Техника, этапы операции артроскопического артродеза голеностопного сустава
Добавил пользователь Евгений Кузнецов Обновлено: 02.11.2025
В ситуациях, когда голеностопный сустав доставляет человеку сильную боль, но при этом не поддается лечению и не может быть эндопротезирован, единственным вариантом остается артродез. Это операция по полному обездвиживанию сустава, при котором болевой синдром уходит, так как нет движения и трения. Важно понимать, что это крайний метод, результаты операции необратимы, и необходимо принимать аргументированное решение о проведении артродеза голеностопного сустава.
Классификация протоколов
Как большинство хирургических операций артродез может выполняться по различным протоколам в зависимости от особенностей клинической картины. Решение о выборе методики принимает врач.
Суставная сумка не вскрывается, сустав фиксируется в одном положении с помощью костного трансплантата, после чего с течением времени обездвиженная хрящевая ткань постепенно отвердевает, превращаясь в кость.
Сустав раскрывается, из него удаляется хрящевая и синовиальная ткань. Врач выставляет большую и малую берцовую кости в заранее определенном положении и выполняет фиксацию металлическими элементами.
Разновидность внесуставного или внутрисуставного протокола, при котором фиксация сустава обеспечивается использованием специальных компрессионных устройств - аппарат Илизарова, Гудушаури и т.д.
Когда невозможно подобрать оптимальный вариант артродеза из-за сложности клинической картины, врачи сочетают элементы разных протоколов в операции артродеза голеностопного сустава.
Когда стоит сделать артродез?
Необратимость результатов процедуры определяет высочайшую ответственность при назначении артродеза. Наиболее обоснованные поводы для обездвиживания сустава:
- Сильное воспаление сустава, не поддающееся лечению.
- Третья стадия артроза, проявляющаяся деформацией опорной площадки пораженного голеностопного сустава и значительным сокращением двигательной активности.
- Деформирующий артрит.
- Суставные осложнения полиомиелита.
- Хромота
- Постоянная боль в суставе даже при незначительных нагрузках.
- Неправильное срастание костей после перелома.
Противопоказания
- Юный возраст (как правило, врачи не делают операцию пациентам, которым не исполнилось 12-13).
- Возраст старше 60 лет.
- Склонность к тромбозу, сильно выраженный варикоз.
- Серьезные заболевания сердечно-сосудистой системы.
- Воспалительный процесс в голеностопном суставе, в том числе с нагноением.
- Наличие в суставе свищей.
- Невозможность использования общей анестезии из-за аллергической реакции.
Ход операции
Перед операцией пациенту вводится общий наркоз, и на весь процесс потребуется порядка 2-2,5 часов. При невозможности использования общего наркоза, как вариант, артродез голеностопного сустава может быть проведен под эпидуральной (спинальной) анестезией. В ходе операции хирурги реализуют заранее выбранный протокол, обездвиживая голеностопный сустав, зафиксировав в определенном положении.
Постоперационный период
Особенностью операции артродеза является необходимость длительного восстановления. Важно понимать, что для окостенения хрящей нужно время. Так, если речь идет об операции на голеностопном суставе - это не менее года. Для того чтобы обеспечить хрящевой ткани полный покой, в реабилитационный период пациенту может быть назначено гипсование. Это ускорит процесс окостенения. После артродеза голеностопного сустава носить повязку нужно 3-5 месяцев.
Обязательной составляющей реабилитации после артродеза является физиотерапия. Для поддержания тонусы мышц используют различные технологии - от магнитотерапии до электрофореза. Также пациент занимается ЛФК под контролем врача-реабилитолога.
Где сделать артродез голеностопного сустава в Москве?
В многопрофильном медицинском центре «КЛИНИКА №1» (Люблино) опытные хирурги-травматологи возвращают пациентам жизнь без боли. Если нет другого способа, чтобы убрать боль, есть смысл рассмотреть вариант артродеза. Запишитесь на консультацию, и примите решение, которое вернет вам нормальное качество жизни.
Операция при остеоартрозе голеностопного сустава: эндопротезирование
Голеностоп занимает третье место по частоте развития в нем остеоартроза (9-25%), уступая только тазобедренному и коленному суставам.

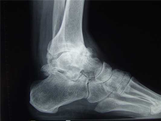
Остеоартроз голеностопного сустава на рентгене.
Основной причиной артроза голеностопного сустава (крузартроза) является травматическое повреждение его анатомических структур — таранной и большеберцовой кости, внутренней или наружной лодыжек. Реже болезнь развивается вследствие поражения голеностопа ревматоидным артритом. И еще реже артроз возникает спонтанно, в результате дегенеративно-дистрофических изменений в хрящевой и костной тканях.
Что такое остеоартроз голеностопного сустава
Артроз (деформирующий остеоартроз, ДОА) — это обобщающее название обширной группы заболеваний, для которых характерно изнашивание голеностопного сустава с прогрессирующей потерей его функций. Причины развития болезней могут быть различными. Однако чаще всего патология возникает вследствие тяжелых травм, сопровождающихся повреждением суставного хряща. В результате нарушается скольжение суставных поверхностей, что приводит к дальнейшему разрушению хрящей и костей. Таким образом развивается остеоартроз.
При ревматоидном артрите сначала возникает синовит — аутоиммунное воспаление синовиальной оболочки голеностопного сустава. Хрящи, кости и периартикулярные ткани поражаются позже.

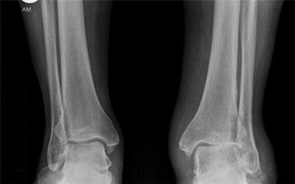
Остеоартроз левого(справа на снимке) голеностопного сустава
Для артрозов характерны такие изменения в голеностопном суставе:
- дегенерация хрящей и ухудшение их амортизирующей функции;
- асептическое воспаление и отек синовиальной оболочки;
- размягчение и изъязвление хрящей, обнажение подлежащих костей;
- субхондральный склероз костной ткани;
- сужение суставной щели и формирование костных экзостозов;
- гипотрофические и фиброзно-склеротические изменения параартикулярных тканей;
- прогрессирующая деформация сустава с нарушением его функций.
Характерные симптомы крузартрозов:
При сопутствующем синовите больных беспокоит утренняя скованность, локальное повышение температуры, припухлость в области голеностопа. При ревматоидном артрите синовиальная оболочка воспаляется первично, при посттравматическом крузартрозе — вторично, на поздних стадиях болезни. Со временем рецидивы синовита возникают чаще и имеют более выраженную симптоматику.
Стадии деформирующего остеоартроза голеностопа
Всего существует до десяти классификаций заболевания. Рассмотрим основные из них.
Стадии заболевания по объему поражения суставного хряща:
Рентгенологические стадии по Kellgren и Lawrence:
- 0 — полное отсутствие рентгенологических признаков;
- І — кистовидные изменения костной ткани, субхондральный линейный остеосклероз, краевые остеофиты небольшого размера;
- ІІ — сужение суставной щели, более выраженный остеосклероз;
- ІІІ — массивный субхондральный остеосклероз, сильное сужение суставной щели, остеофиты большого размера;
- ІV — массивные остеофиты, деформация эпифизов костей, практически полное отсутствие суставной щели.

Стадии остеоартроза голеностопного сустава
Классификация Н.С. Косинской:
- Начальная стадия. Характеризуется поражением только суставных хрящей. На рентгенограммах может визуализироваться незначительное сужение суставной щели, которое заметно лишь при сравнении с симметричным суставом.
- Стадия выраженных изменений. В дегенеративно-деструктивный процесс вовлекаются кости с развитием субхондрального остеосклероза. При рентгенографии выявляют краевые остеофиты и неравномерное сужение суставной щели как минимум на 50%.
- Стадия ярко выраженных изменений. Проявляется выраженным ограничением подвижности голеностопа. На рентгенограммах видны большие участки остеосклероза, массивные остеофиты, деформация костей и нарушение конгруэнтности суставных поверхностей.
В клинической практике в России и странах СНГ чаще всего используют классификацию Н.С. Косинской.
Диагностика
Для диагностики ДОА используют визуализирующие методы исследования, которые позволяют увидеть патологические изменения голеностопа. При вторичных артрозах, вызванных ревматоидным артритом, подагрой и т.д., дополнительно используют лабораторные методы. С их помощью выявляют причину и природу дегенеративно-воспалительных изменений в суставе.
Инструментальные методы диагностики:
- Рентгенография. Информативна на поздних стадиях заболевания, но не всегда позволяет обнаружить ранние изменения. С помощью рентгенографии можно визуализировать субхондральный остеосклероз, остеофиты, костные деформации, сужение суставной щели.
- Магнитно-резонансная томография (МРТ). Современный высокоинформативный метод исследования, позволяющий выявить практически любые дефекты хрящевой ткани. МРТ информативна на ранних стадиях артроза.
- Артроскопия. Инвазивная процедура, требующая проникновения в суставную полость. Позволяет изучить морфологию хряща и уточнить диагноз при помощи прицельной биопсии. Используется редко.
Можно ли лечить консервативно
На начальных стадиях артроз лечат консервативно, при помощи лекарственных препаратов, внутрисуставных инъекций и ЛФК. Однако болезнь склонна прогрессировать, несмотря на своевременные и эффективные терапевтические мероприятия. Поэтому большинству пациентов рано или поздно приходится ложиться на операционный стол.
Артродез голеностопного сустава.
Ранее золотым стандартом хирургического лечения был артродез — операция, направленная на полное обездвиживание голеностопа. С одной стороны, она помогала избавиться от хронических болей. С другой — изменяла биомеханику стопы и всей конечности, из-за чего нарушалась динамика ходьбы и нередко возникала хромота. Поэтому от артродеза стали отказываться, а вместо него начали выполнять эндопротезирование.
Эндопротезирование
Эндопротезирование — это сложная высокотехнологичная операция, в ходе которой врачи удаляют разрушенный сустав и заменяют его искусственным эндопротезом. Хирургическое вмешательство позволяет полностью ликвидировать болевой синдром, восстановить подвижность голеностопа и опороспособность конечности. Сегодня эндопротезирование является методом выбора в лечении ДОА.
Сейчас пациентам устанавливают эндопротезы последнего, третьего поколения. Они лишены недостатков своих предшественников, поэтому обеспечивают хорошие функциональные результаты. Их установка сегодня гораздо предпочтительнее традиционного артродеза.
Перспективы восстановления после операции
Замена голеностопа является радикальным методом лечения. В отличие от других методик, операция позволяет купировать болевой синдром и восстановить полный объем движений в суставе. Уже через несколько месяцев после эндопротезирования пациент возвращается к привычному образу жизни. Что касается осложнений, с изобретением протезов нового поколения их частота уменьшилась в несколько раз. А эндопротезирование стало не только эффективным, но и безопасным методом лечения.
Подведем итоги
На поздних стадиях артроза операция является единственным решением проблемы. Сегодня лучшим методом хирургического лечения является тотальное эндопротезирование — замена поврежденного сустава искусственным имплантатом. При успешном выполнении и отсутствии осложнений операция позволяет вернуть подвижность конечности и восстановить трудоспособность. Как правило, уже через 4-6 месяцев человек возвращается к привычному образу жизни.
Эндопротезирование — это высокотехнологичное хирургическое вмешательство, выполнение которого требует применения современного оборудования и инструментария. Поэтому оперироваться лучше в больницах с хорошей материально-технической базой. А доверять свое здоровье следует хирургам высокой квалификации, с большим опытом в эндопротезировании крупных суставов.
Артродез голеностопного сустава: виды замыкания, показания, осложнения
Артродез голеностопного сустава - оперативное вмешательство по искусственному сращению сочленяющихся суставных поверхностей голеностопа в физиологически выгодном для функционирования ноги положении. Основной целью хирургического лечения является придание опоропрочности проблемной зоне посредством полного блокирования ее подвижности (создания анкилоза). Обездвиживание достигается за счет жесткого соединения примыкающих концов костей сустава между собой специальными фиксаторами из металла (спицами, винтами, штифтами и пр.). Это позволяет прочно срастись суставным поверхностям друг с другом под нужным углом, то есть, привести сочленение в полное неподвижное состояние, что поможет пациенту избавиться от сильной боли и нестабильности стопы.

Техника артродезирования берет начало с самых истоков развития ортопедии, поэтому является устаревшей тактикой хирургии голеностопа. Открытие метода «замыкание сустава» датируется 1887 годом, впервые его предложил венский хирург Альберт. Операционные технические концепции мало чем изменились с того времени.
Эффективность артродеза голеностопного сустава имеет многолетнюю доказательную базу, но из-за радикального подхода и высокой частоты послеоперационных осложнений к вмешательству в стиле «ретро» обращаются в самых крайних случаях.
Травмы голеностопа сустава
Главное предназначение голеностопного сустава, образованного большеберцовой, малоберцовой и таранной костями, - быть надежной опорой для скелетно-мышечного аппарата. Этот отдел ноги должен стабильно выдерживать почти 90% от всей массы тела, когда человек стоит или выполняет в вертикальном положении любого рода физическую деятельность. Помимо опорных функций, сустав обеспечивает амортизацию конечности, разнообразные движения стопы в нормальной амплитуде:
- сгибание;
- разгибание;
- отведение;
- приведение;
- вращение.
Стабильную работу костного сочленения гарантирует здоровое состояние образующих его связок, костей, хрящей, мышц. Если хотя бы одна единица сустава выходит из строя, нарушается не только его работоспособность, но и происходит разбалансировка функций всего опорно-двигательного аппарата. Болезни голеностопного сочленения губительно отражаются на способности к передвижению, ведут к ухудшению походки, часто доводят человека до инвалидности. Нередко серьезные патологии, при которых может потребоваться артродез, начинаются с банальных травм, локализирующихся в данной зоне:
- ушибов;
- вывихов и подвывихов;
- переломов лодыжки;
- нарушения целостности пяточной кости;
- связочной дисторсии (растяжений, надрывов связок и пр.).
Поражения травматической природы чаще возникают вследствие прямого воздействия механической силы, что провоцируют локальные удары, падения с высоты, неудачные прыжки, резкие ротационные развороты. В конце концов, человеку иногда достаточно просто поскользнуться на скользкой поверхности или споткнуться, чтобы случилось повреждение составляющих структур голеностопного отдела.
Любые травматические поражения требуют своевременной диагностики и безотлагательной терапии. Спустя некоторый период травма, если не была оказана в свое время надлежащая медицинская помощь, дает о себе знать уже нешуточными последствиями. Патологии, ставшие результатом старой травмы, на фоне мнимого благополучия проявляются внезапным возникновением болей и нарастающей ограниченностью локомоторного, опорного потенциала. Люди не понимают, что случилось, откуда появился дискомфорт, а причиной оказывается былая травма.
Запомните! Сложные дегенеративно-дистрофические процессы, зачастую необратимые, преимущественно развиваются не сами по себе, а диагностируются как посттравматическое осложнение. Наиболее частые патологии посттравматического генеза с серьезным прогрессирующим течением - это артрит и остеоартроз.
Артроз, в свою очередь, является последствием артрита. Вот такой вот цепной механизм развития сложной клинической ситуации. От травмы до деформирующего остеоартроза (ДОА) несложно дойти за пару-тройку лет. Но если травму несложно вылечить консервативно, то с артрозом голеностопного сустава все иначе - это неизлечимая болезнь, которая критически угнетает качество жизни, негативно влияет на статику и динамику всей конечности.
Показания к проведению операции
Блокирование двигательных функций голеностопного сегмента путем костного сращения назначается при выявлении таких патологических состояний, как:
- вторичный (посттравматический) и первичный артроз 3-4 ст.;
- тяжело протекающий хронический артрит, в том числе по ревматоидному типу;
- постоянная боль в голеностопе и/или отдающая в коленный сустав, которая усиливается даже при несущественных нагрузках;
- выраженная хромота на почве деформации сустава;
- стойкое нарушение опороспособности стопы, выражающееся невозможностью стать в полном объеме на ногу из-за слабости голеностопного аппарата, разболтанности;
- сильная сгибательно-разгибательная контрактура сустава;
- парезы и параличи мышц голени, которые развились на фоне перенесенного в прошлом полиомиелита;
- неправильно сросшийся перелом, псевдоартроз.

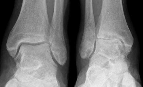
Артроз левого сустава. Суставная щель очень мала.
Противопоказания к артродезу голеностопного сустава
Артродезирование использовать в двигательно-опорном сегменте голеностопа не рекомендуется, если:
- пациент находится в том возрасте, когда костно-мышечная система продолжает активно расти (до исполнения 12 лет операция строго противопоказана);
- в суставе обнаружены свищи нетуберкулезного генеза;
- определены активные инфекционно-воспалительные процессы в зоне предполагаемого вмешательства или любые общие инфекционные болезни в фазе обострения;
- больной страдает тяжелыми формами легочной, почечной или сердечной недостаточности;
- присутствует хроническое заболевание в стадии декомпенсации (сахарный диабет и пр.);
- выявлена непереносимость на препараты анестезиологического предназначения.
Виды оперативного вмешательства
Когда износ и деформация сустава слишком сильные, это может стать препоной и для проведения замены суставного блока эндопротезом. Поэтому даже при всем желании поменять больной сегмент на искусственный аналог не всегда сделать реально. В этом и всех описанных ситуациях выше остается один выход - применить операцию по артродезу. Она позволит стабилизировать голеностоп и сократить болевую симптоматику до минимума, тем самым значительно улучшить качество жизни пациента. Существует несколько методов оперативного вмешательства.
- Внутрисуставный. В процессе хирургии выполняется вскрытие капсулы сустава с последующим удалением поврежденного гиалинового хряща с поверхностей костных элементов. После репозиции костей в выгодном положении выполняется их фиксация металлическими приспособлениями.
- Внесуставной. Фиксирование костей сочленения только при помощи укладки костного трансплантата, при этом хрящевые покровы резекции не подлежат.
- Комбинированный. Эта техника подразумевает сочетание в одном хирургическом процессе двух способов: внутрисуставного и внесуставного. Так, хрящевые структуры с сустава полностью счищаются, внедряется аутотрансплантат, который фиксируют специальными металлическими пластинами.
- Компрессионный. Операция заключается в сдавливании сочленяющихся поверхностей аппаратом компрессионного или компрессионно-дистракционного типа для дальнейшего их сращения. Широко применяемые конструкции - аппараты Илизарова, Гришина, Волкова-Оганесяна. Удаление хряща не исключается. Вживление костного трансплантата для способа компрессии не требуется.

Подготовка пациента к артродезу голеностопа
Планируя данный вид оперативного лечения, предельно значимо произвести оценку всех сочленений, соседствующих с проблемной областью. Это необходимо, чтобы понять, насколько соседние сегменты способны принять на себя более увеличенный комплекс нагрузки. Так как двигательный потенциал голеностопного сустава заблокируется после операции, рядом расположенные подвижные соединения, естественно, будут больше нагружены. Особенно важно достоверно оценить состояние таранно-ладьевидного сочленения, ведь как раз на этот центральный сегмент стопы придется максимальная доля нагрузки. На положительный эффект от артродезирования можно рассчитывать сугубо при отсутствии дегенеративного патогенеза в нем.
Добро на оперирование пациента дается только после комплексного обследования с подтверждением явной необходимости использования данной медицинской помощи при отсутствии противопоказаний. Пациенту назначают прохождение ряда диагностических мероприятий:
- развернутые анализы крови и мочи, включая биохимию;
- рентген, МРТ или КТ сустава в нескольких плоскостях;
- исследование на ВИЧ, сифилис, гепатит;
- флюорография и электрокардиография;
- осмотр у узкопрофильных врачей (кардиолог, пульмонолог и пр.);
- консультация анестезиолога.
Кроме того, специалист должен дополнительно удостовериться, что эффект артродеза с максимальной вероятностью «сработает» и самочувствие пациента заметно улучшится. Для этого предварительно проводят своеобразный тест, заключающийся в наложении гипса на сустав. Так, человек ходит с зафиксированным в гипсе голеностопом примерно 7 суток, а по истечении недели ортопед-травматолог окончательно определяет целесообразность проведения операции. Если тестовое обездвиживание помогло создать опору конечности и значительно сократить боль, операцию проводят. При сохранившемся дискомфорте, появлении болезненности или усилении боли, усугублении походки - артродез отменяется.

За неделю до предполагаемой даты вмешательства следует остановить применение препаратов с противовоспалительным действием (НПВС) и средств, которые обладают кроворазжижающими свойствами. Накануне хирургии пищевой рацион должен быть легким, за 6-8 часов прекратить употребление пищи.
Внимание! Заранее позаботьтесь, чтобы по вашему прибытию домой из стационара жилое пространство было подготовлено. Следует убрать напольные ковры, дорожки и шнуры с полов, о которые можно зацепиться ногой и упасть. Предметы и вещи первой необходимости разместите в легкодоступных местах. В ванной комнате необходимо постелить нескользкие коврики из резиновых или силиконовых материалов на липучках и т. д.
Проведение операции
Артродез голеностопного сустава по традиционной методике выполняется под общим наркозом открытым способом. Операционные манипуляции под контролем артроскопа могут быть выполнены под спинальной анестезией. На осуществление сеанса требуется в среднем 2-3 часа интраоперационного времени. Рассмотрим принцип проведения классической тактики.
- На нижнюю треть бедра накладывается пневматический жгут. Далее создают доступ, совершая скальпелем линейный кожный разрез вдоль сустава. Разрез равен примерно 10 см.
- На следующем этапе выполняется вскрытие и надежная супинация сустава, которая облегчит работу с очередными манипуляциями.
- Затем подготавливаются поверхности большеберцовой и таранной костей. Подготовка включает резекцию хрящевых тканей хирургическим долотом, удаление окостенения.
- Дальше стопа выводится из порочного положения. Большеберцовый элемент и таранный компонент плотно сопоставляют друг с другом в удобной с точки зрения физиологии позиции. Достигнутая позиция скрепляется металлической конструкцией необходимого типа.
- Используемые операционные ходы на завершающем этапе закрывают при помощи послойного ушивания мягких тканей с оставлением дренажа.
В случаях сильной деформации может быть применена остеотомия малой берцовой кости. Обширные костные потери возмещаются трансплантатами - фрагментами аналогичного биологического материала, взятыми у пациента из гребня повздовшной кости.
Если использовались наружные системы фиксации, например, аппарат Илизарова, гипсование не применяется. При установке внутренних металлических имплантов, на прооперированную конечность ставят гипс. До тех пор, пока анкилоз не состоится, пациент находится в гипсовой повязке. Скорость костного сращения у каждого отдельного пациента может отличаться в силу физиологических особенностей организма. Полностью срастается и обездвиживается сустав через 3-6 месяцев после операции.
Реабилитация голеностопного сустава
После артродеза, осуществленного в области голеностопа, с первых суток начинают проводить занятия лечебной физкультуры. Они будут препятствовать развитию атрофии мышц, оказывать профилактику тромбообразования и не допускать появления застойных явлений в легких. При достаточно длительной иммобилизации конечности и низком уровне активности пациента без адекватной физкультуры можно прийти к весьма плачевным результатам.

ЛФК в раннем периоде это дыхательная гимнастика, изометрические упражнения для поддержания и укрепления голенных и бедренных мышц. Упражнения выполняются под наблюдением методиста по физической послеоперационной реабилитации. Гимнастика предусматривает постепенное увеличение нагрузки и введение новых упражнений в соответствии с самочувствием пациента и сроками восстановления.
Обязательным для реабилитации является медикаментозное лечение, включающее:
- высокоэффективную терапию против образования инфекционного патогенеза;
- применение симптоматических препаратов;
- использование медикаментов от тромбоэмболических осложнений.
Со вторых суток пациента стараются уже вертикализировать. Ходить разрешается только с опорой на костыли, не допуская нагрузки на прооперированную конечность. Не ранее чем после появления первых признаков анкилоза, а это примерно через 6 недель, разрешается частично включать щадящую осевую нагрузку на больную ногу. Нормально пробовать ходить пациент сможет не раньше чем по истечении 4-6 месяцев. Снятие металлоконструкций обычно назначается через 6-12 мес. Внутренние фиксаторы не всегда нуждаются в извлечении.
Осложнения артродеза голеностопного сустава
Частота осложнений после стандартной операции с широким открытием сустава, как показывает клинический опыт, на порядок выше, чем после артроскопических вмешательств. Приведем некоторые сравнительные данные о негативных реакциях для двух видов процедур (без применения внешних фиксаторов), обнаруженных в течение первых 3 недель:
- флеботромбоз выявляется в 22% случаев после открытого артродеза голеностопа, в 1,8% после малоинвазивного вмешательства;
- раневая инфекция развивается примерно у 12% больных, тогда как риски после артроскопии практически отсутствуют ( <0,1%)
- некроз окружающих тканей, соответственно, в 17% и 0,2%;
- раневые гематомы и серомы: в 22% и 0,9%.

Интраоперационные кровопотери после стандартного артродезирования составляют 250 мл, после артроскопического артродеза - около 120 мл. Несостоятельность анкилоза спустя 6 месяцев определяется у 5%-6% людей, прошедших процедуру по традиционному сценарию, и у 0,5%-0,9% пациентов, которым делали артроскопию с интрамедуллярной фиксацией. Опустив тему сравнения, отметим, что после любого вида искусственного анкилоза есть повышенные риски, связанные с формированием артроза в других суставах конечности и с укорочением длины ноги до 3 см.
Что такое артроскопия коленного сустава: отзывы, осложнения, видео
Артроскопия коленного сустава - эндоскопическая операция, применяемая с целью развернутой диагностики и хирургического лечения различных суставных повреждений. Высокоинформативная визуальная методика позволяет высококачественно обследовать и лечить сустав закрытым способом, используя пункционные порталы, что существенно уменьшает степень операционной травмы, минимизирует болезненные ощущения и в значительной мере сокращает сроки восстановительного периода.

Наглядная схема проведения операции.
Как операцию, стали применять еще на рассвете 20 столетия. Но до нашего времени процедура прошла еще множество этапов совершенствования. И сейчас она стала по-настоящему незаменимым направлением в ортопедии, благодаря минимальной травматичности, стопроцентной диагностической достоверности и высокой эффективности.
Понятие и преимущества процедуры
Хирургия проводится с использованием специализированной волоконной оптики современного поколения, встроенной в инновационный прибор под названием артроскоп. Благодаря уникальному прибору процедура и получила свое название. В процессе производится внутреннее изучение костных и хрящевых тканей, менисков, сухожилий, мышц, связок, соединительнотканных элементов, синовиальной жидкости.

Изображение полости сустава.
В целях высокоинформативной диагностики специалист через микропортал вводит рабочую трубку устройства внутрь сустава, в которую вмонтированы система ультрасильных линз, мощный световой источник и видеозаписывающая цифровая техника. Все структуры, что «видит» артроскоп, визуализируются на экране в «живом» виде, причем изображение поступает в многократно увеличенном формате. Врач может найти точное расположение травмы или дегенеративных изменений, установить характер патологии, степень тяжести и принять меры.
Доказано, что артроскопия превосходит любые существующие способы диагностики. Она четко показывает изнутри все структурные единицы костного соединения в самых мельчайших подробностях, позволяет определить даже мелкие скрытые повреждения, которые нельзя выявить при помощи стандартной рентгеноскопии или артрографии, ультразвука, МРТ, КТ и прочих популярных методов визуализации.
Метод используется не только как средство диагностики, но и в качестве лечебно-восстановительной тактики. Обнаружив те или иные нарушения хрящевой поверхности, доктор может сразу же их ликвидировать. Оперативные манипуляции он выполнит через дополнительный разрез (размер около 6 мм) с использованием микрохирургических инструментов, при этом весь процесс он будет совершать, глядя на монитор.
Показания и противопоказания
Сразу отметим, что к негативным последствиям лечение приводит крайне редко. Однако такое не исключается, если ее стали делать вопреки противопоказаниям. Но сначала осветим рекомендации, а уже после ограничения.

Частичный надрыв боковой связки коленного сустава.
Процедура может быть назначена при:
- неясной причине патологических симптомов, когда другие способы бессильны ее установить;
- разрывах связок, поврежденных сухожилиях;
- подозрении на вывих чашечки (надколенника);
- наличии свободных тел в полости;
- воспалении синовиальной оболочки неопределенного генеза; головки суставной кости;
- травмах, дегенеративно-дистрофических заболеваниях мениска; болезни и гонартрозе;
- внутрисуставных переломах и пр.
Она противопоказана при наличии таких недугов, как:
- гипертония;
- сахарный диабет в стадии декомпенсации;
- нарушенный баланс свертываемости крови;
- тяжелая дисфункция легочной или сердечной систем;
- локальные кожные воспаления.
С осторожностью выполняется лечебно-диагностическая артроскопия, последствия могут носить непредсказуемый характер, при аллергии на местный/общий анестетик. Поэтому обязательно сообщите специалисту, если у вас имеется склонность к аллергическим реакциям на любые медикаменты.
Подготовка пациента к операции
Подготовка заключается в тщательном осмотре пациента, сборе анамнеза, проведении основных инструментальных и лабораторных тестов. Пока врач не убедится, что это безопасная операция, не взвесит все за и против, операция невозможна. Поэтому вначале всегда назначают обход некоторых специалистов узкого профиля, например, кроме ортопеда или травматолога, в зависимости от ситуации, еще кардиолога, эндокринолога, пульмонолога, аллерголога и пр.
Предельно важно учесть абсолютно все результаты предварительной диагностики. Они будут влиять на выбор наркоза, особенная роль отводится подбору оптимально подходящего вида анестетика, который не причинит вреда организму.
Кроме врачебного обхода, пациенту выдают направления на ЭКГ и флюорографию, на прохождение лабораторных анализов крови и мочи. Удостоверившись, что за эту операцию браться целесообразно, проводят консультацию по подготовке. На консультации предупреждают, что за 12 часов до начала процедуры потребуется остановить прием пищи, за пару недель до нее прекратить прием антикоагулянтов (аспирина, гепарина и лекарств на их основе).
Пациенты, оставившие отзывы, сообщают о предостерегающих рекомендациях врачей по поводу курения и приема алкоголя. С вредными привычками придется расстаться за 10-14 суток до вмешательства и, конечно, постараться к ним после вообще не возвращаться или хотя бы свести к минимуму дозу. При намерении прибегнуть только к диагностике предоперационная подготовка осуществляется аналогичным правилам.
Описание микрохирургического процесса
В отзывах пациенты рассказывают, как быстро и безболезненно перенесли процедуру, при этом без общего наркоза. Это вполне вероятно, но не забывайте, что клинические случаи не у всех одинаковы, да и физиологический статус у каждого пациента свой. Поэтому было бы правильнее сказать, что боль, благодаря сильной местной анестезии практически невозможна. Однако постоперационные неприятные ощущения в области прооперированного участка немного беспокоить какое-то время, скорее всего, будут.

Разволокнение связок при их разрыве.
Видео позволяет разобраться во всех тонкостях процесса. Их предостаточно на просторах интернета. Но ввиду того, что специфические сюжеты не каждый сможет досмотреть до конца, мы предлагаем о важных моментах просто и спокойно почитать.

Расположение пациента на операционном столе.
Исходя из этиологии и степени патологических изменений, состояния больного и сопутствующих заболеваний, анестезиологическое средство подбирается индивидуально. Чаще всего применяется местный наркоз, то есть анестезия регионарного типа (эпидуральная или проводниковая). Регионарный анестетик содержит лидокаин, ропивакаин или бупивакаин. К основному раствору для усиления анестезирующего эффекта могут добавить в мини-дозе лекарство из категории опиатов. В некоторых ситуациях, все же, уместен общий внутривенный наркоз.
Сначала, вне зависимости от планов хирурга, будет осуществлена диагностическая артроскопия. Она предусматривает введение эндоскопического зонда в виде стержня в полость костного соединения. Когда наркоз вступит в силу, тогда начинается диагност-хирургия. Для этого полусогнутую в колене конечность ближе к бедру жгутируют для уменьшения кровотока, после чего делают прокол (6 мм), через который подается контраст-вещество, чтобы усилить видимость суставных и околосуставных структур. Далее через этот операционный порт вводится трубка. Специалист досконально осматривает каждый миллиметр проблемного органа.

Операционное поле, можно видеть свечение внутри.
Видео в реальном времени транслируется на экране, выявляет любые существующие дефекты в больном сочленении. Если врач посчитает нужным выполнить регенерацию патологических элементов, он создаст дополнительный разрез (6-8 мм), через который нужным инструментом из микрохирургического набора устранит обнаруженный дефект. Он может сделать частичную резекцию костно-хрящевых тканей, пластику связок и сухожилий, сшивание или удаление (частичное, полное) мениска, экспроприировать хондромные тела, извлечь выпот и гной, ввести противовоспалительные лекарства, взять фрагмент тканей или синовии для изучения их состава и др.
По окончании хирургии операционное поле промывается, а весь инструментарий извлекается. Доктор производит обработку дезинфицирующими составами рану, ставит дренаж и делает маленький шов, который закрывает стерильным лейкопластырем. На прооперированное колено, чтобы придать ему максимальную обездвиженность, накладывается плотная фиксирующая повязка от стопы до середины бедра.
На весь сеанс уходит в среднем 1 час, в отдельных случаях - до 3 часов. Восстановительные меры несложные, но их нужно строго соблюдать, чтобы не спровоцировать опасные осложнения. О негативных явлениях, которые способны развиться, речь пойдет дальше.
Осложнения после артроскопии коленного сустава
Как любой хирургический способ, данный метод, даже при всей своей миниинвазивности, может иметь неблагоприятный исход. К осложнениям приводят несоблюдение реабилитационных норм, нарушение принципов асептики и антисептики, врачебные ошибки. Неблагополучная картина возникает нечасто, поэтому паниковать не стоит. Нужно изначально со всей долей ответственности отнестись к выбору клиники.

Отзывы пациентов после артроскопии коленного сустава вместе с данными официальной статистики позволили нам сформировать список самых частых эксцессов. В него входят следующие негативные явления, возникающие в ранний или отдаленный послеоперационный период:
- повышение общей температуры тела;
- ярко выраженный перманентный или периодический болевой синдром в области сустава, нередко иррадирующий в голень, тазобедренный сегмент;
- локальная гиперемия, отечность, гипертермия;
- местные инфекции, абсцессы;
- тромбоэмболия сосудов;
- внутрисуставное кровоизлияние;
- артрит на фоне воспаления, бурсит;
- кровотечение из раны;
- боль и онемения из-за повреждения нервных образований;
- нарушение целостности связок, как следствие некорректных манипуляций хирурга.
Особенности восстановления
Для предупреждения отекания мягких тканей покрывающих колено к ране прикладывают холод. Сухие компрессы со льдом положены каждые 60-90 минут на начальных этапах реабилитации. Человеку необходимо оставаться в стационаре под наблюдением специалистов минимум двое суток. Ему прописываются хорошие болеутоляющие препараты, а также средство из серии антибиотиков для профилактики инфекционного патогенеза. Вставать разрешается уже на 3 день, но ходить позволяется исключительно с ходунками или костылями. Оберегать ногу от полной нагрузки надо не менее одной недели.

Успех артроскопической операции на коленном суставе всецело завит от качества постоперационного ухода. Полное восстановление наступает примерно через 1-1,5 месяца, все это время нужно выполнять в строгом порядке все пункты реабилитационной программы, индивидуально составленной высококомпетентным реабилитологом.
Интенсивными темпами восстановиться помогают массаж, комплекс ЛФК, физиотерапия, упорный труд и терпение. Приблизительно через 7-10 дней возможна отмена поддерживающих средств для передвижения, человеку разрешается передвигаться так, как этого требует природа, а именно, без поддержки на двух ногах с равнозначной нагрузкой, движения при этом плавные и медленные, шаг мелкий. Лечебная гимнастика и ходьба определенный промежуток времени осуществляются в специальном функциональном ортезе, надетом на проблемную ногу.

Занятия лечебной физкультурой на ранних сроках щадящие. В первую неделю занимаются, как правило, в положении лежа. Основу комплекса составляют напряжение/сокращение тазобедренных мышц, поднятие прямой конечности на 45 градусов с 5-секундным удержанием, разминка голеностопа. К лимфодренажному массажу прибегают с целью снятия послеоперационного отека. Он выполняется профессионально обученным массажистом вручную или посредством микротокового аппарата. В поздний период прописываются велотренировки, плаванье, ходьба и бег в воде.
Заключение
Выявить причину дисфункции суставов зачастую проблематично привычными приемами диагностики, вроде компьютерной или магниторезонансной томографии, рентгена, УЗИ. В этом случае на помощь приходит визуальный «исследователь» суставной полости - артроскоп, применяемый в ортопедической практике с целью получения полных и достоверных сведений о состоянии сочленения.
Процедура очень высоко ценится специалистами, ведь помимо такого высокоинформативного обследования, она позволяет параллельно исправлять обнаруженные недостатки, причем делать это высокотехнологично, без травматического рассечения надсуставных мягких тканей и без обнажения костного соединения.
Предпочтительнее будет обследовать, а если потребуется, прооперировать колено, в одной из высокоспециализированных клиник Европы. Там данной методикой владеют на высшем уровне. Замечательные хирурги-ортопеды по этой части работают в Чехии, об этом значится в европейских научно-медицинских источниках. Да и, как показывают отзывы, артроскопия голеностопного сустава, коленного сочленения в Чехии, пациентов привлекает цена.
Артроскопия голеностопного сустава
Положение пациента лёжа на спине с упором под бедро. Целесообразно использование наружного тракционного устройства и жгута для лучшей визуализации. При артроскопии переднего отдела голеностопного сустава достаточно перевести стопу в положение максимального эквинуса для получения хорошего обзора, дистракция может понадобиться если потребуется добраться до более глубоких участков сустава.
Артроскопические порты.
Устанавливать артроскопические порты следует крайне осторожно, так как они проходят в непосредственной близости от сосудисто-нервных пучков. Для выполнения артроскопии переднего отдела сустава предпочтительно перед установкой порта ввести в сустав 20 мл физиологического раствора, затем устанавливается антеромедиальный порт, в него вводится камера, и только под контролем световода выполняется антеролатеральный доступ в зоне свободной от ветвей поверхностного малоберцового нерва и вен.
Антеромедиальный портал голеностопного сустава - основной портал, чаще всего устанавливается первым, даёт доступ к передне-внутренним отделам сустава. Анатомическими ориентирами для установки служат сухожилие передней большеберцовой мышцы, внутренняя лодыжка и большая подкожная вена.
Антеролатеральный портал голеностопного сустава - основной портал, даёт доступ к передне-наружному отделу сустава, устанавливается кнаружи от третьей малоберцовой мышцы и поверхностного малоберцового нерва и кнутри от наружной лодыжки.
Передне-центральный портал голеностопного сустава - редко используется в связи с опасностью повреждения тыльной артерии стопы. Располагается кнутри от общего разгибателя пальцев и кнаружи от длинного разгибателя большого пальца.
Постеролатеральный портал голеностопного сустава - основной портал, даёт доступ к треугольной кости, располагается на 2 см выше верхушки наружной лодыжки между ахилловым сухожилием и сухожилиями малоберцовых мышц.
Постеромедиальный портал голеностопного сустава - основной портал, даёт доступ к треугольной кости и сухожилию длинного сгибателя большого пальца. Располагается на том же уровне что и антеролатеральный портал, сразу же кнутри от ахиллова сухожилия.
Трансахиллярный доступ используется редко в связи с его травматичностью.

Основными осложнениями артроскопии голеностопного сустава являются повреждение сосудисто-нервных пучков. Во избежание их травматизации крайне важно строго соблюдать порядок установки портов а при работе внутри сустава всегда направлять инструмент рабочей поверхностью в сторону камеры, так как существует высокий риск того что при неаккуратном движении вы можете повредить сосуд или нерв. Другим возможным осложнением является формирование синовиальной фистулы, по этой причине необходимо обеспечить адекватный кратковременный период иммобилизации голеностопного сустава после артроскопического вмешательства.

Никифоров Дмитрий Александрович
Хирургия стопы и голеностопного сустава, коррекция деформаций конечностей, эндопротезирование суставов, артроскопическая хирургия, спортивная травма.
Читайте также:
