Статьи по болезням полости рта и глотки
Добавил пользователь Евгений Кузнецов Обновлено: 31.10.2025
Инфекционно-воспалительные заболевания полости рта и глотки (фарингит, глоссит, стоматит и гингивит) относятся к наиболее частым причинам обращаемости пациентов к участковым терапевтам, оториноларингологам, педиатрам, что связано с высоким уровнем заболеваемости среди людей молодого, трудоспособного возраста и детей. Важной проблемой является поиск оптимальных средств и методов лечения данной категории больных. Терапевтические мероприятия должны быть этиопатогенетически обоснованными и безопасными, также должна учитываться гипоаллергенность и низкая токсичность выбранного лекарственного препарата.
Рассмотрим некоторые клинико-диагностические аспекты инфекционно-воспалительных заболеваний полости рта и глотки.
Фарингиты делятся на острые и хронические. Острый фарингит - инфекционное воспаление слизистой оболочки ротоглотки и небных миндалин, склонное к спонтанному разрешению, но в ряде случаев осложняющееся развитием гнойных процессов в окружающих тканях. Острые фарингиты могут иметь как бактериальную, так и вирусную этиологию, однако основным механизмом в развитии острых воспалительных заболеваний верхних дыхательных путей, таких как риносинусит, аденоидит и фарингит, обычно является вирусная инфекция, оказывающая непосредственное цитопатическое воздействие на эпителий верхних дыхательных путей. Острые респираторные вирусные инфекции вызываются риновирусами, коронавирусами, респираторным синтициальным (РС) вирусом, аденовирусами, вирусами гриппа и парагриппа. Но, как правило, несколько чаще других при поражении ротоглотки встречается аденовирусная и риновирусная инфекция. В ответ на внедрение инфекционного агента происходит развитие воспалительного процесса, который характеризуется рядом защитных механизмов: изменение проницаемости сосудистой стенки, усиление кровотока, повышение активности макрофагов и полиморфонуклеарных клеточных элементов, выделение медиаторов воспаления, свободных кислородных радикалов. Макрофаги, посредством выделения цитокинов, играют основную роль в защитном механизме, вызывая повышение уровня Т-лимфоцитов. Возникновение неспецифических инфекционно-воспалительных заболеваний глотки и верхних дыхательных путей происходит из-за дисбаланса локального и системного иммунитета. Хронизация патологического процесса, затяжное течение заболевания - это возможные клинические проявления иммунного дисбаланса, в том числе при хроническом тонзиллите [1,2].
Ведущую роль в местном иммунитете играют цитокины, действующие на биохимические мессенджеры, регулирующие стимулирование и торможение воспалительных реакций, которые инициируют иммунный ответ [3,4]. Цитокины продуцируются лимфоцитами и макрофагами, встроенными в эпителий слизистой оболочки, источником цитокинов в слюне является сывороточный транссудат и слюнные железы [5]. Также цитокины вырабатываются и самими эпителиальными клетками слизистой оболочки при контакте с микробом [4]. Важно отметить, что содержание цитокинов в слюне не корригирует с их уровнем в крови, что указывает на автономность местного иммунитета [6]. Вирусное инфицирование может служить инициирующим фактором для присоединения бактериального патогена в дальнейшем.
Также к бактериальному инфицированию могут приводить самые различные заболевания, сопровождающиеся снижением местной и общей сопротивляемости организма (первичные и приобретенные иммунодефицитные состояния, муковисцидоз, эндокринные заболевания и др.). Общее охлаждение организма или местное переохлаждение глотки холодным воздухом и пищей; раздражение слизистой оболочки глотки едкими газами или запыленным воздухом, курение, а также наличие выделений, стекающих по задней стенке глотки при воспалении околоносовых пазух, также могут способствовать активизации бактериальной микрофлоры.
При остром фарингите чаще выявляются стрептококки, в том числе пневмококки, стафилококки, грамотрицательные диплококки и другая микрофлора, обычно высевающаяся и в норме у здорового человека и представляющая так называемую транзиторную микрофлору слизистых оболочек, вегетирующую на слизистых оболочках и кожных покровах. Основными жалобами больных с острым поражением слизистой оболочки ротоглотки являются неприятные ощущения - жжение, покалывание, сухость, нередко скопление слизистого секрета; головная боль, локализующаяся в затылочной области. У детей часто возникают нарушение дыхания и гнусавость. У взрослых это заболевание протекает без резкого ухудшения общего состояния, а у детей температурная реакция бывает значительной (в частности, в тех случаях, когда воспаление распространяется на гортань и трахею). Увеличены и болезненны шейные и затылочные лимфатические узлы. При фарингоскопии видны гиперемия задней стенки глотки и небных дужек, отдельные воспаленные лимфоидные гранулы, но при этом отсутствуют характерные для ангины признаки воспаления небных миндалин.
Хронические фарингиты, как правило, имеют бактериальную, реже грибковую природу. Хронический фарингит наблюдается преимущественно у лиц среднего и пожилого возраста. Это полиэтиологическое заболевание, характеризующееся наличием воспалительных и дистрофических изменений слизистой оболочки глотки. Для хронического фарингита характерны жалобы на сухость, першение, болезненность и ощущение инородного тела в глотке, нередко сухой кашель и образование вязкой мокроты, повышение температуры и существенное ухудшение общего состояния редко встречаются у больных с хроническим фарингитом. При постановке диагноза учитывается фарингоскопическая картина. Развитие хронического фарингита связывают с вредным влиянием таких раздражающих факторов, как алкоголь, никотин, острая пища, газированные напитки, различные неблагоприятные производственные, климатические воздействия. Формированию заболевания способствуют патологические состояния полости носа, приводящие к нарушению носового дыхания - искривление перегородки носа, вазомоторный и гипертрофический ринит, полипоз носа, аденоиды. Причиной хронического фарингита могут быть рецидивирующие инфекции дыхательных путей, приводящие к стойкому нарушению мукоцилиарного барьера и значительному угнетению механизмов местного и общего иммунитета. Атрофический фарингит является следствием прогрессирующей атрофии слизистой оболочки глотки у лиц пожилого возраста.
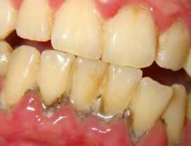
Нарушение равновесия в системе защиты полости рта может быть причиной воспаления слизистой оболочки десен - гингивита. Когда воспаление распространяется от десневого края на окружающие зубы ткани, гингивит переходит в пародонтит, что в дальнейшем может привести к воспалению костной ткани, расшатыванию и потере зуба. У пациентов старше 15 лет в 50% случаев причиной потери зубов оказываются пародонтопатии. При гингивите десна воспаляется, возникает отек, изменяется ее контур. За счет отека углубляется десневая борозда между зубом и образуется так называемый десневой карман. В результате возникают покраснение десневого края, отек и кровоточивость десны, она становится чувствительной и болезненной, наблюдаются трудности при жевании и глотании. Гингивит может быть как острым, так и хроническим. Хронический гингивит более часто встречается у взрослых.
К инфекционно-воспалительным заболеваниям полости рта относится стоматит - воспаление слизистой оболочки полости рта. По клиническому проявлению стоматиты разделяются на катаральные, язвенные и афтозные.
Kатаральный стоматит - наиболее часто встречающееся поражение слизистой оболочки полости рта. Наиболее частой причиной является несоблюдение гигиены полости рта, болезни зубов, зубные отложения, дисбактериоз полости рта. Заболевания желудочно-кишечного тракта, такие как гастрит, дуоденит, колит, также могут быть причиной катарального стоматита. При катаральном стоматите слизистая оболочка рта становится отечной, болезненной, гиперемированной, покрыта белым или желтым налетом, отмечается гиперсаливация.
Язвенный стоматит - может развиваться, как следствие катарального, так и самостоятельно. Чаще всего это заболевание развивается у больных, страдающих язвенной болезнью желудка или хроническим энтеритом. При язвенном стоматите поражается вся толща слизистой. Начальные признаки при катаральном и язвенном стоматите похожи, однако впоследствии при язвенном стоматите отмечается повышение температуры до 37,5°С, слабость, головная боль, увеличение и болезненность лимфатических узлов. Прием пищи сопровождается сильными болевыми ощущениями.
Афтозный стоматит - характеризуется появлением единичных или множественных афт (овальной или округлой формы, размером не более чечевичного зерна, с четкими границами в виде узкой красной каймы и серовато-желтым налетом в центре) на слизистой оболочке полости рта. Причинами возникновения этого варианта стоматита считаются заболевания желудочно-кишечного тракта, аллергические реакции, вирусные инфекции, ревматизм. Заболевание начинается с общего недомогания, повышения температуры тела, появления болевых ощущений во рту на месте образования афт.
Таким образом, терапевтическая тактика при инфекционно-воспалительных заболеваниях слизистой оболочки полости рта и глотки включает в себя назначение лекарственных препаратов, обладающих противовоспалительным, аналгезирующим, иммунокорригирующим действием, локальных антисептиков, противоотечных и гипосенсибилизирующих препаратов 8. В комплексе лечебных мероприятий важная роль принадлежит препаратам, оказывающим симптоматическое комбинированное действие. Целесообразно применение комбинированного препарата Ринза Лорсепт («Unique Pharmaceutical Laboratories»). Препарат выпускается в виде таблеток для рассасывания, тем самым обеспечивая максимальную биодоступность.
Основные активные ингредиенты Ринзы Лорсепт - амилметакрезол (0,6 мг) и дихлорбензиловый спирт (1,2 мг) - активны в отношении широкого спектра грамположительных и грамотрицательных микроорганизмов, а также оказывают противогрибковое действие, препятствуют присоединению вторичной бактериальной инфекции при вирусных заболеваниях верхних дыхательных путей. Природные добавки, которые входят в состав препарата, уменьшают болевые ощущения в горле, оказывают смягчающее воздействие на слизистую оболочку.
Оптимальный эффект препарат оказывает при появлении первых симптомов воспаления слизистой оболочки полости рта или глотки.
Противопоказаниями являются повышенная чувствительность к любому из компонентов препарата и возраст до 6 лет. Среди побочных эффектов описаны единичные аллергические реакции. Больным сахарным диабетом следует учитывать, что леденцы содержат сахарозу.
Препарат снимает раздражение в глотке и полости рта, устраняет боль, ощущение инородного тела, першения и саднения в глотке, избавляет от неприятного запаха изо рта. Ринза Лорсепт является надежным, эффективным и безопасным лекарственным средством для симптоматической терапии при инфекционно-воспалительных заболеваниях полости рта и глотки, сопровождающихся функциональными нарушениями слизистой оболочки.
1. Дж. Мерта Справочник врача общей практики. «Практика», г. Москва, McGraw-Hill Libri Italia srl, 1998, c.643.
2. Лопатин А.С. Топические лизаты: опыт применения в оториноларингологии. Лечащий врач, 2006, №4, с.7-8.
3. Козлов В.А. Некоторые аспекты проблемы цитокинов // Цитокины и воспаление. — 2002. — Т. 1. — № 1. — С. 5-8
4. Steele C., Fidel P.L. Cytokine and chemokine production by human oral and vaginal epithelial cells in response to Candida albicans // Infec. Immun. — 2002 — Vol. 70. -No 2, р. 577-583
5. Black K.P., Merril K.W., Jackson S., Kats J. Cytokine profiles in parotid saliva from HIV-1-infected individuals: changes associated with opportunistic infections in the oral cavity // Oral Microbiol. Immunol. — 2000. — Vol. 15. — No 2, р. 74-81
6. Абаджиди М.А., Лукушкина Е.Ф., Маянская И.В. и др. Уровень цитокинов в секрете ротовой полости у детей с бронхиальной астмой // Цитокины и воспаление. — 2002. — Т. 1 — № 3. — С. 9-14
7. Лопатин А.С. Топические лизаты: опыт применения в оториноларингологии. Лечащий врач, 2006, №4, с.7-8.
8. Морозова С.В. Боль в глотке: причины и возможности медикаментозной терапии. РМЖ, том 13, № 21, 2005, с.1447-1452.
9. Потягайло Е.Г., Настенко В.П. и др. Mакролиды в терапии инфекций респираторного тракта у детей в амбулаторной практике: место роститромицина. РМЖ, том 14,№7 (259), 2006, с. 544-547.
Статьи по болезням полости рта и глотки
предоставляем актуальную медицинскую информацию от ведущих специалистов, помогая врачам в ежедневной работе
Рассмотрим некоторые клинико-диагностические аспекты инфекционно-воспалительных заболеваний полости рта и глотки.
Фарингиты делятся на острые и хронические. Острый фарингит - инфекционное воспаление слизистой оболочки ротоглотки и небных миндалин, склонное к спонтанному разрешению, но в ряде случаев осложняющееся развитием гнойных процессов в окружающих тканях. Острые фарингиты могут иметь как бактериальную, так и вирусную этиологию, однако основным механизмом в развитии острых воспалительных заболеваний верхних дыхательных путей, таких как риносинусит, аденоидит и фарингит, обычно является вирусная инфекция, оказывающая непосредственное цитопатическое воздействие на эпителий верхних дыхательных путей. Острые респираторные вирусные инфекции вызываются риновирусами, коронавирусами, респираторным синтициальным (РС) вирусом, аденовирусами, вирусами гриппа и парагриппа. Но, как правило, несколько чаще других при поражении ротоглотки встречается аденовирусная и риновирусная инфекция. В ответ на внедрение инфекционного агента происходит развитие воспалительного процесса, который характеризуется рядом защитных механизмов: изменение проницаемости сосудистой стенки, усиление кровотока, повышение активности макрофагов и полиморфонуклеарных клеточных элементов, выделение медиаторов воспаления, свободных кислородных радикалов. Макрофаги, посредством выделения цитокинов, играют основную роль в защитном механизме, вызывая повышение уровня Т-лимфоцитов. Возникновение неспецифических инфекционно-воспалительных заболеваний глотки и верхних дыхательных путей происходит из-за дисбаланса локального и системного иммунитета. Хронизация патологического процесса, затяжное течение заболевания - это возможные клинические проявления иммунного дисбаланса, в том числе при хроническом тонзиллите [1,2].
Ведущую роль в местном иммунитете играют цитокины, действующие на биохимические мессенджеры, регулирующие стимулирование и торможение воспалительных реакций, которые инициируют иммунный ответ [3,4]. Цитокины продуцируются лимфоцитами и макрофагами, встроенными в эпителий слизистой оболочки, источником цитокинов в слюне является сывороточный транссудат и слюнные железы [5]. Также цитокины вырабатываются и самими эпителиальными клетками слизистой оболочки при контакте с микробом [4]. Важно отметить, что содержание цитокинов в слюне не корригирует с их уровнем в крови, что указывает на автономность местного иммунитета [6]. Вирусное инфицирование может служить инициирующим фактором для присоединения бактериального патогена в дальнейшем.
Также к бактериальному инфицированию могут приводить самые различные заболевания, сопровождающиеся снижением местной и общей сопротивляемости организма (первичные и приобретенные иммунодефицитные состояния, муковисцидоз, эндокринные заболевания и др.). Общее охлаждение организма или местное переохлаждение глотки холодным воздухом и пищей; раздражение слизистой оболочки глотки едкими газами или запыленным воздухом, курение, а также наличие выделений, стекающих по задней стенке глотки при воспалении околоносовых пазух, также могут способствовать активизации бактериальной микрофлоры.
При остром фарингите чаще выявляются стрептококки, в том числе пневмококки, стафилококки, грамотрицательные диплококки и другая микрофлора, обычно высевающаяся и в норме у здорового человека и представляющая так называемую транзиторную микрофлору слизистых оболочек, вегетирующую на слизистых оболочках и кожных покровах. Основными жалобами больных с острым поражением слизистой оболочки ротоглотки являются неприятные ощущения - жжение, покалывание, сухость, нередко скопление слизистого секрета; головная боль, локализующаяся в затылочной области. У детей часто возникают нарушение дыхания и гнусавость. У взрослых это заболевание протекает без резкого ухудшения общего состояния, а у детей температурная реакция бывает значительной (в частности, в тех случаях, когда воспаление распространяется на гортань и трахею). Увеличены и болезненны шейные и затылочные лимфатические узлы. При фарингоскопии видны гиперемия задней стенки глотки и небных дужек, отдельные воспаленные лимфоидные гранулы, но при этом отсутствуют характерные для ангины признаки воспаления небных миндалин.
Хронические фарингиты, как правило, имеют бактериальную, реже грибковую природу. Хронический фарингит наблюдается преимущественно у лиц среднего и пожилого возраста. Это полиэтиологическое заболевание, характеризующееся наличием воспалительных и дистрофических изменений слизистой оболочки глотки. Для хронического фарингита характерны жалобы на сухость, першение, болезненность и ощущение инородного тела в глотке, нередко сухой кашель и образование вязкой мокроты, повышение температуры и существенное ухудшение общего состояния редко встречаются у больных с хроническим фарингитом. При постановке диагноза учитывается фарингоскопическая картина. Развитие хронического фарингита связывают с вредным влиянием таких раздражающих факторов, как алкоголь, никотин, острая пища, газированные напитки, различные неблагоприятные производственные, климатические воздействия. Формированию заболевания способствуют патологические состояния полости носа, приводящие к нарушению носового дыхания - искривление перегородки носа, вазомоторный и гипертрофический ринит, полипоз носа, аденоиды. Причиной хронического фарингита могут быть рецидивирующие инфекции дыхательных путей, приводящие к стойкому нарушению мукоцилиарного барьера и значительному угнетению механизмов местного и общего иммунитета. Атрофический фарингит является следствием прогрессирующей атрофии слизистой оболочки глотки у лиц пожилого возраста.
Нарушение равновесия в системе защиты полости рта может быть причиной воспаления слизистой оболочки десен - гингивита. Когда воспаление распространяется от десневого края на окружающие зубы ткани, гингивит переходит в пародонтит, что в дальнейшем может привести к воспалению костной ткани, расшатыванию и потере зуба. У пациентов старше 15 лет в 50% случаев причиной потери зубов оказываются пародонтопатии. При гингивите десна воспаляется, возникает отек, изменяется ее контур. За счет отека углубляется десневая борозда между зубом и образуется так называемый десневой карман. В результате возникают покраснение десневого края, отек и кровоточивость десны, она становится чувствительной и болезненной, наблюдаются трудности при жевании и глотании. Гингивит может быть как острым, так и хроническим. Хронический гингивит более часто встречается у взрослых.
К инфекционно-воспалительным заболеваниям полости рта относится стоматит - воспаление слизистой оболочки полости рта. По клиническому проявлению стоматиты разделяются на катаральные, язвенные и афтозные.
Kатаральный стоматит - наиболее часто встречающееся поражение слизистой оболочки полости рта. Наиболее частой причиной является несоблюдение гигиены полости рта, болезни зубов, зубные отложения, дисбактериоз полости рта. Заболевания желудочно-кишечного тракта, такие как гастрит, дуоденит, колит, также могут быть причиной катарального стоматита. При катаральном стоматите слизистая оболочка рта становится отечной, болезненной, гиперемированной, покрыта белым или желтым налетом, отмечается гиперсаливация.
Язвенный стоматит - может развиваться, как следствие катарального, так и самостоятельно. Чаще всего это заболевание развивается у больных, страдающих язвенной болезнью желудка или хроническим энтеритом. При язвенном стоматите поражается вся толща слизистой. Начальные признаки при катаральном и язвенном стоматите похожи, однако впоследствии при язвенном стоматите отмечается повышение температуры до 37,5°С, слабость, головная боль, увеличение и болезненность лимфатических узлов. Прием пищи сопровождается сильными болевыми ощущениями.
Афтозный стоматит - характеризуется появлением единичных или множественных афт (овальной или округлой формы, размером не более чечевичного зерна, с четкими границами в виде узкой красной каймы и серовато-желтым налетом в центре) на слизистой оболочке полости рта. Причинами возникновения этого варианта стоматита считаются заболевания желудочно-кишечного тракта, аллергические реакции, вирусные инфекции, ревматизм. Заболевание начинается с общего недомогания, повышения температуры тела, появления болевых ощущений во рту на месте образования афт.
Таким образом, терапевтическая тактика при инфекционно-воспалительных заболеваниях слизистой оболочки полости рта и глотки включает в себя назначение лекарственных препаратов, обладающих противовоспалительным, аналгезирующим, иммунокорригирующим действием, локальных антисептиков, противоотечных и гипосенсибилизирующих препаратов 7. В комплексе лечебных мероприятий важная роль принадлежит препаратам, оказывающим симптоматическое комбинированное действие. Целесообразно применение комбинированного препарата Ринза Лорсепт («Unique Pharmaceutical Laboratories»). Препарат выпускается в виде таблеток для рассасывания, тем самым обеспечивая максимальную биодоступность.
Основные активные ингредиенты Ринзы Лорсепт - амилметакрезол (0,6 мг) и дихлорбензиловый спирт (1,2 мг) - активны в отношении широкого спектра грамположительных и грамотрицательных микроорганизмов, а также оказывают противогрибковое действие, препятствуют присоединению вторичной бактериальной инфекции при вирусных заболеваниях верхних дыхательных путей. Природные добавки, которые входят в состав препарата, уменьшают болевые ощущения в горле, оказывают смягчающее воздействие на слизистую оболочку.
Оптимальный эффект препарат оказывает при появлении первых симптомов воспаления слизистой оболочки полости рта или глотки.
Противопоказаниями являются повышенная чувствительность к любому из компонентов препарата и возраст до 6 лет. Среди побочных эффектов описаны единичные аллергические реакции. Больным сахарным диабетом следует учитывать, что леденцы содержат сахарозу.
Препарат снимает раздражение в глотке и полости рта, устраняет боль, ощущение инородного тела, першения и саднения в глотке, избавляет от неприятного запаха изо рта. Ринза Лорсепт является надежным, эффективным и безопасным лекарственным средством для симптоматической терапии при инфекционно-воспалительных заболеваниях полости рта и глотки, сопровождающихся функциональными нарушениями слизистой оболочки.
Литература
1. Дж. Мерта Справочник врача общей практики. «Практика», г. Москва, McGraw-Hill Libri Italia srl, 1998, c.643.
2. Лопатин А.С. Топические лизаты: опыт применения в оториноларингологии. Лечащий врач, 2006, №4, с.7-8.
3. Козлов В.А. Некоторые аспекты проблемы цитокинов // Цитокины и воспаление. — 2002. — Т. 1. — № 1. — С. 5-8
4. Steele C., Fidel P.L. Cytokine and chemokine production by human oral and vaginal epithelial cells in response to Candida albicans // Infec. Immun. — 2002 — Vol. 70. -No 2, р. 577-583
5. Black K.P., Merril K.W., Jackson S., Kats J. Cytokine profiles in parotid saliva from HIV-1-infected individuals: changes associated with opportunistic infections in the oral cavity // Oral Microbiol. Immunol. — 2000. — Vol. 15. — No 2, р. 74-81
6. Абаджиди М.А., Лукушкина Е.Ф., Маянская И.В. и др. Уровень цитокинов в секрете ротовой полости у детей с бронхиальной астмой // Цитокины и воспаление. — 2002. — Т. 1 — № 3. — С. 9-14
7. Лопатин А.С. Топические лизаты: опыт применения в оториноларингологии. Лечащий врач, 2006, №4, с.7-8.
8. Морозова С.В. Боль в глотке: причины и возможности медикаментозной терапии. РМЖ, том 13, № 21, 2005, с.1447-1452.
9. Потягайло Е.Г., Настенко В.П. и др. Mакролиды в терапии инфекций респираторного тракта у детей в амбулаторной практике: место роститромицина. РМЖ, том 14,№7 (259), 2006, с. 544-547.
Заболевания полости рта и языка: виды патологий и способы их лечения
Данные статистики ВОЗ свидетельствуют: различные виды заболеваний полости рта диагностируются у 90% населения планеты. Рассматриваемым патологиям подвержены пациенты всех возрастов. Аномалии локализуются в мягких и твердых тканях, проявляются повторно после кажущегося выздоровления, при отсутствии терапии вызывают развитие тяжелых осложнений.

Общие понятия
Согласно медицинской литературе, к болезням полости рта относятся патологии зубов, десен, языка и слизистых оболочек. Заболевания имеют вирусную, инфекционную или грибковую этиологию, возникают вследствие развития в организме воспалительных процессов, появления онкологических новообразований. Единой классификации аномалий нет: большинство ученых дифференцируют заболевания, выявляемые в ротовой полости, по разнородным признакам.
Причины возникновения
В перечне основных факторов, влияющих на появление патологий в полости рта — ослабленный иммунитет, погрешности в питании, гормональные сбои, наличие вредных привычек, прием антибактериальных и антимикробных препаратов без назначения врача, генетическая предрасположенность. Помимо этого, аномалии могут быть вызваны особым состоянием организма — беременностью и периодом лактации.
Дополнительными факторами, способными спровоцировать развитие оральных болезней, являются:
- переохлаждение;
- частые стрессы;
- авитаминоз и нехватка микроэлементов;
- аллергические реакции;
- патологии внутренних систем организма;
- механические травмы твердых, мягких тканей во рту;
- повышенная вязкость слюны;
- некачественно проводимые гигиенические мероприятия;
- отказ от своевременного посещения стоматолога.
Симптомы инфекций полости рта
Рассматриваемые болезни характеризуются наличием ряда общих симптомов. Обычно на приеме у врача пациенты жалуются на сухость и дискомфорт во рту, проявляющиеся в ходе общения с собеседником, во время питья либо употребления пищи.
К дополнительным признакам развития патологического процесса относятся:
- упадок сил;
- снижение работоспособности;
- бессонница;
- повышение температуры тела;
- нарушение вкусового восприятия;
- увеличение лимфоузлов;
- неприятный привкус временного либо постоянного характера.
Воспаление языка сопровождается отечностью пораженного органа, чувством онемения. О наличии инфекционных заболеваний слизистых оболочек полости рта свидетельствуют боли в месте локализации недуга, появление гнойников, ран, язв, плотной пленки и творожистого белого налета, затруднение слюноотделения. Кровоточивость десен, дискомфорт при проведении гигиены — признаки, сигнализирующие о развитии патологий зубов или десен.
Виды патологий
В зависимости от типа микроорганизмов, вызвавших появление аномального состояния, все болезни, выявляемые в ротовой полости, условно дифференцируются на инфекционные и грибковые. Дополнительно выделяют стоматологические проблемы, аллергические реакции и онкологические заболевания, этиология которых не получила клинического подтверждения.
Инфекционные заболевания полости рта и их симптомы
Инфекционная группа заболеваний объединяет болезни, возникающие вследствие роста и развития в пораженных тканях бактериальных, вирусных колоний. В перечне наиболее распространенных заболеваний — стоматиты, гингивиты, глосситы, фарингиты. Основные причины их появления — некачественное проведение процедур по уходу за деснами, языком и зубами, а также прогрессирование патологий внутренних органов, преимущественно расстройств ЖКТ — язвенной болезни, гастрита, энтероколита.
Чтобы избежать появления инфекционных заболеваний, следует проходить регулярные профилактические медосмотры, посещать стоматолога.
Стоматит
Стоматит относится к числу аномалий, развивающихся у пациентов разного возраста. Выделяют несколько видов болезни. В перечне часто встречающихся стоматитов:
- Афтозный. Вызывается вирусом простого герпеса. Первичные симптомы рассматриваемой инфекции полости рта — отек слизистой оболочки, гиперемия тканей. По мере развития появляются болезненные, покрытые фибринозным налетом эрозии (афты). Второе название поражения — герпетический стоматит.
- Везикулярный. Признаки схожи с вышеописанными симптомами. Выявляется по наличию мелких пузырьковых высыпаний, преобразующихся в эрозии. Патология имеет герпетическую природу.
- Катаральный. При попадании инфекции в ротовую полость развивается отек слизистых оболочек, появляется налет светло-желтого оттенка.

Определить вид стоматита самостоятельно нельзя. При первых признаках заболевания следует немедленно обращаться к врачу.
Гингивит
Воспаление десен провоцируется химическими, механическими, инфекционными факторами. Гингивиты, активизировавшиеся вследствие жизнедеятельности патогенных агентов, встречаются преимущественно у детей и молодых людей и либо проявляются как самостоятельные патологии, либо сигнализируют о развитии других недугов, в том числе пародонтоза.

Признаки гингивита:
- отечность;
- воспаление слизистой оболочки десенного края;
- неприятный запах изо рта;
- кровоточивость тканей.
Стоматологи выделяют острую и хроническую форму гингивита. Последняя отличается длительностью течения, слабостью симптоматики.
Глоссит
Глоссит - большая группа патологий, вызывающих нарушение структуры и изменение цвета языка. В группе риска — лица, отказывающиеся от регулярных гигиенических процедур. Инфекция проникает в толщу тканей языка при наличии травм, воспаления в ротовой полости или системе ЖКТ.
Предотвратить возникновение глоссита можно посредством ежедневного использования флоссов, гигиенических ополаскивателей, качественных зубных паст.

Болезни гортани
Хронические и острые формы фарингитов, тонзиллитов (ангин), ларингитов сопровождаются ухудшением общего состояния больного, появлением сухости во рту, дискомфортом и першением в горле. Наиболее подвержены развитию перечисленных патологий дети и лица с ослабленным иммунитетом. Избежать появления аномалии поможет закаливание, занятие спортом, прием витаминов.

Другие аномалии вирусной этиологии
Незащищенные орально-генитальные контакты — причина заражения полости рта венерическими инфекциями. При указанном виде интимных отношений от больного к здоровому партнеру передаются:
- гонорея;
- сифилис;
- цитомегаловирус;
- хламидиоз;
- вирус папилломы человека;
- ВИЧ.
О наличии болезни свидетельствует налет на миндалинах, увеличение лимфоузлов. При глотании болит корень языка, горло. При отсутствии лечения возбудитель быстро распространяется, а недуг становится хроническим.
Грибковые поражения
Возбудителями грибковых заболеваний слизистых оболочек ротовой полости являются дрожжеподобные микроорганизмы Candida, пенициллы, аспергиллы. Инфекционные агенты относятся к группе сапрофитов, приобретающих патогенные свойства и вызывающих микотический процесс только при определенных условиях. В числе факторов, активизирующих их жизнедеятельность — ослабление иммунитета, лечение кортикостероидами и антибиотиками, наличие заболеваний.
Поражение плесневыми грибами встречается в 2% случаев от общего числа осмотренных пациентов. Самым распространенным недугом, локализующимся на слизистых оболочках, является кандидоз.

По характеру течения болезнь дифференцируется на 3 формы:
- Псевдомембранозную или острую. К основным признаками ее развития относят сухость внутренних поверхностей неба, губ, щек, языка и образование в указанных зонах творожистого налета белого цвета. Больной ощущает зуд, жжение.
- Гиперпластическую или хроническую. Отличается появлением бляшек, плотно спаянных с тканями. Попытки удалить налет вызывают кровоточивость слизистых оболочек.
- Атрофическую. Выявляется у пациентов, пользующихся съемными ортопедическими конструкциями. В перечне симптомов — пересыхание, воспаление поверхности слизистой оболочки полости рта.
Дрожжеподобные микроорганизмы могут вызывать грибковый глоссит, ангину, ангулярный инфекционный хейлит. Последний из перечисленных недугов поражает красную кайму губ. При открывании рта больные испытывают сильный дискомфорт. Поверхностные эрозии, выявляемые в начале заболевания, по мере прогрессирования хейлита распространяются на кожные покровы подбородка.
Во избежание развития грибковых патологий эксперты рекомендуют укреплять иммунитет, избегать стрессов и переохлаждений.
Стоматологические проблемы
Болезни в полости рта выявляются и у больных, отказывающихся от регулярного посещения стоматологии. Пародонтиты и пародонтозы в отсутствии лечения ухудшают состояние десен, оголяют шейки зубов, нарушают строение челюсти. В перечне дополнительных признаков наличия заболеваний — отеки и кровоточивость тканей. При постоянном откладывании визита к врачу можно потерять зубы, расположенные в месте локализации воспаления.
Развитие кариозных процессов сопровождается изменением состава микрофлоры ротовой полости. В кариозных отверстиях формируется зубной налет, играющий существенную роль в активизации ранее перечисленных заболеваний. Избежать прогрессирования проблемы можно лишь путем посещения клиники.
Болезни неясной этиологии
К числу болезней, наблюдаемых в полости рта, относится и красный плоский лишай — аномалия, причины возникновения которой не выяснены. Клиническая картина проявления недуга отличается рядом особенностей:
- В начальной стадии на слизистых оболочках полости рта появляются высыпания — небольшие папулы.
- Прогрессирование патологии ведет к увеличению зон поражения, их слиянию.
- На тканях образуются полосы, бляшки с ороговевшей серовато-белой поверхностью, выступающие над уровнем слизистых оболочек.
Схемы лечения лишая выбираются индивидуально, с учетом состояния пациента.
Иные патологии
Среди недугов, изменяющих структуру слизистой оболочки полости рта — заболевания, являющиеся следствием аллергических реакций. В их числе — синдромы Рейтера, Лайелла, экссудативная эритема. Провоцирующими факторами, вызывающими аномальные состояния, являются микробная, контактная и лекарственная аллергии. Схемы терапии болезней включают изучение аллергологического статуса, устранение источника негативного воздействия.
Уровень заболеваемости раком полости рта варьирует от 2 до 4% от общего количества выявляемых в России онкопатологий. На ранней стадии болезнь протекает скрыто. Дальнейшее ее развитие сопровождается появлением локальных болей, кровотечений, язв. В более позднем периоде дискомфортные ощущения усиливаются, начинают отдавать в скулы, виски, лоб. Исход онкопатологий зависит от стадии выявленного процесса, общего состояния больного.
Схемы лечения заболеваний полости рта и языка
Лечение инфекций во рту подразумевает задействование комплекса препаратов. Медработники рекомендуют обрабатывать появившиеся очаги воспаления антисептиками (Мирамистином, Хлоргексидином, Фурацилином, Гексоралом) и настоями сырья лекарственных растений (календулы, ромашки, шалфея).
Развитие вирусных недугов в полости рта пресекается применением Фамвира, Валацикловира, Ацикловира. При выявлении хронической патологии задействуют антибиотики — Ципрофлоксацин, Аугментин, Амоксиклав. Для лечения микотических заболеваний полости рта и языка используют препараты Нистатин, Леворин.
Для ускорения процесса регенерации врачи включают в схемы терапии масла шиповника и облепихи, мазь с прополисом, препарат Солкосерил. Зуд, жжение и отечность минимизируются с помощью антигистаминов (Тавегила, Цетиризина), боль — анальгетиков и НПВС (Найза, Аспирина, Ибупрофена).
Лечить стоматологические патологии следует при обнаружении их первых признаков. Пораженные кариесом зубы пломбируют, не подлежащие восстановлению единицы зубного ряда удаляют.
Дополнительные меры
Купировать развитие патологий помогает соблюдение особой диеты. Меню больного не должно состоять из излишне горячих блюд, острых соусов, кислых заправок. Прием алкогольных напитков запрещен.
В перечне разрешенных продуктов — молоко, овощи (отварные), крупы в виде каш. Закрепить достигнутый эффект помогут поливитаминные комплексы и фитотерапия.
Профилактика
К профилактическим мерам, помогающим избежать развития патологий в полости рта, относятся:
- качественное проведение гигиенических процедур;
- отказ от курения и алкоголя;
- соблюдение основных правил ЗОЖ;
- регулярное посещение диспансерных осмотров.
При первых признаках развития заболевания ротовой полости следует немедленно обратиться к врачу: своевременная диагностика и адекватная терапия помогут пресечь развитие недуга на раннем этапе.
Боль в горле
Боль в горле — это болезненные ощущения в области глотки и гортани, которые зачастую усиливаются при разговоре и глотании. Выделяют различные причины, приводящие к болям в горле: вирусные и бактериальные заболевания глотки, аллергические реакции и опухолевые процессы, гиповитаминозы. Для выявления этиологического фактора осуществляется инструментальный осмотр дыхательных путей, рентгенография, УЗИ, бактериологические и серологические реакции. Для купирования боли, которая возникла в горле, используют теплое щелочное питье, полоскания, физиотерапевтические процедуры.
Причины боли в горле
Внешние факторы
Частные причины появления чувства жжения, першения в ротоглотке, реже гортани — длительное пребывание в комнате с низкой влажностью воздуха или условиях сухого жаркого климата. Отмечается сухость слизистых оболочек, нехватка слюны. Боли сильнее ощущаются в горле при разговоре, употреблении твердой пищи. Особенно интенсивен дискомфорт после пробуждения - из-за приоткрытости рта во сне слизистые еще больше пересыхают. У мужчин болезненность провоцируется храпом. Пациенты сообщают, что с утра горло болит и больно разговаривать, а для облегчения состояния нужно выпить воды.
Горло может сильно болеть при вдыхании загрязненного воздуха — в шахтах, при работе в песчаных карьерах, в больших городах вследствие воздействия выхлопных газов. Симптом возникает внезапно при выходе на улицу или попадании в промышленные помещения. Болезненность сопровождается сухим надсадным кашлем. Периодическое и кратковременное появление подобных признаков — вариант нормы. Если неприятные ощущения беспокоят человека длительное время, мешают принимать пищу или разговаривать, необходимо обратиться к специалисту, чтобы выяснить причины, почему болит горло.
Вирусные заболевания
Сильная боль в горле характерна для многих респираторных инфекций, которые повреждают слизистые оболочки глотки, гортани. Причины болезненности — прямое патогенное влияние на эпителий, системное действие возбудителя, поражение нервных окончаний. В большинстве случаев симптом возникает на фоне высокой температуры тела, слабости, признаков интоксикации. Чаще всего боль в горле провоцируют:
- Вирусный фарингит. Вначале появляется дискомфорт, чувство саднения, першения в глоточной области, постепенно сменяющееся сильными болями в проекции горла, мучительным сухим кашлем. Для фарингита типичен симптом «пустого глотка» — неприятные ощущения усиливаются при проглатывании слюны.
- Инфекционный мононуклеоз. При действии этой причины у человека сильно болит горло, прием пищи практически невозможен, некоторые пациенты отказываются даже от воды. Одновременно с проявлением болевых ощущений увеличиваются и воспаляются регионарные лимфоузлы.
- Аденовирусная инфекция. Горло обычно начинает болеть через день-два после начала насморка и слезотечения. Боли умеренные, усиливаются при глотании и разговорах. Пациенты зачастую замечают точечный белесоватый налет на миндалинах, позже присоединяется лающий кашель.
- Герпетический процесс. В горле болит при развитии специфического осложнения — герпангины. Болезненность отмечается на фоне увеличения температуры до 39-40 градусов. На слизистой зева видны сероватые пузырьки, при вскрытии которых болевой синдром усиливается.

Бактериальные инфекции
Если болит горло и больно глотать, это может служить признаком ангины (тонзиллита). Сначала возникает дискомфорт и першение в глотке, сменяющиеся на резкую боль. Болевые ощущения иррадиируют в ухо, шею, затылок. Иногда пациенты сами замечают увеличение и покраснение миндалин, формирование на них точечных гнойничков. Симптомы протекают на фоне фебрильной лихорадки, общей слабости, артралгий и миалгий. Если боли в горле усиливаются вплоть до невозможности глотать даже воду, возможно, формируется интратонзиллярный абсцесс (флегмонозная ангина).
Когда болит горло у детей, и боли сопровождаются нарушениями дыхания, можно предположить эпиглоттит — воспаление надгортанника. Из-за интенсивного болевого синдрома ребенок отказывается от пищи и воды, в течение нескольких часов нарастают явления дисфагии. Для уменьшения дискомфортных ощущений и облегчения дыхания больные принимают вынужденную позу: сидят, наклонившись вперед, сильно вытягивают шею и немного приоткрывают рот. Боль в горле, локализованная с одной стороны и возникающая на фоне выраженной лихорадки, является признаком заглоточного абсцесса.
Ларингиты
При остром ларингите горло зачастую начинает болеть одновременно с повышением температуры до субфебрильных значений, появлением слабости. Болевые ощущения сильные, при локализации воспаления по задней стенке органа болезненность усиливается во время глотания. Симптом сочетается с резким лающим кашлем без выделения мокроты, при вовлечении в процесс голосовых связок временно исчезает голос. Для хронических ларингитов характерна незначительная боль в горле, на первый план выходит быстрая утомляемость и изменение тембра голоса, постоянная охриплость.
Кандидоз полости рта
При грибковых поражениях полости рта и глотки постоянно болит горло, интенсивность болевых ощущений значительно усиливается при попытке приема пищи. На слизистых оболочках видны массивные белые налеты, также кандидоз вызывает трещины и болезненные заеды в углах губ. Размножение грибковой флоры наблюдается у людей со сниженным иммунитетом: после трансплантации органов, при онкологических болезнях, вторичных иммунодефицитах. В таких случаях процесс может распространяться на все дыхательные пути, вызывая соответствующие симптомы.
Аллергии
При аллергических фарингитах и ларинготрахеитах в горле возникает боль средней интенсивности, вызванная воздействием триггерного фактора. Внезапно в глотке начинает саднить и першить. Состояние сопровождается приступами поверхностного сухого кашля, не приносящего облегчения. Возможно чихание, обильное слезотечение и зуд. Склонные к аллергии люди сообщают, что горло у них может болеть после вдыхания запаха цветов, контакта со средствами бытовой химии или косметикой. Симптом также встречается после употребления определенных продуктов.
Инородные тела глотки
При случайном проглатывании рыбных или мясных костей они могут застрять в горле и вызвать резкие боли. Болевые ощущения колющего или режущего характера чаще имеют четкую локализацию. Проявление сочетается с сильным безрезультатным кашлем, иногда наблюдается покраснение и отечность лица из-за мучительных кашлевых пароксизмов. Человек начинает задыхаться. У детей горло может болеть в случае попадания в дыхательные пути мелких деталей от игрушек. При инородных телах глотки требуется неотложная медицинская помощь.
Гастроэзофагеальный рефлюкс
У взрослых возможные причины, при которых также болит горло, — это периодические забросы в глотку и дыхательные пути кислого содержимого из желудка при ГЭРБ. Интенсивность болей неодинакова в течение дня: сильный болевой синдром наблюдается утром после сна, потому что горизонтальное положение способствует затеканию кислоты в глотку. Боль в горле сочетается с надсадным сухим кашлем, постоянным чувством першения и дискомфорта. Также больные сообщают, что их беспокоит кислая отрыжка и приступы изжоги. Эти симптомы типичны для гиперацидных гастритов, язв ЖКТ, эзофагитов.
Дефицитные состояния
Для нормальной регенерации слизистой оболочки глотки необходимо присутствие многих биологически активных веществ и витаминов. При несбалансированном питании или поражении ЖКТ, сопровождающихся нарушениями всасывания компонентов пиши, могут развиваться авитаминозы, одним из проявлений которых является боль в горле. Вероятные причины болевых ощущений — такие дефицитные состояния, как:
- Гиповитаминоз В2. Пациенты жалуются, что горло жжет и болит при разговорах, приеме пищи. Формируются болезненные трещины в уголках губ (ангулярный хейлит) и воспаление языка.
- Гиповитаминоз В12. Ощущаются жгучие боли в языке и горле, при этом язык ярко-красный и блестящий. Больные могут жаловаться на онемение и парестезии в нижних конечностях.
- Гиповитаминоз С. При нехватке аскорбиновой кислоты боль в горле связана с язвенными дефектами слизистых оболочек. Пациенты сообщают о металлическом привкусе во рту, кровоточивости десен.
Хронические заболевания
Поражение внутренних органов сопровождается накоплением в крови токсических метаболитов и азотистых продуктов обмена веществ. Боль, воспринимаемая как дискомфорт в горле, обусловлена хроническим воспалением и атрофическими процессами в глотке. Болевые ощущения могут провоцироваться повышением уровня глюкозы в крови, что сочетается с сухостью во рту и катаральными процессами. Горло зачастую может болеть при следующих соматических заболеваниях:
- Болезни внутренних органов: ХПН, поражение печени.
- Эндокринная патология: сахарный диабет, синдром Иценко-Кушинга, гипотиреоз.
Опухоли
Длительная боль в горле с нарушениями глотания, которые не поддаются стандартной консервативной терапии, может быть признаком разрастания новообразований в области гортаноглотки. При доброкачественных опухолях пациенты жалуются на постоянное чувство давления и распирания, бывает поперхивание во время еды. Резкая боль в шее и горле, сопровождающаяся кровохарканием, может свидетельствовать о развитии рака глотки или гортани как основной причины появления болезненности. Также пациент замечает постепенную потерю голоса, охриплость, наблюдается периодическое сухое покашливание.
Осложнения фармакотерапии
Частые причины, провоцирующие боли в горле — длительный прием некоторых препаратов. При закапывании сосудосуживающих капель для носа лекарство стекает по задней поверхности глотки, вызывая хроническое раздражение и воспаление в слизистой оболочке. Больные отмечают постоянное чувство першения и жжения, бывает сухой кашель. Горло также может болеть по окончании длительного приема глюкокортикостероидов или антибактериальных препаратов, которые провоцируют снижение местного иммунитета. Человек жалуется на сухость во рту, усиление болевых ощущений при разговоре.
Редкие причины
- Ксеростомия.
- Одонтогенный процесс: периодонтит, гальванизм, патология прорезывания зубов.
- Болезни сердца: нестабильная стенокардия, атипичная форма инфаркта миокарда.
- Патология смежных органов: глоточно-пищеводные (ценкеровские свищи), заболевания щитовидной железы.
- Поражения нервов: невроз глотки, невралгия языкоглоточного нерва.
- Поражение позвоночника: шейный остеохондроз, туберкулезный спондилит, радикулит.
- Шилоподъязычный синдром Игла-Стерлинга.
Диагностика
Выяснением причины, которая спровоцировала боль в горле, занимается врач-отоларинголог. Диагностический поиск предполагает комплексное обследование ротовой полости и дыхательных путей с помощью инструментальных и лабораторных методов, при наличии сопутствующей симптоматики проводится визуализация органов грудной и брюшной полостей. Наиболее информативными для диагностики острых болей в горле считаются следующие методы:
- Инструментальный осмотр. Для детального изучения состояния органов дыхательной системы эффективна фарингоскопия, непрямая ларингоскопия. Для исключения отогенной причины болей в горле выполняется отоскопия. Во время исследования оценивается внешний вид слизистых оболочек, наличие налета и очагов изъязвления.
- Бактериологический анализ. Для бакпосева берут мазок из зева, мокроту или образцы налета. Метод необходим для подтверждения наиболее распространенных болезней, сопровождающихся резкой болью в горле — ангины, вирусного или бактериального фарингита. Экспресс-диагностика включает РИФ смывов из глотки.
- Сонография. При острых болях в шее, горле, которые наблюдаются длительное время, необходимо ультразвуковое исследование для исключения патологии смежных органов. Метод позволяет выявить локальные скопления гноя в окологлоточной клетчатке, наличие кист и объемных образований. Также обязательно назначают УЗИ щитовидной железы.
- Рентгенологическое обследование. Если сильно болит в области шеи и горла, показана рентгенография гортани для исключения опухолевого процесса. Для детальной визуализации рекомендована КТ гортани. В отдельных случаях производится радиоизотопное сканирование щитовидной железы.
- Лабораторные исследования. Больным, которые ощущают боль в горле, назначают стандартный клинический и биохимический анализ крови, измеряют концентрацию глюкозы натощак. Для исключения хронических заболеваний по показаниям делают печеночные пробы, определяют острофазовые показатели и уровень некоторых ферментов.
Для выявления эндокринной патологии как ведущей причины болей необходимо исследование крови на гормоны щитовидной железы и коры надпочечников. Серологические реакции (РИФ, ИФА, ПЦР) нужны для идентификации патогенных микроорганизмов. Дополнительно могут делать рентгенографию и КТ шейного отдела позвоночника. При наличии диспепсических расстройств применяются ФГДС и внутрипищеводная рН-метрия. Пациенты, у которых болит горло, должны быть осмотрены стоматологом на предмет наличия воспалительных процессов зубов и периодонта.

Лечение
Помощь до постановки диагноза
Чтобы уменьшить боль в горле, рекомендовано обильное теплое питье (чаи, травяные отвары), при этом желательно исключить напитки с молоком. Можно полоскать ротоглотку настойкой календулы, принимать таблетки для рассасывания. Врачи советуют избегать резких запахов, ограничить использование бытовой химии, которая может раздражать слизистую. При интенсивных болях нужно принимать теплую, химически и механически щадящую пищу — супы, каши. Если горло очень болит или боль сопровождается лихорадкой, слабостью, необходимо в кратчайшие сроки обратиться к врачу.
Консервативная терапия
Врачебная тактика зависит от причины появления болей в горле. Наиболее эффективна этиотропная терапия. Быстро снизить боль в горле помогает комбинация медикаментозного лечения с физиотерапевтическими методами, которые направлены на устранение основной причины расстройства и отдельных болезненных проявлений. Помимо полосканий часто применяют ингаляции с эфирными маслами и лекарственными растворами. Проводят УВЧ на область глотки, магнито- и лазеротерапию. Схемы лечения включают:
- Антибиотики. Если горло болит из-за инфекционного процесса, используются антибактериальные средства, которые избирательно действуют на возбудителей респираторных инфекций. При кандидозе назначают прием специфических противогрибковых препаратов.
- Противовоспалительные средства. Купировать боль в горле позволяют препараты из группы НПВС. Медикаменты эффективно снижают уровень воспалительных медиаторов и цитокинов, обладают мощным жаропонижающим и болеутоляющими эффектами.
- Антисептики. Показаны бактерицидные средства (хлоргексидин и др.), которые подавляют рост бактериальной флоры в глотке и дыхательных путях. Для купирования болей горло дополнительно полощут мятой, эвкалиптом, другими натур-продуктами по нескольку раз в день.
- Антигистаминные препараты. Когда горло начинает болеть после контакта с аллергенами, необходим пероральный прием специфических препаратов — блокаторов гистаминовых рецепторов. В тяжелых ситуациях эффективны аэрозоли с топическими кортикостероидами.
- Витамины. Боль в горле может возникать из-за сильного недостатка витаминов, поэтому после сдачи специфических анализов необходимо принимать витаминные препараты с учетом непосредственной причины авитаминоза. Чаще всего рекомендованы лекарственные средства на основе цианокобаламина, рибофлавина.
- Инфузионные составы. При обширных гнойных процессах боли, ощущаемые в горле, сопровождается массивной интоксикацией организма, для устранения которой применяются кристаллоидные и коллоидные растворы, вводимые внутривенно через капельницу.
- Антисекреторные препараты. Боль в горле, вызванная гастроэзофагеальным рефлюксом, требует приема медикаментов, снижающих кислотность. Препараты выбора — ингибиторы протонной помпы, которые отличаются минимальными побочными эффектами.
Хирургическое лечение
Боль в горле, которая развилась вследствие гнойных процессов (заглоточного или паратонзиллярного абсцесса, нагноения кисты), требует проведения оперативного вмешательства для устранения ведущей причины. Производится разрез и дренирование гнойника, его промывание антибактериальными и антисептическими растворами. При доброкачественных неоплазиях делают экономную резекцию глотки. Злокачественные образования, при которых предъявляются жалобы на боль в горле, требуют выполнения гемиларингэктомии с формированием трахеостомы. В отдаленном периоде по возможности выполняют ларингопластику.
1. Современные аспекты дифференциальной диагностики и лечения боли в горле/ Митин Ю.В., Кириничко Л.Р. — 2010.
3. Боль в горле: возможные причины, диагностика и лечение/ Субботина М.В.// Лечащий врач — 2010 - №9.
Читайте также:
- Ушные шумы при поражениях слухового нерва и центров слуха мозга
- Ишемический инсульт. Течение и прогноз ишемического инсульта.
- Генетика психических болезней. Особенности наследования
- Рекомендации по анализу рентгенограммы пальца стопы в аксиальной ПЗ проекции
- Былая эффективность пенициллинотерапии менингита. Принципы лечения пенициллином менингита
