Синдром Милкмена (Milkman) - синонимы, авторы, клиника
Добавил пользователь Владимир З. Обновлено: 21.01.2026
Появление на коже (особенно на коже лица) белых узелков. Эти узелки представляют собой крошечные кератиновые кисты диаметром не более 4 мм, которые образуются непосредственно под эпидермисом кожи. Белые угри нередко можно обнаружить вокруг носа у новорожденных младенцев. Вскоре они проходят без какого-либо активного лечения.. ..
(L. A. Milkman, 1895-1951, амер. Рентгенолог) - син. Лоозера - Милкмена болезнь, Милкмена синдром) - ранняя фаза остеомаляции, рентгенологически проявляющаяся множественными симметрично расположенными зонами перестройки кости (преимущественно в диафизах трубчатых костей), клинически - болями в пояснице и ногах, нарушением походки, умеренным искривлением позвоночника.. ..
(W. D. Miller, 1853-1907, амер. Стоматолог) - теория возникновения кариеса зуба, согласно которой разрушение твердых тканей зуба происходит под воздействием молочной кислоты, образуемой микроорганизмами ротовой полости, а разрушение органической основы дентина - вследствие непосредственного воздействия микроорганизмов.. ..
МИЛКМЕНА БОЛЕЗНЬ
МИЛКМЕНА БОЛЕЗНЬ (L. A. Milkman, амер. рентгенолог, 1895 —1951; син.: болезнь Лоозера — Милкмена, синдром Милкмена) — один из видов перестройки костной структуры, развивающийся на почве патологического разрежения костного вещества. В особую нозол, форму выделена Милкменом в 1930 г., однако большинством авторов М. б. рассматривается как рентгенол, разновидность ранней стадии остеомаляции (см.), когда еще не успели развиться значительные искривления и деформации скелета. Для рентгенол, картины М. б. характерны множественные прозрачные зоны шириной от 1 до 10 мм преимущественно в диафизах больших трубчатых костей. Вначале Милкмен ошибочно принял эти зоны за переломы, но затем правильно расценил их как развивающиеся на фоне распространенного остеопороза зоны Лоозера (см. Лоозера зоны). Заболевают гл. обр. женщины среднего возраста.
В клин, картине характерны нарастающие боли в пояснице и ногах, валкая походка, постепенное уменьшение роста, а иногда незначительные искривления позвоночника и больших трубчатых костей.
Леч. эффект оказывают полноценное питание, большие дозы витамина D и гормональные препараты, особенно овариальные.
Прогноз при своевременном распознавании и лечении М. б. более благоприятен, чем при развитых формах остеомаляций с выраженными деформациями и искривлениями скелета.
Библиография: Рейнберг С. А. Рентгенодиагностика заболеваний костей и суставов, кн. 2, с. 31, М., 1964; MilkmanL. A. Pseudofractures (hunger osteopathy, late rickets, osteomalacia), Amer. J. Roentgenol., v. 24, p. 29, 1930, bibliogr.; о н ж e, Multiple spontaneous idiopathic symmetrical fractures, ibid., v. 32, p. 622, 1934, bibliogr.
Болезнь Милкмена
Милкмена болезнь (L.A.Milkman, 1895-1951, амер. рентгенолог) - син.: Лоозера-Милкмена болезнь, Милкмена синдром) - ранняя фаза остеомаляции, рентгенологически проявляющаяся множественными симметрично расположенными зонами перестройки кости (преимущественно в диафизах трубчатых костей), клинически - болями в пояснице и ногах, нарушением походки, умеренным искривлением позвоночника.
Википедия
Статьи для врачей
- 12.02.2105 Восприятие марки настроено позитивно. Диктат потребителя
- 12.02.2105 Восприятие марки настроено позитивно. Диктат потребителя
- 12.02.2105 Восприятие марки настроено позитивно. Диктат потребителя
Статьи для пациентов
SPRINT: О целевом уровне артериального давления у пожилых
Антидепрессанты. Влияние на сон и когнитивные функции у пожилых
IDSA/ ATS. Рекомендации по лечению внутрибольничных пневмоний
Головная боль у взрослых. Виды головных болей.
Головная боль. Вопросы и ответы
Мигрень
Болезнь Альцгеймера и антидепрессанты
Артериальная гипертензия. Какое из имеющихся руководств лучше
Насыщенные жиры и риск сердечно-сосудистых заболеваний. Первые шаги революции?
Cиндром флоккулонодулярный
Синдром флоккулонодулярный (syndromum flocculonodulare; анат. flocculus cerebelli клочок мозжечка + nodulus cerebelli узелок мозжечка) - статическая атаксия с нарушением походки при отсутствии гипотон.
Санитарно-противоэпидемический отряд армейский, фронтовой
Санитарно-противоэпидемический отряд армейский, фронтовой (истор.) - санитарно-эпидемиологическое учреждение армии (фронта), предназначавшееся для организации и проведения мероприятий по санитарно-гиг.
Популяция изогенная
Популяция изогенная (греч. isos одинаковый + -genes порождаемый, возникающий) - популяция, все особи которой генетически идентичны, т. е. гомозиготны по большинству локусов; может возникнуть при длите.
Милкмена синдром
1. Малая медицинская энциклопедия. — М.: Медицинская энциклопедия. 1991—96 гг. 2. Первая медицинская помощь. — М.: Большая Российская Энциклопедия. 1994 г. 3. Энциклопедический словарь медицинских терминов. — М.: Советская энциклопедия. — 1982—1984 гг .
Смотреть что такое "Милкмена синдром" в других словарях:
Милкмена синдром — (L. A. Milkman) см. Милкмена болезнь … Большой медицинский словарь
Милкмена болезнь — (L. A. Milkman, 1895 1951, амер. рентгенолог) син.: Лоозера Милкмена болезнь, Милкмена синдром) ранняя фаза остеомаляции, рентгенологически проявляющаяся множественными симметрично расположенными зонами перестройки кости (преимущественно в… … Большой медицинский словарь
Ми́лкмена боле́знь — (L.A. Milkman, 1895 1951, американский рентгенолог) син.: Лоозера Милкмена болезнь, Милкмена синдром) ранняя фаза остеомаляции, рентгенологически проявляющаяся множественными симметрично расположенными зонами перестройки кости (преимущественно в… … Медицинская энциклопедия
Синдром Маршалла (PFAPA синдром)
Что такое синдром Маршалла, клиническая картина, симптомы, лечение.

3.90 (Проголосовало: 20)
- Что это такое?
- Клиническая картина
- Диагностика
- Важными диагностическими критериями являются:
- Может ли ребенок посещать детский сад или школу?
- Можно ли водить ребенка в спортивную секцию?
- Можно ли ребенку делать прививки?
Что это такое?
Синдром Маршалла - синдром периодической лихорадки, афтозного стоматита, фарингита и шейного лимфаденита.
Заболевание проявляется в детском возрасте, чаще у мальчиков.
Характеризуется периодическими эпизодами лихорадки (38 - 41ºC) с регулярными интервалами от 2 до 8 недель и клиническими проявлениями афтозного стоматита, фарингита, шейного лимфаденита. Между эпизодами клинические проявления отсутствуют.
На сегодняшний день причина заболевания не известна, возможно, имеет генетический характер. Распространённость также не известна.
Клиническая картина
Периодическая лихорадка - главный признак, по которому можно заподозрить синдром Маршалла. На фоне полного здоровья у ребенка повышается температура до 38 - 41 ºC. И держится от 2 до 7 дней, иногда до 10 дней и исчезает самостоятельно. Как правило, ребенку назначают антибиотики и жаропонижающие препараты, на фоне которых нет эффекта.
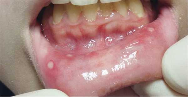
Афтозный стоматит - язвы располагаются на слизистой оболочки губ и щёк. Этот признак проявляется примерно у 40-80% пациентов.
![]()
Фарингит с экссудативным компонентом на миндалинах встречается у 65-100% пациентов.
Шейная лимфаденопатия (увеличение лимфоузлов) встречается 60-100% пациентов. Шейные лимфоузлы могут быть уплотнены, болезненны при пальпации.
Диагностика
К сожалению, на данный момент специфической диагностики нет. Диагноз ставится на основании жалоб и эпизодов лихорадки.
В общем анализе крови могут быть незначительные изменения - увеличение СОЭ, нейтропения (уменьшение количества нейтрофилов). Посевы на микрофлору из горла часто не дают никаких результатов при данном заболевании.
PFAPA синдром - это диагноз исключения. В первую очередь исключаются другие причины рецидивирующей лихорадки: инфекция, воспалительные заболевания кишечника, лихорадка при лимфоме Ходжкина, циклическая нейтропения и другие.
Важными диагностическими критериями являются:
- Более 3 эпизодов лихорадки продолжительностью до 5 дней и возникающих регулярно на фоне полного здоровья;
- Фарингит и лимфаденопатия или афтозные язвы;
- Хорошее здоровье между эпизодами и нормальный рост;
- Разрешение симптомов в течение нескольких часов после лечения преднизолоном в виде однократной дозы или двух доз с интервалом от 12 до 48 часов.
Лечение синдрома Маршалла
Для лечения в период обострения используют глюкокортикостероиды (преднизолон) с интервалом введения. Но фоне приема которых симптомы заболевания проходят после 1-2 инъекции.
Назначение жаропонижающих препаратов иногда приводит к снижению температуры.
Хирургическое лечение - тонзиллэктомия (удаление миндалин), назначается пациентам, которые не реагируют на терапию гормональными препаратами или у которых заболевание вызывает серьёзное ухудшение качества жизни. После тонзиллэктомии симптомы заболевания купируются, в том числе и лихорадка, кроме афтозного стоматита.
Прогноз благоприятный. С возрастом клиническая картина улучшается, периоды ремиссии становятся длиннее, а симптомы менее выраженными. У большинства пациентов проявления заболевания прекращаются к 10 годам.
Наиболее частые вопросы от родителей
Может ли ребенок посещать детский сад или школу?
- Да, может и должен, но не в момент обострения.
Можно ли водить ребенка в спортивную секцию?
- Единственное противопоказание - это период обострения.
Можно ли ребенку делать прививки?
- Да, ребенка можно и нужно вакцинировать. Врач-педиатр должен быть проинформирован о вашем заболевании. Доктор также может составить индивидуальный план прививок. Особое внимание нужно уделить, когда ребенку вводится живая или ослабленная вакцина.
Своевременное обращение к врачу поможет сохранить Ваше здоровье.
Не откладывайте лечение, звоните прямо сейчас. Мы работаем круглосуточно в Москве.Читайте также:

