Техника заднелатерального доступа к коленному суставу по Henderson
Добавил пользователь Евгений Кузнецов Обновлено: 01.01.2026
Развитие осложнений после проведения артродеза Оперативное вмешательство на голеностопе у пациента Показания для проведения артродеза у пациентов Артродез - операция, без которой не обойтись Разновидности артродеза Оперативное вмешательство в тазобедренный сустав
Артродез - это вариант операции, при котором сустав искусственно закрепляется оптимальной позиции, после чего со временем окостеневает, а подвижность в нём утрачивается пожизненно. Сустав будет закреплён в таком положении, в котором пациенту будет удобно не только ходить, но и отдыхать и выполнять повседневную работу.
При прогрессировании многих заболеваний суставов развивается анкилоз - срастание суставных поверхностей и утрата подвижности сустава. В отличие от артродеза - при патологии подвижность часто утрачивается при расположении сустава в неудобной позиции, которая не позволяет пациенту жить нормальной жизнью.
Когда соглашаться на операцию
При развитии патологических изменений в хрящевой ткани, связках или менисках функция сустава постепенно утрачивается - пациента беспокоят боли, развивается отёк и воспаление. Нередко клиника усугубляется нарушением кровообращения в суставе. В результате хрящ разрушается, его поверхность истончается и деформируется.

На начальных этапах возможно восстановление сустава традиционной терапией в виде приёма медикаментов, физиотерапией и лечебной гимнастикой. Если пациент запустил заболевание, единственный выход - хирургический метод лечения.
Важно!
Артродез должен проводиться только, когда пациенту невозможно установить искусственный протез по причине слабости костной ткани или отторжению имплантата организмом.
Основные показания для артродеза:
- Выраженная нестабильность в суставе - при прогрессировании некоторых патологических болезней суставная щель уменьшается. Связки не укорачиваются, снижается фиксация костей конечности. В результате развиваются патологические вывихи подвывихи, требующие хирургического вмешательства;
- Артрит - на начальных стадиях прогрессирование можно замедлить приёмом медикаментов и общеукрепляющими процедурами, но если пациент не выполняет рекомендации врача - со временем болезнь вызывает необратимые изменения в суставе, которые требуют операции;
- Артроз - быстро прогрессирующее заболевание, нередко слабо поддающееся лечению. При развитии нарушений подвижности и выраженных деформаций ноги - показан артродез;
- Остеоартроз - поражение хрящевой ткани и её отмирание деформируют сустав, что приводит к хирургическому лечению;
- Нарушения при срастании околосуставных переломов - если после травмы кость срастается так, что подвижность сустава невозможна - необходим артродез;
- Аномалии развития - при некоторых врождённых патологиях возникает неполноценность функционирования суставов, могут появляться также врождённые подвывихи. В данном случае показана операция;
- Другие причины - серьёзные осложнения от некоторых заболеваний, вызывающие необратимые поражения соединительной ткани, приводящие к деформации суставов и нарушению подвижности вплоть до анкилоза.
Данная операция приводит к инвалидности - кости скрепляются, формируется жёсткое межкостное соединение. Этот хирургический метод назначается при невозможности проведения более современной операции - артропластики. Обездвиживание некоторых суставов не вызывает ощутимого дискомфорта - при операции на подтаранном суставе пациент быстрее адаптируется, чем при артродезе голеностопа, где человеку придётся долго учиться ходить по новым правилам.

Когда оперироваться противопоказано
Несмотря на всю простоту методики, существует несколько противопоказаний к данному виду хирургического лечения:
- Возрастной критерий - дети младше 12-ти лет и пожилой возраст старше 60-ти лет. У ребёнка костный компонент до конца не созрел - искусственный анкилоз может не сформироваться. В старческом возрасте регенерация костной ткани слабая - послеоперационная область может не выдержать повседневной нагрузки;
- Присутствие инфекционного заражения, нагноений или свищей - для артродеза необходима высокая регенерация костной ткани, а при наличии данных заболеваний она сильно снижена;
- Нестабильное и тяжёлое состояние больного - в данном случае реабилитация будет продолжительная, возрастает риск развития негативных последствий.
Разновидности артродеза
В зависимости от технологии выполнения различают несколько типов операции. Каждый метод имеет свои положительные и отрицательные стороны и показан при определённых поражениях соединительной ткани. На выбор хирургического варианта лечения влияет больной сустав, который необходимо оперировать.
Различают следующие разновидности оперативного лечения:
- Внутрисуставной артродез - при данной методике удаляется хрящ, а сращивание костных элементов происходит за счёт деления клеток костной ткани. Данный вид лечения небезопасен из-за опасности занесения инфекции в рану, но оптимален с практической точки зрения. Часто применяется при артритах, артрозах и других заболеваниях;
- Внесуставной артродез - при его проведении хрящ остаётся на месте, а в сустав вживляется специальный костный трансплантат. Данный метод сводит к минимуму занесение микробов. Метод широко применяется, если пациент страдает от инфекционного артрита;
- Комбинированный вариант - в данном случае применяются трансплантаты с одновременным удалением суставного хряща. Такая операция показана при массовом разрушении суставных поверхностей;
- Удлиняющий артродез - во время операции доктор осуществляет переломы костей в определённых зонах, слегка «вытягивая» поражённую ногу. Данное оперативное вмешательство показано при укорочении одной из конечностей;
- Компрессионный артродез - сращивание костей осуществляется за счёт их плотного сдавливания, для чего используется специальный аппарат. Данный вид операции показан при инфицировании суставной полости, когда лишнее её вскрытие может привести к серьёзным осложнениям. Методика более простая, чем при внутрисуставном проникновении, окостенение происходит быстрее из-за плотного прилегания суставных поверхностей друг к другу. Наложение гипса не требуется.
Важно!
При компрессионном артродезе высока вероятность развития спицевого остеомиелита, а также смещения костей от вертикальной оси. Поэтому пациенты должны находиться под строгим наблюдением лечащего врача.

Нередко различают костнопластический артродез, при котором в суставную полость внедряются трансплантаты в виде донорских или собственных тканей организма. Данный метод является дополнением к внутрисуставному артродезу.
Техника выполнения операции
Когда пациент решился на проведение оперативного вмешательства, ему необходимо пройти обследование на выявление отягощающих заболеваний и возможных противопоказаний. Обязательно необходимо сдать анализы крови, пройти ультразвуковое исследование кровеносных сосудов, посетить кардиолога и при необходимости сделать ЭКГ. Если вы принимаете препараты, разжижающие кровь - об этом необходимо сообщить в обязательном порядке. За несколько дней до операции проходит беседа с анестезиологом о выборе обезболивания - в стандартных случаях операция проводится под общим наркозом.
Техника проведения артродеза во многом зависит от сустава, который необходимо оперировать. Средняя продолжительность составляет от 2 до 5 часов.
Операция на тазобедренном суставе
При проведении артродеза тазобедренного сустава подходит любой вариант операции, но в силу анатомического строения оптимальным будет комбинированное исполнение.
- Больного укладывают на здоровый бок;
- Иссекаются мягкие ткани на боковой или передней поверхности. Для косметического эффекта и снижения послеоперационного отёка используют вертикальный или дугообразный разрез;
- Края раны разводятся в стороны специальным держателем;
- Из полости сустава удаляется хрящ, костные поверхности подготавливаются под трансплантат;
- Хирург скрепляет все составляющие специальными ортопедическими конструкциями и зашивает рану;
- На обе ноги накладываются гипсовые повязки - на оперированную конечность полностью до грудной клетки, на здоровую ногу - до уровня колена. В области таза гипсовые повязки плотно соединяются специальной планкой для установки оперированной конечности под нужным углом.

После проведения артродеза тазобедренного сустава в гипсе придётся проходить 6-12 месяцев. Спустя 3 месяца гипс снимают и делают контрольный рентген, затем накладывают снова.
Артродез колена
Артродез коленного сустава проводится преимущественно внутрисуставным способом:
- На передней поверхности колена осуществляется полукруглый разрез, который огибает коленную чашечку снизу;
- Отводят её в сторону, удаляют хрящи и внутрисуставные связки;
- Кости иссекаются так, что бы их поверхности заходили друг в друга, подобно мозаике;
- Надколенник устанавливается в своё анатомическое ложе;
- Мягкие ткани плотно сшиваются, накладывается гипс.
При артродезе коленного сустава голень оставляют слегка согнутой для удобства передвижения пациента после того, как сформируется хирургический анкилоз.
Операция на голеностопе
В данном случае применяются все виды оперативного лечения, но наиболее актуален внутрисуставной метод. Популярен артродез голеностопного сустава пластиной, при котором облегчается установка угла между большеберцовой костью и голенью.
- Разрез мягких тканей оптимален на передней или внутренней поверхности сустава;
- Получив доступ к хрящевым поверхностям - они удаляются вместе с поражёнными элементами костной ткани;
- Между костями располагаются трансплантаты, которые прочно фиксируются;
- Между голенью и стопой формируют угол 90°;
- Накладываются швы и гипсовая повязка.
В гипсе придётся проходить 6-9 месяцев в зависимости от рекомендаций врача, затем назначается курс лечебной гимнастики для частичной иммобилизации оперированной конечности. Артродез голеностопного сустава обеспечивает полную его неподвижность на всю жизнь.

Распространённые операции на стопе
Артродез подтаранного сустава - самый простой по технике выполнения. Используется внутрисуставной метод с применением аутотрансплантата. Во время операции через заднебоковые области вводится специальное вещество, которое образует вокруг сустава небольшую полость, удобную для операции. Затем делаются небольшие надрезы, удаляется хрящевая прослойка, куда помещается трансплантат.
Трехсуставной артродез стопы подразумевает внутрисуставное вмешательство, при котором соединяют таранно-пяточно-ладьевидный и пяточно-кубовидный суставы. Разрез делается на тыле стопы - от наружной лодыжки до середины предплюсны. Удаляются повреждённые ткани, суставные полости заполняются хрящевой здоровой тканью пациента. Накладываются швы.
При всех видах артродеза стопы накладывается гипс на 3-6 месяцев.
Осложнения от проведения артродеза
Данное хирургическое лечение не является сложной операцией, но может привести к некоторым осложнениям:
- Занесение инфекции в сустав;
- Развитие скрытых кровотечений;
- Появление тромбов и их отрывы от стенок сосудов;
- Во время операции могут повредиться нервы, что приведёт к потере чувствительности нижней конечности.
На заметку!
Если имеются хронические заболевания, пациент курит или злоупотребляет алкоголем - риск развития осложнений возрастает.
К менее значительным последствиям можно отнести нарушение походки, которая может привести к инвалидности. Решение об установки нетрудоспособности решается комиссией индивидуально.

