Тонкая кишка в норме - анатомия, гистология, физиология, эндоскопическая картина
Добавил пользователь Евгений Кузнецов Обновлено: 28.01.2026
Голотопия: мезогастральная и гипогастральная области.
Покрытие брюшиной: со всех сторон. Между листками брюшины по мезентериальному краю выделяют так называемое внебрюшинное поле(area nuda), вдоль которого в стенку кишки вступают прямые артерии, а из нее выходят прямые вены и экс- траорганные лимфатические сосуды.
Скелетотопия: корень брыжейки тонкой кишкиначинает- ся отL2 позвонка и опускается слева направо до крестцово- подвздошного сустава, пересекая горизонтальную часть двена- дцатиперстной кишки, аорту, нижнюю полую вену, правыймо- четочник.
Синтопия: спереди- большой сальник, справа- восходя- щая ободочная кишка, слева- нисходящая и сигмовидная обо- дочные кишки, сзади- париетальная брюшина, снизу- мочевой пузырь, прямая кишка, матка и ее придатки.
Приблизительно в1,5-2 % случаев на расстоянии1 мот места впадения подвздошной кишки в толстую на противопо- ложном от брыжейки крае находят отросток- дивертикул Мек- келя (остаток эмбрионального желточного протока), который может воспаляться и требовать оперативного вмешательства.
Кровоснабжение осуществляется за счет верхней брыже- ечной артерии, от которой последовательно отходят10-16 то- щекишечных иподвздошно-кишечных артерий, располагаю- щихся в брыжейке тонкой кишки.
Особенности кровоснабжения:
аркадный тип - ветви артерий дихотомически делятся и образуют артериальные дуги (до 5 порядков);
сегментарный тип - т.е. функционально недостаточные внутриорганные анастомозы между прямыми ветвями (от- ходят от краевого сосуда, образованного дистально распо- ложенными артериальными дугами), вступающими в стен- ку тонкой кишки;
на 2 интестинальные артерии приходится 1 вена.
Из стенки кишки выходят прямые вены, которые форми- руют тощекишечные и подвздошно-кишечные вены, образую- щие верхнююбрыжеечную вену. В корне брыжейки она распо- лагается правее одноименной артерии и направляется за голов- ку поджелудочной железы, где участвует в образовании ворот- ной вены.
Лимфоотток осуществляется в лимфоузлы, расположен- ные в брыжейке в3-4 ряда. Центральными регионарными лим- фоузлами для брыжеечной части тонкой кишки являютсяузлы, лежащие вдоль верхних брыжеечных сосудовпозади головки поджелудочной железы. Выносящие лимфатическиесосуды формируют кишечные стволы, которые впадают в грудной про- ток.
Иннервация тонкой кишки обеспечивается нервными проводниками, отходящими от верхнего брыжеечного сплете- ния.
Топографическая анатомия толстой кишки
Внешние особенности строения толстой кишки, позво- ляющие отличить ее во время операции от тонкой:
продольный мышечный слой в виде трех продольных лент, которые начинаются у основания червеобразного отростка и тянутся до начала прямой кишки;
гаустры - образуются вследствие того, что мышечные ленты короче длины толстой кишки;
сальниковые отростки - слабо выражены или совсем от- сутствуют на слепой кишке, вдоль поперечной ободочной кишки они располагаются только в один ряд, а наиболее выражены на сигмовидной кишке;
цвет - имеет серо-голубоватый оттенок (для тонкой кишки характерен розовый цвет);
больший диаметр. Отделы толстой кишки: Слепая кишка
Голотопия: правая подвздошная ямка.
Отношение к брюшине: покрыта брюшиной со всех сторон, однако бывает мезоперитонеальноеположение органа.
Синтопия: спереди- переднебоковая стенка живота, спра- ва- правый боковой канал, слева- петли подвздошнойкишки, сзади- правыймочеточник, подвздошно-поясничная мышца.
Илеоцекальный отдел - представляет собой место перехода тонкой кишки в толстую, включает слепую кишку с червеобраз- ным отростком и илеоцекальное соединение с баугиниевой за- слонкой. Он обеспечивает изоляцию тонкой и толстой кишок.
Анатомия желудочно-кишечного тракта
Пища вначале попадает в ротовую полость, где в процессе пережевывания она не только измельчается, но и перемешивается со слюной, превращается в пищевой комок. Это перемешивание в ротовой полости осуществляется при помощи языка и мышц щек.

Пищеварительная система человека




Анатомия кишечника
Тощая кишка - средний отдел тонкой кишки. Название «тощая» происходит от того, что при при препарировании трупа анатомы находили её пустой. Тощая кишка составляет примерно две пятых всей длины тонкой кишки. Петли тощей кишки располагаются в левой верхней части брюшной полости. Длина тощей кишки у взрослого человека достигает 0,9 — 1,8 м. У женщин короче, чем у мужчин. У живого человека кишка находится в тонически напряжённом состоянии. После смерти она растягивается и её длина может достигать 2,4 м.
Подвздошная кишка — нижний отдел тонкой кишки, отделяемой от слепой кишки илеоцекальным клапаном. Подвздошная кишка располагается в правой нижней части брюшной полости в области правой подвздошной ямки. Подвздошная кишка со всех сторон покрыта брюшиной. Какой-либо чётко выраженной анатомической структуры, разделяющей подвздошную и тощую кишки нет. Однако имеются различия между этими двумя отделами тонкой кишки: подвздошная имеет больший диаметр, стенка её толще, она богаче снабжена сосудами. Петли тощей кишки лежат главным образом влево от срединной линии, петли подвздошной кишки — главным образом справа от срединной линии.
Толстая кишка - это нижняя часть пищеварительного тракта, а именно нижняя часть кишечника, в которой происходит в основном всасывание воды и формирование из пищевой кашицы (химуса) оформленного кала.
Толстая кишка имеет длину 1,5 м, в свою очередь разделяется на слепую кишку, ободочную кишку и прямую кишку. В толстой кишке в основном усваивается вода, электролиты и клетчатка.
Слепая кишка - является начальным отделом толстой кишки и представляет собой слепой мешкообразный участок длиной от 3 до 8 см. Как правило, она полностью покрывается брюшиной. Свое название она получила вследствие своеобразного строения, напоминающего слепой мешок, в который с левой стороны впадает тонкая кишка. Сзади места соединения тонкой кишки со слепой отходит узкий, полый, слепо оканчивающийся червеобразный отросток - аппендикс, который представляет собой придаток слепой кишки. Он направлен большей частью к малому тазу и несколько изогнут. Однако расположение отростка может быть самым разнообразным.
Кишечник: анатомия и физиология

Кишечник — часть пищеварительного канала, начинающаяся от привратника желудка и заканчивающаяся заднепроходным отверстием. В кишечнике происходит переваривание и всасывание пищи, удаление образующихся шлаков, синтезируются некоторые гормоны, он также играет важную роль в иммунных процессах.
Анатомия и гистология
Кишечник разделяется на тонкую и толстую кишку.
Длина тонкой кишки колеблется в пределах 160—430 см; у женщин она короче, чем у мужчин. Диаметр тонкой кишки в проксимальной ее части в среднем равен 50 мм, в дистальной части кишки он уменьшается до 30 мм. Тонкая кишка делится на двенадцатиперстную, тощую и подвздошную кишку. Тощая и подвздошная кишки подвижны, лежат внутрибрюшинно и имеют брыжейку, представляющую собой дупликатуру брюшины. Между листками брыжейки находятся нервы, кровеносные и лимфатические сосуды, лимфатические узлы и жировая клетчатка.
Толстая кишка имеет длину, равную в среднем 1,5 мм, диаметр ее в начальном отделе составляет 7—14 см, в каудальном — 4—6 см. Она разделяется на 6 частей: слепую кишку, восходящую ободочную, поперечную ободочную, нисходящую ободочную, сигмовидную и прямую кишку. От слепой кишки отходит червеобразный отросток (аппендикс). Переход восходящей ободочной кишки в поперечную ободочную получил название правого, или печеночного, изгиба ободочной кишки, переход поперечной ободочной в нисходящую — левого, или селезеночного, изгиба ободочной кишки.
Кишечник снабжается кровью из верхней и нижней брыжеечных артерий. Отток крови происходит по верхней и нижней брыжеечным венам, являющимся притоками воротной вены. Чувствительная иннервация кишечника осуществляется чувствительными волокнами спинномозговых и блуждающего нервов, двигательная — симпатическими и парасимпатическими нервами.
Стенки тонкой и толстой кишки состоят из слизистой оболочки, подслизистой основы, мышечной и серозной оболочек. В слизистой оболочке кишечника различают эпителий, собственную пластинку и мышечную пластинку. Слизистая оболочка тонкой кишки образует ворсинки — выросты, выступающие в просвет кишечника. На 1 мм2 поверхности приходится 20—40 кишечных ворсинок; в тощей кишке их больше и они длиннее, чем в подвздошной. Кишечные ворсинки покрыты каемчатыми эпителиоцитами, выросты их плазматической мембраны формируют множество микроворсинок, благодаря чему резко увеличивается всасывающая поверхность тонкой кишки. В собственной пластинке слизистой оболочки имеются трубчатые углубления — крипты, эпителий которых состоит, в частности, из клеток, продуцирующих различные ингредиенты кишечного сока, в т.ч. слизь, а также гормоны и другие биологически активные вещества.
Слизистая оболочка толстой кишки лишена ворсинок, но в ней имеется большое количество крипт. В собственной пластинке слизистой оболочки кишечника находятся скопления лимфоидной ткани в виде одиночных и групповых лимфатических фолликулов.
Мышечная оболочка кишечника представлена продольными и круговыми гладкомышечными волокнами.
Физиология
Процесс пищеварения в кишечнике начинается в полости тонкой кишки (полостное пищеварение). Здесь при участии ферментов поджелудочной железы осуществляется расщепление сложных полимеров (белков, жиров, углеводов, нуклеиновых кислот) до полипептидов и дисахаридов. Дальнейшее расщепление образовавшихся соединений до моносахаридов, аминокислот, жирных кислот и моноглицеридов происходит на стенке тонкой кишки, в частности на мембранах кишечного эпителия (мембранное пищеварение), при этом важная роль принадлежит собственно кишечным ферментам.
Большинство веществ всасывается в двенадцатиперстной кишке и проксимальном отделе тощей; витамин В12 и желчные кислоты — в подвздошной кишке. Важнейшими механизмами всасывания в кишечнике являются активный транспорт, осуществляемый против концентрационного градиента с использованием энергии, освобождающейся при расщеплении фосфорных соединений, и диффузия. Различные виды сокращений кишечника (ритмическая сегментация, маятникообразные, перистальтические и антиперистальтические сокращения) способствуют перемешиванию и растиранию кишечного содержимого, а также обеспечивают его продвижение.
В толстой кишке происходят всасывание воды, формирование плотного содержимого и эвакуация его из организма. Кишечник принимает непосредственное участие в обмене веществ. Здесь происходит не только переваривание и всасывание пищевых веществ с последующим поступлением их в кровь, но и выделение ряда веществ из крови в просвет кишечника с дальнейшей их реабсорбцией. Одной из наиболее важных является эндокринная функция кишечника. Клетками кишечника синтезируются пептидные гормоны (секретин, панкреозимин, кишечный глюкагон, гастроингибирующий полипептид, вазоактивный интестинальный пептид, мотилин, нейротензин и др.), обеспечивающие регуляцию деятельности пищеварительной системы и других систем организма. Наибольшее количество таких клеток сосредоточено в двенадцатиперстной кишке.
Кишечник принимает активное участие в иммунных процессах. Наряду с костным мозгом, селезенкой, лимфатическими узлами, слизистой оболочкой бронхов он является источником иммуноглобулинов; в кишечнике обнаружены также различные субпопуляции Т-лимфоцитов, с помощью которых реализуется клеточный иммунитет. Многие функции кишечника (защитные, синтез витаминов и др.) тесно связаны с состоянием кишечной микрофлоры.
Тонкая кишка в норме - анатомия, гистология, физиология, эндоскопическая картина
Кишечник (intestina) — часть пищеварительного канала, начинающаяся от привратника желудка и заканчивающаяся заднепроходным отверстием. В кишечнике происходит переваривание и всасывание пищи, удаление образующихся шлаков, синтезируются некоторые интестинальные гормоны, он также играет важную роль в иммунных процессах.
Анатомия и гистология
Длина тонкой кишки колеблется в пределах 160—430 см; у женщин она короче, чем у мужчин. Диаметр тонкой кишки в проксимальной ее части в среднем равен 50 мм, в дистальной части кишки он уменьшается до 30 мм. Тонкая кишка делится на двенадцатиперстную, тощую и подвздошную кишку. Тощая и подвздошная кишки подвижны, лежат внутрибрюшинно (интраперитонеально) и имеют брыжейку, представляющую собой дупликатуру брюшины. Между листками брыжейки находятся нервы, кровеносные и лимфатические сосуды, лимфатические узлы и жировая клетчатка.
Толстая кишка имеет длину, равную в среднем 1,5 мм, диаметр ее в начальном отделе составляет 7—14 см, в каудальном — 4—6 см. Она разделяется на 6 частей: слепую кишку, восходящую ободочную, поперечную ободочную, нисходящую ободочную, сигмовидную и прямую кишку. От слепой кишки отходит червеобразный отросток (аппендикс), представляющий собой рудиментарный орган, который, по мнению ряда авторов, имеет как лимфоидный орган важное функциональное значение. Переход восходящей ободочной кишки в поперечную ободочную получил название правого, или печеночного, изгиба ободочной кишки, переход поперечной ободочной в нисходящую — левого, или селезеночного, изгиба ободочной кишки.
Стенки тонкой и толстой кишки состоят из слизистой оболочки, подслизистой основы, мышечной и серозной оболочек. В слизистой оболочке кишечника различают эпителий, собственную пластинку и мышечную пластинку. Слизистая оболочка тонкой кишки образует ворсинки — выросты, выступающие в просвет кишечника. На 1 мм2 поверхности приходится 20—40 кишечных ворсинок; в тощей кишке их больше и они длиннее, чем в подвздошной. Кишечные ворсинки покрыты каемчатыми эпителиоцитами, выросты их плазматической мембраны формируют множество микроворсинок, благодаря чему резко увеличивается всасывающая поверхность тонкой кишки. В собственной пластинке слизистой оболочки имеются трубчатые углубления — крипты, эпителий которых состоит из аргентаффиноцитов, бескаемчатых энтероцитов, бокаловидных и панетовских клеток, продуцирующих различные ингредиенты кишечного сока, в т.ч. слизь, а также интестинальные гормоны и другие биологически активные вещества.
Слизистая оболочка толстой кишки лишена ворсинок, но в ней имеется большое количество крипт. В собственной пластинке слизистой оболочки кишечника находятся скопления лимфоидной ткани в виде одиночных и групповых лимфатических (пейеровы бляшки) фолликулов.
Мышечная оболочка кишечника представлена продольными и круговыми гладкомышечными волокнами.
Физиология
Процесс пищеварения в кишечнике начинается в полости тонкой кишки (полостное пищеварение). Здесь при участии ферментов поджелудочной железы осуществляется гидролиз сложных полимеров (белков, жиров, углеводов, нуклеиновых кислот) до полипептидов и дисахаридов. Дальнейшее расщепление образовавшихся соединений до моносахаридов, аминокислот, жирных кислот и моноглицеридов происходит на стенке тонкой кишки, в частности на мембранах кишечного эпителия (мембранное пищеварение), при этом важная роль принадлежит собственно кишечным ферментам.
В толстой кишке происходят всасывание воды, формирование плотного содержимого и эвакуация его из организма. Кишечник принимает непосредственное участие в обмене веществ. Здесь происходит не только переваривание и всасывание пищевых веществ с последующим поступлением их в кровь, но и выделение ряда веществ из крови в просвет кишечника с дальнейшей их реабсорбцией.Одной из наиболее важных является эндокринная функция кишечника. Клетками кишечника синтезируются пептидные гормоны (секретин, панкреозимин, кишечный глюкагон, гастроингибирующий полипептид, вазоактивный интестинальный пептид, мотилин, нейротензин и др.), обеспечивающие регуляцию деятельности пищеварительной системы и других систем организма. Наибольшее количество таких клеток сосредоточено в двенадцатиперстной кишке.
Кишечник принимает активное участие в иммунных процессах. Наряду с костным мозгом, селезенкой, лимфатическими узлами, слизистой оболочкой бронхов он является источником иммуноглобулинов; в кишечнике обнаружены также различные субпопуляции Т-лимфоцитов, с помощью которых реализуется клеточный иммунитет.Многие функции кишечника (защитные, синтез витаминов и др.) тесно связаны с состоянием кишечной микрофлоры, в норме представленной преимущественно анаэробами.
Болезнь Крона — хроническое прогрессирующее воспалительное заболевание, характеризующееся трансмуральным гранулематозным воспалением различных отделов ЖКТ (любого его отдела), сочетающееся со многими внекишечными проявлениями [1]. Распространенность и заболеваемость составляют 10—15 и 5—10 случаев на 100 000 населения соответственно [2].
Болезнь Крона встречается примерно одинаково часто среди мужчин и женщин [1]. Период манифестации заболевания чаще приходится на возраст 15—35 лет [3]. Наибольшее распространение болезни наблюдается преимущественно в развитых странах и представляет актуальную проблему [4].
Своевременная диагностика болезни Крона очень сложна, иногда правильный диагноз устанавливается спустя 3—5 лет от начала заболевания [5]. Стенозирующее течение болезни Крона встречается у 28,8% больных [6]. По результатам исследований Е.В. Ивановой и соавт. (2011), стриктуры были выявлены в 53,3% случаев.
Как известно, чаще всего при болезни Крона вовлекается илеоцекальный переход [7]. Дифференциальная диагностика включает заболевания, для которых характерны язвенные поражения тонкой кишки: туберкулез, иерсиниоз, сальмонеллез, шигеллез, кампилобактериоз, а также энтеропатию, вызванную лекарственными препаратами, лучевую энтеропатию, новообразования. Подобное разнообразие клинических вариантов не позволяет с легкостью поставить диагноз, лишь на основе эндоскопической картины.
Сложна дифференциальная диагностика между болезнью Крона и туберкулезом, так как между ними имеется патогенетическое сходство — подобный механизм формирования гранулем [7]. В обоих случаях чаще болеют молодые люди, наиболее часто вовлекается илеоцекальный переход [7], воспаление носит трансмуральный гранулематозный характер, но при туберкулезе гранулемы могут иметь казеоз, а при болезни Крона казеоз отсутствует. Наблюдаются похожие проявления: абдоминальные боли, диарея, потеря веса, отсутствие аппетита, формирование инфильтратов в брюшной полости, непроходимость, перфорации [2].

О сложности диагностики свидетельствует тот факт, что до сих пор не существует единственного диагностического метода, единого «золотого стандарта» диагностики болезни Крона. На Международной конференции по капсульной эндоскопии (ICCE, 2006/2007) [8] приняты критерии, по совокупности которых можно заподозрить болезнь Крона (см. таблицу). Основные критерии, позволяющие заподозрить болезнь Крона
Диагноз болезни Крона можно заподозрить при наличии у пациента хотя бы одного признака из раздела, А (клинические проявления заболевания) и одного признака из любого другого раздела (внекишечные проявления заболевания).
Согласно рекомендациям Российской группы по изучению воспалительных заболеваний кишечника (2009 г.) [9], диагноз болезни Крона должен быть подтвержден эндоскопическим и морфологическим и/или рентгенологическим методом [1].
Такой специфический признак, как неказеозные гранулемы, выявляется очень редко [10]. По литературным данным [3, 11], гранулемы находят приблизительно в 10—20% случаев биопсий, по некоторым источникам — несколько чаще (36%) [1].
Таким образом, болезнь Крона остается актуальной проблемой в силу своей относительной редкости, наличия тяжелых осложнений и объективной трудности в диагностике.
Приводим клинический случай.
Цель — обратить внимание на сложность диагностики и необходимость комплекса исследований для выявления болезни Крона.
Материал и методы
Исследование проводилось на материале больной Ч., 34 года, которая обратилась в консультативную поликлинику ГБУЗ ООКБ к врачу-гастроэнтерологу с жалобами на периодические схваткообразные боли в правой половине живота, периодическую задержку стула и газов, ухудшение аппетита и снижение веса примерно на 5—7 кг в течение последних трех месяцев. Примесей слизи и крови в кале не было. Каких-либо заболеваний ранее больная не отмечала, медикаментов не принимала, пищевой и лекарственной аллергии не имела. Туберкулез отрицает.
При обследовании использовались методы: клинические, рентгенологические (КТ, ирригография, обзорная рентгенография брюшной полости, пассаж бария по кишечнику), эндоскопический — колоноскопия.
Результаты
В лабораторных анализах выявлена СОЭ до 25, лейкоцитоз до 10 тыс. Кожные покровы чистые, бледные, регионарные лимфоузлы не увеличены, язык влажный, обложенный белым налетом. Температура тела нормальная. При пальпации живота в правой подвздошной области определялось болезненное опухолевидное образование до 8—10 см в диаметре. Симптомов «плеска» и «падающей капли», а также симптомов раздражения брюшины не было. На обзорной рентгенограмме грудной клетки патологии не выявлено. Микроскопия кала без особенностей.

Колоноскопия. При осмотре перианальной области изменений не отмечено. Геморроидальные узлы не увеличены. При пальцевом исследовании прямой кишки болей и патологических образований не выявлено. Тонус сфинктера сохранен. Толстая кишка осмотрена, включая купол слепой кишки. При осмотре со стороны восходящей ободочной кишки особенностей области баугиниевой заслонки не замечено, она имела уплощенную форму (рис. 1). Рис. 1. Больная Ч., 34 года. Колоноскопия. Эндофото. Изменения илеоцекальной области. а — баугиниева заслонка; b — язва; с — устье аппендикулярного отростка; d — купол слепой кишки. Слепая кишка отклонена медиально и деформирована, из-за чего ее форму определить затруднительно. По этой же причине не удалось провести фронтальный осмотр баугиниевой заслонки, но на участке нижней губы баугиниевой заслонки, обращенном к отверстию, выявлена язва (см. рис. 1) средней глубины, неправильной формы, с невыраженным воспалительным валом, ровным дном и налетом серого фибрина. Размеры язвы не определены из-за деформации этой области. Отмечалась повышенная плотность стенки этой области при инструментальной пальпации, перистальтика отсутствовала. Проведение колоноскопа диаметром 1,2 см через отверстие баугиниевой заслонки оказалось невозможным из-за его сужения. Произведен забор фрагментов слизистой оболочки с краев и дна язвы для гистологического и цитологического исследования. Область купола слепой кишки и устья аппендикулярного отростка — без особенностей (см. рис. 1).
Заключение гистологического исследования биоптатов со слизистой оболочки краев и дна язвы баугиниевой заслонки: очаговое склерозирование стромы с преимущественно лимфоидно-клеточной инфильтрацией.
Заключение цитологического исследования: слизистая толстой кишки с умеренной воспалительной инфильтрацией. Опухолевой ткани не найдено.
При обследовании верхних отделов ЖКТ выявлен хронический гастрит, ассоциированный с Helicobacter pylori.
Выполнена компьютерная томография, при которой на задней поверхности слепой кишки обнаружено образование 49×43 мм с довольно четкими контурами, плотностью до 45 едН. Образование несколько компримирует кишку, прилежит к поясничной мышце. Заключение К.Т.: образование брюшной полости? аппендикулярный инфильтрат?

При ирригоскопии выявлена деформация слепой кишки и «изъеденность» ее медиального контура (рис. 2). Рис. 2. Больная Ч., 34 года. Ирригограмма илеоцекального перехода и восходящей ободочной кишки. а — слепая кишка; b — восходящая ободочная кишка; с — ось восходящей ободочной кишки; d — ось слепой кишки; e — изъеденность медиального контура слепой кишки; α — угол между осями восходящей ободочной и слепой кишки. Слепая кишка отклонена медиально, образуя угол 39° по отношению к восходящей ободочной кишке.
Больной была выполнена обзорная рентгенограмма брюшной полости, при которой свободного газа, а также чаш Клойбера не выявлено. Кроме этого, после перорального приема сернокислого бария проводился контроль пассажа бария по кишечнику, при этом отмечалось замедленное прохождение его в толстую кишку до 10—12 ч. В результате комплекса исследований больной были определены показания к операции в связи с частичной кишечной непроходимостью, среди возможных причин которой не исключались болезнь Крона, аппендикулярный инфильтрат, туберкулез, новообразование илеоцекальной области.
Выполнена лапаротомия, правосторонняя гемиколэктомия с формированием илеотрансверзоанастомоза бок в бок.

Макропрепарат илеоцекальной области представлял собой конгломерат (рис. 3), Рис. 3. Больная Ч., 34 года. Макропрепараты илеоцекального перехода после правосторонней гемиколэктомии. Фото. b — язва; k — просвет восходящей ободочной кишки; i — просвет слепой кишки; m — просвет подвздошной кишки. состоящий из спаянных между собой петель восходящей ободочной, слепой и подвздошной кишок. При рассечении этого участка определялась значительная плотность ткани, деформация стенки, элементы баугиниевой заслонки не дифференцировались, в районе предполагаемой нижней губы баугиниевой заслонки — глубокая язва, неправильной формы, с плотными краями.

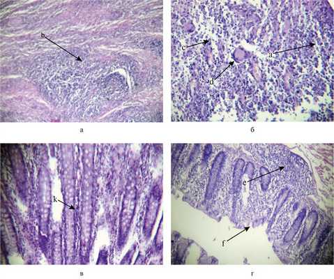
Заключение послеоперационного гистологического исследования удаленного макропрепарата илеоцекального перехода (рис. 4): Рис. 4. Больная Ч., 34 года. Микропрепараты илеоцекального перехода. а — лимфоидно-клеточная инфильтрация; b — лимфоидная гиперплазия; с — склерозирование стенки; d — клетки Пирогова—Лангханса; е — крипт-абсцесс; f — язва; k — бокаловидные клетки. Окраска гематоксилином и эозином; ув. 40 (а, б), ув. 100 (в, г). склерозирование всех слоев стенки с выраженной лимфоцитарной инфильтрацией и очаговой лимфоидной гиперплазией. Определяются гигантские клетки Пирогова—Лангханса, крипт-абсцессы, глубокая язва. Количество бокаловидных клеток сохранено. Данная картина соответствует болезни Крона.
Дифференциальная диагностика болезни Крона должна включать заболевания, для которых характерны язвенные поражения: энтеропатию, вызванную лекарственными препаратами, лучевой нагрузкой, а также язвенный колит, туберкулез, иерсиниоз, сальмонеллез, шигеллез, кампилобактериоз. Но больная лекарственных препаратов не принимала, лучевому воздействию не подвергалась, инфекции были исключены по результатам лабораторных исследований. Против язвенного колита свидетельствует отсутствие изменений в прямой кишке. Нельзя было исключить опухоль илеоцекального перехода, так как пальпаторно определялось объемное образование в правой подвздошной области, выявлено снижение Hb в крови, имелись соответствующие клинические признаки. Можно подумать о туберкулезе кишечника, так как распространенность его в России составляет 78,7 случая на 100 000 населения, а в некоторых регионах — до 395,8 случаев [2]. Кроме того, имеется патогенетическое и клиническое сходство этих заболеваний. R-графия легких в 50% случаев при туберкулезе может соответствовать норме [2]. В биоптатах, полученных при колоноскопии, такой специфический признак, как гранулема (при туберкулезе — казеозная, при болезни Крона — неказеозная), а также бактерии туберкулеза, встречаются нечасто [1]. Но перфорация язвы как осложнениe болезни Крона и формирование инфильтрата с частичной кишечной непроходимостью стоят на первом месте. Поэтому больная была прооперирована в связи с частичной кишечной непроходимостью, причиной которой могли быть болезнь Крона, туберкулез, опухоль илеоцекального перехода, аппендикулярный инфильтрат. Результаты послеоперационного морфологического исследования илеоцекального перехода, трансмуральные поражения стенки кишки, склерозирование, лимфоидная инфильтрация, гигантские клетки Пирогова—Лангханса, язвы, сохранение бокаловидных клеток, послеоперационное лечение утвердили подозрения в болезни Крона илеоцекального перехода, осложненной перфорацией язвы и формированием инфильтрата с частичной кишечной непроходимостью.
Заключение
Диагностика болезни Крона илеоцекального перехода и ее осложнений обусловлена объективными трудностями, требует комплекса методов, основывается на критериях, включая клинические проявления, а также лабораторные, рентгенологические, эндоскопические, иногда оперативные данные. Важным в диагностике является морфологическое подтверждение (трансмуральное поражение, эрозии, глубокие язвы, наличие клеток Пирогова—Лангханса, гранулем, сохранение бокаловидных клеток).
Авторы заявляют об отсутствии конфликта интересов.
Сведения об авторах
Фатеев Иван Николаевич — д.м.н., доцент, профессор кафедры оперативной хирургии и клинической анатомии;
Читайте также:
