Техника операции на позвоночнике при болезни Шейерманна
Добавил пользователь Евгений Кузнецов Обновлено: 22.01.2026
Сколиоз 4 степени - это дополнительные муки к ужасному основному диагнозу СМА
30 Декабрь, 2019
Лечение пациентки с диагнозом «спинальная мышечная атрофия Кугельберга-Веландера»
Элина Абдрашитова, 15 лет — спинально-мышечная амиотрофия Верднига-Гофмана
Контакты
Операции при болезни Шойерман-Мау
Болезнь Шейермана-Мау
Человеческий позвоночник состоит из 33-34 позвонков, соединенных между собой суставами, хрящами и связками. Нормальный позвоночник имеет четыре изгиба в сагиттальной плоскости. Два из них - шейный и поясничный - направлены вперед, и называются лордозами. Есть также два изгиба назад - кифозы, расположенные в грудном и крестцовом отделе. Главное назначение этих изгибов заключается в амортизации толчков и ударов, которые испытывает тело при ходьбе, беге и прыжках.
В норме позвоночник должен отклоняться от вертикальной линии на 20-40 градусов. Однако существует немало заболеваний, при которых кривизна лордозов и кифозов изменяется в ту или иную сторону. В результате амортизирующая функция не выполняется надлежащим образом, и органы получают постоянные чрезмерные сотрясения. В тяжелых случаях может происходить сдавление внутренних органов, нарушение их нормального расположения. Одной из патологий, которые приводят к изменению нормальной анатомии позвоночника, является болезнь Шейермана-Мау.

Это заболевание связано с усилением кривизны грудного кифоза. В результате возникает сутулость, а в крайних случаях и то, что называют в народе «горб». Угол наклона позвоночника при этой патологии превышает 40 градусов, и может достигать даже 75 и более градусов.
Причины развития болезни Шейермана-Мау
Возникает данное заболевание в подростковом возрасте, поэтому его еще называют «юношеский кифоз». Страдают этой проблемой около 1% людей. Точные причины развития этой болезни пока не выяснены. Тем не менее, есть определенные предрасполагающие факторы, которые могут поспособствовать возникновению этой проблемы:
- отягощенная наследственность;
- травмы позвоночника;
- ускоренный рост в пубертатный период;
- некроз замыкательных пластинок;
- заболевания мышц;
- остеопороз.
Симптомы заболевания
На раннем этапе развития это заболевание диагностируется крайне редко. Лишь при значительном изменении осанки родители начинают обращать внимание на проблему и обращаются к врачу. Основные клинические проявления болезни Шейермана-Мау:
- боль в спине различной интенсивности;
- нарушение осанки, перерастающее в дальнейшем в горб;
- ограничение подвижности позвоночника, особенно разгибания спины;
- повышенная утомляемость в спине.
Классификация болезни
Существует три основных стадии развития заболевания:
По уровню поражения позвоночника выделяют две варианта заболевания:
- грудной - страдает средний и нижне-грудной отделы;
- пояснично-грудной - поражается нижняя часть грудного отдела и верхняя часть поясницы.
Диагностика заболевания
Чтобы поставить диагноз, врачу необходимо тщательно собрать жалобы пациента. Выявляются основные симптомы, перечисленные выше, главным из которых является прогрессирующее усиление кифоза. Затем следует осмотр и объективное обследование (пальпация, перкуссия) больного. Это позволяет выявить искривление позвоночника и его степень. Также можно определить локализацию болей, снижение подвижности позвоночника, чувствительные и двигательные нарушения.
Далее собирается анамнез, причем особое значение имеет наличие таких заболеваний у ближайших родственников. Не последнее место при постановке диагноза занимает и раннее начало болезни у пациента и пол - у девочек эта патология встречается в два раза реже, чем у мальчиков.
После основных методов обследования назначаются дополнительные. Среди них главное место занимает лучевая диагностика: рентгенологическое исследование позвоночника и магнитно-резонансная томография. На снимках можно увидеть, что позвонки имеет клиновидную форму, характерную именно для данного заболевания. Также выявляются и другие сопутствующие проблемы, такие как остеохондроз, грыжи дисков, спондилолистез, остеофиты и т.д.

Проводятся лабораторные анализы, такие как общий анализ крови, ревматоидные пробы. Некоторым пациентам назначают и электронейромиографию. Если имеются нарушения функций органов грудной клетки из-за значительной ее деформации, то дополнительно необходима консультация пульмонолога и кардиолога.
Болезнь Шейермана-Мау: лечение
Основным лечащим врачом при этой патологии является ортопед. Он определяет, какие именно методы будут применяться к тому или иному пациенту. Существует два основных подхода к лечению болезни:
Основой первого является лечебная физкультура, которая необходима для укрепления мышц, что позволяет предотвратить развитие дополнительных проблем (грыжи, спондилолистез и пр.), обеспечивает мощный мышечный корсет, способствует сохранению подвижности в спине.
Большое значение имеет массаж и мануальная терапия, которые уменьшают боль, способствуют улучшению кровообращения, устраняют мышечный спазм, который возникает из-за болей. Кроме того, они позволяют решить проблемы с вторичными нарушениями. Физиотерапия имеет анальгетический эффект, расслабляет мышцы и стимулирует питание тканей. Положительное воздействие имеет и грязелечение. Иногда также показано ношение корсетов.

Дополнительно могут применяться и лекарственные препараты. По показаниям назначают хондропротекторы, анальгетики, минеральные комплексы или препараты кальция. Также могут иметь значение миорелаксанты, венотоники, сосудистые средства.
Больным показано ограничение физической нагрузки, особенно статической, а также поднятия больших тяжестей, так как это может ухудшать течение заболевания. Полезным является плавание под контролем инструктора, так как оно укрепляет мышцы тела без нагрузки на позвоночник.
Если же болезнь продолжает прогрессировать и терапевтические методы лечения не дают необходимого эффекта, то применяется хирургическое вмешательство. Главными показаниями к операции являются:
- кифоз более 75 градусов;
- выраженный болевой синдром, который не поддается консервативному лечению;
- нарушение работы легких и сердца, дистопия органов.

Болезнь Шейермана-Мау - это серьезное заболевание, которое может приводить даже к инвалидности. Тем не менее, если своевременно, на раннем этапе, начать лечение, то прогрессирование можно практически остановить и предотвратить серьезные проблемы.
Болезнь Шейермана-Мау ( Юношеский кифоз )
Болезнь Шейермана-Мау - это заболевание, при котором наблюдается прогрессирующее кифотическое искривление позвоночного столба. Возникает в пубертатном возрасте, одинаково часто встречается у мальчиков и девочек. На ранних стадиях симптоматика стертая. В последующем появляются боли и видимая деформация позвоночника - сутулая круглая спина, в тяжелых случаях возможен горб. В отдельных случаях развиваются неврологические осложнения. Для подтверждения диагноза выполняют рентгенографию, КТ и МРТ. Лечение обычно консервативное, при тяжелых деформациях проводятся хирургические вмешательства.
МКБ-10
Общие сведения
Причины
Точные причины болезни Шейермана-Мау неизвестны. Большинство специалистов считают, что существует генетическая предрасположенность к развитию этого заболевания. Наряду с этим, в качестве пусковых моментов рассматриваются травмы в период интенсивного роста, остеопороз позвонков, избыточное развитие костной ткани в заднем отделе позвонков, некроз замыкательных пластинок позвонков и нарушение развития мышц спины. Предрасполагающим фактором являются неравномерные сдвиги гормонального баланса и обмена веществ в пубертатном периоде.
Патанатомия
Человеческий позвоночник имеет четыре естественных изгиба: поясничный и шейный отделы изогнуты вперед (лордозы), крестцовый и грудной - назад (кифозы). Эти изгибы появились в результате приспособления к вертикальному положению тела. Они превращают позвоночник в своеобразную пружину и позволяют ему без вреда переносить разнообразные динамические и статические нагрузки. Углы изгибов в норме составляют 20-40 градусов. Позвоночник состоит из множества отдельных костей (позвонков), между которыми расположены эластичные межпозвонковые диски. Позвонки состоят из тела, дужки и отростков. Массивное тело берет на себя нагрузку, дужка участвует в образовании позвоночного канала, а отростки соединяют позвонки между собой.
В норме тела позвонков имеют почти прямоугольную форму, их задние и передние отделы примерно равны по высоте. При болезни Шейермана-Мау несколько грудных позвонков уменьшаются по высоте в передних отделах, приобретают клиновидную форму. Угол грудного изгиба увеличивается до 45-75 градусов. Спина становится круглой. Нагрузка на позвоночник перераспределяется. Ткань межпозвонкового диска «продавливает» замыкательную пластинку и выпячивается в тело ниже- или вышележащего позвонка, образуются грыжи Шморля. Связки, удерживающие позвонки, компенсаторно утолщаются, что еще больше затрудняет восстановление и дальнейший нормальный рост позвонков. Форма грудной клетки меняется, что может приводить к сдавливанию внутренних органов.
Классификация
В травматологии и ортопедии различают следующие стадии болезни Шейермана-Мау:
С учетом уровня поражения различают:
- Грудную форму. Выявляется поражение нижних и средних грудных позвонков.
- Пояснично-грудную форму. Поражаются верхние поясничные и нижние грудные позвонки.
Симптомы
Первые проявления болезни Шейермана-Мау появляются в период полового созревания. Как правило, пациент в этот период жалоб не предъявляет. Патология обнаруживается случайно, когда родители замечают, что ребенок начал сутулиться и у него ухудшилась осанка. Примерно в это время больной начинает отмечать неприятные ощущения в спине, возникающие после продолжительного пребывания в положении сидя. Иногда возникают неинтенсивные боли между лопатками. Подвижность позвоночника постепенно ограничивается.
Со временем деформация позвоночника становится все более заметной. Возникает выраженная сутулость, в тяжелых случаях образуется горб. Интенсивность болевого синдрома возрастает, ребенок отмечает постоянную тяжесть и быструю утомляемость спины при нагрузках. Боли усиливаются под вечер и при поднятии тяжестей. При значительном искривлении позвоночника возможно нарушение функций легких и сердца. В отдельных случаях возникает подострое или острое сдавление спинного мозга, сопровождающееся парестезиями, нарушениями чувствительности и движений конечностей.
Диагностика
Врач опрашивает пациента с подозрением на болезнь Шейермана-Мау, выясняя жалобы, историю развития патологии и семейный анамнез (были ли случаи заболевания в семье). Ведущим методом инструментальной диагностики является рентгенография позвоночника. На рентгенограммах определяется характерная картина: увеличение угла грудного кифоза более 45 градусов, клиновидная деформация трех и более грудных позвонков и грыжи Шморля. Для выявления неврологических нарушений назначают консультацию невролога. При наличии таких нарушений пациента направляют на МРТ позвоночника и КТ позвоночника для более точной оценки состояния костных и мягкотканных структур. Также может быть назначена электромиография. Межпозвонковая грыжа является показанием к консультации нейрохирурга. При подозрении на нарушения функции органов грудной клетки необходима консультация пульмонолога и кардиолога.
Лечение болезни Шейермана-Мау
Лечением занимаются врачи-ортопеды и вертебрологи. Терапия длительная, комплексная, включает в себя ЛФК, массаж и физиотерапевтические мероприятия. При этом решающее значение в восстановлении нормальной осанки имеет специальная лечебная гимнастика. В течение первых 2-3 месяцев упражнения нужно делать ежедневно, в последующем - через день. Выполнение комплекса упражнений занимает от 40 мин. до 1,5 часов. Необходимо помнить, что при нерегулярных занятиях лечебный эффект резко снижается.
ЛФК для устранения кифоза и восстановления осанки включает в себя 5 блоков: укрепление мышц грудного отдела позвоночника, укрепление мышц ягодиц, расслабление мышц поясницы и шеи (при кифозе эти мышцы постоянно находятся в состоянии повышенного тонуса), растяжение грудных мышц, дыхательные упражнения. Занятия обычной физкультурой также полезны, однако физическая активность должна быть целенаправленной, продуманной с учетом противопоказаний и возможных последствий.
Так, при болезни Шейермана-Мау противопоказаны занятия с отягощениями более 3 кг для женщин и более 5 кг для мужчин. Не рекомендуется накачивать грудные мышцы, поскольку они начинают «стягивать» плечи вперед. Нельзя заниматься «прыжковыми» видами спорта (баскетбол, волейбол, прыжки в длину и т. д.), поскольку интенсивная одномоментная нагрузка на позвоночник может спровоцировать образование грыж Шморля. Плавание полезно при правильной технике (когда задействуются мышцы не только груди, но и спины), поэтому лучше взять несколько уроков у инструктора.
Кроме того, пациентам с болезнью Шейермана-Мау рекомендуют подобрать правильную мебель для работы, сна и отдыха. Иногда необходимо носить корсет. Медикаментозное лечение обычно не требуется. Прием препаратов для укрепления скелета (кальцитонин) показан в крайних случаях - при выраженной деформации позвонков и крупных грыжах Шморля. Нужно учитывать, что подобные препараты имеют достаточно большой список противопоказаний (в том числе по возрасту), могут провоцировать кальцификацию связок и образование камней в почках, поэтому их следует принимать только по назначению врача.
Показаниями к хирургическим вмешательствам при болезни Шейермана-Мау являются угол кифоза более 75 градусов, стойкие боли, нарушение работы органов дыхания и кровообращения. В ходе операции в позвонки имплантируются металлические конструкции (винты, крючки), позволяющие выравнивать позвоночник при помощи специальных стержней.
1. Болезнь Шейермана. Клинические рекомендации/ Общероссийская общественная организация Ассоциация травматологов-ортопедов России - 2015
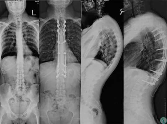
Хирургическое лечение гиперкифоза грудного отдела позвоночкана фоне Б-ни Шейермана-Мау
Пациент 27 лет из Московской области, поступил с жалобами на боли в грудном отделе позвоночника, деформацию грудного отдела. Данные жалобы беспокоили около 1 года.

На рентгенограммах позвоночника- грудо-поясничный кифосколиоз на фоне Болезни Шейермана-Мау, угол кифоза 76° по Cobb.

Изучив предыдущие рентгенограммы, мы выяснили, что деформация неуклонно прогрессирует. Учитывая клинико-рентгенологическую картину и неэффективность консервативных методов лечения, нами было принято решение о необходимости оперативного вмешательства.
Была выполнено оперативное лечение - Дорсальная коррекция фиксация позвоночника транспедикулярной системой. Корригирующая остеотомия на вершине деформации. Костная пластика.

Вся операция проводилась под контролем нейрофизиологического мониторинга (IOM). Чтобы контроль над состоянием пациента был полным, требуется современное высокочувствительное оборудование. Недавно разработанная 16-канальная система мониторинга состояния нервных структур непосредственно в ходе операции Нейро-ИОМ считается одной из лучших на сегодняшний день.

Время операции 3 часа. На следующий день после операции пациент был активизирован, начал сидеть и вставать.

на 4 сутки с моментоперации
На контрольных рентгенограммах отмечена коррекция грудного кифоза до физиологической нормы, угол кифоза после операции составил 61° по Cobb.

рентген позвоночника до и после оперативного лечения
Пациент в удовлетворительном состоянии выписан на 4 сутки с момента операции.

Данное оперативное лечение позволило нам:
уменьшить угол деформации;
устранить болевой синдром;
остановить прогрессирования деформации
При Болезни Шейермана-Мау в большинстве случаев отмечается прогрессирование кифотической деформации позвоночника. Чаще всего первые симптомы болезни возникают в пубертатном возрасте, проявляются болевым синдромом и видимой деформацией спины — сутулая спина. Для уточнения природы данных жалоб необходимо выполнить рентген грудо-поясничного отдела позвоночника в положении стоя, в дух стандартных проекциях.
Показаниями к оперативному лечению при болезни Шейермана-Мау являются угол кифоза более 70 градусов, стойкие боли, нарушение работы органов дыхания и кровообращения.

Болезнь Шейермана-Мау (юношеский кифоз) — это заболевание, проявляющееся искривлением грудного отдела позвоночника (сутулостью) и приводящее к выраженному ограничению подвижности и неврологическим осложнениям. Данная патология диагностируется обычно в раннем подростковом периоде (в 11-15 лет), одинаково часто у мальчиков и девочек. Согласно статистическим данным ВОЗ, юношеский кифоз можно заподозрить примерно у 1% детей в возрасте 8-10 лет. У трети больных патология сочетается со сколиозом — отклонением позвоночника от продольной оси тела в одну из сторон. Эта статья расскажет подробнее про болезнь Шейермана-Мау, лечение и особенности этого заболевания.


В норме позвоночный столб не прямой, а имеет физиологические изгибы: шейный и поясничный отделы отклоняются кпреди (так называемый лордоз), а грудной и крестцовый — кзади (кифоз). По форме, если смотреть сбоку, позвоночный столб напоминает английскую букву "S". Величина изгибов не превышает 20-40 градусов.
При болезни Шейермана-Мау угол грудного кифоза превышает 40 градусов, иногда достигая даже 75. Как результат, визуально спина подростка округляется, формируется горб. При своевременной коррекции данной патологии прогноз благоприятный, но прогрессирование заболевания может вызывать тяжёлые последствия и даже приводить к инвалидности.
В клинических рекомендациях болезнь Шейермана-Мау протекает в три стадии:
Диагностируется в 8-14 лет, деформация позвоночника в эту стадию практически незаметна. Заболевание протекает бессимптомно, лишь иногда ребёнок может жаловаться на небольшой дискомфорт или слабую боль после интенсивной физической нагрузки. В некоторых случаях могут появляться первые признаки ограничения подвижности позвоночника: невозможность коснуться руками пола при наклоне вперёд.
Выявляется у подростков в возрасте 15-20 лет. В данную стадию уже появляется сутулость; отмечается боль после умеренной физической нагрузки, при длительном пребывании в одной позе, иногда появляется и в покое. В эту стадию могут формироваться грыжи и протрузии межпозвонковых дисков.
Чаще характерна для лиц старше 20 лет. На этой стадии ярко выражена деформация позвоночника (горб), а клиническая картина представлена практически постоянной болью в спине и значительным ограничением подвижности (спондилёз). Наличие протрузий и грыж межпозвонковых дисков, сдавливающих спинномозговые корешки, обусловливает чувствительные и даже двигательные нарушения.
Ранее была установлена связь данной патологии с дефицитом кровообращения в позвоночных хрящах. Но в 20 веке эта теория была опровергнута.
Сутулость (патологический грудной кифоз) возникает из-за клиновидной деформации тел позвонков, в результате которой его передняя поверхность становится ниже задней. Позвоночный столб прогибается назад.
Позвонки полностью окостеневают к 23-25 годам. До этого возраста в них ещё остаются участки хрящевой ткани, которая при некоторых факторах может «продавливаться» и разрушаться, приводя к клиновидной деформации.

Гормональный дисбаланс в подростковом периоде, в результате которого может нарушаться трансформация хрящевой ткани в костную;
- несбалансированное по микроэлементам питание (употребление недостаточного количества овощей, фруктов, молочных продуктов, воды);
- малоподвижный образ жизни;
- травмоопасные виды спорта (акробатика);
- бесконтрольный прием некоторых лекарственных препаратов;
- дефицит массы тела (анорексия).
Клиническая картина, как упоминалось ранее, зависит от стадии болезни Шейермана-Мау. На начальных этапах она часто протекает бессимптомно, что сильно осложняет ее диагностику. Первые признаки патологии появляются в возрасте от 10 до 15 лет, во время активного роста костей. Так, у подростка обнаруживается:
- сутулость (горб);
- дискомфорт в спине при длительном стоянии, ходьбе;
- скованность в мышцах спины, особенно после длительного пребывания в одной позе;
- боль в спине во время физической активности (интенсивность боли зависит от стадии заболевания);
- боль в покое на поздней стадии;
- ограничение подвижности — от незначительного на ранней стадии до выраженного на поздних стадиях.
Прием длится 60 минут, включает в себя диагностику, анализ вашего МРТ и составление плана лечения, проходит как в очном формате, так и онлайн.
Диагностика
Болезнь Шейермана-Мау, ввиду практически бессимптомного течения, на ранних этапах очень трудно выявить. Однако грамотный ортопед, используя специальные методы диагностики может заподозрить заболевание у ребёнка. Для постановки диагноза необходимо провести следующее обследование:
Врач расспрашивает ребенка и его родителей о времени возникновения боли, её интенсивности и продолжительности, выясняет наличие наследственной предрасположенности к заболеваниям костной ткани, перенесённых травмах, хронических заболеваниях. После этого специалист осматривает и пальпирует спину для выявления видимого искривления позвоночника, болезненности, оценки амплитуды движений. Также проводится тест Адамса: при наклоне пациента вперёд могут проявляться сутулость и асимметрия спины, неопределяемые в вертикальном положении.
Рентгенологическое исследование — это основной метод диагностики болезни Шейермана-Мау. Рентгенограмма дает возможность получить полноразмерное изображение всего позвоночного столба в двух проекциях: спереди и сбоку. По снимку врач оценивает состояние позвонков (наличие клиновидной деформации), межпозвонковых дисков, выявляет косвенные признаки грыжевых выпячиваний, измеряет степень кривизны позвоночника в градусах.
МРТ позволяет получить послойное изображение позвоночника и изучить практически каждый миллиметр костных и мягких структур. На снимке хорошо визуализируются межпозвонковые диски, грыжевые выпячивания. Часто МРТ позволяет верно определиться с тактикой лечения.
КТ — отличный способ послойной визуализации костных структур позвоночного столба, дополняющий рентгенографию.

Лечение
Лечением болезни Шейермана-Мау занимается квалифицированный ортопед, часто необходима консультация невролога. Важно как можно раньше обратиться за медицинской помощью, что благоприятно скажется на прогнозе лечения и предотвратит прогрессирование заболевания.
- кривизна менее 50 градусов — консервативная терапия;
- кривизна 50-75 градусов — использование скоб;
- кривизна более 75 градусов — оперативное лечение.
При наличии боли назначаются нестероидные противовоспалительные препараты в комбинации с ингибиторами протонной помпы для защиты слизистой оболочки желудка. Если НПВС неэффективны или болевой синдром сильно выражен, допустим приём наркотических анальгетиков. Прием лекарств обязательно контролируется взрослыми. Поскольку пациенты с болезнью Шейермана-Мау склонны к возникновению хронического болевого синдрома, в терапии также допустимо использование антидепрессантов или антиконвульсантов по назначению врача. Запрещено самостоятельно менять дозировку, прерывать или увеличивать назначенный врачом курс лечения.
При выраженном патологическом кифозе (угол 50-75 градусов) рекомендуется ношение жёсткого корсета с применением задних скоб. Длительность его использования зависит от возраста пациента и даёт возможность остановить прогрессирование деформации и даже восстановить осанку.
- улучшает подвижность позвоночного столба;
- устраняет болезненные ощущения и дискомфорт в спине;
- замедляет процесс разрушения костей и суставов, препятствует появлению межпозвонковых протрузий и грыж.
Лечебный массаж благоприятно влияет на состояние мышц спины, осанку и служит хорошим дополнением к ЛФК. Он способствует расслаблению мышц, улучшает местное кровообращение. Проведение массажа лучше доверить профессионалу, который качественно и тщательно разрабатывает шейный, грудной и поясничный отделы позвоночника для усиления подвижности и устранения болей.
Оперативное лечение при ювенильном кифозе грудного отдела позвоночника назначается при неэффективности консервативной терапии или несвоевременном обращении к врачу, когда угол искривления составляет более 75 градусов. Тактика операции подбирается на консилиуме врача-невролога и ортопеда с учётом индивидуальных особенностей пациента. Как правило, в результате операции устраняется деформация, уменьшается боль и улучшается подвижность позвоночного столба.
Специфическая профилактика болезни Шейермана-Мау не разработана. Во избежание необходимости изучения симптомов и лечения ювенильного остеохондроза нужно своевременно обращаться за помощью (при появлении малейшего дискомфорта в спине), а также придерживаться простых рекомендаций:
- ведение активного образа жизни (ежедневная зарядка, занятия плаванием, лёгкой атлетикой);
- соблюдение техники безопасности при травмоопасных видах спорта;
- разнообразное и сбалансированное питание (достаточное употребление воды, овощей, фруктов);
- организация комфортного рабочего места (чтобы во время работы было удобно и не приходилось сутулиться);
- сон на жестком или полужёстком матрасе, допустимо подкладывать под поясничный и шейный отделы позвоночника невысоких валиков для сохранения физиологических изгибов в горизонтальном положении.
Воспользуйтесь чатом на сайте, чтобы получить ответ в течение 5 минут. Выберите удобный для вас канал связи для общения с оператором.
Болезнь Шейермана

Кифоз Шейермана, также известный как болезнь Шейермана, ювенильный кифоз, или юношеская дискогенная болезнь - это гиперкифоз, при котором происходит клиновидная деформация трех и более соседних позвонков на ≥ 5 градусов.
Чаще всего поражается грудной отдел позвоночника, однако грудопоясничный и поясничный отделы - не исключение. На фото изображен 22-летний мужчина с тяжелой стадией болезни Шейермана (перед операцией).

Болезнь Шейермана
- Чаще всего болезнь диагностируется в возрасте 12-17 лет. Поводом для обращения к врачу обычно является беспокойство родителей, переживающих из-за плохой осанки или горбатой спины своего ребенка.
- Также поводом для обследования может стать боль в области гиперкифоза.
- Болезнь Шейермана - наиболее распространенная причина кифотической деформации позвоночника у подростков.
Существуют две формы кифоза Шейермана:
- Грудная, когда вершина деформации располагается на уровне Th7-Th9 позвонков.
- Грудопоясничная форма, при которой вершина располагается между Th10-Th12 позвонками. C большой долей вероятности, такая форма будет прогрессировать во время полового созревания.
Клинически значимая анатомия

Изгибы позвоночника
Позвоночник взрослого человека имеет естественную S-образную форму. Шейный и поясничный отделы выгнуты вперед, эти изгибы называются лордозами. Грудной и крестцовый отделы выгнуты назад, эти изгибы называются кифозами. По данным Общества исследования сколиоза (Scoliosis Research Society), в норме кифотический угол в грудном отделе позвоночника составляет 20-40 градусов. Если величина кифотической дуги оказывается больше или меньше указанного значения, то в этом случае говорят о деформации позвоночника.
Друзья, совсем скоро состоится семинар «Сколиоз: виды, причины, лечение». Узнать подробнее…
При болезни Шейермана происходит структурная деформация тел позвонков и позвоночника в целом. При этом заболевании кифотический угол в грудном отделе составляет около 45-75 градусов. Кроме того, происходит клиновидная деформация трех и более соседних позвонков на 5 и более градусов. Клиновидные тела позвонков определяют природу гиперкифоза, который наблюдается при болезни Шейермана. Гиперкифоз может быть скомпенсирован поясничным или шейным гиперлордозом.
Этиология
Однозначное и общепринятое мнение об этиологии кифоза Шейермана пока что отсутствует.
- Предполагается, что определенную роль играет наследственность, однако механизм передачи болезни пока что не известен.
- Определенную популярность получила теория, связывающая болезнь с нарушением минерализации и оссификации позвоночной пластинки во время роста подростка. В результате этих нарушений тела позвонков начинают расти непропорционально и превращаются в клиновидные, что в свою очередь ведет к появлению кифоза. Данная теория подтверждается результатами гистологических исследований.
- В основе других теорий лежат механические, метаболические и эндокринологические причины, однако настоящая причина все еще не выяснена.
Эпидемиология
- Распространенность: 1-8% в США.
- Пол: соотношение между мужчинами и женщинами как минимум 2:1.
- Возраст: чаще всего диагностируется у подростков 12-17 лет.
- Редко обнаруживается у детей младше 10 лет.
- Классификация:
- Тип I (Классический) - Вовлекается только грудной отдел позвоночника, вершина деформации находится на уровне T7-T9.
- Тип II - Вовлечены грудной и поясничный отделы, вершина деформации находится на уровне T10-T12.
Особенности/Клинические проявления
![]()
Рентгенограмма в боковой проекции
Согласно Sorenson, кифоз Шейермана характеризуется следующими критериями:
- Три или более соседних позвонков имеют клиновидную деформацию ≥ 5 градусов.
- Отсутствуют врожденные патологии позвоночника, а также его инфекционные заболевания и травмы.
У подростка с кифозом Шейермана будут наблюдаться:
- Косметический дефект/постуральная деформация.
- Вероятна подострая боль в груди, обычно без определенного провоцирующего действия. Боль усиливается во время активности и снижается во время отдыха.
- Чаще всего деформация обнаруживается в раннем и среднем подростковом возрасте. Обычно ее замечают или сам ребенок, или его родители, либо она выявляется во время школьных медосмотров.
- Физикальное обследование выявляет грубую гиперкифотическую дугу с выраженным изгибом.
- Гиперкифоз не исчезает ни во время экстензии, ни в положении лежа на спине или животе, что только подтверждает высокую степень ригидности данной деформации.
- Также могут быть выявлены шейный или поясничный гиперлордоз, сколиоз и напряжение в хамстрингах. Несмотря на то, что неврологические расстройства при болезни Шейермана встречаются редко, рекомендуется провести тщательный неврологический осмотр пациента.
- Может обнаружиться жесткость и утомление мышц, особенно в конце дня.
- Сниженная гибкость туловища.
- В тяжелых случаях может быть нарушена работа сердца и легких или могут возникнуть тяжелые неврологические симптомы. Эти симптомы встречаются крайне редко.
Пациенты также могут жаловаться на боль, из-за которой они не могут тренироваться, работать и заниматься повседневными делами. Болезнь также может причинять дискомфорт из-за эстетической составляющей.
Дифференциальный диагноз
- Постуральный кифоз (постуральная гибкая деформация).
- Гиперкифоз, обусловленный другим известным заболеванием.
- Послеоперационный кифоз.
- Анкилозирующий спондилит (Болезнь Бехтерева).
- Сколиоз.
Для оценки кифоза Шейермана необходимы тщательно собранный анамнез, физикальное обследование и рентгенограммы в боковой и передне-задней проекциях. Боковые рентгенограммы требуются при диагностике. Диагностическими критериями являются:
- Грубый гиперкифоз более чем 40 градусов.
- Передняя клиновидная деформация тела позвонка на 5 градусов или более (в трех или более соседних позвонках).
Также на рентгенограммах обнаруживаются:
- Неправильная форма у опорных площадок тел позвонков.
- Грыжи Шморля.
- Снижение высоты межпозвонкового пространства.
- Сколиоз.
- Спондилолиз / Спондилолистез.
- Грыжи дисков.
В обычных обстоятельствах МРТ не требуется, однако оно может понадобиться при оценке анатомических изменений и для подготовки к операции. Делать КТ нет необходимости. Также не нужно проводить лабораторные анализы или гистологические исследования.
Критерии оценки эффективности
Расстояние между стеной и затылком (Occiput to Wall Distance).
Следующие опросники и анкеты пациенты могут заполнить сами. Собранные данные могут быть использованы как до начала лечения, так и после оперативного вмешательства
- Опросник Общества исследования сколиоза (Scoliosis Research Society Instrument (SRSI): с помощью данной анкеты можно получить информацию об уровне активности, боли и т.д.
- Шкалы боли в спине и оценка нетрудоспособности: Visual Analogue Scale (VAS), Quebec Back Pain Disability Scale (QBPDS), Roland-Morris Disability Questionnaire, Oswestry Disability Index (ODI) и SF-36
Обследование
- Главная отличительная особенность пациентов с болезнью Шейермана -грудной кифоз.
- Часто вместе с кифозом у пациента обнаруживается шейный или поясничный гиперлордоз.
- Шейный лордоз может быть увеличен при протракции головы. Плечи в основном направлены вперед.
- Указанные нарушения могут сопровождаться сколиозом легкой или средней степени.
Пациенты с болезнью Шейермана обычно имеют хорошо развитую мускулатуру, в отличие от пациентов с постуральным кифозом.
Обследование состоит из:
- Оценка осанки: положение тела оценивается спереди, сзади и сбоку.
- Неврологический скрининг: в редких случаях в месте наибольшего искривления может происходить сдавление спинного мозга по задней поверхности тел позвонков. Это может повлечь за собой симптомы надвигающейся параплегии с клонусом и гиперрефлексией.
- Тест Адамса (Adam’s forward-bend test): кифоз Шейермана может сопровождаться сколиозом.
- Тест на укорочение мышц: при болезни Шейермана может наблюдаться скованность следующих мышц: большой грудной мышцы, хамстрингов, подзатылочных мышц, а также сгибателей бедра. Возможны контрактуры в плечевом и тазобедренном суставах.
- Объем движений в суставах нижних конечностей и позвоночнике.
- Тест на мышечную силу: должна быть протестирована сила мышц брюшного пресса, кора, разгибателей туловища и ягодичных мышц.
Консервативное лечение
Растяжка, модификация образа жизни, НПВС, +\- физическая терапия.
- Бессимптомно0е течение болезни, кифотический угол менее 60 градусов.
- В данную категорию попадает большинство пациентов.
- Пациенты, как правило, хорошо справляются с задачами реабилитации. Отдаленные или значимые осложнения обычно не возникают.
Корсетотерапия
- Ношение корсета рекомендуется на период 12-24 месяцев.
- Рекомендуются следующие виды корсетов: корсет Милуоки, корсет «Kyphologic», Бостонский корсет на грудо-пояснично-крестцовую область.
- Наиболее эффективны для детей, чей скелет еще полностью не сформировался.
- Обычно корсеты не уменьшают дугу, а скорее препятствуют ее прогрессии.
Оперативное лечение
Спондилодез, при котором обычно производится передний разрез и проводится артродез.
- Кифотическая дуга более 75 градусов, вызывающая серьезные деформации.
- Кифотическая дуга более 75 градусов, боль.
- Неврологические расстройства/сдавление спинного мозга.
- Сильная боль, не поддающаяся лечению.
- Большинство пациентов отмечают улучшение симптоматики, а также коррекцию кифотической деформации.
- Должны приниматься во внимание операционные и постоперационные осложнения.
Физическая терапия
Нехирургическое лечение
Ребенку или подростку с начальной стадией болезни достаточно пройти обследование у физического терапевта, который оценит состояние кифотической дуги. Пациента также следует проконсультировать насчет положения тела и видов активностей, которые ему полезны. Этим можно и ограничиться - до тех пор, пока у пациента не начнет усугубляться кифоз или усилится боль.
- У некоторых детей заболевание со временем регрессирует, не оставляя патологического кифоза и не создавая отдаленных проблем.
- У других может навсегда остаться небольшой грудной кифоз, который, впрочем, не помешает им нормально функционировать и не будет являться причиной боли или других проблем.
Врач может посоветовать корсетотерапию вместе с выполнением упражнений.
- Корсет наиболее эффективен в период, когда скелет ребенка полностью не сформировался, что происходит обычно к 14 годам.
- В идеале, корсет следует начать использовать с наступлением полового созревания и носить в течение двух лет. После окончательного созревания скелета корсет можно не носить.
- В основном врачи назначают корсет Милуоки, изготавливаемый из литого пластика. Он соответствует размеру талии и служит для того, чтобы удерживать плечи и постепенно выпрямлять грудную дугу. У корсета имеются две мягких прямых пластины, выровненных по ходу позвоночника. Давление от этих пластин выпрямляет позвоночник. Корсет не устранит кифотическую дугу при полностью сформированном позвоночнике. Кроме этого, корсет бесполезен при грубых искривлениях с углом более 75 градусов.
Корсетотерапия
Физическая терапия рекомендуется в комбинации с корсетотерапией
Врачи могут назначить противовоспалительные препараты для купирования боли. Пациенты помладше обычно принимают эти препараты в течение короткого периода времени и комбинируют их с другими видами лечения. Взрослые, испытывающие постоянные боли, иногда нуждаются в длительном применении противовоспалительных препаратов.
Согласно данным Lowe, корсетотерапия практически всегда успешна, если угол кифоза составляет от 55 до 80 градусов и если диагноз был поставлен до окончательного созревания скелета.
- У корсетотерапии есть несколько недостатков. Один из них заключается в том, что чем дольше используется корсет, тем выше вероятность наступления поясничной боли.
- Комплаенс у подростков обычно низкий.
Были также испробованы другие корсеты, в частности - мягкие корсеты. Однако они не показали эффективности: мягкий корсет не способен скорректировать грубую деформацию.
Другие аспекты физической терапии
![]()
Кифотическая осанка может быть исправлена с помощью методики Шрот
![]()
Примеры упражнений по методике Шрот
Обучение пациента включает следующее
- Стречинг на основе экстензии/программа укрепления мышц.
- Растяжка хамстрингов.
- Улучшение постуральных и механических компонентов в активностях повседневной жизни.
- Оптимальное использование пластин корсета.
Работа с осанкой
- Акцент на растяжке хамстрингов и большой грудной мышцы; укрепление и улучшение функций разгибателей туловища.
- Упражнения будут эффективны при условии, что в грудном отделе позвоночника еще не развита соответствующая жесткость и когда сагиттальная дуга еще не слишком высока (угол Кобба - от 44 до 55 градусов).
- Поддержание осанки в положении стоя и сидя.
Упражнения
- Упражнения на гибкость - для ослабления контрактур в области нижних конечностей (например, хамстрингов).
- Укрепление кора, разгибателей спины.
Спорт
- Показаны виды спорта, где встречается экстензия: гимнастика, аэробика, плавание, баскетбол, езда на велосипеде и упражнения на гиперэкстензию.
- Не рекомендуются виды спорта, связанные с прыжками и избыточным функциональным использованием спины.
Послеоперационная физическая терапия
Должна обязательно включать дыхательные упражнения, мобилизацию и упражнения на укрепление мышц.
Болезнь Шейермана у взрослых
- Подход к лечению болезни у взрослых отличается, поскольку на первый план выходит проблема боли, а не эстетики.
- Предпочтительный метод лечения - функциональная реабилитация в амбулаторных условиях. Гораздо реже пациента направляют на операцию или назначают ношение корсета.
Существует и другая схема лечения. Ниже описаны ее основные принципы:
- 1) Элонгация и развитие туловища.
- 2) Симметричное сагиттальное вытягивание; упражнения следует выполнять на обе стороны тела (правую и левую):
- Двустороннее расширение грудной клетки в заднепереднем направлении для снижения грудного гиперкифоза.
- Двустороннее поясничное расширение переднезаднем направлении для снижения гиперлордоза в поясничной области.
- Тракция плечевых суставов: тракция усиливает раскрытие грудной клетки и корректирует позвоночник.
- Коррекция дыхания: позволяет пациенту почувствовать расширение в проблемных зонах. Цель дыхательных упражнений - раскрыть грудную клетку в направлении «сзади наперед» и боковых направлениях.
- Мышечная активация с помощью усиленного напряжения: для достижения лучшего из возможных результатов коррекции; мышечного баланса, стабилизации и для усиления проприоцептивной афферентации. Это также помогает выстроить в сознании правильную схему тела.
- Данная интенсивная физическая терапия совместно с ношением корсета (типа«SpinoMed») - успешная схема лечения болезни Шейермана у взрослых.
Нужно отметить, что для оценки эффективности консервативного лечения (особенно мануальной терапии) и различных физических упражнений, необходимо провести больше клинических исследований. Результаты необходимо сравнить с результатами ношения корсета, а также нужно изучить эффективность указанных консервативных инструментов при одновременном использовании корсетов.
Читайте также:



