Современное лечение гидроцефалии у ребенка
Добавил пользователь Владимир З. Обновлено: 18.12.2025
Срок и качество жизни ребенка-гидроцефала, его шансы на выздоровление зависят от множества факторов: причин, вызвавших развитие болезни, скорости постановки диагноза, качества лечения. Но даже здоровый малыш может стать жертвой болезни.
Не забывайте о профилактике. Всячески уберегайте ребенка от травм головы, обязательно используйте защитные средства при активном отдыхе. Если младенец родился недоношенным, в обязательном порядке проходите плановые осмотры у невролога, делайте УЗИ и МРТ.
Женщинам, которые готовятся вот-вот стать матерью или планирующим зачать ребенка, следует помнить о своем здоровье. Избавьтесь за несколько месяцев до беременности от вредных привычек. Обследуйтесь на наличие инфекций. Если случилось заболеть во время вынашивания плода - проконсультируйтесь с генетиком и пройдите дополнительное УЗИ.
Ваш будущий малыш чувствителен буквально ко всему, поэтому берегите его еще до рождения.
Данная статья проверена действующим квалифицированным врачом Виктория Дружикина и может считаться достоверным источником информации для пользователей сайта.
Случай успешного лечения повышенного внутричерепного давления и гидроцефалии без операции. Клиническое наблюдение в течение полутора лет.
В нейрохирургическое отделение Тульской областной клинической больницы госпитализирован пациент 1963 года рождения.
Жалобы
Пациент жаловался на выраженную распирающую головную боль с тошнотой и рвотой. В последнее время отметил, что ухудшилось зрение.
Со слов пациента, боль усиливалась при изменении погоды, незначительных умственных нагрузках и в положении лёжа.
Анамнез
В 15 лет ( 1978 год) пациенту удалили ангиоретикулёму (доброкачественную сосудистую опухоль) левого полушария мозжечка. До января 2013 года головные боли появлялись при перемене погоды и длительной работе за компьютером. Чтобы снять боль, мужчина принимал анальгетики, если они не давали эффекта, пил мочегонные средства (преимущественно Диакарб ).
В начале января 2013 года после перенесённого простудного заболевания головная боль усилилась, появилась тошнота, рвота, системное головокружение , шаткость при ходьбе, ухудшилось зрение. Пациент наблюдался у невролога, принимал анальгетики и Диакарб, но они помогали только на короткое время.
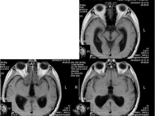
По заключению МРТ от 14.05.2013, после операции в левом полушарии мозжечка появились кистозно-глиозные изменения (на месте повреждённых нейронов образовались рубцовая ткань), а также выраженная внутренняя асимметричная гидроцефалия (избыточное скопление спинномозговой жидкости в полости черепа).
Так как консервативное лечение оказалось неэффективным, пациента направили к нейрохирургу. 13.06.2013 мужчину госпитализировали в нейрохирургическое отделение для дообследования и решения вопроса о необходимости операции.
Пациент закончил школу, институт, работает инженером в НИИ. Из перенесённых заболеваний — простудные, возникают редко.
Обследование
- Больной в сознании, разговаривает нормально, отвечает на вопросы.
- При ходьбе нарушена координация движений.
- Определяется горизонтальный мелкоразмашистый нистагм (колебания глазных яблок с малой амплитудой) с вращательными колебательными движениями.
- Рефлексы оживлены, слева чуть выше.
- В позе Ромберга (стоя со сдвинутыми вместе стопами, закрытыми глазами и вытянутыми прямо перед собой руками) отмечается пошатывание.
- При пальценосовой пробе — лёгкое дрожание пальца с обеих сторон.
- Чувствительных нарушений не выявлено.
- Артериальное давление 125/85 мм рт. ст., пульс колеблется от 60 до 70 ударов в минуту.
По заключению окулиста, у пациента были стушёваны границы дисков зрительных нервов на фоне их частичной старой атрофии .
- ЭКГ — без патологии.
- Общий и биохимический анализы крови — без отклонений от нормы.
Диагноз
- Состояние после удаления ангиоретикулёмы левого полушария мозжечка, кистозно-глиозные изменения.
- Окклюзионная гидроцефалия (скопление спинномозговой жидкости из-за блокировки ликворных путей), стадия декомпенсации.
- Стойкая цефалгия (головная боль).
- Вестибуло-атактический синдром.






Лечение
Пациент поступил в отделение 13.06.2013. При поступлении ему один раз за весь период пребывания в стационаре внутривенно ввели мочегонный препарат Лазикс и назначили гомеопатические препараты в гранулах для ежедневного приёма: Апис, Апоцинум и Аргентум нитрикум. Операция была назначена на третий день пребывания в стационаре.
После начала лечения у пациента снизилась интенсивность головной боли, уменьшилось головокружение и тошнота, ходьба стала устойчивее. На фоне этих улучшений больной отказался от операции.
Пациента выписали из стационара 20.06.2013. После выписки наблюдение за больным не прекратилось. Схема приёма гомеопатических средств оставалась практически неизменной. Пациент отмечал, что состояние постепенно улучшается. Он продолжал работать на прежнем месте, с работой справлялся.
С 13.10.2014 по 21.10.2014 пациента повторно госпитализировали в нейрохирургическое отделение, чтобы проанализировать его состояние и провести контрольное обследование:
- При осмотре отмечено, что координация при ходьбе практически не нарушена, нистагм уменьшился.
- По заключению окулиста, диски зрительных нервов бледные, границы чёткие.
- Проведена люмбальная пункция (поясничный прокол): внутричерепное давление (ВЧД) в пределах нормы — 170 мм вод. ст.
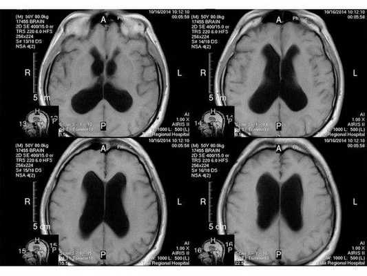
- МРТ в динамике показывает постепенное сужение желудочковой системы на 2 мм. Для сравнения представлены снимки МРТ от 14.05.2013 и от 16.10.2014.
Заключение
Синдром внутричерепной гипертензии (повышенного ВЧД) является серьёзной клинической проблемой. Он возникает не только из-за внутричерепных образований (опухоли, кровоизлияния), но и при нарушении процессов образования и оттока ликвора (спинномозговой жидкости). Приведённое клиническое наблюдение описывает эту патологию.
Процесс образования спинномозговой жидкости относительно постоянный, поэтому его влияние на регуляцию ВЧД незначительно. В основном внутричерепное давление регулируется за счёт оттока спинномозговой жидкости пахионовыми грануляциями (ворсинчатыми образованиями на паутинной оболочке головного мозга).
Можно предположить, что у этого пациента регуляция ВЧД нарушилась после удаления ангиоретикулёмы левого полушария мозжечка. На фоне этого сформировалось состояние, когда головной мозг не мог поддерживать постоянство ВЧД.
В последующем пациент перенёс инфекцию, которая затронула грануляции паутинной оболочки. Из-за повреждения пахионовых грануляций нарушился отток спинномозговой жидкости, что привело к развитию гидроцефалии и повышению ВЧД. Комплексная терапия помогла нормализовать отток спинномозговой жидкости в кровеносную систему, и состояние пациента улучшилось.
Гидроцефалия
В лекции рассматриваются определение, варианты классификаций, этиология, патогенез, клиническая синдромология гидроцефалии (врожденной и приобретенной) у детей, а также современные подходы к диагностике, методы лечения (фармакологического и нейрохирургиче
Актуальные проблемы
Специализации
- Premium
- Аллергология
- Бронхопульмонология
- Вакцинопрофилактика
- Гастроэнтерология
- Гепатология
- Гинекология
- Дерматовенерология
- Иммунология
- Инфекции
- Кардиология
- ЛОР-патология
- Медтехника
- Неотложная помощь
- Нутрициология
- Онкология
- Педиатрия
- Психоневрология
- Ревматология
- Сезонная аллергия
- Терапия
- Уронефрология
- Фармакология
- Эндокринология
- ИТ в здравоохранении
Календарь событий:
Вебинар «Тревога и сердечно-сосудистые заболевания» дата окончания: 26 Октября 2022 Место проведения: Онлайн
V Всероссийский форум «Россия - территория заботы» дата окончания: 03 Ноября 2022 Место проведения: Онлайн
Гидроцефальный синдром: сложности диагностики и лечения
На протяжении многих лет педиатры и детские неврологи списывали на повышение внутричерепного давления любые отклонения в развитии и поведенческие расстройства.
В большинстве случаев при банальных жалобах родителей маленьких детей на дрожь в верхних конечностях, плохой аппетит, судороги и отставание в физическом и психоречевом развитии ставился один диагноз - внутричерепная гипертензия или гидроцефальный синдром.
Гипертензионно-гидроцефальный синдром (ГГС) представляет собой состояние, при развитии которого в желудочках головного мозга, а также под мозговыми оболочками, скапливается в большом количестве ликвор (спинномозговая жидкость).
На территории Российской Федерации гидроцефальный синдром не рассматривается в качестве патологии головного мозга. Именно поэтому этот диагноз работниками медицинских учреждений ставится при любых отклонениях от нормы.
Согласно имеющейся статистике в 97% случаях постановка диагноза гипертензионно-гидроцефальный синдром не имела под собой никаких оснований.
Провоцирующие факторы
Современной медицине известны многочисленные причины развития синдрома, которые могут быть как врожденными, так и приобретенными.
Если в появлении заболевания виноват наследственный фактор, то спровоцировать патологию могли:
- мать ребенка имеет серьезные хронические заболевания (например, сахарный диабет);
- во время беременности женщина сталкивалась с осложнениями, которые требовали врачебного участия (в эту категорию можно отнести и перенесенные инфекции, например, цитомегаловирус, грипп или токсоплазмоз);
- тяжелые, запоздалые или преждевременные роды;
- у ребенка обнаружены ишемические или гипоксические повреждения головного мозга;
- во время родовой деятельности ребенку были нанесены травмы головы;
- наблюдалось внутриутробная задержка развития плода;
- врожденные аномалии головного мозга.
В качестве приобретенных причин, почему у грудничка развивается гидроцефальный синдром можно рассматривать следующие внутренние и внешние факторы:
- в организме ребенка нарушены обменные процессы;
- после получения травмы в головной мозг попали осколки;
- при сильном механическом воздействии случился перелом костей черепа;
- в головной мозг ребенка попали инородные тела;
- перенесенный инсульт является одной из главных причин появления данного синдрома;
- развитие внутричерепной гипертензии;
- перенесенные инфекционные заболевания, например, малярия;
- укус клеща, который является переносчиком энцефалита;
- развитие различных новообразований (кисты, гематомы, злокачественные и доброкачественные опухоли, абсцессы).
Симптоматика в зависимости от возраста
Современная медицина при классификации данного нарушения учитывает возраст пациентов. Именно поэтому выделяют гидроцефальный синдром:
- у взрослых;
- у детей;
- у новорожденного ребенка до года.
На что обратить внимание родителям новорожденных детей
Гипертензионно-гидроцефальный синдром у новорожденных детей, как правило, сопровождается характерной симптоматикой, благодаря которой персонал роддома имеет возможность заподозрить эту патологию:
- малыш стонет и издает необычные звуки;
- ребенок отказывается от грудного молока и не хочет даже брать грудь;
- после кормления часто происходит срыгивание (фонтаном);
- новорожденный плачет систематически, без причин.
При наличии таких симптомов важна своевременная реакция медицинского персонала роддома. При осмотре новорожденного легко определяется сниженный мышечный тонус. Проведение теста на рефлексы (хватание, глотание), также не приносит ожидаемых результатов.
Во время осмотра органов зрения специалист может обнаружить косоглазие, отек зрительных дисков, положительные симптомы восходящего солнца и Грефе.
Спустя несколько дней после рождения у некоторых малышей начинаются судороги и периодически дрожат верхние конечности (тремор). О наличие гипертензионно-гидроцефального синдрома может свидетельствовать напряженность и выбухание родничка, раскрытие швов черепной коробки и постоянный прирост окружности головы.
Симптоматика у взрослых деток
У детей младшей возрастной группы гипертензионно-гидроцефальный синдром сопровождают следующие симптомы:
- распирающие или ноющие головные боли (чаще всего появляется сразу после утреннего пробуждения) в области надбровных дуг, лба или висков;
- рвотный рефлекс;
- головокружение;
- косоглазие;
- затрудненные движения головой;
- изменение оттенка кожного покрова (во время развития болевого синдрома);
- вялость, сонливость и общая слабость;
- заторможенность;
- рассеянность;
- ухудшение памяти;
- раздражительность (агрессивная реакция на громкие звуки и яркий свет);
- повышенный тонус мышц нижних конечностей.
У детей старшей возрастной группы симптоматика гипертензионно-гидроцефального синдрома проявляется после перенесенной травмы головного мозга или на фоне вирусного или инфекционного заболевания.
Как выявить синдром у взрослого пациента
Что касается взрослых пациентов, у которых развивается гидроцефальный синдром, то эту патологию сопровождают следующие симптомы:
Как правило, у взрослых людей данная патология развивается после перенесенного инсульта, на фоне черепно-мозговых травм, из-за нейроинфекций.
Злокачественные и доброкачественные новообразования также могут спровоцировать появление тревожной симптоматики, на которую необходимо сразу реагировать, чтобы успеть получить медицинскую помощь.
Осмотр и диагностика
После появления тревожной симптоматики взрослые или дети должны получить квалифицированную медицинскую помощь. Диагностика начинается с личного осмотра пациента. Если на прием привели маленького ребенка, то педиатр в первую очередь делает замеры его головы. В обязательном порядке проверяются рефлексы пациента.
Для получения более точной клинической картины врач назначает дополнительное аппаратное и лабораторное обследование:
- проводится компьютерная и магнитно-резонансная томография;
- изучается и оценивается состояние сосудов глазного дна;
- делается пункция спинного мозга;
- проводится ультразвуковое исследование размера желудочков головного мозга и его других анатомических структур.
Оказание медицинской помощи
Чтобы предотвратить серьезные осложнения и печальные последствия, такой категории больных необходима своевременная медицинская помощь и комплексная терапия.
Лечением гидроцефального синдрома занимаются узкопрофильные специалисты неврологических центров. Как правило, больных ведут нейрохирурги и неврологи, часто привлекающие к этому процессу офтальмологов. Курс лечения такой патологии разрабатывается в индивидуальном порядке для новорожденных, взрослых и детей.
Лечение гипертензионно-гидроцефального синдрома у детей, не достигших 6-и месячного возраста может проводится в домашних условиях.
Регулярно таких пациентов посещает педиатр и патронажная сестра. В определенные дни маленького пациента доставляют в медицинское учреждение для проведения осмотра и комплекса диагностических мероприятий. Терапия данной патологии помимо лечебного массажа предусматривает прием медицинских препаратов:
- мочегонного для выведения лишней жидкости и уменьшения продукции ликвора, например, Диакарба;
- седативного, например, Тазепама или Диазепама;
- ноотропов (препараты этой группы улучшают кровоснабжения головного мозга), Аспаркама, Актовегина, Пирацетама;
- антибиотиков (если обнаружится инфекционное или вирусное поражение головного мозга);
- сосудистых препаратов, таких как Циннаризин или Кавинтон;
- венотоников, необходимых при нарушении кровообращения в головном мозге (Детралекс);
- противоопухолевых препаратов, если причиной синдрома стали новообразования;
- лекарственных средств, которые улучшают метаболизм нейронов (Сермион, Церебролизин, Фезам).
Параллельно медикаментозной терапии пациентам рекомендуется пройти курс физиотерапевтических мероприятий. При нарушении развития назначаются коррекционные занятия. Детям запрещается смотреть телевизор, слушать музыку, читать, сидеть за компьютером, изнурять организм физическими нагрузками.
При лечении детей старшей возрастной группы и взрослых пациентов врачи в первую очередь стремятся определить причину развития этой патологии. При механическом воздействии на головной мозг или при появлении новообразований проводится хирургическое вмешательство.
Если причиной синдрома стала нейроинфекция, врачи назначают антибактериальное или противовирусное лечение.
Осложнения и последствия
У пациента, которому диагностирован гидроцефальный синдром, могут в любой момент развиться осложнения. Такая категория больных чаще всего сталкивается с такими последствиями:
- глухота;
- частичная или полная потеря зрения;
- нарушение процессов дефекации;
- недержание кала и мочи;
- эпилептические припадки;
- задержка не только физического, но и психического развития;
- выбухание родничка и т. д.
Если заболевание протекает в тяжелой форме, то больные могут столкнуться и с более серьезными осложнениями: паралич, кома и летальный исход.
В целях профилактики
Чтобы предотвратить развитие ГГС специалисты рекомендуют с регулярной периодичностью проводить профилактические мероприятия:
Гидроцефалия. Причины, симптомы, признаки, диагностика и лечение патологии
Сайт предоставляет справочную информацию. Адекватная диагностика и лечение болезни возможны под наблюдением добросовестного врача. У любых препаратов есть противопоказания. Необходима консультация специалиста, а также подробное изучение инструкции!
Гидроцефалия, или водянка головного мозга - это заболевание, при котором в желудочках (внутренних полостях) головного мозга и под мозговыми оболочками скапливается чрезмерное количество спинномозговой жидкости.
Некоторые факты о гидроцефалии:
- Согласно статистике, это заболевание имеется у 1 из 500-1000 новорожденных.
- Гидроцефалия - самое распространенное отклонение развития у детей, которое встречается чаще, чем синдром Дауна и врожденная глухота.
- В США сегодня живет всего около 700 000 детей и взрослых, страдающих гидроцефалией.
- В странах Запада гидроцефалия является самой частой причиной операции на головном мозге у детей.
- Существует более 180 разных причин этого заболевания. Самая распространенная - перинатальные повреждения (незадолго до родов, во время или сразу после них).
- 25 лет назад более половины больных гидроцефалией погибали. Сегодня смертность снизилась до 5%.
Особенности анатомии центральной нервной системы. Что такое спинномозговая жидкость? Как она образуется и удаляется?

В норме головной мозг окружен спинномозговой жидкостью. Она заполняет его внутренние полости, - мозговые желудочки, - а также пространство вокруг него.
- Играет роль амортизатора и защищает головной мозг от повреждений во время ударов.
- Выводит отходы, продукты обмена веществ, которые образуются в головном мозге.
- Доставляет в головной мозг некоторые необходимые вещества.
Образование спинномозговой жидкости происходит главным образом за счет множества мелких сосудов, расположенных в стенках мозговых желудочков. Каждую минуту у взрослого человека вырабатывается примерно 0,35 мл спинномозговой жидкости, а за сутки - около 500 мл. Такое же её количество должно всосаться в вены головного мозга. Так постоянно происходит её обновление.
В норме давление спинномозговой жидкости колеблется в определенных пределах. Для взрослого человека этот интервал составляет 70-180 мм. рт. ст., для детей цифры ниже, соответственно возрасту.
Гидроцефалия развивается в том случае, когда возникает несоответствие между количеством вырабатывающейся и всасывающейся спинномозговой жидкости. Это может происходить в силу разных причин.
Читайте также:
