Техника, этапы операции большеберцово-таранно-пяточного артродеза с фиксацией ретроградным интрамедуллярным стержнем
Добавил пользователь Евгений Кузнецов Обновлено: 11.12.2025
Развитие осложнений после проведения артродеза Оперативное вмешательство на голеностопе у пациента Показания для проведения артродеза у пациентов Артродез - операция, без которой не обойтись Разновидности артродеза Оперативное вмешательство в тазобедренный сустав
Артродез - это вариант операции, при котором сустав искусственно закрепляется оптимальной позиции, после чего со временем окостеневает, а подвижность в нём утрачивается пожизненно. Сустав будет закреплён в таком положении, в котором пациенту будет удобно не только ходить, но и отдыхать и выполнять повседневную работу.
При прогрессировании многих заболеваний суставов развивается анкилоз - срастание суставных поверхностей и утрата подвижности сустава. В отличие от артродеза - при патологии подвижность часто утрачивается при расположении сустава в неудобной позиции, которая не позволяет пациенту жить нормальной жизнью.
Когда соглашаться на операцию
При развитии патологических изменений в хрящевой ткани, связках или менисках функция сустава постепенно утрачивается - пациента беспокоят боли, развивается отёк и воспаление. Нередко клиника усугубляется нарушением кровообращения в суставе. В результате хрящ разрушается, его поверхность истончается и деформируется.

На начальных этапах возможно восстановление сустава традиционной терапией в виде приёма медикаментов, физиотерапией и лечебной гимнастикой. Если пациент запустил заболевание, единственный выход - хирургический метод лечения.
Важно!
Артродез должен проводиться только, когда пациенту невозможно установить искусственный протез по причине слабости костной ткани или отторжению имплантата организмом.
Основные показания для артродеза:
- Выраженная нестабильность в суставе - при прогрессировании некоторых патологических болезней суставная щель уменьшается. Связки не укорачиваются, снижается фиксация костей конечности. В результате развиваются патологические вывихи подвывихи, требующие хирургического вмешательства;
- Артрит - на начальных стадиях прогрессирование можно замедлить приёмом медикаментов и общеукрепляющими процедурами, но если пациент не выполняет рекомендации врача - со временем болезнь вызывает необратимые изменения в суставе, которые требуют операции;
- Артроз - быстро прогрессирующее заболевание, нередко слабо поддающееся лечению. При развитии нарушений подвижности и выраженных деформаций ноги - показан артродез;
- Остеоартроз - поражение хрящевой ткани и её отмирание деформируют сустав, что приводит к хирургическому лечению;
- Нарушения при срастании околосуставных переломов - если после травмы кость срастается так, что подвижность сустава невозможна - необходим артродез;
- Аномалии развития - при некоторых врождённых патологиях возникает неполноценность функционирования суставов, могут появляться также врождённые подвывихи. В данном случае показана операция;
- Другие причины - серьёзные осложнения от некоторых заболеваний, вызывающие необратимые поражения соединительной ткани, приводящие к деформации суставов и нарушению подвижности вплоть до анкилоза.
Данная операция приводит к инвалидности - кости скрепляются, формируется жёсткое межкостное соединение. Этот хирургический метод назначается при невозможности проведения более современной операции - артропластики. Обездвиживание некоторых суставов не вызывает ощутимого дискомфорта - при операции на подтаранном суставе пациент быстрее адаптируется, чем при артродезе голеностопа, где человеку придётся долго учиться ходить по новым правилам.

Когда оперироваться противопоказано
Несмотря на всю простоту методики, существует несколько противопоказаний к данному виду хирургического лечения:
- Возрастной критерий - дети младше 12-ти лет и пожилой возраст старше 60-ти лет. У ребёнка костный компонент до конца не созрел - искусственный анкилоз может не сформироваться. В старческом возрасте регенерация костной ткани слабая - послеоперационная область может не выдержать повседневной нагрузки;
- Присутствие инфекционного заражения, нагноений или свищей - для артродеза необходима высокая регенерация костной ткани, а при наличии данных заболеваний она сильно снижена;
- Нестабильное и тяжёлое состояние больного - в данном случае реабилитация будет продолжительная, возрастает риск развития негативных последствий.
Разновидности артродеза
В зависимости от технологии выполнения различают несколько типов операции. Каждый метод имеет свои положительные и отрицательные стороны и показан при определённых поражениях соединительной ткани. На выбор хирургического варианта лечения влияет больной сустав, который необходимо оперировать.
Различают следующие разновидности оперативного лечения:
- Внутрисуставной артродез - при данной методике удаляется хрящ, а сращивание костных элементов происходит за счёт деления клеток костной ткани. Данный вид лечения небезопасен из-за опасности занесения инфекции в рану, но оптимален с практической точки зрения. Часто применяется при артритах, артрозах и других заболеваниях;
- Внесуставной артродез - при его проведении хрящ остаётся на месте, а в сустав вживляется специальный костный трансплантат. Данный метод сводит к минимуму занесение микробов. Метод широко применяется, если пациент страдает от инфекционного артрита;
- Комбинированный вариант - в данном случае применяются трансплантаты с одновременным удалением суставного хряща. Такая операция показана при массовом разрушении суставных поверхностей;
- Удлиняющий артродез - во время операции доктор осуществляет переломы костей в определённых зонах, слегка «вытягивая» поражённую ногу. Данное оперативное вмешательство показано при укорочении одной из конечностей;
- Компрессионный артродез - сращивание костей осуществляется за счёт их плотного сдавливания, для чего используется специальный аппарат. Данный вид операции показан при инфицировании суставной полости, когда лишнее её вскрытие может привести к серьёзным осложнениям. Методика более простая, чем при внутрисуставном проникновении, окостенение происходит быстрее из-за плотного прилегания суставных поверхностей друг к другу. Наложение гипса не требуется.
Важно!
При компрессионном артродезе высока вероятность развития спицевого остеомиелита, а также смещения костей от вертикальной оси. Поэтому пациенты должны находиться под строгим наблюдением лечащего врача.

Нередко различают костнопластический артродез, при котором в суставную полость внедряются трансплантаты в виде донорских или собственных тканей организма. Данный метод является дополнением к внутрисуставному артродезу.
Техника выполнения операции
Когда пациент решился на проведение оперативного вмешательства, ему необходимо пройти обследование на выявление отягощающих заболеваний и возможных противопоказаний. Обязательно необходимо сдать анализы крови, пройти ультразвуковое исследование кровеносных сосудов, посетить кардиолога и при необходимости сделать ЭКГ. Если вы принимаете препараты, разжижающие кровь - об этом необходимо сообщить в обязательном порядке. За несколько дней до операции проходит беседа с анестезиологом о выборе обезболивания - в стандартных случаях операция проводится под общим наркозом.
Техника проведения артродеза во многом зависит от сустава, который необходимо оперировать. Средняя продолжительность составляет от 2 до 5 часов.
Операция на тазобедренном суставе
При проведении артродеза тазобедренного сустава подходит любой вариант операции, но в силу анатомического строения оптимальным будет комбинированное исполнение.
- Больного укладывают на здоровый бок;
- Иссекаются мягкие ткани на боковой или передней поверхности. Для косметического эффекта и снижения послеоперационного отёка используют вертикальный или дугообразный разрез;
- Края раны разводятся в стороны специальным держателем;
- Из полости сустава удаляется хрящ, костные поверхности подготавливаются под трансплантат;
- Хирург скрепляет все составляющие специальными ортопедическими конструкциями и зашивает рану;
- На обе ноги накладываются гипсовые повязки - на оперированную конечность полностью до грудной клетки, на здоровую ногу - до уровня колена. В области таза гипсовые повязки плотно соединяются специальной планкой для установки оперированной конечности под нужным углом.

После проведения артродеза тазобедренного сустава в гипсе придётся проходить 6-12 месяцев. Спустя 3 месяца гипс снимают и делают контрольный рентген, затем накладывают снова.
Артродез колена
Артродез коленного сустава проводится преимущественно внутрисуставным способом:
- На передней поверхности колена осуществляется полукруглый разрез, который огибает коленную чашечку снизу;
- Отводят её в сторону, удаляют хрящи и внутрисуставные связки;
- Кости иссекаются так, что бы их поверхности заходили друг в друга, подобно мозаике;
- Надколенник устанавливается в своё анатомическое ложе;
- Мягкие ткани плотно сшиваются, накладывается гипс.
При артродезе коленного сустава голень оставляют слегка согнутой для удобства передвижения пациента после того, как сформируется хирургический анкилоз.
Операция на голеностопе
В данном случае применяются все виды оперативного лечения, но наиболее актуален внутрисуставной метод. Популярен артродез голеностопного сустава пластиной, при котором облегчается установка угла между большеберцовой костью и голенью.
- Разрез мягких тканей оптимален на передней или внутренней поверхности сустава;
- Получив доступ к хрящевым поверхностям - они удаляются вместе с поражёнными элементами костной ткани;
- Между костями располагаются трансплантаты, которые прочно фиксируются;
- Между голенью и стопой формируют угол 90°;
- Накладываются швы и гипсовая повязка.
В гипсе придётся проходить 6-9 месяцев в зависимости от рекомендаций врача, затем назначается курс лечебной гимнастики для частичной иммобилизации оперированной конечности. Артродез голеностопного сустава обеспечивает полную его неподвижность на всю жизнь.

Распространённые операции на стопе
Артродез подтаранного сустава - самый простой по технике выполнения. Используется внутрисуставной метод с применением аутотрансплантата. Во время операции через заднебоковые области вводится специальное вещество, которое образует вокруг сустава небольшую полость, удобную для операции. Затем делаются небольшие надрезы, удаляется хрящевая прослойка, куда помещается трансплантат.
Трехсуставной артродез стопы подразумевает внутрисуставное вмешательство, при котором соединяют таранно-пяточно-ладьевидный и пяточно-кубовидный суставы. Разрез делается на тыле стопы - от наружной лодыжки до середины предплюсны. Удаляются повреждённые ткани, суставные полости заполняются хрящевой здоровой тканью пациента. Накладываются швы.
При всех видах артродеза стопы накладывается гипс на 3-6 месяцев.
Осложнения от проведения артродеза
Данное хирургическое лечение не является сложной операцией, но может привести к некоторым осложнениям:
- Занесение инфекции в сустав;
- Развитие скрытых кровотечений;
- Появление тромбов и их отрывы от стенок сосудов;
- Во время операции могут повредиться нервы, что приведёт к потере чувствительности нижней конечности.
На заметку!
Если имеются хронические заболевания, пациент курит или злоупотребляет алкоголем - риск развития осложнений возрастает.
К менее значительным последствиям можно отнести нарушение походки, которая может привести к инвалидности. Решение об установки нетрудоспособности решается комиссией индивидуально.

Реабилитация
Первые сутки назначается постельный режим для предотвращения развития осложнений от обезболивания. Для купирования боли, которая развивается из-за операции - пациенту назначаются обезболивающие препараты. При необходимости назначаются антибиотики для предотвращения инфекционного заражения. В гипсе пациент находится 6-12 месяцев в зависимости от прогрессирования заживления костной ткани.
Первые 2 месяца реабилитации после операции - это хождение на костылях, поскольку необходимо щадить больную ногу.
Гипсовую повязку снимают спустя 3-4 месяца, делают контрольный рентген для оценки регенерации. Ногу повторно гипсуют еще на несколько месяцев. Если восстановление протекает нормально, после снятия гипса пациенту назначается физиотерапевтическое лечение:
- УВЧ;
- Магнитотерапия;
- Электрофорез;
- Лазеролечение.
Жизнь после артродеза требует больших усилий от пациента по адаптации к ходьбе и способности к самообслуживанию.
Отзывы пациентов
Отзывы больных, переживших операцию, помогут решиться другим пациентам на хирургическое вмешательство.
Я сделал артродез тазобедренного сустава. Хотел ставить искусственный протез, но врачи запретили - сказали, что он не приживётся. Первое время было трудно - ни сесть, не встать нормально. Сустав очень болел. Сейчас всё прошло, научился ходить по лестнице. Устроился на работу сторожем - жизнь налаживается.
Прохоров Григорий, 65 лет, Пермь.
В силу прогрессировавшего деформирующего артроза врач порекомендовал операцию - артродез правого коленного сустава. Сначала было страшно, но почитав отзывы пациентов - решилась. Что могу сказать - выбирайте грамотную клинику, если врач опытный, не так всё плохо, как пишут в интернете. Спустя 2 года я даже потихоньку начала работать на даче.
Нина Павловна, 58 лет, Екатеринбург.
Артродез - операция по обездвиживанию сустава в оптимальной позиции для осуществления повседневной деятельности. Несмотря на то, что после её проведения часто развивается инвалидность - для некоторых больных это единственный способ избежать деформации нижней конечности.
Техника, этапы операции большеберцово-таранно-пяточного артродеза с фиксацией ретроградным интрамедуллярным стержнем
1 ФГБУ «Новосибирский научно-исследовательский институт травматологии и ортопедии им. Я.Л. Цивьяна» Минздрава России
В статье рассматриваются варианты артродезирования голеностопного и таранно-пяточного суставов при грубой деформации суставов. Данная патология встречается у пациентов с последствиями врожденной косолапости, со спастическими формами детского церебрального паралича, посттравматическим неврологическим дефицитом в нижних конечностях, как следствие травм области стопы и голеностопного сустава. В практике имеется большое количество методик артродезирования этих суставов и имплантатов для их выполнения. Однако осложнения и неудовлетворительные результаты при их лечении составляют от 9 до 50 %. Цель исследования: представить опыт хирургического лечения деформаций стопы и голеностопного сустава с использованием аутокости по оригинальной, разработанной авторами методике. Хорошие ближайшие и среднесрочные результаты лечения полностью подтверждают целесообразность выбранной авторами тактики хирургического лечения.
1. Государственный доклад о состоянии здоровья населения Российской Федерации в 2002 году // Здравоохр. Рос. Федерации. - 2004. - № 2. - С. 3-23.
3. Мовшович И.А. Оперативная ортопедия. Руководство для врачей. - М.: «Медицина», 1994. - С. 330-332.
4. Мухамадеев А.А., Корышков Н.А., Балаян В.Д., Гражданов К.А. Оперативное лечение паралитической эквинусной деформации стопы тяжелой степени у взрослых (случай из клинической практики) // Травматология и ортопедия России. - 2012. - № 4 (60). - С. 105-109.
5. Норкин И.А., Бахтеева Н.Х., Киреев С.И., Решетников А.Н., Зарецков А.В., Левченко К.К., Марков Д.А., Киреев С.Н., Эдиев М.С., Адамович Г.А., Белоногов В.Н., Маркова В.Д. Травматология и ортопедия (Издание 2-е, дополненное). - Саратов, 2015. - 220 с.
6. Оберст В. Анатомо-функциональная оценка исходов лечения деформации стопы. - СПб.: Элби-СПб, 2002. - 270 с.
7. Способ двухсуставного артродеза голеностопного и таранно-пяточного суставов: пат 2621844 Рос. Федерация / И.А. Пахомов, С.Б.К орочкин. Опубликован 07.06.2017.
10. Michael J. Coughlin, Roger A. Mann, Charles L. Saltzman. Surgery of the foot and ankle. - 8th ed. - 2007. - 1511 p.
Несмотря на успехи медицины в последние десятилетия, остается большое количество взрослых пациентов с грубыми деформациями стопы и голеностопного сустава. Значительная часть этих пациентов имеет последствия врожденной косолапости, которая составляет 3-5 % патологии стопы. Лечение взрослых с врожденной косолапостью сопровождается большим количеством осложнений и неудовлетворительных исходов - 41-70 %. Также высока частота встречаемости деформаций стоп у больных со спастическими формами ДЦП и посттравматическим неврологическим дефицитом в нижних конечностях (до 40 % от всей патологии нижних конечностей). Осложнения и неудовлетворительные результаты при их лечении - от 9 до 50 % [5, 6, 8-10]. Также не решена проблема неудовлетворительных исходов лечения травм области стопы и голеностопного сустава [1, 2]. Широко известны способы хирургической коррекции грубой эквино-варо-приведенной деформации стопы с последующим выполнением артродезирования голеностопного сустава различными металлоконструкциями, такими как аппараты внешней фиксации, различные варианты погружных имплантатов (винты, блокируемые гвозди, пластины и их сочетания). Использование погружных металлоимплантатов [3] позволяет добиться жесткой фиксации голеностопного сустава на срок, достаточный для формирования костного блока между пелоном большеберцовой кости и таранной костью. Однако при наличии инфекции в области хирургического вмешательства использование погружных металлоконструкций и имплантатов имеет высокий риск усугубления инфекционных процессов с развитием различных осложнений, вплоть до сепсиса. В подобной ситуации возможно использование аппаратов внешней внеочаговой фиксации, например аппарат Илизарова [4]. Но использование аппаратов внешней фиксации снижает качество жизни пациента на период формирования костного блока (до 2 месяцев) и часто приводит к возникновению инфекции в области стояния спиц. Нельзя также забывать о пациентах с наличием поливалентной аллергии, в том числе на металлы, что повышает риски развития инфекционных процессов.
Цель исследования: представить опыт хирургического лечения деформаций стопы и голеностопного сустава с использованием аутокости по оригинальной методике.
Клинический случай. Пациент К. поступил в отделение в июне 2014 года с жалобами на боль, деформацию и отеки в области левых стопы и голеностопного сустава.
Из анамнеза выяснено, что пациент получил травму при падении с высоты. По месту жительства по поводу двухлодыжечного перелома левой голени с латеральным подвывихом стопы проводилось хирургическое лечение с использованием аппарата внешней фиксации. Однако через несколько месяцев в связи с возникновением флегмоны области хирургического вмешательства аппарат внешней фиксации был удален, проводилась санация раны с гипсовой иммобилизацией до заживления ран.
Травматолого-ортопедический статус: область левых стопы и голеностопного сустава отечна, отмечается наличие эквино-вальгусной деформации стопы, ограничение движений в голеностопном суставе, боль при пальпации стопы и области голеностопного сустава.
Рис. 1. Рентгенограммы пациента К. в опоре при поступлении: асептический некроз блока таранной кости, дефект малоберцовой кости, эквино-вальгусная деформация левой стопы
Рис. 2. Рентгенограммы пациента К. после операции: большеберцово-таранно-пяточный артродез с устранением всех видов деформации голеностопной области, фиксация проведена ретроградным блокируемым гвоздем Osteomed
Рис. 3. Рентгенограммы пациента К. через 6 недель после операции: признаки формирующихся анкилозов голеностопного и таранно-пяточного суставов, стояние гвоздя удовлетворительное
Рис. 4. Рентгенограммы пациента К. через 1 год после операции: перелом гвоздя в проекции голеностопного сустава, признаки несформированного анкилоза голеностопного сустава
Рис. 5. Рентгенограммы пациента К. через 1 год после операции большеберцово-таранно-пяточного артродеза (по методике, разработанной авторами): сформирован анкилоз голеностопного и таранно-пяточного суставов
После проведенного клинико-рентгенологического исследования пациенту был поставлен диагноз: Приобретенная посттравматическая деформация левого голеностопного сустава как следствие асептического некроза блока таранной кости. Несостоявшийся анкилоз левого голеностопного сустава. Не опорная левая стопа. Синдром крузалгии, тарзалгии слева (рис. 1).
Больному предложено хирургическое лечение, согласие пациента на хирургическое лечение получено. Выполнена операция: корригирующий большеберцово-таранно-пяточный артродез слева, фиксация ретроградным блокируемым гвоздем Osteomed, костная аутопластика (рис. 2).
В послеоперационном периоде проводилось физиолечение, симптоматическая терапия. Швы удалены на 20 сутки, раны зажили первичным натяжением. В течение 6 недель проводилась иммобилизация гипсовой лонгетой до верхней трети голени без опоры на оперированную нижнюю конечность.
При контрольном осмотре через 6 недель отмечались признаки формирующегося анкилоза голеностопного и таранно-пяточного суставов слева (рис. 3). Гипсовая иммобилизация прекращена, разрешена нагрузка на левую нижнюю конечность.
Через 1 год после операции пациент обратился на амбулаторный прием с жалобами на боль и отеки в области левого голеностопного сустава. Из анамнеза выяснено, что через 2 месяца после прекращения гипсовой иммобилизации больной подвернул левую стопу, постепенно после этого присоединились вышеописанные жалобы.
Травматолого-ортопедический статус: область левого голеностопного сустава отечна, отмечается наличие подвижности в голеностопном суставе, металлический хруст при движениях в суставе, боль при пальпации области голеностопного сустава.
После проведенного клинико-рентгенологического исследования пациенту был поставлен диагноз: Приобретенная посттравматическая деформация левого голеностопного сустава, рецидив деформации. Несостоятельность (перелом) интрамедуллярного гвоздя. Несостоявшийся анкилоз левого голеностопного сустава. Не опорная левая стопа. Синдром крузалгии, тарзалгии слева (рис. 4).
Принято решение о проведении реартродезирования голеностопного сустава по оригинальной методике, разработанной в клинике [7]. Согласие пациента на хирургическое лечение получено. Под спинномозговой анестезией выполнена резекция малоберцовой кости слева на протяжении 150 мм от дистального конца малоберцовой кости. Вскрыт голеностопный сустав. Удалены из сустава остатки хрящевой рубцовой ткани, резецирован некротически измененный блок таранной кости. Осуществлена коррекция всех видов деформации стопы. Через разрез по подошвенной поверхности пяточной кости, оставшийся после удаления интрамедуллярного гвоздя, в положении нейтрального стояния стопы установлен диафиз малоберцовой кости длиной около 100 мм. Аутотрансплантат установлен плотно, коррекция стопы сохраняется. В оставшиеся полости голеностопного сустава плотно забиты оставшиеся фрагменты резецированной части малоберцовой кости. Метаэпифизарная часть уложена на свое место и фиксирована к большеберцовой и таранной костям 4 костными клиньями из диафиза малоберцовой кости. Синтез стабильный. ЭОП-контроль: коррекция достигнута. Послойно наложены швы на рану. Осуществлена иммобилизация гипсовой повязкой до верхней трети голени.
Пациент был активизирован на следующие сутки, ходил без опоры на оперированную конечность с помощью костылей. Осуществлялась гипсовая иммобилизация в течение 8 недель. Раны зажили первичным натяжением. При рентгенологическом контрольном обследовании через 2 месяца виден сформированный костный блок голеностопного и таранно-пяточного суставов.
При контрольном осмотре через 1 год после операции отмечается наличие сформированных анкилозов голеностопного и таранно-пяточного суставов (рис. 5).
Форма стопы и голеностопного сустава удовлетворительная, болевой синдром не отмечается. Пациент может надевать любую обувь, без остановки и болевого синдрома проходить до 3 километров.
Результаты исследования и их обсуждение
Данный случай интересен тем, что следствием перенесенной травмы и инфекционных осложнений голеностопной области стало развитие грубого некроза блока таранной кости с развитием крузартроза и вальгусной деформации таранной кости. При подобной деформации и перенесенном инфекционном процессе эндопротезирование сустава противопоказано. Выходом при этом является достаточно хорошо зарекомендовавшая себя методика артродезирования голеностопного и таранно-пяточного суставов. Данная технология и была использована в первую госпитализацию с использованием интрамедуллярного блокируемого гвоздя. Однако при возникшей в последующем повторной травме произошел перелом гвоздя в его технологически слабом месте (месте проведения блокирующих винтов). Результатом несостоятельности металлоконструкций стали рецидив деформации и несостоявшийся анкилоз голеностопного сустава. Выбор малоберцовой кости в качестве фиксатора при повторном артродезировании голеностопного сустава был аргументирован тем, что диафиз малоберцовой кости обладает высокими упруго-эластическими свойствами, достаточными для удержания стопы в заданном положении на период, достаточный для формирования анкилоза сустава. Аутокость также является отличным материалом для пластики дефектов костной ткани, возникших после предыдущих операций, в отличие от ригидных металлоконструкций.
В итоге у больного сформировался полноценный анкилоз голеностопного и таранно-пяточного суставов с хорошими клиническими результатами.
Описанный пример хирургического лечения деформаций голеностопного и таранно-пяточного суставов позволяет продемонстрировать, что использование аутотрансплантатов из резецированной малоберцовой кости является вариантом выбора при хирургии грубых деформаций голеностопного и таранно-пяточного суставов.
Передний большеберцово-таранный импиджмент
Наиболее часто данная патология связана с образованием остеофитов по передней поверхности большеберцово-таранного сустава. Помимо переднего выделяют наружный, внутренний и задний импинджмент большеберцово-таранного сустава, которые связаны с избыточным разрастанием мягких тканей по передне-наружной или задней поверхности голеностопного сустава или костными повреждениями данных областей, они будут рассмотрены отдельно. Передний большеберцово-таранный импинджмент наиболее часто встречается у рэгбистов, футболистов и танцоров.
Патогенез переднего большеберцово-таранного импинджмента связан с постоянной перегрузкой, повреждением, травмой и последующими дегенеративными изменениями приводящими к формированию механических препятствий для нормальной работы тибиотаранного сустава.
С течением времени постоянные микроповреждения приводят к разрастанию рубцовой и фиброзно-хрящевой ткани в области переднего отдела большеберцово-таранного сустава, ущемление которой при тыльном сгибании стопы и приводит к боли.

Рубцовая ткань в области переднего отдела большеберцово-таранного сустава
Другой причиной импиджмента могут служить остеофиты, которые постепенно растут, приводя к прогрессивному уменьшению амплитуды тыльного сгибания, а отламываясь, они оказываются в суставе, что может усугубить симптоматику, приводя к его заклиниванию и болям.

Остеофиты в области переднего отдела большеберцово-таранного сустава
Отдельную роль в формировании переднего большеберцово-таранного импиджмента играет связка Бассета( передняя-нижняя-большеберцово-малоберцовая связка), так как она оказывает непосредственное давление на купол таранной кости в положении тыльного сгибания, ограничивая его смещение кпереди. При подошвенном сгибании она оказывает давление на шейку таранной кости.

Гипертрофированная связка Бассета (передняя-нижняя-большеберцово-малоберцовая связка)

Механизм повреждения при формировании большеберцово-таранного импинджмента
Классификация тибиотаранного импинджмента Van Dijk базируется на рентгенографической картине. Стадия 0 характеризует нормальную рентгенологическую картину. Стадия 1 - остеофиты не приводят к сужению суставной щели. Стадия 2 - сужение суставной щели с\без костными разрастаниями. Стадия 3 - значительное сужение суставной щели. Эта классификация позволяет прогнозировать результаты лечения. При 0-1 стадии лечением удовлетворены 82% пациентов, при 2 уже только 50%, при 3 стадии пациенты часто бывают не удовлетворены результатами, так как выраженные остеортрозные изменения сустава обуславливают сохранение болевого синдрома.
Симптомы переднего большеберцово-таранного импинджмента. Наиболее частым симптомом тибиотаранного импинджмента является боль по передней поверхности голеностопного сустава, появившаяся на фоне неоднократных его травм. При осмотре определяется боль при форсированном тыльном сгибании стопы, ограничение тыльного сгибания стопы, могут определяться отёк по передней поверхности голеностопного сустава, выпот, при этом движения в подтаранном суставе безболезненные.
Визуализация переднего большеберцово-таранного импинджмента.Рекомендовано использовать прямую, боковую и косую проекцию при выполнении рентгенографии. На рентгенограммах определяются костные шипы в области дистального отдела большеберцовой кости или по тыльной поверхности таранной кости. Косые проекции позволяют определить остеофиты по передне-медиальной поверхности. КТ и МРТ позволяют более детально оценить степень разрастания остеофитов и их локализацию.
Рентгенография голеностопного сустава в боковой проекции, показывающая костные разрастания в области нижнего отдела большеберцовой кости и шейки таранной кости
Если рентгенография не позволяет выявить патологии, это не значит что её нет. Костные разрастания могут просто не попасть в выполненную проекцию, а мягкотканные повреждения на рентгенографии не определяются. МРТ в подобных ситуациях позволяет не только локализовать повреждение, но также определить наличие сопутствующих изменений суставного хряща, связок, синовиальной оболочки, капсулы сустава, степень выраженности субхондрального склероза и формирование кист, что позволяет более точно планировать оперативное вмешательство.
МРТ того же пациента позволяющая не только увидеть и локализовать место расположение остеофита, но также показывающая утолщение суставной капсулы, отёк костного мозга - свидетельствующие о наличии большеберцово-таранного импинджмента.
Консервативное лечение переднего большеберцово-таранного импинджмента.
В первую очередь, консервативное, заключается в снижении нагрузки, физиотерапии, ограничении объёма движений, противовоспалительной терапии. При неэффективности консервативных мер показано удаление остеофитов, которое может быть выполнено артроскопически.
Хирургическое лечение переднего большеберцово-таранного импинджмента.
К хирургическому лечению прибегают при неэффективности консервативных мер. Целью оперативного лечения является удаление остеофитов и любой избыточной ткани, формируя пространство для нормального функционирования большеберцово-таранного сустава и препятствуя рецидиву импинджмента. Существует две принципиально отличающиеся методики - открытая и артроскопическая.
Для открытой операции используется передне-медиальный доступ, непосредственно кнутри от передней большеберцовой связки. После рассечения тыльного удерживателя разгибателей, производится тупое выделение капсулы сустава. Выполняется иссечение разрастаний синовиальной оболочки. Остеофиты на шейке таранной кости и дистальном отделе большеберцовой кости лучше всего визуализируются в положении тыльного сгибания стопы. Далее производится аккуратное удаление остеофитов, при этом тыльную артерию стопы и глубокий малоберцовый нерв лучше защитить ретрактором или любым другим подходящим инструментом. После удаления всей избыточной ткани производится послойное ушивание раны.
Для артроскопического лечения большеберцово-таранного импинджмента, в положении больного на спине выполняется два небольших доступа по передненаружной и передневнутренней поверхности в проекции шейки таранной кости. Необходимо определить расположение тыльного сосудисто-нервного пучка, так как он может быть повреждён во время выполнения доступа и самой операции. Остеофиты и разрастания соединительной ткани убираются при помощи бура и шейвера. При этом как бур так и шейвер должны постоянно находится в зоне видимости и не стоит направлять их дорсально, чтобы не повредить сосудисто-нервный пучок.
Артроскопическая резекция связки Бассета. В случае когда интраоперационно обнаруживается избыточный контакт связки Бассета с таранной костью, на всём протяжении движений в голеностопном суставе, с повреждением суставного хряща, или подворачиванием гипертрофированной связки под передний край большеберцовой кости показано её иссечение.
При выполнении артроскопических доступов к голеностопному суставу необходимо помнить топографическую анатомию основных сосудов и нервов данной области

Удаление остеофитов при помощи бура
Осложнением оперативного лечения может стать повреждение поверхностного малоберцового нерва, вены сафены и дорсального сосудисто-нервного пучка стопы.
После операции разрешается ходьба с полной нагрузкой с иммобилизацией в жёстком ортезе на срок 2 недели. Затем проводится комплекс упражнений направленный на восстановление амплитуды движений, увеличение силы и наращивание мышечного баланса в течение 6-8 недель.
Результаты лечения во многом зависят от стадии заболевания на момент обращения. При 0-1 стадии, когда не выражен остеоартроз большеберцово-таранного сустава эффективность лечения достигает 90%, при начальных признаках остеоартроза она падает до 50%, а при выраженных изменениях составляет всего 25%.

Никифоров Дмитрий Александрович
Хирургия стопы и голеностопного сустава, коррекция деформаций конечностей, эндопротезирование суставов, артроскопическая хирургия, спортивная травма.
Артродез голеностопного сустава: виды замыкания, показания, осложнения
Артродез голеностопного сустава - оперативное вмешательство по искусственному сращению сочленяющихся суставных поверхностей голеностопа в физиологически выгодном для функционирования ноги положении. Основной целью хирургического лечения является придание опоропрочности проблемной зоне посредством полного блокирования ее подвижности (создания анкилоза). Обездвиживание достигается за счет жесткого соединения примыкающих концов костей сустава между собой специальными фиксаторами из металла (спицами, винтами, штифтами и пр.). Это позволяет прочно срастись суставным поверхностям друг с другом под нужным углом, то есть, привести сочленение в полное неподвижное состояние, что поможет пациенту избавиться от сильной боли и нестабильности стопы.

Техника артродезирования берет начало с самых истоков развития ортопедии, поэтому является устаревшей тактикой хирургии голеностопа. Открытие метода «замыкание сустава» датируется 1887 годом, впервые его предложил венский хирург Альберт. Операционные технические концепции мало чем изменились с того времени.
Эффективность артродеза голеностопного сустава имеет многолетнюю доказательную базу, но из-за радикального подхода и высокой частоты послеоперационных осложнений к вмешательству в стиле «ретро» обращаются в самых крайних случаях.
Травмы голеностопа сустава
Главное предназначение голеностопного сустава, образованного большеберцовой, малоберцовой и таранной костями, - быть надежной опорой для скелетно-мышечного аппарата. Этот отдел ноги должен стабильно выдерживать почти 90% от всей массы тела, когда человек стоит или выполняет в вертикальном положении любого рода физическую деятельность. Помимо опорных функций, сустав обеспечивает амортизацию конечности, разнообразные движения стопы в нормальной амплитуде:
- сгибание;
- разгибание;
- отведение;
- приведение;
- вращение.
Стабильную работу костного сочленения гарантирует здоровое состояние образующих его связок, костей, хрящей, мышц. Если хотя бы одна единица сустава выходит из строя, нарушается не только его работоспособность, но и происходит разбалансировка функций всего опорно-двигательного аппарата. Болезни голеностопного сочленения губительно отражаются на способности к передвижению, ведут к ухудшению походки, часто доводят человека до инвалидности. Нередко серьезные патологии, при которых может потребоваться артродез, начинаются с банальных травм, локализирующихся в данной зоне:
- ушибов;
- вывихов и подвывихов;
- переломов лодыжки;
- нарушения целостности пяточной кости;
- связочной дисторсии (растяжений, надрывов связок и пр.).
Поражения травматической природы чаще возникают вследствие прямого воздействия механической силы, что провоцируют локальные удары, падения с высоты, неудачные прыжки, резкие ротационные развороты. В конце концов, человеку иногда достаточно просто поскользнуться на скользкой поверхности или споткнуться, чтобы случилось повреждение составляющих структур голеностопного отдела.
Любые травматические поражения требуют своевременной диагностики и безотлагательной терапии. Спустя некоторый период травма, если не была оказана в свое время надлежащая медицинская помощь, дает о себе знать уже нешуточными последствиями. Патологии, ставшие результатом старой травмы, на фоне мнимого благополучия проявляются внезапным возникновением болей и нарастающей ограниченностью локомоторного, опорного потенциала. Люди не понимают, что случилось, откуда появился дискомфорт, а причиной оказывается былая травма.
Запомните! Сложные дегенеративно-дистрофические процессы, зачастую необратимые, преимущественно развиваются не сами по себе, а диагностируются как посттравматическое осложнение. Наиболее частые патологии посттравматического генеза с серьезным прогрессирующим течением - это артрит и остеоартроз.
Артроз, в свою очередь, является последствием артрита. Вот такой вот цепной механизм развития сложной клинической ситуации. От травмы до деформирующего остеоартроза (ДОА) несложно дойти за пару-тройку лет. Но если травму несложно вылечить консервативно, то с артрозом голеностопного сустава все иначе - это неизлечимая болезнь, которая критически угнетает качество жизни, негативно влияет на статику и динамику всей конечности.
Показания к проведению операции
Блокирование двигательных функций голеностопного сегмента путем костного сращения назначается при выявлении таких патологических состояний, как:
- вторичный (посттравматический) и первичный артроз 3-4 ст.;
- тяжело протекающий хронический артрит, в том числе по ревматоидному типу;
- постоянная боль в голеностопе и/или отдающая в коленный сустав, которая усиливается даже при несущественных нагрузках;
- выраженная хромота на почве деформации сустава;
- стойкое нарушение опороспособности стопы, выражающееся невозможностью стать в полном объеме на ногу из-за слабости голеностопного аппарата, разболтанности;
- сильная сгибательно-разгибательная контрактура сустава;
- парезы и параличи мышц голени, которые развились на фоне перенесенного в прошлом полиомиелита;
- неправильно сросшийся перелом, псевдоартроз.

Артроз левого сустава. Суставная щель очень мала.
Противопоказания к артродезу голеностопного сустава
Артродезирование использовать в двигательно-опорном сегменте голеностопа не рекомендуется, если:
- пациент находится в том возрасте, когда костно-мышечная система продолжает активно расти (до исполнения 12 лет операция строго противопоказана);
- в суставе обнаружены свищи нетуберкулезного генеза;
- определены активные инфекционно-воспалительные процессы в зоне предполагаемого вмешательства или любые общие инфекционные болезни в фазе обострения;
- больной страдает тяжелыми формами легочной, почечной или сердечной недостаточности;
- присутствует хроническое заболевание в стадии декомпенсации (сахарный диабет и пр.);
- выявлена непереносимость на препараты анестезиологического предназначения.
Виды оперативного вмешательства
Когда износ и деформация сустава слишком сильные, это может стать препоной и для проведения замены суставного блока эндопротезом. Поэтому даже при всем желании поменять больной сегмент на искусственный аналог не всегда сделать реально. В этом и всех описанных ситуациях выше остается один выход - применить операцию по артродезу. Она позволит стабилизировать голеностоп и сократить болевую симптоматику до минимума, тем самым значительно улучшить качество жизни пациента. Существует несколько методов оперативного вмешательства.
- Внутрисуставный. В процессе хирургии выполняется вскрытие капсулы сустава с последующим удалением поврежденного гиалинового хряща с поверхностей костных элементов. После репозиции костей в выгодном положении выполняется их фиксация металлическими приспособлениями.
- Внесуставной. Фиксирование костей сочленения только при помощи укладки костного трансплантата, при этом хрящевые покровы резекции не подлежат.
- Комбинированный. Эта техника подразумевает сочетание в одном хирургическом процессе двух способов: внутрисуставного и внесуставного. Так, хрящевые структуры с сустава полностью счищаются, внедряется аутотрансплантат, который фиксируют специальными металлическими пластинами.
- Компрессионный. Операция заключается в сдавливании сочленяющихся поверхностей аппаратом компрессионного или компрессионно-дистракционного типа для дальнейшего их сращения. Широко применяемые конструкции - аппараты Илизарова, Гришина, Волкова-Оганесяна. Удаление хряща не исключается. Вживление костного трансплантата для способа компрессии не требуется.

Подготовка пациента к артродезу голеностопа
Планируя данный вид оперативного лечения, предельно значимо произвести оценку всех сочленений, соседствующих с проблемной областью. Это необходимо, чтобы понять, насколько соседние сегменты способны принять на себя более увеличенный комплекс нагрузки. Так как двигательный потенциал голеностопного сустава заблокируется после операции, рядом расположенные подвижные соединения, естественно, будут больше нагружены. Особенно важно достоверно оценить состояние таранно-ладьевидного сочленения, ведь как раз на этот центральный сегмент стопы придется максимальная доля нагрузки. На положительный эффект от артродезирования можно рассчитывать сугубо при отсутствии дегенеративного патогенеза в нем.
Добро на оперирование пациента дается только после комплексного обследования с подтверждением явной необходимости использования данной медицинской помощи при отсутствии противопоказаний. Пациенту назначают прохождение ряда диагностических мероприятий:
- развернутые анализы крови и мочи, включая биохимию;
- рентген, МРТ или КТ сустава в нескольких плоскостях;
- исследование на ВИЧ, сифилис, гепатит;
- флюорография и электрокардиография;
- осмотр у узкопрофильных врачей (кардиолог, пульмонолог и пр.);
- консультация анестезиолога.
Кроме того, специалист должен дополнительно удостовериться, что эффект артродеза с максимальной вероятностью «сработает» и самочувствие пациента заметно улучшится. Для этого предварительно проводят своеобразный тест, заключающийся в наложении гипса на сустав. Так, человек ходит с зафиксированным в гипсе голеностопом примерно 7 суток, а по истечении недели ортопед-травматолог окончательно определяет целесообразность проведения операции. Если тестовое обездвиживание помогло создать опору конечности и значительно сократить боль, операцию проводят. При сохранившемся дискомфорте, появлении болезненности или усилении боли, усугублении походки - артродез отменяется.

За неделю до предполагаемой даты вмешательства следует остановить применение препаратов с противовоспалительным действием (НПВС) и средств, которые обладают кроворазжижающими свойствами. Накануне хирургии пищевой рацион должен быть легким, за 6-8 часов прекратить употребление пищи.
Внимание! Заранее позаботьтесь, чтобы по вашему прибытию домой из стационара жилое пространство было подготовлено. Следует убрать напольные ковры, дорожки и шнуры с полов, о которые можно зацепиться ногой и упасть. Предметы и вещи первой необходимости разместите в легкодоступных местах. В ванной комнате необходимо постелить нескользкие коврики из резиновых или силиконовых материалов на липучках и т. д.
Проведение операции
Артродез голеностопного сустава по традиционной методике выполняется под общим наркозом открытым способом. Операционные манипуляции под контролем артроскопа могут быть выполнены под спинальной анестезией. На осуществление сеанса требуется в среднем 2-3 часа интраоперационного времени. Рассмотрим принцип проведения классической тактики.
- На нижнюю треть бедра накладывается пневматический жгут. Далее создают доступ, совершая скальпелем линейный кожный разрез вдоль сустава. Разрез равен примерно 10 см.
- На следующем этапе выполняется вскрытие и надежная супинация сустава, которая облегчит работу с очередными манипуляциями.
- Затем подготавливаются поверхности большеберцовой и таранной костей. Подготовка включает резекцию хрящевых тканей хирургическим долотом, удаление окостенения.
- Дальше стопа выводится из порочного положения. Большеберцовый элемент и таранный компонент плотно сопоставляют друг с другом в удобной с точки зрения физиологии позиции. Достигнутая позиция скрепляется металлической конструкцией необходимого типа.
- Используемые операционные ходы на завершающем этапе закрывают при помощи послойного ушивания мягких тканей с оставлением дренажа.
В случаях сильной деформации может быть применена остеотомия малой берцовой кости. Обширные костные потери возмещаются трансплантатами - фрагментами аналогичного биологического материала, взятыми у пациента из гребня повздовшной кости.
Если использовались наружные системы фиксации, например, аппарат Илизарова, гипсование не применяется. При установке внутренних металлических имплантов, на прооперированную конечность ставят гипс. До тех пор, пока анкилоз не состоится, пациент находится в гипсовой повязке. Скорость костного сращения у каждого отдельного пациента может отличаться в силу физиологических особенностей организма. Полностью срастается и обездвиживается сустав через 3-6 месяцев после операции.
Реабилитация голеностопного сустава
После артродеза, осуществленного в области голеностопа, с первых суток начинают проводить занятия лечебной физкультуры. Они будут препятствовать развитию атрофии мышц, оказывать профилактику тромбообразования и не допускать появления застойных явлений в легких. При достаточно длительной иммобилизации конечности и низком уровне активности пациента без адекватной физкультуры можно прийти к весьма плачевным результатам.

ЛФК в раннем периоде это дыхательная гимнастика, изометрические упражнения для поддержания и укрепления голенных и бедренных мышц. Упражнения выполняются под наблюдением методиста по физической послеоперационной реабилитации. Гимнастика предусматривает постепенное увеличение нагрузки и введение новых упражнений в соответствии с самочувствием пациента и сроками восстановления.
Обязательным для реабилитации является медикаментозное лечение, включающее:
- высокоэффективную терапию против образования инфекционного патогенеза;
- применение симптоматических препаратов;
- использование медикаментов от тромбоэмболических осложнений.
Со вторых суток пациента стараются уже вертикализировать. Ходить разрешается только с опорой на костыли, не допуская нагрузки на прооперированную конечность. Не ранее чем после появления первых признаков анкилоза, а это примерно через 6 недель, разрешается частично включать щадящую осевую нагрузку на больную ногу. Нормально пробовать ходить пациент сможет не раньше чем по истечении 4-6 месяцев. Снятие металлоконструкций обычно назначается через 6-12 мес. Внутренние фиксаторы не всегда нуждаются в извлечении.
Осложнения артродеза голеностопного сустава
Частота осложнений после стандартной операции с широким открытием сустава, как показывает клинический опыт, на порядок выше, чем после артроскопических вмешательств. Приведем некоторые сравнительные данные о негативных реакциях для двух видов процедур (без применения внешних фиксаторов), обнаруженных в течение первых 3 недель:
- флеботромбоз выявляется в 22% случаев после открытого артродеза голеностопа, в 1,8% после малоинвазивного вмешательства;
- раневая инфекция развивается примерно у 12% больных, тогда как риски после артроскопии практически отсутствуют ( <0,1%)
- некроз окружающих тканей, соответственно, в 17% и 0,2%;
- раневые гематомы и серомы: в 22% и 0,9%.

Интраоперационные кровопотери после стандартного артродезирования составляют 250 мл, после артроскопического артродеза - около 120 мл. Несостоятельность анкилоза спустя 6 месяцев определяется у 5%-6% людей, прошедших процедуру по традиционному сценарию, и у 0,5%-0,9% пациентов, которым делали артроскопию с интрамедуллярной фиксацией. Опустив тему сравнения, отметим, что после любого вида искусственного анкилоза есть повышенные риски, связанные с формированием артроза в других суставах конечности и с укорочением длины ноги до 3 см.
Артродез голеностопного сустава

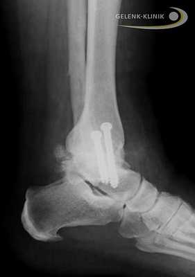
Артродез (обездвиживание) голеностопного сустава при развитом артрозе — это золотой стандарт лечения в Германии. При нормальной скорости походка не изменяется. Нехватка подвижности компенсируется элементами кости предплюсны. Спортивная активность не запрещается. © Viewmedica
Артроз голеностопного сустава приводит к боли в стопе и ограниченной подвижности ноги. Пациенты, страдающие артрозом, не могут преодолевать большие расстояния, не чувствуя боли. Нарушаются моторика и вращательные движения стопы.
Обездвиживание кости в голеностопе после артроза может обеспечить безболезненность. Артродез верхнего голеностопного сустава помогает восстановить нагружаемость между таранной костью (Talus) и большеберцовой костью (Tibia) в повседневной жизни. Уже многие годы данная хирургическая методика является золотым стандартом в лечении артроза. Подвижность верхнего голеностопа устраняется при помощи терапевтического срастания костных структур. Таким образом, кости стопы срастаются так же, как и после переломов.
После терапевтического укрепления пациент сможет оказывать прежние нагрузки на стопу, держа её в нормальном положении. Во время ходьбы с нормальной скоростью вращательная способность почти не нарушена. Лишь при быстрой ходьбе либо беге, что требует повышенной подвижности лодыжки, наблюдается изменение походки. При нормальной ходьбе утраченная подвижность компенсируется суставами предплюсны.
Когда проводится операция?
Консервативное лечение артроза:
- Обезболивающие (нестероидные противоревматические препараты)
- Инъекции гиалуроновой кислоты
- Стероидные инъекции (кортизон)
- Ортопедические стельки
- Ортезы и бандажирование
- Физиотерапия, упражнения для стабилизации голеностопного сустава
Артродез специалисты Геленк Клиники в Германии рекомендуют только в том случае, если пациент не может передвигаться без боли. Пониженный радиус движений в рамках нормальной повседневной жизни является индикатором артроза в голеностопе. Консервативные методы лечения больше не помогают. Невозможными становятся также занятия спортом и привычная организация свободного времени. Кроме того, артрозные боли негативно влияют на работоспособность пациента. В некоторых случаях наши специалисты рекомендуют ряд других хирургических мероприятий: помимо суставосохраняющего лечения, пациентам, страдающим прогрессирующей формой артроза, может понадобиться эндопротезирование.
Альтернативы артродеза голеностопного сустава:
- Остеосинтез
- Репозиция пяточной кости и её заживление в новом положении
- Пластика внешних связок
- Трансплантация связок
Кому подходит лечение при помощи артродеза?
Артродез голеностопного сустава имеет большое значение в лечение артроза. Болезненные ощущения в верхней части голеностопа, часто связанные с деформациями и повреждениями, хирурги Геленк Клиники устраняют при помощи данного хирургического вмешательства. Даже в эпоху эндопротезирования суставов, артродез всё ещё остается наиболее эффективным оперативным методом лечения. Все другие методики лечения должны оцениваться на основании результатов операции по обездвиживанию.
Артродез голеностопного сустава редко приводит к жалобам. Результаты более чем удовлетворительны, независимо от возраста пациента. Операция в Геленк Клинике в Германии обеспечит Вам более 25 лет безболезненной жизни. Кроме того, артродез поможет пациентам с сильным разрушением голеностопа, а также людям, страдающим лишним весом, добиться улучшения качества жизни.
Артродез при артрозе и после переломов голеностопного сустава
Хирургическое обездвиживание верхнего голеностопа при артрозе является наиболее распространённым вмешательством. Применение альтернативных методов лечения зависит от индивидуальных показателей.
Артроз голеностопного сустава является наиболее часто встречающимся показателем к артродезу.

Артродез после перелома голеностопного сустава
Данная методика используется в Геленк Клинике и для лечения переломов, возникших вследствие несчастных случаев. Однако сначала наши хирурги-ортопеды предложат Вам суставосохраняющее лечение. После перелома специалисты Геленк Клиники избавят пациента от боли в стопе и восстановят подвижность лодыжки. Сложность для восстановления структур голеностопа может представить перелом с повреждением суставных поверхностей. При необходимости в данном случае проводят эндопротезирование.
Если показания к эндопротезированию отсутствуют, напр. после полной потери функций внешних связок либо после инфекционных заболеваний, мы выберем надёжный и проверенный метод обездвиживания.
Артродез при серьёзных деформациях голеностопного сустава

Долговечность эндопротезов значительно улучшилась. Иногда эндопротезы могут прослужить и более 10-ти лет. Вероятность повреждения выше, чем в колене и бедре. При сильных травмах голеностопа или заднего отдела стопы такой эндопротез прослужит не долго. В таких случаях артродез является оптимальным решением. © Gelenk-Klinik
Пациенты, страдающие артрозом, на протяжении нескольких лет испытывали многие ограничения. Качество жизни снижалось, а страдания только прибавлялись. Именно поэтому к нам обращаются пациенты, которые многие годы жили с эквиусной деформацией, в результате которой повредились и соседние суставы.
Своевременно проведённый артродез, а также послеоперационное лечение с использованием специальных протезов в определённом положении, может предотвратить необратимые последствия.
Поэтому мы рекомендуем обратиться в Геленк Клинику за консультацией. Наши специалисты по лечению заболеваний стопы ответят на все, интересующие Вас вопросы.
Как проходит операция в Геленк Клинике?

Артродез помогает восстановить безболезненность и потерянную подвижность. Данное вмешательство требует использования специальных винтов и интрамедуллярных гвоздей. Они фиксируют сустав до полной оссификации. © Gelenk-Klinik
Обездвиживание голеностопного сустава проводится под общим наркозом. Иногда используется и местная анестезия. Перед началом остеосинтеза, голеностоп освобождают от суставного хряща, то есть удаляют скользящий слой между суставными элементами голеностопа. Лишь после этой процедуры образуется прямой контакт между большеберцовой и таранной костями.
Прочное важное для остеосинтеза костное соединение, закрепляется при помощи винтов либо пластин. Артроскопические вмешательства подразумевают лишь микроскопические разрезы на коже. Сохранение мягких тканей является является важным элементов в таком лечении: только при низком рубцевании, в будущем возможно эндопротезирование.

Артродез голеностопного сустава проводится и при использовании интрамедуллярных гвоздей, которые соединяют большеберцовую кость с таранной и пяточной. Артроз нижнего голеностопа и тяжелые травмы пяточной кости требуют проведения данной методики. Применение интрамедуллярных гвоздей для обездвиживания голеностопа приводит ещё и обездвиживанию сустава между пяточной и таранной костью. © Gelenk-Klinik
Послеоперационное лечение
После артроскопической операции в течение 8 недель пациентам необходимо носить специальный ортез. В это время разрешается нагружать стопу лишь половиной собственной массы тела. При открытой операции всё зависит от формы артродеза. При использовании кости, в течение 12-ти недель стопу можно нагружать лишь 20 кг. От езды на лыжах и любых других видов спорта (искл. ходьба и езда на велосипеде) следует воздержаться как минимум один год.
Если у Вас возникнут какие-либо вопросы, сотрудники Геленк Клиники в Германии ответят на все Ваши вопросы и помогут с организацией приезда.
Читайте также:
- Рацемозная гемангиома сетчатки: признаки, гистология, лечение, прогноз
- Оценка заболеваний молочной железы
- Злокачественная опухоль оболочки периферических нервов (ЗООПН)
- Денервационная боль. Лечение хронической боли. Принципы лечения хронической боли.
- Препараты для лечения артериальной гипертензии у детей
