Синдром Огилви (Ogilvie) - синонимы, авторы, клиника
Добавил пользователь Евгений Кузнецов Обновлено: 22.11.2025
Актуальность. Синдром Огилви (СО) - острая псевдообструкция толстой кишки, относящаяся к патологическому расширению толстой кишки без механической непроходимости. В мире отсутствует осведомленность о СО в клинической практике акушеров-гинекологов, особенно в послеоперационном периоде кесарева сечения.
Описание. После экстренно проведенной операции кесарева сечения, которая прошла без особенностей, на 3-и сутки послеоперационного периода у пациентки было выявлено резкое ухудшение состояния - были отмечены клинические проявления пареза кишечника. Учитывая жалобы, данные объективного, инструментального исследования, была произведена релапаротомия с выявлением участка некроза и перфорации кишечника, разлитого гнойного перитонита.
Заключение. СО является редким заболеванием, которое представляет интерес для акушеров-гинекологов и хирургов общего профиля, поскольку его ранняя диагностика и быстрое лечение являются ключевыми факторами, позволяющими избежать летальных осложнений.
Синдром Огилви (СО), также известный как острая псевдообструкция толстой кишки, относится к патологическому расширению толстой кишки без механической непроходимости, возникающему преимущественно у пациентов с тяжелыми сопутствующими заболеваниями. СО диагностируется по результатам клинических и рентгенологических данных и может лечиться консервативно (ингибиторы ацетилхолинэстеразы (такие как неостигмин), декомпрессивные процедуры), а также путем хирургического вмешательства [1].
СО впервые был описан сэром Огилви в 1948 г. [2] как острая дилатация ободочной кишки, обычно вовлекающая слепую кишку и правый полуколон без какой-либо существующей механической обструкции [3]. Острая ободочная непроходимость, или СО, является редкой формой послеоперационного или посттравматического осложнения. СО редко встречается в послеоперационном периоде у гинекологических и акушерских пациентов и трудно диагностируется [4].
В немецком исследовании пришли к выводу, что беременность является предрасполагающим фактором для СО. 82,6% пациенток, выявленных в литературном поиске, были беременны, и СО был выявлен либо во время беременности, либо после вагинальных родов, либо после кесарева сечения. Кроме того, в 73,3% СО развился после проведенной операции кесарева сечения [4, 5]. Данное хирургическое вмешательство является наиболее распространенным в современном акушерстве, частота которого во всем мире ежегодно увеличивается [6].
Также хорошо известно, что беременные женщины часто жалуются на обстипационный синдром. Например, Derbyshire E. (2006) сообщает о частоте его встречаемости у 35, 39 и 20% пациенток в I, II и III триместрах беременности соответственно [7]. Выделяется акушерско-гинекологическая группа факторов риска СО, включающая кесарево сечение, нормальные вагинальные роды, оперативные вагинальные роды, преэклампсию, нормальную беременность, гинекологические операции.
Патофизиология СО неизвестна и считается многофакторной. Нарушения вегетативной иннервации толстой кишки с дисбалансом в симпатическом и парасимпатическом контроле моторики толстой кишки были предложены в качестве потенциального способствующего фактора [8]. Симпатическая гиперактивность во время беременности согласуется со сниженной активностью стимулирующих нейротрансмиттеров, таких как ацетилхолин, и гиперактивностью ингибирующих нейротрансмиттеров, таких как вазоактивный кишечный пептид, описанный при СО [1]. Компрессия парасимпатического сплетения беременной маткой и усиление симпатической стимуляции из-за растяжения механорецепторов в стенке толстой кишки вызывают снижение моторики [9, 10]. Также подразумеваются и другие теории, такие как гормональный дисбаланс, гипоперфузия, метаболические и фармакологические причины [11].
Врачи Великобритании призывают общих хирургов знать о СО у пациенток после кесарева сечения и рекомендуют поэтапный системный подход к диагностике и лечению СО [12]. По мнению немецких врачей, в литературе недостаточно освещаются гинекологические и акушерские случаи. Кроме того, многие случаи, возможно, остались недиагностированными из-за относительного отсутствия осведомленности о СО в акушерско-гинекологическом сообществе [4]. Учитывая, что в отечественной литературе описан всего один случай СО после кесарева сечения [13], мы приводим собственное наблюдение пациентки с этой патологией, родоразрешенной в перина.
Синдром Огилви
Синдром Огилви в 95% наблюдений развивается на фоне других заболеваний. Наиболее часто он ассоциируется с травмами (11 %), инфекциями (10 %) и заболеваниями сердца (10 %), особенно с инфарктом миокарда и застойной сердечной недостаточностью. Cиндром Огилви встречается и после обширных хирургических операций. 52 % больных с синдромом Огилви перенесли травмы или операции на позвоночнике или на органах забрюшинного пространства. 20 % больным с синдромом Огилви производились операции на сердце. Появление синдрома Огилви описано при тяжелом остром панкреатите и при обширных операциях по поводу рака толстой кишки (Тренин С.О. и др.)
При раннем выявлении и консервативном ведении с помощью декомпрессии толстой кишки и введения неостигмина синдром Огилви, как правило, разрешается без оперативного вмешательства. Тем не менее наблюдать таких пациентов необходимо в условиях хирургического отделения, и принимать решение о тактике ведения больного должны специалисты в области абдоминальной хирургии. От гастроэнтеролога и терапевта зависит, насколько рано будет распознан синдром Огилви, что поможет избежать травмирующих оперативных вмешательств (Баранская Е.К.).
Синдром Огилви в МКБ-10
Синдром Ogilvie.
Огилви с. - картина ложной закупорки толстого кишечника в результате расстройств симпатической иннервации: увеличенный живот, расширенная толстая кишка, исхудание, запоры. Патологические изменения в толстом кишечнике не обнаруживаются; обычно наблюдается при злокачественных опухолях различной другой локализации, дающих метастазы в симпатические ганглии.
Синдром Payr.
Morbus Payr, syndromus flexurae lienalis.
Пайра с. - приступообразный абдоминальный симптомокомплекс в связи с застоем газов или кала в области селезеночного изгиба; чувство давления или полноты в левом верхнем квадранте живота; давление или жгучая боль в области сердца, сердцебиение, одышка, подгрудинная и прекардиальная боль с чувством страха; одно- или двусторонняя боль в плече с иррадиацией в руку; боль между лопатками.
Синдром Piulachs — Hederich.
Dilatatio coli acuta.
Пиулакса — Эдерика с. - острое паралитическое расширение толстой кишки без механической закупорки ее: доминирует метеоризм, боль вплоть до картины острого живота. При рентгенологическом обследовании обнаруживается долихо - и мегаколон. Возможно, непосредственной причиной данного состояния является накопление газов в толстом кишечнике.
Синдром Rapunzel.
Рапунцеля с. - разновидность непроходимости кишечника: наблюдается преимущественно у детей (при психопатии, олигофрении и др.) в связи с систематическим заглатыванием волос, в результате чего в тонком кишечнике образуется конгломерат, состоящий из волос (трихобезоар); если он достигает определенной величины, то развивается картина непроходимости кишечника. Лечение только оперативное.
Симптом Айзенберга.
Айзенберга с. - иррадиация боли в область желчного пузыря при постукивании под углом правой лопатки. Наблюдают при заболеваниях желчного пузыря.
Симптом Березнеговского - Ohlecker.
Березнеговского - Елекера с. - признак острого холецистита: иррадиация болей в правое предплечье.
Симптом Боткина.
Синоним: холецисто-коронарный синдром.
Боткина с. - кардиалгия, наблюдаемая при холецистите. Проявляется колющей, схваткообразной болью в области сердца, левой лопатки и левого плеча, иррадиирующей из верхней половины живота. Часто предшествует желчной колике или сопровождает ее. Могут быть изменения на ЭКГ.
Синдром Огилви (Ogilvie) - синонимы, авторы, клиника

Профессиональные справочные статьи предназначены для использования медицинскими работниками. Они написаны британскими врачами и основаны на научных данных, британских и европейских руководствах. Вы можете найти один из наших статьи о здоровье полезнее.
- эпидемиология
- Факторы риска
- презентация
- Дифференциальная диагностика
- исследования
- управление
- Прогноз
- профилактика
Это синдром острой псевдообструкции кишечника, связанный с массивной дилатацией, обычно толстой кишки, но также тонкой кишки. Механическая обструкция отсутствует и имеется диссимпатическая нервная дисфункция. Впервые он был описан сэром Уильямом Хениджем Огилви в 1948 году, английским хирургом, который также был экзаменатором в Оксбридже и писал статьи о переломах и грыжах. 1 Этот синдром также известен как острая псевдообструкция толстой кишки (ACPO).
эпидемиология
- Это редкое заболевание, и уровень заболеваемости на самом деле не известен.
- Мужчины чаще страдают, чем женщины.
- Синдром Оливия чаще встречается у пожилых людей.
Факторы риска
Синдром Oglivie часто связан с другими условиями, в том числе: 2
- Недавняя акушерская, гинекологическая или тазовая хирургия.
- Недавняя травма или ортопедическая процедура.
- Базовая инфекция.
- Последние сердечные события.
- Электролитный дисбаланс.
- Медикаменты (например, опиоиды, антидепрессанты).
- Пересадка твердого органа.
презентация
Хотя симптомы и признаки обструкции толстой кишки часто встречаются, синдром Огливия может иметь различные клинические проявления. Поэтому важно иметь высокую степень подозрения у этих пациентов.
симптомы
- Боли в животе, как правило, спазмы или колики.
- Чувство раздутого.
- Тошнота и рвота.
- Прерывистый запор.
Приметы
- Массивное вздутие живота.
- Нормальные, пониженные или затрудненные звуки кишечника.
- Минимальная нежность.
- Пустая, заполненная воздухом прямая кишка на цифровом ректальном исследовании.
Если оставить нераспознанным, прогрессирующее расширение толстой кишки может привести к ишемической болезни, перфорации и увеличению смертности. 2
Дифференциальная диагностика
- Механическая обструкция.
- Аденокарцинома толстой кишки.
- Рубцы, спайки.
- Воспалительные состояния - язвенная болезнь, аппендицит, панкреатит.
- Синдром раздраженного кишечника.
- Болезнь Гиршпрунга.
- Паразитарная инфекция - например, американский трипаносомоз.
исследования
- Полная история - симптомы, история болезни, предыдущая операция, история болезни и семейная история, история психиатрии, привычки и нормальное питание.
- Полное обследование - для выявления других состояний, включая цифровое ректальное исследование.
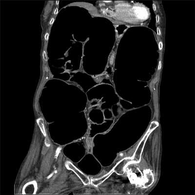
- Рентген брюшной полости часто показывает массивное расширение толстой кишки (мегаколон) с диаметром слепой кишки 10-14 см.
- КТ часто проводится для исключения механической обструкции.
управление
Своевременное распознавание и тщательный мониторинг чрезвычайно важны для управления этим состоянием. Большинство пациентов поправляются с помощью консервативных мер.
Общие меры
- Если возможно, устраните причину.
- Позвольте пациенту быть мобильным и, если возможно, заниматься спортом.
- Посоветуйте адекватное потребление жидкости.
- Назогастральный зонд для декомпрессии желудка и снятия рвоты.
фармакологический
- Противорвотные прокинетики - например, метоклопрамид.
- Часто вводят неостигмин внутривенно (в / в), и это безопасный и эффективный вариант для пациентов с синдромом Огливия, которые не реагируют на консервативное лечение: 3 При введении в виде болюса это может привести к быстрому улучшению. 4
- IV жидкости.
- Антибиотики начинают, если подозревается основная инфекция.
хирургический
- Перфорация, ишемия и перитонит требуют срочного хирургического вмешательства. 2
- Декомпрессия с помощью гибкого колоноскопа, особенно когда дилатация слепой кишки достигает размеров, которые считаются подверженными высокому риску перфорации. 5
- Хирургическое вмешательство - это обычно экостомия или колэктомия.
- Лапаротомия показана при ишемии и перфорации или если диагноз не ясен.
Прогноз
Пациенты, избегающие хирургического вмешательства и перфорации, обычно хорошо выздоравливают, хотя рецидивы встречаются часто.
Показано, что возраст пациента, максимальный диаметр слепой кишки и задержка декомпрессии толстой кишки имеют прямую корреляцию со смертностью. 2
Операция связана с высокими показателями заболеваемости и смертности. 5
профилактика
- Избегание постельного режима.
- Адекватное увлажнение.
- Избегание лекарств, которые подавляют парасимпатическое действие мышц желудочно-кишечного тракта.
Считаете ли вы эту информацию полезной? да нет
Спасибо, мы только что отправили электронное письмо с опросом, чтобы подтвердить ваши предпочтения.
Дальнейшее чтение и ссылки
Огилви Н ; Колики толстой кишки вследствие симпатической депривации нового клинического синдрома. Br Med J. 1948 9 октября
Джейн А, Варгас HD ; Достижения и проблемы в лечении острой псевдообструкции толстой кишки (синдром Огилви). Clin Colon Rectal Surg. 2012 март 25 (1): 37-45. doi: 10.1055 / s-0032-1301758.
Valle RG, Godoy FL ; Неостигмин при острой псевдообструкции толстой кишки: метаанализ. Энн Мед Сург (Лондон). 2014 июнь 193 (3): 60-4. doi: 10.1016 / j.amsu.2014.04.002. eCollection 2014 сент.
Хутен К.Г., Оливерия С.Ф., Ларсон С.Д. и др. ; Синдром Огилви после детской деформации позвоночника: успешное лечение неостигмином. J Neurosurg Pediatr. 2014 сент. 14 (3): 255-8. doi: 10.3171 / 2014.6.PEDS13636. Epub 2014 18 июля.
Перейра П, Джеуджи Ф., Ледук П. и др. ; Синдром Огилви - острая кишечная псевдообструкция. J Visc Surg. 2015 апр. 152 (2): 99-105. doi: 10.1016 / j.jviscsurg.2015.02.004. Epub 2015 11 марта.
Синдром Огилви как редкое хирургическое осложнение после операции кесарева сечения
Ключевые слова
Список литературы
Принята в печать 01.02.2021
Об авторах / Для корреспонденции
Также по теме
Баринов С.В., Лазарева О.В., Медянникова И.В., Тирская Ю.И., Кадцына Т.В., Леонтьева Н.Н., Шкабарня Л.Л., Чуловский Ю.И., Грицюк М.Н.
Баринов С.В., Медянникова И.В., Тирская Ю.И., Безнощенко Г.Б., Кадцына Т.В., Лазарева О.В., Биндюк А.В., Неустроева Т.Н., Степанов С.С.
Читайте также:
- Советы при нарушении ритма сердца (аритмии) у хирургических больных
- Вирусная теория врожденных пороков сердца. Внешние факторы как причина врожденных пороков сердца
- Синдром цирроза печени
- Профилактика травм у артистов балета. Причины профессиональных травм у танцоров балета
- Допплер-ЭхоКГ функции протеза клапана сердца
