Складчатый язык. Туберкулез слизистой рта. Опоясывающий лишай.
Добавил пользователь Евгений Кузнецов Обновлено: 11.12.2025
Опоясывающий герпес (herpes zoster), или опоясывающий лишай, вызывается вирусом Varicella zoster.
Такое название обусловлено тем, что вирус является возбудителем двух различных по клиническим проявлениям заболеваний: ветряной оспы и опоясывающего лишая. Вирус Varicella zoster отличается нейродерматотропностью.
Опоясывающий лишай - это вирусное заболевание, для которого характерно поражение нервной системы, слизистой оболочки рта и кожи. Его рассматривают как повторную инфекцию на фоне снижения иммунитета, развившегося в результате контакта организма с вирусом в прошлом. Считается, что заболевание возникает в результате активизации вируса, находящегося в латентном состоянии в нервных ганглиях. Чаще всего опоясывающий лишай возникает в весенний и осенний периоды. Болеют преимущественно люди в возрасте 40-70 лет, причем мужчины несколько чаще, чем женщины. У более пожилых больных заболевание протекает тяжелее и нередко осложняется постгерпетической невралгией.
Что провоцирует / Причины Опоясывающего герпеса:
Опоясывающий лишай в большинстве случаев возникает на фоне ослабления защитных сил организма в результате перенесенной пневмонии, болезней крови, новообразований и других истощающих иммунитет заболеваний. Как правило, после болезни остается стойкий иммунитет. Однако у лиц, страдающих тяжелыми хроническими заболеваниями (онкологические, болезни крови), возможны рецидивы. Инфекция передается контактным и воздушнокапельным путями.
Опоясывающий герпес характеризуется лихорадкой, болями невралгического характера и эритематозновезикулярными высыпаниями на коже и слизистой оболочке по ходу пораженных периферических нервов. Страдают ганглии некоторых черепных и межпозвоночных нервов, чаще с одной стороны. При поражении первой и третьей ветвей тройничного нерва, а также узла тройничного нерва (герпетический ганглионит) возникают высыпания везикул на слизистой оболочке рта. Одновременно элементы поражения возникают в области иннервации и на коже. Локализация процесса только на слизистой оболочке рта встречается редко.
У лиц преклонного возраста часто на фоне общих тяжелых заболеваний, цитостатической, кортикостероидной терапии развивается генерализованный опоясывающий лишай. Он характеризуется тяжелым течением с выраженными явлениями интоксикации и генерализацией пузырьковых высыпаний, сходных с сыпью при ветряной оспе. Могут поражаться также мозговые оболочки и легкие, что нередко приводит к летальному исходу.
Симптомы Опоясывающего герпеса:
Локализация поражений может быть различной. Чаще всего высыпания пузырьков наблюдаются на кожных покровах и слизистой оболочке по ходу ветвей тройничного нерва, в зоне межреберных нервов, на конечностях.
После эпителизации эрозий на слизистой оболочке рта и отпадения корок на коже процесс завершается, оставляя после себя временную пигментацию. Общая продолжительность заболевания составляет 2-3 нед. Прогноз, как правило, благоприятный, однако у лиц преклонного возраста, а также у страдающих тяжелыми заболеваниями, сопровождающимися резким снижением иммунитета (лейкоз, онкологические заболевания), возможны осложнения в виде постгерпетических невралгий, гиперестезии и гиперпатии, длящиеся несколько месяцев или лет. Чаще подобные явления наблюдаются у лиц пожилого возраста, причем чем старше больной, тем выше вероятность развития постгерпетических осложнений.
Диагностика Опоясывающего герпеса:
Опоясывающий герпес следует дифференцировать от:
Важное значение в диагностике опоясывающего герпеса имеют односторонность поражения, отсутствие рецидивов, выраженный болевой симптом, локализация везикул строго в зоне, иннервируемой пораженным нервом. Для постановки окончательного диагноза используют следующие дополнительные методы исследования: общий клинический анализ крови, вирусологический (выделение вируса из свежих везикул, крови, цереброспинальной жидкости или смыва из зева), цитологический.
Лечение Опоясывающего герпеса:
Основные задачи лечения при опоясывающем лишае - действие на возбудителя заболевания, снятие болевого симптома, нормализация трофики нервных стволов, профилактика постгерпетических невралгий.
Применяют противовирусные препараты, метисазон (по 0,6 г 2 раза в день после еды в течение 6 дней); бонафтон (по 0,1 г 3-5 раз в день, три 5дневных цикла с перерывами 1-2 дня ) ; ацикловир (по 0,8 г 5 раз в день в течение 5 дней). Эффективно использование дезоксирибонуклеазы. Препарат вводят внутримышечно в дозе 25 мг через каждые 4 ч или по 50 мг 2-3 раза в день в течение 7-10 дней. Наступает быстрое купирование процесса. Лечение дезоксирибонуклеазой также снижает вероятность постгерпетических невралгий.
Местное лечение заключается в использовании с первых дней заболевания препаратов противовирусного действия (теброфен, флореналь, госсипол, мегосин, оксолин, интерферон). В период разрешения везикулярной сыпи показаны кератопластические средства: масло шиповника, облепихи, витамин А, каротолин, мазь "Актовегин" и др.
Эффективна с первых дней заболевания лазерная терапия (гелийнеоновый, инфракрасный лазеры), УФлучи.
Патогенетическую основу болевого симптома и герпетических невралгий при опоясывающем лишае составляют развивающая отечность нервных стволов и их ущемление в узких костных пространствах. Для устранения отека и нормализации микроциркулягорных нарушений назначают дегидратационную терапию: салицилаты (ацетилсалициловая кислота, натрия салицилат по 0,5 г 1-3 раза в день); 40 % раствор глюкозы; диакарб (по 0,125-0,25 г 2 раза в день утром и вечером). Своевременное проведение дегидратационной терапии достаточно быстро (уже в первые сутки) снимает острый болевой синдром, способствует быстрому купированию воспалительного процесса.
Для снятия болевого симптома назначают анальгетики, проводят новокаиновые блокады, электрофорез новокаина по ходу пораженного нерва.
Симптомы симпаталгии купируют ганглиоблокаторами: ганглероном - пи 1 мл внутримышечно, на курс 6-8 инъекций; пахикарпином - по 0,05 г 3 раза в день.
Для коррекции микроциркуляторных нарушений назначают курантил по 0,025-0,05 г 3 раза в день в течение 5-7 дней.
Повышение защитных сил организма и его сопротивляемости достигается назначением витаминов: В, (1-2 мл 6 % раствора внутримышечно, на курс до 15 инъекций), В12 (в возрастающих дозах 200-500 мкг в сутки) внутримышечно, при улучшении состояния 100 мкг в сутки, в течение 2 нед, аскорбиновая кислота - по 0,3-0,5 г в сутки. Применяют также ларифан - индуктор интерферонов - по 10 мг подкожно 1 раз в день в течение 2 дней с последующим интервалом 3-4 дня. Курс введения препарата не должен превышать 2 нед. Используют адаптогены (препараты женьшеня, элеутерококка, аралии маньчжурской).
К каким докторам следует обращаться если у Вас Опоясывающий герпес:
Вас что-то беспокоит? Вы хотите узнать более детальную информацию о Опоясывающего герпеса, ее причинах, симптомах, методах лечения и профилактики, ходе течения болезни и соблюдении диеты после нее? Или же Вам необходим осмотр? Вы можете записаться на прием к доктору .
Туберкулез полости рта
Туберкулез полости рта - хроническое инфекционное заболевание, возбудителем которого является палочка Коха. Пациенты жалуются на ухудшение общего состояния, повышение температуры, вялость. Местно выявляют бугорки, в центральной части которых возникает болезненная неглубокая язвенная поверхность с неровными краями и желтым зернистым дном. Диагностика туберкулеза полости рта включает сбор жалоб, составление анамнеза заболевания, клинический осмотр, цитологическое и бактериоскопическое исследования. Лечение больных с туберкулезом полости рта проводится в туберкулезном диспансере.
МКБ-10
Общие сведения
Заболевание чаще обнаруживают у представителей мужского пола. Снижение сопротивляемости организма способствует активизации условно-патогенной микрофлоры полости рта, в результате чего нередко возникает дополнительное бактериальное инфицирование язвенной поверхности. В 10% случаев туберкулезные изъязвления малигнизируются.
Причины
Туберкулез полости рта возникает на фоне подавленного иммунного статуса. Возбудителем заболевания является палочка Коха. Как правило, очаги поражения слизистой имеют вторичную природу, так как развиваются в результате распространения инфекционных агентов и их токсинов из основных открытых фокусов воспаления по сети кровеносных или лимфатических сосудов. Также при легочной форме туберкулеза инфицирование слизистой полости рта может возникнуть вследствие проникновения микобактерий, находящихся в мокроте. Туберкулез полости рта диагностируют редко, так как в ротовой полости палочки Коха быстро погибают.
Классификация
Различают четыре основные формы туберкулеза полости рта:
- Первичный туберкулез полости рта. Во взрослом возрасте встречается редко. Чаще заболевание диагностируют у детей. Основные пути инфицирования - респираторный, фекально-оральный.
- Туберкулезная волчанка. В стоматологии волчаночную форму туберкулеза полости рта выявляют наиболее часто. Люпозно-эрозивные элементы поражения локализуются преимущественно на деснах. Туберкулезная волчанка склонна к хронизации. Зафиксированы случаи озлокачествления длительно незаживающих изъязвлений.
- Милиарно-язвенный туберкулез полости рта. Возникает у ослабленных туберкулезом больных. Микобактерии, выделяясь с мокротой во время кашля, проникают вглубь слизистой в местах ее повреждений. Чаще поражаются небо и язык, реже очаги милиарно-язвенного туберкулеза полости рта диагностируют в зоне маргинальной десны, в области щек.
- Скрофулодерма. Заболевание встречается преимущественно в детском возрасте. Клиника имеет некоторые отличия от других форм туберкулеза полости рта. Сначала возникает не бугорок, а узел достаточно крупных размеров, после размягчения и некроза которого образуются свищевые ходы. Заживление язвенной поверхности происходит с формированием характерных бахромчатых рубцов.
Симптомы туберкулеза полости рта
При первичном туберкулезе полости рта выявляют болезненные язвы с рваными краями и уплотненным основанием, покрытые желто-серыми наслоениями. Со временем участок изъязвления увеличивается. Одновременно с этим увеличиваются и спаиваются в единый конгломерат лимфоузлы. Часто наблюдается гнойный лимфаденит. Первичными элементами поражения у пациентов с туберкулезной волчанкой являются бугорки - безболезненные образования мягкоэластической консистенции диаметром до 3 мм красного цвета. Люпомы увеличиваются в размерах и сливаются между собой, образуя обширные очаги поражения.
После бугорковой стадии волчаночная форма туберкулеза полости рта переходит в язвенную фазу, для которой характерно появление участков изъязвлений. Язвы болезненные, с рваными возвышающимися краями и уплотненным дном серо-желтого цвета. Иногда язвенные поверхности могут быть покрыты кровоточащей грануляционной тканью. Во время 4 фазы туберкулеза полости рта наблюдается рубцевание изъязвлений. Возможно повторное образование бугорков вокруг рубцов, что в дальнейшем приводит к формированию грубой фиброзной ткани, деформирующей слизистую.
При милиарно-язвенном туберкулезе полости рта сначала образуются мелкие люпомы, которые очень быстро распадаются, в результате чего возникают обширные язвенные поверхности. Изъязвления болезненные, неглубокие, с рваными краями. Основание язвы неровное, часто покрыто грануляциями. Вокруг очага поражения образуются микроабсцессы. Присутствует незначительная гиперемия и отечность окружающих тканей. Чаще всего изъязвления локализуются на щеках и небе. Щелевидные язвы выявляют на границе перехода неподвижной слизистой в подвижную, а также на языке. Лимфоузлы при милиарно-язвенной форме туберкулеза полости рта болезненны, спаяны, увеличены.
При скрофулодерме обнаруживаются узлы больших размеров. Со временем узлы распадаются, в результате чего образуются свищи и обширные язвенные поверхности. Рубцевание происходит с формированием грубой фиброзной ткани.
Диагностика
Постановка диагноза туберкулез полости рта базируется на основании жалоб, данных анамнеза заболевания, результатов клинического, цитологического, бактериоскопического исследований. Во время физикального обследования врач-стоматолог выявляет небольшие возвышения на слизистой - бугорки. При пальпации люпомы малоболезненные, желто-красного цвета и мягкоэластической консистенции, быстро увеличиваются в размерах и сливаются между собой, образуя рисунки различной конфигурации. Вскоре на их месте обнаруживают неглубокие болезненные изъязвления с зернистым желто-серым дном и рваными возвышающимися краями.
Присутствует незначительное перифокальное воспаление. Лимфатические узлы у больных с туберкулезом полости рта становятся твердыми, бугристыми, болезненными при пальпации. Между поверхностью лимфоузлов и окружающими тканями образуются спайки. Для диагностики туберкулезной волчанки используют 2 дополнительных клинических теста. Методом диаскопии при туберкулезе полости рта определяют симптом «яблочного желе» (от надавливания на участок губ люпомы приобретают светло-коричневый оттенок), также наблюдается положительный феномен Поспелова (при касании кончиком пуговчатого зонда бугорка вершина люпомы разрушается, и зонд проваливается). Во время цитологического исследования соскоба, взятого с участка изъязвления, при туберкулезе полости рта наряду с эпителиальными клетками обнаруживают гигантские клетки Лангханса.
С помощью бактериоскопического метода у больных туберкулезом полости рта не всегда удается выявить микобактерии. Положительный результат анализа чаще наблюдается при милиарно-язвенной форме заболевания, реже в случае туберкулезной волчанки. Методом выбора для подтверждения туберкулезной этиологии поражения служит иммуннологическое обследование с помощью тестов T-SPOT или QuantiFERON.
Дифференцируют элементы поражения при туберкулезе полости рта с сифилисом, актиномикозом, травматической декубитальной язвой, злокачественным новообразованием. Пациента обследует стоматолог-терапевт. При подозрении на наличие туберкулезной инфекции больного направляют на консультацию к фтизиатру.
Лечение туберкулеза полости рта
Лечение больных с туберкулезом полости рта проводится в специализированном туберкулезном диспансере. Для предотвращения присоединения бактериальной инфекции местно назначают антисептические ванночки. С этой целью используют препараты на основе хлоргексидина биглюконата. Для обезболивания применяют гели или спреи, в состав которых входят местные анестетики: лидокаин, анестезин.
После купирования острых явлений больным с туберкулезом полости рта показано проведение санирующих мероприятий: удаление отложений, лечение кариеса и его осложнений. При раннем обращении пациентов в медицинское учреждение и полноценном противотуберкулезном лечении прогноз в большинстве случаев благоприятный. Позднее выявление туберкулеза полости рта приводит к необратимым изменениям: прогрессирующему разрушению тканей, деформации слизистой.
Опоясывающий лишай (герпес Зостер). Проявления в полости рта
Рекомендовано
Экспертным советом
РГП на ПХВ «Республиканский центр
развития здравоохранения»
Министерства здравоохранения
и социального развития
Республики Казахстан
от «15» октября 2015 года
Протокол № 12
Название протокола: Опоясывающий лишай (герпес Зостер).
Опоясывающий лишай - инфекционное заболеваний вызываемое нейротропным вирусом (вирус Зостер) семейства герпес [7].
Код протокола:
Код (коды) по МКБ-10:
B 02 опоясывающий лишай (Herpes zoster)
Сокращения, используемые в протоколе:
ПЦР - полимеразная цепная реакция
ДНК - дезоксирибонуклеиновая кислота
Дата разработки/пересмотра протокола: 2015 год
Категория пациентов: взрослые.
Пользователи протокола: дерматолог, инфекционист, невропатолог, врач-стоматолог общей практики, терапевт, врач общей практики.
Оценка на степень доказательности приводимых рекомендаций.
Таблица - 1 Шкала уровня доказательности:
| А | Высококачественный мета-анализ, систематический обзор РКИ или крупное РКИ с очень низкой вероятностью (++) систематической ошибки результаты которых могут быть распространены на соответствующую популяцию. |
| В | Высококачественный (++) систематический обзор когортных или исследований случай-контроль или Высококачественное (++) когортных или исследований случай-контроль с очень низким риском систематической ошибки или РКИ с не высоким (+) риском систематической ошибки, результаты которых могут быть распространены на соответствующую популяцию. |
| С | Когортное или исследование случай-контроль или контролируемое исследование без рандомизации с не высоким риском систематической ошибки (+). Результаты, которых могут быть распространены на соответствующую популяцию или РКИ с очень низким или невысоким риском систематической ошибки (++ или +), результаты которых не могут быть непосредственно распространены на соответствующую популяцию. |
| D | Описание серии случаев или неконтролируемое исследование или мнение экспертов. |
| GPP | Наилучшая фармацевтическая практика. |

Автоматизация клиники: быстро и недорого!
- Подключено 300 клиник из 4 стран
- 800 RUB / 4500 KZT / 27 BYN - 1 рабочее место в месяц

Автоматизация клиники: быстро и недорого!
- Подключено 300 клиник из 4 стран
- 1 место - 800 RUB / 4500 KZT / 27 BYN в месяц
Мне интересно! Свяжитесь со мной
Клиническая классификация: [7]
В 02.2 Опоясывающий лишай с другими осложнениями со стороны нервной системы.
В 02.20 Постгерпетическая невралгия тройничного нерва
В 02.21 Постгерпетическая невралгия других черепных нервов
В 02.8 Опоясывающий лишай с другими осложнениями
В 02.8Х Проявления в полости рта
В 02.9 Опоясывающий лишай без осложнений
Клиническая картина
Cимптомы, течение
Диагностические критерии постановки диагноза [2,3,4,5,6,7,10,11]
Жалобы и анамнез: [2,3,4,5,6,7,10,11]
Анамнез:
В анамнезе ветряная оспа, контакт с инфицированным лицом или снижение иммунитета организма, наличие стресса, обострение соматического заболевания.
Физикальное обследование: [2,3,4,5,6,7,10,11]
На слизистой оболочке полости рта и коже пораженной стороны появляются везикулы диаметром от 1 до 6 мм, которые быстро лопаются, образуя единичные или сливные эрозии, покрытые фибринозным налетом. Отмечается регионарный лимфаденит. На коже пузырьки образуют корочки, после их отпадения остается пигментация кожи. Реже пузырьки могут иметь геморрагическое содержимое (геморрагическая форма) или некротизируются (гангренозная форма).
Перечень диагностических мероприятий:
Основные (обязательные) диагностические обследования, проводимые на амбулаторном уровне:
1. Сбор жалоб и анамнеза.
2. Визуальный осмотр слизистой полости рта и кожных покровов.
Дополнительные диагностические обследования, проводимые на амбулаторном уровне:
1. Цитологическое исследование.
2. Обнаружение вируса герпеса 3 типа (ВПГ-III) в биологическом материале методом ПЦР.
Минимальный перечень обследования, который необходимо провести при направлении на плановую госпитализацию: нет
Основные (обязательные) и дополнительные диагностические обследования, проводимые на стационарном уровне (при экстренней госпитализации проводятся диагностические обследования не проведенные на амбулаторном уровне): нет
Диагностические мероприятия, проводимые на этапе скорой неотложной помощи: нет
Инструментальные исследования: нет.
Показания для консультации специалистов:
· консультация невропатолога - для комплексного лечения
· консультация дерматолога - для исключения кандидоза другой локализации
· консультация терапевта, врача общей практики - для выявления соматической патологии.
Лабораторная диагностика
Лабораторные исследования: [7,10]
· цитологическое - многоядерные гигантские клетки.
обнаружение вируса герпеса 3 типа (ВПГ-III) в биологическом материале методом ПЦР - обнаружение ДНК вируса Зостер.
Дифференциальный диагноз
Дифференциальный диагноз:
Таблица - 2. Дифференциальная диагностика
| Нозологическая форма | Опоясывающий лишай | Простой герпес полости рта | Невралгия ветвей тройничного нерва | Рожистое воспаление | Экзема |
| Жалобы | наличие односторонних высыпаний по невральным сегментам, подъем температуры 40° | Наличие везикулярных высыпаний в полости рта, подъем температуры до 39° | Наличие болей по ходу тройничного нерва, наличие «триггерной зоны» | Наличие гиперемии кожи на ограниченном участке | Наличие элемента поражения связано с воздействием аллергена |
| Объективные данные | односторонняя везикулярная сыпь по ходу невральных сегментов в виде «гроздьев винограда», «гирлянд» | одиночные или множественные везикулярные высыпания в полости рта, быстро вскрывающиеся с образованием эрозий и афт, явления катарального и язвенно-некротического гингивита | изменений на коже и в полости рта нет, имеется снижение чувствительности, наличие болезненности при пальпации мест выхода ветвей тройничного нерва, «триггерные (курковые) зоны» | поражение с типичной локализацией на лице или нижних конечностях, увеличение лимфоузлов, типичные красные и болезненные пятна с неровными краями, похожими на пламя, при покое боли исчезают. | острая воспалительная отечная эритема с последующим высыпанием группы быстро вскрывающихся микровезикул, на месте которых обнажаются точечные эрозии - так «серозные колодцы», из глубины которых выделяется серозный экссудат, образуя обильно мокнущую поверхность, постепенно серозная жидкость подсыхает, образуя серовато-жёлтые корки |
| Дополнительные методы исследования | Цитологически гигантские многоядерные клетки, ПЦР - ДНК вируса Зостер | Цитологически гигантские многоядерные клетки, ПЦР - ДНК вируса герпеса простого | Не требуется | Лабораторные методы исследования не имеют самостоятельного значения | Общий клинический анализ крови - повышение количества эозинофилов (норма 0-5). |
Лечение
ликвидация воспалительного процесса и увеличение периода ремиссии.
Тактика лечения: [4,5,7,8,9,10,12] лечение проводится на амбулаторном уровне.
Объем лечебных мероприятий определяется формой болезни, размером очага, быстротой развития процесса.
Немедикаментозное лечение: [4,5,7,10] Режим III. Стол №15.
Медикаментозное лечение: [4,5,7,8,9,10,12]
Медикаментозное лечение, оказываемое на амбулаторном уровне:
Местная медикаментозная терапия:
Обезболивающие препараты:
1. Лидокаина гидрохлорид, 1% для аппликаций на слизистую полости рта перед приемом пищи до стихания болевых ощущений.
При непереносимости:
2. Прокаин, 5мг/мл, 0,5%, для аппликаций на слизистую полости рта, с целью обезболивания перед приемом пищи и обработкой элементов поражения до стихания болевых ощущений.
Антисептики:
3. Хлоргексидина биглюконат, 0,05%, для обработки полости рта 3 раза в день в течение 10 дней.
Противовирусные препараты (выбрать один из них):
4. Ацикловир, 5%, для аппликаций на слизистую оболочку 3-4 раза в день в течение 7-14 дней в зависимости от степени тяжести.
5. Пенцикловир, 1%, для аппликаций на пораженный участок каждые 2 ч (примерно 8 раз/сут), курс в течение 4 дней Интерферон, 2 мл, растворить в 2 мл теплой воды в виде аппликаций 5-6 раз в день в течение 7-14 дней в зависимости от степени тяжести.
Эпителизирующие препараты:
6. Токоферола ацетат, 30%, в виде аппликаций на слизистую полости рта, 3 раза в день до полной эпителизации элементов поражения.
Общая медикаментозная терапия:
Нестероидные противовоспалительные препараты (выбрать один из них):
1. Парацетамол, 500мг, перорально, 1таблетка 3 раз в сутки, максимально до 5-7 дней.
2. Ибупрофен, 200мг, 1 таблетка 3 раза в сутки, максимальная суточная доза 2,4г, максимально не более 5 дней.
Противовирусные препараты (выбрать один из них):
3. Ацикловир, 200мг, перорально, 1 таблетка 5 раз в день в течение 7-14 дней в зависимости от степени тяжести.
Другие виды лечения: нет.
Хирургическое вмешательство: нет.
Индикаторы эффективности лечения:
удовлетворительное состояние, стойкая ремиссия.
Препараты (действующие вещества), применяющиеся при лечении
| Ацикловир (Acyclovir) |
| Ибупрофен (Ibuprofen) |
| Лидокаин (Lidocaine) |
| Парацетамол (Paracetamol) |
| Пенцикловир (Penciclovir) |
| Прокаин (Procaine) |
| Токоферол (Tocopherol) |
| Хлоргексидин (Chlorhexidine) |
Госпитализация
Показания для госпитализации с указанием типа госпитализации:
Показания для плановой госпитализации: нет.
Показания для экстренной госпитализации: тяжелое течение с риском развития энцефалита, менингита.
Профилактика
Профилактические мероприятия:
· устранение контакта с этиологическим фактором;
· общее оздоровление организма;
· диспансерное наблюдение;
Дальнейшее ведение: диспансерное наблюдение два раза в год.
Информация
Источники и литература
- Протоколы заседаний Экспертного совета РЦРЗ МЗСР РК, 2015
- Список использованной литературы: 1. Приказ МЗ РК №473 от 10.10.2006г. «Об утверждении Инструкции по разработке и совершенствованию клинических руководств и протоколов диагностики и лечения заболеваний». 2. Анисимова И.В., Недосеко В.Б., Ломиашвили Л.М. Заболевания слизистой оболочки рта и губ. - 2005. - 92 с. 3. Диагностика в терапевтической стоматологии: Учебное пособие / Т.Л.Рединова, Н.Р.Дмитракова, А.С.Япеев и др. - Ростов н/Д.: Феникс, 2006. -144с. 4. Заболевания слизистой оболочки полости рта и губ / Под ред. Проф.Е.В.Боровского, проф.А.Л.Машкиллейсона. - М.:МЕДпресс, 2001. -320с. 5. Зазулевская Л.Я. Болезни слизистой оболочки полости рта. Учебник для студентов и практических врачей. - Алматы, 2010. - 297 с. 6. Лангле Р.П., Миллер К.С. Атлас заболеваний полости рта: Атлас / Перевод с английского под ред. Л.А.Дмитриевой. -М.: ГЭОТАР-Медиа, 2008. -224с. 7. Терапевтическая стоматология. Национальное руководство. Москва, Гэотар-Медиа, 2009, 908с. 8. Hügler P , Siebrecht P , Hoffmann K , Stücker M , Windeler J , Altmeyer P and Laubenthal H. Prevention of postherpetic neuralgia with varicella-zoster hyperimmune globulin.- European journal of pain (London, England), 2002, 6(6), 435 9. Gopal MG , Shannoma , Sharath Kumar BC , Ramesh M , Nandini AS and Manjunath NC. A Comparative study to evaluate the efficacy and safety of acyclovir and famciclovir in the management of herpes zoster.- Journal of Clinical and Diagnostic Research, 2013, 7(12), 2904 10. Laskaris G. Treatment of Oral Diseases. A Concise Textbook.- Thieme, Stuttgart/New York, 2006, p.300 11. Laskaris G. Color Atlas of Oral Diseases, 3rd edition.- Stuttgart: ThiemeVergal, 2003 12. Pan B-C , Hou X-W and Li X-P. Curative effect of recombinant human interferon alpha2b gel combined with aciclovir on herpes zoster.- Chinese Journal of Biologicals, 2008, 21(8), 711
Информация
Список разработчиков протокола с указание квалификационных данных:
1. Есембаева Сауле Сериковна - доктор медицинских наук, профессор, директор Института стоматологии Казахского Национального медицинского университета им.С.Д.Асфендиярова;
2. Баяхметова Алия Алдашевна - доктор медицинских наук, профессор, заведующая кафедры терапевтической стоматологии Казахского Национального медицинского университета им.С.Д.Асфендиярова;
3. Сухочева Татьяна Михайловна - кандидат медицинских наук, ассистент кафедры терапевтической стоматологии Казахского Национального медицинского университета им.С.Д.Асфендиярова;
4. Тулеутаева Светлана Толеуовна - кандидат медицинских наук, зав.кафедры стоматологии детского возраста с курсом хирургической стоматологии Карагандинского государственного медицинского университета;
5. Манекеева Замира Тауасаровна - врач стоматолог Института стоматологии Казахского Национального медицинского университета им.С.Д.Асфендиярова.
6. Тулеутаева Райхан Есенжановна - кандидат медицинских наук, доцент кафедры фармакологии и доказательной медицины Государственного медицинского университета г.Семей .Указание на отсутствие конфликта интересов: нет
Рецензенты:
1. Жаналина Бахыт Секербековна - доктор медицинских наук, профессор РГП на ПХВ Западно-Казахстанский государственный медицинский университет им. М.Оспанова, заведующая кафедрой хирургической стоматологии и стоматологии детского возраста;
2. Маргвелашвили Владимир Владимирович - доктор медицинских наук, профессор, руководитель Департамента стоматологии и челюстно-лицевой хирургии Тбилисского государственного университета им. И. Джавахишвили.Указание условий пересмотра протокола: пересмотр протокола через 3 года и/или при появлении новых методов диагностики и/или лечения с более высоким уровнем доказательности.
Красный плоский лишай полости рта
Красный плоский лишай полости рта - хронический стоматодерматоз, сопровождающийся появлением элементов в виде узелков, папул, бляшек, эрозий, пузырей и воспалительно-дистрофическими поражениями слизистой оболочки ротовой полости. Для диагностики, в т. ч. дифференциальной, необходим тщательный осмотр, сбор анамнеза, проведение лабораторных и инструментальных исследований: биопсии с морфоцитологическим анализом материала, иммунофлюоресценции, люминесцентной диагностики, определения микротоков, биохимического исследования крови и аллергологических проб. Лечение подбирается индивидуально и включает в себя комплекс из медикаментов местного и общего воздействия.
Красный плоский лишай (КПЛ) полости рта - патология слизистой оболочки, для которой характерно формирование различных элементов с нарушением трофических процессов в пораженных тканях. Данное заболевание можно отнести к наиболее распространенным дерматозам полости рта, его изолированные признаки встречаются примерно у 2% населения, однако среди больных кожной формой КПЛ оральные проявления развиваются у 50-75%. Пациентами, как правило, являются женщины в возрасте 30-50 лет, значительно реже патология встречается у пожилых людей и детей. Патологические очаги располагаются в задних отделах щек и позадимолярной области, на деснах, языке, губах, слизистой оболочке твердого неба. Красный плоский лишай полости рта - незаразная патология, ее возникновение связано с индивидуальной предрасположенностью конкретного индивида.
Причины красного плоского лишая полости рта
На сегодняшний день в стоматологии не сложилось общепризнанной теории, и наиболее прогрессивным взглядом на механизм возникновения заболевания считается иммунно-аллергическая гипотеза, рассматривающая его как многофакторную патологию, в основе которой - нарушение процессов иммунной регуляции. Под воздействием экзогенных и эндогенных факторов изменяется клеточный иммунитет. Так, большая часть Т-клеток воспалительного инфильтрата относится к группе CD8 +, а активация Т-клеток напрямую связана с повышением уровня Th1 цитокинов и молекул межклеточной адгезии в клетках Лангерганса и макрофагах. Как следствие, возникает интенсивный воспалительный ответ. Еще одним механизмом этиопатогенеза красного плоского лишая полости рта выступает дегрануляция тучных клеток и активация матричных металлопротеиназ. По мнению некоторых ученых, хронический характер заболевания также связан с недостаточностью иммуносупрессивных механизмов.
К провоцирующим факторам относят хронический стресс и сильные нервные потрясения. Большинство пациентов имеют проблемы с состоянием ЖКТ, поджелудочной железы и печени. Ряд исследователей отмечают взаимосвязь КПЛ с эндокринными и сердечно-сосудистыми расстройствами, в частности, сахарным диабетом и гипертонической болезнью. Сочетание двух последних нозологий с КПЛ носит название «синдрома Гриншпана». К возникновению заболевания может приводить травматизация слизистой рта острыми краями зубов, нависающими пломбами, неграмотно подобранными протезами. Использование протезов из разнородных металлов провоцирует появление гальванических токов, изменяющих работу ряда ферментов слюны и являющихся триггером красного плоского лишая в полости рта.
Существуют также данные о токсико-аллергической природе заболевания. Так, лихеноидная реакция полости рта описана у пациентов, чья деятельность связана с проявкой цветной кинопленки, контактирующих с парафенилдиамином и имеющих в анамнезе данные о длительном приеме тетрациклина и препаратов золота.
Симптомы красного плоского лишая полости рта
В отечественной классификации принято различать шесть форм КПЛ: типичную, экссудативно-гиперемическую, гиперкератотическую, эрозивно-язвенную, буллезную и атипичную. Каждая имеет свои особенности течения, но при любых вариантах заболевания происходит образование патологических очагов или дефектов слизистой оболочки полости рта. Во многих случаях пациенты не высказывают каких-либо жалоб, но для некоторых форм характерны боль и жжение во рту, усиливающиеся в процессе приема пищи.
У 45% пациентов диагностируется типичная форма. При осмотре выявляют мелкие (диаметром до 2 мм ) серовато-белые узелки полигональной формы, при слиянии образующие рисунок кружев. При экссудативно-гиперемическом варианте папулы серого цвета определяются на фоне отечной и гиперемированной слизистой оболочки. Данная форма красного плоского лишая полости рта характерна для 25% пациентов. Для гиперкератотической формы свойственно наличие серых бляшек, имеющих тенденцию к постепенному огрубению и возвышению над окружающими тканями. Некоторые пациенты при этом отмечают чувство сухости и шероховатости во рту.
Наиболее тяжелой формой, диагностируемой у 23% пациентов, считается эрозивно-язвенная. Ее характеризует выраженное воспаление и формирование на слизистой оболочке эрозий и язв разнообразной формы. Их поверхность покрывает фибринозный налет, при его удалении патологические элементы начинают кровоточить. При данной форме КПЛ пациенты обычно предъявляют жалобы на сильные боли и чувство жжения.
Буллезная форма диагностируется лишь у 3% пациентов и сопровождается образованием плотных пузырей диаметром до 1,5 см с геморрагическим экссудатом. Максимум через двое суток пузыри вскрываются, оставляя после себя эрозии неправильной формы, покрытые фибринозной пленкой. При буллезной форме дно эрозий быстро эпителизируется. Атипичная форма КПЛ встречается в 4% случаев, элементы локализуются преимущественно на верхней губе и деснах. При осмотре нередко можно выявить расширение устьев слюнных желез.
Важно отметить, что у одного больного одновременно могут наблюдаться признаки нескольких форм заболевания или трансформация одного вида в другой. Болезнь имеет хроническое течение с наличием периодов обострения. При красном плоском лишае полости рта существует вероятность малигнизации патологических элементов. Озлокачествление встречается всего у 1% пациентов, обычно у лиц пожилого возраста, имеющих длительный анамнез эрозивно-язвенной формы КПЛ. В этом случае отмечается уплотнение инфильтрата в основании патологического элемента и усиление процессов кератинизации.
Диагностика красного плоского лишая полости рта
Для полноценной диагностики необходимо собрать подробный анамнез, включающий данные о генетической предрасположенности, перенесенных и сопутствующих патологиях, наличии провоцирующих факторов, аллергологической и иммунологической отягощенности и этапности развития симптоматики. Врачу-стоматологу следует помнить о возможности поражения кожных покровов и уточнить этот момент у пациента. Необходимо оценить состояние ортопедических конструкций, особенно если речь идет о металлических протезах. В таких случаях определяется электрохимический состав слюны и наличие микротоков. При необходимости пациента направляют на консультацию к дерматологу, неврологу, гастроэнтерологу, эндокринологу, аллергологу-иммунологу и т. д. Может потребоваться биохимический анализ крови, оценка иммунного статуса и аллергологические пробы для выявления сенсибилизации к медикаментам, химическим и стоматологическим материалам.
Но главным инструментом диагностики красного плоского лишая полости рта является биопсия с дальнейшим гистологическим исследованием полученного материала. К достоверным признакам заболевания относится умеренно выраженная гиперплазия эпителия, признаки гипер- и паракератоза, гранулеза. При этом в базальном слое отмечается незначительная вакуолизация, которая при затяжном течении приобретает характер выраженной дегенерации. В субэпителиальных слоях обнаруживается лимфоидный инфильтрат. При подозрении на малигнизацию необходимо провести цитологическое исследование полученного образца на наличие атипичных клеток. Важную роль в диагностике играет прямая иммунофлюоресценция, при которой в субэпителиальных слоях отмечается скопление IgM (реже IgA и С3). Для подтверждения диагноза мазки-отпечатки с поверхности папул рассматривают в лучах лампы Вуда, где патологические элементы дают желтовато-оранжевое свечение.
Дифдиагностика основывается на сравнительной морфологии патологических элементов. Красный плоский лишай полости рта следует отличать от кандидоза, дискоидной красной волчанки, вторичного сифилиса, лейкоплакии и ранних стадий плоскоклеточного рака. Для форм, сопровождающихся наличием эрозий, проводят дифференциальную диагностику с афтозными поражениями, пемфигоидом, вульгарной пузырчаткой, многоформной эритемой, токсико-аллергическими реакциями и острыми формами СКВ.
Лечение красного плоского лишая полости рта
Подбор медикаментов производят, исходя из причины, остроты процесса и сопутствующих патологий. При бессимптомном течении и единичных папулезных элементах порой даже не требуется какого-либо медикаментозного вмешательства. Эрозивные и язвенные поражения, напротив, нуждаются в своевременной терапии, в противном случае велик риск ухудшения состояния пациента и присоединения инфекции. Для купирования воспалительного процесса используются топические кортикостероиды. Пероральные формы применяют только в крайне тяжелых случаях. При первых признаках улучшения дозировку препарата необходимо снизить и в дальнейшем произвести отмену во избежание побочных эффектов. Помимо топических стероидов, местное лечение заболевания включает в себя обезболивание (раствор анестезина или пиромекаина) и ускорение регенерации (метилурацил, витамин Е в масле). Для профилактики кандидоза на фоне применения стероидных гормонов рекомендуется прием противогрибковых средств перорально (флуконазол, Нистатин) или в виде мазей (Гризеофульвин, Кетоконазол). В ряде случаев с целью местной иммуносупрессии могут назначаться топические ингибиторы кальциневрина (Такролимус, Пимекролимус). Для ускорения регенерации тканей рекомендуется прием поливитаминов.
Всем пациентам с нервными расстройствами необходима седативная терапия (настойка валерианы и пустырника, Феназепам, Сибазон). Пациентам с отягощенным аллергологическим анамнезом требуется гипосенсибилизирующая терапия (Кларитин, Зиртек, Эриус). Если заболевание сопровождается иммунодефицитом, назначают иммуномодулирующую терапию (Ликопид, Миелопид, Интерферон). Для улучшения активности ферментов и ускорения синтеза нуклеиновых кислот используются противомалярийные препараты (Делагил, Резохин).
Также эффективны физиотерапевтические методы (электро- и фонофорез), а некоторым пациентам с длительно незаживающими эрозиями при вероятности малигнизации рекомендуется хирургическое вмешательство. Кроме того, всем без исключения пациентам необходимо провести полноценную санацию полости рта и устранить все раздражающие факторы (острые края зубов, нависающие пломбы, травмирующие ортопедические конструкции) и очаги хронического воспаления (кариес, пульпит, пародонтит). Необходимо отказаться от курения, спиртного, горячей и острой пищи и придерживаться щадящей диеты. Важно не допускать нервного перенапряжения и по возможности избегать стрессов.
Прогноз и профилактика красного плоского лишая полости рта
Своевременная постановка диагноза и выявление причин позволяют подобрать патогенетическую терапию и провести успешное лечение. В таком случае прогноз заболевания благоприятный. Но поскольку красный плоский лишай полости рта относится к хроническим дерматозам, пациент должен находиться на диспансерном учете и регулярно проходить обследование у дерматолога и стоматолога. Отсутствие необходимого медикаментозного вмешательства приводит к отягощенному течению и появлению осложнений. Профилактика красного плоского лишая состоит из соблюдения требований гигиены полости рта, прохождения профосмотров стоматолога 1 раз в полгода, лечения стоматологических и соматических заболеваний, отказа от курения и других вредных привычек.
Опоясывающий герпес (опоясывающий лишай) - симптомы и лечение
Что такое опоясывающий герпес (опоясывающий лишай)? Причины возникновения, диагностику и методы лечения разберем в статье доктора Александрова Павла Андреевича, инфекциониста со стажем в 14 лет.
Над статьей доктора Александрова Павла Андреевича работали литературный редактор Маргарита Тихонова , научный редактор Сергей Федосов
Определение болезни. Причины заболевания
Опоясывающий герпес (опоясывающий лишай) — это инфекционное заболевание, которое возникает у людей, переболевших ветряной оспой. Его вызывает вирус Varicella zoster (вирус ветряной оспы), который активизируется из латентного состояния и поражает задние корешки спинного мозга, межпозвоночные нервные узлы (ганглии) и кожу.
Клинически характеризуется умеренно выраженным синдромом общей инфекционной интоксикации, везикулёзной сыпью по ходу чувствительных нервов, вовлечённых в процесс, и выраженными болями.
![Опоясывающий герпес: сыпь по ходу чувствительных нервов]()
Этиология
Семейство — Herpesviridae (от греч. herpes — ползучий)
Вид — вирус герпеса 3 типа — Varicella zoster (VZV, HHV-3).
Varicella zoster — ДНК-содержащий клеточно-ассоциированный вирус овальной формы. В диаметре он достигает 120-179 нм. Покрыт липидной оболочкой с гликопротеиновыми шипиками. Имеет антигены как снаружи, так и внутри (сердцевинные антигены). Их количество и качество непостоянно. Других вариантов патогена не найдено.
![Varicella zoster]()
После того, как человек перенёс ветряную оспу, вирус ретроградным обратным путём перемещается по отросткам нервных клеток (аксонам) к ганглиям. Там он пожизненно сохраняется в латентном состоянии. Антигены вируса на поверхности инфицированных нейронов отсутствуют. Это не позволяет иммунной системе распознать данные клетки.
Для животных непатогенен. Очень неустойчив во внешней среде, изменяется при нагревании. Солнечная радиация, свежий воздух при проветривании, стандартные дезинфицирующие средства и жирорастворители убивают вирус почти мгновенно [1] [2] [5] [7] [9] [10] .
Эпидемиология
Заболеванию подвержены люди, которые перенесли ветряную оспу (как правило, давно) при снижении иммунореактивности организма. К ним относятся пожилые, беременные, ВИЧ-инфицированные, люди после стресса или трансплантации органов — получающие иммуносупрессивную терапию (подавление нежелательных реакций иммунной системы) и другие иммунодепрессированные контингенты.
Так как заболевание развивается из-за реактивации вируса, уже находящегося в организме, опоясывающий герпес называют эндогенной болезнью.
Заболевание не носит массовый характер. У него нет чёткой сезонности. Чуть чаще болеют женщины и представители белой расы.
Люди с опоясывающим герпесом являются источником распространения вируса и могут быть опасны в плане заражения ветряной оспой у ранее не болевших людей, особенно детей.
В среднем заболеваемость находится на уровне 10-12 случаев на 1000 человек старше 60 лет. В последнее десятилетие наблюдается рост заболеваемости в более младших возрастных группах.
У ВИЧ-инфицированных опоясывающий герпес — достаточно частое проявление при снижении уровня СД4 (белых кровяных телец) ниже 0,5 на 10 9 /л. При отсутствии прогрессирующей иммуносупрессии повторные рецидивы наблюдаются редко (не более 5 % случаев) [1] [3] [5] [7] [10] .
При обнаружении схожих симптомов проконсультируйтесь у врача. Не занимайтесь самолечением - это опасно для вашего здоровья!
Симптомы опоясывающего герпеса
Инкубационный период в привычном понимании отсутствует, так как опоясывающий герпес — это не первичная инфекция. Может пройти вся жизнь, а манифестация так и наступит, хотя вирус в организме присутствует.
Предугадать развитие болезни сложно. Её начало и проявления широко различаются и зависят от степени тяжести. Заболеванию может предшествовать стресс, травма или ОРЗ.
Выделяют симптоматику отдельных форм опоясывающего лишая.
Ганглиокожная форма
Эта форма начинается с продромы — лёгкое недомогание, нарушения чувствительности, умеренные болевые ощущения в местах будущих высыпаний. Этот период длится до семи дней. Затем боли становятся выраженными, появляется лихорадка, умеренно выраженный синдром общей инфекционной интоксикации. Иногда боли усиливаются даже при дуновении ветра (т.н. аллодинические боли — от неболевых раздражителей).
Через 3-10 дней в этих местах на фоне покраснения появляется везикулёзная сыпь. При этом интенсивность боли обычно снижается. Сыпь возникает с одной стороны, ограниченная областью иннервации одного сенсорного ганглия. Везикулы имеют тенденцию к группировке.
![Везикулёзная сыпь при опоясывающем герпесе]()
В дальнейшем содержимое везикул мутнеет, иногда вскрывается. Через 4-5 дней от появления сыпи появляются корочки. Они исчезают на 2-4 неделе болезни.
![Образовавшиеся корочки]()
Разрешаются в ысыпания бесследно, но только при отсутствии расчёсов и глубоких воспалительных повреждений. А вот болевые феномены могут сохраняться длительно, иногда до года. Это требует своевременной противовирусной терапии и купирования боли.
В целом боли при опоясывающем герпесе достаточно выраженные, усиливаются при движении, прикосновении (даже незначительном). Их можно расценить как острые (с продромы и до одного месяца), подострые (1-4 месяца) и хронические (более 4 месяцев - постгерпетическая невралгия - типичная нейропатическая боль). Характер болей может быть различным - постоянным и спонтанным, чаще жгучим, давящим. Иногда боли сравнивают с ударом тока. Они могут причинять значительные физические страдания больным, нарушать сон, изматывать пациента.
Локализация болей и сыпи соответствует проекции поражённых нервов.
![Локализация опоясывающего герпеса]()
Глазная форма
Высыпания появляются на лице, носе и глазах. Это связано с поражением тройничного нерва и гассерова узла. Сыпь распространяется от уровня глаза до теменной области, резко прерывается по срединной линии лба. Иногда процесс затрагивает глаз.
![Глазная форма опоясывающего герпеса]()
Ушная форма
Поражается коленчатый узел. При этом захватывается ушная раковина, наружный слуховой проход. Может возникнуть паралич лицевого нерва и лицевой мускулатуры — т.н. синдром Ханта. Теряется вкусовая чувствительность.
![Высыпания в ухе и парез лицевого нерва]()
Гангренозная (некротическая) форма
Возникает глубокое поражение кожи. Формируются грубые рубцы, иногда с геморрагическим пропитыванием содержимого — геморрагическая форма. Чаще всего развивается у пожилых людей с отягощённым соматическим анамнезом — сахарным диабетом, язвенной болезнью и т. д.
![Гангренозный опоясывающий герпес]()
Менингоэнцефалитическая форма
Чаще наблюдается при расположении сыпи на голове. Повышается температура, возникают головные боли, тошнота и рвота, не приносящая облегчения, менингеальный синдром, нарушения сознания, кома. Летальность при этом состоянии — свыше 60 %.
Диссеминированная форма
Возникает при СПИДе. Высыпания распространяются по всему кожному покрову. Часто при этом поражаются внутренние органы — лёгкие, мозг, печень, почки. Прогноз неблагоприятный.
Ганглионевралгическая форма
Характерные высыпания отсутствуют, но есть явный болевой синдром. Диагностика крайне затруднительна. Из-за очень позднего диагноза лечение сводиться лишь к купированию боли. Применение противовирусных препаратов в отсроченный период явно не влияет на процесс.
Опоясывающий герпес при беременности
У беременных опоясывающий герпес (при отсутствии ВИЧ) обычно не имеет каких-либо отличий. Он не влияет на течение беременности и не вызывает поражения плода/ребёнка [2] [3] [6] [8] [10] .
Патогенез опоясывающего герпеса
Даже спустя много лет после перенесённой ветряной оспы вирус сохраняется в межпозвоночных нервных узлах и задних корешках спинного мозга. Под воздействием провоцирующего фактора (ВИЧ, стресса, приёма иммунодепрессантов, онкологии, радиации, пересадки органов и других) он активизируется и выходит из нервных клеток. Продвигаясь по аксонам чувствительных нервных стволов (чаще межрёберных, тройничного нерва) до кожного покрова, вызывает характерное поражение кожи — болезненную везикулёзную сыпь.
Такой процесс происходит у людей с наличием специфических антител класса G в низких концентрациях и сниженным уровнем клеточного иммунитета.
![Проникновение вируса ветряной оспы в кожу]()
Патоморфологические изменения кожи напоминают изменения при простом герпесе:
- возникает внутриклеточный и межклеточный отёк эпидермиса;
- в верхних отделах росткового слоя образуются пузырьки;
- происходит баллонирующая дегенерация и дистрофия цитоплазмы — клетки шиповатого слоя округляются, увеличиваются и отделяются друг от друга и разрушаются;
- появляются гигантские клетки, которые содержат несколько ядер, в том числе с эозинофильными включениями.
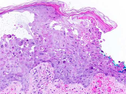
![Строение кожи при опоясывающем герпесе]()
В патогенезе болезни ведущими являются не эпителиотропные свойства вируса, а нейротропные. Из-за часто повторяющихся болевых стимулов, частичного повреждения миелиновой оболочки, покрывающей аксоны и нейроны, и участков чувствительных нервов вирус повышает чувствительность ноцицепторов центральной нервной системы [1] [2] [5] [7] [10] .
Классификация и стадии развития опоясывающего герпеса
МКБ-10 (Международная классификация болезней) выделяет семь вариантов опоясывающего герпеса (B02):
- B02.0 — опоясывающий лишай с энцефалитом;
- B02.1 — опоясывающий лишай с менингитом;
- B02.2 — опоясывающий лишай с другими осложнениями со стороны нервной системы: постгерпетический ганглионит узла коленца лицевого нерва, полиневропатия, невралгия тройничного нерва;
- B02.3 — опоясывающий лишай с глазными осложнениями: блефарит, конъюнктивит, иридоциклит, ирит, кератит, кератоконъюнктивит, склерит;
- B02.7 — диссеминированный опоясывающий лишай;
- B02.8 — опоясывающий лишай с другими осложнениями;
- В02.9 — опоясывающий лишай без осложнений.
По клинической картине выделяют две основные формы заболевания:
- Типичная (без осложнений и с осложнениями):
- эритематозная — покраснения;
- везикулёзная — покраснение с образованием везикул (пузырьков);
- пустулёзная — покраснение, везикулы, нагноение пузырьков;
- буллёзная — тяжело протекающая форма с появлением на коже пузырей, наполненных экссудатом, впоследствии нередко нагнаивающихся.
- Атипичная (без осложнений, с осложнениями):
- абортивная — наблюдается лишь гиперемия, иногда возникают папулы, но без везикул, т. е. без пузырьков;
- геморрагическая — содержимое везикул пропитывается кровью;
- гангренозная — с некрозом тканей;
- генерализованная — обширные высыпания, поражающие несколько участков кожи;
- диссеминированная (в т. ч. у ВИЧ-инфицированных) — обширные высыпания с поражениями внутренних органов; крайне неблагоприятный прогноз;
- опоясывающий герпес с поражением органа зрения (офтальмогерпес с развитием кератита, эписклерита, иридоциклита) и неврита зрительного нерва;
- опоясывающий герпес с поражением слизистой полости рта, глотки, гортани, ушной раковины и слухового прохода.
По степени тяжести заболевание может быть:
- лёгким;
- среднетяжёлым;
- тяжёлым (с осложнениями) [1][2][10]
Осложнения опоясывающего герпеса
- Поперечный миелит — острое воспаление серого и белого вещества одного или нескольких прилегающих сегментов спинного мозга. Возникают головные, шейные и спинные боли. Затем добавляется чувство слабости, опоясывающей скованности груди и живота — двигательные параличи, задержка мочи и кала. Для диагностики проводится МРТ и анализы ликвора.
- Менингоэнцефалит — резкое повышение температуры, сильная головная боль, тошнота, рвота, менингеальный симптомы, нарушение сознания. Диагностируется с помощью МРТ и анализов ликвора. Прогноз неблагоприятный.
- Офтальмогерпес — покраснение, нарушение зрения, боль в глазу. В итоге приводит к глаукоме и слепоте.
- Отит — боли в ухе, повышение температуры тела, выделения из уха, нарушения слуха. Может привести к глухоте.
- Ганглионеврит — воспаление нервного ганглия с относящимися к нему нервными стволами. Сопровождается выраженными стреляющими, жгучими болезненными ощущениями, которые возникают из-за малейших воздействий на поражённый очаг. Возникает в основном у пожилых больных при отсутствии своевременного лечения.
- Бактериальная суперинфекция — нагноение участков высыпаний.
![Бактериальная суперинфекция]()
- Диссеминация у больных СПИДом — распространение вируса. Приводит к бронхиту, эзофагиту, гастриту, колиту, циститу, миозиту, перикардиту, плевриту, перитониту, пневмонии, гепатиту, миокардиту и артриту[1][4][9][10] .
Диагностика опоясывающего герпеса
Лабораторная диагностика:
- Клинический анализ крови: нормоцитоз (нормальные размеры эритроцитов) или лейкопения (сниженное количество лимфоцитов). При присоединении вторичной флоры возможен нейтрофильный лейкоцитоз — чрезмерно повышенный уровень нейтрофилов. СОЭ в норме или повышена.
- Биохимический анализ крови: как правило, без существенных отклонений, зависит от распространённости процесса и наличия сопутствующих заболеваний.
- ИФА-диагностика крови: выявление повышенного титра IgG антител как маркера инфицирования вирусом, нарастание титра в 4 раза, иногда появление IgM к вирусу ветряной оспы.
- ПЦР биологического материала (отделяемого высыпаний, ликвора, крови): выявление ДНК вируса.
- Экспресс-методы — изучение под микроскопом мазков-отпечатков из высыпаний: обнаруживаются гигантские многоядерные клетки — симпласты — с внутриядерными включениями и специфические антигены с моноклональными антителами. Проводится в основном в научных целях.
- Общий анализ мочи неинформативен [1][2][5][7][9][10] .
Дифференциальная диагностика:
- везикулёзный осповидный риккетсиоз — пребывание на очаговой территории, факт укусу клеща, первичный аффект, панваскулит (воспаление стенок сосуда), генерализованная лимфаденопатия;
- инфекция простого герпеса — одиночные пузырьки, чаще в области губ и половых органов, отсутствие явных болей; — контакт с больным ветряной оспой или опоясывающим герпесом, отсутствие ветряной оспы в прошлом, единичные несливающиеся везикулы по всему телу, отсутствие болей в местах высыпаний;
- энтеровирусная инфекция — теплое время года, преимущественное поражение кистей и стоп, в основном папулёзные элементы сыпи, часто в совокупности с синдромом поражение ЖКТ;
- укусы блох и клопов — яркая зудящая сыпь — папулы, гиперемия в местах укусов — первичные аффекты, наличие элементов в основном на открытых участках кожи;
- болевая форма терапевтических заболеваний до характерных высыпаний — стенокардия, инфаркт, печёночная и почечная колики — заключение делается на основании характерных изменений биохимии, УЗИ и ЭКГ;
- рожистое воспаление — отсутствие везикул, характерный вид пламени [1][3][4][10] .
Лечение опоясывающего герпеса
Пациентов с тяжёлыми формами опоясывающего герпеса необходимо госпитализировать в инфекционный стационар. Остальные больные при отсутствии серьёзных сопутствующих состояний могут лечиться на дому.
В первую очередь показан приём препаратов прямого противогерпетического действия (на основе ацикловира) в высоких дозировках. Он снижает выраженность и длительность инфекционного и постинфекционного (болевой синдром) процесса.
Начать такое лечение нужно как можно раньше — не позднее семи дней от начала болезни и трёх дней от появления сыпи.
При применении препаратов в более поздние сроки их эффективность резко снижается, так как вирус уже достиг пика своего развития и вызвал каскад иммунонейропатологических реакций.
Использование местных средств против герпеса — мазей и кремов — оказывает слабый терапевтический эффект.
Для подсушивающего, местного антисептического действия используют любой местный антисептик подобного рода — цинковые болтушки, растворы бриллиантового зелёного.
При обширных поражениях, сопровождающихся выраженной воспалительной реакцией, используются противовоспалительные средства, глюкокортикостероиды и противоаллергические препараты.
При выраженных болях (ганглионевритах) стандартные противоболевые средства (НПВС) малоэффективны, поэтому предпочтение следует отдавать антиконвульсантам центрального действия и антидепрессантам. Физиотерапия ослабляет болевые ощущения. Приём витаминов, БАДов и т. п. явного значения не имеет [1] [2] [3] [8] [10] .
Прогноз. Профилактика
При неосложнённых и локализованных формах болезни прогноз благоприятный. При развитии ганглионевритических болей может существенно снизиться качество жизни на достаточно длительный срок (до года), а при менингоэнцефалитической и диссеминированной формах — на ещё более серьёзный срок, нередки летальные исходы.
Профилактика болезни в очаге заражения не проводится. Если опоясывающим герпесом болел ВИЧ-инфицированный пациент, то достаточно проветрить помещение.
В целях неспецифической профилактики опоясывающего герпеса нужно постараться вести здоровый образ жизни, сбалансировано и полноценно питаться, избегать стрессовых ситуаций.
В качестве специфической профилактики используются вакцины против ветряной оспы — "Варилрикс" и "Окавакс". Их можно делать как до болезни ветряной оспы (детям и неболевшим взрослым), так и после (пожилым людям с риском реактивации вируса).
Читайте также:
- Стоматолог и ребенок. Деонтология стоматолога.
- Почему шелушится кожа? Лечение шелушения кожи
- Тонкоигольная пункционная аспирационная биопсия щитовидной железы. Характеристика образований щитовидной железы
- Лучевые признаки агенезии легких у плода
- Техника операции при значительном повреждении наковальне-стременного сустава при патологии стремечка











