Случай успешного лечения ложного сустав плечевой кости
Добавил пользователь Дмитрий К. Обновлено: 21.11.2025
Переломы плечевой кости, по данным разных авторов, составляют 7-12% общего числа всех переломов костей [2]. Оперативное лечение данных переломов является приоритетным, так как прерывает патологическую цепь и создает условия для полноценного восстановления анатомических структур сегмента и функций суставов.
Появление фиксаторов нового поколения расширило показания к оперативному лечению, нивелируя определенный хирургический нигилизм при лечении сложных переломов, особенно в случае остеопороза, околосуставных, многооскольчатых и перипротезных переломов [1]. С одной стороны, это позволяет расширить показания к оперативному вмешательству, с другой - возникают новые дополнительные проблемы в тактике лечения больных с переломами длинных трубчатых костей [3].
До настоящего времени количество неудовлетворительных исходов лечения остается высоким (от 7 до 26%). Среди них несросшиеся и неправильно сросшиеся переломы, ложные суставы, в том числе осложненные хроническим остеомиелитом [6].
Проблема лечения больных с осложнениями переломов плечевой кости имеет не только медицинское, но и социальное значение. Большинство пациентов этой группы составляют лица трудоспособного возраста. Основной задачей лечения данного контингента больных является максимально возможное восстановление трудоспособности. Добиться этого можно только при использовании реконструктивно-восстановительных методов оперативного лечения. Такой радикальный подход к лечению данной категории пациентов с применением оптимальной оперативной методики в каждом конкретном наблюдении считаем оправданным.
Целью нашего исследования было определение причин ошибок и осложнений при лечении переломов плечевой кости и изучение результатов оперативного лечения данного контингента больных.
Материал и методы
Анализ материала показал, что основные причины осложнений при лечении переломов плечевой кости можно разделить на 3 группы:
1. Несостоятельность остеосинтеза:
использование неадекватного фиксатора.
2. Недооценка характера и локализации повреждения:
нарушение кровоснабжения костных отломков и мягких тканей;
неправильно избранный способ лечения;
нарушение биомеханики сегмента.
3. Неадекватные лечебно-тактические действия:
несоблюдение оптимальных сроков лечения;
необоснованный отказ от оперативного вмешательства;
ранняя отмена иммобилизации или необоснованный отказ от ее применения.
В основу исследования положен анализ результатов лечения 55 больных с последствиями переломов плечевой кости. Возраст пациентов варьировал от 19 до 77 лет, большинство (38 человек) составили лица трудоспособного возраста (от 22 до 55 лет). Преобладали пациенты женского пола - 37, мужчин было 18.
В зависимости от характера рентгенологических и анатомо-функциональных изменений конечности применяли дифференцированный подход к хирургическому лечению больных с последствиями переломов плечевой кости. Всех больных разделили на
3 группы: 1-я - с несросшимися переломами, 2-я - с неинфицированными ложными суставами; 3-я - с инфицированными ложными суставами. Такое разделение позволяет оценить тяжесть последствий переломов и является основой для планирования лечебного процесса.
У 26 пациентов выявлено несращение или формирование ложного сустава из-за несостоятельности накостного остеосинтеза, у 2 - интрамедуллярного остеосинтеза с блокированием, у 1 пациента - наружного чрескостного остеосинтеза спице-стержневым аппаратом Илизарова.
До поступления 16 больных перенесли две и более операций с применением интрамедуллярного и накостного остеосинтеза. У 21 пациента закрытая репозиция и фиксация перелома гипсовой повязкой оказались несостоятельными.
В 1-ю группу включено 17 пациентов в возрасте от 19 до 62 лет (средний возраст 41,7 года).
Всем пациентам выполнено реконструктивное оперативное вмешательство. У одного пациента с несостоятельностью наружного чрескостного остеосинтеза аппарат внешней фиксации предварительно удален и проведена подготовка кожных покровов.
У остальных пациентов 1-й группы внутренние фиксаторы и фиброзные ткани между фрагментами удаляли во время операции, производили адаптацию костных фрагментов с восстановлением оси сегмента и выполняли накостный остеосинтез (или реостеосинтез).
Основная концепция реконструктивной операции - хорошая биологическая совместимость имплантата и хирургическая техника, обеспечивающая бережное отношение к мягким тканям и костным фрагментам. Для остеосинтеза (или реостеосинтеза) использовали оригинальные накостные пластины: динамические компрессирующие (DCP), динамические компрессирующие ограниченного контакта (LC-DCP) и пластины с угловой стабильностью (LCP).
В одном наблюдении произошел перелом фиксатора с формированием ложного сустава. У всех остальных пациентов достигнута полная консолидация перелома с хорошим функциональным результатом.
Приводим клинические примеры.

1. Больной Г., 19 лет, поступил через 4 мес после травмы и операции с диагнозом: несрастающийся перелом нижней трети диафиза правой плечевой кости после остеосинтеза пластиной; нестабильность металлофиксатора (рис. 1). Рисунок 1. Рентгенограммы больного Г., 19 лет (I), и функция конечности через 2,5 года после реконструктивной операции (II). I: а - оскольчатый перелом плечевой кости, б - накостный остеосинтез пластиной, в - через 4 мес после травмы (отсутствие консолидации, несостоятельность остеосинтеза), г - после реконструктивной операции, д - через 3 мес после операции, е - удаление имплантата, ж - восстановление структуры плечевой кости в отдаленном периоде; II: з - состояние мягких тканей плеча, и, к - полное восстановление функции конечности.
Ко 2-й группе отнесен 31 пациент в возрасте от 34 до 77 лет (средний возраст 53,6 года).
У 17 пациентов наблюдали гипертрофический ложный сустав плечевой кости. В таких ситуациях оперативное лечение имело целью восстановление механической конструкции (жесткости) сегмента.
В ходе операции вскрывали костномозговые каналы, концы фрагментов освежали и фиксировали в анатомически правильном положении без полного удаления фиброзно-хрящевой ткани.
У 14 пациентов отмечали гипотрофический (или атрофический) ложный сустав. Для оптимизации условий процесса сращения таким пациентам выполняли декортикацию или аутотрансплантацию костной ткани в дополнение к стабильной внутренней фиксации.
У 6 пациентов с атрофическими ложными суставами, ранее неоднократно оперированных, наряду со стабильной внутренней фиксацией для поддержки остеогенеза применяли свободные реваскуляризируемые или ротированные на сосудистой ножке надкостнично-кортикальные аутотрансплантаты.

2. Больная В., 47 лет, поступила через 2 года после автотравмы с диагнозом: атрофический ложный сустав правой плечевой кости, перелом фиксатора (рис. 2). Рисунок 2. Рентгенограммы больной В., 47 лет (I), и функция конечности через 2 нед после операции (II). I: а - многооскольчатый перелом правой плечевой кости, б - интрамедуллярный остеосинтез, в - несостоятельность фиксатора через 3 мес, г - реостеосинтез пластиной с угловой стабильностью, д - перелом накостного фиксатора спустя 18 мес, е - реконструкция плечевой кости - накостный остеосинтез метафизарной пластиной с применением ротированного на сосудистой ножке надкостнично-кортикального аутотрансплантата, ж - консолидация ложного сустава через 5 мес; II - функция конечности через 2 нед после операции.
В 3-ю группу вошли 7 пациентов в возрасте от 26 до 70 лет (средний возраст 48 лет).
У 2 пациентов 3-й группы с хроническим остеомиелитом в стадии ремиссии выявлен ложный сустав плечевой кости. Им выполнена реконструктивная операция с применением ротированных надкостнично-кортикальных аутотрансплантатов для поддержки остеогенеза в условиях наружного чрескостного остеосинтеза по Илизарову.
В 5 наблюдениях при инфицированных ложных суставах и несросшихся переломах выполнены удаление металлоконструкций, некрэктомия концов костных фрагментов и наружный чрескостный остеосинтез по Илизарову. 3 пациентам операция дополнена пластикой костной раны фрагментами трехглавой (2) и плечелучевой (1) мышц.
Результаты
Ближайшие результаты лечения изучены у всех больных. Наблюдавшиеся осложнения разделены нами на две группы - ранние и поздние. Из ранних осложнений поверхностное нагноение раны выявлено в 2 наблюдениях, воспаление мягких тканей вокруг спиц аппарата наружной фиксации - в 2 наблюдениях.
Поздние осложнения, потребовавшие повторных операций, распределились следующим образом. Отсутствие консолидации выявлено у 4 больных. Повторное вмешательство у 2 пациентов выполнено с применением ротированных на сосудистой ножке надкостнично-кортикальных аутотрансплантатов.
Позднее нагноение (через 2,5 мес после операции), потребовавшее преждевременного удаления накостного фиксатора, наблюдали у одного пациента. Полной консолидации удалось достичь с использованием ортеза.
Раннее снятие аппарата Илизарова из-за нагноения мягких тканей вокруг спиц имело место у одного больного. В последующем сращение достигнуто после повторного наружного остеосинтеза по заживлении ран.
Отдаленные результаты лечения (в сроки от 1 года до 6 лет) прослежены у 38 больных. Оценка результатов проводилась с использованием системы Н.А. Любошица и Э.Р. Маттиса [4], а также И.Л. Шварцберга [5]. Хорошим результат лечения признан в 27 наблюдениях, удовлетворительным - в 7, неудовлетворительным - в 4. Неудовлетворительным результатом считали отсутствие консолидации костных отломков, что требовало повторного оперативного вмешательства.
Лечение последствий переломов длинных трубчатых костей требует индивидуального подхода в каждом наблюдении и должно быть направлено на создание условий для регенерации костной ткани на основе законов биомеханики, физиологии и патофизиологии.
Распределение больных на группы для оценки тяжести последствий способствовало правильному выбору лечебно-тактических действий.
При замедленной консолидации (несростающихся переломах) перелома плечевой кости (1-я группа) своевременно и технически грамотно выполненный остеосинтез (или реостеосинтез) позволяет сохранить условия репаративной регенерации и восстановить функцию конечности в целом.
Гипертрофические ложные суставы (2-я группа) плеча обладали достаточным объемом костной и мягких тканей. Наша задача заключалась в грамотном использовании этого ресурса.
Использование современных методик и фиксаторов позволило добиться положительных результатов.
С увеличением количества предшествующих обращению внутренних фиксаций наблюдали увеличение частоты возникновения гипотрофических (аваскулярных) ложных суставов (2-я группа). Принято считать, что причиной формирования атрофических и гипотрофических ложных суставов у таких пациентов является нарушение кровоснабжения концов фрагментов в результате тяжелых повреждений и хирургических вмешательств.
У этих пациентов наряду со стабильной внутренней фиксацией считаем оптимальным применение свободных реваскуляризируемых или ротированных на сосудистой ножке надкостнично-кортикальных аутотрансплантатов для поддержки остеогенеза.
Цели и хирургическая тактика у пациентов c инфицированными ложными суставами (3-я группа) зависели от активности остеомиелитического процесса, сопутствующих анатомических изменений.
Свободные реваскуляризируемые или ротированные на сосудистой ножке надкостнично-кортикальные аутотрансплантаты применяли для поддержки остеогенеза у пациентов с ложными суставами и хроническим остеомиелитом в стадии ремиссии в условиях выраженного фиброза тканей, патологических изменений тканей сегмента конечности, нарушения кровоснабжения концов костных фрагментов.
В стадии обострения или при вялотекущей хронической гнойной инфекции в области ложного сустава выполняли удаление металлофиксаторов, традиционную санацию гнойного очага и остеосинтез аппаратом внешней фиксации. Дополнительное применение ротированных мышечных лоскутов позволило осуществить тампонаду остеомиелитической полости или укрыть костные фрагменты хорошо снабжаемыми кровью, устойчивыми к инфекции тканями, способными создать благоприятные условия для остеорепарации.
Таким образом, разделение больных на группы не только позволяет оценить тяжесть последствий переломов плечевой кости, но и отражает необходимость дифференцированного подхода к лечению данного контингента больных.
При замедленной консолидации и гипертрофических ложных суставах плечевой кости правильный выбор метода остеосинтеза ( или реостеосинтеза) и технически грамотное выполнение оперативного вмешательства дают возможность сохранить условия репаративной регенерации и восстановить функцию конечности в целом.
Применение свободных реваскуляризируемых и ротированных на сосудистой ножке надкостнично-кортикальных аутотрансплантатов наряду со стабильной внутренней фиксацией при гипотрофических (аваскулярных) ложных суставах является высокоэффективным методом лечения.
У пациентов с инфицированными ложными суставами плечевой кости создание благоприятных условий для остеорепарации возможно с применением хорошо снабжаемых кровью, устойчивых к инфекции тканей.
Случай успешного лечения ложного сустав плечевой кости
13 декабря 2016 года в НИИ травматологии и ортопедии Нижнего Новгорода обратилась пациентка 68 лет. У женщины был несросшийся перелом левой плечевой кости после оперативного лечения в травматологическом отделении одной из больниц города.
Жалобы
Пациентка жаловалась на боль, хруст деформацию и ощущение "разболтанности" плеча. Плечевой сустав не двигался, в локтевом движения были нарушены.
Жалобы усиливались, когда пациентка пыталась двигать рукой. Рука была "неуправляемая", так как отломки плечевой кости болтались на мышцах. Женщина была вынуждена постоянно фиксировать руку гипсовым лонгетом.
Анамнез
Пациентка получила травму несколько месяцев назад при падении с высоты своего роста. Сломала плечевую кость слева в средней трети. Женщину экстренно доставили в одну из травматологических клиник Нижнего Новгорода. Врачи назначили хирургическое лечение.
Была выполнена открытая репозиция (сопоставление фрагментов кости) и остеосинтез (фиксация) плечевой кости пластиной.
Послеоперационный период, со слов пациентки, проходил гладко. Рана зажила первично. Но через пару месяцев появился хруст и боль в области оперированного плеча. Симптомы усиливались, и постепенно появилась разболтанность в плече. Остеосинтез оказался несостоятельным — пластина не держала отломки плечевой кости.
Анамнез наследственно не отягощён. Из сопутствующих заболеваний у пациентки гипертоническая болезнь, ишемическая болезнь сердца и диффузно-узловой зоб.
Обследование
При осмотре в левом плече отчётливо определяется патологическая подвижность отломков плечевой кости. Пульсация на кисти отчётливая, кулачный схват кисти сохранён, но ослаблен. Пациентке сложно выполнять активные движения плечом из-за нарушения непрерывности плечевой кости — "болтающийся ложный сустав". Движения в локтевом суставе ограничены. Чувствительность на кисти сохранена.
По данным рентгенографии: нестабильность остеосинтеза левой плечевой кости пластиной, диастаз (щель) между отломками.
Диагноз



Снимок через 3 года после травмы: полное сращение плечевой кости и перестройка трансплантата из гребня подвздошной кости


Лечение
- Сделали передний доступ к плечевой кости — по рубцу от предыдущей операции. Удалили пластину. При осмотре плечевой кости выявили серьёзное нарушение качества отломков кости и выраженное поражение мышц.
- Удалили поражённые ткани.
- Выполнили остеосинтез прямой пластиной LCP.
- Рану ушили.
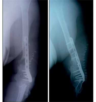
Через год выяснилось, что перелом не сросся. Пластина была нестабильной, женщина жаловалась на хруст и щелчки в области плеча.
Пациентку снова госпитализировали на оперативное лечение. Пластину удалили. При осмотре обнаружили, что отломки кости неправильной формы, склерозированы на большом протяжении — около 10 см. Это значит, что их плотность увеличилась. Пришлось удалить нежизнеспособные фрагменты кости. После этого стало понятно, что расстояние между отломками очень большое и необходима костная пластика дефекта.
- Первый этап — пластика дефекта по Маскуле. Отломки фиксировали антеградно интрамедуллярным стержнем. Вокруг стержня на протяжении всего дефекта сформировали цементную мантию с добавлением 2 г. Ванкомицина. Мягкие ткани и рану ушили. Послеоперационный период прошёл гладко.
- Через пять недель провели второй этап лечения. Из гребня подвздошной кости взяли губчато-кортикальный аутотрансплантат 7 х 2 х 3 см. Выполнили разрез по переднему отделу плеча над плечевым суставом. Стержень удалили. Вокруг цементной мантии сформировалась биологически активная мембрана. Её аккуратно отслоили. В неё уложили аутотрансплантат, мембрану над ним ушили. Таким образом, костный дефект между отломками был заполнен губчато-кортикальным аутотрансплантатом. Отломки фиксированы пластиной LCP PHILOS. Рана ушита. Послеоперационный период прошёл без осложнений.
Пациентка наблюдалась в течение трёх лет после начала лечения. В итоге ложный сустав плечевой кости полностью сросся, аутотрансплантат перестроился и прижился.
Заключение
Клинический случай подтверждает, что методика Маскуле эффективна для лечения сложных переломов. Успешно применяю её течение шести лет на разных сегментах костей.
Случай успешного лечения перелома левой плечевой кости без операции
Пациент жаловался на боль и ощущение нестабильности в левом плече, из-за чего рука не работала. При обращении левое плечо было обездвижено гипсом.
Летом 2020 года пациент попал в ДТП и получил закрытый перелом левой плечевой кости. Для лечения обратился в травматологическую клинику Нижнего Новгорода, где ему рекомендовали оперативное лечение — остеосинтез пластиной. Однако пациент отказался от операции и обратился в нашу клинику.
Анамнез жизни без особенностей. Пациент не курит, ведёт активный образ жизни, занимается любительским спортом. Хронических заболеваний нет. Наследственность не отягощена.
Телосложение спортивное. Рост 180 см, вес 73 кг. Интеллектуальный уровень хороший. Сила кулачного схвата кисти сохранена. Отломки плечевой кости патологически подвижны, при этом появляется хруст и боль в плече.
На рентгенограммах видно перелом средней трети левой плечевой кости с расхождением отломков. Именно из-за расхождения отломков в другой клинике пациенту предложили сделать операцию.



В нашей клинике принято решение лечить перелом без операции — гипсовыми гильзами по методике американского ортопеда Сармиенто. Этот метод широко используется в мире, но в России о нём мало знают и почти не применяют.
Наложена специально выполненная гипсовая гильза (её можно формировать из пластиковых бинтов). Назначена специальная гимнастика. Можно было двигать локтем, выходить на работу (если она не связана с физическим трудом). Через месяц разрешена гантельная гимнастика и лёгкие бытовые нагрузки.
Лечение длилось четыре месяца. Пациент выполнял все рекомендации, в том числе делал упражнения для кисти, плечевого и локтевого сустава. Приходил на контроль один раз в три недели, остальное время находился дома и оставался мобильным, ездил в командировки.
Итогом лечения стало полное восстановление функции руки: объёма движений в плечевом и локтевом суставе и силы кисти. Перелом полностью сросся. Внешних признаков перелома плеча не видно, рука ровная.
Через четыре месяца после травмы пациент вернулся к физическим нагрузкам и спорту. Через пять месяцев возобновил занятия на турнике и брусьях.
Переломы плечевой кости во многих травматологических отделениях лечат при помощи операций. Но иногда возможно консервативное лечение. Оно не требует массивных гипсовых повязок, которые часто доставляют неудобства больным. Пациенты остаются мобильными, через 10-14 дней выходят на работу, если она не связана с физическим трудом.
При правильном подходе болевой синдром быстро проходит. Но после сращения может остаться смещение по длине и ширине.
Центральный научно-исследовательский институт травматологии и ортопедии им. Н.Н. Приорова Министерства здравоохранения и социального развития РФ, Москва
ФГАОУ ВО «Российский Университет Дружбы Народов», Москва, Россия
ФГБУ «НМИЦ ТО им. Н.Н. Приорова» Минздрава России, Москва, Россия
Тактика хирургического лечения посттравматических ложных суставов и дефектов диафиза плечевой кости
Журнал: Вестник травматологии и ортопедии им Н.Н. Приорова. 2019;(1): 35‑41
Актуальность. Переломы плечевой кости составляют от 5 до 8% от всех переломов костей скелета. Несращения их встречаются нечасто, однако в случае наличия инфекции, нарушенного кровоснабжения, при открытых, многооскольчатых переломах вторичное костное сращение может быть затруднено. В случае нарушенного местного репаративного потенциала выбор в пользу становится практически неизбежным. Цель исследования: определение показаний к кровоснабжаемой костной пластике при ложных суставах и дефектах плечевой кости и анализ ее эффективности. Пациенты и методы. В отделении микрохирургии и травмы кисти ФГБУ «НМИЦ ТО им. Н.Н. Приорова» в период с 2010 по 2017 г. было проведено оперативное лечение с использованием васкуляризованных костных трансплантатов 41 пациента с ложными суставами и дефектами плечевой кости. У 38 пациентов использовался васкуляризованный трансплантат из малоберцовой кости, у 3 — из медиального мыщелка бедренной кости. Во всех случаях применялся накостный остеосинтез пластиной. Оценка результатов проводилась на основании рентгенологического исследования и компьютерной томографии. Результаты. Консолидация перелома при кровоснабжаемой костной пластике была достигнута в 36 (88%) случаях в течение 4-6 мес: в группе с применением малоберцового трансплантата — в 33 случаях, в группе с применением трансплантата из мыщелка бедренной кости — у 3 пациентов. Заключение. Каждый ложный сустав плечевой кости имеет уникальный комплекс причин возникновения и требует индивидуализированного подхода. При длительно существующих посттравматических ложных суставах и дефектах плечевой кости кровоснабжаемая костная пластика является эффективным способом лечения. Конфликт интересов: не заявлен Источник финансирования: исследование проведено без спонсорской поддержки
Введение. Переломы плечевой кости составляют от 5 до 8% от всех переломов костей скелета [1]. Несращения их встречаются нечасто: накостный остеосинтез — в 5,5-8,7% случаев, блокируемый интрамедуллярный остеосинтез — в 3-5,6% [15]. Однако, несмотря на редкую встречаемость, они могут представлять значительные трудности для травматолога-ортопеда.
Существуют различные факторы, которые могут предрасполагать к несращению плечевой кости у пациента. Ожирение, остеопороз, алкоголизм, курение, сопутствующие заболевания могут увеличить частоту несращения, однако их невозможно скорректировать перед выполнением ревизионной хирургии [1]. Тем более что обычно у пациента имеется более одного фактора, приводящего к слабости репаративного потенциала при переломе плечевой кости [14].
Плохое качество кости, связанное с наличием у пациента остеоартрита или остеопороза может в дальнейшем компрометировать среду, необходимую для заживления перелома. В дополнение — рубцовые ткани, оставшиеся от предыдущих хирургических вмешательств, и близость сосудисто-нервных образований к медиальной стенке плечевой кости могут осложнить хирургический доступ к зоне несращения даже для опытного травматолога-ортопеда 4.
Описано много способов лечения ложных суставов плечевой кости, дающих различную вероятность успеха. Применяются открытая репозиция и внутренняя фиксация, интрамедуллярный остеосинтез, аппараты наружной фиксации, однако выбор оптимальной методики до настоящего времени остается предметом научных дебатов.
Частота сращения ложных суставов плечевой кости при использовании традиционных методик остеосинтеза в комбинации с использованием костных трансплантатов варьирует от 70 до 92% 6, однако в случае наличия инфекции, нарушенного кровоснабжения, при открытых, сегментарных или многооскольчатых переломах вторичное костное сращение может быть затруднено [7].
Распространенность костной консолидации при открытой репозиции и внутренней фиксации неинфицированного ложного сустава плечевой кости варьирует от 64 до 100% [11]. Присутствие инфекции часто ассоциировано со значительно более низкой вероятностью достижения костного сращения, ограничивает возможности хирургического лечения и приводит к ухудшению функциональных результатов [1, 4]. Лечение инфицированных ложных суставов, ложных суставов у пациентов с множеством предшествующих неудавшихся попыток оперативного лечения в анамнезе должно быть комплексным [15]. В таких ситуациях использование васкуляризованного костного трансплантата становится практически неизбежным, так как оно обусловливает большую вероятность успеха и ускорения репаративного процесса 17.
Дополнительным преимуществом васкуляризованного костного трансплантата является возможность его применения в сочетании с кожно-мышечным лоскутом для реконструкции сопутствующего мягкотканного дефекта.
Цель настоящего исследования — определение показаний к кровоснабжаемой костной пластике при ложных суставах и дефектах плечевой кости и анализ ее эффективности.
Материал и методы
В отделении микрохирургии и травмы кисти ФГБУ «НМИЦ ТО им. Н.Н. Приорова» в период с 2010 по 2017 г. было проведено оперативное лечение 41 пациента (19 мужчин, 22 женщины) с ложными суставами и дефектами плечевой кости с использованием васкуляризованных костных трансплантатов. Средний возраст пациентов составил 41 год (18-65 лет), средний период времени с момента травмы — 2 года и 4 мес (1-8 лет).
До поступления в НМИЦ ТО им. Н.Н. Приорова некоторые пациенты уже были оперированы с применением различных методик наружного и погружного остеосинтеза: среднее количество операций — 2,2 (2-7).

Кровоснабжаемый трансплантат из малоберцовой кости использовался у 38 (93%) пациентов, васкуляризованный трансплантат из медиального мыщелка бедренной кости — у 3 (7%) пациентов (рис. 1). Рис. 1. Распределение пациентов по типу васкуляризованного трансплантата.
Во всех случаях применялся накостный остеосинтез пластиной без контакта пластины с трансплантатом (мостовидная костная пластика).
Перед использованием лоскута из малоберцовой кости проводился тщательный костный и мягкотканный дебридмент.
При наличии показаний в раннем послеоперационном периоде проводилась ранняя хирургическая ревизия трансплантата, чтобы избежать нарушения в нем микроциркуляции.
Оценка результатов проводилась на основании данных рентгенологического исследования и компьютерной томографии.
Результаты

Консолидация перелома при кровоснабжаемой костной пластике была достигнута в 36 (88%) случаях в течение 4-6 мес (рис. 2): Рис. 2. Результаты оперативного лечения с использованием кровоснабжаемой костной пластикой. в группе применения малоберцового трансплантата консолидация была достигнута в 33 случаях, в группе трансплантата из мыщелка бедренной кости — в 3 случаях.
Клинический пример 1
Пациентка И., 34 лет.
Диагноз: последствия минно-взрывного ранения левого плеча с дефектом плечевой кости, мягких тканей, лучевого нерва. Остеомиелит.
На рис. 3-9 Рис. 3. Пациентка И., 34 лет. Внешний вид до операции. Рис. 9. Внешний вид и функция через год после операции. представлены все этапы обследования и лечения пациентки И.

Рис. 4. Рентгенограмма пациентки И. до операции.

Рис. 5. Пациентка И. Этапное оперативное вмешательство. а — замещение дефекта плечевой кости цементным спейсером; б — транспозиция торакодорсального лоскута в область мягкотканного дефекта плеча; в — послеоперационная рентгенограмма.

Рис. 6. Рентгенограммы пациентки И. после удаления цементного спейсера.

Рис. 7. Оперативное лечение пациентки И.: пластика левой плечевой кости свободным кровоснабжаемым трансплантатом из малоберцовой кости.
Клинический пример 2
Пациентка Н., 41 года.
Диагноз: ложный сустав левой плечевой кости.
На рис. 10-14 Рис. 10. Рентгенограмма пациентки Н. до операции. Рис. 14. Внешний вид и функция пациентки Н. через 8 мес после операции. представлены этапы обследования и лечения пациентки Н.

Рис. 11. Пациентка Н. Оперативное лечение: резекция зоны ложного сустава левой плечевой кости, остеосинтез пластиной и винтами. Пластика свободным кровоснабжаемым трансплантатом из внутреннего мыщелка бедренной кости.

Рис. 12. Рентгенограммы пациентки Н. после операции.

Рис. 13. Рентгенограммы пациентки Н. через 8 мес после операции.
Васкуляризованные костные трансплантаты могут быть использованы при лечении посттравматических ложных суставов, аваскулярных некрозов, некрозов кости после лучевого поражения, остеомиелита, для реконструкции костного дефекта. Выбор вида костного трансплантата остается до настоящего времени неопределенным.
В последнее время трансплантат из мыщелков бедра используется для лечения тяжелых ложных суставов конечностей, не поддающихся другому лечению [15].
В противоположность васкуляризованному трансплантату из малоберцовой кости, трансплантат из медиального мыщелка бедренной кости меньше в размерах, более гибкий и может быть с легкостью встроен в дефект неправильной формы. Эластичность трансплантата допускает его более тугую укладку вокруг трубчатой кости. Это особенно удобно при малом размере дефекта, когда использование аутокости из крыла подвздошной кости или малоберцового трансплантата может быть проблематичным [13].
A. King и соавт. [13] достигли успехов в лечении 5 пациентов с ложными суставами плечевой кости с помощью васкуляризованного кортикопериостального трансплантата из медиального мыщелка бедренной кости. Средний срок достижения костной консолидации составил 7,5 мес, ревизионное вмешательство не потребовалось ни в одном случае. Все пациенты имели отличную функцию локтевого и плечевого суставов. Эти данные совпадают с нашими наблюдениями, однако показания к выбору методики требуют уточнения в дальнейших исследованиях.
Атрофические ложные суставы без значительного костного дефекта могут быть эффективно скорректированы при помощи васкуляризованного кортикопериостального трансплантата из медиального мыщелка бедренной кости [15].
Васкуляризованный трансплантат из малоберцовой кости имеет преимущества в случае больших костных дефектов, при нестабильности и инфицированности ложного сустава, особенно при наличии множественных неудавшихся попыток получить сращение другими способами, при атрофии костной ткани и повреждении окружающих мягких тканей. Использование васкуляризованного трансплантата из малоберцовой кости, как правило, приводит к заживлению перелома с хорошим восстановлением мягких тканей и разрешением хронической инфекции [15].
Заключение. Таким образом, при длительно существующих посттравматических ложных суставах и дефектах плечевой кости, при наличии двух и более оперативных вмешательств с неудовлетворительным результатом в анамнезе кровоснабжаемая костная пластика является эффективным способом лечения.
Каждый ложный сустав плечевой кости имеет уникальный комплекс причин возникновения и требует индивидуализированного подхода.
Ложный сустав плечевой кости

При неправильном, замедленном или недостаточном срастании переломов плечевой кости развивается состояние, которое называется ложным суставом кости или псевдоартрозом. Оно характеризуется патологическими изменениями, которые приводят к подвижности в том месте, где ее не должно быть, и неестественной деформации суставных структур.
Псевдоартроз по причине происхождения бывает врожденным и приобретенным. Врожденная форма заболевания обусловлена аномалиями развития костных структур во внутриутробном периоде или в течение первых лет жизни. Приобретенный вариант патологии - результат различных повреждений плечевой кости: переломов, вывихов, воспалительных процессов.
Другие варианты классификации выделяют нормотрофический, гипертрофический и атрофический псевдоартроз; по характеру поражения различают некротическую, фиброзную и истинную формы патологии.
Симптомы
Ложный сустав плеча проявляется, в первую очередь, болью, которая усиливается во время взмахов и поворотов, при поднятии рук над головой, переносе тяжестей и других нагрузках на плечевой пояс. По мере развития заболевания снижаются некоторые рефлексы, двигательная функция нарушается, плечом и рукой становится работать все труднее.
Характерный признак псевдоартроза - подвижность сустава там, где в норме ее быть не должно. На рентгенограмме отчетливо прослеживается увеличение суставной щели и отсутствие костной мозоли.
Диагностика
Диагноз ставят на основании данных анамнеза, общего и инструментального обследования, куда входит рентгенография в нескольких проекциях, КТ или МРТ, УЗИ мягких тканей. Дополнительно проводится ряд лабораторных анализов, помогающих определить причину патологии, выявить воспалительный процесс и оценить общее состояние здоровья пациента.

Воспользуйтесь уникальной возможностью и получите бесплатную консультацию по поводу плановой операции. Подробнее.

Операции при ложном суставе плечевой кости
Ключевая задача лечения - восстановление непрерывности кости, полноценной функции плеча и руки. Консервативные методы терапии при псевдоартрозе не дают положительного результата, показано хирургическое вмешательство.
С учетом локализации ложного сустава плеча (шейка, головка, тело) и характера повреждений используются:
- различные техники остеосинтеза - методики, которая заключается в анатомически нужном соединении обломков с помощью фиксирующих элементов; , представляющая собой операцию, в ходе которой посредством собственных тканей пациента, донорского или искусственного материала восстанавливают целостность костных структур;
- остеотомия с последующей репозицией - технология, подразумевающая намеренный перелом неверно сросшейся кости с восстановлением правильного анатомического положения структур.
В случае развития некроза может потребоваться удаление поврежденных участков и замена их на синтетические аналоги посредством эндопротезирования.
Особое внимание нужно уделять переломам в пожилом возрасте. Естественное старение организма замедляет процессы регенерации, и любые травмы кости могут привести к образованию ложных суставов, особенно в области плеча, тазобедренного сустава, голеностопа.

Реабилитация
В зависимости от исходного состояния плечевой кости и проведенного лечения пациент остается под наблюдением медиков от 2 до 6 суток. Дальнейшее восстановление проходит дома при условии соблюдения всех врачебных рекомендаций. Срок реабилитации составляет от 3 до 6 месяцев.
В течение первых дней после операции необходимо полностью исключить движение поврежденной рукой и держать конечность на возвышении. Разрабатывать руку и плечо, давать динамические нагрузки можно только после полного срастания места перелома. Врач назначит необходимый курс ЛФК и физиотерапии при выписке.
Да, эндокринные заболевания - одна из причин развития патологии. Запустить механизм формирования ложного сустава также может нарушение метаболизма, дефицит кальция и фосфора в организме, хронические инфекции и даже нерациональный прием некоторых лекарственных препаратов.
К сожалению, правда, если в основе механизма образования патологии лежат врожденные состояния: аномалии развития костной структуры, нарушение костеобразования, генетические заболевания костной ткани.
Корнилов, Н. В. Травматология и ортопедия: учебник / под ред. Н. В. Корнилова, А. К. Дулаева. - 4-е изд., перераб. и доп. - Москва: ГЭОТАР-Медиа, 2020.
Елдзаров П. Е., Зелянин А. С., Филиппов В. В. Оперативное лечение больных с последствиями переломов плечевой кости. Хирургия. Журнал им. Н.И. Пирогова. 2010;(9):47-52.
Читайте также:
- Лечение глубоких травм уха. Операции при глубоких травмах уха
- Рак легких и туберкулез. Туберкулез как причина рака легкого.
- Современные принципы ведения родов. Принципы ведения родов.
- Случай лечения гонартроза с протезированием синовиальной жидкости высокомолекулярным гиланом
- Нарушения кишечной проходимости у детей. Инвагинация кишечника
