Техника артроскопической операции при переломе акромиального конца ключицы
Добавил пользователь Владимир З. Обновлено: 28.01.2026
ХИРУРГИЧЕСКОЕ ЛЕЧЕНИЕ ПАЦИЕНТОВ С ПОСЛЕДСТВИЯМИ ВЫВИХОВ АКРОМИАЛЬНОГО КОНЦА КЛЮЧИЦЫ
ССЫЛКА ДЛЯ ЦИТИРОВАНИЯ:
Г. М. КАВАЛЕРСКИЙ 1 , Е. Б. КАЛИНСКИЙ 1 , Б. М. КАЛИНСКИЙ 2 , Л. А. ЯКИМОВ 1 , А. Д. ЧЕНСКИЙ 1 , А. А. КАЩЕЕВ 2 , Г. А. КАЩЕЕВ 1 , И. И. ГОЛДБЕРГ 2
1 Первы й Московски й Государственны й Медицински й Университет Имени И. М. Сеченова, Москва
2 Городская Клиническая Больница Имени С. П. Боткина, Москва
Введение. Повреждения в области акромиально-ключичного сустава (АКС) среди молодого трудоспособного населения является частой травмой. Оказание экстренной хирургической помощи таким пациентам не всегда возможно, в связи с чем, в повседневной травматологической практике не редко приходится сталкиваться с застарелыми случаями повреждения АКС.
Цель: оценить эффективность нового, разработанного в нашей клинике, метода лечения застарелых вывихов акромиального конца ключицы.
Материалы и методы: В исследовании приняли участие 27 человек обоего пола с застарелыми вывихами акромиального конца ключицы III-V стадии по Rockwood, в возрасте от 17 до 56 лет. Всем пациентам была выполнена оперативная малоинвазивная реконструкция ключично-клювовидной связки и трансартикулярная фиксация АКС по разработанной нами малоинвазивной методике. Через 8 месяцев проводилась оценка функциональных и хирургических результатов лечения.
Результаты: Через 2 месяца с момента операции, большинство ( 25 из 27 случаев) оперированных нами пациентов вернулись к привычному образу жизни, а спустя еще 2 месяца они имели возможность приступить к спортивным нагрузкам. На контрольных рентгенограммах, выполненных через 6 месяцев после операции и позднее отмечается правильное соотношение костей в АКС и стабильность фиксатора. При использовании визуально-аналоговой шкалы выявлен хороший результат (0-3 балла) у 92,6% пациентов.
Вывод: предложенный нами впервые способ лечения застарелых повреждений АКС показал хорошие отдаленные результаты лечения.
Ключевые слова: акромиально-ключичный сустав, травма, лечение застарелых повреждений.
Введение
По данным различных авторов, частота встречаемости травматического вывиха акромиального конца ключицы составляет от 12,5 до 26,1 % в структуре скелетной травмы и в 11 % в структуре спортивной травмы [ 1]. В настоящее время, для оценки степени тяжести и характера повреждения существует множество классификаций. В нашем исследовании была использована классификация Rockwood, согласно которой вывихи акромиального конца ключицы могут быть следующих типов:
I тип - частичное повреждение акромиально-ключичной связки. Клювовидно-ключичная связка, капсула сустава, дельтовидная и трапециевидная мышцы интактны.
II тип - разрыв акромиально-ключичной связки и капсулы сустава. Подвывих акромиального конца ключицы кверху. Частичное повреждение клювовидно-ключичной связки, но клювовидно-ключичное пространство не расширено.
III тип - разрыв акромиально-ключичной связки, капсулы сустава и клювовидно-ключичной связки. Акромиальный конец ключицы смещён кверху (максимум в два раза).
IV тип - разрыв акромиально-ключичной связки, капсулы сустава и клювовидно-ключичной связки. Акромиальный конец ключицы смещён кзади в толщу трапециевидной мышцы.
V тип -- разрыв акромиально-ключичной связки, капсулы сустава и клювовидно-ключичной связки. Акромиальный конец ключицы смещён кверху (более чем на в два раза).
VI тип (встречается крайне редко) - разрыв акромиально-ключичной связки, капсулы сустава и клювовидно-ключичной связки. Акромиальный конец ключицы смещён книзу и кпереди и находится позади сухожилий короткой головки бицепса плеча и клювовидно-плечевой мышцы.
В силу разных обстоятельств, оказание экстренной хирургической помощи пациентам с повреждениями АКС III-VI стадий по описанной выше классификации не всегда возможно, в связи с чем, в повседневной травматологической практике не редко приходится сталкиваться с застарелыми случаями повреждения АКС. К таким пациентам необходимо особое внимание и подход. Применяемые в застарелых случаях современные малоинвазивные высокотехнологичные методики стабилизации акромиального конца ключицы [3], разработанные для свежей травмы, в том числе артроскопические [5,9], зачастую оказываются несостоятельны на ранних этапах послеоперационной реабилитации, требуют длительного лечения и не редко повторных операций [4,10].
Цель исследования
Целью нашего исследования является оценка эффективности нового, разработанного в нашей клинике, метода лечения застарелых вывихов акромиального конца ключицы и последствий повреждений АКС.
Материалы и методы
В нашем исследовании приняли участие 27 человек обоего пола с застарелыми вывихами акромиального конца ключицы III-V стадии по Rockwood, в возрасте от 17 до 56 лет. Среди них встречались пациенты перенесшие спортивную (51,9%), дорожно-транспортную (14,8%) и бытовую (33,3%) травмы.
Всем пациентам была выполнена оперативная реконструкция ключично-клювовидной связки и трансартикулярная фиксация АКС. В ходе операции проводилась резекция фиброзной ткани, удаление интерпонента, мениска и рубцов из полости сустава. Для восстановления ключично-клювовидной связки применялась малоинвазивная (пуговичная) методика, позволяющая через минимальный доступ в проекции сустава, после выполнения полноценного дебридменда, выполнить ее реконструкцию. Под интраоперационным рентгенологическим контролем выполнялось пе Предложенный подход к лечению пациентов с застарелыми травматическими вывихами акромиального конца ключицы продемонстрировал хорошие функциональные результаты. Через 2 месяца с момента операции, большинство ( 25 из 27 случаев) оперированных нами пациентов вернулись к привычному образу жизни, а спустя еще 2 месяца они имели возможность приступить к спортивным нагрузкам. Разработанный протокол лечения позволил получить более чем в 90% случаев полное восстановление функции, из- бежать повторных оперативных вмешательств и серьезных хирургических осложнений. На контрольных рентгенограммах, выполненных через 6 месяцев после операции и позднее отмечается правильное соотношение костей в АКС и стабильность фиксатора. При использовании визуально-аналоговой шкалы выявлен хороший результат (0-3 балла) у 92,6% пациентов. ркутанное трансартикулярное введение 2-х спиц через акромиальный отросток лопатки в акромиальный конец ключицы. Последующие 6 недель пациентам предписывалась иммобилизация руки в ортезе типа Дезо. Удаление спиц выполнялось на 4-ой неделе с момента операции.
В дальнейшем проводилась послеоперационная и постиммобилизационная реабилитация по разработанному в нашей клинике алгоритму с применением ортопедических аппаратов [6], тренажеров и лечебной гимнастики.
Сроки оказания хирургической помощи составляли от 8 до 19 суток с момента получения травмы. В ходе наблюдения за пациентами проводились этапные (промежуточные) контроли, однако окончательная оценка результатов лечения проводилась через 8 месяцев с момента операции, при помощи рентгенологического контроля, определения объёма движений в плечевом суставе и визуально-аналоговой шкалы.
Результаты
Предложенный подход к лечению пациентов с застарелыми травматическими вывихами акромиального конца ключицы продемонстрировал хорошие функциональные результаты. Через 2 месяца с момента операции, большинство ( 25 из 27 случаев) оперированных нами пациентов вернулись к привычному образу жизни, а спустя еще 2 месяца они имели возможность приступить к спортивным нагрузкам. Разработанный протокол лечения позволил получить более чем в 90% случаев полное восстановление функции, избежать повторных оперативных вмешательств и серьезных хирургических осложнений. На контрольных рентгенограммах, выполненных через 6 месяцев после операции и позднее отмечается правильное соотношение костей в АКС и стабильность фиксатора. При использовании визуально-аналоговой шкалы выявлен хороший результат (0-3 балла) у 92,6% пациентов.
Для осуществления фиксации АКС разработано много способов и методик [4, 5, 7], наиболее распространенной и общепризнанной из них в настоящее время считается операция с использованием крючковидной пластины. Фиксация АКС крючковидной пластиной надежна и стабильна, однако имеет ряд недостатков. Для выполнения этой операции требуется достаточно большой разрез (~10 см). К тому же, крючок пластины, который заводят под акромиальный отросток, располагается в непосредственной близости и даже в контакте с сухожилиями ротаторной манжеты, которые травмируются о пластину при движениях плечом. В результате этого может возникнуть тенопатия сухожилий ротаторной манжеты, в связи с чем рекомендуется выполнять удаление импланта через несколько месяцев, что по сути означает еще одну операцию. Кроме того, известны случаи, когда происходил перелом ключицы по медиальному краю пластины, лизирование акромиального конца ключицы и миграция металлофиксатора. [7, 8]. Разработанная нами операция является малоинвазивной и минимально травматичной, при этом она позволяет полноценно визуализировать и освободить полость акромиально-ключичного сустава, выполнить точную анатомическую репозицию под контролем глаза и стабильно зафиксировать акромиальный конец ключицы, избежав при этом осложнений связанных с применением крючковидной пластины. Удаление трансартикулярных спиц возможно в амбулаторных условиях и технически очень простое.
Клинический пример
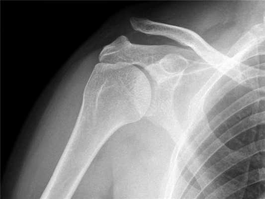
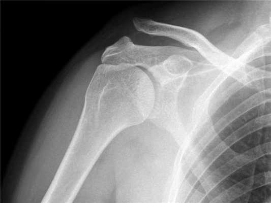
В травматологическое отделение ГКБ им. С.П.Боткина поступил пациент А.А.Ф., 37 лет (и.б. No1068) с травматическим полным вывихом акромиального конца правой ключицы шестидневной давности (рис. 1). Предоперационное обследование заняло двое суток.

На восьмые сутки с момента травмы пациенту выполнена операция: открытое вправление вывиха правой ключицы и фиксация правого акромиально-ключичного сустава малоинвазивной «пуговичной» системой и 2-мя спицами трансартикулярно под контролем эОП (рис. 2). В ходе операции из доступа около 3-х см выполнен полноценный дебридмент околосуставной области, а также удаление рубцовых интерпонентов из полости акромиально-ключичного сустава.

Ранний послеоперационный период протекал без осложнений, рана зажила первичным натяжением, швы удалены в положенные сроки. Больной соблюдал предписанный ему режим иммобилизации ортезом типа Дезо. По прошествии 4-х недель с момента операции произведено удаление спиц и выполнена контрольная ренгенография (рис. 3).

На 7-ой неделе с момента операции пациент приступил к занятиям ЛФК. В рамках разработанного нами протокола реабилитации пациентов после подобных хирургических вмешательств, выполнялась механотерапия (рис. 4) и комплекс физических упражнений. По истечению срока приблизительно 2-х недель объем движений в правом плечевом суставе был восстановлен. На контрольном осмотре через 6 месяцев с момента операции отмечен полный объем движений в правом плечевом суставе, отсутствие болевого синдрома, восстановление тонуса мышечной системы правого надплечья и плеча.

Результат лечения пациента А.А.Ф., 37 лет (и.б. No1068) расценен как отличный. Благодаря примененной тактике лечения удалось достигнуть хорошей и быстрой функциональной реабилитации пациента (рис. 5). Выполнение малоинвазивного вмешательства, обеспечивающего полноценную репозицию, резекцию рубцов и интерпонета области сустава, а также стабильную фиксацию акромиального конца ключицы, позволило достигнуть быстрого восстановления функции и восстановить трудоспособность молодого пациента в короткие сроки, избежав, при этом, осложнений связанных с операцией и имплантацией массивных фиксаторов.
Выводы
Таким образом, предлагаемый нами способ лечения застарелых повреждений АКС показал хорошие отдаленные результаты лечения. Функциональное восстановление пациентов проходило согласно разработанному протоколу и позволило вернуть привычное качество жизни большинству оперированных нами пациентов. Хирургическая техника описанной операции имеет такие существенные преимущества, как минимальная инвазивность, отсутствие необходимости повторных вмешательств для удаления имплантов, отсутствие вторжения в плечевой сустав и субакромиальное пространство и относительно высокая степень воспроизводимости, т.е. доступности для повседневного применения в травматологической практике без специальной подготовки. Отмечена также экономическая выгода такого подхода, в виде уменьшения продолжительности стационарного лечения, а так же отсутствия необходимости применения дорогостоящих имплантов [11].
Список литературы
1. Файтельсон A.B., Дубровин Г.М., Тихвненко С.н. Раннее восстановление функции плечевого сустава при вывихах акромиальногоконца ключицы.// В ст. Материалы всероссийского симпозиума «коленный и плечевой сустав xxI век. Я., 2000
2. ISAKOS Upper Extremity Committee Consensus Statement on the Need for Diversi cation of the Rockwood Classi cation for Acromioclavicular Joint Injuries; Beitzel, Mazzocca, Bak, Itoi, Kibler, Mirzaya, Imho , Calvo, Arce, Shea, Upper Extremity Committee of ISAKOS— Arthroscopy. 2014 Feb;30(2):271-8.
3. Minimally Invasive Acromioclavicular Joint Reconstruction (MINAR), Rosslenbroich , zantop et al.— Oper Orthop Traumatol. 2010 Mar;22(1):52-61.
4. Biomechanical Consequences of Coracoclavicular Reconstruction Techniques on Clavicle Strength, Dornan, Millett, wijdicks et al.— Am J Sports Med., 2014 Mar 13
5.Arthroscopically assisted stabilization of acute injury to the acromioclavicular joint with the double TightRopeTM technique: one-year results, Pauly, Scheibel M et al.— Unfallchirurg. 2013 Feb;116(2):125-30.
6. e gymnastics shoulder , Gerhardt , Scheibel et al.— Orthopade. 2014 Mar;43(3):230-5.
7. Associated lesions requiring additional surgical treatment in grade 3 acromioclavicular joint dislocations, Parten P, Denard P, Burkhart SS et al., Arthroscopy. 2014 Jan;30(1):6-10. 10.1016/j. arthro.2013.10.006.
8. Acromio-clavicular repair using two di erent techniques, Parchi P, Piolanti N, Michele L. et al, Eur J Orthop Surg Traumatol. 2014 Feb;24(2):237-42. 10.1007/s00590-013-1186-1. Epub 2013 Feb 13.
9.Instability of the sternoclavicular joint: current concepts in classi cation, treatment and outcomes, Le Leu A, Lambert SM et al, Bone Joint J. 2013 Jun;95-B(6):721-31. 10.1302/0301- 620x.95B6.31064.
10.Stabilization for the disrupted AC-joint using a braided polyester prosthetic ligament. wright J, Osarumwence D., et al J of Orthopedic Surgery, 2015;23(2):223-8
11. Acute acromioclavicular dislocation: a cheaper, easier and all- arthroscopic system. Sastre S, Dada M, Lozano L, et al Acta Ortho Belg. 2015 Mar;81(1):161-4
12. Continuous Loop Double Endobutton Reconstruction for AC- Joint dislocation. Struhl S, wolfson T, et al Am J Sports Med. 2015 Oct.;43(10):2437-44
Информация об авторах:
Кавалерский Геннадий Михайлович - заведующий кафедрой, профессор, доктор медицинских наук,
SURGICAL TREATMENT OF PATIENTS WITH CONSEQUENCES OF DISLOCATIONS OF THE ACROMIAL END OF THE CLAVICLE
G.M. KAVALERSKIY, E. B. KALINSKIY, B. M. KALINSKIY, L. A. YAKIMOV, A. D. CHENSKIY, A. A. KASHCHEEV, G. A. KASHCHEEV, I. I. GOLDBERG
Sechenov First Moscow State Medical University, Moscow City Clinical Hospital Botkin, Moscow
Information about the authors:
Kavalersky G. - Chief of Dept. Traumatology, Orthopedics and Disaster Surgery, PhD in Medical Science
Kalinsky E. - Assistant professor, PhD in Medical Science
Yakimov L. - Professor, PhD in Medical Science
Kacheev G. - I.M.Sechenov First Moscow State Medical University, e Department of Traumatology, Orthopedics and Disaster Surgery, Resident physician
Goldberg I. - S.P.Botkin’s Moscow City Clinical Hospital, Dept. of anesthesiology & intensive care, Anesthesiologist
Introduction: AC-joint injury is pretty frequent trauma among young people. Sometimes, it appears to be di cult to provide emergency surgical care to those patients, so we occasionally deal with old-standing cases in our orthopedic practice. Survey objective: is to evaluate the e ciency of our invasive therapeutic approach in old-standing cases of AC joint injuries. Methods & materials: we included 27 patients 17-56 years old, both males and females, with Rockwood III-V old rupture of AC joint. In all cases we performed our new minimal invasive technique of reconstruction of coraco-clavicular ligament and transarticular percutaneus K-wire xation of AC joint. In next 8 months we assessed the functional results. Results: A er 2 months from operation the majority of patients (25 out of 27) were back to their habitual mode of life and were able to start sport activity. At the 6 months follow-up and later we have seen good radiological (x-ray) results. we had more than 92.6% of patients with good clinical outcomes, which were assessed with visual-analog scale. Conclusion: Our new approach to the treatment of patients with old-standing cases of AC joint injuries showed very good long-term outcomes and can be used by orthopedic surgeons in their practice.
key words: acromioclavicular joint, trauma, treatment of chronic injuries.
РАЗРЫВ АКРОМИАЛЬНО-КЛЮЧИЧНОГО СОЧЛЕНЕНИЯ ПЛЕЧЕВОГО СУСТАВА

Плечевой сустав вместе с лопаткой соединён со всем остальным скелетом при помощи одной кости - ключицы.
Ключица, в свою очередь, соединена с грудиной посредством грудино-ключичного сочленения. А лопатка соединена с ключицей посредством акромиально-ключичного сочленения (АКС).
Акромиально-ключичное сочленение удерживается на месте посредством ключично - акромиальных и ключично - клювовидных связок.
Как можно получить разрыв акромиально-ключичного сочленения АКС.
Повреждение или разрыв акромиально-ключичного сочленения может произойти при падении на вытянутую руку во время спортивных занятий, катании на роликах, коньках, сноуборде или при падении на прямую руку зимой во время гололеда.
Что чувствуешь, если повредил АКС.
При 1-ой степени повреждения определяется опухлость в области крепления акромиального конца ключицы к лопатке,
при 2-ой степени мы можем видеть «синдром клавиши», ключица при надавливании утапливается и, при отпускании, возвращается обратно подобно клавише рояля.
При 3-ей степени разрыва АКС присутствует видимая деформация, конец ключицы выступает над лопаткой на весь свой диаметр.
Как помочь себе при травме плечевого региона.
Доврачебная помощь при травме плечевого сустава заключается в наложении холода на место наибольшей болезненности и в иммобилизации верхней конечности косыночной повязкой.
Поставить диагноз можно на основании рентгеновского снимка.
Что нужно для постановки диагноза при повреждении АКС.
Для постановки диагноза и для определения степени повреждения акромиально-ключичного сочленения наиболее информативным методом исследования является рентген.
На рентгене при первой степени разрыва акромиально-ключичного сочленения будет видно расхождение между ключицей и акромионом.
При второй степени мы видим выступание ключицы над акромионом на расстояние не более половины ее диаметра.
При третьей степени ключица выступает над лопаткой на полный свой диаметр и даже более того.
На основании рентгена, при третьей степени повреждения, пациенту дополнительно назначается МРТ- это исследование позволит нам точно определить какие именно связки оказались разорваны, степень разрыва и поможет с выбором тактики хирургического лечения.

Лечение разрыва акромиально-ключичного сочленения.
Тактика лечения разрыва АКС выбирается врачом исходя из степени повреждения сочленения и давности травмы.
Как правило 1-ая и 2-ая степень повреждения лечится консервативно.
На границе между 2-ой и 3-ей степенью повреждения и при 3-ей степени необходима операция.
Существует несколько способов хирургического лечения разрыва АКС:
- открытая операция, выполняется через разрез тканей плечевого сустава.
- артроскопическая, наиболее современная, малотравматичная операция на АКС.
Открытая операция на акромиально-ключичном сочленении.
При открытой операции выполняется разрез в районе ключицы, при этом дельтовидная мышца отсепаровывается (отделяется анатомически не разрезая, а отчищая) от ключицы, обнажаются разорванные связки, в основание клювовидного отростка, либо вокруг него, проводится тонкая синтетическая лента, которая прижимает ключицу к клювовидному отростку обеспечивая, тем самым, заживление связок (конической и трапециевидной).
Артроскопия акромиально-ключичного сочленения при острой,
до 2-ух недель с момента травмы, степени повреждения.
Выполнив артроскопические доступы под дельтовидной мышцей и под акромионом мы визуализируем разорванные связки. В основании клювовидного отростка выполняется отверстие, в которое мы проводим специальную синтетическую 2 мм ленту Fiber Tape и титановую пуговицу Endo Button, которая заклинивается под клювовидным отростком. Затем, между конической и трапециевидной связками, через ключицу, не повреждая волокна дельтовидной мышцы и связки, выполняется второе отверстие, в которое пропускается эта же лента и далее она фиксируется на ключице при помощи второго реконструктивного фиксатора Endo Button.
Артроскопия акромиально-ключичного сочленения при подострой,
до 3 месяцев с момента травмы, степени повреждения.
При подострой степени повреждения АКС нами выполняется модифицированная операция WEAVER-DUNN.
Дополнительно к установленным пуговицам, которые прижимают ключицу к клювовидному отростку, предварительно прошитая часть корако-акромиальной связки разворачивается и фиксируется к ключице. Таким образом производится несвободная пластика ключично-клювовидных связок при помощи акромиально-ключичной связки.
Модифицированная операция WEAVER-DUNN непроста для исполнения. Для проведения ее при достаточной визуализации, требуется анестезиологическое обеспечение высокого уровня, которым наша клиника оснащена.
Артроскопия акромиально-ключичного сочленения при застарелой,
более 3 месяцев с момента травмы, степени повреждения.
На таком сроке помочь пациенту с разрывом акромиально-ключичного сочленения можно выполнив сухожильную пластику АКС. При этой операции в дополнение к пуговицам-фиксаторам и синтетической ленте из полусухожильной мышцы пациента, выделенной из подколенной области формируется петля, которая проводится вокруг клювовидного отростка, закрепляется в каналах в ключице и фиксируется к акромиальному отростку.
Почему мы можем перемещать корако-акромиальную связку?
Корако-акромиальная связка-это рудиментальное образование, утратившее своё основное значение в процессе эволюционного развития, вызывающее, зачастую, импинджмент синдром и ее перемещение можно считать скорее благом для пациента.
Мы используем несоосную технику сверления туннелей в местах анатомического крепления связок, позволяющую нам сделать сложную операцию наиболее элегантно. Такой метод выполнения сложнее для хирурга, но наиболее оптимален для восстановления пациента.
Почему стоит выбирать метод артроскопии для операции на АКС.
В 30 процентах случаев, при травме акромиально-ключичного сочленения, происходит разрыв передне-верхнего сегмента суставной губы плечевого сустава- SLAP. То есть, каждому третьему пациенту выполняя операцию на АКС артроскопическим способом, мы, используя те же доступы, можем дополнительно выполнить и артроскопический шов суставной губы. Если в остром состоянии повреждение суставной губы можно рефиксировать в анатомическом положении, то в запущенных случаях выполняется тенодез сухожилия длинной головки бицепса, что несколько не физиологично.
Своевременное артроскопическое лечение, направленное на устранение нестабильности в акромиально-ключичном сочленении, обеспечивает сращение не только связок, но и внутрисуставного диска. Плечевой сустав начинает функционировать физиологично, тем самым предотвращается развитие артроза АКС, развитие импинджмент синдрома плеча и, как следствие, такого грозного состояния как разрыв вращательной(ротаторной) манжеты плеча.
Послеоперационный период при операции на акромиально-ключичном сочленении.
Связки АКС срастаются 3-4 недели с момента проведения операции.
Все это время пациенту рекомендована иммобилизация в мягкой отводящей шине с нейтральной ротацией.
На 3-4 неделе назначается реабилитационная программа, при успешном прохождении которой и по истечении 4 месяцев после операции, возможны любые спортивные нагрузки без каких-либо ограничений.
*Разрыв акромиально-ключичного сочленения-это повод для срочного обращения к специалисту по хирургии плеча.
*В нашей клинике операции на акромиально-ключичном сочленении (АКС) выполняются артроскопически, без разрезов.
Длительность артроскопической операции около 1 часа.
*Артроскопическая операция на акромиально-ключичном сочленении требует от хирурга наличия значительных навыков и опыта.
MINAR® Mинимально Инвазивная Aкромиально-ключичная Реконструкция — малоинвазивный метод хирургического лечения вывиха акромиального конца ключицы в Клинике на Комарова.
Вывих акромиального конца ключицы
Вывих акромиального конца ключицы - достаточно частая травма, возникающая главным образом от сильного удара сверху вниз по плечевому суставу (падение на область плечевого сустава). При этой травме рвутся связки, соединяющие ключицу и лопатку, и после этого, ключица под действием тяги мышц смещается кверху.
Симптомы вывиха акромиального конца ключицы
Основным симптомом вывиха является боль в акромиально-ключичном сочленении и ограничение движения в плечевом суставе. Если вывих полный - то ключица выпирает и определяется симптом клавиши: при нажатии на среднюю треть ключицы, она вправляется, если отпустить, то ключица становится в исходное положение.
Диагностика вывиха акромиального конца ключицы
Практически во всех случаях определить получение вывиха ключицы оказывается достаточно легко, с учетом проявляемых клинических признаков. Из дополнительных методов исследования больному может быть назначено проведение рентгеновского исследования. Для правильного установления диагноза, целесообразно выполнять рентгенограмму здорового и больного плеча на одной пленке.

Лечение вывиха акромиального конца ключицы
Тактика лечения определяется тяжестью вывиха. Консервативное лечение показано при вывихах I-II типа. Данное лечение состоит в иммобилизации руки слинг повязкой на 3-5 недель до исчезновения боли. Далее выполняют контрольную рентгенографию и принимается решение о реабилитационном восстановлении.

Оперативное лечение вывиха акромиального конца ключицы
Один из вариантов оперативного лечения вывиха акромиального конца ключицы — синтез крючкообразной пластиной. Данная фиксация очень надежна, но имеет определенные недостатки.
- Во-первых, для данной операции требуется большой разрез (7-10 сантиметров).
- Во-вторых, при установке пластины, крючок заводят под акромиальный отросток, располагая рядом с вращательной манжеткой. В дальнейшем, при движении плечом, сухожилия травмируются о пластину, вызывая дискомфорт, болевые ощущения, ограничение движения. В результате это может привести к повреждению сухожилий вращательной манжетки (сухожилия надостной мышцы).
- В-третьих, известны случаи, когда происходил перелом ключицы по внутреннему краю пластины.
В связи с этим пластину рекомендуется удалять через 4-6 месяцев. А это повторная операция.
Методика MINAR
Методика MINAR (Minimally Invasive Acromioclavicular Reconstruction) данная методика выполняется через разрез длинной 3-4 см, происходит фиксация ключицы двумя металлическими пуговицами и очень прочной нитью. Принцип метода заключается в том, что фиксаторы располагаются так, чтобы вектор силы повторял ход порванных связок.
Данный метод сохраняет нормальную подвижности ключицы и обеспечивает высокий стабилизирующий эффект. В послеоперационном периоде необходима иммобилизация руки косыночной повязкой в течении 3-х недель. Так же пациент получает физиотерапевтическое лечение, реабилитационные мероприятия.

Преимущества метода MINAR при оперативном лечении вывиха акромиального конца ключицы
- Снижены до минимума травматичность и время выполнения операции.
- Снижен риск повреждения во время операции жизненно важных структур.
- Минимальные послеоперационные инфекционные осложнения.
- Отсутствует необходимость удаления имплантата.
- Возможность начала ранней функциональной реабилитации, в следствии чего более раннее восстановление функции верхней конечности.
Методика MINAR® — малоинвазивный метод хирургического лечения вывиха акромиального конца ключицы в Клинике на Комарова

Вывих акромиального конца ключицы - достаточно частая травма. Известно, что еще Гиппократ впервые разделил понятия «вывих плеча» и «вывих акромиального конца ключицы», которые до него считались одной и той же травмой. Конечно же, с точки зрения неспециалиста эти две проблемы на первый взгляд не отличаются друг от друга и воспринимаются просто как «травма плеча» или часто можно услышать выражение «выбил плечо». Мы специально сделали такое филологическое отступление для того, чтобы вы понимали, что травмы плечевого сустава и соседних с ним структур - отдельное и очень сложное направление в травматологии. Например, одна из лучших медицинских книг, посвященная только плечевому суставу и окружающим его структурам - двухтомник на 1704 страницах! Поэтому в случае травм этой области чрезвычайно важно лечиться у компетентного специалиста.
Немного анатомии
Ключица — небольшая, S-образно изогнутая трубчатая кость, которая одним концом соединяется с грудиной (грудино-ключичный сустав), а вторым концом - с акромиальным отростком лопатки (акромиально-ключичный сустав). Традиционно в ключице выделяют три части: грудинный конец, диафиз (средняя часть) и акромиальный конец.
Основные травмы ключицы - это переломы и вывихи. Поскольку у ключицы два конца (акромиальный и ключичный) то и вывихи могут быть как акромиального, так и грудинного конца. Чаще бывают вывихи акромиального конца. К ключице прикрепляется несколько связок, которые соединяют ее с лопаткой.
Почему происходит вывих ключицы?
Классический пример травмы, при которой происходит вывих акромиального конца ключицы - падение на плечо. При этом рвутся связки, соединяющие ключицу и лопатку, и после этого, ключица под действием тяги мышц смещается кверху.

Конечно же, поскольку связок, прикрепляющихся к ключице несколько, то возможны различные варианты их разрывов. Например, может разорваться только капсула акромиально-ключичного сустава - в таком случае вывиха не произойдет или будет подвывих, поскольку ключицу будут держать другие связки. Если разорвутся другие связки (коническая и трапециевидная связки), произойдет уже вывих ключицы.
Вывих акромиального конца ключицы: слева - неполный (подвывих), клювовидно-ключичная связка цела; справа - полный, порваны коническая и трапециевидная связки, которые образуют единую клювовидно-ключичную связку.

Мы описали самую простую классификацию, но на самом деле все гораздо сложнее. Среди специалистов, занимающихся лечением травм плеча, принято использовать классификацию Роквуда, которая выделяет шесть типов вывиха.
Сразу после травмы возникает боль в надплечье. Если вывих полный - то ключица выпирает, и, в некоторых случаях, удается выявить симптом клавиши пианино: при нажатии на ключицу она вправляется на вместо (опускается вниз), но если прекратить давление она тотчас вывихнется снова. Отсутствие симптома клавиши не означает, что с ключицей все в порядке. Во-первых, этот симптом не всегда возможно просто проверить ввиду того, что у некоторых пациентов нажимание на ключицу вызывает сильную боль. Во-вторых, через несколько часов после травмы возникает отек. В-третьих, у полных людей ключица вообще может плохо контурироваться.
При вывихах акромиального конца ключицы нарушается функция руки - чаще всего невозможно поднять руку выше плеча, отвести руку в сторону.
Вокруг ключицы возникает синяк (его ошибочно называют гематомой, но на самом деле это просто синяк - подкожножировая клетчатка пропитывается кровью из разорванных связок). В течение нескольких дней или даже недель этот синяк может увеличиваться в размерах и «сползать» вниз.
Боль, как правило, в течение нескольких дней уменьшается, но мы советуем вам не ждать, а обратиться к врачу сразу.
Диагноз вывиха акромиального конца ключицы
Диагноз вывиха акромиального конца ключицы иногда очень прост и все очевидно при осмотре, а иногда приходится решать целую головоломку. Наиболее оптимальным и распространенным способом диагностики является рентгенография. Стоит сказать, что, как не бывает одинаковых людей, так и не бывает одинаковых ключиц. Чаще всего причиной ложного диагноза индивидуальные особенности акромиально-ключичного сустава.
Поэтому целесообразно выполнять рентгенограмму не одного плеча, а двух сразу - что позволит оценить нормальное строение противоположной ключицы.

В сомнительных случаях иногда выполняют функциональную рентгенографию - в руку берут груз, который оттягивает ее вниз и вывих становится более очевидным.
Оптимальный способ лечения зависит от типа вывиха. Раньше в подавляющем большинстве случаев применяли консервативное лечение, то есть не оперировали. Суть такого лечения сводилась к тому, что на несколько недель пациента заковывали в громоздкие и тяжелые устройства, которые вправляли и удерживали ключицу в нужном положении.
Сейчас консервативное лечение показано при неполных вывихах (подвывихах), т.е. при 1 или 2 типе вывиха по Роквуд. При этом достаточно легкой, эстетичной и удобной слинг-повязки, которую носят в течение 3-5 недель в зависимости от варианта повреждения капсулы акромиально-ключичного сустава. Далее выполняют контрольную рентгенографию и принимают решение о реабилитации - повязку снимают и приступают к физическим упражнениям.

В первые сутки после травмы прикладывают холод, который уменьшает отек и боль. Обездвиживание слинг-повязкой само по себе значительно снизит боль, но если она останется - не нужно терпеть, сообщите об этом врачу и он назначит обезболивающие препараты.
Впоследствии, по решению врача, слинг-повязка может быть заменена на тейп, который позволяет пользоваться рукой, но удерживает ключицу. Тейп-повязка должна накладываться только специалистом. При повреждениях I типа тейп-повязка может использоваться с самого начала.
Хирургическое лечение вывиха акромиального конца ключицы
Прежде чем рассказать об операциях, нужно поговорить о том, зачем вообще оперировать. Как мы уже отмечали, при 1 и 2 типе вывиха показано консервативное лечение, так как оперировать (за редкими исключениями) можно сказать нечего - ключица и так на месте. Но при 3 типе вывиха, когда ключица полностью вышла вверх, необходимо рассматривать возможность операции. Конечно же, вы можете задать вопрос - что будет, если не оперировать? Боль в покое уйдет, гематома рассосется.
Но возможны следующие проблемы:
- Боль при физической нагрузке
- Снижение силы руки
Невправленная ключица будет все время выпирать вверх, что представляет собой не только косметическую проблему, но и может ограничивать движения, в частности может возникнуть:
- Ограничение отведения руки, т.е. руку часто нельзя поднять выше плеча.
Все эти проблемы могут привести к нарушению осанки.
Для кого-то все эти возможные последствия вообще не представляют никакой проблемы, так как бывают люди с крайне небольшими физическими запросами. В любом случае операция по вправлению ключицы не направлена на спасение жизни, поэтому рассматривать целесообразность хирургического лечения необходимо исходя из профессии, стиля жизни и запросов пациента.
В целом максимальное восстановление при полном вывихе акромиального конца ключицы (3,4,5 и 6 типы вывихов) возможно только при оперативном лечении, в ходе которого ключицу вправляют и фиксируют ее.
Ряд последних научных исследований показал, что у спортсменов и людей с высокими физическими запросами целесообразно не просто оперативное лечение, а максимально раннее оперативное лечение, что позволяет получить наилучшие результаты.
В большинстве случаев операцию выполняют под наркозом.
В практике врачей достаточно большое количество вариантов операций, но остановимся только на самых малотравматичных и современных методах. Именно они и применяются в нашей клинике при оперативной помощи.
Методика MINAR® Mинимально Инвазивная Aкромиально-ключичная Реконструкция — малоинвазивный метод хирургического лечения вывиха акромиального конца ключицы в Клинике на Комарова.
Методика MINAR является наиболее ярким представителем целого направления операций, в которых используется один и тот же принцип: фиксатор располагают так, чтобы вектор силы повторял ход порванных связок. Раньше эту операцию выполняли с использованием лавсановых нитей (лавсанопластика), но сейчас появились более современные материалы. Например, возможна пространственная реконструкция с помощью якорных фиксаторов.

Операции можно выполнять под артроскопическим контролем, который означает, что точное расположение фиксатора врач контролирует через тонкую видеокамеру (артроскоп).
Преимущества метода MINAR при оперативном лечении вывиха акромиального конца ключицы
Еще один вариант операций - синтез крючкообразной пластиной
Такая фиксация очень надежна, но и она не лишена недостатков.

Фиксация ключицы крючкообразной пластиной (hook plate)
Существуют и несколько десятков других операций. При застарелых и повторных вывихах выполняют другие операции (резекция акромиального конца ключицы, пластика связочного аппарата ключицы с помощью других связок и т.д.).
После операции руку обездвиживают косыночной повязкой или слинг-повязкой на некоторое время (при разных операциях и надежности фиксации это время варьирует), после чего начинают реабилитацию.
Вопросы, которые стоит обсудить с врачом на консультации.
- Какое лечение (оперативное или консервативное) возможно при моем типе вывиха?
- Какое лечение целесообразно при моем уровне физических запросов (профессия, занятия спортом)?
- Какая операция предпочтительна в моем случае?
- Как долго после операции придется носить косыночную повязку?
- Возникнет ли необходимость удалять имплант и как скоро?
Читайте также:
