Техника операции задней шейной декомпрессии межпозвоночного отверстия и ламинэктомии
Добавил пользователь Владимир З. Обновлено: 07.01.2026
Тяжелым осложнением ряда заболеваний позвоночника является развитие компрессионно-вертебрального синдрома, т. е. серьезных неврологических расстройств. Это сопровождается мощными болями в спине, способными отдавать в другие части тела, включая ягодицы, ноги, грудь и т. д. Также люди с компрессионно-вертебральным синдромом страдают от нарушения чувствительности и подвижности конечностей, функционирования внутренних органов, в особенности малого таза.
Чаще всего основной причиной развития подобного состояния являются дегенеративно-дистрофические заболевания позвоночника, в частности запущенный остеохондроз. Именно он в 80% случаев приводит к возникновению компрессионно-вертебрального синдрома и характерных для него нарушений. Также сужение спинномозгового канала могут провоцировать опухоли и некоторые изменения в строении позвоночника, обусловленные получением травм разного характера.
Эти факторы оказывают патологическое давление на нервы, кровеносные сосуды, позвоночный канал и другие анатомические образования, что и провоцирует развитие агрессивной неврологической симптоматики. Ее появление является поводом для немедленного принятия мер, поскольку длительное компрессионное воздействие на позвоночник приводит к некрозу важных структур. Следствием этого становится:
- паралич рук, ног;
- необратимые мозговые нарушения;
- несостоятельность мочеполовой системы;
- тяжелые нарушения работы сердца и органов дыхания.
Характер осложнений напрямую зависит от того, в каком отделе позвоночника наблюдается компрессия. В таких ситуациях точно оценить тяжесть состояния больного и подобрать правильную тактику лечения может только высококвалифицированный специалист, в частности, невролог, вертебролог или нейрохирург.

Микрохирургическая декомпрессия позвоночника: что это
Микрохирургическая декомпрессия позвоночника - оперативное вмешательство, направленное на устранение сдавливающих нервно-сосудистые структуры позвоночного канала факторов. Оно подразумевает использование оптических интраоперационных приборов и незначительное травмирование мягких тканей, что существенно уменьшает кровопотери в ходе операции, облегчает и ускоряет реабилитацию, а также позволяет добиться хорошего косметического эффекта.

Современные декомпрессирующие микрохирургические операции выполняются через разрезы размером 1-4 см, а оптическое оборудование обеспечивает высокую степень визуализации операционного поля. Поэтому они принадлежат к числу малотравматичных хирургических вмешательств и при этом позволяют эффективно освобождать сдавленные спинномозговые корешки и кровеносные сосуды.
Суть операции заключается в хирургическом удалении патологических дефектов, которые провоцируют компрессию позвоночного канала, нервных корешков и сосудистых образований. В роли таковых зачастую выступают:
Их удаление позволяет освободить сдавленные нервы и сосуды, что создает предпосылки для их скорого восстановления.

Операция может осуществляться двумя способами: с помощью микрохирургических инструментов под контролем микроскопа или посредством эндоскопического оборудования. Обе техники декомпрессионной операции эффективны, но отличаются степенью травматизации тканей. Каждая из них имеет свои показания к проведению и ограничения. Поэтому выбор тактики декомпрессии позвоночника остается за нейрохирургом.
Эндоскопическая декомпрессионная операция
Этот вид хирургического вмешательства уже давно широко используется по всему миру и признан самым щадящим способом удаления патологически измененных тканей. Он подразумевает выполнение разрезов, размеры которых не превышают 1-1,5 см.

Через них в тело пациента вводится телескопический зонд и эндоскопическая трубка, являющаяся проводником для всего необходимого хирургические инструменты, посредством которых и резецируются измененные ткани в требуемом объеме. Современное оборудование дает возможность добиться высочайшего уровня увеличения операционного поля с высокой четкостью изображения, передающегося с введенной в тело видеокамеры на монитор в режиме реального времени.
Декомпрессия позвоночника эндоскопическим методом признана наиболее щадящей для здоровых мягких тканей. Поэтому она позволяет:
- сократить кровопотери;
- облегчить, а также ускорить процесс восстановления организма;
- минимизировать интра- и послеоперационные риски.
Эндоскопическая операция занимает около 45 минут и может выполняться под местной анестезией. Но при высоком уровне тревожности пациента и ряде других случаев применяют общий эндотрахеальный наркоз.

Декомпрессия позвоночника эндоскопическим методом может осуществляться тремя доступами:
- TESSYS (трансфораминальный) - используется латеральный задний доступ через так называемый треугольник Камбина, при этом пациент лежит на боку или на животе. Он подходит для удаления различных грыж межпозвонковых дисков и в ряде других ситуаций, включая синдром Кауда.
- CESSYS (переднелатеральный) - применяется для устранения патологий шейного отдела и подразумевает создание доступа к позвоночнику через передне-боковую поверхность шеи.
- iLESSYS (дорзальный) - используется для удаления патологических образований в поясничном отделе позвоночника и подразумевает доступ к нему через передне-боковую поверхность живота.
Суть операции заключается в следующем:
- Кожные покровы обрабатываются раствором антисептика, и выполняется разрез в проекции позвонка, провоцирующего развитие неврологической симптоматики.
- Через разрез в безопасную зону позвоночного пространства вводится расширитель под контролем ЭОП. По нему погружается рабочая гильза, сквозь которую проводят трубку эндоскопа. Ее диаметр составляет 6-8 мм. Подключают светодиод и камеру, моментально начинающую трансляцию изображения на монитор.
- Под многократным увеличением с помощью специальных инструментов, вводимых в операционное поле через трубку эндоскопа и сменяемых в ходе операции, нейрохирург выполняет резекцию патологически измененных тканей. Он последовательно устраняет образование, ставшее причиной развития компрессионно-вертебрального синдрома. Так для резекции костных остеофитов используются специальные кусачки, а для удаления грыжи межпозвоночного диска - микрощуп.
- Удаленные фрагменты выводятся из организма посредством специального отсека эндоскопической системы, а образовавшаяся полость тщательно промывается физиологическим раствором.
- Оборудование извлекают, а на послеоперационную рану накладывают швы.
Но эндоскопия может проводиться не во всех случаях наличия компрессионно-вертебрального синдрома. Из-за технических ограничений она не способна решить проблему:
- выраженного бокового и циркулярного стеноза позвоночного канала;
- двусторонней каудогенной хромоты; ;
- грубых парезов;
- паравертебральных опухолей.
Декомпрессионная операция с применением микроскопа
При невозможности проведения эндоскопического хирургического вмешательства или необходимости выполнения ряда сложных манипуляций для декомпрессии позвоночника используется операция с микроскопом. Она признана самой продуктивной тактикой декомпрессионной хирургии и может применяться при огромном количестве самых разнообразных диагнозов.
Современные микроскопы обеспечивают увеличение операционного поля до 40 раз, что на все 100% покрывает потребности хирурга в визуализации и позволяет выполнять каждое действие с высочайшей точностью на всех отделах позвоночника.

Этот вид хирургического вмешательства обладает всеми достоинствами классических открытых операций, но при этом отличается значительно меньшей травматичностью, что позволяет причислить операции с микроскопом к числу малоинвазивных.
Все действия хирург выполняет через разрез около 3-4 см. Хирургическое вмешательство проводится только под общим наркозом и требует от 1 до 3 часов. Его суть можно описать следующим образом:
- Кожные покровы обрабатываются раствором антисептика, и в проекции стенозирующего очага выполняется разрез удобным доступом. Его выбирают так, чтобы максимально защитить от повреждения структуры опорно-двигательного аппарата.
- Следя за каждым своим движением, нейрохирург отводит от выпирающей части позвонка нерв в безопасное место и приступает к удалению фрагментов видоизмененных суставов, связок, позвонков, межпозвонковых дисков и пр.
- При необходимости устанавливается стабилизирующая металлоконструкция.
- Послеоперационную рану промывают, дезинфицируют и накладывают швы.
После операции с микроскопом вставать и самостоятельно передвигаться можно уже в тот же день или на следующий. В стационаре больницы пациенту придется оставаться минимум 4 суток. При отсутствии осложнений его выписывают домой и направляют на прохождение курса реабилитации.
Декомпрессивно-стабилизирующая операция
Часто возникает необходимость сочетать декомпрессионные хирургические вмешательства с установкой стабилизирующей позвонки системы. Это является надежным залогом устранения риска возникновения или уже существующей нестабильности позвонков.

Стабилизирующие операции выполняют вторым этапом после устранения давления на нервно-сосудистые образования. Они заключаются в соединении склонных к смещению позвонков между собой специальными конструкциями жесткой или динамической фиксации, что невозможно эндоскопическим путем. Поэтому при возникновении необходимости в установке стабилизирующей системы декомпрессию позвоночника выполняют посредством операций с микроскопом.
Жесткие стабилизирующие системы
Системы жесткой фиксации подразумевают установку в межпозвонковое пространство костного трансплантата (обычно взятого из подвздошной кости пациента) или специального искусственного кейджа с последующим монтажом на два и более соседних позвонка металлической конструкции. В результате они обездвиживаются и со временем сращиваются между собой, т. е. происходит спондилодез.

Метод позволяет полностью устранить сегментарную нестабильность позвоночника, но при необходимости фиксации одновременно большого количества позвонков провоцирует уменьшение возможной амплитуды движений.
Жесткая стабилизация подразумевает использование техники транспедикулярной фиксации или транскутанной стабилизации. Они очень похожи между собой и отличаются одинаковой эффективностью, но последняя обладает лучшим косметическим эффектом, поскольку все манипуляции осуществляются через точечные проколы мягких тканей.
Суть метода состоит в применении специальных титановых винтов и пластин. Винты вкручиваются в точку пересечения поперечных отростков позвонка с суставными по обеим сторонам позвонка. Таким образом, фиксируется минимум 2 позвонка, хотя в ряде ситуаций требуется стабилизация значительного большего количества позвоночно-двигательных сегментов. Через шляпки винтов пропускают титановую пластину, обеспечивающую жесткость конструкции и распределение нагрузки на нее.

Динамическая стабилизация
Динамическая стабилизация заключается в имплантации конструкций, которые не только надежно фиксируют позвонки в анатомически правильном положении, но и не препятствуют их подвижности в естественных пределах. Это позволяет сохранить полноценную биомеханику позвоночника, но и стоит значительно дороже.

Метод предполагает использования специальных эндопротезов межпозвоночных дисков, которые устанавливаются между остистыми отростками позвонков. Современные эндопротезы производятся из биологически инертных материалов и полностью безопасны для организма. Они могут изготавливаться из титана, полиамида, термопластичных полимеров и т. д., а сочетание различных материалов обеспечивает возможность достижения максимального приближения к нормальной подвижности позвоночника.

Показания к декомпрессии позвоночника микрохирургическим способом
Декомпрессионные операции выполняются при наличии строгих показаний, а именно:
- опасных для трудоспособности и жизни пациента состояниях, расстройствах работы центральной нервной системы;
- стойком или прогрессирующем угнетении двигательных функций, наблюдающихся на фоне проведения консервативной терапии;
- постоянных или часто возникающих сильных болях, которые не удается устранить медикаментозно или даже блокадами позвоночника;
- потеря контроля над процессами дефекации и мочеиспускания;
- стойкая эректильная дисфункция, спровоцированная ущемлением соответствующего спинномозгового корешка.
Эффективность микрохирургической декомпрессии
В подавляющем большинстве случаев с помощью микрохирургической операции удается добиться существенного улучшения состояния пациента. Прогноз во многом зависит от своевременности ее проведения.
70-80% хирургических вмешательств такого рода выполняются на поясничном отделе позвоночника, поскольку именно на него приходится основная нагрузка, что и создает все предпосылки для возникновения дегенеративных изменений и травм. Несколько реже декомпрессия позвоночника микрохирургическим способом выполняется на уровне шейных позвонков.
Надо помнить, что любое хирургическое вмешательство, особенно на позвоночнике, это риск. Поэтому к ним прибегают только в крайних случаях при полной неэффективности консервативных методов лечения.
Согласно медицинской статистике, около 95% пациентов с ущемлением спинномозговых корешков шейного или поясничного отдела после проведения операции отмечают значительное улучшение и повышение уровня подвижности. Большинство пациентов говорят о существенном уменьшении болей и слабости мышц уже в первые часы после процедуры. Остальные отмечают такой положительный эффект спустя сутки или двое.

Только у 3% пациентов с компрессионно-вертебральным синдромом симптомы не уменьшаются, и лишь у 1-2 % людей наблюдается ухудшение состояния после микрохирургической декомпрессии.
При формировании статистики учитываются случаи микрохирургического устранения не только таких распространенных заболеваний позвоночника, вызывающих компрессию, как остеохондроз, межпозвоночные грыжи, но и онкологические.
Прогноз операции во многом зависит от:
- поставленного диагноза;
- тяжести неврологической симптоматики;
- наличия сопутствующих заболеваний и индивидуальных особенностей организма больного;
- сложности операции.
Есть ли безоперационная альтернатива?
Ведь если патологический процесс уже привел к образованию на краях позвоночника костных выступов, которые сдавили нервные структуры, то надеяться на их рассасывание под действием создаваемых тренажерами растягивающих усилий нерационально. Занятия могут привести к временному, причем обычно кратковременному улучшению, но не решить проблему. Обязательно последует рецидив компрессионно-вертебрального синдрома.
Более того, занятия на декомпрессионных и антигравитационных тренажерах в ряде случаев могут быть и вовсе опасными для пациентов. При определенных нарушениях они могут приводить к:
- травмированию ослабленных мышц, связок и сухожилий;
- прогрессированию имеющегося заболевания и усугублению его клинических проявлений;
- возникновению дополнительных патологий опорно-двигательного аппарата.
Декомпрессионные тренажеры эффективны только в неосложненных случаях дегенеративно-дистрофических заболеваний позвоночника. Только тогда они позволяют уменьшить нагрузку на него, укрепить мышцы и уменьшить боли. Поэтому только высококвалифицированный невролог может рекомендовать больному занятия на них или сразу же направлять его к нейрохирургу.
Таким образом, в ряде ситуаций декомпрессия позвоночника микрохирургическим способом - единственный и иногда неизбежный выход для пациентов с адскими болями в спине, тяжелыми нарушениями подвижности и резким снижением работоспособности. Эта малоинвазивная операция способна на только устранить симптомы поражения нервного корешка, но и влияющий на него фактор, что позволяет не просто улучшить ситуацию, а и добиться восстановления до уровня здорового человека.
Операция на шейном отделе позвоночника: опасность, показания, хирургические техники, отзывы
Шейный (цервикальный) отдел - самая подвижная часть позвоночной системы, имеющая изначально узкий позвоночный канал и богатую нервно-сосудистую сеть. Его позвонки отличаются мелкими размерами и специфичным строением, при этом мышечный каркас, который осуществляет поддержку и работоспособность шейных элементов позвоночника, анатомически недостаточно сильный и выносливый. Все это объясняет широкую распространенность возникновения именно в этой хребтовой зоне различного рода дегенераций и травматических повреждений, характеризующихся яркой неврологической симптоматикой.

Строение шейного отдела позвоночника.
Однако большую тревогу вызывает тот факт, что шейные патологии часто сопровождают очень серьезные последствия, среди которых парез и паралич конечностей (особенно рук). Кроме того, запущенные формы болезней могут провоцировать тяжелую дыхательную недостаточность, стремительное ухудшение зрения и слуха, острое нарушение кровообращения в тканях головного мозга и пр. Поэтому лечение цервикальной зоны позвоночного столба предельно важно начинать как можно раньше, как только человек почувствовал первый дискомфорт в соответствующей области.
В противном случае заболевание примет агрессивный характер, что приведет к сильному сужению спинального канала, защемлению нервных корешков и/или пережиму артерий, возможно, к поражению спинного мозга со всеми вытекающими последствиями. Тяжелые состояния лечатся исключительно хирургическим путем.

Ущемление позвоночного канала вледствие выпячивания диска.
Вид оперативного вмешательства подбирается с учетом показаний. Отказываться от операции, если вам она рекомендована, нельзя. Вовремя неразрешенная проблема посредством хирургии грозит инвалидностью, причем иногда необратимой. Многие думают, что вторжение в позвоночник очень опасно, однако помните, что намного опаснее бояться операцию, в связи с чем откладывать ее на потом. Загляните в интернет, там выложено много видео, которые содержательно и наглядно показывают, как выполняется та или иная операция. Вы убедитесь, современная спинальная хирургия шагнула далеко вперед. Действующие сегодня уникальные методики, что подтверждают отзывы пациентов и клинические данные наблюдений, отличаются:
- высокой эффективностью (от 90% и выше);
- минимальной степенью травматизации анатомических структур;
- максимальной сохранностью нормальных функциональных возможностей оперируемого участка;
- незначительной вероятностью интра- или послеоперационных осложнений (в среднем до 5%);
- коротким сроком госпитализации (срок, когда выписывают из стационара, в большинстве случаев наступает в периоде между 3-10 сутками);
- относительно терпимым в плане болевых ощущений и не сильно продолжительным послеоперационным восстановлением (2-3 месяца).
Виды операций на шейном отделе позвоночника
Забегая немного вперед, отметим, что после любого типа операции необходимо провести восстановление, при этом очень качественно и полноценно. От вашей послеоперационной реабилитации, где особое место занимает лечебная гимнастика, будет зависеть окончательный результат хирургического лечения. Примите к сведению следующую информацию: отзывы квалифицированных специалистов дают вразумительно понять, что результаты даже самой успешной операции будут аннулированы, если после нее не последует грамотная и своевременная реабилитация.
Среди существующих хирургических методик, используемых с целью восстановления функциональности шейного отдела, наибольшее распространение обрели декомпрессионные тактики. Их применяют при компрессионном синдроме, то есть когда патологический дефект, возникший в пределах С1-С7 позвонков, производит давление на нервные корешки, артерии, спинной мозг и прочие структуры в соответствующей зоне. С целью декомпрессии довольно часто задействуются следующие методики:
- - иссечение межпозвоночной грыжи с неполным или тотальным удалением межпозвоночного диска, выполняется под контролем микроскопа; - частичная или полная резекция дужки позвонка, остистых отростков, фасеточных суставов, связок; - методика с использованием эндоскопа, реализуемая через миниатюрный доступ, назначается часто при грыжах, многих дегенеративно-дистрофических изменениях, опухолях; - «выпаривание» при помощи лазерного световода небольшого фрагмента ткани пульпозного ядра для втяжения образовавшейся протрузии диска (доступ осуществляется через пункционный прокол).
На шейных уровнях применяются и стабилизирующие тактики оперативных вмешательств, каждая из которых, кстати, может идти совместно и с другими видами операций. Наиболее популярные из стабилизирующих методов:
- - неподвижное соединение (сращивание) двух или более позвонков при их нестабильности;

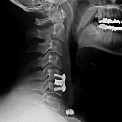
Импланты шейного отдела позвоночника на рентгене.
Реабилитация и восстановление после операции
Оперативное вмешательство на шее - это средство устранить главный повреждающий фактор (грыжу, остеофиты, опухоль и пр.). Полностью привести в порядок все двигательно-опорные возможности, функции ЦНС и отдельных органов, что пострадали во время болезни, а также ускорить регенерацию тканей после операционной травмы, поможет вам уже сугубо комплексная реабилитационная терапия. Очередная роль правильно организованного восстановительного процесса после манипуляций на шейном отделе - предупредить развитие всех возможных осложнений (мышечной атрофии, рубцов и спаек, инфекций и пр.), в том числе рецидивов основной болезни и появление новых дегенераций на других уровнях.
В среднем на полное восстановление уходит от 2 до 3 месяцев после произведенного сеанса хирургии. Длительность периода реабилитации зависит от тяжести клинического случая, примененного вида и масштабов вмешательства, индивидуальных особенностей организма больного, наличия/отсутствия осложнений. Поэтому в особых ситуациях реабилитацию требуется продлить и до полугода. После любой процедуры показана на определенный срок иммобилизация шеи, как правило, она заключается в ношении специального ортопедического воротника. В основной период реабилитации противопоказано делать резкие движения, прыгать и бегать, нельзя допускать вращений головой, интенсивных наклонов и поворотов шеи, махов и рывков руками и ногами, поднятие тяжестей выше 3 кг.
В раннюю послеоперационную фазу всегда прописываются по показаниям противотромбозные и антибактериальные препараты, противоотечные и обезболивающие средства, определенные физиотерапевтические процедуры. С первых дней назначается щадящий комплекс ЛФК, который по мере восстановления дополняется более сложными и активными элементами физических нагрузок. Планированием физической реабилитации (подбором сеансов физиотерапии, лечебной физкультуры и пр.) должен заниматься исключительно специалист! На поздних этапах показаны занятия в воде (аквагимнастика, плавание) и массаж, по завершении реабилитации рекомендуется продолжить восстановление в течение 14-30 суток в санатории.
Операция при стенозе шейного отдела позвоночника
Под стенозом шейного отдела принято обозначать патологическое сужение просвета позвоночного канала, где располагается одна из главных структур ЦНС - спинной мозг. При данной патологии зачастую необходимо срочно вовлекать нейрохирургию, так как она опасна критическим неврологическим дефицитом и вегетативными расстройствами. Цервикальная стриктура может привести к ишемии головного и спинного мозга, параличу верхних конечностей (могут пострадать и ноги) и даже к парализации всей части тела ниже пораженной области.

Запущенные остеофиты шейного отдела.
Первопричиной стеноза шейного отдела в доминирующем количестве случаев является последней стадии остеохондроз, операция при спинальном сужении рекомендуется как спасение от тяжелой инвалидизации больного. Стоит заметить, что остеохондроз нами указан как обобщающее понятие, включающее широкий спектр заболеваний, которым положил начало именно данный дегенеративно-дистрофический патогенез. В группу патологий, которые развились на почве запущенного остеохондроза, относят межпозвоночные грыжи, краевые разрастания на позвонках, спондилоартроз, окостенения связок и многие другие.
Если клиника симптомов не поддается консервативной терапии или неинвазивные способы не могут быть задействованными ввиду сильно прогрессирующего стеноза, назначается операция. Вмешательство предполагает использование декомпрессионной ламинэктомии под общим наркозом. При комбинированной проблеме, например, вместе с грыжей, ее сочетают с микродискэктомией и спондилодезом. При спондилодезе осуществляют скрепление смежных позвонков металлическими фиксаторами (стержнями, пластинами, крючками и пр.), установку межтеловых имплантатов или вживление костного трансплантата с металлической гильзой.

Установка металлической конструкции.
Хирургическая процедура при стенозе шейного отдела относится к травматичной и долгой (до 3 часов) операции. Однако ее польза при тяжелых диагнозах неоспорима: пациенты, страдающие в дооперационном периоде от нестерпимых корешковых болей, парестезий и пареза конечностей, в большинстве случаев существенное облегчение начинают ощущать уже на следующий день. Конечно, еще какое-то время, для максимального разрешения проблемы, потребуется интенсивная послеоперационная терапия. Риск отсутствия эффекта незначителен (3%). Малоэффективной или полностью неэффективной процедура может быть в редких ситуациях, причем вероятность неудовлетворительного исхода возрастает в разы (до 15%-20%), если спинномозговая компрессия длилась годами.
Где какие цены?
И, наконец, мы подошли к освещению не менее интересующего всех вопроса: сколько стоит операция на шейном отделе позвоночника и где делают ее на подобающем уровне. Ценовой диапазон достаточно широкий, на окончательную стоимость влияет разновидность и категория сложности оперативного вмешательства. Например, только одна ламинэктомия будет стоить примерно 20 тыс. рублей, но, как известно, она редко когда применяется самостоятельно. Вместе с ней зачастую требуется провести удаление грыжи, межпозвоночного диска, новообразования и др., что в свою очередь дополняется внедрением имплантационных систем для стабилизации. Таким образом, все хирургические манипуляции в совокупности могут потянуть на 100-400 тыс. рублей.
Теперь, что касается выбора нейрохирургического медучреждения. Если есть возможность, лучше проблему с позвоночником решать за границей - в Чехии, Германии или Израиле. Чешская Республика стоит на первом месте, поскольку ортопедия и нейрохирургия, система реабилитации после подобных вмешательств здесь развиты как нигде лучше.
Во всем мире Чехия ассоциируется с государством, где предоставляется наилучшая хирургическая и реабилитационная помощь людям с любыми заболеваниями позвоночника и всех звеньев опорно-двигательного аппарата, при этом по самым доступным расценкам. Цены в чешских клиниках при отменном профессионализме специалистов в 2 раза ниже, чем в других европейских странах, которые славятся высокоразвитой медициной и системой здравоохранения (Германия, Австрия и пр). А если сравнивать с Израилем или США, то Чехия и их не хуже, но зато ценами в сторону уменьшения отличается уже в целых 3 и более раз.
Если вы вынуждены оперироваться в России, выбирайте ведущие клиники в Москве или Санкт-Петербурге, которые много лет функционируют при НИИ нейрохирургии позвоночника или при институтах травматологии и ортопедии.
Декомпрессия позвоночника: как проводится операция, показания и осложнения
Микрохирургическая декомпрессия позвоночника - это хирургическое лечение с применением оптических интраоперационных приборов, направленное на устранение компрессии нервно-сосудистых структур позвоночного канала. Для освобождения сдавленных спинальных нервных образований и кровеносных сосудов в нейрохирургической практике применяются малотравматичные методы с высокой степенью визуализации оперируемого поля. Современная операция по декомпрессии позвоночного канала осуществляется через минидоступ, размером от 1 см до 4 см.
Дренирование после операции избавляет от отека.
Компрессионно-вертебральный синдром включает в себя серьезные неврологические расстройства. Они сопровождаются мучительными локальными и/или отраженными болями в спине и других участках тела, нарушениями чувствительных и опорно-двигательных функций конечностей, дисфункцией внутренних органов, в частности органов малого таза. Эти симптомы чаще вызывают дегенеративно-дистрофические заболевания (запущенный остеохондроз в 80%), посттравматические осложнения и опухоли, которые спровоцировали сужение полости спинномозгового канала. Как следствие, на нервные волокна и сосуды начинает воздействовать фактор патологического давления и тканевой травматизации, что выражается вышеперечисленными признаками.

Стеноз шейного отдела вследствие грыжевого выпячивания.
С лечением компрессии шейного отдела позвоночника, пояснично-крестцового или грудного, медлить нельзя! Долгое компрессионное воздействие может вызвать гибель жизненно важных структур, в итоге привести к параличу рук или ног, тяжелым необратимым мозговым нарушениям, критической несостоятельности мочеполовой системы, сердца, дыхательного центра. Профессионально оценить всю серьезность клинического случая, грамотно рекомендовать тот или иной вид терапии, может - невролог, нейрохирург, ортопед.
Декомпрессия всегда назначается сугубо при веских обстоятельствах, когда существуют:
- угрожающие жизни и трудоспособности человека спинальные диагнозы, расстройства ЦНС;
- стойкое или прогрессирующее угнетение двигательных функций костно-мышечного аппарата, несмотря на пройденный курс комплексного консервативного лечения;
- постоянные или часто возобновляющиеся выраженные боли, которые не купируют лекарства или все возможные безоперационные способы;
- расстройства дефекации, мочеиспускательного акта, половой системы.
Вмешательство заключается в хирургическом устранении патологических дефектов, вызывающих перекрытие канала позвоночника, сдавливание нервных и сосудистых образований. Это могут быть межпозвонковые грыжи, краевые костные разрастания позвонков, гипертрофированные связки, доброкачественные или злокачественные новообразования, гематомы, спайки.
Эффективность декомпрессии
В большинстве случаев микрохирургическая операция, цена на нее составляет от 60 тыс. до 200 тыс. рублей, позволяет достичь существенного облегчения состояния больного. Шансы на полноценное восстановление при условии своевременного ее проведения, достаточно высокие. Основная часть манипуляций (70%-80%) выполняется на поясничных уровнях, так как зона поясницы характеризуется как самая нагруженная и подвижная часть хребта, легкоуязвимая дегенерациям и травмам. Второй по распространенности областью для осуществления декомпрессий выступает шея.
Примерно 95% пациентов, поступивших изначально в стационар с ущемлением нерва шейного и поясничного отдела, после декомпрессии выписываются с заметными функциональными улучшениями. Многие их них отмечают ощутимое сокращение болевого синдрома и мышечной слабости конечностей уже в первые часы, сутки/двое после перенесенной операции. Примерно у 3% сохраняется симптоматика в неизменном виде, у 1%-2% наблюдается ухудшение состояния.
Озвученные проценты эффективности здесь учитывают весь комплекс возможных патологий, подлежащих в целом декомпрессионной микрохирургии. Поэтому прогностические данные могут отличаться в зависимости от конкретного диагноза, исходного неврологического статуса, индивидуальных особенностей организма, способа и категории сложности вмешательства.
Декомпрессивно-стабилизирующая хирургия
Декомпрессивные операции иногда сочетаются с имплантацией стабилизирующей системы, если есть необходимость устранения или предупреждения нестабильности позвонков. Фиксация (стабилизация) после освобождения нервно-сосудистых образований подразумевает скрепление предрасположенных к анормальному смещению позвонков специальными конструкциями и имплантатами неподвижного или динамического типа.
Неподвижная тактика соединения - это укладка в межпозвонковое отверстие костного трансплантата или кейджа для обездвиживания и формирования спондилодеза (сращения) двух и более позвонков с последующей фиксацией стабилизированного участка титановой металлоконструкцией. Костный материал для пересадки обычно берется у пациента из гребня повздовшной кости, реже применяют аллотрансплантаты.

Динамическая стабилизация - имплантация протезных устройств, которые надежно стабилизируют патологическую зону, но не блокируют полностью подвижность между телами позвонков. Диапазон движений не будет выходить за порог физиологически допустимых значений.
Как проходит операция
Удаление образований, сдавливающих позвоночный канал и нарушающих проводящие функции спинного мозга, возможно посредством двух способов:
- под контролем микроскопа и микрохирургического инструментария;
- при помощи эндоскопической системы.
Цели и задачи у этих двух процедур одинаковые, отличает же их друг от друга степень инвазивности, техническая составляющая процесса, некоторые расхождения в показаниях.
Эндоскопический вид
Эндоскопическая операция в нейрохирургии позвоночника применяется сравнительно недавно, за рубежом ее начали внедрять в средине 90-х, в России только спустя 10 лет. Эндоскопия по поводу декомпрессии - это самая миниинвазивная методика резекции патологических тканей через незначительный разрез (1-1,5 см) с использованием телескопического зонда и комплекта инструментов, которые вводятся в его рабочую полость. Сеанс длится в среднем 45 минут. На реабилитацию уходит примерно 60 суток.

Во время операции.
Методика, когда хирург производит резекционные мероприятия через тонкую эндоскопическую трубку диаметром всего в 6-8 мм, является наиболее корректной по отношению к здоровым кожным и окружающим мышечно-связочным структурам. Благодаря этому пациент легче и быстрее переносит восстановительные этапы.
Эндоскопия предельно минимизирует риски интра- и послеоперационных осложнений за счет высочайших возможностей увеличения операционного поля с четкой передачей его изображения на хирургический монитор в реальном времени. Оперативное вмешательство с эндоскопом также располагает уникальными способами доступа:
- TESSYS (трансфораминальный);
- CESSYS (переднелатеральный);
- iLESSYS (дорзальный, дорзолатеральный) и другими высокоперспективными в плане безопасности и минимальной инвазивности технологиями.

Составить представление о том, как эндоскопическим методом производится освобождение сдавленных составляющих элементов нервной и кровеносной системы в позвоночнике, вам поможет информация:
- Как правило, операция проходит под местной анестезией, но возможно и использование общего эндотрахеального наркоза.
- Далее следует обработка антисептическим раствором кожных покровов спины, если доступ создается сзади. На коже в проекции места поражения выполняется маленький разрез (не более 1,5 см) скальпелем.
- В созданное отверстие под контролем ЭОП в безопасную зону позвоночного пространства вводится дилататор (расширитель), затем по нему вводится рабочая гильза, и уже через гильзу устанавливают трубку эндоскопа. В основном приборе подключают камеру и световод.
- Под многократно увеличенным видеонаблюдением, используя сменные инструменты, которые помещаются внутрь эндоскопа, хирург выполняет необходимые манипуляции. Специалист аккуратно удаляет источник компрессионного синдрома, например, остеофиты костными кусачками, грыжу диска микрощупом. Таким образом, достигается декомпрессия нервов или сосудов, которые смогут восстановиться уже в скором времени.
- Иссеченные структуры выводятся через отсек эндоскопической системы, полость позвоночного канала тщательно промывается физиологическим раствором от хирургического «мусора». Далее прибор извлекается, после чего ранку дезинфицируют и накладывают на нее несколько швов.
Эндоскопия противопоказана при наличии сильно выраженного бокового и циркулярного стеноза, двусторонней каудогенной хромоты, грубых парезов, медианных грыж, опухолей паравертебральной локализации. Установка стабилизирующих устройств в большинстве случаев - невыполнимая задача при этой тактике.
Операция с микроскопом
Операция под микроскоп-контролем признана наиболее удачной и продуктивной тактикой декомпрессивной хирургии. Она позволяет осуществлять более широкий спектр манипуляций при огромном количестве диагнозов, в отличие от эндоскопического лечения. Что касается визуализации, то современные микроскопы обеспечивают 40-кратное увеличение, а это удовлетворяет на 100% всем требованиям для высокоточного проведения хирургических манипуляций на любом из отделов позвоночного столба.
К тому же, операциям с микроскопом подвластны всевозможные реконструктивные и стабилизирующие мероприятия различной степени сложности. Операционная агрессия гораздо меньше, чем при классических открытых вмешательствах, поэтому данная технология причисляется тоже к разряду малоинвазивной нейрохирургии. Разрез для качественной реализации микрохирургической декомпрессии на 1-ом уровне составляет около 3-4 см, анестезиологическое обеспечение - только общий наркоз. Длится процедура от 1 до 3 часов. Продолжительность послеоперационного восстановления составляет в среднем 2-3 месяца.
Каким образом для расширения позвоночного канала, где оказались зажатыми невральные структуры, выполняется широко практикуемый способ оперативного вмешательства с микроскопом, опишем далее.
- Пациента вводят в глубокое состояние сна посредством ингаляционной многокомпонентной анестезии.
- В районе стенозирующего очага создается наиболее выгодный доступ, чтобы по максимуму оставить интактными структуры опорного позвоночного комплекса.
- Отслеживая через сверхмощный микроскоп ход хирургического процесса, микрохирург отодвигает в безопасное место защемленный нерв.
- С помощью миниатюрных инструментов (боров, кусачек и пр.) специалист удаляет те части суставов, связок, позвонков, хрящевой ткани, которые чрезмерно разрослись и привели к компрессии. При необходимости позвоночник стабилизируют имплантатами.
- На завершающем этапе рану промывают, дезинфицируют и ушивают косметическим швом.
Пациенту обычно разрешается вставать и ходить уже ближе к вечеру после процедуры или на следующее утро. Минимальный срок госпитализации - 4 суток.
Тренажер для декомпрессии не альтернатива операции
При запущенных неврологических и функциональных расстройствах эффективным может быть только операция. Никакие безоперационные методы не способны полноценно расширить позвоночный канал и навсегда вызволить нервно-сосудистые структуры от гнета сформировавшихся дегенераций, новообразований. Имея сложный диагноз, на чудодейственный эффект от популярных тренажеров для декомпрессии уповать бессмысленно. На них уместно проходить декомпрессивную терапию исключительно при дегенеративно-дистрофических патологиях в неосложненных формах проявления, например, при начальной и средней стадии остеохондроза, протрузиях диска.
Если в больном позвоночнике сформировалась крупная грыжа или появились грубые массивные костные наросты на суставах и позвонках, которые и явились провокаторами нелегкого нейрогенного патогенеза, они не рассосутся и не пропадут, как не растягивай позвоночник на тренажере. Даже если вдруг противокомпрессионный эффект и произойдет, рецидивов в таких сложных ситуациях, к сожалению, не избежать. Кроме того, знаменитые декомпрессионные и антигравитационные тренажерные системы некоторым пациентам могут серьезно навредить, к примеру:
- легко травмировать ослабленные болезнью мышцы, сухожилия, связки;
- усилить прогрессию развития имеющейся патологии, усугубить и без того тяжелую симптоматику;
- спровоцировать еще какую-нибудь патологию скелетно-мышечного комплекса.
Нельзя, конечно, полностью отрицать пользу специальных тренажеров, они вполне могут сослужить для избранной категории людей неоценимую пользу, а именно:
- разгрузить позвоночник;
- повысить эластичность, выносливость мышц;
- снизить отечность нервного корешка, уменьшить болевой синдром.
Но только в том случае, если назначенные специалистом тренировки не идут в расход с показаниями и противопоказаниями. Поэтому разрешение и направление на подобные занятия вы должны получить исключительно у узкопрофильного врача высокого уровня. Проходите их только под наблюдением опытного инструктора по кинезитерапии с отменными рекомендациями.

Шрам после операции.
Заключение
Обязательно примите к сведению, что операция микрохирургической декомпрессии, когда она явно показана, - неизбежная и единственная эффективная мера лечения. Микрохирургия способна окончательно избавить от адской боли, функционального разлада работоспособности органов движения, вернуть утраченное качество жизни, причем зачастую на уровень здорового человека. Но доверять оперировать свой позвоночник необходимо только передовому хирургу!
Гарантированно пройти лечебно-хирургический сеанс качественно и без последствий доступно в Чехии, к тому же, в этой стране самые низкие цены в Европе на соответствующую категорию медпомощи. Чешские врачи спинальной микрохирургии и реабилитации - одни из первых в мире, кто заслуживает высочайшее доверие и уважение.
Ламинэктомия позвоночника: показания к операции, виды хирургии и риски
Ламинэктомия - нейрохирургическая операция на позвоночнике, которая предназначена для устранения компрессии спинного мозга и нервных спинномозговых окончаний, спровоцированной различными патологиями и травмами позвоночного столба. Декомпрессия достигается путем резекции дужек позвонков, остистых отростков, межпозвонковых суставов, желтой связки, в результате чего сокращается давление на чувствительные спинальные структуры. В итоге нормализуется нервная транспортная передача, а боли, парестезии и парезы прекращаются.

Схематичное изображение места удаления костной ткани.
В ходе сеанса, в зависимости от особенностей клинической картины, может быть выполнена частичная или полная эктомия того или иного элемента, оказывающего компрессионное воздействие, с целью создания дополнительного резервного пространства для спинномозговых образований. Нередко ее завершающим этапом выступает установка специальных стабилизирующих систем для усиления опорных функций прооперированного отдела.

Наибольшее распространение операция получила при стенозах позвоночного канала. Как показывают практические наблюдения, сужение диаметра позвоночного канала диагностируется довольно часто, причем в 75% случаев на уровнях поясничного отдела. На люмбальном уровне l4 l5 такого типа нарушение обнаруживается чаще всего, немного реже его определяют на l3 l4. Таким образом, зона l3 l5 (от 3-го до 5-го позвонка) в целом является тем основным эпицентром, где стеноз преимущественно локализируется. И ламинэктомия по поводу стеноза, соответственно, применяется на указанных уровнях чаще, чем где-либо. Что касается остальных отделов, патологию спинального канала в шейной части позвоночника выявляют примерно в 25% случаев, в грудном отделе недуг развивается крайне редко.
Впервые ламинэктомия была открыта британским нейрофизиологом Горслеем в 1887 году, можно сказать, непосредственно в момент оперирования 42-летнего больного, конечности которого уже практически отказали из-за опухоли спинного мозга. Хирург, обнажив позвоночник, сначала не обнаружил никакого опухолевого образования. Так, ему пришла идея скусить дужку вышерасположенного позвонка, после чего он увидел новообразование и благополучно его удалил. Молодой пациент был спасен от парализации, он прожил долгую, длиной в 33 года, жизнь на своих ногах.
Ламинэктомия может проводиться как самостоятельная процедура, так и использоваться в комбинации с другими оперативными вмешательствами на позвоночнике. Например, помимо своего основного предназначения, данный вид хирургии часто необходим для создания доступа при вмешательствах на спинном мозге, таких как удаление опухолей или инородных тел. В отдельных ситуациях хирургическая тактика задействуется при удалении межпозвонковой грыжи, чтобы обеспечить более удобный к ней доступ. Иногда к ней обращаются для исправления искривлений и деформаций позвоночника, например, при патологических кифозах.
Сразу отметим, что процедура относится к разряду травматичных вмешательств, так как предполагает иссечение важных структурообразующих элементов позвоночной системы, а после - длительное и нелегкое восстановление. Прошло более 100 лет с момента внедрения в практику ламинэктомии и, конечно, современная операция отличается меньшей инвазивностью и рисками последствий. Но и ее более щадящие аналоги, в числе которых эндоскопическая методика, все равно являются агрессивными способами. Поэтому такой подход задействуется в исключительно редких ситуациях и по строгим показаниям, когда медицинскую проблему совсем невозможно разрешить другими, более корректными и органосберегающими методами нейрохирургии.
Виды ламинэктомии и основные показания
Ламинэктомия позвоночника может быть выполнена согласно одному из нескольких технических вариантов. Принцип вмешательства выбирается с учетом состояния позвоночной системы, типа и специфики заболевания. Итак, в современной нейрохирургии, вертебрологии и ортопедии используются такие ведущие декомпрессивные методики, как:
- гемиламинэктомия - процедура по удалению дужки только 1-го позвонка с одной стороны или его дужек одновременно с обеих сторон с сохранением остистых отростков;
- интерламинарная ламинэктомия - способ, при котором частично резецируется желтая связка, а также дуга не только пораженного позвонка, но и дужки позвонковых тел, прилежащих к нему;
- тотальная операция - прием, при котором позвонковая дужка иссекается вместе с остистым отростком;
- костно-пластическая ламинэктомия - объемная операция ламинэктомии с последующим закрытием дефектов костным аутологичным материалом, аллотрансплантатом или искусственной тканью.
Перед выполнением ламинэктомии (процесс хорошо отображен в видео) сначала производят скелетирование со стороны созданного доступа. Скелетирование позвонков заключается в обнажении на уровне пораженного позвоночно-двигательного сегмента основных частей, подлежащих резекции: дуг, остистых отростков, фасеток. Обнажение дужек и остистых отростков шейного отдела сопряжено определенными трудностями. Верхушки дуг здесь раздвоены, глубоко погружены и покрыты внушительным мускульным массивом, а отростки отличаются повышенной подвижностью и низкой прочностью. Поэтому данный отдел требует от хирурга самого что ни на есть высочайшего профессионализма, богатейшего опыта, мегаточности производимых действий и аккуратности.
Конечно же, таким требованиям должен удовлетворять каждый хирург, независимо от того, какая область оперируется. Даже одна маленькая погрешность, допущенная в ходе манипуляций на позвоночнике, может для пациента закончиться весьма плачевно, привести к необратимым повреждениям нервной ткани и вещества спинного мозга, хронической боли, парализации и пр. Так что выбирайте себе врача особенно тщательно.
Итак, операция может быть целесообразна при следующих патологических состояниях, которые обусловили сдавление спинного мозга и нервных корешков:
- межпозвоночные грыжи крупных размеров;
- внутрисуставные и позвонковые остеофиты,
- опухоли позвоночника (костные, спинного мозга и пр.);
- арахноидальные кисты и субарахноидальные спайки;
- защемления спинного мозга травматического генеза;
- врожденные аномалии позвоночника;
- серьезные искривления и деформации хребта (в этом случае иногда имеет смысл прибегать к такой процедуре даже при отсутствии нервных защемлений и стеноза).
При всех вышеперечисленных патологиях вопрос о надобности подобного вмешательства рассматривается строго в индивидуальном порядке. Безусловно, учитывается степень сдавления, тяжесть неврологического дефицита и интенсивность болевого синдрома. Процедура ламинэктомии может быть рекомендована, если консервативные мероприятия не дают эффекта или существует явная угроза физической состоятельности и жизни пациента.
Техника декомпрессивной операции
Сразу отметим, что такой хирургический подход определенным образом чреват дестабилизацией ламинэктомированных костных тел. Поэтому довольно часто возникает необходимость в проведении ламинэктомии с фиксацией позвонков, то есть совместно со спондилодезом. А это означает, что по завершении основного процесса хирургии пара или несколько позвонков могут быть скреплены между собой специальной металлической пластиной, возможно, дополнительно понадобится произвести трансплантацию костной ткани, взятой у пациента из подвздовшной кости. Благодаря произведенной фиксации соединенные элементы хоть и будут обездвижены, каких-либо существенных ограничений подвижности люди, как правило, не испытывают.

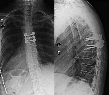
Сращение позвонков на рентгене.
Ведущий критерий для показания к оперативному вмешательству - патологическая узость позвоночного канала, компрессия спинномозговых корешков и пережатие спинного мозга. Каким образом происходит операционный сеанс? Далее нами будет изложена техника операции в доступной для понимания форме.
- Процедура выполняется в 90% случаев под общей анестезией. Пациента укладывают в одном из положений: лежа на животе или на боку. Сеанс проходит, как правило, под рентгеноскопическим контролем.
- После широкой обработки антисептиками операционного поля осуществляется разметка для будущего разреза.
- Далее хирург в нужном месте линейно разрезает кожу, подкожную жировую клетчатку и фасции вдоль остистых отростков до их верхушек. Разрез по длине делают таким, чтобы его границы заканчивались на один позвонок выше и на один ниже от предполагаемой зоны открытия спинального канала.
- С целью обеспечения хорошего доступа выполняется разведение разрезанных мягких тканей при помощи ретрактора. Во избежание массивных кровопотерь проводят их тампонаду.
- Затем реализуется отслоение мышечных волокон от дужек, а при необходимости и от остистых отростков. После скелетированные единицы «перекусывают» специальными щипцами и извлекают из анатомического пространства наружу.
- Неотъемлемым этапом выступает удаление тех образований, которые собственно, и стали виновниками компрессии. Например, удаление межпозвонковой грыжи, спаек, костных наростов по краям позвонков, опухоли и т. п.
- Если специалист считает необходимым провести стабилизацию позвонков, дабы воспрепятствовать формированию нестабильности, на нужный участок позвоночника устанавливают специальные опорно-стабилизирующие конструкции, вживляют трансплантаты или синтетические заменители костной ткани.
- Финальный этап заключается в герметичном наложении швов в несколько этажей, начиная с продольных и поверхностных мышц, затем переходят к фасциям, а последним слоем шовного материала стягиваются кожные края раны. В общей сложности весь сеанс длится приблизительно 2-3 часа.
Послеоперационный период и возможные осложнения
На положительный результат после такого многосложного вмешательства можно рассчитывать только при условии безупречно организованного послеоперационного периода. И вам следует четко понимать, что качественная реабилитация крайне (!) важна даже после идеально проделанной операции. И в первую очередь для того, чтобы предупредить и не допустить последствия, полноценно восстановить опорно-двигательные функции и позвоночника, и абсолютно всех частей опорно-двигательного аппарата.
После самостоятельной операции выписка возможна обычно уже на 3 сутки. Однако так как данная методика зачастую является частью многих других спинальных методов хирургии, порой довольно сложных, не исключено, что госпитализация продлится более длительное время. Вне зависимости от срока пребывания пациента в больнице, ему в дальнейшем обязательно нужно будет оформиться в хороший реабилитационный центр, где он получит грамотный курс послеоперационного лечения и физического восстановления.
Каковы сроки реабилитации после декомпрессивной ламинэктомии? Все зависит от изначального диагноза, объема резекционных манипуляций, индивидуальных особенностей организма пациента. На полное восстановление в среднем уходит около 2-4 месяцев, но к несложной профессиональной деятельности, не сопряженной повышенным физическим трудом, обычно разрешается вернуться спустя 3 недели. Обязательно назначается дата следующей контрольной диагностики, ориентировочно на 10-14 сутки после оперативного вмешательства.

Положение тела при хирургии.
Теперь, что касается особенностей раннего периода, здесь стоит сказать, что пока человек не придет в сознание после наркоза и еще на протяжении нескольких часов, он будет находиться в отделении интенсивной терапии. За его состоянием будут пристально наблюдать высококвалифицированные медики, постоянно отслеживая показатели работы внутренних органов и систем (легких, сердца и пр.) на специализированном оборудовании. Уже с первых часов начинают вводить антибиотики для профилактики инфекционного патогенеза. Примерно 24 часа показан строгий постельный режим. При удовлетворительном самочувствии на следующий день переводят в обычную палату.
На 2-е сутки врач разрешает потихоньку вставать и спокойно ходить по палате, безусловно, если к этому нет противопоказаний. Рекомендуется ношение ортопедических приспособлений (воротник, бандаж, корсет). Сразу же начинают приступать к облегченной ЛФК в положении лежа. Вся реабилитационная программа включает несколько этапов, которые базируются на двух основных методах - лечебной физкультуре и физиотерапи. Лечебная гимнастика и физиотерапевтические процедуры рекомендуются исключительно специалистом! Кроме того, пациенту выписывается прием некоторых медикаментозных препаратов, например, препараты кальция, противотромбозные средства, обезболивающие и противовоспалительные лекарства и др. Медикаментозная схема лечения должна так же ответственно соблюдаться, как и меры физической реабилитации.

Восстановление после операции.
Осложнения после ламинэктомии
Хотим сразу предупредить, что безупречно выполненная нейрохирургическая операция, плюс не менее идеально пройденная реабилитация, - залог успешного исхода. Негативные реакции способны в редких случаях последовать в виде:
- интоксикации организма от общей анестезии;
- нарушения стабильности позвоночника;
- глубокого инфекционного воспаления раны или оболочки спинного мозга;
- тромбоза глубоких вен нижних конечностей, редко тромбоэмболии;
- интраоперационного повреждения нервной ткани, что выражается слабостью, параличом, онемением конечностей, дисфункцией мочевой системы и кишечника (недержанием мочи, кала);
- прогрессирующих дегенеративных процессов в других отделах позвоночного столба;
- искривления позвоночной оси (чаще деформация возникает у детей и подростков), вывихами и подвывихами позвонков, хроническим болевым синдромом.
Вероятность благополучного исхода, касающегося существенного снижения симптомов того заболевания, по поводу которого выполнялась данная процедура, равна примерно 80%-85%. Риски осложнений высокие только в отношении развития нестабильности позвоночника (10%), по причине чего возникает потребность в ревизионной (повторной) операции.
Читайте также:
