Случай успешного лечения аномалии положения зубов
Добавил пользователь Евгений Кузнецов Обновлено: 01.11.2025
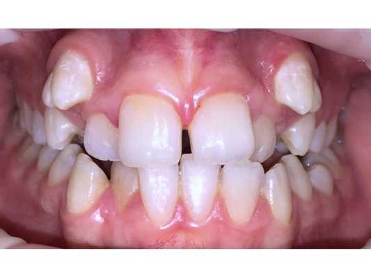
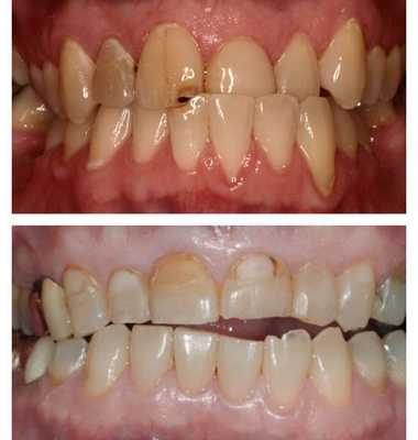
Пациентка жаловалась на эстетический дефект (выступающие клыки), затруднённое пережёвывание пищи, травму слизистой из-за накусывания щеки и губ и боли в области височно-нижнечелюстного сустава при широком открывании рта.
Несколько лет назад дискомфорт в области височно-нижнечелюстного сустава и раздражение слизистой стали усиливаться. Девушка принимала обезболивающие препараты, но они помогали ненадолго.
Анамнез
В детстве пациентке рано удалили верхние молочные моляры (жевательные зубы) из-за невозможности качественно пролечить кариес.
Обследование
При осмотре слизистая оболочка полости рта гиперемирована (есть покраснение), видны следы накусывания на слизистой щеки в области жевательных зубов. Гигиена полости рта удовлетворительная.
- А нтропометрическое исследование головы. Включает изучение размеров и формы головы и лица, а также взаимосвязи параметров лицевого отдела черепа и зубоальвеолярных дуг.
- Ортопантомограмма (ОПТГ). Представляет собой панорамный снимок челюсти .
- Телерентгенограмма черепа (ТРГ) в боковой проекции. Это разновидность рентгена лицевой части головы. ТРГ позволяет получить снимок, максимально приближенный к реальным размерам .
- Магнитно-резонансная-томограмма височно-нижнечелюстного сустава (МРТ ВНЧС).
Диагноз
- Скелетный класс 1, т. е. патология находится в области фронтальных зубов. .
- Дизокклюзия слева и справа (вертикальное разобщение верхнего и нижнего зубных рядов) .
- Сужение обеих зубных дуг.
- Вестибулярный наклон клыков верхней челюсти (зубы расположены вне зубного ряда).
- Эндопозиция трёх резцов, т. е. их смещение или наклон кнутри от зубного ряда.
- Тесное положение зубов. . .


Лечение
Назначено аппаратурное ортодонтическое лечение с применением Эджуайз-техники (брекет-системы) на верхней и нижней челюсти. Ориентировочный срок лечения на основе диагностических данных и диагноза составлял 24-28 месяцев. Сначала брекеты были установлены на верхнюю челюсть.
Спустя 3 месяца клыки стали опускаться. Со стороны височно-нижнечелюстного сустава сохранялся небольшой дискомфорт, но он был не таким сильным, как раньше. Далее были установлены брекеты на нижнюю челюсть.
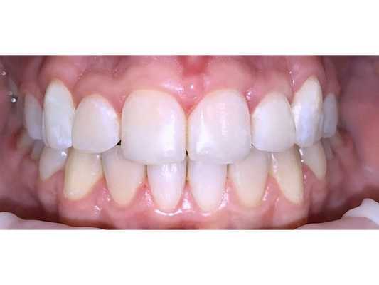
Спустя 8 месяцев была полностью устранена диастема, пациентка больше не прикусывала щёку, поэтому слизистая была блестящей и бледно-розовой, без изменений.
Через 18 месяцев было исправлено положение зубов и форма зубной дуги, назначено ношение эластиков в жевательном отделе, чтобы добиться плотных контактов между антагонистами (зубами верхней и нижней челюсти, которые соприкасаются при накусывании).
Через 21 месяц контакты между антагонистами восстановились (первый класс Энгля), была устранена скученность, жалобы со стороны височно-нижнечелюстного сустава отсутствовали.
Брекет-систему сняли и зафиксировали несъёмные ретейнеры, также были изготовлены съёмные ретейнеры на обе челюсти. Пациентке рекомендовано носить капы и провести реминерализирующую терапии. Следующий приём назначен через 3 месяца.
Аномалии зубов
Аномалии зубов - это различного рода морфологические и функциональные отклонения от нормального количества, размера, формы, цвета, положения, сроков прорезывания, структуры тканей зубов. Аномалии зубов сопровождаются деформацией челюстно-лицевой области, неправильным прикусом, затруднениями при откусывании и пережевывании пищи, дефектами речи, эстетическими недостатками. Диагностика аномалий зубов включает внутриротовую рентгенографию, проведение и анализ ТРГ, панорамную рентгенографию, ОПТГ, томографию ВНЧС, снятие слепков, изготовление и измерение диагностических моделей челюстей, электромиографию и др. Способ лечения определяется видом аномалии зубов.
МКБ-10



Общие сведения
Аномалии зубов - разнородная группа врожденных или приобретенных нарушений отдельных зубов, зубных рядов или прикуса, изменяющих нормальное функционирование зубочелюстной системы. Согласно имеющимся в клинической стоматологии сведениям, различные аномалии зубов встречаются у 40-50 % детей и подростков и 30 % (по данным некоторых авторов - у 70-80%) взрослых. В норме каждому зубу присущи определенные характеристики (анатомическая форма, величина и др.), которые определяются периодом формирования прикуса и местом зубной единицы в зубном ряду. Отклонения от физиологической нормы в количестве, размерах, форме, цвете, положении, сроках прорезывания, структуре твердых тканей расцениваются как аномалии зубов.

Причины
Общие причины
Причины, провоцирующие аномалии зубов, весьма разнообразны и могут быть условно поделены на эндогенные и экзогенные. Эндогенные причины, в свою очередь, включают генетические и эндокринные факторы.
- Генетические признаки могут быть обусловлены наследуемыми от родителей особенностями зубочелюстной системы - размерами и формой зубов, челюстей, строением и функцией мягких тканей и т. д. Аномалии зубов часто входят в структуру врожденных пороков и наследственных заболеваний - расщелин верхней губы, мягкого и твердого неба, альвеолярного отростка; синдрома Шершевского-Тернера, синдрома Секкеля, синдрома Ваарденбурга, синдрома Дауна, несовершенного остеогенеза и многих других.
- Факторы эндокринного порядка оказывают существенное влияние на формирование зубочелюстной системы. Так, при гипотиреозе наблюдается задержка прорезывания и смены зубов, гипоплазия эмали, деформация и остеопороз челюстей, адентия, изменение формы и размеров коронок зубов. Своеобразие развития челюстей и аномалии зубов отмечаются при гиперпаратиреозе, гипокортицизме, гипофизарном нанизме и др.
Экзогенные причины формирования аномалий зубов делятся на пренатальные, интранальные и постнатальные, общие и местные.
- К общим пренатальным факторам относятся неблагоприятные влияния окружающей среды на развивающийся плод, многоплодие, наличие амниотических тяжей, гипоксия плода, задержка внутриутробного развития, токсикозы беременности, внутриутробные инфекции, стрессовые ситуации во время беременности и т. д.
- Интранатальные факторы, способствующие развитию аномалий зубов, включают осложненное течение родов - обвитие пуповиной, асфиксию, внутричерепные родовые травмы, длительный безводный промежуток, синдром дыхательных расстройств.
- В постнатальном периоде аномалии зубов могут быть связаны с заболеваниями детского возраста: рахитом, гиповитаминозом, недостаточным пребыванием ребенка на свежем воздухе, искривлением носовой перегородки и нарушением носового дыхания, гипертрофией небных миндалин и пр.
Местные факторы
Среди местных факторов наиболее значимая этиологическая роль в развитии аномалий зубов принадлежит:
- искусственному вскармливанию;
- делительному использованию соски, сосанию пальца;
- кормлению детей дошкольного возраста мягкой пищей;
- травмам зубов;
- короткой уздечке верхней губы или языка;
- осложненному кариесу, приводящему к раннему удалению зубов;
- остеомиелиту челюсти, ведущему к гибели зубных зачатков и др.
Наличие ретинированных или сверхкомплектных зубов может приводить к аномалиям положения зубов. Аномалии цвета зубов отмечаются при наличии зубного налета, проникновении в трещины зуба пищевых красителей, воздействии никотина, деминерализации эмали, некрозе пульпы, зубной гранулеме, флюорозе, травмах зуба, сопровождающихся внутренним кровоизлиянием, пломбировании каналов резорцин-формалиновой смесью и др.

Классификация
Наиболее полная классификация аномалий зубочелюстной системы выделяет аномалии отдельных зубов, аномалии зубного ряда, а также аномалии развития челюстей. К аномалиям отдельных зубов относятся:
- Аномалии величины зубов (микро- и макродентия)
- Аномалии количества зубов (частичная и полная адентия (гиподонтия), гипердонтия)
- Аномалии формы зубов (шиповидные, зубы Гетчинсона, Фурнье, Пфлюгера и др.)
- Аномалии структуры твердых тканей зубов (гипоплазия, гиперплазия, несовершенный дентиногенез, несовершенный амелогенез)
- Аномалии сроков прорезывания зубов (преждевременное, запоздалое)
- Аномалии положения зубов (оральное, вестибулярное, дистальное, мезиальное, инфраположение, супраположение, поворот вокруг продольной оси, транспозиция)
- Аномалии цвета зубов (пигментированная окраска эмали или дентина).
Аномалии количества
Аномалии числа зубов включают гиперодонтию (увеличение количества зубов) и адентию (отсутствие зубов). Клиника адентии подробно рассмотрена в рамках отдельной статьи.
Гиперодонтия характеризуется наличием сверхкомплектных зубов, которые обычно прорезываются вне зубного ряда (орально, вестибулярно) и приводят к смещению соседних, правильно расположенных зубов. Сверхкомплектные зубы чаще встречаются в постоянном прикусе, располагаются на верхней челюсти, имеют неправильную форму и атипичные размеры. Реже сверхкомплектные зубы не прорезываются совсем или занимают место в зубном ряду.
Аномалии величины
К аномалиям размеров зубов относятся макродентия (гигантские зубы) и микродентия (мелкие зубы). Макродентия сопровождается увеличением размеров зубных коронок по сравнению с нормой. Как правило, при данной аномалии зубов страдают центральные верхние резцы. Гигантские зубы могут приводить к аномалиям положения других зубов, затруднению их прорезывания, скученности. Гигантские зубы являются косметическим дефектом, ухудшающим гармонию лица.
Микродентия, напротив, характеризуется непропорционально маленькими коронками. Как правило, встречаются мелкие верхние боковые резцы, однако уменьшение размеров может касаться всех зубов. Обычно мелкие зубы разделены большими межзубными промежутками, что также искажает внешний вид лица.
Аномалии формы
Среди аномалий формы зубов встречаются следующие основные виды: шиповидные зубы, зубы Гетчинсона, зубы Фурнье, зубы Пфлюгера и др.
Коронки шиповидных зубов по форме напоминают шип или конус. Чаще всего данная аномалия зубов имеет отношение к центральным и боковым резцам, а также сверхкомплектным зубам.
Зубы Гетчинсона имеют отверткообразную и бочкообразную форму коронки, т. е. их шейка по размерам превосходит режущий край; дополнительно по режущему краю проходит полулунная выемка. Эта аномалия характерна для верхних центральных резцов. Аналогичная форма (за исключением полулунной выемки) наблюдается и у зубов Фурнье.
Зубы Пфлюгера характеризуются преобладанием размеров шейки над размерами жевательной поверхности первых большие коренных зубов, недоразвитием бугров «шестерок».
Аномалии структуры твердых тканей
Данные нарушения включают локальную и генерализованную гипоплазию, гиперплазию, несовершенный дентино- и амелогенез. Гипоплазия эмали проявляется наличием симметричных пятен, ямок, бороздок на коронковой части зуба. Дефекты затрагивают все зубы одновременно, могут сочетаться с аномалиями цвета, размеров и формы зубов. Гиперплазия проявляется в форме эмалевых капель, лишних бугорков на жевательных поверхностях зубов; часто протекает совместно с аномалиями окклюзии и положения зубов.
Несовершенный амелогенеза характеризуется появлением желтой или коричневой пигментации, уменьшением толщины эмали, повышенной чувствительностью зубов к температурным, механическим и химическим раздражителям. Данная аномалия зубов иногда сочетается с микродентией, изменением формы зубов.
Несовершенство дентиногенеза затрагивает нарушение развития дентина молочных и постоянных зубов. При аномалии дентина зубы приобретают янтарно-желтый или серовато-коричневый опалесцирующий цвет, быстро стираются, разрушаются и выпадают.
Аномалии положения
При аномалиях положения зубы могут занимать неправильное положение в пределах зубного ряда или вне его. К данного рода аномалиям относятся дистальное, мезиальное, оральное, вестибулярное положение, инфраположение, супраположение, тортоаномалия и транспозиция.
Дистальное положение зуба - это его смещение назад по зубному ряду по сравнению с оптимальным положением; мезиальное положение - смещение зуба вперед по зубному ряду. О вестибулярном положении зуба говорят в случае его смещения ближе к преддверию полости рта (губное положение передних зубов, щечное положение боковых зубов); об оральном положении - при смещении зуба вглубь полости рта (лингвальном положении зубов на нижней челюсти и небном - на верхней челюсти). Под супраположением понимается такая аномалия, при которой зубы располагаются выше окклюзионной кривой; под инфраположением - ниже окклюзионной кривой.
Тортоаномалия характеризуется разворотом зуба вдоль вертикальной оси; транспозиция - взаимным изменением положения зубов (премоляр вместо клыка и наоборот).
Аномалии цвета
Цвет, блеск и прозрачность эмали относятся к оптическим характеристикам зуба. В норме зубы могут иметь оттенки от бело-голубого до желтого. Считается, что голубоватая эмаль является более хрупкой, а желтоватая - более прочной.
При различных патологических состояниях возможное изменение цвета зубов до розового, серого, коричневого, коричнево-черного, зелено- коричневого, лилового, серо-синего, черного и пр. Патологическая пигментация зубов может иметь вид отдельных пятен или носить диффузный характер.
Диагностика
Выяснение этиологии аномалий зубов может потребовать консультативного участия генетика, эндокринолога, отоларинголога, педиатра. Непосредственная диагностика и лечение аномалий зубов проводится с участием различных специалистов-стоматологов: терапевтов, пародонтологов, ортодонтов, стоматологов-ортопедов, стоматологов-хирургов, имплантологов. Проводитсяподробное клиническое обследование (осмотр лица и полости рта, подробное изучение анамнестических данных). Инструментальная диагностика:
- Рентген. Для уточнения аномалий зубов, определения плана лечения и его контроля осуществляется рентгенографическое обследование: телерентгенография (ТРГ), анализ и расчет телерентгенограмм, изучение лица пациента по фотографиям с расчетом необходимых индексов. внутриротовая рентгенография, панорамная рентгенография челюстей, ортопантомография, МСКТ ВНЧС и пр.
- Снятие оттисков. В обязательном порядке осуществляется снятие слепков и изготовление диагностических моделей из гипса, на основании которых производится изучение характеристик зубов, зубных рядов и челюстей.
- ЭФИ. С целью оценки функционального состояния мышц лица выполняется электромиография.

Лечение аномалий зубов
Аномалии зубов требуют специализированного, порой длительного и многоэтапного, терапевтического, хирургического, ортодонтического, ортопедического лечения. Конкретные мероприятия зависят от вида аномалии:
- Аномалии количества. Зубы, нарушающие правильное построение зубных рядов, подлежат удалению, а для коррекции положения смещенных зубов требуется проведение ортодонтического лечения. Если сверхкомплектный зуб расположен в дуге и не препятствует росту соседних зубов, он может быть сохранен, а его форма исправлена с помощью несъемного протезирования (коронки).
- Аномалии размеров. Коррекция микродентии проводится путем покрытия мелких зубов коронками или их удаления с последующим протезированием. Аномалии величины зубов часто сочетаются с аномалиями их формы. Лечение данной аномалии заключается в удалении гигантских зубов, исправлении положения соседних зубов и закрытии дефектов с помощью протезирования или дентальной имплантации.
- Аномалии формы. Выявление аномалий формы является основанием для протезирования дефектных зубов с помощью коронок или виниров либо удаления с последующим замещение съемными или несъемными протезами. Возможно проведение реставрации зубов с использованием светоотверждаемых композитных материалов.
- Аномалии структуры твердых тканей. Лечение несовершенного амелогенеза включает прием микроэлементов и поливитаминов, глицерофосфата кальция, проведение местной реминерализующей терапии (аппликаций фосфатсодержащих препаратов, назубного электрофореза препаратов кальция). Решение проблемы несовершенного дентиногенеза может быть достигнуто с помощью протезирования (коронок, виниров, частичных или полных съемных протезов, мостовидных протезов) либо дентальной имплантации.
- Аномалии положения. Устраняются с помощью врача-ортодонта. Для этого используются съемные и несъемные ортодонтические аппараты, брекет-системы, лицевая дуга и пр.
- Аномалии цвета. Во всех случаях аномалий цвета зубов требуется установление причин изменения окраски эмали и при необходимости проведение коррекции системных нарушений. Местное лечение заключается в проведении профессиональной гигиены полости рта, использовании различных способов отбеливания зубов.
Прогноз и профилактика
Комплексный подход и использование возможностей современной терапевтической стоматологии и хирургии, ортопедии, ортодонтии позволяют устранить любые аномалии зубов, восстановить эстетику и нормальное функционирование зубочелюстной системы.
Профилактика формирования аномалий зубов включает заботу о правильном внутриутробном и постнатальном развитии ребенка, рациональное питание, своевременную коррекцию эндокринных нарушений, регулярное посещение стоматолога для проведения необходимых профилактических и лечебных мероприятий.
2. Этиология и профилактика зубочелюстных аномалий/ С.В. Чуйкин, С.В. Аверьянов, Г.Г.Акатьева, Е.Ш. Мухаметова, Т.В. Снеткова, Е.Г. Егорова - 2011.
3. Болезни зубов некариозного происхождения/ В.Ф. Михальченко, Н.Ф. Алешина, Т.Н. Радышевская, А.Г. Петрухин. - 2005.
Перекрёстный прикус - симптомы и лечение
Что такое перекрёстный прикус? Причины возникновения, диагностику и методы лечения разберем в статье доктора Журавской Натальи Сергеевны, ортодонта со стажем в 6 лет.
Над статьей доктора Журавской Натальи Сергеевны работали литературный редактор Маргарита Тихонова , научный редактор Сергей Федосов

Определение болезни. Причины заболевания
Перекрёстный прикус — это зубочелюстная аномалия в поперечной плоскости, при которой размер или положение челюстей изменяется по горизонтали. У людей с таким прикусом наблюдается обратное смыкание зубов с одной или двух сторон, в переднем или боковых отделах.

Известно, что перекрёстный прикус встречается реже других патологий. Частота случаев зависит от возраста: у детей и подростков она составляет 0,39-1,9 % от общего числа заболеваний, у взрослых — 3 % [6] [7] [9] [10] .
Причины развития такого типа нарушения прикуса могут быть врождёнными и приобретёнными. К основным факторам относят [15] :
- Наследственность и врождённые аномалии развития, в том числе:
- задержка роста;
- укорочение или рост тела челюсти с одной стороны;
- нарушение обмена кальция в организме;
- уменьшение размеров одной половины лица (лицевая гемиатрофия или болезнь Парри — Ромберга);
- неправильная последовательность прорезывания зубов;
- нарушения прорезывания зубов — нетипичное расположение зачатков зубов, ретенированные зубы, поздняя смена молочных зубов на коренные.
- Функциональные причины и вредные привычки:
- неправильная позиция ребёнка во время сна — лёжа только на одном боку, подкладывая руку или кулака под щеку;
- гримасничанье, подпирание щеки рукой, сосание пальцев, щёк, губ, языка или предметов, одежды;
- нарушение носового дыхания, неправильное глотание;
- скрежет зубами (бруксизм);
- дисбаланс в работе жевательных мышц;
- неравномерный контакт одного зубного ряда с другим, нестёршиеся бугры молочных зубов. и его осложнения:
- раннее разрушение и потеря молочных моляров ("жевательных" зубов).
- Суставные нарушения:
- неподвижность височно-нижнечелюстного сустава.
- Иные причины:
- травмирование;
- воспаление, из-за которого нарушается рост челюсти;
- остаточные дефекты на нёбе после пластики его расщелины;
- новообразования.
Чаще всего (в 77 % случаев) перекрёстный прикус является следствием бокового смещения нижней челюсти [13] [14] .

При обнаружении схожих симптомов проконсультируйтесь у врача. Не занимайтесь самолечением - это опасно для вашего здоровья!
Симптомы перекрёстного прикуса
Развитие перекрёстного прикуса не происходит одномоментно — на появление выраженных его лицевых и ротовых симптомов нужно время.
Лицевые признаки
Помимо выраженной асимметрии развиваются и другие нарушения формы лица:
- смещение линии улыбки;
- разная высота уголков губ;
- смещение подбородка в сторону и другие видимые изменения.
Иногда пациенты обращают внимание на смещение или несоответствие центральной линии зубов верхней и/или нижней челюсти с центральной линией лица.

Ротовые признаки
При перекрёстном прикусе часто нарушается движение нижней челюсти и функции височно-нижнечелюстных суставов, особенно в случае аномалии прикуса со смещением нижней челюсти в сторону.

При открывании рта может возникать хруст и боль. Иногда нижняя челюсть блокируется и её движение в поперечной плоскости затрудняется. Это ведёт к неравномерному распределению нагрузки на зубы в момент жевания, а со временем — к травматической окклюзии (неправильному контакту одной челюсти с другой) и заболеванию тканей зубов и пародонта.
Неполноценная окклюзия зубов также может влиять на характер жевания и провоцировать хроническое напряжение мышц и, как следствие, появление болей. [1] [2] [5]
Нередкий признак прогрессирующей патологии с осложнениями — это некариозные поражения твёрдых тканей зубов: клиновидные дефекты, сколы эмали, патологическая стираемость зубов, недолговечность ортопедических конструкций или пломб.

Нередко пациенты жалуются на прикусывание слизистой оболочки щёк и отмечают неправильное произношение звуков речи.
Патогенез перекрёстного прикуса
На патогенез перекрёстного прикуса влияет сочетание различных анатомических нарушений [2] [8] [12] . Например, он может возникнуть в результате сужения или расширения базиса челюстей. Это происходит при наличии врождённых аномалиях: задержке роста, нарушении обмена кальция в организме и других причин. При этом развитие челюстей нарушается симметрично, но иногда возможно одностороннее недоразвитие (например, при лицевой гемиатрофии).

Ещё один анатомический фактор развития перекрёстного прикуса — нарушения в пределах зубных дуг и альвеолярных отростков, к которым крепятся зубы. Пусковыми механизмами в таких случаях становятся зачатки зубов, расположенные в нетипичном месте, их ретенция, прорезывание зубов в неправильном порядке, запоздалое появление коренных зубов на месте молочных, раннее разрушение жевательных зубов.

Функциональные причины и вредные привычки могут приводить как к изменению базиса челюстей, так к зубным и альвеолярным нарушениям. В этом случае ключевую роль в формировании патологии будут играть продолжительность действия привычки и возраст пациента.
Сбой работы височно-нижнечелюстного сустава может быть связан с его различными патологиями:
- хроническими заболеваниями сустава (артритом или артрозом);
- наследственными аномалиями (асимметрия ветвей нижней челюсти, аномалиями формы или размеров головок сустава);
- функциональными деформациями, возникшими, например, вследствие лечения кариеса и его осложнений.
При хроническом течении эти нарушения становятся причиной смещения челюстей, нарушения смыкания зубов и формирования перекрёстного прикуса [3] [4] [11] .
Наиболее редкими механизмом, приводящими к перекрёстному прикусу считаются травмы, остаточные дефекты после хирургических вмешательств, новообразования и прочие деформации (например, вследствие осложнённого воспалительного процесса).
Классификация и стадии развития перекрёстного прикуса
Перекрёстный прикус имеет различные формы. Все они могут быть односторонними и двусторонними, симметричными и асимметричными, а также сочетанными. В некоторых случаях сопровождаются смещением нижней челюсти [4] [5] [9] .
В зависимости от расположения зубов при при смыкании челюстей выделяют три типа перекрёстного прикуса:
- Буккальный — когда верхний зубной ряд сужен, а нижний ряд расширен с одной или двух сторон. При смыкании челюстей щёчные бугры нижних зубов перекрывают верхние. Этот тип может быть как со смещением нижней челюсти, так и без него.
- Лингвальный — когда верхний зубной ряд расширен, а нижний сужен также с одной или обеих сторон. При смыкании челюстей нёбные бугры верхних зубов перекрывают щёчные бугры нижних.
- Буккально-лингвальный — сочетает в себе признаки первых двух типов.

По причинам возникновения также различают три типа перекрёстного прикуса:
- Гнатический — возникает при недоразвитии или чрезмерном развитии базиса челюсти, т. е. нарушается форма альвеолярной дуги или других частей верхней и нижней челюсти.
- Зубоальвеолярный — когда основная причина неправильного перекрытия ряда связана с нетипичным положением или нарушением формы и размера зуба (чаще всего корней). При этом сужение или расширение зубоальвеолярной дуги может наблюдаться как на одной, так и на обеих челюстях.
- Суставной — боковое смещение нижней челюсти за счёт различных нарушений в височно-нижнечелюстном суставном комплексе (недоразвитие, деформации или смещения структур). Челюсть может быть сдвинута не только в сторону, но и по диагонали.

Осложнения перекрёстного прикуса
Положение зубов и челюстей в перекрёстном прикусе напрямую влияет на распределение жевательной нагрузки и направление действий жевательных сил. В процессе адаптации к особенностям прикуса организм постепенно переходит в стадию декомпенсации и возникает перегрузка всех структур челюстно-лицевого комплекса. Именно она ведёт к осложнениям, в том числе необратимым.
Осложнения со стороны твёрдых тканей зубов и пародонта
Эмаль — самая прочная ткань в организме, но под влиянием постоянно повышенной нагрузки на ней появляются микротрещины, которые затем приводят к сколам, появлению клиновидных дефектов и повышенной чувствительности зубов.

Периодонтальные связки, окружающие зуб, также имеют свой функциональный запас. При чрезмерной нагрузке, особенно на отдельные группы зубов, в этих связках развивается защитная реакция. Она может проявляется воспалением и дальнейшим разрушением структур.
Нарушение функции мышц
Изменения в работе мышц в перспективе приводят к появлению стойких парафункций тканей — неосознанной активности некоторых мышц, которая не связана с жеванием или речью и трудно поддаётся самоконтролю. Постоянное перенапряжение одних групп мышц при наличии перекрёстного прикуса ведёт к их гипертрофии и гиперфункции, что в дальнейшем может стать причиной бруксизма, стойких мышечных болей и зажимов [1] [5] [9] [12] .

Изменения в височно-нижнечелюстном суставе
При нарушении функций или ограничении подвижности головок и суставных элементов развивается гипомобильность сустава, нарушается трофика его тканей. В зависимости от индивидуальных особенностей организма это может приводить к смещениям диска, появлению болей, хрустов и щелчков в суставе, а позже — к атрофии и деформации диска и суставных поверхностей [1] [2] .
Диагностика перекрёстного прикуса
Диагностика перекрёстного прикуса не составляет труда для специалиста.
Сбор анамнеза и истории развития заболевания часто помогает выявить истинные причины патологии. Диагностически важен характер болей, беспокоящих пациента, усталость мышц, хруст и щелчки в суставе.
Клинический осмотр лица помогает выявить выраженную асимметрию и пропорциональные несоответствия. При осмотре полости рта определяют тип перекрёстного прикуса. Оценивается состояние твёрдых тканей зубов: обнаруженные клиновидные дефекты, патологическая стираемость, сколы эмали, а также короткий срок службы пломб может косвенно свидетельствовать о наличии окклюзионных перегрузок, тем самым подтверждая поставленный диагноз. Слизистая губ и щёк нередко имеет отпечатки зубов из-за накусывания слизистой в месте перекрёстного положения зубов.
Наблюдение за характером движений суставов, функциональные пробы и рентгенологические исследования (особенно ортопантомография) позволяют обнаружить осложнения со стороны височно-нижнечелюстного сустава и мышечной функции [4] [7] [8] [9] [12] . По показаниям проводятся КТ и МРТ данной области в положении открытого и закрытого рта.

Электромиография и аксилография также проводятся по показаниям и являются дополнительными методами диагностики [5] [8] .
Перекрёстный прикус может быть ложным — такое состояние называют вынужденным смещением челюсти. Отличить его помогает регистрация преждевременных и суперконтактов с помощью окклюзиограммы или специализированного оборудования T-scan.

Иногда для подтверждения диагноза требуется зарегистрировать положение челюстей относительно структур черепа. Для этого верхнюю челюсть фиксирую с помощью лицевой дуги, а для нижней челюсти используют прикусные шаблоны или регистраторы прикуса.

Лечение перекрёстного прикуса
Лечение перекрёстного прикуса напрямую зависит от возраста пациента, исходной клинической ситуации, материального и технического обеспечения.
Для исправления прикуса используют съёмные и несъёмные ортодонтические пластинки из пластмассы с различными видами крепления (кламмеры, минивинты, ортодонтические кольца и коронки), а также другие конструкции с активными элементами (винтами и пружинами). Такие аппараты могут быть одночелюстными, двучелюстными и одночелюстными с межчелюстным действием.


Самая распространённая ортодонтическая аппаратура для исправления прикуса — брекет-системы. Для этого используются различные дополнительные приспособления: кнопки и крючки, эластики и эластичные цепочки.
Срок лечения брекет-системами в среднем составляет 15-18 месяцев и проводится в обязательном порядке на двух челюстях с последующим ношением ретейнера (шины) не менее 1,5 сроков активного периода лечения.

Сейчас большую популярность набирает лечение с помощью элайнеров — прозрачных капп с заложенной траекторией перемещения зубов. Этот метод, как и другие, имеет свои преимущества и недостатки. При грамотном планировании лечения и ответственном подходе пациента добиться ожидаемых результатов можно за 12-15 месяцев.
Во время лечения к основные ортодонтические конструкции могут дополняться минивинтами. Чаще они применяются у взрослых пациентов для более стабильной опоры и прогнозируемого результата.
Прогноз. Профилактика
При своевременно начатом лечении перекрёстного прикуса, т. е. до развития дистрофических процессов и необратимых изменений, прогноз благоприятный независимо от возраста пациента [3] [7] [11] [12] .
Иногда для исправления патологии необходим более комплексный подход с привлечением других специалистов — остеопата, стоматолога-хирурга, стоматолога-терапевта, логопеда, отоларинголога и других.
Профилактика делится на первичную и вторичную. Первая включает в себя меры по предотвращению появления патологии прикуса:
- выявление групп риска;
- диспансерное наблюдение;
- отказ от вредных привычек и факторов, влияющих на полноценное развитие челюстно-лицевой области.

Вторичная профилактика направлена на то, чтобы не допустить развития осложнений уже существующей патологии. Для уменьшения факторов риска рекомендуется:
Аномалии зубных рядов
Аномалии зубных рядов - это врожденные или приобретенные нарушения формы и длины нижней и верхней зубных дуг, характеризующиеся неправильным расположением (скученностью, асимметрией, транспозицией, изменением количества и пр.) зубов. Сопровождаются неправильным прикусом, нарушениями смыкания зубов, неудовлетворительной эстетикой улыбки. Диагностируются аномалии зубных рядов на основании признаков, выявленных во время стоматологического осмотра, изучения диагностических моделей и рентгенологических данных. Лечение аномалий зубных рядов состоит в восстановлении их нормальной формы и длины при помощи ортодонтической терапии, методов хирургической и ортопедической стоматологии.



Аномалии зубных рядов - обобщенное название ряда патологий формы и длины зубных дуг, оказывающих влияние на эстетику улыбки человека и функциональность зубочелюстной системы. Нормальная анатомическая форма зубного ряда верхней челюсти напоминает полуэллипс, а нижней - параболу. Аномалии зубных рядов могут характеризоваться удлинением либо укорочением, сужением или расширением зубных дуг на определенных участках челюсти. Аномалии зубных рядов проявляют себя скученным или неправильным расположением зубов (оральным или вестибулярным наклоном, поворотом по оси и т. д.), неполной адентией, тремами, диастемами, гиперодонтией и т. п. Нарушения формы и длины зубных рядов могут развиваться независимо друг от друга. В таких случаях часто наблюдается неправильная окклюзия пар зубов-антагонистов.

Основополагающими факторами, лежащими в основе формирования аномалий зубных рядов, считают недоразвитость и деформацию челюстей, обусловленные генетическими отклонениями, различными заболеваниями, перенесенными в детстве, а также вредные оральные привычки (сосание пустышек, пальцев и пр.). Аномалии зубных рядов бывают обусловлены недоразвитостью и деформациями челюстей, развившимися на фоне:
- различных болезней (например, рахита);
- парафункции мимической и жевательной мускулатуры, мышц языка;
- затрудненности носового дыхания;
- макродентии или микродентии;
- нарушений глотания (дисфагии);
- гиперодонтии или частичной адентии;
- короткой уздечки языка и т. д.
Аномалии зубных рядов различаются по отношению к трансверзальной (горизонтальной), сагиттальной (передне-задней) и вертикальной плоскости.
1. Трансверзальными аномалиями называют сужение или расширение зубных дуг, характеризующееся уменьшенным или увеличенным расстоянием между медиальной плоскостью и латерально стоящими от нее зубами. Среди нарушений, относящихся к данному виду, встречаются следующие формы:
- V-образная (сужение в боковых сегментах, разворот центральных и боковых резцов вокруг своей оси, выдающийся вперед фронтальный участок);
- остроугольная (сужение в области клыков);
- общесуженная (все зубы располагаются очень тесно, ближе к медиальной плоскости);
- седловидная (сужение в области премоляров и первых моляров);
- трапециевидная (уплощение фронтального участка челюсти, сужение боковых отделов);
- асимметричная (различное расположение боковых зубов по отношению к медиальной плоскости с разных сторон челюсти);
- аномалии, характеризующиеся гиперодонтией.
2. Сагиттальные аномалии зубных рядов (удлинение или укорочение) возникают из-за вестибулярного или орального наклона зубов во фронтальной области.
3. Вертикальными аномалиями называются зубоальвеолярные укорочения и удлинения отдельных сегментов зубных рядов.

Симптомы
Одним их главных симптомов аномалий зубных рядов считается скученность зубов, которая выражается в очень тесном их расположении. При этом зубы обычно развернуты вокруг собственной оси и «находят» друг на друга. Довольно распространенными признаками аномалий зубных рядов являются диастемы и тремы - щели между отдельными зубами. К аномальным проявлениям относят также отклонения числа зубов. Это может быть как частичная адентия (врожденная или приобретенная), так и наличие сверхкомплектных зубов.
Кроме того, к симптомам аномалий зубных рядов причисляют наклоны зубов в различных направлениях. При вестибулярном наклоне зубы смещены наружу (в сторону щек), а при оральном - внутрь (в сторону языка). Встречается мезиодистальное отклонение зубов, при котором зубы в ряду относительно своего нормального положения наклонены вперед или назад. Разворот зубов (обычно - резцов) вокруг продольной оси также рассматривается как признак аномалии.
Диагностика аномалий зубных рядов осуществляется врачом-стоматологом и ортодонтом на основании обнаруженных во время осмотра клинических признаков, рентгенологического исследования (ортопантомографии) и антропометрического анализа гипсовых моделей челюстей пациента. Для объективной оценки всех параметров зубных рядов с челюстей пациента снимаются оттиски и изготавливаются диагностические модели, после чего с использованием циркуля и линейки проводится их изучение. Размеры зубов анализируют с использованием таблиц Ветцеля и В.Л. Устименко.
На моделях также измеряют протяженность зубных рядов. После определения мезиодистальных размеров зубов получают их сумму. Затем проводят измерение длины зубного ряда при помощи капроновой нитки или тонкой проволоки, которую располагают вдоль режущего края и жевательной поверхности зубов до линии дистальных поверхностей вторых молочных или первых постоянных моляров. Значение суммы поперечных размеров зубов при скученности или дефиците места оказывается меньше протяженности зубного ряда, а при наличии щелей между зубами - больше. В случае асимметрии зубных рядов ширина их правых и левых частей измеряется от срединной линии, образованной небным швом на верхней и уздечкой языка - на нижней челюсти.
Лечение аномалий зубных рядов
Коррекция аномалий зубных рядов предполагает применение методов ортодонтии, хирургической и ортопедической стоматологии, приводящих к расширению или сокращению зубных дуг и правильной постановке зубов. Рациональный способ лечения определяется с учетом совокупности нескольких факторов: смыкания боковых зубов, причин аномалии (недоразвитость базиса челюсти или др.), суженности зубной дуги, возраста пациента (завершен ли период активного роста челюстей). Также учитывается, возможно ли устранить аномалию только лишь методами ортодонтии, или необходимо и целесообразно подключать хирургические и ортопедические методы лечения и т. д.

Ортодонтическое лечение
В настоящее время существует значительное количество различных систем ортодонтических аппаратов, позволяющих с успехом устранять многие аномалии зубных рядов. У детей с молочным прикусом и во время прорезывания постоянных зубов отклонения устраняются с помощью пластиночных аппаратов с винтами. При равномерном сужении зубного ряда винт размещают в области премоляров в середине зубной дуги, а при глубоком небе используется пружина Коффина.
Если сужению зубного ряда сопутствует протрузия верхних фронтальных зубов, применяется пластиночный ортодонтический аппарат с винтом, дополненный вестибулярной дугой. При расположении сужения в переднем либо заднем сегменте зубного ряда винт устанавливается соответственно локализации аномалии. По показаниям используются ограничители. В случае одностороннего сужения или смещения нескольких зубов применяется асимметричное положение винта и распил пластинки. При трапециевидной форме зубного ряда (его уплощении на фронтальном участке) используется пластинка с секторальным распилом в области резцов, а при укорочении переднего участка верхней челюсти возможно применение капп Шварца и Бынина.
При постоянном прикусе воздействие на аномалии зубных рядов осуществляется с помощью несъемной аппаратуры (например, дуги Энгля) и брекет-систем, посредством которых возможно одновременно перемещать зубы вперед и придавать нормальное положение относительно их собственной оси. При укорочении боковых сегментов зубного ряда зачастую бывает недостаточно места для клыков и премоляров из-за того, что первые моляры смещены вперед. Для придания им нормального положения показано использование пластинки с секторальным распилом, винтом и кламмером на смещаемый зуб. В подобных случаях одних ортодонтических методов может оказаться недостаточно, поэтому приходится прибегать к удалению премоляра, отчего лечение лучше проводить сразу после прорезывания постоянных зубов.
В последнее время все большее распространение получают несъемные дуговые ортодонтические аппараты и лингвальные брекеты, которые фиксируются с небной стороны коронок зубов. Будучи весьма функциональными, они имеют значительные эстетические преимущества, поскольку не видны окружающим, что немаловажно для пациентов, особенно в пубертатном периоде.
Ортопедическое лечение
При расширении зубного ряда у пациента возникают щели и промежутки между зубами. Устранение трем и диастем с использованием ортодонтических аппаратов затруднено, поскольку возникновение таких аномалий обычно связано с увеличением тела челюсти или альвеолярного отростка. Проблему можно устранить протезированием. Но если промежутки не слишком значительны и не вызывают у пациента нареканий, ортопедическое и ортодонтическое воздействие является необязательным.
Хирургическое лечение
В случае макродентии и скученности зубов одно ортодонтическое лечение малоэффективно. Для расстановки зубов в правильное положение обычно требуется удаление 1-2 зубов, чаще премоляров, на место которых перемещают аномально расположенные резцы и клыки. Такое сочетание ортодонтической и хирургической стоматологии часто применяется у пациентов старшего возраста, но если диагноз макродентия поставлен в период смены зубов, возможно использование метода Хотца, при котором последовательно удаляемые молочные зубы позволяют правильно располагать прорезающиеся постоянные зубы. Своевременное применение этого метода зачастую дает возможность избежать ортодонтической помощи или сделать ее минимальной.
Важную роль в исправлении аномалий зубных рядов играет ранняя диагностика: чем раньше будут начаты лечебные мероприятия, тем большего успеха, как правило, удается добиться. Самым благоприятным периодом для профилактики и лечения аномалий считается дошкольный возраст, который связан с формированием молочного прикуса, позднее терапия становится менее эффективной и требует больших затрат. В случае своевременного обнаружения и лечения аномалий зубных рядов прогноз в целом благоприятный. Современные стоматологические методы позволяют исправлять большинство отклонений.
Профилактика возникновения аномалий зубных рядов состоит в устранении их возможных причин в пренатальном периоде и в первые годы жизни ребенка. Профилактические мероприятия включают в себя заботу о здоровье матери и ребенка, лечение хронических и инфекционных заболеваний, избавление от вредных привычек (сосание пальцев, предметов) и т. п. Для раннего обнаружения развития аномалий зубов рекомендуется регулярно посещать стоматолога в рамках профосмотра.
3. Аномалии зубных рядов в структуре зубочелюстных аномалий у детей 7-18 лет/ Суслова О.В., Желизняк Н.А., Стеценко Д.В., Кордонец Е.Л., Анисимов М.В.// Вестник стоматологии. - 2019.
Случай успешного лечения аномалии положения зубов
Клиническая картина аномалии зубочелюстной системы значительно осложняется при присоединении деформации зубных рядов, сопровождающей частичную потерю зубов. В настоящее время мезиальный наклон моляров нижней челюсти - часто встречаемая патология зубочелюстной системы, а ее лечение чаще всего осуществляется с помощью брекет-системы и микроимплантатов. До сих пор проблеме оптимальных методик исправления положения зубов уделено недостаточно внимания, отсутствуют данные о пределах ортодонтического лечения данной патологии. Предложенная нами методика, основанная на детальном изучении положения зубов в норме, позволяет обосновать перемещение зубов в процессе ортодонтического лечения и выбрать наиболее рациональный план лечения пациентов с мезиальным смещением моляров нижней челюсти с применением брекет-системы и микроимплантатов.

1. Жулев, Е. Н. Ортопедическая стоматология: Учебник. - М.: ООО «Издательство «Медицинское информационное агенство», 2012. - 824с.
2. Полъма Л.В., Оборотистов Н.Ю., Мураев A.A. Возможности ортодонтического лечения с применением временных имплантатов // Ортодонт. Реф. журн. - 2004. - №3. - С. 91-92.
3. Полъма Л.В., Персин Л.С., Ломакин М.В., Мураев A.A. Использование имплантатов при ортодонтическом лечении // Ортодент-инфо. - 2002. - № 3. - С. 44-51.
4. Профит, У. Р. Современная ортодонтия/ под ред. Л. С. Персина. - М.: Медпресс-информ, 2006. - 560 с.
5. Робустова Т.Г. Применение временных внутрикостных зубных имплантатов // Российский стоматологический журнал. - 2005. - № 1. м С. 46-48.
7. Cheng S.J., Tseng I.Y., Lee J.J., Kok S.H. A prospective study of the risk factors associated with failure of mini-implants used for orthodontic anchorage // Int. J. Oral. Maxillofac Implants. - 2004. - Jan-Feb. 19(1). - P. 100-106.
10. Sung J.H., Kyung H.M., Bae S.M., Park H.S., Kwon O.W., McNamara J.A. Microimplants in orthodontics // Dentos Inc. - 2006.
Согласно классификации ВОЗ (1997), все аномалии положения зубов рассматривают относительно трех взаимно перпендикулярных плоскостей. В трансверзальной плоскости к таким аномалиям относят губно-щечное (вестибулярное) и оральное (небное или язычное) положение зубов, в сагиттальной плоскости - мезиальный и дистальный наклон, в вертикальной плоскости - инфра- и супраположение. Перечисленные аномалии возникают при раннем удалении как молочных, так и постоянных зубов, при неправильном положении зачатков или неправильном положении других зубов [4].
Отсутствие первого нижнего постоянного моляра встречается достаточно часто. При несвоевременном протезировании развиваются деформации зубных рядов, а именно, мезиальный наклон второго нижнего постоянного моляра и супраположение (экструзия) второго верхнего премоляра и первого верхнего постоянного моляра [1].
Перемещение в правильное положение мезиально или дистально прорезавшихся зубов рекомендуется проводить, когда это продиктовано функциональными и эстетическими соображениями или необходимостью подготовки к протезированию. В настоящее время лечение осуществляют с применением брекет-системы, микроимплантатов или сочетанием этих методов [1, 4]. В этом случае коронка зуба вместе с частью корня наклоняется в сторону действующей силы, а верхушечная часть его движется в противоположном направлении. Наклон зуба происходит вокруг неподвижной точки - оси вращения, положение которой зависит от многих условий, и, в частности, от длины корня и коронки, точки приложения силы, анатомической особенности лунки зуба и др. [6, 7].
Для объекта в свободном пространстве центр вращения совпадает с центром массы. Если объект частично зафиксирован, как в случае находящегося внутри кости корня зуба, центр вращения находится в середине скрытого участка корня, т.е. в середине между верхушкой корня и отростком альвеолярной кости [8, 9].
Остеоинтегрированные имплантаты позволяют провести различные ортодонтические перемещения зубов - наклон, торк, интрузию, экструзию, оставаясь при этом неподвижными [2, 3]. При их использовании возможно создать ортодонтические силы, действующие непосредственно на центр сопротивления зубов, что в свою очередь приводит к корпусному перемещению этих зубов [5]. Применение внутрикостных имплантатов при ортодонтическом лечении позволяет достичь максимального удержания опорных зубов с одновременным контролем над корпусным передвижением перемещаемых зубов [10]. При этом нет четких показаний к применению брекет-системы, микроимплантатов и их сочетания в зависимости от конкретной клинической ситуации у пациентов с мезиальным наклоном моляров нижней челюсти.
Цель исследования: изучить характер и сроки перемещения зубов при использовании различных ортодонтических аппаратов у пациентов с аномалиями зубочелюстной системы, осложненными мезиальным наклоном моляров нижней челюсти.
Материалы и методы исследования: для решения поставленных задач нами были обследованы и приняты на лечение 56 пациентов (36 мужчин и 20 женщин в возрасте от 18 до 56 лет) с мезиальным смещением нижних зубов - мезиальный наклон второго нижнего постоянного моляра (односторонний и двусторонний). Все пациенты были разделены на три подгруппы в зависимости от аппарата, применяемого для лечения. В 1-й подгруппе (20 человек) лечение проводилось с помощью брекет-системы и микроимплантатов, во 2-й подгруппе (18 человек) - с помощью микроимплантатов, в 3-й подгруппе (18 человек) - с помощью брекет-системы.
С целью определения особенностей угла наклона зубов в сагиттальной плоскости в норме были изучены 50 ортопантомограмм людей (25 мужчин и 25 женщин) с ортогнатическим прикусом и интактными зубными рядами в возрасте от 18 до 35 лет, которые составили контрольную группу.
Обследование пациентов состояло из клинического обследования, изучения диагностических моделей челюстей, прицельных рентгенограмм и ортопантомограмм.
При осмотре полости рта отмечали состояние слизистой оболочки, выраженность и место прикрепления уздечек верхней и нижней губ, языка, фиксировали зубную формулу и определяли соотношение зубов антагонистов в положении центральной окклюзии, а также при движениях нижней челюсти в переднюю и боковые (правую и левую) окклюзии. Кроме того, определяли форму и размер зубных дуг, аномалии положения отдельных зубов.
С целью биометрического изучения диагностических моделей челюстей и планирования перемещения зубов все модели челюстей были отсканированы в 3D сканере Activity 850. Для просмотра на компьютере этих моделей использовалась программа Rotor 3D и компас 3D.
Для определения изменения степени положения зубов в сагиттальной плоскости всем пациентам проводили ортопантомографию, снимки сканировали в компьютер и в графическом редакторе «Gimp» измеряли углы наклонов зубов.
Определение положения зубов в сагиттальной плоскости проводили относительно франкфуртской горизонтали, которая была выбрана как наиболее стабильная структура. Для ее определения отмечали самые нижние точки правой и левой орбит (ord и ors) и соединяли их прямой линией. Затем проводили вращаемую ось зуба, которая проходила через центр вращения (середина между верхушкой корня и отростком альвеолярной кости) и середину режущего края или жевательной поверхности.
Центр вращения зуба был выбран нами в качестве ориентира при определении положения зубов в сагиттальной плоскости, так как эта точка не зависит от возможно имеющихся аномалий положения в других плоскостях, а также устраняет неточности измерений, связанных с отклонением верхушек корней зубов. Затем вращаемую ось зуба продлевали до франкфуртской горизонтали и измеряли угол, обращенный в сторону средней линии.
Все данные были заносены в таблицу и подвергнуты статистической обработке. Для анализа и статистической обработки данных использовалась программная среда R. Для попарного сравнения групп пациентов по значениям признаков был выбран непараметрический критерий Уилкоксона-Манна-Уитни. Для оценки различий одновременно между более чем двумя выборками по уровню какого-либо признака использовался непараметрический критерий Краскела-Уоллиса.
В таблице 1 приведены результаты описательной статистики продолжительности исправления мезиального наклона второго нижнего постоянного моляра по данным ОПГ в неделях (срок лечения, за который удалось добиться угла наклона зуба в норме, согласно контрольной группе).
Таблица 1. Результаты описательной статистики продолжительности исправления мезиального наклона второго нижнего постоянного моляра по данным ОПГ
Читайте также:
