Случай вдавленного многооскольчатого перелома свода черепа при падении с четвертого этажа
Добавил пользователь Валентин П. Обновлено: 22.01.2026

Пациент 42 лет направлен из Заволжской ЦРБ на оперативное лечение в нейрохирургическое отделение Кинешемской ЦРБ (Ивановская область).
Жалобы
Мужчина несколько дней злоупотреблял алкоголем. Травма получена в драке на фоне алкогольного опьянения.
Анамнез
Неизвестные избили пациента монтировкой. В день травмы больной был доставлен бригадой скорой медицинской помощи в приёмное отделение Кинешемской ЦРБ. Пациента осмотрел дежурный нейрохирург, была выполнена первичная хирургическая обработка ран головы.
На компьютерной томографии выявлена травматическая патология черепа и головного мозга. От предложенной госпитализации пациент отказался. Повторно доставлен в больницу бригадой скорой медицинской помощи по направлению из участковой больницы по месту жительства.
У пациента нет постоянной работы. Зарабатывает вахтовым методом. Периодически возникают многодневные периоды злоупотребления алкоголем: "уходит в запой".
Обследование
При осмотре на голове имеются 4 ушитые раны линейной формы с неровными краями размерами от 4 до 6 см.
- Сознание ясное, пациент адекватен (по шкале комы Глазго — 15 баллов).
- Двигательных и чувствительных нарушений нет.
- Умеренно выраженный менингеальный синдром (головная боль, тошнота).
- Имеются признаки начинающегося абстинентного синдрома: тремор (дрожание) кистей, возбуждённость.
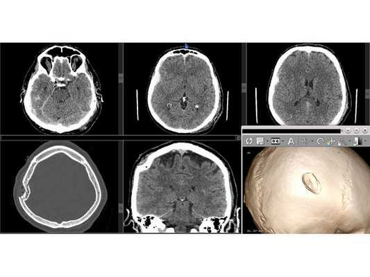
- Субдуральная ( между твёрдой мозговой оболочкой и веществом головного мозга) и эпидуральная ( между внутренней поверхностью костей черепа и твёрдой мозговой оболочкой) гематома в правом полушарии.
- Травматическое субарахноидальное (в полость между паутинной и мягкой оболочками мозга) кровоизлияние.
- Отёк головного мозга.
- Пневмоцефалия (скопление воздуха внутри черепной коробки).
- Умеренное латеральное смещение срединных структур влево до 4 мм.
- Оскольчатый вдавленный перелом правой теменной кости.
- Линейный перелом затылочной кости.
- Перелом клеток решётчатого лабиринта справа с признаками эмфиземы (скопления воздуха) тканей правой орбиты.
- Гемосинус (скопление крови в придаточной пазухе носа) клеток решётчатого лабиринта справа.
Рентгенограмма лёгких при поступлении: лёгкие пневматизированы (одинаковые с обеих сторон), корни не расширены, синусы свободные, диафрагма ровная, cor (сердце) соответственно возрасту.
Диагноз
- Открытая проникающая черепно-мозговая травма. средней степени.
- Острая пластинчатая субдуральная гематома в правой височно-теменной области.
- Травматическое субарахноидальное кровоизлияние.
- Пневмоцефалия.
- Открытый импрессионный (вдавленный) перелом правой теменной кости.
- Ушибленные раны мягких тканей головы.









Лечение
- Выполнен дугообразный разрез мягких тканей с захватом имеющейся раны.
- Скелетирована кость (надкостница отделена от кости). Гемостаз (остановка кровотечения) по ходу доступа. Визуализирован импрессионный перелом правой теменной кости.
- Краниотомом наложено фрезевое отверстие ниже вдавленного перелома и выпилен костный лоскут 5,0 х 6,0 см с захватом имеющегося импрессионного перелома. Костный лоскут временно удалён.
- Выполнена репозиция вдавленных фрагментов.
- Твёрдая мозговая оболочка (ТМО) вскрыта подковообразным разрезом. Путём аспирации (всасывания) и отмывания физиологическим раствором удалена пластинчатая субдуральная гематома малого объёма. ТМО ушита непрерывным швом с одновременным подшиванием по периметру трепанационного окна.
- Костный лоскут многократно обработан 3 % раствором перекиси водорода и уложен на место. Выполнен послойный шов раны. Кожные края ушиты непрерывным швом по Мультановскому.
В послеоперационном периоде проводилась инфузионно-дезинтоксикационная терапия в сочетании с карбамазепином (для снятия абстинентного синдрома) и антибактериальная терапия (ампициллин + сульбактам, левофлоксацин). Для обезболивания и снятия воспаления применялись нестероидные противовоспалительные средства (НПВС).
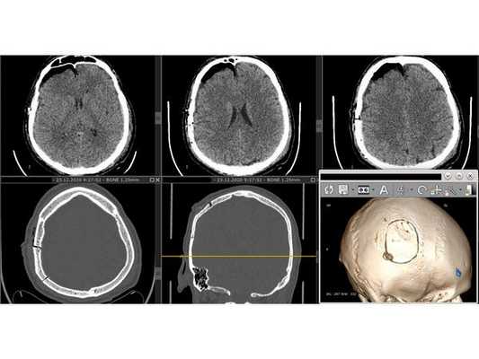
На контрольной КТ головного мозга в послеоперационном периоде видна положительная динамика: состояние после краниотомии, репозиции вдавленных фрагментов теменной кости, удаления субдуральной гематомы, регресса дислокации срединных структур стабильное.
Заключение
Эта тактика в косметическом и лечебном плане выгоднее, чем чаще применяемая резекционная трепанация при вдавленном переломе, когда деформированный фрагмент кости выкусывается, формируется дефект кости, который закрывается краниопластиной либо сразу же, либо уже при повторном оперативном вмешательстве.
Случай вдавленного многооскольчатого перелома свода черепа при падении с четвёртого этажа

Пациент Ш. 30 лет с тяжёлой черепно-челюстно-лицевой травмой доставлен бригадой скорой помощи в Областную больницу № 3 г. Тобольска.
В бессознательном положении мужчину немедленно госпитализировали в отделение реанимации и интенсивной терапии, интубировали и подключили к аппарату искусственной вентиляции лёгких.
Пациент осмотрен нейрохирургом: зрачки одинаковы, реакция на свет вялая. Из-за проводимой медикаментозной седации для синхронизации с аппаратом искусственной вентиляции лёгких достоверно оценить движения в конечностях, а также рефлексы и мышечный тонус не представлялось возможным.
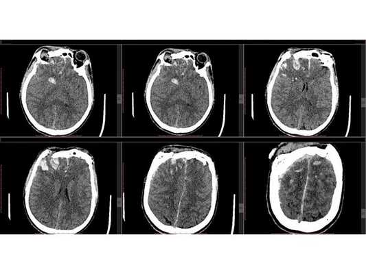
КТ головного мозга: оскольчатый вдавленный перелом лобной кости, линейный перелом ската затылочной кости, а также перелом лицевого отдела черепа III степени по Le Fort с остаточной деформацией стенок; множественные ушибы и отёк вещества головного мозга лобных долей; скопление крови в пазухах носа. КТ шейного и поясничного отделов позвоночника: травм и патологий нет. КТ грудной клетки и грудного отдела позвоночника: ушиб правого лёгкого. Офтальмологический осмотр: контузия правого глазного яблока тяжёлой степени, скопление крови между сетчаткой и пигментным эпителием левого глаза.
Сочетанная черепно-челюстно-лицевая травма. Открытая проникающая черепно-мозговая травма. Ушиб головного мозга тяжёлой степени с преимущественным поражением лобных долей и формированием очагов размозжения в полюсно-базальных отделах. Многооскольчатый вдавленный перелом лобной кости, переходящий на основание черепа. Перелом лицевого отдела черепа III степени по Le Fort с деформацией стенок правой глазницы. Ушиб правого глаза тяжёлой степени, субретинальное кровоизлияние левого глаза.











Необходимо выполнить трепанацию черепа в лобной области; удалить, сопоставить и зафиксировать вдавленные костные фрагменты при помощи минипластин; удалить внутримозговую гематому; восстановить форму свода черепа с использованием металлической пластины. Ход операции: ⠀•⠀выполнен разрез мягких тканей в лобной области по Зуттеру, гемостаз моно- и биполярной коагуляцией по ходу скелетирования кости до уровня надбровных дуг, кожно-апоневротический лоскут откинут базально; ⠀•⠀открыт доступ к вдавленным костным фрагментам, в правой надглазничной области имеется повреждение костных фрагментов твёрдой мозговой оболочки и головного мозга, виден мозговой детрит (размозжённая мозговая ткань); ⠀•⠀с помощью краниотома костные фрагменты мобилизованы и удалены из раны, визуализировано повреждение твёрдой мозговой оболочки в области правой лобной доли; ⠀•⠀плотные сгустки крови и мозговой детрит аспирированы, отмыты физраствором и удалены, объём мозгового детрита — примерно 30 мл; ⠀•⠀произведён гемостаз с использованием биполярной электрокоагуляции, перекиси водорода и воска, твёрдая мозговая оболочка ушита и подшита по периметру костного дефекта нитью Викрил; ⠀•⠀самый крупный фрагмент кости уложен на место, костный дефект закрыт металлической пластиной; ⠀•⠀все костные фрагменты и сетчатая пластина фиксированы 10 винтами 1,5*5,0 мм и 2 минипластинами, операционная рана ушита послойно, кожа ушита непрерывным швом по Мультановскому, наложена асептическая повязка.
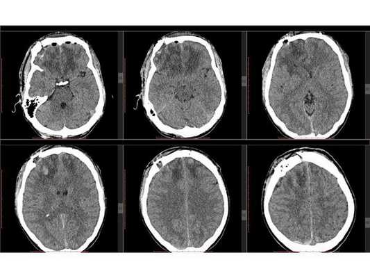
Сознание пациента восстановилось до 15 баллов по шкале комы Глазго (т. е. до ясного), но имелись остаточные когнитивно-мнестические нарушения. Менингеальные симптомы регрессировали. Операционная рана зажила первичным натяжением, швы сняты. По результатам контрольной КТ головного мозга отмечена положительная динамика. С целью исключения возможного менингита в послеоперационном периоде пациенту выполнена диагностическая люмбальная пункция и анализ спинномозговой жидкости: ликвор светло-красного цвета, мутный, цитоз — 10 в 1 мкл, общий белок — 0,7 г/л, глюкоза — 2,64 мМоль/л, эритроциты — 20-30 в п/зр, свежие. Заключение: данных за менингит нет.
На момент выписки у пациента наблюдались: снижение когнитивно-мнестических функций; нарушение цикла сна-бодрствования, обусловленные черепно-мозговой травмой; содружественное движение глаз не нарушено, конвергенция сохранена, диплопии (двоения в глазах) нет. Пациенту необходимо пройти амбулаторное лечение у невролога и офтальмолога. Рекомендовано обратиться за консультацией к челюстно-лицевому хирургу по месту жительства, а также пройти реабилитацию в учреждениях психо-неврологического профиля.
Выполненное оперативное вмешательство с хирургической обработкой очагов ушиба-размозжения головного мозга, а также репозицией и фиксацией костных фрагментов черепа может считаться эффективным методом лечения подобных травм, так как оно позволяет создать оптимальные условия для восстановления пациентов с тяжёлой черепно-мозговой травмой.
Перелом свода черепа
Перелом свода черепа - это нарушение целостности костных структур верхней части черепной коробки. Чаще возникает в результате прямой травмы. Симптомами являются боль, гематома или рана в зоне повреждения, при вдавленных и оскольчатых переломах возможна локальная деформация. Закрытые переломы сопровождаются сотрясением или ушибом мозга, открытые - повреждением вещества и оболочек мозга. Диагноз выставляется по данным рентгенографии и КТ. Для оценки состояния мягкотканных структур проводятся эхоэнцефалография, МРТ и другие исследования. Лечение линейных переломов консервативное, при смещении отломков и повреждении мозговых тканей требуется операция.
МКБ-10

Общие сведения
Перелом свода черепа - достаточно распространенная травма. Встречается чаще переломов основания черепной коробки. Может диагностироваться в любом возрасте, чаще страдают молодые люди и представители средней возрастной группы. У женщин патология выявляется реже, чем у мужчин. Отличительными особенностями переломов являются отсутствие патогномоничных симптомов, широкая вариабельность тяжести состояния больных, высокая вероятность нарушений сознания, психомоторного возбуждения или арефлексии, затрудняющая обследование пациентов.

Причины
Непосредственной причиной повреждения является высокоэнергетическое воздействие - удар тяжелым предметом или столкновение с твердой поверхностью. Переломы черепа возникают в результате следующих обстоятельств:
- криминальные инциденты (драки);
- автодорожные происшествия;
- падения с высоты (кататравма);
- производственные травмы.
При драках поражения свода обычно изолированные или их тяжесть существенно превышает остальные травмы. В других случаях переломы черепа нередко сочетаются с множественными повреждениями скелета и внутренних органов, что утяжеляет состояние больных и усложняет диагностику.
Патогенез
Перелом возникает при воздействии, превышающем прочностные характеристики кости. Чаще страдают задние отделы черепной коробки - затылочная, теменная и височные кости. Это объясняется тем, что при падении вперед или ударе спереди пострадавший рефлекторно успевает защититься руками, смягчая удар.
Характер перелома свода определяется механизмом травмы (удар или столкновение) и конфигурацией поверхности. При ударах преобладает локальное воздействие. При столкновении с плоскостью возникает кратковременное ударное сдавление с распространением ударного воздействия на все части черепа, что нередко вызывает образование конструкционных трещин - линейных переломов значительной протяженности.
Классификация
Классическая классификация переломов свода черепа включает три вида повреждения: линейное, оскольчатое и вдавленное. Современные специалисты в области нейрохирургии и судебной медицины используют расширенную систематизацию, в которую входят следующие типы переломов:
- Пенетрирующий (дырчатый). Возникает при локальном ударе твердым предметом с ровной поверхностью, движущимся под прямым углом. Характеризуется наличием одного отломка, который смещается в сторону мозга и его оболочек.
- Оскольчатый вдавленный. Наиболее распространенный. Формируется при воздействии предметом с неровной, закругленной или дугообразной поверхностью. Сопровождается образованием нескольких костных фрагментов, смещенных внутрь черепной коробки.
- Локальный линейный. Развивается при тех же условиях, что пенетрирующий или оскольчатый, но при меньшей силе удара. Представляет собой узкую полосу. Смещение отломков отсутствует. Длина перелома по внутренней поверхности черепа больше, чем по наружной.
- Отдаленный линейный. Обнаруживается после столкновения с плоскостью. Образуется на расстоянии от точки воздействия, по протяженности превышает локальный. Длина трещины изнутри черепной коробки больше, чем снаружи.
- Множественный линейный. При значительной энергии соударения на черепе образуются многочисленные отдаленные линейные переломы. Общая картина напоминает звезду с расходящимися от центра лучами. Если трещины соединяются друг с другом, выявляется паутинообразный перелом. Возможны тяжелые повреждения вплоть до полного разрушения черепа.
- Сочетанный. Две или более разновидности переломов свода (локальный и отдаленный, локальный и вдавленный и пр.) диагностируются одновременно.
Оскольчатые повреждения могут быть импрессионными и депрессионными. В первом случае осколки сохраняют контакт с неповрежденными частями черепа, во втором - утрачивают. Дырчатые переломы всегда депрессионные.
Симптомы
После удара возникает боль. При закрытых травмах в зоне удара образуется гематома, при открытых - рана. При пальпации пенетрирующих и оскольчатых переломов прощупываются вдавления, при линейных повреждениях конфигурация черепа не нарушена. При наличии ран возможно обильное кровотечение. Общее состояние пациента может существенно варьироваться - от отсутствия явных неврологических нарушений и признаков тяжелой травмы до комы или шока.
Контакт нередко затруднен из-за гипоксии мозга, нарушений сознания, состояния алкогольного или наркотического опьянения. Интоксикация психоактивными веществами может маскировать проявления ЧМТ. Переломы черепа сопровождаются потерей сознания, которая бывает как кратковременной, так и длительной, однако установить этот факт не всегда удается из-за отсутствия продуктивного контакта. Обычно продолжительность эпизода потери сознания коррелирует с тяжестью черепно-мозговой травмы.
Неврологическая симптоматика зависит от вида ЧМТ. Сотрясения и ушибы проявляются головной болью, головокружением, тошнотой и рвотой. При отеке мозга к перечисленным признакам присоединяются очаговые нарушения. Расстройства чувствительности и движений свидетельствуют о травме черепных нервов или мозгового вещества.
Клиническая картина может не соответствовать тяжести ЧМТ. Умеренные повреждения порой имеют яркие симптомы, а опасные травмы сопровождаются нерезко выраженными неврологическими проявлениями. Иногда пациенты отрицают наличие каких-либо проблем со здоровьем, что может объясняться как снижением критики в состоянии опьянения, так и анозогнозией на фоне травмы.
Осложнения
Наиболее распространенным осложнением является ушиб мозга. Возможно формирование субдуральной, эпидуральной, внутрижелудочковой или внутримозговой гематомы, субарахноидального кровоизлияния. Разрушение мозгового вещества становится причиной парезов, параличей, нарушения когнитивных функций и других последствий. При инфицировании открытого перелома возможен менингит. В ряде случаев формируется дефект свода черепа, требующий оперативной коррекции.
Диагностика
Диагноз перелома свода черепа выставляется нейрохирургом на основании анамнеза, жалоб, результатов объективного обследования, неврологического осмотра и визуализационных методик. Из-за нередкого несовпадения клинической картины и реальной тяжести состояния все больные с подозрением на перелом черепа должны быть пройти полное обследование. План диагностических мероприятий включает следующие процедуры:
- Рентгенография черепа. Считается основным методом диагностики переломов черепа. Выполняется в двух стандартных и дополнительных укладках. На рентгенограммах в зависимости от вида перелома просматриваются линейные или звездчатые трещины, дефекты неправильной формы, отдельные отломки.
- КТ черепа. Обычно проводится при подозрении на линейный перелом и сомнительных результатах рентгенографии. На послойных снимках обнаруживается положительный «симптом молнии» (линия, идущая от наружной к внутренней поверхности кости). Иногда методика применяется для уточнения тяжести повреждения при других типах переломов.
- Эхоэнцефалография. Является базовым исследованием у больных нейрохирургического профиля. Определяет смещение срединных структур, наличие гематом и инородных тел.
- Люмбальная пункция. Выполняется при отсутствии клинических и сонографических признаков сдавления головного мозга. Позволяет обнаружить примесь крови в ликворе, оценить давление и состав спинномозговой жидкости.
- МРТ головного мозга. Проводится на заключительном этапе обследования при необходимости более четко локализовать зону повреждения мягких тканей, определить ее распространенность, спланировать тактику оперативного вмешательства.
При тяжелом состоянии пациента обследование осуществляется на фоне реанимационных мероприятий. При выявлении признаков дислокации мозговых структур показано немедленное оперативное вмешательство, поэтому объем диагностических процедур сокращается до необходимого минимума.
Лечение переломов свода черепа
С учетом тяжести ЧМТ больного экстренно госпитализируют в нейрохирургическое отделение или отделение реанимации. При линейных переломах без признаков повреждения мозгового вещества, гематом и отека мозга возможно консервативное ведение. При оскольчатых и пенетрирующих повреждениях, симптомах сдавления мозгового вещества требуется операция.
Помощь на догоспитальном этапе
Пациента в сознании укладывают на спину, рану на голове закрывают стерильной повязкой. При обильном кровотечении к голове прикладывают грелку с холодной водой или пузырь со льдом. Если больной без сознания, его транспортируют в положении на боку, используя в качестве упора для туловища скатанную в валик одежду или одеяло, чтобы при возникновении рвоты избежать попадания рвотных масс в дыхательные пути.
При необходимости осуществляют искусственное дыхание рот в рот или с использованием маски. Для стимуляции сердечной деятельности и мочеотделения вводят сульфокамфокаин, кордиамин, лазикс. Двигательное возбуждение купируют супрастином или димедролом. Наркотические анальгетики не применяют из-за возможного угнетения дыхания.
Консервативная терапия
Основной задачей является минимизация последствий и предупреждение осложнений ЧМТ. При поступлении по показаниям проводят противошоковую терапию. Для нормализации внутричерепного давления при необходимости вводят эфедрин и раствор глюкозы с гидрокортизоном. План терапии включает следующие направления:
- Предупреждение отека мозга. Применяют лекарственные средства для стимуляции мочеотделения, глюкокортикоиды, альбумин. При нарушениях газообмена производят искусственную вентиляцию легких. Иногда используют краниоцеребральную гипотермию и гипербарическую оксигенацию.
- Профилактика инфекции. Пациенту назначают антибиотики широкого спектра действия. При развитии инфекционных осложнений выполняют посев отделяемого для определения чувствительности микроорганизмов с последующей заменой антибактериального препарата.
- Терапия геморрагического синдрома. Больному вводят витамин С, хлорид кальция, викасол, ингибиторы протеаз. Субарахноидальное кровоизлияние является показанием для установки ликворного дренажа или проведения спинномозговых пункций.
Перечисленные мероприятия дополняют введением витаминов группы В, АТФ, нейрометаболических стимуляторов, глутамина и антигистаминных средств. Состояние больного постоянно оценивают в динамике, чтобы своевременно выявить возможные осложнения.
Хирургическое лечение
Показаниями к операции являются открытые и вдавленные переломы, гематомы головного мозга. Иногда хирургические вмешательства требуются при ушибах мозгового вещества. Применяются следующие методики:
- ПХО раны. Осуществляется при поступлении. Показана при наличии открытого повреждения мягкотканных структур (кожи и апоневроза). Включает иссечение нежизнеспособных мягких тканей, остановку кровотечения, ревизию раны для выявления инородных тел и смещения отломков.
- Обработка вдавленного перелома. Выполняется сразу после госпитализации. Производится как при открытых и закрытых повреждениях в случае, если костные фрагменты смещены в сторону мозгового вещества больше, чем на толщину кости. Мелкие отломки удаляют, крупные репонируют и подшивают к неповрежденной кости.
- Удаление гематомы. Сроки проведения и оперативная тактика зависят от времени образования и локализации гематомы. После обеспечения доступа к гематоме удаляют кровь и сгустки, ликвидируют источник кровотечения.
- Удаление очагов размозжения. В зависимости характера патологии осуществляется в неотложном порядке или в первые 7 суток после травмы. Мозговой детрит аспирируют, ткани переходной зоны экономно иссекают, кровоточащие сосуды коагулируют или клипируют.
В раннем послеоперационном периоде назначают антибиотикотерапию, выполняют перевязки. В последующем проводят реабилитационные мероприятия. По показаниям в отдаленные сроки производят замещение дефектов костей свода черепа.
Прогноз и профилактика
Исход определяется тяжестью ЧМТ и наличием инфекционных осложнений. При локальных линейных переломах в сочетании с относительно легкими черепно-мозговыми травмами прогноз обычно благоприятный. В остальных случаях в отдаленном периоде возможны параличи, парезы, энцефалопатия, эпилептические припадки, мозговая гипертензия, нарушения психических функций. Профилактика включает меры по предупреждению производственных, бытовых, автодорожных и уличных травм, снижению уровня криминогенной активности.
3. Черепно-мозговая травма: Руководство для врачей неспециализированных стационаров/ Кондаков Е.Н., Кривецкий В.В. - 2002.
Перелом черепа ( Перелом костей черепа )
Перелом черепа - это нарушение целостности костей черепа. Чаще его причиной становится тяжелая прямая травма. Патология сопровождается локальной болью в месте повреждения. Остальные симптомы зависят от тяжести травмы, поражения мозговых структур и развития осложнений. Диагностика базируется на жалобах, данных анамнеза и объективного осмотра, результатах рентгенографии, КТ, МРТ и других исследований. Лечение определяется видом перелома и тяжестью черепно-мозговой травмы, может быть как консервативным, так и оперативным.



Перелом черепа - травматическое нарушение целостности черепа. Обычно сопровождается повреждением мозга и его оболочек, поэтому относится к группе состояний, представляющих опасность для жизни. Тактика лечения зависит от вида перелома черепа и особенностей повреждения мозговых структур и может быть как консервативной, так и оперативной.
Переломы черепа составляют около 10% от всех переломов и около 30% от общего количества тяжелых черепно-мозговых травм и чаще наблюдаются либо у активных людей молодого и среднего возраста, либо у социально неблагополучных граждан (алкоголиков, наркоманов и т. д.). Высокая частота подобных повреждений у первой группы пациентов объясняется их активностью (травмы на производстве, поездки на автомобилях, занятия спортом, в том числе - экстремальным и т. д.). Травмы представителей второй группы чаще связаны с криминалом, либо с несчастными случаями в состоянии алкогольного или наркотического опьянения.

Как правило, перелом черепа возникает в результате тяжелых травм: падений с большой высоты, автомобильных аварий, ударов по голове твердым массивным предметом и пр. Выделяют два механизма перелома черепа:
- Прямой. В этом случае кость ломается непосредственно в месте приложения силы,
- Непрямой. Действие удара передается на поврежденную кость с других отделов черепа или других костей скелета.
Переломы свода черепа обычно формируются в результате прямой травмы. При этом кости черепа прогибаются внутрь, а первой повреждается внутренняя пластинка черепной кости. Однако, возможны и непрямые переломы свода черепа, при которых поврежденная кость выпячивается кнаружи.
Переломы основания черепа чаще развиваются вследствие непрямой травмы, например, в результате падения с высоты на ноги и таз (в этом случае травматическое воздействие передается через позвоночник) или в результате падения на голову (при этом удар передается с костей свода на кости основания черепа).
Выделяют переломы мозгового и лицевого черепа. Изучение и лечение переломов лицевого черепа представляет собой отдельный раздел медицины, находящийся в ведении челюстно-лицевых хирургов. Лечением переломов мозгового черепа занимаются врачи-нейрохирурги, а в деревнях и небольших городах, не имеющих собственных нейрохирургических отделений - травматологи или хирурги.
Все переломы мозгового черепа подразделяются на две большие группы: переломы свода и основания. Переломы основания в травматологии и ортопедии встречаются относительно редко и составляют около 4% от общего количества черепно-мозговых травм. По своему характеру переломы свода, в свою очередь, делятся на:
- Линейные переломы. Повреждение кости напоминает тонкую линию. Смещение костных фрагментов отсутствует. Такие переломы сами по себе наименее опасны, однако они могут становиться причиной повреждения оболочечных артерий и образования эпидуральных гематом.
- Вдавленные переломы. Кость вдавливается в черепную коробку. Из-за этого может повреждаться твердая мозговая оболочка, сосуды и мозговое вещество, следствием чего становятся ушибы и размозжения мозга, внутримозговые и субдуральные гематомы.
- Оскольчатые переломы. При повреждении образуется несколько осколков, которые могут повреждать мозг и мозговые оболочки, вызывая те же последствия, что при вдавленных переломах.
Переломы основания черепа подразделяются на переломы передней, средней и задней черепной ямки. Возможно также сочетание переломов свода и основания черепа.

КТ головы (3D-реконструкция). Перелом лицевого черепа (скуловой дуги) и перелом в области лобно-скулового шва.
Симптомы перелома черепа
Перелом свода черепа
При повреждениях свода черепа обнаруживается рана или гематома волосистой части головы. В области перелома могут иметься видимые или выявляемые при ощупывании вдавления. Следует учитывать, что при линейных переломах такие вдавления отсутствуют. Общие симптомы зависят от тяжести травмы и степени повреждения мозговых структур. Возможны любые нарушения сознания, от его кратковременной потери в момент травмы до комы. При поражении мозга и черепных нервов возникают нарушения чувствительности, парезы и параличи. Может развиваться отек мозга, сопровождающийся тошнотой, рвотой, распирающими головными болями, нарушением сознания и появлением очаговой симптоматики. При сдавлении ствола мозга отмечаются нарушения дыхания и кровообращения, а также угнетение реакции зрачков.
Обычно выявляется закономерность: чем тяжелее черепно-мозговая травма, тем сильнее выражено нарушение сознания. Однако из этого правила есть исключение - внутричерепная гематома, для которой характерен период просветления, сменяющийся потерей сознания. Поэтому удовлетворительное состояние больного не стоит расценивать, как свидетельство отсутствия или незначительной тяжести травмы.
Еще один фактор, который необходимо принимать во внимание - пациенты с переломом черепа нередко находятся в состоянии алкогольного опьянения, которое может затруднять диагностику. Поэтому объективные подтверждения травмы головы (ушибы, раны, гематомы) и свидетельства очевидцев в таких случаях должны становиться поводом для направления больного на немедленное обследование в специализированное отделение.
Перелом основания черепа
При переломах основания черепа симптоматика зависит от сопутствующего повреждения мозга. Кроме того, выявляются признаки, характерные для повреждения определенной черепной ямки. О переломе передней черепной ямки свидетельствует симптом «очков» - кровоизлияния в клетчатку вокруг глаз и истечение спинномозговой жидкости с примесью крови из носа. Иногда наблюдается экзофтальм (выпучивание глаз вследствие кровоизлияния в клетчатку, расположенную позади глаза). При повреждении воздухоносных полостей может выявляться подкожная эмфизема.
Перелом средней черепной ямки сопровождается истечением спинномозговой жидкости из слуховых проходов и образованием кровоподтека на задней стенке глотки. Для перелома задней черепной ямки характерны тяжелые расстройства дыхания и кровообращения (свидетельство повреждения ствола мозга) и кровоподтеки в области сосцевидного отростка (костного выступа за ухом). Следует учесть, что симптом «очков» и кровоподтеки в область сосцевидного отростка появляются не сразу, а через 12-24 часов после травмы.
Перелом черепа положено исключать у всех пациентов с черепно-мозговой травмой. Врач опрашивает больного, выясняя обстоятельства травмы, оценивает его общее состояние, проводит неврологическое обследование (оценивает чувствительность и силу мышц, проверяет рефлексы и т. д.). В ходе осмотра он проверяет состояние зрачков (реакция на свет, равномерность, ширина), наличие или отсутствие отклонения языка от средней линии и равномерность оскала зубов, а также измеряет пульс, чтобы выявить брадикардию, характерную для черепно-мозговой травмы.
Обязательно выполняется обзорная рентгенограмма черепа в двух проекциях, а при необходимости - и в специальных укладках. Назначается компьютерная томография черепа и магнитно-резонансная томография (МРТ головного мозга).

Существует ряд объективных обстоятельств, затрудняющих диагностику переломов черепа, в том числе - тяжелое состояние больного, из-за которого невозможно провести ряд исследований, особенности строения черепа из-за которых на обзорных снимках повреждение костей основания выявляется менее чем у 10% пострадавших и т. д. Поэтому диагноз перелома черепа в ряде случаев выставляется на основании клинической картины и в последующем, после улучшения состояния больного, подтверждается данными объективных исследований.
Лечение перелома черепа
Первая помощь
Всех пациентов с черепно-мозговой травмой необходимо немедленно доставлять в стационар. На этапе первой помощи больного укладывают в горизонтальное положение. Если пострадавший находится в сознании, его кладут на спину. Пациентов в бессознательном состоянии укладывают вполоборота. Для создания такого положения под спину с одной стороны можно подложить небольшие подушки или верхнюю одежду. Голову больного поворачивают в сторону, чтобы при рвоте он не захлебнулся рвотными массами.
Голове создают покой, используя подручные средства: одежду, подушки или валики. Останавливают кровотечение, накладывая на рану давящую повязку. К месту травмы прикладывают холод. Проверяют проходимость дыхательных путей, при необходимости устраняют западение языка, освобождают дыхательные пути от рвотных масс и т. д. По показаниям вводят аналептики (цитизин, диэтиламид никотиновой кислоты) и сердечные гликозиды.
На этапе стационара лечение переломов черепа чаще консервативное, операции проводят по строгим показаниям. Консервативную терапию назначают пациентам с переломами основания черепа, закрытыми переломами свода черепа, субарахноидальными кровоизлияниями, сотрясением и ушибом головного мозга. Всем больным показан постельный режим, длительность которого зависит от тяжести травмы, и гипотермия головы (используются пузыри со льдом). Проводится дегидратационная терапия, назначаются антибиотики и обезболивающие. При переломах основания черепа выполняются повторные люмбальные пункции либо накладывается люмбальный дренаж.
Тактика лечения в каждом конкретном случае определяется тяжестью и особенностями черепно-мозговой травмы. Так, при сотрясениях головного мозга пациентам назначают вазотропные и ноотропные препараты. При ушибах мозга спектр лечебных мероприятий расширяется и включает в себя не только средства для улучшения мозгового кровотока и энергообеспечения мозга, но и метаболическую и противовоспалительную терапию и т. д. В восстановительном периоде применяют ноотропные препараты и лекарственные средства для улучшения мозговой микроциркуляции (циннаризин, винпоцетин).
Хирургическое лечение может потребоваться при тяжелых переломах черепа, особенно - вдавленных. Под общим наркозом выполняется трепанация, в ходе которой врач создает отверстие в черепе, удаляет из мозга внедрившиеся осколки, инородные тела и разрушенные ткани. Образование внутричерепных гематом в подавляющем большинстве случаев является показанием для срочной операции, в процессе которой хирург удаляет скопившуюся кровь, промывает полость, выявляет и устраняет источник кровотечения.
Показанием к хирургическому вмешательству при переломах основания черепа в остром периоде может стать повреждение лицевого или зрительного нерва, а в отдаленном - продолжающееся истечение спинномозговой жидкости из ушных проходов или носовых ходов. Прогноз при переломах черепа зависит от тяжести черепно-мозговой травмы. Возможно как полное восстановление, так и тяжелые последствия, становящиеся причиной инвалидности больного.
Кататравма ( Падение с высоты )
Кататравма - это травма, возникающая при падении с высоты. Наблюдается при случайном падении, намеренном прыжке из окна или с балкона многоэтажного здания, занятиях альпинизмом, несчастных случаях на производстве. Характеризуется множественностью повреждений, сочетанием ЧМТ, травм внутренних органов и костно-мышечной системы, частым развитием травматического шока. Диагностируется на основании жалоб, данных осмотра, рентгенографии, эндоскопии, других исследований. Тактика лечения кататравмы определяется особенностями повреждений, нередко требуются операции, длительная реабилитация.



Кататравма занимает второе место по распространенности в структуре политравмы после дорожно-транспортных происшествий. Отличительной особенностью кататравмы является многочисленность повреждений. Изолированные поражения встречаются всего в 12% случаев, остальные 88% приходятся на долю сочетанных и множественных травм. Отмечается высокий процент летальности - на месте погибает около 23% пострадавших, еще 15% в последующем умирает от шока, кровопотери, тяжелых повреждений головного мозга, септических осложнений.

Причины кататравмы
Подавляющее большинство случаев кататравмы в городских условиях связано со случайными падениями с верхних этажей многоэтажных зданий. Значительную долю пострадавших составляют оставленные без присмотра дети младшего возраста, взрослые люди в состоянии алкогольного опьянения. Реже встречаются выпрыгивания с балконов и из окон с суицидальными намерениями.
У подростков, молодых людей причиной кататравмы могут стать занятия экстремальными видами спорта, опасные увлечения: паркур, руфинг (прогулки по крышам), бейскламбинг (подъем на большую высоту без страховки). В загородных условиях преобладают травмы, полученные альпинистами во время восхождения. Падения при производственных повреждениях существенно различаются по причинам возникновения - от работы на высоте без страховки до крушений вертолетов.
Основную роль в формировании тяжести кататравмы играет высота. Чем она больше, тем, как правило, тяжелее последствия. Определенное значение имеет характер поверхности. Падение с высоты может быть линейным, дугообразным, ступенчатым. В первых двух случаях тело без помех следует от точки падения до точки приземления, в третьем - в полете сталкивается с различными предметами, что обуславливает множественные воздействия, разнообразный характер повреждений.
Приземление при кататравме бывает вертикальным (на ноги, на голову) или горизонтальным (на спину, на живот, на бок), это оказывает существенное влияние на особенности повреждений. При вертикальном падении на голову смерть нередко наступает на месте, на ноги - страдают нижние конечности, возникают компрессионные переломы позвоночника. Горизонтальные падения сопряжены с высоким риском переломов таза, повреждений внутренних органов. Механизм травм может быть прямым (непосредственно от удара) либо непрямым (вследствие сотрясения, резкого перемещения, компрессии).
Несмотря на подробную детализацию фаз падения и механизмов кататравмы единая классификация данной группы повреждений отсутствует. Практическое значение имеет установление частоты различных поражений. Существуют статистические данные о распространенности травм различных органов и систем:
- ЧМТ - 80%. Значительную часть составляют ушибы мозга с обширными гематомами, звездчатые переломы черепа.
- Переломы позвоночника - от 30 до 70%. Падение на голову вызывает переломы шейных позвонков, падение на ноги - повреждения нижнегрудных, шейных, реже поясничных позвонков.
- Травмы нижних конечностей - около 50%. Чаще всего ломаются пяточные кости, второе место занимают переломы большеберцовых костей.
- Повреждения легких и плевры - 45%. Могут развиваться в результате непрямой травмы (сотрясения, соударения с грудной стенкой), часто осложняются пневмотораксом.
- Переломы ребер - 25%. Относительно невысокая частота подобных травм связана с редкими падениями непосредственно на область груди.
Повреждения печени при кататравме встречаются в 26%, селезенки - в 14%, почек - в 23% случаев. При множественных и сочетанных поражениях травмы различных сегментов или органов взаимно отягощают друг друга, что ухудшает прогноз.

Симптомы кататравмы
Симптоматика сильно различается в зависимости от локализации, количества повреждений. Пациенты с кататравмой часто находятся в тяжелом состоянии, отмечаются нарушения сознания различной степени выраженности. В эректильной фазе травматического шока больные возбуждены, могут кричать, стонать или, напротив, отрицать тяжесть травмы, отказываться от обследования. АД несколько повышено, выявляются тахикардия, тахипноэ.
При наступлении торпидной фазы пациент становится вялым, апатичным, не предъявляет жалоб, слабо реагирует на пальпацию поврежденных сегментов. АД снижено, пульс учащен, ослаблен. Все перечисленное затрудняет опрос и проведение объективного обследования, поэтому при поступлении пострадавших с кататравмой важна настороженность в отношении типичных повреждений, особенно - представляющих опасность для жизни.
Черепно-мозговая травма
О возможном наличии ЧМТ при кататравме свидетельствуют раны и ссадины головы, эпизоды утраты сознания, тошнота, рвота, наличие эпизода амнезии. В тяжелых случаях наблюдаются кома, нарушения жизненно важных функций, очаговая и стволовая симптоматика. Наиболее распространенные звездчатые (множественные линейные) переломы свода черепа могут визуально не определяться либо сопровождаться значительной деформацией вплоть до разрушения черепной коробки.
Переломы позвоночника
Неосложненные переломы проявляются болями в зоне повреждения. После травм шейного отдела боли усиливаются при поворотах головы, после поражения грудного и поясничного отдела - при поворотах корпуса. Осложненные переломы сопровождаются неврологическими расстройствами. Возможна потеря чувствительности и движений, нарушение функции тазовых органов.
Переломы нижних конечностей
Переломы пятки при кататравме характеризуются резкой болезненностью, разлитым отеком в пяточной области, уплощением и расширением стопы, гематомами на подошве, в подлодыжечных областях. Крепитация выявляется не всегда. При переломах большеберцовых костей отмечается сильная боль, отек, деформация, крепитация, патологическая подвижность в области голени. Переломы бедра проявляются укорочением, искривлением конечности, значительной отечностью, патологической подвижностью, костным хрустом, интенсивными болями. Опора на ногу при всех повреждениях невозможна.
Повреждения грудной клетки
Переломы ребер сопровождаются выраженным болевым синдромом, усиливающимся при сдавлении грудной клетки, поверхностным дыханием, иногда - крепитацией. Степень нарушения состояния при гемотораксе зависит от количества крови, излившейся в плевральную полость. При небольшом объеме крови отмечается незначительное ухудшение состояния, учащение дыхания. При крупном гемотораксе нарушается гемодинамика, развивается шок, формируется острая дыхательная недостаточность.
Наиболее опасным состоянием при повреждениях ОГК у больных с кататравмой является клапанный пневмоторакс. Воздух в плевральной полости быстро сдавливает легкое, вызывает смещение сердца и крупных сосудов. Определяются прогрессирующие нарушения дыхания, возникает удушье, тахикардия, кожа и слизистые приобретают цианотичную окраску. При отсутствии дренирования возможен летальный исход.
Переломы таза
Переломы таза при кататравмах часто множественные, с нарушением целостности тазового кольца. Выявляется резкая болезненность, отек, гематома, вынужденное положение тела. Может обнаруживаться деформация, патологическая подвижность. Возможны разрывы мочеиспускательного канала или мочевого пузыря, проявляющиеся задержкой мочи, кровотечением из уретры или гематурией.
Повреждения внутренних органов
Повреждения органов брюшной полости и почек при кататравме обычно носят закрытый характер. Проявляются болью в животе или поясничной области, напряжением мышц. Иногда из-за возбуждения либо нарушений общего состояния пациенты не жалуются на боль. В ряде случаев болевой синдром маскируется интенсивной болевой импульсацией от других поврежденных сегментов тела.
При разрыве печени обычно возникает интенсивное кровотечение, сопровождающееся болезненностью в правом подреберье, снижением АД, тахикардией, быстрым ухудшением состояния, развитием гиповолемического шока. Разрыв селезенки также может сопровождаться значительным кровотечением, но боли при этом локализуются слева. Иногда разрыв образуется под капсулой, состояние больного долгое время не страдает. При травмах почек выявляется кровь в моче.
У пациентов с кататравмой наблюдается частое развитие травматического и гиповолемического шока. При массивной кровопотере может возникать синдром внутрисосудистого свертывания. В первые недели госпитализации при сочетанных, множественных травмах отмечается повышенная вероятность пневмонии, септических осложнений. Другие негативные последствия определяются локализацией, тяжестью повреждений. В отдаленном периоде после кататравмы возможны парезы, параличи, травматическая энцефалопатия, нарушения функции конечностей, внутренних органов.
Диагноз кататравмы устанавливается врачами-травматологами. При необходимости к обследованию привлекают абдоминальных хирургов, хирургов-урологов, нейрохирургов. Даже при отсутствии жалоб обязательной частью обследования является тщательный общий осмотр с акцентом на типичных зонах повреждений, исключением жизнеугрожающих состояний.
Диагностическая программа при кататравме составляется с учетом общего состояния пациента. При тяжелых травмах, развитии шока, необходимости проведения неотложных операций перечень методик сокращают до жизненно необходимых, исследования проводят на фоне реанимационных мероприятий, контроля выделяемой мочи, АД, пульса. Назначают следующие методы:
- Рентгенография. Является базовым исследованием. С учетом изменений могут выполняться снимки черепа, таза, грудной клетки, различных сегментов конечностей. На рентгенограммах обнаруживаются нарушение целостности костей, смещение отломков, разрывы легкого с развитием гемоторакса или пневмоторакса.
- Лабораторные исследования. Для выявления гематурии выполняется анализ мочи, для оценки выраженности кровопотери - анализ крови. В последнем случае учитывают, что изменения в анализе крови возникают с некоторым запозданием, могут недостаточно полно отражать состояние пострадавшего. Всем больным определяют группу крови.
- Эхоэнцефалография. Обязательна при подозрении на ЧМТ. Дает возможность обнаружить смещение мозговых структур, свидетельствующее о наличии объемного образования (гематомы).
- Диагностическая лапароскопия. Осуществляется при симптомах закрытого повреждения ОБП. Выявляет кровь в брюшной полости, нередко позволяет локализовать источник кровотечения. Подтверждает необходимость проведения экстренной полостной операции.

Лечение кататравмы
Пациента с кататравмой укладывают на носилки, осуществляют временную иммобилизацию поврежденных сегментов. Все перемещения пострадавшего производят очень аккуратно, чтобы не допустить усугубления травм. Дыхательные пути очищают. Раны закрывают повязками, при обильном кровотечении накладывают жгут. Вводят обезболивающие средства. По показаниям проводят инфузионную терапию, искусственное дыхание, вводят препараты для коррекции артериального давления.
После поступления продолжают лечебные действия, направленные на стабилизацию состояния, поддержание функций жизненно важных органов. При тяжелом состоянии выполняют следующие реанимационные мероприятия:
- Инфузионная терапия. Проводится с использованием коллоидных (полиглюкин, реополиглюкин), солевых растворов. После определения группы крови дополняется переливанием крови и плазмы.
- Обеспечение дыхания. Производят интубацию трахеи, при необходимости переводят пациента на ИВЛ. Иногда применяют оксигенотерапию.
- Контроль мочеотделения. Осуществляют катетеризацию мочевого пузыря, оценивают количество выделяемой мочи, по показаниям вводят средства для стимуляции мочеотделения.
Меры по борьбе с кровопотерей, шоком и его последствиями также включают коррекцию обменных нарушений, борьбу с гипоксией головного мозга. В ходе лечения локальных повреждений проводят обезболивание мест переломов, фиксацию травмированных сегментов при помощи скелетного вытяжения, гипсовых повязок. При наличии жизнеугрожающих состояний количество манипуляций в области опорно-двигательного аппарата сводят до крайне необходимых.
Объем и вид открытых манипуляций на начальных этапах лечения кататравмы определяется наличием жизненных показаний, характером повреждений, общим состоянием. Возможны следующие вмешательства:
- ПХО ран. Раны промывают, выполняют ревизию, нежизнеспособные ткани иссекают. Накладывают послойные швы. Устанавливают дренажи.
- Пункция плевральной полости. Показана при гемотораксе. Осуществляется при поступлении, в дальнейшем - по мере накопления жидкости. Производится под местной анестезией через прокол в задненижней части грудной клетки.
- Дренирование плевральной полости. Требуется при пневмотораксе. Проводится в верхних отделах грудной клетки по среднеключичной линии. Грудную стенку прокалывают троакаром, устанавливают дренаж, который соединяют с сифоном по Бюлау или аппаратом для активной аспирации.
- Лапаротомия. Необходима при повреждении печени и селезенки. Включает ревизию, ушивание раны паренхиматозного органа, промывание, дренирование брюшной полости. Иногда рекомендуется спленэктомия.
- Удаление внутричерепной гематомы. Выполняется путем трепанации черепа. Кровь и сгустки удаляют аспиратором, полость промывают, осуществляют остановку кровотечения, ушивают рану.
Открытый остеосинтез, пластические вмешательства и другие операции проводят после нормализации состояния больного через несколько недель или даже месяцев после поступления. В послеоперационном периоде назначают антибиотикотерапию, обезболивающие средства, ЛФК, физиотерапию. Производят комплексные реабилитационные мероприятия.
Прогноз
Прогноз кататравмы определяется количеством, тяжестью и локализацией повреждений, возрастом больного, наличием сопутствующей патологии. Летальность достигает 30-40%. Гибель при поступлении становится следствием шока, острой кровопотери, несовместимых с жизнью повреждений. В последующем летальный исход наблюдается при септических осложнениях, пневмониях, тромбоэмболиях, тяжелых мозговых нарушениях. В исходе кататравмы возможна инвалидность. Многим пациентам требуется продолжительная реабилитация.
Профилактика
Профилактика кататравмы включает соблюдение техники безопасности в быту и на производстве. Необходимо обеспечивать меры предосторожности при мытье окон, развешивании белья, избегать неумеренного употребления алкогольных напитков, не оставлять маленьких детей без присмотра, разъяснять подросткам опасность экстремальных увлечений. При работе на высоте, восхождениях у альпинистов следует пользоваться страховочными приспособлениями.
1. Кататравма: проблемы и перспективы/ Хаджибаев А.М., Султанов П.К.// Вестник экстренной медицины - 2013 - №4.
4. Особенности оказания медицинской помощи (в зависимости от этиологии повреждающего агента) при массовом поступлении пострадавших с болевыми синдромами вследствие различных травм/ Сивцева С.А.// РМЖ - 2016 - №25.
Читайте также:
