Техника доступа к ключице и акромиально-ключичному суставу
Добавил пользователь Владимир З. Обновлено: 11.12.2025
Протокол реабилитации акромиально-ключичного сустава (АКС) без операции
Повреждения акромиально-ключичного сустава считаются одним из наиболее частых ортопедических повреждений плеча у молодого спортивного населения (20 лет - 43%). Примерно 9-12% всех травм плеча.
Внутренние факторы влияющие на частоту травмы
Подкожное расположение сустава без значительной мышечной защиты теоретически увеличивает частоту травм акромиально-ключичного сустава.
Прямое падение на АКС является самой частой причиной в спорте, величина силы определяет тяжесть травмы. Косвенная сила бывает вызвана при падении на приведенную вытянутую руку или локоть, что приводит к смещению плечевой кости кверху и вдавлению головки плечевой кости в акромион.
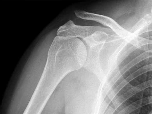
Данные по рентгену
При растяжении первого типа отсутствуют смещения на рентгене, при растяжении второго типа латеральный конец ключицы выше акромиона, но не смещен на 100%. При травме третьего типа субтотальный разрыв связок и 100% смещение на рентгене.

Типы травм АКС
Травма 4-го типа
Полный вывих со смещением дистального отдела ключицы кзади в трапециевидную мышцу или через нее
Смещение ключицы кзади на подмышечной рентгенограмме
Травма 5-го типа
Преувеличенный верхний вывих акромиально-ключичного сустава от 100% до 300% на рентгенограмма (смотри на рисунке выше)
Расстояние до СС-связки увеличилось в два-три раза.
Разрыв дельто-трапециевидной фасции
Травма 6 типа
Полный вывих с нижним смещением дистального отдела ключицы в субакромиальное или субклювовидное положение.
Данные при обследовании
- При пальпации болезненно в области АКС
- Дифференциальная разница в сравнении со здоровой стороной
- Боль в области АКС при подъеме руки вперед более чем на 140 градусов
- Все специфические тесты на АКС провокационно болезненные
Специфические тесты на АКС
- Тест Нира
- Тест Приведения в горизонтальной плоскости
- Давление в горизонтальной плоксости
- Сгибание 90 градусов и внутренняя ротация с изометрическим усилением
- Тест Shear
Повреждения первого и второго типа лечат консервативно, 4,5,6 типы оперативно.
Травмы 3 типа остаются спорными, общая тенденция к консервативному лечению.
Ранний период после травмы
- Период иммобилизации в слинге на 2-4 недели после травмы
- Применение НПВС
- Инъекции в сустав при необходимости
- Холод местно ежечасно на 15-20 минут в течение первой недели, далее 5-6 раз в день
Показания к хирургическому лечению
- При неэффективности консервативного лечения в течение 3-6 месяцев
- При травмах после 3 типа
Принципы реабилитации
- Восстановление стабильности АКС посредством силовой тренировки
- Раннее начало реабилитации направлено на уменьшение боли и воспаления
Фаза I (от 48 часов до 2 недель)
Базовая цель снижение боли в остром периоде. Активно применяется холод местно, инъекция внутрь сустава при необходимости, НПВС перорально. Руку со стороны повреждения на косынку или слинг.
Активно-вспомогательные двигательные упражнения с низким диапазоном нагрузки начинаются в течение первой недели после травмы. Рекомендуется избегать движений, которые могут увеличить нагрузку на акромиально-ключичный сустав.
Внутренняя ротация плеча, поперечное приведение руки и подъем руки вперед выше 120 градусов включают движение в акромиально-ключичном суставе, и поэтому к ним следует подходить с осторожностью, поскольку они могут спровоцировать боль и замедлить прогрессирование результата.
Методы мануальной терапии, такие как мягкая мобилизация суставов I и II степени, могут быть полезными для модуляции боли.
Учитывая широкий спектр мануальных техник и их вариаций, выбор этих потенциальных терапевтических вмешательств остается на усмотрение лечащего врача.
Добавляются активные упражнения на стабилизацию лопатки, не создавая при этом чрезмерную нагрузку на плечо.
Скольжение по градуированному столу будет выполняться от 20 до 30 раз, от трех до четырех раз в день, в пределах комфортного или минимально дискомфортного диапазона движения (низкая интенсивность).
Добавлены упражнения на сгибание плеча на спине, прогрессируйте через уменьшение наклона на скамье до вертикального подъема вперед.
Также может выполняться упражнение лопаточные часы.
Критерии перехода к следующему периоду
- Отказ от слинга (косынки)
- Полный диапазон пассивных движений без боли
Фаза II (недели со 2 по 6)
Активно-ассистивный диапазон движений прогрессирует в пределах комфортного диапазона движений, ускорение оказания помощи за счет выполнения болезненных и стрессовых движений приводит к сохранению боли и воспалению, что затрудняет прогресс.
Подключение упражнений на стабильность корпуса и плеча разных положениях начиная с положения лежа.
Изотонические укрепляющие упражнения, направленные на восстановление и поддержание адекватной ретракции лопатки.
Отжимания плюс (вытягивание/отведение к стене) на уровне плеч или ниже, чтобы активировать переднюю зубчатую мышцу.
Выполнение ротационных движения плеча в разных положениях.
Фаза III (6 - 12 недели)
Продолжение использования техник фазы II, можно начинать выполнять упражнения на устойчивость корпуса с нагрузкой на верхний регион, например планку, боковую планку.
На этой фазе выполняются изотонические упражнения с постоянным упором на сохранение ретракции лопатки. Было показано, что дискинезия лопатки присутствует у пациентов, что подчеркивает важность упражнений, способствующих ретракции лопатки.
Было показано, что сознательная коррекция положения лопаток повышает уровень активации трапециевидных мышц у спортсменов.
При повышении силы для прогресса в программе укрепления используются упражнения на трубах или тросах. Укрепление, направлено на мышцы-вращатели манжеты плеча (акцент на наружную ротацию), двуглавую мышцу плеча, большую грудную мышцу, малую и подлопаточную.

Упражнения для улучшения нервно-мышечного контроля.
Варианты могут быть разные, например бросок мяча лежа на спине перед собой, отжимание на мяче у стены и др.
Функциональные упражнения включают упражнения на нижние конечности, баланс на одной ноге, приседания и др.
Специфические спортивные движения могут быть с прогрессом через работу на двух ногах и на одной.
Критерии перехода на следующую фазу
- Активность руки над головой без боли, включая все движения в обычной жизни
- Пациент способен переносить вес через вовлеченную верхнюю конечность без боли (можно оценить это попросив пациента занять положение для отжиманий от пола, если в течение 30 секунд не последовало жалоб, значит двигаемся дальше)
Фаза IV ( Более 12 недель)
Возвращение в тренажерный зал (Травмы типа I и II обычно могут начинать занятия в тренажерном зале с 6-8 недели после травмы).
Жим лежа на 50% от привычного веса в зале на 10-2 повторений, меняя хват с широкого на узкий.
Приветствуются тяги блоков сверху и горизонтально, работа с набивными мячами и бросками мячей в стену.
Продолжайте отжиматься на мяче одной рукой от стены. Когда упражнение становится менее сложным, пациент может отойти от стены дальше, чтобы увеличить нагрузку на руку.
Плиометрика должна начинаться с паса набивного мяча двумя руками от груди, за которым следует пас двумя руками над головой. Когда двуручные действия перестанут быть сложными, переходите к пасам одной рукой. Прогрессия следующая: пас набивного мяча двумя руками через грудь, пас двумя руками из положения стоя через грудь, бросок мяча одной рукой 90/90 в вертикальное положение.
Продолжайте выполнять упражнения для нижних конечностей и усложняйте их выполнение.
Методика MINAR® — малоинвазивный метод хирургического лечения вывиха акромиального конца ключицы в Клинике на Комарова

Вывих акромиального конца ключицы - достаточно частая травма. Известно, что еще Гиппократ впервые разделил понятия «вывих плеча» и «вывих акромиального конца ключицы», которые до него считались одной и той же травмой. Конечно же, с точки зрения неспециалиста эти две проблемы на первый взгляд не отличаются друг от друга и воспринимаются просто как «травма плеча» или часто можно услышать выражение «выбил плечо». Мы специально сделали такое филологическое отступление для того, чтобы вы понимали, что травмы плечевого сустава и соседних с ним структур - отдельное и очень сложное направление в травматологии. Например, одна из лучших медицинских книг, посвященная только плечевому суставу и окружающим его структурам - двухтомник на 1704 страницах! Поэтому в случае травм этой области чрезвычайно важно лечиться у компетентного специалиста.
Немного анатомии
Ключица — небольшая, S-образно изогнутая трубчатая кость, которая одним концом соединяется с грудиной (грудино-ключичный сустав), а вторым концом - с акромиальным отростком лопатки (акромиально-ключичный сустав). Традиционно в ключице выделяют три части: грудинный конец, диафиз (средняя часть) и акромиальный конец.
Основные травмы ключицы - это переломы и вывихи. Поскольку у ключицы два конца (акромиальный и ключичный) то и вывихи могут быть как акромиального, так и грудинного конца. Чаще бывают вывихи акромиального конца. К ключице прикрепляется несколько связок, которые соединяют ее с лопаткой.
Почему происходит вывих ключицы?
Классический пример травмы, при которой происходит вывих акромиального конца ключицы - падение на плечо. При этом рвутся связки, соединяющие ключицу и лопатку, и после этого, ключица под действием тяги мышц смещается кверху.

Конечно же, поскольку связок, прикрепляющихся к ключице несколько, то возможны различные варианты их разрывов. Например, может разорваться только капсула акромиально-ключичного сустава - в таком случае вывиха не произойдет или будет подвывих, поскольку ключицу будут держать другие связки. Если разорвутся другие связки (коническая и трапециевидная связки), произойдет уже вывих ключицы.
Вывих акромиального конца ключицы: слева - неполный (подвывих), клювовидно-ключичная связка цела; справа - полный, порваны коническая и трапециевидная связки, которые образуют единую клювовидно-ключичную связку.

Мы описали самую простую классификацию, но на самом деле все гораздо сложнее. Среди специалистов, занимающихся лечением травм плеча, принято использовать классификацию Роквуда, которая выделяет шесть типов вывиха.
Симптомы вывиха акромиального конца ключицы
Сразу после травмы возникает боль в надплечье. Если вывих полный - то ключица выпирает, и, в некоторых случаях, удается выявить симптом клавиши пианино: при нажатии на ключицу она вправляется на вместо (опускается вниз), но если прекратить давление она тотчас вывихнется снова. Отсутствие симптома клавиши не означает, что с ключицей все в порядке. Во-первых, этот симптом не всегда возможно просто проверить ввиду того, что у некоторых пациентов нажимание на ключицу вызывает сильную боль. Во-вторых, через несколько часов после травмы возникает отек. В-третьих, у полных людей ключица вообще может плохо контурироваться.
При вывихах акромиального конца ключицы нарушается функция руки - чаще всего невозможно поднять руку выше плеча, отвести руку в сторону.
Вокруг ключицы возникает синяк (его ошибочно называют гематомой, но на самом деле это просто синяк - подкожножировая клетчатка пропитывается кровью из разорванных связок). В течение нескольких дней или даже недель этот синяк может увеличиваться в размерах и «сползать» вниз.
Боль, как правило, в течение нескольких дней уменьшается, но мы советуем вам не ждать, а обратиться к врачу сразу.
Диагноз вывиха акромиального конца ключицы
Диагноз вывиха акромиального конца ключицы иногда очень прост и все очевидно при осмотре, а иногда приходится решать целую головоломку. Наиболее оптимальным и распространенным способом диагностики является рентгенография. Стоит сказать, что, как не бывает одинаковых людей, так и не бывает одинаковых ключиц. Чаще всего причиной ложного диагноза индивидуальные особенности акромиально-ключичного сустава.
Поэтому целесообразно выполнять рентгенограмму не одного плеча, а двух сразу - что позволит оценить нормальное строение противоположной ключицы.

В сомнительных случаях иногда выполняют функциональную рентгенографию - в руку берут груз, который оттягивает ее вниз и вывих становится более очевидным.
Лечение вывиха акромиального конца ключицы
Оптимальный способ лечения зависит от типа вывиха. Раньше в подавляющем большинстве случаев применяли консервативное лечение, то есть не оперировали. Суть такого лечения сводилась к тому, что на несколько недель пациента заковывали в громоздкие и тяжелые устройства, которые вправляли и удерживали ключицу в нужном положении.
Сейчас консервативное лечение показано при неполных вывихах (подвывихах), т.е. при 1 или 2 типе вывиха по Роквуд. При этом достаточно легкой, эстетичной и удобной слинг-повязки, которую носят в течение 3-5 недель в зависимости от варианта повреждения капсулы акромиально-ключичного сустава. Далее выполняют контрольную рентгенографию и принимают решение о реабилитации - повязку снимают и приступают к физическим упражнениям.

В первые сутки после травмы прикладывают холод, который уменьшает отек и боль. Обездвиживание слинг-повязкой само по себе значительно снизит боль, но если она останется - не нужно терпеть, сообщите об этом врачу и он назначит обезболивающие препараты.
Впоследствии, по решению врача, слинг-повязка может быть заменена на тейп, который позволяет пользоваться рукой, но удерживает ключицу. Тейп-повязка должна накладываться только специалистом. При повреждениях I типа тейп-повязка может использоваться с самого начала.
Хирургическое лечение вывиха акромиального конца ключицы
Прежде чем рассказать об операциях, нужно поговорить о том, зачем вообще оперировать. Как мы уже отмечали, при 1 и 2 типе вывиха показано консервативное лечение, так как оперировать (за редкими исключениями) можно сказать нечего - ключица и так на месте. Но при 3 типе вывиха, когда ключица полностью вышла вверх, необходимо рассматривать возможность операции. Конечно же, вы можете задать вопрос - что будет, если не оперировать? Боль в покое уйдет, гематома рассосется.
Но возможны следующие проблемы:
- Боль при физической нагрузке
- Снижение силы руки
Невправленная ключица будет все время выпирать вверх, что представляет собой не только косметическую проблему, но и может ограничивать движения, в частности может возникнуть:
- Ограничение отведения руки, т.е. руку часто нельзя поднять выше плеча.
Все эти проблемы могут привести к нарушению осанки.
Для кого-то все эти возможные последствия вообще не представляют никакой проблемы, так как бывают люди с крайне небольшими физическими запросами. В любом случае операция по вправлению ключицы не направлена на спасение жизни, поэтому рассматривать целесообразность хирургического лечения необходимо исходя из профессии, стиля жизни и запросов пациента.
В целом максимальное восстановление при полном вывихе акромиального конца ключицы (3,4,5 и 6 типы вывихов) возможно только при оперативном лечении, в ходе которого ключицу вправляют и фиксируют ее.
Ряд последних научных исследований показал, что у спортсменов и людей с высокими физическими запросами целесообразно не просто оперативное лечение, а максимально раннее оперативное лечение, что позволяет получить наилучшие результаты.
В большинстве случаев операцию выполняют под наркозом.
В практике врачей достаточно большое количество вариантов операций, но остановимся только на самых малотравматичных и современных методах. Именно они и применяются в нашей клинике при оперативной помощи.
Методика MINAR® Mинимально Инвазивная Aкромиально-ключичная Реконструкция — малоинвазивный метод хирургического лечения вывиха акромиального конца ключицы в Клинике на Комарова.
Методика MINAR является наиболее ярким представителем целого направления операций, в которых используется один и тот же принцип: фиксатор располагают так, чтобы вектор силы повторял ход порванных связок. Раньше эту операцию выполняли с использованием лавсановых нитей (лавсанопластика), но сейчас появились более современные материалы. Например, возможна пространственная реконструкция с помощью якорных фиксаторов.
Данный метод сохраняет нормальную подвижности ключицы и обеспечивает высокий стабилизирующий эффект. В послеоперационном периоде необходима иммобилизация руки косыночной повязкой в течении 3-х недель. Так же пациент получает физиотерапевтическое лечение, реабилитационные мероприятия.

Операции можно выполнять под артроскопическим контролем, который означает, что точное расположение фиксатора врач контролирует через тонкую видеокамеру (артроскоп).
Преимущества метода MINAR при оперативном лечении вывиха акромиального конца ключицы
- Снижены до минимума травматичность и время выполнения операции.
- Снижен риск повреждения во время операции жизненно важных структур.
- Минимальные послеоперационные инфекционные осложнения.
- Отсутствует необходимость удаления имплантата.
- Возможность начала ранней функциональной реабилитации, в следствии чего более раннее восстановление функции верхней конечности.
Еще один вариант операций - синтез крючкообразной пластиной
Такая фиксация очень надежна, но и она не лишена недостатков.
- Во-первых, для данной операции требуется большой разрез (7-10 сантиметров).
- Во-вторых, при установке пластины, крючок заводят под акромиальный отросток, располагая рядом с вращательной манжеткой. В дальнейшем, при движении плечом, сухожилия травмируются о пластину, вызывая дискомфорт, болевые ощущения, ограничение движения. В результате это может привести к повреждению сухожилий вращательной манжетки (сухожилия надостной мышцы).
- В-третьих, известны случаи, когда происходил перелом ключицы по внутреннему краю пластины.

В связи с этим пластину рекомендуется удалять через 4-6 месяцев. А это повторная операция.
Фиксация ключицы крючкообразной пластиной (hook plate)
Существуют и несколько десятков других операций. При застарелых и повторных вывихах выполняют другие операции (резекция акромиального конца ключицы, пластика связочного аппарата ключицы с помощью других связок и т.д.).
После операции руку обездвиживают косыночной повязкой или слинг-повязкой на некоторое время (при разных операциях и надежности фиксации это время варьирует), после чего начинают реабилитацию.
Вопросы, которые стоит обсудить с врачом на консультации.
- Какое лечение (оперативное или консервативное) возможно при моем типе вывиха?
- Какое лечение целесообразно при моем уровне физических запросов (профессия, занятия спортом)?
- Какая операция предпочтительна в моем случае?
- Как долго после операции придется носить косыночную повязку?
- Возникнет ли необходимость удалять имплант и как скоро?
Разрыв акромиально-ключичного сочленения

Разрыв акромиально-ключичного сочленения происходит в месте соединения плечевого отростка лопатки и ключицы. Эту область принято называть аркомионом. Частота повреждений названного участка ключицы достигает 15-17% среди общего количества разрывов и вывихов.
Травма занимает 3-е место по популярности, после повреждений плеча и предплечья. В группу риска входят активные молодые люди и профессиональные спортсмены.
Анатомические особенности
Ключица, плечевая кость и лопатка составляют плечевой пояс. Акромиально-ключичный сустав является малоподвижным сочленением, который соединяет ключицу и лопатку.

Сочленение поддерживается с помощью костных образований, которые фиксируют сустав прочной тканью связок. Суставные концы окружены замкнутой капсулой, которая заполнена синовиальной жидкостью.
Механизм повреждения связок ключицы
Разрыв акромиальных связок ключицы чаще всего возникает вследствие прямого падения на плечо. Подобный сценарий влечет за собой повреждение связок, окружающих акромиально-ключичное сочленение.
При сильном ударе связки разрываются, в результате можно наблюдать отсоединение лопатки от ключицы. Под весом руки лопатка будет смещаться вниз, это приведет к образованию бугорка над плечом.
Причины повреждения акромиального сочленения
Среди основных причин, которые приводят к разрыву акромиально-ключичное сочленения, медики отмечают:
- травматизацию в ходе спортивных соревнований (подобный разрыв нередко встречается у вратарей футбольных и хоккейных команд, которые с силой падают плечо, чтобы защитить ворота);
- разрывы при занятиях контактными видами спорта (дзюдо, бокс, тхэквондо или сумо);
- повреждения при падении на вытянутую руку (нередко возникают в результате скольжения на льду в зимнее время года);
- поражение, возникшее в результате ведения активного образа жизни (после неосторожного катания на роликах, лыжах или коньках).
Симптомы разрывов
Диагностировать разрыв акромиально-ключичное сочленения опытные врачи могут по следующим типичным проявлениям:
- укорочение надплечья, зрительное удлинение руки;
- болезненность в зоне плечевого сустава;
- кровоподтеки, сильный отек поврежденного участка;
- двигательная ограниченность, снижение силы конечности;
- «симптом клавиши» при нажатии на ключицу.
Виды разрывов акромиально-ключичного сочленения
Медики выделяют полные и неполные разрывы акромиально-ключичного сочленения. Повреждение сочленения может привести к смещению ключицы, выделяются разрывы со смещениям ключичной кости вверх или вперед.

По степени деформации разрыв делится на:
- легкий, который не влечет за собой смещения ключицы. Повреждения имеют минимальный размер надрыва, который составляет 2-3 мм;
- средний, приводящий к надрыву связки и изменению местоположения ключицы. Обнаруживается расширение суставной щели до 5 мм;
- тяжелый, влекущий серьезное повреждение сочленений. Размер надрыва превышает 7 мм.
В зависимости от момента получения травмы разрывы подразделяются на:
- свежие. Повреждение было получено не позднее 3-х суток до момента обращения за помощью;
- несвежие. Травма произошла в период от 3-х суток до 3-х недель до момента визита к врачу;
- застарелые. Разрыв возник позднее 3-х недель до момента обращения за лечением.
Диагностика повреждения акромиально-ключичного сочленения
Для подстверждения диагноза выполняется рентгенография плечевого сустава. На рентгенограмме четко видно, если произошел вывих акромиального конца ключицы.

Лечение разрывов акромиальных связок ключицы
Разрыв акромиально-ключичного сочленения лечится консервативным или хирургическим путем, способ оказания помощи зависит от степени повреждения и состояния пострадавшего. Консервативные методы заживления включают в себя:
- применение обезболивающих лекарственных средств;
- использование холодных компрессов;
- ношение поддерживающих повязок.
Разрывы средней степени тяжести могут потребовать наложения бандажа для защиты поврежденной зоны и ограничения двигательной активности сустава.

Хирургическое лечение предполагает устранение тяжелых костных деформаций. Операция может потребоваться для удаления конца ключицы, восстановления связок.
Реабилитация после разрыва сустава
После проведения операции больным требуется иммобилизация. Носить повязку следует до момента снятия швов.
После хирургического лечения разрыва акромиально-ключичного сочленения больным рекомендуется посещать курсы аппаратной физиотерапии и гипотермии для снижения болевого синдрома и снятия отечности.
Полезно применение магнитной и лазерной терапии. Деликатный массаж позволяет избавиться от мышечного спазма.
Пациент начинает совершать активные движения верней конечностью через 2-4 недели после хирургического вмешательства. Разработка сустава происходит под наблюдением врача. В первые дни реабилитации больной выполняет пассивные упражнения, а затем усиливает амплитуду движений, расслабляя мышцы.
Через 2 месяца после операции пациенту рекомендуется регулярно выполнять упражнения для укрепления мышечной ткани и восстановления суставов плечевого пояса.
Медицинский прогноз по травме достаточно оптимистичный. Отмечается, что большинство пострадавших от разрыва акромиально-ключичного сочленения полностью восстанавливают подвижность, силу и гибкость рук, ткани заживают без значительных деформаций и осложнений.
Не занимайтесь самолечением!
Определиться с диагнозом и назначить правильное лечение может только врач. Если у Вас возникли вопросы, можете позвонить по телефону или задать вопрос по электронной почте.
РАЗРЫВ АКРОМИАЛЬНО-КЛЮЧИЧНОГО СОЧЛЕНЕНИЯ:
СИМПТОМАТИКА, ХИРУРГИЧЕСКОЕ ЛЕЧЕНИЕ, РЕАБИЛИТАЦИЯ.

Плечевой сустав вместе с лопаткой соединён со всем остальным скелетом при помощи одной кости - ключицы.
Ключица, в свою очередь, соединена с грудиной посредством грудино-ключичного сочленения.
А лопатка соединена с ключицей посредством акромиально-ключичного сочленения (АКС).
Акромиально-ключичное сочленение удерживается на месте посредством
ключично - акромиальных и ключично - клювовидных связок.
Как можно получить разрыв акромиально-ключичного сочленения АКС.
Повреждение или разрыв акромиально-ключичного сочленения может произойти при падении на вытянутую руку во время спортивных занятий, катании на роликах, коньках, сноуборде или при падении на прямую руку зимой во время гололеда.
Что чувствуешь, если повредил АКС.
При 1-ой степени повреждения определяется опухлость в области крепления акромиального конца ключицы к лопатке,
при 2-ой степени мы можем видеть «синдром клавиши», ключица при надавливании утапливается и, при отпускании, возвращается обратно подобно клавише рояля.
При 3-ей степени разрыва АКС присутствует видимая деформация, конец ключицы выступает над лопаткой на весь свой диаметр.
Как помочь себе при травме плечевого региона.
Доврачебная помощь при травме плечевого сустава заключается в наложении холода на место наибольшей болезненности и в иммобилизации верхней конечности косыночной повязкой.
Поставить диагноз можно на основании рентгеновского снимка.
Что нужно для постановки диагноза при повреждении АКС.
Для постановки диагноза и для определения степени повреждения акромиально-ключичного сочленения наиболее информативным методом исследования является рентген.
На рентгене при первой степени разрыва акромиально-ключичного сочленения будет видно расхождение между ключицей и акромионом.
При второй степени мы видим выступание ключицы над акромионом на расстояние не более половины ее диаметра.
При третьей степени ключица выступает над лопаткой на полный свой диаметр и даже более того.
На основании рентгена, при третьей степени повреждения, пациенту дополнительно назначается МРТ- это исследование позволит нам точно определить какие именно связки оказались разорваны, степень разрыва и поможет с выбором тактики хирургического лечения.
Лечение разрыва акромиально-ключичного сочленения.
Тактика лечения разрыва АКС выбирается врачом исходя из степени повреждения сочленения и давности травмы.
Как правило 1-ая и 2-ая степень повреждения лечится консервативно.
На границе между 2-ой и 3-ей степенью повреждения и при 3-ей степени необходима операция.
Существует несколько способов хирургического лечения разрыва АКС:
- открытая операция, выполняется через разрез тканей плечевого сустава.
- артроскопическая, наиболее современная, малотравматичная операция на АКС.
Открытая операция на акромиально-ключичном сочленении.
При открытой операции выполняется разрез в районе ключицы, при этом дельтовидная мышца отсепаровывается (отделяется анатомически не разрезая, а отчищая) от ключицы, обнажаются разорванные связки, в основание клювовидного отростка, либо вокруг него, проводится тонкая синтетическая лента, которая прижимает ключицу к клювовидному отростку обеспечивая, тем самым, заживление связок (конической и трапециевидной).
Артроскопия акромиально-ключичного сочленения при острой,
до 2-ух недель с момента травмы, степени повреждения.
Выполнив артроскопические доступы под дельтовидной мышцей и под акромионом мы визуализируем разорванные связки. В основании клювовидного отростка выполняется отверстие, в которое мы проводим специальную синтетическую 2 мм ленту Fiber Tape и титановую пуговицу Endo Button, которая заклинивается под клювовидным отростком. Затем, между конической и трапециевидной связками, через ключицу, не повреждая волокна дельтовидной мышцы и связки, выполняется второе отверстие, в которое пропускается эта же лента и далее она фиксируется на ключице при помощи второго реконструктивного фиксатора Endo Button.
Артроскопия акромиально-ключичного сочленения при подострой,
до 3 месяцев с момента травмы, степени повреждения.
При подострой степени повреждения АКС нами выполняется модифицированная операция WEAVER-DUNN.
Дополнительно к установленным пуговицам, которые прижимают ключицу к клювовидному отростку, предварительно прошитая часть корако-акромиальной связки разворачивается и фиксируется к ключице. Таким образом производится несвободная пластика ключично-клювовидных связок при помощи акромиально-ключичной связки.
Модифицированная операция WEAVER-DUNN непроста для исполнения. Для проведения ее при достаточной визуализации, требуется анестезиологическое обеспечение высокого уровня, которым наша клиника оснащена.
Артроскопия акромиально-ключичного сочленения при застарелой,
более 3 месяцев с момента травмы, степени повреждения.
На таком сроке помочь пациенту с разрывом акромиально-ключичного сочленения можно выполнив сухожильную пластику АКС. При этой операции в дополнение к пуговицам-фиксаторам и синтетической ленте из полусухожильной мышцы пациента, выделенной из подколенной области формируется петля, которая проводится вокруг клювовидного отростка, закрепляется в каналах в ключице и фиксируется к акромиальному отростку.
Почему мы можем перемещать корако-акромиальную связку?
Корако-акромиальная связка-это рудиментальное образование, утратившее своё основное значение в процессе эволюционного развития, вызывающее, зачастую, импинджмент синдром и ее перемещение можно считать скорее благом для пациента.
Мы используем несоосную технику сверления туннелей в местах анатомического крепления связок, позволяющую нам сделать сложную операцию наиболее элегантно. Такой метод выполнения сложнее для хирурга, но наиболее оптимален для восстановления пациента.
Почему стоит выбирать метод артроскопии для операции на АКС.
В 30 процентах случаев, при травме акромиально-ключичного сочленения, происходит разрыв передне-верхнего сегмента суставной губы плечевого сустава- SLAP. То есть, каждому третьему пациенту выполняя операцию на АКС артроскопическим способом, мы, используя те же доступы, можем дополнительно выполнить и артроскопический шов суставной губы. Если в остром состоянии повреждение суставной губы можно рефиксировать в анатомическом положении, то в запущенных случаях выполняется тенодез сухожилия длинной головки бицепса, что несколько не физиологично.
Своевременное артроскопическое лечение, направленное на устранение нестабильности в акромиально-ключичном сочленении, обеспечивает сращение не только связок, но и внутрисуставного диска. Плечевой сустав начинает функционировать физиологично, тем самым предотвращается развитие артроза АКС, развитие импинджмент синдрома плеча и, как следствие, такого грозного состояния как разрыв вращательной(ротаторной) манжеты плеча.
Послеоперационный период при операции на акромиально-ключичном сочленении.
Связки АКС срастаются 3-4 недели с момента проведения операции.
Все это время пациенту рекомендована иммобилизация в мягкой отводящей шине с нейтральной ротацией.
На 3-4 неделе назначается реабилитационная программа, при успешном прохождении которой и по истечении 4 месяцев после операции, возможны любые спортивные нагрузки без каких-либо ограничений.
Важно! При операции на акромиально-ключичного сочленения мы не используем крючковидную пластину. Почему?
Лечение разрыва АКС крючковидной пластиной считается атавизмом.
-Крючковидную пластину через некоторое время необходимо снимать, а это повторная операция.
-Данная методика не обеспечивает переднезаднюю стабильность АКС, а только верхне-нижнюю.
-Крючковидная пластина стандартных размеров, а ширина акромиального отростка у всех пациентов различная. Если у пациента акромион небольшой толщины, то пластина начинает выступать и крючком повреждает вращательную манжету.
- Лечение крючковидной пластиной не спасает пациента от развития артроза акромиально-ключичного сочленения.
Единственное преимущество этого метода хирургического лечения в том, что любой врач-травматолог общей практики может ее установить.
*Разрыв акромиально-ключичного сочленения-
это повод для срочного обращения к специалисту по хирургии плеча.
*В нашей клинике операции на акромиально-ключичном сочленении (АКС) выполняются артроскопически, без разрезов.
Длительность артроскопической операции около 1 часа.
*Артроскопическая операция на акромиально- ключичном сочленении требует от хирурга наличия значительных навыков и опыта.
Техника доступа к ключице и акромиально-ключичному суставу
16.12.2014
Разрыв акромиально-ключичного сочленения
Наиболее распространенная причина вывиха акромиально-ключичного сочленения - это прямое падение на плечо
Акромиально-ключичное сочленение - это место соединения ключицы с плечевым отростком лопатки - аркомионом.
Механизм повреждения акромиально-ключичного сочленения
Рис. 1- Разрыв акромиально-ключичного сочленения.
Наиболее распространенная причина вывиха акромиально-ключичного сочленения - это прямое падение на плечо . При таком падении повреждаются связки, окружающие и стабилизирующие акромиально-ключичное сочленение.
Если удар достаточно сильный, происходит разрыв связок, отходящих от нижней стороны ключицы. Это вызывает "разъединение" ключицы и лопатки (рис.1). Лопатка смещается вниз под весом руки, в результате чего появляется "шишка", или бугорок, над плечом.
Повреждение может варьироваться от небольшого смещения с несильной болью до сильной деформации и острых болезненных ощущений. Нормальная безболезненная функция плеча обычно возвращается даже при сильной деформации. Чем сильнее деформация, тем больше времени требуется для восстановления безболезненной функции.
- Легкий вывих плеча приводит к растяжению связок акромиально-ключичного сочленения без смещения ключицы и на рентгеновском снимке выглядит нормально.
- При более серьезном повреждении происходит разрыв связок акромиально-ключичного сочленения и растяжение или небольшой надрыв клювовидно-ключичной связки со смещением ключицы.
- В наиболее серьезных случаях при вывихе плеча происходит полный разрыв как связок акромиально-ключичного сочленения, так и клювовидно-ключичной связки, в результате чего акромиально-ключичное сочленение сильно деформируется.
Диагностика травмы акромиально-ключичного сочленения
Данную травму легко диагностировать, если происходит деформация (смещение). Если деформация невыраженная, диагностировать повреждение врачу помогает локализация боли и рентгеновский снимок. Иногда наличие груза в руке у пациента усиливает смещение, что помогает лучше увидеть повреждение на рентгеновском снимке.
Лечение разрыва акромиально-ключичного сочленения
Консервативное лечение
У большинства людей функция полностью восстанавливается даже в случаях продолжительной и серьезной деформации. Однако у некоторых пациентов сохраняются несильные боли в области поврежденного акромиально-ключичного сочленения даже при незначительной деформации. Это может быть связано с:
- Ненормальным соприкосновением костей при движении сочленения;
- Развитием артрита;
- Повреждением дискообразного амортизирующего хряща, расположенного между концами костей сочленения.
В большинстве случаев разумно подождать восстановления функции сочленения без хирургического вмешательства.
Хирургическое лечение
Операция назначается при сильной боли или серьезной деформации. Хирург может обрезать конец ключицы, чтобы он не давил на акромион. При сильной деформации помогает восстановление связок, отходящих от нижней части ключицы. Этот тип операции эффективен даже по прошествии длительного времени после повреждения.
Как при консервативном, так и при хирургическом лечении требуется проведение процедур по реабилитации плеча для восстановления подвижности, силы и гибкости.
Теги:
234567 Начало активности (дата): 16.12.2014 23:54:00
234567 Кем создан (ID): 645
234567 Ключевые слова: акромиально-ключичное сочленение
12354567899
Читайте также:
- Введение в лучевую диагностику основания черепа: лучевая анатомия, методы исследования
- Показания, этапы и техника эндоскопического удаления селезенки (спленэктомии)
- Метод Симона. Ценность и техника метода Симона в хирургии.
- Методы искусственной детоксикации организма. Гемодиализ. Гемосорбция. Методы антидотной детоксикации.
- Случай успешного планового оперативного лечения хронического калькулезного холецистита
