Соединяющие элементы мостовидных протезов. Особенности
Добавил пользователь Евгений Кузнецов Обновлено: 22.11.2025
Патологии развития челюстного отдела весьма разнообразны. Одной из форм аномалии является наклонное расположение элементов зубного ряда, не доставляющее пациенту особых проблем при выполнении обычных действий, однако создающее серьезные трудности для стоматолога, планирующего установку мостовидного протеза. Искривление проявляется в обоих направлениях от дефекта (дивергенция и ковергенция), и обуславливает необходимость использования составных конструкций.
Общее представление
Стандартная модель мостовидного протеза изготавливается с расчетом установки на параллельно расположенных прямых элементах зубного ряда. Однако наличие дефектов, выраженных в форме отклонения, требует поиска альтернативных решений. Один из вариантов - частичное удаление эмали с опорного зуба, однако подобная процедура чаще всего становится причиной новых патологических процессов.
Комплектация составного «моста» предусматривает наличие следующих элементов:
- Промежуточная окклюзионная накладка, помещаемая над участком адентии;
- Фиксаторы, обеспечивающие закрепление конструкции на опорных элементах;
- Протезирующий механизм, соединяющий систему в цельную конструкцию.
В качестве фиксаторов могут применяться крючки-кламмеры, кольцевые крепления, вкладки, а также телескопические коронки.
Показания и противопоказания
Протезирование с использованием составных мостовидных изделий рекомендуется при замещении частичной адентии, характеризующейся отсутствием одного или нескольких элементов зубного ряда, а также отклонением альвеолярного положения опорных единиц. Технология предусматривает наличие минимальных требований к разнице углов наклона, показатель которой должен составляет не менее двадцати градусов.
К числу ограничивающих факторов, исключающих возможность установки протезов, относятся противопоказания общего типа:
- Диагностирование психических расстройств и зависимостей;
- Выявление онкологических новообразований в полости рта;
- Иммунные патологии в декомпенсированной форме;
- Хронические заболевания, включая сахарный диабет, периодонтит, пародонтоз.
Проблемой также является несоответствие характеристик опорных элементов - помимо упомянутой угловой дифференциации, протокол протезирования не может быть реализован при наличии следующих отклонений:
- Соотношение корневой части и коронки зуба оценивается менее двух к одному;
- Малый размер опорных элементов не позволяет провести предварительную обработку;
- Единицы, выбранные в качестве опорных, относятся к разным функциональным группам.
Решение о проведении процедуры принимается стоматологом на основании результатов, полученных в ходе диагностики полости рта.
Конструктивные особенности
Соединительный элемент, объединяющий составные части мостовидного протеза - основное отличие, характерное для рассматриваемых конструкций. Модели, используемые для восстановления зубного ряда, различаются исходя из вида сочленения:
- Системы, соединение которых предусматривает наличие паза и выступа;
- Модели, оснащенные штифтовыми фиксаторами;
- Протезы, для сборки которых используются кламмеры;
- Конструкции, оснащенные дополнительными коронками.
Вне зависимости от конструктивных особенностей, функциональная задача протезов остается неизменной - замещение участка адентии путем установки искусственной коронки.
Преимущества и недостатки
Положительные аспекты, отмечаемые при использовании составных мостовидных протезов, формируют следующий перечень:
- Эффективное восстановление физиологических функций челюстного отдела;
- Исправление эстетических дефектов, а также артикуляционных проблем;
- Минимальный период адаптации к протезу - 7-10 дней;
- Удобство эксплуатации и прочность фиксации конструкции;
- Доступная стоимость - традиционная имплантация обходится на порядок дороже.
Из недостатков, характерных для рассматриваемой методики протезирования, стоит отметить:
- Обязательное условие в виде наличия опорных единиц;
- Некорректное распределение жевательного давления на челюстной ряд;
- Потребность в препарировании эмали элементов, служащих основанием.
Несмотря на рост популярности использования имплантатов, составные мостовидные протезы остаются востребованной опцией, позволяющей быстро и недорого устранить дефекты зубного ряда.
Виды мостовидных протезов их конструктивные элементы

Зубные мосты бывают нескольких видов, самыми распространенными среди них являются:
- Мостовидная металлическая конструкция, которая начала постепенно терять свою актуальность из-за стремительного развития ортопедической стоматологии, и появление более эстетичных вариантов мостов. И тем не менее, для большинства этот вариант предпочтителен за счет своей экономичности, крепости и устойчивости, несмотря на множество недостатков. Например таких как: ощутимая конструктивная тяжесть, возникновение разрушительных процессов на опорных зубах, металлический привкус во время еды, в некоторых случаях аллергические реакции;

- Металлокерамический мостовой протез, который обладает всеми основными преимуществами металлической конструкции, например устойчивостью и надежностью, но при этом отличается прекрасными эстетическими характеристиками. Помимо всего прочего, с помощью металлического каркаса можно устанавливать довольно протяжные конструкции, которые с легкостью решают эстетические проблемы в передней части зубного ряда. Для изготовления моста на передние зубы предпочтительно используется диоксид циркония, отличающийся исключительным белым цветом;

- Цельнокерамический мостовой зубной протез представляет собой целостную керамическую конструкцию, в которой полностью отсутствует привычный металлический каркас. Эта особенность значительно ухудшила его прочностные характеристики по сравнению с металлическими конструкциями, зато существенно улучшила эстетические свойства. Это обосновано тем, что керамика по своим внешним показателям практически идентична натуральной зубной эмали, и обладает аналогичной свето-пропускной способностью;
- Мостовой зубной протез из пластмассы - это самый экономичный вариант среди всех имеющихся ортопедических зубных конструкций, однако данная экономичность является весьма спорной, поскольку срок носки таких протезов крайне невелик, а потому вполне целесообразно установить более дорогостоящий вариант, который прослужит в два раза дольше, нежели пластмассовый аналог. За счет исключительных свойств стоматологической пластмассы, которые позволяют натуральные оттенки зубной эмали, а также естественную анатомическую форму зуба, многие пациенты с целью экономии отдают предпочтение именно этому варианту. Однако не стоит забывать о том, что данный вид протезирования скорее временный, чем постоянный, поскольку данный материал обладает низким уровнем прочности;

- Более прочными и относительно недорогими являются металлопластмассовые зубные мосты. Однако они не смогут сравниться своими прочностными характеристиками с теми же металлокерамическими мостовыми протезами. В отличии от полностью пластмассовых мостов, металлопластиковые мосты могут прослужить своим обладателям до пяти-шести лет при условии тщательного соблюдения гигиены ротовой полости и надлежащем уходе. Кроме всего прочего, такие мостовые протезы склонны со временем менять свой цвет из-за воздействия негативной кислотно-щелочной среды в ротовой полости, а также различных пищевых красителей.

Кроме всего прочего существует также разделение зубных мостов по классификации, они бывают адгезивными, цельнолитыми и штампованными. Штампованные мостовые зубные протезы могут быть изготовлены как из целого искусственного ряда, так и единичных коронок, спаянных в один ряд, а потому такие мосты еще называют паянными. Несмотря на то, что данный вид конструкции уже давно устарел и существенно уступает в прочностных характеристиках современным вариантам, за счет своей дешевизны он по-прежнему остается актуальным бюджетным способом протезирования.
Для изготовления адгезивного зубного моста используются композитные материалы, которые позволяют выполнять весь данные процесс непосредственно во рту пациента. Кроме того, так мосты нуждаются в минимальной обточке сегментов, расположенных с проблемными участками. В составе адгезивного мостового протеза имеется стекловолоконная дуга, которая исключается наличие опорной коронки, так как ее концы упираются в специальные выступы. Эти выступы предварительно создаются на опорном сегменте, в качестве которого выступает здоровый зуб, путем просверливания отверстия, где в дальнейшем выполняется наращивание дуги. В связи с тем, что прочность такой конструкции довольно низкая, она применима предпочтительно для замещения одного или двух зубов, не более. Отдельно зубные мостовые протезы могут разделяться на промывные, касательные и седловидные, и различаются между собой способом крепления и функциональностью.
Этапы изготовления мостовидного протеза: виды и материалы
Если вы читаете статью, то вас заинтересовали этапы изготовления мостовидного протеза. Протезированием зубов люди занимаются ни одно десятилетие. На сегодняшний день в данной области происходят революционные перемены. Новые открытия помогают найти решение для пациентов со сложным диагнозом.
Для тех, кто не имеет представление, что такое мостовидный протез и для чего он нужен, внесем некую ясность. Зубной мост - представляет собой несъемную конструкцию, которая состоит из искусственных зубов. Основное применение мостовидных протезов - это восстановление нескольких отсутствующих зубов. Опорой служат здоровые зубы либо импланты.
Давайте, рассмотрим преимущества конструкции:
- Завершают естественный внешний вид с эстетической точки зрения, придают уверенность;
- Сохраняют жевательную функцию (человек может не отказывать себе при выборе продуктов, приготовлении любимых блюд);
- Речь, дикция сохраняются;
- Средний ценник;
- С точки зрения гигиены, не прихотливые в уходе.
Обтачивание здоровых зубов для крепления конструкции единственный недостаток. Из-за чего может возникнуть риск разрушения родных зубов, которые служат опорой. С пациентом работает команда, состоящая из двух людей: зубного техника и стоматолога-ортопеда.

Строение мостовидного протеза
На первый взгляд нам кажется, что вся конструкция состоит только из ряда зубов и крепления. Особенности мостовидного протеза заключаются в его строении. Своим внешним видом он напоминает архитектурное сооружение, также имеет опорные части мостовидного протеза и промежуточную часть.
От того, сколько опор будет у промежуточной части, зависит ее расположение по отношению к десне, следовательно, какой тип будет использоваться:
- В жевательной группе зубов практикуется, когда промежуточная часть протеза располагается по промывному типу. Такое расположение удобно с точки зрения гигиены, но не с эстетической стороны.
- Для фронтального ряда зубов характерен касательный тип промежуточной части;
- Седловидный или овоидный тип расположения используют в керамических или металлокерамических конструкциях.
Есть определенные показания к мостовидным протезам, к ним относятся:
- Потеря зубов;
- Травма;
- Замена старых мостов.
Обязательное условие — наличие своих природных боковых зубов. Еще одно главное условие отсутствие воспалительного процесса десен об этом на приеме скажет врач.
Виды мостовидных протезов
Каждый случай индивидуален, и под каждую челюсть врач рекомендует определенный протез. Рассмотрим основные виды мостовидных протезов. В основе классификации лежат разные параметры. Одни из параметров фиксация мостовидных протезов следующие: односторонние, двусторонние, на импланатах, на замках.

Адгезивный мост - фиксируется между двумя зубами, которые служат опорой и стекловолонной лентой. На ней по всей длине располагаются искусственные зубы. Отличается способом фиксации. Применяют для реставрации только одного зуба. Самая быстрая конструкция, устанавливают за один день, без обточки опоры. Минус данного вида — он временный.
Металлокерамический - применяют чаще всех остальных. Считается одной из самых прочных и надежных коронок. Срок эксплуатации долгий, коронки стираются дольше. С эстетической точки зрения — идеальный вариант для восстановления переднего ряда.
Керамика - ценник выше предыдущих видов. Преимущество коронок легкость, надежное крепление, идентичны естественным и срок эксплуатации не ограничен. Эстетичный вид сохраняется на протяжении всего срока.
Мостовидный протез на имплантах применяют достаточно недавно. Но хорошо себя зарекомендовали. Как ставят мосты на импланты? В десну вживляются специальные штыри, на которые насаживаются зуб. Легко заменить один, если повредился.
Этапы изготовления мостовидного протеза
Каждый процесс имеет свои этапы. Все элементы мостовидного протеза изготавливаются отдельно с учетом индивидуальных особенностей:
- Придание опорным зубам цилиндрической формы;
- Снятие оттиска с двух стороны для последующей модели;
- Регулирование прикуса, определение центральной окклюзии;
- Гипсовые модели помещают в окклюдатор;
- Изготавливается каркас конструкции;
- Оливка каркаса;
- Крепление в ротвой полости, заключительный этап.
Используют разные материалы мостовидных протезов. Для изделия из металлокерамики каркас изготавливают из никеля, хрома, кобальта, палладия, золота. Металлы не окисляются, что позволяет человеку вести привычный образ жизни.
Искусственные коронки требуют такого же ухода, как и обычные зубы. Более подробную информацию уточняйте у лечащего врача.
Если вам требуется протезирование зубов, запишитесь на первичный прием к нашим специалистам.
Составные мостовидные протезы
Выбор методики стоматологической реставрации, как правило, обуславливается клиническими показаниями. В ортопедической практике нередко встречаются ситуации, когда опорные единицы, необходимые для установки мостовидных протезирующих конструкций, располагаются со значительным медиально-дистальным уклоном. В зависимости от стороны наклона, подобная ситуация может характеризоваться как конвергенция (отклонение к дефекту) или дивергенция (от него). Решить проблему позволяет использование составного протеза мостовидного типа.
Дивергенция и конвергенция опорных элементов - факторы, ограничивающие возможность установки классических протезов типа «мост». Проблема обуславливается дифференцированным положением единиц - устранить расхождение путем обычного препарирования невозможно, так как объем ткани, требующей удаления, слишком велик, и может привести к вскрытию камеры пульпы. Составные мостовидные протезы - модель, предусматривающая наличие специального сочленения, благодаря которому разместить систему можно даже на единицах, расположенных под углом друг к другу.
В качестве материала для изготовления подобных конструкций используется металл. Структура включает в себя несколько элементов:
- Промежуточную окклюзионную накладку, располагаемую над областью адентии;
- Устройства для фиксации, размещаемые на опорных единицах;
- Соединительный механизм, объединяющий элементы конструкции в систему.
Главным фактором, обуславливающим необходимость установки мостовидного протеза, является отсутствие нескольких элементов зубного ряда. Составные модели используются для замещения до 4-х фронтальных или до 3-х жевательных единиц - в ситуациях, когда взаимное расположение опорных зубов отличается на 20 и более градусов.
К числу медицинских противопоказаний, ограничивающих возможность применения методики, относятся те же факторы, что и при установке стандартных моделей:
- Увеличенная протяженность области адентии;
- Наличие системных патологий организма, запрещающих хирургическое вмешательство.
Кроме того, при оценке возможности установки учитываются:
- Соотношение длины корня и коронки опорных элементов (должно быть не менее 2:1);
- Наличие единиц, не подвергшихся депульпированию;
- Малые габариты или толщина стенки, ограничивающие возможность препарирования;
- Разный функционал элементов, располагающихся на опорных участках.
Итоговое решение принимается после комплексного обследования.
Специфика составных протезов заключается в наличии соединительного элемента, объединяющего две части, устанавливаемые в разном положении. Выделяют несколько разновидностей сочленения:
- Пазовое, предусматривающее наличие выступа и выемки на элементах;
- С использованием штифтов-фиксаторов, соединяющих части протеза;
- Кламмерное - с установкой опорных элементов на телескопическую коронку;
- С размещением внутренних коронок, выступающих базой для внешней части.
Несмотря на различный технический подход к конструированию, цель подобных устройств остается неизменной, и сводится к созданию параллельно установленной конструкции.
Методики изготовления
Для реставрации зубного ряда с использованием составных протезов мостовидного типа применяются такие методики, как:
- Разработка, созданная Ю.К. Курочкиным, основанная на использовании сочетания коронки и кламмера. При установке коронки на отклоненную единицу предусматривается наличие вертикальных пазов, параллельных положению второго зуба. Кламмер соединяется со средней частью, тогда как по другую сторону накладки располагается телескопическая коронка.
- Соединение элементов у опорной единицы. В этом случае применяются фиксаторы, одним из которых служит часть коронки, а вторым - соединительный элемент протеза. Конструкция закрепляется при помощи штифта.
- Моделирование внутренней коронки телескопического типа, дополняющей мостовидный протез, и обеспечивающей параллельную установку системы.
- Соединение элементов в срединной части конструкции - вариант, схожий со второй методикой, отличием которого является выбор места фиксации. Рекомендован при выявлении наклона обоих опорных элементов, однако осложняется выбором покрытия для области сочленения - как правило, для повышения прочности используются составы композитного или фотополимерного типа.
Преимущества
Реставрация обеспечивает ряд преимуществ, к числу которых относятся:
- Восстановление эстетики и функциональности челюстного отдела;
- Сокращенный период адаптации, не превышающий 7-10 дней;
- Комфорт ношения (в сравнении с иными съемными моделями);
- Прочность и надежность системы в эксплуатации;
- Доступная стоимость изготовления.
К числу недостатков относят потребность в наличии опорных элементов, препарирование, а также ограниченное распределение жевательной нагрузки.
Мостовидные протезы зубов

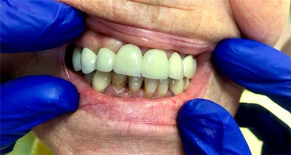
Частичная адентия зубного ряда вызывает нарушение в процессе акта жевания, и доставляет эстетический дискомфорт, из-за чего человек стесняется своей улыбки и испытывает проблемы при разговоре с собеседником. Мостовидные протезы зубов — это ортопедическая конструкция, которая восстанавливает функциональность зубного ряда и устраняет косметический дефект.
Разновидности мостовидных конструкций
Зубной мост — это конструкция, которая крепится на опорные единицы (зубы или импланты). Между ними устанавливаются искусственные коронки по внешним признакам не отличаемые от естественного зубного ряда.
По типу изготовления мостовидные протезы могут быть цельнолитыми или штампованными. В первом случае протез представляет собой набор коронок, которые спаиваются между собой (паяльный мост). Такая конструкция применяется редко из-за невысокой прочности и сложности в изготовлении изделия.
Цельнолитая конструкция полностью повторяет смыкающуюся часть поверхности зубов, из-за чего часто применяется в стоматологической практике.
Читайте также:
- Признаки усталости на глазах. Как избавиться от мешков под глазами?
- Принципы лечения отравления нервно-паралитическими оттравляющими веществами
- Эффективность артроскопической повторной ревизионной операции на вращательной манжете плечевого сустава
- Ведение преждевременных родов. Факторы риска при преждевременных родах. Коррекция родовой деятельности при ее аномалиях.
- Общие сведения об аномалиях половых хромосом
