Синдром Менкеберга (Monckeberg) - синонимы, авторы, клиника
Добавил пользователь Евгений Кузнецов Обновлено: 21.01.2026
Кальциноз стенок артерий нижних конечностей обнаруживается и у людей с нормальным углеводным обменом, причем с возрастом его частота возрастает. Однако у больных с диабетом сахарным кальциноз артерий нижних конечностей во всех возрастных группах выявляется в 3 раза чаще. Наиболее выраженные изменения обнаруживаются у мужчин старше 80 лет с длительностью сахарного диабета более 10 лет. У больных с гангреной нижней конечности на фоне сахарного диабета М.с. выявляется практически всегда. Тип сахарного диабета не оказывает существенного влияния на формирование склероза Менкеберга.
У женщин, больных сахарным диабетом, М. с. удается установить в 4,5 раза, а у мужчин — в 1,8 раза чаще, чем у лиц, не страдающих диабетом. У мужчин М.с. протекает значительно тяжелее и приводит к серьезным осложнениям вплоть до гангрены.
Склероз Менкеберга характеризуется дистальным типом поражения артерий нижних конечностей. Обызвествление имеет крупно-сегментарный и циркулярный характер. Непосредственно на проходимость артерий обызвествление сосудистой стенки не влияет. До присоединения тромбоза кровоток в кальцинированных сосудах сохраняется, поэтому даже при развитии гангрены на артериях стопы может определяться пульсация. Но в результате обызвествления сосудистая стенка становится ригидной, теряет способность к сокращению и дилатации, что резко снижает адаптационные возможности сосудов, а кальциноз артерий мелкого калибра препятствует развитию коллатерального кровообращения. В последующем неизбежно присоединяются явления окклюзии магистральных сосудов липидно-фиброзными бляшками (см. Атеросклероз), развивается недостаточность кровообращения, отмечаемая сначала при физической нагрузке, а затем и в покое. При М.с. бедренные и подколенные артерии подвергаются кальцинозу вдвое реже, чем артерии голеней. Еще реже кальциноз возникает в межмышечных артериях и коллатералях. При аутопсии кальциноз обнаруживается также в коронарных артериях.
Клинически отмечаются жалобы на боли в ногах, парестезии, ощущение жжения или зябкости, повышенную утомляемость при ходьбе, судороги в икроножных мышцах, перемежающуюся хромоту. Постоянство и выраженность этих признаков зависят от стадии склероза. Более тяжело М.с. протекает у больных сахарным диабетом с артериальной гипертензией, при манифестной форме диабетической невропатии. Сравнительный осмотр преимущественно пораженной и относительно менее пораженной конечностей позволяет выявить изменения окраски кожи,
начальные формы атрофии подкожной клетчатки и мышц, дистрофию ногтей, выпадение волос на коже конечностей, трещины, язвы, некротические изменения. Осмотр конечностей рекомендуется проводить в положении больного лежа и стоя, т.к. при артериальной недостаточности перемена положения сопровождается изменением окраски кожи. Пальпаторно определяют пульсацию артерий: подколенной — в глубине подколенной ямки, задней большеберцовой — позади внутренней лодыжки большеберцовой кости и артерии тыла стопы — между I и II плюсневыми костями. Пульс исследуют одновременно на симметричных точках обеих конечностей.
Для выявления нарушений гемодинамики при М.с. рекомендуется проведение функциональных проб Оппеля, Самюэлса и др. (см. Кровеносные сосуды). Более объективную оценку состояния сосудистого русла удается получить с помощью сфигмографии (при М.с. скорость распространения пульсовой волны повышена, дополнительные волны сглажены), реовазографии (изменения в артериях пораженной конечности по спастическому, атоническому и спастико-атоническому типу), реовазографических проб (постуральной, нитроглицериновой, велоэргометрической) и др.
Самым достоверным способом диагностики М.с. является рентгенография нижних конечностей, которую проводят в прямой и боковой проекциях. При этом на обзорном снимке удается проследить весь ход артериального русла ноги от уровня подколенной артерии и ниже, иногда вплоть до мелких артерий стопы. Плотность пораженной артерии на рентгенограмме почти равна плотности костной ткани (рис.
). Артериография нижних конечностей позволяет документально подтвердить наличие окклюзии сосуда при М.с. и установить ее уровень, а также оценить состояние коллатералей.
С помощью рентгенографии проводится дифференциальный диагноз М.с., для которого характерен дистальный тип обызвествления с преимущественным поражением артерий среднего калибра (подколенных сосудов и сосудов голени), с облитерирующим атеросклерозом, при котором в случае отсутствия сахарного диабета в патологический процесс вовлекаются также проксимальные (бедренные) артерии. В отличие от сегментарной и локальной облитерации артерий у лиц, не страдающих сахарным диабетом, для больных с диабетическими макроангиопатиями характерна «продольная» облитерация всей пораженной артерии. Особенностью М.с. является также слабое развитие или полное отсутствие коллатералей, которые интенсивно развиваются при облитерации сосуда у лиц, не страдающих сахарным диабетом.
Лечение проводят по общим правилам ведения больных с синдромом диабетической стопы. Оно включает комплекс общеоздоровительных мероприятий, физиотерапевтических процедур и комбинированное непрерывное медикаментозное лечение (витаминотерапию, прием липотропных и гиполипидемических средств, назначение анаболических стероидов, плазмозамещающих растворов, ангиопротекторов, сосудорасширяющих препаратов, ингибиторов альдозоредуктазы, антиоксидантов, гепаринотерапию). Применение тех или иных препаратов, их сочетание и последовательность приема определяются лечащим врачом на основании локализации и стадии кальциноза.
Кроме того, больной должен соблюдать диету; необходимы нормализация АД, массы тела, коррекция гиперлипидемии, компенсация сахарного диабета. лечение диабетической невропатии, снижение физических нагрузок. Категорически запрещается курение. При облитерации сосудов лечение может быть оперативным (реконструктивные операции). Ампутация конечности по поводу гангрены, как правило, не приводит к стабилизации процесса, и в течение последующего года развивается гангрена другой конечности.
Основным условием успеха лечения остается достижение стойкой компенсации сахарного диабета и проведение повторных курсов комплексной терапии 2—3 раза в год.
Библиогр.: Балаболкин М.И. и Гаврилюк Л.И. Сахарный диабет, Кишинев, 1483; Глеер М.Г. и Москаленко Н.П. Изменения в системе кровообращения при сахарном диабете, М., 1983; Ефимов А.С. Диабетические ангиопатии, М., 1989; Сахарный диабет. Доклад исследовательской группы ВОЗ, пер. с англ., М., 1987.
Синдром Менкеберга
Склероз Менкеберга (синоним: кальцифицирующий склероз Менкеберга) склероз склероз — макроангиопатия, развивающаяся преимущественно на фоне сахарного диабета и заключающаяся в неатеросклеротическом поражении средних и крупных артерий нижних конечностей, реже - висцеральных сосудов (ренальных, коронарных и ).
Кальциноз стенок артерий нижних конечностей может обнаруживаться у людей с нормальным углеводным обменом, причем с возрастом его частота возрастает, и обнаруживается у лиц моложе 45 лет в 5% случаев, от 45 до 60 лет - у 16%, а у пожилых в возрасте старше 60 лет - у 37%.
Однако у больных с сахарным диабетом кальциноз артерий нижних конечностей во всех возрастных группах выявляется, в среднем, в 3 раза чаще: соответственно у 15%, 53% и 100%. Так, у женщин, больных сахарным диабетом, cклероз Менкеберга удается установить в 4,5 раза, а у мужчин - в 1,8 раза чаще, чем у лиц соответствующего возраста и пола, не страдающих диабетом. При этом у мужчин склероз Менкеберга протекает значительно тяжелее и приводит к серьезным осложнениям - вплоть до гангрены. Наиболее выраженные изменения обнаруживаются у мужчин старше 80 лет с длительностью сахарного диабета более 10 лет. У больных с гангреной нижней конечности на фоне сахарного диабета cклероз Менкеберга выявляется практически всегда.
Тип сахарного диабета существенного влияния на формирование склероза Менкеберга не оказывает.
Клиническая картина
У пациентов с проявлениями диабетической стопы установить наличие склероза Менкеберга на основании только клинических признаков не представляется возможным. При опросе пациентов выявляется известная симптоматика диабетической макроангиопатии. Характерны жалобы на боли в ногах, парестезии, ощущение жжения или зябкости, повышенную утомляемость при ходьбе, судороги в икроножных мышцах, перемежающуюся хромоту. Постоянство и выраженность этих признаков зависят от стадии склероза.
Чаще всего склероз Менкеберга диагностируется у пациентов с запущенными стадиями диабетической стопы - при наличии трофических язв, гангрены, асептического некроза, вывихов, подвывихов, спонтанных переломов вследствие остеопороза.
Сравнительный осмотр преимущественно пораженной и относительно менее пораженной конечностей позволяет выявить изменения окраски кожи, начальные формы атрофии подкожной клетчатки и мышц, дистрофию и дефо ногтей, выпадение волос на коже конечностей, трещины, язвы, некротические изменения. Осмотр конечностей рекомендуется проводить в положении больного лежа и стоя, тк при артериальной недостаточности перемена положения сопровождается изменением окраски кожи.
Пальпаторно определяют пульсацию артерий: подколенной - в глубине подколенной ямки, задней большеберцовой - позади внутренней лодыжки большеберцовой кости и артерии тыла стопы - между I и II плюсневыми костями. Пульс исследуют одновременно на симметричных точках обеих конечностей и последовательно на протяжении сосудов - на их разных уровнях.
Ассоциированные симптомы: Боль в голени. Боль в ноге. Онемение ноги. Онемение стопы. Слабость в ногах. Хромота.
Причины
Механизм формирования склероза Менкеберга достаточно сложен. К факторам, повреждающим при сахарном диабете сосудистый эндотелий, относят накопление сорбитола, вызывающее набухание стенки артерии, фокальную гипертензию, гиперлипидемию и гипоксию. Гипоксия при некомпенсированном диабете имеет смешанный характер, поскольку транспорт кислорода нарушается на всех этапах - респираторном, гемическом, микроциркуляторном и, вероятно, на уровне утилизации в тканях (в связи с избыточным гликозилированием гемоглобина эритроцитов в условиях хронической гипергликемии).
Принято считать, что в результате любого структурного или функционального повреждения эндотелия клеточные элементы крови (в частности, тромбоциты и моноциты / макрофаги) вступают на участке деструкции сосуда в патологическое взаимодействие с компонентами плазмы (в первую очередь, с липопротеидами), что приводит к миграции гладкомышечных клеток из средней оболочки артерии (медии) во внутреннюю (интиму) и к их последующей пролиферации. В процессе пролиферации миоцитов медии в ней самой и в интиме сосудов образуются новые соединительно-тканные компоненты, внутри- и внеклеточно в избыточном количестве накапливаются липиды, а также соли кальция.
Лечение
Лечение проводят по общим правилам ведения больных с синдромом диабетической стопы. Оно включает комплекс обще-оздоровительных мероприятий, физиотерапевтических процедур и комбинированное непрерывное медикаментозное лечение (витаминотерапию, прием липотропных и гиполипидемических средств, назначение плазмозамещающих растворов, ангиопротекторов, сосудорасширяющих препаратов, ингибиторов альдозоредуктазы, антиоксидантов / антигипоксантов, анаболических стероидов, гепаринотерапию). Применение тех или иных препаратов, их сочетание и последовательность приема определяются лечащим врачом на основании локализации и стадии кальциноза. Кроме того, больной должен соблюдать диету; необходимы нормализация АД, массы тела, компенсация сахарного диабета, лечение диабетической нейропатии, коррекция гиперлипидемии, снижение физических нагрузок. Категорически запрещается курение. При облитерации сосудов лечение может быть оперативным (реконструктивные операции). Ампутация конечности по поводу гангрены, как правило, не приводит к стабилизации процесса, и в течение последующего года развивается гангрена другой конечности.
Основным условием успеха лечения остается достижение стойкой компенсации сахарного диабета и проведение повторных курсов комплексной терапии 2-3 раза в год.
Артериосклероз Менкеберга ( Артериальный медиакальциноз , Артериальный медиасклероз , Артериокальциноз )
Артериосклероз Менкеберга — это заболевание, которое характеризуется отложением солей кальция в средней оболочке артерий. При артериокальцинозе наблюдается длительное бессимптомное течение. Основные клинические признаки патологии — перемежающаяся хромота, нарушение половой функции, трофические изменения нижних конечностей. Для диагностики артериосклероза выполняется рентгенография, ультразвуковая допплерография, рентгеноконтрастная артериография или КТ-ангиография. При кальцинозе Менкеберга показано консервативное лечение с применением ангиопротекторов, антиагрегантов и спазмолитиков.
МКБ-10


Общие сведения
Артериосклероз Менкеберга в научной литературе имеет несколько синонимов — артериокальциноз, артериальный медиакальциноз, артериальный медиасклероз. Болезнь впервые описана в 1903 году немецким патологоанатомом Й. Менкебергом. Распространенность артериосклероза находится на одном уровне с атеросклеротическими сосудистыми поражениями. В возрасте 45-60 лет кальциноз артерий встречается у 16% людей, а после 60 лет — у 37%. У больных сахарным диабетом артериокальциноз Менкеберга выявляется в 3 раза чаще. Мужчины и женщины болеют одинаково часто.
Артериосклероз Менкеберга относят к болезням с неясной этиологией. Несмотря на частую встречаемость патологии, закономерности формирования кальциноза сосудов не установлены. В современной кардиоангиологии существует несколько теорий, которые объясняют этиологические предпосылки артериосклероза. Ученые сходятся во мнении, что для развития заболевании наиболее важны 3 причины:
- Повреждение эндотелия. При повышенном содержании в крови сорбитола, фруктозы, агрессивных цитокинов нарушается осмотическое равновесие в сосудистой стенке и возникает ангиопатия. Патологические изменения из артериальной интимы переходят на среднюю оболочку (медию), где образуется соединительная ткань и откладываются соли кальция.
- Поражение медии артерии. Другие ученые считают, что болезнь начинается с деструкции эластических волокон средней оболочки сосуда. Затем наблюдаются дегенеративные изменения гладкомышечных клеток. В сформированных патологических очагах начинает скапливаться кальций.
- Полинейропатия. Возникновение артериосклероза также связывают с первичным расстройством трофики сосудистой стенки, обусловленным нарушением симпатической вегетативной иннервации. Ишемия наиболее выражена в средней артериальной оболочке, что способствует появлению фиброза и кальциноза.
Патогенез
При артериосклерозе Менкеберга наблюдается накопление кальция в мышечном слое артериальной стенки. Артерии превращаются в ригидные трубки, которые не способны сокращаться или растягиваться синхронно с изменением внутрисосудистого давления. В результате нарушается кровоснабжение органов и тканей в бассейне поврежденного сосуда. Сначала возникает хроническая ишемия, а при длительном течении артериосклероза — некротические изменения.
Для кальциноза Менкеберга характерно поражение дистальных ветвей сосудов, в отличие от атеросклероза, который сначала поражает крупные артерии. При артериосклерозе типично мозаичное отложение кальциевых солей — чередование пораженных и интактных участков артерии. В последние годы выявлена связь между повышением уровня остеопротегерина (маркера костно-минерального метаболизма) и частотой развития болезни Менкеберга.
Классификация
Артериосклероз Менкеберга классифицируют с учетом локализации сосудистого поражения: кальциноз верхних или нижних конечностей, сосудов половых органов, церебральных артерий. Чаще всего кальциноз обнаруживают в артериях голени. В 1989 году была принята рентгенологическая классификация болезни Менкеберга голени и стопы, встречающейся при сахарном диабете. Выделяют 5 степеней такого артериосклероза:
- I степень. Утолщение сосудистой стенки, которое соответствует незначительному отложению кальциевых солей. На рентгеновском снимке видны линейные затемнения небольшой интенсивности.
- II степень. К вышеуказанным изменениям добавляется кольцевидная тень между первой и второй плюсневыми костями стопы. Затемнение свидетельствует о тотальном кальцинозе глубокой подошвенной артерии.
- III степень. Характерна мозаичная кальцинация артериальных стенок голени, стопы. При рентгенологическом исследовании по ходу сосудов видны множественные тени протяженностью 1-2 см.
- IV степень. Наблюдается тотальное поражение крупных сосудистых ветвей дистального отдела нижних конечностей. Патогномоничный признак артериосклероза Менкеберга — кальциноз в виде «струи дыма».
- V степень. Самый тяжелый вариант поражения, который развивается спустя 20 и более лет от начала артериосклероза. Вследствие полного обызвествления основные и коллатеральные сосуды на рентгенограмме приобретают вид извитого шнура.
Симптомы артериосклероза Менкеберга
Заболевание длительное время протекает бессимптомно. Первые проявления артериосклероза неспецифичны и выражены незначительно, поэтому многие люди не обращают на них внимание. На начальных этапах кальциноза наблюдается усталость и неприятные ощущения в ногах, которые усиливаются к вечеру. Руки и ноги начинают сильнее мерзнуть, кожа постоянно прохладная, даже при нахождении в теплом помещении. Характерно медленное заживление царапин и синяков.
По мере прогрессирования артериосклероза Менкеберга появляется низкая перемежающаяся хромота. Во время ходьбы у человека возникает резкая боль в икроножных мышцах, которая вынуждает остановиться. После отдыха в течение 3-5 минут болевые ощущения исчезают. После прохождения определенного расстояния (в среднем 50-250 м) боли возобновляются. Больных беспокоит онемение и парестезии в ногах.
Симптомы поражения других сосудистых бассейнов отмечаются намного реже. При кальцинозе артерий малого таза у мужчин возникает импотенция, у женщин снижается либидо. Иногда наблюдаются боли в животе без четкой локализации, которые появляются спустя 30-40 минут после приема пищи. При вовлечении в процесс сосудов сетчатки пациенты жалуются на эпизоды «затуманивания» зрения, головные боли.
Осложнения
При поражении средней оболочки сосудов повышается риск развития аневризм — ограниченных выпячиваний, которые нарушают нормальный кровоток. Аневризмы чаще формируются на центральных артериях, которые имеют достаточно большой диаметр. В зоне патологического сосудистого расширения зачастую происходит тромбообразование. При неблагоприятных условиях тромбы отрываются от интимы, вызывая тромбоэмболические расстройства.
Опасным осложнением является разрыв аневризмы или расслаивающая аневризма, которые требуют неотложной врачебной помощи. Прогрессирование кальциноза в сосудах нижних конечностей сопровождается язвенно-некротическими поражениями. На пальцах ног и стопах образуются гнойные язвы, которые очень плохо заживают. При сочетании артериосклероза Менкеберга и сахарного диабета высокая вероятность начала сухой или влажной гангрены, инвалидизации больных.
Диагностика
Для постановки диагноза артериосклероза Менкеберга требуется консультация опытного врача-ангиолога или хирурга. При физикальном обследовании патогномоничные признаки заболевания отсутствуют, поэтому требуется дифференцировка с другими сосудистыми патологиями (облитерирующим атеросклерозом, тромбангиитом). Чтобы диагностировать артериосклероз, применяются современные инструментальные методы:
- Рентгенография. На обзорной рентгенограмме нижних конечностей можно проследить ход пораженного сосуда и обнаружить участки кальциноза. При обызвествлении плотность артериальной стенки равна плотности кости. При других локализациях артериосклероза метод недостаточно информативен, поскольку на снимках обнаруживают много артефактов.
- УЗИ артерий. Ультразвуковое исследование — современный и информативный метод визуализации утолщенной и кальцинированной артериальной стенки при болезни Менкеберга. Для оценки скорости кровотока и степени развития коллатералей назначается допплерография.
- Периферическая артериография. Инвазивное исследование с контрастом проводится для документального подтверждения нарушений кровообращения в сосудах и визуализации сети коллатеральных сосудов. Ангиография показана на этапе подготовки к хирургическому лечению. Как альтернатива используется КТ-ангиография.
- Вспомогательные методы. При сфигмографии определяют повышение скорости пульсовой волны в кальцинированной артерии и отсутствие дополнительных волн. При реовазографии обнаруживается спастический или спастико-атонический тип сосудистого поражения.
Лечение артериосклероза Менкеберга
Консервативная терапия
Учитывая неясные причины артериокальциноза, его этиотропное лечение не разработано. Лечебная тактика направлена на улучшение коллатерального кровообращения и микроциркуляции, нормализацию реологических свойств крови. Заболевание отличается неуклонным прогрессированием, поэтому терапия должна быть комплексной и пожизненной. Назначаются следующие группы препаратов:
- Дезагреганты. Производные ацетилсалициловой кислоты и тиенопиридинов используются в невысоких дозах для разжижения крови. Лекарства улучшают микроциркуляцию, препятствуют образованию тромбов. При недостаточной эффективности схему лечения дополняют антикоагулянтами.
- Ангиопротекторы. К этой категории относят разные по фармакологическому действию препараты: витамины, нестероидные противовоспалительные средства, растительные экстракты. Ангиопротекторы расширяют сосуды и укрепляют артериальную стенку, активируют реакции тканевого метаболизма.
- Спазмолитики. Рекомендованы для увеличения диаметра дистальных артерий и усиления притока крови к ишемизированным тканям. Спазмолитики нейтрализуют негативное воздействие нервной системы на сосуды при полинейропатии.
Хирургическое лечение
Оперативное вмешательство при неосложненных формах артериосклероза Менкеберга не применяется. В случае формирования аневризмы проводится эндоваскулярная операция — эмболизация расширенного участка либо клипирование шейки аневризмы. Реже прибегают к открытому хирургическому методу - резекции аневризмы и замещению участка артерии протезом. При начале язвенно-некротических осложнений требуется некрэктомия с последующей пластикой дефекта тканей.
Прогноз и профилактика
При изолированном кальцинозе Менкеберга врачи дают благоприятный прогноз, поскольку от начала заболевания и до появления тяжелых клинических симптомов проходит много лет. Подбор адекватной консервативной терапии позволяет максимально замедлить прогрессирование артериосклероза. Основной способ профилактики болезни — тщательная компенсация сахарного диабета и предупреждение диабетических ангиопатий.
1. Склероз Менкеберга как одно из патогенетических звеньев развития синдрома диабетической стопы/ И.Я. Михалойко, Р.В. Сабадош // Галицкий врачебный вестник. - 2013.
3. Сенильный аортальный стеноз: современное состояние проблемы (к 100-летию публикации И.Г. Менкеберга)/ И.В. Егоров// Consilium medicum. - 2014.
Склероз Менкеберга как осложнение сахарного диабета
ОПРЕДЕЛЕНИЕ. Склероз Менкеберга (синоним: кальцифицирующий склероз Менкеберга) [1] склероз склероз — макроангиопатия, развивающаяся преимущественно на фоне сахарного диабета [2] и заключающаяся в неатеросклеротическом поражении средних и крупных артерий нижних конечностей, реже - висцеральных сосудов (ренальных, коронарных и др.).
РАСПРОСТРАНЁННОСТЬ. Кальциноз стенок артерий нижних конечностей может обнаруживаться у людей с нормальным углеводным обменом, причем с возрастом его частота возрастает, и обнаруживается у лиц моложе 45 лет в 5% случаев, от 45 до 60 лет - у 16%, а у пожилых в возрасте старше 60 лет - у 37%.
Однако у больных с сахарным диабетом кальциноз артерий нижних конечностей во всех возрастных группах выявляется, в среднем, в 3 раза чаще: соответственно у 15%, 53% и 100%. Так, у женщин, больных сахарным диабетом, cклероз Менкеберга удается установить в 4,5 раза, а у мужчин - в 1,8 раза чаще, чем у лиц соответствующего возраста и пола, не страдающих диабетом. При этом у мужчин склероз Менкеберга протекает значительно тяжелее и приводит к серьезным осложнениям - вплоть до гангрены. Наиболее выраженные изменения обнаруживаются у мужчин старше 80 лет с длительностью сахарного диабета более 10 лет. У больных с гангреной нижней конечности на фоне сахарного диабета cклероз Менкеберга выявляется практически всегда.
Тип сахарного диабета существенного влияния на формирование склероза Менкеберга не оказывает.
ПАТОГЕНЕЗ. Механизм формирования склероза Менкеберга достаточно сложен. К факторам, повреждающим при сахарном диабете сосудистый эндотелий, относят накопление сорбитола, вызывающее набухание стенки артерии, фокальную гипертензию, гиперлипидемию и гипоксию. Гипоксия при некомпенсированном диабете имеет смешанный характер, поскольку транспорт кислорода нарушается на всех этапах - респираторном, гемическом, микроциркуляторном и, вероятно, на уровне утилизации в тканях (в связи с избыточным гликозилированием гемоглобина эритроцитов в условиях хронической гипергликемии).
Принято считать, что в результате любого структурного или функционального повреждения эндотелия клеточные элементы крови (в частности, тромбоциты и моноциты / макрофаги) вступают на участке деструкции сосуда в патологическое взаимодействие с компонентами плазмы (в первую очередь, с липопротеидами), что приводит к миграции гладкомышечных клеток из средней оболочки артерии (медии) во внутреннюю (интиму) и к их последующей пролиферации. В процессе пролиферации миоцитов медии в ней самой и в интиме сосудов образуются новые соединительно-тканные компоненты, внутри- и внеклеточно в избыточном количестве накапливаются липиды, а также соли кальция.
ПАТОМОРФОЛОГИЯ. Патоморфологически склероз Менкеберга представляет собой кальциноз средней оболочки (media) артерий нижних конечностей на фоне ее утолщения и склероза в сочетании с другими проявлениями диабетической макро- и микроангипатии и нейропатией, формирующими синдром диабетической стопы.
Само по себе обызвествление сосудистой стенки не нарушает проходимость артерий. До присоединения внутрисосудистого тромбоза кровоток в кальцифицированных артериях сохраняется, поэтому иногда даже при присоединении на артериях стопы может определяться пульсация. Но в результате обызвествления сосудистая стенка теряет эластичность, становится ригидной, теряет способность к сокращению и дилатации, что резко снижает адаптационные способности в системе кровообращения конечностей, а поражение артерий мелкого калибра препятствует развитию кровотока по коллатералям. На последующих этапах к этому неизбежно присоединяются явления вторичной окклюзии магистральных сосудов липидно-фиброзными атеросклеротическими бляшками и развивается недостаточность кровообращения, отмечаемая сначала при физической нагрузке, а затем и в покое.
Склероз Менкеберга характеризуется дистальным типом поражения артерий нижних конечностей. Обызвествление имеет крупно-сегментарный и циркулярный характер. Артерии голени при склерозе Менкеберга подвергаются кальцинозу вдвое чаще, чем бедренные и подколенные. Сравнительно редко кальциноз возникает в межмышечных артериях и коллатералях.
КЛИНИЧЕСКАЯ КАРТИНА. У пациентов с проявлениями диабетической стопы установить наличие склероза Менкеберга на основании только клинических признаков не представляется возможным. При опросе пациентов выявляется известная симптоматика диабетической макроангиопатии. Характерны жалобы на боли в ногах, парестезии, ощущение жжения или зябкости, повышенную утомляемость при ходьбе, судороги в икроножных мышцах, перемежающуюся хромоту. Постоянство и выраженность этих признаков зависят от стадии склероза.
Наиболее тяжело склероз Менкеберга протекает у больных, имеющих сочетание сахарного диабета с артериальной гипертензией, а также при манифестной форме диабетической нейропатии. При наличии рентгенологических признаков склероза Менкеберга (см. ниже) в ¾ случаев определяются клинические симптомы облитерирующего атеросклероза сосудов нижних конечностей. Чаще всего склероз Менкеберга диагностируется у пациентов с запущенными стадиями диабетической стопы - при наличии трофических язв, гангрены, асептического некроза, вывихов, подвывихов, спонтанных переломов вследствие остеопороза.
Сравнительный осмотр преимущественно пораженной и относительно менее пораженной конечностей позволяет выявить изменения окраски кожи, начальные формы атрофии подкожной клетчатки и мышц, дистрофию ногтей, выпадение волос на коже конечностей, трещины, язвы, некротические изменения. Осмотр конечностей рекомендуется проводить в положении больного лежа и стоя, т. к. при артериальной недостаточности перемена положения сопровождается изменением окраски кожи.
Пальпаторно определяют пульсацию артерий: подколенной - в глубине подколенной ямки, задней большеберцовой - позади внутренней лодыжки большеберцовой кости и артерии тыла стопы - между I и II плюсневыми костями. Пульс исследуют одновременно на симметричных точках обеих конечностей и последовательно на протяжении сосудов - на их разных уровнях.
ДИАГНОСТИКА. Самым достоверным способом диагностики склероза Менкеберга является рентгенография нижних конечностей, которую проводят в прямой и боковой проекциях. При этом на обзорном снимке удается проследить весь ход артериального русла ноги от уровня подколенной артерии и ниже, иногда вплоть до мелких артерий стопы. Плотность пораженной артерии на рентгенограмме может соответствовать плотности костной ткани.
Отечественными исследователями в 1989 году впервые была предложена наиболее полная рентгенологическая классификация склероза Менкеберга по стадиям, учитывающим различную выраженность изменений сосудов стопы и голени в зависимости от длительности сахарного диабета (В.А. Горелышева и соавт., см. рисунок):
0 степень - отсутствие изменений (характерна для первого года заболевания);
I степень - уплотнение стенок сосуда в виде начинающейся инкрустации солями кальция или линейной тени небольшой интенсивности (формируется со второго по пятый год существования болезни);
II степень - кольцевидная тень в I межплюсневом промежутке на прямой рентгенограмме стопы, отображающая поперечное сечение кальцинированной глубокой подошвенной артерии (возникает на шестом-девятом году диабета);
III степень - частичное обызвествление стенок артерий стопы и голени (в течение второго десятилетия заболевания);
IV степень - обызвествление стенок сосудов в виде “струи дыма” (при стаже диабета 15-20 лет);
V степень - резко выраженное обызвествление стенок сосудов в виде извитого плотного тяжа (“шнура”) с одновременным поражением более мелких ветвей (при существовании сахарного диабета более 20 лет).
Наряду с этим показано, что параллельно степени кальцификации сосудов голеней и стоп наблюдается прогрессирование отека мягких тканей стопы (судя по их толщине на «мягких» рентгенограммах) и манифестация типичных клинико-рентгенологических признаков диабетической остеоартропатии.
Таким образом, результаты прицельного рентгенологического обследования больных с патологией углеводного обмена позволяют признать склероз менкеберга распространенным осложнением сахарного диабета, своеобразным индикатором его тяжести, наличия специфических макро- и микроангиальных изменений и поражения опорно-двигательного аппарата.
Кроме того, с помощью рентгенографии проводится дифференциальный диагноз склероза Менкеберга, для которого характерен дистальный тип обызвествления с преимущественным поражением артерий среднего калибра (подколенных сосудов и сосудов голени), с облитерирующим атеросклерозом, при котором в патологический процесс вовлекаются также проксимальные (бедренные) артерии. В отличие от сегментарной и локальной облитерации артерий у лиц, не страдающих сахарным диабетом, для больных с диабетическими макроангиопатиями характерна «продольная» облитерация всей пораженной артерии. Особенностью склероза Менкеберга является также слабое развитие или полное отсутствие коллатералей, которые интенсивно развиваются при облитерации сосуда у лиц, не страдающих сахарным диабетом.
Для выявления нарушений гемодинамики при склерозе Менкеберга рекомендуется проведение функциональных проб. Проба Самюэлса позволяет установить относительно ранние стадии нарушений артериального кровотока в конечности: при сгибании-разгибании стоп (в положении больного лежа на спине с приподнятыми и слегка согнутыми в коленнных суставах ногами) они через 5-10 секунд бледнеют, раньше устает более пораженная конечность. Положительная проба Оппеля выявляется на более поздних стадиях заболевания - при возникновении атонии периферических отделов сосудов: при поднятии пораженной конечности горизонтально лежащего пациента на 40-50 см над уровнем постели кожа стопы бледнеет, а при опускании ноги ниже кровати появляется неравномерный акроцианоз.
Более объективную оценку состояния сосудистого русла удается получить с помощью сфигмографии (при склерозе Менкеберга скорость распространения пульсовой волны повышена, дополнительные волны сглажены), реовазографии (изменения в артериях пораженной конечности по спастическому, атоническому и спастико-атоническому типу), реовазографических проб (постуральной, нитроглицериновой, велоэргометрической), ангиографии и т.п. Артериография нижних конечностей позволяет документально подтвердить наличие окклюзии сосуда при склерозе Менкеберга и установить ее уровень, а также оценить состояние коллатералей.
ЛЕЧЕНИЕ. Лечение проводят по общим правилам ведения больных с синдромом диабетической стопы. Оно включает комплекс обще-оздоровительных мероприятий, физиотерапевтических процедур и комбинированное непрерывное медикаментозное лечение (витаминотерапию, прием липотропных и гиполипидемических средств, назначение плазмозамещающих растворов, ангиопротекторов, сосудорасширяющих препаратов, ингибиторов альдозоредуктазы, антиоксидантов / антигипоксантов, анаболических стероидов, гепаринотерапию). Применение тех или иных препаратов, их сочетание и последовательность приема определяются лечащим врачом на основании локализации и стадии кальциноза. Кроме того, больной должен соблюдать диету; необходимы нормализация АД, массы тела, компенсация сахарного диабета, лечение диабетической нейропатии, коррекция гиперлипидемии, снижение физических нагрузок. Категорически запрещается курение. При облитерации сосудов лечение может быть оперативным (реконструктивные операции). Ампутация конечности по поводу гангрены, как правило, не приводит к стабилизации процесса, и в течение последующего года развивается гангрена другой конечности.
Основным условием успеха лечения остается достижение стойкой компенсации сахарного диабета и проведение повторных курсов комплексной терапии 2-3 раза в год.
1. Балаболкин М.И., Гаврилюк Л.И. Сахарный диабет, Кишинев: Штиинца, 1983, 199 с.
2. Глезер М.Г., Москаленко Н.П. Изменения в системе кровообращения при сахарном диабете: Научный обзор. М.: ВНИИМИ, 1983, 64 с.
3. Горелышева В.А., Бухман А.И., Смирнова О.М., Арбузова М.И. Клинико-рентгенологическая характеристика мягких тканей нижних конечностей у больных сахарным диабетом. Проблемы эндокринологии, 1989, Т. 35, №6, С. 15-20.
4. Ефимов А.С. Диабетические ангиопатии. Киев: Здоров’я, 1989, 288 с.
5. Сахарный диабет. Доклад исследовательской группы ВОЗ. М. (пер. с англ.), 1987, 125 с.
7. Lachman A.S., Spray T.L., Kerwin D.M., Shugoll G.I., Roberts W.C. Medial calcinosis of Monckeberg. A review of the problem and a description of a patient with involvement of peripheral, visceral and coronary arteries. Am. J. Med. - 1977 Oct; 63(4): 615-622.
8. Podhaisky H., Amthor A., Hansgen K., Preuss E.G., Sternitzky R. Doppler-sonographische Befunde bei rontgenologisch objektivierter Mediasklerose im Extremitatenbereich. Z. Gesamte Inn. Med. - 1979 Apr 15; 34(8): 213-6.
9. Reinhardt K. Nierenarterienverkalkung bei einer Diabetikerin mit Monckeberg-Sklerose. Fortschr. Geb. Rontgenstr. Nuklearmed. - 1973 Sep; 119(3): 363-366.
10. Hafner J. Uremic small-artery disease with medial calcification and intimal hyperplasia (so-called calciphylaxis): a complication of chronic renal failure and benefit from parathyroidectomy. - J. Am. Acad. Dermatol. - 1995 Dec; 33(6): 954-962.
11. Ferreira F.M., Santos E., Carvalbo A., Pires J. Correlacoes clinicas da mediocalcinose de Monckeberg na diabetes mellitus. - Acta Med Port - 1981 Jul-Aug; 3(4): 267-279.
12. Bariani L. Monckeberg's mediocalcinosis associated with Raynaud's phenomenon. - Minerva Med. - 1983 Jun 16; 74(25): 1473-1477.
[1] J.G. Mönckeberg (1877-1925) - немецкий патологоанатом, впервые описавший морфологические изменения в средней оболочке артерий в виде кальциноза [Virchows Arch. (Pathol. Anat.), 1903, Bd. 171., S. 141-167].
[2] Первое описание склероза Менкеберга при сахарном диабете было опубликовано Bowen B.D., Koenig E.C. et Viele A. [Bulletin of the Buffalo General Hospital, 1924, Vol. 2, P. 35-41].
Менкеберга склероз
макроангиопатия, развивающаяся при сахарном диабете и заключающаяся в поражении крупных артерий нижних конечностей. Патоморфологически представляет собой кальциноз средней оболочки артерий нижних конечностей на фоне ее утолщения и склероза в сочетании с другими проявлениями диабетической макро- и микро-ангиопатии (см. Диабетическая ангиопатия) и невропатии, формирующими синдром диабетической стопы (см. Стопа диабетическая).
Кальциноз стенок артерий нижних конечностей обнаруживается и у людей с нормальным углеводным обменом, причем с возрастом его частота возрастает. Однако у больных с диабетом сахарным (Диабет сахарный) кальциноз артерий нижних конечностей во всех возрастных группах выявляется в 3 раза чаще. Наиболее выраженные изменения обнаруживаются у мужчин старше 80 лет с длительностью сахарного диабета более 10 лет. У больных с гангреной нижней конечности на фоне сахарного диабета М.с. выявляется практически всегда. Тип сахарного диабета не оказывает существенного влияния на формирование склероза Менкеберга.
У женщин, больных сахарным диабетом, М. с. удается установить в 4,5 раза, а у мужчин — в 1,8 раза чаще, чем у лиц, не страдающих диабетом. У мужчин М.с. протекает значительно тяжелее и приводит к серьезным осложнениям вплоть до гангрены (Гангрена).
Склероз Менкеберга характеризуется дистальным типом поражения артерий нижних конечностей. Обызвествление имеет крупно-сегментарный и циркулярный характер. Непосредственно на проходимость артерий обызвествление сосудистой стенки не влияет. До присоединения тромбоза кровоток в кальцинированных сосудах сохраняется, поэтому даже при развитии гангрены на артериях стопы может определяться пульсация. Но в результате обызвествления сосудистая стенка становится ригидной, теряет способность к сокращению и дилатации, что резко снижает адаптационные возможности сосудов, а кальциноз артерий мелкого калибра препятствует развитию коллатерального кровообращения. В последующем неизбежно присоединяются явления окклюзии магистральных сосудов липидно-фиброзными бляшками (см. Атеросклероз), развивается недостаточность кровообращения, отмечаемая сначала при физической нагрузке, а затем и в покое. При М.с. бедренные и подколенные артерии подвергаются кальцинозу вдвое реже, чем артерии голеней. Еще реже кальциноз возникает в межмышечных артериях и коллатералях. При аутопсии кальциноз обнаруживается также в коронарных артериях.
Клинически отмечаются жалобы на боли в ногах, парестезии, ощущение жжения или зябкости, повышенную утомляемость при ходьбе, судороги в икроножных мышцах, перемежающуюся хромоту. Постоянство и выраженность этих признаков зависят от стадии склероза. Более тяжело М.с. протекает у больных сахарным диабетом с артериальной гипертензией, при манифестной форме диабетической невропатии. Сравнительный осмотр преимущественно пораженной и относительно менее пораженной конечностей позволяет выявить изменения окраски кожи, начальные формы атрофии подкожной клетчатки и мышц, дистрофию ногтей, выпадение волос на коже конечностей, трещины, язвы, некротические изменения. Осмотр конечностей рекомендуется проводить в положении больного лежа и стоя, т.к. при артериальной недостаточности перемена положения сопровождается изменением окраски кожи. Пальпаторно определяют пульсацию артерий: подколенной — в глубине подколенной ямки, задней большеберцовой — позади внутренней лодыжки большеберцовой кости и артерии тыла стопы — между I и II плюсневыми костями. Пульс исследуют одновременно на симметричных точках обеих конечностей.
Для выявления нарушений гемодинамики при М.с. рекомендуется проведение функциональных проб Оппеля, Самюэлса и др. (см. Кровеносные сосуды). Более объективную оценку состояния сосудистого русла удается получить с помощью сфигмографии (при М.с. скорость распространения пульсовой волны повышена, дополнительные волны сглажены), реовазографии (изменения в артериях пораженной конечности по спастическому, атоническому и спастико-атоническому типу), реовазографических проб (постуральной, нитроглицериновой, велоэргометрической) и др.
Самым достоверным способом диагностики М.с. является рентгенография нижних конечностей, которую проводят в прямой и боковой проекциях. При этом на обзорном снимке удается проследить весь ход артериального русла ноги от уровня подколенной артерии и ниже, иногда вплоть до мелких артерий стопы. Плотность пораженной артерии на рентгенограмме почти равна плотности костной ткани (рис.). Артериография нижних конечностей позволяет документально подтвердить наличие окклюзии сосуда при М.с. и установить ее уровень, а также оценить состояние коллатералей.
Лечение проводят по общим правилам ведения больных с синдромом диабетической стопы. Оно включает комплекс общеоздоровительных мероприятий, физиотерапевтических процедур и комбинированное непрерывное медикаментозное лечение (витаминотерапию, прием липотропных и гиполипидемических средств, назначение анаболических стероидов, плазмозамещающих растворов, ангиопротекторов, сосудорасширяющих препаратов, ингибиторов альдозоредуктазы, антиоксидантов, гепаринотерапию). Применение тех или иных препаратов, их сочетание и последовательность приема определяются лечащим врачом на основании локализации и стадии кальциноза. Кроме того, больной должен соблюдать диету; необходимы нормализация АД, массы тела, коррекция гиперлипидемии, компенсация сахарного диабета. лечение диабетической невропатии, снижение физических нагрузок. Категорически запрещается курение. При облитерации сосудов лечение может быть оперативным (реконструктивные операции). Ампутация конечности по поводу гангрены, как правило, не приводит к стабилизации процесса, и в течение последующего года развивается гангрена другой конечности.
Библиогр.: Балаболкин М.И. и Гаврилюк Л.И. Сахарный диабет, Кишинев, 1483; Глеер М.Г. и Москаленко Н.П. Изменения в системе кровообращения при сахарном диабете, М., 1983; Ефимов А.С. Диабетические ангиопатии, М., 1989; Сахарный диабет. Доклад исследовательской группы ВОЗ, пер. с англ., М., 1987.

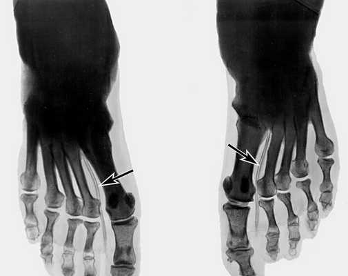
Рентгенограмма голеней больного со склерозом Менкеберга на фоне сахарного диабета: стрелками указаны кальцифицированные большеберцовые артерии">
Рис. а). Рентгенограмма голеней больного со склерозом Менкеберга на фоне сахарного диабета: стрелками указаны кальцифицированные большеберцовые артерии.

Рис. б). Рентгенограмма стоп больного со склерозом Менкеберга на фоне сахарного диабета: стрелками указаны кальцифицированные артерии тыла стопы.
1. Малая медицинская энциклопедия. — М.: Медицинская энциклопедия. 1991—96 гг. 2. Первая медицинская помощь. — М.: Большая Российская Энциклопедия. 1994 г. 3. Энциклопедический словарь медицинских терминов. — М.: Советская энциклопедия. — 1982—1984 гг .
Читайте также:
