Случай хирургического лечения компрессионного перелома шейного позвонка
Добавил пользователь Евгений Кузнецов Обновлено: 11.12.2025
Компрессионный перелом позвоночника опасен не только прямыми повреждениями, но и скрытым воздействием на человеческий организм. Рассмотрим, какая симптоматика характерна для такой травмы, как выстраивается правильный курс лечения и реабилитации.
Что такое компрессионный перелом позвоночника
Компрессионный перелом позвоночника - это одна из самых часто встречающихся разновидностей повреждения позвоночного столба. Он характеризуется сильным сдавливанием позвонков. Под действием больших нагрузок происходит само изменение формы позвонка. Из цилиндрического в нормальном положении он становится практически клиновидным.
По статистике, чаще всего такие повреждения возникают в грудном отделе, но встречаются и варианты, при которых сдавливаются позвонки в поясничном или шейном. Иногда у пациента возникают множественные травмы, когда сразу несколько сегментов позвоночного столба получают повреждения.
Для того чтобы заработать себе компрессионный перелом, нужно будет приложить очень большую, резкую нагрузку. Однако есть и несколько групп людей, которые находятся в особой категории риска. К ним относят дети и люди пожилого возраста. Кроме того, если вы страдаете от многочисленных заболеваний, таких как остеопороз, уровень нагрузки для появления повреждения будет существенно ниже.
Причины травмы
Получить такое повреждение можно практически в любой ситуации, к примеру, если упасть на ягодицы или же прыгнуть и приземлиться не на согнутые, а на прямые ноги. В группу риска попадают спортсмены, люди, работающие на опасных производствах, водители. Однако именно компрессионная травма случается при авариях намного реже.
Если же вы страдаете от истончения костной ткани, позвонки могут повредиться даже под легкими нагрузками, к примеру при подъеме тяжелой сумки в магазине или попытках заняться силовыми видами спорта.
Классификация травмы
Когда мы определили, что это такое - компрессионный перелом позвоночника, осталось коснуться его классификации. Все виды таких травм различаются по степени компрессии, видоизменению позвонка, а также осложнениям. Рассмотрим каждый из таких аспектов классификации.
Степень компрессии
Это главный параметр, который характеризует, насколько уменьшился позвонок против своего обычного состояния:
- Первая степень. Позвонок стал меньше менее чем на треть.
- Вторая степень. Высота стала меньше наполовину.
- Третья степень. Диагностируется данная степень травмы, когда позвонок стал короче более чем на 50%.
По видоизменению позвонка
Компрессионный перелом позвоночника у взрослого может привести к изменению самой структуры позвонка. Вместо цилиндрического он становится ромбовидным, округлая стенка выпячивается вперед. Это потенциально способно оказать сильное негативное воздействие на кровеносные сосуды, ткани и связки.
По осложнениям
В результате такого происшествия могут возникнуть два основных типа осложнений:
- Сегментарная нестабильность. Она влияет на осанку человека и становится причиной возникновения сильного болевого синдрома у пациента.
- Кифотическая деформация позвоночного столба. Это осложнение при переломе приводит к появлению выпячивания позвонков, у человека начинает расти «горб».
Симптомы
Симптомы компрессионного перелома позвоночника могут различаться, в зависимости от локализации такой травмы. При незначительном уменьшении высоты позвонка человек может списывать симптомы на многочисленные заболевания иного характера или просто хроническую усталость. Признаки во многом различаются, в зависимости от степени травмы, а также от места сосредоточения повреждения. Среди них:
- Сильная боль. Постоянный спутник перелома. Может возникать в поврежденной области и резонировать в конечности, голову и другие участки тела пациента. Усиливается при попытках согнуть спину или повернуть голову.
- Затрудненное дыхание. Чаще всего проявляется, когда у человека повреждены позвонки в области груди или поясницы.
- Локальный отек. Возникает в месте повреждения, приводит к перенапряжению мышц. При попытках пальпировать такую зону, человек ощущает сильный болевой приступ.
- Онемение конечностей. Такие признаки компрессионного перелома позвоночника появляются, когда задеты нервные окончания, значит степень травмы серьезная. Иногда при патологических травмах, которые люди долгое время не замечают или игнорируют, постепенно возникает потеря чувствительности.
Как диагностировать
Во многих случаях травму можно опередить уже по первому взгляду на пациента - причина в сильном уменьшении высоты его позвонков - меняется осанка, появляется искривление позвоночника. В работе используются и точные методы диагностики: компьютерная томография, рентгенография пораженной области, а также МРТ. Последний метод позволяет понять, есть ли повреждение тканей, где оно локализуется и насколько сложно будет устранить последствия травмы такого типа.
Первая помощь
Если у вас есть подозрение, что у человека травма такого характера, нужно обездвижить его. Когда пациент в сознании или нет болевого шока, уложите его на ровную поверхность. Все движения нужно исключить. Помните, что часто осложнения возникают именно по причине неправильной первой помощи. Всегда располагайте пострадавшего с учетом того, что его будут перекладывать на носилки. Если ситуация серьезная, стоит сразу соорудить импровизированные носилки и дожидаться медиков.
Лечение компрессионных переломов позвоночника
Что делать при компрессионном переломе позвоночника? Нужно сделать верную диагностику и понять, насколько велико поражение. Первым делом для пациента проводится купирование боли с использованием анальгетиков. Если восстановление идет по плану, человеку будет достаточно одного ограничения подвижности в пораженной зоне и правильно подобранного курса физиотерапии.
Хирургическое вмешательство используется намного реже. Оно необходимо, когда из-за сдавливания возникают проблемы со спинным мозгом, нервной системой.
Кроме того, важно устранить причины появления такой травмы. К примеру, используются специальные препараты для устранения постепенного истончения костной ткани.
Реабилитация
При выборе правильного курса реабилитации, период ограничения работоспособности существенно уменьшится. В первые несколько месяцев больному нужно будет носить специальный корсет, формирующий правильную осанку и ограничивающий движения. Кроме того, может быть прописано медикаментозное лечение с использованием анальгетиков, а также витаминов богатых кальцием.
ЛФК и гимнастика
По мере восстановления, пациенту назначаются специальные упражнения на восстановление подвижности связок и укрепление мышечного корсета. Физиотерапия включает в себя электрофорез с кальцием, УВЧ, УФО и другие методики.
Диета
Лечение компрессионного перелома позвоночника подкрепляется диетой. В рацион пациента добавляются блюда, богатые кальцием и витамином D. Человеку стоит потреблять больше кисломолочных продуктов, съедать в день по одному-двум сваренным вкрутую яйцам, есть семена льна, не забывать про рыбу, грецкие орехи и мед. Жиров нужно меньше - в силу ограниченной двигательной активности увеличение массы тела способно создать проблему, особенно когда поражен поясничный отдел.
Последствия и возможные осложнения
Если лечение компрессионного перелома позвоночника у пожилых людей или представителей других возрастных групп прошло неправильно, может возникать изменение осанки. Худшим развитием событий станет онемение конечностей и частичный паралич, а также нестабильность позвоночного столба. Это может стать причиной того, что пациент будет постоянно испытывать неприятные ощущения и боль, носить корректирующий корсет.
Случай успешного консервативного лечения компрессионного перелома L5 (поясничный позвонок)
В отделение сочетанной травмы городской больницы скорой помощи г. Ставрополя поступил пациент 37 лет, получивший травмы в результате дорожно-транспортного происшествия.
Жалобы
Интенсивная боль и дискомфорт в поясничном отделе позвоночника усиливались при попытках поворота на бок, движениях нижними конечностями и вертикализации.
При введении 2 мл 2% раствора анальгина внутримышечно интенсивность боли уменьшилась. После дополнительного введения 1 мл 2% раствора промедола боль была купирована. Иммобилизация положением лёжа и обследование продолжены.
Анамнез
Травму пациент (водитель легкового автомобиля) получил менее получаса назад. Доставлен бригадой скорой медицинской помощи на носилках в хирургическое отделение противошоковых мероприятий. Осмотрен нейрохирургом, хирургом и травматологом.
Соматический анамнез не отягощён. Инфекционные заболевания отрицает. Травмы поясничной области в анамнезе отрицает.
Обследование
Состояние пациента средней тяжести. Сознание ясное, дыхание самостоятельное, везикулярное. Хрипов и патологических дыхательных шумов не выслушивается. Частота дыхания — 18 в минуту. Пульс удовлетворительных свойств, 92 удара в минуту. Артериальное давление — 130/90 мм рт.ст. Мочеиспускание самостоятельное, без затруднений. Стула не было. Локально: ⠀• Положение пациента вынужденное — лёжа на спине. ⠀• При осмотре обращает на себя внимание выраженный гипертонус паравертебральных мышц в проекции L4-L5. ⠀• Физиологический лордоз сглажен. ⠀• Пальпация мягких тканей на указанном уровне резко болезненная. ⠀• Отмечается локальная боль при компрессии в зоне пятого поясничного позвонка. ⠀• Признаков костной крепитации и патологической подвижности нет. Признаков острых неврологических и циркуляторных нарушений в дистальных отделах нижних конечностей нет. При осмотре других сегментов, данных о костно-травматической патологии нет.
Выполнена рентгенография поясничного отдела позвоночника в двух проекциях — определяются рентгенологические признаки компрессионного перелома L5 (первой степени компрессии). Пациент направлен на компьютерную томографию позвоночника, по результатам которой диагноз подтверждён.
Диагноз
Лечение
По результатам осмотра серии снимков компьютерной томограммы и 3D-реконструкции снимков принято решение (с учётом характера перелома) придерживаться консервативной тактики лечения. Пациент госпитализирован. В отделении выполнялось консервативное лечение — иммобилизация положением лёжа на спине (на жёстком щите). Сроки иммобилизации составили три недели с момента травмы. Проводилась профилактика гиподинамических и тромботических осложнений. Выполнялось адекватное обезболивание, пациент получал физиолечение. Осуществлялась регулярная проверка неврологического дефицита и признаков тазовых нарушений. Через три недели выполнена компьютерная рентгенография повреждённого сегмента с целью контроля. Пациент вертикализирован в корсете-гиперэкстензоре (надетом в положении лёжа) с опорой на костыли.
За время лечения достигнута положительная динамика: боль и дискомфорт в поясничном отделе позвоночника полностью купированы в течение 10 дней. Курс физиолечения завершён. Введение анальгетиков этапно прекращено.
Осложнений за время лечения не отмечалось. Гипертонус паравертебральных мышц и локальная боль регрессировали. Признаков вторичного смещения отломков не отмечалось. Пациент выписан из стационара с рекомендациями к амбулаторному наблюдению хирургом либо травматологом. Показаны: ⠀• двигательный режим в предстоящие три месяца — ходьба в корсете-гипрэкстензоре с опорой на костыли; ⠀• контрольная рентгенография или компьютерная томография; ⠀• затем до полугода — ходьба в том же корсете, но без костылей; ⠀• исключение прыжковой и весовой нагрузок; ⠀• повторное физиолечение в условиях поликлиники. Контрольная явка пациента в стационар состоялась спустя восемь месяцев со дня травмы. Предписанных рекомендаций придерживался, амбулаторное лечение проходило без осложнений и особенностей. По результатам выполненной рентгенографии на текущий срок признаков дислокации отломков либо снижения высоты позвонка нет. Клинических проявлений и последствий травмы в виде жалоб не возникало.
Заключение
На примере данного клинического случая показана возможность эффективного консервативного (безоперационного) лечения компрессионного перелома позвоночника I степени. Подход к тактике лечения должен быть дифференцированный: исходя из анатомических особенностей перелома (степени компрессии, вида, размера, положения отломков и стабильности перелома). Консервативное лечение должно проводиться при обязательном мониторинге прогнозируемых осложнений: ⠀• неврологических (на фоне возможного вторичного смещения отломков); ⠀• гипостатических (по причине обездвиженности в первое время после травмы). Грамотное ведение пациента позволяет избежать операционного вмешательства и сопряжённых с ним рисков.
Случай хирургического лечения компрессионного перелома шейного позвонка
В августе 2019 года бригада скорой медицинской помощи доставила в Областную больницу Тобольска больную Ш. 22 лет. Девушка попала в ДТП.
Пациентка жаловалась на боль в шейном отделе позвоночника, обширную гематому мягких тканей в правой лобно-височно-теменной области и лёгкое головокружение.
При осмотре сознание ясное, пациентка адекватна. Зрачки одинакового размера, фотореакция живая. Движения глазных яблок выполняет в полном объёме. Лицо симметричное. Язык по средней линии. Движения в конечностях делает в полном объёме. Брюшные рефлексы живые. Сухожильные рефлексы оживлены, одинаковые справа и слева. Патологических рефлексов не выявлено.
Отмечается мелкоразмашистый нистагм (быстрые непроизвольные колебательные движения глаз) при крайнем отведении глаз. В позе Ромберга не исследовалась.
В правой лобно-височно-теменной области визуально и пальпаторно (при ощупывании) определяется подапоневротическая гематома (скопление крови между апоневрозом и надкостницей).
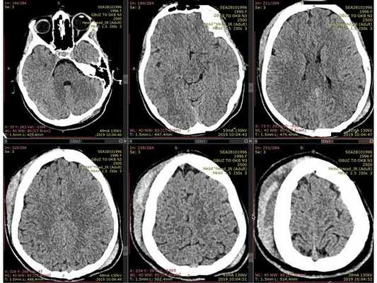
- Компьютерная томография головного мозга: травматической патологии не выявлено; определяется обширная гематома мягких тканей в правой лобно-височно-теменной области.
- Компьютерная томография шейного отдела позвоночника: выявлен компрессионно-оскольчатый перелом тела 6-го шейного позвонка (С6) и его дуги справа.







Контрольная КТ шейного отдела позвоночника на уровне тела позвонка С6. Виден установленный кейдж из пористого никелида титана и фиксирующая шейная пластина.
Под местной анестезией иглой для гемотрансфузий (в диаметре она больше, чем обычная игла) сделали прокол подапоневротического пространства и откачали скопившуюся кровь. Игла при этом направлялась в разные стороны, чтобы удалить всю кровь. Общий объём аспирированной крови — около 50 мл.
- Ввели пациентке внутривенный наркоз, интубировали и подключили к аппарату искусственной вентиляции лёгких (ИВЛ).
- Уложили на спину. Линейно разрезали мягкие ткани по внутреннему краю грудино-ключично-сосцевидной мышцы слева. Разрез 7 см.
- Рассекли подкожную мышцу шеи. Тупым и острым путём открыли доступ к передней поверхности шейного отдела позвоночника (доступ по Кловарду).
- Трахею и пищевод отодвинули вправо пластинчатыми крючками Фарабефа. Поставили метку и сделали рентген для контроля.
- Рассекли переднюю продольную связку. Открыли доступ к телу позвонка С6 и удалили его. Кровотечение остановили воском, перекисью водорода и биполярной коагуляцией.
- Сформировали имплант из пористого никелида титана и установили между телами позвонков С5 и С7.
- Установили шейную пластину и зафиксировали 4 винтами: по 2 винта в тела позвонков С5 и С7. Выполнили рентген для контроля.
- Рану промыли 3%-м раствором перекиси водорода и послойно ушили нитью Викрил. Края раны ушили непрерывным обвивным швом по Мультановскому. Наложили асептическую повязку.
Ей рекомендовано на месяц обездвижить шейный отдел позвоночника жёстким шейным ортезом. Через месяц назначена контрольная КТ шейного отдела позвоночника и повторный осмотр.
Через месяц на КТ шейного отдела позвоночника не было отрицательной динамики. При осмотре: неврологический статус без патологии, пациентка жаловалась на лёгкую осиплость голоса.
Ей рекомендовано на 3 месяца обездвижить шейный отдел позвоночника мягким шейным ортезом. С амбулаторного лечения пациентку выписали и разрешили продолжить учёбу в медицинском училище.
При наличии необходимого оборудования, инструментов, расходных материалов и квалифицированного специалиста операцию при травме шейного отдела позвоночника можно выполнить не только в федеральном медицинском учреждении или в больницах областного центра, но и в межрайонном стационаре, работающем в качестве травматологического центра 2-го уровня.
Компрессионный перелом шейного отдела позвоночника: симптомы, лечение
Компрессионный перелом шейного отдела позвоночника является опасным ввиду повреждения спинного мозга и нервных волокон. Рассмотрим специфику такой травмы и наиболее выраженную симптоматику.
Что такое компрессионный перелом шейного отдела позвоночника
Среди различных видов травм компрессионный перелом шейного отдела позвоночника занимает одно из лидирующих мест. С ростом темпа жизни и распространением различных видов экстремального спорта, позвоночный столб начинает страдать все чаще.
Такая травма опасна тем, что примерно 50-60% пациентов встречает повреждение спинного мозга со всеми вытекающими отсюда последствиями. Более того, сильный болевой синдром и зажатость органов дыхания при повреждении этого отдела становятся отягчающим фактором - велика опасность летального исхода.
Сама суть такого типа перелома в том, что позвонок сильно сдавливается. Из-за этого он теряет высоту от трети до более чем половины. Тяжелый вред наносится спинному мозгу, окружающим тканям, нервам.
Причины перелома шейного отдела позвоночника
Компрессионный перелом шейных позвонков происходит при сильном давлении на голову. К примеру, он может случиться, если вы решили прыгнуть в воду на мелководье и ударились о дно.
Часто неприятности возникают и в местах, где люди занимаются экстримом - в батутных парках, на обучении акробатике или другим умениям, потенциально связанными с опасностью сильного удара головой.
Если у человека истончено само костное волокно, то даже несильный удар способен привести к компрессионному перелому. Особенно стоит опасаться травмы детям - в школьных играх сильный удар учебником нередко приводит к неприятностям.
Признаки перелома
Когда у человека компрессионный перелом шейного отдела, это проявляется сильной болью, потерей подвижности, затрудненным дыханием. Кроме того, велика опасность потери сознания, болевого шока, а также онемения.
Давайте рассмотрим симптомы компрессионного перелома шейного отдела позвоночника, затрагивающего разные позвонки. Помните о том, что чем более серьезный характер носит травма, тем более ярко выраженными будут признаки.
1 позвонка
В медицинской среде первый позвонок, с его характерными вогнутыми поверхностями часто называют атлантом. Так как в этой области нет достаточной толщины хрящевой прокладки, даже не самый сильный удар потенциально способен привести к негативным последствиям и возникновению перелома.
На наличие такой травмы указывает:
- сильная боль в затылочной части и темени;
- нестабильность шеи;
- онемение затылочной и теменной области.
2 позвонка
В строении таких позвонков есть область, которая называется «зубом», это большой костный вырост, отвечающий за соединение позвонков с задней поверхностью атланта. Последствия компрессионного перелома шейного отдела позвоночника с такой локализацией будут зависеть от типа повреждения. Может травмироваться верхняя часть или узкая часть зуба, а также его основания - симптомы будут разными. Среди них:
- Боли в области шеи. Они могут увеличиваться, когда больной поворачивает голову.
- Потеря сознания с исчезновением чувствительности близлежащих областей. Может сопровождаться параличом или парезом.
3-7 позвонка
Если у пациента случился компрессионный перелом 4 шейного позвонка или близлежащих частей позвоночного столба, симптоматика будет следующей:
- сложности при повороте головы;
- легкое чувство онемения в затылочной части;
- нестабильность в шее, невозможность удерживать ее в одном положении на протяжении длительного времени;
- выраженный отек в месте получения травмы.
Диагностика
Чтобы оценить масштаб повреждения, нужно выполнить рентгенографию. Хорошие альтернативные методы с высоким уровнем информативности - это компьютерная или магнитно-резонансная томография.
Оказание первой помощи
Чтобы не усугубить положение, пострадавшего лучше всего уложить на спину. Тело должно оставаться неподвижным, под шею можно что-то положить - следите за тем, чтобы не было нестабильности головы.
Если пациент находится в сознании, выслушайте его рассказ о том, как была получена травма и лучше запишите все подробности - это способно помочь в будущем для лучшей установки диагноза.
Компрессионный перелом 7 шейного позвонка или других частей позвоночного столба может происходить под действием разной нагрузки, поражение может затрагивать разные области. Потому лечение стоит выбирать только на основании детально выполненной диагностики и с получением точных сведений о состоянии пациента. Есть два основных варианта устранения травмы - консервативный и хирургический.
Консервативный метод
Консервативное лечение подходит для большинства случаев такого типа переломов. Если повреждение не слишком сложное и не затрагивает спинной мозг или нервные волокна, достаточно зафиксировать шею пострадавшего при помощи специального воротника и назначить ему курс анальгетиков. В воротнике или гипсовом корсете предстоит провести до четырех месяцев, после чего - пройти курс восстановительной терапии.
Операция
Хирургическое вмешательство назначается в том случае, если повреждение серьезное и затронут не один позвонок. Чтобы тело пострадавшего вернуло себе способность нормально работать после приобретенной нестабильности, может выполняться вживление различных видов фиксаторов, а также пластин и контакторов.
Восстановительный период
Неправильное восстановление после операции - это причина большинства осложнений. Чтобы результат лечения закрепился, человеку прописывают ЛФК и гимнастику для укрепления мышц шеи. Кроме того, прописывается специальная диета, богатая кальцием, витамином D и различными микроэлементами, способствующими восстановлению костей и тканей.
Период восстановления занимает не менее четырех месяцев. Человека может сопровождать грудной кашель, а также уменьшение подвижности шеи.
Перелом шейного отдела позвоночника: симптомы, лечение, последствия
Перелом шейного отдела позвоночника способен нанести организму сильные повреждения и стать причиной не только долгосрочных проблем с позвоночником, но и летального исхода. Рассмотрим симптомы, диагностику и методы лечения такой травмы.
Что такое перелом шейного позвонка
Перелом шейного позвонка - это достаточно распространенная травма. Несмотря на это, она представляет большую опасность - несчастный случай может закончиться для пострадавшего инвалидностью или летальным исходом. Причина заключается в том, что примерно в 60% случаев у человека оказывается поврежден спинной мозг.
Позвонки могут быть повреждены компрессионным и декомпрессионным путем. В первом случае причина травмы - это сильное сдавливание, а втором - растяжение. Велика опасность и появления осколков - их наличие способно перевести травму в категорию активных.
То, какой вред организму нанесет перелом шейного отдела позвоночника, во многом зависит от действий в рамках первой помощи. У человека могут быть проблемы с дыханием или глотательным рефлексом, болевой шок. Потому важно не давать ему никаких обезболивающих в таблетках, зафиксировать голову и следить за тем, чтобы во рту не скапливались рвотные массы.
Строение шейного отдела позвоночника
Всего в составе шейного отдела семь позвонков:
- Первый. Также называет «атлант». Травмируется очень часто, потому что не имеет специальной амортизирующей подложки в месте соединения с другими костями. Его повреждение способно оказывать воздействие на гипофиз, внутреннее ухо, а также симптоматическую нервную систему.
- Второй. Травма этого сегмента способна вызывать повреждения зрения и слуха.
- Третий. Если есть проблемы в этом отделе, у больного часто может проявиться паралич лицевых мышц.
- Четвертый. Пришедшийся на эту область перелом может иметь последствие в виде паралича рта.
- Пятый. Очень тяжелый в плане последствий повреждения позвонок. Он отвечает за горловые связки, потенциально способен вызывать проблемы с дыханием и глотанием.
- Шестой. Удар сюда приводит к спазму мышц предплечья и шеи, человек начинает страдать от удушья.
- Седьмой. Больной будет чувствовать онемение в плечах и руках.
Причины травмы шейных позвонков
Симптомы перелома шейного отдела позвоночника вполне могут возникать у тех, кто занимается экстремальными видами спорта или получил сильный удар по голове. Есть две основные силы, которые способствуют повреждениям:
Сдавливание. Результатом становится опасный и сложный в лечении компрессионный перелом. В зависимости от уровня сдавливания тела позвонка, может быть задет спинной мозг. Нередко такие травмы приводят к инвалидности и летальному исходу.
Растяжение. В этом случае позвонки часто оказываются целыми. Больше страдают связки, нервы и межпозвоночные диски. Повреждение опасно тем, что возникает нарушение удерживающих позвоночник в правильном положении связей. Для лечения может потребоваться хирургическое вмешательство.
Причина таких воздействий может быть разная, к примеру автомобильная авария или неудачный прыжок в воду. Сложнее всего ситуация, когда целостность позвонка нарушается и от него отделяются острые осколки.
Как диагностировать перелом
Признаки шейного перелома во многом позволят диагностировать такую травму сразу после ее получения - по неестественному положению головы или сильным болям.
В больнице медики используют специальное оборудование - рентгены и томографы. Они помогают определить, в каком состоянии на данный момент находятся кости и ткани, располагающиеся рядом с ними.
Многие признаки переломов шейных позвонков были перечислены нами в описании строения этой части позвоночного столба. Среди основных симптомов:
- сильная боль в области шеи;
- неспособность держать голову прямо;
- сильное напряжение в мышцах;
- потеря чувствительности в руках или области рядом с травмированным местом;
- появление гематомы или отечности;
- ухудшение зрения и слуха;
- потеря сознания от сильного болевого шока.
Повреждение первого позвонка
Так как первый позвонок называется «атлантом» и отвечает за поддержание правильного положения головы человека, его повреждение приводит к появлению нестабильности в области шеи. Может теряться чувствительность ткани рядом с пораженной областью. Как можно скорее уложите пострадавшего на ровную, твердую поверхность.
Повреждение второго позвонка
Последствия перелома 2 шейного позвонка могут оказаться не менее страшными, чем при повреждении атланта. В аксисе могут возникать повреждения зубовидного отростка и сустава Крювелье. Это достаточно тяжелый случай из-за повреждения нервных волокон.
На начальном этапе человек может не осознавать, что у него перелом, потому что голова свободно двигается и боль не столь сильная. Однако через некоторое время или при воздействии даже минимальной тяжести может наступить серьезное повреждение: от паралича до слепоты. При первом подозрении на такое повреждение нужно как можно скорее сделать рентгенографию.
Остальные позвонки
Перелом 4, 5 шейных позвонков встречается не так часто, но спинной мозг в них также подвержен повреждениям. В этом случае человек может почувствовать снижение чувствительности конечностей, наступает паралич пальцев на руках или сильное напряжение мышц в области шеи.
Последствия перелома 7 шейного позвонка, как уже описывалось выше, приводят к затруднению дыхания и глотания, а это не менее опасно.
Первый серьезный шаг на пути к выздоровлению пациента - подробная диагностика его состояния с использованием современной техники - МРТ, а также рентгена. Вариантов лечения может быть два - это консервативный подход или хирургическое вмешательство.
Используется в том случае, если перелом нетяжелый. В этом случае боль купируется с использованием анальгетиков, а на время восстановления больному надевается специальный воротник. Он поддерживает шею в правильном положении и ограничивает подвижность.
На протяжении нескольких недель нужно будет двигаться с собой осторожностью. Чтобы последствия перелома шейных позвонков были не такими серьезными, прописывается и специальная богатая кальцием и питательными веществами диета.
Хирургическое вмешательство
Операция нужна в том случае, если есть сильный компрессионный перелом или от позвонка отделились острые осколки. В таком случае последствия перелома шейного отдела могут вылиться в паралич и инвалидность, потерю зрения. Всего один большой осколок способен нанести серьезные повреждения.
Хирург удаляет осколки и ставит специальную титановую накладку. После восстановительного периода к шее возвращается подвижность.
Реабилитация после перелома шейного отдела позвоночника является важным этапом восстановления. Используется массаж, иглоукалывание, гимнастика и методы физиотерапии, способные вернуть подвижность.
Последствия переломов шейного отдела позвоночника
Если человек не получит должного лечения, велика опасность появления онемения конечностей, ухудшения зрения и слуха, искривления шеи, потери способности держать голову прямо. Некоторые жалуются на плохую подвижность шеи. Еще большую опасность представляет ухудшение состояния костной ткани, при которой повторный перелом может случиться даже без приложения большой нагрузки.
Читайте также:
