Сочетанные повреждения живота. Виды сочетанных повреждений.
Добавил пользователь Евгений Кузнецов Обновлено: 31.10.2025
Сочетанные травмы - это травмы, которые выявлены в разных частях тела человека, после одного повреждающего фактора.
Общие сведенья
До сих пор нет единого определяющего термина, что представляет собой термин, именуемый как сочетанная травма. Ниже приведены пояснения, которые можно встретить чаще всего:
- Нарушения нормального функционала, отличающихся биологических механизмов и их связей, а так же травмы органов различной локации, к примеру, переломы и черепно-мозговая травма, либо же сочетание переломов с повреждением органов желудочно-кишечного тракта.
- Синхронное (то есть в одно время) повреждение из-за механического воздействия на две и более анатомические зоны. Так же, приверженцы данного определения обращают внимание на то, что при сочетанной травме, как правило, задет пояс верхних и нижних конечностей.
- И последнее наиболее распространенное пояснение данного вида травмы, говорит о том, что травма может быть вызвана не только после механического воздействия на тело человека.
Сочетанные травмы имеют несколько подвидов, а именно: грудного отдела, черепа и всех составляющих, живота (органов пищеварительного тракта), опорно-двигательного аппарата (позвоночника, ног, таза и рук).
Комбинированная травма представляет собой нарушения целостности мягких или твердых тканей, суставов или иных частей тела , которые возникли в одно время и были вызваны двумя и более, отличающимися провоцирующими факторами.
Медики из других стран предлагают приравнять сочетанные и комбинированные травмы, при этом отечественные медики настаивают на их разделении, потому как комбинированный тип, все же, человек получает в результате воздействия на организм нескольких факторов, а именно механического и (или) патологического характера.
В свою очередь, множественная травма- это когда повреждения приходятся на два и более внутренних органа в одной части тела.
Так как сочетанные травмы, по определению, это несколько травм в разных частях тела, соответственно, множественные травмы зачастую их сопровождают.
Отличительная черта повреждений такого типа в том, что возможно развитие синдрома обоюдного отягощения. Общая клиническая картина крайне отрицательна, сама патологическая ситуация является результатом комбинации повреждений, каждое из которых является тяжелым.
Группы травм
Существует относительная классификация, в зависимости от сочетаний травм и их локации:
- первая - сочетанная травма черепа и головы в целом (отеки мозга, переломы челюсти и ушей);
- вторая - спины (нарушение целостности позвоночника, спинного мозга, крестца);
- третья - грудная (ушибы сердца, перелом ребер, частичный отказ органов дыхания);
- четвертая - живота (надрывы или разрывы органов желудочно-кишечного тракта, внутренние кровотечения, дисфункция почек и печени);
- пятая - фаланг и всех конечностей (множественные переломы рук, ног, вывихи плечевого сустава, разрыв сосудов и артерий, чрезвертельный перелом бедра);
- шестая - объединение повреждений первой и второй группы, или каких-либо других;
- седьмая — не имеющая основного повреждения, общие нарушения целостности кожных покровов или костей в разных участках тела.
Причины возникновения
Случаи, в которых наиболее вероятно получить сочетаемые травмы:
Симптоматические проявления
- Отклонения травматического типа. Подобное нарушение называют еще истощением, поэтому огромное влияние имеют такие факторы, как состояние здоровья и возраст. Но все же, если нарушены какие- либо жизненно важные органы, не исключен летальный исход.
- Болевой шок или микрокома.
- Патологические перемены. Могут быть локально расположены или же нести общий характер, на что влияет вид травмы, и общее состояние организма.
- Слишком большая потеря крови.
- Нарушения в дыхательной системе.
- Психологические расстройства на фоне тяжелых повреждения.
- Симптомы интоксикации — как правило, у пострадавших нарушен метаболизм, из-за повреждения тканей начинается их распад, а это приводит к тому, что организм человека уже не может бороться с токсинами.
Диагностика
В случае длительной диагностики, являющейся затруднительной иногда выясняется, что присутствует частичная или полная дисфункция внутренних органов, что несет за собой сложное лечение, а впоследствии ведет к инвалидности и смерти. Подобные результаты являются яркими показателями, характерными для тяжелой сочетанной травмы. Поэтому, при тяжелой форме подобных травм медики оказывают помощь пострадавшим на месте происшествия, во время транспортировки и, непосредственно, уже в стационаре. Врач, в свою же очередь, при постановке тяжелой формы, обязан в короткие сроки решать вопросы, которые могут спасти жизнь.
Аппаратное исследование включает:
- общий анализ крови;
- биохимический анализ;
- мочи и кала.
Первая помощь
Все зависит от локализации травмы и ее тяжести. Правила иммобилизации стоит рассматривать для каждого участка конкретно. Основные правила - зафиксировать поврежденную зону таким образом, чтобы она не поддавалась смещению при транспортировке. При внешних кровотечениях необходимо наложить жгут (если кровь пульсирует и светлая) или тугую марлевую повязку (если темная и густая). Антибактериальное действие окажет перекись водорода или йод (только по контуру).
Кроме того, следует дать пациенту сильное обезболивающее, при условии нахождения его в сознании. Бессознательное состояние является поводом для проверки пульса и дыхания. Выполните массаж сердца и искусственное дыхание, если потребуется.
Лечение
Результат зависит от квалификации специалистов и того, насколько быстро лечение было начато. Решающим фактором также является скорость оказания доврачебной помощи и особенности иммунной системы. Оперативное вмешательство включает репозицию, сшивание мягких тканей, остановку внутреннего кровотечения и подобное.
Реабилитация может затягиваться на долгие годы, инвалидность при этом встречается в 60% случаев. Немаловажным также является общий настрой пациента и стремление к жизни.
Осложняющие факторы
- Неправильная диагностика, а значит заведомо отрицательное лечение.
- Отсутствие профессиональной первой помощи (в том числе и оказание искусственного дыхания).
- Неправильная или неполная фиксация, смещение позвонков и других костных отломков, которые в последствие задевают жизненно важные органы.
- Недостаточно объема перелитой крови. Причем процедуру следует выполнить в первую четверть часа после несчастного случая.
- Отсутствие специализированного оборудования для поддержания процесса жизнедеятельности (включая искусственную вентиляцию легких, стабилизацию сердечного ритма и подобное).
Уберечь себя от подобного рода травматизма можно, если соблюдать правила дорожного движения, технику безопасности на производстве, а также общие меры предосторожности при выполнении ответственных работ и занятии спортом.
Травмы живота
Травмы живота - обширная группа тяжелых повреждений, в большинстве случаев представляющих угрозу для жизни пациента. Могут быть как закрытыми, так и открытыми. Открытые чаще всего возникают вследствие ножевых ранений, хотя возможны и другие причины (падение на острый предмет, огнестрельное ранение). Причиной закрытых травм обычно становятся падения с высоты, автомобильные катастрофы, несчастные случаи на производстве и т. д. Тяжесть повреждения при открытой и закрытой травме живота может варьироваться, но особую проблему представляют закрытые травмы. В этом случае из-за отсутствия раны и внешнего кровотечения, а также из-за сопутствующего таким повреждениям травматического шока или тяжелого состояния больного нередко возникают трудности на этапе первичной диагностики. При подозрении на травму живота необходима срочная доставка больного в специализированное медицинское учреждение. Лечение обычно хирургическое.
МКБ-10
Общие сведения
Травма живота - закрытое или открытое повреждение области живота как с нарушением, так и без нарушения целостности внутренних органов. Любая травма живота должна рассматриваться, как серьезное повреждение, требующее немедленного обследования и лечения в условиях стационара, поскольку в таких случаях существует высокий риск развития кровотечения и/или перитонита, представляющих непосредственную опасность для жизни больного.
Классификация травм живота
В отечественной травматологии используется следующая классификация травм живота. Закрытые травмы живота:
- Без повреждения внутренних органов - ушибы брюшной стенки.
- С повреждением внутренних органов за пределами брюшной полости. При этом чаще повреждаются мочевой пузырь, почки и некоторые отделы толстого кишечника.
- С повреждением органов брюшной полости.
- С внутрибрюшным кровотечением. Возникают при травме брыжейки кишечника, сосудов сальника, селезенки и печени.
- С угрозой быстрого развития перитонита. Сюда относятся травмы живота с разрывом полых органов - желудка и кишечника.
- С сочетанными повреждениями паренхиматозных и полых органов.
Открытые травмы живота:
- Непроникающие.
- Проникающие без повреждения внутренних органов.
- Проникающие с повреждением внутренних органов.
Кроме того, травмы живота могут быть изолированными (одно повреждение), множественными (несколько повреждений, например, множественные раны в области живота) и сочетанными (сочетающимися с повреждением других органов и систем).
Открытые травмы живота
Открытое повреждение может быть нанесено огнестрельным оружием, холодным оружием или вторичным снарядом.
Резаные раны наносятся ножом. Резаные раны имеют форму линии и достаточно большую протяженность. Края ровные. Нередко такие травмы живота сопровождаются значительным наружным кровотечением вследствие пересечения большого количества сосудов. При обширных повреждениях возможна эвентрация - состояние, при котором орган брюшной полости выпадает в рану.
Колотые раны могут быть нанесены тонким ножом, штыком, узким стилетом, ножницами, шилом или столовой вилкой. Колотые раны отличаются тонким раневым каналом, обычно слабо кровоточат. При этом возможна большая глубина раневого канала и серьезные повреждения внутренних органов. Представляют серьезную угрозу, поскольку пациент, видя небольшую рану, может недооценить опасность и слишком поздно обратиться за помощью.
Рубленые раны возникают при ударе топором. Они большие с достаточно неровными краями, с обильным кровотечением и обширным повреждением мягких тканей.
Рваные раны образуются при нападении животных или повреждении механизмами вследствие производственной травмы (например, при контакте с лопастью вентилятора). Это - самые тяжелые, обширные и травматичные раны. Ткани и органы в таких случаях имеют множественные повреждения с раздавливаниями и разрывами. Кроме того, как правило, рваные раны сопровождаются сильным загрязнением тканей.
Огнестрельные раны также относятся к группе особенно тяжелых повреждений, поскольку сопровождаются не только образованием раневого канала, но и контузией ткани на расстоянии примерно в 30 раз превышающем диаметр пули или дробины. Из-за контузии ткани и органы растягиваются, сжимаются, расслаиваются или разрываются. Кроме того, травма живота при огнестрельном ранении может быть неявной, поскольку входные отверстия в 50% случаев располагаются не на передней брюшной стенке, а в других местах (например, на боку или в области поясницы).
При повреждении вторичным снарядом (металлической деталью, осколком стекла и т. д.) возникают рвано-ушибленные раны. Такая травма живота характерна для несчастных случаев на производстве и автомобильных катастроф.
Закрытые (тупые) травмы живота
Ушиб брюшной стенки сопровождается болью и локальным отеком области повреждения. Возможны кровоизлияния и ссадины. Боль усиливается при акте дефекации, чихании, кашле и изменении положения тела.
Разрыв мышц и фасций брюшной стенки проявляется теми же симптомами, однако, боль в этом случае более сильная, поэтому возможно развитие динамической кишечной непроходимости вследствие рефлекторного пареза кишечника. Необходимо дополнительное обследование для исключения разрывов паренхиматозных и полых органов.
Разрыв тонкой кишки обычно возникает при прямом ударе в область живота. Сопровождается усиливающейся и распространяющейся болью в животе, напряжением мышц брюшной стенки, учащением пульса и рвотой. Возможно развитие травматического шока.
Разрыв толстой кишки по симптоматике напоминает разрывы тонкой кишки, однако при этом нередко выявляется напряжение брюшной стенки и признаки внутрибрюшного кровотечения. Шок развивается чаще, чем при разрывах тонкой кишки.
Повреждение печени возникает при травме живота достаточно часто. Возможны как подкапсульные трещины или разрывы, так и полный отрыв отдельных частей печени. Такая травма печени в подавляющем большинстве случаев сопровождается обильным внутренним кровотечением. Состояние больного тяжелое, возможна потеря сознания. При сохраненном сознании пациент жалуется на боли в правом подреберье, которые могут иррадиировать в правую надключичную область. Кожа бледная, пульс и дыхание учащенное, артериальное давление снижено. Признаки травматического шока.
Повреждение селезенки - наиболее распространенное повреждение при тупой травме живота, составляет 30% от общего числа травм с нарушением целостности органов брюшной полости. Может быть первичным (симптомы появляются сразу после травмы) или вторичным ( симптомы возникают через несколько дней или даже недель). Вторичные разрывы селезенки обычно наблюдаются у детей.
При небольших разрывах кровотечение останавливается из-за образования кровяного сгустка. При крупных повреждениях возникает обильное внутреннее кровотечение со скоплением крови в брюшной полости (гемоперитонеум). Состояние тяжелое, шок, падение давления, учащение пульса и дыхания. Пациента беспокоят боли в левом подреберье, возможна иррадиация в левое плечо. Боль уменьшается в положении на левом боку с согнутыми и подтянутыми к животу ногами.
Повреждения поджелудочной железы. Обычно возникают при тяжелых травмах живота и нередко сочетаются с повреждением других органов (кишечника, печени, почек и селезенки). Возможно сотрясение поджелудочной железы, ее ушиб или разрыв. Пациент жалуется на резкие боли в подложечной области. Состояние тяжелое, живот вздут, мышцы передней брюшной стенки напряжены, пульс учащен, артериальное давление снижено.
Повреждение почки при тупой травме живота встречается достаточно редко. Это связано с месторасположением органа, лежащего в забрюшинном пространстве и со всех сторон окруженного другими органами и тканями. При ушибе или сотрясении появляется боль в поясничной области, макрогематурия (выделение мочи с кровью) и повышение температуры. Более тяжелые повреждения почек (размозжения или разрывы) обычно возникают при тяжелой травме живота и сочетаются с повреждением других органов. Характерно шоковое состояние, боль, напряжение мышц в поясничной области и подреберье на стороне поврежденной почки, падение артериального давления, тахикардия.
Разрыв мочевого пузыря может быть внебрюшинным или внутрибрюшинным. Причиной становится тупая травма живота при наполненном мочевом пузыре. Для внебрюшинного разрыва характерны ложные позывы на мочеиспускание, боль и отек промежности. Возможно выделение малого количества мочи с кровью.
Внутрибрюшинный разрыв мочевого пузыря сопровождается болью внизу живота и частыми ложными позывами на мочеиспускание. Из-за мочи, излившейся в брюшную полость, развивается перитонит. Живот мягкий, умеренно болезненный при пальпации, отмечается вздутие и ослабление кишечной перистальтики.
Диагностика травмы живота
Подозрение на травму живота является показанием к немедленной доставке пациента в стационар для диагностики и дальнейшего лечения. В такой ситуации крайне важно как можно быстрее оценить характер повреждений и в первую очередь - выявить кровотечение, которое может угрожать жизни пациента.
При поступлении во всех случаях обязательно выполняются анализы крови и мочи, проводится определение группы крови и резус-фактора. Остальные методы исследования выбираются индивидуально с учетом клинических проявлений и тяжести состояния пациента.
С появлением современных, более точных методов исследования рентгенография брюшной полости при травме живота частично утратила свое диагностическое значение. Тем не менее, ее можно применять для выявления разрывов полых органов. Проведение рентгенологического исследования также показано при огнестрельных ранениях (для определения места расположения инородных тел - пуль или дроби) и при подозрении на сопутствующий перелом таза или повреждение грудной клетки.
Доступным и информативным методом исследования является УЗИ, позволяющее диагностировать внутрибрюшное кровотечение и обнаруживать подкапсульные повреждения органов, которые могут стать источником кровотечения в будущем.
При наличии соответствующего оборудования для обследования пациента с травмой живота используют компьютерную томографию, которая позволяет детально изучить структуру и состояние внутренних органов, выявив даже небольшие повреждения и незначительное кровотечение.
При подозрении на разрыв мочевого пузыря показана катетеризация - подтверждением диагноза является малое количество кровянистой мочи, выделяющейся через катетер. В сомнительных случаях необходимо проведение восходящей цистографии, при которой обнаруживается наличие рентгенконтрастного раствора в околопузырной клетчатке.
Одним из самых эффективных методов диагностики при травме живота является лапароскопия. В брюшную полость через небольшой разрез вводится эндоскоп, через который можно непосредственно увидеть внутренние органы, оценить степень их подтверждения и четко определить показания к операции. В ряде случаев лапароскопия является не только диагностической, но и лечебной методикой, при помощи которой можно остановить кровотечение и удалить кровь из брюшной полости.
Лечение травм живота
Открытые раны являются показанием к экстренной операции. При поверхностных ранах, не проникающих в брюшную полость, выполняется обычная первичная хирургическая обработка с промыванием полости раны, иссечением нежизнеспособных и сильно загрязненных тканей и наложением швов. При проникающих ранениях характер оперативного вмешательства зависит от наличия повреждений каких-либо органов.
Ушибы брюшной стенки, а также разрывы мышц и фасций лечатся консервативно. Назначается постельный режим, холод и физиотерапия. При крупных гематомах может понадобиться пункция или вскрытие и дренирование гематомы.
Разрывы паренхиматозных и полых органов, а также внутрибрюшные кровотечения являются показанием к экстренной операции. Под общим наркозом выполняется срединная лапаротомия. Через широкий разрез хирург тщательно осматривает органы брюшной полости, выявляет и устраняет повреждения. В послеоперационном периоде при травме живота назначаются анальгетики, проводится антибиотикотерапия. При необходимости в ходе операции и в послеоперационном периоде выполняется переливание крови и кровезаменителей.
3. Современная хирургическая тактика при травматических абдоминальных повреждениях / Гареев Р.Н., Фаязов Р.Р., Тимербулатов В.М., Мехдиев Д.И., Ярмухаметов И.М., Фахретдинов Д.З., Халиков А.А., Нгуен Х.К. // Медицинский вестник Башкортостана - 2012 -Т.7, №4
4. Диагностика и хирургическая тактика при закрытой травме живота / Томнюк Н.Д., Рябков И.А., Жиго П.Т., Кембель В.Р. // Бюллетень ВСНЦ СО РАМН - 2007 - №4
Политравма
Политравма - это одновременное или практически одновременное возникновение двух и более травматических повреждений, каждое из которых требует специализированного лечения. Для политравмы характерно наличие синдрома взаимного отягощения и развитие травматической болезни, сопровождающееся нарушениями гомеостаза, общих и местных процессов адаптации. При таких повреждениях, как правило, требуется интенсивная терапия, экстренные операции и реанимационные мероприятия. Диагноз выставляется на основании клинических данных, результатов рентгенографии, КТ, МРТ, УЗИ и других исследований. Перечень лечебных процедур определяется видом травмы.
Политравма - обобщающее понятие, означающее, что у пациента одновременно имеется несколько травматических повреждений. При этом возможно как поражение одной системы (например, костей скелета), так и нескольких систем (например, костей и внутренних органов). Наличие полисистемных и полиорганных поражений негативно влияет на состояние больного, требует проведения интенсивных лечебных мероприятий, повышает вероятность развития травматического шока и летального исхода.
Классики травматологии и ортопедии рассматривали политравму преимущественно, как проблему военного времени. В наши дни в связи с механизацией промышленности и широким распространением автомобильного транспорта резко возросло количество политравм, полученных в мирных условиях вследствие автодорожных происшествий и несчастных случаев на производстве. Лечение политравмы обычно осуществляют врачи-травматологи при участии реаниматологов. Кроме того, в зависимости от вида и локализации повреждений, в диагностике и лечении политравмы могут участвовать торакальные хирурги, абдоминальные хирурги, урологи, нейрохирурги и другие специалисты.
Причины политравмы
Самыми распространенными являются множественные повреждения в результате автодорожных происшествий (более 50%), второе место занимают несчастные случаи на производстве (более 20%), третье - падения с высоты (более 10%). Мужчины страдают примерно вдвое чаще женщин. В 1-5% от общего количества случаев политравмы пострадавшими являются дети, основной причиной является участие в ДТП (дети младшего возраста - как пассажиры, в старших возрастных группах преобладают случаи наездов на детей-пешеходов и велосипедистов). У детей при политравме чаще наблюдаются ранения нижних конечностей и ЧМТ, а травмы брюшной полости, грудной клетки и костей таза выявляются реже, чем у взрослых.
У взрослых при политравме в результате автодорожных происшествий преобладают повреждения конечностей, ЧМТ, травмы грудной клетки, травмы брюшной полости, переломы таза, разрывы мочевого пузыря и повреждения шейного отдела позвоночника. Наибольшее влияние на прогноз для жизни оказывают травмы брюшной полости, грудной клетки и черепно-мозговые травмы. При случайных падениях с большой высоты чаще выявляется тяжелая черепно-мозговая травма, при попытках самоубийства - множественные повреждения нижних конечностей, поскольку пациенты практически всегда прыгают ногами вперед. Падения с высоты нередко сопровождаются разрывом внутриторакальных сосудов, что приводит к быстрому развитию геморрагического шока.
Классификация
Отличительными чертами политравмы являются:
- Синдром взаимного отягощения и травматическая болезнь.
- Атипичные симптомы, затрудняющие диагностику.
- Высокая вероятность развития травматического шока и массивной кровопотери.
- Нестойкость механизмов компенсации, большое количество осложнений и летальных исходов.
Различают 4 степени тяжести политравмы:
- Политравма 1 степени тяжести - имеются легкие повреждения, шок отсутствует, исходом становится полное восстановление функции органов и систем.
- Политравма 2 степени тяжести - имеются повреждения средней степени тяжести, выявляется шок I-II степени. Для нормализации деятельности органов и систем необходима длительная реабилитация.
- Политравма 3 степени тяжести - имеются тяжелые повреждения, выявляется шок II-III степени. В исходе возможна частичная или полная утрата функций некоторых органов и систем.
- Политравма 4 степени тяжести - имеются крайне тяжелые повреждения, выявляется шок III-IV степени. Деятельность органов и систем грубо нарушена, существует высокая вероятность летального исхода как в остром периоде, так и в процессе дальнейшего лечения.
С учетом анатомических особенностей выделяют следующие виды политравмы:
- Множественная травма - два или более травматических повреждения в одной анатомической области: перелом голени и перелом бедра; множественные переломы ребер и т. д.
- Сочетанная травма - два или более травматических повреждения разных анатомических областей: ЧМТ и повреждение грудной клетки; перелом плеча и повреждение почки; перелом ключицы и тупая травма живота и т. д.
- Комбинированная травма - травматические повреждения в результате одновременного воздействия различных травмирующих факторов (термического, механического, радиационного, химического и т. д.): ожог в сочетании с переломом бедра; радиационное поражение в сочетании с переломом позвоночника; отравление токсическими веществами в сочетании с переломом таза и т. д.
Сочетанные и множественные повреждения могут являться частью комбинированной травмы. Комбинированная травма может возникать при одновременном прямом действии поражающих факторов или развиваться вследствие вторичного повреждения (например, при появлении очагов пожара после обрушения производственной конструкции, ставшей причиной перелома конечности).
С учетом опасности последствий политравмы для жизни пациента различают:
- Нежизнеопасную политравму - повреждения, не вызывающие грубых нарушений жизнедеятельности и не представляющие непосредственной опасности для жизни.
- Жизнеопасную политравму - повреждения жизненно важных органов, которые можно скорректировать путем своевременного хирургического вмешательства и/или адекватной интенсивной терапии.
- Смертельную политравму - повреждения жизненно важных органов, деятельность которых невозможно восстановить даже путем оказания своевременной специализированной помощи.
С учетом локализации выделяют политравму с поражением головы, шеи, груди, позвоночника, таза, живота, нижних и верхних конечностей.
Диагностика и лечение при политравме зачастую представляют собой единый процесс и осуществляются одновременно, что обусловлено тяжестью состояния пострадавших и высокой вероятностью развития травматического шока. В первую очередь оценивается общее состояние пациента, исключаются или выявляются повреждения, которые могут представлять опасность для жизни. Объем диагностических мероприятий при политравме зависит от состояния пострадавшего, к примеру, при выявлении травматического шока осуществляют жизненно важные исследования, а диагностику мелких повреждений проводят, по возможности, во вторую очередь и только если это не утяжеляет состояние больного.
Всем пациентам с политравмой выполняют срочные анализы крови и мочи, а также определяют группу крови. При шоке осуществляют катетеризацию мочевого пузыря, контролируют количество выделяемой мочи, регулярно измеряют АД и пульс. В ходе обследования может быть назначена рентгенография грудной клетки, рентгенография костей конечностей, рентгенография таза, рентгенография черепа, эхоэнцефалография, диагностическая лапароскопия и другие исследования. Больных с политравмой осматривают травматолог, нейрохирург, хирург и реаниматолог.
Лечение политравмы
На начальном этапе лечения на первый план выступает противошоковая терапия. При переломах костей осуществляют полноценную иммобилизацию. При размозжениях, отрывах и открытых переломах с массивным кровотечением производят временную остановку кровотечения с использованием жгута или кровоостанавливающего зажима. При гемотораксе и пневмотораксе проводят дренирование грудной полости. При повреждении органов брюшной полости выполняют экстренную лапаротомию. При сдавлении спинного и головного мозга, а также при интракраниальных гематомах производят соответствующие операции.
Если есть повреждения внутренних органов и переломы, являющиеся источником массивного кровотечения, хирургические вмешательства осуществляют одновременно двумя бригадами (хирурги и травматологи, травматологи и нейрохирурги и т. д.). Если массивное кровотечение из переломов отсутствует, открытую репозицию и остеосинтез переломов при необходимости производят после вывода пациентов из шока. Все мероприятия проводят на фоне инфузионной терапии.
Затем пациентов с политравмой госпитализируют в отделение реанимации или палату интенсивной терапии, продолжают инфузии крови и кровезаменителей, назначают препараты для восстановления функций органов и систем, осуществляют различные лечебные мероприятия (перевязки, смену дренажей и т. д.). После улучшения состояния больных с политравмой переводят в травматологическое (реже - нейрохирургическое или хирургическое отделение), продолжают лечебные процедуры, проводят реабилитационные мероприятия.
Прогноз и профилактика
Сочетанные повреждения живота. Виды сочетанных повреждений.
В последние годы количество повреждений после высокоэнергетических травм продолжает расти, среди них в 5—20% случаев встречаются переломы тазовых костей [1—4]. Чаще всего причиной несращения или неправильного сращения костей таза после лечения нестабильных травм тазового кольца является неправильное первичное лечение. Все травмы таза в 90% случаев имеют многочисленный сочетанный характер и сопровождаются травматическим шоком, поэтому в первые часы травмы проводят лечебные мероприятия для спасения жизни больного [2, 5, 6].
Травмы таза по сравнению с другими травмами чаще приводят к смерти и длительной потере трудоспособности, что обусловлено наличием органов внутри таза, и поэтому входят в число самых тяжелых травм опорно-двигательной системы (ОДС) [7—10]. Тяжесть таких травм связана с сильным болевым синдромом, массивным кровотечением и травматическим шоком [11].
В настоящее время многие специалисты оценивают фиксацию переломов как основной фактор борьбы против шока, а также профилактики гипостатических осложнений и достижения хороших функциональных результатов [10, 12, 13]. Неотложная фиксация нестабильных травм тазового кольца простым аппаратом (ХФА) входит в алгоритм лечения тяжелых травм — ATLS (Advancede Trauma Life Support) [14].
Среди причин инвалидизации, обусловленных повреждениями ОДС, удельный вес травм таза составляет 25—55% [11].
Основу повреждений таза при политравмах составляют осложненные переломы тазовых костей, т. е. повреждения тазовых органов, связанные с нарушением тазового кольца, в том числе повреждение нижних отделов мочевыводящих путей. В целом в связи с характером политравм формируются различные варианты возможных повреждений органов, близко расположенных к тазу. В клинической практике встречаются различные варианты сочетанных травм органов таза и брюшной полости. Такие травмы создают необходимость обсуждения спорных проблем и определяют направление научных исследований. Таким образом, актуальность сочетанных травм таза и брюшной полости связана с постоянным ростом высокоэнергетических травм, возникновением тяжелых последствий этих травм и высоким процентом инвалидности и неблагоприятных исходов.
Цель работы — снижение инвалидности и летальности у больных с сочетанными травмами таза и живота, а также формирование новой тактики лечения.
Материал и методы
Проведен ретроспективный и проспективный анализ лечения 1033 больных с тяжелыми сочетанными травмами (ТСТ) в бакинской клинической больнице № 3 в течение 2009—2015 гг. Больные, получавшие лечение в 2009—2010 гг. (n=205), вошли в группу сравнения, а больные, пролеченные в 2011—2015 гг. (n=828), — в основную группу.
У 204 (19,2%) больных были переломы костей таза, из них 165 (19,3%) из основной, а 39 (19%) из группы сравнения (107 (52,5%) мужчин и 97 (47,5%) женщин). Лечение группы сравнения заметно отличалось от традиционных методов. Степень тяжести травмы у больных основной группы оценивали по шкалам AİS (Abbreviated İnjury Scale) и İSS (İnjury Severity Scale), помощь им оказывали по принципу damage control [15].
Для применения принципов damage control на практике необходимо оценить 3 важных признака:
1) тяжесть основной травмы (Firsthit);
2) биологическую конституцию больного (возраст, масса тела, сопутствующие заболевания);
3) количество абсолютно необходимых оперативных вмешательств, ожидаемое время их выполнения, травматичность и возможную кровопотерю. Эти операции для больных с ТСТ и политравмой являются «вторичным ударом» (second hit).
Таким образом, принципы damage control подразумевают выполнение в первую очередь неотложных операций на органах грудной полости, живота и черепа. Однако и эти операции целесообразно разделять на 2, а порой и на 3 этапа. На первом этапе, например, ликвидация гемопневмоторакса при помощи дренирования плевральной полости, далее выполнение лапаротомии для остановки внутрибрюшного кровотечения путем пережатия сосудов, тампонады, изоляции поврежденного кишечника. На данном этапе брюшную полость временно закрывают кожными провизорными швами. Параллельно с этим проводят интенсивную реанимационную поддержку для стабилизации центральной гемодинамики, дыхания и сердечной деятельности. В большинстве случаев, если удается стабилизировать основные витальные функции, в ближайшие 24—36 ч этих больных подвергают окончательной хирургической коррекции и лапаротомную рану зашивают. Таким образом, программированное многоэтапное хирургическое лечение, учитывающее степень тяжести травмы, составляет основу этого принципа.
При помощи методов лучевой диагностики (УЗИ, рентгенографии и КТ) у больных обнаружены перелом костей таза, свободная жидкость, газ и гематомы в брюшной полости. Кроме того, больным проведено контрастное обследование мочевого пузыря и почек.
У больных с ТСТ, доставленных в клинику в тяжелом состоянии, большое значение имеет применение малотравматичного инвазивного метода диагностики с большей информативностью. Одним из методов, отвечающих этим требованиям, является лапароцентез, его применение создает условие для немедленного обнаружения патологической жидкости в брюшной полости и помогает снизить в несколько раз количество ошибок. Чувствительность метода очень высокая, но при обширных гематомах можно получить сомнительные диагностические данные. По этой причине у 8 больных был использован более информативный метод — лапароскопия.
Несмотря на высокую информативность, этот метод является травматичным, однако при тяжелых повреждениях других анатомических областей лапароскопическое обследование показано. Лапароскопию широко применяют для диагностики повреждений органов брюшной полости при травмах. Однако при сочетанных травмах метод лапароскопии не считается обязательным, дающим полную картину. У 14 больных диагноз уточнен при помощи цистографии, ретроградной уретропиелографии. У 12 больных на фоне пареза кишечника результаты УЗИ были сомнительными, что потребовало проведения экскреторной урографии, и у 6 больных выявлено повреждение почек.
Для обнаружения повреждений органов брюшной полости и забрюшинного пространства после ликвидации жизненеопасных и нуждающихся в неотложной помощи повреждений у 29 больных в срочном порядке проведено КТ-обследование.
Конечным этапом обследований, согласно принципам damage control, является лапаротомия — сразу или после предшествующей лапароскопии или лапароцентеза.
У 87 (42,6%) из 204 больных с переломом костей таза зафиксировано повреждение черепа, у 73 (36,8%) — грудной клетки, у 61 (29,9%) — органов брюшной полости, в том числе у 34 (16,7%) — повреждение паренхиматозных органов, у 9 (4,4%) —перелом позвонков, у 132 (64,7%) — перелом длинных трубчатых костей. Чаще всего встречались переломы лонных костей — 116 (56,9%), из них у 23 (19,8%) больных был двусторонний перелом. У 108 (52,9%) выявлен перелом седалищной кости, из них у 28 (25,9%) — двусторонний перелом. Перелом вертлужной впадины зафиксирован у 74 (36,3%) больных, из них у 13 (17,6%) его выявили наряду с вывихом головки бедренной кости. У 2 (2,7%) пациентов был двусторонний перелом суставной ямки тазобедренного сустава.
У 65 (31,9%) из поступивших в клинику 2004 больных с сочетанной травмой таза отмечено повреждение типа А, у 80 (39,2%) — типа В, у 59 (28,9%) — типа С, соответственно в основной группе у 53 (32,1%), 62 (37,6%) и 50 (30,3%), в группе сравнения у 12 (30,8%), 18 (46,1%) и 9 (23,1%).
У 62 больных выявлена сочетанная травма таза и живота — 50 (30,3%) из 165 больных из основной группы, 12 (30,8%) из 39 больных из группы сравнения. У 7 (17,9%) больных из группы сравнения и у 27 (16,4%) из основной группы было повреждение паренхиматозных органов брюшной полости и внутрибрюшное кровотечение, в том числе типа, А соответственно у 3 (25%) и 13 (26%), типа B — у 6 и 19 (38%), типа С — у 3 и 18 (36%).
При переломах костей таза, как правило, выявляли забрюшинные гематомы различного размера. Дистальные гематомы локализовались от V поясничного позвонка до тазового дна и составляли 250—500 мл. Гемотрансфузии осуществляли только при выраженных снижениях гематологических показателей. При промежуточной локализации кровоизлияния распространяются от II до V поясничного позвонка, часто односторонние. Кровопотеря в этом случае может достигать 1000—1500 мл. Для выведения больного из шока обычно проводили гемотрансфузию. Большие кровоизлияния проксимальной локализации распространяются от поясничных позвонков до XII грудного позвонка, т. е. до уровня поджелудочной железы и всегда сопровождаются симптомами «острого живота». В таких случаях кровотечение принимает интенсивный характер, может достичь 2—3 л и более, а пациентам показан эквивалентный объем переливания компонентов крови (3 л и более). Трансфузию проводили многоэтапно в течение нескольких дней.
У 21 (33,9%) больного из 62 с ТСТ живота и таза выполнен лапароцентез, у 49 (79%) — лапаротомия (в том числе у 13 после лапароцентеза). У 56 (90,3%) больных проведено УЗИ, а у 5 (8,1%) потребовались повторное УЗИ и лапаротомия из-за повышения объема свободной жидкости в брюшной полости, причем у 23 больных заключение УЗИ было сомнительным и понадобилось КТ-обследование, в ходе которого было подтверждено наличие внутрибрюшного повреждения (диагностическая точность 100%).
У 13 (26,5%) из 49 больных из-за очень тяжелого общего состояния лапаротомия выполнена сразу, без предварительной лучевой диагностики. У 16 из 21 больного, которым выполнен лапароцентез, применены методы лучевой диагностики (УЗИ у 12, рентгенография у 4). У 17 (81%) из них лапароцентез завершен лапаротомией. У 12 больных на фоне пареза кишечника и сомнительных данных УЗИ после выведения из шока выполнена экскреторная урография, повреждение почек обнаружено у 8 из них.
У 7 (17,5%) из 40 больных в ходе лапаротомии выявлены повреждения печени и селезенки, у 4 (10%) — печени и желчного пузыря, у 2 (5%) — печени, желчного пузыря и селезенки, у 5 (12,5%) — печени и тонкой кишки, у 2 (5%) — печени и мочевого пузыря, у 7 (17,5%) — селезенки, у 4 (10%) — селезенки и тонкой кишки, у 2 (5%) — селезенки и толстой кишки, у 3 (7,5%) — изолированное повреждение почек, у 3 (7,5%) — мочевого пузыря, у 1 (2,5%) — отслоение плаценты.
У больных основной группы повреждения живота встречались чаще. У 12 (24%) из 50 больных отмечено повреждение средней, у 14 (28%) — тяжелой, у 18 (36%) — очень тяжелой, а у 6 (12%) — критически тяжелой степени. У 3 (25%) из 12 больных группы сравнения степень повреждения расценена как среднетяжелая, у 5 (41,7%) — как тяжелая, у 3 (25%) — как очень тяжелая, у 1 (8,3%) больного состояние признано критическим. Несмотря на то что в основной группе больных в тяжелом состоянии в целом много, летальность в ней составила 44,4%, тогда как в группе сравнения с меньшим количеством таких больных она достигла 55,6%.
Состояние 1 из 12 больных с сочетанными травмами живота и таза оценено как критическое, через 15 мин после поступления в клинику он умер. У 5 (45,5%) из 11 больных отмечен летальный исход. Состояние 6 из 50 больных основной группы оценено как критическое и через 3—5 мин после поступления в клинику они умерли. Лечение 16 (36,4%) больных из 44 завершилось смертью.
У 62 больных с сочетанной травмой живота и таза доминировали повреждения различных анатомических областей: живота у 15 (24,2%), черепа у 18 (29%), органов грудной клетки у 8 (13%), таза у 16 (25,8%), у 5 (8%) больных доминировала клиника травмы конечностей.
Для проведения запланированных мер проводили раннее выявление доминантных травм и определяли этапы лечения. Первый этап включал неотложную и кратковременную лапаротомию, остановку кровотечения и меры по предотвращению загрязнения брюшной полости содержимым полых органов. Временно закрывали лапаротомическую язву с целью профилактики компартментного синдрома. На втором этапе для полного и быстрого восстановления метаболических нарушений продолжали меры интенсивной терапии и реанимации. Начальные 24—36 ч после первой операции считали решающим этапом. После стабилизации физиологических показателей травмированных переходили к третьему этапу (программированной релапаротомии, повторной ревизии органов брюшной полости). На этом этапе осуществляли малоинвазивный остеосинтез нестабильных переломов. Критериями стабилизации состояния больных считали следующие показатели: систолическое артериальное давление 100 мм рт.ст., пульс 100 в минуту, гематокрит 30%.
Для иллюстрации эффективности тактики лечения при ТСТ приводим клиническое наблюдение.
Пострадавший А.Е., 26 лет, госпитализирован в отделение реанимации и интенсивной терапии в критическом состоянии с диагнозом: тяжелая сочетанная черепно-мозговая травма, ушиб головного мозга тяжелой степени, множественные закрытые переломы VII—XI ребер слева с частичным смещением фрагментов, закрытый пневмоторакс. Разрыв левого купола диафрагмы и сигмовидной кишки. Закрытые переломы левой лонной и седалищной костей. Закрытые диафизарные переломы левой плечевой и бедренной костей. Закрытые неосложненные переломы LI—LIV позвонков. Травматический шок III—IV степени. Как видно из представленных данных, у пострадавшего повреждены все 6 анатомических областей. По шкале AIS степень тяжести травм грудной клетки и живота соответствует 4 баллам, переломы левой плечевой и бедренной костей — 3 баллам, переломы костей таза и переломы LI—LIV позвонков — 2 баллам. В соответствии с индексом ISS тяжесть травмы и состояние пострадавшего оценены как крайне тяжелые, а вариант течения как декомпенсированный. На фоне интенсивной противошоковой терапии и мероприятий, направленных на поддержание витальных функций, в соответствии с концепцией damage control больному выполнена экстренная операция — лапаротомия, спленэктомия, ушивание участков разрыва сигмовидной кишки и диафрагмы, дренирование плевральной и брюшной полости. После надежной стабилизации показателей гомеостаза вследствие интенсивных реанимационных мероприятий, проводимых в течение 2—3 ч, пострадавшему выполнен малоинвазивный остеосинтез левой плечевой и бедренной кости. Через 21 день пациент в удовлетворительном состоянии выписан для амбулаторного лечения.
Заключение
У больных с сочетанными травмами живота и таза проведено лечение по принципу damage control, что привело к снижению летальности с 41,7 до 32% в основной группе больных.
У больных с повреждением таза типа, А (средняя степень тяжести по шкале İSS 17—25 баллов) может применяться любое хирургическое вмешательство. У больных с повреждениями таза типа, А и тяжестью повреждений 26—40 баллов по шкале İSS наряду с реанимационными манипуляциями могут производиться операции неотложного характера. При переломах типа В необходимо выполнять лишь неотложные операции, а при переломах типа С — только операции, направленные на спасение жизни больных. Эти операции осуществляются до и во время операции одновременно с гемотрансфузией и стабилизацией витальных функций. У больных с очень тяжелой степенью повреждений по İSS (41—49 и до 75 баллов), оцениваемой как критическая, независимо от типа тазовых повреждений могут проводиться только операции, направленные на спасение жизни больного. Остеосинтез костей таза возможен после относительной стабилизации витальных функций.
Таким образом, чем больше степень тяжести состояния больного при сочетанной травме, тем меньше времени должно быть потрачено на диагностические меры, чтобы как можно скорее приступить к хирургической остановке кровотечения, предотвращению легочной компрессии, декомпрессии (трепанации) черепа и т. д. Поэтому для быстрого обнаружения основных повреждений внутренних органов и серьезных повреждений опорно-двигательной системы должны быть реализованы специальные алгоритмы диагностических и лечебных мер. При наличии абсолютных показаний к операциям для спасения жизни больного дооперационное выяснение степени риска хирургического вмешательства переходит на второй план. У больных с сочетанными травмами обнаруженное повреждение можно лечить одновременно как хирургическим, так и консервативными методами. Но при этом хирург и реаниматолог должны выбрать путь с наименьшей вероятностью риска летального исхода и осложнений. Степень тяжести состояния пострадавшего, продолжающееся кровотечение, нарастающая дыхательная недостаточность, признаки черепно-мозговой дислокации требуют точной хирургической тактики. В таких случаях правильно выбранная оперативная тактика, последовательность и объем операций имеют большое значение для жизни больного.
ГБУЗ «Научно-исследовательский институт скорой помощи им. Н.В. Склифосовского» Департамента здравоохранения Москвы, Москва, Россия
ГБУЗ «Научно-исследовательский институт скорой помощи им. Н.В. Склифосовского» Департамента здравоохранения Москвы, Москва, Россия;
ФГБОУ ДПО «Российская медицинская академия непрерывного профессионального образования», Москва, Россия
- SPIN РИНЦ: 4044-9661
- Scopus AuthorID: 55970485700
- ResearcherID: P-9151-2017
- ORCID: 0000-0003-1270-5414
ГБУЗ Научно-исследовательский институт скорой помощи им. Н.В. Склифосовского, Москва, Россия
НИИ скорой помощи им. Н.В. Склифосовского, Москва
ГБУЗ Москвы «Научно-исследовательский институт скорой помощи им. Н.В. Склифосовского» Департамента здравоохранения Москвы, Москва, Россия
Закрытая травма живота с повреждением кишечника, изолированная и сочетанная
Журнал: Хирургия. Журнал им. Н.И. Пирогова. 2019;(5): 82‑87
Приведены 3 клинических наблюдения закрытой травмы живота с повреждением кишечных петель и развитием перитонита. Авторы подчеркивают значение лучевых методов диагностики, прежде всего УЗИ, и диагностической видеолапароскопии в ранней диагностике особенностей травматического повреждения.
Количество пострадавших с травмой органов брюшной полости, по данным [1, 2], составляет 21—25% и не имеет тенденции к снижению. По оценке разных авторов [3—5], повреждение кишечника при закрытой травме живота составляет от 6,3 до 38,5%, летальность достигает 12—15%, а при разрывах брыжейки кишки, стенки кишки и массивных гематомах ее брыжейки с перитонитом летальность составляет 19—24%.
Представляем 3 клинических наблюдения изолированной и сочетанной травмы живота с повреждением кишечника за период с августа 2017 г. по февраль 2018 г.
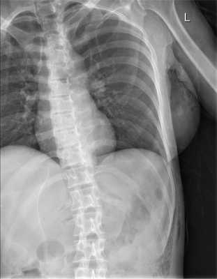
Больная М., 48 лет, поступила в приемное отделение НИИ СП им. Н.В. Склифосовского с жалобами на боль в левой половине живота, общую слабость, на 2-е сутки с момента получения травмы (удар копытом лошади в живот). При осмотре отмечены болезненность при пальпации грудной клетки слева, в левых отделах живота, развитие подкожной эмфиземы грудной клетки.

При рентгенологическом исследовании органов грудной клетки и брюшной полости (рис. 1) Рис. 1. Рентгенограмма органов грудной клетки и брюшной полости больной М. при поступлении. выявлена подкожная эмфизема слева от переднего отрезка VI ребра с переходом на брюшную полость. При УЗИ в 5 областях брюшной полости определяется свободная жидкость.

В экстренном порядке выполнена диагностическая видеолапароскопия. При ревизии в брюшной полости около 1000 мл мутного содержимого во всех отделах. Париетальная и висцеральная брюшина тусклая, с наложением фибрина, гиперемирована. При ревизии париетальной брюшины передней брюшной стенки в левом подреберье визуализирован дефект париетальной брюшины и разрыв внутренней косой, поперечной мышц без активного кровотечения размером 4×3 см. Принято решение о конверсии — выполнена широкая срединная лапаротомия. При ревизии тонкой кишки непосредственно за связкой Трейца обнаружен разрыв тощей кишки на 1/3 по противобрыжеечному краю (рис. 2), Рис. 2. Признаки перитонита и разрыва тонкой кишки (интраоперационные фотографии). при осмотре сальниковой сумки выявлено геморрагическое пропитывание парапанкреатической клетчатки. Выполнена назоинтестинальная интубация. Произведена мобилизация участка тощей кишки из-под связки Трейца с иссечением краев разрыва стенки тощей кишки, ушиванием разрыва тощей кишки в поперечном направлении двухрядным швом. Прядь большого сальника фиксирована к линии швов на тощей кишке. Выполнена санация брюшной полости 4 л 0,9% раствора NaCl. Ушит травматический разрыв мышц передней брюшной стенки, двухпросветный дренаж оставлен в ране, выведен через контрапертуру на переднюю брюшную стенку. Двухпросветные дренажи также установлены в подпеченочное пространство справа, в полость малого таза, в левый латеральный канал. С целью дренирования полости сальниковой сумки установлен однопросветный дренаж.
После операции больная переведена в отделение реанимации и интенсивной терапии для хирургических больных, где проводили инфузионную, антибактериальную, антисекреторную терапию, лабораторный и лучевой контроль, делали перевязки, осуществляли динамическое наблюдение.
При УЗИ брюшной полости на 3-и сутки после операции выявлено разобщение листков брюшины поддиафрагмально слева до 0,3 см, у нижнего полюса селезенки до 0,6 см, по ходу правого латерального канала до 0,7 см, в полости малого таза до 0,8 см и межпетельно слева до 0,9 см за счет анэхогенных зон с фибрином. Петли тонкой кишки не расширены, стенка до 0,8—1 см, содержимое гетерогенное и с газом, перистальтика прослеживается. Заключение: эхопризнаки свободной жидкости в брюшной полости, отек стенок тонкой кишки.
При УЗИ брюшной полости на 5-е сутки после операции: неоднородность структуры поджелудочной железы за счет участков пониженной эхогенности в головке и теле, минимальный подкапсульный отек в виде анэхогенной зоны шириной 0,2 см, парапанкреатическая клетчатка несколько пониженной эхогенности.
Послеоперационный период осложнился развитием реактивного панкреатита. На фоне проведенного комплексного лечения состояние больной улучшилось, на 12-е сутки после операции пациентка выписана под наблюдение хирургом по месту жительства.
Больной Л., 24 лет, поступил в 1-е сутки после производственной травмы (падение с 6-го этажа во время строительных работ) в отделение реанимации и интенсивной терапии для экстренных больных. При поступлении состояние тяжелое, на передней поверхности груди и брюшной стенки обширная ссадина; в левой мезогастральной области рана размером 6×0,5 см; поверхностные раны и множественные ссадины на верхних и нижних конечностях. Живот вздут, асимметричен из-за кровоизлияния в брюшную стенку слева, там же определяется пропитывание гематомы брюшной стенки с переходом на поясничную область; при пальпации живот мягкий, болезненный преимущественно в левых отделах.
При УЗИ органов брюшной полости определяется свободная жидкость: в правом подпеченочном пространстве 2 см, в правом латеральном канале 2,8 см, поддиафрагмально справа 0,8—1 см, поддиафрагмально слева 2 см, у нижнего полюса селезенки 2,5 см, в нижней трети левого латерального канала до 1,8 см, в полости малого таза 4,3 см; «шоковые» диффузные изменения почек и селезенки; травма селезенки; эхопризнаки гастростаза, пареза кишечника, посттравматических изменений стенок тонкой кишки в мезогастрии слева, жидкостного пропитывания тканей брыжейки тонкой кишки.

При динамическом наблюдении отмечено нарастание явлений геморрагического шока. С учетом клинико-инструментальной картины заболевания закрытой травмы живота с повреждением внутренних органов и продолжающимся внутрибрюшным кровотечением в экстренном порядке выполнена лапаротомия. Во время доступа в брюшную полость выявлено, что кожа и подкожная клетчатка полностью отсепарированы от подлежащего слоя прямых и косых мышц, имбибированных кровью из-за размозжения (межмышечная гематома) на всем протяжении доступа. Множественные более мелкие гематомы в подкожной клетчатке. В брюшной полости во всех отделах большое количество крови и сгустков (1800 мл), кровь аспирирована с помощью аппарата CellSaver. Продолжающегося активного кровотечения не выявлено. При ревизии органов брюшной полости: в проекции V—VI сегментов правой доли печени по краю выявлена подкапсульная гематома размером около 6×2 см, не пульсирующая, в объеме за время операции не увеличилась. Других повреждений печени по диафрагмальной и висцеральной поверхностям не установлено; на расстоянии 30, 40 и 45 см от связки Трейца 3 разрыва стенки тощей кишки с вскрытием просвета и 1 десерозированный участок. В области разрывов кишки также отмечены участки повреждения брыжейки тонкой кишки (рис. 3), Рис. 3. Разрывы петель тонкой и толстой кишки (интраоперационные фотографии). откуда продолжалось кровотечение. На расстоянии 60 см от связки Трейца выявлен полный поперечный разрыв тощей кишки с разрывом брыжейки кишки до уровня ее корня и активно продолжающимся кровотечением из сосудов брыжейки. Гематома в области брыжейки поперечной ободочной кишки, просвет кишки не вскрыт, гематома в размерах не увеличивается. Помимо этого гематома околокишечной клетчатки вдоль нисходящей ободочной кишки и сигмовидной кишки, брыжейка которой на уровне дистальной трети разорвана; сама сигмовидная кишка в области разрыва брыжейки не изменена, спастически сокращена, просвет не вскрыт, серозная оболочка обычной окраски с небольшими петехиальными кровоизлияниями из-за травмы. Обширная забрюшинная гематома по левому латеральному каналу с распространением на парааортальное клетчаточное пространство и корень брыжейки тонкой кишки. Париетальная брюшина в области левого латерального канала также разорвана, визуализирован левый мочеточник, без повреждений (моча концентрированная, макрогематурии нет). В области боковой стенки живота со стороны париетальной брюшины разрыв стенки размером около 10×5 см с повреждением прямых и косых мышц живота и продолжающимся низкоинтенсивным кровотечением из мышечных сосудов.
Выполнена резекция 30 см тощей кишки, начиная с первого разрыва на 30 см от связки Трейца до полного поперечного разрыва на 60 см с формированием энтероэнтероанастомоза конец в конец. Произведена назоинтестинальная интубация. Далее ушиты поврежденные мышцы передней брюшной стенки и восстановлена непрерывность париетальной брюшины. Брюшная полость промыта 3000 мл 0,9% раствора NaCl, установлены двухпросветные дренажи в полость малого таза, в правое подпеченочное пространство и в левый латеральный канал. Выполнена петлевая трансверзостомия.
После операции пациент переведен в отделение реанимации, где проводили антибактериальную, инфузионно-трансфузионную, антисекреторную, анальгетическую терапию, лабораторный и лучевой контроль, выполняли перевязки, динамическое наблюдение.
При УЗИ органов брюшной полости на 4-е сутки после операции отмечены признаки послеоперационного пареза кишечника, отек стенок тонкой кишки, диффузные изменения поджелудочной железы, гематомы правой доли печени, жидкостное пропитывание тканей брыжейки тонкой кишки, забрюшинная гематома слева.

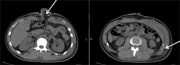
На 6-е сутки после операции выполнена КТ брюшной полости с контрастным усилением (рис. 4): Рис. 4. Компьютерные томограммы органов брюшной полости больного Б. на 6-е сутки после операции. признаки межмышечных и подкожных гематом брюшной стенки с включениями газа, небольшое количество жидкости межпетельно в полости таза, отек подкожной клетчатки поясничной области, контузионные изменения в задних сегментах нижних долей обоих легких (преимущественно правого), перелом крыла левой подвздошной кости.
Пациенту ежедневно выполняли перевязки послеоперационных ран, промывание дренажей из брюшной полости и межмышечного пространства брюшной стенки. Назоэнтеральный и назогастральный зонды установлены на активную аспирацию с введением капельно физиологического раствора в малый канал назоэнтерального зонда. Ежедневно в зонды вводили по 100 мл вазелинового масла. С 3-х суток после операции у пациента начали отходить газы, с 5-х суток появился стул по колостоме. Дренажи из брюшной полости удалены на 4-е и 6-е сутки после операции, назоэнтеральный зонд — на 6-е сутки. По данным УЗИ, КТ и биохимического анализа крови выявлены признаки травматического панкреатита, в связи с этим с 6-х послеоперационных суток пациент получал октреотид по 300 мкг 3 раза в сутки в течение 5 сут.
При УЗИ на 12-е сутки после операции в брюшной полости определяются свободная жидкость неоднородного характера (до 4 см в полости малого таза), отек стенок тонкой кишки, диффузные изменения поджелудочной железы, гематома правой доли печени по типу пропитывания, эхопризнаки спленомегалии.
При УЗИ мягких тканей передней брюшной стенки в области послеоперационной раны слева в гипогастрии на глубине 1 см жидкостное скопление с взвесью и инфильтрацией тканей до 1 см вокруг.
На фоне комплексного лечения состояние пациента стабилизировалось. На фоне антибактериальной терапии у пациента развились явления антибиотикоассоциированного колита (многократный неоформленный стул до 6 раз в сутки), которые регрессировали после отмены антибиотиков. В удовлетворительном состоянии пациент выписан под наблюдение хирургом по месту жительства.
Больной К., 46 лет, поступил с жалобами на боль в левой половине грудной клетки, во всех отделах живота в 1-е сутки после травмы (со слов, был избит неизвестным, тошноты, рвоты не было, сознание не терял). При поступлении состояние больного средней степени тяжести; дыхание при аускультации в легких с жестким оттенком, ослаблено в нижних отделах слева, хрипов нет. Живот не вздут, при пальпации напряжен, болезненный во всех отделах; перитонеальные симптомы положительные.
Status localis: разлитая боль при пальпации грудной клетки слева по задней подмышечной и лопаточной линии с VI по IX ребро. Подкожной эмфиземы грудной клетки нет.
При УЗИ брюшной полости при поступлении выявлено разобщение листков брюшины под печенью до 0,9 см, в полости малого таза — до 0,9 см. Заключение: эхопризнаки свободной жидкости в брюшной полости.
При рентгенографии органов брюшной полости при поступлении: газ и плотное содержимое по ходу толстой кишки на всем протяжении; в мезогастрии единичные пневматизированные петли тонкой кишки, диаметром 3,3 см с нечеткими уровнями жидкости. Заключение: функциональный фон.
В экстренном порядке выполнена диагностическая лапароскопия: в брюшной полости мутный геморрагический выпот до 300 мл во всех отделах живота, на висцеральной брюшине мезогастральной области налет фибрина. На расстоянии 80 см от илеоцекального угла сквозной дефект тонкой кишки с вывернутыми краями размером 3×2 см. Принято решение о конверсии — выполнена широкая срединная лапаротомия. В брюшной полости 450 мл геморрагического содержимого с примесью кишечного отделяемого. В 80 см от илеоцекального угла определяются 3 линейных разрыва подвздошной кишки диаметром до 1,5 см (рис. 5). Рис. 5. Множественные разрывы стенки тонкой кишки (интраоперационные фотографии). Брыжейка тонкой кишки с множественными поверхностными разрывами, кровоподтеками, гематомой (рис. 6). Рис. 6. Разрыв брыжейки тонкой кишки (интраоперационная фотография). В верхней трети сигмовидной кишки дефект серозно-мышечного слоя размером 2×1 см. При дальнейшей ревизии повреждений желчного пузыря, желудка, начального отдела двенадцатиперстной кишки не выявлено. Выполнена резекция около 15 см участка подвздошной кишки с тремя разрывами. Сформирован энтероэнтероанастомоз конец в конец. Произведена назоинтестинальная интубация. Выполнено ушивание дефекта стенки сигмовидной кишки. Произведено дренирование брюшной полости в полость малого таза, правое подпеченочное пространство и в левый латеральный канал.
После операции пациенту проводили антибактериальную, инфузионно-спазмолитическую, антисекреторную терапию, лабораторный контроль, динамическое наблюдение.
На 3—4-е сутки после операции удалены дренажи из брюшной полости.
На 4-е сутки после операции выполнено радиоизотопное исследование всасывающей способности кишки — нарушений не выявлено.
Для оценки состоятельности энтероэнтероанастомоза и пассажа по тонкой кишке на 6-е сутки после операции дано 100 мл водорастворимого контрастного вещества через назоинтестинальный зонд: петли тонкой кишки диаметром до 3 см; энтероэнтероанастомоз диаметром до 0,6 см. Затекания контрастного вещества за его контуры не выявлено. Через 2 ч контраст распределился по толстой кишке на всем протяжении.
Послеоперационный период гладкий. Швы с послеоперационной раны сняты на 12-е сутки. В удовлетворительном состоянии пациент выписан под наблюдение хирургом по месту жительства.
Таким образом, у 1 (37,9%) больной с закрытой травмой живота имеются повреждения кишечника, что является причиной развития перитонита. Основной задачей диагностического поиска является установка объема и тяжести повреждений, требующих неотложного хирургического вмешательства. Прогностически важно динамическое наблюдение за пациентом в 1-е сутки после получения травмы. В настоящее время приоритет в диагностике закрытой травмы живота мы отдаем динамическому ультразвуковому исследованию и диагностической видеолапароскопии.
Читайте также:
