Случай формирования субдуральной гематомы на фоне разрыва сосудистой мальформации
Добавил пользователь Владимир З. Обновлено: 22.11.2025
Кафедра нейрохирургии ГОУ ДПО РМАПО Росздрава, Москва
Российская медицинская академия последипломного образования, Москва
Городская клиническая больница им. Ф.И. Иноземцева, Москва, Россия
Острая субдуральная гематома на фоне разрыва аневризмы средней мозговой артерии
Журнал: Журнал «Вопросы нейрохирургии» имени Н.Н. Бурденко. 2017;81(2): 67‑71
Острая субдуральная гематома на фоне разрыва церебральной аневризмы встречается достаточно редко. Представлено описание клинического наблюдения формирования острой субдуральной гематомы на фоне разрыва аневризмы бифуркации М1 сегмента средней мозговой артерии. Острая субдуральная гематома обусловила коматозное состояние на фоне внутричерепной гипертензии и транстенториального вклинения. Больной была выполнена декомпрессивная краниэктомия, удаление гематомы и клипирование аневризмы. В послеоперационном периоде отмечена значительная положительная динамика. Больная была выписана с легким гемипарезом, умеренным парезом глазодвигательного нерва. Приведенный случай наглядно показывает необходимость ургентного хирургического вмешательства в виде декомпрессивной краниэктомии и клипирования аневризмы в качестве жизнеспасающей операции даже у больных в тяжелом состоянии с синдромом транстенториального вклинения.
Субарахноидальное аневризматическое кровоизлияние (САК) сопровождается высокой инвалидизацией и летальностью [1—7]. Формирование острой субдуральной гематомы (ОСГ), ассоциированной с САК, встречается достаточно редко и, как правило, ассоциируется с неблагоприятными исходами [8—17, 22]. Внезапное нарушение уровня сознания с нарушением зрачковых реакций может быть следствием внутричерепного кровоизлияния со значительным масс-эффектом, в том числе вызванным формированием ОСГ на фоне разрыва аневризмы [23]. По данным разных авторов [18—22], частота ОСГ на фоне аневризматического САК составляет 2—10%. На основании данных аутопсии аневризматические ОСГ выявлены в 5—22% случаев, включая случаи с малыми ОСГ и случаи гибели больных до оказания квалифицированной помощи [19, 22].
Приводим клиническое наблюдение
Больная С., 64 года, 14.11.14 в 12:43 доставлена в реанимационное отделение Регионального сосудистого центра Городской клинической больницы им. Ф.И. Иноземцева (ГКБ № 36) в тяжелом состоянии. Жалоб по тяжести состояния не предъявляла. Со слов бригады СМП, была обнаружена сотрудниками на работе без сознания. Обстоятельства заболевания неизвестны. Анамнестических данных о травме головы не было. При осмотре в отделении реанимации: уровень сознания — кома I, по шкале комы Глазго — 6 баллов, по шкале Hunt—Hess — V. Правосторонний мидриаз без фотореакции, грубый левосторонний гемисиндром, патологические стопные знаки с двух сторон. Дыхание аппаратное. АД — 140/90 мм рт.ст., ЧСС — 50 уд/мин.
Локально: повреждений мягких тканей головы не выявлено (голова выбрита).
Данные коагулограммы в норме. Проведена экстренная КТ головного мозга. Внутривенно болюсно введен маннитол из расчета 1 г на 1 кг массы тела. При компьютерной томографии головного мозга выявлено базальное САК с преобладанием в области правой сильвиевой щели, также острая субдуральная гематома в правой лобно-височно-теменной области объемом около 60 см 3 . Дислокация срединных структур влево на 8 мм. Ипсилатеральный желудочек компримирован. Сдавлена обводная цистерна справа. В режиме ангиографии выявлена артериальная мешотчатая аневризма бифуркации М1 сегмента средней мозговой артерии (СМА) справа (рис. 1).

Рис. 1. КТ головного мозга: массивное базальное САК. а — острая субдуральная гематома справа. Спиральная КТ-ангиография: артериальная аневризма бифуркации СМА справа (указано стрелкой) (б).
В послеоперационном периоде в неврологическом статусе отмечена медленная положительная динамика. Больная переведена в нейрохирургическое отделение. 05.12.14 состояние осложнилось развитием острого переднего трансмурального инфаркта миокарда с фибрилляцией предсердий, что потребовало перевода в отделение кардиореанимации и соответствующей терапии. До 09.12.15 больная находилась в отделении кардиореанимации. После стабилизации гемодинамических показателей переведена в отделение неврологии, где проводились реабилитационные мероприятия. Выписана из стационара 22.12.14 с рекомендациями. На момент выписки: легкий левосторонний гемисиндром и недостаточность III нерва справа. Ходит в манеже. Обслуживает себя самостоятельно. По поводу костного дефекта рекомендована отсроченная краниопластика (рис. 2).

Рис. 2. Спиральная К.Т.: костный режим с реконструкцией. Визуализируется обширный костный дефект справа.
В данном клиническом наблюдении представлено редкое состояние — ОСГ на фоне разрыва аневризмы СМА. Несмотря на наличие клинической картины нарастающего дислокационного синдрома с нарушением уровня сознания, агрессивная и ранняя хирургическая тактика в виде декомпрессивной краниэктомии, удаление гематомы и клипирование аневризмы привела к благоприятному исходу. Развитие острого коронарного синдрома в ближайшем послеоперационном периоде преодолено кардиореанимационными мероприятиями.
Патогенез ОСГ
Формирование ОСГ на фоне разрыва аневризмы — жизнеугрожающее состояние, сопровождающееся высокой летальностью. Однако рекомендации по ведению таких пациентов немногочисленны и разрозненны. Существует несколько механизмов формирования аневризматических ОСГ: 1) предшествующие малые, «угрожающие» кровоизлияния, способствующие развитию спаек между аневризмой и арахноидальной оболочкой с финальной геморрагией в субдуральное пространство; 2) разрыв арахноидальной оболочки на фоне высокого систолического давления при разрыве аневризмы; 3) разрыв арахноидальной мембраны на фоне быстро скапливающейся крови в пределах арахноидальной цистерны; 4) эрозия стенки кавернозного синуса на фоне острого увеличения интракавернозной аневризмы с последующим ее тромбозом; 5) повторные кровоизлияния из дистальной аневризмы передней мозговой артерии с формированием спаек непосредственно с твердой мозговой оболочкой и/или фальксом, что в дальнейшем может приводить к ОСГ [3—6, 9, 10, 13, 21, 24]. В целом одним из ключевых патофизиологических механизмов формирования ОСГ на фоне разрыва аневризмы являются повторные геморрагии, нарушающие целостность арахноидальной оболочки, вовлекая ее в стенку аневризматического мешка.
Частота развития аневризматической ОСГ зависит от локализации аневризмы и распределяется следующим образом: внутренняя сонная артерия — 43%, средняя мозговая артерия — 22%, передняя соединительная артерия — 22%, другие локализации — 13%. ОСГ встречается крайне редко [8, 14, 17, 24].
В 1953 г. E. Clarke и J. Walton [5] классифицировали клиническое течение аневризматических ОСГ: 1) фатальная геморрагия; 2) незначительное количество субдуральной крови; 3) клинически значимая ОСГ без фатальной геморрагии. Больным с клиническим течением аневризматической ОСГ 3-го типа показано ургентное вмешательство.
Методы диагностики и лечения аневризматических ОСГ
Учитывая, что большинство пациентов поступают в критическом состоянии, нейрохирургу приходится решать, какое диагностическое исследование более предпочтительно. Спиральная К.Т. позволяет с наименьшей инвазией подтвердить диагноз аневризматического кровоизлияния и его причины и должна рассматриваться в качестве метода выбора у этой категории больных. У больных с ОСГ малого объема без выраженного масс-эффекта и неврологически стабильных может быть выполнена прямая селективная ангиография, в особенности, если возможна одномоментная эндоваскулярная облитерация аневризмы.
Внушительная по числу больных публикация представлена S. Oh и соавт. [15] в 2011 г. из 23 пациентов с ОСГ большинство аневризм выявлены в бассейне СМА. Общая летальность составила 47,8%. Больным выполняли хирургическую декомпрессию с клипированием аневризмы либо эндоваскулярную окклюзию аневризмы. Подверглись краниотомии 11 (47,8%) пациентов, эвакуации гематомы и клипированию аневризмы в один этап. Выполнена декомпрессивная гемикраниэктомия 10 (43,5%) пациентам, эвакуация гематомы с клипированием шейки аневризмы в один этап. Двум пациентам выполнена декомпрессивная гемикраниэктомия спустя 3 и 5 дней после клипирования аневризмы на фоне рефрактерной внутричерепной гипертензии. Эндоваскулярная облитерация аневризмы выполнена 2 пациентам: одному — с незначительным объемом ОСГ без сопутствующего масс-эффекта; второму пациенту — с последующей декомпрессивной гемикраниэктомией.
Эндоваскулярная эмболизация аневризмы может по возможности выполняться у ряда пациентов первично, с последующей краниотомией и эвакуацией гематомы.
Ряд авторов [11, 23] предлагают выполнять интраоперационную ангиографию после эвакуации гематомы для оценки состояния внутричерепных сосудов.
Объем хирургического вмешательства может ассоциироваться с исходами заболевания. Необходимость в выполнении декомпрессивной краниэктомии может диктоваться интраоперационными данными. В случае сохраняющегося отека после удаления гематомы и санации субарахноидальных цистерн важно выполнять наружную декомпрессию с пластикой твердой мозговой оболочки. В ургентной ситуации декомпрессивная краниэктомия может быть одной из первичных целей, особенно при наличии симптомов компрессии ствола мозга. Так, ряд исследований [11, 18, 24] показывает эффективность декомпрессивной краниэктомии в контроле внутричерепного давления и увеличения частоты благоприятных исходов. C другой стороны, по данным P. Schuss и соавт. [20], отмечено превалирование частоты стволово-дислокационных симптомов после выполнения декомпрессивной краниэктомии, что тем не менее не ассоциировалось с увеличением частоты неблагоприятных исходов.
Заключение
Аневризматическое САК, сопровождающееся формированием ОСГ, является критической ситуацией в нейрохирургии. Большинство пациентов находятся в декомпенсированном состоянии с симптомами внутричерепной гипертензии и транстенториального вклинения. Однако в ряде случаев ургентная декомпрессия и адекватное нейрореанимационное ведение может приводить к благоприятным исходам. Индивидуальное решение по тактике лечения необходимо в каждом случае.
Конфликт интересов отсутствует.
Комментарий
В статье описано редкое наблюдение субарахноидального кровоизлияния (САК) в сочетании с субдуральной гематомой на фоне разрыва мешотчатой аневризмы бифуркации средней мозговой артерии. Больная была в экстренном порядке оперирована, в ходе вмешательства успешно выполнены клипирование аневризмы, удаление гематомы и наружная декомпрессия черепа.
На клиническом примере продемонстрированы возможности эффективной диагностики и нейрохирургического лечения у больных с тяжелым САК. К несомненным достоинствам работы стоит отнести видеоматериал, демонстрирующий ход оперативного вмешательства. В обсуждении проведен анализ современной литературы, проанализированы возможные причины и патофизиологические механизмы возникновения данного нетипичного течения кровоизлияния из аневризмы.
Авторы подчеркивают эффективность одномоментной декомпрессионной трепанации черепа в случае тяжелых кровоизлияний, осложненных отеком мозга. Также стоит положительно отметить технику декомпрессии с формированием широкого окна в лобно-теменно-височной области с подвисочной резекцией кости.
Известно, что летальность у тяжелых больных в острой стадии САК (IV—V по шкале Hunt—Hess) высока и достигает, по данным В.В. Крылова, 52,8% (Хирургия аневризм головного мозга. Т. 1. С. 323). Как продемонстрировали авторы, своевременное хирургическое лечение в должном объеме позволяет добиться благоприятных исходов даже в крайне тяжелых случаях.
Случай формирования субдуральной гематомы на фоне разрыва сосудистой мальформации
ФГБУ "НИИ нейрохирургии им. акад. Н.Н. Бурденко" РАМН, Москва
НИИ нейрохирургии им. акад. Н.Н. Бурденко РАМН, Москва
Кавернозная мальформация, вызвавшая развитие обширной острой субдуральной гематомы. Случай из практики и обзор литературы
Журнал: Журнал «Вопросы нейрохирургии» имени Н.Н. Бурденко. 2019;83(3): 73‑76
В статье дано описание редкого клинического наблюдения: у пациента с множественными кавернозными мальформациями головного мозга развилась острая субдуральная гематома, причиной которой явилось кровоизлияние из каверномы, раcположенной на поверхности мозга. Рассматривается важное значение диагностики с определением источника кровоизлияния при субдуральных гематомах, особенно при отсутствии анамнестических данных за черепно-мозговую травму.
Кавернозные мальформации (каверномы) головного мозга составляют 17—31,2% сосудистых мальформаций ЦНС [1, 2]. Чаще всего (до 80%) они обнаруживаются в супратенториальных отделах, с характерным расположением в веществе мозга. Однако встречаются редкие варианты внемозговой локализации каверном, в литературе [3, 4] описаны такие редкие формы, как каверномы хиазмы и зрительных нервов, корешка тройничного нерва пинеальной области.
Клинически кавернозные ангиомы проявляются эпилептическими припадками, внутричерепными кровоизлияниями и развитием преходящей или стойкой неврологической симптоматики. Бессимптомное течение, при котором кавернома становится случайной, как правило, рентгенологической находкой, описано в 11—44% случаев [5].
В настоящее время общепризнано, что причиной развития любой неврологической симптоматики при каверномах служат кровоизлияния. Частота кровоизлияний из каверном, по данным разных авторов [4], колеблется в пределах от 7—16 (очевидных, выявленных при КТ, МРТ) до 55% (любых остро развившихся клинических проявлений). Различают макрокровоизлияния, приводящие к формированию внутримозговых гематом, и микрокровоизлияния, которые происходят или в окружающее мозговое вещество, или вследствие разрыва каверн внутри каверномы. Подтверждением ведущей роли кровоизлияний в патогенезе неврологических симптомов является тот факт, что при хирургическом удалении кавернозных мальформаций в окружающем мозговом веществе в подавляющем большинстве случаев обнаруживаются признаки кровоизлияний различной давности и объема.
Предлагаемое нами наблюдение иллюстрирует редкую, если не уникальную клиническую ситуацию, при которой небольшая кавернома привела к развитию обширной субдуральной гематомы. Описаний аналогичных случаев в литературе не найдено.
Наблюдение
Больной П., 46 лет. Заболел остро: на фоне полного здоровья после физической нагрузки внезапно потерял сознание на несколько минут. Аналогичные эпизоды повторились несколько раз на протяжении суток. Госпитализирован на 2-е сутки после манифестации заболевания.
В неврологическом статусе на момент поступления доминировала общемозговая и менингеальная симптоматика с легкими фокальными нарушениями в виде снижения силы в левых конечностях. Имелось ограничение произвольного взора вверх.

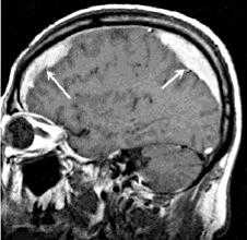
При МРТ выявлены обширная субдуральая гематома, распространяющаяся от лобной до затылочной области справа, смещение срединных структур влево на 16 мм, а также множественные каверномы головного мозга: небольшая кавернома, расположенная на конвекситальной поверхности правой лобной доли, и небольшая кавернома в полюсе левой лобной доли (рис. 1). Рис. 1. Больной П. МРТ при поступлении. Т1 (а), Т2 (б) — взвешенные изображения. Видна обширная острая субдуральная гематома справа и каверномы лобных долей: поверхностно расположенная кавернома правой лобной доли (источник кровоизлияния), кавернома полюса левой лобной доли. Смещение срединных структур влево до 16 мм. При электроэнцефалографии выявлены диффузные изменения, свидетельствующие о раздражении коры мозга. Отмечена межполушарная асимметрия за счет снижения амплитуды биопотенциалов, редукции альфа-ритма, преобладания негрубой медленной активности справа. Слева — доминирующие признаки раздражения коры с наличием негрубой эпилептиформной активности. Отмеченные изменения более выражены в височно-теменно-затылочных областях.
Больному произведено одномоментное удаление каверномы правой лобной доли и субдуральной гематомы.
Ход операции. Из полуовального разреза мягких тканей в правой лобно-височной области произведена костно-пластическая трепанация. Твердая мозговая оболочка (ТМО) напряжена, не пульсирует, имеет темную окраску. Она вскрыта крестообразно. В момент вскрытия ТМО в рану излилась жидкая часть гематомы красно-коричневого цвета. Под ТМО обнаружена плотная часть гематомы, представленная темными сгустками. Сгустки удалены обычным отсосом, после чего в проекции верхней лобной борозды обнаружена типичная ткань каверномы. В месте выхода на кору мозга кавернома интимно спаяна со сгустками крови, что свидетельствовало о том, что она явилась источником кровоизлияния. С помощью обычного отсоса, отмыванием физраствором и перекисью водорода удалены сгустки крови из-под ТМО в лобной, теменной и височной областях. Кавернома отделялась от мозга по перифокальной зоне, представленной глиозом. Она удалена единым блоком, после чего образовалась полость 1×2 см. Осуществлен тщательный гемостаз с помощью гемостатической марли и коагуляции. Мозг расправился, появилась четкая пульсация. ТМО зашита наглухо. Костный лоскут уложен на место и фиксирован лигатурными швами. Послойно зашиты мягкие ткани.

Послеоперационный период протекал без осложнений. В неврологическом статусе отмечен полный регресс имевшейся симптоматики. Контрольная К.Т. подтвердила тотальное удаление гематомы (рис. 2). Рис. 2. Больной П. Послеоперационная К.Т.. Гематома удалена полностью, компрессия и смещение мозга регрессировали.
Результат патоморфологического исследования: кавернозная мальформация.
В отношении оставшихся каверном с учетом множественного характера патологии и отсутствия симптоматики выбрана наблюдательная тактика. Больному назначена противосудорожная терапия, и он выписан под наблюдение невролога.
Данное клиническое наблюдение демонстрирует, что у пациентов с острыми субдуральными гематомами, особенно при отсутствии анамнестических данных о перенесенной черепно-мозговой травме, при диагностическом обследовании следует исключать сосудистую патологию мозга, в том числе кавернозные мальформации. От точности диагноза могут зависеть как общий план хирургического лечения, так и хирургический доступ.
Авторы заявляют об отсутствии конфликта интересов.
Кавернозные мальформации (каверномы) относятся к той сосудистой патологии мозга, при которой нейрохирурги редко наблюдают обширные кровоизлияния. Чаще всего кровоизлияния происходят внутри капсулы каверномы, что обусловлено особенностями строения этих мальформаций. Авторами описан крайне редкий вид кровоизлияния из каверномы — обширное субдуральное кровоизлияние, вызвавшее компрессию и латеральную дислокацию мозга. Очевидно, что такое кровоизлияние обусловлено расположением каверномы на поверхности мозга, что также встречается достаточно редко. Связь кровоизлияния с каверномой подтверждена в ходе операции. Это наблюдение показывает, что нейрохирурги должны относиться к каверномам, особенно множественным, как к более опасному заболеванию в плане возможного и обширного кровоизлияния и при доступности патологического образования отдавать предпочтение хирургическому лечению.

В Областную больницу № 3 г. Тобольска поступил 60-летний пациент Н., проживающий в Уватском районе Тюменской области.
Жалобы
Диагностика была существенно затруднена из-за отсутствия технической возможности выполнить КТ/МРТ-исследование (оба аппарата находились на замене).
Анамнез
Со слов родственников, пациент был на улице возле дома и внезапно потерял сознание. Первоначально его госпитализировали в участковую больницу посёлка с предварительным диагнозом "алкогольная интоксикация". Была проведена инфузионно-дезинтоксикационная терапия, но без существенного эффекта, в связи с чем пациента направили в первичное сосудистое отделение г. Тобольска с подозрением на острое нарушение мозгового кровообращения. При поступлении мужчина осмотрен неврологом, после чего пациента госпитализировали в отделение реанимации и интенсивной терапии. По протоколу острого нарушения мозгового кровообращения по геморрагическому типу, к больному вызван нейрохирург.
Обследование
На момент осмотра состояние пациента тяжёлое: ⠀•⠀Уровень сознания — кома I степени. ⠀•⠀Зрачки D=S (одинаковые), фотореакция живая. Имеется отклонение левого глазного яблока кнаружи. Периодически возникает спонтанный нистагм левого глаза (непроизвольные, колебательные движения). ⠀•⠀Отмечается умеренный левосторонний гемипарез (ограничение движения мышц тела), симптом Бабинского слева (пальцы стопы раздвигаются в форме веера в ответ на раздражитель), менингеальный синдром (симптомокомплекс, возникающий при раздражении мозговых оболочек). ⠀•⠀Следов травмы на голове нет.
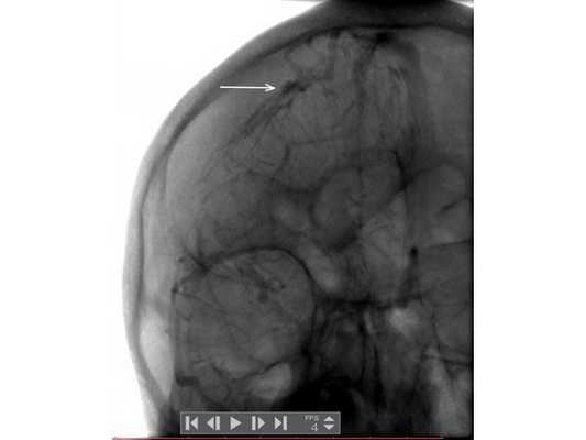
Анализ крови на алкоголь — 0 промилле. Выполнена диагностическая люмбальная пункция, выявлено субарахноидальное кровоизлияние: 10-15 эритроцитов в поле зрения. При помощи эхоэнцефалоскопии обнаружено смещение срединных структур головного мозга на 3-4 мм влево. Т.е. у пациента имеются клинические данные, указывающие на внутричерепную гематому справа, но при отсутствии КТ/МРТ-диагностики определить её объём и локализацию сложно. Для дальнейшего диагностического поиска пациенту выполнена церебральная ангиография. На ангиограммах отмечено отжатие сосудистой сети правого полушария головного мозга от костей свода черепа почти на 10 мм (рис. 1). В левом полушарии патологии не выявлено (рис. 2).
Диагноз
Острое нарушение мозгового кровообращения по геморрагическому типу с формированием острой субдуральной гематомы в правой лобно-височно-теменной области. Артерио-венозная мальформация в лобной области справа.




Субдуральная гематома удалена. В нижнем углу оперативного доступа визуализирована сосудистая мальформация





Лечение
Пациент взят на операцию: ⠀•⠀Выполнен дугообразный разрез мягких тканей в правой лобно-височно-теменной области. Скелетирована кость. ⠀•⠀Наложены два фрезевых отверстия, из которых краниотомом выпилен костный лоскут 6,0*8,0 см. ⠀•⠀Произведён гемостаз моно- и биполярной коагуляцией, воском по ходу доступа. ⠀•⠀Твёрдая мозговая оболочка вскрыта подковообразно. Визуализирована субдуральная гематома, представленная плотными сгустками тёмно-вишнёвого цвета (рис. 3). ⠀•⠀Начато удаление сгустков путём аспирации и отмыванием физиологическим раствором. Общий объём субдуральной гематомы около 120 мл. Признаков черепно-мозговой травмы (кортикальных очагов ушиба, травматического субарахноидального кровоизлияния, гиперемии, отёка головного мозга) нет. ⠀•⠀При удалении сгустков с конвекситальной поверхности лобной доли открылось интенсивное венозное кровотечение. С целью доступа к источнику кровотечения разрез мягких тканей продолжен в конвекситальном направлении и краниотомом выпилены два дополнительных костных лоскута (из-за интенсивности кровотечения найти локализацию источника было затруднительно). ⠀•⠀Визуализировано кровоточащее образование, сращённое с твёрдой мозговой оболочкой и корой головного мозга, по виду — сосудистая мальформация (рис. 4). ⠀•⠀Гемостаз подходящих сосудов и самого образования выполнен последовательной биполярной коагуляцией (рис. 5: сосудистая мальформация указана наконечником аспиратора). ⠀•⠀Кровотечение остановлено. Мозг расправился, пульсирует. Твёрдая мозговая оболочка ушита викрилом с одновременным подшиванием по периметру трепанационного окна (рис. 6). ⠀•⠀Дефекты твёрдой мозговой оболочки и сосудистая мальформация укрыты гемостатической губкой (рис. 7). ⠀•⠀Костные лоскуты уложены на место (рис. 8). ⠀•⠀Послойный шов раны выполнен викрилом и капроном. ⠀•⠀Кожа ушита обвивным швом по Мультановскому. Ретроспективно на фронтальной ангиограмме можно заподозрить сосудистую мальформацию, ставшую источником гематомы (рис. 9). На девятые сутки после операции для обеспечения проходимости дыхательных путей, проведения длительной искусственной вентиляции лёгких, облегчения санации трахеи и бронхов пациенту выполнена нижняя трахеостомия по Бьёрку.
У больного наблюдалась положительная динамика: сознание восстановилось до умеренного оглушения, отмечен регресс левостороннего гемипареза.
Операционная рана зажила первичным натяжением, швы сняты. Дальнейшее восстановительное лечение мужчина проходит в неврологическом отделении для пациентов с острым нарушением мозгового кровообращения.
Данный клинический случай показывает, что при отсутствии КТ/МРТ ангиографическое исследование позволяет локализовать внутричерепную гематому и приблизительно оценить её объём. Источник гематомы верифицирован также благодаря этому виду обследования. Если почитать старые руководства по нейрохирургии 70-80-х годов прошлого века, можно убедиться, что церебральная ангиография очень часто применялась для диагностики гематом головного мозга, опухолей, не говоря уже о сосудистой патологии.
Субдуральная гематома
Субдуральная гематома — ограниченное внутричерепное скопление крови, локализующееся между твердой и арахноидальной мозговыми оболочками. В большинстве случаев является следствием травмы. Проявляется вариативными по форме и длительности нарушениями сознания и психики, головной болью, рвотами, очаговым неврологическим дефицитом (мидриаз, гемипарез, экстрапирамидные расстройства). Решающую роль в диагностике имеют данные КТ или МРТ. В легких случаях достаточным является консервативное лечение (антифибринолитическое, противоотечное, симптоматическое), но чаще требуется хирургическое удаление гематомы.



Общие сведения
Субдуральная гематома — локальное скопление крови, находящееся между твердой и паутинной (арахноидальной) церебральными оболочками. Составляет около 40% от всех внутричерепных кровоизлияний, к которым также относятся эпидуральные и внутримозговые гематомы, желудочковые и субарахноидальные кровоизлияния. В преобладающем большинстве наблюдений субдуральная гематома выступает следствием черепно-мозговой травмы, частота ее встречаемости при тяжелой ЧМТ доходит до 22%. Гематомы субдуральной локализации могут возникать в любом возрасте, но чаще наблюдаются у людей старше 40 лет. Среди пациентов соотношение мужчин к женщинам составляет 3:1.
Субдуральные гематомы классифицируют на острые (проявляющиеся в первые 3-е суток ЧМТ), подострые (проявляющиеся в период от 3-х суток до 2-х недель с момента травмы) и хронические (проявляющиеся позднее 2-х недель). Согласно МКБ-10, выделяют нетравматическое и травматическое субдуральное кровоизлияние с наличием/отсутствием проникающей в череп раны. В клинической практике субдуральная гематома является предметом изучения для специалистов в области травматологии, нейрохирургии и неврологии.

Причины
Субдуральная гематома формируется преимущественно вследствие возникающего в результате ЧМТ разрыва интракраниальных вен, проходящих в субдуральном пространстве. Гораздо реже она возникает вследствие сосудистой церебральной патологии (артерио-венозных мальформаций и аневризм церебральных сосудов, гипертонической болезни, системного васкулита) и нарушений свертывания крови (коагулопатии, терапии антикоагулянтами). Отличием от эпидуральной гематомы является возможность двустороннего образования субдуральной гематомы.
Субдуральная гематома на стороне действия повреждающего агента (гомолатеральная гематома) образуется при малоподвижной голове и небольшой площади контакта с травмирующим предметом. Формирование гематомы возможно и без прямого контакта черепа с травмирующим фактором. Это может произойти при резкой остановке или перемене направления движения. Например, во время езды в транспорте, при падении на ягодицы или на ноги. Происходящее при этом резкое встряхивание головы обуславливает смещение полушарий мозга внутри черепной коробки, влекущее за собой разрыв интракраниальных вен.
Субдуральная гематома, противоположная стороне повреждения, носит название контрлатеральной. Она формируется при ударе черепа о массивный малоподвижный объект или при действии на неподвижную голову травмирующего предмета с большой площадью контакта. Контрлатеральная субдуральная гематома часто связана с разрывом вен, которые впадают в сагиттальный венозный синус. Намного реже гематомы субдурального пространства обусловлены непосредственным травмированием вен и артерий мозговой коры, происходящем при разрыве твердой церебральной оболочки. На практике часто наблюдаются двусторонние субдуральные гематомы, что связано с одновременным приложением нескольких механизмов травмирования.
Острая субдуральная гематома формируется преимущественно при тяжелой ЧМТ, подострая или хроническая — при легких формах ЧМТ. Хроническая субдуральная гематома заключена в капсулу, которая образуется спустя неделю после травмы благодаря активации фибробластов твердой оболочки мозга. Ее клинические проявления обусловлены нарастающим увеличением объема.

Симптомы
Общемозговые симптомы
Среди общемозговых проявлений отмечаются расстройства сознания, нарушения психики, цефалгия (головная боль) и рвота. В классическом варианте характерна трёхфазность нарушений сознания: утрата сознания после ЧМТ, последующее восстановление на какое-то время, обозначаемое как светлый промежуток, затем повторная утрата сознания. Однако классическая клиника встречается достаточно редко. Если субдуральное кровоизлияние сочетается с ушибом головного мозга, то светлый промежуток вообще отсутствует. В других случаях он имеет стертый характер.
Длительность светлого промежутка весьма вариабельна: при острой гематоме — несколько минут или часов, при подострой — до нескольких суток, при хронической — несколько недель или месяцев, а иногда и несколько лет. В случае длительного светлого промежутка хронической гематомы его окончание может быть спровоцировано перепадами артериального давления, повторной травмой и др. факторами.
Среди нарушений сознания преобладают дезинтеграционные проявления: сумеречное состояние, делирий, аменция, онейроид. Возможны расстройства памяти, корсаковский синдром, «лобная» психика (эйфория, отсутствие критики, нелепое поведение). Зачастую отмечается психомоторное возбуждение. В ряде случаев наблюдаются генерализованные эпиприступы.
Пациенты, если возможен контакт, жалуются на головную боль, дискомфорт при движении глазными яблоками, головокружение, иррадиацию боли в затылок и глаза, гиперчувствительность к свету. Во многих случаях больные указывают на усиление цефалгии после рвоты. Отмечается ретроградная амнезия. При хронических гематомах возможно снижение зрения. Острые субдуральные гематомы, приводящие к компрессии мозга и масс-эффекту (дислокационному синдрому), сопровождаются признаками поражения мозгового ствола: артериальной гипотонией или гипертензией, дыхательными нарушениями, генерализованными расстройствами тонуса мышц и рефлексов.
Очаговые симптомы
Наиболее важным очаговым симптомом выступает мидриаз (расширение зрачка). В 60% случаев острая субдуральная гематома характеризуется мидриазом на стороне ее локализации. Мидриаз противоположного зрачка встречается при сочетании гематомы с очагом ушиба в другом полушарии. Мидриаз, сопровождающийся отсутствием или снижением реакции на свет, типичен для острых гематом, с сохранной реакцией на свет — для подострых и хронических. Мидриаз может сочетаться с птозом и глазодвигательными нарушениями.
Среди очаговой симптоматики можно отметить центральный гемипарез и недостаточность VII пары (лицевого нерва). Нарушения речи, как правило, возникают, если субдуральная гематома располагается в оболочках доминантного полушария. Сенсорные расстройства наблюдаются реже пирамидных нарушений, затрагивают как поверхностные, так и глубокие виды чувствительности. В ряде случаев имеет место экстапирамидный симптомокомплекс в виде пластического тонуса мышц, оральных автоматизмов, появления хватательного рефлекса.
Диагностика
Вариабельность клинической картины затрудняет распознавание субдуральных кровоизлияний. При диагностике неврологом учитываются: характер травмы, динамика нарушения сознания, наличие светлого промежутка, проявления «лобной» психики, данные неврологического статуса. Всем пациентам в обязательном порядке проводится рентгенография черепа. В отсутствие других способов распознаванию гематомы может способствовать Эхо-ЭГ. Вспомогательным методом диагностики хронических гематом выступает офтальмоскопия. На глазном дне офтальмолог зачастую определяет застойные диски зрительных нервов с их частичной атрофией. При проведении ангиографии церебральных сосудов выявляется характерный «симптом каймы» - серповидная зона аваскуляризации.
Решающими методами в диагностике субдуральной гематомы являются КТ и МРТ головного мозга. В диагностике острых гематом предпочтение отдается КТ головного мозга, которая в таких случаях выявляет однородную зону повышенной плотности, имеющую серповидную форму. С течением времени происходит разуплотнение гематомы и распад кровяных пигментов, в связи с чем через 1-6 нед. она перестает отличается по плотности от окружающих тканей. В подобной ситуации диагноз основывается на смещении латеральный отделов мозга в медиальном направлении и признаках сдавления бокового желудочка.

При проведении МРТ может наблюдаться пониженная контрастность зоны острой гематомы; хронические субдуральные гематомы, как правило, отличаются гиперинтенсивностью в Т2 режиме. В затруднительных случаях помогает МРТ с контрастированием. Интенсивное накопление контраста капсулой гематомы позволяет дифференцировать ее от арахноидальной кисты или субдуральной гигромы.
Консервативная терапия осуществляется у пациентов без нарушений сознания, имеющих гематому толщиной не более 1 см, сопровождающуюся смещением церебральных структур до 3 мм. Консервативное лечение и наблюдение в динамике с МРТ или КТ контролем показано также пациентам в коме или сопоре при объеме гематомы до 40 мл и внутричерепном давлении ниже 25 мм рт. ст. Схема лечения включает: антифибринолитические препараты (аминокапроновую кислоту, викасол, апротинин), нифедипин или нимодипин для профилактики вазоспазма, маннитол для предупреждения отека мозга, симптоматические средства (противосудорожные, анальгетики, седативные, противорвотные).
Острая и подострая субдуральная гематома с признаками сдавления головного мозга и дислокации, наличием очаговой симптоматики или выраженной внутричерепной гипертензии являются показанием к проведению срочного хирургического лечения. При быстром нарастании дислокационного синдрома проводится ургентное эндоскопическое удаление гематомы через фрезевое отверстие. При стабилизации состояния пациента нейрохирургами осуществляется широкая краниотомия с удалением субдуральной гематомы и очагов размозжения. Хроническая гематома требует хирургического лечения при нарастании ее объема и появлении застойных дисков при офтальмоскопии. В таких случаях она подлежит наружному дренированию.
Прогноз и профилактика
Число смертельных исходов составляет 50-90% и наиболее высоко у пожилых пациентов. Следует отметить, что летальность обуславливает не столько субдуральная гематома, сколько травматические повреждения тканей мозга. Причиной смерти также являются: дислокация мозговых структур, вторичная церебральная ишемия, отек головного мозга. Угроза смертельного исхода остается и после хирургического лечения, поскольку в послеоперационном периоде возможно нарастание церебрального отека. Наиболее благоприятные исходы отмечаются при проведении операции в первые 6 ч. с момента ЧМТ. В легких случаях при успешном консервативном лечении субдуральная гематома рассасывается в течение месяца. Возможна ее трансформация в хроническую гематому.
Профилактика субдуральных кровоизлияний тесно связана с предупреждением травматизма вообще и травм головы в частности. К мерам безопасности относятся: ношение шлемов при езде на мотоцикле, велосипеде, роликах, скейте; ношение касок на стройке, при восхождении в горах, занятии байдарочным спортом и другими видами экстрима.
Артериовенозные мальформации головного мозга ( Церебральные АВМ )
Артериовенозные мальформации головного мозга — врожденные аномалии церебральных сосудов, характеризующиеся образованием локального сосудистого конгломерата, в котором отсутствуют капиллярные сосуды, а артерии напрямую переходят в вены. Артериовенозные мальформации головного мозга проявляются упорными головными болями, эпилептическим синдромом, интракраниальным кровотечением при разрыве сосудов мальформации. Диагностика осуществляется при помощи КТ и МРТ сосудов головного мозга. Лечение хирургическое: транскраниальное иссечение, радиохирургическое вмешательство, эндоваскулярная эмболизация или комбинация этих методик.
МКБ-10


Артериовенозные мальформации головного мозга (церебральные АВМ) — измененные участки церебральной сосудистой сети, на которых вместо капилляров имеются многочисленные разветвления извитых артерий и вен, формирующих единый сосудистый конгломерат, или клубок. АВМ относятся к сосудистым аномалиям развития головного мозга. Встречаются у 2 человек из 100 тыс. населения. В большинстве случаев клинически дебютируют в период от 20 до 40 лет, в отдельных случаях — у лиц старше 50 лет. Артерии, формирующие АВМ, имеют истонченные стенки с недоразвитым мышечным слоем. Это обуславливает главную опасность сосудистых мальформаций — возможность их разрыва.
При наличии АВМ головного мозга риск ее разрыва оценивается примерно 2-4% в год. Если кровоизлияние уже имело место, то вероятность его повтора составляет 6-18%. Смертность при внутричерепном кровоизлиянии из АВМ наблюдается в 10% случаев, а стойкая инвалидизация отмечается у половины пациентов. Из-за истончения артериальной стенки на участке АВМ может сформироваться выпячивание сосуда — аневризма. Летальность при разрыве аневризмы сосудов головного мозга намного выше, чем при АВМ, и составляет около 50%. Поскольку АВМ опасны внутричерепным кровоизлиянием в молодом возрасте с последующей летальностью или инвалидизацией, их своевременная диагностика и лечение являются актуальными проблемами современной нейрохирургии и неврологии.

Причины АВМ головного мозга
Артериовенозные мальформации головного мозга возникают в результате внутриутробных локальных нарушений формирования церебральной сосудистой сети. Причинами таких нарушений являются различные вредоносные факторы, влияющие на плод в течение антенатального периода: повышенный радиоактивный фон, внутриутробные инфекции, заболевания беременной (сахарный диабет, хронический гломерулонефрит, бронхиальная астма и др.), интоксикации, вредные привычки беременной (наркомания, курение, алкоголизм), прием во время беременности фармпрепаратов, имеющих тератогенный эффект.
Церебральные артериовенозные мальформации могут располагаться в любом месте головного мозга: как на его поверхности, так и в глубине. В месте локализации АВМ отсутствует капиллярная сеть, циркулирование крови происходит из артерий в вены напрямую, что обуславливает повышенное давление и расширение вен. При этом сброс крови в обход капиллярной сети может повлечь за собой ухудшение кровоснабжения церебральных тканей в месте расположения АВМ, приводя к хронической локальной ишемии мозга.
Классификация АВМ головного мозга
По своему типу мальформации церебральных сосудов классифицируются на артериовенозные, артериальные и венозные. Артериовенозные мальформации состоят из приводящей артерии, дренирующей вены и расположенного между ними конгломерата измененных сосудов. Выделяют фистулезную АВМ, рацинозную АВМ и микромальформацию. Около 75% случаев занимают рацинозные АВМ. Изолированные артериальные или венозные мальформации, при которых наблюдается извитость соответственно только артерии или только вены, встречаются достаточно редко.
По размеру церебральные АВМ подразделяются на малые (диаметром менее 3 см), средние (от 3 до 6 см) и большие (свыше 6 см). По характеру дренирования АВМ классифицируют на имеющие и не имеющие глубокие дренирующие вены, т. е. вены, впадающие в прямой синус или систему большой церебральной вены. Различают также АВМ, локализующиеся в или за пределами функционально значимых областей. К последним относят сенсомоторную кору, мозговой ствол, таламус, глубинные зоны височной доли, сенсорную речевую область (зону Ве́рнике), центр Брока, затылочные доли.
В нейрохирургической практике для определения риска оперативного вмешательства по поводу церебральных сосудистых мальформаций используется градация АВМ в зависимости от совокупности баллов. Каждому из признаков (размер, тип дренирования и локализация по отношению к функциональным зонам) присуждается определенное количество баллов от 0 до 3. В зависимости от набранных балов АВМ классифицируется от имеющей незначительный операционный риск (1 балл) до связанной с высоким операционным риском из-за технической сложности ее ликвидации, большого риска смертельного исхода и инвалидности (5 баллов).
Симптомы АВМ головного мозга
В клинике церебральных АВМ выделяют геморрагический и торпидный варианты течения. По различным сведениям, геморрагический вариант составляет от 50% до 70% случаев АВМ. Он типичен для АВМ небольшого размера, имеющих дренирующие вены, а также для АВМ, располагающихся в задней черепной ямки. Как правило, в таких случаях у пациентов наблюдается артериальная гипертензия. В зависимости от локализации АВМ возможно субарахноидальное кровоизлияние, которое занимает около 52% от всех случаев разрыва АВМ. Остальные 48% приходится на осложненные кровоизлияния: паренхиматозные с формированием внутримозговой гематомы, оболочечные с образованием субдуральной гематомы и смешанные. В ряде случаев осложненные кровоизлияния сопровождаются кровоизлиянием в желудочки головного мозга.
Клиника разрыва АВМ зависит от ее локализации и скорости истечения крови. В большинстве случаев наблюдается резкое ухудшение состояния, нарастающая головная боль, расстройство сознания (от спутанности до комы). Паренхиматозные и смешанные кровоизлияния наряду с этим проявляются очаговой неврологической симптоматикой: нарушениями слуха, зрительными расстройствами, парезами и параличами, выпадением чувствительности, моторной афазией или дизартрией.
Торпидный вариант течения более типичен для церебральных АВМ среднего и большого размера, располагающихся в мозговой коре. Для него характерны кластерные цефалгии — следующие друг за другом пароксизмы головной боли, длящиеся не дольше 3 часов. Цефалгия не носит такого интенсивного характера как при разрыве АВМ, но является регулярной. На фоне цефалгий у ряда пациентов возникают судорожные приступы, которые зачастую имеют генерализованный характер. В других случаях торпидная церебральная АВМ может имитировать симптомы внутримозговой опухоли или другого объемного образования. В таком случае наблюдается появление и постепенное нарастание очагового неврологического дефицита.
В детском возрасте встречается отдельный вид церебральной сосудистой мальформации — АВМ вены Галена. Патология является врожденной и заключается в наличии АВМ в области большой вены мозга. АВМ вены Галена занимают около трети всех случаев сосудистых церебральных мальформаций, встречающихся в педиатрии. Характеризуются высокой летальностью (до 90%). Наиболее эффективным считается хирургическое лечение, проведенное на первом году жизни.
Диагностика АВМ головного мозга
Поводом для обращения к неврологу до разрыва АВМ могут быть упорные головные боли, впервые возникший эпиприступ, появление очаговой симптоматики. Пациенту проводится плановое обследование, включающее ЭЭГ, Эхо-ЭГ и РЭГ. При разрыве АВМ диагностика осуществляется в экстренном порядке. Наиболее информативны в диагностике сосудистых мальформаций томографические методы. Компьютерная томография и магнитно-резонансная томография могут быть использованы как для визуализации тканей мозга, так и для исследования сосудов. В случае разрыва АВМ МРТ головного мозга более информативно, чем КТ. Она дает возможность выявить локализацию и размер кровоизлияния, отдифференцировать его от других объемных интракраниальных образований (хронической гематомы, опухоли, абсцесса головного мозга, церебральной кисты).

При торпидном течении АВМ МРТ и КТ головного мозга могут оставаться в норме. Обнаружить сосудистую мальформацию в таких случаях позволяет лишь церебральная ангиография и ее современные аналоги — КТ сосудов и МР-ангиография. Исследования церебральных сосудов проводятся с использованием контрастных веществ. Диагностика осуществляется нейрохирургом, который также оценивает операционный риск и целесообразность хирургического лечения АВМ. При этом следует учитывать, что при разрыве, в связи с компрессией сосудов в условиях гематомы и отека мозга, томографический размер АВМ может быть существенно меньше реального.
Лечение АВМ головного мозга
Артериовенозные мальформации головного мозга при их разрыве или при опасности такого осложнения подлежат удалению. Предпочтительно плановое оперативное лечение АВМ. В случае разрыва оно проводится после ликвидации острого периода кровоизлияния и рассасывания гематомы. В остром периоде по показаниям возможно хирургическое удаление образовавшейся гематомы. Одновременная ликвидация и гематомы, и АВМ проводится лишь при лобарной локализации сосудистой мальформации и ее небольшом диаметре. При кровоизлиянии в желудочки в первую очередь показано наружное вентрикулярное дренирование.
Классическое хирургическое удаление АВМ осуществляется путем трепанации черепа. Производится коагуляция приводящих сосудов, выделение АВМ, перевязка отходящих от мальформации сосудов и иссечение АВМ. Такое радикальное транскраниальное удаление АВМ осуществимо при ее объеме не более 100 мл и расположении вне функционально значимых зон. При большом размере АВМ зачастую прибегают к комбинированному лечению.
Когда транскраниальное удаление АВМ затруднительно из-за ее расположения в функционально значимых областях мозга и глубинных структурах, проводится радиохирургическое удаление АВМ. Однако этот метод эффективен лишь для мальформаций размером не более 3 см. Если размер АВМ не превышает 1 см, то ее полная облитерация происходит в 90% случаев, а при размерах свыше 3 см — в 30%. К недостатком метода относится длительный период (от 1 до 3 лет), необходимый для полной облитерации АВМ. В ряде случаев требуется поэтапное облучение мальформации в течение ряда лет.
К способам ликвидации церебральных АВМ относится также рентгеноэндоваскулярная эмболизация приводящих к АВМ артерий. Ее проведение возможно, когда имеются доступные для катетеризации приводящие сосуды. Эмболизация проводится поэтапно, и ее объем зависит от сосудистого строения АВМ. Полной эмболизации удается достигнуть только у 30% пациентов. Субтотальная эмболизация получается еще у 30%. В остальных случаях эмболизация удается лишь частично.
Комбинированное этапное лечение АВМ заключается в стадийном использовании нескольких перечисленных выше методов. Например, при неполной эмболизации АВМ следующим этапом проводится транскраниальное иссечение ее оставшейся части. В случаях, когда не удается полное удаление АВМ, дополнительно применяется радиохирургическое лечение. Такой мультимодальный подход к лечению церебральных сосудистых мальформаций показал себя как наиболее эффективный и оправданный в отношении АВМ большого размера.
Читайте также:
- Как использовать гиалуроновую кислоту? Советы косметолога
- Аутоиммунная тромбоцитопения (идиопатическая тромбоцитопеническая пурпура, болезнь Верльгофа)
- Физиология слуха: простые и сложные колебания
- Острая перемежающаяся порфирия (пирролопорфирия, шведская порфирия): причины, диагностика, лечение
- Флюоресцентная гибридизация in situ. Применение технологии FISH
