Синдром Корсакова - синонимы, авторы, клиника
Добавил пользователь Владимир З. Обновлено: 01.02.2026
сочетание расстройства памяти на текущие события (так называемая фиксационная амнезия), ориентировки во времени, месте, окружении и ложных воспоминаний. Может возникнуть при тяжелых интоксикациях, прежде всего хронической алкогольной, дефиците витамина В., инфекционных болезнях, опухолях головного мозга, гипоксии разного происхождения, нарушении мозгового кровообращения, после черепно-мозговой травмы и др.
Патопсихологической основой расстройств памяти на текущие события при К. с. считают нарушения их удержания (ретенции) и особенно воспроизведения (репродукции), тогда как непосредственное запоминание нарушено мало. Значительная роль в патогенезе отводится двустороннему поражению некоторых структур лимбической системы головного мозга (сосочковых тел, свода, отчасти гиппокампа). Патогенетические механизмы К. с. определяются патогенезом основного заболевания. Так, одним из ведущих звеньев патогенеза К. с. алкогольной этиологии (корсаковского психоза), а также К. с. при некоторых видах алиментарной недостаточности (бери-бери, вторичная витаминная недостаточность при сахарном диабете, неукротимая рвота беременных) является дефицит в организме витамина В., который за счет вторичных, недостаточно выясненных нарушений метаболизма приводит к различным морфологическим изменениям (некрозам, демиелинизации, глиозу, пролиферации капилляров, микрогеморрагиям и др.) глубинных структур головного мозга, особенно сосочковых тел и сводов.
Из проявлений К. с. особенно выражены расстройства памяти на текущие события. Больные почти мгновенно забывают содержание только что сказанного ими, спустя несколько минут не помнят, кто к ним подходил, из-за чего могут по многу раз здороваться с одними и теми же людьми, задавать одни и те же вопросы, не могут сказать, чем они только что занимались, что ели, неделями читают одну и ту же страницу в книге, тут же забывая прочитанное. Наиболее резко нарушается словесная память, в меньшей степени — образная, еще меньше нарушена так называемая эмоциональная память, в связи с чем, совершенно не помня содержания неприятного события, больной может приходить в плохое настроение в обстановке, где оно произошло, или при виде лица, имевшего к нему отношение.
Несмотря на выраженное расстройство памяти на текущие события, память на события прошлой жизни, нередко отдаленные, остается относительно сохранной, а некоторые воспоминания о давних событиях отличаются особенной яркостью. Однако события, непосредственно предшествующие заболеванию, нередко охватывающие недели, месяцы и даже годы, могут полностью выпадать из памяти больного, что позволяет говорить о наличии ретроградной амнезии (см. Память) разной продолжительности.
Характерные для К. с. расстройства ориентировки во времени, месте и окружении бывают выражены в разной степени. Наиболее резко нарушена ориентировка во времени, причем больные часто не могут назвать не только числа, дня недели, месяца и года, но и времени года. Ориентировка в месте также в большинстве случаев носит неточный характер. Больные с более тяжелыми расстройствами не могут ориентироваться даже в окружающей обстановке, например не находят своей койки, не могут найти путь в столовую, туалет.
Ложные воспоминания при К. с. бывают двух видов. Более типичными являются замещения пробелов памяти на текущие события воспоминаниями о реальных событиях, происходивших в прошлом. Так, больные, давно находящиеся в больнице, говорят о том, что недавно «пришли с работы», «были в гостях у родственников» и т.п. Этот вид ложных воспоминаний обозначают термином псевдореминисценции. Реже больные при расспросе о текущей жизни сообщают вымышленные истории, нередко фантастического содержания («путешествовал по странам Африки и Азии, встречался с абиссинским негусом», «летал на космическом корабле» и др.). Подобные обманы памяти называют конфабуляциями. Больные с К. с. внушаемы. Задавая вопросы, можно вызвать у них тот или иной вид ложных воспоминаний.
Наплыв обильных конфабуляций с глубокой дезориентировкой и бессвязностью мышления при отсутствии помрачения сознания называют конфабуляторной спутанностью. Она в основном наблюдается при К. с. у больных с вариантом сенильной деменции, обозначаемым как хроническая пресбиофрения Вернике (см. Старческое слабоумие).
У некоторых больных с К. с. отмечаются явления ложного узнавания, когда окружающих они принимают за лиц, с которыми встречались раньше.
В большинстве случаев больным с К. с. свойственна та или иная степень интеллектуальной недостаточности, которая выражается в ослаблении продуктивности, стереотипности и монотонности суждений, выраженной зависимости их от внешних впечатлений, неспособности замечать противоречия в собственных высказываниях, обнаруживать несовместимость ложных воспоминаний с реальностью. В то же время некоторые больные отличаются известной сообразительностью и в пределах конкретной ситуации умело маскируют дефекты памяти.
У большинства больных К. с. отмечается более или менее выраженное снижение уровня побуждений, волевой активности, в связи с чем предоставленные сами себе они могут часами оставаться бездеятельными. Чаще это лица пожилого возраста. У них преобладает апатический или апатико-эйфорический фон настроения. Лица молодого возраста обычно более активны.
Сознание у больных, как правило, не помрачено. Вместе с тем возможно сочетание К. с. с состояниями помраченного сознания, чаще с явлениями делирия (см. Делириозный синдром), сопровождающегося двигательным беспокойством и возникающего в основном в ночные часы.
Корсаковский синдром может иметь ряд возрастных особенностей. Так, у детей ложные воспоминания, как правило, отсутствуют или выражены слабо. В старческом возрасте расстройства ориентировки особенно интенсивны (амнестическая дезориентировка), причем часто нарушается ориентировка в непосредственном окружении, ложные воспоминания проявляются в виде замещений пробелов памяти событиями далекого прошлого (экмнестические конфабуляции), часты ложные узнавания.
Обычно К. с. является относительно стойким хроническим состоянием. Однако возможны случаи транзиторного К. с., например при алкогольном делирии, отравлении окисью углерода, после черепно-мозговых травм. Течение зависит преимущественно от характера основного заболевания. Так, алкогольный К. с. возникает остро, сразу после выхода больного из состояния помраченного сознания, затем возможно длительное (от 2 до 15 лет) течение с последующим медленным обратным развитием, которое приводит к интеллектуальной недостаточности (слабости памяти, снижению активности и апатическому или апатико-эйфорическому настроению). К. с. при тяжелой гипоксии головного мозга развивается остро, вслед за состоянием помраченного сознания; период обратного развития К. с. относительно более кратковременный (от нескольких недель до 2—3 лет). Чаще отмечается интеллектуально-мнестическое снижение; иногда болезнь заканчивается полным выздоровлением. К. с. при черепно-мозговых травмах начинается также остро, после состояния помраченного сознания. Исход в полное выздоровление наблюдается редко; чаще развивается стойкий Психоорганический синдром.
Лечение зависит от основного заболевания и чаще носит симптоматический характер. Рекомендуются препараты, стимулирующие обменные процессы в головном мозге (ноотропы, витамины). При К. с., развившемся в результате авитаминоза В1 применяют внутримышечные инъекции витамина В1; назначают диету, богатую белками и бедную углеводами (в целях уменьшения потребности в витамине В1).
Прогноз в большинстве случаев серьезный; возникает стойкое нарушение психической деятельности, включающее интеллектуально-мнестические расстройства, что резко снижает возможность социальной реадаптации. В отдельных случаях, особенно при посттравматическом, реже постгипоксическом К. с., возможно выздоровление без выраженных интеллектуально-мнестических расстройств.
Библиогр.: Руководство по психиатрии, под ред. Г.В. Морозова, т. 1, с. 167, т. 2, с. 150, М., 1988; Руководство по психиатрии, под ред. А.В. Снежневского, т. 1, с. 42, 56, М., 1983.
сочетание расстройств памяти на текущие события (при ее сохранности на более отдаленные события) и ориентировки в месте и времени с наличием конфабуляций; наблюдается при органическом поражении головного мозга, инфекционных и интоксикационных психозах.
1. Малая медицинская энциклопедия. — М.: Медицинская энциклопедия. 1991—96 гг. 2. Первая медицинская помощь. — М.: Большая Российская Энциклопедия. 1994 г. 3. Энциклопедический словарь медицинских терминов. — М.: Советская энциклопедия. — 1982—1984 гг .
КОРСАКОВСКИЙ СИНДРОМ
КОРСАКОВСКИЙ СИНДРОМ (С. С. Корсаков, отечественный психиатр, 1854 — 1900; син. амнестический синдром) — сочетание расстройств памяти на текущие события (так наз. фиксационная амнезия), ориентировки во времени, месте, окружении, а также лицах и ложных воспоминаний.
К. с. впервые описан С. С. Корсаковым в 1887 г. в докт, диссертации «Об алкогольном параличе». В 1897 г. это расстройство было названо корсаковским психозом. В дальнейшем С. С. Корсаковым и другими исследователями было установлено, что аналогичный по психопатол, проявлениям синдром возможен при различных органических заболеваниях головного мозга.
Содержание
Клиническая картина
Из проявлений К. с. особенно выражены расстройства памяти на текущие события: больные почти мгновенно забывают содержание только что сказанного ими, спустя несколько минут не помнят, кто к ним подходил, из-за чего могут по многу раз здороваться с одними и теми же людьми, задавать одни и те же вопросы; не могут оказать, чем они только что занимались, что ели; неделями читают одну и ту же страницу в книге, тут же забывая прочитанное. Наиболее резко нарушается словесная память, в меньшей степени — образная, еще меньше страдает так наз. эмоциональная память, в связи с чем, совершенно не помня содержания неприятного события, больной может приходить в плохое настроение в обстановке, где оно произошло, или при виде лица, имевшего к нему отношение.
Несмотря на выраженное расстройство памяти на текущие события, память на события прошлой жизни, нередко отдаленные, остается при К. с. относительно сохранной, а некоторые воспоминания о давних событиях отличаются особенной яркостью. Однако события, непосредственно предшествующие заболеванию, нередко охватывающие недели, месяцы и даже годы, могут полностью выпадать из памяти больного, что позволяет говорить о наличии при К. с. ретроградной амнезии (см.) разной продолжительности.
Характерные для К. с. расстройства ориентировки во времени, месте и окружении бывают выражены в разной степени. Наиболее резко нарушена ориентировка во времени, причем больные часто не могут назвать не только числа, дня недели, месяца и года, но и времени года. Ориентировка в месте также в большинстве случаев носит неточный характер. Больные с более тяжелыми расстройствами не могут ориентироваться даже в окружающей обстановке: не находят своей койки, не могут найти путь в столовую, туалет и т. д.
Ложные воспоминания при К. с. бывают двух видов. Более типичными являются замещения пробелов памяти на текущие события воспоминаниями о реальных событиях, происходивших в прошлом. Так, больные, давно находящиеся в б-це, говорят о том, что недавно «пришли с работы», «были в гостях у родственников» и т. п. Этот вид ложных воспоминаний обозначают термином псевдореминисценции. Реже больные при расспросе о текущей жизни сообщают вымышленные истории, нередко фантастического содержания («путешествовал по странам Африки и Азии, встречался с абиссинским негусом», «летал на космическом корабле» и т. п.). Подобные обманы памяти называют конфабуляциями (см. Конфабулез). Больные с К. с. внушаемы. Задавая вопросы, можно вызвать у них тот или иной вид ложных воспоминаний.
Наплыв обильных конфабуляций с глубокой дезориентировкой и бессвязностью мышления при отсутствии помрачения сознания называют конфабуляторной спутанностью. Последняя в основном наблюдается при К. с. у больных с вариантом сенильной деменции, обозначаемым как хрон, пресбиофрения Вернике (см. Старческое слабоумие).
У некоторых больных с К. с. иногда наблюдаются явления ложного узнавания, когда окружающих они принимают за лиц, с к-рыми встречались раньше.
Больным с К. с. в большинстве случаев свойственна та или иная степень интеллектуальной недостаточности, к-рая выражается в ослаблении продуктивности мышления, стереотипности и монотонности суждений, выраженной зависимости их от внешних впечатлений, неспособности замечать противоречия в собственных высказываниях, обнаруживать несовместимость ложных воспоминаний с реальностью. В то же время некоторые больные отличаются известной сообразительностью и в пределах конкретной ситуации иногда умело маскируют дефекты памяти.
У большинства больных с К. с. отмечается более или менее выраженное снижение уровня побуждений, волевой активности, в связи с чем предоставленные сами себе они могут часами оставаться бездеятельными. Чаще это лица пожилого возраста. У них преобладает апатический или апатико-эйфорический фон настроения. Лица молодого возраста обычно более активны.
Как правило, у больных сознание не помрачено. Вместе с тем возможно сочетание К. с. с состояниями помраченного сознания, чаще с явлениями делирия (см. Делириозный синдром), сопровождающегося двигательным беспокойством и возникающего в основном в ночные часы.
К. с. может иметь ряд возрастных особенностей. Так, у детей ложные воспоминания, как правило, отсутствуют или выражены слабо. В старческом возрасте расстройства ориентировки особенно интенсивны (амнестическая дезориентировка), причем часто нарушается ориентировка в непосредственном окружении, ложные воспоминания проявляются в виде замещений пробелов памяти событиями далекого прошлого (экмнестические конфабуляции), часты ложные узнавания.
Как правило, К. с. является относительно стойким, хроническим состоянием. Однако возможны случаи транзиторного К. с., напр, при черепно-мозговых травмах, алкогольном делирии, отравлении окисью углерода, послеоперационных психозах. Транзиторный К. с. относится к числу переходных синдромов Вика.
Течение К. с. зависит преимущественно от характера основного заболевания. Так, алкогольный К. с. возникает остро, сразу после выхода больного из состояния помраченного сознания, а затем возможно длительное (от 2 до 15 лет) стационарное течение с последующим медленным обратным развитием, к-рое заканчивается исходом в дефект личности в виде интеллектуальной недостаточности, слабости памяти, снижения активности и апатического или апатико-эйфорического настроения.
К. с. при тяжелой гипоксии мозга (отравление окисью углерода, самоповешение) развивается остро, вслед за периодом помраченного сознания; стационарный период относительно более кратковременный (от нескольких недель до 2—3 лет), сменяется регредиентным течением. Иногда болезнь заканчивается полным выздоровлением. Однако более характерен исход в дефект личности с интеллектуально-мнестической недостаточностью.
К. с. при черепно-мозговых травмах начинается также остро, после периода помраченного сознания. Дальнейшее течение его регредиентное, хотя исход в полное выздоровление наблюдается редко. Чаще отмечается развитие стойкого психического дефекта.
При сосудистых заболеваниях головного мозга (церебральный атеросклероз, гипертоническая болезнь) К. с. развивается постепенно, имеет более или менее длительный стационарный период, который сменяется прогредиентным течением, характеризующимся прогрессирующей амнезией и углублением интеллектуальной недостаточности. К. с. при сенильной деменции, гл. обр. хрон, пресбиофрении, развивается постепенно, а затем происходит прогрессирующее нарастание расстройств памяти и постепенный общий распад личности.
Т. о., К. с. может иметь стационарное, регредиентное и прогредиентное течение.
Этиология и патогенез
В этиологии К. с. могут играть роль различные факторы, вызывающие органическое поражение головного мозга: тяжелые интоксикации, прежде всего хрон, алкогольная интоксикация, хрон, дефицит витамина В1 в питании, инфекции, черепно-мозговые травмы, опухоли мозга, гипоксия разного происхождения, нарушения мозгового кровообращения, сенильные процессы.
Патогенез К. с. не вполне ясен. Патопсихол. основой расстройств памяти на текущие события при К. с. считают нарушения их удержания (ретенции) и особенно воспроизведения (репродукции), тогда как непосредственное запоминание страдает мало. Доводом в пользу этого является способность некоторых больных по Выходе из болезненного состояния вспоминать отдельные события, имевшие место в период наличия К. с.
Значительная роль в патогенезе К. с. отводится двустороннему поражению некоторых структур лимбической системы головного мозга, прежде всего сосочковых тел, свода, отчасти — гиппокампа. Полагают, что поражение этих структур ведет к нарушению связанных с ними неспецифических механизмов, способствующих удержанию и воспроизведению следов памяти.
Патогенез К. с. различен при разных заболеваниях. Одним из ведущих звеньев патогенеза К. с. алкогольной этиологии (корсаковского психоза), а также К. с. при некоторых видах алиментарной недостаточности (болезнь бери-бери, вторичная витаминная недостаточность при диабете, неукротимая рвота беременных) является дефицит в организме витамина В1, который за счет вторичных, недостаточно выясненных нарушений метаболизма приводит к различным морфол, изменениям (некрозы, демиелинизация, глиоз, пролиферация капилляров, микрогеморрагии и т. д.) глубинных структур мозга, в особенности сосочковых тел и сводов. Сходные, но более выраженные морфол, изменения в мозге находят при алкогольной энцефалопатии Гайе — Вернике (см. Алкогольные энцефалопатии), исходом к-рой в ряде случаев является Корсаковский психоз.
Патогенетические механизмы К. с. иной этиологии определяются патогенезом основного заболевания, но, вероятно, имеются и общие механизмы, на что указывает частое обнаружение морфол, изменений в сосочковых телах и других связанных с ними глубинных образованиях мозга.
Лечение
Лечение зависит от основного заболевания и чаще носит симптоматический характер. Рекомендуются препараты, стимулирующие обменные процессы в головном мозге (аминолон, глутаминовая к-та, витамины). При К. с., развившемся в результате авитаминоза В1, применяются внутримышечные инъекции витамина В1 и назначается диета, богатая белками и бедная углеводами (в целях уменьшения потребности в витамине B1).
Прогноз
Прогноз в большинстве случаев серьезный: даже при непрогредиентном характере заболевания возникает стойкий психический дефект, включающий интеллектуально-мнестическую недостаточность, который резко снижает возможность социальной реадаптации. Только в отдельных случаях, особенно при посттравматической, реже постгипоксическом К. с., возможно выздоровление без выраженного дефекта личности.
Библиография: Банщиков В. М. и Борзенков И. В. Корсаковский синдром (Клиника, диагностика и течение), М., 1971, библиогр.; Г e й e p Т. А. О Корсаковском психозе, Совр, психиат., январь-февраль, с. 16, 1911, библиогр.; Г и л я р о вс к и й В. А. Развитие учения о Корса-ковском психозе, в кн.: Основы и достижения совр, мед., под ред. Д. Д. Плетнева и В. М. Коган-Ясного, т. 1, с. 232, Харьков* 1927, библиогр.; Зиновьев П. М. О строении клинической картины некоторых форм Корсаковского психоза, Труды психиат, клин. 1-го Моск. гос. ун-та, в. 2* с. 245, 1926, библиогр.; Ковалев В. В. Некоторые вопросы клиники корсаковского синдрома разной этиологии, Журн, невропат, и психиат., т. 57, № 3, с. 376, 1957; Корсаков С. С. Об алкогольном параличе (paralysis alcoholica, paraplegia alcoholica), дисс., М., 1887; он же, Избранные произведения, с. 263, М., 1954; Bonhoeffer К. Der Korsa-kowsche Symptomenkomplex in seinen Beziehungen zu den verschiedenen Krank-heitsformen, Allg. Z. Psychiat., Bd 61* S. 744, 1904; Delay J. et BrionS. Le syndrome de Korsakoff, P., 1969, bibliogr.; Grtinthal E. Zur Kenntnis der Psychopathologie der Korsakowschen Symp-tomenkomplexes, Mschr. Psychiat. Neurol. Bd 53, S. 89, 1923.
Корсаковский психоз
Корсаковский психоз - психотическое состояние, развивающееся на фоне многолетнего злоупотребления алкоголем, одна из форм хронической алкогольной энцефалопатии. Проявляется утратой памяти на текущие события, конфабуляциями и анамнестической дезориентировкой, сочетающимися с алкогольной полиневропатией. Обычно является исходом энцефалопатии Вернике или тяжелого алкогольного делирия, реже возникает постепенно, при отсутствии предшествующего острого психоза. Диагностируется на основании опроса, психологического тестирования, данных лабораторных исследований, МРТ и ЭЭГ. Лечение - отказ от употребления алкоголя, витамины группы В.
Общие сведения
Корсаковский психоз (полиневритический психоз, алкогольный паралич, амнезия Корсакова, синдром Вернике-Корсакова) - психическое расстройство алкогольного генеза с выраженными мнестическими нарушениями, негативной и позитивной симптоматикой, названное по имени российского психиатра С.С. Корсакова, впервые описавшего данную нозологию в 1887 году. Патология протекает хронически, выявляется у 5% пациентов с алкогольной зависимостью. Возникает преимущественно у больных пожилого и среднего возраста, сочетается с алкогольной полиневропатией, часто сопровождается другими заболеваниями и патологическими состояниями, обусловленными длительно текущим алкоголизмом (алиментарные нарушения, истощение, цирроз печени).
Причины корсаковского психоза
Заболевание развивается у лиц, которые в течение долгого времени (чаще - десятков лет) страдают хроническим алкоголизмом. Симптомы хронического психотического состояния, как правило, появляются после перенесенного острого психоза - острой алкогольной энцефалопатии (обычно - энцефалопатии Вернике) либо тяжело протекающего алкогольного делирия. Редко патология возникает на фоне относительного психологического благополучия без предшествующих психотических явлений. Некоторые авторы в качестве возможных провоцирующих факторов указывают травматические повреждения и обострения соматической патологии, особенно - заболеваний печени и кишечника.
Среди психиатров долгое время существовали разные мнения относительно того, можно ли считать корсаковский психоз самостоятельной нозологической единицей и правомерно ли выставлять такой диагноз, если заболевание имеет неалкогольную этиологию. В настоящее время термин «корсаковский психоз» чаще употребляют при обнаружении связи между развитием патологии и приемом алкоголя. При возникновении аналогичной симптоматики, обусловленной тяжелыми черепно-мозговыми травмами, инфекционными заболеваниями, длительной гипоксией, опухолями головного мозга и различными видами деменции, используют термин «корсаковский синдром» («корсаковский симптомокомплекс»). Это название является более широким в нозологическом смысле, включает в себя случаи как алкогольного, так и неалкогольного генеза.
Патогенез
Предполагается, что в основе патогенетического механизма корсаковского психоза лежит недостаток тиамина и никотиновой кислоты, обусловленный алкоголизмом. Дефицит витаминов возникает как из-за сопутствующих нарушений питания, так и из-за изменения работы желудочно-кишечного тракта. Этиловый спирт стимулирует моторику тонкого кишечника, играющего основную роль во всасывании питательных веществ. Химус слишком быстро проходит по тонкой кишке, в результате страдают процессы переваривания и всасывания. Ситуация усугубляется атрофией ворсинок слизистой оболочки тонкого кишечника, что также является следствием алкоголизма. Из-за нехватки витаминов возникает билатеральное поражение лимбических структур. В ходе гистологического исследования определяются признаки массивной гибели нервных клеток в головном мозге, сочетающиеся с исчезновением нервных волокон в спинном мозге, ярче выраженном в столбах Голля.
Симптомы корсаковского психоза
Предвестники расстройства появляются задолго до появления развернутой клинической картины. На протяжении 1-2 лет до развития заболевания больные жалуются на ломоту, парестезии и ноющие боли в ногах. Возникает шаткость походки, особенно ярко проявляющаяся на следующий день после употребления алкоголя. Отмечается сужение круга интересов, нарушения сна (бессонница, ночные кошмары), повышение уровня тревожности, появление беспричинных страхов. Затем под действием провоцирующего фактора (запоя, травмы, терапевтического заболевания) развивается алкогольный делирий с исходом в характерную картину корсаковского психоза. Реже наблюдается постепенное ухудшение психического состояния без предшествующих нарушений сознания и галлюцинаторных явлений.
Основными признаками корсаковского психоза являются тяжелая амнезия, парамнезии, нарушение ориентировки в пространстве и времени, сочетающиеся с полиневритом нижних конечностей. Наиболее значимую роль играет фиксационная амнезия, при опросе также выявляются антероградные и ретроградные расстройства памяти. В целом амнестический синдром характеризуется полной утратой способности фиксировать, запоминать и воспроизводить текущую информацию при относительной сохранности воспоминаний о давнем прошлом.
Следствием фиксационной амнезии становится тяжелая дезориентация - больные не могут назвать число, месяц и год, не знают, где находятся, не помнят, принимали ли пищу или о чем говорили несколько минут назад, могут много раз подряд перечитывать одну фразу в книге, воспринимая ее, как впервые увиденную. Пробелы в воспоминаниях легко замещаются парамнезиями, представленными замещающими конфабуляциями или псевдореминисценциями. При конфабуляциях пациент путает реальные и вымышленные события, смешивает их между собой, произвольно переносит в другое время и место. При псевдореминисценциях больной перемещает события далекого прошлого в настоящее. Парамнезии обычно носят достаточно реалистичный характер, фантастические ложные воспоминания нехарактерны.
Наряду с расстройствами памяти при корсаковском психозе обнаруживаются астенические и аффективные нарушения. Больные вялые, пассивные или, напротив, суетливые. Возможна эмоциональная лабильность, благодушие, беспечность или растерянность и повышенная тревожность. В отдельных случаях наблюдается эйфория. Со стороны нервной системы выявляется алкогольная нейропатия, тяжесть которой коррелирует с выраженностью психических нарушений. В ходе неврологического осмотра определяется нистагм, нарушения реакции зрачка, паралич взора, атаксия, парестезии. В тяжелых случаях развиваются парезы конечностей.
С учетом особенностей течения различают две формы корсаковского психоза - регрессирующую и стационарную. При регрессирующей форме выраженность проявлений амнезии постепенно уменьшается, наблюдается как возрастающее увеличение объема воспоминаний о текущих событиях, так и вспоминание ранее забытых фактов о давно завершившихся ситуациях. При стационарной форме интенсивность нарушений памяти со временем не изменяется. При продолжительном лечении возможна компенсация путем выработки особых приемов для восполнения амнестических расстройств. Пациенты применяют заметки и записные книжки, научаются ориентироваться в обстановке, используя мнемонические техники и косвенные ассоциации.
Диагностика
Постановка диагноза обычно не представляет затруднений. Из-за наличия психических нарушений у пациента по возможности осуществляется с участием родственников. Включает:
Дифференциальную диагностику осуществляют с корсаковским синдромом неалкогольного генеза и некоторыми другими состояниями. В процессе дифференцировки учитывают, что травмы и заболевания могут являться фактором, провоцирующим корсаковский психоз, окончательное различение производят с учетом анамнестических данных и результатов дополнительных исследований. Иногда заболевание приходится дифференцировать с атеросклерозом (преобладают очаговые мозговые явления), прогрессивным параличом (определяется положительная реакция Вассермана при исследовании ликвора, выявляются инсульты, преходящие параличи, нарушения речи, общие мнестические расстройства).
Лечение корсаковского психоза
В остром периоде лечение производится в стационарных условиях, осуществляется психиатрами и наркологами при участии неврологов и иных специалистов. Применяются следующие терапевтические мероприятия:
- Отказ от алкоголя. Является обязательным компонентом лечения патологий, обусловленных алкоголизмом, оказывает оздоравливающее действие, предупреждает усугубление имеющихся нарушений.
- Дезинтоксикация. Проводится в первые дни после поступления пациента в стационар, включает инфузии солевых растворов, раствора глюкозы, кардиопротекторов и других средств.
- Витаминотерапия. Предусматривает введение витаминов группы В. Особенно эффективна при лечении сопутствующего полиневрита, позволяет устранить или существенно уменьшить имеющиеся неврологические расстройства.
- Общий уход. Имеет особую значимость при наличии ажитации, пассивности, тяжелой амнезии, грубых нарушений ориентировки и декомпенсированной соматической патологии. Медицинский персонал следит, чтобы пациенты осуществляли все необходимые гигиенические процедуры, соблюдали режим достаточной физической активности. У лежачих больных большое внимание уделяется предупреждению образования пролежней, развития гиповентиляционной пневмонии.
- Физиотерапия. План мероприятий составляется с учетом состояния пациента, включает массаж, лечебную гимнастику, физиотерапевтические процедуры. Позволяет предупредить осложнения со стороны различных органов и систем, уменьшить проявления полиневрита, устранить мышечную атрофию.
Тактика ведения по окончании острого периода определяется состоянием больного. Возможно амбулаторное наблюдение (иногда - при обязательном уходе родственников), продолжение лечения в условиях стационара до улучшения состояния, перевод в психоневрологический интернат.
Прогноз и профилактика
Специалисты указывают, что в большинстве случаев данная патология склонна к регредиентному течению, особенно - у больных молодого возраста. Со временем тяжесть амнезии уменьшается либо пациенты обучаются успешно компенсировать расстройства памяти с использованием различных приемов. Возможно частичное или (реже) полное восстановление трудоспособности. Полного выздоровления обычно не наблюдается, сохраняются мнестические, интеллектуальные и эмоциональные нарушения различной степени выраженности.
В ряде случаев исходом становится слабоумие, обусловленное органическим поражением головного мозга. Иногда корсаковский психоз приобретает злокачественное течение, летальный исход наступает в течение 1-2 лет вследствие полиоэнцефалита, пахименингита, других заболеваний. Профилактика предусматривает воздержание от употребления алкоголя, при наличии алкоголизма необходимо психотерапевтическое или медикаментозное лечение алкогольной зависимости.
Синдром Корсакова причины, симптомы, методы лечения и профилактики
Синдром Корсакова — разновидность амнестического синдрома, которая характеризуется нарушением памяти, присутствием ложных воспоминаний. Прогрессирует при недостаточной концентрации в организме витамина В1. Подразумевает совокупность симптомов.Требует консультации невролога.

Симптомы синдрома Корсакова
Существует несколько основных признаков корсаковского синдрома:
- амнезия;
- наличие ложных воспоминаний;
- нарушение ориентации в пространстве и времени.
Амнезия проявляется следующими симптомами:
- больной забывает с кем беседовал 5 минут назад, вся полученная информация забывается;
- человек несколько раз здоровается с другими;
- чтение одной страницы может занимать сколько дней;
- страдает словесная и образная память, эмоциональная сохраняется, после неприятного случая больной злится, но не может понять причину негативных эмоций.
Потеря ориентации в пространстве и времени подразумевает следующие признаки:
Синдром Вернике-Корсакова

Синдром Вернике-Корсакова (СВК) — это заболевание, включающее в себя острую и хроническую стадии нейродегенеративного процесса, которое возникает в результате дефицита тиамина и развивается, как правило, у лиц с тяжелыми формами алкоголизма. «Как правило», потому что крайне редко это состояние развивается вне связи с употреблением алкоголя. Острую стадию процесса называют энцефалопатией Гайе-Вернике, хроническую, резидуальную — корсаковским психозом, или синдромом Корсакова [2].
Классическим проявлением острой энцефалопатии Вернике является тетрада симптомов: офтальмоплегия, атаксия, нистагм, помрачение сознания [2]. Следует отметить, что полная тетрада обнаруживается лишь 20 % случаев, с этими связаны сложности при диагностике этого состояния. При неполном выздоровлении острая стадия энцефалопатии сменяется хронической, при этом наблюдаются необратимые изменения структур головного мозга, отвечающих за процесс консолидации памяти [1, 2]. Таким образом, больной с трудом запоминает только что поступившую в мозг информацию (фиксационная амнезия), при этом наблюдается относительная сохранность иных психических функций [1, 2].
Разбирая данный синдром, стоит в отдельности рассмотреть энцефалопатию Вернике и корсаковский психоз.
Энцефалопатия Вернике (ЭВ) — это острое мозговое расстройство, которое проявляется тяжелыми неврологическими и психическими нарушениями, в половине случаев заканчивающееся летально. Впервые данная патология была описана Карлом Вернике в 1881 году, как «острый верхний геморрагический полиоэнцефалит» («polyoencephalitis haemorrhagica superior acuta») [2,3].
В основе патогенеза лежит развитие нейродегенеративных изменений в результате дефицита витамина В1 [2]. В основе причин может лежать как недоедание, так и недостаточное усвоение, однако в конечно итоге происходит нарушение превращения тиамина в тиаминпирофосфат (ТПФ), который является активной частью ТПФ-зависимых ферментов, таких как: альфа-кетоглутаратдегидрогеназа, транскетолаза, пируватдегидрогеназа [4,2]. Данные ферменты катализируют биохимические реакции, которые обеспечивают нормальный метаболизм нервной ткани. Нарушается преодоление тиамином гематоэнцефалического барьера, нарушается клеточный транспорт, что ведет к недостатку витамина B1 в мозге, что в свою очередь приводит к понижению активности ТПФ-зависимых ферментов, а те ведут к лактат-ацидозу, за ним следует нарушение митохондриальных функций, как следствие угнетение тканевого дыхания, что в свою очередь снижает энергетическое обеспечение нейронов и нейроглии. Чаще всего в процесс вовлекаются медиодорсальные ядра зрительного бугра, гипоталамуса, мамиллярных тел и покрышки среднего мозга, с характерной прижизненной симптоматикой. Смерть чаще всего возникает в результате кровоизлияния в мозг [2, 3].
Энцефалопатии Вернике присуща следующая тетрада: офтальмоплегия, нистагм, атаксия, помрачение сознания. Хотя иногда констатируются и отек дисков зрительных нервов и кровоизлияния в сетчатку. При ЭВ снижается температура тела, возникает тахикардия, нарастает слабость. Одним из показателей состояния пациента является степень нарушения сознания. В ряде случаев ЭВ следует за непродолжительным периодом тяжелого алкогольного делирия, в этом случае наблюдается постепенное снижение интенсивности психомоторного возбуждения и нарастание отрешенности, переход делирия в мусситирующую (бормочущую) форму или же аментивноподобное возбуждение, ограниченное пределами постели. По мере дальнейшего ухудшения состояния начинает снижаться уровень сознания с формированием сопора и комы. Пациенты, как правило, имеют сниженную массу тела, иногда страдают от обезвоживания [4, 5].
.

Рисунок 1 | Роль тиамина в метаболизме глюкозы
Различие в патогенезе между корсаковским психозом и энцефалопатией Вернике заключается в степени обратимости изменений. Так, в первом случае изменения необратимы, в то время как во втором случае изменения характеризуются биохимическими сдвигами, что теоретически подразумевает под собой возможность корректировки при своевременном лечении ударными дозами тиамина. При синдроме Корсакова происходит нарушение проводимости мамиллярно-таламических путей, в результате чего нарушается консолидация памяти. Повреждаются мамиллярные тела и ядра зрительного бугра [2].
Ведущим симптомом является амнезия, в первую очередь — фиксационная, определяющая особый тип дезориентировки таких пациентов. Лишенный возможности фиксировать новую информацию, пациент с корсаковским психозом неспособен запомнить текущую дату, место, в котором находится, и расположение палат, имя соседа по палате или лечащего врача, однако при этом часто может по косвенным признакам опознать, что находится в больнице, а за окном — весна. Фиксационной амнезии также сопутствует и (антеро)ретроградная, которая, однако, не определяет тяжесть состояния пациента. Изредка амнезия сопровождается конфабуляциями — ложными воспоминаниями, которыми пациент заполняет пробелы в своей памяти. Также нельзя не отметить, что у больных развивается нижний вялый парапарез и параплегии в результате полиневропатии.
Важным является упомянуть описание корсаковского психоза, составленного самим С. С. Корсаковым: «От одного больного приходилось слышать почти постоянно следующее: “я залежался сегодня, сейчас встану — только вот сию минуту ноги как-то свело — как только они разойдутся, я и встану”. У него была длительная контрактура в коленях, но он, не помня о ее существовании, считал, что это только дело данной минуты. Этот же больной категорически утверждал, что у него никаких болей в ногах нет, а между тем у него были очень сильные стреляющие боли: когда стрельнет, он закричит, а потом сейчас же на вопрос ответит, что у него решительно никаких болей нет. … Этот же больной, читая газету, мог десять раз подряд прочесть одну и ту же строчку как нечто совершенно новое; бывало так, что случайно глаза его остановятся на чем-нибудь интересном, и он прочтет эту строчку вслух своей матери и рассмеется; но в это время он, конечно, на несколько секунд оторвет глаза от того места, которое читал, а потом, когда его глаза опять нападут на это место, хотя бы сейчас же, он снова с теми же словами: “послушай, мама” — читает это место, и таким образом может повторяться много раз…» [2].
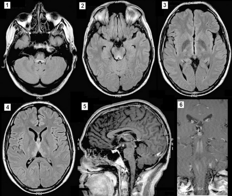
Диагностика заболевания происходит на основании результатов МРТ, клинической картины, анамнеза и данных лабораторной диагностики.
.

1 — гиперинтенсивный сигнал не только от периакведуктального серого вещества и маммилярных тел, но и белого вещества среднего мозга.
2, 3 — гиперинтенсивный сигнал от отдельных участков серого вещества коры головного мозга.
4 — участок центральной демиелинизации в области среднего мозга и верхней части варолиева моста.
5 — накопление контраста в оболочках мозга и отдельных участках коры [4].
Так, при МРТ головного мозга может выявляться поражение определенных участков серого вещества, в данном случае поражено серое вещество покрышки среднего мозга. Почти всегда при синдроме Вернике-Корсакова выявляется поражение мамиллярных тел, данный снимок не является исключением. На изображении также видно поражение гиппокампа и гипоталамуса с незначительным накоплением контраста в этих областях, также характерное для СВК.
Лечение острой энцефалопатии Вернике заключается в неотложном — в течение 48-72 часов с момента появления неврологической симптоматики, — введении больших доз тиамина (витамина B1) [1,2].
Рекомендуется внутривенное введение тиамина, так как прием таблетированных форм не позволяет создать высокую концентрацию действующего вещества в крови в короткое время, обеспечить проникновение через гематоэнцефалический барьер и поступление в мозг в достаточном количестве [3,2].
Схема лечения включает в себя внутривенное введение тиамина от 200 до 500 мг 3 раза в сутки в течении 7 дней. С 8 дня внутривенное введение тиамина заменяется на пероральное с уменьшением дозы до 200 мг в сутки в течении 2 недель, затем 100 мг в сутки в течении еще 2 недель [2].
Рекомендуемая продолжительность введения тиамина при энцефалопатии Вернике составляет 2-3 мес, а при корсаковском психозе она достигает 2 лет [2].
Часто данное заболевание сопровождается полиневропатией. Лечение включает в себя альфа-липоевую кислоту (АЛК; син. тиоктовая кислота). АЛК по биохимической активности близко к витамину группы В. Одним из биологических эффектов является взаимодействие с ТПФ-зависимыми ферментами, в том числе пируватдегидрогеназой, которая катализирует биохимические реакции в центральных и периферических нервных образованиях. АЛК также оказывает антиоксидантное действие, подавляя окислительные реакции в митохондриях, тем самым предупреждая их повреждение и, как следствие, угнетение энергетических процессов. Стоит упомянуть, что вещество взаимодействует с витаминами группы С и Е, тем самым стимулируя их способность к обезвреживанию свободных радикалов (СР) [3,2].
При лечении пациентов с энцефалопатией Вернике необходимо избегать обезвоживания и дефицита электролитов, в частности калия и магния. Коррекция водно-электролитного баланса осуществляется с помощью инфузии плазмозамещающих растворов. Также во время лечения СВК необходимо избегать введения больших доз глюкозы пациентам с хроническим алкоголизмом и с алкогольным делирием, так как это усиливает дефицит витамина В1, как следствие увеличивая риск развития энцефалопатии либо утяжеление ее течения [2].
Читайте также:
