Рекомендации по анализу рентгенограммы пальца стопы в аксиальной ПЗ проекции
Добавил пользователь Евгений Кузнецов Обновлено: 11.12.2025
Парфенов В.О., Борисов О.В.
Научный руководитель: к.м.н., доцент Илясова Е.Б.
Резюме
патологии в области стопы очень частые заболевания, как со стороны костей, так и стороны мягких тканей, и методы лучевой диагностики являются важными моментами в постановки диагноза.
Ключевые слова
Статья
Актуальность. За всю свою жизнь человек проходит более 100 тыс. км. Стопы наших ног постоянно испытывают нагрузку (степень нагрузки зависит от образа жизни, конечно), что негативно отражается на их состоянии. Боль в стопах беспокоит почти что каждого, будь то дискомфорт после длительной физической нагрузки или же боль, вызванная патологией тканей. Чтобы начать лечение и получить квалифицированную помощь, для начала нужно выяснить причину и выявить очаг заболевания. В этот момент нам и помогают лучевые методы диагностики, а какие из них лучше подходят для разных анатомических областей - это мы и постараемся выяснить в ходе нашего исследования.
Цель данной работы провести сравнительный анализ лучевых методов диагностики при визуализации стопы на основе полученных материалов исследований пациентов с заболеваниями стопы. И выяснить какие методы лучше подходят для диагностики травм разных анатомических структур.
Задачи исследования: 1. Изучить основные этапы клинико-лучевого исследования голеностопного сустава и стопы. 2. Провести сравнительный анализ информативности рентгенографии, ультразвукового метода, рентгеновской компьютерной и магнитно-резонансной томографии в диагностике повреждений голеностопного сустава и стопы. 3. Показать значение комплексного лучевого обследования для рентгенологии, травматологии и медико-социальной реабилитации.
Материалы и методы исследования: в ходе работы исследования проводились на 13 пациентах на цифровом рентген аппарате Brivo DR-F в частной клинике «Альфа - центр здоровья», на УЗИ аппарате «Aloka SSD - 1700» с конвексным датчиком 3.5 МГц и цветным доплеровским картированием (ЦДК) в Клинической больнице имени С. Р. Миротворцева, спиральном 16 - срезовом томографе BRIGHTSPEED и "ASTEION 4" в «Городской клинической больнице №9 и МРТ аппарате Siemens Magnetom Essenza. 1,50 Тесла в ЛДЦ МИБС. Проведен анализ методов лучевой диагностики при исследовании стопы: рентгенографии (РГ) стопы в прямой и боковой проекциях, ультразвукового исследования (УЗИ), компьютерной (КТ) и магнитно-резонансной томографии (МРТ).
Результаты: При рентгенографии стопы использовались 3 основные проекции: ЗАДНЯЯ, ЗАДНЯЯ КОСАЯ ПРОЕКЦИЯ С МЕДИАЛЬНОЙ РОТАЦИЕЙ, БОКОВАЯ - МЕДИОЛАТЕРАЛЬНАЯ ИЛИ ЛАТЕРОМЕДИАЛЬНАЯ ПРОЕКЦИЯ.
В ЗАДНЕЙ ПРОЕКЦИИ(Рис. 1,2) во всех случаях диагностировались переломы и их протяженность, расположение отломков, патология суставов (3 из 5), изменения мягких тканей (2 из 5), определяется местонахождение инородных тел.
Рис 1. Пациент м.,30 лет, рентгенография левого голеностопного сустава в задней прямой, в задней прямой с внутренней ротацией и боковой проекциях. Суставные поверхности, образующие сустав, конгруэнтны, величина и форма суставных поверхностей обычная. Контуры замыкательных пластинок эпифизов ровные, чёткие. Ширина рентгеновской суставной щели не изменена. Отмечается утолщение и понижение прозрачности мягких тканей в области латеральной лодыжки.
Рис 2. Пациенты д.,27 лет. Рентгенография переднего отдела левой стопы в задней прямой проекции. В 1 пястно-фаланговом суставе отмечаются: - выраженное сужение суставной щели (более 50% - до 0,5 мм), - субхондральный склероз, - краевые костные разрастания суставных поверхностей до 3 мм. Заключение: Деформирующий артроз пястно-фалангового сустава 3 стадии (по Н.С. Косинской).
ЗАДНЯЯ КОСАЯ ПРОЕКЦИЯ С МЕДИАЛЬНОЙ РОТАЦИЕЙ (Рис. 3,4). Диагностируются переломы и их протяженность, расположение отломков, патология суставов, изменения мягких тканей, определяется местонахождение инородных тел. В одном случае потребовалась альтернативная латеральная ротация для изучения медиальной части костей предплюсны и основания пятой плюсневой кости. Критерием правильности анатомических соотношений при рентгенографии является равномерная высота рентгеновской суставной щели (горизонтальная ее часть) и расположение на одном уровне латерального края эпифиза большеберцовой кости и латерального края блока таранной кости.
Рис. 3. Пациент д., 32 лет. Рентгенография левой стопы в задней косой проекции (с медиальной ротацией стопы). Определяется перелом основания 5 плюсневой кости, без значительного смещения. Зона перелом соответствует авульсивному перелому метафизарно-диафизарного перехода 5 плюсневой зоны.
Рис. 4. Пациент м., 28 лет. Рентгенография левой стопы в косой проекции (с медиальной ротацией стопы) Суставные поверхности, образующие суставы, конгруэнтны, величина и форма суставных поверхностей обыч-ная. Контуры замыкательных пластинок эпифизов ровные, чёткие. Отмечается добавочная кубовидная кость - os peroneum.
В БОКОВОЙ - МЕДИОЛАТЕРАЛЬНОЙ ИЛИ ЛАТЕРОМЕДИАЛЬНОЙ ПРОЕКЦИЯХ (Рис. 5) диагностируются переломы и их протяженность, расположение отломков, патология суставов, изменения мягких тканей, определяется местонахождение инородных тел.
Рис. 5. Пациент д., 34 лет. Рентгенография правой пяточной кости в аксиальной и боковой проекциях. Отмечается обызвествление подошвенной фасции в месте прикрепления к бугру пяточной кости - лигаментоз (« пяточная шпора»).
В сагиттальной плоскости показателем правильности соотношений считается равномерная высота рентгеновской суставной щели, и расположение на одном уровне центров сочленяющихся суставных поверхностей эпифиза большеберцовой кости и блока таранной. На рентгенограммах стопы после окончания ее формирования при оценке пространственного положения пяточной и таранной костей во фронтальной и сагиттальной плоскостях используется ряд показателей:
⦁ В сагиттальной плоскости положение таранной кости характеризует величина таранно-берцового угла, образующегося при пересечении продольных осей этих костей. Нормативное значение этого угла — 90°. Пространственное положение пяточной кости характеризует величина пяточно-подошвенного угла, образующегося при пересечении двух линий, одна из которых проводится касательно к нижней поверхности пяточной кости, а вторая соединяет нижнюю поверхность пяточного бугра и нижнюю поверхность головки I плюсневой кости. Нормативное значение этого угла 15—20°.
⦁ Во фронтальной плоскости показателем нормы пространственных положений названных костей является пересечение их продольных осей под углом 12—15° (пяточно-таранный угол). Величина продольного свода стопы характеризуется величиной угла, образующегося при пересечении линий, касательных к нижним поверхностям пяточной и I плюсневой костей на рентгенограмме, произведенной в боковой проекции. Показателем нормы считается значение этого угла в диапазоне от 125° до 135°. При анализе снимков стопы могут быть оценены форма, размеры, контуры и структура костей скелета стопы, также анатомические соотношения в суставах предплюсны, плюснефаланговых и межфаланговых суставах. Критерием правильности этих соотношений являются равномерная высота рентгеновских суставных щелей, а для суставов с неровной протяженностью суставных поверхностей (таранно-ладьевидный, плюснефаланговые и межфаланговые суставы) — расположение на одном уровне их центров, для плоских суставов — расположение на одном уровне краев суставных поверхностей. Анализ результатов рентгенографии стопы показал, что из 5 рентгенограмм 5 дало четкую картину костной структуры всех 3 отделов стопы и голеностопного сустава. Благодаря высокой информативности рентгенографии удалось выявить на 5 рентгенограммах нарушения в контурах костей, что в свою очередь свелось к переломам костей плюсны и предплюсны, лигаментозу. Связочный аппарат ни на одном из снимков не был визуализирован. Используя стандартные и не стандартные укладки можно визуализировать все суставы стопы. (100%). Сосуды без контраста не видны.
При ультразвуковом исследовании области голеностопного сустава предметом изучения являются в основном сухожилия, которые условно делят согласно анатомическим регионам. Дополнительная позиция пациента для исследования задних отделов голеностопного сустава и стопы: лежа на животе. Удобно подкладывать под ГСС небольшой валик, чтобы стопы свободно свисали. Большинство структур, окружающих стопу при УЗИ, расположены поверхностно и легко доступны для проведения УЗИ. Многие пациенты жалуются на локальную боль в определенных частях стопы или голеностопного сустава, и в этих случаях УЗИ играет важнейшую роль в проведении дифференциального диагноза. Если боль или отек не локализованы, то УЗИ менее эффективно и в большей степени показана МРТ. Специфическими областями, где возможности УЗИ ограничены, являются блок таранной кости и суставы нижней поверхности таранной кости.
Ультразвуковое исследование голеностопного сустава проводится в положении пациента лежа на спине, с согнутыми в коленных суставах конечностями, с упором на стопу. Сканирование осуществляется в следующих проекциях: передняя продольная проекция, передняя поперечная проекция, задняя продольная проекция, дополнительная задняя продольная проекция Передняя продольная проекция позволяет оценить сухожилия разгибателей. В передней поперечной проекции визуализируется передний отдел голеностопного сустава в поперечной плоскости. В этой проекции хорошо выявлялись внутрисуставные жидкостные образования, синовиит, рассекающий остеохондрит, свободное тело, ганглии и тендинопатии сухожилий переднего связочного комплекса (сухожилия передней большеберцовой мышцы, сухожилия общего разгибателя пальцев, сухожилия длинного разгибателя большого пальца).
Рис. 6, Пациент м., 20 лет. УЗИ (Латеральный косой срез) Латеральный косой срез. Визуализируется передний отдел синдесмоза, малоберцовая кость и большеберцовая. Патологий не выявилось, норма.
Рис. 7, Пациент д., 34 лет. УЗИ (Задняя продольная, задняя поперечная) В задней продольной проекции. Были преимущества в оценке структуры ахиллова сухожилия, патологии не нашлось, норма. В задней поперечной проекции визуализировались структуры ахиллового сухожилия, патологии не выявились.
Ультразвуковая допплерография сосудов — это способ изучения кровотока в крупных и средних венах и артериях человеческого тела. Суть методики связана с эффектом Доплера, который подразумевает, что ультразвуковые волны, отражающиеся от движущихся объектов, будут менять частоту пропорционально скорости движения этих объектов.
Рис 8. Мужчина, 50 лет. УЗИ задней ББ и малоберцовой вен при дистальной компрессии.
Результаты УЗИ по анатомическим структурам:
⦁ Костная структура не визуализируется.
⦁ В различных проекция можно увидеть контуры суставных поверхностей костей, участвующих в создании суставов.
⦁ Связки были видны на всех эхограммах (2/2) - 100% визуализация.
⦁ Суставы визуализировались на 100%.
⦁ Благодаря дуплексному сканированию вен нижних конечностей визуализируются сосуды.
Компьютерная томография использовалась как дополнительный метод (в 2 случаях) —который назначался при несоответствии клинической картины заболевания и данных, полученных традиционными методиками рентгенологического исследования. Посредством КТ стопы получали снимки, на которых отображались все структуры стопы, вплоть до мелких сочленений. На основании итоговых результатов КТ стопы врач устанавливал диагноз с максимальной точностью. Если с помощью рентгенографии можно определить исключительно внутренние повреждения костных тканей, то КТ стоп позволяла отследить все процессы, происходящие в этой области диагностирования. Исследование начиналось с топограммы (обзорной цифровой рентгенограммы) голеностопных суставов и стоп в прямой проекции. Протяженность поля сканирования при ее получении составляет от 128 до 256 мм. Топограмма перед началом поперечного сканирования позволяет сразу локализовать область исследования и осуществить ее разметку для определения уровня первого скана и протяженности зоны исследования. В ходе исследования топограмма помогает контролировать расположение выполненных «срезов». Нередко удается проводить общую оценку состояния изучаемого отдела голеностопного сустава и стопы, сравнивая обе конечности.
Информативность компьютерного томографического исследования области голеностопного сустава и стопы во многом зависит от знания топографо-анатомических особенностей региона. При этом разграничение нормы и патологии являлось первым и наиболее ответственным этапом диагностики, на котором обнаруживается наибольшее число ошибок и разночтений. Кости голеностопного сустава окружают 10 мышц и их сухожилий, взаимоотношение которых с костными структурами необходимо оценивать при переломах. Анализ полученных данных включает построение вторичных реконструированных изображений в различных плоскостях. Наиболее часто используются реконструкции в сагиттальной, фронтальной и косых плоскостях. Кроме того, рекомендуется проводить реконструкцию изображений, затененных по поверхности, с сохранением тканей, денситометрические показатели которых превышают 150 НН. При наличии металлоконструкций порог построения изображений повышается до индивидуального уровня.
Рис. 9. Пациент мужчина, 22 года. Корональные срезы голеностопного сустава (остеохондрит или Болезнь Диаза).
Рис. 10. Пациент мужчина, 39 лет. Аксиальная компьютерная томограмма области голеностопного сустава на уровне дистального межберцового синдесмоза (Хондроматоз).
Магнитно-резонансная томография имела главное преимущество при диагностике ступни за счет большей четкости изображения отдельных структур, чем при других типах диагностики. Детализация изображения повышает возможности врачей при определении диагноза. МРТ позволяет не только оценить картину повреждения костной ткани, но и изучить травмы мягких тканей, провести диагностику нарушений кровотока в этой части тела. Это очень важно при тяжелых травмах, которые имеют комбинированное воздействие на разные ткани тела. Структуры опорно-двигательного аппарата имеют различные МРТ-визуализационные характеристики в зависимости от времени их релаксации. В диапазоне используемых в настоящее время аппаратов с напряженностью магнитного поля от 0,15 до 1,5 Тл релаксационное время мягкотканых структур колеблется между 250 и 1200 мс при исследовании в протонной плотности. На Т2-ВИ время релаксации большинства мягкотканых структур колеблется от 25 до 120 мс. Однако жидкостные и фиброзные ткани контрастно отличаются от остальных структур по своим характеристикам, так же как и жировая ткань. Неизмененная мышца характеризуется очень коротким временем релаксации на Т2-ВИ. Жировая ткань имеет очень короткое время релаксации на Т1-ВИ. Большинство других мягкотканых структур имеют более длинное время релаксации на Т1-ВИ, чем жировая ткань, и более длинное время релаксации на Т2-ВИ по сравнению с мышечными структурами. Протонная плотность компактной кости, сухожилия и плотной фиброзной ткани столь низка, что на всех МР-изображениях они имеют низкую интенсивность сигнала. Интенсивность сигнала суставного (гиалинового) хряща и фиброзного хряща мениска различны вследствие различного содержания в них воды.
Рис. 11. Пациент м., 31 год. МР картина артроза голеностопного сустава 1 степени, синовит. Зона трабекулярного отека костного мозга в пяточной кости (1 стадия асептического некроза).
Рис. 12. Пациент м., 43 года. МР картина кисты пяточной кости. Благодаря высокому уровню визуализации отчетливо заметили кисту пяточной кости, что на рентгенограмме изначально было под подозрением, но точный диагноз поставить не могли.
Рис. 13. Пациент м., 21 год. МР картина заднего среза. Разрыв ахилловова сухожилия.
Высокая информативность МРТ для мягких тканей позволила получить изображение связок, сухожилий в области ахилла, что дало поставить диагноз - полный разрыв аххилова сухожилия.
Результаты МРТ по анатомическим структурам:
⦁ Высокая информативность визуализации костной структуры на 3 из 3 сканов (100%).
⦁ МРТ обладает также высоким уровнем визуализации контуров костей, что доказано также на 3 из 3 сканов (100%).
⦁ Визуализация связочного аппарата на 100%.
⦁ Суставы видны на всех сканах. (100%)
⦁ Сосуды визуализируются и без контраста. (100%) .
Выводы: 1. На первом этапе всем пациентам следует выполнять рентгенографию в стандартных проекциях, в зависимости от области интереса голеностопного сустава и стопы. Возможно применение рентгенографии в нестандартных укладках, в том числе при наличии наружных металлоконструкций.
2. Методика УЗИ предполагает использование высокочастотных датчиков 7,5 МГц и более и включает исследование сухожилий области голеностопного сустава и стопы, сумку ахиллова сухожилия. Оценка всех анатомических структур должна производиться только по данным УЗ-сканирования в двух ортогональных проекциях. Рекомендуется сравнение данных обследования травмированной и контралатеральной конечностей. УЗИ не позволяет в большинстве случаев диагностировать переломы костей, поэтому УЗИ используется, как дешевая замена МРТ для диагностирования нарушений целостности мягких тканей, таких как связки и сухожилия.
3. КТ должна использоваться как дополнительный метод для уточнения дигнозов, так как визуализирует полную картину заболевания в анатомических структурах.
4. Методика MPT голеностопного сустава и стопы должна включать следующие проекции: поперечная, сагиттальная, караниальная. При этом следует использовать гибкие катушки или специализированную катушку для голеностопного сустава. Оценку изменений сухожилий и связок необходимо производить только по данным сканирования в двух ортогональных проекциях. МРТ оказалась высокоинформативным методом в диагностике рентгенонегативных повреждений костей голеностопного сустава и стопы.
5. В независимости от локализации боли в самом начале пациентам следует выполнить рентгенографию в стандартных проекциях, если обследование не выявляет патологический очаг боли, то следует применять лучевые методы диагностики, которые могут выявить нарушение мягких тканей - это УЗИ, МРТ, но из-за высокой цены последнего выиграет ультразвуковой методом исследования.
Литература
⦁ Вовченко А.Я. Суставы. Путеводитель по ультразвуковому исследованию в травматологии и ортопедии.
⦁ Юдин А. Л. Лучевая диагностика повреждений и заболеваний костей и суставов.
⦁ Васильев Л.Ю., Витъко Н.К., Буковская Ю.В. Спиральная компьютерная томография в диагностике повреждений голеностопного сустава и стопы.— М., 2003.— 141 с.
⦁ Волков М.В. Болезни костей у детей.— М., 1985.— 512 с.
⦁ Зубарев А.В. Диагностический ультразвук.— М.: Реальное время, 1999.— С. 40—61, 70— 93, 117-145, 261-265.
⦁ Зубарев А.В., Гажонова В.Е., Долгова И.В. Ультразвуковая диагностика в травматологии: Практическое руководство.— М., 2003.
⦁ Лагунова И.Г. Рентгеноанатомия скелета.— М: Медицина, 1981.— 367 с.
⦁ РУКОВОДСТВО по рентгенографии с рентгеноанатомическим атласом укладок КЕННЕТ Л. БОНТРАГЕР - 2267 иллюстраций (Перевод с английского ИНТЕЛМЕДТЕХНИКА).
Рентгенография стопы: что показывает, особенности проведения в двух проекциях

Рентген стопы, что показывает практика, - это наиболее информативный и простой метод исследования патологий костной ткани. Основан на способности разных по плотности и структуре тканей по-разному пропускать ионизирующие лучи. Результат рентгенографии - отчётливый и информативный снимок, который помогает выявлять патологии костей и точно ставить диагнозы.
Показания для рентгена
Рентгенография стопы показана в следующих случаях:
- Пациент жалуется на болезненность в области стопы. Боль может проявляться при хождении, после долгой нагрузки или в состоянии покоя.
- Деформация стопы. Чаще всего возникает в области плюснефалангового сустава и характеризуется нарушением расположения фаланг большого пальца по отношению друг к другу. Подобное искривление приводит к появлению шишки с внешней стороны стопы и становится не только косметическим дефектом, но и приносит множество неприятных ощущений и ограничений.
- Воспаления и инфекции костей и суставов (артрит, артроз и проч.).
- Механические травмы стопы (удары, ушибы, переломы).
- Плоскостопие.
- Врождённая патология развития стопы.
Какие патологии стопы видно на рентгене?
В число патологий, которые могут быть выявлены, благодаря проведению рентгена в двух проекциях, входят:
- артрит и артроз;
- подагра;
- плоскостопие различных степеней;
- пяточная шпора;
- вальгусная деформация большого пальца стопы.
Подготовка к процедуре

Предварительной подготовки для проведения рентгенографии стопы не требуется. Однако есть одно условие - пациент перед ней должен снять украшения и аксессуары из металла, находящиеся в исследуемой области. Чтобы защитить пациента от лишнего излучения, на части тела, не подлежащие исследованию, накладываются специальные свинцовые фартуки.
Как делают рентген стопы?
Рентген стопы в двух проекциях
Рентген стопы в двух проекциях чаще всего назначается для диагностики переломов, а также деформирующих патологий, таких как артрит или артроз. Также этот метод исследования дает возможность оценить изменения в суставе большого пальца при подагре.
- Для съёмки в прямой проекции пациент ложится на стол рентгеновского аппарата, вытягивает ноги вперёд. Делается снимок одновременно двух стоп, даже если тревожные симптомы отмечаются только в одной.
- Для съёмки в боковой проекции пациенту необходимо перевернуться на бок. Рентгенолог располагает трубку рентген-аппарата так, чтобы лучи проходили перпендикулярно к боковой поверхности стопы.
Для более детального изучения могут быть сделаны снимки и в других проекциях:
- Косая. Рентгеновские лучи должны проходить через стопу под углом 45 градусов.
- Тыльно-подошвенная. Трубка аппарата устанавливается так, чтобы рентгеновские лучи проходили вертикально к поверхности стопы. Во время проведения процедуры пациент отклоняет голень обследуемой ноги немного назад.
Рентген стоп с нагрузкой
Рентген стоп с нагрузкой (как его делают, будет описано ниже) позволяет получать данные об особенностях структуры и анатомии суставов. Обычно такую методику исследования применяют при подозрении на плоскостопие у детей. Показаниями для выполнения рентгеновского исследования с нагрузкой служат:
- аномалии костно-суставной системы;
- необходимость диагностики форм плоскостопия;
- различные деформации стопы.
Когда пациент проходит назначенный курс лечения, исследование повторяют.
Расшифровка результатов
Разобраться в том, что показывает рентген стопы, в первую очередь должен врач-рентгенолог. Он не ставит предварительных диагнозов, а просто описывает анатомические особенности костей стопы. В задачу рентгенолога входит выявление переломов, новообразований, очагов воспаления и прочих отклонений от нормы. На основании описания снимка диагноз будет выставлен лечащим врачом - хирургом, ортопедом, онкологом или другим.
В норме рентген стопы здорового человека должен визуализировать однородные по структуре кости, целостность которых не нарушена. Контуры костей должны быть равномерными и чёткими, без затемнений.
Симптомы плоскостопия

Для выявления плоскостопия обычно выполняют рентген ступней с нагрузкой в боковой проекции. Для этого ступня ставится на подставку внутренней стороной к рентгеновской кассете. Другая нога отводится в сторону. При такой укладке на снимках отмечают три черты:
- I - проходит от первого пальца к пяточной кости;
- II - проходит от точки соединения пяточной кости с первой чертой до ладьевидно-клиновидного сочленения;
- III - проходит от этого же сочленения к первой плюсневой кости.
Соотнося эти линии, измеряют высоту и угол их пересечения. Высота - это перпендикуляр, опущенный из точки соединения второй и третьей черт вниз, на первую горизонтальную. В норме высота должна быть больше 35 мм, а угол - от 125 до 130°.
Отклонение от указанных норм говорит о наличии плоскостопия. Для выявления степени патологии нужно оценить, насколько фактические параметры стопы отличаются от нормальных:
- I степень. Высота свода равна 25-35 мм, угол - 131-140°. При такой патологии пациента беспокоит усталость в ногах при физической нагрузке.
- II степень. Высота свода равна 17-24 мм, угол - 141-155°. В этом случае пациент чувствует усиление боли при длительной ходьбе и физических усилиях.
- III степень. Высота - меньше 17 мм, угол - больше 155°. При такой патологии пациент постоянно чувствует боли в голенях, пояснице и ступнях.
Травмы и переломы
Переломы и трещины на рентгене стопы визуализируются как небольшие вытянутые затемнения с неровными контурами. По снимку нужно оценить, где именно располагается линия излома или трещины, есть ли осколки, имеет ли место их смещение. Чтобы уточнить локализацию перелома, кроме рентгена, проводят и внешний осмотр, пальпируют стопу. В месте перелома при нажатии пациент чувствует острую боль.
Противопоказания к диагностике
При рентгеновской съёмке стопы организм пациента подвергается минимальной лучевой нагрузке. Абсолютных противопоказаний к рентгену стоп не выделяется, но в ряде случаев назначение нужно делать с осторожностью. Это касается беременных женщин, а также детей, не достигших возраста 15 лет.
Как часто можно делать рентген стоп?
Чтобы определить, как часто можно делать рентген стоп в двух проекциях, нужно знать какую дозу облучения выдаёт рентгеновский аппарат за одну съёмку. Далее можно обратиться к СанПиНам, где указано, какая доза облучения допустима для пациента ежегодно. Сравнив эти два параметра, можно будет сделать вывод о частоте проведения диагностической процедуры.
Обычно впервые рентген назначают, когда появились признаки патологии. Затем дают повторное направление через некоторое время (например, через месяц) для оценки эффективности лечения. Такая частота проведения рентгена вполне допустима.

Наши медицинские центры
- Взрослое отделение
- Диагностика
- Консультации
- Центр лечения боли
- Центр здоровья сердца
- Центр здоровья женщины
- Центр эндокринологии
- Детское отделение
- Массаж
- Нефрология
- Оториноларингология
- Офтальмология
- Эндокринология
Запись по ОМС на МРТ и КТ
Включить версию для слабовидящих?
Настоящим я даю своё согласие ООО «Диагностический центр «Энерго» (далее - Общество) (ИНН: 7810812758, юридический адрес - 196084, город Санкт-Петербург, ул. Киевская, д. 5 к. 4, помещ. 20-н), далее - «Оператор», и третьим лицам, осуществляющим обработку моих персональных данных по поручению Оператора, на обработку указанных сведений обо мне, в целях содействия в трудоустройстве.
Я соглашаюсь на сбор, запись, систематизацию, накопление, хранение, уточнение (обновление, изменение), извлечение, использование, передачу (предоставление, доступ), блокирование, удаление, уничтожение моих персональных данных, а также на осуществление любых других действий, предусмотренных действующим законодательством Российской Федерации, совершаемых с использованием средств автоматизации или без использования таких средств.
Настоящее согласие дано мною лично и добровольно. Настоящее согласие действует до момента его отзыва при отсутствии у Оператора других законных оснований для обработки персональных данных и может быть отозвано мной в любой момент в письменной форме путем направления уведомления Оператору по адресу, указанному выше.
Мы используем cookie-файлы, IP-адреса и данные об устройствах для аналитики, чтобы Ваше посещение сайта было удобным и персонализированным. Вы можете отключить cookie-файлы в настройках вашего браузера. Продолжая пользоваться нашим сайтом, Вы даете согласие на обработку перечисленных данных и принимаете условия Политики обработки и обеспечения безопасности ПДн.
Рекомендации по анализу рентгенограммы пальца стопы в аксиальной ПЗ проекции
Назначение снимка то же, что и снимка в прямой проекции. Снимок стопы в боковой проекции в вертикальном положении больного с упором на исследуемую конечность производят с целью выявления плоскостопия.
Укладки больного для выполнения снимков. Больной лежит на боку.
Исследуемая конечность слегка согнута в коленном суставе, латеральной поверхностью прилежит к кассете. Противоположная конечность согнута в коленном и тазобедренном суставах, отведена вперед. Кассету размером 18 х 24 см располагают на столе таким образом, чтобы стопа была уложена либо по длиннику ее, либо по диагонали. Подошвенная поверхность стопы перпендикулярна плоскости кассеты. Пучок рентгеновского излучения направляют отвесно на медиальный край стопы соответственно уровню оснований плюсневых костей (рис. 444).


При выполнении снимка с целью изучения функционального состояния свода стопы для выявления плоскостопия больной стоит на невысокой подставке, перенеся основной упор на исследуемую конечность. Кассету размером 18 х 24 см помещают вертикально на длинное ребро у внутренней поверхности стопы. Пучок рентгеновского излучения направляют в горизонтальной плоскости соответственно проекции клиновидно-ладьевидного сустава, который находится на уровне прощупываемой под кожей
бугристости ладьевидной кости (рис. 445, а). Для того чтобы изображение нижнего края пяточной кости проецировалось несколько отступя от края пленки, в подставке, на которой стоит больной, должна быть прорезь, в которую погружают длинное ребро кассеты на глубину 3—4 см (рис.445, б).
Информативность снимка. На снимке стопы в боковой проекции хорошо видны кости предплюсны: пяточная, таранная, ладьевидная, кубовидная и клиновидная. Кости плюсны проекционно наслаиваются друг на друга. Из всех костей наиболее отчетливо видна V плюсневая кость (рис. 446). На снимках стопы могут быть выявлены различные травматические, воспалительные и опухолевые поражения костей.
Изменения мягких тканей особенно наглядно видны на электро-рентгенограммах (рис. 447, а, б).
СНИМКИ СТОПЫ В КОСЫХ ПРОЕКЦИЯХ
Назначение снимка. Снимок стопы в косой проекции применяют главным образом для выявления переднего отдела стопы — предплюсны и фаланг, состояние которых не может быть детально изучено на снимке стопы в боковой проекции из-за проекционного суммирования изображения.
Укладка больного для выполнения снимка. При рентгенографии стопы в косой проекции чаще всего применяют косую внутреннюю подошвенную проекцию. При этом больной лежит на «здоровом» боку. Исследуемая стопа медиальной поверхностью прилежит к кассете. Подошвенная поверхность располагается к плоскости кассеты под углом 35 — 45°.
Кассета размером 18X24 см находится в плоскости стола.
Пучок рентгеновского излучения следует центрировать отвесно на тыльную поверхность стопы соответственно основанию плюсневых костей (рис. 448).
Иногда прибегают к укладке стопы в косой наружной подошвенной проекции.
Исходное положение стопы такое же, как для снимка в прямой проекции, а затем приподнимают внутренний край стопы на 35—40°.

Информативность .снимков. На снимках видны кости предплюсны: таранная, ладьевидная, кубовидная и клиновидные, суставные щели между ними. Раздельно отображаются все кости плюсны и фаланг, видны их переднебоковые и зад небоковые поверхности. Прослеживаются рентгеновские суставные щели плюснефаланговых и межфаланговых суставов (рис. 449).
В этом случае снимки стоп в косых проекциях по сравнению с другими снимками являются наиболее информативными для выявления переломов плюсневых костей и фаланг (рис. 450, а, б).

СНИМКИ ПЯТОЧНОЙ КОСТИ
Назначение снимков — изучение формы и структуры пяточной кости при различных заболеваниях и травме
Укладки больного для выполнения снимков. Рентгенографию пяточной кости осуществляют в боковой и аксиальной проекциях.
Для изучения пяточной кости в боковой проекции чаще всего используют рентгенограмму стопы в боковой проекции, но иногда при той же укладке больного производят прицельный снимок пяточной кости, соответствующим образом диафрагмируя пучок рентгеновского излучения и направляя его в проекцию центра пяточной кости (рис, 451).
Укладку для выполнения снимка пяточной кости в аксиальной проекции производят следующим образом. Больной лежит на спине, обе ноги вытянуты. Стопа исследуемой конечности находится в положении максимального тыльного сгибания (рис. 452, а). Иногда ее оттягивают в тыльном направлении с помощью бинта, перекинутого через стопу, который удерживает сам больной.
Кассета размером 13X18 см лежит на столе в продольном положении. Стопа прилежит к ней задней поверхностью пятки.
Центральный пучок рентгеновского излучения скашивают в краниальном направлении под углом 35—45° к вертикали и направляют на пяточный бугор.
Снимок в этой же проекции может быть выполнен и при вертикальном положении больного. Больной упирается подошвой снимаемой конечности в поверхность кассеты, отставляя ногу назад таким образом, чтобы голень находилась под углом около 45° к плоскости кассеты. Для фиксации тела больному следует опереться на спинку поставленного пред ним стула.
Пучок рентгеновского излучения направляют под углом 20° к вертикали на задневерхний отдел бугра пяточной кости (рис. 452, б).
Информативность снимков. На рентгенограммах пяточной кости в боковой проекции выявляются структура и контуры пяточной и таранной костей (рис. 453).
На снимке в аксиальной проекции хорошо видны пяточный бугор, его медиальная и латеральная поверхности (рис. 454). Снимки информативны для выявления различных патологических изменений, переломов, пяточной шпоры (рис. 455), изменений структуры кости, в частности после травмы (рис. 456) и др.

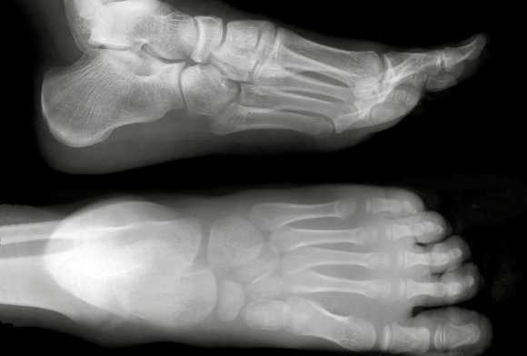
СНИМКИ ПАЛЬЦЕВ СТОПЫ
Назначение снимков. Снимки пальцев стопы чаще всего выполняют при травмах.
Укладки больного для выполнения снимков. Пальцы стопы хорошо видны на рентгенограммах стопы в прямой и косой проекциях. При необходимости в этих же проекциях выполняют прицельные снимки пальцев, соответствующим образом суживая пучок рентгеновского излучения и центрируя его на область пальцев (рис. 457, а).
В отдельных случаях прибегают к рентгенографии пальцев в боковой проекции, подкладывая под исследуемый палец завернутую в светонепроницаемую бумагу рентгеновскую пленку р а з м е р о м 4 x 5 см. При этом в случаях рентгенографии I и V пальцев стопу укладывают соответственно на латеральную и медиальную поверхности и отвесно на исследуемый палец центрируют пучок рентгеновского излучения. При рентгенографии I I , I I I , и IV пальцев вышерасположенные пальцы оттягивают бинтом книзу или кверху таким образом, чтобы их изображение проекционно не наслаивалось на изображение фаланг исследуемого пальца (рис. 457, б).
На рентгенограмме пальцев стопы в прямой проекции хорошо видны фаланги, частично — плюсневые кости, межфаланговые и плюснефаланговые суставы (рис. 458).

Теги: стопа
234567 Начало активности (дата): 30.12.2019 18:33:00
234567 Кем создан (ID): 989
234567 Ключевые слова: стопа, рентгенограмма, кости предплюсны, плюсневые кости, фаланги
12354567899
Рентген стоп
Изменения в структуре стопы, связанные с прямохождением, дали человеку возможность быть устойчивым на двух ногах, но значительно усилили нагрузку на нижние конечности. Это отразилось во множестве заболеваний и различных травм.
Определить происходящие в стопе патологические процессы «на глазок» невозможно, для этого требуются инструментальные методы, позволяющие рассмотреть состояние костей и суставов без прямого вмешательства, такие как рентгенография стопы.
Для чего нужна рентгенограмма
- боль в стопе или голеностопном суставе;
- покраснение и посинение кожных покровов;
- судороги в икроножных мышцах;
- изменение формы стопы и голеностопного сустава;
- отечность в суставе и стопе;
- ограничение и нарушение подвижности сустава.
Эти симптомы могут свидетельствовать о наличии травмы или заболевания. На рентгеновском снимке врач может рассмотреть все элементы, входящие в стопу и обнаружить отклонения в их строении или положении.
То есть проведение рентгенографии стопы позволяет выявлять:
- деформацию ступни в результате воспалительного заболевания: артроза, подагры, артрита;
- вальгусную деформацию большого пальца ноги;
- травматические повреждения сустава и окружающих его тканей, переломы;
- наличие остеопороза;
- плоскостопие;
- врожденные патологии развития костной и хрящевой тканей;
- косолапость;
- пяточную и полую стопу;
- пяточную шпору.
Кроме того, рентгенограмма покажет наличие асептического некроза первого и второго типа. Первый проявляется в виде омертвения ладьевидной кости, а второй - изменением в головках плюсневых костей.
Патологические процессы, происходящие вследствие системных заболеваний, таких как сахарный диабет или ревматоидный артрит, тоже имеют проявления в структуре тканей стопы. Поэтому на снимках они хорошо видны.
Рентгеноскопическое исследование назначается и детям как средство профилактики различных патологий. При наличии врожденных изменений врач может провести первичную диагностику, согласно которой назначит в дальнейшем лечение.
Как правило, это косолапость и плоскостопие, которые на ранних стадиях, пока костный аппарат ребенка еще до конца не сформировался, поддаются лечению.
Этапы и разновидности процедуры
Рентген стопы в двух проекциях проводится в специализированном кабинете, снабженном соответствующей аппаратурой. Пациенту не нужно никаких подготовительных мероприятий, просто прийти в учреждение к назначенному времени. Далее он проходит к аппарату, освобождает правую или левую ногу от обуви, одежды и любых посторонних предметов.
Ассистент врача говорит, как необходимо расположиться, чтобы интересующий участок попал под облучение, закрывает репродуктивные органы и молочные железы пациента специальным фартуком для защиты от рентгеновского излучения. Просит побыть пару минут в покое, за это время получается снимок сустава.
Снимок могут сделать стандартным способом - когда пациент ложится на стол в нужном положении. Так, при прямой проекции обследуемый ложится на спину, ноги сгибает в колене, опираясь обеими стопами в стол. При косой - больной лежит на спине, только нога не упирается в стол, а чуть повернута, обычно на 45 градусов, но угол может быть и другим.
При боковой проекции больного кладут на бок больной стороной вниз, здоровую ногу ему нужно вытянуть, а пораженную, немного согнув в колене, положить на функциональную поверхность стола. Тыльно-подошвенная проекция проводится также в лежачем положении. Пациент находится на спине, ноги выпрямлены, стопа согнута под углом 90 градусов. Чтобы ступня не опускалась, ее фиксируют специальными ремешками.
Существует еще один способ бокового снимка - рентген стоп с нагрузкой. Он применяется для выявления поперечного плоскостопия. Суть методики состоит в том, что пациенту нужно перенести нагрузку на больную ногу. Он встает на нее, вторую ногу поджимает, при этом стопа оказывается под давлением и все патологические процессы в ней становятся более выраженными.
Для более точного диагноза, врачи обычно назначают сразу 2 или 3 проекции, из которых одна - с нагрузкой. Поскольку изменения могут быть незначительными и не проявляться на одном снимке. Иногда подобные снимки требуются для военкомата в качестве подтверждения плоскостопия или нормального развития стопы.
Карты с результатами исследования передаются непосредственно лечащему врачу или пациенту на руки. Полученное изображение врач изучает, проводит описание, находит отклонения и ставит по нему диагноз, а дальше назначает лечение.

Где проходят рентген стопы
Рентгенографию делают в большинстве государственных медицинских учреждений. Не всегда аппаратура в них новая, но исправно работает. Попасть на обследование можно по направлению лечащего врача. Иногда в городских больницах возникают длинные очереди, и записываться на снимок приходится за несколько недель.
В таком случае могут помочь платные клиники, которые проводят ту же процедуру, только платно и в любое время.
Преимуществом таких клиник является наличие более современного оборудования, дающего меньшие дозы радиации, а вот недостатком - необходимость оплачивать обследование. Полученные снимки можно хранить дома. Их лучше положить в бумажный пакет, в котором карточка и выдается.
Не стоит их сгибать или оставлять незакрытыми. Любые механические повреждения приведут к изменению изображения, а значит, усложнению постановки диагноза. И также снимки не желательно держать на свету или при высоких температурах, от этого они могут потемнеть.
Рентгенологическое исследование стопы показывает наличие патологий строения или травм. Если ступня в норме, на снимке не будет наблюдаться никаких изменений, а вот при отклонениях, форма и расположение отдельных элементов изменятся.
Разобраться в том, что показывает снимок, способен только специалист, именно он и должен направлять больного на рентген. Стоит помнить, что процедура дает хоть и маленькое, но облучение, которое не стоит получать лишний раз.
Приходько Алексей Владимирович
Pевматолог-ортопед, д.м.н., доцент, заведующий кафедры ревматологии РМАНПО
Умоляю, одумайтесь! Если вовремя не принять меры, болезнь суставов может привести к инвалидному креслу. Чтобы избавиться от болей и дискомфорта навсегда и не навредить организму достаточно просто.
Заведующий Берлинским центром ревматологии Tumorzentrum Eva Mayr-Stihl при Клинике Шарите.
В России суставы до сих пор лечат устаревшими и малоэффективными препаратами, которые требуют постоянного применения на протяжении всей жизни. В то время как в Европе остеохондроз и прочие заболевания суставов лечится так же просто, как насморк - раз и на 10 лет. Нужно всего лишь 2 раза в день.
Рентген нижних конечностей
Эта акция - для наших друзей в "Одноклассниках", "ВКонтакте", "Яндекс.Дзене", YouTube и Telegram! Если вы являетесь другом или подписчиком стр.
Житель района
В этом месяце жителям районов Савеловский, Беговой, Аэропорт, Хорошевский предоставляется скидка 5% на ВСЕ медицински.
Кисляков Андрей Вадимович
Высшая квалификационная категория
Комстачева Галина Александровна
Диагностика. МРТ и рентген
Мы в Telegram и "Одноклассниках"
Преимущества рентгена в нашей клинике
"Москва 24", телеканал (ноябрь 2016г.)
30 минут
Рентген нижних конечностей занимает 10-15 минут. Зависит еще от того, какая именно часть нижних конечностей в центре внимания. Например, рентген надколенника делается за несколько секунд, а обработка цифрового снимка и описание могут в целом занять 10-20 минут.
Нет боли
Анестезия не требуется
Подготовка не требуется
В отличие от некоторых других рентгенологических исследований, в данном случае подготовка не требуется.
Не требуется
Сохраняется
После исследования вы можете сразу приступать к работе, если, конечность, необходимость в рентгене не была связана с травмой.
Нет ограничений
Ноги, или нижние конечности, испытывают большую нагрузку с тех пор, как человек перешел к прямохождению. В связи с этим они подвержены как травмам, так и заболеваниям.
Причины, которые вызывают боли в нижних конечностях, очень многообразны. Только врач сможет установить точный диагноз на основании анамнеза (ваших жалоб).
Рентген нижних конечностей позволяет проверить целостность костей, выявить инфекцию, артрит, остеопороз и другие заболевания. Данное исследование назначают для оценки проведенного хирургического лечения, при подозрении на онкологию (например, остеосаркому) и развитие гнойного процесса.
Также боли в ногах могут указывать на:
Важно дифференцировать заболевание, чтобы как можно раньше начать лечение. В нашей многопрофильной клинике сообща работает целая команда специалистов, которая назначит вам все необходимые исследования. Рентгенологи, кардиологи, флебологи, травматологи-ортопеды - все специалисты клиники готовы вам помочь.
Противопоказания к рентгену:
- беременность;
- возраст;
- тяжелое состояние пациента.
Как проводится исследование?
Рентген нижних конечностей занимает 10-15 минут. Пациент располагается на столе в рентген-кабинете, рентгенолаборант согласно рентгенологическим укладкам фиксирует конечность.
Чаще всего рентген проводится при подозрении на перелом. Еще одна из самых распространенных причин для назначения рентгена стоп - подозрение на плоскостопие. Бывает продольное плоскостопие, а также поперечное.
При продольном плоскостопии вы можете наблюдать, как в виде «шишки» выпирает первый плюснефаланговый сустав пальца.
Наши врачи-травматологи и врачи-рентгенологи часто сталкиваются с таким явлением, как плоскостопие. Обычно рентгенологическая экспертиза плоскостопия проводится перед призывом на службу в армию. Рентгенография при подозрении на продольное плоскостопие проводится с нагрузкой в боковой проекции, на поперечное - также с нагрузкой в прямой проекции.
В некоторых случаях проводится рентген стоп с нагрузкой. Суть в том, что пациент переносит вес на исследуемую ногу, в результате на стопу оказывается повышенная нагрузка и она принимает форму, характерную для ходьбы. На снимке отображается стопа с учетом давления, поэтому на рентгенограмме лучше визуализируется плоскостопие.
Плоскостопие гораздо легче предупредить, чем лечить. Очень важно носить обувь, соответствующую размеру стопы.
Еще одна распространенная причина для обращения к врачу-травматологу - перелом фаланг пальцев. Хороший рентгенолог с легкостью определит, нужно ли делать рентгенограмму одного или нескольких пальцев и в каких проекциях.
Мы получаем четкие снимки благодаря нашему цифровому рентгенологическому аппарату GMM Opera T30csx (Italray Clinodigit Compact). Благодаря этому врач поставит вам точный диагноз и направит снимки травматологу-ортопеду.
Какие еще исследования мы проводим?
Рентгенография пяточной кости
Пяточная - самая большая кость стопы из всех. При ходьбе, беге и прыжках на нее приходится большая нагрузка, поэтому эта кость подвержена травматизму.
При различных заболеваниях и травмах может меняться форма и структура пяточной кости. Рентген - самый доступный и безопасный способ исследования костных и мягких тканей стопы. Мы выполняем рентгенографию пяточной кости в 1-й или 2-х проекциях.
При использовании цифрового рентгеновского оборудования рентгенолог имеет возможность увеличить снимки и рассмотреть все в подробностях. Специалист определяет, есть ли перелом, какого он вида: со смещением или без.
Врач-рентгенолог может обнаружить такое распространенное заболевание, как подошвенный фасциит (в народе его обычно называют пяточная шпора). Он развивается, когда вы носите неправильную обувь, из-за плоскостопия, развития артрита и артроза. Если пяточную шпору не лечить, заболевание может привести к таким осложнениям, как подпяточный бурсит (воспаление слизистых сумок) и фасциит (воспаление мышечной ткани стопы)!
Рентгенография коленного сустава
Рентген колена - исследование, позволяющее точно определить наличие патологий и травм в коленной области. Как и другой вид рентгена костей и суставов, исследование проводится для выявления травм, переломов и разрывов. При наличии открытого перелома рентгенолог смотрит, как расположены костные осколки.
Основные показания к рентгену надколенника:
- травмы самого надколенника, мениска, связочного аппарата;
- кровоизлияние в коленный сустав;
- вывихи суставов;
- переломы закрытого и открытого типа;
- подозрение на трещины костей.
Также рентген надколенника позволяет выявить опухоли и такие заболевания суставов, как ревматоидный артрит и артроз коленного сустава (гонартроз).
Артроз - это такое поражение (или истирание) коленного сустава, которое хорошо видно на рентгенограммах даже на начальных стадиях. А чем раньше обнаружишь заболевание, тем раньше можно начать лечение.
Процедура длится буквально несколько секунд, а обработка цифрового снимка и описание могут в целом занять 10-20 минут. Снимки делаются в нескольких проекциях, чтобы провести точную диагностику и назначить лечение.
Перед проведением процедуры на пациента надевается защитный фартук, а исследуемая область, напротив, обнажается.
Рентген тазобедренного сустава
Тазобедренные суставы - одни из самых крупных и сложно устроенных. Любые нарушения приводят к серьезному дискомфорту и могут стать причиной развития различных нарушений.
Рентген тазобедренных суставов обязательно проводят при переломах и вывихах. Исследование также назначается при болях в суставах и дискомфорте при движении.
Рентген позволяет выявить:
- опухоли в области сустава, а также метастазы в соседних областях;
- остеопороз, некроз головки тазобедренной кости;
- воспаления в суставе;
- артроз тазобедренного сустава (коксартроз) и др.
Рентген тазобедренных суставов - незаменимый неинвазивный метод исследования для травматологов и ревматологов. Исследование проводит при многих заболеваниях опорно-двигательного аппарата.
Обращайтесь к нам при любых патологиях и заболеваниях нижних конечностей! Цены на рентген уточняйте в соответствующем разделе.
Вы можете сделать рентген нижних конечностей и пройти другие рентгенологические исследования во многих частных клиниках. Выбирайте ту, где есть цифровое оборудование. Такую, как «МедикСити». В этом случае вы получите четкие, более информативные снимки.
Читайте также:
