Споруляция бактерий. Стадии споруляции у бактерий. Расположение спор у бактерий.
Добавил пользователь Владимир З. Обновлено: 21.11.2025
Процесс споруляции (спорообразования) начинается сразу после возникновения дефицита питательных веществ и продолжается приблизительно 8 ч. Никаких внешних источников питания или энергии при этом не требуется. Споруляцию стимулирует внесение в среду глюкозы, фосфора и NH4; угнетает внесение пептона, лактозы, NaCl, CaCl2 (у бактерий рода Bacillus— DL-аланина).
Споруляция контролируется особыми генами. Их число вариабельно у различных видов и может достигать 70. Детали спорообразования служат видовыми признаками, но его принципиальные закономерности одинаковы для всех бактерий.
Подготовительная стадия споруляции сопровождается прекращением деления и увеличением количества липидных включений.
Стадия предспоры споруляции обычно начинается бурно. В клетке появляется эллиптическая оболочка, окружающая участок цитоплазмы с изменёнными плотностью и тинкториальными свойствами. Подобное образование обозначают терминами «предспора», или «примордиальная спора».
Третья стадия споруляции включает появление оболочки (обычно в течение 10 мин после образования предспоры) и ещё большее увеличение коэффициента светопреломления.
Стадия созревания споры сопровождается её уплотнением и снижением метаболической активности клетки.
У видов Bacillus диаметр споры не превышает ширины клетки, тогда как у многих видов Clostridium — значительно превышает. В ряде случаев клетка приобретает весьма характерный вид, нередко являющийся диагностическим признаком. Например, терминально расположенные споры у возбудителя столбняка придают бактериям вид «теннисных ракеток».
Поскольку споры сильно преломляют свет, то распознавание их при микроскопии не представляет затруднений. В спорных случаях прибегают к специальным методам окрашивания.
Прорастание спор бактерий.
После созревания и лизиса родительской клетки спора освобождается, сохраняясь в покоящемся состоянии до попадания в благоприятные условия.
Прорастание споры в оптимальных условиях осуществляется в течение 2-3 ч.
Споры кислотоустойчивы, поэтому окрашиваются по методу Ожешки или по методу Циля-Нильсена в красный, а вегетативная клетка в синий цвет.
Спора долго сохраняется из-за наличия многослойной оболочки, дипиколината кальция, низкого содержания воды и вялых процессов метаболизмов. В благоприятных условиях споры прорастают, проходя три последовательные стадии: активация, инициация, прорастание.
Прорастанию предшествует активация споры. Её инициируют различные химические вещества, повышение температуры и влажности. Под воздействием автолизинов происходит расщепление кортекса, поглощение воды и набухание. Внешне процесс проявляется увеличением («вздутием») споры и уменьшением коэффициента светопреломления. При этом в споре происходят глубокие физиологические изменения: усиливается дыхание, увеличивается активность ферментов, происходит выделение аминокислот, дипиколиновой кислоты и пептидов (потеря сухой массы споры может достигать 20-30%). В этот период спора утрачивает терморезистентность.
Затем спора лопается в произвольном месте и из неё выходит вегетативная клетка, снабжённая у подвижных видов жгутиковым аппаратом.
14. Спорообразование у бактерий. Стадии, функциональное значение.
Споры - своебразная форма покоящихся фирмикутных бактерий, т. е. бактерий с грамположительным типом строения клеточной стенки. Споры образуются при неблагоприятных условиях существования бактерий (высушивание, дефицит питательных веществ и др. Внутри бактериальной клетки образуется одна спора (эндоспора). Образование спор способствует сохранению вида и не является способом размножения, как у грибов. Спорообразующие бактерии рода Bacillus имеют споры, не превышающие диаметр клетки. Бактерии, у которых размер споры превышает диаметр клетки, называются клостридиями, например, бактерии рода Clostridium (лат. Clostridium - веретено). Споры кислотоустойчивы, поэтому окрашиваются по методу Ауески или по методу Циля-Нильсена в красный, а вегетативная клетка в синий цвет.
Процесс образования спор проходит ряд последовательных стадий:
подготовительная. Изменяется метаболизм, завершаетется репликация ДНК и происходит ее конденсация. Клетка содержит два или более нуклеоида, один из них локализуется в спорогенной зоне, остальные — в цитоплазме спорангия. Одновременно синтезируется дипиколиновая кислота;
стадия предспоры. Со стороны цитоплазматической мембраны вегетативной клетки происходит врастание двойной мембраны, или септы, отделяющей нуклеоид с участком уплотненной цитоплазмы (спорогенная зона). В результате чего образуется проспора, окруженная двумя мембранами;
образование оболочек. Вначале между мембранами про-споры образуется зачаточный пептидогликановый слой, затем над ним откладывается толстый пептидогликановый слой кор-текса и вокруг его наружной мембраны формируется споровая оболочка;
созревание споры. Заканчивается образование всех структур споры, она становится термоустойчивой, приобретает характерную форму и занимает определенное положение в клетке.
15. Сложные методы окраски. Окраска по Граму, её этапы.
Последовательно нанести на препарат определенные красители, различающиеся по химическом составу и цвету, протравы, спирты, кислоту и др. Это позволяет выявиться стркутуры клеток и дифференцировать одни виды микроорганизмов от других.
Окраска по Граму.
1. На фиксированный мазок на препарат нанести карболово-спиртовый раствор генцианового фиолетового через полоску фильтровальной бумаги. Через 1-2 мин ее снять, а краситель смыть.
2. Нанести раствор люголя на 1-2 мин
3. Обесцветить этиловым спиртом в течении 30-6- с до прекращения отхождения фиолетовых струек красителя.
4. Промыть водой.
5. Докрасить водным раствором фуксина 1-2 мин, промыть, высушить и микроскопировать. Грам +: темно-фиолетовый цвет. Грам -:красные
16. Окраска по Цилю-Нильсену и ее этапы.
Метод окраски по Цилю — Нельсену — метод окраски микроорганизмов для выявления кислотоустойчивых микобактерий (возбудителей туберкулёза, микобактериозов, лепры), актиномицетов и других кислотоустойчивых микроорганизмов. Кислотоустойчивость микроорганизмов обусловлена наличием в их клетках липидов, воска и оксикислот. Такие микроорганизмы плохо окрашиваются разведёнными растворами красителей. Для облегчения проникновения красителя в клетки микроорганизмов нанесённый на препарат карболовый фуксин Циля подогревают над пламенем горелки. Окрашенные микроорганизмы не обесцвечиваются слабыми растворами минеральных кислот и спирта.
Фиксированный на пламени горелки мазок окрашивают в течение 3 - 5 мин. раствором карболового фуксина Циля или окрашенной фуксином бумажкой с подогреванием до появления паров, но не доводя краситель до кипения.
Дают препарату остыть, бумажку снимают, сливают избыток красителя, препарат промывают водой.
Окрашенный препарат обесцвечивают 5%-ным раствором серной кислоты в течение 3 - 5 с или 96° этиловым спиртом, содержащим 3% по объему хлористоводородной кислоты, несколько раз погружая стекло с мазком в стаканчик с солянокислым спиртом.
После обесцвечивания остаток кислоты сливают и тщательно промывают препарат водой.
Докрашивают дополнительно метиленовым синим Леффлера 3 - 5 мин.
Окрашенный препарат промывают водой, подсушивают и микроскопируют.
При окраске препаратов кислоустойчивые бактерии окрашиваются фуксином в рубиново-красный цвет и не обесцвечиваются кислотой.
Некислотоустойчивые бактерии, а также элементы ткани и лейкоциты под действием кислоты обесцвечиваются и приобретают цвет дополнительного красителя.
Споруляция
Споруляция - это процесс образования бактериальной споры (эндоспоры), формирующейся внутри клетки [1] .
Споруляция - это сложный процесс дифференцировки бактериальной клетки под контролем комплекса специализированных генов - спорулонов [1] . Спорообразование характерный признак грамположительных бактерий. Спорообразующие палочки называются бациллами. Для грамотрицательных бактерий эквивалентным спорообразованию процессом является переход в некультивируемое состояние. В этой форме они так же способны длительное время сохраняться в неблагоприятной для развития окружающей среде [4] .
Содержание:
Характеристика процесса
Споруляция не является способом размножения бактерий, поскольку одна вегетативная бактериальная клетка формирует только одну спору. При прорастании споры не происходит увеличения числа бактерий [2] .
Переход бактерий к споруляции наблюдается: при истощении питательного субстрата, недостатке источников азота, фосфора, углерода, изменений кислотности, повышении температуры. Причин у споруляции может быть множество. Их объединяет одно название - факторы не благоприятные для развития данного вида бактерий [2] .
Споруляция - энергозависимый процесс. В зависимости от источника поступления различают:
- эндотрофную споруляцию - осуществляется за счет внутреннего запаса энергии;
- экзотрофную споруляцию - осуществляется за счет экзогенной энергии, то есть поступающей из вне [2] .
Длительность споруляции составляет 18-20 часов. Способность к образованию спор детерминируется генами spo (спорулоны), которых в бактериальных клеткам может быть множество. В частности, у бактерий Bacillus subtilis спорулонов насчитывают более 100. Каждый из spo-генов отвечает за определенные стадии споруляции [2] [3] .
Спора бактериальная
Спора бактериальная - тип покоящихся форм прокариот, особое состояние покоящихся репродуктивных клеток, характеризующееся резким снижением уровня метаболизма и высокой резистентностью [1] [5] .
В отличии от грибов и низших растений, у которых споры являются репродуктивными органами размножения, бактериальная спора - это бактериальная клетка в состоянии анабиоза. Споруляцию бактерий провоцируют неблагоприятные условия внешней среды [3] [4] .
Эндоспоры в клетках бактерий рода Bacillus
Форма и расположение [2]
Свойства спор
Бактериальная спора содержит небольшое количество воды и характеризуется наличием более плотной, чем у вегетативной бактериальной клетки, стенкой. Появляется новое вещество - дипиколинат кальция. Оно образует комплексы с биополимерами клетки, устойчивые к действию температуры и ультрафиолета [3] .
В окружающей среде споры бактерий могут сохраняться годами. При попадании в благоприятные условия бактериальные споры впитывают влагу, комплексы распадаются, дипиколинат разрушается. В результате спора превращается в вегетативную бактериальную клетку [3] .
Споры рассматриваются не как способ размножения, а как форма существования бактериальной клетки в условиях неблагоприятных для ее роста и развития. При этом преобразования идут по схеме: 1 бактериальная клетка - 1 бактериальная спора - 1 бактериальная клетка. Увеличения количества бактериальных клеток не происходит [3] .
При использовании окраски по Граму споры красители не воспринимают и остаются бесцветными на окрашенном фоне. Споры могут быть окрашены с помощью специальных методов [3] .
Типы спор и покоящихся форм прокариот
Активно метаболизирующие и размножающиеся бактерии - это вегетативные формы. Некоторые бактерии наряду с вегетативными формами образуют покоящиеся формы [2] .
К покоящимся формам прокариот относятся споры бактерий:
- эндоспоры - формируются внутри клетки;
- экзоспоры - формируются путем почкования материнской клетки [2][5] .
К другим покоящимся формам бактерий относят:
- цисты - шарообразные или овальные толстостенные клетки, покрытые толстым слоем уплотненной слизи;
- миксоспоры - образуются путем превращения всей клетки;
- акиенты - покоящиеся клетки нитчатых цианобактерий [2][5] .
Для всех покоящихся форм характерен предельно низкий уровень метаболических процессов. Основное механизмы, обеспечивающие устойчивое пребывание бактериальных клеток в состоянии покоя:
- наличие в них специальных репрессоров - ингибиторов ферментативной активности;
- крайне низкое содержание воды в цитоплазме (спороплазме);
- изменение ферментов, вызванное обезвоживанием [5] .
В отличие от исходных вегетативных бактериальных клеток, все покоящиеся формы характеризуются повышенной устойчивостью к неблагоприятным факторам окружающей среды, что обеспечивает надежное сохранение вида в природе [5] .
Наибольшей устойчивостью к действию температуры, кислотности, недостатку влаги, литическим ферментам характеризуются эндоспоры [5] .
Эндоспоры некоторых бактерий отмирают на 90% только в результате нагревания при 100°C в течение 10-15 мин. Цисты азотобактера полностью гибнут уже после прогревании при +60°C в течение 15-20 мин. Акинеты цианобактерий отмирают на 95% после прогревания при +40°C в течение 10 мин [5] .
Споры и спорообразование в жизни бактерий
Бактерии в процессе эволюции приспособились к выживанию в самых неблагоприятных условиях окружающей среды и сохранили наследственную информацию путем образования спор. Споры бактерий образуются внутри клетки. Весь процесс прорастания (спорообразование) длится 18 — 20 часов. В ходе этого процесса в клетке бактерии изменяется целый ряд биохимических процессов. В спорообразном состоянии бактерии могут находиться длительное время — сотни лет. При благоприятных условиях внешней среды споры прорастают. Процесс прорастания длится 4 — 5 часов.
Спорообразование происходит, когда:
- истощается питательный субстрат,
- отмечается недостаток углерода и азота,
- накапливается во внутренней среде клетки ионы калия и марганца,
- изменяется уровень кислотности среды и др.
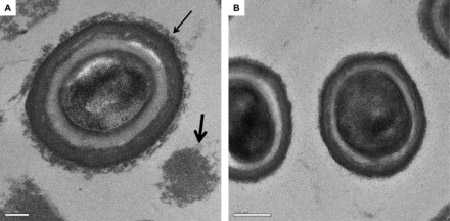
Рис. 1. На фото спора внутри бактериальной клетки (фото сделано в свете электронного микроскопа — ЭМ).
Какие бактерии способны к спорообразованию
Палочковидные бактерии, образующие споры, называются бациллами. Они относятся к семейству Bacillaceae и представлены родом клостридиум Clostricdium, родом бациллюс (Bacillus) и родом десульфотомакулум (Desulfotomaculum). Все они грамм положительные анаэробные бактерии.
Род клостридиум насчитывает более 93 видов бактерий. Все они образуют споры. Патогенные бактерии рода клостридиум вызывают газовую гангрену, легочную гангрену, являются виновниками осложнений после абортов и родов, тяжелых токсикоинфекций, в том числе ботулизма. Споры бактерий этого вида превышают диаметр вегетативной клетки.
Род бациллюс насчитывает более 217 видов бактерий. Патогенные бактерии рода бациллюс вызывают ряд заболеваний у человека и животных, в том числе пищевые токсикоинфекции и сибирскую язву. Споры бактерий этого вида не превышают диаметр вегетативной клетки.

Рис. 2. На фото бактерии рода клостридиум. Слева — клостридии перфингенс. Являются возбудителями пищевой токсикоинфекции и газовой гангрены. Справа — клостридии ботулинум. Бактерии вызывают тяжелую пищевую токсикоинфекцию — ботулизм.
Рис. 3. На фото возбудитель сибирской язвы. Bacillus anthracis род Bacillus - крупная, неподвижная, с обрубленными концами (слева) и бактерия в спорообразном состоянии (справа).
Спорообразование у бактерий
Подготовительный этап
Перед образованием самой споры в вегетативной бактериальной клетке снижается уровень метаболизма, прекращается репликация ДНК, в спорогенной зоне локализуется один из нуклеотидов, начинает синтезироваться дипиколиновая кислота.
Образование спорогенной зоны
Образование спорогенной зоны начинается с уплотнения участка цитоплазмы, в котором расположен нуклеотид (проспора). Изолирование спорогенной зоны происходит с помощью цитоплазматической мембраны, которая начинает врастать внутрь клетки.
Образование проспоры и споры
Между внутренним и наружным слоем мембраны образуется кортекс. Один из его компонентов — дипиколиновая кислота, которая обуславливает термоустойчивость споры.
Сторона мембраны, обращенная наружу, покрывается оболочкой (экзоспорицей). Она состоит из белков, липидов и других соединений, которые не встречаются у вегетативной клетки. Оболочка толстая и рыхлая. Обладает гидрофобностью.
Созревание споры
В период созревания споры заканчивается формирование всех ее структур. Спора приобретает термоустойчивость. Она принимает определенную форму и занимает особое положение в клетке. После полного созревания споры происходит аутолизис клетки.

Рис. 4. На фото видна образованная спора, по периферии которой находятся остатки цитоплазмы.

Рис. 5. На фото слева видна только что образованная спора (А), по периферии которой находится остатки цитоплазмы. Далее цитоплазма отмирает. На фото справа (В) спора, очищенная в лабораторных условиях.

Рис. 6. На фото вверху стадии спорообразования — от образования спорогенной зоны до полного формирования и лизиса остатков клетки. На фото внизу спора с лентовидными выростами. О — ее внешняя оболочка, К — кортекс, С — внутренняя часть.
Кортекс
Кортекс защищает спору от ферментов, которые в большом количестве продуцируются клеткой на завершающем этапе спорообразования. Их предназначение — полностью разрушить материнскую вегетативную клетку. При отсутствии кортекса споры бактерий лизируются. Кортекс содержит диаминопимелиновую кислоту, которая обеспечивает термостабильность
Внутренняя сторона кортекса прилегает к внутренней стороне цитоплазматической мембраны. В период прорастания споры кортекс трансформируется в клеточную стенку вегетативной клетки.
Оболочка споры (экзоспориум)
Сторона цитоплазматической мембраны, обращенная наружу, при спорообразовании покрывается оболочкой (экзоспорицей). Она состоит из белков, липидов и других соединений, которые не встречаются у вегетативной клетки. Оболочка толстая и рыхлая. Составляет около 50% объема самой споры. Обладает гидрофобностью. Наружная стенка споры устойчива к воздействию ферментов. Она предохраняет спору от преждевременного прорастания.

Рис. 7. На фото спора с выростами. Ее сердцевина — покоящаяся вегетативная клетка.
Выросты на спорах
На некоторых спорах в процессе спорообразования образуются выросты. Они многообразны и специфичны. Этот признак для каждой бактерии наследственно закрепленен и постоянен. Выросты на спорах состоят в основном из белка. Аминокислоты белка сходны с таковыми у кератина и коллагена. Функция выростов на спорах окончательно еще не выяснена.

Рис. 8. Виды выростов на спорах: жгутики, трубки, ершиковидные палочки, широкие ленты, шипы, булавки, в виде оленьих рогов.

Рис. 9. На фото споры бактерий рода клостридиум. Выросты в виде трубок (1 и 5), выросты в виде жгутиков (2), лентовидные выросты(3), перистые выросты (4), споры, на поверхности которых имеются шипы (6).
Характеристика споры бактерий
В клетке, которая находится в спорообразном состоянии, отмечается:
- полная репрессия генома,
- почти полное отсутствие обмена веществ,
- снижение количества воды в цитоплазме на 50% (значительная потеря воды клеткой приводит к ее гибели),
- повышенное количество катионов кальция и магния в цитоплазме,
- появление дипиколиновой кислоты и кортекса, отвечающих за термостабильность,
- повышение количества белка цистеина и гидрофобных аминокислот,
- сохраняет жизнеспособность сотни лет.
Устойчивость спор
В процессе спорообразования спора покрывается оболочками — внешней оболочкой и кортексом. Они защищают спору от неблагоприятных условий внешней среды.
Кортекс содержит диаминопимелиновую кислоту, которая отвечает за термостабильность. Внешняя оболочка предохраняет спору от преждевременного прорастания и негативных факторов внешней среды.
В спорообразном состоянии бактерия устойчива к повышенной температуре окружающей среды и высушиванию. Она способна выжить в растворах, с повышенным содержанием солей, перенести длительное кипячение и промораживание, радиацию и вакуум, ультрафиолетовое облучение. Спора проявляет устойчивость к целому ряду токсических веществ и дезинфицирующих препаратов.
Устойчивость спор патогенных бактерий во внешней среде способствует сохранению инфекции и развитию тяжелых инфекционных заболеваний.
Вид, форма и расположение спор у бактерий
Споры бактерий имеют овальную и шаровидную форму. Они могут располагаться на концах клетки (возбудители столбняка), ближе к центру (возбудители ботулизма и газовой гангрены) или в центральной части клетки (сибиреязвенная бацилла). Реже споры бактерий располагаются латерально.

Рис. 10. На фото терминальные эндоспоры C. difficile и Clostridium tetani.

Рис. 11. На фото центрально расположенные споры бактерий Bacillus cereus.
Рис. 12. На фото концевое расположение споры у бактерии Bacillus subtilis.
Колпачки на спорах
На спорах рода клостридиум и бациллюс в процессе спорообразования образуются колпачки. Они имеют конусовидную или серповидную форму и ячеистое строение. Ячейки напоминают мешочки, которые заполнены газообразным веществом. Они имеют форму палочек или овалов. Ячейки помогают споре сохранять в воде плавучесть. Даже при центрифугировании споры с колпачками невозможно осадить. Колпачки на спорах образуются у почвенных бактерий гидроморфных почв, которые сформировались в условиях застоя поверхностных вод или при наличии грунтовых вод.
Рис. 13. На фото колпачки на спорах — конусовидные (слева) и серповидные (справа).

Рис. 14. На фото строение колпачка споры бактерии. Видны отдельные газовые ячейки (вакуоли, мешочки) овальной формы.
Параспоровые тельца
Такие бактерии, как B.anthracis (возбудитель сибирской язвы) и B.cereus (возбудитель токсикоинфекций) во время образования образуют параспоровые тельца. У B.anthracis эти образования округлой формы, расположенные на поверхности спор или изолированно. У Bacillus thuringiensis параспоровые тельца в виде белковых кристаллов бипирамидальной формы. Кристаллы токсичны для гусениц, насекомых и личинок нематод, мошек и москитов. Ген эндотоксина используется в биозащите растений.

Рис. 15. На фото параспоровые бипирамидальные кристаллы почвенной бактерии Bacillus thuringiensis morrisoni.
Прорастание спор
Попадая в благоприятные условия, спора начинает прорастать в вегетативную клетку. Процесс прорастания длится 4 — 5 часов.
Процесс активации
Способствуют прорастанию прогревание, глюкоза, аминокислоты, ионы некоторых веществ и механические повреждения стенки споры.
Процесс инициации
Процесс инициации начинается с дерепрессии генома. Активируются процессы дыхания и ферментные системы. Из клетки удаляется дипиколиновая кислота, ионы кальция, разрушается кортекс. В споре увеличивается количество воды. Все эти изменения приводят к утрате спорой таких свойств, как термостабильность, устойчивости к радиации и химическим веществам. Отличительной особенностью данного процесса является уменьшение спорой величины преломления света.
Процесс собственно прорастания
Из споры начинает прорастать ростковая трубка, разрушающая ее оболочку. Формируется оболочка клетки. Регулируются процессы прорастания целым рядом специальных веществ — герминантами. После окончания прорастания споры клетка начинает делиться.
Рис. 16. На фото клетка бактерии, которая после прорастания споры начинает делиться.
Подробно о бактерияx читай в статьях:
Спорообразование служит цели сохранения вида бактерий. Споры бактерий необычайно устойчивы во внешней среде, что явилось поводом к развертыванию во многих странах мира интенсивных исследований учеными этого процесса.
Читайте также:
- Шигеллез у детей: рекомендации, симптомы, лечение и профилактика
- Длительность приема аспирина при инфаркте миокарда. Клопидогрел при инфаркте миокарда
- Стратификация риска в отделении неотложной помощи. Предоперационная стратификация риска перед некардиальными операциями
- Опухоли носа и придаточных пазух
- Инфракрасное излучение. Отражение и поглощение световых лучей
