Физика ультразвука для хирургов. Интраоперационное УЗИ печени
Добавил пользователь Евгений Кузнецов Обновлено: 01.11.2025
ФГБУ «Московский научно-исследовательский онкологический институт им. П.А. Герцена» Минздрава России
ФГБУ "Московский научно-исследовательский онкологический институт им. П.А. Герцена" Минздрава России
Московский научно-исследовательский онкологический институт им. П.А. Герцена
Возможности интраоперационной ультразвуковой диагностики при раке яичников
Журнал: Онкология. Журнал им. П.А. Герцена. 2016;5(3): 19‑22
Цель — уточнить распространенность опухолевого процесса с помощью интраоперационного ультразвукового исследования (УЗИ). Материал и методы. Обобщены результаты интраоперационного УЗИ у 73 пациенток с раком яичников в возрасте от 46 до 67 лет в процессе комбинированного лечения. Критерием отбора явилось отсутствие выявленных очагов в печени и забрюшинном пространстве на дооперационном этапе. Больным выполняли ультразвуковое сканирование брюшной полости, малого таза, забрюшинного пространства, надключичных и паховых областей. Результаты. У 12 (16,3%) пациенток выявлены объемные образования, не визуализируемые до оперативного вмешательства, у 26 (35,6%) — лимфатические узлы в забрюшинном пространстве. Все выявленные очаги, подозрительные в отношении метастатического поражения, были подвергнуты пункционно-аспирационной биопсии с последующим срочным цитологическим исследованием. Результаты интраоперационного УЗИ дали дополнительную полезную информацию и позволили уточнить стадию заболевания у 23 (31,5%) пациенток. Выводы. Интраоперационное УЗИ является эффективным методом выявления метастатического поражения печени и лимфатических узлов забрюшинного пространства при раке яичников.
Наиболее частыми в структуре онкологической заболеваемости женщин являются злокачественные опухоли репродуктивной системы, суммарная доля которых превышает 35%. Рак яичников составляет 4—6% среди всех злокачественных новообразований у женщин, однако по показателям смертности данная патология занимает 1-е место среди всех гинекологических опухолей в экономически развитых странах, в том числе и в России [1—3, 5].
Ежегодно от рака яичников умирает больше женщин, чем от распространенных форм рака шейки и тела матки вместе взятых [1, 2, 5, 7].
В России с 2000 по 2014 г. распространенность рака яичников выросла с 44,7 до 63,1 на 100 000 населения [1].
Высокая смертность объясняется агрессивными биологическими свойствами злокачественных опухолей яичников, их способностью к частому рецидивированию, быстрому и обширному метастазированию. Наиболее часто (66—88%) опухоль выявляется в III—IV стадии, когда она метастазирует, инфильтрирует смежные органы и характеризуется чрезвычайно злокачественным течением с плохим прогнозом [1, 4, 5, 7, 8].
Ультразвуковое исследование (УЗИ) позволяет получить следующую необходимую для установления диагноза опухоли яичника информацию: расположение опухолевого образования яичника, его размер и контуры; внутреннюю эхо-структуру опухолевого образования яичника; наличие свободной жидкости в брюшной полости; состояние окружающих тканей, связь их с новообразованием [5—8, 10].
Одним из методов, позволяющим уточнить распространенность опухолевого процесса, является интраоперационное УЗИ. В отличие от стандартных методик сканирования (чрескожной, внутриполостной) эта методика позволяет проводить сканирование непосредственной области патологических изменений и тем самым нивелировать технические проблемы, характерные для стандартных методик. Подчеркивая значение интраоперационной ультразвуковой диагностики, многие исследователи считают, что именно ее данные могут представить хирургам бо́льший объем информации, чем весь комплекс инструментальной диагностики, выполненной на дооперационном этапе [1, 4, 6, 9, 10].
Целью настоящего исследования явилось установление наличия или отсутствия метастатического поражения печени и лимфатических узлов забрюшинного пространства с помощью интраоперационного УЗИ в сочетании (при необходимости) с тонкоигольной пункционно-аспирационной биопсией наиболее подозрительных по наличию метастатических изменений участков и их морфологической верификацией.
Материал и методы
В основу исследования положен анализ результатов интраоперационного УЗИ у 73 пациенток с раком яичников во время хирургического вмешательства с применением пункционно-аспирационной биопсии под ультразвуковым контролем. Возраст пациенток колебался от 46 до 67 лет. Всем больным проводили комбинированное лечение в МНИОИ им. П.А. Герцена (табл. 1). Особенностью отбора являлось отсутствие выявления метастатического поражения печени и забрюшинных лимфатических узлов до оперативного лечения.

Таблица 1. Распределение пациенток в зависимости от стадии заболевания
Комплексное УЗИ проводили до начала химиотерапевтического лечения, после первого курса химиотерапии и после второго курса химиотерапии перед оперативным лечением.
Выполняли ультразвуковое сканирование брюшной полости, малого таза, забрюшинного пространства (парааортальная область, области общих, наружных и внутренних подвздошных сосудов), надключичных и паховых областей на ультразвуковом аппарате экспертного класса Logic 9 GE с использованием трех типов датчиков (конвексного с частотой 2—4 мГц, линейного — 7—9 и 9—12 мГц, а также внутриполостного — 5—8 мГц).
Интраоперационное УЗИ проводили с использованием переносного ультразвукового прибора Viamo фирмы «Toshiba» (Япония) с помощью линейного Т-образного широкополосного датчика с частотой 5—10 мГц и микроконвексного широкополосного датчика с частотой 3,5—5 мГц.
Стерилизацию ультразвукового датчика осуществляли путем замачивания в специальном дезинфицирующем растворе, не оказывающим повреждающего влияния на силиконовые части датчика, или помещения датчика в стерильный чехол. Интраоперационное УЗИ и интерпретацию полученных данных выполнял специалист по ультразвуковой диагностике после соответствующей обработки рук и одевания стерильного операционного костюма и перчаток, которому ассистировал хирург, а настройками ультразвукового прибора, измерениями и фиксацией изображения занимался ассистент, также специалист по ультразвуковой диагностике.
Перед началом интраоперационного УЗИ врач ультразвуковой диагностики выполнял пальпацию диафрагмальной и висцеральной поверхностей печени, после чего область интереса заполнялась изотоническим раствором натрия хлорида для устранения воздушной прослойки между сканирующей поверхностью ультразвукового датчика и поверхностью печени.
Для выявления ранее не визуализируемых образований печени и уточнения точной локализации, размеров и структуры выявленных образований ультразвуковой датчик устанавливали поочередно на диафрагмальной и висцеральной поверхностях печени и проводили сканирование паренхимы печени в двух взаимно перпендикулярных плоскостях.
После исследования печени выполняли исследование зоны лимфатического коллектора ворот печени, для чего ультразвуковой датчик устанавливался по ходу печеночно-двенадцатиперстной связки.
Исследование забрюшинных лимфатических узлов в верхних отделах проводили через поджелудочную железу, которая выполняла роль естественного акустического окна, а далее проводили сканирование по ходу аорты и нижней полой вены для выявления парааортальных, межаортокавальных и паракавальных метастатически измененных лимфатических узлов.
С целью определения диагностической ценности интраоперационного УЗИ нами было проведено ретроспективное сопоставление данных дооперационного трансабдоминального исследования с данными, полученными при интраоперационном исследовании.
В случае выявления образований в печени и измененных забрюшинных лимфатических узлов (при необходимости) выполняли пункционно-аспирационную биопсию. При этом образование, эхографически подозрительное на метастатический узел, располагалось по центру сканирующей поверхности датчика и тем самым по центру монитора. При исследовании обязательно использовали методику допплерографии для выбора участков с наименьшим кровоснабжением. Эта же методика позволяла визуализировать кровеносные сосуды над узловым образованием и избежать их повреждения. После выполнения указанных моментов выполняли непосредственно пункцию.
Мы использовали одноразовые инъекционные шприцы объемом 10—20 мл и иглы длиной 38 мм и диаметром 0,8 мм. Для проведения тонкоигольной пункционно-аспирационной биопсии применяли методику пункции по методу «свободной руки», когда на ультразвуковом датчике нет специального адаптера, который задает фиксированное направление пункционной игле. Применение данной методики позволяет индивидуально подходить к выбору пункционной трассы и даже немного манипулировать иглой, когда она уже находится в образовании, и получать материал из различных его участков (веерообразно).
Все этапы проведения пункции отображаются на мониторе ультразвукового сканера, причем кончик иглы регистрируется как подвижное гиперэхогенное включение.
Время проведения интраоперационного УЗИ в среднем составило 10—15 мин, а при выполнении интраоперационной пункционно-аспирационной биопсии увеличивалось не более чем на 5—7 мин.
Результаты и обсуждение
В ходе проведенного исследования у 12 (16,3%) пациенток выявлены объемные образования в печени, не визуализируемые до оперативного вмешательства, а у 26 (35,6%) — лимфатические узлы в забрюшинном пространстве.
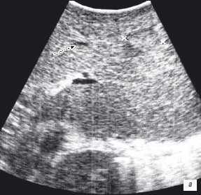
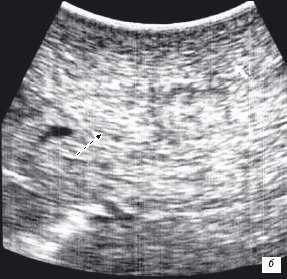
У 5 (41,7%) из 12 пациенток образования в печени имели гиперэхогенную, гомогенную структуру с четкими и ровными контурами размером от 5 до 12 мм в диаметре, которые были интерпретированы как доброкачественные образования печени — гемангиомы (табл. 2). У 4 (33,3%) пациенток образования имели анэхогенную гомогенную структуру, с четкими и ровными контурами, с гладкой внутренней выстилкой и эффектом усиления эхосигнала, размером от 3 до 11 мм в диаметре, и были интерпретированы как кисты. В 3 (25%) случаях в печени были выявлены гипоэхогенные образования солидной гетерогенной структуры с нечеткими, но ровными контурами размером от 10 мм в диаметре (рис. 1) до 22×17×15 мм в одном случае, расположенное на диафрагмальной поверхности печени, которое «самоампутировалось» в процессе исследования и при срочном гистологическом исследовании оказалось метастазом аденогенного рака (рис. 2).

Таблица 2. Распределение пациенток в зависимости от характера выявленных образований в печени при интраоперационном исследовании

Рис. 1. Эхограмма. Интраоперационное УЗИ печени (стрелкой указан метастаз рака яичника).

Рис. 2. Метастаз аденогенного рака.
В двух спорных случаях метастатический характер выявленных интраоперационно образований был подтвержден после пункционно-аспирационной биопсии и последующего срочного цитологического исследования.
При интраоперационном исследовании забрюшинного пространства у 26 (35,6%) пациенток были выявлены увеличенные лимфатические узлы размером от 6×3×3 мм до 16 мм в диаметре, из них у 5 (19,2%) по ходу общих подвздошных сосудов, а у 21 (80,8%) в парааортальной и паракавальной областях.
При выполнении пункции выявленных при эхографии забрюшинных лимфатических узлов в 100% наблюдений нам удалось получить материал для морфологической верификации процесса. По данным цитологического исследования в 34,6% (9 больных) отмечался гиперпластический процесс в лимфатическом узле, в 65,4% (17 больных) было подтверждено метастатическое поражение лимфатического узла, причем у 2 пациенток имело место и метастатическое поражение печени.
Сопоставляя данные, полученные при УЗИ в режиме серой шкалы и реальном масштабе времени до оперативного вмешательства у больных раком яичников, с данными, полученными во время интраоперационного УЗИ, следует отметить, что интраоперационное УЗИ имеет преимущества в точности определения метастатического поражения печени и лимфатических узлов забрюшинного пространства.
Результаты интраоперационного ультразвукового исследования дали дополнительную полезную информацию и позволили уточнить стадию заболевания у 23 (31,5%) пациенток (табл. 3).
Таблица 3. Распределение пациенток в зависимости от стадии заболевания после интраоперационного УЗИ
Таким образом, интраоперационное УЗИ у больных раком яичников по сравнению с предоперационным УЗИ, выполненным в режиме серой шкалы и реальном масштабе времени с целью выявления метастатичес-кого поражения печени и лимфатических узлов забрюшинного пространства, является незаменимым мето-дом в уточнении распространенности опухолевого процесса.
Выводы
1. Интраоперационное УЗИ является эффективным методом выявления метастатического поражения печени при раке яичников.
2. Интраоперационное УЗИ является эффективным методом выявления метастатического поражения лимфатических узлов забрюшинного пространства при раке яичников.
3. УЗИ эффективно в дифференциальной диагностике выявленных интраоперационно очаговых поражений печени и забрюшинного пространства.
4. С помощью интраоперационного УЗИ можно прицельно получать материал для срочного цитологического исследования.
5. Интраоперационное УЗИ не оказывает существенного влияния на продолжительность оперативного вмешательства и его следует проводить у всех больных раком яичников для уточнения распространенности опухолевого процесса.
Ультразвук и медицина

Точная и уверенная диагностика. Многофункциональная ультразвуковая система для проведения исследований с экспертной диагностической точностью.
Основные принципы метода и физические характеристики
Ультразвук - высокочастотные колебания, лежащие в диапазоне выше полосы частот, воспринимаемых человеческим ухом (более 20 000 Гц). Излученные в тело пациента, ультразвуковые колебания отражаются от исследуемых тканей, крови, а также поверхностей, таких как границы между органами, и, возвращаясь в ультразвуковой сканер, обрабатываются и измеряются после их предварительной задержки для получения фокусированного изображения. Результирующие данные поступают на экран монитора, позволяя производить оценку состояния внутренних органов. Даже несмотря на то, что ультразвук не может эффективно проникать через такие среды как воздух или другие газы, а также кости, он находит широкое применение при исследовании мягких тканей. Использование ультразвуковых гелей и других жидкостей одновременно с улучшением характеристик датчиков, увеличивает области применения ультразвуковых сканеров для различных медицинских обследований.
Скорость ультразвуковых волн в мягких тканях тела человека в среднем составляет 1,540 м/сек и практически не зависит от частоты. Датчик является одним из основных компонентов диагностических систем, который конвертирует электрические сигналы в ультразвуковые колебания и производит электрические сигналы, получая отраженное эхо от внутренних тканей пациента. Идеальный датчик должен быть эффективен как излучатель и чувствителен как приемник, иметь хорошие характеристики излучаемых им импульсов со строго определенными показателями, а также принимать широкий диапазон частот, отраженных от исследуемых тканей.
В электронных датчиках ультразвуковые колебания возбуждаются благодаря подаче высоковольтных импульсов на пьезо-кристалы, из которых состоит датчик (пьезоэлектрический эффект был открыт Пьером и Марией Кьюри в 1880 году). Количество раз, сколько кристалл вибрирует за секунду, определяет частоту датчика. С увеличением частоты уменьшается длина волны генерируемых колебаний, что отражается на улучшении разрешения, однако, поглощение ультразвуковых колебаний тканями тела пропорционально возрастанию частоты, что влечет за собой уменьшение глубины проникновения. Поэтому датчики с высокой частотой колебаний обеспечивают лучшее разрешение изображения при исследовании не глубоко расположенных тканей, так же как низкочастотные датчики позволяют обследовать более глубоко расположенные органы, уступая высокочастотным качеством изображения. Это разногласие является основным определяющим фактором при использовании датчиков.
В ежедневной клинической практике применяются различные конструкции датчиков, представляющие собой диски с одним элементом, а также объединяющие несколько элементов, расположенных по окружности или вдоль длины датчика, производящие различные форматы изображения, которые необходимы или предпочтительны при проведении диагностики различных органов.
Опыт использования интраоперационной ультразвуковой компьютерной томографии в уточняющей диагностике злокачественных новообразований печени
ГУ РОНЦ им. Н.Н. Блохина РАМН,
отделение хирургии опухолей печени и поджелудочной железы,
отделение ультразвуковой диагностики,
Москва, Россия.

УЗИ сканер HS60
Профессиональные диагностические инструменты. Оценка эластичности тканей, расширенные возможности 3D/4D/5D сканирования, классификатор BI-RADS, опции для экспертных кардиологических исследований.
Сокращения в тексте: УЗТ - ультразвуковая томография, АГ - ангиография, МРТ - магнитно-резонансная томография, РКТ - рентгеновская компьютерная томография.
Введение
Нельзя не отметить, что в последнее время ультразвуковая компьютерная томография находит все более широко применение в диагностике злокачественных новообразований печени. Использование современных технологий получения ультразвукового изображения позволяют не только выявить заболевание, но и оценить степень распространенности процесса. Особенности диагностики и лечения очаговых поражений печени связаны с тем, что в группе злокачественных заболеваний метастатическое поражение стоит на первом месте, отличается разнообразием ультразвуковой картины, а одним из основных методов лечения солидных метастазов в печень является хирургический. Таким образом, в настоящее время сохраняется необходимость в улучшении точности выявления очаговых поражений печени. В последние годы широкое распространение получает интраоперационная ультразвуковая томография, причем одна из наиболее часто используемых областей применения интраоперационного ультразвука - хирургия печени. Первый опыт использования ультразвука во время операции относится к 60-м годам [13]. Однако широкое применение интраоперационная ультразвуковая компьютерная томография получила в 80-х годах, когда были созданы специализированные датчики, для применения в условиях операционной, работающие в режиме реального времени [3,8,11,12,22]. Применение специализированных ультразвуковых микродатчиков позволяют проводить ультразвуковую ревизию практически любого органа. Одно из основных направлений - оценка состояния паренхимы печени, ее сосудистых структур и желчных протоков, что делает интраоперационную ультразвуковую томографию необходимым при хирургическом лечении злокачественных новообразований, когда требуется уточнение выявленных в дооперационном периоде очаговых поражений.
В хирургическом отделении опухолей печени и поджелудочной железы РОНЦ им. Н.Н.Блохина РАМН интраоперационная ультразвуковая томография применяется с 1999 года. Необходимым условием для выбора аппаратуры используемой в операционной является возможность стерилизации датчиков, а так же обработка консоли аппарата дезинфицирующими растворами. Широкий спектр интраоперационных датчиков различной конфигурации, с изменяемыми частотными характеристиками позволяют проводить детальную ультразвуковую ревизию печени. Как правило, исследование выполняет оперирующий хирург, а врач ультразвуковой диагностики только интерпретирует полученные результаты и выбирает оптимальный режим работы ультразвукового аппарата.
Основными задачами интраоперационного УЗИ являются
- Уточнение количества и локализации очагов в паренхиме, так как это необходимо для исключения билобарного поражения при выполнении анатомических резекций.
- Определение границ опухолевого образования.
- Определение состояния сосудистой системы печени и соотношение сосудов с опухолевым узлом.
- Уточнение локализации опухолевого образования в паренхиме печени при отсутствии пальпаторных данных.
- Выявление дополнительных очагов, не определявшихся на дооперационном этапе при использовании стандартного комплекса диагностических мероприятий вследствие их малых размеров или изоэхогенной структуры.
- Дифференциальная диагностика злокачественных и доброкачественных новообразований (гемангиомы, кисты и т.д.)
- Обеспечение навигации при выполнении интраоперационной радиочастотной термоаблации метастазов.
- Выполнение прицельной пункционной биопсии для срочного морфологического исследования при отсутствии точных данных о природе выявленного очага.
Материалы и методы
Материалом для работы послужил анализ обследования 75 пациентов, которым планировалось проведение комбинированного лечения по поводу злокачественных новообразований.
Нозологические формы поражения у больных, которым проводилось комбинированное лечение, представлены в таблице N1.
| Первичная опухоль | Число больных | % |
|---|---|---|
| Толстая кишка | 47 | 62,6 |
| Гепатоцеллюлярный рак | 6 | 8,2 |
| Почка | 7 | 9,7 |
| Желудок | 5 | 6,5 |
| Яичник | 2 | 2,6 |
| Надпочечник | 2 | 2,6 |
| Лимфосаркома | 2 | 2,6 |
| Матка | 2 | 2,6 |
| Меланома | 2 | 2,6 |
| Всего | 75 | 100 |
Стандартный план предоперационного обследования, проводившийся всем 75 больным, включает в себя все методы визуализации (УЗТ, РКТ, МРТ, АГ). При проведении дооперационного УЗ исследования использовались стандартные критерии в оценке новообразований печени.
Известно, что интерпретация данных УЗТ связана с определенными трудностями [10]. Достоверность полученных данных зависит от качества используемой аппаратуры, квалификации специалиста и индивидуальных особенностей пациента. Ложноотрицательные результаты УЗТ могут быть обусловлены малыми размерами очагов, их краевым расположением, изоэхогенной структурой и наличием дистрофических изменений в паренхиме печени. Методики интраоперационной УЗТ предполагает использование высокочастотных датчиков и их непосредственный контакт с исследуемым органом, что дает возможность значительно улучшить качество изображения и избежать ошибок.
Клинический пример N1. Пациент М. находился на лечении в ГУРОНЦ РАМН, с диагнозом: рак сигмовидной кишки. При проведении дооперационного обследования была выполнена компьютерная томография, и дано заключение о наличие метастатического поражения печени. Однако при ультразвуковом исследовании осмотр печени был затруднен, вследствие перекрытия печени петлями кишки и выраженного метеоризма. При интраоперационной ультразвуковой ревизии подтвердилось метастатическое поражение обеих долей печени.
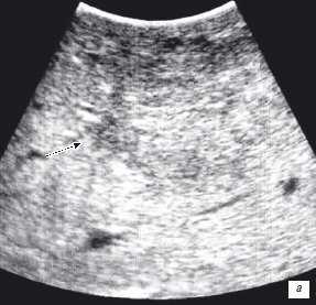
Клинический пример N2. Пациентка Р. находилась на лечении в ГУРОНЦ РАМН. При прохождении обследования был установлен диагноз рак толстой кишки. По данным ультразвуковой компьютерной томографии на фоне выраженной диффузной неоднородности паренхимы печени очаговые образования не определялись. При проведении ангиографии и компьютерной томографии так же убедительных данных за наличие метастазов в печень получено не было. При интраоперационном ультразвуковом исследовании были выявлены два очага, характерными особенностями которых являлись малые размеры (0,2 - 0,4 см), а так же нечеткость контуров и изоэхогенность структуры (рис. 1 а,б).


Рис. 1. Метастатические очаги (стрелки) в печени при интраоперационной ультразвуковой томографии.
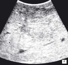
Особенностью проведения интраоперационного ультразвукового исследования у пациентов с первичным поражением печени является то, что гепатоцеллюлярный рак часто развивается на фоне цирроза печени. Следовательно, если опухоль локализуется в толще паренхимы, а так же имеет не большие размеры, пальпаторно определить ее границы крайне затруднительно. Таким образом, задачи установленные перед интраоперационной ультразвуковой томографией были несколько иными, а именно: определение границ опухоли, разметка зоны резекции, определение связи с магистральными сосудами (рис. 2 а,б).


Рис. 2. Метастатические очаги (стрелки) в печени на фоне цирроза.
Клинический пример N3. Пациент Ш. находился на лечении в ГУ РОНЦ РАМН с диагнозом гепатоцеллюлярный рак. При проведении стандартного ультразвукового исследования в правой доле печени было выявлено образование, занимающее практически всю правую долю, с четкими, неровными контурами. На операции пальпаторно определить границу опухоли и неизмененной ткани не представлялось возможным. При проведении интраоперационного ультразвукового исследования была обозначена граница опухолевого образования и неизмененной паренхимы и соотношение этого образования с сосудами печени.
Результаты
Таким образом, при проведении дооперационного ультразвукового исследования у всех пациентов, которым планировалось хирургическое лечение, было заподозрено или точно установлено очаговое поражение печени. Результаты дооперационного ультразвукового исследования представлены в таблице N2.
| Нозологическая форма | Число больных | % |
|---|---|---|
| Метастатическое поражение | 59 | 78,6 |
| Гепатоцеллюлярный рак | 5 | 6,6 |
| Гемангиома | 6 | 8 |
| Недифференцируемое объемное образование | 3 | 4 |
| Норма | 2 | 2,8 |
| Всего | 75 | 100 |
У большинства больных в процессе операции потребовалось уточнение размеров, локализации, количества очагов и определение соотношения опухоли с сосудистыми структурами печени, а также детальное определение границ резекции опухоли в тех случаях, когда пальпаторно опухолевое образование не определялось.
Из всех пациентов, которым проводилось интраоперационное ультразвуковое исследование печени, у 6 (8.3%) были выявлены ранее не определяемые метастазы, которые в дооперационном периоде не были выявлены ни одним из диагностических методов.
У 10(13.8%) пациентов были выявлены дополнительные очаги, причем количество вновь обнаруженных новообразований колебалось от 1 до 3, а размеры выявленных в ходе операции метастазов были не более 0.2-0.4 см. в двух случаях обнаружение новых очагов в другой доле печени приводило к изменению объема оперативного вмешательства.
В 59(78,6%) случаях результаты дооперационных и интраоперационных находок полностью совпали.
Основной задачей поставленной перед нами при проведении настоящего исследования, проведенном на базе ГУ РОНЦ им. Н.Н. Блохина РАМН, было определение значимости интраоперационного ультразвукового метода исследования при хирургическом лечении пациентов с опухолевыми поражениями печени различной этиологии.
В ряде случаев информация, полученная при проведении любого из методов исследования в дооперационном периоде, не может быть абсолютно достоверной и требует уточнения в операционной. Известно, что при диаметре опухолевых образований печени от 1 до 3 см, около 30-50% очагов остается не выявленными в дооперационном периоде [4,16,17]. Методом позволяющим решить эту проблему, является интраоперационное ультразвуковое исследование [4,5,7,9,10].
Интраоперационное ультразвуковое исследование печени имеет ряд неоспоримых преимуществ в выявлении опухолевых поражений печени, в тех случаях, когда они располагаются глубоко и не доступны для пальпации и осмотра хирурга [14,15].
По нашим данным, у 16 из 75 пациентов (21.3%) при проведении интраоперационного УЗИ были обнаружены дополнительные метастазы, у 6 (8%) имело место расхождение результатов дооперационных находок с результатами, полученными при проведении интраоперационного УЗИ. У 10 (13.3%) пациентов были выявлены дополнительные очаги, причем у 2 (2.6%) было выявлено билобарное поражение печени, а это не могло не повлиять на дальнейшую тактику лечения. У 59 (78.6%) больных дооперационных обследований полностью подтвердились. А у 5 (6.6%) пациентов с диагнозом гепатоцеллюлярного рака была проведена разметка границ опухоли и неизмененной паренхимы печени.
Выявление дополнительных, ранее не определяемых опухолевых поражений печени и уточнение их взаимоотношение с сосудами печени имеет существенное значение в выборе хирургической тактики [18,19,21]. На существенную роль интраоперационного УЗИ в уточнении обширности опухолевого поражения, вовлечения в патологический процесс других органов брюшной полости, крупных сосудов и лимфатических узлов указывает Parker et al.
Одним из факторов влияющим на выживаемость является расстояние от опухоли до места резекции [1], применение интраоперационного ультразвукового исследования дает возможность более четко определить границы опухолевого узла и неизмененной паренхимы печени.
Проведенные нами исследования показали, что применение интраоперационного ультразвукового исследования, в ряде случаев, является более точным методом диагностики очаговых образований печени, а именно: дает возможность четко определить локализацию очагов, размеры и структуру патологических образований, что в ряде случаев может изменить ход операции, сократить время проведения операции и как следствие уменьшить риск послеоперационных осложнений.
Таким образом, анализ полученных результатов позволяет считать интраоперационное ультразвуковое исследование обязательным и необходимым методом уточняющей диагностики у пациентов, которым планируется проведение хирургического лечения опухолевого поражения печени. Так же данный метод можно рекомендовать как дополнительный тем пациентам, у которых существует риск не выявленных поражений печени в дооперационном периоде.
Литература
Интраоперационное ультразвуковое исследование, история и практические аспекты

Автор: Ветшева Н.Н. - д.м.н., заведующая отделением ультразвуковой диагностики ГБУЗ МО «Московский областной научно-исследовательский клинический институт им. М.Ф. Владимирского» (Московская область, РФ), главный научный сотрудник ГБУЗ «Научно-практический клинический центр диагностики и телемедицины Департамента Здравоохранения города Москвы» (Москва, РФ).
Ультразвуковое исследование является самым часто используемым неинвазивным методом диагностики, которое позволяет получить наиболее полную информацию о состоянии органов непосредственно во время операции.
Впервые ультразвуковое исследование в условиях операционной было проведено уже в 50-е гг. прошлого столетия [1]. Начали использовать простой А-режим для поиска конкрементов в желчных протоках и почках [2, 3]. Появление двухмерного серошкального В-режима позволило в 70-х гг. расширить границы применения метода и использовать интраоперационное ультразвуковое исследование (ИОУЗИ) для поиска очаговых образований печени и головного мозга [4,5]. С 80-х гг., благодаря усовершенствованию аппаратуры и внедрению в общую клиническую практику режима цветового допплеровского картирования (ЦДК) методику стали активно применять в эндокринной хирургии, панкреатологии, ангио- и кардиохирургии 6. Развитие технического прогресса открыло новые возможности для модернизации оборудования, появились специализированные лапароскопические датчики для ИОУЗИ [10] .
В XXI веке ультразвуковой метод уже стал рутинным и используется в качестве повседневного исследования во всех сферах хирургии. Однако, не смотря на доказанную эффективность и простоту применения, ИОУЗИ рутинно в нашей стране проводят далеко не во всех хирургических стационарах. Целью данного обзора является аккумуляция опыта проведения интраоперационного ультразвукового исследования в иностранной и отечественной литературе с целью популяризации методики и активного его внедрения в ежедневную практику.
Оборудования для проведения ИОУЗИ
Ещё 20-25 лет назад ИОУЗИ выполняли только на стационарных массивных сканерах. В настоящее время появились специальные портативные ультразвуковые приборы, обладающие основными характеристиками для удобства их использования в условиях операционной: компактность, мобильность, возможность работы во всех режимах (В-режим, ЦДК,ЭДК, спектральный анализ кровотока).
Но основное внимание стоит уделять именно выбору датчиков для проведения ИОУЗИ. В зависимости от конкретных задач исследования выбирается форма и площадь рабочей поверхности. Основные формы интраоперационных датчиков, которые используют при открытой хирургии: L-образные, T-образные и I-образные. Чем они отличаются? Возьмем L-образный датчик в виде клюшки, им удобно исследовать открытые поверхности, например, поджелудочную железу, ткани легкого, но осмотреть поддиафрагмальные поверхности печени на предмет наличия метастатического поражения будет затруднительно. Для этих целей удобнее использовать T- или I-образные датчики.

Слева направо: L-образный, T-образный и I-образный датчик
При этом сама сканирующая поверхность может быть как линейной (ровной), так и конвексной (выпуклой над основной поверхностью). Какая удобнее? Безусловно, конвексные датчики при равных формах и размерах сканирующих поверхностей дают больший угол обзора, чем линейные, что значительно сокращает время осмотра.
Не менее важной характеристикой является возможность дезинфекции и обработки датчиков. Для соблюдения правил стерилизации в условия операционной датчики для ИОУЗИ должны иметь возможность стерилизовать полностью. Наиболее распространенный способ - полное погружение датчиков в дезинфицирующий раствор с последующей стерилизацией. Также допускается выполнение исследований нестерильным датчиком, помещенным либо в специальный стерильный пластиковый пакет, либо в стерильную перчатку и чехол.
Методика выполнения ИОУЗИ
Кто же проводит ИОУЗИ? Исследование может выполнять врач ультразвуковой диагностики, который хорошо ориентируется в ультразвуковой анатомии и владеет нюансами осмотра, тогда можно получить детальную оценку области интереса за меньшее время, но оперирующему хирургу нужно будет объяснить, где и как расположены выявленные изменения. Или датчик может держать сам хирург, а врач ультразвуковой диагностики интерпретировать полученные изображения. При работе в таком тандеме появляется возможность сравнивать тактильные и визуальные ощущения хирурга с результатами инструментального исследования, что, безусловно, улучшает качество ориентации в зоне операции. Многие авторы подчеркивают необходимость интерпретации ИОУЗИ именно опытным специалистом [11].
Сложности в выведении на экран интересующих объектов легко нивелируются путем обучения оперирующих хирургов методике ИОУЗИ, включающими основные принципы - последовательность, полипозиционность и методичность осмотра. Задача врача ультразвуковой диагностики не только полноценно использовать режимы настройки и функциональные возможности прибора, но и объяснить как, куда, под каким углом поставить датчик, а так же в какую сторону, с какой скоростью его перемещать, процедура должна проводиться опытным оператором.
Примеры клинического применения ИОУЗИ в различных сферах хирургии
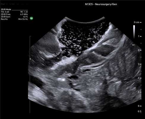
Нейрохирургия
Основная цель хирургического лечения злокачественных опухолей головного мозга - радикальная резекция опухоли при сохранении окружающей функциональной ткани мозга, что напрямую связано с увеличением продолжительности и улучшением качества жизни пациента [12]. Рамочные и безрамочные стереотаксические предоперационные нейронавигационные системы, обычно используются, чтобы помочь хирургам спланировать место краниотомии и идентифицировать критические нервные структуры. К сожалению, эти системы имеют проблемы, связанные с потерей точности в результате искажения, сдвига и деформации после краниотомии и удаления ткани опухоли [13]. В последнее время разработаны новые методы, включая интраоперационную диагностическую визуализацию (Intra-Operative Magnetic resonans) дороги и доступны не во всех нейрохирургический центр. Поэтому большое внимание уделяется возможностям интраоперационного использования УЗИ.

Головной мозг после резекции глиомы. Сканирование нейрохирургическим датчиком 8862
ИОУЗИ помогает локализовать опухоль, определить ее границы, а также провести осмотр зоны после удаления на предмет наличия остаточной опухолевой ткани и оценки радикальности выполненного вмешательства [14,15]. Его основными ограничениями являются пространственное разрешение, ширина и ориентация поля зрения (разные от стандартных ортогональных плоскостей КТ и МРТ) и качества сканирования, которые зависят от оператора.

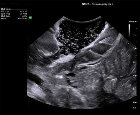
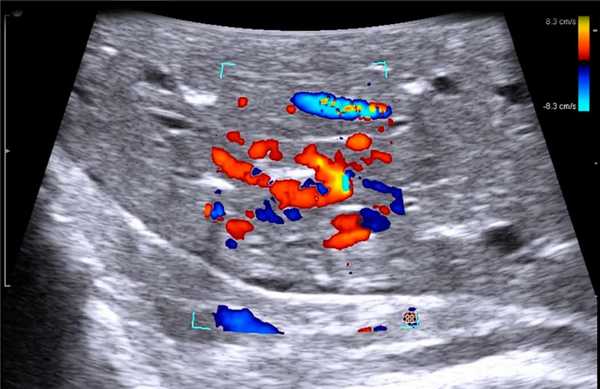
Гемангиома серпа головного мозга. Сканирование нейрохирургическим датчиком 8862
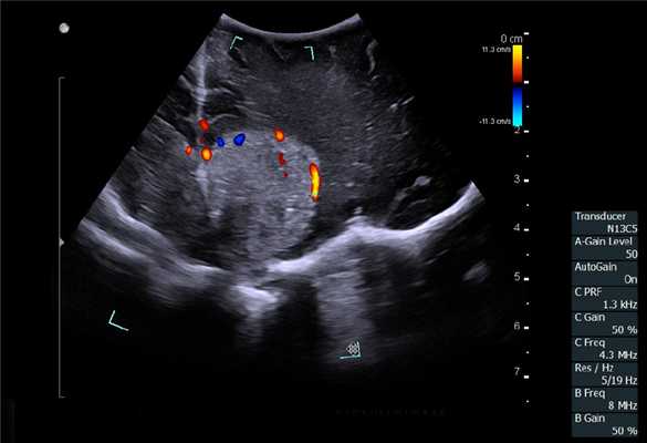
Отечественные и зарубежные авторы доказали высокий уровень корреляции между данными, полученными при интраоперационном УЗИ и послеоперационной МРТ с контрастным усилением при обнаружении остаточной опухолевой ткани [16,17]. При этом применение режимов допплерографии, а также контрастного усиления значимо повышают информативность исследования. Цветовое допплеровское картирование при сосудистых аномалия позволяет не только локализовать аневризму, но и вместе со спектральной допплерографией провести оценку гемодинамических показателей, например, после клипирования аневризмы.

Метастаз, граничащий со спинным мозгом. Сканирование интраоперационным датчиком 8809
Торакальная хирургия
Но может ли быть полезно и информативно ИОУЗИ при операциях на легких, особенно торакоскопических? Да, и есть несколько вариантов применения методики.
Если задача торакоскопического ИОУЗИ легкого найти небольшое периферическое образование, расположенное на глубине 1-2 мм от париетальной плевры, чтобы минимизировать объем операции, достаточно осмотреть поверхность легкого в зоне интереса, которая до операции обозначена на КТ. Изображение солидных образований на фоне воздушной легочной ткани имеет свои особенности практически анэхогенные чаще аваскулярные.

Спавшееся лёгкое. Сканирование лапароскопическим датчиком 8666
Легочный коллапс является важным фактором локализации образований, которые располагаются в центральных отделах легких, низкое давление и низкий поток CO2 в грудную клетку является безопасным способом вызвать коллапс легкого [18]. Во многих исследованиях приведены информативность ИОУЗИ в поисках образований легкого, которая по мнению разных авторов находится в пределах 93-97% [19]. По результатам, время интраоперационной ультразвуковой локализации было значительно короче, чем при пальпации (7,09 1,80 минут 9,67 2,62 минут: P <0,05). Также подчеркивается необходимость участия в интерпретации результатов ИОУЗИ опытно специалиста по ультразвуковой диагностики.
Отечественными авторами предлагается для детальной оценки, в случаях глубокого расположения патологического очага или его локализации вблизи легочной артерии, легочной вены, их крупных ветвей, бронхов крупного калибра пациента переводить на искусственную вентиляцию одного легкого, исследуемое легкое при этом выключалось из дыхания, коллабировалось и проводилось УЗИ-исследование. Перед началом исследования в один из торакопортов наливали теплый стандартный, стерильный физиологический раствор (NaCL) в количестве 800-1200 мл до полного покрытия поверхности исследуемого легкого жидкостью шириной 3-5 мм для улучшения контакта датчика с поверхностью органа [20].
Абдомиальная хирургия
Среди всех интраоперационных исследований основная доля приходится на ИОУЗИ печени. Главная задача - это выявление мелких непальпируемых вторичных образований до 1,0 см, которые трудно диагностируются на дооперационном этапе. Следует обращать внимание на любые изменения структуры и эхогенности паренхимы печени, т.к. картина метастатического поражения полиморфна и разнообразна в зависимости от первичного очага. Наиболее часто небольшие метастазы представляют собой гипо- или изоэхогенные округлые структуры, окруженные гипоэхогенных ободком, аваскулярные в режиме ЦДК. При осмотре крупных очагов оценивают их границы и взаимоотношение с крупными сосудистыми структурами [21]. Оценка границ поражения наиболее актуальна при операциях по поводу алвеококкоза, когда вероятность послеоперационного рецидива обратно пропорциональная радикальности выполненного вмешательства.

Метастаз печени. Сканирование интраоперационным датчиком 8816
В панкреатологии ИОУЗИ применяют как при доброкачественных процессах, например, при хронических панкреатитах для локализации главного панкреатического протока, выявления вирсунголитиаза, поиска псевдокист в паренхиме поджелудочной железы и стенке двенадцатиперстной кишки, недоступных визуальному осмотру, так и при злокачественном поражении. Наиболее сложным является оценка измененной ткани головки поджелудочной железы с целью дифференциальной диагностики псевдотуморозного панкреатита и рака.

Опухоль поджелудочной железы. Сканирование интраоперационным датчиком 8824

Расширенный панкреатический проток. Сканирование интраоперационным датчиком 8824
При злокачественных поражениях поджелудочной железы по данным ИОУЗИ проводят окончательную оценку резектабельности и операбельности образований [22]. Взаимоотношение опухоли с окружающими сосудистыми структурами выполняют в продольной и поперечной плоскости сканирования относительно оси сосуда. В первом случае оценивают протяженность контакта и измеряют спектральные характеристики кровотока, во втором - проходимость просвета сосуда и площадь контакта образования с окружностью. По последнему критерию разделяют резектабельные опухоли, когда площадь контакта составляет менее 25% (90º) окружности, условно-резектабельные - опухоль охватывает 25-75% (90º-270º) окружности, нерезектабельные циркулярное вовлечение сосуда более 75% (270º) окружности [23].
ИОУЗИ нейроэндокринных опухолей поджелудочной железы после пальпации является «золотым стандартом» в хирургии данного вида образований [24]. Если при ультразвуковом исследовании не удается четко выявить наличие гипоэхогенной гиперваскулярной опухоли с четкими контурами, которая интенсивно копит контраст в раннюю артериальную фазу, то можно высказать предположение о наличии незидиобластоза [25].
Ультразвуковое исследование селезенки проводят наиболее часто при паразитарных поражениях других органов для исключения наличия мелких эхиноккоковых кист, во время операций с перевязкой селезеночных сосудов, для оценки кровоснабжения паренхимы [26].
Важным моментом является интраоперационный осмотр зон лимфоотока. Лимфатические узлы брюшной полости могут претерпеть изменения как при воспалительных заболеваниях, так и при метастатическом поражении [27,28]. Интраоперационное исследование лимфатических узлов с целью дифференциальной диагностики изменений в узлах проводят во всех областях хирургии [29]. ИОУЗИ позволяет с высокой достоверностью говорить о наличие лимфаденопатии, однако четко определить характер поражения по данным ультразвукового исследования не всегда возможно.

Лимфатические узлы. Сканирование интраоперационным датчиком 8815
Урология
Органосохраняющие операции при образованиях почек должны сочетать в себе минимальный объем для сохранения функции почек и онкологические принципы лечения. Для определения объема вмешательства во всем мире активно используют ИУОЗИ не только при открытых и лапараскопических, но и роботических операциях [30, 31]. Оценивают не только объем поражения ткани почки, но и распространение на почечные сосуды, а также нижнюю полую вену [32].

Опухоль почки. Сканирование интраоперационным роботическим датчиком 8826
Методы локальной деструкции под ИОУЗ-навигацией
Ультразвуковой метод может быть использован в качестве навигации для диагностических пункций, биопсий, а также проведения локальной деструкции. В задачи ИУОЗИ входят локализация очага, определение взаимоотношения образования с окружающими тканями и крупными сосудами, а также определение наименее травматичный доступ к зоне интереса. Проводить пункцию образований можно методом «свободной» руки, который позволяет выбирать больше вариантов постановки датчика, есть возможность изменения траектории движения иглы и полипозиционной оценки. Для глубокорасположенных небольших образований лучше использовать специальные направляющие насадки для игл.
В качестве методов локальной деструкции наиболее широко применяется радиочастотная абляция и микроволновая абляция объемных образований, выполняемая под ультразвуковым контролем, как на этапе позиционирования иглы, так и в ходе выполнения термообработки за оценкой происходящих изменений. Наиболее затруднительным аспектом при оценке ультразвуковой картины в динамике и последующей трактовки наличия резидуальных фрагментов является «газовое облако», представленное пузырьками воздуха, появляющимися в процессе нагревания.

Лапароскопическая абляция опухоли под контролем УЗИ
Метод локальной криодеструкции в последние годы стал активно применяться, особенно в нейрохирургии. Непосредственно на ткань опухоли устанавливается аппликатор или в опухоль вводится криозонд, происходит охлаждение до -180ºС на протяжении 3-5 минут. За это время при УЗИ видим формирование так называемого «ice ball», гиперэхогенная округлая структура с четким наружным контуром, дающая широкую акустическую тень. В период оттаивания наружный контур «ice ball» становиться неровным, зазубренным, приобретает вид «талого снега». Методика криодеструкции отличается тем, что не воздействует на сосудистые структуры, что подтверждается при ЦДК.
Заключение
Интраоперационное ультразвуковое исследование используется в качестве навигации и уточнения локализации объектов, для поиска непальпируемых очагов, оценки распространенности опухолевого процесса, проведения постоянного контроля за манипуляциями, уточнения радикальности выполненной операции и проходимость сосудистых реконструкций. Использование специализированной аппаратуры упрощает, повышает эффективность и сокращает время проведения исследования. При этом тандем хирурга и врача ультразвуковой диагностики помогает в минимально короткое время провести полноценное исследование и ответить на все возникающие в ходе операции вопросы.



ИОУЗИ помогает локализовать опухоль, определить ее границы, а также провести осмотр зоны после удаления на предмет наличия остаточной опухолевой ткани и оценки радикальности выполненного вмешательства [14,15]. Его основными ограничениями являются пространственное разрешение, ширина и ориентация поля зрения (разные от стандартных ортогональных плоскостей КТ и МРТ) и качества сканирования, которые зависят от оператора.

Отечественные и зарубежные авторы доказали высокий уровень корреляции между данными, полученными при интраоперационном УЗИ и послеоперационной МРТ с контрастным усилением при обнаружении остаточной опухолевой ткани [16,17]. При этом применение режимов допплерографии, а также контрастного усиления значимо повышают информативность исследования. Цветовое допплеровское картирование при сосудистых аномалия позволяет не только локализовать аневризму, но и вместе со спектральной допплерографией провести оценку гемодинамических показателей, например, после клипирования аневризмы.


Легочный коллапс является важным фактором локализации образований, которые располагаются в центральных отделах легких, низкое давление и низкий поток CO2 в грудную клетку является безопасным способом вызвать коллапс легкого [18]. Во многих исследованиях приведены информативность ИОУЗИ в поисках образований легкого, которая по мнению разных авторов находится в пределах 93-97% [19]. По результатам, время интраоперационной ультразвуковой локализации было значительно короче, чем при пальпации (7,09 1,80 минут 9,67 2,62 минут: P <0,05). Также подчеркивается необходимость участия в интерпретации результатов ИОУЗИ опытно специалиста по ультразвуковой диагностики.

В панкреатологии ИОУЗИ применяют как при доброкачественных процессах, например, при хронических панкреатитах для локализации главного панкреатического протока, выявления вирсунголитиаза, поиска псевдокист в паренхиме поджелудочной железы и стенке двенадцатиперстной кишки, недоступных визуальному осмотру, так и при злокачественном поражении. Наиболее сложным является оценка измененной ткани головки поджелудочной железы с целью дифференциальной диагностики псевдотуморозного панкреатита и рака.


При злокачественных поражениях поджелудочной железы по данным ИОУЗИ проводят окончательную оценку резектабельности и операбельности образований [22]. Взаимоотношение опухоли с окружающими сосудистыми структурами выполняют в продольной и поперечной плоскости сканирования относительно оси сосуда. В первом случае оценивают протяженность контакта и измеряют спектральные характеристики кровотока, во втором - проходимость просвета сосуда и площадь контакта образования с окружностью. По последнему критерию разделяют резектабельные опухоли, когда площадь контакта составляет менее 25% (90º) окружности, условно-резектабельные - опухоль охватывает 25-75% (90º-270º) окружности, нерезектабельные циркулярное вовлечение сосуда более 75% (270º) окружности [23].


Читайте также:
- Слои лопаточно-трапециевидного треугольника. Артерии в области лопаточно-трапециевидного треугольника. Нервы в области лопаточно-трапециевидного треугольника.
- Факторы риска операции при аневризме сосудов головного мозга. Осложнения
- Показания и противопоказания для операции при раке височной кости
- Лечение остановки дыхания во сне (синдрома обструктивного апноэ во сне, СОАС)
- Развитие сельского хозяйства. Направления развития гигиены труда
