Техника операции при переломе диафиза лучевой кости
Добавил пользователь Евгений Кузнецов Обновлено: 22.11.2025
Переломы дистального отдела лучевой кости руки являются наиболее распространенными переломами предплечья и составляет около 16% от всех переломов костей скелета. Как правило, вызваны падением на вытянутую руку. Описание и классификация этих переломов основывается на наличии осколков, линии перелома, смещении отломков, внутрисуставной или внесуставного характера и наличием сопутствующего перелома локтевой кости предплечья.
Неправильное сращение дистального отдела лучевой кости после нелеченных переломов, либо вторично сместившихся, достигает 89% и сопровождается угловой и ротационной деформацией области лучезапястного сустава, укорочением лучевой кости и импакцией (упирается) локтевой кости в запястье. Оно вызывает среднезапястную и лучезапястную нестабильность, неравномерное распределение нагрузки на связочный аппарат и суставной хрящ лучезапястного и дистального лучелоктевого суставов. Это обусловливает боль в локтевой части запястья при нагрузке, снижение силы кисти, уменьшение объема движений в кистевом суставе и развитие деформирующего артроза.
Рентген анатомия лучезапястного сустава
Наклон суставной поверхности лучевой кости в прямой проекции в норме составляет 15-25º. Измеряется он по отношению перпендикуляра оси лучевой кости и линии вдоль суставной поверхности. Изменение угла наклона суставной поверхности нижней трети лучевой кости является признаком перелома, как свежего так и давно сросшегося.
Ладонный наклон измеряется в боковой проекции по отношению касательной линия проведенной по ладонному и тыльному возвышениям суставной поверхности лучевой кости к осевой линии лучевой кости. Нормальный угол составляет 10-15º. Явное изменение углов является признаком перелома.
Виды переломов луча (краткая классификация)
Перелом дистального отдела лучевой кости почти всегда происходит около 2-3 см от лучезапястного сустава.
Перелом Коллеса
Один из наиболее распространенных переломов дистального отдела лучевой кости - «перелом Коллеса», при котором отломок (сломанный фрагмент) дистального отдела лучевой кости смещен к тыльной поверхности предплечья. Этот перелом был впервые описан в 1814 году ирландским хирургом и анатомом, Авраамом Коллесом.
Перелом Смита
Роберт Смит описал подобный перелом лучевой кости в 1847 году. Воздействие на тыльную поверхность кисти считается причиной такого перелома. Перелом Смита - это противоположность перелома Коллеса, следовательно, дистальный отломок смещается к ладонной поверхности.
Классификация переломов лучевой кости руки:
Другая классификация переломов лучевой кости:
• Внутрисуставной перелом: Перелом луча, при котором линия перелома распространяется на лучезапястный сустав.
• Внесуставных переломов: Перелом, который не распространяется на суставную поверхность.
• Открытый перелом: Когда имеется повреждение кожи. Повреждение кожи может быть, как снаружи до кости (первично открытый перелом), так и повреждение костью изнутри (вторично открытый перелом). Эти виды переломов требуют незамедлительного медицинского вмешательства из-за риска инфекции и серьезных проблем с заживлением раны и сращением перелома.
• Оскольчатый перелом. Когда кость сломана на 3 и более фрагментов.
Важно, классифицировать переломы лучевой ксоти руки, поскольку каждый вид перелома нужно лечить, придерживаясь определенных стандартов и тактики. Внутрисуставные переломы, открытые переломы, оскольчатые переломы, переломы лучевой кости со смещением нельзя оставлять без лечения, будь то закрытая репозиция (устранение смещения) перелома или операция. Иначе функция кисти может не восстановиться в полном объеме.
Иногда, перелом лучевой кости сопровождается переломом соседней - локтевой кости.
Причины переломов луча
Наиболее распространенной причиной переломов дистального отдела лучевой кости является падения на вытянутую руку.
Остеопороз (заболевание, при котором кости становятся хрупкими и более вероятно ломкими при значительных нагрузках, ударах) может способствовать перелому при незначительном падении на руку. Поэтому чаще данные переломы возникают у людей старше 60 лет.
Перелом лучевой кости, безусловно, может произойти и у здоровых, молодых людей, если сила воздействия достаточно велика. Например, автомобильная аварии, падения с велосипеда, производственные травмы.
Симптомы переломов лучевой кости руки
Перелом дистального отдела лучевой кости обычно вызывает:
• Немедленную боль;
• Кровоизлияние;
• Отек;
• Крепитация отломков (хруст);
• Онемение пальцев (редко);
• Во многих случаях сопровождается смещением отломков и как следствие деформации в области лучезапястного сустава.
Диагностика переломов
Большинство переломов дистального отдела лучевой диагностируются обычной рентгенографией в 2-х проекциях. Компьютерная томография (КТ) необходима при внутрисуставных переломах.
Задержка диагностики переломов дистального отдела лучевой кости руки может привести к значительной заболеваемости.
Компьютерная томография (КТ) используется для планирования оперативного ремонта, обеспечивая повышенную точность оценки выравнивания суставной поверхности при внутрисуставном переломе. Так же в послеоперационном периоде, для определения состоявшегося сращения перелома.
После травмы запястья необходимо исключить перелом, даже если боль не очень интенсивная и нет видимой деформации, просто в данной ситуации экстренности нет. Нужно приложить лед через полотенце, придать руке возвышенное положение (согнуть в локте) и обратиться к травматологу.
Но если травма очень болезненна, запястье деформировано, имеется онемение или пальцы бледные, необходимо в экстренном порядке обратиться в травматологический пункт или вызвать скорую помощь.
Для подтверждения диагноза выполняются рентгенограммы лучезапястного сустава в 2-х проекциях. Рентген являются наиболее распространенным и широко доступным диагностическим методом визуализации костей.
Лечение переломов лучевой кости
Лечение переломов любых костей состоит оценки характера перелома и выборе тактики.
Цель состоит в том, чтобы вернуть пациента до уровня функционирования. Роль врача в том, чтобы разъяснить пациенту все варианты лечения, роль пациента в том, чтобы выбрать вариант, который лучше всего отвечает его потребностям и пожеланиям.
Есть много вариантов лечения перелом дистального отдела лучевой кости. Выбор зависит от многих факторов, таких как характер перелома, возраст и уровень активности пациента. Об этом подробнее описано в лечении.
Консервативное лечение переломов луча
Переломы луча в типичном месте без смещения, как правило фиксируются гипсовой или полимерной повязкой во избежание смещения. Если перелом лучевой кости со смещением, то отломки должны быть возвращены в их правильное анатомическое положение и фиксированы до сращения перелома. Иначе есть риск ограничения движений кисти, быстрейшего развития артроза поврежденного сустава.
Распространенное у обывателя понятие «вправление перелома» -неверное. Устранение смещения отломков правильно называть -репозиция.
После репозиции костных отломков рука фиксируется гипсовой лонгетой в определенном положении (зависит от вида перелома). Лонгетная повязка обычно используется в течение первых нескольких дней, в период нарастания отека. После этого имеется возможность поменять лонгету на гипсовую циркулярную повязку или полимерный бинт. Иммобилизация при переломах луча продолжается в среднем 4-5 недель.
В зависимости от характера перелома могут понадобиться контрольные рентгенограммы через 10, 21 и 30 дней после репозиции. Это необходимо для того, чтобы вовремя определить вторичное смещение в гипсе и принять соответствующие меры: повторное устранение смещения или операция.
Повязка снимается через 4-5 недель после перелома. Назначается ЛФК лучезапястного сустава для наилучшей реабилитации.
Хирургическое лечение переломов луча
Иногда смещение настолько критично и нестабильно, что не может быть устранено или держаться в правильном положении в гипсе. В этом случае может потребоваться чрескожная фиксация спицами или операция: открытая репозиция, накостный остеосинтез пластиной и винтами. В ходе этой операции устраняют смещение отломков и скрепляют кость металлической конструкцией, выбор которой определяется характером перелома. Операционный доступ: 1. Тыльный; 2. Ладонный. Сочетание обоих доступов. Положение пациента на спине. Обезболивание: проводниковая анестезия. Операция выполняется в кратчайшие сроки с использованием современных методик и имплантов. Импланты производства Швейцария и Германия. Материал имплантов: титан или медицинская сталь. Все операции ведутся под контролем ЭОПа (электронно-оптического преобразователя).
Закрытая репозиция и чрескожная фиксация спицами
Была популярна на протяжении многих лет и продолжает оставаться одним из самых популярных методов в международном масштабе.
Сначала врач закрыто устраняет смещение отломков, затем через отломки в определенных (учитывая характер перелома) направлениях просверливаются спицы.
Плюсы: малая травматичность, быстрота, легкость, дешевизна, отсутствие разреза и как следствие послеоперационного рубца
Минусы: невозможность начала ранней разработки лучезапястного сустава, вследствие чего риск возникновения необратимой контрактуры (отсутствие движений в суставе).
Открытая репозиция перелома лучевой кости
Открытая репозиция накостный остеосинтез пластиной и винтами. Операция включает в себя хирургический разрез, доступ к сломанной кости аккуратно отводя сухожилия, сосуды и нервы, мобилизацию костных отломков, устранение смещения и фиксация в правильном положении. Сломанные кости фиксируются титановыми пластинами, ввиду этого пациенту разрешается ранняя разработка движений в лучезапястном суставе.
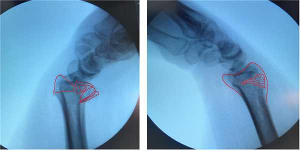
До операции:
После операции:
До операции:
После операции
Восстановление после перелома лучевой кости
Поскольку виды переломов дистального отдела лучевой кости настолько разнообразны, как и методы их лечения, то и реабилитация различна для каждого пациента.
Устранение боли
Интенсивность боли при переломе постепенно стихает в течение нескольких дней.
Холод местно в первые сутки по 15 минут через каждый час, покой, возвышенное положение руки (согнутую в локте на уровне сердца) и НПВП во многом устраняют боль полностью. Но болевой порог у всех разный и некоторым пациентам необходимы сильные обезболивающие препараты, приобрести которые можно только по рецепту.
Возможные осложнения
При консервативном лечении гипсовой или полимерной повязкой необходимо следить за кистью. Наблюдать, не отекают, не бледнеют ли пальцы, сохранена ли чувствительность кисти.
• Если давит гипс это может быть признаком сдавления мягких тканей, сосудов, нервов и повлечь за собой необратимые последствия. При появлении подобных симптомов необходимо срочно обратиться к врачу.
• Нагноение в области металлоконструкции (крайне редко);
• Повреждение сосудов, нервов, сухожилий (ятрогенное осложнение);
Реабилитация после перелома лучевой кости руки
Большинство пациентов возвращаются к своей повседневной деятельности после перелома дистального отдела лучевой кости через 1,5 - 2 месяца. Безусловно сроки реабилитации после перелома лучевой кости зависят от многих факторов: от характера травмы, метода лечения, реакции организма на повреждение.
Почти все пациенты имеют ограничение движений в запястье после иммобилизации. И многое зависит от пациента, его настойчивости в восстановлении амплитуды движений при переломе лучевой кости. Если пациент прооперирован с использованием пластины, то как правило врач назначает ЛФК лучезапястного сустава уже со первой недели после операции.
Реабилитация при переломах лучевой кости в типичном месте
Аннотация
Разработаны клинические рекомендации по проведению реабилитационных мероприятий при переломах луча в типичном месте (дистального метаэпифиза лучевой кости). Описаны основные этапы реабилитации данной категории пациентов. Указаны конкретные сроки назначения физических упражнений. Даны рекомендации по программе реабилитации в амбулаторных и стационарных условиях стационара. Приведены критерии оценки эффективности реабилитационных мероприятий.
Клинические рекомендации (КР) предназначены для врачей травматологов-ортопедов, врачей ЛФК и инструкторов-методистов ЛФК (инструкторов ЛФК), врачей-физиотерапевтов и медицинских сестер по физиотерапии, медицинских сестер по массажу, постовых медицинских сестер.
Уровень использования клинических рекомендаций: федеральный.
ВВЕДЕНИЕ
Перелом лучевой кости в типичном месте (в нижней трети) является наиболее частым повреждением костей предплечья и возникает обычно при падении на вытянутую вперед руку. При данной локализации травмы наблюдается смещение кисти с дистальным отломком лучевой кости в тыльном направлении, возникает деформация предплечья, по форме напоминающая штык. Перелом лучевой кости в типичном месте нередко сопровождается отрывом шиловидного отростка локтевой кости. Правильные анатомические взаимоотношения между проксимальным и дистальным отломком лучевой кости восстанавливаются путем ручной репозиции, после чего накладываются две гипсовых лонгеты. Длительность иммобилизации составляет 3—5 нед. и зависит от характера перелома, устойчивости положения отломков, возраста больного и других факторов.
Переломы дистального метаэпифиза лучевой кости составляют до 30% от всех переломов верхней конечности (Aitken S. et al., 2011). Основным методом лечения этой группы пациентов по-прежнему остается закрытая репозиция отломков под местной анестезией и наложение гипсовой лонгеты (Dandy D., Edwards D., 2003). Однако длительная иммобилизация в нефизиологическом положении кисти и пальцев вызывает у 16% пострадавших функциональные нарушения, негативно влияющие на повседневную активность (Moore C., Leonardi-Bee J., 2008). Частота неправильных сращений после консервативного лечения достигает 50% (Mackenney P. et al., 2006). При коррекции таких переломов в аппарате внешней фиксации кисть находится часто в нефункциональном положении, при котором пальмарные пластинки и коллатеральные связки межфаланговых суставов укорачиваются, что вызывает ограничение подвижности в них (Kuo L. et al., 2013). В связи с этим в последнее время находит все большее распространение открытая репозиция и остеосинтез нестабильных переломов лучевой кости в типичном месте с применением пластин с угловой стабильностью (Orbay J., Fernandez D., 2002; Wall L., et al., 2012). Большое значение для восстановления функции после операции имеет адекватность реабилитационных мероприятий (Handoll H., et al., 2003; Bamford R. and Walker D., 2010; Bruder A. et al., 2011).
Предлагаемые нами клинические рекомендации (КР) разработаны на основе анализа данных литературы, клинического опыта и апробации в ведущих учреждениях России.
Диагностические принципы КР:
- состояние после консервативного и оперативного лечения переломов дистального метаэпифиза лучевой кости (переломы луча в типичном месте).
Показания к применению КР:
Описанные в данных рекомендациях реабилитационные мероприятия показаны всем больным при переломах луча в типичном месте.
Противопоказания к применению КР:
Противопоказанием к применению клинических рекомендаций является тяжелое соматическое состояние пациента угрожающее жизни, острые инфекционные и септические процессы, кома и другие состояния с нарушением сознания, нарушение целости лучевой кости в области перелома или имплантата ведущие к нарушению стабильности.
Степень потенциального риска применения КР:
класс 1 - медицинские технологии с низкой степенью риска
Материально-техническое обеспечение КР:
- перечень используемых для осуществления КР лекарственных средств, изделий медицинского назначения и других средств с указанием номера государственной регистрации или иного разрешающего документа, организации-изготовителя, страны производителя; все задействованные в КР средства должны быть разрешены к применению в медицинской практике на территории РФ в установленном порядке.
При проведении реабилитационных мероприятий у больных с переломами луча в типичном месте используют:
- прикроватные балканские рамы, оборудованные стандартными механотерапевтическими блоками и манжетами,
- аппарат для продолжительной пассивной мобилизации лучезапястного сустава,
- зал ЛФК для групповой и индивидуальной лечебной гимнастики, комплект оборудования для ЛФК, аппараты для блоковой механотерапии, набор предметов для развития мелкой моторики,
- физиотерапевтическое оборудование: для УФО облучения, для низкочастотной терапии переменным магнитным полем, аппарат для низкочастотной электротерапии, для лазеротерапии инфра и красного диапазонов, для местной дарсонвализации, для теплолечения, для криотерапии.
- гидрокинезотерапевтические ванны
- оборудование для ручного, аппаратного и подводного массажа.
Медицинская реабилитация
Целью реабилитации пациентов при переломах луча в типичном мпесте по МКФ (Международной классификации функционирования, 2003) является восстановление:
· функции оперированного сегмента (на уровне повреждения, по МКФ)
· возможности самообслуживания (на уровне активности, по МКФ)
· социальной и профессиональной активности, улучшение качества жизни (на уровне участия, по МКФ)
2. Реабилитация при консервативном лечении переломов луча в типичном месте
Методика лечебной физкультуры, как основного средства реабилитации при подобных переломах различна в период иммобилизации предплечья гипсовой повязкой и после её снятия. Частым осложнением при данном переломе является ограничение подвижности в суставах пальцев и в плечевом суставе в связи с недостаточной двигательной активностью больного. В отдельных случаях наблюдается синдром Зудека (син.- трофоневротический синдром, комплексный региональный болевой синдром).
Для предупреждения этих осложнений, особенно выраженных у лиц, остро реагирующих на болевые ощущения, после наложения гипсовой повязки пациентам рекомендуют активно и с помощью здоровой руки сгибать пальцы до полного соприкосновения с ладонью и несколько раз в день поднимать руку выше горизонтального уровня. Таким образом, основными упражнениями при наличии гипсовой повязки являются активное отведение руки в плечевом суставе, сгибание и разгибание в локтевом суставе и движения в суставах пальцев. Особенностью этих элементарных упражнений является выполнение их в возможно полном объеме (например, полное сгибание пальцев в кулак даже при наличии известной степени отека, а не просто шевеление ими). Подобные упражнения не только предупреждают развитие ограничения подвижности в суставах, но также активизируют крово- и лимфообращение.
Для предупреждения контрактуры в плечевом суставе больному рекомендуется в положении лежа на спине заводить руку за голову. Показано также напряжение мышц предплечья с одновременными активными движениями здоровой рукой (пронация, супинация, движения в лучезапястном суставе и суставах пальцев).
Более важен для восстановления двигательной функции верхней конечности постиммобилизационный период (после удаления гипсовой повязки). В связи с наличием у больного болевых ощущений, отечности и отсутствием прочной консолидации отломков наиболее удобным и правильным исходным положением для выполнения физических упражнений следует считать положение руки на поверхности стола. В этом положении (с тонкой подушечкой под предплечьем) пациент сгибает пальцы и осторожно, при поддержке кисти больной руки, производит движения с небольшой амплитудой в лучезапястном суставе (приведение, отведение, разгибание кисти), делает попытку пронировать и супинировать предплечье. Кроме того, в этот период показаны физические упражнения в теплой воде (температура до 34°С) в виде активных движений кистью и пальцами. Сжимание губки, валика из поролона, мягкого резинового мяча помогает ориентировать направление движений пальцев в воде и добиться их лучшего сгибания. В дальнейшем для увеличения амплитуды движений больному предлагают производить физические упражнения, свесив кисть за край стола (при поддержке ее другой рукой или инструктором).
Наибольшее число специальных упражнений относится к движениям в лучезапястном суставе, так как в нем при данной локализации перелома развивается стойкое ограничение подвижности. Увеличению амплитуды движений кисти в условиях облегчения нагрузки способствуют упражнения для лучезапястных суставов (сгибание — разгибание, отведение — приведение и кружение) при опоре локтевых суставов на стол и взаимном соприкосновении ладоней. Для более интенсивной разработки движений в ранние сроки после прекращения иммобилизации могут использоваться простейшие виды механотерапии с аппаратом типа большой катушки, пресс-папье. Кроме того, могут проводится процедуры с помощью аппаратов для продолжительных пассивных движений. При длительно сохраняющейся отечности кисти показан легкий ручной или вихревой массаж предплечья, криотерапия, магнитотерапия, амплипульстерапия.
Теплолечение в эти сроки (начало сращения перелома) может провоцировать снижение механической прочности костной мозоли и усиление отека мягких тканей в зоне перелома.
Перечисленные упражнения должны сочетаться с движениями в плечевых суставах, динамическими дыхательными упражнениями. Выполняются они вначале в положении сидя, а затем и стоя. Для восстановления нормальной двигательной функции руки имеют особенно большое значение упражнения, выполняемые в ближайший срок после перелома лучевой кости.
В более поздние сроки (2—2,5 мес. после травмы) для дальнейшего увеличения амплитуды движений в суставах и укрепления мышц руки могут быть использованы упражнения со снарядами: серия упражнений в бросании и ловле различными способами малого резинового мяча, перекатывание по столу медицинбола весом 1—2 кг, пронация и супинация предплечья с использованием гимнастической палки. При этом необходимо учитывать, что усилие, развиваемое больным, может зависеть не только от веса, но и от способа удерживания снаряда; например, наиболее легко больной производит пронацию и супинацию предплечья, удерживая палку за середину, труднее — за верхний конец и, особенно, за нижнюю часть. В этот же период могут быть применены движения предплечьем при фиксированной кисти, которые в связи с изменением характера костного рычага оказывают более интенсивное действие на сустав. Специальные упражнения должны сочетаться с общеукрепляющими (движения симметричной верхней конечностью, упражнения, укрепляющие мышцы спины).
Параллельно с лечебной гимнастикой должна использоваться трудотерапия — работа на ручной швейной машине, наматывание ниток на клубок (сопровождающиеся круговым движением в лучезапястном суставе), склеивание конвертов (связанное с пронацией и супинацией предплечья в момент разглаживания бумаги).
Для активизации функции руки в ранние сроки после прекращения иммобилизации можно использовать работу с клавиатурой компьютера или планшетом. При возникновении умеренной боли в зоне перелома, на время занятия можно надевать легкий кистедержатель, что ограничивает движения в кистевом суставе и не препятствует работе пальцев травмированной кисти.
Для укрепления мышц руки включаются трудовые операции, требующие более длительного и интенсивного напряжения мышц, например работа пассатижами, отверткой, резьба по дереву, выжимание и скручивание белья во время стирки. Применение трудотерапии ускоряет восстановление трудоспособности больного. При прочной консолидации отломков и сохранении у больного ограничения подвижности кисти может быть использована в поздние сроки (3—3,5 месяца после перелома) механотерапия в форме упражнений на маятниковом аппарате, ее желательно сочетать с теплолечением и ультразвуковой терапией на область лучезапястного сустава. Длительность процедуры механотерапии 10—20 мин. Ей должна предшествовать ЛГ. После механотерапии кисть кратковременно следует фиксировать в положении максимального сгибания или разгибания в зависимости от характера ограничения подвижности в лучезапястном суставе. При отсутствии осложнений обычно уже к 2 мес. после перелома лучевой кости удается добиться удовлетворительной функции верхней конечности.
3. Особенности реабилитации при оперативном лечении переломов луча в типичном месте
К оперативному лечению в последние годы стали прибегать чаще. Обычно показанием для него является нестабильность перелома, неудачи при закрытой репозиции. Используют различные виды внеочагового остеосинтеза (аппараты внешней фиксации) и накостный остеосинтез пластинками. Иные виды остеосинтеза не дают достаточной стабильности и применяются очень ограничено.
Во всех случаях, если есть такая возможность до оперативного вмешательства, проводится предоперационная подготовка. Она направлена на обучение пациента упражнениям, которые он будет выполнять в ближайшее время после операции. При осложненном переломе луча в типичном месте, который сопровождается болевым синдромом, отеком, контрактурой суставов пальцев кисти проводится комплекс реабилитационных мероприятий направленных на устранение указанных нарушений. На первом месте стоит боль, затем приступают к устранению трофических нарушений (отек) и лишь в последующем стремятся устранить или уменьшить выраженность контрактур суставов.
Для купирования болевых синдромов используют различные физиотерапевтические средства (электроаналгезия, лечение лазером, магнитотерапия), весьма эффективна рефлексотерапия, ее можно сочетать с ручным массажем по рефлекторно-сегментарной методике без воздействия на травмированную область.
Для устранения отека высокоэффективен ручной массаж направленный на деплеторное воздействие (так наз. отсасывающая методика), вихревой массаж в теплой воде (около 30-32 град C).
Характер упражнений зависит от стойкости контрактур корригирующему воздействию. При податливых контрактурах достаточно активных упражнений и упражнений с самопомощью. При менее податливых контрактурах следует выполнять пассивные движения в сочетании с теплолечением, массажем суставов,. Могут также использоваться мягкие суставные техники мануальной терапии. В комплекс реабилитационных мероприятий желательно включать механотерапию на аппаратах маятникового типа или с электроприводом.
Реабилитация в раннем послеоперационном периоде, когда кисть обездвижена повязкой, по сути в значительной степени аналогичен периоду иммобилизации при консервативном лечении, а поздний послеоперационный соответственно постиммобилизационному.
4. Оценка эффективности реабилитации
Для оценки эффективности реабилитации пациентов при переломах луча в типичном месте используют клинические, инструментальные методы исследования, а также шкалы и опросники, измеряющие степень ограничения активности в повседневной жизни и изменения качества жизни. Из клинических методов наиболее информативен анализ динамики болевого синдрома по визуально-аналоговой (ВАШ) или вербальной шкалам, силы мышц кисти и гониометрических показателей. Для оценки динамики активности и послеоперационного качества жизни пациентов применяют DASH (Disabilities of the Arm, Shoulder, and Hand) - анкету. Эта схема включает в себя 30 вопросов, отражающих наиболее важные действия в повседневной жизни пациента, с использованием поврежденной (оперированной) верхней конечности. Сумма баллов в количестве 0 свидетельствует об отсутствии нарушений, а 100 - максимальной степени нарушений функций верхней конечности
По результатам измерений подсчитывают количество баллов. Их общая сумма составляет индекс, характеризующий функциональное состояние кисти. При индексе меньше 55 функцию кисти считают «плохой», от 55 до 69 - «удовлетворительной», от 70 до 89 баллов - «хорошей», от 90 до 100 - «отличной»
Возможные осложнения и способы их устранения:
Осложнений при использовании данных клинических рекомендаций не выявлено.
Эффективность использования КР:
Эффективность использования КР подтверждена хорошими и отличными функциональными результатами, полученными в процессе реабилитации более 1000 пациентов в возрасте от 18 до 90 лет.
Информация
Источники и литература
Информация
С.П. МИРОНОВ (академик РАН, профессор, ФГБУ ЦИТО), М.Б. ЦЫКУНОВ (профессор, ФГБУ ЦИТО) , А.В. НОВИКОВ (д.м.н. профессор ФГБУ ПФИМЦ),, А.В. ЯШКОВ (д.м.н. профессор СамГМУ),
Рецензирование клинических рекомендаций:
экспертная группа по медицинской реабилитации Минздрава России,
экспертная группа по травматологии и ортопедии Минздрава России.
Методология
Методы, используемые для сбора / Выбора доказательств
Поиск в электронных базах данных
Описание методов, используемых для сбора доказательств
Доказательной базой для написания настоящих клинических рекомендаций являются материалы вошедшие в MedLine, базу Cochrane, материалы издательства Elsevier и статьи в авторитетных отечественных журналах по травматологии и ортопедии. Глубина поиска составляет 25 лет.
Методы, использованные для оценки качества и силы доказательств:
• Консенсус экспертов;
• Оценка значимости в соответствии с рейтинговой схемой (схема прилагается).

Рейтинговая схема для оценки силы рекомендаций (Таблица 1)
Методы, использованные для анализа доказательств:
• Обзоры опубликованных мета-анализов;
• Систематические обзоры с таблицами доказательств.
Методы, использованные для формулирования рекомендаций:
• консенсус экспертов.

Рейтинговая схема для оценки силы рекомендаций (Таблица 2)
Остеосинтез при переломе локтевой кости
Переломы локтевой кости чаще всего происходят при прямой травме, то есть ударе в область средней её трети. Часто сопровождаются переломами лучевой кости, либо на том же уровне, либо в верхней или нижней её части. Изолированные переломы только локтевой кости могут лечиться консервативно при отсутсвии смещения или при наличии углового смещения до 15 градусов у детей не достигших скелетной зрелости (так как ось корректируется в процессе роста кости). В остальных случаях предпочтительно хирургическое лечение.
В настоящее время для остеосинтеза простых (поперечных и косых) переломов костей предплечья чаще всего используются различные модификации пластин с компрессирующими и блокируемыми отверстиями. Ниже мы рассмотрим методику выполнения остеосинтеза простого косого перелома локтевой кости при помощи пластины с угловой стабильностью 3,5 мм Synthes на 8 отверстий, кортикальных и блокируемых винтов.
Клинический пример хирургического лечения перелома локтевой кости.
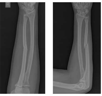
Пациент П. 39 лет, получил перелом локтевой кости в результате прямой травмы (падение на бордюрный камень с упором на согнутую в локтевом суставе руку).
Обратился в РТП, была наложена гипсовая повязка, лечился консервативно.
Обратился на консультацию в К+31. С целью ранней реабилитации, активизации, профилактики замедленной консолидации и формирования ложного сустава, полного восстанволения функции конечности предложено оперативное лечение - открытая репозиция, остеосинтез перелома пластиной и винтами Synthes.

Пациент госпитализирован с приёма, проведено полное предоперационное обследование, операция выполнена в день обращения.
В случае простых переломов, где линия перелома образована 2 основными крупными фрагментами (возможно наличие небольшого количества мелких фрагментов не препятсвующих стабильной фиксации) выполняется остеосинтез при помощи пластины и винтов с достижением максимальной механической стабильности в зоне перелома и компрессии между собой отломков.
Такой остеосинтез был впервые предложен и претерпел дальнейшее широкое распространение благодаря международному сообществу травматологов - ортопедов AO\ASIF.
После выполнения стандартного доступа к локтевой кости, мобилизации костных отломков, осуществлена их репозиция при помощи костодержателей.

Пластина на локтевой кости может устанавливаться в трёх различных позициях, под локтевым сгибателем кисти, локтевым разгибателем кисти и между ними. Первые две позиции предпочтительнее, так как в третьем случае пластина будет пальпироваться непосредственно под кожей.

Выбор позиции зависит от морфологии перелома, то есть от того, где проходит его основная плоскость.
Метафизарная пластина Synthes позволяет создавать межфрагментарную компрессию как за счёт её предварительного сгибания так и при установке компрессирующего винта эксцентрично.

Вторым этапом устанавливается компрессирующий винт, ось проведения компрессирующего винта перпендикулярна плоскости перелома.
Компрессирующий винт создаёт дополнительную межфрагментарную компрессию. Он может быть проведён как через отверстие в пластине, так непосредственно через кость. В большинстве случаев удобнее проводить его непосредственно через кость, так легче добиться правильной оси его проведения - перпендикулярно плоскости перелома.
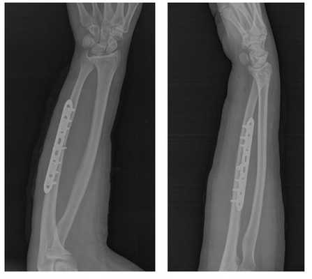
Окончательно остеосинтез выглядит на схеме так.

В операционной остеосинтез выглядит так.

На рентгенограммах после операции остеосинтез выглядит так.

Такой остеосинтез крайне надёжен и позволяет давать полную амплитуду движений непосредственно сразу после операции. С целью заживления послеоперационной раны и минимизации боли в раннем послеоперационном периоде (первые 2 недели после операци) рекомендуется ношение косыночной повязки и использование грелки со льдом местно по 20-30 минут до 5 раз в день.
После снятия швов можно использовать руку для бытовых нужд. Через 6 недель выполняется рентгенконтроль, при наличии признаков сращения нагрузка увеличивается до полной. Однако форсированные физические нагрузки противопоказаны до 3 месяцев после операции.
Удаление металлофиксаторов при диафизарных переломах костей предплечья не рекомендуется. В случае выраженного дискомфорта удаления не рекомендуется раньше 2 лет после операции в связи с высоким риском рефрактуры.
Операция при переломе луча в типичном месте
Перелом лучевой кости в нижней трети - одна из самых частых травм в структуре переломов костей скелета. Во многих случаях данный вид травмы лечится консервативно в гипсовой повязке, с неудовлетворительными результатами, формированием грубого посттравматического артроза, деформации, и длительного реабилитационного периода, который продолжается до года и более. Во многом это обусловлено трудностями первичной диагностики, когда из-за недостаточно ясной рентгенологической картины, доктор склонен неправильно оценивать тяжесть перелома.
Перелом лучевой кости, оперировать или не оперировать? Такой вопрос часто встаёт перед травматологом-ортопедом. Существуют разные подходы к лечению этого вида травмы. Тактика очень сильно отличается в зависимости от лечебного учреждения, в которое вы обратились и от того, к какому врачу вы попали.
Так при одинаковом морфологическом типе перелома, например внутрисуставном переломе с дефектом тыльного кортекса (23 - С2 по классификации международной ассоциации остеосинтеза) вы можете получить совершенно различное лечение. Так в деревенском травм-пункте вам наложат гипс на 3 недели, в региональной больнице могут положить дистракционный аппарат из двух полуколец, а в столичной клинике более вероятно предложат открытую репозицию и остеосинтез пластиной.
Ниже представим клинический пример различных подходов к лечению данной патологии. Отследим, каким образом исходно одинаковые типы переломов ведут себя в гипсе и после накостного остеосинтеза.

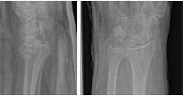
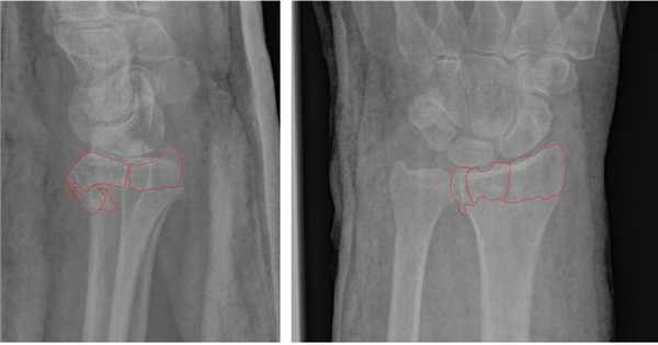
На представленной рентгенограмме не тренированный глаз может вообще не увидеть перелома, хотя врач травматолог и квалифицированный рентгенолог заметят насколько «просела» суставная поверхность лучевой кости, и отметят, что она развёрнута в тыльную сторону на 10 градусов (в норме она должна смотреть в ладонную сторону). Если присмотреться повнимательнее становятся видны линии перелома.

Намного более отчётливо степень нестабильности этих костных фрагментов видна под ЭОП-ом при выполнении функциональных проб. При тыльном сгибании определяется значительное количество мелких фрагментов тыльной кортикальной пластинки и внутрисуставной, оскольчатый характер перелома.

В такой ситуации лечение консервативным способом, гипсовой повязкой, не может дать надёжного результата. При оскольчатом характере перелома с дефектом тыльной кортикальной пластинки у дистального метаэпифиза просто нет надёжной опоры, и в итоге происходит усугубление смещения, суставная поверхность ещё больше наклоняется в тыльную сторону.
Несмотря на это многие травматологи продолжают лечить такие переломы методом гипсовой иммобилизации. В конечном итоге перелом срастается с грубым смещением, суставная поверхность оказывается развёрнута в тыльную и лучевую сторону.

Формируется грубый артроз лучезапястного сустава. Клинически это проявляется визуально деформацией в области лучезапястного сустава, ограничением амплитуды движений, болью при физической нагрузке.
По этой причине в нашей клинике мы предпочитаем лечить такие типы переломов оперативно. Для фиксации данного типа повреждений предпочтительно использовать пластины с угловой стабильностью с дистальным расположением винтов, которые можно ввести субхондрально, ближе к суставной поверхности. В своей практике мы используем пластины фирмы Synthes - 2.4mm Variable Angle LCP® Volar Rim Distal Radius System.

Такой тип фиксации позволяет добиться стабилизации перелома, отказаться от гипсовой иммобилизации и начать раннюю разработку движений в лучезапястном суставе, что в конечном счёте приводит к отличным функциональным результатам. Оперативное вмешательство целесообразно проводить непосредственно в день травмы, до нарастания отёка, оптимально - в первые 6 часов после травмы.

Остеосинтез позволяет восстановить нормальную анатомию, утраченную при травме. Благодаря этому возможно правильное распределение нагрузки, и восстановление полного, безболезненного объёма движений. Риски хирургии минимальные, при должном знании анатомии повреждение сосудисто-нервных пучков, срединного и лучевого нерва. Практически исключено. Не стоит использовать слишком длинные винты. Так как они будут раздражать сухожилия на тыльной поверхности лучезапястного сустава и нижней трети предплечья. Для уменьшения риска КРБС, формирования синдрома карпального канала, следует бережно обращаться с тканями, использовать вакуумные дренажи, назначать в послеоперационном периоде препараты аскорбиновой кислоты.

Конечно консервативный метод всё равно имеет право на существование, так как во первых он дёшев, во вторых не требует от врача особой квалификации, в третьих лишён рисков, связанных с самой хирургией. Для пациентов с низкими функциональными запросами (пожилой, малоактивный, «домашний» пациент, с букетом сопутсвующих болячек) он иногда является методом выбора ввиду высоких анестезиологических рисков и низкого уровня ожиданий пациента.
Перелом лучевой кости
Перелом лучевой кости - это нарушение целостности лучевой кости в результате травматического воздействия. Может возникать на любом уровне: в области головки и шейки луча, в нижней и средней трети. Наиболее распространенными являются переломы луча чуть выше запястья (в типичном месте). Проявляются отеком, болью, деформацией и ограничением движений. Для уточнения диагноза используется рентгенография, реже КТ. Лечение консервативное, при невозможности адекватной репозиции и тяжелых многооскольчатых переломах показана операция.
МКБ-10



Общие сведения
Перелом лучевой кости - одно из самых распространенных повреждений опорно-двигательного аппарата. Обычно возникает при падении на руку. Может выявляться у лиц любого возраста и пола, однако, повреждения верхней части лучевой кости и переломы диафиза чаще обнаруживаются у детей, пациентов среднего и молодого возраста, а переломы луча в типичном месте - у пожилых. Такая разница обусловлена некоторыми различиями в механизме травмы, разным уровнем и характером двигательной активности, а также возрастными особенностями костно-мышечной системы.
Переломы лучевой кости могут быть изолированными или сочетаться с другими повреждениями. В травматологии и ортопедии чаще встречается сочетание переломов лучевой и локтевой кости. При нетипичном механизме травмы (автодорожных происшествиях, несчастных случаях на производстве, падениях с высоты) возможны сочетания с переломами других костей конечностей, переломами ребер, переломами позвоночника, переломами таза, ЧМТ, повреждением почки, повреждением грудной клетки, повреждением мочевого пузыря и тупой травмой живота. Лечение переломов луча осуществляют врачи-травматологи.

Патанатомия
Лучевая кость - одна из двух костей предплечья. Она находится со стороны I пальца и проходит практически параллельно локтевой кости, расположенной со стороны мизинца. В верхней части лучевая кость истончается, переходит в шейку и заканчивается небольшой головкой, которая «торцом» сочленяется с плечевой костью, а боковой поверхностью - с локтевой. В области диафиза лучевая кость расширяется, а локтевая сужается, и их диаметр становится практически одинаковым. В нижней части лучевая кость становится еще шире и занимает большую часть лучезапястного сустава, соединяясь с тонкой дистальной частью локтевой кости и костями запястья.
Классификация
С учетом вышеперечисленных анатомических особенностей выделяют несколько видов изолированных переломов луча и более сложных повреждений, при которых страдают как лучевая, так и локтевая кости. К числу изолированных травм относятся переломы шейки и головки луча, изолированные переломы диафиза и переломы дистальной части (переломы в типичном месте). Одновременное повреждение лучевой и локтевой кости наблюдается при переломе диафизов обеих костей предплечья и при повреждении Галеацци, которое представляет собой сочетание перелома луча в нижней или средней части диафиза с вывихом дистального конца локтевой кости в лучезапястном суставе.
Виды переломов луча
Переломы головки и шейки
Перелом лучевой кости в области головки обычно возникает в результате падения на вытянутую и немного отведенную руку. Составляет около 20% от общего числа травм локтевого сустава. В 50% случаев сочетается с повреждением других анатомических структур, в 10% случаев - с вывихом костей предплечья. Проявляется болью и припухлостью в области локтя. Боль усиливается при пальпации, попытке повернуть или согнуть руку. Крепитация не определяется. Для уточнения диагноза назначают рентгенографию локтевого сустава. Лечение обычно консервативное. При повреждениях без смещения накладывают гипс, при наличии смещения выполняют закрытую репозицию, а затем назначают контрольные снимки.
При неудовлетворительном результате контрольной рентгенографии осуществляют повторную репозицию с фиксацией головки спицей. Затем накладывают гипс, спицу удаляют через 2-3 нед., иммобилизацию продолжают 4-5 нед. При многооскольчатых повреждениях и значительном разрушении головки показано хирургическое вмешательство - резекция головки или эндопротезирование головки с использованием силиконового протеза. Последний способ обычно применяется при лечении молодых пациентов.
Изолированные переломы диафиза
Перелом лучевой кости в зоне диафиза возникает в результате удара по лучевой стороне предплечья и наблюдается достаточно редко. Симптоматика обычно стертая. В области повреждения возникает припухлость, пациенты жалуются на боль, усиливающуюся при ощупывании и движениях, особенно ротационных. Крепитация и патологическая подвижность, как правило, отсутствуют, поскольку отломки лучевой кости удерживаются целой локтевой костью и межкостной мембраной. Диагноз уточняют при помощи рентгенографии костей предплечья.

Повреждение Галеацци
Описано итальянским хирургом Галеацци в первой половине двадцатого века. Представляет собой сочетание перелома лучевой кости и вывиха локтевой кости в лучезапястном суставе. Подобные повреждения составляют около 7% от общего количества переломов костей предплечья и образуются при падении на пронированную кисть. Сопровождаются болью в нижней и средней трети предплечья, выраженной припухлостью и образованием подкожных гематом. Движения в лучезапястном суставе ограничены.
Отличительными особенностями данной травмы являются частые сопутствующие повреждения нервов, развитие компартмент-синдрома (сдавления нервов, вен и артерий отечными мягкими тканями) и необходимость хирургического вмешательства для восстановления нормальных анатомических соотношений костей предплечья. Признаками, позволяющими заподозрить повреждение нервов, являются выпадение чувствительности и движений в области кисти. Усиливающееся напряжение мягких тканей, мучительная нарастающая боль и усиление боли при тяге за пальцы указывают на наличие компартмент-синдрома.
Диагноз выставляется на основании рентгенографии предплечья с захватом лучезапястного сустава. В сомнительных случаях выполняют сравнительные рентгенограммы обеих предплечий или назначают КТ кости. При подозрении на травму нервов и повреждение сосудов назначают консультации сосудистого хирурга и невролога. При компартмент-синдроме необходима немедленная фасциотомия. Лечение оперативное - открытая репозиция и остеосинтез лучевой кости пластиной. При необходимости дополнительно осуществляется фиксация головки локтевой кости спицей. Иммобилизацию продолжают 6-8 нед., затем назначают реабилитационные мероприятия, включающие в себя ЛФК, массаж и физиотерапию. При застарелых повреждениях накладывают дистракционные аппараты.
Перелом в типичном месте
Переломы лучевой кости в типичном месте (чуть выше лучезапястного сустава) - самые распространенные переломы костей предплечья. Нередко наблюдаются у детей и у молодых людей, однако, чаще всего встречаются у лиц пожилого возраста, что обусловлено остеопорозом. Как правило, возникают при падении с опорой на вытянутую руку, могут сопровождаться или не сопровождаться смещением фрагментов. С учетом характера смещения выделяют две разновидности таких повреждений - переломы Коллеса и переломы Смита. При переломе Коллеса дистальный отломок смещается к тылу, при переломе Смита - к ладони. Кроме того, такие переломы могут быть внутрисуставными или внесуставными, открытыми или закрытыми.
Повреждение сопровождается резкой болью, отеком и кровоизлияниями. Возможна крепитация и патологическая подвижность. При смещении выявляется видимая деформация чуть выше сустава или в его проекции. Движения и пальпация резко болезненны. Диагноз подтверждают по результатам рентгенографии лучезапястного сустава. При сложных переломах и в ходе предоперационной подготовки может потребоваться проведение КТ лучезапястного сустава и МРТ. Лечение в подавляющем большинстве случаев консервативное.

Рентгенография лучезапястного сустава. Перелом дистального метаэпифиза лучевой кости со смещением отломков.
При переломах лучевой кости без смещения накладывают гипс, при смещении после выполнения блокады проводят закрытую репозицию с последующим наложением простой или пластиковой гипсовой повязки. При необходимости для лучшего удержания отломков используют чрезкожную фиксацию спицами. Затем больного направляют на контрольную рентгенографию. При удовлетворительном стоянии отломков гипс сохраняют 4-5 нед. При неудаче репозиции осуществляют попытку повторного вправления. Если фрагменты не удалось сопоставить, показана операция.
Хирургическое вмешательство проводят в условиях стационара. Возможен остеосинтез дистального метаэпифиза лучевой кости пластиной или винтами. При сложных открытых переломах наложение металлоконструкций в области раны противопоказано, поэтому в таких случаях используют аппараты внешней фиксации. В послеоперационном периоде назначают УВЧ, обезболивающие и антибиотики. Срок начала реабилитационных мероприятий зависит от вида остеосинтеза. Стабильная фиксация пластиной позволяет начать ЛФК уже через неделю после операции, при других способах лечения разработку сустава откладывают на более поздние сроки.
3. Выбор тактики лечения переломов лучевой кости в типичном месте/ Каракулько Н.А., Рузанов В.И., Чибриков А.Г., Хачатрян А.Г.// Здоровье и образование в XXI веке - 2009 - Т.1, №1
Читайте также:
- Остеосаркома верхней и нижней челюсти
- Вестибулярные функции при ушном менингите. Слух при отогенном менингите
- Организационные формы челюстно-лицевой ортопедии. Достижения челюстно-лицевой ортоледии.
- Сальные железы. Волосы. Строение и функции сальных желез и волос.
- Смешанные фиброматозы десмоидного типа. Смешанные фиброматозы типа Дюпюитрена.
