Синдром Клиппеля-Фельдстейна (Klippel-Feldstein) - синонимы, авторы, клиника
Добавил пользователь Евгений Кузнецов Обновлено: 28.01.2026
Большое значение в развитии заболеваний позвоночника имеют те или иные аномалии развития или приобретенные изменения со стороны позвоночника. К врожденным аномалиям позвоночника относятся: незаращение дужки позвонка (Spina bifida), сакрализация, люмбализация, спондилолистез (соскальзывание позвонка вперед или назад).
Эти аномалии развития позвоночника не являются сами по себе факторами, травмирующими нервные корешки, а могут указывать на какие-либо дефекты развития в самой нервной ткани и свидетельствовать об общем дизрафическом статусе пациента.
Варианты развития позвоночника имеют значение для снижения его статической устойчивости. Поясничный отдел позвоночника несет на себе тяжесть выпрямленного туловища. Это наиболее подвижная часть позвоночника, в связи с чем поясница у человека чаще всего подвержена воздействию травмирующих факторов.
Синдром короткой шеи (Клиппеля-Файля)
Дефекты развития позвоночника чаше встречаются в шейном и пояснично-крестцовом отделах. В шейном отделе наряду с окципитализацией атланта и смешением CI позвонка по отношению к CII позвонку можно наблюдать синдром короткой шеи (Клиппеля-Файля). Шейные позвонки представляют собой бесформенную костную массу. У больных отсутствует шея (голова лежит прямо на туловище), ограничена подвижность головы, граница волос низкая, имеется сколиоз или кифосколиоз.

Аномалии развития зубовидного отростка С2 позвонка в виде его аплазии (отсутствия) часто встречаются при синдроме Клиппеля-Файля, Дауна или Марка.
С неврологической стороны это заболевание либо ничем не проявляется, либо сопровождается шейным корешковым синдромом и пирамидными знаками. Часто синдром Клиппеля-Файля сочетается с расщеплением поясничных позвонков (spina bifida) и наличием шейных ребер, иногда увеличен только поперечный отросток, иногда же дело доходит до образования истинных рёбер.

Аномалии развития зубовидного отростка С2 позвонка в виде его гипоплазии (недоразвития) часто втречаются при синдроме Клиппеля-Файля, Дауна или Марка.
Синдром добавочных шейных рёбер
Синдром добавочных шейных рёбер может клинически проявляться под влиянием неблагоприятных факторов (охлаждение, травма, инфекция). Во многих случаях добавочные шейные ребра ничем не дают знать о себе и оказываются случайной находкой. Клинические проявления добавочных шейных рёбер характеризуются наличием невралгических болей в плече, которые подчас распространяются на всю конечность.
Обычно имеются сосудодвигательные и трофические расстройства (бледная, цианотичная холодная кожа, потливость усиление пиломоторного рефлекса). Иногда присоединяются слабость мышц и атрофия. Наличие вегетативных расстройств, а также в ряде случаев симпатический характер боли свидетельствуют о травматизации добавочными ребрами шейных симпатических волокон.
Расщеплённый позвонок (спина бифида — spina bifida)
Наиболее частым дефектом развития, имеющим наибольшее практическое значение, является расщепление позвонков. В подавляющем большинстве наблюдений расщепление заключается в незарастании дужек позвонков. Крайне редко можно наблюдать расщепление непосредственно тела позвонка. Чаще всего незаращение дужек наблюдается либо в LV поясничном, либо в SI крестцовом позвонке. В других отделах позвоночника незаращение дужек наблюдается реже.
Различают закрытое и открытое расщепление позвонков.
Чаще встречается закрытое расщепление позвонков (spina bifida oculta). В большинстве случаев закрытое расщепление позвонков (spina bifida oculta) не сопровождается никакими неврологическими расстройствами. Исключение может составить лишь ночное недержание мочи.
При закрытом расщеплении позвонков (spina bifida oculta) могут быть также нерезкие боли в пояснично-крестцовой области. Образующиеся рубцовые изменения в области корешков обусловливают неврогенные нарушения: парезы ног с выпадением сухожильных рефлексов, корешковые расстройства чувствительности, трофические и вазомоторные симптомы (язвы, отеки, гипертрихоз местный, изменения кожи).
Открытые расщепления позвонков встречаются значительно реже (один ребенок на 1000-1500 новорожденных) и являются более тяжелой степенью дефекта развития позвоночника.
Обычно открытые расщепления позвонков сочетаются с дисплазией спинного мозга, оболочек и корешков. Через имеющееся расщепление позвонков выпячиваются вещество спинного мозга и оболочки.
Менингоцеле и менингомиелоцеле
Тяжелые формы грыжи спинного мозга сопровождаются выраженными нарушениями двигательных, чувствительных и тазовых функций, трофическими расстройствами.

Грыжевое выпячивание при спина бифида (spina bifida) заполнено либо оболочками спинного мозга (менингоцеле), либо включат так же в себя и участок спинного мозга (менингомиелоцеле).
В тяжелых случаях имеет место расщепление не только позвоночника, но и спинного мозга. Выпячивающийся грыжевой мешок не покрыт мышцами и кожей, его стенкой является задняя поверхность спинного мозга (менингомиелоцеле).

Грыжевое выпячивание при спина бифида (spina bifida) заполнено либо оболочками спинного мозга и включат так же в себя и участок спинного мозга (менингомиелоцеле).
В более благоприятных наблюдениях вещество мозга не изменено, а в состав грыжевого мешка входят лишь оболочки (менингоцеле).
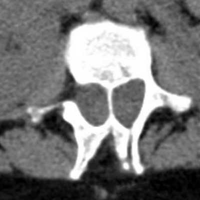
Диастематомиелия
К числу врожденных пороков развития относится и диастематомиелия, при которой спинной мозг в каудальном (нижнем) отделе разделен по длиннику костной, хрящевой или фиброзной перегородкой и фиксирован ею, что задерживает его рост и смещение вверх. Эта аномалия часто сочетается с расщеплением позвоночника и имеет близкую к нему клиническую картину.
Фиксация спинного мозга и его оболочек приводит к низкому стоянию конуса и может вызвать синдром Арнольда-Киари (дефект развития головного мозга), причиной которого могут быть также расщепление позвоночника, врожденное низкое стояние спинного мозга, короткие спинномозговые корешки.

При диастематомиелии на компьютерной томографии позвоночника определяются расширенный позвоночный канал с разделяющей его костной перемычкой и расхождение краев костного дефекта дужки позвонка.
Сакрализация и люмбализация
Следует указать также на сакрализацию LV поясничного позвонка, когда происходит сращение с SI крестцовым, и люмбализацию SI крестцового позвонка, когда он отделён от крестца и превращён в LVI поясничный позвонок. Клинически сакрализация и люмбализация могут проявляться иногда корешковым синдромом по ходу нервных корешков L5 и S1. Причины дефектов развития спинного мозга и позвоночника те же, что и при аномалиях и дефектах головного мозга и черепа.
Спондилолистез врождённый
Врождённая нестабильность позвоночника (врождённый спондилолистез) является разновидностью врождённой аномалии структур позвоночного столба. Она выражается в виде недоразвития опорных и фиксирующихся между собой костных структур и связочного аппарата. В случае врождённой нестабильности позвоночника имеется излишняя подвижность, которая способна приводить к компрессии нервных корешков, поперечника спинного мозга и спинномозговых сосудов.

Смещение позвонков или спондилолистез позвоночника при его нестабильности со сдавлением нерва.
Лечение аномалии развития позвоночника
Корешковые симптомы при аномалии развития позвоночника лечат консервативно. Лишь при стойком синдроме, не поддающемся медикаментозной и физической терапии, прибегают к хирургическим методам — удалению рубцовых изменений, спаек, добавочных шейных ребер и т.д..
Грыжи спинного мозга (менингоцеле и менингомиелоцеле) лечат оперативным путем. Хорошие результаты наблюдаются, когда грыжевой мешок состоит только из оболочек (менингоцеле). Прогноз для жизни удовлетворительный, за исключением случаев, в которых имеет место дисплазия спинного мозга.
В зависимости от тяжести проявлений и причин возникновения боли в пояснице у пациента возможны следующие лечебные действия:
- (НПВС, анальгетики, гормоны) — инъекции препаратов в полость межпозвонкового сустава, позвоночного канала, в триггерные точки в мышцах (мышечная, суставная и корешковая техника) (УВЧ , СМТ и т.д.)

При лечении боли в спине устранение отёчности, воспаления, болезненности, восстановление объёма движений в суставах и мышцах поясницы ускоряется при использовании физиотерапии.
В межпозвонковые суставы (фасеточные суставы) также могут быть произведены лечебные блокады, когда обычное лечение не даёт положительного эффекта. Обычно для этого достаточно низких доз анестезирующего средства и кортизона, вводимого в просвет поражённого сустава.
При сочетании с правильно подобранным режимом физиотерапии, эти лечебные блокады могут дать хороший и долгосрочный эффект при поясничных болях и болях в крестце.

При лечении боли в ноге устранение болезненности, покалываний и восстановление чувствительности в ноге при неврите седалищного нерва в случае его сдавления грыжей или протрузией диска ускоряется при использовании физиотерапии.
Ношение полужёсткого пояснично-крестцового корсета помогает ограничить объём движений в поясничном отделе позвоночника. Это способствует снижению боли в зоне воспаления межпозвонковых суставов и снятию излишнего защитного напряжения и спазма мышц спины.

Вариант полужёсткого пояснично-крестцового корсета помогающего при лечении боли в спине на уровне поясничного отдела позвоночника.
В таком корсете пациент может передвигаться самостоятельно дома и на улице, сидеть в машине и на рабочем месте. Необходимость ношения корсета отпадает, как только проходит боль в спине.

Существует несколько видов пояснично-крестцовых полужёстких корсетов. Все они подбираются по размеру и могут быть неоднократно использованы в случае повторного появления боли в спине.
СИНДРОМ КЛИППЕЛЯ-ФЕЙЛЯ. КЛИНИЧЕСКИЙ СЛУЧАЙ
Актуальность. Синдром Клиппеля-Фейля - врождённая аномалия развития шейного отдела позвоноч- ника. Частота встречаемости 1:120 000. Данный синдром бывает только врожденным. Характерные особенности :деформация и укорочение шеи; снижение количества имеющихся шейных позвонков; сращение позвонков; три обязательных внешних признака:низко расположенная граница роста волос на затылке, укороченная шея, сниже- ние объема движений в шейном отделе позвоночника. Цель: продемонстрировать клинический случай, проанализировать особенности анамнестических и клинических данных истории болезни ребенка с синдромом Клиппеля-Фейля. Материалы и методы. Ребенок А., 1 г. 2 мес. поступил в психо-неврологическое отделение ГБУЗ СК «Краевая детская клиническая больница» в июне 2019 г. с жалобами на задержку психо-моторного и речевого развития, нарушение опоры, «короткая шея», «неловкость» в руках, часто сжимает руки «в кулачки», ограниче- ние активных движений в верхнем плечевом поясе, шейном отделе позвоночника, самостоятельно не стоит, не ходит, снижена моторика в руках. Вышеуказанные жалобы мать отмечает с рождения, после проведённых курсов лечения (медикаментозное, физиолечение, массаж) отмечает незначительную положительную динамику в виде улучшения двигательных навыков. Объективный статус: диспластический фенотип: светлые волосы, ресницы, глубокопосаженные гла- за; симптом «короткой» шеи (бревиколлис), низкая задняя линия роста волос (менее 3 см.), мышечная гипото- ния, плоско-вальгусная установка стоп, «круглая» спина, задержка моторного развития. Выполнена компьтерная томография шейного отдела позвоночника: аномалия шейных позвонков (фрагментация С1-С5 тел и остистых отростков, причем более выраженная С1.); конкресценция фрагментированных масс С2-С5 справа, С2-С4 слева; конкресценция остистых отростков С7-Th1. Гипоплазия первых рёбер. Кифотизация шейного лордоза. Осмотрен специалистами: генетик, нейрохирург, ортопед. Выполнены ультразвуковое исследование органов брюшной полости, забрюшинного пространства, ЭКГ, ЭХО-КГ с допплеровским анализом - без патологии. Результаты. На основании клинического осмотра, характерных фенотипических данных, результатов дополнительных методов обследования , был выставлен диагноз синдром Клиппеля-Фейля. Выводы. Данный клинический случай продемонстрирован с Целью привлечения внимания неврологов, педиатров, ортопедов к патологии шейного отдела позвоночника; своевременной диагностике заболевания. Тяжелые формы состояния, дополнительные аномалии требуют тщательного и регулярного наблюдения врачей, с Целью пре- дупреждения развития возможных осложнений. Методов профилактики синдрома Клиппеля-Фейля не существует, по этой причине родителям важно проявлять особую внимательность с раннего возраста ребенка. При этом нужно знать, что данная патология - не приговор и такие пациенты способны учиться и вести обычный образ жизни.
Об авторах
О А Соболева
А А Шатохин
А В Кузюбердин
Е В Колесникова
З М Кадимова
Список литературы
© Соболева О.А., Шатохин А.А., Кузюбердин А.В., Колесникова Е.В., Кадимова З.М., 2019
Эта статья доступна по лицензии Creative Commons Attribution-NonCommercial-NoDerivatives 4.0 International License.
ЖУРНАЛЫ
ПРАВОВАЯ ИНФОРМАЦИЯ
ИНФОРМАЦИЯ
СЕРВИСЫ
Реклама на сайте
КОНТАКТЫ Эко-Вектор
191186, Санкт-Петербург, Аптекарский переулок, д.3, литера А, помещение 1Н
Синдром Клиппеля-Треноне ( Ангиоостеогипертрофический синдром , Гипертрофическая гемангиэктазия , Синдром Клиппеля-Треноне-Вебера )
Синдром Клиппеля-Треноне - это врожденная дисплазия магистральных вен, которая вызвана спорадическими генными мутациями. К возможными причинам патологии относят тератогенное действие лекарственных средств, инфекционных возбудителей, физических и химических факторов. Заболевание проявляется триадой симптомов: капиллярной гемангиомой, гипертрофическим разрастанием мягких тканей и костей, пороками развития вен. Для диагностики синдрома применяют УЗДГ вен, флебографию, МРТ с контрастированием. Лечение зависит от степени тяжести болезни и включает физиотерапию, фармакотерапию, хирургические операции.
МКБ-10



Общие сведения
Синдром получил название в честь французских врачей Мориса Клиппеля и Поля Треноне, которые описали характерную клиническую картину еще в 1900 году. Спустя 7 лет английский дерматолог Паркс Вебер независимо от французских коллег описал подобную симптоматику, поэтому иногда заболевание носит тройную фамилию: синдром Клиппеля-Треноне-Вебера. Патология имеет синонимичные названия: гипертрофическая гемангиэктазия, ангиоостеогипертрофический синдром. Заболевание встречается с частотой 1 случай на 100 тыс. населения, существенных расовых или половых различий не выявлено.
Причины
До сих пор этиологическая структура заболевания не установлена. Ученые выдвигают несколько предположений, наиболее значимыми из которых являются теории внутриутробного повреждения симпатических ганглиев, аномалии развития глубоких вен, смешанной экто- и мезодермальной дисплазии. Установлена связь синдрома Клиппеля-Треноне (КТС) со спорадической мутацией гена PIK3CA, который участвует в регуляции жизнедеятельности клеток.
Значимая роль в формировании венозной патологии отводится тератогенным факторам, которые влияют на эмбрион и плод на разных сроках беременности. Вероятность синдрома повышается при воздействии ионизирующего излучения, химических канцерогенов, некоторых медикаментов. Имеют значение заболевания, перенесенные беременной женщиной, особенно инфекционные патологии в первом и третьем триместрах.
Патогенез
Диспластические процессы в мягких тканях, костях и сосудистых стенках связывают с нарушением функционирования белка р110, который входит в состав энзима фосфатидилинозитол-3-киназы. Сигнальная молекула участвует в процессах клеточного деления и миграции, поэтому ее патологии имеют множественные клинические проявления. Активация пролиферативных процессов обуславливает гипертрофию тканей конечностей.
Специфическое васкулярное поражение при синдроме Клиппеля-Треноне связывают с гипоплазией артерий, утолщением внутренней выстилки сосудов, разрушением эластических элементов сосудистой стенки. В магистральных венах наблюдаются процессы тромбоза и облитерации, периваскулярного фиброза. Непосредственной причиной нарушения оттока крови от глубоких вен называют эмбриональные тяжи.
Классификация
В международной флебологии и хирургии используется Гамбургская ISSVA-классификация сосудистых аномалий. Согласно ей, синдром Клиппеля-Треноне относится к группе сосудистых мальформаций, связанных с другими аномалиями развития. В отечественной медицине широко применяется клиническая систематизация магистральной венозной дисплазии, которая учитывает следующие признаки:
- Тип поражения. В зависимости от времени развития сосудистой аномалии выделяют эмбриональный, фетальный и промежуточный фетальный варианты патологии.
- Степень тяжести. По характеру и интенсивности клинической симптоматики бывает легкое, среднее, тяжелое и крайне тяжелое течение КТС.
- Локализация патологии. По числу пораженных областей тела выделяют изолированную, сочетанную и распространенную формы заболевания.
- Характер поражения. По анатомическим особенностям венозных аномалий выделяют аплазию, частичную и полную реканализацию, гипоплазию и эктазию сосудов.

Симптомы
Клинические проявления синдром Клиппеля-Треноне заметны у ребенка сразу после рождения. Наиболее ярким признаком являются сосудистые пятна красного или «винного» цвета, которые похожи на географическую карту. Они представляют собой капиллярную гемангиому и располагаются на передненаружной области конечностей. При легкой и среднетяжелой формах КТС пятна имеют гладкую поверхность, тяжелые варианты синдрома дополняются бугристостью и папилломатозными разрастаниями.
Вторым характерным симптомом является деформация пораженной конечности. У новорожденных с тяжелым течением синдрома Клиппеля-Треноне наблюдается симметричное утолщение ноги на 1-5 см, по сравнению со здоровой конечностью. Одновременно с этим происходит удлинение пораженной конечности в пределах 1-3 см, что вызвано диффузной костной и мягкотканной гипертрофией. Изредка встречается «уродующий» гигантизм стопы и макродактилия.
У пациентов с тяжелой и крайне тяжелой разновидностью течения КТС уже в первые 6 месяцев жизни определяются эмбриональные вены. Они располагаются по передненаружной поверхности ноги. Рельеф патологических сосудов легко прощупывается при поверхностной пальпации, видимость вен усиливается в вертикальном положении пациента. По мере роста ребенка обнаруживается хромота и ограничение сгибания в суставах.
Осложнения
Заболевание имеет прогрессирующее течение и вызывает ряд негативных последствий. При тяжелой форме патологии пациенты страдают от заметного дефекта конечности и обширных синюшных пятен, что становится причиной социальной дезадаптации, сложностей в личной и профессиональной сфере. Выраженная гипертрофия одной ноги сопровождается нарушениями походки и сколиозом. Дети с синдромом Клиппеля-Треноне склонны к раннему развитию артрозов и контрактур суставов.
Диагностика
Обследование пациентов с синдромом Клиппеля-Треноне проводится детским хирургом, узкопрофильным флебологом. На первичной консультации необходимо установить врожденный характер проблемы, уточнить историю беременности и родов, узнать семейный анамнез. При внешнем осмотре выявляют гемангиомы, диспропорциональность конечностей, видимые подкожные сосуды. В план комплексной диагностики заболевания входят следующие методы:
- УЗДГ сосудов. Методика используется для оценки кровотока в магистральных сосудах, определения участков патологического кровообращения. Исследование дополняют классическим УЗИ для изучения структуры мягких тканей в области гипертрофии.
- МРТ. Магнитно-резонансная томография с динамическим контрастным усилением является «золотым стандартом» для диагностики пораженных мягких тканей, обнаружения сосудистой патологии, оценки характера мальформации. По показаниям методику дополняют компьютерной томографией.
- Флебография. Исследование имеет решающее значение для диагностики венозной дисплазии, определения ее характера, протяженности и степени тяжести. Для сочетанной диагностики артериального русла применяют селективную и чрескожную пункционную артериографию.
Дифференциальная диагностика
При постановке окончательного диагноза исключают артериовенозные мальформации, в частности синдром Паркса-Вебера. Дифференциальная диагностика проводится с дисплазией поверхностных вен (синдром Боккенхеймера), гемангиоэндотелиомой, врожденной лимфатической обструкцией. При выраженной костной деформации и гипертрофии необходимо исключить синдром Протея.

МРТ нижней конечности. Расширенная поверхностная венозная сеть и гипертрофия мягких тканей. Белая стрелка - эмбриональная боковая краевая вена.
Лечение синдрома Клиппеля-Треноне
Консервативная терапия
Программа лечения КТС подбирается с учетом его степени тяжести и возраста пациента. В консервативной флебологии практикуется сочетание медикаментозной терапии с физиолечением и применением ортопедических устройств. Показано эластическое бинтование и ношение компрессионных чулков для профилактики отеков и уменьшения венозного застоя. Большинство пациентов получают венотоническую терапию для предупреждения развития венозной недостаточности.
Хирургическое лечение
При синдроме Клиппеля-Треноне применяются малоинвазивные методики: внутривенная и транскожная лазерная коагуляция вен. Они уменьшают выраженность сосудистых мальформаций, препятствуют прогрессированию болезни. С этой же целью используется пенная склеротерапия сосудов. Малоинвазивное лечение - метод выбора в педиатрии, поскольку оно дает хороший клинический результат при минимальной травматизации и коротком реабилитационном периоде.
Также применяются оперативные методы лечения. При тяжелой степени синдрома Клиппеля-Треноне их выполняют в первые 2 года жизни, среднетяжелые и легкие формы требуют планового лечения в возрасте 3-6 лет. Тактика хирургического вмешательства подбирается индивидуально и может включать удаление эмбриональных вен, перевязку перфорантных вен, венозную пластику. По показаниям выполняют ортопедические операции и ампутации.
Прогноз и профилактика
Болезнь Клиппеля-Треноне отрицательно влияет на качество жизни пациентов, что связано с косметическими дефектами и множественными симптомами сосудистой аномалии. Однако при своевременной терапии она не угрожает жизни и имеет относительно благоприятное течение, за исключением крайне тяжелых вариантов. Поскольку КТС не имеет наследственной природы и точных причинных факторов, эффективные меры профилактики не разработаны.
1. Синдром Клиппеля-Треноне. Этиология, патогенез, диагностика и лечение/ М.В. Азаров, Д.Д. Купатадзе, В.В. Набоков// Педиатр. - 2018. - №2.
2. Абдоминальный вариант синдрома Клиппеля-Треноне/ А.М. Чеканов, М.Н. Чеканов, М.Ф. Осипенко, С.Г. Штофин и др.// ЭиКГ. - 2018. - №7.
3. Синдром Клиппеля-Треноне в практике врача скорой медицинской помощи/ А.С. Багдасарьян// Кубанский научный медицинский вестник. - 2018. - №2.
4. Варикозная болезнь вен у детей с синдромом Клиппеля-Треноне/ Ю.О. Синяченко// Здоровье ребенка. - 2017. - №1.
Синдром Клиппеля
Синдро́м Клиппе́ля — Фейля (синоним: синдром короткой шеи) — редкий врожденный порок развития шейных и верхнегрудных позвонков, который характеризуется наличием у больного короткой и малоподвижной шеи [1] [2] . Данная патология наследственная, передается по аутосомно-доминантному типу [прим. 1] [3] . Впервые заболевание было описано французскими врачами Морисом Клиппелем и Андре Фейлем в 1912 году [4] .
Выделяют две формы данной патологии: порок, характеризующийся уменьшением общего числа шейных и синостозом [прим. 2] костей шейного отдела позвоночника [5] .
Содержание
Основной симптом — короткая шея, короткие волосы на затылке и ограниченная подвижность верхней части позвоночника. Синдром может сочетаться с другими аномалиями:
Синдром также может сочетаться с аномалиями развития головы и лица, скелета, половых органов, мышц, головного и спинного мозга, рук, ног и пальцев.
Диагностируется данный порок развития по трем основным симптомам заболевания: укорочение шеи, низкая граница оволосения и ограниченная подвижность головы. Для уточнения изменений назначают рентгенографию шейного и грудного отделов позвоночника [5] .
Дифференцировать патологию следует с туберкулезным спондилитом [прим. 3] верхних шейных позвонков и различными типами кривошеи [5] .
Лечение
Главной методикой терапии является консервативное лечение, лечебная физкультура и массаж, которое направлено на улучшение осанки и профилактики различного рода вторичных деформаций. При возникновении компрессии корешков спинного мозга их удаляют. Для предотвращения болевых ощущений назначают анальгетики и физиотерапию [5] .
Примечания
- ↑Аутосомно-доминантный тип наследования — тип наследования, при котором мутантный аллель доминирует над нормальным аллелем, в связи с чем болезнь или признаки болезни ярко выражены.
- ↑Синостоз — сращение двух костей или частей одной кости между собой.
- ↑Туберкулезный спондилит (болезнь Потта) — туберкулез позвоночника.
Источники
- Синдромы по алфавиту
- Аномалии развития
Wikimedia Foundation . 2010 .
Полезное
Смотреть что такое "Синдром Клиппеля" в других словарях:
Синдром Клиппеля — Алкогольный полиневрит в сочетании с признаками поражения печени и расстройством памяти на текущие события (см. синдром Корсакова). Описал французский невропатолог Klippel (1858-1942) … Энциклопедический словарь по психологии и педагогике
Синдром Клиппеля-Фейля подключичной артерии — См. Синдром реберно ключично компрессионный … Энциклопедический словарь по психологии и педагогике
Синдром Клиппеля-Фейля — Врожденная аномалия развития шейных позвонков, особенно грубо выраженная в верхнешейном отделе. При этом первый шейный позвонок может быть сращен с затылочной костью. Возможна неполная дифференцировка шейных позвонков, и тогда общее их число на… … Энциклопедический словарь по психологии и педагогике
Клиппеля — Фейля болезнь — I Клиппеля Фейля болезнь (М. Klippel, французский невролог, 1858 1942, A. Foil, французский невролог, родился в 1884 г.; синоним синдром Клиппеля Фейля) врожденный порок развития позвоночника, характеризующийся деформацией (укорочением) шеи,… … Медицинская энциклопедия
Клиппеля синдром I — (Clippel M., 1892). Сосудистый атеросклеротический псевдопаралич. Син.: болезнь Клиппеля, артритический псевдопаралич … Толковый словарь психиатрических терминов
Клиппеля синдром II — (Clippel M.). Полиневрит и Корсакова амнестический синдром сочетаются с картиной цирроза печени, кахексией, асцитом. Наблюдается при хроническом алкоголизме … Толковый словарь психиатрических терминов
КЛИППЕЛЯ - ФЕЙЛЯ СИНДРОМ — (подробно описан французскими неврологами M. Klippel и A. Feil, 1884-1956; синоним - синдром короткой шеи) - врожденный порок развития: слияние (неразделение) шейных, реже нижележащих позвонков, уменьшение количества шейных позвонков; обычно… … Энциклопедический словарь по психологии и педагогике
Синдром подключичной артерии Клиппеля-Фейля — Син.: Синдром реберно ключичный Фолкнера-Уэддла. Ангионевропатия - следствие компрессии плечевого сплетения, подключичной и подкрыльцовой артерий в ключично реберном промежутке в связи с его сужением при аномально высоко расположенном I ребре,… … Энциклопедический словарь по психологии и педагогике
Синдром реберно-ключичный Фолкнера-Уэддла — См. Синдром подключичной артерии Клиппеля-Фейля … Энциклопедический словарь по психологии и педагогике
Клиппеля-Фейля болезнь — (М. Klippel, 1858 1942, франц. невропатолог; A. Feil, род. в 1884 г., франц. невропатолог; син. синдром короткой шеи) аномалия развития: сращение и уплощение шейных (иногда и верхних грудных) позвонков, проявляющееся укорочением шеи, ограничением … Большой медицинский словарь
Синдром Клиппеля-Фейля

Для данного лор синдрома характерен ряд врожденных пороков развития со стороны позвоночного столба, среднего и внутреннего уха, твёрдого и мягкого нёба и головного мозга.
Клиническая картина
Одной из самых встречаемых жалоб является снижение слуха по механизму звукопроведения, за счёт недоразвития слуховых косточек: молоточка, наковальни и стремени, а так же их связочного аппарата.
Второй причиной снижения слуха является нарушение механизма звуковосприятия за счёт врождённого недоразвития улитки, врождённого недоразвития костного и перепончатого лабиринта, в редких случаях отсутствия спирального органа.
Так же у таких пациентов имеется выраженное затруднение при поворотах головы за счёт врождённого сращения последнего шейного позвонка с первыми грудным позвонком.
Со стороны лицевого скелета такие пациенты часто страдают расщелиной твердого и мягкого нёба. Со стороны головного мозга возможно развитие гидро- либо анэнцефалии.
Консультация лор врача, отомикроскопическое исследование, акуметрическое исследование слуха, аудиометрическое исследование слуха, импедансометрическое (тимпанометрическое) исследование, при необходимости исследование вызванными потенциалами мозга (КСВП), консультация генетика, консультация ортопеда-травматолога, консультация челюстно-лицевого хирурга, консультация невролога, консультация нейрохирурга, консультация отоневролога.
Информацию из данного раздела нельзя использовать для самодиагностики и самолечения. В случае боли или иного обострения заболевания диагностические исследования должен назначать только лечащий врач. Для постановки диагноза и правильного назначения лечения следует обращаться к Вашему лечащему врачу.
Читайте также:
- Перфорация барабанной перепонки: причины, симптомы и лечение
- Статьи по отравлению противосудорожными лекарствами от эпилепсии
- Диагностика острого диссеминированного энцефаломиелита по КТ, МРТ
- Старческие изменения иммунитета. Иммунная система пожилых
- Судорожный статус в неврологии. Лечение судорожного статуса
