Техника операции задней стабилизации перелома крестца
Добавил пользователь Евгений Кузнецов Обновлено: 21.11.2025
Переломы крестца встречаются довольно редко и в 74% случаев сочетаются с повреждениями костей таза.
Крестец, являясь по существу "ключом" тазового пояса, аккумулирует на себе нагрузки, воспринимаемые тазом, а через крестцовоподвздошные сочленения - нагрузки, идущие через позвоночник. В большинстве случаев механизм повреждения крестца непрямой, значительно реже переломы крестца возникают в результате непосредственного приложения травмирующей силы к крестцу.
Патогенез (что происходит?) во время Повреждений крестца:
При избыточной нагрузке, прилагаемой к тазу в аксиальном направлении, происходят так называемые вертикальные срезывающие переломы крестца с прохождением линии перелома по боковым массам крестца (с одной или обеих сторон), т. е. месту наименьшей жесткости - через первые три тазовых крестцовых отверстия. В случаях одновременного воздействия непосредственно на крестец и со стороны позвоночника (падение с высоты) возникает перелом крестца с наличием двух вертикальных линий через крылья и одной горизонтальной, как правило, через второй крестцовый сегмент. В зависимости от положения поясничного отдела позвоночника относительно сагиттальной плоскости в момент травмы возникают три различных по характеру повреждения крестца.
- Тип 1 - сгибательный перелом с передним простым наклоном верхних крестцовых фрагментов.
- Тип 2 - сгибательный перелом с задним смещением верхнего фрагмента, располагающегося более или менее горизонтально и ложащегося на дистальный фрагмент крестца.
- Тип 3 - разгибательный перелом с передним смещением верхнего фрагмента, смещающегося кпереди и задней поверхностью располагающегося вертикально кпереди нижнего фрагмента крестца. Подобная травма часто сопровождается повреждением нижних конечностей, грудного, поясничного отделов позвоночника и таза.
В случае приземления при падении на седалищные бугры, копчик в зависимости от формы последнего, характера связи с крестцом происходит перелом копчика, его вывих или переломовывих, косой перелом третьегочетвертого крестцовых сегментов с преимущественным повреждением сегмента, находящегося на вершине кривизны крестца.
Прямой удар по поясничному отделу позвоночника при фиксированном тазе и согнутых тазобедренных и разогнутых коленных суставах приводит к переломовывихам в поясничнокрестцовом отделе позвоночника с нередким повреждением верхних суставных отростков крестца и возможным переломом передневерхнего угла крестца. Реже такой механизм травмы приводит к сочетанному повреждению нижнепоясничного отдела позвоночника и боковой массы крестца.
Наиболее типичны поперечные переломы крестца в результате прямой травмы: они составляют около 20% от всех видов травм крестца. Линия перелома расположена обычно ниже линии крестцовоподвздошных сочленений. Выше этой линии более типичны оскольчатые переломы.
Повреждения крестца нередко просматриваются из-за выраженной симптоматики сопутствующих повреждений костей таза, конечностей, других отделов позвоночника. Клинические проявления травмы крестца незначительны и выражаются в локальной припухлости, болях при пальпации крестца. Тяжелые переломы крестца сопровождаются кровоизлияниями, возможной иррадиацией болей в паховую область, поясничный отдел позвоночника, необходимостью выбора определенного горизонтального положения (на животе, на боку). При пальпации области крестца в случае поперечных переломов со смещением дистального фрагмента определяется "ступенька" по линии перелома. При выраженных смещениях не исключена возможность повреждения прямой кишки с нарушением целости брюшины или без нее. В таких случаях показано пальцевое исследование прямой кишки, а также тщательное обследование пострадавшего с целью исключения сопутствующих повреждений.
Одним из грозных осложнений травм области крестца является повреждение кровеносных сосудов. Массивные кровотечения из подчревной артерии, срединной крестцовой артерии, верхних ягодичных артерий, поясничнокрестцового венозного сплетения служат причиной высокой смертности при переломах заднего кольца таза. При клинических проявлениях продолжающегося массивного кровотечения, подозрении на повреждение перечисленных выше сосудов следует безотлагательно перевязать внутреннюю подвздошную артерию. Неврологические растройства при травме крестца нередко просматриваются без тщательного неврологического обследования. Данные литературы свидетельствуют о 25-46% осложненных повреждений крестца и крестцовоподвздошного сочленения. Отрывные переломы обычно воздействуют на нервные корешки конского хвоста, верхний ягодичный нерв, запирательный нерв и корешок L. О повреждениях "конского" хвоста свидетельствуют анестезия промежности, расстройства сфинктеров.
Двигательные нарушения наблюдаются при повреждении I и II крестцовых корешков и тракционных травмах нижнепоясничных нервных корешков. Повреждение первых характеризуется парезами трех задних групп мышц нижних конечностей (икроножной, двуглавой мышцы бедра и ягодичных мышц) с наиболее выраженными нарушениями икроножных мышц; отмечается также нарушение чувствительности по наружной поверхности стопы или потеря ахиллова рефлекса.
Диагностика Повреждений крестца:
Определяющим моментом в диагностике повреждений крестца является рентгенография в двух проекциях. Однако более чем в половине случаев с подозрением на перелом крестца требуется дополнительное рентгенологическое обследование. Эти сведения дают томограммы во фронтальной и сагиттальной проекциях, рентгенограммы в косых проекциях, а также рентгенограммы в прямой проекции при наклоне трубки кзади на 40-50°. В особо сложных случаях диагноз устанавливают с помощью КТ. Учитывая преимущественно множественный характер повреждений крестца, прямая проекция должна включать все кости таза, IV и V поясничные позвонки, а боковая - нижнепоясничные позвонки, копчик.
Лечение Повреждений крестца:
Большинство переломов крестца не требует специальных методов лечения: они срастаются при выполнении методик, направленных на срастание сопутствующих повреждений. При переломах крестца с нарушением целости заднего полукольца таза, оскольчатых переломах, переломовывихах постельный режим должен соблюдаться до 2 мес после травмы. Этот срок уменьшается до 2 нед при переломах дистального отдела крестца без смещения. В остальных случаях срок постельного режима 4-5 нед. При доминирующей травме крестца положение больного в постели преимущественно на животе, при повреждениях нефиксированного отдела крестца можно разрешить положение на боку при отсутствии усиления болевого синдрома.
Оперативное лечение неосложненных переломов крестца выполняется по весьма ограниченным показаниям. В случае нестабильных переломов показан трансспонгиозный остеосинтез винтами с большой нарезкой при повреждениях I-II крестцовых сегментов. При стойком болевом синдроме возможно удаление единым блоком с копчиком дистального фрагмента крестца. Выбор метода лечения осложненных переломов крестца должен основываться на степени травмирования костной основы и корешков. Вначале можно ограничиться бимануальной коррекцией. Если она оказывается неэффективной, показана ламинэктомия на уровне перелома или переломовывиха с ревизией содержимого позвоночного канала. Крестцовая ламинэктомия обеспечивает свободный осмотр на уровне повреждения, декомпрессию и освобождение корешков, укрытие или ушивание возможного разрыва твердой оболочки спинного мозга.
Для стабилизации крестца используют изогнутые пластины в форме буквы L с фиксацией крестца через крестцовоподвздошное сочленение, задний подвздошный гребень и корни дуг Liv-Lv. Для предупреждения вторичных неврологических расстройств больной не должен вести активный режим до наступления костного сращения отломков.
К каким докторам следует обращаться если у Вас Повреждения крестца:
Вас что-то беспокоит? Вы хотите узнать более детальную информацию о Повреждений крестца, ее причинах, симптомах, методах лечения и профилактики, ходе течения болезни и соблюдении диеты после нее? Или же Вам необходим осмотр? Вы можете записаться на прием к доктору .
Способ декомпрессивно-стабилизирующего оперативного лечения переломов крестца, осложненных стенозом крестцового канала

Изобретение относится к медицине, а именно к травматологии. Выполняют остеосинтез задних отделов таза илиосокральными винтами. После остеосинтеза задних отделов таза на уровне стеноза выполняют костно-пластическую резекцию задней стенки крестцового канала по П-образной линии. Откидывают полученный фрагмент на мягкотканой ножке кверху, осуществляют ревизию содержимого крестцового канала и мобилизацию корешков спинного мозга. После чего устраняют вентральный стеноз крестцового канала и укладывают на место откинутый кверху фрагмент. Дефект по линии остеотомии заполняют костной крошкой и сверху фиксируют сетчатой пластиной. Способ позволяет выполнить одномоментное лечение нестабильного перелома задних отделов таза и устранить стеноз крестцового канала, выполнив декомпрессию невральных структур при минимальной травматичности оперативного вмешательства. 1 пр., 2 ил.
Изобретение относится к медицине, а именно к лечению нестабильных повреждений пояснично-крестцовой области при стенозе крестцового канала.
Известен способ хирургического лечения нестабильных повреждений задних отделов таза, когда линия перелома проходит через крестцовый канал и отломки крестца вызывают компрессию невральных структур, в котором изначально выполняют декомпрессию корешков «конского хвоста» и только после освобождения невральных структур выполняют стабилизацию костных фрагментов пластинами. (Анкин Н.П. hirurgicheskoe-lechenie-vertikalno-nestabilnyih-povrezhdeniv-taza-shagi-uspehi-i-oshibki-chast-2/)
Однако способ не предусматривает восстановление резецированных структур крестца, для установления пластины необходимо обширное скелетирование костной ткани и как следствие, увеличение продолжительности и травматичности операции, к тому же выполнение декомпрессии невральных структур крестца на нефиксированном переломе может привести к их вторичной травматизации.
Известны способы устранения посттравматического стеноза и восстановление формы и размера позвоночного канала путем выполнения резекции тела позвонка и клина Урбана, за счет чего происходит восстановление размера и формы позвоночного канала с последующим замещением полученного дефекта костным аутотрансплантатом или синтетическими материалами, например гидроксиапатитами (Корнилов Н.В., Усиков В.Д. Повреждения позвоночника. Тактика хирургического лечения. - СПб.: МОРСАР АВ, 2000. - С. 136-145; пат. РФ 2147844).
Данный оперативный прием осуществляется из вентральных доступов и затруднен для выполнения при повреждениях позвонков дистальнее SI, что связано с углом наклона крестца и передними отделами тазового кольца, которые резко ограничивают «угол атаки» операционного поля.
Также известен способ декомпрессии невральных структур позвоночного канала из дорзального доступа, когда после выполнения резекции заднего опорного комплекса выполняют удаление либо импактизацию фрагментов тела позвонка, которые компремируют дуральный мешок (пат. РФ 2306887).
Однако после выполнения данного оперативного вмешательства необходимо стабилизировать оперированный позвоночно-двигательный сегмент, например, транспедикулярной конструкцией. На крестце выполнение дорзальной фиксации не получило широкого применения, что связано с пирамидальной формой крестца, из-за которой крайне ограниченно количество мест для установки винтов. При этом небольшое количество мягких тканей над костью не позволяет использовать массивные фиксаторы из-за угрозы образования пролежней. Кроме того, пластинчатые фиксаторы, расположенные на задних отделах таза, мешают проведению адекватной ревизии и полноценной декомпрессии невральных структур крестцового канала.
Известен способ декомпрессивно-стабилизирующего оперативного лечения переломов крестца, включающий в себя выполнение остеосинтеза задних отделов таза илиосакральными винтами (Котельников Г.П. и др. Травматология. Национальное руководство. М.: «ГЭОТАР. Медиа, 2008, с. 545-581).
Однако способ эффективен только при переломах крестца и не предназначен для лечения переломов при стенозе крестцового канала.
Задачей изобретения является разработка эффективного малотравматичного способа декомпрессивно-стабилизирующего оперативного лечения переломов крестца, осложненных стенозом крестцового канала.
Технический результат - декомпрессия невральных структур «конского хвоста», восстановление формы и размера крестцового канала при минимальной травматичности оперативного лечения, решается следующим образом.
При декомпрессивно-стабилизирующем оперативном лечении переломов крестца, осложненных стенозом крестцового канала, включающем остеосинтез задних отделов таза илиосакральными винтами, согласно техническому решению, после остеосинтеза задних отделов таза на уровне стеноза выполняют костно-пластическую резекцию задней стенки крестцового канала по П-образной линии, откидывают полученный фрагмент на мягкотканой ножке кверху, осуществляют ревизию содержимого крестцового канала и мобилизацию корешков спинного мозга, после чего устраняют вентральный стеноз крестцового канала и укладывают на место откинутый кверху фрагмент, дефект по линии остеотомии заполняют костной крошкой и сверху фиксируют сетчатой пластиной.
Остеосинтез поврежденных задних отделов таза илиосакральными винтами позволяет выполнять декомпрессию невральных структур в условиях стабильного остеосинтеза, при этом фиксаторы (илиосакральные вины) располагаются в телах крестцовых позвонков и не препятствуют выполнению декомпрессивного этапа оперативного лечения.
Выполнение костнопластической резекции задней стенки крестцового канала, используя П-образную остеотомию, позволяет получить доступ к невральным структурам, не теряя при этом связь ламинэктомированного фрагмента с окружающими тканями и сохраняя его кровоснабжение. Доступ обеспечивает достаточный угол операционного поля, поэтому без лишней травматизации возможно осуществлять ревизию содержимого крестцового канала, мобилизацию корешков спинного мозга и восстанавливать форму передней стенки крестцового канала.
Возвращение на место откинутого кверху фрагмента, заполнение полученного дефекта по линии остеотомии костной крошкой и фиксация фрагмента по лини остеотомии сверху сетчатой пластиной, позволяет воссоздать форму крестцового канала предотвратить вторичную компрессию невральных структур крестцового канала.
Таким образом, способ позволяет уменьшить операционную агрессию и в условиях стабильного остеосинтеза задних отделов таза, осуществить декомпрессию «конского хвоста» с полным восстановлением формы и размера крестцового канала.
Способ осуществляют следующим образом.
Сначала стабилизируют поврежденные отделы таза, например, используя илиосакральные вины (один или несколько по необходимости). Затем через разрез по срединной линии крестца обнажают остистые отростки и дуги SI, SII, SIII позвонков. На уровне стеноза выполняют костнопластическую остеотомию задней стенки крестцового канала по П-образной линии. Ламинектомированный фрагмент на мягкотканной ножке откидывают кверху, получая тем самым доступ к невральным структурам. Осуществляют ревизию содержимого крестцового канала и мобилизацию корешков спинного мозга, после чего выполняют резекцию и(или) импактизацию клина Урбана, восстанавливая тем самым форму передней стенки крестцового канала. После устранения вентрального стеноза резецированный фрагмент задней стенки крестцового канала укладывают на место. Дефект по линии остеотомии заполняют костной крошкой, например утильной аутокостью. Для стабильной фиксации остеотомированного фрагмента сверху по линии остеотомии укладывают сетчатую пластину. При этом достигается полное восстановление формы и размера крестцового канала и целостность его задней стенки.
В Уральском институте травматологии и ортопедии предлагаемым способом выполнено 7 операций у больных с нестабильными переломами задних отделов таза, осложненными стенозами крестцового канала. Во всех случаях, исправлена деформация и достигнуто полное восстановление формы и размера крестцового канала. Больные активизированы на 1-3-е сутки после операции. Ни у кого не отмечалось воспалительных явлений со стороны оперированных тканей, сохранялась надежная стабилизация задних отделов таза, в случаях анатомической целостности корешков «конского хвоста» получен регресс неврологической симптоматики.
Таким образом, предлагаемый способ при минимальной травматичности операции позволяет проводить декомпрессию невральных структур и восстанавливать форму и размер крестцового канала, что повышает эффективность декомпрессивно-стабилизирующих операций при переломах крестца, осложненных стенозом крестцового канала.
Клинический пример. Пациентка М., 21 год, поступила в клинику через 1,5 месяца после ДТП с диагнозом: ротационно-нестабильное повреждение таза; U-образный перелом крестца с вершиной над SII. Оскольчатый перелом крыла правой подвздошной кости с частичным повреждением правого крестцово-подвздошного сочленения. Радикулопатия S1 справа, S2, S3 с обеих сторон средней степени (Фиг. 1 - обзорная рентгенограмма таза (а); КТ сканы в сагиттальной (б) и горизонтальной (в) плоскости при поступлении).
По предлагаемому способу в одну операционную сессию выполнен:
- остеосинтез крыла подвздошной кости винтами и фиксация U-образного перелома крестца илиосакральным винтом для стабилизации повреждений тазовых костей;
- костнопластическая остеотомия задней стенки крестцового канала, открытая декомпрессия дурального мешка, ремоделирование крестцового канала;
- фиксация ламинектомированного фрагмента по линии остеотомии сетчатой пластиной (Фиг. 2 - представлена обзорная рентгенограмма таза (а) и КТ сканы в сагиттальной (б) и горизонтальной (в) плоскости после операции. После операции пациентка активизирована на третьи сутки, рана заживлена первичным натяжением, швы сняты не 12 сутки. Проводилась медикаментозная и электоронейростимуляция. Выписана из стационара на 17 сутки после операции.
На контрольном осмотре через 1 месяц после операции пациентка жалоб не предъявляла. Достигнуты: полный регресс неврологической симптоматики, консолидация переломов костей таза. Получен хороший функциональный результат.
Способ декомпрессивно-стабилизирующего оперативного лечения переломов крестца, осложненных стенозом крестцового канала, включающий остеосинтез задних отделов таза илиосокральными винтами, после остеосинтеза задних отделов таза на уровне стеноза выполняют костно-пластическую резекцию задней стенки крестцового канала по П-образной линии, откидывают полученный фрагмент на мягкотканной ножке кверху, осуществляют ревизию содержимого крестцового канала и мобилизацию корешков спинного мозга, после чего устраняют вентральный стеноз крестцового канала и укладывают на место откинутый кверху фрагмент, дефект по линии остеотомии заполняют костной крошкой и сверху фиксируют сетчатой пластиной.
ПОЛИТРАВМА / POLYTRAUMA
Бондаренко А.В., Круглыхин И.В., Плотников И.А., Талашкевич М.Н.
Федеральное г осударственное бюджетное образовательное учреждение высшего образования «Алтайский государственный медицинский университет» Министерства здравоохранения Российской Федерации ,
КГБУЗ «Краевая клиническая больница скорой медицинской помощи»,
г. Барнаул, Россия
МАЛОИНВАЗИВНЫЙ ОСТЕОСИНТЕЗ ПОВРЕЖДЕНИЙ ЗАДНЕГО ПОЛУКОЛЬЦА ТАЗА ПРИ ПОЛИТРАВМЕ
Цель исследования - выяснить особенности применения илеосакральных транскутанных канюлированных винтов при реконструкции повреждений тазового кольца у пациентов с ПТ.
МАТЕРИАЛ И МЕТОДЫ
За 10 лет MIO заднего комплекса при помощи канюлированных винтов использовали при реконструкции тазового кольца у 297 пациентов с ПТ. Из них у 196 фиксация переднего комплекса не производилась, у 101 дополнительно выполнили его остеосинтез. Для этого у 43 пациентов использовали аппараты наружной фиксации (АНФ), у 58 - пластины и винты .
Мужчин было 162 (54,5 %), женщин - 135 (45,5 %), возраст - от 10 до 79 лет (средний - 34 года). Работающих - 156 (52,5 %), неработающих лиц трудоспособного возраста - 83 (27,9 %), учащихся, студентов и пенсионеров - 58 (19,6 %).
Причинами травм чаще всего служили дорожно-транспортные происшествия - 202 (68,1 %), падения с высоты - 82 (27,6 %), сдавления таза тяжелыми предметами - 13 (4,3 %).
Сочетанная травма отмечена у 213 (71,7 %) пациентов, множественные переломы - у 81 (27,2 %), комбинированная травма - у 3 (1,1 %). ПТ тяжестью по шкале ISS [19] от 17 до 25 баллов отмечалась у 146 (49,2 %), от 26 до 40 - у 89 (29,9 %), свыше 41 - у 62 (20,9 %) пациентов. Черепно-мозговые травмы различной степени тяжести - у 154 (51,9 %), повреждения внутренних органов - у 133 (44,8 %), травмы опорно-двигательной системы других локализаций - у 160 (53,8 %), ожоги - у 3 (1,1 %).
При оценке повреждений тазового кольца использовали классификацию АО [20]. Остеосинтез заднего комплекса при стабильных повреждениях тазового кольца (тип А) не проводили. Частично стабильные повреждения (тип В) с горизонтальной и ротационной нестабильностью вследствие травм от переднезадней или наружной компрессии отмечены у 196 (65,9 %) пациентов, нестабильные (тип С) с вертикальной нестабильностью в результате травм от сдвига или комбинированных воздействий - у 101 (34,1 %). У 172 (57,9 %) повреждения заднего комплекса были унилатеральные, у 125 (42,1 %) - билатеральные. Всего у 297 пациентов отмечено 422 повреждения структур, образующих заднее полукольцо таза. Из них переломы костей (крестец и подвздошная кость) отмечались в 198 случаях, разрывы связочного аппарата крестцово-подвздошных сочленений (КПС) - в 224.
При поступлении, на реанимационном этапе временная фиксация наружными фиксирующими устройствами - тазовыми щипцами и АНФ выполнена у 71 пациента. Показанием к экстренной стабилизации служили открытые, а также механически и гемодинимические нестабильные повреждения тазового кольца.
Тазовую реконструкцию при помощи винтов с каналом проводили по стабилизации состояния пострадавших. В первые трое суток после травмы остеосинтез заднего комплекса выполнен у 34 пациентов, от трех суток до трех недель - у 229, свыше 3 недель - у 34. Сроки выполнения операций колебались от суток до 78 дней. Медиана (Ме) - 10 суток, интерквартильный размах - от 6 до 15 суток. При тазовой реконструкции использовали металлоконструкции фирм « Synthes» (Швейцария) и «Остеомед» (Россия).
Всего остеосинтез заднего комплекса винтами с каналом при закрытых повреждениях использован у 266 пациентов, открытых - у 31. При унилатеральных повреждениях - у 172, билатеральных - у 125.
Как основной метод лечения, без стабилизации переднего полукольца таза, остеосинтез заднего комплекса винтами (рис. 1) выполнен у 196 пациентов. Из них открытые переломы встречались у 15 (7,7 %) и были представлены в 12 случаях разрывами мочевого пузыря, в 3 - разрывами уретры. У 161 пациента отмечались повреждения типа В, у 35 - типа С, у 124 - унилатеральные, у 72 - билатеральные. Повреждения переднего полукольца таза были представлены у 3 пациентов разрывами лонного сочленения, у 193 - переломами ветвей лонных костей. Разрыв КПС как основное повреждение заднего комплекса таза встречался у 75 пациентов, переломы подвздошной кости и крестца - у 121.
Рисунок 1. Рентгенограммы пациентки Б. 31 года, повреждение тазового кольца 61-В1: a) до реконструкции; b) после остеосинтеза заднего комплекса винтом с каналом 7,3 мм
Как правило, изолированно остеосинтез илеосакральными винтами заднего комплекса использовался у пациентов без смещения отломков или с незначительным смещением. В случае смещений, превышающих 2,5 см по длине и 1,0 см по ширине, всегда требовалась репозиция и дополнительная фиксация переднего полукольца таза. При этом вставал вопрос об очередности этапов оперативного вмешательства. Какое полукольцо таза восстанавливать в первую очередь: переднее или заднее? Репозиция и стабильная фиксация отломков переднего комплекса способствовала восстановлению правильных взаимоотношений задних отделов таза при горизонтальной или ротационной нестабильности, что значительно облегчало проведение транскутанного остеосинтеза заднего комплекса. В случае повреждений от сдвига или при смешанном механизме, когда имелось вертикальное или заднее смещение, в первую очередь восстанавливали заднее полукольцо, а затем уже переднее, так как в противном случае возникали проблемы при репозиции переднего комплекса.
У 43 пациентов дополнительно с остеосинтезом заднего комплекса был выполнен остеосинтез переднего - при помощи АНФ (рис. 2). Из них открытые повреждения встречались у 10 (23,3 %) и были представлены у 7 - разрывами мочевого пузыря, у 2 - разрывами уретры, у 1 - открытым перелом крыла подвздошной кости. У 18 пациентов отмечались повреждения типа В, у 25 - типа С, у 22 - унилатеральные, у 21 - билатеральные. У 10 пациентов наблюдались разрывы лонного сочленения, у 33 - переломы ветвей лонных костей. Из 10 пациентов, имевших разрыв лонного сочленения, 2 имели повреждения заднего комплекса таза типа В, 8 - типа С. Разрыв КПС как основное повреждение заднего комплекса тазового кольца встречался у 28, переломы подвздошной кости и крестца - у 15 пациентов.
Рисунок 2. Рентгенограммы пациентки И. 27 лет, повреждени етаза 61-В2: a) при поступлении; b) после реконструкции переднего комплекса таза при помощи АНФ; c) после остеосинтеза заднего комплекса таза винтом 7,3 ммс каналом
У 58 пациентов дополнительно выполнен остеосинтез переднего комплекса пластинами и винтами. Из них открытые повреждения встречались у 6 (10,3 %) пациентов и были представлены в 4 случаях разрывами мочевого пузыря, в 2 - разрывами уретры. У 17 пациентов отмечались повреждения типа В, у 41 - типа С, унилатеральные - у 24, билатеральные - у 34. У 50 пациентов наблюдались разрывы лонного сочленения, у 8 - переломы ветвей лонных костей. Из 50 пациентов, имевших разрыв лонного сочленения, у 14 имело место повреждение заднего комплекса типа В, у 36 - типа С. Разрывы КПС как основное повреждение заднего комплекса тазового кольца встречались у 37, переломы крестца и подвздошной кости - у 21.
В случае разрывов лонного симфиза использовали остеосинтез пластинами (рис. 3) , при переломах лонной кости фиксацию в большинстве случаев осуществляли при помощи винтов (рис. 4). Показанием к этому служили повреждения тазового кольца типа В2 от латеральной компрессии или типа С от сдвига или комбинированных воздействий.
Рисунок 3. Рентгенограммы таза пациента А. 48 лет, повреждение тазового кольца 61-В3: a) при поступлении с цистографическим исследованием; b) после наложения тазовых щипцов; c) после окончательной реконструкции переднего полукольца таза пластиной, заднего - винтами с каналом 7,3 мм
Рисунок 4. Рентгенограммы и компьютерная 3D-реконструкция таза пациента К. 19 лет, повреждение тазового кольца 61-В2: a) рентгенограмма таза до операции; b) рентгенограмма после остеосинтеза винтами переднего и заднего комплексов таза; c) 3D-реконструкция таза до операции; d) 3D-реконструкция таза после остеосинтеза переднего и заднего комплексов
При оценке результатов учитывали число и характер осложнений, исходы лечения. Анализ данных начинали с построения полигона частот. Определяли Ме и интерквантильный размах. Для оценки статистической значимости различий использовали расчет критерия χ 2 с поправкой Йейтса и применением метода Бонферрони при множественных сравнениях. При проверке нулевых гипотез критический уровень значимости различий принимался меньше 0,05 [21].
Исследование выполнено в соответствии с этическими принципами Хельсинкской декларации (World Medical Association Declaration of Helsinki - Ethical Principles for Medical Research Involving Human Subjects, 2013) и «Правилами клинической практики в Российской Федерации» (Приказ Минздрава РФ от 19.06.2003 г. № 266) с получением согласия пациента на участие в исследовании и одобрено локальным этическим комитетом.
РЕЗУЛЬТАТЫ И ОБСУЖДЕНИЕ
Умерло 3 (1 %) пациента. Причина смерти в одном случае - ТЭЛА, в другом - кровотечение из стресс-язвы желудка, в третьем - сепсис. Летальные исходы не были связаны с оперативными вмешательствами на тазовом кольце, а являлись следствием осложнений тяжелой ПТ.
Отмечено 155 соматических осложнений у 105 (35,4 %) пациентов, их характер и частота представлены в таблице 1. Наиболее часто встречались тромбозы глубоких вен нижних конечностей, реже - бронхо-легочные, абдоминальные осложнения, пролежни, сепсис и др.
Таблица 1. Характер и частота соматических осложнений (n = 297)
доктор медицинских наук, профессор, заслуженный врач РФ, руководитель отдела травматологии, ортопедиии вертебрологии ГБУ «Санкт-Петербургский научно-исследовательский институт скорой помощи им. И.И. Джанелидзе»
Игорь Владимирович Кажанов
ГБУЗ НИИ "Скорой помощи им. И.И. Джанелидзе", Санкт-Петербург
Россия
ведущий научный сотрудник отдела сочетанной травмы, ГБУ «Санкт-Петербургский научно-исследовательский институт скорой помощи им. И.И. Джанелидзе»
Роман Артурович Преснов
ГБУЗ НИИ "Скорой помощи им. И.И. Джанелидзе", Санкт-Петербург
Россия
врач травматолог-ортопед по оказанию экстренной медицинской помощи, ГБУ «Санкт-Петербургский научно-исследовательский институт скорой помощи им. И.И. Джанелидзе»
Сергей Иванович Микитюк
ГБУЗ НИИ "Скорой помощи им. И.И. Джанелидзе", Санкт-Петербург
Россия
старший преподаватель учебного центра ГБУ «Санкт-Петербургский научно-исследовательский институт скорой помощи им. И.И. Джанелидзе»; кандидат медицинских наук
№ 3 - 2022
Дулаев А.К., Кажанов И.В., Преснов Р.А., Микитюк С.И.
Государственное бюджетное учреждение Санкт-Петербургский научно-исследовательский институт скорой помощи им. И.И. Джанелидзе, г. Санкт-Петербург, Россия
ТРИАНГУЛЯРНЫЙ ОСТЕОСИНТЕЗ ПЕРЕЛОМОВ КРЕСТЦА ПРИ ВЕРТИКАЛЬНО-НЕСТАБИЛЬНЫХ ПОВРЕЖДЕНИЯХ ТАЗА
Выбор способа внутреннего остеосинтеза продольных переломов крестца является одним из сложных вопросов при лечении таких пострадавших.
Цель исследования - оценить результаты лечения пострадавших с вертикально-нестабильными повреждениями таза, которым выполнялась пояснично-тазовая стабилизация в одной из конфигураций (одно- или двусторонняя) и остеосинтез подвздошно-крестцовыми винтами в зависимости от морфологического варианта продольного перелома крестца.
Материалы и методы. Проанализированы результаты лечения 22 пострадавших с политравмой и продольными переломами крестца в травмоцентре 1 уровня с 2013 по 2017 г. По классификации AO/ASIF диагностированы С1 - 19 (86,4 %), С2 - 1 (4,5 %), С3 - 2 (9,1 %) вертикально-нестабильных повреждения тазового кольца. Средний возраст пострадавших - 33,8 ± 9,8 года. Тяжесть повреждения по шкале ISS составила 24,8 ± 7,9 балла. Для определения последовательности лечебно-диагностических мероприятий пострадавшим при поступлении производилась детальная оценка тяжести состояния с помощью схемы H.C. Pape (2005). В ходе предоперационного планирования всем пострадавшим выполняли спиральную компьютерную томографию (СКТ) таза. Во всех наблюдениях для окончательной фиксации продольных переломов крестца осуществляли пояснично-тазовую фиксацию (ПТФ) с использованием транспедикулярных систем в одной из конфигураций и илиосакральные винты (триангулярный остеосинтез). При выборе конфигурации ПТФ и варианта ее установки учитывали морфологию перелома продольного перелома крестца и его соотношение с суставной фасеткой L5/S1 позвонков, необходимость выполнения декомпрессии нервных корешков крестцового сплетения, сроки после травмы.
Результаты. При оценке результатов лечения 13 пострадавших в сроки от 6 месяцев до 3 лет после травмы хорошие и отличные результаты получены в 84,6 % случаев, что соответствует данным литературы.
Выводы. Большое разнообразие морфологических вариантов переломов крестца требует тщательного подбора импланта или их комбинации. Хирургическое лечение при переломах крестца предпочтительно выполнять в ранние сроки травматической болезни, когда возможна непрямая репозиция с полным восстановлением анатомии тазового кольца, что способствует получению хороших анатомо-функциональных исходов.
Ключевые слова: нестабильные повреждения тазового кольца; переломы крестца; илиосакральные винты; пояснично-тазовая фиксация; малоинвазивный остеосинтез
Диагностика и лечение переломов крестца по сей день содержит множество противоречий и споров [1, 2]. Продольные переломы крестца наблюдаются при высокоэнергетических повреждениях у пострадавших с политравмой и являются составной частью повреждений заднего отдела тазового кольца в 45-90 %, а также сочетаются с травмой позвоночника в 20-47 % наблюдений 5. Повреждения других областей тела зачастую доминируют по значимости над травмой таза, что влияет на тактику оказания специализированной травматологической помощи. Значимость переломов крестца состоит не только в непосредственном их отношении к сопутствующим неврологическим осложнениям, но и в том, что крестец играет важнейшую роль в стабилизации тазового кольца [1, 2, 6].
Способы наружной и внутренней фиксации нестабильного тазового кольца описаны в литературе [3], но конкретные клинические рекомендации и протоколы по лечению переломов крестца остаются не до конца рассмотренными до сих пор. Многообразие морфологии переломов крестца лишь усложняет выбор оптимального хирургического пособия, а частота осложнений и неудовлетворительных результатов лечения таких пострадавших остается на уровне 25-60 % [5, 7]. К их числу относятся посттравматическая деформация, стойкий болевой синдром при физической нагрузке, а также неврологические нарушения из-за повреждения корешков пояснично-крестцового сплетения [1, 2, 8].
В последние годы увеличилось число сторонников активной хирургической тактики при лечении пострадавших с повреждениями заднего отдела тазового кольца, внедряются новые способы и методики фиксации переломов крестца. Однако, каждый из способов имеет как преимущества, так и недостатки, а показания для выбора того или иного варианта остаются до конца не сформулированными.
Цель исследования - оценка результатов лечения пострадавших с вертикально-нестабильными повреждениями таза, которым выполнялась пояснично-тазовая стабилизация в одной из конфигураций (одно- или двусторонняя) и остеосинтез подвздошно-крестцовыми винтами в зависимости от морфологического варианта продольного перелома крестца.
МАТЕРИАЛЫ И МЕТОДЫ ИССЛЕДОВАНИЯ
Проанализированы результаты лечения 22 пострадавших с вертикально-нестабильными повреждениями тазового кольца в Санкт-Петербургском НИИ скорой помощи им. И.И. Джанелидзе (травмоцентр первого уровня) за период с 2013 по 2017 гг. Структура повреждений таза по классификации М.Е. Muller-AO/ASIF включала: С1 - 19 (86,4 %), С2 - 1 (4,5 %), С3 - 2 (9,1 %) случаев. Повреждения заднего отдела таза были представлены различными переломами крестца по классификации F. Denis (1988) [1]. Пострадавших мужского пола было 12 (54,5 %), женского 10 (45,5 %) человек.
Обстоятельства получения травмы: падение с высоты - 12 (54,5 %), дорожно-транспортное происшествие - 9 (41,0 %), сдавление - 1 (4,5 %) наблюдений.
В исследуемую группу включали пострадавших, имевших: трудоспособный возраст (от 18 до 65 лет), нетяжелую черепно-мозговую травму (АIS ≤4 баллов), морфологию повреждения тазового кольца, позволявшую применить технологии остеосинтеза металлоконструкциями в виде транспедикулярной ПТФ и подвздошно-крестцовых винтов. Средний возраст пострадавших составил 33,8 ± 9,8 лет. Тяжесть повреждения по шкале ISS - 24,8 ± 7,9 балла. Для определения последовательности оперативных пособий на тазу и других областях тела проводили более детальную оценку тяжести состояния пострадавших с использованием схемы-таблицы H.C. Pape (2005) [9] . Согласно данной схемы пострадавшие были распределены на следующие клинические классы: стабильные - 5 (22,7 %), пограничные - 13 (59,1 %), нестабильные - 5 (22,7 %), критические - 1 (4,5 %) наблюдений.
При наличии у пострадавшего жизнеугрожающих последствий повреждений проводили неотложные операции по их устранению, из них : продолжающееся тазовое - в трех, внутрибрюшное - в шести ; аспирационная асфиксия - в одном; напряженный пневмоторакс - в трех случаях . У двух пострадавших была множественная травма таза в виде: внебрюшиного разрыва мочевого пузыря - 1 наблюдение; частичного отрыва уретры в мембранозной части - 1 наблюдение.
В предоперационном периоде пострадавшим выполняли C КТ таза и других поврежденных областей тела. Уточняли характер повреждений переднего и заднего отделов тазового кольца, вертлужной впадины, степень передне-заднего, вертикального, наружного и внутреннего ротационных смещений.
Во всех клинических наблюдениях для первичной стабилизации продольного перелома крестца использовали подвздошно-крестцовые винты, а для пояснично-тазовой фиксации применяли систему на основе транспедикулярных винтов (так называемый триангулярный остеосинтез). Выбор между одно- или двусторонней конфигурациями ПТФ зависел от расположения линии перелома крестца по отношению к суставной фасетке L 5 /S1 позвонков. При продольных переломах крестца, проходящих кнаружи от суставной фасетки L 5 /S 1 позвонков использовали одностороннюю ПТФ. Напротив, при продольных переломах крестца с расположением линии перелома кнутри или через суставную фасетку L 5 /S 1 позвонков, билатеральных переломах крестца, особенно Н- и U-образных, использовали двустороннюю ПТФ изолированно. ПТФ применялась вторым этапом в качестве дополнительной стабилизации перелома крестца.
Основными морфологическими вариантами повреждений заднего отдела тазового кольца, которые позволяли выполнить его стабилизацию подвздошно-крестцовыми винтами были: Н- и U-образные переломы крестца с остаточным посттравматическим кифозом более 10 градусов; оскольчатые двусторонние переломы крестца по зонам боковых масс или крестцовых отверстий; дисморфия крестца (отсутствие анатомического свободного пространства для установки винта в телах S1 и S2 позвонков, так называемой безопасной зоны или «коридора»); переломы и переломо-вывихи крестцово-подвздошных сочленений с вовлечением суставной поверхности крестцово-подвздошного сочленения (переломы типа «полумесяца» или «crescent injury»), при которых плоскость основного костного отломка крыла подвздошной кости проецировалась на крестцово-подвздошное сочленение на незначительной площади, что не позволяло выбрать адекватные точки для безопасного размещения канюлированных винтов и создать нормальную компрессию . Пострадавшим, у которых были вышеуказанные морфологические варианты повреждения заднего отдела тазового кольца, для окончательной стабилизации применялась только двусторонняя пояснично-тазовая фиксация или другой способ погружного остеосинтеза, поэтому в наше исследование данные клинические наблюдения не включались.
При стабильном общем состоянии пострадавшего продольный перелом крестца дополнительно стабилизировали ПТФ в течение первых 48 часов после получения травмы. При тяжелом состоянии пострадавшего ПТФ выполняли дополнительно к подвздошно-крестцовым винтам только в период полного восстановления жизненно-важных функций организма и ликвидации осложнений (в сроки от 2-х до 3-х недель после травмы). Транспедикулярные системы устанавливали в острый период травмы по малоинвазивной методике. Открытую методику ПТФ использовали при необходимости выполнения открытой репозиции, декомпрессии нервных структур в области крестца, а также в поздние периоды травматической болезни после купирования осложнений и улучшения общего состояния пострадавшего.
Интраоперационно выполняли полипроекционную рентгеноскопию таза с помощью C-дуги OEC 9900 Elit (General Electric, США). Использовали дополнительные проекции входа (Inlet) и выхода малого таза (Outlet).
Ближайшие результаты оценивали перед выпиской пострадавшего. Учитывали уровень болевого синдрома при помощи визуально-аналоговой шкалы (ВАШ) и сроки ранней вертикализации после операций. Отдаленные результаты лечения наблюдали в срок от 6 месяцев до 3-х лет. Функциональные результаты лечения определяли по шкале S.A. Majeed [10]. Оценку функциональных возможностей и качества жизни пострадавших с вертикально-нестабильными повреждениями таза проводили при помощи специализированной модифицированной шкалы SF-36 [11].
Базу данных на пострадавших создавали в программе Microsoft Office Excel 2010. Статистический анализ данных проводили с использованием пакета прикладных программ BioStat 2009 (Analyst SoftInc., США).
Механогенез ротационно-нестабильных переломов и повреждений тазового кольца
В статье представлен механогенез ротационно-нестабильных переломов и повреждений тазового кольца с анатомической обусловленностью характера смещений при дезинтеграции в крестцово-подвздошных сочленениях.
Ключевые слова: нестабильные переломы и повреждения, тазовое кольцо, дезинтеграция.
R.Ya. KHABIBYANOV
Republican Clinical Hospital of the Ministry of Healthcare of the Republic of Tatarstan, 138 Orenburgskiy Trakt, Kazan, Russian Federation 420064
Mechanogenesis of rotation-unstable fractures and lesions of pelvic bones
The article presents the mechanogenesis of rotation-unstable fractions and lesions of pelvic bones with the anatomic determination of dislocations in case of disintegration in the sacroiliac symphyses.
Key words: unstable fractions and lesions, pelvic bones, disintegration.
Наиболее часто нестабильные переломы и повреждения тазового кольца имеют место в результате дорожно-транспортных происшествий, несчастных случаев на производстве, падения с высоты 3. При прямом воздействии внешнего агента характер переломов и смещений, их сочетание бывает разнообразным (рис. 1).
Рисунок 1.
Полифокальный перелом костей таза. Высотная травма

Лечение нестабильных переломов костей таза (тип В и С — классификация по принятой международной системе AO/ASIF) с ротационной и ротационно-вертикальной нестабильностью, особенно при значительных смещениях или в не свежих случаях представляет трудности. Если не учитывать исходное состояние пациента (стабильное или не стабильное), сложности заключаются в производстве предварительной и окончательной репозиции с последующей надежной стабилизацией тазового кольца [5].
Традиционно принятый термин «ротационная нестабильность» таза к ротации имеет крайне ограниченное отношение (Ротация [лат. rotatio круговое вращательное движение] — в функциональной анатомии — круговое движение, например, в плечевом, межпозвоночном и пр. суставах). Низкоамплитудные пассивные вращательные движения скользящего характера в КПС в норме происходят вокруг фронтальной оси ниже второго сакрального сегмента S-2 [6] и имеют отношение к смене физиологических положений крестца от контрнутации до нутации. При переломах и повреждениях тазового кольца с ротационной нестабильностью происходит смещение гемипельвиса относительно крестца в латеральном или контрлатеральном направлении в горизонтальной плоскости. Повреждения тазового кольца с ротационной нестабильностью и латеральным смещением (рис. 2) по нашим наблюдениям составляют 84% от повреждений тазового кольца с ротационной нестабильностью. Причем разрыв симфиза с расхождением и повреждением КПС в 96% случаев являются результатом травмы ускорения (ДТП) с непрямым механизмом воздействия. При этом пострадавшие, как правило, пассажиры автотранспортных средств. Их положение к моменту столкновения — сидя, бедра умеренно разведены, при лобовом столкновении автомобиля по инерции симметрично или асимметрично упираются обоими коленными суставами с препятствием в виде панели автомобиля или спинок впереди расположенных кресел. Остальные случаи — падение с незначительной высоты, в том числе высоты собственного роста, обвалы грунта в траншеях, мотоциклетная травма при столкновении с препятствием, расхождение симфиза более 1,5-2 см при родах и т.д.
С учетом конвергирующих вниз, внутрь и кзади суставных поверхностей КПС (рис. 3, 4) при ротационной нестабильности с латеральным смещением происходит в большей или меньшей степени неравномерное соскальзывание суставной поверхности подвздошной кости относительно ушковидной поверхности крестца кзади. Пояснично-подвздошные связки обеспечивает меньшую степень соскальзывания верхних отделов суставной поверхности подвздошной кости относительно ушковидной поверхности крестца кзади. Соскальзывание нижних отделов суставной поверхности подвздошной
Рисунок 2.
Ротационно-нестабильное повреждение тазового кольца с латеральным смещением

кости происходит в большей степени в соответствии с конвергируюшими кзади суставным поверхностям крестцово-подвздошного сочленения (КПС). Более того, соскальзывание в нижних отделах КПС обусловлено влиянием на передний отдел таза поясничной мышцы. Причем объем смещения кзади зависит от степени повреждения передних и межкостной связок КПС. Чем больше степень смещения суставной поверхности подвздошной кости кзади в КПС, тем больше расхождение в переднем полукольце таза. При двухстороннем повреждении КПС с латеральным смещением гемипельвисов эти смещения ничего общего с положением крестца — нутация (движение крестца, аналогичное киванию головы), при котором на симфиз влияют растягивающие усилия, не имеют. Дезинтеграция задних отделов таза приводит к тому, что под влиянием поясничных мышц происходит увеличение угла наклона таза кпереди, что само по себе в норме должно было бы привести к относительной вертикализации крестца — контрнутации, что обеспечивает устойчивое равновесие тазового кольца.
Рисунок 3.
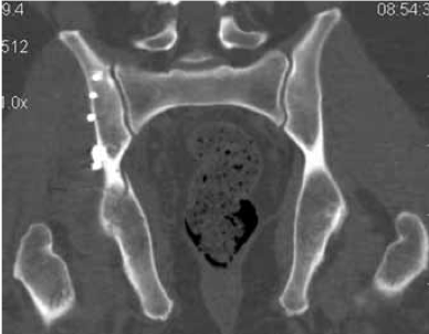
RКТ таза пациента Б. после остеосинтеза чрезвертлужного перелома с переходом на тело и крыло подвздошной кости, фронтальный срез на уровне S-2

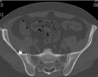
Рисунок 4.
RКТ таза пациента Б. после остеосинтеза чрезвертлужного перелома с переходом на тело и крыло подвздошной кости, горизонтальный срез на уровне S-2

При ротационно-нестабильных переломах и повреждениях тазового кольца с латеральным смещением, смещения происходят во фронтальной, сагиттальной и горизонтальной плоскостях.
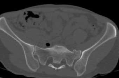
Ротационно-нестабильные повреждения с контрлатеральным смещением имеют иную картину разрушений. Связки КПС в целом остаются интактными. Происходят переломы лонной и седалищной костей с одной или с обеих сторон, а также краевой перелом Ala Sacralis , имеющий отношение к КПС. Причем характер краевых переломов Ala Sacralis при контрлатеральном смещении гемипельвиса зависит от положения крестца на момент воздействия внешнего агента. Краевой перелом на уровне S1- S2 позвонков (рис. 5а, в) происходит при положении крестца в контрнутации или близком положении к нему, поскольку именно в этой зоне происходит плотное соприкосновение и упор переднего края крестцово-тазовой поверхности подвздошной кости с Ala sacralis (рис. 6).
Краевой перелом на уровне S2-S3 позвонков (рис. 7а, в) происходит при положении крестца в нутации или близком положении к нему.
При нутации крестца верхние отделы его ушковидной поверхности, отвечая конвергирующим назад суставным поверхностям КПС, скользят кпереди. При этом скручивается межкостная крестцово-подвздошная связка, что приводит к мигрирации оси вращения в КПС, и неравномерно «стаскивает» назад ушковидную поверхность подвздошной кости в соответствии с конвергирующими назад суставным поверхностям. Нижние отделы ушковидной поверхности крестца в меньшей степени скользят кзади. Уменьшение угла наклона таза кпереди приводит к контакту нижних отделов ушковидной поверхности крестца с пердненижними отделами крестцово-тазовой поверхности подвздошной кости (рис. 8).
Рисунок 5.
Краевой перелом Ala sacralis на уровне S1-S2 позвонков


Рисунок 6.
Тазовое кольцо. Положение крестца — контрнутация. Пограничная линия таза непрерывная

При воздействии внешнего агента в таком положении крестца и происходит краевой перелом в зоне S2-S3 позвонков.
С 1997 г. в НИЦТ «ВТО» и в последующем — в травмоцентре РКБ МЗ РТ оказана помощь 87 пострадавшим с ротационно-нестабильными повреждениями тазового кольца с дезинтеграцией в КПС в виде краевых переломов Ala sacralis или переломов боковых масс крестца, причем взаимоотношение переломов на уровне S1-S2 позвонков и S2-S3 позвонков составило 3 к 1.
Рисунок 7.
Краевой перелом Ala sacralis на уровне S2-S3 позвонков


Рисунок 8.
Тазовое кольцо. Положение крестца — нутация. Пограничная линия таза прерывается на уровне КПС
1. Одынский Б. (ред.). Переломы тазового кольца. — М.: Фолиум, 2003. — 206 с.
2. Черкес-Заде Д.И. Применение аппаратов наружной фиксации для оптимизации условий репаративной регенерации при переломах костей таза / Д.И. Черкес-Заде, А.Ф. Лазарев // Вестник травматол. и ортопед, им. Н.Н. Приорова. — 1996. — № 1. — С. 52-56.
3. Govender S. Open pelvic fractures / S. Govender, A. Sham, B. Singh // Injury. — 1990. — Vol. 21, № 6. — P. 373-376.
4. Witschger P. Beckenzwinge zur Schockbekampfung der hinteren Beckenringverletzung / P. Witschger, P. Heini, R. Ganz // Orthopade. — 1992. — Vol. 21. — P. 339-399.
5. Хабибьянов Р.Я. Закрытый остеосинтез смещенных переломов костей таза. Метод. рекомендации. — Казань, 2013. — 14 с.
6. Лесгафт П.Ф. Избранные труды по анатомии. — М.: Медицина, 1968. — 370 с.
1. Odynskiy B. (ed.). Perelomy tazovogo kol’tsa [Fractures of the pelvic ring]. Moscow: Folium, 2003. 206 p.
2. Cherkes-Zade D.I., Lazarev A.F. The use of an external fixator to optimize conditions for reparative regeneration of bone fractures of the pelvis. Vestnik travmatol. i ortoped, im. N.N. Priorova, 1996, no. 1, pp. 52-56 (in Russ.).
3. Govender S., Sham A., Singh B. Open pelvic fractures. Injury, 1990, vol. 21, no. 6, pp. 373-376.
4. Witschger P., Heini P., Ganz R. Beckenzwinge zur Schockbekampfung der hinteren Beckenringverletzung. Orthopade, 1992, vol. 21, pp. 339-399.
5. Khabib’yanov R.Ya. Zakrytyy osteosintez smeshchennykh perelomov kostey taza. Metod. Rekomendatsii [Closed fixation of displaced fractures of the pelvis. Method. recommendations]. Kazan, 2013. 14 p.
6. Lesgaft P.F. Izbrannye trudy po anatomii [Selected works on anatomy]. Moscow: Meditsina, 1968. 370 p.
Читайте также:
