Диагностика эпидермоидной кисты мостомозжечкового угла и внутреннего слухового прохода (ММУ-ВСП) по КТ, МРТ
Добавил пользователь Евгений Кузнецов Обновлено: 28.11.2025
Слух является базовым чувством человека, поэтому его снижение может существенно ухудшить качество жизни. Если причина дискомфорта или потери слуха локализована глубже ушной раковины и наружного слухового прохода, диагностика заболевания затрудняется. Визуализировать то, что по сути находится внутри черепной коробки, помогает МРТ уха — современный способ диагностики, результатом которого становится серия снимков. На них помимо структур органа слуха хорошо видны сосуды, нервы, а также часть вещества головного мозга и мягких тканей, прилегающих к исследуемой области. В зависимости от вида процедуры томография покажет врожденные или приобретенные дефекты, воспаления, последствия травм, а также доброкачественные и злокачественные опухоли.
Какие заболевания покажет МРТ уха?
В диагностической практике магнитно-резонансную томографию используют для выявления патологий мягких тканей, в которых содержится много водорода. Только они хорошо визуализируются во время магнитно-ядерного резонанса и отображаются на снимках в виде черно-белых картинок, которые являются срезами обследуемых частей тела. Поэтому в список, что показывает МРТ среднего уха и внутренних отделов органа входят:
наружный и внутренний слуховой проход;
черепно-мозговые нервы и сосуды в области мосто-мозжечкового угла;
мозжечковые углы и частично полушарие головного мозга.
Также на снимках видны контуры костных тканей, но из-за малого содержания в них водорода снимок не показывает точно их структуру. При использовании контраста процедура становится более информативной. На снимках становятся четко видны сосуды и опухоли. Поэтому такой метод исследования используется для выявления следующих патологических процессов:
воспалительные заболевания среднего и внутреннего уха — отит, лабиринтит и другие;
гнойные процессы и кровоизлияния, скопления экссудата в среднем и внутреннем ухе;
гиперплазии и дисплазии костных структур и мягких тканей;
врожденная или приобретенная деформация, разрушение костей в области обследования;
доброкачественные и злокачественные опухоли уха — невриномы, холестеатомы;
доброкачественные новообразования а мостомозжечковом угле в виде полостей, заполненных мертвым эпителием;
механические повреждения лицевого и тройничного нервов;
инородные тела в ушном проходе;
вазоневральные и нейроваскулярные нарушения.

МРТ головного мозга. В аксиальной плоскости отмечается повышение интенсивности МР-сигнала в области ячеек сосцевидного отростка левой височной кости (круг) вследствие ранее перенесенных воспалительных изменений.
Особо ценным это обследование считается при подозрении на опухоли непосредственно в органах слуха, а также находящиеся в отделах головного мозга, отвечающих за анализ и расшифровку звуковых сигналов, или костных структурах височной части черепа. Магнитно-резонансная томография позволяет увидеть даже незначительные изменения, отличить доброкачественные опухоли от злокачественных. Эти данные очень важны для врача, так как они помогают подобрать эффективные схемы лечения.
Показания к МРТ уха
Назначить магнитно-резонансной обследование органов слуха может ЛОР-врач или невролог. Основными показаниями к проведению процедуры считаются состояния, указывающие на нарушение функций структур среднего и внутреннего уха:
устойчивое или периодическое снижение чувствительности слуха;
систематические или постоянно сохраняющиеся шумы в ушах — звон, щелчки, шипение, равномерный низкий гул и т. п.;
постоянная тупая или повторяющаяся регулярно острая боль в ушах или в голове в височной части;
ощущение заполнения уха воздухом или жидкостью (заложенность);
регулярные или периодические головокружения, потеря способности сохранять равновесие при ходьбе или неспособность определить положение тела в пространстве с закрытыми глазами;
выделение из наружного слухового прохода гнойной или кровянистой жидкости.
Также рекомендуется проводить сканирование уха при наличии симптомов, указывающих на повреждения лицевых и слуховых нервов, патологий височно-нижнечелюстного сустава, которые выражаются нарушениями мимики, жевательных функций и речи. Также причиной направления на МРТ могут стать врожденные аномалии развития органов слуха, такие как деформация или отсутствия ушных раковин, отсутствие у ребенка реакции на звуки.
Как проходит МРТ внутреннего и среднего уха?
МРТ внутреннего и среднего уха не требует особой подготовки. Единственная ситуация, когда пациенту потребуется немного изменить режим питания — сканирование с контрастом. В этом случае рекомендуется воздержаться от употребления тяжелой пищи (жирной, долго перевариваемой, плотной) за несколько часов до обследования. Это поможет избежать тошноты во время введения препарата.

МРТ головного мозга. На мрт в аксиальной плоскости отмечается объемное образование внутреннего слухового прохода слева (стрелка), с четкими и неровными контурами, деформирующее окружающие структуры. После внутривенного введения парамагнитного контрастного вещества отмечается интенсивное и неоднородное его накопление образованием (изображение справа) — невринома.
Перед началом процедуры проводится предварительный опрос пациента, в ходе которого врачом выявляются возможные противопоказания к диагностике таким способом. К ним относятся:
наличие металлических зубных имплантатов;
наличие на кровеносных сосудах головного мозга металлических клипс, установленных для остановки кровотечения;
наличие металлических пластин или скоб, фиксирующих кости черепа;
подозрение на присутствие инородных тел из ферромагнитных металлов внутрь уха.
Перед тем, как делать сканирование, врач попросит пациента снять с тела предметы, которые могут намагничиваться: металлические украшения, аксессуары, одежду с молниями, пуговицами и кнопками из металла, съемные зубные протезы и пирсинг. Также нужно оставить в приемном покое кошелек с банковскими картами, флешки и мобильный телефон, так как они могут выйти из строя под действием магнитного поля. После этого обследуемого укладывают на подвижный стол томографа, его голову помещают в специальную рамку, фиксируют ее валиками и ремнями для исключения случайных движений и смазывания картинки. При необходимости вводят больному внутривенно контрастный препарат.
Для того, чтобы сделать МРТ, врач покидает помещение и наблюдает за процессом из смежной комнаты. Он поддерживает контакт с пациентом через громкую связь. Последний может инициировать прекращение сканирования, если появился дискомфорт. Для этого достаточно нажать кнопку экстренной связи на пульте, который ему дают перед процедурой.
В среднем стандартное без контрастирования сканирование занимает не больше четверти часа. После получения серии снимков пациенту могут ввести контраст и делают повторные снимки. Это удлиняет процедуру МРТ еще на 15-20 минут. По окончании сеанса пациент может сразу покинуть клинику или в течение 1-2 часов подождать результаты обследования.
Расшифровка снимков МРТ внутреннего уха
Расшифровкой того, что показывает МРТ внутреннего уха или его среднего отдела, занимается врач-рентгенолог, проводивший обследование. В заключении он указывает, что именно изображено на снимках, а также делает на них пометки: на цифровых делает метки в виде стрелок, контуров и точек, которые сохраняются и на распечатанных фото. При необходимости, если это указано в направлении, серии снимков сохраняются в формате видео. Иногда, если это необходимо для более точной оценки патологии, с помощью специальной программы создается трехмерная модель отдельных структур среднего и внутреннего уха, которую можно рассматривать под любым углом.
В расшифровках снимка по стандартам указывается:
состояние височной кости, нижнечелюстного сустава, их соответствие нормам, а при наличии аномалий указывается их расположение, степень распространения и природа (перелом, скол, опухоль или метастаз);
состояние слухового прохода, отсутствие или наличие в нем секрета, инородных предметов, признаков воспалений, гнойных полостей и выделений, аномалий строения;
состояние структур внутреннего уха — нервов, кровеносных сосудов и мягких тканей, с указанием их соответствия или несоответствия нормам, при наличии опухолей, воспалений и других аномалий указывается их локализация, степень развития, взаимодействие с окружающими тканями и т. д.
При использовании контраста дополнительно описываются первичные и вторичные злокачественные новообразования, оценивается динамика кровоснабжения этих новообразований и вестибулярного аппарата.
Что лучше МРТ или КТ уха?
Диагностика с помощью МРТ и КТ может показаться одинаковой, однако они отличаются по принципу воздействия на ткани и результатам. В ходе МР-томографии лучше визуализируются нервы, слизистые оболочки, кровеносные сосуды, мозговые ткани, а костные остаются фактически невидимыми. Лучше всего МРТ выявляет злокачественные опухоли. Компьютерная томография, использующая рентгеновское излучение, детально показывает состояние костей, а мягкие ткани на снимках визуализируются недостаточно четко.
В чем отличия КТ и МРТ:
Противопоказания — у КТ их больше, чем у МРТ, так как рентген противопоказан детям, беременным на любом сроке, кормящим женщинам. МРТ не проводят, если в теле пациента есть металлические элементы, в том числе несъемные зубные протезы, кардиостимуляторы или инородные тела, осколки и т. д.
Частота проведения процедур — КТ делают не чаще 2 раз в год, МРТ можно делать без ограничений.
Точность картинки — КТ незаменим для диагностики патологий костной ткани и косточек среднего и внутреннего уха. МРТ более информативен для выявления заболеваний нервов, сосудов, мягких тканей.
Это значит, что оба метода хорошо дополняют, но не заменяют друг друга. Когда врач подозревает, что неприятные симптомы являются следствием изменений нервов или структур, состоящих из мягких тканей, делают МРТ. Если же предварительное обследование указывает на аномалии костной ткани, делают КТ.
Кисты головного мозга и их диагностика
МРТ головного мозга. Т2-взвешенная аксиальная томограмма. Арахноидальная киста. Цветовая обработка изображения.
Кисты головного мозга в большинстве своем относятся к аномалиям развития. Некоторые образования, возникшие на почве нарушения развития, имеют сходные с кистами черты.
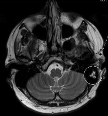
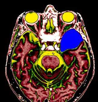
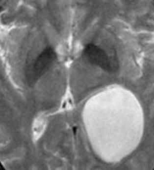
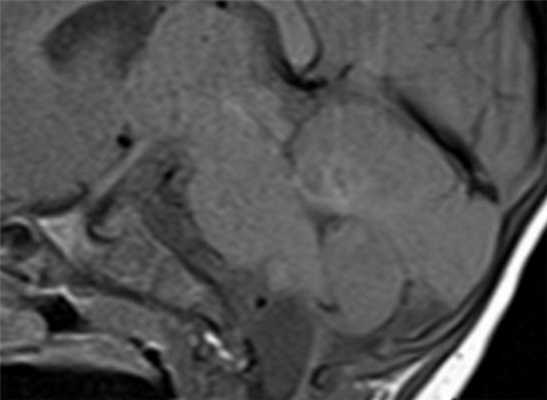
Эпидермоидные кисты (эпидермоиды) - доброкачественные врождённые образования. Они происходят из эктопических эпидермальных клеток и развиваются в период закрытия, в 3-5 нед. эмбриогенеза, как следствие неполного разделения нейрональной и покровной эктодермы. Частота составляет около 1% от внутричерепных образований. Обычно диагностируются в возрасте 25 - 45 лет. Локализация эпидермоидов может быть любой, но типичная - мосто-мозжечковый угол (третье по частоте образование этой области), предмостовая цистерна, параселлярная область, четверохолмие и желудочковая система, очень редко в полушариях, спинном мозге и интрадиплоидно. Растут они интра- или экстрадурально, экспансивно, медленно, сдавливая ствол мозга, внутричерепные нервы, но не разрушая кость. Иногда захватывают сосуды и нервы. По характеру роста их можно отнести к опухолевидным образованиям. Вокруг эпидермоидов нередко развивается асептическое воспаление, а при разрыве содержимое (жир, кератин) прорывается в ликворные пространства. Клинические проявления зависят от локализации и масс-эффекта.
При МРТ головного мозга картина неспецифическая и зависит от содержимого кисты. Если она не содержит жира, то имеет ликворную интенсивность сигнала . В таком случае эпидермоидная киста трудно отличима от арахноидальной, хотя, как правило, не столь однородная. На МРТ типа FLAIR и диффузионно-взвешенных МРТ изображениях содержимое эпидермоидов светлее ликворного. Жировое содержимое, такие эпидермоиды еще называют холестеатомой, приводит к высокому сигналу на Т1-взвешенных МРТ головного мозга. Видимо, он обусловлен липидами, но не холестеролом. На Т2-взвешенных МРТ головного мозга он менее интенсивен чем ликвор. Контуры эпидермоидов всегда четкие. Холестеатомы составляют всего 3-5% от эпидермоидов. В 15-20% случаев встречается кальцификация по переферии кисты. Редко наблюдается контрастирование стенок.
МРТ головного мозга. Т1-взвешенные корональная и сагиттальная МРТ. Эпидермоидная киста левой височной доли.
Дермоидные кисты встречаются реже эпидермоидных, составляя около 0,3 % от внутричерепных образований. Обычно выявляются в возрасте между 10 и 20 годами. Морфологически от эпидермоидов их отличает наличие эктодермальных элементов - волосяных фолликулов, потовых желёз и т.д. Типично они расположены по средней линии (в отличие от эпидермоидов, которые чаще внеосевые): в супраселлярной цистерне, субфронтально, вокруг моста и, очень редко парапиниально, периорбитально, в IV желудочке, в области конского хвоста и интрадиплоидно. От эпидермоидных кист на МРТ головного мозга их отличает только выраженная неоднородность структуры, кроме того, они всегда яркие на Т1-взвешенных МРТ головного мозга за счёт большого содержания липидов. При разрыве и прорыве в субарахноидальное пространство в нём появляется уровень, на Т1-взвешенных МРТ головного мозга светлый жир плавает на ликворе.
Липома представляет собой скопление в субарахноидальном пространстве зачаточных жировых клеток с примесью коллагена. Происходят липомы из остатков примитивной эмбриональной оболочки. Эта мальформация оболочек мозга связана с нарушением дифференцировки мезенхимы на мягкую мозговую оболочку и субарахноидальное пространство. Частота липомы составляет менее 0.5% от внутричерепных образований. Обычно липомы локализуется в мозолистом теле, в межполушарной щели, воронке гипофиза и гипоталамусе, реже вокруг червя мозжечка и пластины четверохолмия и мосто-мозжечковом углу и Липомы мозолистого тела сочетаются с его агенезией и в 60% случаев с распространением на сосудистое сплетение. При МРТ головного мозга липома четко очерчена, без отека вокруг и масс-эффекта, кость не разрушает. Структура образования чаще однородная, жировой интенсивности сигнала - то есть выраженно гиперинтенсивная на Т1-взвешенных МРТ и немного менее интенсивная по отношению к ликвору на Т2-взвешенных МРТ. Иногда встречаются неоднородные липомы с участками низкого сигнала от кальцинатов и сосудов, проходящих ее насквозь. При сомнениях в диагнозе надо выполнить МРТ головного мозга с подавлением жира или можно сделать КТ. На КТ липома всегда резко гиподенсна и может содержать включения кальция.

МРТ головного мозга. Сагиттальная Т1-взвешенная МРТ. Липома мозолистого тела.
Эпендимальные кисты встречаются очень редко. Они представляют собой врождённую отшнуровку внутри желудочков или цистернах . На МРТ головного мозга контур кисты четкий, сигнал ликворной интенсивности или чуть светлее за счет отсутствия пульсации и примеси белка, структура однородная. В отличие от кист прозрачной перегородки она не расщеплена, а смещена.
Арахноидальные кисты представляют собой скопление ликвора между листками расщепленной паутинной оболочки. Арахноидальная киста обычно не сопровождается другими мальформациями. Незначительная часть арахноидальных кист имеет приобретенное происхождение - следствие лептоменингита, операции или кровоизлияния. Частота составляет около 1% от внутричерепных образований. Соотношение полов М:Ж, как 4:1. Типичная локализация - средняя черепная ямка (в области Сильвиевой борозды 50%), межполушарная щель, мосто-мозжечковый угол (11%), за скатом или на уровне четверохолмия (10%), в области червя мозжечка (9%), реже в области межножковой и предмостовой цистерн (3%), а также супраселлярной и хиазмальной цистерн. Ретроцеребеллярная арахноидальная киста довольно часто встречаются за мозжечком и отличима от mega cisterna только по неизменённой задней черепной ямке. Содержимое кисты чисто ликворное, стенки гладкие, чётко очерченные, внутри кисты могут быть перегородки. Мелкие арахноидальные кисты очень трудно увидеть. Меняя ширину окна и его уровень на Т1-взвешенных МРТ изображениях можно заметить, что киста чуть светлее ликвора. Дифференциальная диагностика с эпидермальными кистами лучше осуществляется с помощью МРТ последовательности FLAIR. Эпидермальные кисты становятся яркими, в отличие от гипоинтенсивных арахноидальных.
Нейроглиальные (нейроэпителиальные) кисты - врождённые кисты различной этиологии, локализующиеся в паренхиме мозга или в области сосудистого сплетения желудочков. Обычно округлые, с гладкими стенками. Очень часто такие кисты сочетаются с аномалиями развития: отсутствием прозрачной перегородки и полимикрогирией. При МРТ головного мозга содержимое кист ликворное, иногда с небольшой примесью белка.
Коллоидная киста - это врождённое нейроэпителиальное образование. Коллоидная киста выстлана эпителием и имеет фиброзную капсулу. Она составляют около 1-2% объемных внутричерепных образований. Обычно диагностируются в возрасте между 30 и 50 годами. При МРТ головного мозга видно, что киста всегда расположена в переднее-верхнем отрезке III желудочка между отверстиями Монро. Контур ее четкий, форма округлая, содержимое бывает неоднородное. Размер от 3 мм до 4 см, при больших размерах она закрывает отверстия Монро и вызывает окклюзионную гидроцефалию. Сигнал зависти от примеси белка к ликвору. При наличии белкового мукоидного содержимого киста гиперинтенсивна на Т1-взвешенных МРТ и гипоинтенсивна на Т2-взвешенных МРТ, но встречаются варианты гиперинтенсивные на томограммах обоих типов кольцевидные или смешанные . Контрастирования не наблюдается.
КТ и МРТ головного мозга. Коллоидная киста III желудочка.
Киста кармана Ратке представляет собой редко встречающееся образование из остатков эмбриональной эктодермы (щель Ратке), расположенное между долями гипофиза. Выявляется в любом возрасте, но чаще в 50-60 лет. Клинические проявления связаны с масс-эффектом. При головного мозга выявляется небольшая (3-5 мм) киста с четким контуром, без отека вокруг, однородная по структуре. Сигнал зависит от содержимого. При серозном содержимом сигнал типично жидкостный, при мукоидном киста светлая на Т1-взвешенных МРТ. В редких случаях киста достигает больших размеров и даже выходит за пределы седла. Стенка кисты иногда усиливается при контрастировании.
МРТ головного мозга. Т2-взвешенная корональная МРТ. Киста кармана Ратке.
Пинеальная киста расположена в проекции шишковидной железы. Встречается с частотой 4-11%. Размеры обычно не превышают 1 см, но изредка встречаются больших размеров. В таких случаях она вызывает окклюзионную гидроцефалию. При головного мозга она имеет все признаки кисты с примесью белка в жидкости, то есть немного светлая на Т1-взвешенных. Изредка встречается геморрагическое содержимое. Киста может контрастироваться по периферии.

МРТ головного мозга. Сагиттальная Т1-взвешенная МРТ. Пинеальная киста.
Кисты средней линии - киста прозрачной перегородки (cavum septi pellucidi), полость Верге (cavum Vergae) и киста промежуточного паруса (cavum veli interpositi) - являются нормальными структурами головного мозга плода. В течение 6 месяцев после рождения у большинства людей они запустевают, но могут и сохраниться, визуализируясь при этом на МРТ головного мозга. По-видимому, эти полости не имеют клинического значения и относятся к случайным находкам при томографии. Киста прозрачной перегородки (еще называют V желудочком) является медиальной стенкой боковых желудочков и ограничена спереди коленом мозолистого тела, сверху мозолистым телом и сзади столбами свода . Полость Верге представляет собой продолжение кисты прозрачной перегородки кзади и расположена между телами желудочков . Обычно обе кисты сочетаются. Киста промежуточного паруса расположена в крыше III желудочка (tela choroidea), между треугольниками боковых желудочков на уровне отверстий Монро. Она ограничена сверху мозолистым телом, cзади цистерной четверохолмия и снизу III желудочком.
При МРТ в СПб мы обращаем внимание на возможность не только врожденных, но и редких состояний, к которым относятся приобретенные кисты головного мозга, причиной которых могут быть:
- последствия ОНМК
- опухолевые кисты
- паразитарные кисты

МРТ головного мозга. Корональная Т1-взвешенная МРТ. Многокамерные эхинококковые кисты.
Кисты головного мозга одинаково хорошо видны в высоких полях и низкопольных открытых МРТ. МРТ СПб дает место выбора выполнения МРТ.
МРТ и КТ при нарушении слуха
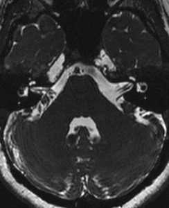
МРТ головного мозга. Слуховые нервы в норме. Цветовая обработка изображения.
Нарушение слуха (тугоухость) может быть сенсоневральная - в связи с повреждением внутреннего уха, внутреннего слухового прохода, мосто-мозжечкового ушла и вестибулокохлеарного нерва.
- Во внутреннем ухе отосклероз или травматическое повреждение височной кости, редко - врожденные недоразвития улитки (дисплазия Мондини), полукружных каналов, вестибулярного водопровода
- В мембранной части лабиринта - лабиринтит (инфекционное поражение), в том числе и склерозирующий, внутриулитковая Шваннома(невринома), болезнь Меньера (гипоплазия водопровода)
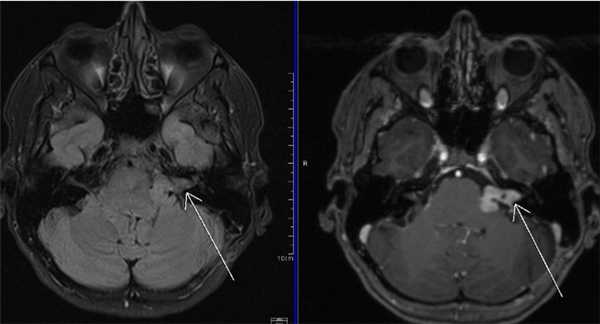
- Внутренний слуховой проход и мостомозжечковый угол - шваннома 8 нерва, менингиома височной кости, эпидермоидные (холестеатомы) и арахноидальные кисты, редко - гломусная тимпаническая опухоль.
Вестибулокохлеарный нерв (VIII) состоит из 4 пучков. Опухоли происходят обычно из вестибулярной его части. Шваннома - инкапсулированная доброкачественная (градация 1) опухоль, происходящая из дифференцированных неопластических шванновских клеток оболочек периферических нервов. Невриномы ММУ составляют около 3% опухолей головного мозга. Часть шванном (двухсторонние слуховых нервов) связана с НФ 2 типа. Пик частоты между 40 и 60 годами. Растут медленно и крайне редко малигнизируются. Клинические проявления связаны с нарушением функции нерва и компрессией ствола. Шваннома может происходить из любого отрезка по ходу нерва и хорошо прослеживается при МРТ области ММУ. Невринома видна как на Т2-взвешенных, так и на Т1-взвешенных МРТ в виде округлого образования. Невриномы хорошо и равномерно усиливаются после МРТ с введением контрастного вещества. Невриномы области цистерны могут иметь компонент во внутреннем слуховом проходе, особенно, хорошо видимый при МРТ головного мозга с контрастированием. Изредка встречаются невриномы полностью расположенные внутри канальца. Они составляют наибольшую диагностическую сложность при МРТ, требуют тонких срезов и контрастирования. Менингиомы ММУ обычно типично расположены и при МРТ имеют характерную форму и типичные черты при МРТ с контрастированием. Однако редко встречаются внутриканальцевые менингиомы. При МРТ они неотличимы от неврином. Холестеатомы при МРТ имеют смешанную интенсивность сигнала, в зависимости от их содержимого. На диффузионно-взвешенных МРТ холестеатомы обычно яркие.
МРТ головного мозга. Аксиальная Т2-взвешенная МРТ. Фрагмент ММУ. Холестеатома слева.
МРТ головного мозга наиболее информативна в плане выявления опухолей мостомозжечкового угла и кист этой области. Некоторое патологии, такие как расширение водопровода и лабиринтит также хорошо видны при МРТ. КТ лучше демонстрирует состояние внутреннего уха.
КТ. Дисплазия Мондини.
КТ. Полная аплазия лабиринта.
КТ. Расширение и укорочение полукружного канала.

КТ. Болезнь Меньера.

КТ. Водопровод в норме (стрелка).
КТ. Увеличенный водопровод (стрелка).
МРТ головного мозга. Т2-взвешенная аксиальная МРТ мосто-мозжечкового угла. Увеличенный водопровод.
КТ. Хронический отит.
КТ. Хронический отит с кальцификацией барабанной перегородки.
КТ. Хронический отит с грануляциями на барабанной перегородке и эрозией стенки тимпанической полости.
При МРТ в СПб в наших клиниках мы при нарушении слуха считаем необходимым применение обоих методов.
МРТ кист головного мозга

МРТ головного мозга. Арахноидальная киста полюса левой височной доли. Цветовая обработка.
Кисты головного мозга - это аномалии его развития. При МРТ в СПб мы видим задачу в дифференциальной диагностике с кистозными формами опухолей. При МРТ головного мозга некоторые виды кист, особенно дермоидные, сами напоминают опухоль.
При МРТ головного мозга картина неспецифическая и зависит от содержимого кисты. Если она не содержит жира, топри МРТ головного мозга эпидермоидная киста имеет ликворную интенсивность сигнала. В таком случае эпидермоидная киста трудно отличима от арахноидальной, хотя, как правило, не столь однородная. На FLAIR томограммах и диффузионно-взвешенных МРТ головного мозга содержимое эпидермоидов светлее ликворного. Жировое содержимое, такие эпидермоиды еще называют холестеатомой, приводит к высокому сигналу на Т1-зависимых МРТ головного мозга. Видимо, он обусловлен липидами, но не холестеролом. На Т2-взвешенных МРТ головного мозга он менее интенсивен чем ликвор. Контуры эпидермоидов на МРТ всегда четкие. Холестеатомы составляют всего 3-5% от эпидермоидов. В 15-20% случаев встречается кальцификация по переферии кисты. Редко наблюдается усиление стенок кисты при МРТ головного мозга с контрастированием.

МРТ головного мозга. Т2-взвешенная аксиальная МРТ. Эпидермоидная киста в области предмостовой цистерны слева.
Дермоидные кисты встречаются реже эпидермоидных, составляя около 0,3 % от внутричерепных образований. Обычно выявляются в возрасте между 10 и 20 годами. Морфологически от эпидермоидов их отличает наличие эктодермальных элементов - волосяных фолликулов, потовых желёз и т.д. Типично они расположены по средней линии (в отличие от эпидермоидов, которые чаще внеосевые): в супраселлярной цистерне, субфронтально, вокруг моста и, очень редко парапинеально, периорбитально, в IV желудочке, в области конского хвоста и интрадиплоидно. От эпидермоидных кист на МРТ головного мозга их отличает только выраженная неоднородность структуры, кроме того, они всегда яркие на Т1-зависимых МРТ головного мозга за счёт большого содержания липидов. При разрыве и прорыве в субарахноидальное пространство в нём появляется уровень, на Т1-зависимых МРТ головного мозга светлый жир плавает на ликворе.

МРТ головного мозга. Т1-взвешенная аксиальная МРТ. Прорыв дермоидной кисты в субарахноидальное пространство.
Эпендимальные кисты встречаются очень редко. Они представляют собой врождённую отшнуровку внутри желудочков или цистернах. При МРТ головного мозга контур кисты четкий, сигнал ликворной интенсивности или чуть светлее за счет отсутствия пульсации и примеси белка, структура однородная. В отличие от кист прозрачной перегородки при МРТ головного мозга видно, что она не расщеплена, а смещена.

МРТ головного мозга. Т2-взвешенная аксиальная МРТ. Эпендимальная киста.
Арахноидальные кисты представляют собой скопление ликвора между листками расщепленной паутинной оболочки. Арахноидальная киста обычно не сопровождается другими мальформациями. Незначительная часть арахноидальных кист имеет приобретенное происхождение - следствие лептоменингита, операции или кровоизлияния. Частота составляет около 1% от внутричерепных образований. Соотношение полов М:Ж, как 4:1. Типичная локализация - средняя черепная ямка (в области Сильвиевой борозды 50%), межполушарная щель, мосто-мозжечковый угол (11%), за скатом или на уровне четверохолмия (10%), в области червя мозжечка (9%), реже в области межножковой и предмостовой цистерн (3%), а также супраселлярной и хиазмальной цистерн. В зависимости от размера предложено делить кисты на 3 типа (Galassi, 2006), что однако, не имеет практического значения. Ретроцеребеллярная арахноидальная киста довольно часто встречаются за мозжечком и отличима от mega cisterna только по неизменённой задней черепной ямке. При МРТ головного мозга содержимое кисты чисто ликворное, стенки гладкие, чётко очерченные, внутри кисты могут быть перегородки. Мелкие арахноидальные кисты очень трудно увидеть при МРТ головного мозга. Меняя ширину окна и его уровень на Т1-зависимых МРТ изображениях можно заметить, что киста чуть светлее ликвора. Дифференциальная диагностика с эпидермальными кистами лучше осуществляется с помощью МРТ последовательности FLAIR. На них при МРТ головного мозга эпидермальные кисты становятся яркими, в отличие от гипоинтенсивных арахноидальных. Вероятно, вариантом арахноидальной кисты является нейроэпителиальная киста, которая при МРТ головного мозга имеет типичное расположение в области хориоидальной щели.

МРТ головного мозга. Т1-взвешенная сагиттальная МРТ. Арахноидальная киста в области большого затылочного отверстия.
Порэнцефалические кисты - врождённые кисты различной этиологии, локализующиеся в паренхиме мозга или в области сосудистого сплетения желудочков.При МРТ головного мозга они обычно округлые, с гладкими стенками. Очень часто такие кисты сочетаются с аномалиями развития: отсутствием прозрачной перегородки и полимикрогирией. Содержимое порэнцефалической кисты при МРТ головного мозга ликворное, иногда с небольшой примесью белка.
Коллоидная киста - это врождённое нейроэпителиальное образование. Коллоидная киста выстлана эпителием и имеет фиброзную капсулу. Она составляют около 1-2% объемных внутричерепных образований. Обычно диагностируются в возрасте между 30 и 50 годами. Всегда расположена в переднее-верхнем отрезке III желудочка между отверстиями Монро. Контур ее четкий, форма округлая, содержимое бывает неоднородное. Размер от 3 мм до 4 см, при больших размерах она закрывает отверстия Монро и вызывает окклюзионную гидроцефалию. Сигнал зависти от примеси белка к ликвору. При наличии белкового мукоидного содержимого киста гиперинтенсивна на Т1-взвешенных МРТ головного мозга и гипоинтенсивна на Т2-взвешенных МРТ, но встречаются варианты гиперинтенсивные на МРТ головного мозга обоих типов взвешенности кольцевидные или смешанные. При МРТ головного мозга с контрастированием усиления сигнала не наблюдается.
Киста кармана Ратке представляет собой редко встречающееся образование из остатков эмбриональной эктодермы (щель Ратке), расположенное между долями гипофиза. Выявляется в любом возрасте, но чаще в 50-60 лет. Клинические проявления связаны с масс-эффектом. При МРТ головного мозга выявляется небольшая (3-5мм) киста с четким контуром, без отека вокруг, однородная по структуре. Сигнал на МРТ головного мозга зависит от содержимого. При серозном содержимом сигнал типично жидкостный, при мукоидном киста светлая на Т1-взвешенных МРТ головного мозга. В 70-80% случаев внутри кисты выявляется неконирастирующийся узелок («пятно») - признак патогномоничный для кисты кармана Ратке. В редких случаях киста достигает больших размеров и даже выходит за пределы седла. Стенка кисты иногда усиливается при МРТ головного мозга с контрастированием. Дифференциальная диагностика при МРТ головного мозга должна проводиться с арахноидадьной и эпидермоидной кистами, тератомой, кистозной аденомой гипофиза и краниофарингиомой. Иногда при МРТ головного мозга киста кармана Ратке напоминает “пустое” турецкое седло. При маленьких размерах кисты ее на до дифференцировать на МРТ с микроаденомой гипофиза.

МРТ головного мозга. Т1-взвешенная сагиттальная МРТ. Киста кармана Ратке.
Пинеальная киста расположена в проекции шишковидной железы. Встречается с частотой 4-11%. Размеры обычно не превышают 1 см, но изредка встречаются больших размеров. В таких случаях она вызывает окклюзионную гидроцефалию. При МРТ головного мозга она имеет все признаки кисты с примесью белка в жидкости, то есть немного светлая на Т1-зависимых МРТ. Изредка встречается геморрагическое содержимое. Киста может по усиливаться периферии при МРТ головного мозга с контрастированием.

МРТ головного мозга. Т1-взвешенная сагиттальная МРТ. Пинеальная киста.
Кисты средней линии - киста прозрачной перегородки (cavum septi pellucidi), полость Верге (cavum Vergae) и киста промежуточного паруса (cavum veli interpositi) - являются нормальными структурами головного мозга плода. В течение 6 месяцев после рождения у большинства людей они запустевают, но могут и сохраниться. По-видимому, эти полости не имеют клинического значения и относятся к случайным находкам при МРТ головного мозга . Киста прозрачной перегородки (еще называют V желудочком) является медиальной стенкой боковых желудочков и ограничена спереди коленом мозолистого тела, сверху мозолистым телом и сзади столбами свода. Полость Верге представляет собой продолжение кисты прозрачной перегородки кзади и расположена между телами желудочков (рис.105). Обычно обе кисты сочетаются. Киста промежуточного паруса расположена в крыше III желудочка (tela choroidea), между треугольниками боковых желудочков на уровне отверстий Монро. Она ограничена сверху мозолистым телом, cзади цистерной четверохолмия и снизу III желудочком.
Что показывает МРТ мосто-мозжечкового угла
Мостомозжечковый угол — это маленькая область в головном мозге человека, которая ограничивается мостом и продолговатым мозгом. В данной зоне пролегают черепно-мозговые нервные окончания (лицевой и преддверный нерв).
В случае развития у человека ряда патологических процессов (онкологические патологии, воспалительные заболевания и т.п.), в мостомозжечковом угле будут наблюдаться выраженные поражения нервов. Это может стать весомым поводом для обращения к врачу и назначения МРТ мосто мозжечкового угла.
Показания к МРТ мосто мозжечковых углов головного мозга
- Тромбоз артерий.
- Контроль состояния пациента после ранее перенесенного оперативного вмешательства на головном мозге.
- Патологические заболевания головного мозга.
- Инфекционные поражения ЦНС.
- Кровоизлияния в головном мозге.
- Подозрение на онкологические патологии.

- нарушение слуха;
- сильные головные боли;
- тошнота;
- нарушение вкуса;
- повышение температуры;
- нарушение чувствительности мышц лица;
- головокружение.
Особенности подготовки и проведения исследования
МРТ головного мозга не требует от пациента каких-либо серьезных подготовительных мер. Несмотря на это, перед процедурой человеку нужно будет снять все металлические предметы, в том числе украшения. МРТ мосто мозжечкового угла выполняется с помощью мощного томографа. При этом процедура сканирования должна иметь мощность воздействия магнитного поля не менее 1,5-2 Тл. Для получения максимально точной клинической картины, сканирование может выполняться в двух режимах. Общая длительность процедуры составляет 15-30 минут. В том случае, если у человека будут весомые показания, МРТ мосто мозжечковых углов ему может быть проведено с использованием контраста.
Расшифровка результатов
Расшифровкой результатов МРТ головного мозга занимается врач-диагност. При этом, наиболее часто у пациентов обнаруживаются онкологические патологии мостомозжечкового угла и нарушения кровообращения в сосудах. Информация о результатах, а также заключение о проведенном МРТ головного мозга, выдается пациенту спустя полчаса после процедуры. На снимках человек получит изображение структур головного мозга. Лечебная терапия при этом будет подбираться исходя из результатов МРТ. Заниматься самолечением при этом недопустимо.
Преимущества МРТ мосто мозжечковых углов головного мозга
Современное МРТ головного мозга — это один из наиболее информативных методов диагностики онкологических процессов в данной зоне. Главными преимуществами МРТ является максимально высокая точность процедуры, безопасность, а также быстрый результат. В том случае, если человек не имеет возможности выполнить МРТ, в качестве альтернативы данному исследованию ему может быть назначена компьютерная томография. Следует отметить, что диагностика МРТ просто незаменима в современной нейрохирургии, в особенности, при обследовании патологий слуховых органов пациентов и их мосто-мозжечковых областей. С помощью МРТ можно выявить даже малейшие нарушения в структуре слухового прохода, которые не способны диагностировать другие исследования.
Читайте также:
- Вредные последствия возрастающего внутрибрюшного давления.
- Образование протодиастолического митрального шума. Пресистолический шум сердца
- Аспергиллома и туберкулома легкого. Признаки аспергилломы легкого.
- Уход после операции гемиартропластики плечевого сустава с биологическим протезированием суставной поверхности лопатки
- Гистиоцитарная реакция при пневмониях. Типы пневмонических процессов
