Сочетанные аномалии и прогноз при плодах паразитах. Гетеротопическая беременность
Добавил пользователь Валентин П. Обновлено: 21.11.2025
Кафедра акушерства, гинекологии и перинатологии Первого Московского медицинского государственного университета им. И.М. Сеченова Минздрава России, Москва, Россия
Московский областной НИИ акушерства и гинекологии
- SPIN РИНЦ: 6145-0926
- Scopus AuthorID: 35788141500
- ORCID: 0000-0003-0447-1734
Полный пузырный занос при беременности двойней
Журнал: Архив патологии. 2017;79(5): 43‑48
Описано наблюдение полного пузырного заноса (ППЗ) при беременности двойней. Сочетание ППЗ с нормальной плацентой и жизнеспособным плодом, по данным литературы, встречается с частотой 1 случай на 20 000—100 000 беременностей, требует дифференциальной диагностики с частичным пузырным заносом и мезенхимальной дисплазией плаценты, характеризуется высокой частотой осложнений. Частота персистирующей трофобластической болезни достигает при подобном сочетании 50%. В описываемом наблюдении беременность закончилась самопроизвольным выкидышем на сроке беременности 16—17 нед. При морфологическом исследовании определялись плод без врожденных пороков с плацентой нормальной массы и строения и прилежащая к нормальной плаценте ткань, имеющая макро- и микроскопические признаки ППЗ. Диагноз подтвержден отсутствием экспрессии р57 в трофобласте и строме ворсин в ткани пузырного заноса. Через 2 мес после выкидыша у пациентки была диагностирована персистирующая трофобластическая болезнь.
Пузырный занос, один из вариантов гестационной трофобластической болезни, в европейских странах и США встречается с частотой 0,5—1,8 случая на 1000 беременностей [1]. Полный пузырный занос (ППЗ) характеризуется генерализованным отеком бессосудистых ворсин, которые становятся пузырькововидными, гиперплазией ворсинчатого трофобласта, отсутствием эмбриона/плода. При частичном пузырном заносе (ЧПЗ) гидропической трансформации подвергается лишь часть ворсин, гиперплазия трофобласта выражена слабее, васкуляризация ворсин сохранена. Плод имеется, но часто отстает в развитии, рано погибает, возможны множественные пороки.
В большинстве случаев ППЗ имеет диплоидный набор хромосом, причем все они отцовского происхождения. Полагают, что хромосомный набор сперматозоида удваивается, а ядро яйцеклетки при этом инактивируется или погибает. Реже наблюдается диспермное оплодотворение. При ЧПЗ кариотип триплоидный, при этом дополнительный третий набор хромосом имеет отцовское происхождение. Если дополнительный набор хромосом материнского происхождения, то гидропическая трансформация ворсин не развивается. Таким образом, кистозная трансформация ворсин хориона с образованием пузырного заноса обусловлена преобладанием в кариотипе зародыша отцовских хромосом [2].
Дифференциальная диагностика пузырного заноса, неразвивающейся беременности и ряда других, не связанных с пузырным заносом поражений ворсин, может представлять значительные трудности в первую очередь при раннем пузырном заносе, когда характерные изменения еще недостаточно выражены. Алгоритм дифференциальной диагностики данных заболеваний представлен в современных руководствах [1, 3].
Иммуногистохимическое исследование с антителами к р57 позволяет идентифицировать ППЗ. Ингибитор циклинзависимой киназы р57 кодируется геном CDKN1C, расположенным на хромосоме 11р15.5, импринтирован на отцовской хромосоме и экспрессируется с материнской хромосомы. В нормальной ткани плаценты при ЧПЗ и не связанных с пузырным заносом поражениях ворсин экспрессия р57 наблюдается в трофобласте и строме ворсин и во вневорсинчатом трофобласте, тогда как при ППЗ, в котором все хромосомы имеют отцовское происхождение, экспрессия р57 в клетках ворсинчатого трофобласта и строме ворсин отсутствует. Следует отметить, что в промежуточном трофобласте экспрессия р57 имеется, что может служить внутренним положительным контролем. Для анализа генотипа используют проточную цитометрию, цитогенетическое и молекулярно-генетическое исследование [1, 2].
Пузырный занос может развиваться при многоплодной беременности, обусловленной оплодотворением двух (крайне редко большего числа) яйцеклеток. Чаще всего наблюдается сочетание ППЗ и нормальной плаценты с плодом, частота подобного сочетания составляет 1 случай на 20 000—100 000 беременностей [4]. L. Lin и соавт. [5] на основании данных 12 455 случаев гестационной трофобластической болезни в Северной и Южной Америке указывают, что многоплодная беременность с ППЗ в сочетании с жизнеспособным плодом встретилась в 0,5% всех случаев пузырного заноса.
При ультразвуковом исследовании (УЗИ) определяются жизнеспособный плод и плацента нормального строения, к которой прилежит везикулярная ткань; в большинстве случаев плацентарная ткань с признаками ППЗ располагается в нижнем маточном сегменте. Такая ультразвуковая картина требует дифференциальной диагностики с ЧПЗ и мезенхимальной дисплазией [6]. В редких случаях нормальная и пораженная ППЗ плаценты располагаются отдельно.
При многоплодной беременности с ППЗ чаще, чем при одноплодной, наблюдаются дородовые кровотечения, артериальная гипертензия, гипертиреоз, чрезмерная рвота — осложнения, обусловленные высоким уровнем хорионического гонадотропина человека (ХГЧ) [7]. Частота развития персистирующей трофобластической болезни (ПТБ), согласно данным литературы, составляет от 37 до 50% и существенно выше, чем при одноплодной беременности с ППЗ [7—9]. Вместе с тем N. Sebire и соавт. [4] указывают, что частота ПТБ при многоплодной беременности с ППЗ существенно не отличается от таковой при одноплодной беременности с ППЗ и составляет 16% у женщин, которым прервали беременность в I триместре, и 21% у женщин, пролонгировавших беременность. По мнению большинства исследователей, частота ПТБ не зависит от того, была беременность прервана или пролонгирована.
Приводим собственное наблюдение ППЗ при беременности двойней, диагноз которого был поставлен при патолого-анатомическом исследовании.
Пациентка 27 лет, беременность первая. Кровянистые выделения из половых путей впервые появились на сроке беременности 8—9 нед, была диагностирована ретрохориальная гематома, в связи с чем проходила лечение в условиях стационара. При повторной госпитализации по месту жительства на сроке 13—14 нед в связи с угрозой прерывания беременности при УЗИ высказано подозрение на ЧПЗ, сывороточный уровень ХГЧ превышал 1 000 000 МЕ/л.
На сроке беременности 14—15 нед консультирована онкологом, поставлен диагноз ЧПЗ. Рекомендованы пролонгирование беременности, УЗИ в динамике, контроль показателей ХГЧ и альфа-фетопротеина 1 раз в месяц, консультация генетика. Беременная вновь госпитализирована по месту жительства с угрозой прерывания, кровянистыми выделениями, анемией (гемоглобин 79 г/л). К сожалению, мы не располагает данными о динамике концентрации ХГЧ в крови пациентки в течение беременности.
Пациентка обратилась в Московский областной институт акушерства и гинекологии на сроке беременности 16—17 нед с жалобами на кровянистые выделения из половых путей, слабость, в анализе крови гемоглобин 60 г/л.
При поступлении акушерский срок 16—17 нед. Визуально матка увеличена до 24 нед. При УЗИ в полости матки определяется один живой плод, по фетометрии соответствующий 16—17 нед беременности. Плацента расположена по задней стенке матки и в дне, верхняя 1/3 плаценты обычной структуры, толщиной 17 мм, на остальной 2/3 площади плацента утолщена до 70 мм, определяется в виде опухолевидной ткани размером 180×90×100 мм (V 840 см 3 ), однородной ячеистой структуры с множеством анэхогенных включений в виде сот разного диаметра.
Кровоток в гидропически измененной части плаценты не усилен, без локусов повышенной васкуляризации. Измененная ткань плаценты определяется в проекции шейки матки, нижним полюсом достигает наружного зева (который открыт) и частично влагалища. Выделения сукровичные жидкие, обильные.
Клинический диагноз: беременность 16—17 нед. Частичный пузырный занос.
В связи с начавшимся поздним выкидышем произведено ручное удаление содержимого матки, вакуум-аспирация содержимого полости матки. Послеоперационный период протекал без осложнений. На 3-и сутки после операции уровень ХГЧ составил 45 401 МЕ/л, что соответствует 16 нед беременности. Пациентка выписана на 5-е сутки в удовлетворительном состоянии, рекомендован контроль ХГЧ 1 раз в неделю. Через 2 мес у пациентки был диагностирован рецидив трофобластической болезни.
Морфологическое исследование
На исследование направлены плод и послед. Плод мужского пола массой 127 г (норма для срока беременности 16—17 нед 130—180 г), теменно-копчиковый размер 12 см (норма 10—11 см) правильного телосложения, пороков развития не выявлено. Послед в виде фрагментов общей массой 517 г (при норме 80—100 г). Один из фрагментов массой 85 г представлен тканью плаценты размером 11×5×1 см со сформированной хориальной пластинкой, по периферии с дефектами ткани, с центрально прикрепленной пуповиной диаметром 0,3 см, содержащей 3 сосуда (рис. 1, а). Базальная пластинка утолщена, светло-серая, паренхима отечная, бледная. Остальная часть плаценты представлена гроздевидными скоплениями пузырьков диаметром 0,2—0,6 см, диаметр отдельных пузырьков превышал 3 см (см. рис. 1, б), на разрезе определяются обширные тромбы с участками разной давности, наибольший из них диаметром 4 см (см. рис. 1, в).

Рис. 1. Макроскопический вид плаценты (описание в тексте).
При микроскопическом исследовании в фрагменте плацентарного диска с сохранными хориальной и базальной пластинками определяется ворсинчатое дерево, соответствующее гестационному сроку, представленное преимущественно недифференцированными промежуточными ворсинами с немногочисленными узкими сосудами и формирующимися дифференцированными промежуточными ворсинами (рис. 2, а). При ИГХ-исследовании с антителами к р57 позитивная ядерная реакция выявлена в цитотрофобласте, клетках стромы и вневорсинчатом трофобласте, что соответствует распределению данного маркера в нормальной плацентарной ткани (см. рис. 2, в, г). Позитивная ИГХ-реакция с Ki-67 определяется в немногочисленных клетках ворсинчатого цитотрофобласта, клетках стромы и в клеточных островках (см. рис. 2, б).

Рис. 2. Плацента нормального строения. а — промежуточные недифференцированные и формирующиеся дифференцированные ворсины с немногочисленными узкими сосудами; б — позитивная реакция с Ki-67 в немногочисленных клетках стромы и клетках цитотрофобласта ворсин; в, г — позитивная ядерная реакция с р57 в клетках стромы и ворсинчатом цитотрофобласте.
Часть последа с кистозной трансформацией микроскопически представлена крупными отечными ворсинами, в большинстве из которых определяются полости (цистерны), в некоторых ворсинах спавшиеся, и небольшим числом ворсин среднего диаметра с отечной стромой без образования полостей. Сосуды в ворсинах отсутствуют. Выражена пролиферация трофобласта местами с образованием криброзных и сосочковых структур, а также умеренным полиморфизмом клеток (рис. 3, а, б). Встречаются группы некротизированных ворсин, преимущественно располагающиеся вблизи тромбов (см. рис. 3, в). ИГХ-реакция с р57 в трофобласте и строме ворсин отрицательная, во вневорсинчатом трофобласте положительная (см. рис. 3, д, е). Реакция с Ki-67 позитивная в большинстве клеток цитотрофобласта ворсин и во вневорсинчатом трофобласте (см. рис. 3, г).

Рис. 3. Полный пузырный занос. а, б — крупные отечные ворсины с цистернами, некоторые ворсины спавшиеся, выражена пролиферация трофобласта; в — группы некротизированных ворсин; г — многочисленные Ki-67-позитивные клетки цитотрофобласта ворсин и вневорсинчатого трофобласта; д — отсутствие экспрессии р57 в трофобласте и строме ворсин; е — положительная экспрессия р57 во вневорсинчатом трофобласте при отсутствии экспрессии в ворсинах;. а—в — окраска гематоксилином и эозином; г—е — иммуногистохимическая реакция.
Результаты макро- и микроскопического исследований плаценты позволили с высокой долей вероятности предполагать наличие дихориальной двойни с развитием ППЗ в одной из плацент и гибелью зародыша и нормальным развитием второй плаценты с незначительной задержкой роста плода. Отсутствие экспрессии р57 в трофобласте и стромальных клетках ворсин в гидропически трансформированной части последа при нормальном распределении указанного маркера во втором последе подтвердило диагноз беременности двойней с ППЗ одной из плацент.
Описанное нами наблюдение является типичным примером течения и исхода многоплодной беременности с ППЗ. Антенатальная диагностика данного состояния сложна, сочетание ультразвуковых признаков пузырного заноса с нормальной плацентарной тканью и жизнеспособным плодом часто расценивается как ЧПЗ. Согласно литературным данным, ППЗ при беременности двойней чаще сопровождается осложнениями, чем ППЗ при одноплодной беременности, а частота ПТБ достигает 50%. В настоящее время не существует единой точки зрения на тактику ведения такой беременности. При принятии решения оо пролонгировании беременности следует учитывать высокий риск дородовых кровотечений и развития гестационной трофобластической неоплазии. Многоплодная беременность с ППЗ часто заканчивается выкидышами или преждевременными родами на ранних сроках, рождение доношенного ребенка наблюдается крайне редко.
Что такое пороки развития плода и почему они возникают?

Врожденный порок развития у ребёнка - это последствия осложнений вынашивания, которые занимают значительное место в причинах инвалидности и даже смертности детей. По данным исследований, каждый год в период младенчества врожденные пороки становятся причиной летального исхода у более чем 300 тысяч малышей. Это большое горе для всей семьи, и в первую очередь - для мамы. MedAboutMe рассказывает о причинах врожденных пороков развития, их ранней диагностике и профилактике.
Почему возникают пороки развития плода во время беременности?

Выделяют эндогенные и экзогенные факторы возникновения пороков.
К эндогенным, или внутренним относят возникновение спонтанных, случайных мутаций или их наследование, заболевания эндокринной системы. Увеличивает риск появления таких изменений в генах и хромосомах близкородственный брак, возраст матери или отца (возраст отца влияет, по данным ученых, серьезнее).
Экзогенные, или внешние факторы - все, что влияет на мать и ребёнка извне. К ним относят:
- Физическое воздействие: травмы живота во время беременности, радиационное излучение;
- Химическое: влияние алкоголя, наркотических средств (по последним данным, даже незначительное употребление смесей для курения с «легким» наркотическим эффектом на сверхранних сроках изменяет геном эмбриона), некоторых лекарственных препаратов, частый или продолжительный контакт с пестицидами, соединениями свинца и т. д., неблагоприятная экологическая обстановка - близость больших производств, мусорного полигона и т. д.;
- Биологическое воздействие - это инфекции и болезни, аутоиммунные патологии в организме матери. Особенно опасна краснуха у матери, поэтому вакцинация от нее это часть профилактики.
- Также может влиять социально-экономические состояние матери с дефицитным рационом питания или нехваткой витаминов, минералов в организме, тяжелыми условиями жизни, труда, пренебрежение или недоступность врачебной помощи.
Такие факторы способны влиять на процессы экспрессии генов, размножение, миграцию и рост клеточных структур, их своевременное обновление и гибель. Как результат, развиваются болезни и пороки развития. Так, при замедленном делении клеток формируется недоразвитие ткани или органа вплоть до полного его отсутствия, при несвоевременной миграции - атипичное, неправильное расположение органов, даже частей тела.
Важно помнить, что во многих случаях причину развития порока плода определить не удается, и винить мать или отца в этом нецелесообразно и бессмысленно. Далеко не все возможно предотвратить и предсказать. То, что повлияло в одной ситуации, не оставило следа в другой - и все, что можно сделать, это заниматься доступной профилактикой и вовремя посещать врача.
Какие бывают пороки развития?
Среди аномалий и пороков развития выделяют разные характеры нарушений:
- При отсутствии органа говорят об аплазии;
- При его недоразвитии - о гипоплазии;
- При увеличенном размере или массе органа - гиперплазии;
- При тканях в нетипичном для них месте - о гетеротопии;
- При расположении целого органа в нетипичном месте - об эктопии;
- Если нарушена дифференциация клеток, то это гетероплазия;
- Увеличенную длину тела называют макростомией;
- Кроме этого может быть удвоение части органа (например, двойная матка), его стеноз, несформированность естественного канала (отсутствие мочеиспускательного например), неразделение органов и тканей, незаращение эмбриональных щелей - например, жаберных, которые есть у всех эмбрионов млекопитающих, а затем они зарастают.
Порок развития может возникать в любом органе и системе:
- В нервной - самые серьезные - это аплазия головного мозга, спина бифида, микроцефалия;
- Сердечно-сосудистая: различные врожденные пороки сердца, дефекты перегородок, отсутствие желудочка, тетрада Фалло (сочетанная аномалия);
- Костей, мышц, связок, конечностей - недоразвитие руки, ноги, части тела;
- Дыхательных органов;
- Пищеварительной, мочевыводящей, репродуктивной системы;
- Пороки лица - недоразвитие или отсутствие ушных раковин и внутренней структуры уха, глаза, расщепление неба и т. д.
Что можно определить еще до рождения?
Часть пороков можно выявить еще до рождения: при помощи ультразвукового исследования специалист видит пороки сердца, нарушения формирования лицевых и черепных структур, конечностей, части внутренних органов. Однако патологии функций органов по УЗИ не определить - нельзя выявить незрячесть, ограничения слуха и т. д.
Анализы крови во время скринингов позволяют определить вероятность хромосомных нарушений, для которых характерны определенные аномалии развития, например, при синдроме Дауна часты врожденные пороки сердца.
Кто в группе риска?

Основной и легко предупреждаемый фактор риска пороков развития плода - нехватка витамина В9 (фолиевая кислота). Она крайне необходима для деления клеток, правильного формирования тканей и структур. Самый важный период - ранний срок беременности, этап формирования нервной трубки зародыша и всей нервной системы, включая головной и спинной мозг. Фолиевая кислота нужна не только для развития плода: она - часть профилактики недоношенности и разрыва плодного пузыря.

В сутки необходимо принимать 400-600 мкг фолиевой кислоты, с учетом суточной потребности в 800 мкг. К счастью, часть этого витамина мы получаем с пищей - в основном им богаты листовые салаты, орехи. А вот печенью, в которой его тоже много, увлекаться не следует - избыток витамина А может навредить эмбриону.
Однако необходимо начать прием еще на этапе планирования беременности. По данным исследования французских ученых, препараты нужны еще за 6 месяцев до зачатия, причем не только будущей матери, но и отцу.
Кроме дефицита фолиевой кислоты выделяют и другие факторы риска:
- Возраст женщины более 35 лет, мужчины - от 40.
- Наличие в анамнезе выкидышей, замерших, внематочных беременностей.
- Наличие детей или близких родственников с наследственными хромосомными патологиями, врожденными пороками;
- Вегетарианская диета женщины;
- Радиационное облучение одного или обоих будущих родителей;
- Прием тератогенных препаратов.
При выявлении у пары подобных факторов риска показана медико-генетическая консультация с генетической диагностикой для снижения риска возникновения пороков у ребёнка.
Как и когда проводят диагностику пороков плода?
Первый этап определения и профилактики возможных рисков проводят еще на стадии подготовки к зачатию с изучением семейной истории, наличия вредных факторов, подготовки рекомендаций.
Второй этап - скрининговые исследования с УЗИ и анализами крови. Исследования могут проводиться при помощи обычного двухмерного УЗ-изображения, 3D, 4D (в движении), с допплерометрией. По итогам скринингов определяется наличие грубых пороков, видимых на УЗИ, а также рассчитывается риск хромосомных аномалий по результатам двойного теста в первом триместре (анализа крови на b-ХГЧ и плазменного протеина А). При необходимости во втором триместре добавляют тройной и четверной тест.
Если по итогам скрининга риск высок, показана биопсия ворсин хориона, плацентоцентез, кордоцентез, амниоцентез - процедуры инвазивной диагностики количества и качества хромосом плода. В последнее время разработан также неинвазивный метод определения по выделению клеток ребёнка, циркулирующих в крови матери, однако он пока недостаточно широко доступен.
Результаты скрининговых тестов интерпретирует только специалист - не надо пугаться цифр. Комплексная оценка требует полной расшифровки с учетом анамнеза и иных факторов риска.
Следующий этап диагностики проводится уже после рождения ребёнка с обследованием органов слуха, зрения функций сердца, нервной и иных систем.
Как лечат пороки развития?
При установлении диагноза созывается перинатальный консилиум с участием акушера-гинеколога, специалиста УЗИ-диагностики, генетика, неонатолога, психолога и врача, специализирующегося на данном пороке - например, кардиохирурга, ортопеда и т. д с целью определения прогноза, возможной коррекции патологии.
Решение о продолжении беременности остается за самими родителями, врачи оказывают информационную поддержку и помощь.
Стоит знать, что сегодня многие пороки, которые ранее считались несовместимыми с жизнью ребёнка, успешно исправляются. Так, например, проводятся операции на сердце, позвоночнике ребёнка еще до рождения. Консилиум также разрабатывает план наблюдения, ведения родов, а после появления малыша на свет он наблюдается у врачей, проходит реабилитационную и лечебную программу. О том, как проходит терапия детей с врожденными пороками сердца, мы рассказываем в отдельной статье.
Беременный младенец, люди-химеры и другие удивительные истории

Моника Вега из далекой Колумбии ждала родов в ближайшие пару недель, когда на УЗИ выяснилось, что внутри нее находятся два ребёнка. Но это не близнецы и не двойняшки — у ее дочки внутри находится еще один ребёнок, эмбрион размером в 5 сантиметров. Рассказываем историю малышки, почему так происходит, и какие еще удивительные дополнения могут развиваться у детей во время маминой беременности.
«Плод в плоде»: феномен матрешки

Дочке Моники сделали операцию сразу после появления на свет. Из новорожденной девочки извлекли эмбрион весом в 14 грамм, с ручками и ножками, совершенно нежизнеспособный. Неизвестно, смог ли бы он развиваться и дальше, но оставлять внутри малышки растущий плод означало бы обрекать ее на верную смерть.

Дочке Моники уже два месяца, она растет и развивается, как обычный ребёнок. А врачи гадают, что могло привести к подобной патологии.
Аналогичный случай произошел в Индии: у девятнадцатилетней индианки из Мумбры родился мальчик, в теле которого было обнаружено не полностью сформированный организм брата. У него были две ноги, рука, и полностью отсутствовала черепная коробка. Длиной тело составляло 7 сантиметров, и выявили эту патологию тоже только на последних неделях беременности при плановом УЗИ.
В индонезийской глубинке не помогло и ультразвуковое исследование. Ребёнок родился в целом здоровым, но к 10 месяцам ему потребовалась хирургическая операция: у мальчика выросла огромная опухоль живота размером в небольшую дыню. Опасаясь онкологии, родители обратились наконец в клинику, и в ходе операции ребёнку удалили недоразвившегося брата-близнеца.
Такое отклонение в процессе внутриутробного формирования встречается крайне редко, с частотой 2 случая на миллион рождений. На сегодня известно всего около 200 таких «матрешек». Как правило, «плод в плоде» не опасен для новорожденного, если, конечно, его вовремя обнаружить и успешно удалить, что не всегда возможно. Точного научного объяснения феномену нет, но есть несколько версий.
Близнец-паразит или тератома?

«Близнецом-паразитом» или ишиопагом называют недоразвитого близнеца, появляющегося в результате сбоя в делении оплодотворенной яйцеклетки. Второй эмбрион не жизнеспособен без первого, он «паразитирует», развивается за счет основного плода. Такой близнец обычно меньше размером, не полностью сформирован и полностью зависим от здорового близнеца. В отличие от сиамских близнецов у ишиопагов нет собственной нервной системы, нет возможности быть отдельной личностью, так как мозг тоже не формируется.
Прогнозы здоровья основного ребёнка зависят от размеров и месторасположения ишиопага, какие ткани и органы у него сформированы, насколько его легко удалить и нет ли вероятности воспалительного процесса еще до рождения.

С удивительным феноменом ишиопагии столкнулись недавно американские врачи. Они выявляли причины непропорционального роста у четырехмесячного мальчика, и обнаружили врожденную доброкачественную опухоль головного мозга. При удалении кранифарингиомы в тканях опухоли нашли… зубы.
Полностью сформированные молочные зубы оказались в мозге малыша, при том, что во рту у него еще ничего не прорезывалось. Это первый случай в истории медицины. Есть версии о связи развитии опухолевого образования и патологии, но скорее всего — это необычный вариант близнеца-паразита, тератома, формировавшаяся в такой странной манере.
Жизнь мальчика после операции вне угрозы, а странные зубные включения в опухоль еще предстоит полностью изучить.
Тератома — опухолевое образование, которое развивается из собственных эмбриональных клеток или из клеток поглощенного близнеца. Такие опухоли чаще обнаруживают у младенцев-девочек в тканях яичников, однако они могут встречаться также в яичках у мальчиков, а также в спинном и головном мозге у детей обеих полов.
Отдельный случай ишиопагии — химеризм. Химерами среди людей называют тех, у кого в теле обнаруживают два разных набора ДНК. Это означает, что такой человек «составлен» из тканей двух различных эмбрионов в результате настоящей ишиопагии или же при слиянии двух оплодотворенных яйцеклеток в одну. Частные случаи могут проявляться, к примеру, разным цветом глаз у одного человека, хотя для такого феномена могут быть и другие объяснения. Как бы то ни было, при химеризме ткани паразитирующего близнеца приживаются в организме и функционируют. Ученые говорят, что большинство случаев ишиопагии остается невыявленными, если близнец-паразит не угрожает здоровью.
Дополнительные ноги, руки и пенис
Феномен плода в плоде внешне не заметен и определяется только ультразвуковым исследованием. Но есть и другие варианты близнецов-паразитов, которые невозможно не увидеть.

Кули Бай с севера Индии родила малыша, чья внешность настолько поразила родственников, что они приняли решение утопить его в реке, несмотря на благочестивость и религиозные верования. У мальчика оказались две лишние ноги, третья рука и два набора пенисов и яичек.
Родителям удалось отстоять право ребёнка на жизнь, но новость о «проклятом уродце» разлетелась далеко по округе.
Слухи долетели до больницы, откуда срочно выслали машину скорой помощи, чтобы доставить ребёнка к врачам. Малыш был в критическом состоянии, истощен, страшно напуган. Чтобы оказать полноценную помощь, ребёнка пришлось отвезти в крупную клинику.

Парвин Матур, доктор, руководитель педиатрического отделения, Джапур
У мальчика было четыре ноги, три руки и два детородных органа. Это был однозначный случай близнеца-паразита, ишиопага в теле новорожденного. Верхняя рука близнеца была недоразвита, остальное вполне соответствовало собственным размерам пациента.
Это не первый случай в нашей практике, три месяца назад мы проводили подобную операцию по отделению тканей близнеца-паразита. Вторая операция на младенце Бай была непростой, так как состоянию ребёнка угрожали осложнения из-за дополнительных конечностей и гениталий. Мальчик был прооперирован и сейчас успешно восстанавливается под присмотром врачей.
Ситуации, когда ткани близнеца-паразита удается обнаружить во время беременности или сразу после родов, довольно редки. Чаще фрагменты ишиопага находятся в теле человека многие годы и обнаруживаются случайно. К примеру, у Дженни Кавана из Великобритании их нашли только в возрасте 40 лет при операции на яичнике. В удаленных тканях обнаружили маленькое лицо, зубы, глаза. А самый первый задокументированный случай близнеца-паразита был описан в 1800 году.
Единой версии, почему так происходит, пока нет. Но есть теория, что сегодня, с распространением репродуктивных технологий, стимулировании яичников, подсадке нескольких яйцеклеток эта аномалия будет встречаться чаще.

Склонен ли ваш ребёнок к аллергическим заболеваниям и что является аллергеном? Пройдите тест и узнайте чего стоит ребёнку избегать и какие меры предпринять.
Сочетанные аномалии и прогноз при плодах паразитах. Гетеротопическая беременность
УО «Белорусский государственный медицинский университет», Минск, Республика Беларусь
УЗ «Городской клинический родильный дом №2», Минск, Республика Беларусь
Гетеротопическая беременность с естественным зачатием и донашиванием плода
Цель исследования — представление клинического наблюдения гетеротопической беременности при естественном зачатии и с благоприятным исходом. Материал и методы. Описано клиническое наблюдение спонтанной гетеротопической беременности с одновременной имплантацией одного плодного яйца в полости матки и второго — в ампулярном отделе единственной маточной трубы. Для публикации получено письменное согласие пациентки. Кроме того, представлен краткий анализ публикаций из PubMed о случаях спонтанной гетеротопической беременности за последние 10 лет. Результаты. Диагноз гетеротопической беременности установлен при ультразвуковом исследовании органов малого таза у пациентки с признаками беременности раннего срока, имевшей в анамнезе одни роды и сальпингэктомию справа в связи с трубной беременностью. Выполнена сальпингэктомия слева и сохранена маточная беременность, которая была доношена до физиологического срока. Заключение. Ультрасонография — основной метод диагностики гетеротопической беременности. При стабильном состоянии пациентки лечение направлено на удаление внематочного продукта зачатия и сохранение маточной беременности.
Цель исследования — представление клинического наблюдения гетеротопической беременности при естественном зачатии и с благоприятным исходом.
Материал и методы
В статье сообщается о редком клиническом наблюдении спонтанной ГБ, произошедшем в Городском клиническом родильном доме № 2 Минска в 2017 г. Для публикации получено письменное согласие пациентки. Кроме того, представлены данные литературы из базы PubMed за последние 10 лет о спонтанной ГБ.
Результаты
Пациентка В., 33 лет, обратилась самостоятельно в вечернее время в приемное отделение родильного дома с жалобами на тянущую боль в нижних отделах живота и в левой подвздошной области в течение 3 ч. Считает себя беременной, так как в последние 2 мес не использовала контрацепцию, очередная менструация не наступила в течение 8 дней, дома получила положительный результат теста на беременность. Менструальная функция без особенностей, menarche в 13 лет, менструации по 6—7 дней с интервалом 28—30 дней, умеренные, безболезненные. Половая жизнь с 16 лет, использовала барьерный метод контрацепции. В браке не состоит, имеет постоянного партнера, с которым планировала беременность. В течение последних 12 мес улучшила рацион, принимала ежедневно фолиевую кислоту и курсами калия иодид. Согласно рекомендациям врача, тестирована молекулярно-генетическим методом для обнаружения ДНК Ch. trachomatis, Ureaplasma spp., M. genitalium, папилломавирусной инфекции с отрицательным результатом.
Пациентка нормального телосложения, индекс массы тела 20,0 кг/м 2 . Из заболеваний назвала краснуху и скарлатину, перенесенные в детстве, пролапс митрального клапана I степени без нарушения гемодинамики, нефроптоз справа. В течение последних 7 лет болела вагинальным кандидозом не менее 5 раз, последние 3 года наблюдалась в женской консультации, где лечила цервицит и эктопию шейки матки, подтвержденную морфологическим исследованием биоптата. Получала местно противовоспалительное лечение, рекомендации о деструктивных методах терапии не выполнила. При повторной биопсии шейки матки с интервалом 3 года были выявлены морфологические признаки папилломавирусной инфекции, получала иммунотерапию.
В анамнезе у пациентки имелись 2 беременности. Первая беременность закончилась нормальными срочными родами 7 лет назад. Беременность протекала физиологически, врача посещала регулярно со срока 7 нед. В сроке 16 нед был получен положительный серологический тест на антитела IgG против Chlamydia trachomatis в титре 1:10, при бактериологическом исследовании отделяемого из цервикального канала получен рост Ureaplasma spp. 10 4 КОЕ/мл, при повторном исследовании через 2 мес колонии Ureaplasma spp. не выросли. В сроке беременности 272 дня родился здоровый мальчик массой 3750,0 г, длиной 53 см с оценкой по шкале Апгар 8 и 9 баллов. Послеродовой и ранний неонатальный периоды протекали без особенностей. Вторая беременность спланирована спустя 7 лет после родов, когда сложились устойчивые отношения с другим партнером. После отмены контрацепции спустя 2 мес очередная менструация не наступила, и при ее задержке на 11 дней появились жалобы на боли в нижних отделах живота и вагинальное кровомазание. Сделанный самостоятельно дома тест для диагностики беременности раннего срока дал положительный результат, что побудило пациентку обратиться за медицинской помощью. При поступлении в отделение гинекологии общее состояние удовлетворительное, гемодинамика стабильная. Концентрация хорионического гонадотропина (чХГ) 1366,5 мМЕ/мл. УЗИ органов малого таза показало признаки трубной беременности справа, при кульдоцентезе получена кровь. Выставлен диагноз: «правосторонняя нарушенная трубная беременность», на основании которого экстренно выполнены лапароскопия, правосторонняя сальпингэктомия и разделение спаек в малом тазу. Гистологическое исследование удаленной маточной трубы подтвердило трубную беременность и хронический сальпингит.
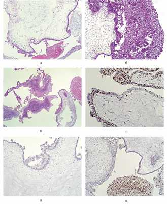
В представляемом наблюдении при поступлении в гинекологическое отделение общее состояние пациентки было удовлетворительным, гемодинамика стабильной, выделения из половых путей — в виде скудного кровомазания, результаты лабораторного исследования крови были в норме. При гинекологическом исследовании пальпировалась увеличенная до 6 нед беременности матка, подвижная, безболезненная, в области левых придатков — болезненное образование диаметром 3 см. В отделяемом из цервикального канала бактериоскопически обнаружены бактерии в большом количестве. При УЗИ органов малого таза обнаружено в полости матки плодное яйцо с живым эмбрионом с копчико-теменным размером 4,2 мм, слева вне полости матки — образование повышенной эхогенности размером 25×23×20 мм без признаков кровотока, в маточно-прямокишечном углублении — умеренное количество жидкости. По решению консилиума врачей для дифференциальной диагностики выполнен кульдоцентез, при котором получена кровь. Сразу же пациентке произведена лапароскопия, которая подтвердила наличие в брюшной полости около 100 мл крови, увеличение размера матки до 6 нед беременности и цианотичную, увеличенную в диаметре до 3 см левую маточную трубу с перитубарными спайками (рис. 1), Рис. 1. Данные лапароскопии: матка увеличена соответственно 6 нед беременности, расширенная в дистальном отделе цианотичная левая маточная труба; свободная кровь в маточно-прямокишечном углублении. выполнена сальпингэктомия слева (рис. 2). Рис. 2. Лапароскопическая левосторонняя сальпингэктомия.
Гистологически подтверждена трубная беременность. В послеоперационном периоде состояние пациентки было стабильным, лабораторные показатели в норме, маточная беременность прогрессировала. На 10-е сутки после операции пациентка выписана домой с рекомендациями о необходимости диспансерного наблюдения в женской консультации. Беременность протекала без осложнений. В сроке 267 дней произошли самопроизвольные роды плодом массой 3570,0 г, длиной 53 см, с оценкой по шкале Апгар 8 и 9 баллов.
Диагностика внематочного продукта зачатия в ряде случаев затруднительна [8]. Риск гетеротопической беременности увеличивается при использовании ВРТ, когда в матку одновременно переносят 2 эмбриона или более. Протокол ВРТ включает диагностику беременности ранних сроков, а заведомо известные риски эктопической или ГБ при ВРТ побуждают врача к дифференциальной диагностике при высокой мотивации пациентки к обследованию.
При естественном зачатии ГБ — крайне редкое явление. При ожидаемой беременности факт зачатия своевременно подтверждается качественной реакцией на наличие чХГ в моче и ультразвуковой визуализацией эмбриона в полости матки, что, однако, не исключает наличие одновременно еще одного или нескольких эмбрионов вне полости матки. Увеличение содержания чХГ в крови подтверждает прогрессирование беременности, но для диагностики ГБ неинформативно, так как продукция субнормального количества гормона эктопическим плодным яйцом маскируется более высокой концентрацией чХГ, продуцируемого хорионом в матке. В отделении неотложной помощи ГБ не становится предметом дифференциальной диагностики у пациенток с болью в животе. Поэтому, как правило, внематочный продукт зачатия остается нераспознанным, становится причиной кровотечения с угрозой для жизни пациентки [4, 9—11]. Ведущую диагностическую роль в поиске эктопического плодного мешка имеет трансвагинальное УЗИ, как это и произошло в описываемом нами клиническом наблюдении.
При ГБ внематочный продукт зачатия может находиться вне половых органов, что следует учитывать при дифференциальной диагностике у женщин с положительным тестом на чХГ, абдоминальными болями, внутренним кровотечением. S. Julania и R. Tai (Австралия, 2013) [7] описывают случай ГБ у 31-летней пациентки, когда источником внутреннего кровотечения была селезенка, а эктопия плодного яйца в селезенке стала патоморфологической находкой. После контрольного измерения уровня чХГ была обнаружена также внутриматочная беременность, но она закончилась выкидышем [7].
Лечебная стратегия при ГБ направлена на удаление внематочного продукта зачатия и сохранение эмбриона в матке. При эктопии плодного яйца в рубце после кесарева сечения или в шейке матки методами выбора могут быть редукция эмбриона путем местного введения раствора хлорида калия, гиперосмолярной глюкозы, метотрексата под ультразвуковым контролем с последующей аспирацией. Для пациенток с ГБ и плодным мешком в маточной трубе предпочтительна лапароскопическая сальпингэктомия при условии стабильной гемодинамики, тогда как при массивном кровотечении и шоке показана лапаротомия [12].
Казуистикой является случай доношенной ГБ, диагностированной в ходе кесарева сечения, когда внематочный продукт зачатия был обнаружен латерально от матки в виде неоднородной массы и в последующем диагноз был подтвержден гистологически [15]. Крайне редкая триплетная ГБ с двойней в одной маточной трубе и одним эмбрионом в матке в сроке 9 нед диагностирована у пациентки с разрывом маточной трубы и внутрибрюшным кровотечением в отделении неотложной медицины университетской клиники Антальи [16].
Заключение
Гетеротопическая беременность — крайне редкое явление, присущее в большей степени использованию вспомогательных репродуктивных технологий. Гетеротопическая беременность с зачатием в естественном цикле часто становится диагностической находкой. Ее своевременная диагностика возможна с применением ультрасонографии, что является залогом благоприятного исхода с удалением эктопированного плодного мешка и сохранением внутриматочного эмбриона. Из всех описанных в мировой литературе наблюдений гетеротопической беременности наиболее типично сосуществование трубной и внутриматочной беременности, когда решающее диагностическое значение имеет трансвагинальная сонография, а управление ситуацией включает лапароскопическую сальпингэктомию и сохранение внутриматочной беременности. Нами также была избрана оптимальная тактика управления гетеротопической беременностью, что обеспечило донашивание плода до физиологического срока и рождение здорового ребенка.
Гетеротопическая беременность

Г етеротопическая беременность - это одновременное наличие маточной и внематочной беременности у одной женщины. Плодных яйца 2; если бы они оба попали в полость матки, женщина была бы беременна близнецами. Однако в некоторых случаях второе плодное яйцо прикрепляется в «неправильном» месте, и вторая беременность развивается в яичнике, маточной трубе, шейке матки или на брюшине.
Встречается в обычной жизни такая ситуация очень редко: 1 случай на 30 000 беременностей, однако при использовании вспомогательных репродуктивных технологий вероятность возрастает до 1:100. Также повышают шанс на гетеротопическую беременность воспалительные заболевания органов малого таза в анамнезе, хирургические вмешательства на органах малого таза (в частности, маточных трубах), аномальное строение матки.
Эта ситуация может быть фатальной, поэтому важно быть начеку. Главная опасность в том, что диагностировать гетеротопическую беременность становится возможным во многих случаях только в момент разрыва маточной трубы (если беременность трубная, что чаще всего). Дело в том, что при одноплодной беременности заподозрить внематочную можно в том случае, если В-ХГЧ нарастает, а плодное яйцо в полости матки мы не видим (хотя по срокам и по уровню ХГЧ должны). При гетеротопической беременности мы видим плодное яйцо в полости матки, видим нарастание ХГЧ (что в сумме дает нам картину абсолютно нормальной маточной беременности), а плодное яйцо в трубе увидеть на ранних сроках беременности практически невозможно.
При наличии гетеротопической беременности возможно 2 варианта развития событий:
1. Маточная беременность развивается, внематочная прерывается.
Проявляется эта ситуация болью и кровянистыми выделениями на фоне беременности. Это повод незамедлительно госпитализироваться и провести хирургическое вмешательство. Своевременное хирургическое вмешательство чаще всего позволяет сохранить маточную беременность и родить здорового ребенка.
2. Маточная беременность заканчивается выкидышем/неразививающейся беременностью, а внематочная продолжает развиваться.
Точно так же заподозрить такую ситуацию позволяют кровянистые выделения (длительно сохраняющиеся после потери/прерывания беременности) и боли внизу живота. В такой ситуации обязательно сделать тест на беременность и сдать кровь на В-ХГЧ (анализ по cito, чтобы узнать результат как можно быстрее), чтобы убедиться, что беременности нет (или что она есть, и ее надо искать). При высоких значениях В-ХГЧ следует провести УЗИ с целью поиска внематочной беременности (чтобы определить, где именно она находится). Следующий шаг - лапароскопия и удаление плодного яйца (если беременность трубная, то обычно вместе с трубой). Все эти манипуляции должны выполняться как можно быстрее.
Основной вывод: при появлении выраженных болей и/или кровянистых выделений внизу живота во время беременности или после выкидыша/прерывания беременности ни в коем случае не надо ждать записи к врачу в течение нескольких дней, следуют получить медицинскую помощь незамедлительно.
Читайте также:
- Поведенческая терапия заикания у детей и подростков
- Физический труд как мышечная радость. Трудовая доминанта
- Физика ультразвука для хирургов. Интраоперационное УЗИ печени
- Техника тенодеза бицепса с применением анкера SwiveLock с интерферентной фиксацией
- Как избавиться от целлюлита? Причины и стадии целлюлита
