Сочетанные ранения груди и шеи - варианты, характеристика
Добавил пользователь Евгений Кузнецов Обновлено: 11.12.2025
Дмитрий Клюйко, начальник кафедры военно-полевой хирургии военно-медицинского факультета БГМУ, кандидат мед. наук, доцент, полковник медицинской службы; Сергей Жидков, профессор кафедры военно-полевой хирургии военно-медицинского факультета БГМУ, доктор мед. наук, профессор. 24.08.2020
Оказание медицинской помощи пациентам с боевой хирургической травмой — одна из важнейших проблем медицины. Ввиду внезапности возникновения, редкости и массовости поступления пострадавших данная патология представляет большую сложность для врачей системы гражданского здравоохранения. Вместе с тем в настоящее время основная нагрузка по оказанию медицинской помощи ложится именно на гражданских специалистов.
Огнестрельные и взрывные (минно-взрывные) ранения различных локализаций в отсутствие вооруженных конфликтов встречаются в виде спорадических случаев, при этом характеризуются вовлечением специалистов различного профиля, длительными сроками лечения и продолжительной реабилитацией. При оказании медицинской помощи пострадавшим от различных видов огнестрельного оружия следует руководствоваться принципами военно-полевой хирургии.
Документом, устанавливающим общие требования к оказанию специализированной помощи пациентам, является Постановление Министерства здравоохранения Республики Беларусь от 22 февраля 2018 г. № 19.1 «Об утверждении клинического протокола «Лечение пациентов с огнестрельными ранами в стационарных условиях».
Изучением особенностей развития и течения огнестрельных ранений занимается военно-полевая хирургия, в которой принята следующая терминология.
Огнестрельная рана — нарушение целостности кожных покровов либо слизистых оболочек, нанесенное огнестрельным оружием. В виде ранящего снаряда могут выступать пули, в том числе резиновые, осколки, шарики и другие поражающие элементы.
Огнестрельное ранение — частный вид травмы, включающий ответную реакцию организма на огнестрельную рану.
В огнестрельной ране выделяют три зоны: раневой канал — собственно дефект ткани, представляющий собой извилистую рану, заполненную раневым детритом, кровяными сгустками, инородными телами, осколками ранящего снаряда.
Зона первичного некроза — ограничивает раневой дефект, представляет собой размозженные ткани, утратившие жизнеспособность в процессе получения огнестрельной раны, и подлежит полному удалению во время хирургической обработки.
Отличительной особенностью огнестрельной раны является наличие зоны вторичного некроза , которая возникает в результате воздействия высокой энергии ранящего снаряда (энергии бокового удара) на ткани на значительном удалении от раневого канала.
Огнестрельные ранения
Минно-взрывные ранения представляют собой разрушение тканей любой локализации либо отрывы сегментов конечностей в результате воздействия на организм человека боеприпасов взрывного действия при нахождении тела в зоне прямого поражающего действия газообразных продуктов детонации взрывчатого вещества или взрывной ударной волны.
Взрывные травмы — открытые и закрытые травмы, полученные в результате метательного действия взрывных боеприпасов, воздействия на тело человека окружающих предметов или вследствие заброневого действия взрывных боеприпасов, а также вследствие падения с техники в момент подрыва.
Осколочные ранения — ранения, полученные в результате воздействия на тело человека осколков взрывных боеприпасов.
По аналогии с огнестрельной раной взрывная (минно-взрывная) травма включает три зоны: травматического и коагуляционного некроза, некротических и дистрофических изменений, микроциркуляторных расстройств. При этом ведущими могут быть поражения центральной нервной системы, легких, сердца и крупных сосудов, полых и паренхиматозных органов, опорно-двигательного аппарата.
Повреждения головы и позвоночника при минно-взрывной травме
Являются наиболее распространенным компонентом многофакторного поражения. Наиболее тяжело протекают проникающие ранения черепа, критерием постановки диагноза служит повреждение твердой мозговой оболочки, поскольку она является надежным барьером на пути проникновения инфекции в полость черепа.
В фазе клинической компенсации и клинической субкомпенсации выявляются обычно очаговые симптомы, но нарушений витальных функций нет. Фаза умеренной клинической декомпенсации характеризуется появлением брадикардии, артериальной гипертензии, редкого и глубокого дыхания, которые отражают нарастание отека головного мозга и нарушение жизненно важных функций.
Фаза глубокой клинической декомпенсации проявляется сменой брадикардии на тахикардию, гипертонии на гипотонию, редкого и глубокого дыхания на частое и поверхностное. Она развивается на фоне комы и характеризует дислокацию головного мозга первой степени, когда ствол его в результате отека или сдавления ущемляется в отверстии мозжечкового намета, что является осложнением тяжелого повреждения головного мозга или поздней стадией его сдавления.
Терминальная фаза развивается при дислокации головного мозга второй степени — вклинение ствола в большом затылочном отверстии. Она проявляется прогрессирующей тахикардией и гипотонией, появлением патологических ритмов дыхания, вплоть до остановки, и характерна для крайне тяжелого повреждения головного мозга и необратимых стадий его сдавления.
Реже встречаются ранения позвоночника, при этом определить степень повреждения спинного мозга в ранние сроки довольно трудно по причине развития спинального шока — начального симптомокомплекса нарушения функции спинного мозга, существенно превышающего тот объем неврологических расстройств, который соответствует истинному уровню повреждения. Глубокие неврологические нарушения могут быть и при взрывной травме в случаях отсутствия повреждения костных структур позвоночника. Это обычно связано с кровоизлиянием в вещество мозга, эпидуральными и субдуральными гематомами, а также сдавлением спинного мозга пролабирующими в позвоночный канал участками межпозвоночного диска.
Взрывные травмы груди
Особого внимания заслуживают взрывные травмы груди. Клинические проявления их зависят от характера повреждений, возникающих главным образом в результате воздействия на организм ударной волны и падения тела на твердые предметы при его отбрасывании.
Ведущим фактором, определяющим характер и тяжесть взрывных травм груди, является повреждение внутренних органов и костей, нарушение функции внешнего дыхания, шок и кровопотеря. Другим важным фактором, оказывающим большое влияние на клиническое течение данного вида травм, являются переломы ребер, при которых образуется реберный клапан, совершающий парадоксальные движения и способствующий быстрому развитию гипоксии.
Наиболее частыми проявлениями взрывной травмы груди являются гемоторакс и гемопневмоторакс, ушиб сердца и легкого. Характер взрывных ранений мягких тканей груди различен и зависит от вида взрывного устройства.
При наличии раны груди выполняется обзорная рентгенография и при отсутствии гемо- или пневмоторакса производится туалет раны без прогрессивной ревизии и исследования раневого канала. В противном случае активные действия с ранами груди могут привести к возникновению ятрогенного пневмоторакса.
Увеличение границ сердца, сглаженность его контуров свидетельствуют о ранении сердца. Рентгенологическое обследование облегчает диагностику посттравматического пульмонита. Ранение средостения, как правило, сопровождается эмфиземой и соответствующей клинической и рентгенологической картиной.
Повреждения живота
При взрывных повреждениях живота возникающие расстройства обусловлены суммой патологических влияний, включающих главным образом массивную кровопотерю, эндотоксикоз, нарушение функции жизненно важных органов.
Особенностью этого вида повреждений является преимущественно закрытая травма паренхиматозных органов (печень, селезенка, почки).
Большие диагностические трудности, обусловленные синдромом взаимного отягощения, требуют тщательного динамического осмотра раненого. Необходимо помнить, что боль в животе и его вздутие, нарушение перистальтики кишечника, пальпаторная болезненность и напряжение брюшной стенки могут быть и при ушибах мягких тканей живота или значительных гематомах забрюшинного пространства без повреждений внутренних органов.
Ухудшение состояния пострадавшего (гипотония, сохраняющаяся или нарастающая тахикардия и т. д.) при отсутствии ощутимого эффекта от интенсивной инфузионно-трансфузионной терапии свидетельствует о продолжающемся кровотечении, естественно, если исключены другие источники.
Гематурия, как правило, свидетельствует о повреждениях мочевого пузыря или почек. Во всех случаях необходимо производить осмотр ануса и пальцевое исследование прямой кишки.
Основными рентгенологическими симптомами закрытой травмы живота являются: содержание газа в брюшной полости или забрюшинном пространстве; наличие жидкости в брюшной полости; вздутие желудка и кишечника и их перемещение; нарушение положения, форм и функции диафрагмы.
При подозрении на травму почек, мочеточников и мочевого пузыря проводят внутривенную урографию, ретроградную пиелографию, цистографию, уретрографию.
Очень важным диагностическим методом является лапароцентез, показания к которому: неясная клиническая картина повреждений внутрибрюшных органов; тяжелая сочетанная травма черепа, груди, таза с утратой сознания; сочетанная травма груди, позвоночника, таза, когда появляются признаки острого живота. После проведения лапароцентеза при отрицательном результате в брюшной полости оставляют дренаж на 1-2 суток для диагностического наблюдения.
Нужно всегда внимательно оценивать точечные ранения поясничной области, так как при них могут наблюдаться опаснейшие повреждения органов забрюшинного пространства.
Не следует забывать, что даже при непроникающих в брюшную полость ранах силой бокового удара ранящего снаряда возможно повреждение внутренних органов.
Взрывные повреждения конечностей
Их следует отнести к числу наиболее тяжелых травм. Механизм возникновения, а именно воздействие поражающих факторов взрыва обусловливает множественные и обширные ранения с разрушением мягких тканей, костей и суставов. Клиника и диагностика отрывов конечности при минно-взрывной травме в целом не сложная. Первичный осмотр культи с выявлением характера костного и мягкотканных повреждений обычно дает основу для установления диагноза.
У пострадавших в сознании важное значение имеет выяснение более точных обстоятельств получения травмы и детальное изучение жалоб. Обязательным является документирование повреждения с использованием фототехники.
Последовательное и возможно полное обследование всех без исключения частей тела совершенно необходимо — исключения здесь не могут быть оправданы!
Методы лечения
Основным методом лечения огнестрельных и минно-взрывных ранений на этапе квалифицированной медицинской помощи является хирургическая обработка ран.
Первичная хирургическая обработка огнестрельной раны — это оперативное вмешательство, выполняемое преимущественно под общей анестезией в условиях операционной с целью предотвращения раневой инфекции и создание благоприятных условий для заживления раны.
Вторичная хирургическая обработка является оперативным вмешательством, направленным на устранение развившихся осложнений в огнестрельной ране.
Хирургическая обработка может выполняться по первичным или вторичным показаниям два и более раз, при этом название операции будет формулироваться как повторная (первичная или вторичная) хирургическая обработка.
Первичная хирургическая обработка включает следующие этапы:
1. Рассечение раны. Длина разреза должна быть достаточной для осмотра раневого канала выполнения оперативного вмешательства на поврежденных органах и тканях. Фасциотомия является неотъемлемой частью первичной хирургической обработки на сегменте конечности, она выполняется с целью декомпрессии мышечных футляров, а также для предотвращения развития анаэробной инфекции. При минно-взрывной травме данный этап зачастую не проводится по причине размозжения тканей и отсутствия раневого канала.
3. Иссечение нежизнеспособных тканей. Кожу иссекают экономно, удаляют только явно некротизированные участки, с учетом необходимости последующего закрытия раневого дефекта, широко иссекают подкожную клетчатку без отчетливых признаков жизнеспособности.
4. Хирургическое вмешательство на поврежденных органах и тканях. Объем этого этапа первичной хирургической обработки и выбор привлекаемых врачей-специалистов зависят от вида и локализации выявленных повреждений. При взрывных ранениях конечностей чаще всего применяют ампутации поврежденной конечности.
5. Дренирование раны. Методом выбора для неушитых ран является выполнение пассивного дренирования различными видами выпускников и трубок.
6. Закрытие раны. Первичный шов после хирургической обработки раны не накладывают. Это обусловлено наличием зоны вторичного некроза в раневом канале огнестрельной раны и необходимостью создания условий для отторжения вновь возникших очагов некроза, которые могут формироваться в течение 2-3 суток после ранения. Исключением являются раны областей, имеющих хорошее кровоснабжение и низкий риск развития раневой инфекции: лицо, волосистая часть головы, половые органы. На операционные раны, расположенные вне раневого канала и образовавшиеся в результате дополнительных доступов, допускается наложение первичных швов. Обязательно выполнение герметизации плевральной, брюшной, суставных полостей. Кожу и подкожную клетчатку при этом не ушивают.
В послеоперационном периоде пострадавшему назначают комплексую антибактериальную терапию с учетом анаэробного спектра микроорганизмов, инфузионную терапию, лекарственные средства, улучшающие микроциркуляцию.
Хирургическая обработка огнестрельной раны не выполняется при наличии множественных мелких поверхностных слепых осколочных ран мягких тканей; сквозных пулевых и осколочных ран с точечными (до 1 см диаметром) входным и выходным отверстиями без кровотечения и напряженных гематом; слепых осколочных ран мягких тканей спины, ягодичной области без признаков кровотечения; поверхностных касательных ран.
В перечисленных случаях выполняют туалет огнестрельной раны, включающий обработку кожи вокруг раны и промывание раны раствором антисептических средств, обкалывание тканей вокруг ран антибиотиками, дренирование раневого канала полихлорвиниловой трубкой или резиновым выпускником, наложением асептической повязки.
К сведению
Головным учреждением, оказывающим помощь пострадавшим с огнестрельными и минно-взрывными ранениями, является Республиканский центр по лечению огнестрельных ранений и минно-взрывных травм на базе 432-го Главного военного клинического медицинского центра Вооруженных Сил Республики Беларусь. Центр обладает силами и средствами для оказания помощи раненым, особенно при их массовом поступлении. Слаженная работа коллектива, накопленный опыт, многопрофильность специалистов позволяют добиваться хороших и отличных результатов в лечении данной категории пациентов.
Военно-полевая хирургия преподается на одноименной кафедре военно-медицинского факультета БГМУ и является неотъемлемой частью подготовки врачей всех специальностей. Для врачей-хирургов системы здравоохранения на базе кафедры функционируют курсы повышения квалификации «Военно-полевая хирургия: особенности организации и оказания медицинской помощи в условиях вооруженных конфликтов и чрезвычайных ситуаций мирного времени». Знания по военно-полевой хирургии, к счастью, редко применяются врачами в Беларуси, однако теоретическая подготовка и практические навыки по вопросам организации и осуществления помощи пострадавшим при боевой хирургической патологии является частью государственной безопасности нашей страны.
Повреждения грудной клетки ( Травмы грудной клетки )
Повреждения грудной клетки - травмы, при которых страдают кости, образующие каркас грудной клетки и/или органы, расположенные в грудной полости. Это - обширная и достаточно разнородная группа травматических повреждений, включающая в себя как переломы ребер, так и травмы жизненно важных органов (легких и сердца). Зачастую повреждения грудной клетки представляют непосредственную угрозу или потенциальную опасность для жизни пациента. Нередко сопровождаются кровопотерей различной тяжести и развитием острой дыхательной недостаточности, которые могут развиваться как сразу, так и спустя некоторое время после травмы. Поэтому все без исключения пациенты с повреждениями грудной клетки должны срочно направляться в специализированное мед. учреждение для обследования и дальнейшего лечения, которое, в зависимости от вида травмы, может быть либо консервативным, либо оперативным.
МКБ-10

Общие сведения
Повреждения грудной клетки - группа повреждений, включающая в себя травмы ребер, грудины и внутренних органов, расположенных в грудной полости. Такие травмы могут сильно различаться как по характеру, так и по тяжести, однако из-за потенциальной опасности для жизни пациента на начальном этапе всегда рассматриваются врачами, как серьезные, требующие детального обследования больного. Эта группа травм отличается высокой летальностью при отсутствии медицинской помощи и достаточно высоким процентом благоприятных исходов при своевременной доставке пациента в специализированное мед. учреждение. Смертность составляет 5-6%, при этом большинство смертельных случаев приходится на открытые повреждения (ранения), а также на множественные переломы ребер с разрывом легкого.
Классификация
Все повреждения грудной клетки подразделяются на две группы: закрытые и открытые. Отличительной особенностью закрытых повреждений является отсутствие раны. Такие повреждения делятся на:
- Сотрясения. Травмы, при которых видимые морфологические изменения грудной клетки отсутствуют.
- Ушибы. В эту группу включают ушибы ребер и мягких тканей, ушиб сердца, ушиб сосудов, ушибы и разрывы легких, гемоторакс и пневомоторакс, переломы грудины, ребер и грудных позвонков.
- Сдавления. Сюда относятся случаи травматической асфиксии, при которых грудь пациента сдавливается между двумя тупыми предметами, из-за чего возникает удушье.
При открытых повреждениях в области грудной клетки есть рана, которая может быть ножевой, огнестрельной и т. д. Открытые повреждения (ранения) подразделяются на:
- Непроникающие.
- Проникающие.
- Без повреждения внутренних органов, расположенных в грудной полости.
- С повреждением внутренних органов, расположенных в грудной полости.
- С повреждением костей (ребер, грудных позвонков или грудины).
- Без открытого пневмоторакса или с его наличием.
- Без открытого гемоторакса или с его наличием.
- Торакоабдоминальная травма (с одновременным нарушением целостности грудной полости, диафрагмы и брюшной полости).
С учетом характера повреждения также выделяют сквозные, слепые и касательные раны груди.
Причины
В мирное время закрытая травма грудной клетки встречается в травматологии намного чаще открытой. Ее основными причинами становятся автомобильные аварии (70%), падения с высоты (23%), производственные травмы, природные катастрофы, криминальные действия (избиение, драка) или бытовая травма. Чаще всего при закрытой травме выявляются повреждения легких (60%), ребер (45,4%), сердца (8%) и позвоночника (4,8%). Остальные органы страдают достаточно редко. Повреждения легких, межреберных сосудов, плевры, бронхов и легочных сосудов чаще имеет вторичный характер и развивается вследствие травматизации этих органов острыми концами сломанных ребер.
Открытые повреждения в мирное время встречаются нечасто и обычно возникают в результате ранения холодным оружием. Количество огнестрельных ранений резко увеличивается в военное время. Раны, нанесенные другим предметом (например, острым металлическим штырем или куском арматуры) могут возникнуть в результате производственной травмы, техногенной или природной катастрофы либо несчастного случая в быту.
Переломы ребер и грудины
Переломы ребер обычно возникают у взрослых пациентов. У детей и подростков наблюдаются очень редко вследствие чрезвычайной эластичности костных структур. С учетом механизма травмы все переломы ребер можно разделить на три группы: непрямые, прямые и отрывные. Наибольшее смещение отломков и, как следствие, высокая вероятность повреждения органов грудной полости острыми концами сломанных ребер, возникает при отрывных, двойных и множественных переломах.
Отломки ребер могут повреждать не только легкое и плевру, но и межреберные сосуды, вследствие чего возникает внутреннее кровотечение в плевральную полость и формируется гемоторакс. Если острый конец ребра протыкает легкое, воздух выходит в плевральную полость, и образуется пневмоторакс.
О переломе ребер свидетельствует резкая боль в месте повреждения и боль при сдавлении грудной клетки в переднезаднем направлении. Дыхание становится поверхностным. Пациенту легче находиться в сидячем, чем в лежачем положении. Основным методом инструментальной диагностики является рентгенография ребер. Лечение заключается в устранении болей, профилактике пневмонии и облегчении дыхания.
При неосложненном переломе одного ребра пациент находится на амбулаторном наблюдении. Перелом двух или более ребер является показанием для госпитализации. Больным назначают анальгетики и физиолечение, рекомендуют находиться в постели в положении полусидя. Для предупреждения застойных явлений в легких обязательно назначается дыхательная гимнастика. При множественных переломах ребер производится их оперативная иммобилизация.
Переломы грудины относительно редки. Сопровождаются болью, усиливающейся при кашле и глубоком дыхании. Пальпация резко болезненна. Для подтверждения диагноза выполняют боковую рентгенографию грудины. Лечение осуществляется в условиях стационара. При переломах без смещения назначается покой и обезболивающие препараты. При смещении выполняется репозиция на щите.
Ушибы, сотрясения и сдавления
Подобные повреждения грудной клетки встречаются реже, чем переломы ребер и возникают вследствие удара тупым предметом или форсированного сдавления между двумя крупными тупыми предметами. Ушиб грудной клетки сопровождается небольшой гематомой и умеренной болью. Обычно не требуют специального лечения. В отдельных случаях при сильном ушибе может возникнуть обширное кровоизлияние в ткани или полости грудной клетки, иногда сопровождающееся разрывом органов и тканей. Такая травма относится к категории тяжелых, требует неотложной госпитализации и может закончиться смертью больного.
При сотрясении грудной клетки наблюдается чрезвычайно тяжелый шок при отсутствии анатомических изменений. Состояние пациента тяжелое, дыхание неравномерное, болезненное, поверхностное. Пульс учащенный, неровный, едва уловимый. Конечности холодные, цианотичные. Необходима немедленная госпитализация, полный покой и вдыхание кислорода под давлением.
При сдавлении грудной клетки дыхательные движения нарушаются. Кровь оттекает от надплечий, верхней части груди, шеи и головы. Развивается удушье. Возможны нарушения сознания. Кожа перечисленных отделов тела синеет, на ней, а также на конъюнктиве и на слизистой полости рта образуются многочисленные мелкие кровоизлияния (экхимозы). Выявляется симптом декольте - отек и цианотичность верхней части туловища. Возможна временная потеря зрения и слуха, обусловленная кровоизлияниями и зрительный нерв, сетчатку, глазное яблоко и внутреннее ухо.
Пациента госпитализируют, рекомендуют находиться в покое в полусидячем положении. Для устранения болевого синдрома выполняют новокаиновые вагосимпатические блокады. Проводят санацию дыхательных путей, оксигенотерапию и, в некоторых случаях - искусственную вентиляцию легких.
Открытые повреждения
При непроникающих повреждениях грудной клетки состояние больных удовлетворительное. Лечение заключается в наложении повязки или ушивании раны. При проникающих ранениях состояние пациентов может значительно варьироваться и зависит от отсутствия или наличия гемопневмоторакса и сопутствующих повреждений внутренних органов и костного каркаса.
Гемоторакс при таких травмах развивается вследствие кровотечения в плевральную полость из поврежденных сосудов легкого и грудной стенки, пневмоторакс - из-за проникновения в плевральную полость воздуха из раненого легкого. При ранении легкого наблюдается кровохарканье, гемоторакс и подкожная эмфизема. Для уточнения диагноза выполняется рентгенография грудной клетки. Лечение хирургическое. Пациентов госпитализируют в специализированное отделение, где торакальные хирурги в экстренном порядке выполняют операцию и ушивание раны. Объем вмешательства зависит от характера травмы.
Гемоторакс
Гемоторакс (скопление крови в плевральной полости) образуется при кровотечении вследствие повреждения межреберных сосудов, легкого или внутренней грудной артерии. Выделяют малый (менее 500 мл), средний (от 500 до 1000 мл) и большой (более 1000 мл) гемоторакс. При малом состояние пациента не страдает или страдает незначительно. Возможно консервативное лечение. При среднем гемотораксе состояние больного умеренно или незначительно ухудшается, дыхание учащается. Может потребоваться как консервативное лечение, так и плевральная пункция.
При большом гемотораксе наблюдается шок, нарушение гемодинамики, сморщивание легкого и смещение органов средостения. Кожа больного цианотична, пульс учащен, дыхание тоже учащенное, поверхностное. Положение тела - вынужденное, сидячее, с опорой на руки. Необходима плевральная пункция, либо, если гемоторакс нарастает, - торакотомия для выявления и устранения источника кровотечения. Все пациенты с гемотораксом в обязательном порядке госпитализируются. Наблюдение включает в себя повторные рентгеноскопические или рентгенографические исследования для оценки динамики и определения дальнейшей тактики лечения.
Пневмоторакс
Пневмоторакс - это скопление воздуха, проникающего в плевральную полость из поврежденного легкого или из внешней среды. Выделяют три вида пневмоторакса: закрытый, открытый и клапанный. При закрытом пневмотораксе рана закрывается мягкими тканями. Количество воздуха ограничено и не увеличивается. Небольшое количество воздуха рассасывается самостоятельно, при умеренном может потребоваться плевральная пункция.
Помимо сдавления легкого на стороне повреждения пневмоторакс вызывает баллотирование средостения - маятникообразное движение органов при вдохах и выдохах. Сердце и сосуды смещаются, приток крови к сердцу уменьшается. Это еще больше утяжеляет состояние пациента. Все больные госпитализируются. Принимаются экстренные меры для устранения пневмоторакса. В последующем осуществляется динамическое наблюдение, выполняются повторные рентгеноскопии легких или рентгенографии.
Сочетанные ранения груди и шеи - варианты, характеристика
За последние два десятилетия отмечается неуклонный рост числа пострадавших с ранениями, что обусловлено резким ухудшением социально-экономической и криминальной обстановки, алкоголизмом и наркоманией [1]. Проблема приобрела особую актуальность после принятия в 1996 г. Государственной Думой закона РФ «Об оружии», который разрешил приобретение и использование огнестрельного оружия самообороны.
Следует подчеркнуть, что в России публикации результатов исследований 2 особенностей таких ранений принадлежат судебным медикам. В публикациях клиницистов, посвященных ранениям груди и живота, причиненным травматическим оружием, приводятся единичные наблюдения [5].

Наиболее часто встречаются ранения, нанесенные резиновыми пулями калибра 18 мм из бесствольных травматических пистолетов «Кордон», «Стражник» и ПБ-4 «Оса» (рис. 1, а). Рисунок 1. Наиболее распространенные виды травматического оружия. а - ПБ-4 («Оса»); б - ИЖ-79-9 ТМ («Макарыч»).
Бесствольное оружие «Оса» с резиновой пулей массой 8 г, снабженной стальным сердечником, имело до 2001 г. дульную энергию 110-120 Дж, что нередко причиняло серьезные повреждения вплоть до летального исхода, особенно при выстрелах с близкого расстояния [4]. С 2001 г. энергетическая характеристика боеприпаса к этому оружию была снижена до 80-85 Дж при одновременном увеличении массы пули до 11,6 г, что уменьшило опасность для жизни, но увеличило так называемый останавливающий эффект.
C 2004 г. широкое распространение получили пистолеты, сертифицированные как газовые, но с возможностью стрельбы резиновыми пулями калибра 9 мм, которые первоначально выпускались с дульной энергией от 35 до 70 Дж. Это пистолеты Иж-79-9 ТМ «Макарыч» российского производства (рис. 1, б), WASP-R (Чехия), «Хорхе» (Украина), «Grand-Power» (Словакия и РФ), «Steel» (Турция), «Викинг» (Германия и РФ). Однако в последующем производители постепенно увеличили энергетику некоторых видов патронов до 130 Дж, что усилило их поражающее действие и вызвало обоснованную тревогу правоохранительных органов [7].
Цель данной публикации состоит в изложении самого большого в стране опыта диагностики и лечения этого во многом неисследованного вида огнестрельных ранений гражданского населения из травматического оружия.
Материал и методы
В течение 2000-2009 гг. в НИИ скорой помощи им. Н.В. Склифосовского поступили 483 пострадавших с огнестрельными ранениями из травматического оружия, в том числе 322 с изолированными и сочетанными ранениями шеи, груди и живота, что составило 66% общего количества пострадавших с ранениями из травматического оружия и 54,4% общего количества пострадавших со всеми огнестрельными ранениями шеи, груди и живота. Из 322 пострадавших было 308 (95%) мужчин и 14 (5%) женщин. Возраст раненых колебался от 16 до 69 лет, составляя в среднем 31,8±10,2 года. Наибольшее число пострадавших как среди мужчин, так и среди женщин составили лица в возрасте от 16 до 29 лет. Обращает на себя внимание увеличение в 9 раз числа ранений (90 наблюдений) в 2009 г. по сравнению с 2000 г. (10 наблюдений). В абсолютном большинстве наблюдений (98,8%) ранения имели криминальный характер, и только у 4 пациентов они были следствием аутоагрессии.
При ретроспективном анализе всех наблюдений выяснено, что в холодные месяцы года число ранений, нанесенных травматическим оружием, снижалось почти в 2 раза по сравнению с периодом теплой погоды, что, очевидно, связано не с частотой применения такого оружия, а со снижением его повреждающего действия при наличии плотной одежды.

В таблице представлены локализация и характер ранений в зависимости от вида травматического оружия. При этом у 225 пострадавших ранения были изолированными, у 97 (30%) они сочетались с ранениями других областей тела. Всего у 322 пострадавших было 359 ранений шеи, груди, живота.

Наиболее часто имелись сочетанные ранения: грудь+конечности (27), грудь+живот (11), грудь+ голова (8), шея+грудь (8), живот+конечности (4), шея+конечности (3). Остальные 36 наблюдений были представлены сочетанием поражения более двух анатомических областей (рис. 2). Рисунок 2. Пострадавший с одновременными ранениями из травматического оружия шеи, груди и плеча. 63% всех ранений приходились на ранения груди. Глубокие ранения шеи составили 28,6% всех ранений шеи, при выстрелах из оружия типа «Оса» такие ранения наблюдались у 35,7% против 19,4% пострадавших при выстрелах из оружия типа «Макарыч», проникающие ранения груди после стрельбы из «Осы» составили 7,3% против 3,7% при выстрелах из «Макарыча», а все проникающие ранения живота были нанесены пулями, выпущенными из оружия типа «Макарыч». Все наблюдения глубоких и проникающих ранений при стрельбе из оружия типа «Макарыч» встречались после 2005 г. (2006-2009).
Результаты

Внешний вид ран, нанесенных пулями из этих двух типов травматического оружия, также был различен. Если раны, нанесенные пулями из пистолета типа «Макарыч», были в основном округлой формы, от 0,9 до 1,5 см в диаметре с относительно ровными краями (рис. 3, а), Рисунок 3. Внешний вид ран, нанесенных травматическим оружием. Объяснения в тексте. то ранения пулями, выпущенными из «Осы», имели рваные края с большой зоной ушиба, диаметр их колебался от 2 до 3 см (рис. 3, б). При выстрелах с дальнего расстояния пули калибра как 9 мм, так и 18 мм причиняли поверхностные повреждения, которые были представлены зоной осаднения кожи, ушиба и подкожным кровоизлиянием (рис. 3, в, г).

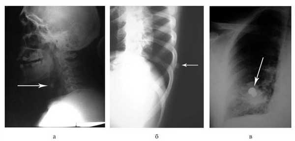
Поверхностные раны шеи требовали первичной хирургической обработки с экономным иссечением их краев. Инородных тел в тканях при этом не выявлено. При глубоком ранении (что определялось по внешнему виду раны) для исключения повреждения органов и структур шеи выполняли обзорную рентгенографию (рис. 4, а), Рисунок 4. Обзорные рентгенограммы пострадавших с ранениями из травматического оружия. Стрелками указаны инородные тела (пули). а - при ранении шеи; б - при непроникающем ранении груди; в - при проникающем ранении груди. затем продольную переднюю колотомию (21 наблюдение). При этом в 1 наблюдении обнаружено ранение трахеи и в 2 - повреждение ротоглотки. Инородные тела извлечены в 10 наблюдениях (пули из пистолета «Макарыч» - в 6, из «Осы» - в 4). Хирургическая обработка раневого канала являлась заключительным этапом вмешательства.
При поступлении пострадавших с ранениями груди и живота, причиненными травматическим оружием, выполняли обзорную рентгенографию. У 217 больных ранения были непроникающими (рис. 4, б). Следует подчеркнуть, что пули калибра 9 мм являются малоконтрастными и определение их локализации при рентгенологическом исследовании представляло определенную трудность.

У 13 раненых огнестрельные повреждения груди были проникающими (рис. 4, в). При отсутствии показаний к торакотомии вмешательство ограничивали первичной хирургической обработкой и дренированием плевральной полости (7 наблюдений). Несмотря на проникающие ранения, при рентгенологическом исследовании инородных тел (пуль) в этих наблюдениях выявлено не было. Двум больным этой группы в отсроченном порядке была выполнена торакоскопия в связи с выявленным инородным телом легкого или плевральной полости на рентгенограмме груди в послеоперационном периоде. В одном из этих наблюдений выполнены пневмотомия и удаление резиновой пули калибра 18 мм, ушивание раны легкого П-образными швами, санация и дренирование плевральной полости. В другом наблюдении резиновая пуля калибра 18 мм лежала в заднем костно-диафрагмальном синусе слева (рис. 5), Рисунок 5. Фотография при торакоскопии: в заднем синусе левой плевральной полости видна резиновая пуля калибра 18 мм. произведены ее удаление, санация и дренирование плевральной полости.
Торакотомия выполнена в 6 наблюдениях. У 2 больных показанием к ней явилась низкая локализация раны с подозрением на торакоабдоминальное ранение справа, при этом у одного из этих пациентов имелось касательное непроникающее ранение диафрагмы - пуля калибра 18 мм свободно лежала в плевральной полости, у другого - субплевральная гематома и гематома легкого без наличия инородного тела (по словам пострадавшего, выстрел был сделан из бесствольного оружия с близкого расстояния).
У одного пострадавшего с ранением левой половины груди пуля калибра 9 мм по данным предоперационного обследования находилась в области сердца. При торакотомии выявлено, что она лежала на передней стенке перикарда, не повреждая его. Одному пациенту левосторонняя торакотомия выполнена в связи с наличием множественных ранений груди с гемотораксом и инородным телом в ткани легкого, произведено удаление резиновой пули калибра 18 мм и ушивание раны легкого. Еще одному пострадавшему в связи с наличием обширной раны средней доли правого легкого во время торакотомии выполнены удаление резиновой пули калибра 9 мм и краевая резекция участка легочной ткани.
Заслуживают особого внимания 2 наблюдения.
Больной Ш., 26 лет, с огнестрельным ранением груди справа был доставлен бригадой скорой медицинской помощи в операционную НИИ скорой помощи им. Н.В. Склифосовского, минуя приемное отделение. Состояние больного тяжелое, он несколько заторможен, вял. С его слов, получил огнестрельное ранение от неизвестного человека. Рана овальной формы, размером 2,0×1,5×1,3 см, с пояском осаднения располагалась в четвертом межреберье справа по передней подмышечной линии. Признаки наружного кровотечения отсутствовали. АД 100/75 мм рт.ст., ЧСС 96 в минуту, ЧДД 23 в минуту. Дыхание справа внизу ослаблено, здесь же укорочение перкуторного звука. При рентгенографии и УЗИ отмечались признаки правостороннего гидропневмоторакса.
Через 15 мин после поступления больной был оперирован. Под местной анестезией выполнено дренирование правой плевральной полости, получено около 500 мл свежей крови, после чего отделение крови прекратилось, однако продолжалось поступление воздуха. Операция завершена первичной хирургической обработкой раны: при ревизии раневой канал в четвертом межреберье проникал в правую плевральную полость.

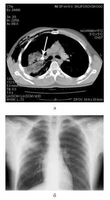
В связи с большим поступлением воздуха по дренажу сразу после этой операции пострадавшему выполнена КТ груди (рис. 6, а): Рисунок 6. Данные обследования пострадавшего Ш. а - компьютерная томограмма перед операцией; б - обзорная рентгенограмма груди перед выпиской из стационара. имелось инородное тело (пуля) в прикорневых отделах правого легкого, сдавливающее просвет верхнедолевого бронха. Травматическая инфильтрация II, III, VI, VII, VIII, IX, X сегментов правого легкого на фоне частичного коллабирования. Несмотря на наличие плеврального дренажа (по Бюлау), на фоне незначительного гемоторакса (230 см 3 ) имелся пневмоторакс большого объема (1100 см 3 ). Определялись эмфизема мягких тканей правой поверхности грудной стенки, перелом II и III ребер справа.
Под эндотрахеальным наркозом выполнена переднебоковая торакотомия в пятом межреберье справа. В плевральной полости около 400 мл крови. На переднебоковой поверхности верхней доли правого легкого в проекции III сегмента определяется рана диаметром 2 см, из которой обильно поступал воздух и немного крови. По краям дефекта имеется зона невентилируемой паренхимы легкого диаметром 3 см. В дне раны на глубине около 5 см находится инородное тело - пуля. Отмечается небольшое геморрагическое пропитывание ткани верхней доли легкого со стороны корня, кровотечения нет. Рана легкого расширена и пуля калибра 9 мм извлечена. В дне раны определялся сегментарный бронх (Б3) с боковым дефектом размером 3×6 мм с острыми углами. Дефект ушит нитью полидиоксанон 4/0 на атравматической игле. Дефект в легком послойно ушит викрилом 2/0. Гемостаз, аэростаз. Ателектазированные участки легкого расправлены. При дальнейшей ревизии выявлен перелом ребра в области огнестрельной раны с подтеканием крови. Произведено лигирование с прошиванием межреберной артерии. Плевральная полость дополнительно дренирована во втором межреберье по среднеключичной линии, рана грудной стенки послойно ушита. Интраоперационная кровопотеря около 1000 мл, кровь реинфузирована аппаратом Сell-saver.

При наличии ран живота выполняли их первичную хирургическую обработку с извлечением пули (рис. 7) Рисунок 7. Интраоперационная фотография: пуля калибра 9 мм в мягких тканях брюшной стенки. и в случае обнаружения проникающего характера повреждения производили срединную лапаротомию (3 наблюдения). При этом в одном наблюдении была повреждена серозная оболочка тонкой кишки, в другом имелся ушиб тонкой кишки (произведена резекция тонкой кишки и наложен энтероэнтероанастомоз) и в третьем - сквозное ранение левой доли печени, сопровождавшееся кровопотерей около 1600 мл.
Больной К., 27 лет, доставлен бригадой скорой медицинской помощи в операционную НИИ скорой помощи им. Н.В. Склифосовского, минуя приемное отделение, с диагнозом: огнестрельное торакоцервикальное ранение груди и слепое огнестрельное ранение живота из травматического оружия. Собрать анамнез в связи с алкогольным опьянением не представлялось возможным. Состояние больного тяжелое. Латеральнее и ниже левого грудиноключичного сочленения начиналась полоса осаднения кожи длиной около 5 см, шириной 1,2 см, следующая снизу вверх на шею и оканчивающаяся участком размозжения кожи шеи над передней ножкой левой грудиноключично-сосцевидной мышцы. Вторая рана диаметром 1-1,2 см с пояском осаднения и без признаков наружного кровотечения локализовалась в правой подреберной области. При УЗИ свободной жидкости в плевральных и брюшной полостях не выявлено.
Через 30 мин после поступления под эндотрахеальным наркозом иссечены края раны передней брюшной стенки. Раневой канал проходил спереди назад, сверху вниз и проникал в брюшную полость. Произведена срединная лапаротомия. В брюшной полости 1500 мл крови и сгустков. Кровь собрана аппаратом Cell-saver. При ревизии выявлено сквозное огнестрельное ранение IV сегмента печени: рана звездчатой формы, размером 7×5×7 см, с кровотечением. Рана ушита викрилом 2/0. Достигнут гемостаз. При дальнейшей ревизии повреждений других органов не обнаружено, инородное тело не найдено. Операция закончена санацией и дренированием брюшной полости, первичной хирургической обработкой касательной торакоцервикальной раны слева. Общая кровопотеря составила 1600 мл крови, реинфузировано 600 мл клеточного компонента.
Послеоперационный период протекал без осложнений. На 4-е сутки удалены дренажи из брюшной полости. Раны зажили первичным натяжением. При повторном УЗИ брюшной полости в IV сегменте печени лоцировалась неоднородная зона пониженной эхогенности с неровными контурами, размером 3,2×1,6×0,5 см, без признаков кровотока при цветовом допплеровском картировании. По передней поверхности печени в этом же месте имелись мелкие гипоэхогенные структуры и зона пониженной эхогенности размером 3,8×0,7 см. При рентгенографии брюшной полости инородное тело не обнаружено. Больной выписан на 11-е сутки в удовлетворительном состоянии.
У остальных пострадавших с проникающими ранениями живота пули удалены во время операции. У одного из них круглая пуля диаметром 9 мм свободно лежала между петлями тонкой кишки, у другого - такая же пуля, частично фрагментированная, была извлечена из полости малого таза.
Следует заметить, что 33 пострадавших с поверхностными ранениями шеи и непроникающими ранениями груди и живота по их настоянию после операции не были госпитализированы и направлены на амбулаторное лечение. Один больной с непроникающим ранением груди отказался от операции.
Из 288 госпитализированных у 12 (4%) развились послеоперационные осложнения в виде нагноения послеоперационной раны. Летальных исходов не было. Длительность пребывания в стационаре составила в среднем 7,4±2,4 койко-дня.
Таким образом, число огнестрельных ранений из травматического оружия за последние 10 лет выросло в 9 раз, преобладают ранения в летнее время.
Наиболее часто встречаются ранения груди (71%). Ранения шеи наблюдаются у 22%, живота - у 18% пострадавших.
При глубоком ранении шеи у каждого третьего пострадавшего имеется повреждение жизненно важных структур.
Глубокие ранения шеи и проникающие ранения груди чаще встречаются при использовании бесствольного травматического оружия типа «Оса», однако более тяжелые повреждения внутренних органов груди и живота в последние годы стали наблюдаться при ранениях пулями калибра 9 мм.
За последние два десятилетия в России отмечается неуклонное увеличение числа ранений шеи, груди и живота среди гражданского населения. При этом нарастает удельный вес множественных и сочетанных ранений этих областей. Так, с начала 90-х годов до настоящего времени частота множественных ранений груди возросла с 7,8 до 14,3%, сочетанных - с 14,5 до 25,3% общего числа раненных в грудь [4]. В значительной степени это связано с ухудшением социальных условий, криминалитетом, распространением алкоголизма и наркомании.
Особенности диагностики и хирургической тактики при таких ранениях освещены в ряде публикаций как отечественных, так и зарубежных авторов [1-3, 8, 9, 11]. Значительная часть ранений, нанесенных как холодным, так и огнестрельным оружием, является следствием суицидальных и аутоагрессивных действий. Особенности этой клинической группы пострадавших в литературе практически не освещены, в то время как для хирурга знание этих аспектов имеет важное значение.
За последние 50 лет устойчивая тенденция к увеличению числа суицидальных попыток и аутоагрессивных действий отмечается во всех странах. По данным Всемирной организации здравоохранения, на рубеже веков число пытавшихся покончить жизнь самоубийством превышало 5 млн человек в год [12, 13].
В Москве в 90-х годах удельный вес ранений среди суицидальных действий достигал 22,1 - 27,6% [5, 6]. За рубежом этот показатель за 10 лет (1991-2000 гг.) возрос в 3 раза - с 4,3 до 13,2% [10].
Цель исследования - проанализировать особенности суицидальных и аутоагрессивных ранений с точки зрения хирурга и психиатра.
В течение 2009 г. в НИИ скорой помощи им. Н.В. Склифосовского поступили 288 пациентов с ранениями шеи, груди и живота в результате суицидальных и аутоагрессивных действий, что составило 12,8% общего числа пострадавших с такой локализацией ранений. Распределение их в зависимости от пола и локализации ранений представлено в табл. 1.
Наиболее частой локализацией ранений являлась область живота (33,7%). При этом у мужчин распределение ранений было довольно равномерным, тогда как у женщин существенно преобладали ранения брюшной стенки и брюшной полости - 46,9%, ранения в область шеи имелись лишь в 10,9% наблюдений.
Средний возраст в исследуемой группе составил 40,6 года (табл. 2). При этом средний возраст мужчин был несколько меньше, чем женщин. Кроме того, нами выявлены некоторые возрастные особенности в связи с локализацией ранения. Более молодой возраст отмечался у мужчин, нанесших себе ранения шеи и нескольких областей тела. Тогда как среди женщин более молодой контингент чаще имел ранения груди.
В обследованной группе значительно преобладали больные с колото-резаными ранениями шеи, груди, живота и их сочетаниями (285 пациентов). В 3 наблюдениях ранения были нанесены с помощью стрелкового оружия (1 - груди, 1 - живота, 1 - сочетанное ранение груди и живота). Одно огнестрельное ранение было нанесено с целью самоубийства (мужчина с длительно текущим, тяжелым депрессивным эпизодом, с оформленными суицидальными мыслями и намерениями). В 2 других наблюдениях аутоагрессивные действия имели шантажно-демонстративный характер с целью «попугать» родственников.
При поступлении все пациенты проходили стандартное комплексное обследование в зависимости от локализации и характера ранения.
При стабильной гемодинамике, отсутствии дыхательной недостаточности и сохранении сознания пациентам проводили клинико-психопатологическое исследование, при отсутствии такой возможности психический статус исследовали в послеоперационном периоде в динамике.
В табл. 3 и 4 представлено распределение пациентов в зависимости от локализации, характера ранений и основного психического расстройства. Из них следует, что если при ранениях шеи поверхностные и глубокие ранения распределялись примерно поровну, то при ранениях груди и особенно живота преобладали проникающие ранения. Из тяжелых сочетанных ранений также преобладали проникающие ранения груди и живота.
У 28 пациентов имелись глубокие раны шеи. В большинстве наблюдений они наносились острыми предметами бытового назначения - кухонным или перочинным ножом, ножницами, реже - шилом, отверткой, столовой вилкой. Раны чаще всего локализовались высоко, между подъязычной костью и гортанью. Они имели поперечное или косое направление и различную глубину: при нанесении удара правой рукой наибольшая глубина раны была в левом углу, при ударе левой рукой - в правом. Как показывает опыт, резаная рана шеи, нанесенная другим лицом, имеет одинаковую глубину углов.
Резаные раны шеи имеют драматический вид с обильным наружным кровотечением, расхождением краев, выделением при дыхании пузырей воздуха и слюны, однако они редко затрагивают магистральные сосуды шеи. Чаще всего повреждается верхняя щитовидная артерия с одной или с обеих сторон. Следует подчеркнуть, что при запрокидывании головы сонные артерии и яремные вены натягиваются и, смещаясь латерально и назад, уходят на несколько сантиметров под грудиноключично-сосцевидную мышцу, так что даже при пересечении гортаноглотки, трахеи и пищевода сосудисто-нервные пучки шеи остаются неповрежденными. В связи с этим еще в 1913 г. Г. Тилльманс [7] писал, что «самоубийца, намеревающийся перерезать шею бритвой, обычно не попадает на надлежащее место». Напротив, «самоубийцы, имеющие познания в анатомии, приканчивают свою жизнь путем вкола в общую сонную артерию».
В то же время пересечение щитоподъязычной мембраны или трахеи приводит к смещению проксимальных отделов гортани и трахеи вверх в силу тяги мышц дна полости рта, а дистальные отделы уходят вниз более чем на 4 см. В результате создаются большие трудности не только для оротрахеальной интубации, но и для наложения первичных швов.
Ранения груди при суицидальных попытках локализовались в области сердца и нередко были множественными (рис. 1). Рисунок 1. Bнешний вид пациента с множественными суицидальными ранениями в области сердца. В таких ситуациях резко повышалась вероятность повреждения коронарных сосудов и внутрисердечных структур. Ножи, швейные иглы и другие инородные тела при суицидальных действиях проникают в полость сердечной сорочки и в стенку миокарда. Они не вызывают массивного кровотечения, но, находясь в сокращающемся сердце, с каждым сокращением наносят дополнительную травму, часто мигрируют в непредсказуемом направлении и должны быть как можно скорее извлечены. У 19 пациентов ранения имели торакоабдоминальный характер без повреждения сердца (рис. 2), Рисунок 2. Компьютерная томограмма пациента с чресплевральным чресперикардиальным торакоабдоминальным ранением без повреждения сердца (видно инородное тело). что было связано с особенностями их нанесения (сверху вниз).
Ранения живота непроникающего характера (38 наблюдений изолированных ранений и 5 сочетанных) и проникающие с повреждениями нескольких органов брюшной полости и большой кровопотерей (59 наблюдений изолированных ранений и 22 сочетанных) были у 43% общего числа пострадавших. Это самая многочисленная и тяжелая группа пациентов, эффективность лечения которых зависела не столько от адекватности хирургического лечения, сколько от течения послеоперационного периода, психического статуса и наличия сопутствующих заболеваний.
Что касается психического статуса, то наиболее часто тяжелые ранения (глубокие, проникающие, с повреждением внутренних органов) наблюдались у пациентов с эндогенными заболеваниями (81,8%). В эту группу вошли больные с острым психотическим расстройством, нанесшие себе повреждение под воздействием галлюцинаторно-бредовых переживаний, в 77% наблюдений имевших угрожающий характер и сопровождающихся тревожно-депрессивным аффектом, страхом. У этих больных отсутствовало критическое отношение к своему поступку, однако они искали помощи, поскольку, совершая аутоагрессивные действия, преследовали цели избавиться от неприятных, пугающих переживаний, а не лишить себя жизни. У 33% пациентов этой группы выявлялись истинные суицидальные тенденции. Эти больные под воздействием болезненных переживаний действительно хотели лишить себя жизни, как правило, с альтруистической целью (спасти мир, избавить родных и детей от опасности). В состоянии психоза они наносили себе множественные, зачастую вычурные, с особой жестокостью ранения различных областей тела. У них длительно сохранялись галлюцинаторно-бредовые расстройства с депрессивным аффектом, страхом и отсутствием понимания тяжести своего состояния.
Треть всех пациентов с ранениями шеи, груди, живота и их сочетаниями, полученными в результате аутоагрессивных действий, имели в анамнезе довольно продолжительные и очерченные депрессивные расстройства, на фоне которых отмечались суицидальные мысли и намерения. У 70% пациентов этой группы выявлялись глубокие ранения шеи и проникающие ранения груди, живота, а также их сочетания с повреждением внутренних органов. После проведения оперативного лечения у них длительное время сохранялись пониженное настроение и мысли о собственной ненужности и нежелании жить, суицидальные намерения, нередко тщательно скрываемые от окружающих.
В обеих этих группах тяжесть ранений не зависела от пола или возраста больного. Наибольшее значение имела выраженность психического расстройства. Тяжелый характер самоповреждения, а также безразличное и (или) негативное отношение этих больных к лечению повышали риск развития таких осложнений, как пролежни, пневмония, сепсис, тромбоз вен нижних конечностей.
Необходимо обратить особое внимание на то, что около 10% пациентов, страдающих психическими расстройствами, сопровождающимися стойкими мыслями о нежелании жить, неоднократно предпринимали суицидальные попытки, скрывали свои истинные намерения от окружающих, диссимулируя свое состояние. Они требовали усиленного наблюдения, а также массивной антидепрессивной и антипсихотической терапии и нуждались в продолжении лечения в условиях психиатрического стационара.
Большое число наблюдений (50%) глубоких ранений шеи, проникающих ранений груди, живота и их сочетаний было выявлено у пациентов со специфическими расстройствами личности (эмоционально неустойчивое, диссоциальное), в том числе у так называемых «тюремных психопатов» (10,4% обследованных). В анамнезе у них отмечались неоднократные «суицидальные» попытки с многочисленными старыми рубцами в области предплечий, груди, живота. В процессе лечения больные с расстройствами личности были склонны к нарушению режима стационара, отказу от лечения (самостоятельно удаляли дренажи, катетеры, срывали повязки, отказывались принимать лекарства), бравировали своими поступками. Критика по поводу совершенной аутоагрессии и ее последствий была значительно снижена. В этой группе пациентов в послеоперационном периоде был наиболее высокий уровень гнойно-септических осложнений. При кратковременной депрессивной реакции в рамках расстройства адаптации (6,2% больных) тяжелые ранения шеи, груди и живота выявлялись в 55,6% наблюдений. Аутоагрессия у таких лиц проявлялась внезапно, на фоне аффективных переживаний как реакция на острый конфликт и часто в состоянии легкого алкогольного опьянения. Со слов этих пациентов, совершая аутоагрессивные действия, они не имели четкого намерения лишить себя жизни, однако, находясь в состоянии аффекта, «не рассчитали силы». С первых же часов после операции они сожалели о содеянном, уверяли, что это «урок на всю жизнь». Они беспокоились о своем здоровье, неукоснительно выполняли все назначения, строили позитивные планы на будущее. Осложнения в этой группе больных возникали крайне редко и были связаны непосредственно с характером ранения.
У больных с нарушением эмоций и поведения в состоянии выраженного алкогольного опьянения глубокие ранения шеи, проникающие ранения груди, живота и сочетанные ранения наблюдались реже (38,9%), причем у мужчин в два раза чаще, чем у женщин. Свой поступок они определяли как «глупость», совершенную в состоянии сильного алкогольного опьянения. Аутоагрессивные действия у них были импульсивные, спровоцированные ссорами с родственниками или значимыми в их жизни людьми.
У больных с алкогольной зависимостью нанесение самоповреждений было связано с галлюцинаторной симптоматикой угрожающего характера в рамках делирия или острого алкогольного галлюциноза. Проникающие ранения отмечались у 42,9% из них (только у мужчин). Проведение дезинтоксикационной терапии способствовало быстрому улучшению психического состояния. Однако критика в отношении содеянного оставалась сниженной в связи со специфическими изменениями личности.
Также глубокие, проникающие ранения выявлялись у половины пациентов с зависимостью от других психоактивных веществ (4,2% обследованных). Аутоагрессивные действия у большинства из них имели шантажно-демонстративный характер. Мотивом служило желание «попугать» родственников, вырваться из-под опеки или попасть в больницу для облегчения симптомов «ломки». Некоторое снижение настроения было вызвано болевыми ощущениями в области ранения и абстинентным синдромом.
Несмотря на быструю дезактуализацию конфликта и аутоагрессивных тенденций, группа лиц, страдающих зависимостью от алкоголя и других психоактивных веществ, демонстрировали недостаточную критику по поводу своего состояния. Они отказывались от психотерапевтических бесед и настаивали на скорейшей выписке, называя акт самоагрессии случайным эпизодом.
Пациенты с органическим поражением ЦНС сосудистого или смешанного генеза, как правило, сопровождающимся серьезными соматическими заболеваниями, нанесли себе ранения на фоне мнестико-интеллектуального снижения личности. Тяжелые проникающие ранения (20,8%) в этой группе больных чаще наблюдались у женщин. Аутоагрессивные действия у большинства из них были импульсивными, вызванными острым чувством обиды или желанием получить помощь. Реакция на совершенный поступок была разной (от идей виновности перед Богом и родными до безразличия) и зависела от преморбидных черт личности, а также выраженности органических расстройств. В целом эти больные раскаивались в содеянном, объясняя свой поступок невниманием окружающих их людей (родственников, социальных работников).
При соматогенной депрессии тяжелые ранения в нашем исследовании были зафиксированы только у мужчин. Следует подчеркнуть, что аутоагрессивные действия у них были обдуманными, на фоне длительных депрессивных расстройств, вызванными ощущением беспомощности, ненужности и имели истинно суицидальный характер с высоким риском повторного суицида.
У пациентов этих двух групп в силу преклонного возраста и большого количества сопутствующих заболеваний очень высок риск быстрого развития застойной пневмонии, пролежней, тромбоза вен, осложнений психофармако- и антибиотикотерапии.
Умерли 13 из 288 пациентов, что составило 4,5%. В 5 наблюдениях смерть наступила на операционном столе (2 - ранения сердца, 3 - геморрагический шок). Четверо больных умерли в первые 3 сут после операции (все мужчины старше 70 лет с глубокими ранениями шеи и проникающими ранениями груди, с сопутствующими возрасту заболеваниями). В 2 наблюдениях причиной смерти послужило основное заболевание (острая сердечная недостаточность, онкологическое заболевание). Один пациент умер при повторной суицидальной попытке (выбросился из окна).
Таким образом, почти каждый седьмой пациент с ранениями шеи, груди, живота поступает в хирургический стационар после аутоагрессивных или суицидальных действий. При этом выявляется существенное преобладание мужчин работоспособного возраста с продолжительными депрессивными расстройствами.
Изолированные поверхностные и глубокие ранения шеи встречаются примерно с одинаковой частотой и их удельный вес составляет 21,5%. Частота изолированных ранений груди составляет 25,7% с превалированием проникающих ранений. Наиболее часто наблюдаются ранения живота (33,7%), при этом проникающие ранения бывают в 2 раза чаще непроникающих. Самыми тяжелыми и сложными для хирургического лечения являются сочетанные ранения шеи, груди и живота (19,1%).
Характер ранения и тяжесть течения послеоперационного периода во многом зависят от характера и выраженности психических расстройств у пациентов.
Читайте также:
- Роль пищевых рационов в экотоксикологии. Токсическая нагрузка пищи
- Лучевая диагностика легочной неходжкинской лимфомы на рентгене, КТ
- Интерпретация ЭКГ. Возбуждение предсердий и зубец Р на ЭКГ
- УЗ-признаки аденокистозного рака околоушной железы
- Влияние света на кровь. Кроветворение под действием света
