Техника, этапы операции по поводу переднего импинджмента голеностопного сустава
Добавил пользователь Владимир З. Обновлено: 10.01.2026
В нашей клинике артроскопию суставов проводят одни из самых лучших специалистов России и Европы, успешно выполнившие десятки тысяч артроскопических вмешательств за последние 30 лет.
Среди них и самая первая, сделанная в Ленинграде в 1986 году, которую провел Кузнецов Игорь Александрович - ныне профессор травматологии и ортопедии главный врач СпортКлиники.
Голеностопный сустав - это сложное анатомическое образование, обеспечивающее подвижное сочленение между голенью и стопой. Состоит из трех костей: малоберцовой (наружная лодыжка), большеберцовой (внутренняя лодыжка) и таранной, а также мышц и связок. Основная его функция-осуществление движения стопы в одной плоскости (сгибание и разгибание), в стороны - приведение и отведение, ротационные. При этом сустав несет нагрузку веса всего тела и подвержен травматическим повреждениям (переломам, вывихам, растяжениям и разрывам связок) с наибольшей частотой. Для диагностики и лечения патологий становятся все более популярны артроскопические операции из-за низкой травматичности и быстрой успешной реабилитации. .
Симптоматика может быть острой и хронической и сходна с таковой при проблемах других суставов:
- Болевой синдром - ощущения могут иметь разный характер: резкая, ноющая, нарастающая со временем и при движении и т. п.
- Отечность может возникать при острой травматизации связок, сухожилий и костей, либо являться признаком хронического воспалительного процесса и скопления жидкости в полости сустава.
- При травмах, растяжениях и разрывах связочного аппарата наблюдается нестабильность, что приводит к аномальным движениям или нарушению функции.
- Снижение амплитуды сгибания и разгибания сустава может сопровождать большинство его патологических процессов.
- Блокада или «заклинивание» - симптом, сопровождающий наличие свободных хондральных тел внутри сустава, импинджмент-синдром и другие процессы. Может быть периодически возникающей или стать постоянной.
Как правило, симптоматика носит комплексный характер. И, чем раньше происходит обращение пациента к специалисту, тем более эффективным и щадящим будет процесс лечения. В настоящее время артроскопия помогает точно диагностировать и устранить большинство патологий голеностопного сустава. По частоте выполнения она занимает третье место после коленного и плечевого. Ввиду особенностей строения сустава выделяют несколько доступов к передней и задней его части. Близость нервных и сосудистых магистралей обуславливает дополнительные сложности техники исполнения оперативного лечения.
Подготовка к артроскопии
Подготовка включает лабораторное обследование, при необходимости - дополнительную диагностику сопутствующих заболеваний и консультации специалистов. Накануне операции рекомендуют воздержание от тяжелой пищи, за неделю - от алкоголя.
Ход операции
Эндоскопическое вмешательство проводится под местной (спинальной или проводниковой) анестезией. Доступ к оперируемому отделу избирается согласно предварительному диагнозу. После ревизии сустава врач принимает решение о необходимости и объеме лечебных мероприятий.
Показания к проведению артроскопии голеностопного сустава
Артроскопия голеностопного сустава при переломе таранной кости.
Наиболее часто артроскопия голеностопного сустава проводится по следующим показаниям:
Рассекающий остеохондрит
Это асептическое заболевание, характеризующееся некротизацией частей хряща и кости со временем, с дальнейшим отделением некротизировавшихся участков и образованием свободных хондральных тел. Заболевание встречается у лиц молодого возраста. В процессе артроскопии производится удаление некротизировавшихся тканей, фиксация жизнеспособных участков хряща, устранение очагов воспаления, санация суставной поверхности (дебридмент).
Импинджмент-синдром
Так именуется соударение костных структур сустава. Различают передний и задний импинджмент-синдром голеностопа, каждый из которых имеет свои особенности. В обоих случаях край большеберцовой кости соударяется с таранной костью, происходит защемление суставной капсулы и синовиальной оболочки, что сопровождается болевой симптоматикой и ограничением движений вплоть до блокады. Передний - наиболее распространен среди профессиональных спортсменов, часто интенсивно разгибающих стопу (баскетболисты, футболисты), и является следствием травм, в основном, связочного аппарата, задний - у артистов балета.
Предрасположенностью к заднему импинджменту может послужить ostrigonum - у некоторых людей бугристость таранной кости может быть отдельной костью. Импинджмент сопровождается периодическим воспалением, что впоследствии приводит к образованию костных разрастаний (остеофитов), соединительно-тканных рубцовых структур, спаек. Артроскопически удаляют остеофиты и другие патологически измененные ткани, патологические сращения. Функция сустава восстанавливается, как правило, полностью.
Повреждения хрящевой ткани
Могут быть травматической или дегенеративной этиологии, единичные или множественные, с полным отрывом частей хряща или без него. Тактика лечения избирается каждому пациенту индивидуально в зависимости от сроков, причин особенностей, распространения деформаций хряща. Оценивается возможность восстановления его целостности и фиксации отделившегося фрагмента, восстановление гладкой поверхности (абразивная хондропластика, дебридмент).
Хронический синовит голеностопного сустава
Довольно частая патология, обусловленная множеством факторов, при которой болевой синдром носит постоянный ноющий характер, может наблюдаться некоторая отечность и ограничение подвижности. Синовит (воспаление синовиальной оболочки сустава) при упорном рецидивировании лечат хирургически. Артроскопически производится полное или частичное удаление оболочки (синовэктомия). Впоследствии таким пациентам показано наблюдение и комплексное лечение во избежание осложнений.
Послеоперационная реабилитация
В послеоперационный период рекомендуется ограничить нагрузки, для чего используют гипсовую шину, костыли (не более 1-2 недель) или фиксатор. После снятия швов пациент проходит программу активной реабилитации, включающей различные виды ЛФК, физиотерапию и другие мероприятия, направленные на снижение отечности и восстановления двигательных функций. При соблюдении рекомендаций врача-реабилитолога, в течение двух месяцев пациенты полностью восстанавливаются и возвращаются к привычной активной жизни.
Передний большеберцово-таранный импиджмент
Наиболее часто данная патология связана с образованием остеофитов по передней поверхности большеберцово-таранного сустава. Помимо переднего выделяют наружный, внутренний и задний импинджмент большеберцово-таранного сустава, которые связаны с избыточным разрастанием мягких тканей по передне-наружной или задней поверхности голеностопного сустава или костными повреждениями данных областей, они будут рассмотрены отдельно. Передний большеберцово-таранный импинджмент наиболее часто встречается у рэгбистов, футболистов и танцоров.
Патогенез переднего большеберцово-таранного импинджмента связан с постоянной перегрузкой, повреждением, травмой и последующими дегенеративными изменениями приводящими к формированию механических препятствий для нормальной работы тибиотаранного сустава.
С течением времени постоянные микроповреждения приводят к разрастанию рубцовой и фиброзно-хрящевой ткани в области переднего отдела большеберцово-таранного сустава, ущемление которой при тыльном сгибании стопы и приводит к боли.

Рубцовая ткань в области переднего отдела большеберцово-таранного сустава
Другой причиной импиджмента могут служить остеофиты, которые постепенно растут, приводя к прогрессивному уменьшению амплитуды тыльного сгибания, а отламываясь, они оказываются в суставе, что может усугубить симптоматику, приводя к его заклиниванию и болям.

Остеофиты в области переднего отдела большеберцово-таранного сустава
Отдельную роль в формировании переднего большеберцово-таранного импиджмента играет связка Бассета( передняя-нижняя-большеберцово-малоберцовая связка), так как она оказывает непосредственное давление на купол таранной кости в положении тыльного сгибания, ограничивая его смещение кпереди. При подошвенном сгибании она оказывает давление на шейку таранной кости.

Гипертрофированная связка Бассета (передняя-нижняя-большеберцово-малоберцовая связка)

Механизм повреждения при формировании большеберцово-таранного импинджмента
Классификация тибиотаранного импинджмента Van Dijk базируется на рентгенографической картине. Стадия 0 характеризует нормальную рентгенологическую картину. Стадия 1 - остеофиты не приводят к сужению суставной щели. Стадия 2 - сужение суставной щели с\без костными разрастаниями. Стадия 3 - значительное сужение суставной щели. Эта классификация позволяет прогнозировать результаты лечения. При 0-1 стадии лечением удовлетворены 82% пациентов, при 2 уже только 50%, при 3 стадии пациенты часто бывают не удовлетворены результатами, так как выраженные остеортрозные изменения сустава обуславливают сохранение болевого синдрома.
Симптомы переднего большеберцово-таранного импинджмента. Наиболее частым симптомом тибиотаранного импинджмента является боль по передней поверхности голеностопного сустава, появившаяся на фоне неоднократных его травм. При осмотре определяется боль при форсированном тыльном сгибании стопы, ограничение тыльного сгибания стопы, могут определяться отёк по передней поверхности голеностопного сустава, выпот, при этом движения в подтаранном суставе безболезненные.
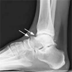
Визуализация переднего большеберцово-таранного импинджмента.Рекомендовано использовать прямую, боковую и косую проекцию при выполнении рентгенографии. На рентгенограммах определяются костные шипы в области дистального отдела большеберцовой кости или по тыльной поверхности таранной кости. Косые проекции позволяют определить остеофиты по передне-медиальной поверхности. КТ и МРТ позволяют более детально оценить степень разрастания остеофитов и их локализацию.
Рентгенография голеностопного сустава в боковой проекции, показывающая костные разрастания в области нижнего отдела большеберцовой кости и шейки таранной кости
Если рентгенография не позволяет выявить патологии, это не значит что её нет. Костные разрастания могут просто не попасть в выполненную проекцию, а мягкотканные повреждения на рентгенографии не определяются. МРТ в подобных ситуациях позволяет не только локализовать повреждение, но также определить наличие сопутствующих изменений суставного хряща, связок, синовиальной оболочки, капсулы сустава, степень выраженности субхондрального склероза и формирование кист, что позволяет более точно планировать оперативное вмешательство.
МРТ того же пациента позволяющая не только увидеть и локализовать место расположение остеофита, но также показывающая утолщение суставной капсулы, отёк костного мозга - свидетельствующие о наличии большеберцово-таранного импинджмента.
Консервативное лечение переднего большеберцово-таранного импинджмента.
В первую очередь, консервативное, заключается в снижении нагрузки, физиотерапии, ограничении объёма движений, противовоспалительной терапии. При неэффективности консервативных мер показано удаление остеофитов, которое может быть выполнено артроскопически.
Хирургическое лечение переднего большеберцово-таранного импинджмента.
К хирургическому лечению прибегают при неэффективности консервативных мер. Целью оперативного лечения является удаление остеофитов и любой избыточной ткани, формируя пространство для нормального функционирования большеберцово-таранного сустава и препятствуя рецидиву импинджмента. Существует две принципиально отличающиеся методики - открытая и артроскопическая.
Для открытой операции используется передне-медиальный доступ, непосредственно кнутри от передней большеберцовой связки. После рассечения тыльного удерживателя разгибателей, производится тупое выделение капсулы сустава. Выполняется иссечение разрастаний синовиальной оболочки. Остеофиты на шейке таранной кости и дистальном отделе большеберцовой кости лучше всего визуализируются в положении тыльного сгибания стопы. Далее производится аккуратное удаление остеофитов, при этом тыльную артерию стопы и глубокий малоберцовый нерв лучше защитить ретрактором или любым другим подходящим инструментом. После удаления всей избыточной ткани производится послойное ушивание раны.
Для артроскопического лечения большеберцово-таранного импинджмента, в положении больного на спине выполняется два небольших доступа по передненаружной и передневнутренней поверхности в проекции шейки таранной кости. Необходимо определить расположение тыльного сосудисто-нервного пучка, так как он может быть повреждён во время выполнения доступа и самой операции. Остеофиты и разрастания соединительной ткани убираются при помощи бура и шейвера. При этом как бур так и шейвер должны постоянно находится в зоне видимости и не стоит направлять их дорсально, чтобы не повредить сосудисто-нервный пучок.
Артроскопическая резекция связки Бассета. В случае когда интраоперационно обнаруживается избыточный контакт связки Бассета с таранной костью, на всём протяжении движений в голеностопном суставе, с повреждением суставного хряща, или подворачиванием гипертрофированной связки под передний край большеберцовой кости показано её иссечение.
При выполнении артроскопических доступов к голеностопному суставу необходимо помнить топографическую анатомию основных сосудов и нервов данной области

Удаление остеофитов при помощи бура
Осложнением оперативного лечения может стать повреждение поверхностного малоберцового нерва, вены сафены и дорсального сосудисто-нервного пучка стопы.
После операции разрешается ходьба с полной нагрузкой с иммобилизацией в жёстком ортезе на срок 2 недели. Затем проводится комплекс упражнений направленный на восстановление амплитуды движений, увеличение силы и наращивание мышечного баланса в течение 6-8 недель.
Результаты лечения во многом зависят от стадии заболевания на момент обращения. При 0-1 стадии, когда не выражен остеоартроз большеберцово-таранного сустава эффективность лечения достигает 90%, при начальных признаках остеоартроза она падает до 50%, а при выраженных изменениях составляет всего 25%.

Никифоров Дмитрий Александрович
Хирургия стопы и голеностопного сустава, коррекция деформаций конечностей, эндопротезирование суставов, артроскопическая хирургия, спортивная травма.
Субакромиальный импинджмент-синдром
Одно из заболеваний плечевого сустава, вызывающее нарушение его функции — импинджмент синдром. При этой патологии постоянно происходит ущемление сухожилий вращательной манжеты между акромиальным отростком лопатки и проксимальным концом плечевой кости.

Со временем ситуация усугубляется. Если в начале заболевания болевые ощущения незначительны и возникают редко, то при прогрессировании патологии болевой синдром сопровождает пациента постоянно, а объем движений уменьшается практически до полного их отсутствия.
Если обратиться к врачу при первых проявлениях патологического процесса, таких последствий можно избежать.
Причины, механизм развития
Импинджмент синдром плеча чаще развивается у представителей сильного пола старше 40 лет. Это связано с тем, что мужчины чаще женщин занимаются спортом и тяжелым физическим трудом. Именно эти факторы влияют на состояние плечевого сустава. Особому риску подвержены лица, профессия которых связана со стереотипными движениями, связанными с поднятием руки вверх.
В таком положении происходит постоянное «столкновение» двух костных структур: головки плечевой кости и акромиона. В результате происходит ущемление ротаторной манжеты. Сухожилия постоянно травмируются, с годами развивается дегенерация тканей, что может стать причиной серьезных нарушений вплоть до их разрыва. Крючковидная форма акромиона повышает риск развития импинджмента.
При постоянном повреждении сухожилий формируется хронический очаг воспаления. Вследствие этого происходит разрастание костной ткани. На поверхности акромиона формируются остеофиты, что сокращает пространство, в котором двигаются сухожилия. Ущемление вращательной манжеты происходит уже при движениях меньшей амплитуды, а острые края остеофитов дополнительно травмируют связочный аппарат. Если не разорвать этот порочный круг, возникают необратимые изменения.
Стадии и симптомы
Заболевание развивается постепенно. Можно выделить три основных стадии:
- Первая стадия характерна для лиц молодого возраста, испытывающих постоянные нагрузки на плечелопаточное сочленение. Травматизация связок вызывает кровоизлияния, формируется отек. Пациенты жалуются на болезненность при движениях. Необратимых изменений на этой стадии нет, проблема решается с помощью комплексного консервативного лечения.
- На следующем этапе формируются фиброзные изменения сухожилий, развивается воспалительный процесс. Эти изменения уже являются необратимыми, поэтому помочь можно только хирургическим путем.
- На последнем этапе появляются патологические разрастания костной ткани. При отсутствии своевременной медицинской помощи болезнь заканчивается разрывом сухожилий.
Процесс начинается с появления боли. Обычно она возникает в состоянии покоя. Неприятные ощущения локализованы преимущественно с наружной стороны плечелопаточного сочленения. Отведение руки в сторону существенно ограничено, а в запущенной стадии невозможно. При сборе анамнеза врачу удается установить связь возникновения симптомов с травмой или интенсивной нагрузкой.
Импинджмент синдром правого плечевого сустава характерен для людей определенных профессий, где основная нагрузка ложится на правую руку. Соответственно, если человек — левша, у него развивается импинджмент синдром левого плечевого сустава.
Диагностика
Для того, чтобы дифференцировать импинджмент синдром от других заболеваний, доктор проводит обследование в несколько этапов:
- беседа, выяснение жалоб, поиск причины заболевания;
- клинический осмотр;
- выполнение специальных тестов;
- инструментальная диагностика.
Наиболее информативными являются инструментальные методы исследования. Рентгенография используется редко, поскольку этот метод позволяет оценить лишь состояние костной ткани, а о повреждении связочного аппарата с ее помощью можно судить косвенно. КТ и МРТ позволяют комплексно оценить состояние плечелопаточного сочленения, определить состояние мягких тканей, расстояние между костными структурами. Эти методы позволяют не только выявить болезнь, но и определить оптимальную тактику лечения.


Импинджмент-синдром.а. МРТ плечевого сустава, б. рентгенография плечевого сустава.
Для верификации диагноза используют также тест с введением лидокаина (с стероидами) в суставную сумку. Это вызывает временное уменьшение интенсивности боли.
Лечение
Методика лечения зависит от стадии заболевания. Тактика определяется только после комплексного обследования пациента.
Консервативная терапия
Impingement syndrome на начальной стадии лечится консервативно. Обязательным условием, необходимым для выздоровления, является ограничение движений руки. Это касается тех движений, которые приводят к ущемлению сухожилий мышц. Данное мероприятие позволяет исключить постоянную травматизацию и создать оптимальные условия для восстановления связочного аппарата.
Широко используется введение противовоспалительных препаратов и глюкокортикостероидов в полость сустава (параартикулярно). Таким образом удается в минимальные сроки создать необходимую для терапевтического эффекта концентрацию лекарств в области поражения.
Широко используются физиотерапевтические методы лечения: магнитотерапия, ультразвук, воздействие электрическим полем. Эти факторы оказывают противовоспалительное действие, улучшают микроциркуляцию и стимулируют регенеративные процессы в тканях.
В комплекс процедур входят и занятия лечебной физкультурой. Специальные упражнения препятствуют развитию контрактур, позволяют восстановить объем движений руки.
Консервативная терапия — это длительный процесс, требующий организованности и терпения. Вышеперечисленные процедуры длятся в течение 3-4 месяцев. Если видимого результата добиться не удалось, решается вопрос о хирургическом вмешательстве.
Оперативное лечение
В ведущих клиниках врачи используют самую передовую методику — операцию методом артроскопии. Через небольшие надрезы в область поражения вводится оптика и инструменты. Такая манипуляция позволяет удалить костные разрастания, скорректировать форму акромиального отростка, восстановить целостность связочного аппарата при минимальных повреждениях здоровых тканей.
Современное оборудование в руках доктора, досконально владеющего методикой, позволяет восстановить функцию плечевого сустава даже в наиболее сложных случаях. Современная хирургия дает шанс даже тем пациентам, у которых рука не работала в течение нескольких лет.


После операции по поводу импинджмент синдрома необходима иммобилизация конечности. Следующий этап — реабилитация с использованием ЛФК, физиопроцедур и массажа.
Профилактика
Следует избегать больших нагрузок на плечевой сустав. Если работа связана с выполнением однообразных движений, нужно давать возможность руке отдыхать. При первых симптомах заболевания стоит сразу обратиться к врачу и лечить сустав. Это позволит быстро снять неприятные симптомы и избежать развитие необратимых процессов.
В нашей клинике богатый опыт лечения таких пациентов. Благодаря владению современными методами диагностики и лечения мы проводит успешное лечение импинджмент синдрома не только на начальной стадии, но и в запущенных случаях.
Мы поможем вам за короткий срок восстановить функцию плечевого сустава и вернуться к привычному активному образу жизни.
Импинджмент голеностопного сустава
Область голеностопа - важная часть опорно-двигательного аппарата. С помощью голеностопного сустава рационально распределяется по стопе вес тела при передвижении в вертикальном положении, обеспечивается высокая маневренность при ходьбе и беге, становятся возможными многие движения.
Различные поражения голеностопа значительно снижают уровень жизни человека, вредят его работоспособности и могут даже приводить к инвалидизации.
Одно из таких патологических состояний - импинджмент.

Импинджмент голеностопного сустава - что это
В образовании голеностопного сустава участвует сразу три костные структуры: больше- и малоберцовая кости, таранная кость. При их адекватном взаимодействии между собой пациент не замечает сбоев в работе сустава. Однако бывает и так, что край таранной кости начинает ударяться о край большеберцовой кости. Происходит это в состоянии крайнего сгибания или разгибания, и также помогает развитию этой патологии травма сочленения.
Подобное состояние в медицинской практике называют импинджмент голеностопного сустава.


Причины недуга
Ущемление капсулы сустава вместе с синовиальной оболочкой в области голеностопа, приводит к развитию импинджмента. В местах, где происходит сдавливание, начинают разрастаться остеофиты (иначе их называют костными шипами), развивается активный воспалительный процесс.
Наличие остеофитов приводит к еще большему уменьшению естественного пространства между таранной и большеберцовой костями. Как следствие, капсула сустава и синовиальная оболочка страдают еще сильнее, выраженность воспалительного процесса возрастает, усиливается болевой синдром.
Выделяют три основные причины, которые способствуют развитию патологического состояния:
- наличие врожденной предрасположенности у пациентов;
- перенесенные и неправильно пролеченные травмы голеностопного сустава;
- наличие хронического воспалительного процесса, спровоцированного другими факторами.
Любая из причин может способствовать негативным изменения в суставе. Как следствие, человек столкнется с симптомами заболевания, и будет значительно страдать.
Типы и степени импинджмента
Выделяют два основных типа импинджмент-синдрома: передний и задний.
Передний импинджмент - это в основном следствие травматического повреждения связочного аппарата голеностопа. Любая нестабильность сочленения, даже если она выражена совсем слабо, помогает его травматизации в положении крайнего разгибания.
По статистике, от переднего импинджмента в основном страдают атлеты. У них недуг спровоцирован частой высокой нагрузкой на переднюю часть сустава, что вызывает постоянные его повреждения. В первую очередь при данном недуге уменьшается амплитуда разгибания сочленения.

Задний импинджмент часто связно с анатомическими особенностями строения голеностопа и травмами. Задний тип импинджмента характерен в основном для балетных танцоров. Ведь во время этого танца человек вынужден много ходить на кончиках пальцев, что приводит к сильному сгибанию голеностопного сустава в задней части и, как следствие, к травматизации.
О существовании заднего импинджмента часто забывается, хотя на самом деле заболевание может привести к серьезным нарушениям функции сочленения.
Недуг можно также разделить на несколько степеней:
- I степень - характеризуется наличием шпоры размером до 3 мм на большеберцовой кости, носит название синовиальной степени;
- II степень - остеохондральная, размер шпоры превышает отметку в 3 мм;
- III степень - можно определить экзостозы с фрагментацией или без нее, шпора появляется также на таранной кости;
- IV степень - развиваются изменения, характеризующие артрозы.


Симптоматика
Ранняя стадия заболевания всегда характеризуется болевым синдромом. Боль характеризуется пациентами, как тупая, возникающая в основном при попытках совершить определенные движения. По мере прогрессирования патологии можно отметить также наличие следующих симптомов:
- ограничение подвижности сустава;
- изменения в походке пациента и нарушение опороспособности конечности, которые вызваны в основном болевым синдромом;
- постепенное уменьшение тонуса конечности;
- отечность вокруг поврежденного сустава;
- деформация сустава в последних стадиях.
Симптоматика обычно выражена довольно сильно. В зависимости от типа болезни, боль могут усиливать просьбы согнуть или разогнуть конечность резко до предела.
При подозрении у пациента импинджмента голеностопного сустава, всегда врач начинает с осмотра пораженной зоны. В первую очередь он может попросить больного совершить сгибательные и разгибательные движения в суставе, чтобы оценить подвижность сочленения. При этом обязательно будет уточнено, испытывает ли пациент боли при подобных движениях. Нередко выполняется стресс-тест, при котором пациента просят сесть на корточки и спрашивают, появились ли боли. Если есть подозрение на задний тип болезни, то вместо просьбы присесть на корточки, можно услышать просьбу встать на носочки.
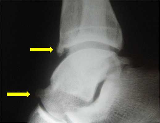
Пациенту обязательно назначают рентгенограмму. На рентгенологическом снимке доктор легко увидит остеофиты - костные разрастания, появившиеся из-за воспалительного процесса. Дополнительно выполняется снимок в стрессовом положении. На нем доктор определит, есть ли соударение костей.
МРТ для диагностики недуга не является обязательным исследованием. Его выполнение рекомендуется, если необходимо провести дифференциальную диагностику с другими патологиями либо в начальных стадиях патологии.
Особенности лечения
Консервативные методы
Терапию стоит начинать, как только появятся первые же симптомы патологических изменений в сочленении. Именно раннее начало лечения, уберегает от необходимости решать проблему хирургически!
В консервативную терапию включают:
Оперативное вмешательство
Сегодня можно выполнять операции при импинджменте артроскопически. Подобный подход характеризуется меньшей травматичностью и, как следствие, более быстрым восстановлением после операции.
В ходе артроскопической операции доктор выполняет удаление остеофитов, ущемляющийся мягкие ткани, которые только сильнее воспаляют поврежденный сустав. Также обрабатываются вовлеченные в патологический процесс хрящи, вымываются уже отмершие поврежденные ткани, освобождаются вовлеченные в процесс сухожилия.
Хоть артроскопия - операция, отличающаяся малой травматичностью в сравнении с открытыми операциями на суставах, но лучше обратиться к врачу с первыми же симптомами болезни и пройти консервативную терапию, чем ложиться на операционный стол!
Реабилитация после операции влияет на то, как произойдет восстановление, и насколько эффективным окажется вмешательство в целом. В нашей клинике пациенты могут получить полный курс лечения (от обследования и операции, до реабилитации и полного восстановления). Врач берет под контроль реабилитационный процесс, и пациент, если он соблюдает все рекомендации, может не волноваться о том, что что-то пойдет не так.
Пациент получает рекомендации по лечебной физкультуре, которая поможет быстрее восстановить нормальную амплитуду движений в суставе и вернуться к активной жизни. Наиболее активная реабилитация под присмотром доктора начинается после того, как будет снята фиксирующая повязка (ортез)!
Импинджмент голеностопного сустава - не важно, передний он или задний - заболевание, которое может значительно снизить качество жизни человека.
Мы рекомендуем обращаться к травматологу-ортопеду при первых же симптомах недуга, чтобы сразу взять болезнь под контроль!
Если патологию запустить, лечение окажется сложным и долгим.
Эндопротезирование голеностопного сустава

При стоянии и ходьбе человека голеностопный сустав постоянно несет большие нагрузки. Это один из самих нагружаемых суставов организма.
Голеностоп часто травмируется в повседневной жизни. Особенности строения и функции голеностопного сустава являются причинами частых перелом области голеностопа, в частности лодыжек.
Даже в случае оперативного лечения, когда отломки костей срастаются после идеального сопоставления, часто развивается артроз голеностопа. Именно последствия травм являются самыми частыми причинами разрушения голеностопа.
Поражение голеностопного сустава проявляется:
- периодической болью при движениях и ходьбе, которая со временем становится постоянной;
- ограничением движений;
- ограничением активности, невозможностью заниматься спортом;
- хромотой;
- деформацией сустава;
- ограничением трудоспособности;
- инвалидностью в тяжелых случаях.
В начале заболевания консервативные методы лечения помогают пациентам избавиться от боли, дают хороший временный эффект.
Когда процессы разрушения сустава становятся необратимыми, возникает необходимость применять эндопротезирование сустава.
Особенности строения голеностопного сустава объясняют сложность изготовления этих протезов и большие требования к качеству конструкций.
Показания к проведению операции
- Посттравматический, первичный или другие артрозы 3 степени голеностопного сустава.
- Остеохондропатия или посттравматический асептический некроз (омертвение) таранной кости.
- Разрушение (артроз 3 степени) голеностопного сустава при системных заболеваниях (ревматоидный полиартрит, системная красная волчанка, псориатический артрит и др.)
- Стойкий болевой синдром при артрозе 2 степени, когда другие методы лечения не эффективны.
Цели и задачи операции
Особенности операции эндопротезирования голеностопного сустава
Эндопротезирование голеностопного сустава направлено на восстановление подвижности в суставе, опорности ноги, избавления пациента от боли.
Применение протеза позволяет голеностопу сохранить мобильность и опороспособность. Эндопротез может вернуть пациента к обычной жизни.
Учитывая особенности строения голеностопа, с этой целью используются современные конструкции, изготовленные из высококачественных материалов.
Эти конструкции должны обладать определенными качествами:
- высокая прочность;
- быстрая приживаемость;
- устойчивость к нагрузкам, долговечность;
- максимальная близость к нормальной анатомии голеностопа;
- способность имитировать нормальные движения в голеностопе.
Голеностоп и задний отдел стопы часто подвержены к посттравматическим изменениям, поэтому эндопротезирование голеностопного сустава часто сочетается с корригирующими остеотомиями или артродезом подтаранного сустава (когда «замыкается» сустав ниже голеностопа из-за выраженного артроза).


Слева - схематическое изображение установленного эндопротеза. Справа - эндопротез голеностопного сустава.
Эндопротез голеностопного сустава состоит из большеберцового и таранного компонентов, которые имеют очень гладкую поверхность и крепятся к одноименным костям, в основном без применения костного цемента, путем плотного «вставления» этих компонентов в кость. Между ними внедряется полимерная прокладка из очень прочного материала, устойчивая к нагрузкам и износу.
Как выполняется операция?
Как и все операции, эндопротезирования голеностопа состоит из нескольких этапов:
1 этап
«Доступ» является первым этапом операции: мягкие ткани послойно рассекаются, обеспечивается хороший обзор всего сустава. При выполнении этого этапа максимально сохраняются околосуставные ткани.
Нагноение послеоперационной раны является одним из самых частых осложнений эндопротезирования голеностопа. Бережное обращение к мягким тканям уменьшает кровопотерю, создает благоприятные условия для заживления раны, уменьшает риск развития послеоперационной гематомы и инфекционных осложнений.
2 этап
Удаление костных выступов (разрастаний) по периметру суставных поверхностей, рубцовой ткани, разрушенных суставных поверхностей. При выполнении этого этапа, нужно максимально сохранить костную ткань. Готовится ложе для установки протеза.
Максимальное сохранение нормальной кости под разрушенными суставными поверхностями является гарантом выживаемости (длительного служения) этого протеза. Излишнее удаление костной ткани из суставных поверхностей, может создавать проблемы при установке компонентов эндопротеза.
3 этап
Определяются размеры компонентов протеза после предварительной примерки. Далее производят фиксацию всех компонентов эндопротеза к таранной и большеберцовой костям. Фиксация осуществляется (в редких случаях при помощи костного цемента) методом пресс-фит (компоненты плотно вставляются в кость). Далее имплантируется полимерная прокладка.
Это самый важный этап операции. От правильной пространственной ориентировки компонентов эндопротеза зависит функция сустава, долговечность служения протеза, возникновение осложнений в послеоперационном периоде.
4 этап
Ушивание рассеченных тканей и наложение швов на кожу.
Пациент несколько дней после операции остается в клинике под присмотром врачей. Перед операцией и 2-3 дня после операции пациент получает антибактериальную терапию, анальгетики, симптоматическое лечение.
Голеностопный сустав на рентгенограммах после установленных эндопротезов
Период реабилитации после операции
Как и после эндопротезирования других суставов, для полноценного восстановления функции оперированного голеностопа необходимо пройти курс реабилитационной терапии.
Всем пациентам проводится стандартная антибиотикопрофилактика во время операции, и в течение последующих трех дней. После операции проводится анальгезирующая, противовоспалительная и симптоматическая терапия.
По мере стихания болевого синдрома можно начинать разработку движений в суставе. Уже через несколько дней после операции пациенты могут вставать и ходить с дозированной нагрузкой при помощи костылей.
Через 3-5 дней пациент выписывается из клиники домой. За весь период реабилитационного лечения пациент разрабатывает движения в оперированном суставе под контролем врача, постепенно увеличивая их амплитуду. Также важно регулярно выполнять физиотерапевтические процедуры для улучшения кровообращения, уменьшения отека, стимуляции мышц.
Длительность реабилитационного лечения может меняться в зависимости от индивидуальных особенностей пациента и сложности оперативного вмешательства.
Полноценное восстановление функции оперированного голеностопа возможно только при точном выполнении рекомендаций врача и прохождения необходимого курса реабилитационного лечения.
Результаты эндопротезирования
Применение малотравматичных методик хирургической техники, современных конструкций из высококачественного сплава, правильный выбор типа протеза и пациента (в зависимости от показаний для эндопротезирования), обеспечивают отличные и хорошие результаты после операции.
Современные методы анестезии обеспечивают безболезненный период во время, и после операции, уменьшают возможные осложнения.
Полное оснащение нашей клиники средствами реабилитации помогают полноценно восстановить функцию голеностопа уже через 1,5-2 месяца после операции.
Эндопротезирование голеностопного сустава позволяет:
- Забыть о проблемах с голеностопом на всю жизнь;
- Избавить пациента от боли;
- Вернуть подвижность голеностопа;
- Восстановить функцию и опорность всей ноги;
- Восстановить повседневную активность и привычный образ жизни;
- Улучшает качество жизни.
Стоимость лечения
Проведение операции эндопротезирования ПС возможно по трем программам:
- бесплатное лечение по полису ОМС (обязательного медицинского страхования);
- операция по квоте ВМП (высокотехнологической медицинской помощи);
- платное лечение в государственных и частных клиниках.
Стоимость и состав программ госпитализации
| Программы лечения | ОМС | ВМП | Платное лечение |
|---|---|---|---|
| госпитализация и медикаментозное обеспечение | 3 000 руб. в день | ||
| операция | от 25 000 руб. | ||
| анестезиологическое обеспечение | 8 000-19 000 руб. | ||
| эндопротез | оплачивается пациентом | от70 000 руб. (зависит от типа протеза) | |
| многоместная палата | |||
| двухместная палата (одно место) | 1 500 руб. в день | 1 500 руб. в день | 1 500 руб. в день |
| одноместная палата | 2 400 руб. в сутки | 2 400 руб. в сутки | 2 400 руб. в день |
| люкс палата | 4 500 руб. в сутки | 4 500 руб. в сутки | 4 500 руб. в день |
| необходимость ожидания | от 2 недель | от 4 недель до нескольких месяцев | не более 1 недели |
| итоговая стоимость (многоместная палата) | оплачивается ТОЛЬКО эндопротез | от 270 000 руб. | |
| подробности смотрите здесь | |||
Не теряйте время и деньги! Не рискуйте своим здоровьем!
Обращайтесь к квалифицированному ортопеду при первых же симптомах заболевания. В нашей клинике мы поможем Вам быстро избавиться от вашего недуга.
Видеоотзывы
Читайте также:
- Брадикардии. Виды брадикардии. Признаки брадикардии.
- Брюшная часть пищевода. Топография брюшной части пищевода. Угол Гиса.
- Специфические осложнения бронхологических исследований. Прогрессирование туберкулеза после бронхологических исследований
- Требования к производственным зданиям предприятия: этажность и расположение
- Пример развития алкоголика. Выявление алкогольной абстиненции