Реабилитация
Первые сутки назначается постельный режим для предотвращения развития осложнений от обезболивания. Для купирования боли, которая развивается из-за операции - пациенту назначаются обезболивающие препараты. При необходимости назначаются антибиотики для предотвращения инфекционного заражения. В гипсе пациент находится 6-12 месяцев в зависимости от прогрессирования заживления костной ткани.
Первые 2 месяца реабилитации после операции - это хождение на костылях, поскольку необходимо щадить больную ногу.
Гипсовую повязку снимают спустя 3-4 месяца, делают контрольный рентген для оценки регенерации. Ногу повторно гипсуют еще на несколько месяцев. Если восстановление протекает нормально, после снятия гипса пациенту назначается физиотерапевтическое лечение:
- УВЧ;
- Магнитотерапия;
- Электрофорез;
- Лазеролечение.
Жизнь после артродеза требует больших усилий от пациента по адаптации к ходьбе и способности к самообслуживанию.
Отзывы пациентов
Отзывы больных, переживших операцию, помогут решиться другим пациентам на хирургическое вмешательство.
Я сделал артродез тазобедренного сустава. Хотел ставить искусственный протез, но врачи запретили - сказали, что он не приживётся. Первое время было трудно - ни сесть, не встать нормально. Сустав очень болел. Сейчас всё прошло, научился ходить по лестнице. Устроился на работу сторожем - жизнь налаживается.
Прохоров Григорий, 65 лет, Пермь.
В силу прогрессировавшего деформирующего артроза врач порекомендовал операцию - артродез правого коленного сустава. Сначала было страшно, но почитав отзывы пациентов - решилась. Что могу сказать - выбирайте грамотную клинику, если врач опытный, не так всё плохо, как пишут в интернете. Спустя 2 года я даже потихоньку начала работать на даче.
Нина Павловна, 58 лет, Екатеринбург.
Артродез - операция по обездвиживанию сустава в оптимальной позиции для осуществления повседневной деятельности. Несмотря на то, что после её проведения часто развивается инвалидность - для некоторых больных это единственный способ избежать деформации нижней конечности.
Задний доступ при малоинвазивном протезировании тазобедренного сустава
Заднебоковой доступ в настоящее время все шире применяется при малоинвазивном эндопротезировании тазобедренного сустава. Исторически так сложилось, что риск первичного вывиха при заднебоковом доступе случается чаще, чем при применении переднего или бокового доступа. Техника выполнения малоинвазивного метода с применением заднего доступа направлена на минимальное повреждение мышц и суставной сумки.
Сохранение мышц неповрежденными, или, по крайней мере, малоповрежденными, снижает риск вывиха протеза и ускоряет процесс реабилитации и восстановления двигательной функции конечности. Приводимое описание хода операции направлено на выявление трудностей, связанных с малым разрезом и сохранением мышц и связок. Особое внимание уделено четырем позициям, которые позволяют поочередно напрягать и расслаблять мягкие ткани и минимизировать вмешательство.
Техника операции
Размещение пациента. (Installation du patient)
Пациент находится в положении лежа на боку. Две передние и задние опоры обеспечивают фиксацию таза. Третья опора поддерживает третью часть голени. Такое положение позволяет использовать четыре положения ноги при операции:

Оборудование. (Instrumentation)
Достаточно использовать стандартный инструментарий. Он включает рамку Шарли, ретрактор Хохманна и фрезы, чтобы обеспечить прямой доступ к вертлужной впадине. Иногда необходимо применение специальных инструментов, чтобы облегчить доступ. Например, иногда вертужный ретрактор Хохманна может быть заменен изогнутым ретрактором (Precimed). Доступ к бедренной кости осуществляется бедренным элеватором.
Нанесение маркеров для выполнения разреза. (Graphique de l’incision)

Нанесение ориентиров упрощает выполнение разреза. Верхний бугор большого вертела хорошо пальпируется, когда пациент находится в положении лежа на боку на плоской поверхности. От этого места наносятся две точки: первая на расстоянии 1 см располагается за бугром большого вертела, вторая — на расстоянии 10 см от вершины по оси бедренной кости. По линии, связывающей эти две точки делается разрез: 2 см ниже и 7 см выше от бугра вертела.
Начало операции, разрез поверхности. (L’abord superficiel)

Голеностопный сустав помещается на опоре. Колено согнуто и повернуто вовнутрь. Поверхность кожи обрабатывают антисептиком и делают разрез. В разрезе видна большая ягодичная мышца. Таким образом открывают операционное поле. Большая ягодичная мышца рассекается атравматическим способом снизу вверх по направлению волокон. В нижней части разреза рассечение широкой фасции облегчает манипуляции. В рану вводится рамка Шарнли. Она будет держать края большой ягодичной мышцы в течении всей операции. Передний клапан рамки располагается по направлению большого вертела.
Рассечение глубоких мышц. (L’abord musculaire profond)

Под поверхностным слоем видны только средняя ягодичная мышца, которая расположена сверху, и квадратная мыщца, расположенная снизу. В середине операционного пространства находится слой жировой ткани, который покрывает мышцы тазобедренного сустава. Обзор сверху улучшается с помощью распорок Фарабефа. Сверху вниз вставляют ретракторы Хохмана в нижнюю часть суставной капсулы, отодвигают наружные запирательные мышцы и квадратную мышцу бедра. Между этими ретракторами рассекают жировую ткань и обнажают тазобедренные мышцы. Рассечение начинают снизу вдоль большого вертела без вскрытия суставной капсулы. Нижняя близнецовая мышца толстая и мясистая, ее волокна отводят назад. Затем находят сухожилие внутренней запирающей мышцы и отводят его назад. Рассекают верхнюю близнецовую мышцу.

Появляется мощное белое сухожилие грушевидной мышцы. Его поднимают над поверхностью суставной сумки с помощью ретрактора Фарабефа. Эта часть операции выполняется при отведенной ноге.
Рассечение суставной сумки. (La section capsulaire)

Суставную сумку открывают Т-образным разрезом. Разрез начинают с заднебокового края вертлужной впадины, рядом с грушевидной мышцей. Разрез проходит по оси шейки бедра от зада к переду холодным скальпелем вблизи от седалищного нерва. Далее разрез продолжают в направлении перпендикулярном большому вертелу. Края раздвигают проволочными ретракторами.
Сгибание бедра. (La luxation de hanche)

Бедро сгибают, отводят и поворачивают вовнутрь. Шейку бедра отсекают традиционным способом осциллярной пилой. Извлекают головку, раскачивая шейку с применением пинцета (щипцов) Фарабефа.
Экспозиция вертлужной впадины. (L’exposition du cotyle)

Три ретрактора располагаются вкруговую и открывают доступ к вертлужной впадине. Каждый раз меняется положение ноги, что облегчает расположение каждого ретрактора. Изогнутый ретрактор устанавливается вслепую, ощупью. Его конец проталкивают вглубь вертлужной впадины, чтобы захватить край переднего рога после перфорации капсулы на уровне кости.

Нога остается в отведенном положении.
Сухожилие грушевидной мышцы и рассеченные края капсулы поднимают наверх. Это самый деликатный момент операции. Положение, при котором нога отведена, позволяет ослабить напряжение сухожилий. После отведения края суставной сумки обнажается вертлужная губа. Расчищается пространство между суставной капсулой и вертлужной губой. Фиксация осуществляется с помощью гвоздя Стенмана, который закрепляют 1-2 см выше вертлужной впадины.
Нога расположена на упоре и повернута вовнутрь. Ретракторы Хохмана располагают ниже заднего рога после перфорации суставной сумки. Гвоздь Стенмана, который устанавливается вертикально на заднем крае вертлужной впадины, обеспечивает необходимую защиту седалищного нерва.
Подготовка вертлужной впадины. (La preparation du cotyle)

После рассечения вертлужной губы вертлужную впадину фрезеруют стандартным способом. Ввод осуществляют между передним и нижним ретрактором.
Установка вертлужной компоненты. (Mise en place du cotyle)

Закрепление вертлужной компоненты проводят тем же способом. Установленные проволочные ретракторы позволяют избежать интерпозиции.
Экспозиция бедренной кости (L’exposition femoral)

При таком типе доступа работа с бедренной костью не представляет больших трудностей. Бедро остается повернутым вовнутрь, голеностоп поднят наверх, отведение ноги облегчает извлечение/удаление шейки бедра. Три ретрактора обеспечивают доступ по оси бедренной кости.
Рамка Шарнли остается на месте. Элеватор располагают под шейкой бедра. При установке бедренной компоненты необходимо избегать контакта протеза с поверхностью кожи.
Уменьшение напряжения. (Reduction prothetique et contention posterieure)


Применение проволочных ретракторов снимает напряжение и позволяет избежать интерпозиции. Как только протез установлен, сухожилие грушевидной мышцы возвращают на место. Оно ложится наискосок по задней верхней части вертлужной компоненты протеза.
Два края капсулы соединяют пересечением проволочных ретракторов. Клапан открывает заднюю часть разреза. Накладывают узловые швы по вертикальной части Т-образного разреза капсулы. Горизонтальную часть оставляют свободной (не зашивают).
Закрытие операционного поля. (Fermeture musculo cutanee)

Зашивают большую ягодичную мышцу. Кожу зашивают узловым швом.
Первые публикации, посвященные эндопротезированию малоинвазивным доступом, вызвали довольно жаркие споры, аналогичные дискуссиям по поводу артроскопии в начале 80-х годов.
Противники метода отмечали, что вследствие малого разреза ухудшается визуальный контроль операции и повышаются риски осложнений, в частности, неправильное позиционирование протеза. Такие риски, действительно, существуют, и надо проявлять исключительную осторожность при использовании такого доступа.
Защитники метода отмечают, что при малоинвазивном методе восстановление двигательной функции происходит быстрее, хотя риски осложнений соизмеримы с теми, которые бывают при стандартном методе.
Существует большое количество публикаций, посвященных сравнительному исследованию стандартного и малоинвазивного доступов при протезировании суставов [Chimento et al (7), Ogonda et al (8), Nakamura et al (9)]. На данный момент нет объективных доказательств преимущества малоинвазивного доступа на основании таких показателей, как послеоперационные боли, потеря крови и скорость функционального восстановления.
Некоторая путаница создается при употреблении термина «малоинвазивный доступ». Иногда считается, что под малоинвазивным доступом подразумевается малый, по сравнению со стандартным методом, разрез, который используется как «мобильное окно» для проникновения в глубокие слои. Таким образом, в данной публикации мы сознательно ограничились возможным влиянием капсульных и мышечных элементов на вывих протеза.
По мнению вышеперечисленных авторов, восстановление суставной сумки является постулатом. Техника может быть различная: по мнению одних авторов нижнюю часть капсулы пришивают к верхней части [Goldstein et al (13), Swanson et al (15)] или к средней ягодичной мышце [Scott et al (10), Dixon et al (14)]. По мнению других авторов, необходимо полное зашивание капсулы и внешних ротаторов над большим вертелом [Mahoney et al (16)]. По отчетам всех исследователей вероятность вывиха составляла не более 1%.
Грушевидная мышца очень устойчива к механическим нагрузкам [Hitomi et al (18)]. Согласно биомеханическим исследованиям Snijders et al (18), на первом этапе операции при сгибании бедра на 90 и при последующем отведении ноги грушевидная мышца растягивается почти на четверть длины.
При разрезе сухожилия с последующим сшиванием контроль с применением радиомаркеров показывает, что швы расходятся в 90% случаев [Stahelin et al (20)]. Вероятность разрыва сухожилия уменьшается на 75% при прикреплении капсулы и сухожилия к вертелу [Stahelin et al (20)].
Минимальная травматизация грушевидной мышцы также играет существенную проприоцептивную роль при восстановлении ходьбы, и объясняет, в частности, возможность ходить с одной палкой и ходить вверх-вниз по лестнице четыре-пять дней спустя после операции.
Заключение
Для хирургов, которые привыкли к стандартному заднему доступу, использование малоинвазивного доступа предполагает ограниченный визуальный контроль через узкий разрез. Метод инсталляции и экспозиции компенсирует ограничения. Применение описанной в статье техники операции характеризуется максимальным сохранением мышечных элементов. Последовательное обучение позволит производить успешные замены сустава без риска возникновения осложнений. В случае возникновения трудностей на любом этапе процесс обучения может быть продлен.
К многочисленным преимуществам малоинвазивного метода относят снижение пост-оперативного болевого синдрома, уменьшение потерь крови и ускорение процесса реабилитации. Отметим также, что предлагаемый метод позволяет избежать осложнений в виде вывиха двойным путем: зашиванием суставной сумки и сохранением грушевидной мышцы.
Что такое артротомия коленного сустава: техники операции, осложнения и восстановление
Артротомия коленного сустава - тактика оперативного вмешательства, при которой суставная капсула рассекается с целью обнажения (вскрытия) полости сочленения. В некоторых источниках такую технику хирургии называют капсулотомией. Методика позволяет широко открыть сустав и произвести его тщательную санацию вместе с необходимыми лечебными манипуляциями. Манипуляции могут заключаться в эвакуации из колена патологической жидкости, дренировании, удалении инородных тел и свободных костно-хрящевых фрагментов, резекции нежизнеспособных тканей, введении медикаментов и пр.

Артротомию в хирургической практике сегодня используют в крайних случаях, так как она отличается высокой операционной агрессией. К тому же, современная ортопедия преимущественно базируется на малоинвазивных принципах восстановления функций самого крупного, сложного по строению сочленения человека. Со многими задачами успешно справляется щадящая лечебно-диагностическая процедура артроскопия, которая делается через маленькие проколы на колене. Однако для выполнения объемных вмешательств, как, к примеру, удаление сустава и установка протеза, малый артроскопический доступ не подойдет. Поэтому в некоторых ситуациях артротомии нет альтернативы.
Она может быть использована как самостоятельная процедура или выступать начальным этапом какой-нибудь сложной ортопедической операции.
При артротомии специалист старается максимально сохранить связочный сгибательно-разгибательный аппарат колена, насколько это возможно. Часто без пересечения связок не обойтись, но это делается очень экономно, чтобы сильно не нарушить стабилизацию коленного сустава.
Показания к операции
В подобном радикальном вмешательстве часто возникает необходимость при наличии:
- внутрисуставного нагноения при локальном туберкулезе, артрите;
- сильного воспаления с объемным скоплением жидкости;
- тяжелых посттравматических гемартрозов;
- суставной мыши (осколков хряща, кости, плотного фибринового сгустка);
- полного отрыва или раздробленности мениска;
- серьезных ранений с проникновением в сустав;
- врожденных пороков сочленения;
- костных вывихов, требующих внутреннего вправления;
- переломов костей, образующих сустав;
- аваскулярных остеонекрозов;
- различной этиологии прогрессирующих новообразований; и анкилозов запущенных форм (после артротомии выполняют артропластику или артролиз).

Вопрос о надобности проведения травматической операции решается индивидуально. Иногда, но только если клиническая картина позволяет, сначала пробуют лечить пораженный сегмент консервативно. Например, производят пункции при скопившейся жидкости, уколы нужных лекарств внутрь сустава асептического или метаболического действия и так далее. Неэффективность безоперационной терапии, невозможность выполнить артроскопию служат поводом для назначения артротомии коленного сустава.
Противопоказания
К абсолютным противопоказаниям, запрещающим задействовать соответствующую технологию, относятся:
- выраженный тромбофлебит нижних конечностей;
- серьезные проблемы со свертываемостью крови;
- хронические патологии в острой фазе;
- активные инфекции в любых других зонах организма (носоглотка, мочевой пузырь и др.);
- серьезные нарушения со стороны сердечной и легочной систем.
Виды вмешательства
Виды оперативного вмешательства различаются по технике выполнения разрезов. В ортопедии колена артротомия основывается на 3 традиционных доступах:
- передний внутренний/наружный парапателлярный (по Олье, Лангенбеку);
- поперечный (по Текстору);
- заднебоковой (по Войно-Ясенецкому);
Существует еще один принцип создания доступа, в котором совмещены достоинства типичных методик. Это - паракондилярная артротомия (по Корневу), позволяющая с обеих сторон широко обнажать свод верхнего заворота, полость сустава по всей линии суставной щели и две заднебоковые камеры. Разрез по Корневу открывает доступ до всех потенциально опасных зон, где часто при патологических процессах концентрируется и задерживается гной, выпот, кровь. Безусловно, какую рациональнее всего применить технику, врач определит лишь на основании достоверных результатов диагностики о точной локализации патологического очага.
Подготовка к операции
Операция требует обезболивания, поэтому основной вид наркоза - общий. Если по состоянию здоровья общий наркоз противопоказан, рассматривается вопрос о проведении манипуляций под регионарной спинномозговой или эпидуральной анестезией. После предоперационного осмотра ортопеда и консультации анестезиолога пациент направляется на прохождение таких обязательных лабораторных анализов, как:
- биохимическое исследование крови;
- клиническое обследование мочи;
- анализ на сифилис (RW);
- тест на гепатит;
- анализ на ВИЧ и СПИД;
- коагулограмма.
Плановой процедуре всегда предшествует своеобразная подготовка операционного поля и всей ноги в течение 5 суток, которая подразумевает:
- многократное мытье конечности мылом;
- обмывание разбавленным нашатырным спиртом;
- местное наложение асептического повязочного материала на ночь.
При внутрисуставных гнойных затеках артротомию должны осуществлять на фоне уже начатого курса антибиотикотерапии. Его рекомендует исключительно специалист с учетом выполненной пробы на сопротивляемость патогенной среды к антибактериальному составу.
За несколько дней больной обходит некоторых узкопрофильных специалистов (терапевта, кардиолога, фтизиатра и пр.). Обязательно прохождение врачей, специализирующихся на сопутствующих хронических заболеваниях: эндокринолога посещают диабетики, нефролога люди с болезнями почек и т. д.
Прием пищи и воды отменяется за 12 часов до начала операции. Непосредственно перед артротомией будет поставлена очистительная клизма.
Методика проведения артротомии колена
Как мы уже сказали, артротомия ориентируется на нескольких тактиках обнажения сочленения. Поэтому попробуем изложить вкратце суть каждой методики.
- Передняя парапателлярная капсулотомия. Начало кожного разреза - над коленной чашечкой, примерно на расстоянии 8 см от нее, в месте соединения наружной мышцы бедра и сухожилия квадрицепса. С этой точки кожу рассекают вниз, следуя скальпелем по внешней линии надколенника. Заканчивается разрез на 20 мм ниже большеберцовой бугристости. После того, как хирург рассечет гиподерму и фасции по заданной траектории, производится вскрытие фиброзного слоя и синовиальной капсулы. Далее осуществляются необходимые манипуляции. Такая техника нечасто используются, поскольку сопряжена высокими рисками травмирования общего малоберцового нерва.
- Поперечный способ по Текстору. Осуществляется более широкий разрез в виде подковы, охватывающий обе стороны сустава. В ходе его реализации пересекают собственную связку коленной чашечки и рассекают связки по боковым поверхностям сочленения. Из положения полусогнутого колена на 6 см выше надколенника выполняется двухсторонний разрез. Его ведут вниз по концевым структурам сухожилия прямой бедренной мышцы и сбоку от коленной чашечки. Достигнув нижнего полюса надколенника, разрез продолжают по округлому выступу мыщелка до места прикрепления коллатеральных связок. U-образным разрезом рассекаются кожные покровы и фиброзная суставная оболочка до синовиальной мембраны. Синовиальная мембрана подвергается рассечению парапателлярно, после чего верхний заворот вскрывается. Ретрокондилярно (вниз и кзади) рассекается капсула в совокупности с задними заворотами. Дальше приступают к основным лечебным действиям, обычно они предполагают масштабную резекцию сустава.
- Заднебоковая артротомия. Используется чаще при гнойных поражениях (гонитах, эпиемах) сустава. Костно-хрящевое соединение вскрывается при помощи 4-х разрезов. Сначала делаются два передних парапателлярных разреза, параллельно с двух сторон надколенника. Затем совершают вскрытие задних заворотов двумя продольно-боковыми разрезами. В заднемедиальный заворот проникают между мыщелком бедра и внутренней головкой икроножной мышцы, в заднелатеральный - через разрез над сухожилием бицепса бедра. Соблюдая строго схему процесса оперирования, специалист производит откачивание гноя, введение и установку дренажных систем.
Оперативные вмешательства завершают тщательным гемостазом. Рассеченные участки синовиальной оболочки, мягких структур послойно ушиваются кетгутовыми нитями. Кожные края сшиваются шовным материалом из шелка. В конце ногу в правильной позиции иммобилизируют гипсовой повязкой. В наложенном гипсе прорезается «окно», через него будет происходить обработка и перевязка операционной раны.
Возможные сложности и проблемы
Все виды артротомий коленных суставов, как любые глубокие вторжения в анатомические отделы организма, могут вызвать осложнения. Хоть и не так часто, но последствия возникают у некоторых пациентов, к ним относят:
- развитие инфекционных процессов в раневой зоне;
- травмирование инструментами нервно-сосудистых образований;
- формирование тромба в венах конечности (флеботромбоз);
- отрыв и миграция тромбозного сгустка с закупоркой легочной артерии;
- синдром рефлекторной дистрофии (болевая реакция на обширную инвазию);
- воспаление синовиальной оболочки со скоплением выпота;
- кровоизлияние в коленный сустав;
- аллергия на примененный наркоз.

Основы реабилитации
Реабилитация после коленной артротомии - достаточно долгий процесс, так как операция относится к вмешательству средней сложности. На полное восстановление уходит от 2 техникамесяцев до полугода. На ранних этапах каждый пациент получает интенсивное лечение антибиотиками против инфицирования раны, сильными противовоспалительными средствами от боли и отеков. Назначается терапия сосудистыми препаратами для профилактики тромбозов.

На сроки иммобилизации конечности влияет тип заболевания, при котором потребовалось подобное вмешательство. Наиболее продолжительный срок отмечается, если процедуру задействовали в целях устранения гноеродной микрофлоры в колене. Самой короткой иммобилизация конечности будет после резекции мениска, ликвидации контрактуры, вывиха и прочих патологий, не сопряженных гнойными явлениями.
Чтобы восстановить функции прооперированной области и предотвратить мышечную атрофию как можно раньше включаются занятия ЛФК. Поначалу тренировки базируются на примитивных пассивных упражнениях (сокращение мышц ягодиц, бедер, вращение стопами и т. д.), которые выполняют в постели. По мере восстановления переходят к более активной разработке ноги с упражнениями на сгибание-разгибание колена. Постепенно к лечебной физкультуре добавляют механотерапию, физиотерапию (магнитотерапия, ультразвук и пр.), лечебно-минеральные ванны, парафино-озокеритовые аппликации, массаж.
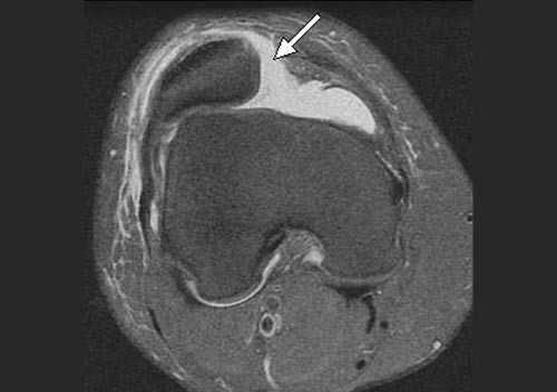
Техника заднелатерального доступа к коленному суставу по Henderson
1 Федеральное государственное бюджетное учреждение «Национальный медицинский исследовательский центр травматологии и ортопедии им. Р.Р. Вредена»
В статье описана методика одномоментной пластики задней крестообразной связки и сухожилия подколенной мышцы у пациентов с хронической заднелатеральной ротационной нестабильностью коленного сустава. Все этапы предложенной методики выполняются артроскопически, а сама методика является минимально травматичной. Разработанная техника основана на анатомических и экспериментальных исследованиях. По описанному методу прооперированы 10 пациентов в возрасте от 25 до 38 лет. Результаты оперативного лечения оценивались при помощи опросников Lisholm-Guillqist, IKDC 2000 и шкалы боли VAS. До операции балльная оценка по IKDC 2000 - 38,6±15,1 балла, по шкале Lisholm-Gillqist - 40,9±11,7 балла. Болевой синдром по шкале VAS - от 2 до 6 баллов, в среднем 2,8±0,5 балла. Через 12 месяцев после оперативного лечения результаты субъективной оценки функции сустава пациентами статистически значимо улучшились (р
Латеральная нестабильность (привычный вывих) надколенника: причины, типы вмешательств и реабилитация
Боль в коленях- один из самых распространенных поводов, с которым пациенты обращаются к травматологу. Чаще всего источником недуга является травмирование коленной чашечки. Но иногда причина дискомфорта может крыться в феморопателлярном отделе - месте скольжения надколенника по межмыщелковой борозде бедренной кости.
В норме движения надколенника при сгибании/разгибании в коленном суставе контролируют несколько анатомических структур:
- Соотношения между межмыщелковой вырезкой и наколенником не позволяют последнему смещаться в наружновнутреннем направлении.
- Поддерживающие связки (ретинакулюмы) надколенника совместно с собственной связкой надколенника и сухожилием четырехглавой мышцы бедра создают его центрацию во всех четырех направлениях.
Если анатомия феморопателлярного отдела не изменена, то коленный сустав работает нормально. Однако если в этом отделе имеется какая-либо врожденная аномалия, то вероятность развития латеральной нестабильности надколенника резко возрастает.
Привычный (рецидивирующий) вывих надколенника - это неестественное состояние, характеризующееся рецедивирующими латеральными (наружными) подвывихами и вывихами надколенника.
Латеральный вывих надколенника характеризуется разрывом медиального ретинакулюма (медиальной пателло-феморальной связки) коленного сустава. Повторный вывих у пациента — главный признак не выполнения медиальной пателло-феморальной связкой своих функций из-за перерастяжения после первичной травмы.
Вывих надколенника, как первичный, так и повторный, ведет к значимому повреждению хрящевого покрова. Как результат — появляется стойкий болевой синдром и снижение физической активности пациента.

Как образуется латеральная нестабильность надколенника?
Часто предпосылкой к формированию латеральной нестабильности надколенника становится дисплазия феморопателлярного отдела — врожденного состояния, характеризующегося нарушениями соотношений между надколенником и недостаточно выраженной межмыщелковой бороздой бедренной кости (см. рис.).

Наличие дисплазии различной степени выраженности ведет к тому, что движения надколенника при сгибании и разгибании в коленном суставе происходят с тенденцией к его латеральному смещению. При дополнительном травматическом воздействии это приводит к возникновению полноценного вывиха.

Однако дисплазия не всегда вызывает смещение надколенника (рецидивирующего вывиха надколенника).
Современные подходы к диагностике и лечению рецидивирующего вывиха надколенника
Однократно возникший вывих надколенника не является показанием к операции. Как правило, он успешно устраняется с помощью консервативного лечения, которое проводится в три этапа:
- Иммобилизация и ходьба на костылях 4 недели.
- Лечебная физкультура (ЛФК) с инструктором, физиотерапевтическое лечение (ФТЛ) после устранения иммобилизации.
- Ношение ортеза с латеральной стабилизацией надколенника.
В большинстве случаев врач-травматолог легко диагностирует привычный вывих надколенника. Для этого проводится серия нагрузочных тестов, во время которых пациент демонстрирует страх получения повторного вывиха. Окончательный диагноз ставится после проведения магнитно-резонансной томографии (МРТ) коленного сустава. Как правило, исследование обнаруживает признаки повреждения медиальной пателло-феморальной связки, состояние подвывиха надколенника и признаки травматических повреждений хрящевого покрова.

Как уже упоминалось ранее, однократный травматический вывих надколенника не является показанием к операции — достаточно консервативного лечения. При возникновении повторных вывихов/подвывихов надколенника пациенту показано оперативное лечение — хирургическая стабилизация надколенника.
Современная медицина предлагает несколько способов проведения оперативных вмешательств при привычном вывихе надколенника. Оптимальная методика — артроскопическая реконструкция (пластика) медиальной пателлофеморальной связки (МПФС). С помощью данного метода операция при вывихе надколенника позволяет восстановить утраченную анатомическую структуру, стабилизирующую надколенник (МПФС), и одновременно зашлифовать и резецировать участки поврежденного хряща без больших кожных разрезов.
Как проводится артроскопическая реконструкция?
Сначала под контролем эновидеокамеры совершаются два прокола. Они позволяют провести визуальный осмотр всех отделов сустава, при необходимости хирургически обработать поврежденные участки хряща. Затем, через два новых прокола, проводится и фиксируется сухожильный трансплантат, заменяющий утраченную поддерживающую связку надколенника. Натяжение связки регулируется под контролем видеокамеры так, чтобы вывести надколенник из положения подвывиха, но оставить физиологически достаточную свободу его смещения.
Вне зависимости от выбора фиксирующих трансплантат фиксаторов (титановых, пластиковых, биорезорбируемых) в послеоперационном периоде требуется разгрузка сустава для создания условий биологической фиксации и перестройки трансплантата. Эти процессы, по данным МРТ исследований, занимают от 6 до 12 месяцев.
Читайте также:
