Злокачественная опухоль оболочки периферических нервов (ЗООПН) - лучевая диагностика
Добавил пользователь Владимир З. Обновлено: 21.11.2025
Представляют собой злокачественные опухоли развивающееся из шванновских клеток, периневральных клеток или фибробластов оболочек периферических нервов. Около 10% всех сарком мягких тканей составляют злокачественные опухоли оболочек периферических нервов. Поражают эти опухоли преимущественно людей старшего возраста, мужчин в четыре раза чаще, чем женщин.
Причины заболевания
В половине случаев злокачественные опухоли оболочек периферических нервов не имеют точной причины возникновения. Другая половина случаев имеет причиной наличие нейрофиброматоза типа 1 или состояние после лучевой терапии.
Симптомы заболевания
Как правило, опухоли оболочек периферических нервов представляют собой болезненную крупнобугристую опухоль, плотно прикрепленную к окружающей ткани. При поражении нервов могут возникать чувства онемения и нарушения нервной проводимости.
Диагностика
Диагностика злокачественных опухолей оболочек периферических нервов начинается прежде всего с клинико-неврологическое обследования, включающего в себя нейрографию и электромиографию для определения тяжести нарушений функции нервов и иногда места их повреждения.
Для определения вида, размеров и локализации опухоли используются визуализационные методы обследования - УЗИ нервов и МРТ. Очень часто эта визуализация позволяет сделать заключение о виде опухоли, прежде чем будет проведена биопсия и гистологический анализ ткани.
Лечение злокачественных опухолей оболочек периферических нервов
Лечение злокачественных опухолей оболочек периферических нервов - это прежде всего оперативное полное удаление, с возможным сохранением ткани нервов и их функций.
Настоятельно рекомендуется как можно скорее обратиться к нейрохирургу, чтобы своевременно обнаружить и удалить злокачественную опухоль.

Хирургическое удаление обычно проводится для гистологического подтверждения и во избежание повреждения опорного нерва из-за возможного дальнейшего роста опухоли.
В клинике Нордвест эта процедура проводится с интраоперационным мониторингом и визуализацией, чтобы избежать осложнений и минимизировать риски. Перед операцией проводится детальное обсуждение всех нюансов с хирургом.
Стоимость лечения злокачественных опухолей оболочек периферических нервов в Германии
Стоимость терапии рассчитывается, исходя из сложности рецидива и подобранного метода лечения. Предварительную беседу с лечащим врачом можно провести на онлайн-консультации , во время которой обсудить особенности предстоящего лечения и возможные варианты. Уточнить цены на консультации и госпитализацию в клинику «Нордвест» можно по телефону 8 800 551 8099
Опухоли периферических нервов
Опухоли периферических нервов — опухолевые новообразования, поражающие ствол или оболочки нервов периферической нервной системы. Клинически проявляются парестезиями, болью, нарушением функции нерва (онемением и мышечной слабостью в зоне его иннервации). Диагностика включает клинический и неврологический осмотр, УЗИ, МРТ, электрофизиологические исследования. По показаниям проводится вылущивание опухоли или ее удаление вместе с участком нерва. При выявлении злокачественного характера новообразования оно удаляется вместе с нервным стволом в пределах интактных тканей.
Общие сведения
Опухоли периферических нервов — достаточно редкая патология нервной системы. Встречаются у лиц любого возраста, чаще у взрослых. Наиболее распространены опухоли серединного, локтевого, бедренного и малоберцового нервов. В неврологии и онконейрохирургии основополагающим является разделение новообразований периферических нервных стволов на доброкачественные и злокачественные. Доброкачественными являются нейрофиброма, невринома (шваннома), перинейрома, злокачественными — нейрогенная саркома (злокачественная шваннома). Нейрофибромы зачастую носят множественный характер. В 50% случаев они ассоциированы с нейрофиброматозом Реклингхаузена. В отдельных случаях доброкачественные опухоли периферических нервов могут брать начало в жировых клетках (липомы) и в сосудах (ангиомы) эпиневрия. От опухолевых образований нервных стволов следует отличать интраневральный ганглий (ганглион, псевдоопухолевую кисту) нерва, представляющий собой внутриневральное скопление муцинозной жидкости, заключенное в плотную оболочку.
Анатомические особенности периферических нервов
Периферические нервные стволы состоят из нервных волокон, каждое из которых покрыто слоем шванновских клеток. Нервные волокна внутри периферического нерва сгруппированы в отдельные пучки, окруженные соединительнотканной оболочкой - периневрием. Между пучками находится эпиневрий, представляющий собой рыхлую соединительнотканную структуру с расположенными в ней сосудами и скоплениями жировых клеток. Снаружи нервный ствол покрывает эпиневральная оболочка. Анатомически нервные волокна представляют собой отростки нейронов, расположенных в спинном мозге или нервных ганглиях. Сами нейроны в процессе своего развития утрачивают способность к восстановлению, но их отростки способны регенерировать. Таким образом, если тело нейрона сохранно и нервное волокно не имеет препятствий для роста, оно способно восстановиться.
В состав одного периферического нерва входят как безмиелиновые, так и миелиновые (мякотные) волокна. Последние имеют т. н. миелиновую оболочку, образованную слоями миелина, многослойно обворачивающими нервное волокно подобно рулону. Основная функция волокон — это проведение нервных импульсов, аналогично тому, как электрический ток движется по проводам. По миелиновым волокнам импульс проходит в 2-4 раза быстрее, чем по безмиелиновым. Если импульсы идут от центра к периферии, то такое волокно носит название эфферентное (двигательное), если импульсы проходят в обратную сторону, то волокно называется афферентное (чувствительное). Нервные стволы могут состоять только из афферентных или только из эфферентных волокон, но чаще они бывают смешанными.
Причины опухолей периферических нервов
Новообразования периферических нервных стволов возникают как результат бесконтрольного деления клеток различных тканей, входящих в структуру нерва. Так, невринома берет свое начало в шванновских клетках оболочки нервных волокон, нейрофиброма — в клетках соединительной ткани эпи- и периневрия, липома — в жировых клетках эпиневрия. Причины опухолевой трансформации нормально функционирующих клеток нервных стволов точно не известны. Предполагают онкогенное влияние радиации и хронического воздействия некоторых химических соединений, а также загрязненности окружающей среды. Ряд исследователей указывает на роль биологического фактора — онкогенного воздействия на организм отдельных вирусов. Кроме того, имеет значение пониженный фон противоопухолевой защиты организма. Провоцирующим триггером может выступать повреждение нерва вследствие травмы. Нельзя исключить и наследственно детерминированную предрасположенность к возникновению опухолей. Установлено, что у пациентов с нейрофибромами и болезнью Реклингхаузена имеются генные мутации в хромосоме 22, обуславливающие недостаточность фактора, ингибирующего опухолевую трансформацию шванновских клеток.
Симптомы опухолей периферических нервов
На ранних стадиях своего развития опухоли периферических нервов обычно имеют субклиническое течение. Типично медленное развитие опухолевого процесса. При поражении мелких ответвлений нервных стволов клинические проявления могут вообще отсутствовать.
Доброкачественные опухоли периферических нервов проявляют себя как плотные образования, которые можно пропальпировать. На начальных стадиях, как правило, они не вызывают болевых ощущений и чувства онемения. В зоне иннервации пораженного нерва зачастую наблюдаются парестезии — преходящие ощущения покалывания или «ползания мурашек». Перкуссия над областью опухоли вызывает усиление парестезии. Отличительными особенностями доброкачественного новообразования нерва являются его подвижность относительно прилежащих тканей, отсутствие смещаемости по длиннику пораженного нервного ствола и неподвижность при сокращении окружающих мышц. Неврологический дефицит (онемение, мышечная слабость) возникает на поздних стадиях, обусловлен блоком проведения импульсов в пораженном участке нерва при значительном разрастании опухоли и компрессии нервных волокон.
Злокачественные опухоли периферических нервов характеризуются интенсивным болевым синдромом, усиливающимся при перкуссии и пальпации по ходу нерва. В зоне иннервации пораженного злокачественной опухолью нервного ствола отмечается неврологический дефицит — снижение силы иннервируемых мышц (парез), гипестезия (чувство онемения и сниженная болевая чувствительность кожи), трофические изменения (бледность, истончение, похолодание, повышенная ранимость кожи). При злокачественном характере новообразования нерва оно плотно спаяно с прилежащими тканями и не смещается относительно них.
Основные виды опухолей периферических нервов
- Нейрофиброма — доброкачественное новообразование, развивающееся из фиброцитов соединительнотканных структур нервного ствола. Опухоль может быть единичной или множественной (чаще при нейрофиброматозе). Плексиформные нейрофибромы широко инфильтрируют ствол нерва и прилежащие ткани. Такие опухоли наиболее часто встречаются при болезни Реклингхаузена 1-го типа. В 5% случаев плексиформная нейрофиброма претерпевает злокачественную трансформацию.
- Невринома (шваннома) — новообразование, берущее начало из шванновских клеток нерва. Чаще наблюдается в возрастном периоде от 30 до 60 лет. Представляет собой округлое утолщение нервного ствола. Обычно имеет единичный характер и медленный рост. Крайне редко отмечается малигнизация с возникновением нейрогенной саркомы.
- Перинейрома (периневрома) — редкая доброкачественная опухоль из клеток периневрия. Имеет вид единичного или мультифокального утолщения нерва, протяженностью до 10 см.
- Липома — не нейрогенная доброкачественная опухоль, развивающаяся из жировой ткани эпиневрия. Чаще встречается среди лиц, страдающих ожирением. Имеет желтую окраску и плотно срастается с нервным стволом. Не малигнизируется.
- Нейрогенная саркома (нейрофибросаркома, злокачественная шваннома) — злокачественная опухоль из оболочек нерва, составляет 6,7% от общего числа сарком мягких тканей. По микроскопическому строению схожа с фибросаркомой. Более подвержены заболеванию лица мужского пола и среднего возраста. Нейрогенная саркома локализуется преимущественно на периферических нервах конечностей, реже — на шее. Редко метастазирует (примерно в 12-15% случаев). Наиболее типичны метастазы в легкие и лимфатические узлы. По микроскопическим особенностям выделяют железистый, меланоцитарный, эпителиоидный вариант опухоли.
Диагностика опухолей периферических нервов
В случае локализации опухоли в доступном для пальпирования месте предположительный диагноз может быть определен неврологом после проведенного осмотра. Для его уточнения, а также в случае глубокого расположения новообразования необходимо УЗИ, МРТ мягких тканей. В случае опухоли на УЗИ обнаруживается округлое или веретенообразное образование, локализующееся внутри нервного ствола или тесно связанное с ним.
Невриномы характеризуются ровным контуром, пониженной эхогенностью, неоднородностью структуры; при длительном существовании могут содержать кисты и кальцификаты. Нейрофибромы отличаются более однородной структурой, могут иметь волнистый контур. МРТ позволяет более точно и детально визуализировать опухоль, определить ее границы.
С целью оценки степени нарушения проведения нервных импульсов по пораженному участку нерва осуществляется электронейрография. Пункционная биопсия опухоли периферических нервов не проводится, поскольку провоцирует ускоренный рост и малигнизацию новообразования. Гистологическое исследование возможно при взятии образца ткани опухоли во время операции по ее удалению.
Лечение опухолей периферических нервов
Основным способом лечения новообразований периферических нервных стволов является радикальное хирургическое удаление опухоли. Однако, учитывая частое рецидивирование таких образований и травматичность оперативного вмешательства, нейрохирург рекомендует операцию только при наличии показаний. К последним относятся интенсивный болевой синдром, выраженное нарушение проводимости по пораженному нерву, сдавление опухолью сосудистого пучка, приводящее к ишемии конечности. Решение об операции в случае нейрофиброматоза Реклингхаузена чаще отрицательное, поскольку удаление нейрофибромы зачастую приводит к ее рецидиву и провоцирует рост других имеющихся опухолей.
Оперативные вмешательства в отношении доброкачественных новообразований подразделяются на 3 метода: вылущивание опухоли, ее резекция вместе с участком нервного ствола, краевая резекция нерва с опухолью. Последние два метода проводятся с наложением шва нерва. В ряде случаев образование большого дефекта при иссечении участка нервного ствола делает невозможным выполнение эпиневрального шва и требует проведения пластики нерва. При признаках злокачественности образования (отсутствие границ между опухолью и пучками нервных волокон, невозможность определить оболочки нерва), подтвержденных результатами интраоперационной экспресс-биопсии, проводится иссечение нерва с опухолью до границы здоровых тканей. В запущенных случаях может потребоваться ампутация конечности.
Злокачественная опухоль оболочки периферических нервов (ЗООПН) - лучевая диагностика
Белгородский государственный национальный исследовательский университет
Отделение онкоморфологии ОГКУЗ особого типа "Белгородское патологоанатомическое бюро"
Злокачественная опухоль оболочек периферических нервов с периневральной дифференцировкой (злокачественная периневринома) шейки матки
Журнал: Архив патологии. 2014;76(2): 40‑42
Должиков А.А., Мухина Т.С. Злокачественная опухоль оболочек периферических нервов с периневральной дифференцировкой (злокачественная периневринома) шейки матки. Архив патологии. 2014;76(2):40‑42.
Dolzhikov AA, Mukhina TS. Malignant peripheral nerve sheath tumor with perineural differentiation (malignant perineurinoma) of the cervix uteri. Arkhiv Patologii. 2014;76(2):40‑42. (In Russ.).
Описано наблюдение злокачественной опухоли из оболочек периферических нервов с периневральной дифференцировкой и редкой локализацией в шейке матки у пациентки 57 лет. Диагноз установлен на основании расширенного иммуногистохимического исследования с исключением сходных новообразований и выявлением иммунофенотипа, характерного для периневральной дифференцировки. Приведены данные литературы о морфологических и иммунофенотипических особенностях данной опухоли.
Неэпителиальные злокачественные опухоли шейки матки составляют около 1% всех злокачественных новообразований данной локализации. Среди них наиболее часто встречается эмбриональная (ботриоидная) рабдомиосаркома [1]. Злокачественная опухоль оболочек периферических нервов (MPNST) составляет только около 3% всех сарком шейки матки, т.е. является крайне редким заболеванием. Отсутствие четких гистологических признаков данной опухоли и ее сходство с миогенными саркомами обусловливают объективные сложности дифференциальной диагностики, которая важна с учетом агрессивного течения заболевания в большинстве случаев. В отечественной литературе приводятся лишь упоминания и краткие описания данной опухоли [2, 3].
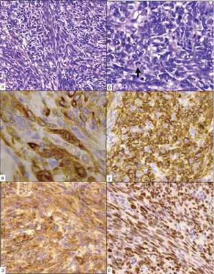
Приводим собственное наблюдение злокачественной периневриномы шейки матки.

В иммуногистохимическую лабораторию ОГКУЗ особого типа «Белгородское патологоанатомическое бюро» поступил материал шейки матки, полученный от пациентки 57 лет с первичным патогистологическим диагнозом лейомиосаркомы. Материал прислан с клиническим диагнозом рака шейки матки в виде спонтанно отделившегося из половых путей дисковидного фрагмента диаметром 5×4 см, толщиной до 2,5 см. Одна поверхность гладкая, полуокруглая, с наличием ближе к центру щелевидного отверстия, напоминающего наружный зев шейки матки. Противоположная поверхность мелкобугристая. Ткань с поверхности и на разрезах однородная, белесовато-серая, в виде «рыбьего мяса». При гистологическом исследовании обнаружена выраженно-плеоморфная веретеноэпителиоидно-клеточная опухоль с построением нечетких пучковых структур (см. рисунок, а), Рисунок 1. Морфологическая и иммуногистохимическая картина злокачественной периневриномы шейки матки. а - общий вид опухоли, нечеткие пучковые структуры из полиморфных веретеновидных и эпителиоидных клеток. а - окраска гематоксилином и эозином; а - ×200. некрозами, многочисленными (до 10 в поле зрения при увеличении в 400 раз) митозами с преобладанием патологических (см. рисунок, б). При первичном иммуногистохимическом исследовании с определением экспрессии цитокератина (АЕ1/АЕ3), гладкомышечного актина (1А4), рецепторов эстрогенов и прогестерона реакции отрицательные. Исследование было расширено в плане дифференциальной диагностики возможных вариантов опухолей. Реакции на кальдесмон (Е89), десмин (D33), CD34 (QBEnd/10), CD117 (Polyclonal), CD68 (Kp-1), S100 (4C4.9) отрицательные. Выявлена выраженная равномерная экспрессия эпителиального мембранного антигена (Е29) (см. рисунок, в) и виментина (V9). На основании морфологической картины и выявленного иммунофенотипа была заподозрена злокачественная опухоль с периневральной дифференцировкой клеток. Дополнительно в опухолевых клетках выявлены выраженная равномерная мембранная реакция на CD56 (123С3.D5) (см. рисунок, г), около 20% клеток с позитивной реакцией на CD57 (NK-1), около 10% клеток с экспрессией CD10 (56C6). Реакции на кислый глиальный фибриллярный протеин (EP672Y), белок нейрофиламент (NE14) отрицательные. В межклеточном матриксе выявлены депозиты коллагена IV типа (Polyclonal), в матриксе и цитоплазме части клеток выражена реакция на ламинин (Polyclonal) (см. рисунок, д). Реакция на bcl-2 (124) ближе к фоновой, но практически все опухолевые клетки были с яркой ядерной экспрессией р53 (DO7) (см. рисунок, е). На основании морфологической картины и выявленного иммунофенотипа диагностирована нейрогенная опухоль, соответствующая злокачественной опухоли из оболочек периферических нервов. С учетом данных литературы проводилась дифференциальная диагностика варианта опухоли.
Понятие «оболочки периферического нерва» объединяет периневрий, соединительную ткань эндоневрия и шванновские клетки. Доброкачественные периневриномы, составляющие гистологически гетерогенную группу, являются самостоятельной онконозологической единицей, тогда как злокачественная периневринома и злокачественная опухоль оболочек периферических нервов являются по сути одной разновидностью опухоли - одним из направлений дифференцировки последней [4, 5]. Опухоли могут иметь преобладающий иммунофенотип шванномы (позитивные опухоли S100), периневральный иммунофенотип или фенотип эндоневральных фибробластов (CD34 + ), а также смешанную дифференцировку. Злокачественные опухоли оболочек периферических нервов не менее чем в 50% случаев ассоциированы с нейрофиброматозом 1-го типа. Основной локализацией являются дистальные отделы конечностей, особенно нижних - почти половина случаев [5]. Висцеральные локализации, в том числе в теле и шейке матки, крайне редки.
Гистологическая структура большинства MPNST соответствует критериям сарком высокой степени злокачественности. Их строение может быть разнообразным и сходным с фибросаркомами, миксоидным, эпителиоидным, плеоморфным, мелкокруглоклеточным по типу саркомы Юинга/PNET, симулировать монофазную синовиальную саркому, мультиформную глиобластому [5]. Иммунофенотип MPNST неспецифичен и зависит от типа дифференцировки. От 30 до 70% случаев характеризуется фокальной экспрессией S100, часто соответствующей остаткам периферического нерва или нейрофибромы. Выявляется фокальная экспрессия цитокератинов 8 и 18, но реакции на цитокератины 7 и 19 негативные [10]. Позитивные реакции на десмин и актины отражают наличие гетерологичного рабдомиобластического компонента (дифференцировку по типу тритон-опухоли). До 50% опухолей экспрессируют CD56 и CD57, относительно характерна позитивная реакция на CD10. Трудности могут возникнуть при дифференциальной диагностике с монофазной синовиальной саркомой, до 40% которых экспрессируют S100, а около 1/3 - CD57. Помогает выявление характерной для синовиальных сарком экспрессии цитокератинов 7 и 19.
Злокачественные периневриномы также не имеют микроскопических признаков, позволяющих достоверно отличить их от гистологически сходных опухолей. К признакам периневральной дифференцировки относится коэкспрессия опухолевыми клетками виментина и эпителиального мембранного антигена при отрицательных реакциях на S100 и, как правило, цитокератины [4, 10]. Частота выявления последних составляет 35% случаев для цитокератина 14, 15% для САМ5.2, 10% для АЕ1/АЕ3, при этом реакция фокальная, умеренно или слабо выраженная [11]. Отмечается экспрессия компонентов базальных мембран - коллагена IV типа и ламинина. Электронно-микроскопические признаки периневрином включают обнаружение веретеновидных отростчатых клеток с пиноцитозными везикулами и наличием в перицеллюлярных пространствах элементов базальных мембран [5].
Сопоставление полученных нами результатов с данными литературы позволило расценить диагностированную опухоль как злокачественную опухоль из оболочек периферических нервов с периневральной дифференцировкой.
ФГБНУ «НИИ нейрохирургии им. акад. Н.Н. Бурденко», Москва, Россия
ФГБУ "НИИ нейрохирургии им. акад. Н.Н. Бурденко" РАМН, Москва
Злокачественная опухоль оболочек периферических нервов, развившаяся из слухового нерва: случай из практики и обзор литературы
Журнал: Журнал «Вопросы нейрохирургии» имени Н.Н. Бурденко. 2017;81(4): 95‑100
НИИ нейрохирургии им. акад. Н.Н. Бурденко РАМН, Москва
Авторами представлен редкий случай наблюдения пациентки со злокачественной опухолью периферического нерва, развившейся из слухо-вестибулярного нерва, а также обзор литературы, включающий 30 известных случаев данной патологии.
ФГАУ «НИИ нейрохирургии им. акад. Н.Н. Бурденко» Минздрава России, Москва, Россия
Список сокращений:
MPNST — злокачественная опухоль оболочек периферических нервов
МРТ — магнитно-резонансная томография
КТ — компьютерная томография
Злокачественная опухоль оболочек периферических нервов — malignant peripheral nerve sheath tumor (MPNST) относится к редкой и гетерогенной группе мезенхимальных злокачественных новообразований, рассматриваемых в большинстве публикаций как саркоматозный процесс. Эта группа опухолей составляет 5—10% всех сарком мягких тканей, с примерной частотой встречаемости 1 человек на 1 млн населения в год [1—4].
Последняя редакция морфологической классификации ВОЗ определяет два подтипа злокачественных опухолей оболочки периферического нерва: эпителиоидная MPNST и MPNST с периневральной дифференциацией, которые признаются достаточно различными по клиническому течению. Другие подтипы MPNST, такие как опухоль Тритона, железистая MPNST и др., которые ранее рассматривались отдельно, в настоящее время расцениваются как гистологические варианты [5]. MPNST могут развиваться как первично из клеток оболочки периферического нерва, так и при малигнизации нейрофибром и шванном [3]. Большинство MPNST развивается в толще мягких тканей из проксимальных частей периферических нервов верхних и нижних конечностей. Наиболее часто поражаются седалищные нервы, плечевое сплетение, крестцовое сплетение. Черепные нервы являются источником роста опухоли в менее чем 5% случаев [3, 6, 7]. Из интракраниальных MPNST чаще поражаются лицевой и слуховой нервы [2, 4]. На 1041 вестибулярную шванному приходится 1 случай MPNST слухового нерва [1]. До 50% MPNST развиваются у пациентов с нейрофиброматозом [8, 9].
Стоит отметить, что литературы по интракраниальным MPNST, в частности по опухолям, происходящим из акустико-фациальной группы нервов, крайне мало. В основном публикации представляют «случай из практики», и лишь в единичных работах анализируются серии наблюдений [1, 4].
Основными факторами риска возникновения MPNST являются нейрофиброматоз 1-го типа и предшествующее радиологическое лечение. В 8—13% случаев у пациентов с НФ 1-го типа в течение жизни развивается MPNST [10]. Большинство источников литературы [8, 9] представляют случаи малигнизации доброкачественных неврином или нейрофибром. Риск трансформации вестибулярной шванномы в MPNST после проведения радиологического лечения составляет от 1/500 до 1/2000 случаев [11—13]. В единичных исследованиях [4, 13—15] сообщается о развитии MPNST без предшествующего лучевого лечения.
Дифференциальный диагноз MPNST включает невриному, параганглиому, гемангиому, эпендимому, ангиолипому, солитарную фиброзную опухоль, лимфому, гемангиоперицитому, каверному, атипичную или анапластическую менингиому, бифросаркому, синовиальную саркому, меланому.
Метастазирование MPNST осуществляется как гематогенным путем, так и с током ликвора [6].
Лечение пациентов с данной патологией включает в первую очередь хирургическое удаление опухоли. Цель хирургического вмешательства — тотальное удаление, но и оно не предотвращает рецидива. В большинстве случаев радикальное удаление выполнить не удается ввиду инфильтративного роста опухоли. Радикальность в этом случае приводит к грубой инвалидизации или летальному исходу. Оперативное лечение необходимо дополнять лучевой терапией. Применение химиотерапии и ее эффективность оспариваются частью специалистов [1, 6].
Наиболее современное исследование, посвященное MPNST, представляет анализ 24 случаев MPNST слухового нерва, возникших без предшествующего хирургического и лучевого лечения [1]. Распределение пациентов по полу в серии наблюдений было равнозначное. Средний возраст пациентов на момент установления диагноза составил 44 года, что было примерно на 10 лет меньше, чем при спорадической вестибулярной шванноме [1, 16]. В клинической картине заболевания, помимо кохлеовестибулярного синдрома, выявлялся паралич лицевого нерва. По данным нейровизуализации определялись такие признаки, как нечеткость границ опухоли, отек ствола головного мозга, полости распада в опухоли [1].
Прогноз у пациентов с MPNST крайне неблагоприятный. Медиана продолжительности жизни с момента установления диагноза составляет 3 мес. Наиболее значимыми факторами, влияющими на эффективность лечения, признаются тотальное удаление, радиотерапевтическое лечение, женский пол [17].
Клиническое наблюдение
Пациентка К., 19 лет, поступила 02.03.16 в ННПЦН им. акад. Н.Н. Бурденко с жалобами на головокружения, боль в лице и области уха, слабость лицевой мускулатуры, сильную головную боль, тошноту и рвоту, двоение предметов перед глазами, онемение на лице.
Появление первых симптомов — сильной стреляющей боли в правом ухе и головокружений — отмечено 17.11.15 на фоне острой респираторной инфекции. Через 3 дня присоединилась сильная головная боль с тошнотой, рвотой, стал быстро снижаться слух на правое ухо. Впервые выполненная МРТ головного мозга 27.11.15 показала изменения в области правого внутреннего слухового прохода.
В результате выполненной 02.12.15 МРТ головного мозга с контрастным усилением, показавшей наличие интраканальной опухоли, распространяющейся в сторону мостомозжечковой цистерны, заподозрена невринома слухового нерва. Было принято решение проводить динамическое наблюдение. Однако 14.12.15 остро развилась слабость лицевой мускулатуры, стала нарастать интенсивность головокружений. Внепланово была выполнена контрольная МРТ головного мозга 13.01.16, где отмечалось увеличение экстраканальной части опухоли почти в 2 раза. В течение подготовки к хирургическому лечению отмечалось значительное ухудшение состояния: нарастание статодинамических нарушений, увеличение выраженности симптоматики со стороны правого мостомозжечкового угла, появление бульбарных нарушений, выраженных общемозговых симптомов. По МРТ головного мозга от 22.02.16 отмечалась прогрессия экстраканальной части опухоли до 3 см. На фоне терапии глюкокортикоидами, обезболивающими и противорвотными препаратами состояние пациентки стабилизировалось.
Пациентка поступила в ННПЦН им. акад. Н.Н. Бурденко в тяжелом состоянии. В клинической картине заболевания выявлялась развернутая симптоматика поражения правого мостомозжечкового угла в виде недостаточности тройничного, лицевого (паралич лицевой мускулатуры справа), слухового (глухота) нервов, бульбарных нарушений, правосторонней гемиатаксии. Также выявлялась выраженная общемозговая симптоматика, представленная головной болью, тошнотой и рвотой, локальными болями в области уха.
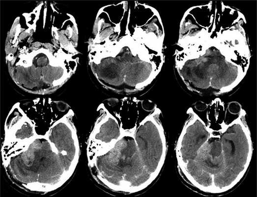
Учитывая темп развития симптомов, был заподозрен злокачественный характер опухоли. В день поступления (02.03.16) пациентке выполнена МРТ головного мозга и спинного мозга с контрастным усилением. Была выявлена диссеминация процесса с появлением опухоли в левом внутреннем слуховом проходе, множественных очагов патологического накопления контрастного вещества оболочек спинного мозга. Динамика распространения первичного очага и метастазирование представлены на рис. 1 и 2.

Рис 2. МРТ от 02.03.2016 - метастазирование опухоли по оболочкам спинного мозга (указаны стрелками).
Учитывая распространенность патологического процесса, низкий уровень статуса по шкале Карновского (40 баллов), было принято решение о паллиативной операции — расширенной декомпрессии задней черепной ямки от правого сигмовидного синуса до середины левой гемисферы мозжечка и краниовертебрального перехода, частичном удалении опухоли с экспансивной пластикой твердой мозговой оболочки.

Рис. 3. Рис 3. КТ головного мозга, выполненная на 6-е сутки после операции. Признаки быстрого продолженного роста опухоли.
Таким образом, от появления симптомов до выявления опухоли на МРТ головного мозга прошло 10 дней, а длительность заболевания до летального исхода составила 136 дней.
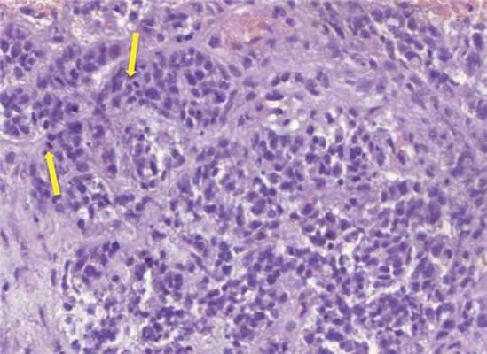
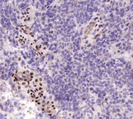
Морфологическое исследование выявило злокачественную опухоль с кровоизлияниями и некрозами. Опухоль состояла из биполярных клеток с удлиненными отростками и овальными полиморфными ядрами, клетки местами формировали альвеолярные структуры. Фигуры митозов были видимы даже при относительно небольшом увеличении (рис. 4). Иммуногистохимическое исследование выявило: положительную экспрессию эпителиальных маркеров — цитокератина АЕ1/3 (+++) и эпителиального мембранного антигена EMA (++), гладкомышечного актина SMA (++), синаптофизина syn (+) в опухолевых клетках; экспрессию CD34 (+) в эндотелии сосудов. Экспрессии S100, глиофибриллярного кислого белка GFAP, общего лейкоцитарного антигена CD45 в опухолевых клетках не выявлено. Также в опухолевых клетках отсутствовала экспрессия INI1 при сохранной экспрессии антитела в эндотелии сосудов (рис. 5). Индекс мечения пролиферативного маркера Ki-67 — более 90% (рис. 6). Проводился дифференциальный диагноз между атипической тератоидно-рабдоидной опухолью, эпителиоидной саркомой, эпителиоидной злокачественной опухолью оболочек периферического нерва. Заключение: учитывая возраст, характер роста и распространение опухоли, иммуногистохимические данные более соответствуют диагнозу «эпителиоидная злокачественная опухоль периферического нерва (WHO grade IV)». Аутопсия не производилась.

Рис. 4. Гистологический препарат опухоли. Окраска гематоксилином и эозином, увеличение Х300. Альвеолярные структуры и митозы (указаны стрелками).

Рис. 5. Гистологический препарат опухоли. Иммуногистохимическое исследование, увеличение Х300. Отсутствие экспрессии INI1 в ядрах опухолевых клеток при сохранной экспрессии в эндотелии сосудов (внутренний контроль корректной работы антитела).

Рис. 6. Гистологический препарат опухоли. Иммуногистохимическое исследование, увеличение Х200. Высокий индекс мечения пролиферативного маркера Ki-67.
MPNST являются малоизученными опухолями, что связано с низкой частотой встречаемости (очень редко встречается MPNST слухо-вестибулярного нерва) и крайне неблагоприятным исходом. Выраженность симптоматики уже на ранних стадиях заболевания зачастую помогает диагностировать опухоль, когда она небольших размеров. Дифференциальный диагноз, в частности с невриномой слухового нерва, создает трудности в планировании оперативного лечения. К моменту операции пациенты имеют опухоли большого размера и признаки метастазирования по центральной нервной системе. Оперативное лечение на ранних этапах при условии радикального удаления и проведения последующей лучевой терапии увеличивает продолжительность жизни от 1 года до 3 лет. При отсутствии оперативного лечения в среднем через 3 мес после начала заболевания наступает летальный исход. Применение химиотерапии в настоящее время оспаривается.
Заключение
MPNST, развивающаяся из VIII пары черепных нервов, является редкой опухолью, представляющей большие трудности в хирургическом удалении и последующем адъювантном лечении. Отсутствие хирургического лечения приводит к летальному исходу в короткие сроки. Даже тотальное удаление опухоли не предотвращает развития рецидива. Прогноз заболевания неблагоприятный.
Авторы заявляют об отсутствии конфликта интересов.
Комментарий
Редкая злокачественная опухоль, развивающаяся из клеток шванновской оболочки периферических нервов (нейроэктодермального происхождения) преимущественно у людей среднего возраста, чаще на бедре, голени, предплечье, очень редко на шее, голове.
Часто опухоль бывает инкапсулированной, нередко в виде крупнобугристого узла. При поражении крупного нервного ствола, последний веретенообразно утолщен и неотделим от опухоли.
Поражение опухолью периферических нервов не всегда сопровождается выраженным болевым синдромом и другими неврологическими расстройствами. Они возникают приблизительно у половины больных. При дифференцированных формах рост опухоли медленный. Быстрый рост опухоли обычно связан с ее выраженной анаплазией. Опухоль четко отграничена, имеет плотную или плотно-эластическую консистенцию, способна поражать кожу и/или вызывать деструкцию кости. Опухоль иногда содержит известковые включения, что выявляется при рентгенографии. Окончательный диагноз выставляется после морфологического исследования. Способность опухоли к гематогенному метастазированию невысока и наблюдается у 12—15% больных. Еще реже опухоль метастазирует лимфогенным путем.
Нейробластома
Злокачественная опухоль симпатических ганглиев. Локализуется в забрюшинном пространстве, мягких тканях конечностей, в надпочечниках, легких. Растет быстро. Рано метастазирует. Имеет неблагоприятный прогноз.
Наши партнеры
О нас
Восточно-европейская группа по изучению сарком создана на базе центра имени Н.Н.Блохина РАМН, которая объединяет ведущих специалистов в области лечения сарком России и стран СНГ.
Читайте также:
- Техника задней фораминотомии при эндоскопической дискэктомии. Операции на грудном отделе позвоночника.
- МРТ при импиджмент-синдроме заднего отдела голеностопного сустава
- МРТ, КТ при эндометриозе толстой кишки
- Целлюлит на руках. Как решить проблему целлюлита рук?
- Неврологические осложнения эндокринных болезней у ребенка
