Случай успешного взаимодействия стоматолога-хирурга и стоматолога-терапевта при лечении радикулярной кисты
Добавил пользователь Владимир З. Обновлено: 22.01.2026
В 2018 году в клинику "Кранэкс" обратилась пациентка средних лет с жалобами на боли в ранее лечебном зубе.
Жалобы
Болевые ощущения в области 2.6 (левого верхнего жевательного) зуба возникали при накусывании и от температурных раздражителей (горячего и холодного).
Анамнез
Обследование
Конфигурация лица не изменена, кожные покровы чистые, открывание рта в полном объёме, движения височно-нижнечелюстного сустава свободные и безболезненные. Регионарные лимфатические узлы не пальпируются. Местно: на 2.6 зубе старая цементная пломба с признаками вторичного кариеса и, самое главное, розовенький оттенок зуба, что говорит о резорцин/формальдегиде (иначе метод пломбировки этими токсичными веществами на западе называют "Red russian cement" или метод Альбрехта).
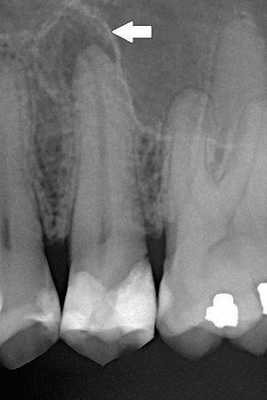
При перкуссии 2.6 зуба отмечается боль. Симптом нажатия положительный, что является одним из признаков отличия ложно-положительной перкуссии при симптоматическом пульпите. Самое интересное — фриз тест (реакция на холод): результат резко положительный, длительно сохраняющийся. При удалённом нерве такой реакции быть не должно, поэтому все ещё скептически отношусь к этому зубу, подозреваю скрытую кариозную полость на соседних зубах. Их электроодонтодиагностика в пределах нормы, а 2.6 реагирует на пульпитные значения. Решено провести рентген, в итоге обнаружена пломба, какая-то еле заметная тень в каналах на 1/2 длины и очаги деструкции на верхушках корней. Соседние зубы интактны. Это подтверждает предположение о "Red russian cement". Но причем тут боли от температурных раздражителей?
Диагноз
Лечение
Под инфильтрационной анестезией 1,7 мл 4% раствора убистезина: ⠀• удалён вторичный кариес с остатками старой пломбы и размягчённым дентином; ⠀• создан доступ к устьям корневых каналов; ⠀• над мезиально-щёчным каналом обнаружен нависающий край дентина (к большому счастью, каналы удалось пройти относительно легко, что бывает редко при резорцин/формальдегиде); ⠀• при зондировании устья мезиально-щёчного канала обнаружена кровоточащая витальная корневая пульпа, из остальных каналов получено гнойное отделяемое; ⠀• проведена инструментальная обработка до 40 номера инструментом MTWO, медикаментозная обработка корневых каналов 3% раствором гипохлорита натрия, высушивание каналов, временная обтурация корневых каналов препаратом каласепт (гидроксид содержащая паста), временная пломба из СИЦ на семь дней.
Заключение
Данный клинический случай показывает важность комплексной диагностики — основы успеха лечения. Хотелось бы сказать пару слов по поводу поставленного диагноза К04.7 в данном случае. Раньше, в старой литературе можно было найти такой диагноз, как "Пульпопериодонтит", но он встречался только в учебниках по детской стоматологии (хотя, как показала практика, это заболевание возникает и у взрослых). В актуальной классификации МКБ-10 (а также ВОЗ и ММСИ) такой болезни нет, но есть отдельные нозологии — пульпит (воспаление нерва) и периодонтит (воспаление ткани вокруг корня зуба). Так как лечение этих заболеваний принципиально не отличается, т. е. не зависит от классификации, а поставить определённый диагноз не представлялось возможным, было решено отнести данный случай именно к пульпопериодонтиту.
Радикулярная киста ( Корневая киста )
Радикулярная киста - это полостное образование в области верхушки корня зуба, выстланное изнутри эпителиальной тканью и заполненное кистозной жидкостью. Является исходом хронического периапикального воспаления. Пациент с радикулярной кистой может не предъявлять никаких явных жалоб, они возникают при нагноении содержимого или прорастании кисты в гайморову пазуху. Длительное существование кисты приводит к деформации костной ткани и повышению риска перелома челюсти. Для диагностики используются данные объективного осмотра, дентальной рентгенографии, электроодонтометрии и пункции с последующим цитологическим исследованием. Лечение радикулярной кисты производится хирургическим путем.
МКБ-10


Общие сведения
Радикулярная, или корневая, киста представляет собой жидкостное образование с фиброзными стенками, формирующееся в апикальной зоне корня зуба и ограничивающее воспалительный очаг от здоровых тканей периодонта. Это самая распространенная форма кистозных заболеваний челюсти (челюстных кист) - она наблюдается в 95% случаев. Кисты корней зубов верхней челюсти встречаются несколько чаще, чем нижней. Развитию образований одинаково подвержены мужчины и женщины, как правило, в возрасте от 20 до 45 лет. Радикулярные кисты могут достигать более 5 см в диаметре.

Причины корневой кисты
Основной причиной появления кисты является наличие воспалительного процесса, в результате чего организм формирует соединительнотканную капсулу для изоляции очага инфекции. Чаще всего кисты образуются у пациентов с длительно существующим кариозным процессом, пульпитом и периодонтитом либо вследствие неграмотного стоматологического вмешательства. Одним из самых частых заболеваний-предшественников радикулярной кисты является гранулематозный периодонтит - хроническое воспалительное заболевание периодонта с образованием специфических соединительнотканных гранулем, постепенно разрастающихся и превращающихся в кисты.
Нередко причиной занесения инфекции становится травма зуба, перенесенное инфекционное заболевание, например, ангина, отит или гайморит или снижение иммунитета. Кистозным процессом также может сопровождаться осложненное прорезывание зубов мудрости, неправильный прикус.
Патанатомия
Корневая киста формируется из эпителиальных клеток под влиянием воспалительного процесса в тканях периодонта. Она имеет тонкие фиброзные стенки, изнутри выстлана многослойным плоским эпителием и заполнена желтой прозрачной жидкостью с кристаллами холестерина. Образование формируется либо непосредственно на верхушке корня зуба - такая киста называется апикальной, либо прилежит к латеральной поверхности корня и тогда классифицируется как латеральная периодонтальная киста.
Симптомы радикулярной кисты
Долгое время кистозное поражение может протекать абсолютно бессимптомно либо сопровождаться малозначительными для пациента признаками, которые чаще всего игнорируются. При кисте крупных размеров может наблюдаться смещение соседних зубов и деформация альвеолярного отростка, а пальпация в этой области сопровождается симптомом «пергаментного хруста» и ощущением податливости стенки под пальцами врача. Деформация лица у пациентов с радикулярной кистой встречается в 36,4% случаев. Вследствие роста образования происходит разрушение костной ткани, и в результате возникает риск перелома челюсти.
Гораздо ярче симптоматика проявляется при нагноении кисты. Спровоцировать данное явление может удар по зубу или другая челюстно-лицевая травма, неудачное стоматологическое вмешательство, гайморит и т. д. Воспаление начинается со стенки кисты, инфицированное содержимое превращается в гной. Возникают жалобы на боль в области причинного зуба и симптомы интоксикации (лихорадка, недомогание, озноб). При объективном осмотре выявляется гиперемия и отечность окружающих тканей.
Осложнения
Отсутствие надлежащей медицинской помощи в таком случае приводит к серьезным осложнениям, таким как свищ, флегмона мягких тканей и остеомиелит челюсти. Инфекционный процесс может распространиться на придаточные пазухи носа и внутреннее ухо, вызывая острые воспалительные заболевания ЛОР-органов. В стоматологии также встречается такое явление, как прорастание кисты в гайморову пазуху. В результате происходит серьезная деформация ее стенок с атрофией губчатого вещества кости и развитием у пациента гайморита.
Диагностика радикулярной кисты
При осмотре врач-стоматолог выявляет потемнение цвета зуба (пораженный зуб может быть под коронкой, в таком случае она значительно светлее, чем сам зуб) или запущенный кариозный процесс. Зондирование корневых каналов при этом безболезненно и сопровождается выделением желтоватой жидкости. Перкуссия, как правило, редко вызывает какие-либо дискомфортные ощущения. Для уточнения диагноза проводится:
- Дентальная рентгенография. Нередко радикулярная киста выявляется случайно в процессе лечения других зубов. Данное образование на рентгенограмме представляет собой круглую или овальную тень с четкими границами, расположенную у верхушки корня зуба или прилежащую к боковой стенке корня. Костная структура периодонтальной щели разрушена и на снимке не визуализируется. Корни соседних зубов смещены. В ряде случаев идентифицировать кисту не удается даже на рентгеновском снимке, из-за того что корень причинного зуба попадает в зону видимости недостаточно полно.
- ЭОД. С целью уточнения диагноза используется метод электроодонтометрии. Порог возбудимости причинного зуба находится в диапазоне от 100 до 120 мкА, что соответствует некрозу пульпы.
- Диагностическая пункция. Чтобы выяснить, не является ли кистозное образование злокачественным, проводят пункцию толстой иглой. Содержимое ненагноившейся радикулярной кисты представляет собой желтую жидкость со взвесью холестериновых зерен.
- Рентген ППН. Для исключения прорастания образования в полость придаточных пазух носа необходимо дополнительно провести рентгенографию придаточных пазух. Рентгенологическими признаками кисты служат куполообразное выпячивание и деформация костного дна пазухи. В сомнительных случаях рекомендуется проведение контрастной рентгенографии или компьютерной томографии верхнечелюстной кости.

КТ челюстно-лицевой области. Радикулярная киста (красная стрелка) вблизи корня левого клыка верхней челюсти, состояние после эндодонтического лечения (синяя стрелка - филлер в корневом канале), избыток филлера за пределами верхушки зуба (зеленая стрелка).
Дифференциальная диагностика
Дифференциальную диагностику радикулярных кист осуществляют с другими кистозными образованиями челюсти и опухолями (амелобластома и остеобластокластома). Так при фолликулярной кисте отсутствует связь заболевания с воспалительным процессом в причинном зубе, а при рентгенографии в полости кисты визуализируется коронка постоянного зуба. Анализ зубной дуги показывает отсутствие постоянного зуба, или на его месте находится молочный зуб. Фолликулярные кисты обычно встречаются в детском и юношеском возрасте.
Кисты резцового канала формируются четко в области средней линии твердого неба за верхними центральными резцами. Под основанием крыла носа в зоне носогубной бороды располагаются носогубные кисты, а в пространстве между боковым резцом и клыком верхней челюсти - глобуломаксиллярные.
Амелобластома характеризуется расположением в области угла и тела нижней челюсти, при этом ее развитие не связано с воспалительными заболеваниями периодонта. При рентгенологическом исследовании опухоль имеет картину однокамерной кисты или поликистозного образования с непрорезавшимся зубом мудрости внутри. Для уточнения диагноза необходима пункция и цитологическое исследование полученного содержимого.
Остеобластокластома отличается от радикулярной кисты своей ячеистым строением и менее четкими границами на рентгенограмме. Попадая в зону опухоли, корни зубов, как правило, резорбируются. При пункции остеобластокластомы получают небольшое количество бурой жидкости без примеси холестерина.
Лечение радикулярной кисты
Цистотомия
Операция проводится под местной анестезией по следующей схеме: хирург выкраивает полуовальный слизисто-надкостничный лоскут в проекции кистозного образования, обнажает костную стенку и проводит трепанацию, после чего полость кисты промывается и заполняется тампоном с йодоформом. Для профилактики рецидива в ходе операции рекомендуется произвести тщательную ревизию тканей и удалить некротизированные участки. Через 7 дней необходимо сменить тампон и в дальнейшем производить смену повязки 3-4 раза. Данное вмешательство хорошо переносится пациентами, но сопровождается длительным существованием послеоперационного дефекта.
Цистэктомия
При цистэктомии киста удаляется целиком посредством отделения ее фиброзной оболочки от прилегающих тканей. Далее производится тампонада полости или сближение краев поврежденной в ходе операции слизистой оболочки. Данная манипуляция рекомендуется для пациентов с небольшими кистами либо крупными образованиями в зоне отсутствия зубов при сохранении достаточно толстого слоя костной ткани. В ряде случаев хирурги считают целесообразным объединить оба оперативных вмешательства. В послеоперационном периоде нужно внимательно следить за состоянием полости рта, использовать антисептические средства для полоскания и тщательно проводить гигиенические процедуры. При повышении температуры и наличии симптомов интоксикации необходимо как можно скорее обратиться к стоматологу-хирургу.
Прогноз и профилактика
Отсутствие выраженных клинических симптомов приводит к поздней диагностике заболевания, когда, как правило, его течение осложняется присоединением инфекции или деформацией анатомических структур полости рта. Чтобы своевременно диагностировать радикулярную кисту важно регулярно проходить осмотр у стоматолога. Меры профилактики заключаются в поддержании здоровья полости рта и качественном лечении воспалительных заболеваний, таких как кариес, пульпит и периодонтит.
Периодонтит - симптомы и лечение
Что такое периодонтит? Причины возникновения, диагностику и методы лечения разберем в статье доктора Козлова Владимира Игоревича, стоматолога со стажем в 17 лет.
Над статьей доктора Козлова Владимира Игоревича работали литературный редактор Маргарита Тихонова , научный редактор Сергей Федосов
Определение болезни. Причины заболевания
Периодонтит — это заболевание, вызванное бактериями, травмой или лекарственными препаратами, в результате которого происходит воспаление комплекса соединительной ткани (периодонта), расположенной между цементом зуба и зубной альвеолой. [9] [20]

В общей структуре стоматологических заболеваний периодонтит встречается во всех возрастных группах пациентов и составляет 25-30% от общего числа обращений в стоматологические учреждения. [3]
В зависимости от причин возникновения выделяют три типа периодонтита:
- Травматический периодонтит — может развиться как при однократном сильном механическом воздействии (ушиб, удар, попадание косточки), так и при неоднократных небольших механических повреждениях (например, при постоянном откусывании нитей швеёй).
- Медикаментозный периодонтит — возникает в результате выхода сильнодействующих препаратов из корневого канала в ткани периодонта (например, когда в зубе было оставлено лекарство, а следующий приём состоялся позже, чем это было показано по инструкции безопасного периода нахождения препарата в канале). [11]

Пути инфицирования тканей периодонта:
- внутризубной — выход токсинов и бактерий через систему корневого канала после инфицирования пульпы и её некротизации в ткани периодонта;
- внезубной — переход воспаления из окружающих тканей (остеомиелит, остит, гайморит, пародонтит и т. д.).
Крайне редко возможно инфицирование тканей периодонта гематогенным (через кровь) и лимфогенными путями.
При обнаружении схожих симптомов проконсультируйтесь у врача. Не занимайтесь самолечением - это опасно для вашего здоровья!
Симптомы периодонтита
Проявления заболевания напрямую зависят от его формы.
Хронические формы периодонтита в большинстве случаев протекают бессимптомно и выявляются во время рентгенологического исследования либо при обострении.
Признаки острого периодонтита и обострения его хронической формы:
- боль в зубе (причём чаще всего можно точно указать, какой именно зуб болит) — в начале заболевания боль слабо выраженная, ноющая, но позднее она становится более интенсивной, рвущей и пульсирующей;
- боль при жевании и прикосновении к зубу;
- чувство "выросшего зуба" — ощущение, что зуб стал длиннее других и первым смыкается с зубами-антагонистами;
- наличие большой кариозной полости в больном зубе или его предшествующее лечение по поводу глубокого кариеса или пульпита;
- иногда возникает отёк мягких тканей в области поражённого зуба — связано с выходом воспалительного экссудата (жидкости) из очага, находящегося в периодонте, в поднадкостничное пространство или мягкие ткани;
- открытие свищевого хода, чаще всего располагающегося на десне в проекции корня поражённого зуба (может возникнуть при обострении хронического периодонтита);
- отсутствие реакции больного зуба на холодное, горячее, сладкое или кислое;
- возможная подвижность зуба, связанная с инфильтрацией периодонта.

Патогенез периодонтита
Острый верхушечный периодонтит
После повреждения периодонта по одной из указанных выше причин возникает кратковременный интенсивный тканевый ответ. Этот процесс сопровождается клиническими симптомами острого периодонтита. [7]
Ответ ткани, как правило, ограничен периодонтальной связкой. Он приводит к типичным нервно-сосудистым реакциям воспаления, которые проявляются гиперемией (переполнением кровью), застоем сосудов, отёком периодонтальной связки и экстравазацией (вытеканием в ткани) нейтрофилов. Поскольку целостность кости, цемента и дентина ещё не нарушена, периапикальные изменения на этом этапе не обнаруживаются при рентгенологическом исследовании.
Если воспаление было вызвано неинфекционными раздражителями, то поражение может исчезнуть, а структура апикального периодонта восстанавливается. [13] [14]
Когда происходит инфицирование, нейтрофилы не только борются с микроорганизмами, но также выделяют лейкотриены и простагландины. Первые привлекают больше нейтрофилов и макрофагов в область поражения, а вторые активируют остеокласты — клетки, участвующие в разрушении костной ткани. Так, через несколько дней кость, окружающая периодонт, может резорбироваться (раствориться), тогда в области верхушки корня рентгенологически обнаруживается расширение периодонтальной щели. [15]

Нейтрофилы погибают в месте воспаления и высвобождают из своих гранул ферменты, которые вызывают разрушение внеклеточных матриксов и клеток. Такое "расщепление" тканей предотвращает распространение инфекции в другие части тела и обеспечивает пространство для проникновения защитных клеток.

Во время острой фазы макрофаги также появляются в периодонте. Они продуцируют провоспалительные и хемотаксические (аллергические) цитокины. Эти молекулы усиливают местный сосудистый ответ, разрушение кости и деградацию внеклеточных матриц, а также могут заставить гепатоциты повысить выработку белков острой фазы.
Острый первичный периодонтит имеет несколько возможных исходов:
- самопроизвольное заживление;
- дальнейшее усиление и распространение в кости (альвеолярный абсцесс);
- выход наружу (образование свищей или синусового тракта);
- хронизация процесса. [19]
Хронический периодонтит
Длительное присутствие микробных раздражителей приводит к сдвигу в сторону макрофагов, лимфоцитов (Т-клеток) и плазматических клеток, которые инкапсулировуются в коллагеновой соединительной ткани.
Провоспалительные цитокины (клетки иммунной системы) являются мощными стимуляторами лимфоцитов. Активированные Т-клетки продуцируют множество цитокинов, которые снижают выработку провоспалительных цитокинов, что приводит к подавлению процесса разрушения кости. Напротив, полученные из Т-клеток цитокины могут одновременно усиливать выработку факторов роста соединительной ткани, что оказывает стимулирующее и пролиферативное воздействие на фибробласты и микроциркуляторное русло.
Возможность подавления деструктивного процесса объясняет отсутствие или замедленную резорбцию кости и восстановление коллагеновой соединительной ткани во время хронической фазы заболевания. Следовательно, хронические поражения могут оставаться бессимптомными в течение длительного времени без существенных изменений на рентгенограмме. [21]
Равновесие, существующее в периодонте, может быть нарушено одним или несколькими факторами, например, микроорганизмами, «размещёнными» внутри корневого канала. Они продвигаются в периодонт, и поражение самопроизвольно становится острым с повторным появлением симптомов.
В результате во время этих острых эпизодов микроорганизмы могут быть обнаружены в костной ткани, окружающей периодонт, с быстрым увеличением рентгенологических проявлений. Эта рентгенографическая картина обусловлена разрушением апикальной кости, которое происходит быстро во время острых фаз и относительно неактивно на протяжении хронического периода. Следовательно, прогрессирование заболевания не является непрерывным, а происходит прерывистыми скачками после периодов "стабильности".
Цитологические исследования показывают, что около 45% всех хронических периодонтитов эпителизированы. Когда эпителиальные клетки начинают разрастаться, они могут делать это во всех направлениях случайным образом, образуя неправильную эпителиальную массу, в которую попадают сосудистая и инфильтрированная соединительная ткань. При некоторых поражениях эпителий может врастать во вход корневого канала, образуя пломбоподобное уплотнение на апикальном отверстии.
Классификация и стадии развития периодонтита
Классификация периодонтитов главным образом отображает причину воспаления, и что именно происходит в тканях пародонта. Самой распространённой классификацией, используемой на практике, является классификация И.Г. Лукомского: [17]
- Острый верхушечный (апикальный) периодонтит:
- серозный;
- гнойный.
- Хронический верхушечный (апикальный) периодонтит:
- фиброзный;
- гранулирующий;
- гранулематозный.
- Обострение хронического периодонтита.
Также при постановке диагноза используется классификация по МКБ-10:
K04.4 Острый апикальный периодонтит пульпарного происхождения:
K04.5 Хронический апикальный периодонтит:
- апикальная или периапикальная гранулема;
- апикальный периодонтит БДУ.
K04.6 Периапикальный абсцесс с полостью:
- зубной (дентальный) абсцесс с полостью;
- дентоальвеолярный абсцесс с полостью.
K04.7 Периапикальный абсцесс без полости:
- зубной (дентальный) абсцесс БДУ;
- дентоальвеолярный абсцесс БДУ;
- периaпикальный абсцесс БДУ.
K04.8 Корневая киста:
- апикальная (периодонтальная) киста;
- периaпикaльная киста;
- остаточная корневая киста.
Осложнения периодонтита
Осложнения периодонтита зависят от причинного зуба, локализации воспалительного очага, формы и стадии заболевания. Условно можно разделить все осложнения на несколько групп. [8]
Осложнения, вызванные распространением инфекции из периодонтального очага:
- Одонтогенный периостит — распространение воспалительного процесса на надкостницу альвеолярного отростка и тела челюсти из периодонтального (одонтогенного) очага.
- Одонтогенный абсцесс — формирование ограниченного полостного гнойного очага, возникающего в результате гнойного расплавления подслизистой, подкожной, межмышечной, межфасциальной клетчатки, лимфоузлов, мышечной ткани или кости. Формирование абсцессов преимущественно происходит в околочелюстных мягких тканях.
- Одонтогенная флегмона — формирование разлитого гнойного воспаления клетчатки, расположенной под кожей, слизистой оболочкой, между мышцами и фасциями.
- Одонтогенный гайморит — формирование воспаления в гайморовой пазухе, вызванное распространением инфекции из периодонтального (одонтогенного) очага.
- Одонтогенный лимфаденит — формирование воспаления в регионарных лимфатических узлах, вызванного распространением инфекции из периодонтального (одонтогенного) очага.
- Одонтогенный остеомиелит — гнойное воспаление челюстной кости (одновременно всех её структурных компонентов) с развитием участков остеонекроза.
Осложнение, вызванное деструктивными изменениями в перерадикулярной кости:
- Вторичная адентия — потеря одного или нескольких зубов, причиной которой служит разрушение костной ткани, окружающей корень зуба, препятствующее дальнейшему функционированию такого зуба.
Осложнение, вызванное формированием свищевого хода:
- Кожные свищи — образование свищевого хода, открывающегося на поверхность кожи.
Диагностика периодонтита
Диагностика периодонтита проводится на основании жалоб пациента, анамнеза заболевания, оценки общесоматического статуса, осмотра головы и шеи, полости рта, зуба, его перкуссии, зондирования и термопробы, электроодонтодиагностики (ЭОМ) и рентгенологического исследования. [10]
ЭОМ — это метод стоматологического исследования, основанный на определении порогового возбуждения болевых и тактильных рецепторов пульпы зуба при прохождении через неё электрического тока.

Диагностические признаки острого периодонтита:
Диагностические признаки хронического периодонтита:
Диагностические признаки обострения хронического периодонтита
Чаще всего клиническая картина соответствует острому периодонтиту, за исключением того, что всегда рентгенологически выявляются изменения в тканях периодонта, характерные для той или иной формы периодонтита. [12]
Лечение периодонтита
Лечение периодонтита направлено на устранение причин, механизмов и проявлений заболевания. Методы лечения бывают терапевтическими, хирургическими и комбинированными.
Терапевтическое лечение
Данный метод лечения нацелен на устранение патогенной микрофлоры, находящейся в эндодонте — комплексе поражённых тканей, включающем пульпу и дентин, которые связаны между собой морфологически и функционально. Поэтому иначе такое лечение называют эндодонтическим. [16]
Этапы эндодонтического лечения:
- адекватное обезболивание;
- изоляция зуба или нескольких зубов, в которых будут проводится манипуляции, от полости рта;
- создание эндодонтического доступа (иссечение твёрдых тканей зуба или пломбировочного материала, закрывающих доступ в систему корневого канала;
- прохождение и определение длинны корневого канала (это длинна от устья до верхушки корня);
- создание корневого канала определённого диаметра и формы;
- введение в корневой канал лекарственных препаратов;
- пломбирование корневого канала;
- восстановление анатомии и функции зуба с помощью пломбировочного материала или ортопедической конструкции.

Хирургическое лечение
К оперативному лечению прибегают только в случаях неэффективности или невозможности терапевтического лечения.
К хирургическим методам лечения относятся:
- удаление части корня зуба (резекция) — позволяет сохранить зуб, даже если у верхушки корня присуствовала киста;

- удаление зуба целиком, с последующим замещением утраченного зуба.

Прогноз. Профилактика
Течение и прогноз периодонтита, безусловно, зависят от своевременности обращения к стоматологу и качества проведенного им лечения. При эффективном лечении каналов происходит восстановление участка разрушенной кости, и зуб сохраняет свои функциональные свойства. При несвоевременном обращении пациента или безуспешном лечении высока вероятность потери зуба, а осложнения хронического периодонтита могут представлять серьёзную угрозу здоровью и жизни.
Для профилактики периодонтита необходимо тщательно ухаживать за полостью рта, регулярно проводить осмотры у врача-стоматолога и своевременно лечить одонтогенные очаги инфекции, такие как кариес и пульпит. [2] [5] [6]
Киста зуба

Некоторые заболевания в стоматологии могут протекать бессимптомно. Одна из таких скрытых патологий - киста зуба. Пациент может ничего не ощущать или изредка беспокоить слегка болезненные ощущения при надкусывании твердой пищи, а корень зуба будет поражен недугом. Если не проведена своевременная диагностика, то в момент переохлаждение организма или общего снижения иммунитета — здоровье зуба находится под угрозой. Как вовремя распознать кисту зуба и что делать дальше?
Описание патологии

Доброкачественное гнойное новообразование, находящееся внутри костной ткани челюстного аппарата у корня, называется кистой. По форме оно похоже на мешочек круглой формы с четкими границами. Полость заполнена жидкой субстанцией. Снаружи покрыта соединительнотканной оболочкой, а внутренние стенки выстланы клетками эпителия. Размер кисты под зубом может варьироваться от нескольких мм до пары сантиметров в диаметре. При обострении может стремительно увеличиваться и спровоцировать серьезный сбой в работе организма человека.
Как выглядит киста зуба можно увидеть на фото. Довольно часто она обнаруживается случайно, например, при рентгенологическом обследовании перед началом протезирования.
Осложнения

Довольно часто пациенты полагают, что заболевание безопасное, и откладывают визит к стоматологу даже при ее обнаружении. Однако каждый дантист подтвердит, что промедление с диагностикой и лечением чревато неприятными последствиями. Если больному не оказана своевременная помощь, киста на корне зуба спровоцирует осложнения:
- нагноение и воспаление кистозных тканей;
- воспалительный процесс распространяется на лимфатические узлы;
- в области причинного зуба повреждается или разрушается костная ткань;
- если процесс хронический, он затрагивает гайморовы пазухи, провоцируя появление гайморита;
- длительное воспаление может стать причиной развития периостита и остеомиелита.
Если защитная капсула лопается, то патогенные микроорганизмы начинают активно поражать соседние ткани. Очаг становится больше, ухудшается общее самочувствие.
Важно знать! Если не лечить кисту, то пораженный участок кости становится хрупким. Из-за этого нередки случаи самопроизвольного перелома челюсти.
Причины

Киста - естественная реакция организма на воспаление, которое начинается из-за попадания в зубные каналы патологических микроорганизмов. Между корнем зуба и костной тканью появляется заполненная жидкостью полость, которая со временем увеличивается, затрагивает кость.
Обратите внимание! Из-за того, что костная ткань верхней челюсти более пористая, здесь патологический процесс развивается гораздо быстрее.
Почему появляются кистозные образования? Стоматологи называют разные причины кисты зуба:
- ;
- пульпит;
- снижение иммунитета;
- прорезывание зуба мудрости;
- травма зубной единицы или десны;
- хронические недуги ЛОР-органов: гайморит, тонзиллит и прочие;
Часто причиной кисты становится неправильно проведенное лечение кариеса, установка пломбировочного материала или протезов. Поэтому чрезвычайно важно выбирать стоматологическую клинику, где работают квалифицированные доктора, проводящие качественную эндодонтическую терапию.
Симптоматика

О существовании патологии пациент чаще всего узнает только тогда, когда его диаметр существенно увеличился из-за скопления жидкости. В этом заключается главная опасность патологии. На начальной стадии она не определяется ни по каким симптомам, поэтому, чтобы ее не пропустить, необходимо 2 раза в год посещать кабинет стоматолога для планового осмотра ротовой полости.
О кисте говорят следующие факторы:
- дискомфорт при пережевывании твердых кусочков пищи;
- покраснение и увеличение в размерах десны;
- в проекции корня образуется свищ, через который в ротовую полость выделяется гнойная жидкость;
- общая слабость, повышение температуры тела, недомогание;
- повышение чувствительности - острая болевая реакция на попадание холодной или горячей пищи;
- неприятный запах изо рта.
Стоит отметить, что боль как симптом при кисте зуба возникает редко. Она носит не острый, а ноющий характер, и практически никогда не появляется в состоянии покоя.
На заметку! Если киста проросла в гайморову пазуху, пациента могут беспокоить сильные головные боли при отсутствии каких-либо симптомов в области рта.

Прежде чем составить план лечения кисты зуба, стоматологу предстоит определить, чем вызвано ее возникновение. В зависимости от причин формирования, кистозные образования делят на разные виды:
- радикулярные - образовавшиеся на корне или возле него;
- резидуальные - кисты после удаления зуба;
- ретромолярные - вызванные затрудненным прорезыванием зуба мудрости.
По происхождению бывают:
- одонтогенными - вызванными стоматологическими заболеваниями;
- неодонтогенными - развившимися по причинам, не связанным с болезнями зубов и ротовой полости.
Важно! Также могут образовываться фолликулярные кисты. В них содержится зачаток постоянного зуба. Их появление связано с недостаточным медицинским уходом за временными зубами.
Лечение
Самостоятельно вылечить кисту невозможно. Если при диагностике выявлена патология, следует незамедлительно приступать к терапии. Схему составляет врач-стоматолог, учитывая все важные факторы. Чем больше киста, тем сложнее и длительнее будет лечение.
В домашних условиях
Стоит отметить, что лечить кисту на корне зуба дома категорически нельзя! Использование средств народной медицины может быть дополнением к медикаментам, прописанным врачом, но не заменять их. В домашних условиях можно делать полоскания из отваров и настоев трав. Сильными ранозаживляющими и противовоспалительными свойствами обладают кора дуба, ромашка, шалфей, календула. Классический раствор для полоскания можно приготовить из соды, соли и йода.
Консервативный метод

Если размер кисты не превышает 0,8 мм, можно избавиться от нее без хирургического вмешательства. Обычно лечение проходит по стандартной схеме:
- каналы причинного зуба открывают и тщательно очищают, обрабатывают антисептическими растворами;
- вводят лекарство для дезинфекции;
- бактерии и грибки убивают средством на основе гидроокиси кальция;
- каналы пломбируются пастой с антисептическими свойствами;
- устанавливается временная пломба.
Лечение занимает не менее 2-3 месяцев в зависимости от сложности случая. Если терапевтические мероприятия дают положительный результат, киста уменьшилась в диаметре или исчезла, врач поставит постоянную пломбу.
Когда необходимо оперативное вмешательство

Если на зуб надета коронка или он восстановлен с использованием штифта, пациенту с кистой зуба показана операция. Либо терапевтическое лечение не дает результата и киста уже большого размера. Операция проводится под местной анестезией, в редких случаях может быть рекомендовано проведение манипуляций в условиях стационара челюстно-лицевого отделения. Хирург-стоматолог осуществит удаление кисты зуба, сохранив зубную единицу. Конкретный метод определяется после осмотра пациента и результатов рентгенологического обследования. Врач обращает внимание на общее здоровье больного, локализацию воспалительного процесса, степень разрушения тканей. Также врач направит на компьютерную томографию, чтобы лучше детализировать расположение и размеры кисты.
На основании полученных сведений определяется вид оперативного вмешательства:
- цистэктомия - верхушку корня и кисту извлекают через надрез в десне;
- гемисекция - новообразование удаляется с частью коронки или корня;
- удаление зуба вместе с кистой.
После вмешательства пациенту назначают антибактериальные препараты, полоскания антисептическими средствами, ранозаживляющие гели.
Как выбрать клинику для лечения?
Выбирая стоматологический кабинет для проведения операции, следует обратить внимание:
- есть ли у стоматолога достаточный опыт для проведения сложных хирургических манипуляций;
- используют ли врачи в работе дентальные микроскопы - увеличение дает возможность тщательно рассмотреть поврежденную область. А главное запломбировать канал с обратной стороны, чтобы новые бактерии не поступали в эту область. Что обеспечивает качественный и долгосрочный результат.
Выбрав хорошего доктора, можно не переживать за исход операции - она пройдет удачно, а восстановительный период займет минимум времени.
Киста зуба - причины, симптомы, последствия

Содержание статьи
- Что такое киста зуба?
- Почему киста зуба появляется?
- Симптомы кисты зуба
- В чем отличие кисты от гранулемы?
- Виды кист зубов
- Что делать с кистой зуба?
- Чем опасна киста зуба?
Что такое киста зуба?
Киста зуба (от греч. «kystis» — пузырь) — это воспалительное образование в виде гранулы, которое возникает в результате защитной реакции организма на инфекцию или травму. Внешне новообразование представляет собой пузырь диаметром до нескольких сантиметров, наполненный жидкостью или гноем. Дело в том, что когда организм пытается самостоятельно бороться с воспалением, пораженные клетки начинают отмирать, и чтобы изолировать их от здоровых тканей, вокруг образуется оболочка. Увидеть эту полость на ранних стадиях можно на ортопантомограмме.
Почему киста зуба появляется?
Главными причинами кист в зубах являются:
- Развитие инфекции в корневом канале зуба
- Травма
- Хронические заболевания ротовой полости и носоглотки
- Воспаление околозубных тканей (пародонтит, периодонтит)
- Пониженный иммунитет
- Кариес
- Некачественно установленная пломба или коронка
- Сложное прорезывание «зубов мудрости»
Симптомы кисты зуба
Сложность диагностики кисты состоит в отсутствии симптомов. В ряде случаев человек может обратить внимание на такие признаки кисты зуба, как потемнение эмали, незначительное смещение зуба и дискомфортные ощущения при пережевывании твердой пищи, но большинство не придают этому значения. К тому времени как начинает появляться боль при кисте зуба, гранула может дорасти уже до 1 см в диаметре. С этого момента пациент начинает ощущать и другие вполне заметные признаки. Вот какие симптомы кисты зуба могут проявляться на этой стадии:
- ноющая боль в зоне воспаления;
- отечность, которая может перейти на лицо;
- увеличение и болезненность лимфатических узлов;
- повышенная температура;
- головные боли — при развитии кисты в гайморовой пазухе;
- общее недомогание.
Игнорировать эти симптомы нельзя ни в коем случае, иначе возникнут тяжелые последствия, и удаление зуба с кистой — не самое страшное из них. При первых признаках развития заболевания необходимо обратиться к специалисту.
В чем отличие кисты от гранулемы?
Кисту зуба часто путают с гранулемой — другим опасным заболеванием, при котором в области корня формируется образование округлой формы. Их важно различать, так как диагноз напрямую влияет на план лечения и его прогнозы. При гранулеме в большинстве случаев достаточно терапевтического лечения. А киста требует более радикальных мер.
Вот основные параметры, по которым отличаются киста и гранулема зуба:
| Параметры различия | Киста | Гранулема |
| Размер | 0,9 — 3 см | 0,5 — 0,8 см |
| Строение | Полость с жидкостью или гноем | Сплошное образование, покрытое соединительной тканью |
| Клиническая картина | Зуб становится подвижным | Подвижности не наблюдается |
| Результат рентгена | На снимке видна круглая капсула с четкими границами | Строгих контуров образования нет |
| Состояние околозубных тканей | Слизистая оболочка, как правило, не воспалена. При этом происходит убыль костной ткани. | Наблюдается сильная отечность и покраснение слизистой. Но костная ткань убывает не настолько, чтобы это можно было выявить клинически. |
Виды кист зубов
Есть несколько разновидностей кисты коренного зуба, которые выделяют по месту локализации и в зависимости от причин формирования.
По месту локализации разделяют такие виды кист:
- Киста на корне зуба: бывает межкорневой, околокорневой и прикорневой. При кисте корня зуба симптомы долгое время не проявляются, и только на поздней стадии формируется гнойная капсула и появляется боль.
- Киста на десне: при этой разновидности кисты зуба свищ может образоваться в любой области десен, наполнение гноем происходит несколько позже. Киста около зуба может сопровождаться покалыванием. Как и при других случаях образования свища, последствия кисты в десне зуба довольно серьезны.
- Киста зуба в гайморовой пазухе: может быть диагностирована только при помощи специального оборудования, так как иначе заметить в гайморовой пазухе даже большую кисту зуба невозможно. При запущенной кисте зуба гайморит может стать печальным и очень неприятным последствием.
- Киста под коронкой зуба: чаще всего это киста после лечения зуба, которое прошло неудачно. В данном случае пузырь формируется при некорректной установке коронки — в результате скопления пищи и размножения бактерий. Довольно сложно обнаружить данный вид кисты на ранней стадии. Чтобы провести лечение кисты зуба с коронкой, последнюю потребуется удалить.
- Киста «зуба мудрости»: появляется в результате сложного прорезывания или хронического воспаления «восьмерок». Единственным вариантом лечения будет удаление пораженного зуба.
Следует отдельно отметить кисту переднего зуба. В целом заболевание не имеет сильных отличий от прочих видов, однако из-за того, что зубы в переднем отделе значительно уже, это сказывается на объеме окружающих мягких тканей. Поэтому у кисты верхнего зуба (или кисты нижнего зуба) в передней части челюсти гораздо меньше простора для локализации, и она начинает выходить наружу только в области десны. Для сравнения: киста на задних зубах может образовать свищевой ход даже через щеку или шею.
В соответствии с причинами появления различают следующие виды кист
- Радикулярная, или одонтогеная киста зуба: самая распространенная разновидность. Образуется в верхней трети зубного корня из гранулемы - как следствие некроза пульпы и периапикального (в области верхушки корня) воспаления. Диаметр радикулярной кисты зуба варьируется от 2 мм до 3 см. Если нет вторичного воспаления, заболевание протекает бессимптомно, не происходит смещения зубов, влияния на костную ткань.
- Резидуальная: киста после удаления зуба, образуется в ситуации, когда верхушка корня не была до конца устранена или в зоне отсутствующего зуба образовалась гранулема. Киста после удаления зуба имеет те же свойства, что и радикулярная.
- Кератокиста, также называется первичной и примордальной: формируется из-за нарушения развития. От этого не застрахован ни один зуб, но чаще всего это киста из-за воспаления в зоне премоляров и третьего моляра нижней челюсти. При ее развитии высока вероятность рецидивов.
- Киста прорезывания зубов, или ретенционная: образуется в период смены молочных зубных единиц постоянными. Выглядит ретенционная киста зуба как отек голубоватого оттенка, внутри которого содержится кровь. В большинстве случаев свищ формируется из-за медленного прорезывания и может в любой момент вскрыться.
- Фолликулярная: образуется в ситуации, когда зуб по каким-то причинам не может прорезаться и растет внутри мягких тканей. В итоге формируется киста на десне вокруг зуба. Подобная киста быстро увеличивается, способна перемещаться на другие зубы и чревата их обширными повреждениями. При развитии фолликулярной кисты зуба осложнения могут выражаться в наклоне соседних зубов, смещении непрорезавшихся, резорбции корней.
- Боковая периодонтальная: точные причины возникновения полностью не определены. Как правило, это небольшого размера кисты, связанные с боковой поверхностью зубного корня.
- Кальцинирующая одонтогенная: образуется в зоне опорной поверхности преимущественно нижней челюсти. Причины появления также до конца не изучены.
Что делать с кистой зуба?
Так как определить кисту под зубом сложно, поскольку она формируется медленно и без ярко выраженных симптомов, к врачу пациенты часто обращаются уже на поздних этапах заболевания — когда ощущается боль, недомогание и другие признаки воспаления.
Раньше в такой ситуации единственным выходом было удаление пораженного зуба. Сегодня существуют разные методы лечения кисты без потери зубной единицы. В зависимости от степени заболевания избавиться от нее можно терапевтическим или хирургическим способом.
Терапевтическое лечение включает вычищение кисты из каналов, их обработку и пломбировку. Хирургическое лечение предполагает удаление поврежденной части зубного корня с сохранением самого зуба. В этом случае кисту устраняют и восполняют отсутствующую ткань специальным материалом.
Показанием к удалению зуба из-за кисты на сегодняшний день являются особые случаи, грозящие осложнениями, а также киста зуба мудрости.
Можно ли кисту зуба не лечить? Только если она появилась у ребенка до смены молочных зубов — со временем такая киста зуба лопнет самостоятельно, благодаря трению десен друг об друга.
Чем опасна киста зуба?
Ирония заключается в том, что, формируясь в результате защитной реакции организма, киста под зубом в итоге может привести к серьезным осложнениям. Основные из них:
- Периодонтит: запущенный случай кисты зуба, при котором воспаление с тканей зуба распространяется на кость.
- Флюс: гнойное воспаление в поддесневой и поднакостичной челюстной области. Сопровождается подобное осложнение кисты зуба опухолью мягких тканей, в том числе щеки, и резкой болью.
- Выпадение зубов: происходит, если кисту не лечить. В этом случае поражение распространяется на соседние зубы (хотя сама по себе киста не является показанием к удалению).
Кроме перечисленного, обострение заболевания может привести к еще более тяжелым последствиям: гнойному абсцессу, воспалению лимфоузлов, остеомиелиту, сепсису и даже перелому челюсти. Поэтому если у вас диагностирована киста, лечение должно последовать незамедлительно.
Чем раньше киста зуба была выявлена, тем выше шансы на ее успешное лечение. Поэтому вместо того, чтобы бороться с последствиями кисты зуба, регулярно посещайте стоматолога и проходите профилактические осмотры, чтобы поддерживать здоровье полости рта.
Читайте также:
