продолжается.
Симптомы
Проявления синдрома возникают после употребления лекарственных средств или других продуктов, содержащих триптофан и его метаболиты. Сроки развития заболевания могут сильно различаться - от нескольких дней до 3-5 месяцев после начала приема. Первоначально отмечается повышенная утомляемость и разбитость, которая сменяется выраженными болями в мышцах, усиливающимися при движениях. Одновременно появляются жалобы на слабость мышечной системы - пациент становится неспособен выдерживать привычные для него нагрузки. Миалгия может сочетаться с неприятными ощущениями в области сердца, что свидетельствует о вовлечении в патологический процесс миокарда.
Более чем у половины больных наблюдаются поражения дыхательной системы, проявляющиеся кашлем, хрипами при дыхании, одышкой. Течение патологии иногда осложняется симптомами плеврита - болями в груди при дыхании, усилением сухого кашля. Респираторные нарушения могут сохраняться в течение нескольких недель или даже месяцев. Зачастую определяются отеки подкожной жировой клетчатки на кистях или стопах. В особенно тяжелых случаях возникает накопление жидкости в полостях тела - брюшной, плевральной, перикардиальной. У ряда больных эозинофилией-миалгией отмечаются неврологические симптомы в виде нарушений чувствительности пальцев, кистей, стоп.
Кожные покровы пациента обычно бледные или цианотичные, что говорит о недостаточной оксигенации крови и нарушенной легочной функции. Иногда выявляется поражение суставов, сопровождающееся болями при движениях, отеками, покраснением области сочленения. Но чаще единственным признаком вовлечения суставов в процесс заболевания становится артралгия. Системные нарушения (повышение температуры, лихорадка, головные боли, рвота) возникают только у части больных с данным синдромом.
Осложнения
Эозинофилия-миалгия, по данным медицинской статистики, примерно в 4-5% случаев приводит к летальному исходу. Причиной смерти становится тяжелая дыхательная недостаточность или нарушения работы сердца, обусловленные миокардитом и накоплением жидкости в перикардиальной полости (гидроперикард). При длительном течении заболевания происходит уменьшение дыхательного объема легких за счет фиброза, что снижает качество жизни и трудоспособность пациента. Описаны случаи, когда после развития синдрома возникал ревматоидный полиартрит. Это свидетельствует о возможности иммунологических нарушений вследствие заболевания, но достоверной взаимосвязи между этими двумя патологиями пока не обнаружено.
Для определения синдрома эозинофилии-миалгии используют множество диагностических методик - опрос больного, рентгенографические исследования, общие лабораторные анализы. При возникновении затруднений могут дополнительно производить микроскопическое исследование мокроты, гистологические исследования пораженных тканей. Однозначным признаком патологии является использование пациентом лекарств либо продуктов, содержащих синтезированный свободный триптофан. Поэтапно диагностика состояния производится следующим образом:
- Опрос и сбор анамнеза. При общении с пациентом аллергологу-иммунологу важно выяснить, употреблял ли он в последние дни и недели какие-либо лекарственные средства, масляные продукты, некоторые виды спортивного питания. С учетом этого можно определить, контактировал ли больной с триптофаном и его токсичными метаболитами. Среди жалоб наиболее часто отмечаются одышка, боли в разных группах мышц, слабость.
- Рентгенологические исследования. На рентгенографии органов грудной клетки можно выявить признаки уплотнения легочной ткани в виде сетчато-узелкового или сетчатого поражения. Там же обнаруживаются признаки плеврита и изменения контуров сердца при гидроперикарде. Рентгенография не является основным методом диагностики, поскольку патологические изменения выявляются лишь в 20% случаев синдрома.
- Лабораторные анализы. В общем анализе крови определяется выраженная эозинофилия - до 1000/мкл. Нередко регистрируются признаки воспалительной реакции - увеличение СОЭ, лейкоцитоз.
- Гистологическое изучение. Для диагностики патологии могут производить биопсию легких (при респираторных нарушениях), мышц и фасций (при миалгии) и других тканей в зависимости от клинической картины. Гистологическое исследование тканей пораженных органов выявляет инфильтрацию кровеносных сосудов мелкого калибра моноцитами, эозинофилами, лимфоцитами.
Дифференциальную диагностику проводят с инфекционно-воспалительными поражениями легких (бронхит, пневмония), заболеваниями сердца и системными аутоиммунными состояниями - некоторыми формами ревматизма и полиартритов. Главными признаками синдрома являются наличие в анамнезе приема лекарств или продуктов с триптофаном, отсутствие признаков инфекции по анализам крови.
Лечение синдрома эозинофилии-миалгии
Основным условием успешного лечения заболевания является исключение триптофан-содержащего препарата или продукта, вызвавшего патологический процесс. Поэтому в ходе диагностики важно определить, откуда больной получает провоцирующие вещества. Для уменьшения симптомов назначаются кортикостероидные средства, обладающие выраженным противовоспалительным действием. Схема и длительность их использования зависит от конкретной клинической ситуации. Примерно у половины пациентов симптомы патологии исчезают через несколько дней после начала лечения, тогда как у других сохраняются на протяжении 2-3 недель.
Симптоматические мероприятия требуются редко, при сильном кашле могут применяться лекарства, уменьшающие активность кашлевого центра. Отеки устраняют посредством использования диуретических препаратов. Антигистаминные средства не используют по причине их неоднозначного и слабого эффекта при данной патологии. Иногда назначают поддерживающее лечение с использованием поливитаминных препаратов.
Прогноз синдрома эозинофилии-миалгии условно благоприятный при раннем обнаружении и своевременном обращении к специалисту. После исключения провоцирующего вещества и проведения кортикостероидной терапии симптомы исчезают без последствий. В случае длительного течения в легких могут развиваться склеротические процессы, снижающие жизненную емкость и поверхность газообмена. Это приводит к одышке при умеренной физической нагрузке, цианотичности кожи и прочим нарушениям. Профилактика синдрома заключается в отказе от использования препаратов, содержащих триптофан, особенно сомнительного происхождения. Следует как можно быстрее отменить прием таких средств, если на фоне их применения возникает болезненность мышц, кашель, одышка.
Эозинофилия
Эозинофилия (эозинофильный лейкоцитоз) - это увеличение в крови уровня эозинофилов больше 500 в 1 мкл крови или больше 5%. Чаще всего встречается при аллергических реакциях, паразитарных инвазиях, может свидетельствовать о тяжелых заболеваниях легких, онкологических гематологических патологиях. Специфических проявлений нет. Клиническая картина зависит от заболевания, при котором наблюдается повышенное содержание эозинофилов. Уровень эозинофилов исследуется в венозной или капиллярной крови путем подсчета лейкоцитарной формулы в общем анализе крови. Для коррекции эозинофилии необходимо лечение заболевания, которое ее вызвало.
Классификация
На сегодняшний день существуют две основные классификации эозинофилии - по уровню повышения эозинофилов и по этиопатогенетическому фактору. По количеству клеток различают следующие эозинофилии:
- Легкие. Уровень эозинофилов от 500 до 1500.
- Умеренные. Концентрация эозинофилов от 1500 до 5000.
- Выраженные. Содержание эозинофилов составляет более 5000. Наиболее характерны для гельминтозов, гематологических болезней.
Умеренные и выраженные эозинофилии объединяют термином гиперэозинофилии. По патофизиологическому механизму эозинофилии разделяют на:
- Клональные. Эозинофилы являются частью злокачественного клона. Встречаются при миелопролиферативных гемобластозах (лейкозах), системных заболеваниях тучных клеток (мастоцитозе).
- Реактивные. Общий механизм возникновения - гиперпродукция Т-хелперами интерлейкина-5, который стимулирует костномозговую выработку эозинофилов. Развиваются как ответная реакция на различные внешние воздействия на макроорганизм - аллергены, паразитарные инвазии и т.д. Составляют около 90% всех эозинофилий.
Отдельно выделяют транзиторную (кратковременную) эозинофилию, не связанную напрямую с конкретными заболеваниями. Количество эозинофилов может увеличиться при употреблении некоторых лекарственных препаратов (антибиотиков, противотуберкулезных средств), введении вакцины против гепатита А, при проведении гемодиализа, воздействии локальной радиационной терапии. Точный патофизиологических механизм повышения эозинофилов при этих обстоятельствах неизвестен.
Причины эозинофилии
Аллергии
Это наиболее частая причина эозинофилии. Любые реакции гиперчувствительности сопровождаются увеличением продукции эозинофилов костным мозгом. Патогенез эозинофилий при аллергиях хорошо изучен. При попадании в организм аллергена (ингаляционно, через кожу или слизистые) он взаимодействует с IgE на мембране базофилов. Это приводит к их дегрануляции последних и высвобождению гистамина, лейкотриенов и других медиаторов, в результате чего в тканях развивается аллергическое воспаление, что и обусловливает симптоматику со стороны кожи (атопический дерматит, крапивница), слизистых оболочек (аллергический ринит, конъюнктивит), а также дыхательной системы (бронхиальная астма).
Параллельно с этим базофилами выделяется эозинофильный хемотаксический фактор анафилаксии, который стимулирует миграцию эозинофилов из периферической крови к очагу воспаления. Эозинофилы, в свою очередь, подавляют выработку медиаторов аллергии. Во время разгара аллергической реакции (обострения) уровень эозинофилии максимальный; по мере разрешения симптомов он постепенно снижается и нормализуется в стадию ремиссии.
При выраженном обострении содержание эозинофилов, наоборот, может быть снижено (эозинопения) или даже равно нулю (анэозинофилия). Такое случается, когда произошла массивная миграция эозинофилов к очагу аллергического воспаления, а новые эозинофилы еще не успели синтезироваться в костном мозге. Также, если во время рецидива бронхиальной астмы присоединится вторичная бактериальная инфекция (бронхит), то показатели эозинофилов могут оставаться в пределах нормы.
В основном при аллергиях встречается легкая степень эозинофилии. Для бронхиальной астмы, особенно атопической и аспириновой формы, характерна умеренная эозинофилия. При аллергических патологиях повышенное содержание эозинофилов наблюдается не только в крови, но и в других биологических жидкостях (в мокроте и бронхоальвеолярной жидкости - при бронхиальной астме, в носовой слизи - при рините, в соскобе с конъюнктивы - при конъюнктивите).
Гельминтозы
Другой частой причиной эозинофилий (особенно среди детей) является заражение гельминтами. Эозинофилия в данном случае обусловлена двумя патогенетическими механизмами. Во-первых, эозинофилы обладают противопаразитарной активностью - они выделяют эозинофильный катионный белок и активные формы кислорода, которые губительны для гельминтов. Во-вторых, продукты метаболизма гельминтов способны индуцировать реакции гиперчувствительности. Именно поэтому глистные инвазии часто сопровождаются аллергической симптоматикой.
Самые частые гельминтозы, сопряженные с высокой эозинофилией среди детей - аскаридоз, токсокароз, среди взрослых ‒ анкилостомидоз, описторхоз. При стронгилоидозе эозинофильный лейкоцитоз долгое время может быть единственным проявлением. Эозинофилия выявляется уже на 4-5 день инфицирования. Затем она очень быстро нарастает и достигает максимума примерно к 30-40 дню, а потом медленно начинает уменьшаться, но продолжает оставаться на высоких цифрах длительное время. Уровень эозинофилов очень большой (может составлять от 20% до 70-80%). Резкое нарастание эозинофилии происходит во время стадии миграции личинок по организму и проникновения в ткани.
Заболевания легких
Существует группа болезней легких, называемых легочными эозинофилиями, которые объединяет большое содержание эозинофилов в крови, в бронхоальвеолярной жидкости и образование эозинофильных инфильтратов в легочной ткани. Точный патогенез эозинофилии периферической крови и инфильтрации эозинофилами легочной ткани при большинстве этих заболеваний неизвестен. Различают следующие легочные эозинофилии:
- Эозинофильные пневмонии. К ним относятся синдром Леффлера (простая легочная эозинофилия), острые, хронические эозинофильные пневмонии (ОЭП, ХЭП). При синдроме Леффлера наблюдается легкая эозинофилия, которая быстро и самостоятельно разрешается. Для ХЭП характерен постоянный умеренный эозинофильный лейкоцитоз. При ОЭП отмечается эозинофилия, резко нарастающая до высоких цифр (до 25%) и столь же стремительно регрессирующая на фоне терапии глюкокортикостероидами.
- Аллергический бронхолегочный аспергиллез. Обусловлен гиперчувствительностью больных к грибкам рода аспергилл. Патогенез сходен с аллергическими патологиями (IgE-опосредованная реакция). Эозинофилия умеренная, возникает только в фазу обострения. В период ремиссии уровень эозинофилов находится пределах нормальных значений.
- Синдром Черджа-Стросса. Эозинофильный гранулематоз с полиангиитом ‒ тяжелое заболевание неизвестной этиологии из ряда системных васкулитов, поражающее несколько внутренних органов. Эозинофильный лейкоцитоз наиболее высокий среди всех легочных эозинофилий, в период рецидива может доходить до 50%.

Болезни крови
Во время некоторых злокачественных гематологических заболеваний в крови наблюдается повышенный уровень эозинофилов с разным патогенетическим механизмом. При миелопролиферативных патологиях (остром и хроническом эозинофильном лейкозе, хроническом миелолейкозе), агрессивном системном мастоцитозе эозинофилия обусловлена опухолевой (клональной) пролиферацией эозинофильного ростка кроветворения.
Эозинофилия нарастает медленно, в течение нескольких лет. При мастоцитозе достигает умеренных значений, при лейкозах - выраженных (до 60-70%). Уменьшается очень медленно, под действием химиотерапии. Кроме периферической крови, эозинофилия наблюдается также в миелограмме (мазке пунктата костного мозга). Для лейкозов существует специфичный лабораторный признак ‒ одновременное увеличение эозинофилов и базофилов (базофильно-эозинофильная ассоциация).
При лимфогранулематозе и неходжкинских лимфомах эозинофилия возникает вследствие продуцирования лимфатическими клетками цитокинов (в том числе интерлейкин-5), которые стимулируют пролиферацию нормальных эозинофилов. Эозинофильный лейкоцитоз умеренный, медленно нарастающий.
Заболевания ЖКТ
Эозинофилия сопровождает некоторые болезни органов пищеварения. К ним относят эозинофильный эзофагит, гастрит и энтероколит. Морфологическим субстратом является инфильтрация эозинофилами стенок пищевода, желудка, кишечника. Патогенез до сих пор остается предметом дискуссий.
Предполагается, что у наследственно предрасположенных лиц воздействие пищевых аллергенов на слизистую оболочку вызывает активацию антиген-презентирующих клеток (Т-лимфоцитов), вырабатывающих интерлейкины и эотаксин-3. В результате этого происходит миграция эозинофилов и инфильтрация ими слизистой оболочки органов ЖКТ. Эозинофильный лейкоцитоз обычно легкий и наблюдается только во время выраженного обострения заболевания. Высокая концентрация эозинофилов в биоптате слизистых, напротив, встречается постоянно.
Эндокринопатии
Некоторые гормоны, например, глюкокортикостероиды (гормоны коры надпочечников), стимулируют апоптоз (запрограммированную клеточную гибель) эозинофилов. Поэтому заболеваниям, сопровождающимся снижением уровня глюкокортикостероидов, сопутствует эозинофилия. К таким патологиям относятся первичная надпочечниковая недостаточность (болезнь Аддисона), врожденная дисфункция коры надпочечников, а также множественные эндокринопатии, такие как синдром Шмидта, пангипопитуитаризм. Степень эозинофилии легкая. Количество эозинофилов быстро нормализуется после введения глюкокортикоидов.
Иммунодефицитные состояния
Эозинофилия встречается при, так называемых, первичных иммунодефицитах - тяжелых болезнях с высокой летальностью, обусловленных генетическим дефектом одного или нескольких компонентов иммунной системы (клеточных, гуморальных реакций, фагоцитоза и пр.). Такими заболеваниями являются синдром Вискотта-Олдрича и синдром Джоба (гипер-IgE-синдром). Эозинофилия, вероятно, связана с аномальной гиперпродукцией иммуноглобулина Е. Уровень эозинофилов в тканях и крови очень высокий (до 60%), не поддается коррекции.
Злокачественные новообразования
Некоторые опухоли, особенно аденокарциномы легких, органов пищеварительной и мочеполовой системы, имеют способность к выработке эозинофильного хемотаксического фактора, стимулирующего костномозговую продукцию эозинофилов. При таких заболеваниях эозинофильный лейкоцитоз нарастает медленно, достигает высоких значений (до 20-40%). Концентрация эозинофилов периферической крови возвращается к норме после долгой химиотерапии или хирургического удаления злокачественного образования.
Эозинофилия выявляется при подсчете лейкоцитарной формулы клинического анализа крови. Так как спектр патологий, сопровождающихся эозинофилией, довольно широк, при впервые выявленных изменениях в анализах необходимо обратиться к врачу-терапевту. Для подтверждения заболевания, вызвавшего эозинофилию, с учетом клинических и анамнестических данных назначается обследование, которое может включать:
- Анализы крови. Определяется уровень эритроцитов, лейкоцитов, тромбоцитов. Проверяется наличие специфических антител к гельминтам, грибкам, антицитоплазматических антител (ANCA), концентрация некоторых гормонов (кортизола, паратгормона, эстрогенов, андрогенов). Проводится генетическое исследование на первичные иммунодефициты, а также иммунофенотипирование, иммуногистохимический анализ клеток крови для обнаружения специфических опухолевых антигенов (CD-маркеров).
- Аллергодиагностика. Для выявления аллергена выполняются различные аллергопробы - кожные (скарификационные, аппликационные, прик-тесты), провокационные (назальные, ингаляционные, конъюнктивальные), прямой и непрямой базофильный тесты. Методом ИФА измеряется уровень иммуноглобулина E (IgE).
- Исследование мокроты. Осуществляется микроскопическое исследование мокроты для изучения клеточного состава (количества эозинофилов, наличия кристаллов Шарко-Лейдена, спиралей Куршмана), выявления личинок гельминтов. Проводится бактериологический, микологический посев мокроты с определением чувствительности к антибактериальным и противогрибковым препаратам.
- Рентгенологические исследования. Одним из наиболее информативных методов диагностики легочных эозинофилий считается рентгенография грудной клетки. На снимках обнаруживаются летучие (мигрирующие) эозинофильные инфильтраты в виде участков затемнения. При аллергическом бронхолегочном аспергиллезе могут быть видны бронхоэктазы, фиброз верхних отделов легких.
- Эндоскопия. При подозрении на эозинофильное поражение органов желудочно-кишечного тракта проводятся фиброгастродуоденоскопия и фиброколоноскопия со взятием биопсийного материала. Для морфологической картины, помимо эозинофильной инфильтрации, характерен фиброз собственной пластинки слизистой оболочки.
- Спирометрия. При поражении дыхательной системы выполняется оценка функции внешнего дыхания. Измеряется степень проходимости бронхов мелкого и среднего калибра, растяжимость легочной ткани. Для пациентов с бронхиальной астмой типично уменьшение объема выдыхаемого воздуха (индекс Тиффно) и улучшение дыхательной функции после фармакологической пробы с сальбутамолом. При легочных эозинофилиях наблюдается снижение жизненной емкости легких.
- Гистология. С целью подтверждения синдрома Черджа-Стросса берется биопсия легкого. Отмечаются периваскулярные эозинофильные инфильтраты. Для изучения морфологической картины костного мозга (в случае подозрения на лейкоз) прибегают к стернальной пункции и трепанобиопсии. Обнаруживаются гиперплазия гранулоцитарного ростка кроветворения, гиперклеточность за счет эозинофильных миелобластов.

Коррекция
Самостоятельная коррекция эозинофилии невозможна. Для нормализации уровня эозинофилов необходимо бороться с причиной. Если эозинофилия легкая, связана с приемом ЛС или вакцинацией либо приходится на период реконвалесценции - беспокоиться не стоит. Нужно понаблюдать кровь в динамике через 7-10 дней. При обнаружении стойкой или высокой эозинофилии в анализе крови следует обратиться к специалисту, чтобы тот на основании осмотра, жалоб, анамнеза провел диагностический поиск этиологического фактора и назначил соответствующее лечение. Для терапии большинства болезней, сопровождающихся эозинофилией, используются лекарственные препараты из группы антигистаминных средств или глюкокортикостероидов.
Прогноз
Только по одному лишь эозинофильному лейкоцитозу в крови невозможно предсказать риск возникновения тех или иных последствий для здоровья и жизни человека. Прогноз всегда определяется основным заболеванием и своевременностью его диагностирования - он может варьироваться от благоприятного при аллергическом конъюнктивите до высокой вероятности летального исхода при злокачественных новообразованиях или миелопролиферативных патологиях. Поэтому любое превышение референсных значений эозинофилов в клиническом анализе крови требует тщательного обследования для установления причины.
2. Дифференциальный диагноз внутренних болезней: Алгоритмический подход/ Хили П.М., Джекобсон Э.Дж. - 2014.
4. Синдромная диагностика и базисная фармакология заболеваний внутренних органов. В 2 томах, т. 2/ под ред. Г.Б. Федосеева, Ю.Д. Игнатова. - 2004.
Эозинофилия - лечение в Москве

Комментарии к статье
Да, интересно пришли к адекватному результату. У нас врачи даже особо не заинтересовались этой патологией-я поняла, что найти истинную причину очень сложно-почти что пальцем в небо. Или лечить одновременно все возможные причинные направления.
Читайте также:
- Гиперкалиемический дистальноканальцевый ацидоз
- Запуск агрессивно-оборонительных реакций. Холинергическая природа триггера агрессивно-оборонительных реакций
- Диагностика поражений сердца при тиреотоксикозе. Дифференциация поражений сердца при тиреотоксикозе
- Острые и подострые параинфекционные мозжечковые атаксии у детей
- Диагностика эпидермоидной кисты мостомозжечкового угла и внутреннего слухового прохода (ММУ-ВСП) по КТ, МРТ
