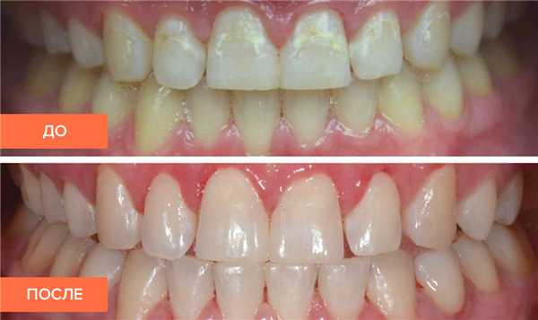
Современные методы лечения зубов
Добавил пользователь Владимир З. Обновлено: 31.10.2025
Стоматолога люди обращаются тогда, когда возникают какие-либо проблемы со здоровьем зубов или десен. Боль в зубе, отек десны, повышенная чувствительность зубов, неприятный запах изо рта - все эти явления могут появиться на фоне разнообразных стоматологических заболеваний и, исходя из природы болезни - специалистом выбирается и оптимальная методика лечения зубов.
Какой бы способ лечения зубов не был выбран - его основной задачей будет сохранение всех функций и эстетики зуба. Ниже мы рассмотрим разнообразные методики лечения зубов, которые применяются в современной стоматологии и поговорим также и об осложнениях, способных проявиться в том случае, когда ошибки в лечебных манипуляциях были допущены врачом.
Методы и сроки проведения современного лечения заболеваний зубов
Лечение зубов в современных стоматологических клиниках - это целый ряд специальных мероприятий, позволяющих прекратить развитие воспалительного процесса, восстановить все полезные функции, а также эстетику зубной единицы. Чаще всего пациенты обращаются к стоматологам для лечения кариеса зубов, который встречается у людей самого разного возраста и в самых разных формах - от стадии пятна и до глубокого кариеса, когда деструкция единицы дошла практически до корня. Если кариес не был вылечен вовремя или его лечение проводилось с нарушением правил - возникают такие осложнения как пульпит и периодонтит. Лечение указанных заболеваний зубов более сложное, оно осуществляется поэтапно и подразумевает минимум 2-3 визита в кабинет специалиста. Сроки лечения зубов всегда зависят от сложности клинического случая. К примеру, лечение кариеса в стадии пятна проходит за одно посещение
стоматолога, имплантация и протезирование разбиваются на несколько этапов и сроки лечения имеют максимальные - от нескольких месяцев и до года. Хотите, чтобы лечение зубов всегда проходило быстро и с минимумом дискомфорта? Тогда посещайте регулярные профилактические осмотры у стоматолога, ведь давно известно - лучшее лечение зубов - это профилактика!
Эндодонтическое лечение зубов: когда и как проводится?
Эндодонтическое лечение зубов применяется на практике в том случае, если кариес разрушил зуб и воспалительный процесс перешел в каналы зубной единицы. При проведении эндодонтического лечения зубов специалист проводит обработку каналов: очищает полости от поврежденных тканей, промывает их антисептическим раствором, закладывает лекарство. Обычно после этих манипуляций на зуб ставится временная пломба, а пациент отправляется домой, чтобы вернуться в кабинет стоматолога через несколько дней.
При повторном визите делается рентгенография больного зуба, позволяющая оценить эффективность лечения. Если воспаление удалось купировать, то каналы обрабатываются антисептиком повторно, а затем их пространство наполняется гуттаперчей. Заканчивается лечение зуба финишной реставрацией коронки композитным пломбировочным материалом.
Эндодонтическое лечение обязательно должно быть проведено качественно и с применением специализированного современного инструмента: файлов, позволяющих нужным образом расширить каналы, микроскопа, дающего врачу возможность видеть состояние тканей и каналов, апекслокатора, показывающего длину каналов зуба.
Если лечение каналов зуба проведено неправильно, в его технологии допущены ошибки - возникают риски серьезных осложнений, способных привести к потере зубной единицы.
Можно ли лечить зубы без бормашины?
Социологические опросы показывают: почти 80% людей бояться посещать стоматолога из-за страха перед сверлением зуба. Боятся бормашины не только дети, но люди взрослые. Если и вас пугает необходимость сверлить зуб для его качественного лечения, то вам будет полезно узнать следующий факт: если обращаться за стоматологической помощью своевременно в процессе лечения зубов вполне можно обойтись без бормашины!
Фторирование
Если осмотр выявит кариес в стадии пятна, то лечение зубов может заключаться в проведении процедур, направленных на реминерализацию и укрепление эмали. Зубные поверхности покрываются специальными гелями, содержащими в повышенной концентрации фтор и кальций и естественно - такое лечение абсолютно безболезненно!
Лечение лазером
Еще один вариант лечения зубов без сверления - применение лазерного излучения с волной определенной длины. Лазерный луч нагревает и разрушает разрушенные кариесом ткани и после обработки будет достаточно ополоснуть водой область манипуляций. Плюсов у инновационной методики лечения зубов много, в числе преимуществ можно выделить: высокую эффективность методики; низкие риски возникновения осложнений; дополнительный антибактериальный эффект. К минусам стоит отнести достаточно высокую цену на лечение зубов лазером, широкий спектр противопоказаний. Также стоит знать, что безболезненным лечение зубов лазерным излучением будет только тогда, когда кариес разрушил только эмаль зуба. Если разрушения дошли до глубоких слоев дентина, пульпы - перед лечением зубов лазером пациенту делается анестезия, чтобы исключить неприятные болезненные ощущения.
Инфильтрационная методика лечения
Лечение зубов проводится по технологии Icon, заключающейся в обработке кариозных полостей специальным полимерным составом. Активные вещества состава расцепляют и растворяют поврежденные ткани, остатки которых врач удаляет спиртовым раствором. Затем обработанные участки зуба подсушиваются и обрабатываются полимерной смолой, заполняющей микропоры в естественном эмалевом покрытии зуба. Заканчивается лечение зуба по технологии Icon применением полимеризационной лампы, которая высушивает нанесенный состав. К плюсам данной методики зубов можно отнести: сохранение целостности естественного эмалевого покрытия на длительный срок, повышение прочности эмали зуба; возможность подобрать оттенок полимера, точно совпадающий с тоном естественной эмали; быстрота проведения лечения зуба - весь процесс обработки занимает по времени не более получаса; лечение безболезненно, не сопряжено с риском перегрева тканей зуба.
Технология лечения зубов Icon оптимальна для лечения кариозных пятен в межзубных промежутках, подходит для устранения кариеса у детей.
Озонотерапия
Еще одной методикой лечения зубов без сверления выступает озонотерапия, подразумевающая воздействие на кариозные полости озоном. Воздействие осуществляется специальным аппаратом, преобразующим кислород в озон. Этот газ уничтожает патогенную микрофлору и кариозные бактерии. После обработки озоном, зуб покрывается специальным гелем и на этом процесс лечения заканчивается.
Озонотерапию можно применять не только для лечения зубов, поврежденных кариесом. Она показана при воспалении мягких тканей ротовой полости, воспалительных процессах в зубных каналах.
Особенности процесса лечения зубов под коронкой
Установка коронки не гарантирует 100% защиту зуба от кариеса и иных стоматологических заболеваний. Через некоторое время после установки протезной конструкции в ротовой полости пациента могут наблюдаться такие явления как проседание десны и оголение шеечной части зуба. Эти явления создают благоприятные условия для развития кариеса и особенно высоки риски появления кариозных поражений при недостаточной гигиене ротовой полости. Под коронкой может развиться не только кариес, но также и пульпит, периодонтит, а потому если у вас болит зуб, на который поставлена коронка - обращаться за профессиональным лечением нужно срочно!
Если диагностика выявит под коронкой кариес, воспалительный процесс, лечение зуба будет подразумевать снятие ортопедической конструкции и проведение всех необходимых манипуляций для прекращения воспаления и сохранения зуба.
Заметим, что нередко кариес под коронкой появляется потому, что при изготовлении протезной конструкции или в процессе ее установки были допущены ошибки. Если коронка будет прилегать к естественным тканям с недостаточной плотностью - под нее легко проникнет патогенная микрофлора. По этой причине для протезирования важно выбирать хорошую стоматологическую клинику, в которой работают опытные и грамотные специалисты.
Необходимость анестезии перед лечением зубов
Анестезия при лечении зубов нужна не всегда, а только в случаях, когда разрушения затронули глубокие слои дентина. В глубоких слоях тканей зуба присутствуют нервные окончания, а потому любые манипуляции в этой области могут причинить пациенту ощутимую боль. Чтобы исключить дискомфортные ощущения при лечении зубов при таких обстоятельствах - перед началом лечебного процесса делается анестезия, подбираемая индивидуально. Анестетик вводится инъективно, но бояться укола не надо: современные шприцы имеют сверхтонкие иголочки, позволяющие ввести лекарство быстро и безболезненно.
Пациентам с высоким болевым порогом анестезия может быть сделана не только перед лечением зубов, но и перед такими мероприятиями как профессиональная чистка зубных поверхностей, отбеливание. Обычно выбирается аппликационная анестезия. Общий наркоз в стоматологическом лечении зубов применяется
крайне редко - в основном перед сложными и длительными операциями. Стоит знать, что общий наркоз имеет ряд противопоказаний и потому перед выбором такой методики анестезии пациент должен сдать ряд анализов.
Специфика лечения зубов в области улыбки
Передние зубы входят в так называемую зону улыбки и потому при их лечении эстетика конечного результата лечебного процесса принципиальна. Чтобы провести реставрацию переднего зуба - стоматолог должен иметь опыт в подборе оттенков светоотверждаемых композитов, воссоздании естественной формы зуба, всех естественных неровностей его поверхности.
Если зуб, находящийся в области улыбки здоров, но имеются эстетические дефекты - вариантом лечения может быть применение виниров. Виниры - миниатюрные пластинки-накладки, которые приклеиваются на поверхности зубов и идеально маскируют такие дефекты, как кривизна зубов, некрасивая форма, потемнение эмали, межзубные промежутки. При разрушении зуба более чем на пятьдесят процентов - показана его реставрация коронкой. Штифт, который используется некоторыми специалистами, при сильной деструкции зуба
устанавливать не рекомендуется. Большая пломба не выдержит нагрузки, неизбежной при жевательных процессах и выпадет или отломиться, причем с частью зуба. Если же при отломе пломбы будет затронута корневая часть - зуб придется удалять. В области передних зубов рекомендуется протезирование из прочных и эстетичных материалов: керамики, фарфора, циркония.
Симптомы, способные указать на необходимость лечения зубов
Если вас беспокоит боль в зубе, пусть даже она маловыражена и появляется время от времени - это уже однозначный повод для обращения к врачу и проведения профессионального лечения зубов. Чем раньше вы обратитесь к специалисту - тем меньше вероятность того, что лечение будет сложным, затяжным и болезненным. Также о необходимости срочного лечения зубов вам могут сообщить нижеперечисленные симптомы: Появление гиперчувствительности зубов; резкий, неприятный запах изо рта (в том случае, если гигиенические процедуры по уходу за ротовой полостью осуществляются на постоянной основе); кровоточивость, отек десенных тканей; проблемы с открытием/закрытием рта; появление на зубных поверхностей пятнышек, неровностей, изменение оттенка эмали зуба. Помните, что своевременное обращение к стоматологу для лечения зуба - единственная возможность сохранить зуб. А свои зубы лучше любых, самых современных протезов!
Как проходит лечение зубов в стоматологии: обзор основных этапов
К сожалению, большинство пациентов игнорируют советы стоматологов по важности регулярных посещений врача и проведению профилактического осмотра и потому попадают на прием к специалисту с запущенным кариесом, по причине острой боли, с наличием множества разнообразных заболеваний полости рта. Поэтому лечение зубов всегда будет начинаться с диагностики, и также будет включать в себя нижеперечисленные этапы:
Осмотр и составления плана лечения
Прием у врача начинается с осмотра ротовой полости, а также назначения пациенту ряда диагностических исследований. Это позволит выявить все имеющиеся проблемы со здоровьем зубов и полости рта и составить подробный план лечения.
Профессиональная санация ротовой полости
К лечению зубов рекомендуется приступать только после проведения качественной санации ротовой полости, в ходе которой с зубных поверхностей удаляются все виды налета.
Лечение
Если пациент обратился к врачу со средним или глубоким кариесом - в лечении зубов без сверления не обойтись. Бормашиной специалист удалит все поврежденные болезнью ткани и сформирует полость под установку пломбы. Пульпит и периодонтит подразумевают более сложную схему лечения, в которую входят обработка каналов, антибиотикотерапия, некоторые виды хирургических вмешательств. Методика лечения выбирается исходя из особенностей клинического случая. Завершается лечение зуба финишной реставрацией его коронки фотополимерными пломбировочными материалами.
Возможны ли осложнения после лечения зубов, какими они могут быть?
Некоторое время после лечения зубов пациента может беспокоить легкая ноющая боль, возникающая обычно в процессе пережевывания пищи. Бить тревогу в таком случае не нужно, такая боль не является осложнением: она наблюдается после лечения глубокого кариеса из-за давления пломбы на пульпу и через несколько дней пройдет без приема каких-либо лекарств, самостоятельно.
В нашей клинике к услугам пациентов современные методики лечения зубов, инновационное оборудование, чуткий и опытный персонал, врачи, регулярно повышающие свой уровень квалификации за рубежом. Доверьте здоровье своих зубов профессионалам - приходите в стоматологию «Уни Дент» в СПб!
Современное лечение зубов

Стоматология — область медицины, которая развивается невероятно быстрыми темпами. Современные методы лечения зубов удивляют и восхищают. Сегодня стоматологи предлагают своим пациентам методики, позволяющие устранить имеющиеся функциональные и эстетические недостатки полости рта без боли и вреда для здоровья.
Врачам удается «реабилитировать» серьезно разрушенные единицы и вернуть им красивый визуал. Даже самые сложные нарушения прикуса, которые негативно влияют на внешний вид лица, эстетику и процесс пережевывания пищи, доктора частных стоматологических клиник устраняют довольно быстро.
Современное лечение зубов — достижения, которые сыграли решающую роль в развитии отрасли

К самым важным прорывам в стоматологической сфере можно отнести:
- компьютерные технологии для высокоточных диагностических процедур, терапии, протезирования;
- цифровую рентгенологию;
- лучи лазера для устранения заболеваний полости рта;
- озон для обработки разрушенных единиц и кариозных «дырок»;
- шлифовку коронок мощным потоком воздуха;
- современное лечение кариеса с применением безопасных анестетиков, полностью блокирующих возникновение болевых ощущений;
- материалы нового поколения для протезирования, изготовления вкладок, пломб, имплантатов, виниров.
Использование компьютерных технологий
Сложно представить нынешнее протезирование без развитых компьютерных технологий. Инновационные программы дают возможность максимально точно смоделировать ротовую полость человека в его отсутствии и безошибочно определить форму протеза, который ему подойдет.

Компьютерные технологии задействуются и при постановке диагноза, и при подборе лечебных методик. Особенно удивляют достижения нейромышечной стоматологии, направленной на изучение жевательной мускулатуры пациента. Можно с уверенностью сказать, что теперешние компьютерные программы позволяют создавать протезы, ни в чем не уступающие натуральным аналогам, которые были подарены природой, но разрушились.
Еще одна важная инновация — внутриротовые видеокамеры. Они облегчают работу врачей, позволяют изучить каждый миллиметр рабочей поверхности. Обеспечивают максимальный комфорт и стоматологу, и пациенту.
Лазер в стоматологии

Лазерные лучи дают решать множество стоматологических задач:
- проводить безопасную борьбу с кариесом;
- лечить пародонтит и периодонтит;
- устранять склонность к кровоточивости десен;
- осуществлять надрезы без использования скальпеля;
- проводить полноценную дезинфекцию ротовой полости.
Если сравнивать лазерную методику с более старыми традиционными, станут очевидными следующие преимущества:
- все обрабатываемые поверхности будут обеззаражены более качественно;
- кровотечение при проведении стоматологической операции полностью исключается;
- окружающие ткани практически не травмируются;
- процессы регенерации после терапии протекают ускоренно.
У лазерного метода почти нет недостатков, если только его высокая цена.
Озон в сфере стоматологии

Озон стоматологи используют чаще всего при обработке неглубоких кариозных полостей. Методика абсолютно безболезненная. Она дает возможность отказаться от использования пугающей многих бормашины.
Озон качественно дезинфицирует обрабатываемую поверхность и положительно влияет на состояние эмали. Особенно актуально его применение, если речь идет о терапии кариеса у детей.
Шлифовка зубных коронок воздухом
Шлифовка делает поверхность пломбы и реставрированной коронки идеально гладкой без использования традиционной бормашины. Поток воздуха действует очень аккуратно, точечно, не повреждает окружающие здоровые ткани, поэтому процедура оказывается максимально безопасной.
Инновационные анестетики, гарантирующие отсутствие боли

Пожалуй, новые лекарства для обезболивания — это основа развития стоматологической отрасли. Они важны не только для врачей, но и для пациентов. Ведь для клиентов стоматологических клиник вопрос безболезненного лечения всегда оставался открытым. Сегодня можно сказать, что он решен.
Анестетики последнего поколения служат отличной заменой новокаину и лидокаину. Они являются более сильными, но при этом имеют минимум побочных эффектов. Многие из них подходят даже будущим мамам, так как не вызывают негативных последствий со стороны здоровья плода.
Помимо обезболивающих препаратов, отдельного внимания заслуживает седация (неглубокий сон на время проведения травматичной и болезненной процедуры). Больному проводят ингаляцию, во время которой он засыпает. Просыпается он уже тогда, когда терапия проведена. Преимущество седации в том, что она более безопасна, чем общий наркоз.
Уникальные материалы для пломбирования, протезирования и имплантации

При закрытии кариозных полостей стоматологи пускают в ход новейшие композитные составы — жидкие пломбы и фотопломбы. Они быстро проникают даже в самые труднодоступные места, точно повторяют форму «дырки», почти мгновенно застывают под воздействием ультрафиолета и при этом являются очень прочными.
При замене и восстановлении разрушенных единиц используются вкладки и коронки из оксида циркония — тонкого материала, который выглядит так же красиво, как натуральная эмаль, но при этом является невероятно прочным.
Не стоит забывать и о люминирах — тончайших накладках, которые не требуют предварительного стачивания эмали. Они отлично маскируют сколы, некрасивые пломбы, делают линию улыбки более гармоничной за одно посещение стоматолога.
Даже человек с сильно разрушенными зубами благодаря инновационным методам лечения сегодня может рассчитывать на получение здоровой и очень красивой улыбки. И это очень важное достижение исследователей, разработчиков и самих стоматологов.
Методы лечения каналов зуба
Лечение каналов зуба предполагает сохранение и восстановление зуба, пораженного инфекцией или другим патологическим процессом. Основная задача - тщательно очистить корневой канал от инфекции и некротической ткани и качественно их запломбировать. Если своевременно не провести необходимые лечебные манипуляции, инфекционно-воспалительный процесс распространится дальше и сохранить зуб станет просто невозможно.
Что такое корневой канал?

Каждый зуб, кроме эмали и дентина, имеет внутреннее пространство - пульпарную камеру, сообщающуюся с тоненькими полостями, проходящими по всей протяженности корней зубов - корневыми каналами. Разные зубные группы имеют различное число корней, а соответственно, и каналов. У фронтальной группы 1 канал, у боковых - от 2 до 4.
Эндодонтическое лечение - это процедура удаления инфицированной, воспаленной или мертвой нервно-сосудистой ткани, с дальнейшей очисткой и дезинфекцией образовавшегося пространства, и полной герметизацией зубных каналов.
Болезни, при которых нужна эндодонтическая терапия
Лечение каналов зуба выполняется лишь при наличии строгих показаний, поскольку в результате вмешательства, зуб лишается питающих его сосудов и нервных окончаний, что делает зубные ткани менее прочными и более подверженными разрушению. Показаниями к вмешательству выступают воспаления и инфекции, сопутствующие кариесу или травматическому повреждению зуба:
- - воспаление пульпы (нервно-сосудистой ткани) - мягкой, волокнистой ткани, включающей кровеносные и лимфатические сосуды, нервные окончания и соединительную ткань. - воспаление корня зуба и окружающих его тканей (периодонта).
Эти заболевания, как правило, сопровождаются следующими симптомами:
- Острая, пульсирующая или ноющая боль в зубе, нарастающая в ночное время или усиливающаяся при нагрузке на зуб.
- Отечность, изменение цвета десны, образование на ней гнойников и свищей.
- Гнилостный запах изо рта.
В некоторых случаях, выраженная симптоматика отсутствует и развитие некроза пульпы обнаруживается только во время осмотра врача. Лишь специалист может точно определить, решит ли эндодонтическое лечение возникшую проблему и подберет наиболее результативную терапевтическую схему.
Онлайн консультация с врачом

Методы лечения зубных каналов

Еще не так давно, для эндодонтического лечения применяли мышьяковую пасту. Стоматолог вскрывал зубную камеру, закладывал в нее пасту и после отмирания пульпы извлекал ее из зуба. Далее зуб пломбировался и считался вылеченным. Также широко использовался и резорцин-формалиновый метод - заложенная в полость резорцин-формалиновая смесь, медленно застывала, останавливая распад частично удаленной пульпы.
Но у таких технологий есть существенные недостатки:
- Мышьяк и насыщенный резорцином формалин очень опасные, токсичные вещества, способные накапливаться в разных органах.
- Данные вещества не всегда могут убить нерв полностью, что способствует возникновению сильной боли при попытке извлечь пульпу.
- Не удаленные полностью инфицированные нервно-сосудистые ткани становятся источником повторного воспаления.
Эти методы использовали поскольку не было достаточно сильных анестетиков, которые бы позволяли провести удаление пораженной пульпы безболезненно. Сегодня они совершенно не актуальны - современная стоматология лечит каналы зуба абсолютно по другой технологии.
Современные методы лечения зубных каналов
Существует два основных метода лечения корневых каналов зуба:
- (биологический) при котором сохраняется вся пульпа или ее часть. Манипуляции могут проводится напрямую - стоматолог закладывает в зубную полость лекарственный препарат, отделяет пульповую камеру изолирующей прокладкой и устанавливает временную пломбу. Или лекарственные вещества могут поступать через дентин, при помощи повязок с антибиотиком и т.д. Такая медикаментозная терапия эффективна лишь на начальной стадии воспаления. (экстирпация пульпы) - удаление всей нервно-сосудистой ткани, очистка, дезинфекция и герметизирование зубных полостей. Корневые каналы обрабатываются одним из следующих способов:
- классическое пломбирование каналов зуба - заполнение пустот пломбировальным материалом.
- Вертикальная конденсация путем инъекционного введения термопластифицированной гуттаперчи.
- пломбирование с использованием термофилов - горячей гуттаперчи на носителе.
- Эндодонтист детально видит устья каналов, особенности их строения, каждое ответвление, глубину и направление. Это особенно важно, если зубной канал имеет сложную, извитую форму.
- Микроскоп дает возможность удалить лишь пораженные и мертвые ткани, не травмируя здоровые.
- Благодаря прицельному воздействию на ткани, обеспечивается наилучший результат вмешательства, исключающий вероятность перфораций, а также других проблем и осложнений.
- Исключить на несколько дней слишком горячую, острую, холодную пищу (пока сохраняется чувствительность зубов).
- Придерживаться гигиены - чистить зубы дважды в день, пользоваться зубной нитью и ирригатором.
- Не жевать твердое (не грызть орехи, леденцы и т.д.), поскольку это может окончиться повреждением каналов корня и разрушением зуба.
- Проходить профосмотры у стоматолога и гигиениста (не реже 2 раз в год).
- Пожелтевшие, коричневые, пигментированные зубы, в том числе в результате лечения каналов, приема антибиотиков (тетрациклина), флюороза.
- Безнадежно поврежденные кариесом, сломанные или сколотые.
- Изношенные по краям, с размерами меньше среднего или необычной формы.
- Смещенные, неровные, зубы неправильной формы (с кратерами или выпуклостями).
- Незначительные межзубные промежутки (виниры их просто закрывают).
- Консультация. Врач обсуждает с пациентом желаемый результат, процедуру и ограничения. При необходимости делает рентген-снимки, слепки. При серьезных неровностях зубного ряда рекомендует предварительное лечение брекетами.
- Подготовка. Сначала снимает тонкий слой эмали с передней и боковой частей зубов (это необходимо, чтобы зубы с винирами выглядели естественно), подбирает наилучший для пациента оттенок, делает оттиски для зуботехнической лаборатории. Сроки изготовления пластин 2-4 недели, на этот период устанавливает временные виниры.
- Установка. Накладывает пластины на зубы, оценивает соответствие оттенку, форме, неоднократно снимает и подрезает до идеальной посадки. Затем очищает, полирует и протравливает поверхность зуба (шероховатость важна для сцепления с керамикой). На пластину наносит связующий раствор, крепит ее к зубу и активирует процесс затвердения с помощью ультрафиолетовой лампы.
- Подготовка. Врач тщательно очищает зубы, высушивает, обрабатывает гелем и наносит специальный лак.
- Установка. Фиксирует квадраты брекетов на зубах с помощью ортодонтического клея. Вставляет дугу в замки (на последних в ряду зубах). В пазы каждого квадрата вдавливает дугу (от центра к краям), затем прикрепляет дугу к каждому брекету с помощью лигатур (небольших резинок).
- Современные методы лечения кариеса без сверления
- Метод инфильтрации
- Метод лечения кариеса озоном
- Воздушно-абразивная обработка
- Лазерное лечение зубов без бормашины
- Лечение зубов без сверления народными средствами
- высокая стоимость лазерной установки
- высокие требования к специалистам, работающим с лазером
- лечение требует использования защитных темных очков как пациентом, так и врачом
- очки с затемненными стеклами могут искажать действительное и уменьшать четкость зрения
- в некоторых случаях повреждения мягких тканей, нанесенные лазером, медленно и плохо заживают
- также есть вероятность, что лазер отразится от металлических предметов в кабинете стоматолога, если таковые не будут убраны, и послужит причиной пожара
В отдельных случаях для эндодонтического лечения необходимо провести резекцию верхушки корня - при наличии гранулемы, фибромы, кисты, перфорации и других проблем около верхушки корня.
Больно ли лечить каналы зубов?
Боль в зубе вызывают инфицированные нервно-сосудистые ткани. Процесс обработки зубных каналов и удаления пораженной пульпы позволяет устранить источник боли. Благодаря использованию мощных анестетиков последнего поколения, эндодонтическое лечение протекает абсолютно безболезненно. Лечение 1-канального зуба длится 25-40 минут (зависит от сложности), на 3-канальный зуб понадобится примерно 1,5-2 часа.
Этапы лечения
При подозрении на повреждение зубного канала и с целью обнаружения патологического очага проводят рентгенографическое исследование (ортопантомограмма, КТ) или изучение уже имеющихся у пациента снимков. На основании результатов обследования, эндодонтист подбирает подходящий способ лечения.
Проведя анестезию, стоматолог вскрывает зуб, удаляет все поврежденные и некротические ткани, придает каналу необходимую форму и промывает его антисептиком.
Открытые каналы герметично заполняются пломбировочным материалом. Для этого используются пластичные (гуттаперча, паста), твердеющие (группа цементов) и твердые материалы (штифтовые конструкции). Самым прогрессивным способом является пломбирование каналов горячей гуттаперчей.
Восстанавливается правильная анатомическая форма зуба с помощью прямой (пломба) или непрямой (коронка, вкладка) реставрации.
Особенности лечения каналов под микроскопом

Современную стоматологию нельзя представить без использования инноваций, которые выводят лечение корневых каналов на новый уровень. Одним из самых передовых способов обработки корневых каналов является применение дентального микроскопа. Мощная оптика позволяет увеличить обзор в 32 раза, учитывая, что диаметр канала обычно не больше 1 мм, качественно обработать его без помощи оптики просто невозможно.
Преимущества лечения зуба под микроскопом:
Применение дентального микроскопа дает возможность стоматологу успешно решить даже наиболее сложную клиническую задачу.
Рекомендации после лечения
Эндодонтическое лечение демонстрирует высокие показатели успешности. После вмешательства необходимо придерживаться следующих рекомендаций:
Сразу после процедуры чувствительность зубов сильно повышается. Это объясняется реакцией тканей на пломбировочный материал. Неприятные ощущения исчезнут через несколько дней.
Мнение специалиста

Если есть возможность обратиться в стоматологическую клинику, оснащенную электронным микроскопом - воспользуйтесь ею! Даже самый опытный стоматолог работает с каналами без микроскопа наощупь. А значит, есть риск недопломбировки или, напротив, чрезмерного углубления в канал, приводящего к перфорации. Исключить такое развитие ситуации позволит использование микроскопа, когда рабочее поле четко визуализировано и врач качественно чистит и пломбирует даже самые тонкие и изогнуты каналы.
Стоимость лечения корневых каналов зубов в Москве
Цена эндодонтического лечения зависит от числа корневых каналов больного зуба, использующегося метода, сложности (включая повторное лечение) и объема вмешательства, типа пломбы и т.д. Обработка 1 канала требует меньшего объема работы, чем 2 или 3, что сказывается на стоимости.
Идеальные зубы в 2021: лучшие технологии в стоматологии
Стоматологи постоянно совершенствуют методы создания безупречной улыбки. Новейшие зубные имплантаты All-on-For, поразительно реалистичные виниры, брекеты и элайнеры — тренды, которые будут доминировать в 2021 г. С помощью этих технологий еще до конца года вы получите восхитительно красивые, жемчужно-белые зубы.
Виниры — декоративное покрытие зубов
Представьте «идеальные зубы»: ровные, ослепительно белые, с глянцем. Именно такими их сделают керамические виниры — тончайшие пластины, закрепленные на передней части зубов с помощью специального связующего раствора. Материал виниров прочный, не пористый, в отличие от натуральной зубной эмали, поэтому более устойчив к механическим повреждениям и окрашиванию от кофе, крепкого чая и других пищевых красителей.

Виниры меняют качество жизни в лучшую сторону, ведь вы чаще улыбаетесь!
С помощью виниров корректируют цвет, форму и размеры зубов. Они считаются лучшим способом скрыть серьезные недостатки:
Установка виниров за два-три визита

Пройдите тест и получите скидку 50% на лечение кариеса одного зуба (акция для новых пациентов). Узнайте, не пора ли вам срочно обратиться к стоматологу.
Восстановление зубов All-on-4 за один день
Еще десять лет назад большинство пациентов не догадывалось о существовании All-on-4 — фиксированных мостовидных протезов с полной дугой. Сегодня, наоборот, специально обращаются за ними. На сегодняшний день это лучший способ восстановления жевательной способности и лечения полной адентии (отсутствия зубов), который позволяет одновременно избавиться от натирания съемными протезами, кровоточивости десен, проблем прикуса, пародонтита и других заболеваний.
Конструкцию с искусственными зубами поддерживают 4-6 опорных имплантатов (фронтальных, боковых) — вкрученные в челюсть титановые винты, которые заменяют корневую часть отсутствующих зубов. Устанавливают ее за один день (одновременно удаляют проблемные зубы).

Установка All-on-4 возможна одновременно на обе челюсти и даже при истончении кости (без затрат на костную пластику)
Скачайте авторскую книгу от наших экспертов.
Процесс имплантации All-on-4
Диагностика. Врач проводит комплексную диагностику, томографию, согласовывает план лечения. По снимкам томографа выполняет компьютерное моделирование, подбирает идеальную схему установки имплантатов.
Подготовка. Несостоятельные зубы (ретинированные, серьезно разрушенные кариесом) удаляет по показаниям. Заболевания десен пролечивает и выводит в стойкую ремиссию.
Имплантация. Процедура проходит с минимальным хирургическим вмешательством. На период приживления имплантатов (4-6 месяцев, редко до года) устанавливает несъемный облегченный протез (акрил, пластик). Из кабинета пациент выходит с очаровательной улыбкой.
Установка протеза. Временный протез заменяют постоянным. Материал на выбор — керамика, цирконий, пластик.
Красивые ровные зубы с брекетами, элайнерами
Съемная ортодонтическая конструкция (брекеты) улучшит прикус, закроет большие межзубные промежутки и идеально выровняет зубы за счет неподвижно удерживаемой на зубном ряду металлической дуги.
На установку брекетов уходит 1-2 часа, но иногда нужны два визита (в зависимости от состояния зубов и типа скоб). Носят по показаниям — от полугода до 2-3 лет.
Ушли в прошлое массивные металлические скобы. Современные лингвальные брекеты и элайнеры практически незаметны
Зачастую брекет-система — начальный этап лечения винирами или имплантации. С ее помощью готовят место для имплантатов, сохраняют расстояние между соседними зубами после удаления, исправляют существенные недостатки зубного ряда.
Процесс установки брекет-системы
Заключение
В перечисленных процедурах нет ничего нового, но каждая является идеальным началом пути к голливудской улыбке. И с каждым днем данные методы косметической стоматологии становятся все более востребованными.
Перед установкой виниров, имплантатов или ортодонтической конструкции необходимо вылечить кариес и другие стоматологические заболевания. Поэтому регулярно посещайте врача и своевременно лечите зубы, десны.
Хотите красивую улыбку, но проживаете в другом городе? Получите лечение от топовых стоматологов Санкт-Петербурга. Составим для вас план онлайн абсолютно бесплатно! Ждём вас в нашей клинике. Напишите нам!
Лечение кариеса без сверления зубов

В современной стоматологии, как и в других отраслях науки, происходят глобальные изменения. Сегодня в кабинете зубного врача вы вряд ли почувствуете боль. Кроме того, современные методы лечения кариеса вообще не требуют никакого использования аппаратов сверления! Между тем, конечный результат работы стоматолога, применяющего на деле новейшие разработки индустрии, окажется намного качественнее и долговечнее. В чем же парадокс? Разберемся по порядку в нашей статье.
Содержание статьи
Современные методы лечения кариеса без сверления
К сожалению, все способы лечения без бормашины направлены в основном на борьбу с поверхностной формой кариеса. Их задача — остановить начавшийся кариозный процесс, а в некоторых случаях и предупредить его. До появления подобных методик лечение кариеса осуществлялось только тогда, когда заболевание начинало прогрессировать, а на ранних стадиях на него просто не обращали внимание. Однако это не единственный плюс. Главные преимущества применения данных технологий — это отсутствие сверлящей бормашины, а также возможность удаления пораженной ткани зуба, не затрагивая его здоровой части. Итак, обработка кариозных поражений без сверления основывается на различных принципах воздействия. Среди наиболее распространенных методик в новейшей стоматологической отрасли — инфильтрация, озоновая терапия, воздушно-абразивная обработка и лазерное лечение зубов.

Метод инфильтрации
Технология инфильтрации Icon была изобретена в Кельтском Университете Германии. Данный метод микроинвазивного лечения кариеса относится к химико-механической обработке, что полностью исключает препарирование — сверление зуба, и применяется только при лечении начального кариеса, начальных кариозных поражений после использования брекетов, а также кариеса в стадии пятна. Принцип действия метода состоит в нанесении на поверхность пораженного участка зуба специального геля, который расщепляет эмаль, после чего кариозный очаг высушивают 99%-ным этиловым спиртом в сочетании с воздушной струей и пропитывают полимерной смолой. Протокол процедуры наглядно изображен на рисунке ниже.
Положительными моментами данной технологии можно считать безболезненное и быстрое (процедура занимает 15 - 20 минут) удаление исключительно пораженной части зуба. Однако метод применим лишь на гладкой поверхности зубов либо между ними. Также форма «дырки» должна быть идеальной — с ровными краями и широким входом. Проведенные международные исследования подтверждают эффективность метода инфильтрации, позволившего на долгие годы остановить развитие кариеса как у взрослых пациентов, так и у детей.

Метод лечения кариеса озоном
Озоновая терапия была разработана в Англии. В отличие от других современных способов лечения начального кариеса, озоновый метод направлен на подавление бактерий, разрушающих зуб, и последующую реминерализацию зубных тканей. Но он также позволяет не прибегать к сверлению, а значит и анестезии. В отдельных случаях возможно обойтись и без пломбы! Суть метода такова: специальный аппарат преобразует кислород в озон, который мгновенно нейтрализует кариозные очаги и уничтожает вредные бактерии, провоцирующие разрушение зубных тканей. Затем вещество «выходит» из зуба, вновь преобразуясь в кислород. Здоровые клетки при этом остаются нетронутыми, так как они более устойчивы к окислению и способны выдержать воздействие озона. Процедура длится каких-то 20 - 40 секунд.
Кому можно порекомендовать лечение кариеса озоном? Практически любому пациенту с начальной стадией кариеса, ведь аллергических реакций, как и раздражений полости рта, озон вызвать не может. Но если наблюдается глубокий кариозный процесс, то прибегнуть к сверлению все же придется. Кроме того, озоновое лечение рекомендовано всем без исключения в качестве профилактики кариеса у взрослых и детей. Несмотря на все преимущества метода, практика внедрения озонотерапии в стоматологические клиники России невелика. Причина тому сравнительно высокая стоимость оборудования. Получить представление о том, как происходит лечение озоном можно получить по рисунку ниже.

Воздушно-абразивная обработка
Воздушно-абразивный метод предполагает механическую обработку кариозных поражений при помощи специальных пескоструйных аппаратов, которые также используются для профессиональной гигиены полости рта. Идея «выбивания» поверхностного кариеса потоком воздуха с примесями возникла в 40-х годах в США. Тогда в качестве абразива (примеси, обладающей высокой твердостью) использовался кварцевый песок, а позднее — оксид алюминия, вещество бесцветное и нетоксичное. Потоково-абразивные системы «выстреливают» с мощностью, которой хватает для удаления размягченных, пораженных кариесом тканей, не нанося вред здоровым. В случае применения воздушно-абразивной обработки практически исключается возможность развития вторичного кариеса. Процедура безопасная, безболезненная, и при лечении начального кариеса не требует анестезии.
Как и при других методиках лечения кариеса без бормашины, воздушно-абразивный метод не нагревает зубные ткани, не создает шума и вибрации. Более того, он снижает риск образования микротрещин, которые в дальнейшем могут служить причиной разрушения всего зуба. «Выбивание» воздушной струей с абразивами происходит импульсно, по 5 - 10 секунд, что более эффективно, чем препарирование бормашиной. Метод воздушно-абразивной обработки не идеален, потому что в отдельных случаях может все-таки потребоваться вычищение кариеса сверлом и постановка только композитной пломбы. Иногда данный метод лечения зубов вообще неприменим из-за недоступности наконечника установки к пораженному участку. Еще один минус — это возможное усиление чувствительности зуба в дальнейшем.

Лазерное лечение зубов без бормашины
Лечение кариеса лазером, иными словами, лазерная флюоресценция, так же, как и выше перечисленные методы, подразумевает под собой лечение кариеса без сверления в том смысле, в каком мы привыкли понимать сверление и связанные с ним неприятные ощущения. Почему возникает неприятная боль во время работы бормашины? Дело в том, что происходит интенсивное нагревание и трение между стоматологическим сверлом и эмалью, дентином. А к этим ощущениям добавляется вибрация, распространяющаяся на зубные ткани. При лечении лазером не происходит нагревания тканей из-за низкой мощности излучения. Кроме того, лазерные аппараты в 20 раз бесшумнее бормашины! В этом случае, главное, ненароком не уснуть в кабинете стоматолога. Недаром такой метод рекомендуется не только для людей с повышенной чувствительностью к боли и звукам, но также наиболее чутким к восприятию внешних раздражителей — беременным и детям. К тому же, процедура лазерного лечения кариеса абсолютно стерильна — наконечник установки не соприкасается с зубами.
Препарирование полости лазер осуществляет, избирательно воздействуя на кариес, а, точнее, только на инфицированную кариесом ткань. Воздействие полностью подавляет рост кариозных бактерий и исключает риск возникновения вторичного кариеса. При этом лазерный метод не вредит здоровым зубам, а также не ведет к микротрещинам на эмали. А время, затрачиваемое на лечение кариеса, сокращается примерно на 40% по сравнению с традиционным лечением — не надо менять насадки, а при лечении поверхностного кариеса — и делать анестезию. Сегодня стоматология использует лазер не только как способ лечения кариеса, но и в качестве его диагностики. Второе является значительным преимуществом в сравнении с рентгенодиагностикой, поскольку в случае с лазерной «проверкой» отсутствует излучение.
Недостатки лечения кариеса без сверления зубов
Лечение зубов без сверления народными средствами
Конечно же, вылечить кариес в домашних условиях вы не сможете. Единственное, что в ваших силах — это соблюдать меры по профилактике его возникновения. Помимо простых и понятных каждому человеку действий по сохранению здоровья и целостности зубов (чистка языка и зубов два раза в день после еды и посещение стоматолога раз в полугодие), существуют дополнительные меры. К таковым относится, например, нанесение специальных гелей, укрепляющих эмаль зубов и насыщающих ее недостающими минералами. Это способствует предотвращению кариеса и его осложнений, но не их устранению. Еще одним интересным средством лечения кариеса в домашних условиях служит сухое молоко, используемое как заменитель зубной пасты. Чистка таким молочным порошком уменьшает кровоточивость десен и снижает риск возникновения зубного камня.
Народные средства от кариеса призваны в целом и общем снять зубную боль, но не устранить ее причину. Для снятия болезненности используются различные спиртовые настои на целебных травах, делаются примочки и прикладываются непосредственно к больному зубу; рекомендуется также полоскать рот настоем крепкого чая. На теле существует точка, сильное нажатие на которую на время снимает зубную боль. Точка расположена в области между носом и губами. Не переусердствуйте, за реальной помощью в устранении причины зубной боли все равно придется обращаться к специалисту. Следите за тем, чтобы паста для чистки зубов содержала такие микроэлементы, как фтор и кальций, а пищевой рацион — меньше углеводов и больше зелени, постного мяса и молочных продуктов.
В наше время ведется много споров о том, как вылечить кариес без боли и страха. На российском рынке только начинают появляться технологии, способные решить стоматологические проблемы без применения бормашины. В любом случае, даже такие современные методы лечения кариеса применимы, в основном, на ранних стадиях его возникновения. Если вы не горите желанием испытать на себе воздействие сверления бором, не пренебрегайте здоровьем своих зубов и вовремя обращайтесь за помощью к специалистам.
Читайте также:
